Contenu connexe
PPT
DOCX
PDF
dbdao.com 汪伟华 my-sql-replication复制高可用配置方案 PDF
PPTX
New Zealand Franchising Confidence Index | July 2015 PPTX
Professional Training for Individuals PDF
Global Magazine, Summer 2011 PDF
En vedette
PDF
Orclrecove 1 pd-prm-dul testing for oracle database recovery_20141030_biot_wang PPTX
PPT
PDF
PDF
PDF
PDF
Navy asbestos containing material (acm) Westphalen PDF
If bystander effects for apoptosis occur in spleen after low dose irradiation... PDF
The Military Medical Community within NATO and its Multinational Challenges- ... PPTX
New Zealand Franchising Confidence Index | January 2014 PPTX
Group1_10step_marketingplan PDF
PPTX
Bamboestokken testmaquettes PPTX
PDF
The US army public health command initiative transforming public health serv... PPT
PPTX
PPT
Needs Analysis Energy Field Plus de Dentist Khawla
PPTX
External root resorption (ERR) PPT
PPTX
DOCX
DOCX
DOCX
DOCX
PPTX
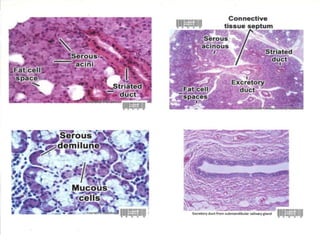
Nasal cavity and paranasal sinuses PPTX
Nasal cavity and paranasal sinuses Dernier
PDF
TEMPS 4 – Attractivité économique : nouveaux modèles, nouveaux leviers PDF
GRAND TÉMOIN | Les nouveaux facteurs de l’attractivité territoriale PPTX
CONDUCTANCE ET CONDUCTIVITÉ. Cellule conductimétrique PDF
Diaporama de lancement de la SAE105 MMI "production web" PDF
Les fondements du commerce international.pdf PDF
Le passé simple (B2/C1) : formation, verbes irréguliers et emplois PPTX
lecture methodique 1 du chevailer double PPTX
les gjjjouts et les preferences IPT.pptx PDF
B2/ C1- FLE - RACONTER UN CONTE AU PASSÉ.pdf PDF
TEMPS 2 – Attractivité touristique : l’hospitalité désormais sobre et heureuse PDF
CONCLUSIONS | Quelle posture pour piloter l’attractivité territoriale ? PPTX
La situation d'énonciation et caracteristiques du discours PDF
TEMPS 3 – Attractivité étudiante : universités, recherche et nouvelles allian... PDF
L'éthique et l'intelligence artificielle conférence NDBI 12 février 2026.pdf PDF
TEMPS 1 – Culture et patrimoine : le récit territorial contemporain