Journal Européen des Urgences et de Réanimation (2013) 25, 32—40
Disponible en ligne sur
www.sciencedirect.com
MISE AU POINT
Pancréatite aiguëଝ
Acute pancreatitis
B. Aussilhou∗
, S. Dokmak, A. Sauvanet
Département de chirurgie hépatobiliaire et transplantation hépatique, hôpital Beaujon, 100,
boulevard du Général-Leclerc, 92110 Clichy La Garenne, France
Disponible sur Internet le 7 f´evrier 2013
MOTS CLÉS
Pancréatite aiguë ;
Coulées de nécrose ;
Drainage ;
Nécrosectomie
Résumé La pancréatite aiguë est une affection rare mais potentiellement grave du pancréas.
Il s’agit d’une « autodigestion » de la glande pancréatique. La pancréatite peut être bénigne
ou associée à des coulées de nécrose dont le principal risque est la surinfection. Le traitement
est en premier lieu médical avec traitement symptomatique et étiologique pour éviter les
récidives. La surinfection des coulées de nécrose est diagnostiquée par ponction de ces coulées.
Une surinfection des coulées de nécrose nécessite un traitement invasif mais le moins agressif
possible avec en priorité un drainage percutané. La nécrosectomie et le drainage chirurgical
ne sont à réaliser qu’en cas d’échec du drainage percutané. En cas d’intervention chirurgicale,
la voie d’abord à privilégier est la voie d’abord rétropéritonéale, en s’aidant du trajet d’un
drain placé au préalable. De manière exceptionnelle, on peut drainer les coulées par voie
endoscopique, ou échoendoscopique, si la coulée est très bien collectée dans l’arrière cavité
des épiploons.
© 2013 Publié par Elsevier Masson SAS.
KEYWORDS
Acute pancreatitis;
Necrosis;
Drainage
Summary Acute pancreatitis is rare but can lead to death due to superinfection of the pan-
creatic necrosis. It is an early activation of pancreatic enzymes with variable consequences:
transient inflammation of the only pancreatic gland to injury of surrounding organs. Treat-
ment of acute pancreatitis combines resuscitation with symptomatic management, based on
the severity of the pancreatitis, and etiologic treatment to avoid recurrence. The infection of
the necrosis needs to be proved by fine needle aspiration. If the infection is confirmed, the first
ଝ Cet article appartient à la série « Chirurgie ».
∗ Auteur correspondant.
Adresse e-mail : beatrice.aussilhou@bjn.aphp.fr (B. Aussilhou).
2211-4238/$ — see front matter © 2013 Publié par Elsevier Masson SAS.
http://dx.doi.org/10.1016/j.jeurea.2012.12.003
Pancréatite aiguë 33
step treatment is percutaneous drainage. In case of failure, a surgical drainage can be neces-
sary, if possible through a retroperitoneal approach using the percutaneous drain as a guide.
Exceptionally, an endoscopic drainage can also be possible in case of well-collected abscess
near the posterior wall of the stomach.
© 2013 Published by Elsevier Masson SAS.
Introduction
La pancréatite aiguë est définie par une inflammation
de la glande pancréatique. Celle-ci peut être déclen-
chée par un reflux du liquide biliopancréatique dans le
canal pancréatique principal ou une hyperpression (lithiase
vésiculaire, anomalie de la jonction biliopancréatique) ou
par une action toxique directe (pancréatite alcoolique).
Secondairement, il peut se produire une autodigestion
de la glande pancréatique par ses propres enzymes, ce
qui constitue la pancréatite nécrosante. La lithiase et
l’alcoolisme représentent les principales étiologies de cette
maladie en France. L’incidence est estimée à 70 cas pour
100 000 habitants, ce qui représente la troisième cause
de pathologie gastro-intestinale aux États-Unis et 4 % des
syndromes douloureux abdominaux. Dans 20 % des cas,
cette pancréatite évolue vers la forme d’une pancréatite
nécrosante avec comme conséquence la surinfection ou le
développement de pseudokystes. Il s’agit d’une patholo-
gie grave avec une mortalité qui est nulle en cas de forme
bénigne, mais qui s’élève à 5 à 10 % en cas de pancréatite
nécrosante infectée.
Diagnostic de la pancréatite aiguë
Il n’y pas de signe spécifique mais le diagnostic peut être fait
devant l’apparition d’une douleur brutale, d’abord épigas-
trique puis irradiant en arrière ou en barre, puis souvent
diffuse à tout l’abdomen. Cette douleur peut durer plu-
sieurs jours. Il s’y accompagne des signes liés à l’iléus, avec
vomissements et distension abdominale. Classiquement, il
est admis que le début des douleurs signe le début de la
maladie.
Le bilan biologique réalisé en urgence doit comporter le
dosage de la lipasémie qui, par définition, doit être supé-
rieur à trois fois la normale. Le dosage de la lipasémie
est plus sensible (élévation plus précoce et plus fréquente)
et plus spécifique (élévation plus prolongée) pour le dia-
gnostic de pancréatite que celui de l’amylasémie qui ne doit
plus être utilisé. Un bilan hépatique (transaminases, biliru-
bine, gamma-GT et phosphatases alcalines) prélevé le plus
tôt possible est également utile pour dépister une origine
biliaire de la pancréatite.
Évaluation de la gravité
Une fois le diagnostic établi, il faut évaluer la gravité ini-
tiale de la poussée, bien qu’il soit très difficile d’en prévoir
l’évolution. L’évaluation initiale de la gravité est très impor-
tante car elle guide le traitement, le lieu d’hospitalisation
Encadré 1 Score BISAP.
Ce score évalue de manière simplifiée la gravité de la
pancréatite aiguë :
• blood urea nitrogen (> 15 mg/mL) ;
• trouble de la conscience (impaired mental status) ;
• syndrome de réponse inflammatoire systémique
(SIRS) ;
• âge supérieur à 60 ans ;
• épanchement pleural.
Chaque paramètre = 1 point.
BISAP = 5 → mortalité > 20 %.
BISAP = 0 → mortalité < 1 %.
Validation indépendante nécessaire.
du malade et le pronostic à court terme. Ce traitement
dépend du degré de gravité de la pancréatite aiguë et son
évolution. Cette évaluation est clinique, biologique et radio-
logique avec des scores bien établis.
En général, hormis les douleurs épigastriques
(constantes) et une défense abdominale (fréquente),
l’examen clinique est normal. Un météorisme abdominal
peut être en rapport avec un iléus réflexe et la pré-
sence d’une ascite peut témoigner d’un épanchement
intra-abdominal séreux ou hématique. La présence d’une
contracture abdominale diffuse doit faire évoquer une
péritonite par perforation d’un organe creux (côlon). La
présence d’une ecchymose des flancs (signe de Grey-Turner)
ou une ecchymose ombilicale sont des signes de gravité et
correspondent à une extension de la nécrose aux muscles
de la paroi abdominale.
Sur le plan biologique, on recherche une hyperleucocy-
tose, une insuffisance rénale, une augmentation de la CRP et
une hypocalcémie. Un syndrome de réponse inflammatoire
systémique (SIRS, ou systemic inflammatory response syn-
drome) est suspecté devant une insuffisance rénale et une
CRP élevée. Le score de Ranson permet d’évaluer la gra-
vité initiale de la poussée puis à 48 heures (Tableau 1). Le
score le plus récent est le score Acute Physiology and Chronic
Health Evaluation (APACHE) ou bien un score similaire mais
simplifié avec seulement cinq variables. Ces deux scores,
contrairement au score de Ranson, permettent d’évaluer
la gravité de la poussée lors de l’admission et non pas de
manière différée. Un score plus facile à utiliser est le score
BISAP calculé dans les 24 premières heures (Encadré 1) [1].
Il est difficile de prévoir l’évolution d’une pancréatite. Des
signes de choc peuvent s’observer initialement dans 15 % des
cas avec défaillance respiratoire et insuffisance rénale. En
termes d’imagerie, seul le scanner avec injection de produit
de contraste permet d’évaluer la gravité de la pancréatite
34 B. Aussilhou et al.
Tableau 1 Critères de Ranson.
À l’admission
Âge > 55 ans
Leucocytes > 16 000/mm3
LDH > 1,5 × N
ASAT > 6 × N
Glycémie > 11 mmol/L
Entre l’admission et la 48e
heure
Chute de l’hématocrite > 10 points
Élévation de l’urée sanguine > 1,8 mmol/L
Calcémie < 2 mmol/L
PaO2 < 60 mmHg
Chute des bicarbonates > 4 meq/L
Séquestration liquidienne > 6 La
Nombre de signes Risque de mortalité (%)
0—2 0,9
3—4 16
5—6 40
7—8 100
Ce score évalue la gravité de la pancréatite aiguë initialement
et 48 heures après les premiers symptômes. Chaque paramètre
est coté 1 lorsqu’il est présent. La pancréatite est considérée
comme sévère si le score est supérieur à 3.
a Cela signifie qu’il a fallu perfuser plus de 6 L de soluté dans
les 48 premières heures pour maintenir un équilibre hydro-
électrolytique satisfaisant.
aiguë avec la recherche d’une nécrose pancréatique qui, si
cette nécrose atteint plus de 50 % de la glande pancréatique,
est un critère de gravité. Le score scannographique évaluant
la gravité de la pancréatite aiguë est le score de Balthazar,
allant de A à E en fonction de la quantité et de l’aspect
des coulées de nécrose (suspicion de surinfection) (Fig. 1—5)
(Tableau 2). Plus le score est élevé, plus le risque de
décès est élevé. Ce scanner, qui doit être réalisé 48 heures
après le début des symptômes pour ne pas sous-évaluer la
nécrose, permet également d’orienter sur la cause de la
Figure 1. Classification Balthazar au TDM : Stade A : aspect nor-
mal du pancréas.
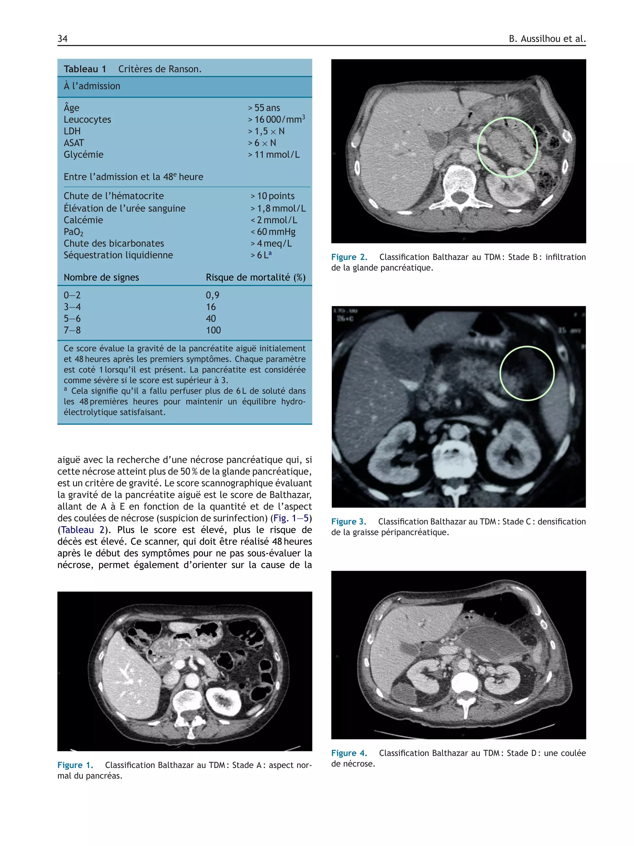
Figure 2. Classification Balthazar au TDM : Stade B : infiltration
de la glande pancréatique.
Figure 3. Classification Balthazar au TDM : Stade C : densification
de la graisse péripancréatique.
Figure 4. Classification Balthazar au TDM : Stade D : une coulée
de nécrose.
Pancréatite aiguë 35
Figure 5. Classification Balthazar au TDM : stade E : plusieurs cou-
lées de nécrose.
pancréatite aiguë. La mortalité est faible en cas de pan-
créatite aiguë bénigne (moins de 2 %), en revanche en cas de
surinfection des coulées de nécrose elle varie entre 8 et 39 %
[2—4]. Les critères d’hospitalisation en réanimation sont les
signes de choc ou de SIRS à l’admission avec tachycardie,
tachypnée, fièvre, troubles ventilatoires avec hypocapnie,
hyperleucocytose, une CRP augmentée. Le meilleur reflet
de la gravité est la CRP avec un seuil de 150 mg/L. Un SIRS
prolongé entraîne le plus souvent une défaillance d’organe
qui a pour conséquence une mortalité de 25 %.
Recherche de l’étiologie
Les causes les plus fréquentes de pancréatite aiguë sont
la lithiase biliaire et l’alcool (dans 40 % chacun). Les
autres causes plus rares sont : métaboliques (hypertrigly-
céridémie, hypercalcémie, la pancréatite aiguë génétique
ou familiale), obstructives (ampullome, tumeur intraca-
nalaire papillaire et mucineuse du pancréas [TIPMP],
Tableau 2 Score de Balthazar : critères scannogra-
phiques : cotés de A à E.
Critère Grade
Pancréas normal A (0 point)
Élargissement focal ou
diffus du pancréas
B (1 point)
Densification de la graisse
péripancréatique
C (2 points)
Coulée de nécrose
péripancréatique unique
D (3 points)
Coulées multiples ou
présence de bulles de
gaz au sein d’une coulée
E (4 points)
Score de Balthazar modifié :
• de 1 à 10 ;
• associe les critères précédents cotés de 0 à 4, et un score
sur 6 cotant la quantité de nécrose pancréatique : (i) pas
de nécrose : 0, (ii) nécrose : 0—30 % = +2, (iii) nécrose :
30—50 % = +4, (iv) nécrose : > 50 % = +6.
Encadré 2 Score de Blamey.
Il oriente vers l’origine biliaire de la pancréatite aiguë.
Si tous ces critères sont réunis, l’origine lithiasique
(biliaire) de la pancréatite est très probable :
• âge supérieur à 50 ans ;
• sexe féminin ;
• phosphatases alcalines supérieures à 300 UI/L
(2,5N) ;
• ALAT supérieur à 100 UI/L (2N).
adénocarcinome, tumeur neuro-endocrine), un traumatisme
(sphinctérotomie, pancréatite postopératoire), les anoma-
lies de la jonction biliopancréatique (kystes du cholédoque)
et certains médicaments. Les formes idiopathiques repré-
sentent environ 15 % des cas.
Sur le plan biologique, le score de Blamey (Encadré
2) permet d’orienter vers une origine biliaire, s’il existe
un mouvement enzymatique hépatique (cytolyse et cho-
lestase), bien que le bilan hépatique puisse être normal
dans 15—20 % des pancréatites aiguës d’origine lithiasique.
L’échographie vésiculaire, s’il existe un sludge ou des cal-
culs, oriente également vers une origine lithiasique mais a
beaucoup moins de valeur qu’une altération transitoire du
bilan hépatique.
Le scanner abdominopelvien avec injection de produit
de contraste permet, sauf en cas de nécrose importante,
d’orienter sur l’étiologie en recherchant un obstacle
canalaire comme un calcul enclavé dans la papille ou une
tumeur pancréatique. Si l’origine de la pancréatite n’est
pas mise en évidence immédiatement, un bilan radiologique
complet comportant un scanner et une IRM associé à une
échoendoscopie doit être réalisé à distance de la poussée.
La présence d’une masse doit faire évoquer une tumeur
et la présence d’une lésion kystique doit faire évoquer le
diagnostic de TIPMP.
Traitement
Le traitement de la poussée dépend de sa sévérité et de
sa cause. Aucune mesure ne doit être systématique comme
la mise en place d’une aspiration digestive, l’utilisation
d’antibiotiques à visée prophylactique ou d’inhibiteurs de
la pompe à protons. Le plus important est de reconnaître
les formes graves qui doivent être hospitalisées en réanima-
tion et exposent à une mortalité de 5 %. Plus le patient est
âgé, a des co-morbidités ou est obèse, plus il y a un risque
de complications.
Pancréatite aiguë non grave, sans coulée de
nécrose
Il est avant tout médical et symptomatique. Il est consti-
tué d’antalgiques (morphinique et antispasmodique), d’une
hyperhydratation intraveineuse, d’une aspiration digestive
s’il existe des vomissements et d’une nutrition entérale
continue jusqu’à cessation des douleurs ou parentérale s’il
existe une intolérance alimentaire par iléus réflexe. En
l’absence d’iléus ou de douleur abdominale, la nutrition
orale est à privilégier. Le seul recours à la chirurgie est,
36 B. Aussilhou et al.
Figure 6. Suspicion de surinfection d’une coulée par la présence
de bulles d’air au sein de la collection.
dans le cas de pancréatite aiguë biliaire, la nécessité d’une
cholécystectomie par voie cœlioscopique, au cours de la
même hospitalisation, soit vers j8. En postopératoire de la
cholécystectomie, une reprise de l’alimentation per os est
possible dès j1.
Traitement des complications des pancréatites
aiguës graves
La complication la plus grave de la nécrose et des coulées est
la surinfection qui peut survenir dès la première semaine,
mais en moyenne à la troisième semaine. La probabilité de
survenue de cette surinfection décroît à partir de la troi-
sième semaine et semble être proportionnelle à l’étendue
de la nécrose. En l’absence de surinfection, les coulées ou la
nécrose se résorbent à partir de la quatrième semaine spon-
tanément ou elles s’organisent sous forme de pseudokystes.
La surinfection de ces coulées est possible par translocation
à partir du tube digestif (côlon) ou par voie sanguine (par
exemple, septicémie sur abord veineux).
En dehors de la surinfection de coulées mal drainées
ou impossibles à drainer en percutané, la chirurgie ne fait
qu’aggraver le SIRS. Les coulées non surinfectées ne doivent
pas être traitées par drainage ou chirurgie. Il n’y a pas
non plus d’indication à une antibiothérapie prophylactique.
D’après une étude publiée en 2012 [5], l’utilisation d’une
antibioprophylaxie ne semble pas avoir d’effet sur le taux
de mortalité mais pourrait diminuer la nécessité de recourir
à un traitement interventionnel ou chirurgical et le nombre
de réopérations.
Le diagnostic de surinfection est difficile à établir mais
doit prendre en compte des critères cliniques, biologiques
et radiologiques. Il n’existe pas de critère radiologique
d’infection des coulées hormis la présence de bulles d’air
au sein des coulées qui peuvent être le témoin d’une fistule
avec l’intestin grêle ou le côlon (Fig. 6). La confirmation
d’une surinfection du liquide obtenu par ponction reste le
principal élément pour établir le diagnostic de surinfection
des coulées et orienter l’antibiothérapie. La ponction per-
cutanée de la coulée peut s’avérer faussement positive dans
10 à 15 % des cas. Quand le diagnostic d’infection des coulées
de nécrose est porté, un traitement par drainage, chirurgi-
cal ou radiologique, est indiqué. En l’absence de traitement
agressif, la mortalité des coulées de nécrose infectées est
proche de 100 % [6—8].
Ce traitement peut être radiologique, mini-invasif par
laparotomie, laparoscopique ou endoscopique. Un essai ran-
domisé publié dans le New England Journal of Medicine en
2010 [9] a montré un avantage au traitement mini-invasif
par rapport à la laparotomie. Si l’état du malade est stable,
un traitement percutané est indiqué en priorité et est, si
besoin, répété, suivi d’une nécrosectomie par abord mini-
invasif rétropéritonéal ou par laparotomie en cas d’échec.
Les facteurs de risque d’échec du traitement percutané sont
les collections multiples, mal organisées ou non communi-
cantes et/ou situées au niveau de la tête du pancréas ou
vers la racine du mésentère.
Carlos Fernandez-del-Castillo a revu les indications de
chirurgie dans la pancréatite aiguë : l’indication à une nécro-
sectomie par laparotomie est formelle chez les patients avec
de la nécrose pancréatique infectée [10]. Il semble que les
patients avec des coulées de nécrose non infectées pour-
raient également bénéficier d’une nécrosectomie lorsque
les traitements médicaux ont échoué.
Cependant, le recours à la chirurgie est très rare : dans
une étude, parmi 2449 patients admis pour pancréatite
aiguë, seulement 7 % nécessitaient un traitement chirur-
gical et dans une autre étude parmi 1535 patients avec
pancréatite aiguë, 2 % des malades étaient opérés [11,12].
En cas de pancréatite aiguë biliaire avec nécrose stérile,
il faut éviter de réaliser précocement une cholécystec-
tomie (destinée à prévenir la récidive) car celle-ci peut
surinfecter les coulées de nécrose ; dans ce cas on préfère
supprimer le risque de récidive par une sphinctérotomie
endoscopique qui est faite dans les deux à trois semaines
suivant le début de la pancréatite ; la cholécystectomie
est réalisée secondairement, une fois les lésions nécro-
tiques résorbées, principalement pour éviter la survenue
d’une cholécystite. Il n’y a pas d’indication de sphinctéro-
tomie biliaire en urgence (sauf en cas d’association à une
angiocholite) car ce geste n’améliore pas le pronostic de la
pancréatite.
Pour résumer, l’indication principale à un traitement chi-
rurgical est l’infection des coulées de nécrose. Pour en faire
le diagnostic, il faut documenter cette infection par la ponc-
tion des coulées.
Quand la nécrose est infectée, la mortalité après chi-
rurgie différée (après le septième jour) est moindre que la
chirurgie précoce (avant le septième jour) [13—15] ; d’où
les préconisations d’A.B. Nathens et al. : « we recommend
that, when possible, operative necrosectomy and/or drai-
nage be delayed at least 2—3 weeks to allow demarcation of
the necrotic pancreas » [16].
Lorsque le délai entre la poussée et la chirurgie excède
30 jours, la mortalité décroît (8 % versus 50 %), en revanche
la résistance des antibiotiques à certains germes augmente,
ainsi que le risque d’infection fungique [17].
Modalités du traitement chirurgical de la
nécrose
Pancréatite aiguë 37
Figure 7. Vue peropératoire d’une nécrosectomie par voie trans-
péritonéale.
Figure 8. Autre vue peropératoire d’une nécrosectomie par voie
transpéritonéale.
Nécrosectomie chirurgicale par laparotomie
transpéritonéale
Toutes les collections doivent être affaissées, mais il faut
aussi faire l’exérèse complète de toute la nécrose pan-
créatique, tous les plans anatomiques doivent être ouverts
(Fig. 7 et 8). En fin d’intervention, en cas de tissus
très inflammatoires, un packing pour parfaire l’hémostase
peut parfois être nécessaire mais doit alors être retiré
au bout de 48 heures. Les procédures associées peuvent
être : une résection colique, une iléostomie, une cholécys-
tectomie, un drainage biliaire externe, une jéjunostomie
d’alimentation ou la pose d’une sonde de nutrition enté-
rale. Il est primordial de drainer tous les quadrans de
l’abdomen. Il est préférable que le type de drain utilisé
permette des drainages avec lavages continus destinés à par-
faire secondairement la détersion des lésions, comme les
drains spiralés ou les modules drain/lame ; ce qui contre-
indique l’utilisation de Mickulicz (Fig. 9). Les indications
de cette voie d’abord transpéritonéale sont des collections
de l’hypochondre droit, de nombreuses petites collections,
Figure 9. Vue peropératoire d’un drainage par Mickulicz (qui
n’est plus conseillé dans cette indication au profit de drains aspira-
tifs).
des collections à distance de l’estomac. La voie d’abord
transpéritonéale permet en une seule intervention une
nécrosectomie, une cholécystectomie et la recherche de
perforation digestive avec leur traitement. En revanche,
cette voie d’abord transpéritonéale entraîne 20 à 45 % de
risque supplémentaire (fistules pancréatiques ou digestives,
éventrations à distance) par rapport à des drainages itéra-
tifs.
La mortalité est comprise entre 8 à 39 % et la morbi-
dité se situe entre 70 et 80 %. Dans la série de P. Gotzinger
et al., en 2002, la mortalité était de 39 % [8]. Les résul-
tats de la série de B.I. Babu et al. publiée en 2010 portaient
sur 28 malades ayant eu une nécrosectomie par voie trans-
péritonéale avec un délai entre l’admission et la chirurgie
compris entre cinq et 149 jours (moyenne 34 jours), un
nombre médian d’interventions par patient de un à six et
une durée d’hospitalisation médiane de 84 jours (entre 28 et
198 jours). La mortalité était de 22 % [12].
Voie d’abord rétropéritonéale
La voie d’abord rétropéritonéale est moins délétère sur
la fonction respiratoire et gastro-intestinale. Cette voie
d’abord est moins invasive que la voie transpéritonéale mais
ne permet pas d’explorer toute la cavité péritonéale, ni
de réaliser une cholécystectomie. Ce geste comprend une
dissection « à l’aveugle » avec un risque non négligeable
de saignement, de perforation colique ou de plaie de la
rate. Pour faciliter ce geste, il est conseillé de réaliser
un drainage percutané rétropéritonéal puis d’effectuer la
nécrosectomie par cette voie d’abord en suivant le drain
placé préalablement sous contrôle TDM, après échec de ce
dernier (Fig. 10—12). Cette voie d’abord est notamment
indiquée en cas de collections situées à gauche y compris
dans l’arrière cavité des épiploons. Quant aux collections
péricéphaliques, une voie d’abord antérieure transpérito-
néale est privilégiée.
Drainage percutané guidé par échographie ou
scanner
Cette technique peu invasive permet une épargne parié-
tale et facilite la réalisation des drainages itératifs. Mais les
38 B. Aussilhou et al.
Figure 10. Vue peropératoire : incision cutanée en regard du
point d’entrée du drain percutané.
Figure 11. Vue peropératoire du même patient : discision des
muscles le long du drain jusqu’à atteindre la collection pour complé-
ter son exérèse avec extraction de l’étoupe pancréatique restante.
fistules digestives sont fréquentes, sans diminution de la
durée de séjour. Les causes d’échec sont les débris solides
dans la nécrose qui peut être très épaisse entraînant une
obstruction des drains. Le drainage est plus efficace si les
drains ont un diamètre minimum de 24 Fr et sont à double
lumière, permettant des lavages en continu, ou s’il s’agit
d’abcès postopératoires. Le drainage percutané semble
insuffisant et donc contre-indiqué en cas de défaillance
d’organe. Le succès de ce drainage est évalué entre 67 et
100 % en fonction des séries [18,19]. Une revue de 2011 [20] a
Figure 12. TDM postopératoire après nécrosectomie par voie
rétropéritonéale avec mise en place en peropératoire d’une lame
et d’un drain dans l’ancienne cavité de la coulée.
chiffré le succès du drainage percutané aux alentours de 50 %
avec une mortalité de 17 %, permettant d’éviter un drainage
chirurgical complémentaire dans 56 % des cas (Fig. 13—15).
Cœlioscopie
Il s’agit de la nécrosectomie vidéo assistée rétropéritonéale,
consistant en une nécrosectomie par un néphroscope rigide
introduit en rétropéritonéal, suivie de la mise en place d’un
drainage pour réaliser un lavage continu en postopératoire.
Ce geste a été décrit par K.D. Horvath et al. en 2001 [21] sur
six patients puis développé par D. Parekh en 2006 [22] chez
19 patients avec une procédure complète chez 18 patients et
une réopération chez quatre patients. Ces auteurs ont sug-
géré que la nécrosectomie vidéo assistée rétropéritonéale
permettait un taux plus faible de morbidité et de mortalité.
Endoscopie
Cette voie d’abord est indiquée en cas de collection dans
l’arrière cavité des épiploons. Très peu d’équipes réalisent
cette technique qui nécessite des endoscopistes expérimen-
Figure 13. TDM à une semaine du début des douleurs chez une
femme de 60 ans ayant des calculs vésiculaires : coulées de nécrose
dans l’arrière cavité des épiploons, sans bulle d’air. La glande pan-
créatique est en grande partie nécrosée.
Figure 14. Artère splénique et artère hépatique encorbellées par
les coulées.
Pancréatite aiguë 39
Figure 15. a—c : drainage percutané des coulées sous échogra-
phie avec un drain en épigastrique et deux drains extériorisés en
lombaire gauche.
tés. Le drainage de collection per endoscopie s’adresse
surtout à des coulées de nécrose organisées, bien limitées
ou à des pseudokystes (nécrose organisée, enkystée par le
pancréas ou les organes de voisinage), c’est-à-dire en cas
d’évolution favorable à distance d’une coulée de nécrose.
Sous échoendoscopie, on réalise un drainage transgastrique
de la coulée de nécrose bien collectée ou du pseudokyste,
à condition que ces derniers soient localisés dans l’arrière
cavité des épiploons.
Dans l’étude publiée par J.J. De Waele et al. en 2010, des
patients ayant des coulées de nécrose surinfectées ou sus-
pectes de l’être ont été randomisés en deux groupes : ceux
(n = 45) qui ont eu une nécrosectomie par voie transpéri-
tonéale et ceux (n = 43) qui ont eu un drainage percutané
ou endoscopique associé à une voie d’abord laparoscopique
cœlioscopique si besoin [9]. Il n’y avait aucune différence
entre les deux groupes concernant les complications de ces
deux traitements : défaillance d’organe, fistule entérocu-
tanée, perforation d’un organe creux, hémorragie, fistule
pancréatique, apparition d’un diabète ou complications
pariétales. Dans cette étude, une approche mini-invasive
réduit les complications et le taux de mortalité.
J. Escourrou et al. ont évalué cette technique endosco-
pique chez 13 patients avec des collections infectées bien
organisées qui ont eu tous des nécrosectomies itératives par
voie endoscopique mais sans avoir eu recours à un complé-
ment de nécrosectomie par voie chirurgicale [23].
Traitement des pseudokystes
Du fait de la tendance spontanée des pseudokystes à se
résorber, le traitement à privilégier est le traitement médi-
cal associé à une nutrition entérale continue exclusive
pendant six semaines. En cas d’échec (augmentation de
volume et surtout persistance des symptômes), on peut
réaliser une dérivation entre le kyste et l’estomac ou le
duodénum par voie endoscopique ou une dérivation chirur-
gicale portant sur l’estomac ou l’intestin grêle (anastomose
kystogastrique ou kystojéjunale).
Conclusion
Le diagnostic de la pancréatite aiguë repose sur la conjonc-
tion de douleurs abdominales et d’une lipasémie à plus de
trois fois le taux normal. Il existe des formes bénignes (non
nécrosantes) et des formes graves liées à l’existence d’une
nécrose et à son éventuelle surinfection. Le pronostic de
la pancréatite aiguë est principalement lié à la défaillance
viscérale accompagnant parfois précocement des formes
nécrosantes étendues et à la surinfection de la nécrose qui
peut survenir dès la fin de la première semaine d’évolution.
La surinfection de la nécrose est diagnostiquée par ponc-
tion sur guidage radiologique. La confirmation de cette
surinfection doit faire réaliser un geste de drainage, radio-
logique puis chirurgical en cas d’échec du précédent. Il faut
dans la mesure du possible préférer la voie d’abord rétro-
péritonéale dans le cas de collections bien limitées, plutôt
latéralisées.
Le drainage percutané peut être la première étape d’une
chirurgie mini-invasive et est indiqué dans les collections
résiduelles postopératoires.
La chirurgie mini-invasive combine les avantages de la
chirurgie et de ceux du drainage percutané.
L’endoscopie interventionnelle étend les indications pour
des collections bien limitées près de la paroi gastrique.
En termes de mortalité, aucune technique n’est supé-
rieure. La morbi-mortalité diminue avec le délai entre la
pancréatite et le drainage.
40 B. Aussilhou et al.
Encadré 3 Points essentiels.
• Le plus important dans la pancréatite aiguë est
d’évaluer sa gravité pour adapter au mieux le
traitement et le lieu de l’hospitalisation.
• L’évolution d’une pancréatite aiguë est très difficile
à prévoir. Des scores ont été établis pour aider à
évaluer le degré de gravité de la poussée : score de
Balthazar au scanner à la 48e
heure, score de Ranson,
score APACHE ou score de BISAP, plus simple.
• La recherche et le traitement de la cause sont
essentiels pour éviter les récidives mais cela doit se
faire à distance de la poussée en multipliant si besoin
les examens d’imagerie (TDM, IRM, échoendoscopie).
• Le traitement de la poussée est avant tout médical
sans mesure systématique comme la mise en
place d’une sonde gastrique en aspiration, les
antibiotiques prophylactiques, les inhibiteurs de la
pompe à protons. . .
• Le traitement est chirurgical en cas de collections
surinfectées après avoir fait la preuve par ponction
percutanée de la surinfection de ces collections.
En premier lieu, on privilégie le drainage percutané
puis chirurgical dans un second temps uniquement si
le drainage percutané a échoué, en privilégiant les
voies d’abord limitées.
• Il faut éviter dans la mesure du possible de faire une
nécrosectomie par voie transpéritonéale, surtout si
le délai entre le début de la poussée et la chirurgie
est inférieur à six semaines.
• Le traitement chirurgical, surtout s’il est précoce et
agressif, risque d’être plus délétère que la poussée
elle-même.
Le choix du traitement interventionnel nécessite une dis-
cussion multidisciplinaire entre gastroentérologues, réani-
mateurs, radiologues, endoscopistes et chirurgiens (Encadré
3).
Déclaration d’intérêts
Les auteurs déclarent ne pas avoir de conflits d’intérêts en
relation avec cet article.
Références
[1] Wu BU, Johannes RS, Sun X, Tabak Y, Conwell DL, Banks PA.
The early prediction of mortality in acute pancreatitis: a large
population-based study. Gut 2008;57:1698—703 [Epub 2008 Jun
2].
[2] Shaheen NJ, Hansen RA, Morgan DR, Gangarosa LM, Ringel
Y, Thiny MT, et al. The burden of gastrointestinal and liver
diseases. Am J Gastroenterol 2006;101:2128—38 [Epub 2006 Jul
18].
[3] Fagenholz PJ, Fernández-del Castillo C, Harris NS, Pelletier
AJ, Camargo Jr CA. Direct medical costs of acute pancrea-
titis hospitalizations in the United States. Pancreas 2007;35:
302—7.
[4] Whitcomb DC. Clinical practice. Acute pancreatitis. N Engl J
Med 2006;354:2142—50.
[5] Ignatavicius P, Vitkauskiene A, Pundzius J, Dambrauskas Z,
Barauskas G. Effects of prophylactic antibiotics in acute pan-
creatitis. HPB (Oxford) 2012;14:396—402.
[6] Banks PA, Freeman ML. Practice parameters committee of the
American College of Gastroenterology. Practice guidelines in
acute pancreatitis. Am J Gastroenterol 2006;101:2379—400.
[7] Forsmark CE, Baillie J. AGA Institute Clinical Practice and
Economics Committee; AGA Institute Governing Board. AGA
Institute technical review on acute pancreatitis. Gastroente-
rology 2007;132:2022—44.
[8] Götzinger P, Sautner T, Kriwanek S, Beckerhinn P, Barlan M,
Armbruster C, et al. Surgical treatment for severe acute pan-
creatitis: extent and surgical control of necrosis determine
outcome. World J Surg 2002;26:474—8.
[9] De Waele JJ. A step-up approach, or open necrosectomy for
necrotizing pancreatitis. N Engl J Med 2010;363:1286.
[10] Rodriguez JR, Razo AO, Targarona J, Thayer SP, Rattner DW,
Warshaw AL, et al. Debridement and closed packing for sterile
or infected necrotizing pancreatitis: insights into indications
and outcomes in 167 patients. Ann Surg 2008;247:294—9.
[11] Schmidt CM. Introduction: SSAT/AGA/ASGE State-of-the-Art
Conference: necrotizing pancreatitis: novel minimally invasive
strategies. Gastrointest Surg 2011;15:1086—8.
[12] Babu BI, Sheen AJ, Lee SH, O’Shea S, Eddleston JM, Siriwardena
AK. Open pancreatic necrosectomy in the multidiscipli-
nary management of postinflammatory necrosis. Ann Surg
2010;251:783—6.
[13] Fagniez PL, Pezet D, Millat B, Cherqui D, Dziri C, Létoublon
C, et al. Surgical treatment of severe acute pancreatitis.
Results of a prospective multicenter study of the Associations
of Research in Surgery. Gastroenterol Clin Biol 1994;18:932—7.
[14] Mier J, León EL, Castillo A, Robledo F, Blanco R. Early versus
late necrosectomy in severe necrotizing pancreatitis. Am J Surg
1997;173:71—5.
[15] Hartwig W, Maksan SM, Foitzik T, Schmidt J, Herfarth C, Klar E.
Reduction in mortality with delayed surgical therapy of severe
pancreatitis. J Gastrointest Surg 2002;6:481—7.
[16] Nathens AB, Curtis JR, Beale RJ, Cook DJ, Moreno RP, Romand
JA, et al. Management of the critically ill patient with severe
acute pancreatitis. Crit Care Med 2004;32:2524—36.
[17] Besselink MG, Verwer TJ, Schoenmaeckers EJ, Buskens E, Rid-
wan BU, Visser MR, et al. Timing of surgical intervention in
necrotizing pancreatitis. Arch Surg 2007;142:1194—201.
[18] Lee MJ, Rattner DW, Legemate DA, Saini S, Dawson SL, Hahn
PF, et al. Acute complicated pancreatitis: redefining the role
of interventional radiology. Radiology 1992;183:171—4.
[19] Echenique AM, Sleeman D, Yrizarry J, Scagnelli T, Guerra Jr JJ,
Casillas VJ, et al. Percutaneous catheter-directed debridement
of infected pancreatic necrosis: results in 20 patients. J Vasc
Interv Radiol 1998;9:565—71.
[20] van Baal MC, van Santvoort HC, Bollen TC, Bakker O, Besselink
MG, Gooszen HG. Systematic review of percutaneous catheter
drainage as primary treatment for necrotizing pancreatitis. Br
J Surg 2011;98:37—48.
[21] Horvath KD, Kao LS, Wherry KL, Pelligrini C, Sinanan MN. Lapa-
roscopic assisted percutaneous drainage of infected pancreatic
necrosis. Surg Endosc 2001;15:677—82.
[22] Parekh D. Laparoscopic-assisted pancreatic necrosectomy: a
new surgical option for treatment of severe necrotizing pan-
creatitis. Arch Surg 2006;141:895—902.
[23] Escourrou J, Shehab H, Buscail L, Bournet B, Andrau P, Moreau
J, et al. Peroral transgastric/transduodenal necrosectomy: suc-
cess in the treatment of infected pancreatic necrosis. Ann Surg
2008;248:1074—80.

Pancréatite aiguë

  • 1.
    Journal Européen desUrgences et de Réanimation (2013) 25, 32—40 Disponible en ligne sur www.sciencedirect.com MISE AU POINT Pancréatite aiguëଝ Acute pancreatitis B. Aussilhou∗ , S. Dokmak, A. Sauvanet Département de chirurgie hépatobiliaire et transplantation hépatique, hôpital Beaujon, 100, boulevard du Général-Leclerc, 92110 Clichy La Garenne, France Disponible sur Internet le 7 f´evrier 2013 MOTS CLÉS Pancréatite aiguë ; Coulées de nécrose ; Drainage ; Nécrosectomie Résumé La pancréatite aiguë est une affection rare mais potentiellement grave du pancréas. Il s’agit d’une « autodigestion » de la glande pancréatique. La pancréatite peut être bénigne ou associée à des coulées de nécrose dont le principal risque est la surinfection. Le traitement est en premier lieu médical avec traitement symptomatique et étiologique pour éviter les récidives. La surinfection des coulées de nécrose est diagnostiquée par ponction de ces coulées. Une surinfection des coulées de nécrose nécessite un traitement invasif mais le moins agressif possible avec en priorité un drainage percutané. La nécrosectomie et le drainage chirurgical ne sont à réaliser qu’en cas d’échec du drainage percutané. En cas d’intervention chirurgicale, la voie d’abord à privilégier est la voie d’abord rétropéritonéale, en s’aidant du trajet d’un drain placé au préalable. De manière exceptionnelle, on peut drainer les coulées par voie endoscopique, ou échoendoscopique, si la coulée est très bien collectée dans l’arrière cavité des épiploons. © 2013 Publié par Elsevier Masson SAS. KEYWORDS Acute pancreatitis; Necrosis; Drainage Summary Acute pancreatitis is rare but can lead to death due to superinfection of the pan- creatic necrosis. It is an early activation of pancreatic enzymes with variable consequences: transient inflammation of the only pancreatic gland to injury of surrounding organs. Treat- ment of acute pancreatitis combines resuscitation with symptomatic management, based on the severity of the pancreatitis, and etiologic treatment to avoid recurrence. The infection of the necrosis needs to be proved by fine needle aspiration. If the infection is confirmed, the first ଝ Cet article appartient à la série « Chirurgie ». ∗ Auteur correspondant. Adresse e-mail : beatrice.aussilhou@bjn.aphp.fr (B. Aussilhou). 2211-4238/$ — see front matter © 2013 Publié par Elsevier Masson SAS. http://dx.doi.org/10.1016/j.jeurea.2012.12.003
  • 2.
    Pancréatite aiguë 33 steptreatment is percutaneous drainage. In case of failure, a surgical drainage can be neces- sary, if possible through a retroperitoneal approach using the percutaneous drain as a guide. Exceptionally, an endoscopic drainage can also be possible in case of well-collected abscess near the posterior wall of the stomach. © 2013 Published by Elsevier Masson SAS. Introduction La pancréatite aiguë est définie par une inflammation de la glande pancréatique. Celle-ci peut être déclen- chée par un reflux du liquide biliopancréatique dans le canal pancréatique principal ou une hyperpression (lithiase vésiculaire, anomalie de la jonction biliopancréatique) ou par une action toxique directe (pancréatite alcoolique). Secondairement, il peut se produire une autodigestion de la glande pancréatique par ses propres enzymes, ce qui constitue la pancréatite nécrosante. La lithiase et l’alcoolisme représentent les principales étiologies de cette maladie en France. L’incidence est estimée à 70 cas pour 100 000 habitants, ce qui représente la troisième cause de pathologie gastro-intestinale aux États-Unis et 4 % des syndromes douloureux abdominaux. Dans 20 % des cas, cette pancréatite évolue vers la forme d’une pancréatite nécrosante avec comme conséquence la surinfection ou le développement de pseudokystes. Il s’agit d’une patholo- gie grave avec une mortalité qui est nulle en cas de forme bénigne, mais qui s’élève à 5 à 10 % en cas de pancréatite nécrosante infectée. Diagnostic de la pancréatite aiguë Il n’y pas de signe spécifique mais le diagnostic peut être fait devant l’apparition d’une douleur brutale, d’abord épigas- trique puis irradiant en arrière ou en barre, puis souvent diffuse à tout l’abdomen. Cette douleur peut durer plu- sieurs jours. Il s’y accompagne des signes liés à l’iléus, avec vomissements et distension abdominale. Classiquement, il est admis que le début des douleurs signe le début de la maladie. Le bilan biologique réalisé en urgence doit comporter le dosage de la lipasémie qui, par définition, doit être supé- rieur à trois fois la normale. Le dosage de la lipasémie est plus sensible (élévation plus précoce et plus fréquente) et plus spécifique (élévation plus prolongée) pour le dia- gnostic de pancréatite que celui de l’amylasémie qui ne doit plus être utilisé. Un bilan hépatique (transaminases, biliru- bine, gamma-GT et phosphatases alcalines) prélevé le plus tôt possible est également utile pour dépister une origine biliaire de la pancréatite. Évaluation de la gravité Une fois le diagnostic établi, il faut évaluer la gravité ini- tiale de la poussée, bien qu’il soit très difficile d’en prévoir l’évolution. L’évaluation initiale de la gravité est très impor- tante car elle guide le traitement, le lieu d’hospitalisation Encadré 1 Score BISAP. Ce score évalue de manière simplifiée la gravité de la pancréatite aiguë : • blood urea nitrogen (> 15 mg/mL) ; • trouble de la conscience (impaired mental status) ; • syndrome de réponse inflammatoire systémique (SIRS) ; • âge supérieur à 60 ans ; • épanchement pleural. Chaque paramètre = 1 point. BISAP = 5 → mortalité > 20 %. BISAP = 0 → mortalité < 1 %. Validation indépendante nécessaire. du malade et le pronostic à court terme. Ce traitement dépend du degré de gravité de la pancréatite aiguë et son évolution. Cette évaluation est clinique, biologique et radio- logique avec des scores bien établis. En général, hormis les douleurs épigastriques (constantes) et une défense abdominale (fréquente), l’examen clinique est normal. Un météorisme abdominal peut être en rapport avec un iléus réflexe et la pré- sence d’une ascite peut témoigner d’un épanchement intra-abdominal séreux ou hématique. La présence d’une contracture abdominale diffuse doit faire évoquer une péritonite par perforation d’un organe creux (côlon). La présence d’une ecchymose des flancs (signe de Grey-Turner) ou une ecchymose ombilicale sont des signes de gravité et correspondent à une extension de la nécrose aux muscles de la paroi abdominale. Sur le plan biologique, on recherche une hyperleucocy- tose, une insuffisance rénale, une augmentation de la CRP et une hypocalcémie. Un syndrome de réponse inflammatoire systémique (SIRS, ou systemic inflammatory response syn- drome) est suspecté devant une insuffisance rénale et une CRP élevée. Le score de Ranson permet d’évaluer la gra- vité initiale de la poussée puis à 48 heures (Tableau 1). Le score le plus récent est le score Acute Physiology and Chronic Health Evaluation (APACHE) ou bien un score similaire mais simplifié avec seulement cinq variables. Ces deux scores, contrairement au score de Ranson, permettent d’évaluer la gravité de la poussée lors de l’admission et non pas de manière différée. Un score plus facile à utiliser est le score BISAP calculé dans les 24 premières heures (Encadré 1) [1]. Il est difficile de prévoir l’évolution d’une pancréatite. Des signes de choc peuvent s’observer initialement dans 15 % des cas avec défaillance respiratoire et insuffisance rénale. En termes d’imagerie, seul le scanner avec injection de produit de contraste permet d’évaluer la gravité de la pancréatite
  • 3.
    34 B. Aussilhouet al. Tableau 1 Critères de Ranson. À l’admission Âge > 55 ans Leucocytes > 16 000/mm3 LDH > 1,5 × N ASAT > 6 × N Glycémie > 11 mmol/L Entre l’admission et la 48e heure Chute de l’hématocrite > 10 points Élévation de l’urée sanguine > 1,8 mmol/L Calcémie < 2 mmol/L PaO2 < 60 mmHg Chute des bicarbonates > 4 meq/L Séquestration liquidienne > 6 La Nombre de signes Risque de mortalité (%) 0—2 0,9 3—4 16 5—6 40 7—8 100 Ce score évalue la gravité de la pancréatite aiguë initialement et 48 heures après les premiers symptômes. Chaque paramètre est coté 1 lorsqu’il est présent. La pancréatite est considérée comme sévère si le score est supérieur à 3. a Cela signifie qu’il a fallu perfuser plus de 6 L de soluté dans les 48 premières heures pour maintenir un équilibre hydro- électrolytique satisfaisant. aiguë avec la recherche d’une nécrose pancréatique qui, si cette nécrose atteint plus de 50 % de la glande pancréatique, est un critère de gravité. Le score scannographique évaluant la gravité de la pancréatite aiguë est le score de Balthazar, allant de A à E en fonction de la quantité et de l’aspect des coulées de nécrose (suspicion de surinfection) (Fig. 1—5) (Tableau 2). Plus le score est élevé, plus le risque de décès est élevé. Ce scanner, qui doit être réalisé 48 heures après le début des symptômes pour ne pas sous-évaluer la nécrose, permet également d’orienter sur la cause de la Figure 1. Classification Balthazar au TDM : Stade A : aspect nor- mal du pancréas. Figure 2. Classification Balthazar au TDM : Stade B : infiltration de la glande pancréatique. Figure 3. Classification Balthazar au TDM : Stade C : densification de la graisse péripancréatique. Figure 4. Classification Balthazar au TDM : Stade D : une coulée de nécrose.
  • 4.
    Pancréatite aiguë 35 Figure5. Classification Balthazar au TDM : stade E : plusieurs cou- lées de nécrose. pancréatite aiguë. La mortalité est faible en cas de pan- créatite aiguë bénigne (moins de 2 %), en revanche en cas de surinfection des coulées de nécrose elle varie entre 8 et 39 % [2—4]. Les critères d’hospitalisation en réanimation sont les signes de choc ou de SIRS à l’admission avec tachycardie, tachypnée, fièvre, troubles ventilatoires avec hypocapnie, hyperleucocytose, une CRP augmentée. Le meilleur reflet de la gravité est la CRP avec un seuil de 150 mg/L. Un SIRS prolongé entraîne le plus souvent une défaillance d’organe qui a pour conséquence une mortalité de 25 %. Recherche de l’étiologie Les causes les plus fréquentes de pancréatite aiguë sont la lithiase biliaire et l’alcool (dans 40 % chacun). Les autres causes plus rares sont : métaboliques (hypertrigly- céridémie, hypercalcémie, la pancréatite aiguë génétique ou familiale), obstructives (ampullome, tumeur intraca- nalaire papillaire et mucineuse du pancréas [TIPMP], Tableau 2 Score de Balthazar : critères scannogra- phiques : cotés de A à E. Critère Grade Pancréas normal A (0 point) Élargissement focal ou diffus du pancréas B (1 point) Densification de la graisse péripancréatique C (2 points) Coulée de nécrose péripancréatique unique D (3 points) Coulées multiples ou présence de bulles de gaz au sein d’une coulée E (4 points) Score de Balthazar modifié : • de 1 à 10 ; • associe les critères précédents cotés de 0 à 4, et un score sur 6 cotant la quantité de nécrose pancréatique : (i) pas de nécrose : 0, (ii) nécrose : 0—30 % = +2, (iii) nécrose : 30—50 % = +4, (iv) nécrose : > 50 % = +6. Encadré 2 Score de Blamey. Il oriente vers l’origine biliaire de la pancréatite aiguë. Si tous ces critères sont réunis, l’origine lithiasique (biliaire) de la pancréatite est très probable : • âge supérieur à 50 ans ; • sexe féminin ; • phosphatases alcalines supérieures à 300 UI/L (2,5N) ; • ALAT supérieur à 100 UI/L (2N). adénocarcinome, tumeur neuro-endocrine), un traumatisme (sphinctérotomie, pancréatite postopératoire), les anoma- lies de la jonction biliopancréatique (kystes du cholédoque) et certains médicaments. Les formes idiopathiques repré- sentent environ 15 % des cas. Sur le plan biologique, le score de Blamey (Encadré 2) permet d’orienter vers une origine biliaire, s’il existe un mouvement enzymatique hépatique (cytolyse et cho- lestase), bien que le bilan hépatique puisse être normal dans 15—20 % des pancréatites aiguës d’origine lithiasique. L’échographie vésiculaire, s’il existe un sludge ou des cal- culs, oriente également vers une origine lithiasique mais a beaucoup moins de valeur qu’une altération transitoire du bilan hépatique. Le scanner abdominopelvien avec injection de produit de contraste permet, sauf en cas de nécrose importante, d’orienter sur l’étiologie en recherchant un obstacle canalaire comme un calcul enclavé dans la papille ou une tumeur pancréatique. Si l’origine de la pancréatite n’est pas mise en évidence immédiatement, un bilan radiologique complet comportant un scanner et une IRM associé à une échoendoscopie doit être réalisé à distance de la poussée. La présence d’une masse doit faire évoquer une tumeur et la présence d’une lésion kystique doit faire évoquer le diagnostic de TIPMP. Traitement Le traitement de la poussée dépend de sa sévérité et de sa cause. Aucune mesure ne doit être systématique comme la mise en place d’une aspiration digestive, l’utilisation d’antibiotiques à visée prophylactique ou d’inhibiteurs de la pompe à protons. Le plus important est de reconnaître les formes graves qui doivent être hospitalisées en réanima- tion et exposent à une mortalité de 5 %. Plus le patient est âgé, a des co-morbidités ou est obèse, plus il y a un risque de complications. Pancréatite aiguë non grave, sans coulée de nécrose Il est avant tout médical et symptomatique. Il est consti- tué d’antalgiques (morphinique et antispasmodique), d’une hyperhydratation intraveineuse, d’une aspiration digestive s’il existe des vomissements et d’une nutrition entérale continue jusqu’à cessation des douleurs ou parentérale s’il existe une intolérance alimentaire par iléus réflexe. En l’absence d’iléus ou de douleur abdominale, la nutrition orale est à privilégier. Le seul recours à la chirurgie est,
  • 5.
    36 B. Aussilhouet al. Figure 6. Suspicion de surinfection d’une coulée par la présence de bulles d’air au sein de la collection. dans le cas de pancréatite aiguë biliaire, la nécessité d’une cholécystectomie par voie cœlioscopique, au cours de la même hospitalisation, soit vers j8. En postopératoire de la cholécystectomie, une reprise de l’alimentation per os est possible dès j1. Traitement des complications des pancréatites aiguës graves La complication la plus grave de la nécrose et des coulées est la surinfection qui peut survenir dès la première semaine, mais en moyenne à la troisième semaine. La probabilité de survenue de cette surinfection décroît à partir de la troi- sième semaine et semble être proportionnelle à l’étendue de la nécrose. En l’absence de surinfection, les coulées ou la nécrose se résorbent à partir de la quatrième semaine spon- tanément ou elles s’organisent sous forme de pseudokystes. La surinfection de ces coulées est possible par translocation à partir du tube digestif (côlon) ou par voie sanguine (par exemple, septicémie sur abord veineux). En dehors de la surinfection de coulées mal drainées ou impossibles à drainer en percutané, la chirurgie ne fait qu’aggraver le SIRS. Les coulées non surinfectées ne doivent pas être traitées par drainage ou chirurgie. Il n’y a pas non plus d’indication à une antibiothérapie prophylactique. D’après une étude publiée en 2012 [5], l’utilisation d’une antibioprophylaxie ne semble pas avoir d’effet sur le taux de mortalité mais pourrait diminuer la nécessité de recourir à un traitement interventionnel ou chirurgical et le nombre de réopérations. Le diagnostic de surinfection est difficile à établir mais doit prendre en compte des critères cliniques, biologiques et radiologiques. Il n’existe pas de critère radiologique d’infection des coulées hormis la présence de bulles d’air au sein des coulées qui peuvent être le témoin d’une fistule avec l’intestin grêle ou le côlon (Fig. 6). La confirmation d’une surinfection du liquide obtenu par ponction reste le principal élément pour établir le diagnostic de surinfection des coulées et orienter l’antibiothérapie. La ponction per- cutanée de la coulée peut s’avérer faussement positive dans 10 à 15 % des cas. Quand le diagnostic d’infection des coulées de nécrose est porté, un traitement par drainage, chirurgi- cal ou radiologique, est indiqué. En l’absence de traitement agressif, la mortalité des coulées de nécrose infectées est proche de 100 % [6—8]. Ce traitement peut être radiologique, mini-invasif par laparotomie, laparoscopique ou endoscopique. Un essai ran- domisé publié dans le New England Journal of Medicine en 2010 [9] a montré un avantage au traitement mini-invasif par rapport à la laparotomie. Si l’état du malade est stable, un traitement percutané est indiqué en priorité et est, si besoin, répété, suivi d’une nécrosectomie par abord mini- invasif rétropéritonéal ou par laparotomie en cas d’échec. Les facteurs de risque d’échec du traitement percutané sont les collections multiples, mal organisées ou non communi- cantes et/ou situées au niveau de la tête du pancréas ou vers la racine du mésentère. Carlos Fernandez-del-Castillo a revu les indications de chirurgie dans la pancréatite aiguë : l’indication à une nécro- sectomie par laparotomie est formelle chez les patients avec de la nécrose pancréatique infectée [10]. Il semble que les patients avec des coulées de nécrose non infectées pour- raient également bénéficier d’une nécrosectomie lorsque les traitements médicaux ont échoué. Cependant, le recours à la chirurgie est très rare : dans une étude, parmi 2449 patients admis pour pancréatite aiguë, seulement 7 % nécessitaient un traitement chirur- gical et dans une autre étude parmi 1535 patients avec pancréatite aiguë, 2 % des malades étaient opérés [11,12]. En cas de pancréatite aiguë biliaire avec nécrose stérile, il faut éviter de réaliser précocement une cholécystec- tomie (destinée à prévenir la récidive) car celle-ci peut surinfecter les coulées de nécrose ; dans ce cas on préfère supprimer le risque de récidive par une sphinctérotomie endoscopique qui est faite dans les deux à trois semaines suivant le début de la pancréatite ; la cholécystectomie est réalisée secondairement, une fois les lésions nécro- tiques résorbées, principalement pour éviter la survenue d’une cholécystite. Il n’y a pas d’indication de sphinctéro- tomie biliaire en urgence (sauf en cas d’association à une angiocholite) car ce geste n’améliore pas le pronostic de la pancréatite. Pour résumer, l’indication principale à un traitement chi- rurgical est l’infection des coulées de nécrose. Pour en faire le diagnostic, il faut documenter cette infection par la ponc- tion des coulées. Quand la nécrose est infectée, la mortalité après chi- rurgie différée (après le septième jour) est moindre que la chirurgie précoce (avant le septième jour) [13—15] ; d’où les préconisations d’A.B. Nathens et al. : « we recommend that, when possible, operative necrosectomy and/or drai- nage be delayed at least 2—3 weeks to allow demarcation of the necrotic pancreas » [16]. Lorsque le délai entre la poussée et la chirurgie excède 30 jours, la mortalité décroît (8 % versus 50 %), en revanche la résistance des antibiotiques à certains germes augmente, ainsi que le risque d’infection fungique [17]. Modalités du traitement chirurgical de la nécrose
  • 6.
    Pancréatite aiguë 37 Figure7. Vue peropératoire d’une nécrosectomie par voie trans- péritonéale. Figure 8. Autre vue peropératoire d’une nécrosectomie par voie transpéritonéale. Nécrosectomie chirurgicale par laparotomie transpéritonéale Toutes les collections doivent être affaissées, mais il faut aussi faire l’exérèse complète de toute la nécrose pan- créatique, tous les plans anatomiques doivent être ouverts (Fig. 7 et 8). En fin d’intervention, en cas de tissus très inflammatoires, un packing pour parfaire l’hémostase peut parfois être nécessaire mais doit alors être retiré au bout de 48 heures. Les procédures associées peuvent être : une résection colique, une iléostomie, une cholécys- tectomie, un drainage biliaire externe, une jéjunostomie d’alimentation ou la pose d’une sonde de nutrition enté- rale. Il est primordial de drainer tous les quadrans de l’abdomen. Il est préférable que le type de drain utilisé permette des drainages avec lavages continus destinés à par- faire secondairement la détersion des lésions, comme les drains spiralés ou les modules drain/lame ; ce qui contre- indique l’utilisation de Mickulicz (Fig. 9). Les indications de cette voie d’abord transpéritonéale sont des collections de l’hypochondre droit, de nombreuses petites collections, Figure 9. Vue peropératoire d’un drainage par Mickulicz (qui n’est plus conseillé dans cette indication au profit de drains aspira- tifs). des collections à distance de l’estomac. La voie d’abord transpéritonéale permet en une seule intervention une nécrosectomie, une cholécystectomie et la recherche de perforation digestive avec leur traitement. En revanche, cette voie d’abord transpéritonéale entraîne 20 à 45 % de risque supplémentaire (fistules pancréatiques ou digestives, éventrations à distance) par rapport à des drainages itéra- tifs. La mortalité est comprise entre 8 à 39 % et la morbi- dité se situe entre 70 et 80 %. Dans la série de P. Gotzinger et al., en 2002, la mortalité était de 39 % [8]. Les résul- tats de la série de B.I. Babu et al. publiée en 2010 portaient sur 28 malades ayant eu une nécrosectomie par voie trans- péritonéale avec un délai entre l’admission et la chirurgie compris entre cinq et 149 jours (moyenne 34 jours), un nombre médian d’interventions par patient de un à six et une durée d’hospitalisation médiane de 84 jours (entre 28 et 198 jours). La mortalité était de 22 % [12]. Voie d’abord rétropéritonéale La voie d’abord rétropéritonéale est moins délétère sur la fonction respiratoire et gastro-intestinale. Cette voie d’abord est moins invasive que la voie transpéritonéale mais ne permet pas d’explorer toute la cavité péritonéale, ni de réaliser une cholécystectomie. Ce geste comprend une dissection « à l’aveugle » avec un risque non négligeable de saignement, de perforation colique ou de plaie de la rate. Pour faciliter ce geste, il est conseillé de réaliser un drainage percutané rétropéritonéal puis d’effectuer la nécrosectomie par cette voie d’abord en suivant le drain placé préalablement sous contrôle TDM, après échec de ce dernier (Fig. 10—12). Cette voie d’abord est notamment indiquée en cas de collections situées à gauche y compris dans l’arrière cavité des épiploons. Quant aux collections péricéphaliques, une voie d’abord antérieure transpérito- néale est privilégiée. Drainage percutané guidé par échographie ou scanner Cette technique peu invasive permet une épargne parié- tale et facilite la réalisation des drainages itératifs. Mais les
  • 7.
    38 B. Aussilhouet al. Figure 10. Vue peropératoire : incision cutanée en regard du point d’entrée du drain percutané. Figure 11. Vue peropératoire du même patient : discision des muscles le long du drain jusqu’à atteindre la collection pour complé- ter son exérèse avec extraction de l’étoupe pancréatique restante. fistules digestives sont fréquentes, sans diminution de la durée de séjour. Les causes d’échec sont les débris solides dans la nécrose qui peut être très épaisse entraînant une obstruction des drains. Le drainage est plus efficace si les drains ont un diamètre minimum de 24 Fr et sont à double lumière, permettant des lavages en continu, ou s’il s’agit d’abcès postopératoires. Le drainage percutané semble insuffisant et donc contre-indiqué en cas de défaillance d’organe. Le succès de ce drainage est évalué entre 67 et 100 % en fonction des séries [18,19]. Une revue de 2011 [20] a Figure 12. TDM postopératoire après nécrosectomie par voie rétropéritonéale avec mise en place en peropératoire d’une lame et d’un drain dans l’ancienne cavité de la coulée. chiffré le succès du drainage percutané aux alentours de 50 % avec une mortalité de 17 %, permettant d’éviter un drainage chirurgical complémentaire dans 56 % des cas (Fig. 13—15). Cœlioscopie Il s’agit de la nécrosectomie vidéo assistée rétropéritonéale, consistant en une nécrosectomie par un néphroscope rigide introduit en rétropéritonéal, suivie de la mise en place d’un drainage pour réaliser un lavage continu en postopératoire. Ce geste a été décrit par K.D. Horvath et al. en 2001 [21] sur six patients puis développé par D. Parekh en 2006 [22] chez 19 patients avec une procédure complète chez 18 patients et une réopération chez quatre patients. Ces auteurs ont sug- géré que la nécrosectomie vidéo assistée rétropéritonéale permettait un taux plus faible de morbidité et de mortalité. Endoscopie Cette voie d’abord est indiquée en cas de collection dans l’arrière cavité des épiploons. Très peu d’équipes réalisent cette technique qui nécessite des endoscopistes expérimen- Figure 13. TDM à une semaine du début des douleurs chez une femme de 60 ans ayant des calculs vésiculaires : coulées de nécrose dans l’arrière cavité des épiploons, sans bulle d’air. La glande pan- créatique est en grande partie nécrosée. Figure 14. Artère splénique et artère hépatique encorbellées par les coulées.
  • 8.
    Pancréatite aiguë 39 Figure15. a—c : drainage percutané des coulées sous échogra- phie avec un drain en épigastrique et deux drains extériorisés en lombaire gauche. tés. Le drainage de collection per endoscopie s’adresse surtout à des coulées de nécrose organisées, bien limitées ou à des pseudokystes (nécrose organisée, enkystée par le pancréas ou les organes de voisinage), c’est-à-dire en cas d’évolution favorable à distance d’une coulée de nécrose. Sous échoendoscopie, on réalise un drainage transgastrique de la coulée de nécrose bien collectée ou du pseudokyste, à condition que ces derniers soient localisés dans l’arrière cavité des épiploons. Dans l’étude publiée par J.J. De Waele et al. en 2010, des patients ayant des coulées de nécrose surinfectées ou sus- pectes de l’être ont été randomisés en deux groupes : ceux (n = 45) qui ont eu une nécrosectomie par voie transpéri- tonéale et ceux (n = 43) qui ont eu un drainage percutané ou endoscopique associé à une voie d’abord laparoscopique cœlioscopique si besoin [9]. Il n’y avait aucune différence entre les deux groupes concernant les complications de ces deux traitements : défaillance d’organe, fistule entérocu- tanée, perforation d’un organe creux, hémorragie, fistule pancréatique, apparition d’un diabète ou complications pariétales. Dans cette étude, une approche mini-invasive réduit les complications et le taux de mortalité. J. Escourrou et al. ont évalué cette technique endosco- pique chez 13 patients avec des collections infectées bien organisées qui ont eu tous des nécrosectomies itératives par voie endoscopique mais sans avoir eu recours à un complé- ment de nécrosectomie par voie chirurgicale [23]. Traitement des pseudokystes Du fait de la tendance spontanée des pseudokystes à se résorber, le traitement à privilégier est le traitement médi- cal associé à une nutrition entérale continue exclusive pendant six semaines. En cas d’échec (augmentation de volume et surtout persistance des symptômes), on peut réaliser une dérivation entre le kyste et l’estomac ou le duodénum par voie endoscopique ou une dérivation chirur- gicale portant sur l’estomac ou l’intestin grêle (anastomose kystogastrique ou kystojéjunale). Conclusion Le diagnostic de la pancréatite aiguë repose sur la conjonc- tion de douleurs abdominales et d’une lipasémie à plus de trois fois le taux normal. Il existe des formes bénignes (non nécrosantes) et des formes graves liées à l’existence d’une nécrose et à son éventuelle surinfection. Le pronostic de la pancréatite aiguë est principalement lié à la défaillance viscérale accompagnant parfois précocement des formes nécrosantes étendues et à la surinfection de la nécrose qui peut survenir dès la fin de la première semaine d’évolution. La surinfection de la nécrose est diagnostiquée par ponc- tion sur guidage radiologique. La confirmation de cette surinfection doit faire réaliser un geste de drainage, radio- logique puis chirurgical en cas d’échec du précédent. Il faut dans la mesure du possible préférer la voie d’abord rétro- péritonéale dans le cas de collections bien limitées, plutôt latéralisées. Le drainage percutané peut être la première étape d’une chirurgie mini-invasive et est indiqué dans les collections résiduelles postopératoires. La chirurgie mini-invasive combine les avantages de la chirurgie et de ceux du drainage percutané. L’endoscopie interventionnelle étend les indications pour des collections bien limitées près de la paroi gastrique. En termes de mortalité, aucune technique n’est supé- rieure. La morbi-mortalité diminue avec le délai entre la pancréatite et le drainage.
  • 9.
    40 B. Aussilhouet al. Encadré 3 Points essentiels. • Le plus important dans la pancréatite aiguë est d’évaluer sa gravité pour adapter au mieux le traitement et le lieu de l’hospitalisation. • L’évolution d’une pancréatite aiguë est très difficile à prévoir. Des scores ont été établis pour aider à évaluer le degré de gravité de la poussée : score de Balthazar au scanner à la 48e heure, score de Ranson, score APACHE ou score de BISAP, plus simple. • La recherche et le traitement de la cause sont essentiels pour éviter les récidives mais cela doit se faire à distance de la poussée en multipliant si besoin les examens d’imagerie (TDM, IRM, échoendoscopie). • Le traitement de la poussée est avant tout médical sans mesure systématique comme la mise en place d’une sonde gastrique en aspiration, les antibiotiques prophylactiques, les inhibiteurs de la pompe à protons. . . • Le traitement est chirurgical en cas de collections surinfectées après avoir fait la preuve par ponction percutanée de la surinfection de ces collections. En premier lieu, on privilégie le drainage percutané puis chirurgical dans un second temps uniquement si le drainage percutané a échoué, en privilégiant les voies d’abord limitées. • Il faut éviter dans la mesure du possible de faire une nécrosectomie par voie transpéritonéale, surtout si le délai entre le début de la poussée et la chirurgie est inférieur à six semaines. • Le traitement chirurgical, surtout s’il est précoce et agressif, risque d’être plus délétère que la poussée elle-même. Le choix du traitement interventionnel nécessite une dis- cussion multidisciplinaire entre gastroentérologues, réani- mateurs, radiologues, endoscopistes et chirurgiens (Encadré 3). Déclaration d’intérêts Les auteurs déclarent ne pas avoir de conflits d’intérêts en relation avec cet article. Références [1] Wu BU, Johannes RS, Sun X, Tabak Y, Conwell DL, Banks PA. The early prediction of mortality in acute pancreatitis: a large population-based study. Gut 2008;57:1698—703 [Epub 2008 Jun 2]. [2] Shaheen NJ, Hansen RA, Morgan DR, Gangarosa LM, Ringel Y, Thiny MT, et al. The burden of gastrointestinal and liver diseases. Am J Gastroenterol 2006;101:2128—38 [Epub 2006 Jul 18]. [3] Fagenholz PJ, Fernández-del Castillo C, Harris NS, Pelletier AJ, Camargo Jr CA. Direct medical costs of acute pancrea- titis hospitalizations in the United States. Pancreas 2007;35: 302—7. [4] Whitcomb DC. Clinical practice. Acute pancreatitis. N Engl J Med 2006;354:2142—50. [5] Ignatavicius P, Vitkauskiene A, Pundzius J, Dambrauskas Z, Barauskas G. Effects of prophylactic antibiotics in acute pan- creatitis. HPB (Oxford) 2012;14:396—402. [6] Banks PA, Freeman ML. Practice parameters committee of the American College of Gastroenterology. Practice guidelines in acute pancreatitis. Am J Gastroenterol 2006;101:2379—400. [7] Forsmark CE, Baillie J. AGA Institute Clinical Practice and Economics Committee; AGA Institute Governing Board. AGA Institute technical review on acute pancreatitis. Gastroente- rology 2007;132:2022—44. [8] Götzinger P, Sautner T, Kriwanek S, Beckerhinn P, Barlan M, Armbruster C, et al. Surgical treatment for severe acute pan- creatitis: extent and surgical control of necrosis determine outcome. World J Surg 2002;26:474—8. [9] De Waele JJ. A step-up approach, or open necrosectomy for necrotizing pancreatitis. N Engl J Med 2010;363:1286. [10] Rodriguez JR, Razo AO, Targarona J, Thayer SP, Rattner DW, Warshaw AL, et al. Debridement and closed packing for sterile or infected necrotizing pancreatitis: insights into indications and outcomes in 167 patients. Ann Surg 2008;247:294—9. [11] Schmidt CM. Introduction: SSAT/AGA/ASGE State-of-the-Art Conference: necrotizing pancreatitis: novel minimally invasive strategies. Gastrointest Surg 2011;15:1086—8. [12] Babu BI, Sheen AJ, Lee SH, O’Shea S, Eddleston JM, Siriwardena AK. Open pancreatic necrosectomy in the multidiscipli- nary management of postinflammatory necrosis. Ann Surg 2010;251:783—6. [13] Fagniez PL, Pezet D, Millat B, Cherqui D, Dziri C, Létoublon C, et al. Surgical treatment of severe acute pancreatitis. Results of a prospective multicenter study of the Associations of Research in Surgery. Gastroenterol Clin Biol 1994;18:932—7. [14] Mier J, León EL, Castillo A, Robledo F, Blanco R. Early versus late necrosectomy in severe necrotizing pancreatitis. Am J Surg 1997;173:71—5. [15] Hartwig W, Maksan SM, Foitzik T, Schmidt J, Herfarth C, Klar E. Reduction in mortality with delayed surgical therapy of severe pancreatitis. J Gastrointest Surg 2002;6:481—7. [16] Nathens AB, Curtis JR, Beale RJ, Cook DJ, Moreno RP, Romand JA, et al. Management of the critically ill patient with severe acute pancreatitis. Crit Care Med 2004;32:2524—36. [17] Besselink MG, Verwer TJ, Schoenmaeckers EJ, Buskens E, Rid- wan BU, Visser MR, et al. Timing of surgical intervention in necrotizing pancreatitis. Arch Surg 2007;142:1194—201. [18] Lee MJ, Rattner DW, Legemate DA, Saini S, Dawson SL, Hahn PF, et al. Acute complicated pancreatitis: redefining the role of interventional radiology. Radiology 1992;183:171—4. [19] Echenique AM, Sleeman D, Yrizarry J, Scagnelli T, Guerra Jr JJ, Casillas VJ, et al. Percutaneous catheter-directed debridement of infected pancreatic necrosis: results in 20 patients. J Vasc Interv Radiol 1998;9:565—71. [20] van Baal MC, van Santvoort HC, Bollen TC, Bakker O, Besselink MG, Gooszen HG. Systematic review of percutaneous catheter drainage as primary treatment for necrotizing pancreatitis. Br J Surg 2011;98:37—48. [21] Horvath KD, Kao LS, Wherry KL, Pelligrini C, Sinanan MN. Lapa- roscopic assisted percutaneous drainage of infected pancreatic necrosis. Surg Endosc 2001;15:677—82. [22] Parekh D. Laparoscopic-assisted pancreatic necrosectomy: a new surgical option for treatment of severe necrotizing pan- creatitis. Arch Surg 2006;141:895—902. [23] Escourrou J, Shehab H, Buscail L, Bournet B, Andrau P, Moreau J, et al. Peroral transgastric/transduodenal necrosectomy: suc- cess in the treatment of infected pancreatic necrosis. Ann Surg 2008;248:1074—80.