Université Victor Segalen Bordeaux 2

Année 2010

                                                                                                       Thèse n°

                                                  THÈSE
                                                     pour le

           DOCTORAT DE L’UNIVERSITÉ BORDEAUX 2
                             Mention : Sciences Biologiques et Médicales

                                          Option : Biologie-Santé


                                  Présentée et soutenue publiquement

                                         Le 20 Décembre 2010

                                      Par Fabien LABROUSSAA

                           Né le 15 Mars 1984 à Pau (Pyrénées-Atlantiques)




        INTERACTIONS ENTRE SPIROPLASMA CITRI
   ET SON INSECTE VECTEUR CIRCULIFER HAEMATOCEPS

   La phosphoglycérate kinase de S. citri : une « actin-binding protein »
      impliquée dans la transmission du spiroplasme par la cicadelle


Membres du Jury


M. BONNEU M., Professeur à l’IPB ENSTBB de Bordeaux ............................ Président
Mme. BRAULT V., Directrice de Recherche à l’INRA de Colmar ................... Rapporteur
M. HEDDI A., Professeur à l’INSA de Lyon ..................................................... Rapporteur
Mme. MARZACHI C., Chercheur à l’Institut de Virologie Végétale de Turin . Examinateur
M. LANDRY M., Professeur à l’Université de Bordeaux 2 ............................... Examinateur
Mme. SAILLARD C., Maître de Conférence à l’Université de Bordeaux 2                            Directrice de thèse
THÈSE
                                   pour le

     DOCTORAT DE L’UNIVERSITÉ BORDEAUX 2
                 Mention : Sciences Biologiques et Médicales

                           Option : Biologie-Santé


                    Présentée et soutenue publiquement

                          Le 20 Décembre 2010

                       Par Fabien LABROUSSAA

               Né le 15 Mars 1984 à Pau (Pyrénées-Atlantiques)




     INTERACTIONS ENTRE SPIROPLASMA CITRI
ET SON INSECTE VECTEUR CIRCULIFER HAEMATOCEPS




La phosphoglycérate kinase de S. citri : une « actin-binding protein »
   impliquée dans la transmission du spiroplasme par la cicadelle
A mon père
Remerciements

          Ce travail a été réalisé dans le laboratoire de l’Unité Mixte de Recherche 1090 Génomique et Diversité
du Pouvoir Pathogène (Institut National de la Recherche Agronomique et Université Victor Ségalen Bordeaux
2), dirigé par Mr Alain Blanchard, sous la direction de Mme Colette Saillard.

        Je tiens tout d’abord à remercier Mr Blanchard pour m’avoir permis de réaliser ma thèse, ainsi que mes
précédents stages de Master 1 et 2, dans son laboratoire.

         Je souhaite également remercier Mr Bonneu de me faire l’honneur de présider ce jury.

       Je tiens à adresser mes plus sincères remerciements à Mme V. Brault et Mr A. Heddi d’avoir accepté
d’examiner et de juger ce manuscrit.

         Je remercie également Mme C. Marzachi et Mr M. Landry d’avoir accepté de participer à ce jury de
thèse.

          Un grand merci à Colette pour m’avoir accompagné pendant ces quatre dernières années. Merci pour
son encadrement de chaque instant, pour m’avoir laissé la liberté de m’exprimer pleinement dans mon travail.
Merci également pour les nombreuses heures passées à la correction de ce manuscrit et aussi lors de chacune de
mes présentations orales. Si ces années de thèse ont été un réel plaisir pour moi, c’est en grande partie grâce à
elle. J’espère que si j’avais à être le dernier thésard de ta carrière, j’aurais été à la hauteur de mes prédécesseurs.

        J’adresse aussi un grand merci à Joël et Sybille pour leur encadrement pendant mon stage de M1. Merci
à Joël pour toutes les discussions scientifiques ou non, très utiles tout au long de ces années. Merci à Sybille
pour son encadrement et sa rigueur qui m’ont apporté toutes les bases indispensables au travail de laboratoire.
Merci à vous deux pour votre soutien.

        Je tiens à remercier Marie-Pierre pour sa formidable gentillesse et sa disponibilité sans failles. Merci
pour m’avoir formé à toutes les techniques de Protéomique. Merci aussi pour m’avoir épargné de nombreuses
taches chronophages (commandes, micro-injections des insectes, solutions, etc…).

         J’adresse un grand merci à Nathalie, ma nouvelle voisine de bureau, pour tout ce temps consacré aux
manips de microscopie confocale. Merci aussi pour les cellules de Circulifer haematoceps. Mon travail n’aurait
pas été le même sans le tien. Promis ! A la fin de ma thèse, je te donne mon bureau que tu jalouses depuis ces
derniers mois !

         Je remercie énormément Laure, une des rares personnes au monde à se battre pour faire des tests
statistiques ! Merçi d’avoir consacrer du temps à l’éveil d’un néo-biochimiste. Je remercie ici une source
intarissable d’idées, de conseils et de connaissances dans de nombreux domaines scientifiques.

         Je tiens également à remercier Michel Castroviejo pour avoir accepté de me prêter pour quelques heures
tous ses appareils de chromato mais aussi pour sa gentillesse au cours de chacune de mes visites.

        Un grand Merci collectif et sincère à tout le labo « Molli ».
Aux « IPPistes », Pascal SP, Claire et Guillaume et pour le travail sur Mycoplasma mycoïdes.
A toute l’équipe « Phyto » au sens large : Xavier, Sylvie, Delphine, Anne, Gulnara, Sandrine, Christophe, Jam,
Pascal S et Jean-Luc.
A Jacqueline pour ces conseils et pour tous les autoclavages réalisés en « urgence ».

                                                          3
Aux « serristes », Kaelig et Denis, pour s’occuper de toutes nos bizarreries, pour leurs connaissances pour le
secours et le dépannage d’appareils défectueux, sans oublier leurs talents pour le barbecue ! Vous êtes dignes de
votre illustre prédécesseur, Patrick, que je remercie également sincèrement pour son travail et sa personnalité.
Aux secrétaires, Evelyne et Isa, pour leurs disponibilités et leurs sourires. Peut-être que j’arriverais un jour à
vous pardonner pour les pérégrinations italiennes….

Merci aussi à Marc, Laure, Clothilde et Cédric pour les moments « détente » : pause-café, Sodexo et quelques
soirées. Je me souviendrais encore longtemps des discussions non-scientifiques improbables et variées qui
animaient ces moments-là. Merci à Marc pour m’avoir enseigné tous les secrets du « Bob Whitcomb Award » !
J’ai une pleine bacholle de souvenirs, y’en aura de reste !

         Je tiens à remercier Suzann pour avoir mis à ma disposition ses indéniables talents artistiques pour le
dessin de Circulifer haematoceps. J’espère arriver à le mettre aussi bien en valeur que ce qu’il le mérite. Toutes
les brèves discussions de fin d’après-midi étaient un réel plaisir.

        Je remercie également Lise et Laura pour leur travail au cours de leurs stages de M1. Bonne chance à
vous pour la suite.

         Anne, Claire et Jam, compagnons de thèse, une pensée spéciale pour vous. Bonne chance pour la suite et
j’espère qu’on aura la chance de se revoir plus tard dans quelques congrès sur quelques îles paradisiaques….

        En résumé, un grand merci à vous tous qui m’avait permis d’évoluer dans un cadre agréable et propice
au travail et fait de ma thèse une superbe expérience et un tremplin pour ma carrière.

         Assez parlé travail !
         Je remercie, du fond du cœur, mes parents qui m’ont toujours permis d’étudier en toute sérénité. Merci
pour l’intérêt que vous avez toujours porté à mes études. Je vous en serais éternellement reconnaissant.

         Je remercie toute ma « famille ». Merci de votre soutien pendant toutes ces années et de m’avoir permis
de m’échapper du monde de la Recherche à chaque fois. Yves, Marie-Lucienne, Ben, Carole, Arnaud (compagnon
de galère…Courage !) et Poys, merci de m’avoir accueilli dans votre tribu et fait partager de si bons moments.

        Un grand merci à tous mes amis et plus particulièrement Flo, Céc, David, Camille et Lio. Que ce soit à
Paris, Brive, Seignosse ou Pau, il y avait toujours une bonne excuse pour fêter quelque chose ! Bonne nouvelle,
voilà une nouvelle raison de faire la fête !

         Même si mes recherches restent relativement floues et obscures pour beaucoup d’entre vous, je n’aurais
rien réussi sans vous !

         Une dernière pensée toute particulière pour Marie qui m’a supporté avant la thèse, pendant ma thèse
(miracle !) et qui, j’espère, me supportera encore de longues années après.




                                                        4
Liste des publications et des communications à des congrès

Labroussaa, F.; Dubrana, M.P., Béven, L., Arricau-Bouvery, N. & Saillard, C.
A minimal actin-binding region of the S.citri phosphoglycerate kinase is implicated in the
transmission process by the insect vector Circulifer haematoceps.
Soumis à publication à Applied and Environmental Microbiology .

Labroussaa, F. ; Arricau-Bouvery, N. ; Dubrana, M.P. & Saillard, C.
Entry of Spiroplasma citri into Circulifer haematoceps cells involves interaction between
spiroplasma phosphoglycerate kinase and leafhopper actin.
Applied and Environmental Microbiology. 2010, 76(6); 1879-1886.




Labroussaa, F., Arricau-Bouvery, N., Breton, M., Dubrana, M.P., Duret, S., Bové, J.M.,
Renaudin, J. & Saillard, C*.
Transmission of the phytopathogenic mollicute “Spiroplasma citri” by its leafhopper vector
“Circulifer haematoceps” involves plasmid-encoded determinants and phosphoglycerate kinase
protein from the spiroplasma.
18th Conference of the International Oraganization of Citrus Virologists (IOCV), 8-12/11/2010,
Campiñas (Brésil). COMMUNICATION ORALE.

Labroussaa, F.*; Dubrana, M.P., Béven, L., Arricau-Bouvery, N. & Saillard, C.
Deciphering the role of the Spiroplasma citri phosphoglycerate kinase in the internalization into
its insect vector cells.
16ème colloque Biologie de l’Insecte, 18-20/09/2010, Lyon. COMMUNICATION ORALE.

Labroussaa, F.*; Dubrana, M.P., Arricau-Bouvery, N. & Saillard, C.
Interactions between Spiroplasma citri and its insect vector Circulifer haematoceps: the dual role
of the phosphoglycerate kinase.
18ème Congrès de l’Organisation Internationale de Mycoplasmologie (IOM), 11-16/07/2010,
Chianciano (Italie). COMMUNICATION ORALE récompensée par le prix Robert Whitcomb.

Béven, L., Bouyssou, G., Charenton, C., Dautant, A., Labroussaa, F., Sköllermo, A., Perrson,
A., Blanchard, A. & Sirand-Pugnet, P.
Putative membrane ATPase of mycoplasmas: a specific evolution of ATP synthase F1 subunit.
18ème Congrès de l’Organisation Internationale de Mycoplasmologie (IOM), 11-16/07/2010,
Chianciano (Italie). POSTER.

Labroussaa, F.*; Arricau-Bouvery, N. ; Dubrana, M.P. & Saillard, C.
Transmission de S.citri par son insecte vecteur: rôle de la phosphoglycérate kinase dans
l’invasion des cellules de l’hôte.
10ème Journée scientifique de l'Ecole Doctorale Sciences de la Vie et de la Santé; 28/04/2010;
Arcachon. POSTER.

Labroussaa, F.*; Arricau-Bouvery, N. ; Dubrana, M.P. & Saillard, C.
Interactions entre Spiroplasma citri et son insecte vecteur, la cicadelle Circulifer haematoceps : le
double jeu de la phosphoglycérate kinase.
9ème Rencontres Plantes-Bactéries ; 18-22/01/2010, Aussois. COMMUNICATION ORALE.

                                                 5
Labroussaa, F. ; Arricau-Bouvery, N.*; Dubrana, M.P. & Saillard, C.
La phosphoglycérate kinase inhibe l'internalisation de Spiroplasma citri dans les cellules en
culture de son insecte vecteur Circulifer haematoceps.
Congrès IMMUNINV; 21-23/10/2009; Poitiers. COMMUNICATION ORALE.

Labroussaa, F.*; Dubrana, M.P. ; Saillard, C. & Arricau-Bouvery, N.
Interactions protéine-protéine entre Spiroplasma citri et son insecte vecteur Circulifer
haematoceps.
1ère Journées des doctorants du Département SPE, 2-3/09/2009, Rennes. COMMUNICATION
ORALE.

Labroussaa, F. ; Dubrana, M.P. ; Saillard, C. & Arricau-Bouvery, N*.
La phosphoglycérate kinase de Spiroplasma citri, une actin-binding protein impliquée dans
l'internalisation du spiroplasme dans les cellules de son insecte vecteur.
7ème Colloque national de la Société Française de Phytopathologie (SFP); 08-11/06/2009; Lyon.
COMMUNICATION ORALE.

Labroussaa, F.*; Dubrana-Ourabah, M.P. ; Bouvery, N. & Saillard, C.
Interaction protéines-protéines entre Spiroplasma citri et son insecte vecteur Circulifer
haematoceps : identification de protéines d'insectes potentiellement impliquées dans la
transmission.
9ème Journée scientifique de l'Ecole Doctorale Sciences de la Vie et de la Santé; 08/04/2009;
Arcachon. POSTER.

Labroussaa, F.*; Dubrana-Ourabah, M.P. ; Bouvery, N. & Saillard, C.
Mise en évidence chez la cicadelle Circulifer haematoceps, de protéines potentiellement
impliquées dans la transmission de Spiroplasma citri.
8ème Rencontres Plantes-Bactéries ; 14-18/01/2008; Aussois. COMMUNICATION ORALE
récompensée par le prix de la meilleure communication orale.

Labroussaa, F. ; Bouvery, N. ; Dubrana-Ourabah, M.P. & Saillard, C*.
Interaction between Spiroplasma citri and the actin cytoskeleton of its insect vector's salivary
gland cells.
17ème Congrès de l’Organisation Internationale de Mycoplasmologie (IOM); 06-11/07/2008;
Tianjin (Chine). COMMUNICATION ORALE.

Labroussaa, F. ; Dubrana-Ourabah, M.P.*; Bouvery, N. & Saillard, C.
Interaction protéines-protéines entre Spiroplasma citri et son insecte vecteur Circulifer
haematoceps : identification de protéines d'insectes potentiellement impliquées dans la
transmission.
7ème Rencontre francophone de Mycoplasmologie; 17-18/07/2007; Lyon. COMMUNICATION
ORALE.

Bouvery, N.*; Labroussaa, F. ; Martin, E. ; Dubrana, M.P. ; Renaudin, J. & Saillard, C.
Interaction entre les protéines de Spiroplasma citri et celles du cytosquelette des cellules des
glandes salivaires de son insecte vecteur Circulifer haematoceps.
15ème Colloque Physiologie de l'Insecte; 09-11/07/2007; Rennes. COMMUNICATION ORALE.

* auteur qui a présenté la communication ou le poster.


                                                6
Table des matières
INTRODUCTION

I.   Les mollicutes .................................................................................................................. 12
   1. Taxonomie......................................................................................................................... 12
   2. Phylogénie......................................................................................................................... 13
   3. Evolution et caractéristiques importantes ......................................................................... 13
II. Mollicutes phytopathogènes............................................................................................. 14
   1. Phytoplasmes..................................................................................................................... 15
   2. Spiroplasmes phytopathogènes ......................................................................................... 16
     2.1.     Spiroplasma phoeniceum et Spiroplasma kunkelii.................................................... 16
     2.2.     Spiroplasma citri ....................................................................................................... 17
        2.2.1.     Description de la maladie et mise en culture..................................................... 17
        2.2.2.     Caractéristiques de S. citri................................................................................. 18
        2.2.3.     S. citri, un organisme modèle pour l’élaboration d’outils génétiques............... 19
III. Transmission de microorganismes intracellulaires .......................................................... 21
   1. Transmission par insecte vecteur ...................................................................................... 21
     1.1.     Relation entre le microorganisme et son insecte ....................................................... 21
        1.1.1.     Transmission externe......................................................................................... 21
        1.1.2.     Transmission intracellulaire .............................................................................. 21
        1.1.3.     Relation entre les spiroplasmes et leurs insectes............................................... 22
     1.2.     Insectes vecteurs........................................................................................................ 23
        1.2.1.     Vecteurs mollicutes phytopathogènes ............................................................... 23
           1.2.1.1. Classification................................................................................................. 23
           1.2.1.2. Vecteurs de S. citri ........................................................................................ 23
           1.2.1.3. Morphologie des cicadelles ........................................................................... 24
        1.2.2.     Circuit du spiroplasme dans l’insecte................................................................ 25
   2. Cycle cellulaire de la transmission.................................................................................... 26
     2.1.     Adhésion.................................................................................................................... 27
        2.1.1.     Adhésines de type fibrillaire ............................................................................. 27
           2.1.1.1. Bactéries à Gram-négatif............................................................................... 27
           2.1.1.2. Bactéries à Gram-positif................................................................................ 29
        2.1.2.     Adhésines de type non-fibrillaire ...................................................................... 30
           2.1.2.1. Autotransporteurs .......................................................................................... 30
           2.1.2.2. Effecteur Tir (translocated intimin receptor) ................................................ 30
           2.1.2.3. Hémagglutinine filamenteuse (FHA) ............................................................ 31
           2.1.2.4. Système de sécrétion de type 3 (SSTT) ........................................................ 31
        2.1.3.     Adhésion chez les mollicutes ............................................................................ 33
           2.1.3.1. Mycoplasmes................................................................................................. 33
           2.1.3.2. Phytoplasmes................................................................................................. 33
           2.1.3.3. Spiroplasmes ................................................................................................. 35
     2.2.    Internalisation............................................................................................................ 35
        2.2.1.     Voie clathrine-dépendante................................................................................. 35
        2.2.2.     Phagocytose....................................................................................................... 36
          2.2.2.1. « Zipper » mécanisme ................................................................................... 36
          2.2.2.2. « Trigger » mécanisme.................................................................................. 37
          2.2.2.3. Voie dépendante des microtubules................................................................ 37
        2.2.3.     Mycoplasmes..................................................................................................... 38
       2.2.4.      Virus .................................................................................................................. 39
       2.2.5.      Franchissement de la barrière des glandes salivaires ........................................ 40
     2.3.    Echappement à la machinerie lysosomiale................................................................ 41
       2.3.1.      Arrêt de la maturation des phagosomes ............................................................ 41

                                                                      7
2.3.2.    Libération de la vacuole .................................................................................... 42
       2.3.3.    Détournement du système lysosomial............................................................... 42
    2.4.    Dissémination dans l’hôte ......................................................................................... 42
  3. Déterminants génétiques de la transmission de Spiroplasma citri.................................... 43
    3.1.    Transmission expérimentale de S. citri ..................................................................... 43
    3.2.    Identification de protéines chez S. citri candidates dans la transmission.................. 44
IV. Situation du sujet et objectifs de recherche ...................................................................... 46

CHAPITRE 1: Interactions protéine-protéine entre S. citri et son insecte vecteur Circulifer
haematoceps

I.   Introduction et objectifs ................................................................................................... 48
II.  Résultats et discussion...................................................................................................... 51
   1. Publication 1...................................................................................................................... 51
   2. Résultats supplémentaires ................................................................................................. 52
     2.1.     Identification de protéines d’insectes impliquées dans une interaction avec S. citri 52
        2.1.1.     Comparaison des far Western monodimensionnels                                           (1-D) réalisés avec les
        protéines totales et de glandes salivaires d’insectes.......................................................... 52
        2.1.2.     Far Western bi-dimensionnel (2-D) avec les protéines totales et celles des
        glandes salivaires d’insectes.............................................................................................. 53
        2.1.3.     Identification des protéines d’insectes impliquées par spectrométrie de masse 54
           2.1.3.1. Signaux d’interaction communs aux deux far Western. ........................... 54
              Signal d’interaction à 42 kDa : l’actine..................................................................... 54
              Signal d’interaction à 50 kDa : la tubuline................................................................ 55
              Signal d’interaction à 25 kDa : Rab GTPases ........................................................... 56
           2.1.3.2. Signal spécifique du far Western réalisé avec les protéines des glandes
           salivaires d’insectes....................................................................................................... 57
              Signal d’interaction à 27 kDa : la protéine 14-3-3 .................................................... 57
     2.2.     Recherche et identification du partenaire de l’actine chez S. citri ............................ 57
           2.2.1.1. Transmembrane conserved hypothetical lipoprotein (SPICI 03-098)........... 58
           2.2.1.2. La phosphoglycérate kinase (PGK)............................................................... 59
III. Conclusion........................................................................................................................ 59

CHAPITRE 2: Caractérisation de la région minimale de liaison à l’actine de la PGK de S. citri et
implication dans la transmission

I.   Introduction et objectifs ................................................................................................... 62
II.  Résultats et discussion...................................................................................................... 64
   1. Publication 2...................................................................................................................... 64
   2. Résultats supplémentaires et discussion............................................................................ 74
     2.1.   Recherche du mécanisme d’interaction entre la PGK et l’actine.............................. 74
     2.2.   Recherche d’homologie de séquences chez la PGK d’autres organismes. ............... 76
     2.3.   Localisation de la PGK ............................................................................................. 77
III. Conclusion........................................................................................................................ 78

CHAPITRE 3: Réalisation d’un mutant de S. citri dépourvu de phosphoglycérate kinase

I.      Introduction ...................................................................................................................... 80
II.     Résultats ........................................................................................................................... 81
      1. Construction du vecteur pGOTpgk ................................................................................... 81
      2. Obtention et sélection des clones délétés dans le gène pgk............................................... 82

                                                                        8
3.Recherche du site d’intégration du pGOTpgk dans le chromosome de S. citri ................ 83
     3.1.   Approche par PCR pour détecter une intégration au niveau de l’OriC ou du
     promoteur de la spiraline....................................................................................................... 84
     3.2.   Approche par PCR « aléatoire »................................................................................ 84
   4. Identification des gènes dans le chromosome de S. citri ayant subi l’intégration ............ 85
III. Discussion et conclusion .................................................................................................. 86

CHAPITRE 4: Étude préliminaire de complexes protéiques impliqués dans la transmission de
S.citri par l’insecte vecteur

I.   Introduction et objectifs ................................................................................................... 88
II.  Résultats et discussion...................................................................................................... 90
   1. Recherche de complexes par la technique de BN-PAGE chez S. citri. ............................ 90
     1.1.   Extraction et analyse des complexes membranaires. ................................................ 91
     1.2.   Extraction et analyse des complexes cytosoliques. ................................................... 92
   2. Recherche chez S. citri des complexes impliquant la PGK .............................................. 94
     2.1.   Protéines associées à la PGK dans des complexes connus ....................................... 96
III. Discussion et conclusion .................................................................................................. 99

DISCUSSION GENERALE ET PERSPECTIVES

I.         Hypothèses concernant le cycle de S. citri dans l'insecte C. haematoceps .................... 102
      1.      Franchissement de la barrière de l'épithélium intestinal ................................................. 102
      2.      Franchissement de la barrière des glandes salivaires ...................................................... 102
           2.1.   Franchissement de la lame basale des glandes salivaires........................................ 102
           2.2.   Adhésion au plasmalemme des glandes salivaires .................................................. 103
           2.3.   Internalisation dans les cellules des glandes salivaires ........................................... 104
           2.4.   Devenir des vésicules d'endocytose contenant S. citri ............................................ 105
           2.5.   Libération dans le canal salivaire ............................................................................ 105
II.        Perspectives .................................................................................................................... 106

MATERIELS ET METHODES

I.   Matériel biologique ........................................................................................................ 109
   1. Spiroplasma citri : souches et conditions de culture....................................................... 109
   2. Escherichia coli : souches et utilisation .......................................................................... 109
   3. L’insecte vecteur : la cicadelle Circulifer haematoceps ................................................. 110
     3.1.   Origine et conditions d’élevage............................................................................... 110
     3.2.   Capture et dissection des cicadelles ........................................................................ 110
     3.3.   Obtention d’une lignée cellulaire ............................................................................ 111
II. Plasmides........................................................................................................................ 111
   1. Commerciaux .................................................................................................................. 111
     1.1.   pBS .......................................................................................................................... 111
     1.2.   pET28a(+) ............................................................................................................... 112
   2. Obtenus au laboratoire .................................................................................................... 112
     2.1.   pGOT1..................................................................................................................... 112
III. Méthodes d’analyse d’ADN........................................................................................... 113
   1. Purification de l’ADN génomique de S. citri.................................................................. 113
   2. Purification de l’ADN plasmidique................................................................................. 113
   3. Purification de fragments d’ADN à partir de gel d’agarose............................................ 113
   4. Hydrolyse par les endonucléases de restriction............................................................... 114

                                                                         9
5.  Analyse des fragments d’ADN sur gel d’agarose ........................................................... 114
   6.  Amplification d’ADN par PCR....................................................................................... 114
   7.  Mutagénèse dirigée ......................................................................................................... 115
   8.  Clonage de fragment d’ADN amplifié par PCR ............................................................. 115
    8.1.    Préparation du fragment PCR ................................................................................. 115
    8.2.    Préparation du vecteur............................................................................................. 116
    8.3.    Ligation du fragment PCR et de son vecteur .......................................................... 116
  9. Transformation des bactéries .......................................................................................... 116
    9.1.    E. coli ...................................................................................................................... 116
       9.1.1.     Electrocompétentes ......................................................................................... 116
       9.1.2.     Chimiocompétentes......................................................................................... 117
    9.2.    S. citri ...................................................................................................................... 118
  10.    Marche sur le chromosome ......................................................................................... 118
IV. Méthodes d’analyse des protéines.................................................................................. 119
  1. Extraction des protéines .................................................................................................. 119
    1.1.    Préparation des protéines de S. citri ........................................................................ 119
      1.1.1.      Protéines pour l’électrophorèse mono-dimensionnelle ................................... 119
      1.1.2.      Protéines pour l’électrophorèse bi-dimensionnelle ......................................... 120
      1.1.3.      Fractionnement des protéines membranaires .................................................. 120
    1.2.    Préparation des protéines de C. haematoceps ......................................................... 120
      1.2.1.      Totales ............................................................................................................. 120
      1.2.2.      Glandes salivaires............................................................................................ 121
      1.2.3.      Pour l’électrophorèse bi-dimensionnelle......................................................... 121
  2. Production de protéines recombinantes tagguées His6 .................................................... 121
    2.1.    His6-PGK................................................................................................................. 121
    2.2.    His6 PGK FL1, 2, 3, 4, 5 ......................................................................................... 122
  3. Purification des protéines par chromatographie liquide.................................................. 123
    3.1.    Colonne de protein A Sépharose CL-4B................................................................. 123
    3.2.    Purification de protéines recombinantes ................................................................. 124
       3.2.1.     IMAC (immobilized metal affinity chromatography)..................................... 124
       3.2.2.     Chromatographie d’exclusion ......................................................................... 125
       3.2.3.     Fractionnement sur colonne échangeuse d’ions.............................................. 126
  4. Dosage des protéines ....................................................................................................... 126
    4.1.    Bradford .................................................................................................................. 126
    4.2.    Bradford modifié ..................................................................................................... 126
  5. Séparation des protéines en gel d’électrophorèse ........................................................... 127
    5.1.    Electrophorèse mono-dimensionnelle ..................................................................... 127
       5.1.1.     Gels de polyacrylamide à concentration constante ......................................... 127
       5.1.2.     Gels en gradient de polyacrylamide 4-15 % ................................................... 127
    5.2.    Electrophorèse bi-dimensionnelle ........................................................................... 128
  6. Visualisation des protéines après électrophorèse ............................................................ 129
    6.1.    Coloration au bleu colloïdal .................................................................................... 129
    6.2.    Coloration au nitrate d’argent classique.................................................................. 129
    6.3.    Coloration au nitrate d’argent compatible avec la spectrométrie de masse ............ 130
       6.3.1.     Méthode O’Connell et al, 1997....................................................................... 130
       6.3.2.     Kit Proteosilver™ Silver Stain........................................................................ 130
  7. Transfert des protéines et détection immunologique ...................................................... 131
    7.1.    Electrotransfert des protéines sur membrane de nitrocellulose............................... 131
    7.2.    Détection immunologique des protéines sur membrane ......................................... 131
  8. Etude d’interaction protéine-protéine par la technique de far Western .......................... 132
  9. Identification des protéines par spectrométrie en masse................................................. 132

                                                                     10
10.     Etude des complexes protéines chez S. citri ............................................................... 133
    10.1.      Technique de Blue-Native PAGE ....................................................................... 133
       10.1.1. Préparation des protéines ................................................................................ 133
       10.1.2. Electrophorèse des protéines ........................................................................... 133
          10.1.2.1. 1ère dimension ............................................................................................ 133
          10.1.2.2. 2ème dimension........................................................................................... 134
    10.2.      Pontage des complexes protéiques associant la PGK chez S. citri ..................... 134
       10.2.1. Préparation des protéines ................................................................................ 134
       10.2.2. Purification sur colonne de Nickel .................................................................. 135
V. Etude de la transmission expérimentale de S. citri......................................................... 135
  1. Transmission à la pervenche de Madagascar Catharanthus roseus................................ 135
    1.1.    Insectes .................................................................................................................... 135
    1.2.    Les pervenches de Madagascar ............................................................................... 135
    1.3.    Micro-injection intra-abdominale des cicadelles .................................................... 135
    1.4.    Transmission à la pervenche de Madagascar .......................................................... 136
    1.5.    Symptomatologie .................................................................................................... 136
  2. « Recrachage » à travers une membrane de Parafilm® .................................................. 137
    2.1.    Injection de la culture de S. citri GII3 dans l’insecte .............................................. 137
    2.2.    Injection des protéines recombinantes dans l’insecte ............................................. 137
    2.3.    Transmission à travers une membrane de Parafilm® ............................................. 137
    2.4.    Mise en culture des spiroplasmes à partir des insectes ........................................... 137
  3. Effet de la PGK et des peptides sur l’adhésion et/ou l’internalisation............................ 138
    3.1.    Adhésion.................................................................................................................. 138
    3.2.    Internalisation.......................................................................................................... 138
  4. Observations au microscope confocal............................................................................. 139
    4.1.    Glandes salivaires de C. haematoceps infectées ..................................................... 139
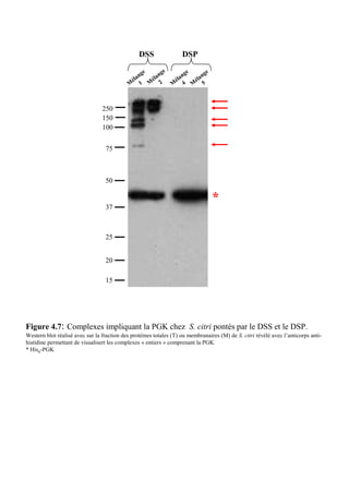
    4.2.    Cellules de C. haematoceps incubées avec la His6-PGK ........................................ 140

REFERENCES………………………………………………………………………………….141




                                                                    11
Introduction
Classification                     Guanine+Cytosine               Taille du génome                                Besoin en
                                                    (moles %)                          (kpb)                     Cholestérol                    Tween 80


Ordre I: MYCOPLASMATALES
 Famille I: MYCOPLASMATACEAE
   Genre I: Mycoplasma                                    23-40                      580-1350                         Oui                        Non
   Genre II: Ureaplasma                                   27-30                      760-1170                         Oui                        Non

Ordre II: ENTOMOPLASMATALES
 Famille I: ENTOMOPLASMATACEAE
   Genre I: Entomoplasma                                  27-29                      790-1140                        Oui                         Non
   Genre II: Mesoplasma                                   27-30                      870-1100                        Non                         Oui
 Famille II: SPIROPLASMATACEAE
   Genre I: Spiroplasma                                   25-30                      780-2220                        Oui∗
                                                                                                                        ∗                        Non

Ordre III: ACHOLEPLASMATALES
 Famille: ACHOLEPLASMATACEAE
   Genre: Acholeplasma                                    26-36                     1500-2085                        Non                         Non
            Candidatus Phytoplasma                        25-30                      600-1240

Ordre IV: ANAEROPLASMATALES
  Famille: ANAEROPLASMATACEAE
    Genre I: Anaeroplasma                                 29-34                     1500-1600                        Oui                         Non
    Genre II: Asteroleplasma                               40                         1500                           Non                         Non




Tableau I.1: Classification des membres de l’ordre des Mollicutes.
∗: S. floricola, S. apis, S. chinense, et les spiroplasmes du groupe XII peuvent se multiplier dans un milieu sans sérum. (Rose et al., 1993)
Introduction


                                       Introduction


I. Les mollicutes

        Les mollicutes sont des eubactéries sans paroi présents chez l’homme, les animaux, les
insectes et les plantes. Leur découverte date de la fin du 19ème siècle lorsque Nocard et Roux
cultivèrent pour la première fois l’agent de la péripneumonie contagieuse bovine,
Mycoplasma mycoïdes (Nocard & Roux, 1898). Ce nom de mycoplasme ne sera donné qu’en
1929 par Nowak, à la suite de l’apparition de filaments évoquant des formes mycéliennes qui
apparaissent au cours de la culture de cette bactérie. Ce n’est qu’en 1967 que l’ensemble des
mycoplasmes fut regroupé dans la classe des Mollicutes (Edward & Freundt, 1967).


        1. Taxonomie

        La classe des Mollicutes est constituée de plusieurs centaines d’espèces réparties en 4
ordres, eux-mêmes répartis en 5 familles et 8 genres (Tableau 1.1 ; (Tully et al., 1993; Razin
et al., 1998)).
        L’ordre des Mycoplasmatales est constitué d’une seule famille, la famille des
Mycoplasmataceae comprenant deux genres: le genre Mycoplasma et le genre Ureaplasma.
Dans cet ordre, les organismes ont besoin de cholestérol pour leur croissance et sont
majoritairement aérobies. Les mollicutes du genre Ureaplasma ont la capacité d’hydrolyser
l’urée. Leurs hôtes sont préférentiellement l’homme et les animaux.
        L’ordre des Acholeplasmatales comprend une seule famille, les Acholeplasmataceae,
ne contenant que le genre Acholeplasma dont les organismes n’ont pas besoin de cholestérol
pour leur croissance. Ces organismes sont quant à eux présents chez les mammifères, les
insectes et les plantes.
        L’ordre Anaeroplasmatales regroupe des bactéries, anaérobies, isolées uniquement de
la panse des ruminants et classées en une famille, les Anaeroplasmataceae, comprenant deux
genres. Les membres du genre Anaeroplasma ont besoin de cholestérol pour leur croissance
contrairement aux membres du genre Asteroleplasma.
        Les Entomoplasmatales sont des mollicutes isolés de la surface de plantes et
d’arthropodes. Cet ordre est scindé en deux familles : la famille des Entomoplasmataceae,
constituée des deux genres Mesoplasma et Entomoplasma, et celle des Spiroplasmataceae,
représentée par un seul genre, le genre Spiroplasma. Les spiroplasmes sont caractérisés par

                                              12
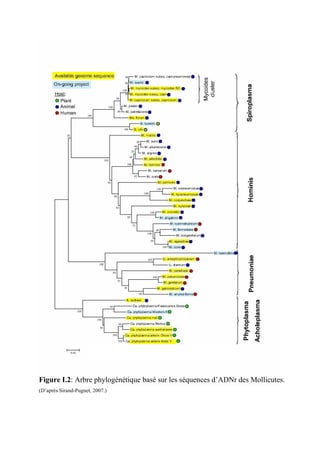
Figure I.2: Arbre phylogénétique basé sur les séquences d’ADNr des Mollicutes.
(D’après Sirand-Pugnet, 2007.)
Introduction


leur morphologie hélicoïdale et leur motilité. Ils sont plus ou moins exigeants en stérols. Les
habitats des spiroplasmes sont les invertébrés, la surface des plantes mais également, pour
trois d’entre eux uniquement, les tubes criblés du phloème.
       De nombreux mollicutes n’ont pas encore été cultivés en milieu acellulaire. De ce fait,
leur statut taxonomique n’a pu être établi selon les standards minimaux de définition
d’espèce. C’est en particulier le cas des phytoplasmes qui se multiplient dans les insectes et
les tubes criblés du phloème.


       2. Phylogénie

       Des études phylogénétiques basées sur l’ADN 16S de ces bactéries ont montré que les
mollicutes ont évolué de manière régressive à partir d’un ancêtre bactérien à Gram-positif et à
faible pourcentage en base G+C (Woese, 1987). Cet ancêtre serait commun avec certaines
Clostridia, comme Clostridium innocuum et Clostridium ramosum, dont ils partagent la
propriété d’être insensible à la rifampicine (Gadeau et al., 1986). Cette évolution régressive
est marquée notamment par une réduction de la taille de leur génome engendrée par la perte
massive de gènes non essentiels à l’autoréplication.
       Ces études ont également permis de situer les phytoplasmes par rapport aux autres
mollicutes (Woese, 1987). Selon ces critères, les phytoplasmes sont apparentés aux
acholéplasmes.
       De manière plus surprenante, les mycoplasmes du groupe mycoïdes, ainsi que
Mycoplasma capricolum, appartiennent à la même branche phylogénétique que les
spiroplasmes, bien que se trouvant dans des ordres différents dans la classification
taxonomique.
       La classification phylogénétique des mollicutes est représentée figure I.2 où ces
derniers sont regroupés en 4 groupes phylogénétiques distincts : les groupes pneumoniae,
hominis, spiroplasma et phytoplasma/acholeplasma (Sirand-Pugnet et al., 2007).


       3. Evolution et caractéristiques importantes

       Il a été suggéré que les mollicutes évoluent plus rapidement que les autres bactéries
(Woese et al., 1984). Cette vitesse d’évolution rendrait compte de leur positionnement sur les
plus longues branches de l’arbre universel de la vie (Ciccarelli et al., 2006). De plus, leur
évolution par la perte de certains gènes a influencé certaines propriétés particulières
communes à ces bactéries (tableau I.1). En effet, les mollicutes se distinguent en premier lieu
                                              13
Introduction


par l’absence de paroi rigide à peptidoglycane ce qui les rend constitutivement résistants à
tous les antibiotiques ayant pour cible la paroi bactérienne. Ils se caractérisent également par
une taille de génome réduite qui varie de 580 kpb pour Mycoplasma genitalium à 2200 kpb
pour Spiroplasma ixodetis. Ils possèdent un nombre limité de voies métaboliques ce qui
implique que leur culture in vitro ne peut être obtenue que dans un milieu complexe contenant
notamment du sérum d’origine animale. De plus, l’adaptation de ces organismes à des niches
écologiques précises a certainement joué un rôle prépondérant au cours de leur évolution
entraînant notamment la perte de la capacité à synthétiser certains acides aminés (Pollack et
al., 1996) voire la totalité dans le cas de Spiroplasma citri (Chang & Chen, 1981).
       Leur pourcentage de moles de paires de bases G+C est faible, de 23 à 41 % (Razin et
al., 1998). De ce fait, les mollicutes ont développé un biais dans l’utilisation des codons. Pour
un même acide aminé, les codons terminés par A ou T sont utilisés préférentiellement à ceux
terminés par G ou C (Razin et al., 1998). Dans tous les genres, hormis le genre Acholeplasma,
le tryptophane est codé par le codon UGA et, dans une moindre proportion par le codon UGG
(Renaudin et al., 1986; Blanchard, 1990). UGA étant un codon de terminaison dans le code
génétique universel, l’expression de protéines dans un système hétérologue de production
comme Escherichia coli, s’avère impossible sans muter l’ensemble de ces codons dans les
gènes correspondants.


       Les mollicutes sont présents dans des habitats très variés, mais toujours associés à un
hôte vivant, que ce soit l’homme, l’animal (mammifère, poisson, oiseau, insecte) ou la plante
(Razin et al., 1998). En milieu naturel, ces organismes sont des parasites obligatoires et, à ce
titre, peuvent posséder un ou plusieurs hôtes. Les mollicutes phytopathogènes ont, de ce fait,
deux hôtes que sont la plante et l’insecte vecteur par lequel ils sont transmis.


II. Mollicutes phytopathogènes
       C’est en 1967 qu’une équipe japonaise observe pour la première fois, en microscopie
électronique, des organismes ressemblant à des mycoplasmes dans les tubes criblés d’une
plante atteinte de jaunisse (Doi et al., 1967). Ces organismes ont alors été nommés MLO pour
Mycoplasma-Like Organism. Le comité de taxonomie des mycoplasmes a repris, en 1994, la
proposition de Murray et Schleifer (Murray & Schleifer, 1994) de désigner, sous le nom de
genre 'Candidatus Phytoplasma', les différents groupes phylogénétiques des phytoplasmes
(IRPCM., 2004). Le phytoplasme associé à la maladie des balais de sorcières du limettier du
Sultanat d'Oman est le premier phytoplasme pour lequel cette proposition a été retenue. Il
                                                14
Introduction


porte maintenant le nom de 'Candidatus Phytoplasma aurantifolia' (Zreik et al., 1995).
Depuis, 25 autres espèces de Candidatus Phytoplasma ont été décrites (Hogenhout et al.,
2008).


         Les mollicutes phytopathogènes regroupent aujourd’hui les phytoplasmes appartenant
au genre Candidatus phytoplasma et les spiroplasmes appartenant au genre Spiroplasma. Les
phytoplasmes sont les plus nombreux et les plus importants du point de vue économique.
Cependant, ils résistent toujours à la mise en culture. En revanche, trois espèces de
spiroplasmes phytopathogènes sont connues et disponibles en culture pure : Spiroplasma citri,
Spiroplasma kunkelii et Spiroplasma phoeniceum. Parmi ceux-là, S. citri a fait l’objet de
nombreuses études biologiques et biochimiques et est devenu un organisme modèle pour
l’étude des mollicutes phytopathogènes (Garnier et al., 2001; Bove et al., 2003).


         1. Phytoplasmes

         Au niveau mondial, les phytoplasmes sont responsables de plus de 300 maladies de
plantes appartenant à plus de 100 familles botaniques différentes (McCoy et al., 1989).
         Les symptômes provoqués sur les plantes infectées sont variables et incluent des
jaunisses foliaires, un enroulement et/ou une diminution de la taille des feuilles, une
virescence (pétales non segmentés), une phyllodie (morphologie foliaire des sépales), la
prolifération de bourgeons axillaires, un raccourcissement des entre-nœuds, etc….
         Les pertes économiques provoquées par des infections à phytoplasmes sont
importantes dans nos régions françaises lorsque ces infections touchent des cultures pérennes
comme la Flavescence dorée de la vigne (Daire et al., 1993b), la maladie du Stolbur (Daire et
al., 1993a), l’enroulement chlorotique de l’abricotier (Jaraush et al., 1999) et la maladie de la
prolifération du pommier (Lee et al., 2000).
         L’analyse de leur ADN ribosomique 16S a permis de démontrer que ces organismes
sont phylogénétiquement proches des acholéplasmes (Lim & Sears, 1989; Seemüller et al.,
1994) avec lesquels ils partagent l’utilisation du code génétique universel contrairement aux
autres mollicutes (Lim & Sears, 1992). Le séquençage systématique de leurs ARNr 16S,
associé à la mise au point de techniques de RFLP (Restriction Fragment Length
Polymorphism), ont permis d’établir une classification des phytoplasmes (Lee et al., 1998).
         Les premières données disponibles sur le génome des phytoplasmes révèlent, en se
basant sur des études d’électrophorèse en champ pulsé, que celui-ci aurait une taille comprise
entre 530 kpb pour le Bermuda grass white leaf phytoplasma, et 1350 kpb pour le Tomato

                                               15
Introduction


Stolbur phytoplasma (Marcone et al., 1999) avec une teneur en G+C de l’ordre de 25 à 30
moles %. Depuis le séquençage, en 2004, de Candidatus Phytoplasma asteris souche Onion
Yellows (OY) (Oshima et al., 2004), trois nouveaux génomes sont disponibles dont celui de
Candidatus Phytoplasma asteris Aster Yellows (AY) (Bai et al., 2006), Candidatus
Phytoplasma australiense (Tran-Nguyen et al., 2008) et Candidatus Phytoplasma mali (Kube
et al., 2008). La taille du génome de Candidatus Phytoplasma australiense est d’environ 20
kpb supérieure à ceux des deux phytoplasmes de l’ordre des Candidatus Phytoplasma asteris
qui atteignent environ 860 kpb. De ce fait, son génome possède environ 200 gènes « souche-
spécifique », qui ne sont pas présents chez les deux autres phytoplasmes séquencés, et qui
codent de nombreuses protéines hypothétiques mais aussi des transposases ou encore des
intégrases (Tran-Nguyen et al., 2008). Le génome de Candidatus Phytoplasma mali a révélé
une caractéristique particulière par rapport aux autres phytoplasmes déjà séquencés. En effet,
son génome de 600 kpb est linéaire. De plus, l’analyse des régions codantes de ce dernier a
révélé que la voie de la glycolyse, principale source d’énergie d’un organisme, est incomplète
et, de plus, aucune ATP synthase de type F n’a été retrouvée (Kube et al., 2008).


         2. Spiroplasmes phytopathogènes

             2.1. Spiroplasma phoeniceum et Spiroplasma kunkelii

         Spiroplasma phoeniceum a été isolé en 1986 de pervenches de Madagascar atteintes de
jaunisse provenant de Syrie (Saillard et al., 1987). Il provoque des symptômes très similaires
à ceux observés sur des plantes infectées par S. citri. Il appartient au sérogroupe I-8 de la
dernière classification des spiroplasmes établie en 1998 (Williamson et al., 1998). Son
génome de 1860 kpb (Carle et al., 1995) possède 26 % de bases G+C (Saillard et al., 1987).
Son optimum de croissance dans un milieu riche en cholestérol est de 32°C.
         S. kunkelii (sérogroupe I-3), observé pour la première fois en 1972, est l’agent
responsable de la maladie du rabougrissement du maïs ou « corn stunt », une maladie qui
s’étend depuis le sud des Etats-Unis jusqu’en Argentine. S. kunkelii, cultivé pour la première
fois en 1975 (Chen & Liao, 1975; Whitcomb & Williamson, 1975) a été caractérisé en 1986
(Whitcomb et al., 1986). Son génome, partiellement séquencé, est constitué d’un chromosome
circulaire de 1610 kpb (Carle et al., 1995) et possède 26 % de bases G+C (Whitcomb et al.,
1986).    Les   séquences    disponibles   sont    accessibles   sur   le   site   web     suivant:
(http://www.genome.ou.edu/ spiro_blast.html).



                                              16
Introduction


            2.2. Spiroplasma citri

                     2.2.1. Description de la maladie et mise en culture

       En 1970, deux équipes observent pour la première fois des organismes de type
mollicute dans les tubes criblés d'orangers atteints de la maladie du stubborn (Igwegbe &
Calavan, 1970; Laflèche & Bové, 1970). Contrairement à un arbre sain dont la forme est
généralement pyramidale, l'arbre très atteint présente un aspect buissonneux provenant d'un
raccourcissement général des entre-noeuds. Les feuilles des arbres malades présentent une
chlorose foliaire. La floraison et la maturation des fruits sont perturbées. La floraison
s'échelonne tout le long de l'année et survient donc à contre saison. Les fruits sont déformés
en forme de glands et les pépins avortés ou nécrosés.
       Obtenu en culture pure en France (Saglio et al., 1971) et en Californie (Fudl-Allah et
al., 1972), la caractérisation biochimique et immunologique du pathogène responsable de la
maladie du stubborn révèle que l'organisme cultivé est bien un mycoplasme du fait de
l'absence de paroi à peptidoglycane (Bébéar et al., 1974) mais, qu’il s'agit d'un mycoplasme
nouveau de par sa morphologie hélicoïdale et sa motilité (Saglio et al., 1973). Il fut nommé
Spiroplasma citri en 1973 (Saglio et al., 1973).
       La transmission de S. citri à l’oranger Citrus sinensis (Markham et al., 1974) par la
cicadelle Euscelis plebejus (Fallen), infectée par micro-injection d’une culture du
spiroplasme, a permis de vérifier les postulats de Koch, démontrant ainsi le rôle de S. citri
comme agent phytopathogène.
       La mise au point d'un milieu de culture de composition définie a permis de connaître
les exigences nutritionnelles de S. citri (Chang & Chen, 1981). Ainsi, il a été établi que sa
culture nécessite l'ajout de cholestérol, d'acides gras, de vitamines, de co-facteurs (acide
folique, acide p-aminobenzoïque, etc...), de source de carbone et d'acides aminés sauf les
acides aspartique et glutamique. Les sucres fermentés par S. citri sont le glucose, le fructose et
le tréhalose; les autres sucres comme le mannose ou le sorbitol ne sont pas utilisés. Le
comportement de S. citri envers le saccharose n'est pas bien défini. Les milieux couramment
utilisés, comme le milieu SP4, contiennent nécessairement du sérum animal (poulain ou veau
foetal) qui apporte les stérols et lipides, ainsi que des sucres, glucose, fructose et saccharose
comme source d'énergie (Tully et al., 1977). Ce milieu possède une pression osmotique
élevée et contrôlée de 600 mOsm du fait de l’absence de paroi du spiroplasme. La
température optimale pour la croissance de S. citri est 32°C (Saglio et al., 1973). Cette
croissance est fortement ralentie à 37°C (Garnier et al., 1984).

                                               17
Introduction


       En plus d’être l’agent du stubborn des agrumes, S. citri est également responsable de
la maladie des racines cassantes du radis noir (Fletcher et al., 1981). Au total, au moins 38
espèces végétales regroupant 12 familles botaniques sont naturellement infectées par S. citri.
La première plante découverte infectée par S. citri en Californie (Granett et al., 1976), en
Arizona (Allen & Donndelinger, 1981) ainsi qu'au Maroc (Bove et al., 1978) n'appartenant
pas à la famille des agrumes (rutacées) est la pervenche de Madagascar (Catharanthus
roseus).
       Par ailleurs, en Californie, S. citri a été isolé de mauvaises herbes comme le plantin
(Plantago sp.), de plantes ornementales comme le souci (Tagetes erecta), la reine-marguerite
(Callistephus chinensis), de plantes cultivées comme la laitue (Lactuca sp.), le radis
(Raphanus sativum), la pastèque (Citrullus vulgaris) et de certains arbres fruitiers, cerisiers,
pêchers et poiriers (Calavan & Bove, 1989). Plus récemment, ce spiroplasme a également été
isolé de la carotte (Mello et al., 2009 ; Cebrian et al., 2010). S. citri a pu être transmis
expérimentalement par greffage ou insecte vecteur à environ 80 espèces végétales différentes.


                     2.2.2. Caractéristiques de S. citri

       Depuis son obtention en culture pure, S. citri est devenu le mollicute phytopathogène
le mieux caractérisé à l’heure actuelle.
       Les premières observations au microscope à fond noir révèlent que S. citri possède une
morphologie hélicoïdale et est doué de motilité malgré l’absence de flagelle ou de filament
axial normalement présent chez les bactéries mobiles (Cole et al., 1973). S. citri doit sa
motilité à deux types de mouvements, un mouvement de flexion du corps cellulaire et un
mouvement de rotation autour de l’hélice (Davis & Worley, 1973; Daniels et al., 1980). Ce
mouvement de rotation associé à sa morphologie hélicoïdale permet au spiroplasme de se
déplacer en milieu visqueux. Sur milieu solide, cette motilité a des répercussions sur l’aspect
des colonies qui sont diffuses et entourées de colonies satellites. Plus récemment, les travaux
de Trachtenberg et collaborateurs ont permis de mettre en évidence l’implication du
cytosquelette de S. citri dans sa motilité (Trachtenberg & Gilad, 2001; Trachtenberg et al.,
2003; Trachtenberg, 2004). Ce cytosquelette est composé de la protéine de fibrille
(Williamson et al., 1991) et de la protéine « actin-like » MreB (Maccheroni et al., 2001). Ce
cytosquelette agirait comme un moteur linéaire capable de se contracter permettant ainsi un
déplacement directionnel contrôlé (Trachtenberg, 2004). Des travaux complémentaires ont
montré que le déplacement du spiroplasme était également dépendant de la propagation d’une


                                              18
Introduction


paire de « kink » le long du corps cellulaire, structures générées par des changements de
l’hélicité du spiroplasme (Shaevitz et al., 2005).
       La croissance de S. citri s’effectue par allongement d’une hélice élémentaire
constituée de 2 tours donnant une hélice parentale à quatre tours. L’hélice parentale se divise
ensuite, par constriction, en deux hélices élémentaires (Garnier et al., 1984).


       Aujourd’hui, 92 % de la séquence du génome de S. citri GII3 sont connus (Carle et al.,
2010). Ce génome se compose d’un chromosome de 1820 kpb avec 26 % de bases G+C et de
sept plasmides (pSciA et pSci1 à 6) qui ne possèdent pas d’homologues connus (Saillard et
al., 2008). La taille de ces plasmides varie de 7,8 kpb pour le pSciA à 35,3 kpb pour le pSci6
et leurs nombres de copies par spiroplasmes ont été estimés entre 10 et 14. L'ADN
plasmidique représenterait ainsi près de 1,6 Mpb soit 47 % de l'ADN total de S. citri GII3. Les
pSci1-6 possèdent un pourcentage en G+C (25,6 à 29 %) proche de celui du chromosome (26
%) alors que le pSciA à un pourcentage plus faible de 21,3 %. De manière intéressante,
aucune des CDS portées par les pSci ne présente d’homologie avec une protéine de
réplication (Saillard et al., 2008). Des travaux récents ont néanmoins pu restreindre l’origine
de réplication des plasmides pSci de S. citri à une région contenant une seule CDS, nommée
pE, et à sa séquence en aval présentant des motifs de fixation à la protéine initiatrice DnaA
(Breton et al., 2008).
       De plus, trois formes réplicatives virales SpV1, SpV2 et SpV3 ont été identifiées dans
le chromosome de S. citri (Renaudin et al., 1990; Renaudin & Bove, 1994). Les virus SpV2 et
SpV3 ressemblent à des bactériophages classiques, alors que le virus SpV1 est filamenteux
avec un ADN monocaténaire circulaire de 8,3 kb (Renaudin et al., 1990). Une des
caractéristiques de ce virus SpV1 est le grand nombre de copies de son ADN, plus ou moins
complètes, réparties dans tout le chromosome (Carle et al., 2010).


                   2.2.3. S. citri, un organisme modèle pour l’élaboration
      d’outils génétiques

       Un des premiers grands challenges concernant l’étude de S. citri fut le développement
de vecteurs d’expression de gènes, outil indispensable à la caractérisation fonctionnelle de ces
derniers. Dès le début, la présence des formes réplicatives virales a été mise à profit. A partir
de la forme réplicative SpV1, un vecteur a été développé parallèlement à une méthode de
transformation par électroporation (Stamburski et al., 1991). Cette première approche de
transfert de gènes chez S. citri n’a pas été jugée satisfaisante car ces vecteurs viraux sont
                                               19
Introduction


instables, dans le sens où des phénomènes de recombinaisons homologues entre le vecteur et
les copies virales portées par le chromosome sont observés (Marais et al., 1996). En 1994, Ye
et collaborateurs clonent l’origine de réplication chromosomique de la souche R8A2 de S.
citri (Ye et al., 1994) qui sera utilisée plus tard pour la construction de vecteurs, tels que le
plasmide pBOT (Renaudin et al., 1995). Ce plasmide navette, dans les cas de
complémentation fonctionnelle in vivo, s’intègre dans le chromosome par simple
recombinaison homologue entre les origines de réplication (Renaudin et al., 1995).
L’ensemble de ces vecteurs navettes, et notamment le plasmide pGOT (Duret et al., 2005),
développés récemment au laboratoire dans le but d’obtenir des mutants par simple
recombinaison homologue, seront détaillés au chapitre 3.
       Parallèlement, une technique de mutagénèse aléatoire par transposition avec le
transposon Tn4001 a également vu le jour au laboratoire (Foissac et al., 1997). Cette approche
a permis d’obtenir plusieurs mutants de S. citri, à savoir un mutant non motile G540 (Jacob et
al., 1997), un mutant déficient pour une ATPase de type P transporteur de calcium, un mutant
non-phytopathogène (Gaurivaud et al., 2000; Gaurivaud et al., 2001) et un mutant affecté
dans sa transmission (Boutareaud et al., 2004).
       Plus récemment, une nouvelle approche basée sur l’incompatibilité plasmidique
permet de modifier le contenu plasmidique de S. citri et d’obtenir des mutants afin de
caractériser l’ensemble des gènes présents sur les plasmides pSci (Breton et al., 2010).


       Ces dernières années, les travaux du laboratoire se sont orientés sur les déterminismes
génétiques impliqués dans la transmission de S. citri. En effet, S. citri est transmis de plante à
plante par des cicadelles, insectes piqueurs suceurs de sève élaborée, selon un mode circulant
multipliant, impliquant des relations étroites avec l’insecte.
       De nombreuses étapes clés, régissant ce mode de transmission par l’insecte, restent à
être élucidées. En revanche, pour de nombreux microorganismes pathogènes (bactéries, virus,
champignons), les mécanismes gouvernant les étapes clefs nécessaires à leur transmission ont
été particulièrement étudiés et sont, à l’heure actuelle, parfaitement décrits.
       La suite de cette introduction fait le point sur les connaissances acquises sur les
relations des spiroplasmes avec leurs insectes vecteurs puis, décrit les différentes étapes ainsi
que les mécanismes mis en jeu au cours de la transmission de pathogènes intracellulaires
qu’ils soient transmis par des insectes vecteurs ou non.




                                                20
Introduction


III. Transmission de microorganismes intracellulaires
           1. Transmission par insecte vecteur

               1.1. Relation entre le microorganisme et son insecte

           Il existe plusieurs types de relation entre un microorganisme et son hôte.


                        1.1.1. Transmission externe

           Lors d’une transmission externe du microorganisme, c’est-à-dire lorsque celui-ci ne se
fixe que sur des parties externes de l’insecte (pattes, thorax, stylet), l’association entre les
deux partenaires est limitée. Aucun des deux partenaires n’influence le comportement de
l’autre.


                        1.1.2. Transmission intracellulaire

           Lorsque l’interaction entre les deux partenaires persiste, comme cela est le cas au
cours d’une transmission intracellulaire, cette relation entre le microorganisme et son hôte se
complexifie et certaines associations peuvent engendrer une modification du comportement
de l’insecte, pouvant aller jusqu’à la mort de ce dernier. Les Baculoviridae sont les
pathogènes d'insectes les plus représentés. Ils infectent notamment les larves de lépidoptères
et d’hyménoptères (Blissard, 1996). L'infection survient une fois que des larves d'insectes
sensibles ont absorbé des aliments contaminés par le virus. Le virus s'attaque alors à
l'hémolymphe, aux tissus adipeux et à l'intestin moyen. L'insecte est ensuite paralysé et meurt.
           Des interactions mutualistes entre les deux partenaires ont également été découvertes ;
le microorganisme, dans ce cas appelé endosymbiote d’insecte, peut être classé en deux
catégories.
           Les endosymbiotes primaires ont été associés avec leur insecte hôte depuis des
millions d'années. Ils ont une forme d'association obligatoire et ils affichent une co-spéciation
avec leur hôte. Cette association, bénéfique aux deux organismes, permet à chacun des deux
partenaires de profiter des avantages de l’autre. Le rôle élémentaire de l’endosymbiote est de
fournir les nutriments, que l'hôte ne pourrait obtenir seul, en catabolisant la nourriture
inassimilable par l'insecte. Parmi ces endosymbiotes primaires des insectes, le plus étudié
reste la bactérie Buchnera qui colonise le puceron du pois Acyrthosiphon pisum. Buchnera est
capable de synthétiser les acides aminés essentiels que le puceron ne peut naturellement

                                                  21
Classe        Ordre           Famille           Genre                 Espèce              Pathogène                  Maladies
                                                                    Aedes aegypti                                      Dengue
                              Culicidae          Aedes                                     Flavivirus
                                                                  Aedes albopictus                                  Chikungunya
                                               Anopheles         Anopheles gambiae Plasmodium falciparum             Paludisme
                                                                    Culex pipiens         Plasmodium              Paludisme aviaire
                                                 Culex
                                                                Culex quinquefasciatus Nématodes parasites            Filariose
               Diptera
                           Psychodidae      Phlebotomus          Phlebotomus major         Leishmania               Leishmaniose
                           Drosophilidae     Drosophila              Drosophila          Non pathogènes
 Insecta                     Muscidae          Musca              Musca domestica       > 100 pathogènes          Typhoïde, choléra,
                                              Glossina
                             Glossinidae                          Glossina palpalis      Trypanosoma brucei      Maladie du Sommeil
                                           Mouche « tsé tsé »
                             Reduviidae       Triatoma            Triatoma infestans      Trypanoma cruzi         Maladie de Chagas
             Hemiptera                                                                   Buchnera aphidicola
                             Aphididae       Acyrthosiphon      Acyrthosiphon pisum
                                                                                             Non pathogène
                                                                                           Yersinia pestis             Peste
            Siphonaptera      Pulicidae        Xenopsylla        Xenopsylla cheopis
                                                                                           Ricketssia typhi        Typhus murin
Arachnida      Ixodida        Ixodidae           Ixodes           Ixodes scapularis      Borrelia burgdorferi     Maladie de Lyme


 Figure I.3: Quelques exemples d’insectes vecteur de l’Embranchement des arthropodes associés à l’organisme qu’ils transportent
 et la maladie provoquée (s’il y a lieu).
Introduction


obtenir par prise de nourriture tandis que ce dernier fournit à la bactérie un milieu riche lui
permettant de se répliquer (Douglas, 1998).
       L’association entre les endosymbiotes secondaires et leurs insectes s’est développée
plus récemment. Ces associations ne sont pas obligatoires et, dans la plupart des cas, on parle
de relations commensales, l’insecte ne tirant aucun bénéfice de leur interaction.


                     1.1.3. Relation entre les spiroplasmes et leurs insectes

       La plupart des espèces de spiroplasmes sont retrouvées dans l’intestin ou
l’hémolymphe de moustiques, mouches (tabanides) ou encore de tiques. De manière plus
surprenante, S. clarkii a été isolé de l’intestin d’une larve de scarabée (Whitcomb et al., 1993)
tandis que S. penaei a lui été retrouvé dans l’hémolymphe de la crevette grise, Penaeus
vannamei (Nunan et al., 2005). Plusieurs espèces de spiroplasmes ont également été
retrouvées infectant au moins 16 espèces différentes de Drosophila (Haselkorn et al., 2009).
       Quelques espèces ont également été décrites influençant le comportement de l’hôte.
Un spiroplasme a été caractérisé chez le puceron du pois. Il provoque une diminution de la
croissance et de la durée de vie du puceron ainsi qu’une baisse de la fertilité (Fukatsu et al.,
2001). S. poulsonii, l’agent du « sex-ratio », supprime la descendance mâle de plusieurs
espèces de drosophiles et se transmet de manière verticale (Williamson et al., 1999). S. apis et
S. melliferum sont des pathogènes de l’abeille Apis mellifera (Mouchès et al., 1982; Mouches
et al., 1984). D’autres encore, comme S. culiciola, S. sabaudiense, S. taiwanense sont
pathogènes pour le moustique Aedes aegypti dont ils réduisent la durée de vie et la fécondité.
De plus, S. taiwanense entraîne aussi un changement du sex-ratio en favorisant la
descendance mâle (Vazeille-Falcoz et al., 1994). La présence intracellulaire de S. mirum a
même été décrite dans des lésions cérébrales d’un patient atteint d’encéphalopathie (Bastian,
1979). Plus récemment, des expériences menées par le même groupe ont également montré
que ce spiroplasme, injecté de manière intracrânienne, produisait des symptômes comparables
avec ceux d’une encéphalopathie spongiforme (Bastian et al., 2007).
       Néanmoins, la plupart des mollicutes phytopathogènes ne semblent pas perturber le
comportement de l’insecte. S. citri ne semble avoir aucun effet sur la cicadelle au cours de son
circuit à l’intérieur de celle-ci. De même, lors de l’infection de Cacopsylla melanoneura par
Candidatus phytoplasma mali, le phytoplasme n’influence pas le développement ou la
longévité de ces insectes cependant il semble avoir quelques effets sur le fitness de ces
derniers (Malagnini et al., 2010).


                                               22
Figure I.4: Phylogénie de l’ordre des Hemiptera basée sur les études de phylogénie moléculaire.
(D’après Campbell et al., 1995 ; Sforza, 1998).
Introduction


            1.2. Insectes vecteurs

       Les insectes vecteurs de microorganismes appartiennent tous à l’embranchement des
arthropodes. Quelques familles d’insectes responsables de la vection de microorganismes, à
l’exception des mollicutes phytopathogènes, sont regroupées dans le tableau I.3.


                     1.2.1. Vecteurs mollicutes phytopathogènes

                              1.2.1.1.        Classification

       Les insectes vecteurs des mollicutes phytopathogènes appartiennent à l’ordre des
Hemiptera. La classification de ces insectes a longtemps été basée sur des caractères
morphologiques (couleur, taille, ailes antérieures, tête, thorax, abdomen, parties génitales
etc...). Les hemiptères ont un développement du type hémimétabole, c’est à dire que la
nymphe est mobile et ressemble aux larves, et possèdent plusieurs caractéristiques propres
comme des antennes longues, des pièces buccales avec un long rostre et deux paires d’ailes
dont l’une peut être cornée et durcie (hémiélytre).
       Ce n’est qu’en 1995, lors des travaux de Campbell et collaborateurs portant sur la
comparaison de séquences d’ADN ribosomiques 18S de ces insectes, que la classification des
hémiptères a été modifiée et est restée depuis, identique à celle présentée dans le tableau I.4
(Campbell et al., 1995).
       Dès lors, les insectes vecteurs des mollicutes phytopathogènes appartiennent, au sein
du sous-ordre des Cicadomorpha, à la famille des Cicadellidae (cicadelles) ; au sein de
l’infra-ordre des Fulguromorpha, à la famille des Cixiidae (cixides) et enfin, au sein de
l’ordre des Sternorrhyncha, à la famille des Psyllidae (psylles). Au sein de la famille des
Cicadellidae, les vecteurs des mollicutes phytopathogènes appartiennent principalement à la
sous-famille des Deltocephalinae.
       Dans la littérature, les membres de la famille des Cicadellidae sont regroupés sous le
terme de « leafhopper » tandis que l’infra-ordre des Fulguromorpha renferme deux familles
principales que sont les Cixiidae et les Delphacidae regroupée sous le terme de
« planthopper ». Quelques exemples de mollicutes phytopathogènes associés à leur insecte
vecteur sont présentés dans le tableau I.5.

                              1.2.1.2.        Vecteurs de S. citri

       Pour sa part, S. citri est transmis naturellement et expérimentalement par plusieurs
insectes (tableau I.5). De toutes les cicadelles précédemment décrites, C. tenellus (figure I.6)
est le vecteur majeur du spiroplasme dans le Sud-ouest des Etats-Unis (Rana et al., 1975; Liu
                                             23
Bactérie                                   Insecte vecteur              Famille taxonomique             Référence
                                                             Circulifer haematoceps                                         Fos et al. , 1986
                                                           Circulifer tenellus (Baker)                                   Oldfield et al. , 1976
                                                        Circulifer opacipennis (Lethierry)                              Sengonca et al. , 1991
                                                          Macrosteles fascifrons (stål)                                  O’Hayer et al ., 1983
                Spiroplasma citri                        Scaphytopius nitridus (DeLong)          Cicadellidae                Oldfield, 1977
                                                      Scaphytopius acutus delongii (Young)                              Kaloostian et al. , 1979
                                                      Scaphytopius coliforniensis (Hepner)                                   Oldfield, 1987
                                                                 Euscelis plebejus                                       Marckam et al ., 1974
                                                             Euscelidius variegatus                                 Marckam & Townsend, 1979
                                                                 Dalbulus maidis                                             Kunkel, 1946
              Spiroplasma kunkelii                                                               Cicadellidae             Chen & Liao, 1975
                                                               Dalbulus elimatus
                                                                                                                    Williamson et Whitcomb, 1975
             Phytoplasma Stolbur                              Hyalesthes obsoletus                 Cixiidae                 Fos et al. , 1992
     Phytoplasme de la Flavescence Dorée                    Scaphoideus titanus Ball            Cicadellidae                Caudwell, 1983
            Phytoplasme de l’ESFY                               Cacopsylla pruni                  Psyllidae              Carraro et al., 1998b
         Phytoplasme du Pear Decline                            Cacopsylla pyri                   Psyllidae              Carraro et al ., 1998a
   Phytoplasme de la proliferation du pommier               Cacopsylla melanoneura                Psyllidae                Alma et al ., 2000
        Candidatus phytoplasma ziziphi                        Hishimonus sellatus              Deltocephalidae             La & Woo, 1980
                                                              Scaphoideus luteolus                                            Baker, 1949
          Candidatus phytoplasma ulmi                                                            Cicadellidae
                                                               Macropsis mendax                                              Carraro, 2004
   Phytoplasme du rabougrissement du roncier                   Macropsis fuscula                 Cicadellidae      De Fluiter & Van der Meer, 1953
Phytoplasme de la jaunisse de la vigne du Palatinat              Oncopsis alni                   Cicadellidae               Maixnert, 2000
      Phytoplasme de la jaunisse de l’aulne                      Oncopsis alni                   Cicadellidae         Maixnert & Reinert, 1999


Figure I.5: Quelques exemples d’insectes vecteurs de Mollicutes phytopathogènes avec leur maladies associées.
Introduction


et al., 1983). Les vecteur identifiés dans le pourtour méditerranéen sont C. haematoceps
(figure I.6) (Fos et al., 1986) et C. tenellus (Rasooly et al., 1994). Ces cicadelles polyphages
se développent principalement sur des hôtes herbacés et sur les agrumes (rutacées) qui,
lorsqu’ils sont infectés par S. citri, présentent des taux d’infection élevés.
       La transmission de plante à plante se déroule selon un mode circulant multipliant. De
ce fait, dans l’insecte, S. citri effectue un circuit au cours duquel il passe successivement du
canal alimentaire, dans l’intestin moyen puis dans l’hémolymphe et gagne les glandes
salivaires de la cicadelle afin d’être excrété avec les sécrétions salivaires.
       La description anatomique de ces tissus nous permettra de mieux appréhender les
mécanismes mis en place par S. citri au cours de son trajet et notamment lors des
franchissements des deux barrières, que sont l’épithélium intestinal et celui des glandes
salivaires, indispensables à sa propagation.


                                1.2.1.3.       Morphologie des cicadelles

       Les pièces buccales des cicadelles sont composées du labrum, du labium et des stylets.
Seul les stylets pénétrent dans la plante lors du repas de l’insecte. Ils sont au nombre de quatre
et sont les vestiges des mandibules et des maxilles. La paire de stylets maxillaires se rejoint
pour former le canal salivaire et le canal alimentaire. Les stylets mandibulaires entourent en
partie les stylets maxillaires. Au niveau de la tête, les deux stylets maxillaires se séparent l’un
de l’autre et les fluides ingérés se retrouvent dans une chambre filtrante appelée precibarium.
Sa fonction est de réguler le flux de liquide avant qu’il n’entre dans le cibarium. Il est
composé d’une valve qui empêche notamment la régurgitation de fluides dans les stylets.
Le cibarium est une sorte de pompe qui constitue un sac situé dans la tête et composé d’une
couche de cellules épithéliales. Les fluides passent alors dans l’intestin antérieur de l’insecte
qui est relativement étroit avec une paroi mince et recouvert de chitine qui s’étend jusqu’au
mésothorax ou bien même jusqu’au premier fragment abdominal. Les cellules intestinales
possèdent des microvillosités à leur surface qui sont recouvertes d’une fine matrice de nature
polysaccharidique, le glycocalyx. L’épithélium intestinal est bordé d’une lame basale
composée d’un assemblage de filaments de collagène et d’une matrice amorphe constituée de
polysaccharides (Gouranton & Folliot, 1970).
       Chez les insectes se nourrissant de xylème et de phloème, une chambre filtrante s’est
formée permettant le passage direct de l’eau ingérée, contenant les substances en solution, de
l’intestin antérieur à l’intestin postérieur dans le but de concentrer la solution nutritive
(Forbes, 1969). A la jonction de l’intestin moyen et postérieur se trouvent les tubes de
                                                 24
Figure I.6: Principaux insectes vecteurs de Spiroplasma citri.
Photographies de Circulifer tenellus (à gauche) et de Circulifer haematoceps (à droite).




 Figure I.7: Représentation schématique de l’appareil salivaire de cicadelles.
 AG: glande salivaire accessoire. I à VIII: types cellulaires différents de la glande salivaire principale. (D’après
 Wayadande & Fletcher, 1995).
Introduction


Malpighi. Ils sont au nombre de quatre chez les cicadelles et sont composés de cellules
épithéliales très minces qui se divisent en deux parties, une partie distale qui servirait à la
sécrétion d’ions et à l’excrétion tandis que la partie proximale aurait une fonction dans la
réabsorption des solutés.
       Les cicadelles possèdent une paire de glandes salivaires situées de part et d’autre de
l’œsophage. De chaque côté, il y a une glande principale et une glande accessoire toutes les
deux composées de cellules conductrices et sécrétrices. Chaque glande salivaire principale est
composée de 8 types cellulaires différents et organisés en lobes concentriques. Ces cellules
sont différenciées en fonction de leur morphologie et de leur densité aux électrons. Elles sont
binucléées et regroupées en deux lobes. Le lobe antérieur est composé de 10 cellules de type
I, 6 cellules de type II, 4 cellules de type III et IV et 2 cellules de type V. Le lobe postérieur
est constitué de 5 cellules de type VI, 3 cellules de type VII et 4 cellules de type VIII (figure
I.7) (Wayadande et al., 1997).
       Les glandes salivaires accessoires sont reliées aux glandes salivaires principales par un
canal lui-même inséré dans le canal faisant la jonction avec le lobe antérieur et le lobe
postérieur des glandes salivaires principales. Ici, les cellules sont uninucléées.
       Les deux principaux canaux formés par chacune des deux glandes s’unissent pour
former un canal salivaire commun qui se dévide dans la pompe salivaire.
       Tous ces organes baignent dans l’hémolymphe, un fluide extracellulaire qui transporte
les métabolites vers les différents tissus de l’insecte. L’osmolarité de l’hémolymphe est
relativement élevée et comprise entre 240 et 600 mOsm. La principale source de carbone est
le tréhalose, sucre non réducteur composé de deux molécules de glucose. Ce fluide contient
également des lipides, des acides aminés libres, des acides inorganiques tel que l’acide
ascorbique et des ions Mg2+ et PO43- (Saglio & Whitcomb, 1979). Cette composition est
relativement proche de la composition du phloème de la plante à l’exception du sucre
majoritaire qui est le saccharose au lieu du tréhalose.


                     1.2.2. Circuit du spiroplasme dans l’insecte

       Après ingestion et un passage dans la pompe alimentaire, les spiroplasmes se
retrouvent dans l’intestin où la plupart sont digérés par les enzymes présentes. Les survivants
poursuivent leur route jusqu’au niveau de l’intestin moyen ou ils pénètrent dans les cellules
constituant l’épithélium intestinal situées dans une région dépourvue de chitine. Chez
Circulifer tenellus, S. citri pénètre dans ces cellules épithéliales en passant entre les
microvillosités (figure I.8A; (Kwon et al., 1999). Le spiroplasme franchit l’épithélium
                                                25
Passage de la barrière intestinale

        A                                                B

A




 A: S. citri pénétrant dans les cellules de l’épithélium intestinal de C. tenellus à travers les
 microvillosités. L: lumière intestinale, MV: microvillosités, S: spiroplasme. B: Zone proche du
 plasmalemme basal montrant les spiroplasmes dans des vacuoles d’endocytose. H: hémolymphe.
 Echelle: 0,5 µm. (Kwon et al., 1999)


 Libération dans l’hémolymphe




                                                                                             D
         C
 C: S. kunkelii franchissant la lame basale des cellules de l’épithélium intestinal de D. maidis (flèche
 avec l’étoile) ou bien libre dans l’hémolymphe de l’insecte (flèche à gauche). Bl: lame basale, Mt:
 tubes de Malpighi, Mi: mitochondrie, Gc: cellule intestinale, Pl: plasmalemme basal. Echelle: 0,5 µm.
 D: Agrandissement de la région encadrée montrant S. kunkelii avec une protubérance en forme de
 « tip » proche de la lame basale. (Ozbek et al., 2003).

 Passage de la barrière des glandes salivaires

            E                                                     F




 E: S. citri franchissant la lame basale des cellules de l’épithélium des glandes salivaires de C. tenellus
 dans une vacule d’endocytose. Bl: lame basale, S: spiroplasme, Er: réticulum endoplasmique. F: S. citri
 libre dans le canaliculus des glandes salivaires de C. tenellus. Echelle: 0,5 µm. (Kwon et al., 1999).



Figure I.8: Etapes clés du cycle des spiroplasmes dans leurs insectes vecteurs.
Introduction


intestinal par un mécanisme d’endocytose/exocytose au cours duquel il se retrouve dans une
vacuole d’endocytose où il adopte une forme ovoïde (figure I.8B ; (Ozbek et al., 2003)). Au
moment du passage dans l’hémolymphe de l’insecte, une protubérance de 70 nm de diamètre
est observée traversant la membrane de la vacuole (figure I.8C et D ; (Ozbek et al., 2003)).
Cette protubérance, non sans rappeler le « tip » observé chez plusieurs mycoplasmes (Rottem,
2003), regrouperait plusieurs protéines qui seraient les premières impliquées dans un rôle de
reconnaissance et de franchissement du plasmalemme intestinal (Ammar et al., 2004). Grâce à
l’intermédiaire de ce « tip », les vésicules d’endocytose fusionnent avec le plasmalemme
basal et les spiroplasmes sont donc libérés par exocytose. Ils se retrouvent alors dans
l’hémolymphe      où    ils   se   multiplient    massivement.     Un       nouveau   mécanisme
d’endocytose/exocytose leur permet de franchir la barrière des glandes salivaires puis, après
une nouvelle multiplication, ils sont expulsés dans le canal salivaire (figure I.8E et F; (Kwon
et al., 1999)).
        En résumé, pour sa transmission, le spiroplasme a besoin de franchir deux barrières, la
barrière intestinale et la barrière des glandes salivaires. Les franchissements de ces barrières
nécessitent des interactions entre S. citri et son insecte vecteur afin de pénétrer à l’intérieur
des cellules de son hôte. Or, les mécanismes moléculaires ainsi que les protéines impliquées
dans ces étapes d’adhésion aux cellules et d’internalisation dans celle-ci, restent encore
inconnus à ce jour.
        Pour d’autres organismes, les descriptions concernant ce processus d’invasion
permettraient de cerner les différents acteurs intervenant au cours de ces étapes et, par
analogie, faire un lien avec ce qui est connu concernant la transmission du spiroplasme.


        2. Cycle cellulaire de la transmission

        Le pouvoir pathogène d’un microorganisme intracellulaire repose sur sa capacité à
coloniser son hôte et, de ce fait, à envahir les cellules de celui-ci afin de s’y multiplier et de
s’y disséminer.
        L’ensemble de ce processus, nommé « invasion » tout au long de ce manuscrit, se
décompose en plusieurs étapes successives. Après avoir été ingéré par leur hôte, les
microorganismes doivent (i) adhérer aux cellules de leur hôte, (ii) pénétrer à l’intérieur de
celles-ci, (iii) se développer tout en évitant les mécanismes de défense mis en place puis (iv)
se disséminer de cellule à cellule afin d’être transmis à un nouvel hôte.



                                                 26
Figure I.9: Représentation des principaux types de pili décrits chez les bactéries   à
Gram-négatif et à Gram-positif.
(D’après Kline et al, 2009).
Introduction


        Le succès d’une invasion réside dans les signaux que les deux acteurs, la cellule et
l’agent pathogène, s’échangent perpétuellement. A chaque étape du processus d’infection,
l’agent pathogène exploite la machinerie cellulaire de l’hôte à son propre profit.


               2.1. Adhésion

        L’adhésion des microorganismes à des cellules eucaryotes est souvent une première
étape essentielle dans la mise en place de la maladie. En effet, étant de manière générale une
étape spécifique, l’adhésion permet au pathogène de se retrouver au niveau de tissus
appropriés, à partir desquels, il peut initier son processus d’entrée.
        De nombreuses molécules et de structures macromoléculaires, regroupées sous le
terme d’adhésines, permettent aux pathogènes d’assurer cette fonction. Ces adhésines peuvent
être divisées en deux familles : les adhésines de type fibrillaire et les adhésines de type non-
fibrillaire.


                        2.1.1. Adhésines de type fibrillaire

        Les adhésines de type fibrillaire sont des structures filamenteuses visibles à la surface
des bactéries. Ces structures ont été pour la première fois observées dans le début des années
50 par deux équipes. La première, dirigée par James Duguid, appela ces structures fimbriae
(« frange ») (Duguid et al., 1955), tandis que la seconde, dirigée par Charles Brinton, décida
de les nommer pili (« cheveux ») (Brinton, 1965). Bien que les deux termes soient
synonymes, et toujours d’actualité, le terme de pili sera préféré au cours de ce manuscrit. Les
principaux types de pili, décrits aussi bien chez les bactéries à Gram-négatif qu’à Gram-
positif, sont représentés sur la figure I.9.


                                2.1.1.1.       Bactéries à Gram-négatif

        Les pili ont été, pour la première fois, décrits chez les bactéries à Gram-négatif. Ce
sont des structures de 1 à 2 µm de long, formées par l’association de plusieurs sous-unités,
généralement regroupées sous le terme de « pilines », formant des structures polymériques qui
permettent d’éviter la répulsion des charges négatives présentes à la surface des cellules de la
bactérie et de celles de l’hôte, retardant ainsi l’activation du système immunitaire de l’hôte
(Kline et al., 2009).
        Trois principaux types de pili sont connus et se distinguent essentiellement par leurs
structures, mais aussi par leurs mécanismes de formation et de régulation qui, bien
                                         27
Introduction


qu’utilisant tous le système de sécrétion Sec-dépendant pour l’export de leurs sous-unités,
diffèrent au niveau de l’assemblage de ces dernières.
       Parmi eux, les pili de type I sont peut-être les mieux caractérisés (Langermann et al.,
1997). Leurs assemblages nécessitent la sécrétion de sous-unités partiellement structurées au
niveau de l’espace périplasmique où l’interaction avec une chaperone permet de finaliser sa
structuration. La sous-unité néo-formée vient se polymériser aux autres sous-unités par
l’intermédiaire d’un translocateur de la membrane externe. Chaque adhésine possède alors
deux domaines distincts : un domaine permettant la copolymérisation avec les autres sous-
unités de pilines et un second, responsable de la liaison avec les résidus carbohydrates
(Schilling et al., 2001). Ainsi, la bactérie uropathogénique E. coli (UPEC) possède un opéron
fim (FimA-fimH) dont la protéine principale FimH, située à l’extrémité de l’organelle, se lie
principalement à des résidus mannose (Choudhury et al., 1999). Cette bactérie possède
également un opéron pap qui, par l’intermédiaire de la protéine PapG, interagit avec les sous-
unités digalactoside (Hansson et al., 1995).
       Les pili de type IV sont formés de sous-unités qui sont exportées à travers la
membrane interne en tant que pré-pilines, puis ces dernières sont reconnues par une peptidase
qui clive un peptide conservé en N-terminal, relarguant ainsi une piline mature. Le pili est
alors assemblé au niveau du périplasme puis est à son tour exporté à la surface de la bactérie
grâce à la formation d’un pore dans la membrane externe (Carbonnelle et al., 2005;
Carbonnelle et al., 2006). Ce type de pili est exprimé par plusieurs bactéries pathogènes
comme les espèces de Neisseria, Pseudomonas aeruginosa et quelques E. coli
entéropathogènes (EPEC). Chez deux espèces de Neisseria, Neisseria gonorrhoeae et
Neissaria meningitis, la fibre du pilus est composée de plusieurs protéines autoaggrégées de
17 à 21 kDa, nommées PilE, qui forment la structure de la fibre, ainsi que d’une protéine PilC
à son extrémité, capable de se lier aux cellules endothéliales et épithéliales des muqueuses
(Rahman et al., 1997).
       Un autre groupe de bactéries, comprenant plusieurs souches d’E. coli et plusieurs
espèces de Salmonella, expriment un type de pili de type « coil » rappelant des fibres
amyloïdes. Chez Salmonella enterica, ces structures sont composées d’une protéine CsgA qui
est sécrétée par le système Sec à travers la membrane interne puis à travers un pore spécifique
de la membrane externe puis, cette protéine interagit avec CsgB pour donner la base de ces
fibres insolubles (Olsen et al., 1989; Kikuchi et al., 2005).




                                                28
Introduction


                               2.1.1.2.      Bactéries à Gram-positif

       Chez les bactéries à Gram-positif, les premières structures de type pili ont été
découvertes chez Corynebacterium renale par microscopie électronique (Yanagawa et al.,
1968). Plus récemment, ces structures ont été découvertes chez les trois principales espèces de
streptocoques pathogènes pour l’Homme à savoir les streptocoques du groupe A, comme
Streptococcus pyogenes (Mora et al., 2005), les streptocoques du groupe B, comme
Streptococcus agalactiae (Lauer et al., 2005) et chez Streptococcus pneumoniae (Gianfaldoni
et al., 2007). Elles sont également présentes chez d’autres bactéries à Gram-positif comme
celles des espèces d’Actinomyces, de Ruminococcus, d’Enterococcus et de Clostridia.
       Les espèces de Corynebacterium, ainsi que celles des streptocoques pathogènes,
possèdent des pili relativement flexibles et pouvant atteindre 3 µm. D’autres bactéries comme
Streptococcus salivarius ou Streptococcus oralis ont des pili plus courts, plus fins qui peuvent
s’allonger entre 70 et 500 nm (Willcox & Drucker, 1989).
       A l’inverse des pili des bactéries à Gram-négatif, ceux des bactéries à Gram-positif
sont composés de sous-unités liées de manière covalente. En effet, ces sous-unités sont tout
d’abord sécrétées par le système de sécrétion Sec. Une transpeptidase, appelée sortase,
reconnaît chacune des sous-unités de piline par l’intermédiaire d’une séquence de type
LPXTG (ou X correspond à n’importe quel acide aminé), conservée chez l’ensemble des
sous-unités des bactéries à Gram-positif, et lie de façon covalente ces sous-unités entre-elles
avant qu’elles soient transférées au niveau de la paroi cellulaire (Mandlik et al., 2008). Chez
la plupart des bactéries à Gram-positif, l’ensemble des gènes impliqués dans la formation de
ces pili est en opéron. De plus, les gènes qui codent les sortases, nécessaires à cet assemblage,
peuvent faire partie de ce même opéron, comme cela a été démontré chez Streptococcus
agalactiae (Rosini et al., 2006).


       Que ce soit chez les bactéries à Gram-positif ou à Gram-négatif, les pili sont connus
pour se lier à des éléments structuraux de la matrice extracellulaire comme les résidus
carbohydrates qui sont présents sur les récepteurs glycolipidiques ou glycoprotéiques de la
cellule (Sung et al., 2001). Chez les streptocoques, les protéines impliquées dans les pili
possèdent des séquences communes avec les protéines appartenant à la famille des
MSCRAMMS (microbial surface components recognizing adhesive matrix molecules) qui
sont connues pour interagir avec des molécules de la matrice extracellulaire comme la
fibronectine, le fibrinogène, le collagène, la laminine et la vitronectine (Patti & Hook, 1994).


                                               29
Organisme                   Ligand                    Récepteur                       Tissus                          Référence
Yersinia pseudotuberculosis         invasine             récepteurs intégrines               Cellules M               Cossart & Sansonetti, 2004
                                      InlA                   E-cadhérine                                                 Gaillard et al. , 1991
  Listeria monocytogenes                                                                 cellules épithéliales
                                      InlB                  récepteur Met                                                Dramsi et al ., 1995
 Salmonella typhimurium              PagN                         nd                  cellules épithéliales           Schwarz-Linek et al ., 2004
                                                                                 Membrane basolaterale des               Watarai et al. , 1996
         Shigella                    IpaB                     CD44
                                                                               cellules épithéliales de l'intestin       Skoudy et al., 2000
  Streptococcus pyogenes              Sfbl                fibronectine            Cellules non phagocytaire             Switalski et al. , 1982
  Staphylococcus aureus             FnBPA                 fibronectine            Cellules non phagocytaire                 Kuusela, 1978
                                 Opas (opacity       motifs héparine-sulfate   surface des cellules épithéliales
        Neisseria                                                                                                           Virji et al, 1991
                                   proteins)        molécule de type CD66             et des neutrophiles
                                     BabA         antigène du groupe sanguin      cellules de l’épithélium de             Boren et al., 1993
    Helicobacter pylori
                                     SabA                    Lewis b                       l’estomac                    Mahdavi et al. , 2002
   Bordetella pertussis       Hemmaglutinine FHA séquence Arg-Gly-Asp d’une cellules épithéliales du poumon             Ishibashi et al ., 1994
         E. coli                 AfaD et AfaE                                  tractus urinaire ou aux cellules       Le Bougennec et al ., 2006
                                                    Résidus acides syaliques
                                   Lectines                                                                          Castaneda-Roldan et al ., 2004
         Brucella                                 fibronectine et vitronectine       Cellules épithéliales
                                     SP41                      nd                                                    Castaneda-Roldan et al. , 2006
     E. coli EPEC
                                    intimine                     Tir                                                      Kenny et al. , 1997
     E. coli UPEC
 Mycoplasma pneumonia          P1, P30 et proteins   Motifs syaloglycoconjugués      Cellules épithéliales tractus           Rottem, 2003
 Mycoplasma penetrans                 P65                   Fibronectine                     respiratoire                  Giron et al ., 1996

      Figure I.10: Principales adhésines non-fibrillaire exprimées chez quelques espèces bactériennes.
Introduction


                     2.1.2. Adhésines de type non-fibrillaire

       En plus des structures de type « pili », un grand nombre de molécules impliquées dans
l’adhésion bactérienne, ne s’associant pas en polymères, existent et reconnaissent de
nombreux éléments de la surface cellulaire de l’hôte.
       Pour entrer dans des cellules non phagocytaires comme les cellules épithéliales de
l’intestin, certains pathogènes expriment une protéine de surface capable de se lier à des
récepteurs de surface eucaryote souvent impliqués lors de l’adhérence cellule-matrice ou
cellule-cellule.
       Les principales protéines bactériennes impliquées dans l’étape d’adhésion, ainsi que
leurs ligands cellulaires quand ils sont connus, sont présentées dans le tableau I.10.


                              2.1.2.1.       Autotransporteurs

       Ces protéines, localisées à la surface de la bactérie, représentent la forme la plus
simpliste de système d’export protéique chez ces dernières. Les molécules sécrétées par ce
système (système de sécrétion de type V) contiennent un peptide N-terminal responsable de la
sécrétion à travers la membrane interne, d’un domaine C-terminal qui forme un pore dans la
membrane externe et d’un dernier domaine, appelé domaine passager, qui est transporté à
travers cette membrane externe afin d’être exposé à la surface de la bactérie (Henderson et al.,
2004). Chez H. pylori, la protéine BabA a été déterminée comme étant un autotransporteur
qui reconnaît l’antigène du groupe sanguin Lewis b, présent sur les cellules sanguines et les
muqueuses gastriques (Ilver et al., 1998). De plus, l’inflammation provoquée, en réponse à
cette reconnaissance, augmente l’expression de ces antigènes qui peuvent, à leur tour, être
reconnus par une seconde protéine bactérienne SabA suggèrant ainsi que H. pylori favorise
l’expression de ces propres récepteurs (Mahdavi et al., 2002).
       En ce qui concerne les bactéries Yersinia enterocolitica, Neisseria meningitidis et
Haemophilus influenzae, les protéines nommées respectivement YadA, NhhA et HadA,
appartiennent à une nouvelle sous-famille d’autotransporteurs pour lesquels trois sous-unités
s’associent afin de former le pore fonctionnel dans la membrane externe (Cotter et al., 2005).


                              2.1.2.2.       Effecteur Tir (translocated intimin receptor)


       Les espèces d’E. coli EPEC et EHEC, en plus de l’ensemble de leurs structures de
type pili, utilisent un système d’adhésion unique dans lequel la bactérie fournit à la fois le

                                               30
Introduction


récepteur et le ligand. En effet, dans un premier temps, l’attachement est réalisé par le biais
des pili qui permettent à la bactérie de détruire les microvillosités des cellules épithéliales de
l’hôte et d’accumuler les protéines du cytosquelette de l’hôte provoquant la formation de
structures ressemblant à un piédestal sur laquelle la bactérie se pose. A ce moment-là, la
bactérie injecte ses effecteurs par le biais de son système de sécrétion de type III (SSTT),
codés par une région LEE (Locus of Enterocyte Effacement). Un de ces effecteurs, l’effecteur
Tir, s’insère dans la membrane de la cellule eucaryote et sert de récepteur à une autre protéine
codée par le LEE, la protéine intimine, permettant une adhésion encore plus spécifique aux
cellules des muqueuses (Kenny et al., 1997).


                                2.1.2.3.      Hémagglutinine filamenteuse (FHA)

          Bordetella pertussis, l’agent de la coqueluche, possède également un système
d’adhésion particulier. Cette bactérie exprime une hémagglutinine filamenteuse (FHA) qui est
responsable de l’attachement aux cellules épithéliales des poumons. Cette protéine se lie à une
intégrine par le biais d’une séquence Arg-Gly-Asp. Cette interaction régule positivement
l’expression d'une seconde intégrine, le récepteur du complément 3 (CR3) qui reconnaît la
FHA par le biais d’un autre domaine (Ishibashi et al., 1994). La bactérie, sous l’action d’un
seul ligand, stimule son attachement à deux récepteurs distincts.
          Certaines autres bactéries ont quant à elles détourné la première étape d’adhésion pour
interagir directement avec la machinerie cellulaire en injectant des effecteurs à l’aide de
systèmes de sécrétion. Bien qu’une étape d’adhésion stricto sensu par le biais des pili soit
toujours nécessaire, ces bactéries ne nécessitent pas de contact proche avec la cellule de
l’hôte.


                                2.1.2.4.      Système de sécrétion de type 3 (SSTT)

          Actuellement, six voies de sécrétion ont été identifiées chez les bactéries à Gram-
négatif. En plus du système de sécrétion Sec-dépendant, permettant le passage des molécules
qui, comme évoqué précédemment, sont impliquées dans la sécrétion des sous-unités de
plusieurs type de pili, un second système impliqué dans l’invasion des microorganismes, le
système de sécrétion de type III (SSTT), tient une place tout aussi importante.


          Ce système de sécrétion est un système Sec-indépendant, pour la première fois mis en
évidence chez Yersinia (Cornelis & Wolf-Watz, 1997) et qui est utilisé par de nombreuses

                                                31
Introduction


bactéries à Gram-négatif pathogènes d’animaux, de plantes mais aussi par des bactéries
symbiotiques, pour transférer leur effecteurs bactériens dans le cytosol des cellules hôtes
eucaryotes (Cornelis & Van Gijsegem, 2000). Le SSTT comprend de manière générale une
vingtaine de gènes qui sont essentiels pour la virulence de ces pathogènes et qui codent à la
fois les effecteurs sécrétés mais également les protéines formant la machinerie nécessaire à la
sécrétion. Les différentes familles de SSTT sont basées sur un même modèle structural très
conservé. Des études génétiques montrent que le SSTT présente des similarités de structure
avec le corps basal du flagelle suggérant une origine commune (Cornelis, 2006).
       Les gènes codant les SSTT sont très souvent regroupés en cluster, aussi bien
chromosomique que plasmidique, appelé îlot de pathogénicité.
       Par exemple, les gènes codant le SSTT de Shigella sont regroupés dans une région de
31 kpb, présente sur un plasmide de virulence, qui contient les opérons mxi/spa et ipa/ipg
codants, respectivement, l’appareil de sécrétion de type III et les protéines effectrices (Parsot,
2005). Chez Salmonella, ce SSTT inv-spa est codé par un îlot de pathogénicité
chromosomique (Ochman et al., 1996). Malgré cette différence, le mécanisme reste identique
pour les deux bactéries. Deux des composants sécrétés, nommés respectivement IpaB/C chez
Shigella et SipB/C chez Salmonella, forment un pore dans la membrane plasmique eucaryote
qui permet la pénétration des effecteurs dans le cytoplasme cellulaire. Jusqu’à que le SSTT
soit correctement assemblé, les effecteurs sont produits mais conservés dans le cytoplasme
bactérien associées avec des chaperones qui empêchent toute dégradation ou liaison
prématurée. Ensuite, le SSTT adhère avec la surface cellulaire via l’implication de IpaB et
SipB qui reconnaissent un récepteur membranaire CD44, associé à des domaines
membranaires riches en cholestérol et sphingolipides (Cossart & Sansonetti, 2004). En effet,
la présence de rafts intacts est primordiale car leur composition, riche en lipides, est optimale
pour la formation de pores. De plus, ces domaines sont enrichis en récepteurs cellulaires et en
molécules de signalisation, comme les tyrosines kinases de la famille src, importants pour la
suite du processus.


       Chez les bactéries phytopathogéniques, les gènes codant le SSTT ont été identifiés
comme des gènes impliqués dans la réponse hypersensible et la pathogénicité (hrp genes ;
hypersensitive response and pathogenicity). En effet, des mutants hrp sont incapables
d’infecter leur plante hôte et provoquent une réponse de type hypersensible chez les plantes
non-hôte comme cela a été démontré chez Ralstonia solanacearum (Boucher et al., 1987).
Les bactéries pathogènes de plantes, souvent exogènes, ont besoin de coloniser l’apoplaste de

                                               32
Introduction


ces dernières en injectant des effecteurs à l’intérieur de celle-ci. Le plus souvent, l’expression
de ces gènes est régulée par des facteurs liés à l’hôte et à l’environnement (Arlat et al., 1992).


                     2.1.3. Adhésion chez les mollicutes

                               2.1.3.1.       Mycoplasmes

       Chez les mycoplasmes, l’adhésion aux cellules hôtes est la première étape cruciale
dans l’établissement de l’infection. M. pneumoniae, responsable de pneumonie atypique chez
l’homme, possède une structure appelée « tip », dense aux électrons, qui sert d’organe
d’attachement à la bactérie pour se lier aux cellules du tractus respiratoire (Rottem, 2003).
Elle concentre les molécules d’adhésion comme les adhésines P1 et P30, indispensables à
l’attachement du mycoplasme (Krause, 1996). Ces protéines sont directement impliquées dans
la liaison aux récepteurs cellulaires qui sont généralement des motifs syaloglycoconjugués.
L’adhésion de M. pneumoniae nécessite également des protéines accessoires telles que les
protéines P40 et P90 et les protéines HMW 1-3 (Krause et al., 1982; Dirksen et al., 1996).
Ces protéines, localisées elles aussi dans le tip, ne sont pas des adhésines à proprement parler
du fait de l’absence de caractéristiques essentielles mais l’absence de l’une d’entre elles
inhibe l’adhésion du mycoplasme aux cellules (Razin & Jacobs, 1992). Cette structure est
également retrouvée chez M. genitalium et M. gallissepticum. Chez M. agalactiae, l’adhésion
implique également plusieurs protéines : deux adhésines P40 (Fleury et al., 2002) et P48
(Rosati et al., 2000) et une famille de protéines variables, nommées Vpma, qui sont codées
par un locus soumis à des réarrangements fréquents (Glew et al., 2002).


                               2.1.3.2.       Phytoplasmes

       Aucune structure rappelant un « tip » n’a été identifiée chez les phytoplasmes.
L’obtention de plusieurs séquences de génomes complets de phytoplasmes (Oshima et al.,
2004; Bai et al., 2006; Kube et al., 2008) ont permis de montrer l’existence de nombreuses
protéines immunodominantes liées à la membrane (IDPs, ImmunoDominant membrane
Proteins) qui pourraient être impliquées dans l’adhésion aux cellules d’insectes. Il a été
démontré que certaines de ces IDPs subissent une forte pression de sélection divergente et ce,
en particulier sur la partie hydrophile extracellulaire, ce qui suggère que ces protéines et leur
variabilité jouerait un rôle dans l’interaction avec l’hôte (Barbara et al., 2002; Kakizawa et
al., 2004; Kakizawa et al., 2009). Plus récemment, une autre protéine majoritaire de la
surface, la protéine Amp, subirait également une pression de sélection positive sur son
                                                33
Introduction


domaine hydrophile lui accordant un rôle similaire à celui énoncé précédemment pour les
IDPs (Kakizawa et al., 2006a; Kakizawa et al., 2006b). De plus, cette protéine Amp de
Candidatus Phytoplasma asteris souche OY a été démontrée interagissant avec les
microfilaments de l’insecte (Suzuki et al., 2006). Cette interaction semble également être
corrélée avec la capacité des insectes à transmettre le phytoplasme ce qui suggère qu’elle
pourrait jouer un rôle important dans la spécificité de vection des phytoplasmes.
       Une étude réalisée sur ce même phytoplasme a montré l’existence de deux souches
présentant une pathogénicité altérée (Oshima et al., 2001). Une de ces deux souches présente
la caractéristique de ne plus être transmissible par insecte vecteur après avoir été maintenue
sur plante par greffages successifs. Cette perte de transmissibilité par l’insecte vecteur a pu
être associée à la perte de deux ORF plasmidiques dans le génome de cette souche qui
pourraient intervenir dans le mécanisme de transmission (Nishigawa et al., 2002). L’absence
d’expression d’une de ces deux ORF, l’ORF3, est causée par la mutation et la délétion de
deux séquences promotrices sur les plasmides correspondants. De plus, l’expression de cette
ORF chez la souche sauvage se fait préférentiellement dans l’insecte plutôt qu’au niveau de la
plante renforçant son rôle dans une interaction avec son hôte insecte (Ishii et al., 2009a; Ishii
et al., 2009b).
       La présence de système de sécrétion pouvant être impliquée, soit dans la formation des
structures de pili ou l’injection d’effecteurs responsables de l’entrée de certaines bactéries, a
également été étudiée chez les phytoplasmes. La recherche, dans les génomes disponibles, de
gènes ayant des similarités avec des gènes codant des protéines de type pili ou des systèmes
de sécrétion de type IV s’est avérée infructueuse à ce jour. Néanmoins, la présence des
protéines impliquées dans le système d’export Sec-dépendant, comme SecA, SecY et SecE,
ont été identifiées (Kakizawa et al., 2001; Kakizawa et al., 2004). L’expression de SecA a
même pu être détectée dans des plantes infectées par le phytoplasme (Kakizawa et al., 2001).
Ces protéines essentielles pour le fonctionnement du système d’export suggèrent l’existence
d’un système de translocation protéique Sec-dépendant fonctionnel et commun chez les
phytoplasmes. La protéine Amp, en plus de son rôle dans l’interaction avec les microfilaments
de l’insecte, a également été démontrée comme étant un substrat de ce système de sécrétion
(Kakizawa et al., 2004).




                                               34
Introduction


                             2.1.3.3.      Spiroplasmes

       L’étude du protéome total de la souche de référence GII3 de S. citri a permis de mettre
en évidence la présence des sous-unités impliquées dans le système de sécrétion Sec-
dépendant comme SecA, SecY ou encore SecE. Un système Sec-dépendant est supposé être
fonctionnel chez S. citri. En revanche, aucun système de sécrétion de type III ou IV n’a pu
être identifié par homologie. L’existence d’un système de fonction analogue ne présentant
d’homologie avec les systèmes précédemment identifiés est cependant envisageable.


           2.2. Internalisation

       Les interactions initiales entre une cellule eucaryote et un pathogène sont
indispensables pour la virulence de ce dernier. Cette étape implique uniquement le ligand
bactérien et son récepteur, et est indépendante, dans la grande majorité des cas, du
cytosquelette. L’adhésion peut alors permettre la mise en place des étapes ultérieures de
l’invasion. En effet, les contacts mis en place au cours de cette étape entre les deux
organismes conduisent à une cascade de signaux tels que la phosphorylation et
déphosphorylation de protéines, le recrutement d’adaptateurs et d’effecteurs ainsi que
l’activation de composants du cytosquelette induisant l’internalisation de la bactérie. La
membrane plasmique est une structure dynamique assurant de nombreuses fonctions pour la
cellule comme l’adhérence entre les cellules, le transport de molécules, l’absorption de
nutriments, la défense contre les pathogènes, etc…. La plupart de ces fonctions, et notamment
les étapes nécessitant un transport actif au niveau de cette membrane, requièrent un
phénomène appelé endocytose.


                    2.2.1. Voie clathrine-dépendante

       La voie clathrine-dépendante est la voie la plus importante pour l’internalisation des
protéines et des lipides (Brodin et al., 2000). Cette voie d’endocytose, contrôlée par une
protéine structurelle de la membrane, la clathrine, se produit dans toutes les cellules
eucaryotes. Le contact entre la bactérie et la cellule se fait par le biais d’un récepteur
spécifique qui possède, sur son domaine cytoplasmique, un signal d’induction impliquant la
formation de puits recouverts de clathrine. Ces puits sont ensuite internalisés dans une
vésicule qui est libérée vers les endosomes (Schmid & Damke, 1995). Cette voie est utilisée
par plusieurs bactéries intracellulaires comme Ricketssia conorii par l’intermédiaire du

                                             35
Figure I.11: Deux mécanismes bactériens utilisés pour l’internalisation dans les cellules
eucaryotes.
A: Mécanisme basé sur la macropynocytose (Trigger mechanism). B: Mécanismes basé sur la phagocytose (Zipper
mechanism). (D’après Finlay et al., 1997).
Introduction


récepteur Ku70 (Martinez et al., 2005), Streptoccocus pneumoniae, par l’intermédiaire de la
β-arrestin 1 (Radin et al., 2005), ainsi que plusieurs autres espèces d’E. coli (Green & Brown,
2006), de Legionella (Maruta et al., 1998) ou encore Klebsiella pneumonia (Oelschlaeger &
Tall, 1997) et Brucella abortus (Detilleux et al., 1991).


                     2.2.2. Phagocytose

         La phagocytose, quant à elle, permet notamment l’invagination des bactéries (Dramsi
& Cossart, 1998) par des cellules spécialisées telles que les macrophages, les monocytes ou
bien les neutrophiles (Aderem & Underhill, 1999). C’est un processus actif et extrêmement
régulé impliquant des récepteurs spécifiques à la surface des cellules et des cascades de
signalisation faisant intervenir de nombreuses GTPases (Hall & Nobes, 2000). Elle produit
des extensions de la membrane plasmique sous l’influence de la polymérisation des filaments
d’actine qui encerclent les particules ou les fluides extracellulaires, les faisant pénétrer à
l’intérieur de la cellule dans des phagosomes qui sont ensuite dirigés vers la machinerie
lysosomiale afin d’être dégradés.
         Les bactéries sont parvenues à détourner ces processus cellulaires, mettant ainsi en
place des cascades de signalisation dans le but d’envahir les cellules de leur hôte en induisant
leur propre phagocytose. Se faisant, ces organismes intracellulaires peuvent ainsi pénétrer
dans un grand nombre de types cellulaires plus propices à leur survie.
         Les voies utilisées par ces bactéries sont, là encore, nombreuses. Chez les bactéries
entéroinvasives, deux types principaux de phagocytose peuvent être néanmoins distingués :
un mécanisme « en fermeture éclair » (« zipper mechanism » ; (Cossart & Sansonetti, 2004))
qui implique le plus souvent la voie clathrine-dépendante et un mécanisme « trigger »
(Pizarro-Cerda & Cossart, 2006) qui se rapporte davantage à la macropynocytose (figure
I.11).


                               2.2.2.1.      « Zipper » mécanisme

         Ce mécanisme a été mieux caractérisé chez les bactéries Listeria et Yersinia. Comme
nous l’avons vu précédemment, ces bactéries expriment à leur surface des protéines qui se
lient aux récepteurs cellulaires. Il en résulte la formation de la vacuole phagocytaire, cette
étape étant induite par les signaux cellulaires produits après le premier contact entre les deux
partenaires. Les effecteurs, bien que différents chez les deux bactéries, induisent de légères
extensions membranaires par l’intermédiaire d’une cascade de signalisation faisant intervenir

                                               36
Introduction


des protéines impliquées dans la régulation de la polymérisation des filaments d’actine
comme les Rho GTPases, le complexe Arp2/3 ainsi que des protéines appartenant à la famille
WASP (Wiskott-Aldrich Syndrome protein). L’induction de nouvelles protéines, cette fois-ci
impliquées dans la dépolymérisation des filaments d’actine, permettent la rétractation de la
vacuole et donc l’entrée de la bactérie (Cossart & Sansonetti, 2004).


                               2.2.2.2.       « Trigger » mécanisme

       Ce mécanisme se traduit par des gonflements importants de la membrane plasmique
qui emprisonne la bactérie. La formation de la poche, induite par des effecteurs bactériens
injectés par le biais du SSTT, implique des réarrangements locaux mais importants de la
surface nécessitant des réarrangements massifs du cytosquelette d’actine ainsi qu’une
dépolymérisation des microtubules. Certains aspects de ces cascades de signalisation
complexes restent encore partiellement inconnus.
       Chez Shigella, la protéine IpaC induit la polymérisation d’actine par l’intermédiaire de
GTPases telles que Cdc42 et Rac1 (Nhieu & Sansonetti, 1999). VirA, un effecteur bactérien,
se lie à la tubuline et inhibe sa polymérisation. Une fois le processus d’internalisation engagé,
la bactérie entre dans la cellule et un nouvel effecteur IpaA se lie à la vinculine et induit la
dépolymérisation de l’actine (Bourdet-Sicard et al., 1999). Le facteur IpgD hydrolyse le
phosphatidylinositol 4,5-biphosphate en phosphoinositol phosphate et détache l’actine de la
membrane permettant la libération de la vacuole (Nhieu et al., 2005).
       Chez Salmonella, le processus nécessite les mêmes étapes, à savoir une polymérisation
des microfilaments d’actine induite par SipC seule (Hayward & Koronakis, 1999).
L’interaction de cette dernière avec SopE permet l’extension brutale des filaments qui, de ce
fait, englobe littéralement la bactérie (Hardt et al., 1998). Un homologue du facteur IpgD de
Shigella, nommé SopB/SigD, permet de favoriser l’entrée de la bactérie (Norris et al., 1998).


                               2.2.2.3.       Voie dépendante des microtubules

       La dernière voie utilisée par les bactéries pour pénétrer dans les cellules de l’hôte fait
intervenir un mécanisme, moins bien défini, basé sur l’utilisation des microtubules. Cette
voie, insensible à la cytochalasine D, une drogue qui altère la polymérisation des filaments
d’actine, est totalement indépendante du réseau d’actine. L’implication de cette voie a
notamment été démontrée pour l’entrée de Campylobacter jejuni et Citrobacter freundii dans
des cellules en culture (Oelschlaeger et al., 1993).

                                               37
Introduction




         Bien entendu, ces voies ne s’excluent pas les unes des autres. Plusieurs espèces de
Chlamydia utilisent aussi bien la voie clathrine-dépendante que celle utilisant le réseau de
microtubule pour entrer dans les cellules (Majeed & Kihlstrom, 1991; Schramm & Wyrick,
1995). Il en est de même pour Saphylococcus aureus (Ellington et al., 1999). Neisseria
gonorrhoeae, quant à elle, induit son internalisation à la fois par la voie chlatrine-dépendante
par le biais d’un récepteur de type glycoprotéique (Harvey et al., 2001) mais peut aussi
induire sa phagocytose par un mécanisme proche du « zipper » mécanisme (Grassme et al.,
1996).


                      2.2.3. Mycoplasmes

         Pour certains mycoplasmes, des approches expérimentales de microscopie
électronique combinée au marquage immunologique (Taylor-Robinson et al., 1991; Taylor-
Robinson et al., 1993; Andreev et al., 1995), de microscopie confocale (Baseman et al., 1995;
Winner et al., 2000), ont permis de visualiser l’entrée dans les cellules de l’hôte. Cette
capacité d'invasion et de survie dans les cellules de l’hôte a été, pour la première fois,
démontrée chez M. penetrans (Andreev et al., 1995). Plus récemment, cette capacité à résider
dans les cellules non phagocytaires a également été mise en évidence pour d'autres
mycoplasmes comme M. fermentans, M. hominis, M. pneumoniae, M. genitalium et M.
gallisepticum (Citti et al., 2005).
         L’intervention de protéines se liant à la fibronectine a été suggérée dans le processus
d'internalisation chez M. penetrans (Giron et al., 1996) et M. pneumoniae (Dallo et al., 2002).
L'inhibition du processus d’internalisation de certains mycoplasmes comme M. penetrans
(Borovsky et al., 1998) et M. gallisepticum (Winner et al., 2000), par certaines drogues
affectant les microtubules (nocodazole, vinblastine), suggère que ces internalisations
bactériennes utilisent le cytosquelette de la cellule eucaryote. De plus, la dépolymérisation des
microfilaments par la cytochalasine D inhibe l'invasion de M. penetrans mais pas celle de M.
gallisepticum. Il semble donc que les mycoplasmes disposent de différentes stratégies de
détournement du cytosquelette pour entrer à l'intérieur des cellules eucaryotes (Winner et al.,
2000).
         En parallèle, les mycoplasmes, de par leur absence de paroi, peuvent également
fusionner directement avec la membrane plasmique afin de pénétrer dans les cellules de l’hôte
(Franzoso et al., 1992).


                                               38
Introduction


                     2.2.4. Virus

       En tant que pathogènes intracellulaires obligatoires, de nombreux virus détournent
également l’ensemble des voies d’endocytoses pour pénétrer dans les cellules. Une revue,
parue en 2009, détaille l’ensemble de ces voies utilisées par les virus pour leur internalisation
cellulaire (Mercer & Helenius, 2009).
       Dans le cas des polérovirus et des lutéovirus, ces franchissements nécessitent
l’interaction d’une protéine virale avec un récepteur membranaire conduisant à un phénomène
d’endocytose par la voie clathrine-dépendante (Gildow, 1987). Dans le cas de virus
enveloppés, comme chez les bunyavirus par exemple, l’internalisation nécessite une fusion
directe de l’enveloppe virale avec la membrane cellulaire (Marsh & Helenius, 1989).
       Les virus de la famille des lutéovirus sont particulièrement bien connus. La protéine de
capside (CP), protéine essentielle lors de l’assemblage du virus semble pouvoir intervenir
dans la transmission mais ne suffit pas à expliquer le phénomène de transmission à elle seule.
En effet, des virus assemblés uniquement avec cette protéine ne sont pas transmissibles à la
plante de manière efficace. En revanche, ces virus sont retrouvés dans l’hémolymphe
d’insecte ayant été mis à acquérir sur une suspension virale ce qui montre que la CP est
impliquée dans le franchissement de la barrière intestinale (Reinbold et al., 2001).
L’identification d’un peptide, de structure homologue à celle de la CP des lutéovirus, pouvant
se lier aux cellules de l’épithélium intestinal empêche la pénétration des particules virales
dans l’hémolymphe renforçant un peu plus le rôle de la CP dans le franchissement de cette
barrière (Liu et al., 2010). De plus, une seconde protéine « readthrough » (RT), protéine
obtenue par translecture du codon stop de la protéine de capside, composant, avec la CP, la
coque protéique virale, semble intervenir dans ce phénomène. Des mutants viraux n’ayant pas
incorporé cette protéine ne sont pas transmissibles par insectes bien que ces mêmes mutants,
injectés à une plante lors d’une agroinfection, induisent une infection (Bruyere et al., 1997).
Cette protéine a également été impliquée dans la spécificité de vection des lutéovirus (Brault
et al., 2005). Plus récemment, l’identification de deux lectines, présentant des homologies
avec des protéines de la famille PP2 (Phloem Proteins 2) prédominantes dans le phloème des
plantes, capables d’interagir avec les particules virales du Cucurbit aphid borne yellows virus
(CABYV), semblent jouer un rôle dans le transmission de ce virus par son insecte vecteur
(Bencharki et al., 2010).
       L’identification de récepteurs chez le puceron Myzus persicae a montré que la RT du
Beet western mosaic virus pouvait se lier à un homologue de Rack 1 de Drosophila
melanogaster qui joue un rôle important dans les mécanismes d’endocytose/exocytose. De
                                               39
Introduction


plus, des particules virales de ce même lutéovirus semble pouvoir interagir avec la
glyceraldéhyde-3-phosphate deshydrogénase (GAPDH) de l’insecte qui, en régulant l’actine,
jouerait un rôle dans l’endoctytose du virus (Seddas et al., 2004).
         En parallèle, des endosymbiotes du genre Buchnera, présents chez la plupart des
pucerons, produisent de grande quantité d’une protéine nommée symbionine. Cette protéine,
homologue de la chaperone GroEL de chez E. coli, possède la capacité d’interagir in vitro à
des virions ou à des protéines RT recombinantes (van den Heuvel et al., 1994). De plus, la
capacité des insectes à transmettre ces mêmes virus est fortement diminuée lorsqu’ils sont
débarrassés de leur endosymbiotes (van den Heuvel et al., 1997).




         Le passage de la barrière intestinale, à l’inverse de celui de la barrière des glandes
salivaires, ne semble pas être spécifique de cette vection. En effet, de nombreux virus n’étant
pas transmis par certains insectes se retrouvent néanmoins dans l’hémolymphe de ces derniers
suggérant un blocage au niveau des glandes salivaires (Gray & Gildow, 2003).


                      2.2.5. Franchissement de la barrière des glandes salivaires

         L’ensemble des systèmes étudiés, à partir des données concernant la caractérisation de
la transmission de virus phytopathogènes, de bactéries ou de parasites, semble indiquer que la
barrière des glandes salivaires reste l’étape essentielle pour déterminer la spécificité de
vection. Cette spécificité implique que les microorganismes sont reconnus par la membrane
des glandes salivaires, probablement par une interaction de type ligand-récepteur. Cette
caractéristique est renforcée par l’aptitude de certains pathogènes à pénétrer dans
l’hémolymphe de l’insecte, traversant ainsi la barrière intestinale, mais étant incapable de
franchir celles des glandes salivaires. Le parasite Plasmodium knowlesi est transmis par le
moustique Anopheles dirus mais, en revanche, se trouve bloqué dans l’hémolymphe d’une
autre espèce d’Anopheles non vectrice sans pouvoir envahir les glandes salivaires (Rosenberg,
1985).
         De nombreux travaux ont été menés sur l’étude de cette reconnaissance de la
membrane des glandes salivaires chez Plasmodium. Les protéines PCRMP (Cysteine Repeat
modular proteins), deux protéines localisées à la surface du parasite, ainsi que la protéine
MAEBL (Kariu et al., 2002) sont impliquées dans le franchissement des glandes salivaires
sans que leurs partenaires au niveau de l’insecte ne soient identifiés. Des mutants dépourvus
d’une de ces protéines sont incapables d’envahir les glandes salivaires (Thompson et al.,
                                               40
Introduction


2007). Récemment, une interaction de type ligand-récepteur a été identifiée. Le peptide SM1
(Salivary gland and Midgut peptide 1) se lie à la membrane des cellules épithéliales des
glandes salivaires et de l’intestin mais cette liaison inhibe l’invasion de Plasmodium berghei
dans ces organes (Ghosh et al., 2001). L’utilisation d’agents pontants a permis de déterminer
son ligand à la surface des cellules. Il s’agit d’une protéine de 50 kDa nommée sagline (Ghosh
et al., 2009). De plus, cette protéine agit comme un récepteur pour l’invasion des sporozoites
par le biais d’une interaction avec le facteur parasitaire TRAP (Thrombospondin Related
Anonymous Protein) (Ghosh et al., 2009). La mutation de deux acides aminés de cette
protéine permet d’inhiber l’invasion des glandes salivaires par le sporozoite (Matuschewski et
al., 2002). Cette cascade d’interaction reste le mécanisme le mieux décrit concernant le
franchissement de la barrière des glandes salivaires dans la transmission par insecte vecteur.


             2.3. Echappement à la machinerie lysosomiale

        Les microorganismes, qui ont maintenant pénétré dans la cellule, se retrouve dans une
vacuole d’endocytose. Une fois internalisés, ces derniers doivent se protéger des systèmes de
dégradation mise en place par la cellule eucaryote. Le principal mécanisme de ces systèmes
de dégradation, activés en condition de stress, repose sur le fait qu’une région du cytoplasme
se retrouve séquestrée dans un autophagosome, composé d’une double membrane, qui est
ensuite fusionné avec les lysosomes dans le but d’être dégradé (Kirkegaard et al., 2004).
        En réponse à ces voies de dégradation, les bactéries ont adapté des processus de
contournement de ce système immunitaire qui peuvent être regroupés en trois groupes
distincts.


                     2.3.1. Arrêt de la maturation des phagosomes

        L’arrêt de la maturation peut avoir lieu à des stades différents de la maturation des
phagosomes, précocement pour le genre Mycobacterium ou alors plus tardivement dans le cas
de Salmonella. Les vacuoles contenant Mycobacterium restent à un stade d’endosome
primaire et évitent le processus de fusion avec les lysosomes en empêchant l’incorporation,
dans la membrane de la vacuole, d’adenosine triphosphatase qui a pour rôle d’acidifier la
vésicule afin d’activer plusieurs enzymes responsables de la dégradation (Sturgill-Koszycki et
al., 1997). Dans le cas de Salmonella, les bactéries se retrouvent dans des vacuoles atypiques,
les SCV (Salmonella Containing Vacuole), qui sont des endosomes détournés par la bactérie
afin de ne pas subir la dégradation lysosomiale (Brumell et al., 2002).
                                              41
Introduction


                      2.3.2. Libération de la vacuole

         D’autres bactéries, à l’inverse, ne restent pas dans leur vésicule d’endocytose et
s’échappent des phagosomes. Elles lysent rapidement la vacuole et se retrouvent libre dans le
cytoplasme. C’est le cas des Shigella avec le facteur d’adhésion IpaB (High et al., 1992) ou
des Listeria avec la lysteriolysine O (LLO) qui forment un pore dans la vacuole permettant à
la bactérie d’être libre dans le cytoplasme dans lequel elle peut se multiplier (Gaillard et al.,
1987). Rickettsia fait également partie de ces bactéries en sécrétant une phospholipase qui
déstabilise la membrane des phagosomes (Walker et al., 2001).


                      2.3.3. Détournement du système lysosomial

         Un dernier groupe de bactéries manipule la membrane de la cellule de son hôte pour se
retrouver à l’intérieur de vésicules non phagosomiales. Legionella se retrouve ainsi dans un
compartiment ayant des caractéristiques communes avec le réticulum endoplasmique (Tilney
et al., 2001). D’autres encore, comme les Chlamydia, peuvent produire leur propre
compartiment d’endocytose, distinct de tous ceux existants dans la cellule (Hackstadt et al.,
1996).
         Là encore des bactéries possèdent plusieurs systèmes d’échappement à la dégradation
cellulaire. C’est ainsi que pour échapper à la voie autophagique, la bactérie Shigella sécrète,
par l’intermédiaire de son système de sécrétion de type III, une protéine IcsB qui inhibe la
liaison entre le facteur bactérien VirG et le ligand cellulaire Atg5 impliquée dans la
séquestration autophagique de la bactérie (Ogawa et al., 2005). Ensuite, elle peut lyser la
membrane de ce dernier afin de coloniser le cytoplasme.


             2.4. Dissémination dans l’hôte

         Une fois libre dans le cytoplasme, certaines bactéries utilisent une nouvelle fois le
réseau d’actine, cette fois-ci dans le but d’assurer leur motilité intra- ou intercellulaire. De ce
fait, une interaction directe entre la bactérie et le cytosquelette est nécessaire (Stevens et al.,
2006). Les bactéries possèdent donc des protéines dédiées à cette motilité et capables
d’interagir avec le système de polymérisation des filaments d’actine.
         Listeria induit le recrutement et la polymérisation d’actine en exprimant une protéine
de surface ActA qui se lie au complexe Arp2/3, ce dernier formant un pont entre ActA et
l’actine (Welch et al., 1998). Il en résulte la formation d’un réseau de filaments d’actine,

                                                42
Introduction


nommé « queue d’actine » (actin-tail) que la bactérie peut contrôler grâce à l’intervention de
plusieurs autres protéines telles que la cofiline, la profiline ou l’α-actinine qui permettent de
moduler la densité et les mouvements des filaments (Cossart & Sansonetti, 2004). Shigella,
quant à elle, exprime une protéine extracellulaire IcsA capable de recruter une protéine N-
WASP (Neural Wiskott–Aldrich syndrome protein), fonctionnellement et structuralement liée
à la protéine ActA de Listeria, qui active elle aussi le complexe Arp2/3 et, de ce fait, induit la
formation du réseau d’actine à un pôle de la bactérie (Suzuki & Sasakawa, 1998). Il en est de
même pour la bactérie Rickettsia qui utilise également cette queue d’actine par l’intermédiaire
d’un mécanisme identique faisant intervenir la protéine RickA (Gouin et al., 2004).
         En plus de ce réseau d’actine, certains pathogènes utilisent d’autres protéines du
réseau de cytosquelette, comme les kinésines et les dynéines associées aux microtubules. Ils
interagissent avec ces « moteurs » pour se déplacer également dans le cytoplasme de la cellule
(McNiven & Marlowe, 1999). C’est le cas de Campylobacter jejuni qui se déplace le long des
filaments de microtubules grâce aux dynéines (Hu & Kopecko, 1999). Ce mode de transport a
été également observé chez Chlamydia trachomatis pour qui, l’inhibition de la dynéine
cellulaire réduit de manière considérable l’infectivité (Clausen et al., 1997).


         3. Déterminants génétiques de la transmission de Spiroplasma citri

             3.1. Transmission expérimentale de S. citri

         Au début du repas sur une plante infectée par S. citri, la cicadelle vectrice, Circulifer
haematoceps, fait tout d’abord plusieurs piqûres d’essai afin d’identifier la plante. Au moment
de la piqûre, ce dernier sécrète une salive dite coagulante qui, en se solidifiant au contact de
l’air, va former une gaine protégeant les stylets. Juste avant l’ingestion, il sécrète une salive
plus aqueuse contenant des enzymes (amylases, protéases, oligosaccharases) aidant à la
digestion de la sève (Backus & McLean, 1985). Les spiroplasmes présents sont alors ingérés
avec cette sève. Après un temps de latence nécessaire à S. citri pour coloniser l’insecte et
gagner les glandes salivaires de celui-ci (5 à 6 jours), le spiroplasme est de nouveau injecté,
au cours du prochain repas de l’insecte, dans le phloème d’une nouvelle pervenche. Après une
période d’incubation de 2 à 3 semaines pour la souche GII3, les premiers symptômes
apparaissent sur les pervenches infectées. Les symptômes développés par la pervenche de
Madagascar, infectée par S. citri, ont été décrits (Bové et al., 1978; Calavan & Oldfield,
1979).



                                                43
1:
                                 AC




                                                                          N
                                                                         O
                                      QU




                                                                       SI
                                         IS




                                                                     IS
                                            IT                                 Pervenche




                                                                   SM
 Pervenche                                     IO




                                                                 AN
                                                 N                               saine
  infectée



                                                               TR
                                                          2:
                        LE
                        A




                                                 Insecte vecteur
                     IN
                BD ION
                  OM
            AA CT
          TR JE
        IN : IN




                                                        3: R
       4




                                                               EC
                                                                  RA
                                                                    CH
                                                                      AG
                                                                        E




Culture de
 S. citri


   Figure I.12: Différents systèmes disponibles au laboratoire permettant l’étude de la
                                 transmission de S. citri
Introduction


       Afin d’étudier les mécanismes mis en jeu au cours de la transmission de S. citri par
l’insecte, des sytèmes expérimentaux d’acquisition et de transmission ont été mis au point au
laboratoire (figure I.12, étapes 1 et 2).
       De plus, un système expérimental permet d’injecter une culture de S. citri directement
dans l’hémolymphe de l’insecte, court-circuitant ainsi le franchissement de la barrière
intestinale, afin de se concentrer uniquement sur le franchissement de la barrière des glandes
salivaires (figure I.12, étape 3)(Foissac et al., 1997). Il est également possible de réaliser des
tests d’inoculation de S. citri par C. haematoceps à travers une membrane de Parafilm®
(figure I.12, étape 4)(Foissac et al., 1996). L’acquisition de spiroplasme par l’insecte peut
également être étudiée en plaçant ces derniers sur une plante infectée ou sur une culture de la
bactérie.


            3.2. Identification de protéines chez S. citri candidates dans la
                transmission

       La mise au point d’outils génétiques comme la mutagénèse par l’utilisation de
transposons, la disruption de gènes par recombinaison homologue et les vecteurs
plasmidiques ont permis de produire et de complémenter des mutants affectés dans leur
transmission (Foissac et al., 1997; Renaudin & Lartigue, 2005). Ces derniers, étudiés dans les
systèmes de transmission expérimentaux disponibles, ont pu mettre en évidence l’implication
de protéines dans la transmission du spiroplasme par son insecte vecteur. C’est ainsi que la
spiraline, protéine majoritaire du spiroplasme, mais aussi la protéine Sc76, une lipoprotéine
présentant des homologies avec une « Solute Binding Protein » d’un ABC transporteur de
glucose, ont été impliquées (Boutareaud et al., 2004 ; Duret et al., 2003).
      Certaines souches de S. citri se multiplient dans l’hémolymphe, mais ne peuvent pas
être transmises à la plante hôte par la cicadelle infectée. C’est le cas des souches R8A2 et
Israël qui, maintenues dans la pervenche par greffage pendant plusieurs années, ne peuvent
plus être transmises par Circulifer haematoceps (Bové, 1988). Il est est de même pour la
souche 44 maintenue sur agrumes depuis de longues années même si elle reste toujours
pathogène. Les mêmes caractéristiques ont également été observées pour la souche BR3-G
Circulifer tenellus (Wayadande & Fletcher, 1995). De plus, les cicadelles sont incapables
d’acquérir cette souche en se nourrissant sur une suspension de spiroplasmes. Ces premières
données suggèrent que les franchissements des barrières de l’insecte par le spiroplasme
semblent être contrôlés par des protéines dont l’expression pourrait être perdue lorsque le
spiroplasme est maintenu dans la plante ou en culture in vitro sans passage dans l’insecte. Les

                                               44
Introduction


souches maintenues dans un tel système, en plus d’être associées à un phénotype de non-
transmissibilité, montre un protéome et un profil plasmidique différent de la souche GII3 de
référence. Une corrélation a pu être établie entre la présence des plasmides pSci et la
transmissibilité de cette bactérie par son insecte vecteur (Berho et al., 2006; Killiny et al.,
2006). Afin d’évaluer leurs contributions respectives au phénotype de transmissibilité, les
plasmides pSci 1 à 6 de la souche transmissible GII3 ont été introduits dans la souche non
transmissible 44, et la transmissibilité de transformants a été déterminée. Il est apparu que
seuls les transformants possédant le pSci6 sont transmis avec toutefois une efficacité moindre
que celle de la souche transmissible GII3 (Berho et al., 2006). Ces résultats indiquent que
contrairement aux autres plasmides pSci, le plasmide pSci6 porte des déterminants essentiels
à la transmission. Les premiers de ces déterminants appartiennent à une famille multigénique,
les protéines ScARPs (S. citri adhesion related proteins). Ces protéines membranaires
présentent de fortes homologies avec la protéine ARP1 de S. citri souche BR3 (Berg et al.,
2001) qui est impliquée dans l’adhésion in vitro aux cellules d’insectes (Yu et al., 2000).
Dans la souche de S. citri GII3, 8 gènes codent pour 8 protéines ScARPs qui sont portées par
les plasmides pSci 1 à 5 (Berho et al., 2006). Elles contiennent un peptide signal, de six à huit
séquences répétées qui pourraient servir de domaine de liaison à un ligand comme celles qui
interviennent dans les systèmes à deux composants impliqués dans la transduction de signal
intervenant dans la virulence bactérienne (Cossart, 2004). De plus, la présence d’un signal de
localisation nucléaire a également été prédite sans que son rôle ne soit élucidé. Sa présence
suggère néanmoins un éventuel rôle d’effecteur capable de modifier l’expression des gènes de
la cellule hôte.
        La protéine P32 constitue un autre déterminant porté par ce plasmide pSci6 et qui
pourrait intervenir dans la transmission du spiroplasme. Cette protéine hydrophile de 238
acides aminés ne possède pas de domaines caractéristiques et ne présente aucune homologie
avec des protéines connues. L’introduction du gène p32 dans la souche 44 semble modifier la
localisation des spiroplasmes au niveau des glandes salivaires. En revanche, elle ne permet
pas de restaurer la transmissibilité (Killiny et al., 2006).
        La comparaison des cartes protéique des souches transmissibles et non-transmissibles
de S. citri a permis de confirmer l’absence de ces déterminants, à savoir les protéines ScARPs
et la protéine P32, chez la souche non-transmissible 44.
        Plus récemment, l’implication plus ciblée d’une CDS présente sur la pSci6 a été
décrite. Cette région codante, annotée traG, est requise pour la transmission de S. citri par
l’insecte vecteur C. haematoceps (Breton et al., 2010). Ce gène code une protéine qui

                                                 45
Introduction


présente des homologies avec la partie C-terminale d’ATPases de la famille des TraG/VirD4
impliquées dans les systèmes de sécrétion de type IV. Cette protéine cytosolique, bien
qu’atypique pour être impliquée dans la transmission du spiroplasme, pourrait permettre à
celui-ci de franchir la barrière des glandes salivaires ou de survivre à l’intérieur des cellules
de l’insecte. En effet, un spiroplasme dépourvu de cette protéine peut se multiplier dans
l’hémolymphe mais semble incapable de rejoindre le canal salivaire afin d’être injecté à la
plante (Breton et al., 2010).


       L’adhésion aux cellules, comme évoqué précédemment, est considérée comme une
étape essentielle du processus de colonisation des tissus (Pizarro-Cerda & Cossart, 2006).
Chez S. citri, les protéines impliquées dans l’adhésion sont encore peu nombreuses et leurs
rôles sont assez mal compris. Même si la protéine Sc76 ainsi les protéines ScARPs,
contribuant à la transmission, semblent pouvoir assumer ce rôle d’adhésines, à ce jour, seule
la spiraline a été impliquée dans une interaction avec les protéines d’insectes (Killiny et al.,
2005). A l’origine, la spiraline est connue pour former un « manteau » protecteur à la surface
du spiroplasme (Castano et al., 2002). Cependant, cette lipoprotéine a été démontrée comme
étant une protéine de type lectine pouvant interagir avec deux glycoprotéines de l’insecte
vecteur C.haematoceps (Killiny et al., 2005). Elle semble donc être une candidate idéale pour
avoir ce rôle chez S. citri dans l’adhésion aux cellules d’insectes, étape indispensable au
franchissement des barrières intestinale et des glandes salivaires.
       La mise au point récente, au laboratoire, d’une lignée cellulaire Ciha-1 de l’insecte
vecteur C. haematoceps ouvre la voie à l’étude de l’invasion de S. citri dans les cellules de
son hôte (Duret et al., 2009).


IV. Situation du sujet et objectifs de recherche

       Les objectifs de cette thèse font partie intégrante de la thématique développée au
laboratoire afin d’élucider les mécanismes moléculaires impliqués dans la transmission de S.
citri. Au début de ce travail, la spiraline, la P32, les ScARPs ainsi que la protéine Sc76,
étaient identifiées comme des protéines candidates dans la transmission mais seule une
interaction entre la spiraline et les protéines de l’insecte avait été démontrée. De plus, aucune
de ces protéines ne semblaient essentielle à ce processus. Mon but était donc de mettre en
évidence des interactions entre les protéines de S. citri et celles de son insecte vecteur puis
d’identifier les protéines impliquées dans celles-ci.


                                               46
Introduction


       Le premier chapitre de ce mémoire présente les résultats de la technique utilisée pour
étudier les interactions entre les protéines de S. citri et celles de son insecte vecteur.
L’identification d’une interaction entre la PGK et l’actine de l’insecte fait plus
particulièrement l’objet de ce chapitre.
       Dans le second chapitre sont présentés les résultats obtenus pour définir la région
minimale de la PGK impliquée dans l’interaction avec l’actine. Sont également signalés dans
ce chapitre, les effets de cette interaction sur la transmission de S. citri par la cicadelle C.
haematoceps.
       Le troisième chapitre est consacré aux tentatives d’obtenir un mutant dépourvu de
PGK afin d’étudier sa transmissibilité par l’insecte.
       Aucune protéine n’étant impliquée seule dans la transmission, la recherche des
complexes multi-protéiques impliqués dans celle-ci fera l’objet du chapitre 4. Les deux
méthodologies utilisées, à savoir la technique de BN PAGE (Blue Native PAGE) et
l’utilisation d’agents pontants, ainsi que les résultats obtenus, seront discutés




                                                47
Chapitre 1
Figure 1.1: Schéma montrant le franchissement par S. citri des deux barrières de son insecte
 vecteur ainsi que les changements de morphologie du spiroplasme au cours de son circuit.
(D’après Fletcher et al., 1998).
Chapitre 1


                     Interactions protéine-protéine entre S. citri
                   et son insecte vecteur Circulifer haematoceps


I. Introduction et objectifs

          La cicadelle identifiée dans les pays du pourtour méditerranéen comme hôte de S. citri
est Circulifer haematoceps (Fos et al., 1986). La souche de référence de S. citri, étudiée dans
notre pathosystème, a été isolée pour la première fois à partir d’un insecte C. haematoceps
capturé au Maroc (Vignault et al., 1980). Les transmissions expérimentales effectuées au
laboratoire, par injection intra abdominale de S. citri dans cette cicadelle, ont révélé qu’elle
était capable de le transmettre à la pervenche de Madagascar, Catharanthus roseus.
          La transmission de S. citri par C. haematoceps est caractérisée par plusieurs facteurs
qui lui sont propres. Premièrement, elle est spécifique ce qui signifie qu’une seule espèce
d’insecte vecteur ou quelques espèces proches sont capables de transmettre le spiroplasme à la
plante. De plus, elle se déroule selon un mode circulant-multipliant nécessitant donc une
colonisation de l’insecte. Enfin, elle est persistante ; un insecte infecté le reste tout au long de
sa vie.
          Au cours de son circuit dans C. tenellus, autre vecteur de spiroplasme en Californie,
celui-ci doit franchir deux barrières, à savoir la barrière intestinale et celle des glandes
salivaires (figure 1.1) (Fletcher et al., 1998).
Plusieurs questions se posent concernant ce mécanisme de transmission et les protéines
intervenantes :
           Des protéines de S. citri sont-elles impliquées dans ces franchissements en
interagissant directement avec des protéines de l’insecte vecteur ? Si oui, quelles sont-elles ?
           Les mêmes protéines sont-elles impliquées dans le franchissement des deux barrières
ou existe-t-il des protéines intervenant spécifiquement dans le passage de l’une de ces deux
barrières ?
           Ces protéines participent-elles aux étapes d’adhésion et d’internalisation au cours du
franchissement de l’une de ces barrières biologiques ?
           Comment le spiroplasme fait-il pour se déplacer à l’intérieur des cellules de
l’insecte ? Est-ce par l’intermédiaire du « tip » ? Si oui, quelles sont les protéines impliquées
dans cette structure ?




                                                   48
Chapitre 1


        Les travaux réalisés par Killiny et collaborateurs en 2005 ont permis de répondre à la
première question qui a été déterminante pour la suite de cette étude. En effet, par la mise au
point d’une technique in vitro d’interaction protéine-protéine, le far Western, des interactions
ont été démontrées entre S. citri et C. haematoceps (Killiny et al., 2005). Ces interactions, au
nombre de sept, impliquent des protéines d’insecte de masses moléculaires variables. De plus,
deux de ces protéines, ayant des masses moléculaires de 50 et 60 kDa, sont des glycoprotéines
et ont été directement impliquées dans une interaction de type glycoprotéine-lectine avec la
spiraline de S. citri.
        Au début de ce travail de thèse, la spiraline est donc la seule protéine de spiroplasme
impliquée dans une interaction avec des protéines d’insecte. Cependant, un mutant dépourvu
de spiraline est transmis par la cicadelle C. haematoceps à la pervenche mais l’efficacité de
transmission est moindre comparée à celle du sauvage (Duret et al., 2003). Il faut donc
admettre que d’autres protéines de spiroplasmes, liées ou non à la spiraline, interviennent dans
la transmission de S. citri par son insecte vecteur.
        Afin d’identifier de nouvelles protéines impliquées dans des interactions avec
l’insecte, la technique de far Western a été utilisée pour mettre en évidence des interactions
entre les protéines des glandes salivaires de l’insecte et celles de S. citri. En effet, sachant que
la dernière étape essentielle au cours de la transmission est le franchissement de la barrière
des glandes salivaires et, étant donné que le prélèvement de ces dernières est relativement aisé
chez la cicadelle, la plupart de mes études ont porté sur les protéines de cet organe. Cette
technique, dont le principe est détaillé dans le chapitre Matériels et Méthodes, permet la
détection in vitro des interactions protéines-protéines. Elle trouve ses origines dans les travaux
sur les interactions entre les protéines de Bacillus thuringiensis et son insecte vecteur
(Hofmann et al., 1988). Des résultats intéressants ont également été obtenus dans l’étude des
interactions entre les virus végétaux et leurs cellules hôtes (Morin et al., 2000) et les
interactions de type lectine-sucre conférant la résistance à une espèce de riz transgénique
exprimant cette lectine vis-à-vis de deux insectes, Nephotettix virescens et Nilaparvate lugens
(Foissac et al., 2000). Le principal avantage de cette technique par rapport à d’autres
techniques de détection d’interactions protéine-protéine (double hybride, TAP-tag, GST-
pulldown, etc…) est qu’elle ne nécessite pas l’expression hétérologue de protéines. En effet,
l’utilisation du codon UGA comme codon tryptophane chez S. citri oblige la mutation de
chacun d’entre eux lors d’une expression chez E. coli. Une technique nécessitant l’expression
de protéines n’était donc pas envisageable pour une étude comme celle-ci, cherchant à
identifier, dans le protéome total du spiroplasme, des protéines candidates impliquées dans la

                                                49
Chapitre 1


transmission. Cet avantage en fait la technique idéale pour une analyse sans a priori afin
d’obtenir des candidats qui seront alors testés par d’autres techniques plus fines.


       Par la suite, l’identification d’un candidat chez C. haematoceps nous a incités à
rechercher le partenaire de cette protéine d’insecte et à rechercher le rôle d’une telle
interaction au niveau de la transmission de S. citri par son insecte vecteur. Les résultats sont
regroupés dans la publication intitulée « Entry of Spiroplasma citri into Circulifer
haematoceps cells involves interaction between spiroplasma phosphoglycerate kinase and
leafhopper actin ».
       Quelques résultats complémentaires concernant notamment la technique de far
Western ainsi que quelques points clés des travaux présentés dans cette publication, seront
également détaillés au cours de ce chapitre.




                                               50
Figure 1




        Figure 2




                                                             Figure 3

                    Figure 4




                                                   Figures 5 et 6


Figure 1.2: Principales figures extraites de la publication n°1 (Labroussaa et al., 2010)
Chapitre 1


II. Résultats et discussion
        1. Publication 1

      Les résultats obtenus au cours de ce premier chapitre sont publiés dans Applied and
Environmental Microbiology sous le titre « Entry of Spiroplasma citri into Circulifer
haematoceps cells involves interaction between spiroplasma phosphoglycerate kinase and
leafhopper actin ». Les points essentiels de ce travail sont résumés ci-dessous et les figures
nécessaires à sa compréhension sont représentées sur la figure 1.2.


         Le far Western monodimensionnel (1-D) entre les protéines totales d’insectes et
celles de S. citri montre que des protéines du spiroplasme interagissent avec cinq protéines
des glandes salivaires de Circulifer haematoceps (Figure 1A). Parmi ces protéines, la protéine
localisée à 42 kDa a été identifiée comme étant l’actine de l’insecte vecteur.


         Cette interaction entre S. citri et l’actine de son insecte vecteur a été confirmée par
microscopie confocale sur des glandes salivaires de C. haematoceps infectées par S. citri
(Figure 1B).


         Par chromatographie d’affinité, le partenaire de l’actine de l’insecte a été identifié
comme étant la phosphoglycérate kinase de S. citri (Figure 2, piste 4).


         La production et la purification de la His6-PGK de S. citri ont permis de confirmer
l’interaction entre les deux partenaires et ce, à la fois en far Western 1-D à l’aide d’un
anticorps anti-actine (Figure 3) ainsi qu’en microscopie confocale sur des cellules de C.
haematoceps en culture et incubées avec cette PGK recombinante (Figure 4).


         L’incubation des cellules de C. haematoceps avec différentes concentrations de la
His6-PGK a montré que cette dernière n’avait aucun rôle dans l’adhésion aux cellules
d’insectes (Figure 5) mais intervenait, de manière dose-dépendante, dans l’internalisation des
cellules d’insecte (Figure 6).




                                               51
APPLIED AND ENVIRONMENTAL MICROBIOLOGY, Mar. 2010, p. 1879–1886                                                                   Vol. 76, No. 6
0099-2240/10/$12.00 doi:10.1128/AEM.02384-09
Copyright © 2010, American Society for Microbiology. All Rights Reserved.



          Entry of Spiroplasma citri into Circulifer haematoceps Cells
           Involves Interaction between Spiroplasma Phosphoglycerate
                         Kinase and Leafhopper Actinᰔ
       Fabien Labroussaa, Nathalie Arricau-Bouvery, Marie-Pierre Dubrana, and Colette Saillard*
                INRA et Universite Victor Segalen Bordeaux 2, UMR 1090 Genomique Diversite Pouvoir Pathogene,
                                 ´         ´                            ´                ´               `
                            71 Avenue Edouard Bourlaux BP 81, F-33883 Villenave d’Ornon, France
                                           Received 1 October 2009/Accepted 18 January 2010

            Transmission of the phytopathogenic mollicutes, spiroplasmas, and phytoplasmas by their insect vectors
         mainly depends on their ability to pass through gut cells, to multiply in various tissues, and to traverse the
         salivary gland cells. The passage of these different barriers suggests molecular interactions between the plant
         mollicute and the insect vector that regulate transmission. In the present study, we focused on the interaction
         between Spiroplasma citri and its leafhopper vector, Circulifer haematoceps. An in vitro protein overlay assay
         identified five significant binding activities between S. citri proteins and insect host proteins from salivary
         glands. One insect protein involved in one binding activity was identified by liquid chromatography-tandem
         mass spectrometry (LC-MS/MS) as actin. Confocal microscopy observations of infected salivary glands re-




                                                                                                                                                    Downloaded from aem.asm.org at INRA on April 6, 2010
         vealed that spiroplasmas colocated with the host actin filaments. An S. citri actin-binding protein of 44 kDa was
         isolated by affinity chromatography and identified by LC-MS/MS as phosphoglycerate kinase (PGK). To
         investigate the role of the PGK-actin interaction, we performed competitive binding and internalization assays
         on leafhopper cultured cell lines (Ciha-1) in which His6-tagged PGK from S. citri or purified PGK from
         Saccharomyces cerevisiae was added prior to the addition of S. citri inoculum. The results suggested that
         exogenous PGK has no effect on spiroplasmal attachment to leafhopper cell surfaces but inhibits S. citri
         internalization, demonstrating that the process leading to internalization of S. citri in eukaryotic cells requires
         the presence of PGK. PGK, regardless of origin, reduced the entry of spiroplasmas into Ciha-1 cells in a
         dose-dependent manner.


   Phloem-feeding leafhoppers transmit plant pathogenic mol-                interacts with the insect microfilament complex and that inter-
licutes, spiroplasmas, and phytoplasmas from plant to plant in              action plays an important role in determining the insect vector
a persistent propagative manner (26, 43). These phytopatho-                 specificity (48). Several other immunodominant membrane
genic mollicutes are restricted to phloem and to certain vector             proteins from various phytoplasmas have been mentioned in
tissues; thus, their vectors are phloem sap-feeding specialists.            the literature as candidates for involvement in host-phyto-
After being ingested from plant phloem by their insect vectors,             plasma interactions (29, 30).
they traverse the insect gut wall, move into the hemolymph,                    Spiroplasma citri, the first phytopathogenic mollicute avail-
where they multiply, and invade the salivary glands (20, 33, 34,            able in culture (45), has emerged as an outstanding model for
36). During their movements in the insect vector until its trans-           studying spiroplasma interactions with its two hosts: the peri-
mission to a new host plant, spiroplasmas and phytoplasmas                  winkle plant and the insect vector Circulifer haematoceps. Fol-
must traverse two major physical barriers, namely, the insect               lowing observations of membrane-bound cytoplasmic vesicles
intestine and the salivary gland (35, 53). Until now, little was            of midgut epithelium and salivary gland cells, S. citri was hy-
known about the molecular and cellular interactions contrib-                pothesized to cross these physical barriers by receptor-medi-
uting to the crossing of these physical barriers. Several lines of          ated cell endocytosis (3, 33, 39). Several S. citri protein candi-
evidence suggest that host-pathogen interactions could be a                 dates have been identified as involved in transmission and, for
prerequisite for invasion and colonization of insect vector or-             a few of them, in an interaction with leafhopper vector pro-
gans (2, 48, 53). For human and animal pathogenic mollicutes,               teins. Spiralin, the most abundant membrane protein, was sus-
it is well established that successful colonization of the host             pected to be involved in the transmission for two reasons: (i) a
cells requires adhesion as the first step. This event is mediated            S. citri spiralinless mutant was less effective in its transmissi-
by surface proteins, and among these proteins adhesins play an              bility (19); (ii) spiralin acted in vitro as a lectin able to bind to
important role (8, 44). Recently, it was reported that an anti-             glycoproteins of insect vectors and therefore might function as
genic membrane protein (Amp) of onion yellow phytoplasma                    a ligand able to interact with leafhopper receptors (32). In
                                                                            addition, the ability of S. citri to be transmitted by C. haema-
                                                                            toceps is clearly affected by disruption of a gene predicted to
  * Corresponding author. Mailing address: UMR 1090 Genomique
                                                        ´                   encode a lipoprotein with homology to a solute-binding pro-
Diversite Pouvoir Pathogene, INRA, Universite Victor Segalen Bor-
        ´               `                     ´       ´                     tein of an ABC transporter (14). The proteome of nontrans-
deaux 2, 71 Avenue Edouard Bourlaux BP 81, F-33883 Villenave
d’Ornon, France. Phone: 33 5 57 12 23 62. Fax: 33 5 57 12 23 69.
                                                                            missible S. citri strains specifically lacks adhesion-related pro-
E-mail: saillard@bordeaux.inra.fr.                                          teins (ScARPs) and the membrane-associated protein P32
  ᰔ
    Published ahead of print on 29 January 2010.                            present in the proteome of transmissible strains (12, 13, 31).

                                                                     1879
1880       LABROUSSAA ET AL.                                                                                                           APPL. ENVIRON. MICROBIOL.


These proteins are encoded by plasmids pSci1 to -6 (46), which                                 TABLE 1. Primers used for site-directed mutagenesis
are present only in transmissible strains, and ScARPs share                                                    of S. citri PGKa
strong similarities with the adhesion-related protein SARP1 of                            Primer                      Sequence (5Ј33Ј)b                       Positionc
S. citri strain BR3, in which the presence has been correlated to
                                                                                       PGK-F             GTGAGAATTCGGATTTCATATG                             Ϫ19 to ϩ9
the ability for the spiroplasma to adhere to insect cells in vitro                                         ACAAAC
(9, 55). The specific interactions of S. citri with eukaryotic cells                    PGK-W1F           CTTTAGGGAAATATTGGGCAAG                             449–471
remain to be elucidated, but a combination of the effects of                           PGK-W1R           CTTGCCCAATATTTCCCTAAAG                             449–471
several proteins or a complex would be necessary to explain the                        PGK-W2F           GTTACTTGGAATGGGCCAATG                              991–1011
invasion of a variety of host cell types by S. citri (33).                             PGK-W2R           CATTGGCCCATTCCAAGTAAC                              991–1011
                                                                                       PGK-R             TTATGAAGCTTTTATTTACTTTG                           1222–1250*
   Nevertheless, in the last sequence of events involved in insect                                         AACAGC
vector transmission, the first contact and recognition for the effi-
                                                                                         a
                                                                                           All regions were amplified using the respective mutagenic forward and re-
cient penetration of the salivary gland cells represents an essential                  verse primers, as required. Overlapping fragments with changes were then an-
step. In the present study, confocal images of infected salivary                       nealed and amplified using PGK-F and PGK-R to generate full-length products.
                                                                                         b
glands show the localization of S. citri cells along the actin fila-                        Introduced EcoRI, HindIII, and NdeI sites are underlined, and changed
                                                                                       nucleotides are shown in bold.
ments. We report the results of the first attempt to decipher the                         c
                                                                                           A negative value indicates an position upstream from the adenine nucleotide
role of the spiroplasma’s phosphoglycerate kinase (PGK) in the                         of the starting ATG codon. *, 11 nucleotides are downstream of the stop codon
internalization of S. citri in its insect vector’s cells.                              located at position 1239.



                         MATERIALS AND METHODS
                                                                                       immersed in fixative (4% paraformaldehyde in PBS plus 0.2% Triton X-100)
   Spiroplasma strain, leafhoppers, and cell line culture. S. citri GII3, originally   overnight at 4°C. Then, fixed salivary glands were rinsed three times with PBS




                                                                                                                                                                             Downloaded from aem.asm.org at INRA on April 6, 2010
isolated from its leafhopper vector C. haematoceps captured in Morocco (52),           with 0.2% Triton X-100 and permeabilized with PBS containing 1% Triton
was cultivated in SP4 medium (50) at 32°C.                                             X-100 (PBS-T) overnight at 4°C followed by an incubation in blocking buffer
   Healthy C. haematoceps leafhoppers were reared in an insect-proof cage on           (PBS-T plus 1% bovine serum albumin [BSA]) for 1 h at RT. S. citri polyclonal
stock plants (Mattiola incana) at 30°C. Microinjection of S. citri GII3 into C.        antibodies diluted 1:500 in PBS containing 1% BSA were added for 2 h. They
haematoceps has been described previously (21). Injected leafhoppers were              were washed in PBS and treated with Alexa 488-conjugated goat anti-rabbit IgG
maintained for 2 weeks on stock plants before salivary glands were removed.            (Invitrogen) at a 1:200 dilution, and simultaneously F-actin was stained by Alexa
   The nonphagocyte cell line Ciha-1 (Circulifer haematoceps 1) (18) was cultured      568-phalloidin (Invitrogen) at a 1:40 dilution in PBS containing 1% BSA for 1 h
at 32°C in Schneider’s Drosophila medium (Invitrogen) supplemented with 1%             at RT. After three washings in PBS, they were then mounted with ProLong Gold
histidine buffer (0.057 M histidine monohydrate, pH 6.2), 10% Grace’s insect cell      antifade reagent (Invitrogen). The specificity of immunostaining was evaluated
culture medium, 0.5% G-5 supplement, and 10% (vol/vol) heat-inactivated fetal          by omitting the antibodies against S. citri proteins. Immunofluorescence samples
bovine serum.                                                                          were imaged using a TCS SP2 upright Leica confocal laser scanning micro-
   Far Western blotting experiments. Leafhopper salivary glands were dissected         scope, with a 40ϫ water immersion or 63ϫ oil immersion objective lens at
in phosphate-buffered saline (PBS; 2 mM KH2PO4, 8 mM Na2HPO4, 0.14 M                   1,024 by 1,024 pixel resolution. The images were coded green (Alexa 488) and
NaCl, 2 mM KCl [pH 7.4]) containing 1 mM phenylmethanesulfonylfluoride                  red (Alexa 568).
(PMSF). Glands were stored frozen in buffer at Ϫ20°C until use. Glands were               Partial purification of S. citri proteins involved in an interaction with actin.
transferred to a potter Elvehjem grinder containing the same buffer and homog-         Polyclonal antibodies against chicken actin (Sigma) were linked to protein
enized. Then the mixture was centrifuged for 1 min at 10,000 ϫ g. The protein          A–Sepharose CL-4B according to the manufacturer’s manual (GE Healthcare).
concentration was determined by the Bradford procedure. Proteins were not                                                  ¨
                                                                                       All steps were conducted on an AKTA purifier liquid chromatography system
further purified, to avoid inadvertently removing proteins of interest. Aliquots of     (GE Healthcare). Noninfected leafhopper proteins were prepared as described
supernatant (20 ␮g) were fractionated by electrophoresis in a 12.5% SDS-PAGE           above for salivary gland proteins. To trap leafhopper actin with antiactin anti-
gel before transfer onto a nitrocellulose membrane according to the methods of         bodies, 1 mg of leafhopper proteins was loaded on the column and proteins
Killiny et al. (32). After transfer, all steps were conducted under low agitation.     bound nonspecifically to the actin column were eliminated with a 10-ml step
Membranes were blocked in 10 ml of PBS with 6% nonfat dry milk and incubated           using 2 M NaCl. Then, 500 ␮g of S. citri proteins, prepared as described in the
with 2 ml of S. citri proteins (20 ␮g/ml) in PBS overnight at 4°C. S. citri proteins   previous section for far Western experiments, was loaded on the actin column. S.
used as an overlay were prepared according to the methods described by Killiny         citri proteins bound to actin were eluted with a 0 to 2 M NaCl gradient (total
et al. (32) with a few modifications. Disruption of the cells was performed by          volume, 20 ml). All the eluted proteins were subjected to SDS-PAGE, followed
sonication (Vibracell sonicator; Sonics & Materials, Inc., Danbury, CT; rate of        by gel staining or far Western analysis. Nonspecific binding of S. citri proteins on
40% pulses/s, 50 W, 4°C; 1 min of sonication and 1 min on ice alternatively, three     protein A-Sepharose and/or on antiactin antibodies was highlighted by a control
times). After incubation, blots were washed with 50 ml of PBS buffer containing        experiment carried out without C. haematoceps proteins loaded on the column.
0.1% Tween 20 (PBS-Tween) and incubated in 10 ml of PBS containing 1%                  S. citri proteins eluted from such columns were also subjected to SDS-PAGE and
nonfat dry milk (antibody buffer) with purified polyclonal IgGs against total S.        far Western blotting. Far Western experiments were carried out according to the
citri proteins at a final concentration of 5 ␮g/ml for 1 h at room temperature          conditions described above. Blots of eluted proteins were incubated with a
(RT). After three washings with PBS-Tween, blots were incubated in 10 ml of            mixture of C. haematoceps proteins, and the binding activities were revealed with
antibody buffer with peroxidase-conjugated goat anti-rabbit IgGs (Sigma Al-            polyclonal antibodies against actin. Gels intended for mass spectrometry analysis
drich) at a 1:50,000 dilution at RT for 1 h. Blots were then washed in PBS-Tween       were stained with colloidal blue (38).
three times, followed by incubation with the substrate solution (Super Signal             Protein identification by LC-MS/MS. Proteins of interest were excised from
West Pico chemiluminescent substrate) according to the manufacturer’s instruc-         stained gel and digested with trypsin as previously described (31). The resulting
tions (Pierce, Rockford, IL). Then blots were exposed on X-ray film.                    digestion was used for peptide mass fingerprinting by liquid chromatography-
   Two micrograms of S. citri purified recombinant PGK was used in a far                tandem mass spectrometry (LC-MS/MS) as routinely performed on the proteo-
Western assay carried out to confirm interaction with leafhopper actin protein.         mics platform of the University of Bordeaux 2, France (22).
The blot of His6-tagged PGK was overlaid with 500 ␮g of total insect proteins.            Expression and purification of S. citri phosphoglycerate kinase recombinant
The experiment was conducted in a manner similar to that described above for           protein. S. citri uses the UGA opal codon to incorporate tryptophan rather than
the S. citri protein overlay assay except that anti-His monoclonal antibodies          a stop codon as in the universal genetic code (16). For PGK expression in
(MAb; Sigma) instead of S. citri polyclonal antibodies were used.                      Escherichia coli, the two opal codons contained in the gene were changed by
   Immunofluorescence analysis of salivary glands. Salivary glands from infected        site-directed mutagenesis by using overlap extension PCR (23). Primers used in
or noninfected C. haematoceps leafhoppers were dissected and incubated in 500          the PCR are presented Table 1. The amplified product of 1,239 bp corresponding
␮l of PBS containing 0.2% Triton X-100 at RT. All subsequent steps were                to the pgk gene, in which the two opal codons were replaced by TGG codons, was
performed in the same volume. Salivary glands were washed twice in PBS and             inserted in a plasmid (pBS) and the construct was used to transform E. coli
VOL. 76, 2010                                                                        S. CITRI PGK AND LEAFHOPPER ACTIN INTERACTION                                1881

DH10B. The gene of interest was then transferred into a plasmid pET28a(ϩ)                were fixed for 15 min in 500 ␮l of 4% formaldehyde at room temperature,
vector (Novagen), and 1 ␮g of the recombinant plasmid (pET28 FL) was used to             washed three times with 500 ␮l of PBS, and permeabilized by incubation for 15
transform E. coli DH10B. The desired sequence of the resulting plasmid (pET28            min with 500 ␮l of 0.1% Triton X-100 in PBS–1% BSA followed by another three
FL) was verified by sequencing the insert. Two micrograms of the pET28 FL                 times wash with 500 ␮l of PBS. Anti-His MAb at a 1:1,000 dilution was then
plasmid bearing the two desired mutations was used to transform E. coli                  added, followed by a secondary Alexa 514-conjugated rabbit anti-mouse antibody
BL21(DE3). Transformants were selected on Luria-Bertani (LB) solid medium                (1:200). Actin was stained with Alexa 568-phalloidin (1:40) and nuclei with 0.2
containing kanamycin (50 ␮g/ml) at 37°C.                                                 ␮g/ml of DAPI. The coverslips were rinsed once in water and were mounted onto
   To check the expression of the PGK fused to the N-terminal hexahistidine              slides as described above for salivary gland observations.
sequence under the control of an isopropyl-␤-D-thiogalactopyranoside (IPTG)-                The images were coded with blue (DAPI), green (Alexa 488), and red
inducible promoter, one transformant was cultivated in 500 ml of LB medium               (Alexa 568).
with kanamycin (30 ␮g/ml) until late log phase (optical density at 600 nm, 0.6).
The recombinant His6-tagged PGK protein was produced at 28°C in culture by
adding 0.1 mM IPTG for 3 h. Bacterial cells were centrifuged at 7,000 ϫ g for 10                                         RESULTS
min at 4°C, and then the pellet was resuspended in 10 ml of lysis buffer (50 mM
Tris-HCl [pH 8.0], 0.3 M NaCl, 25 mM MgSO4, 2.5 mM MnCl2, 1 mM PMSF,
                                                                                            In vitro protein interaction and in vivo colocalization of S.
and 100 unit/ml of DNase I). After 10 min of incubation at RT, lysozyme was              citri with host cytoskeleton. Salivary gland proteins from
added at 0.2 mg/ml for 10 min. The mixture was lysed by sonication (rate, 50%            healthy leafhoppers separated by SDS-PAGE in one dimen-
pulses/s; 50 W; 4°C; 1 min of sonication and 1 min on ice alternatively) until a         sion were stained with colloidal blue (Fig. 1A, lane 1) or blot-
clear lysate was obtained. The insoluble proteins were removed by subsequent             ted onto nitrocellulose and probed with S. citri proteins. Bind-
centrifugation at 13,000 ϫ g at 4°C for 10 min. The recombinant protein was
purified by affinity chromatography using Ni2ϩ-nitrilotriacetic acid (Ni-NTA)
                                                                                         ing levels were detected with polyclonal IgGs against total S.
prepacked columns (Qiagen) followed by cation exchange chromatography                    citri proteins. Spiroplasma proteins were found to bind to a set
                                                ¨
(Mono Q columns; GE Healthcare) on the AKTA purifier liquid chromatogra-                  of insect salivary gland proteins having apparent molecular
phy system (GE Healthcare) according to the manufacturer’s instructions.                 masses of 42, 35, 30, 27, and 25 kDa (Fig. 1A, lane 2). In the
   The purified recombinant His6-tagged PGK protein was tested with anti-His
                                                                                         control experiment, in which S. citri proteins were omitted




                                                                                                                                                                           Downloaded from aem.asm.org at INRA on April 6, 2010
MAb and antiactin polyclonal antibodies in a Western blot experiment con-
ducted as described previously (19).                                                     from the overlay assay, no leafhopper protein was recognized
   Effect of PGK on S. citri attachment and invasion. (i) Attachment of S. citri to      by polyclonal IgGs (Fig. 1A, lane 3). The protein band with a
Ciha-1 cells. Monolayers of Ciha-1 cells grown in 24-well plates (approximately          mobility of ϳ42 kDa was excised from the stained gel, washed,
2 ϫ 105 cells per well) were incubated with 900 ␮l of various concentrations of          and digested with trypsin prior to LC-MS/MS analysis. The MS
PGK from Saccharomyces cerevisiae (Sigma) or tagged PGK from S. citri in
culture medium. Cells without PGK treatment were the positive controls, and
                                                                                         spectra matched, in the NCBI nonredundant protein database,
uninfected cells served as negative controls. As additional controls, the effects of     those of actin from the fruit fly (Drosophila melanogaster),
BSA (Sigma) and those of His6-tagged eukaryotic initiation factor 4E (eIF4E)             brine shrimp (Artemia sp.), tapeworm (Diphyllobothrium den-
protein on S. citri adhesion were also assayed. Each assay condition was evalu-          driticum), and silk moth (Bombyx mori). The finding that actin
ated in triplicate. After incubation with proteins for 2 h at 32°C, the cells were
                                                                                         was involved in an in vitro interaction with S. citri proteins
infected with a 100-␮l S. citri culture at a multiplicity of infection (MOI) of 15 to
30 for 4 h at 4°C. Normally, this temperature allows spiroplasma attachment to           suggested that in vivo an interaction between S. citri and the
the cell surface but inhibits eukaryotic cell processes required for internalization.    insect actin cytoskeleton may be involved in spiroplasma inva-
Following the incubation, the cells were then washed three times with 500 ␮l of          sion of cells.
Schneider’s Drosophila medium to remove any spiroplasmas that had not at-                   Thus, the far Western results prompted us to explore by
tached to the monolayer. After trypsinization for 10 min at 32°C with TrypLE
(Invitrogen), dilutions of the cells associated with adherent spiroplasmas were
                                                                                         confocal laser scanning microscopy the location of S. citri in
directly plated on solid SP4 medium. After incubation at 32°C for 1 week, the            salivary glands. In those infected with S. citri (Fig. 1B), spiro-
number of spiroplasma colonies on each plate was counted to estimate the                 plasmas (green fluorescence) are preferentially present along
number of Ciha-1 cells that had adherent spiroplasmas (4). In addition, treat-           the actin filaments (red color). Salivary glands from nonin-
ment of spiroplasmas with trypsin alone in the absence of Ciha-1 cells had no
                                                                                         fected leafhoppers did not show spots of green fluorescence
effect on spiroplasma growth (18). The relative percentage of adhesion was
calculated as follows: [(number of CFU for cells with protein treatment)/(num-
                                                                                         specific to spiroplasmas (Fig. 1B).
ber of CFU for untreated control cells)] ϫ 100%. For statistical analysis, Stu-             Identification of one S. citri protein interacting in vitro with
dent’s t test was used when appropriate.                                                 actin. To determine the S. citri proteins interacting with actin,
   (ii) Spiroplasmal entry analysis. The effect of PGK treatment on the inter-           spiroplasma proteins were loaded on a column of leafhopper
nalization of S. citri into Ciha-1 cells was determined as previously described
                                                                                         actin that was trapped by antiactin antibodies linked to protein
using the gentamicin protection assay (4, 28). Until S. citri infection, all the steps
were the same as those described above for attachment. Infection by 100 ␮l of S.         A-Sepharose. The presence of actin in the mixture of leafhopper
citri culture at an MOI of 15 to 30 was carried out at 32°C for 18 h. The cells were     proteins used to prepare the column (Fig. 2A, lane 1) was con-
thereafter washed three times with 500 ␮l of Schneider’s Drosophila medium               firmed by Western blotting using antiactin antibodies (Fig. 2A,
under low agitation to remove unbound bacteria. In order to eliminate bacteria           lane 2).
that had attached but not internalized, cells were incubated with 1 ml of fresh
culture medium containing 400 ␮g/ml of gentamicin (10 times the MIC) for 3 h
                                                                                            As shown in Fig. 2A, lane 3, S. citri proteins eluted from the
at 32°C. Gentamicin was eliminated by three washes with 500 ␮l of Schneider’s            antiactin–protein A-Sepharose column were those captured on
Drosophila medium followed by three additional washes with the same volume               Sepharose and/or on actin antibodies (control experiment).
of PBS (1.54 mM KH2PO4, 155.17 mM NaCl, 2.71 mM Na2HPO4 ⅐ 7H2O; pH                       Figure 2A, lane 4, shows the profile of S. citri proteins eluted
7.2). After washes, a 100-␮l aliquot of the last wash was plated on SP4 medium
                                                                                         from the actin column. Comparison of the two protein patterns
to ensure that all extracellular bacteria had been killed (data not shown). Ciha-1
cells were trypsinized, plated on SP4 medium, and incubated at 32°C for 1 week.          revealed one protein at 44 kDa present among the proteins
The number of colonies on each plate was counted to determine the number of              bound to actin but absent in the control profile. To determine
cells in which S. citri was internalized.                                                whether this protein displayed an affinity for actin, a far West-
   Binding of His6-tagged PGK to Ciha-1 cells. To determine whether the contact          ern assay was performed using as overlay a mixture of whole
with Ciha-1 cells of His6-tagged PGK, BSA, and His6-tagged eiF4E has an effect
on actin cytoskeleton, cells were grown on coverslips in 24-well plates and
                                                                                         leafhopper C. haematoceps proteins containing actin. A signif-
prepared by the same process described above until infection with S. citri. After        icant binding activity located at approximately 44 kDa was
the three washes in 500 ␮l of Schneider’s Drosophila medium, cells on coverslips         revealed by rabbit antiactin IgGs followed by goat anti-rabbit
1882      LABROUSSAA ET AL.                                                                                              APPL. ENVIRON. MICROBIOL.




   FIG. 1. In vitro protein interactions and in vivo colocalization of S. citri with the actin filaments in leafhopper salivary glands. (A) Far Western
experiments: binding of S. citri proteins to C. haematoceps salivary gland proteins separated by SDS-PAGE. Lane 1, gel electrophoresis pattern
of salivary gland proteins (20 ␮g) stained with colloidal blue. Lane 2, blot from salivary gland proteins probed with S. citri proteins (20 ␮g). Anti-S.
citri polyclonal IgGs were used to detect bound spiroplasma proteins. Peroxidase-conjugated goat anti-rabbit IgGs were used as secondary
antibodies, and detection was performed with chemiluminescent substrate. Arrows on the right indicate the five significant binding activities
between S. citri proteins and insect salivary glands proteins with apparent molecular masses of 42, 35, 30, 27, and 25 kDa. Lane 3, control blot not
probed with S. citri proteins but subjected to the same treatment as mentioned for lane 2. The relative molecular masses are indicated on the left.




                                                                                                                                                           Downloaded from aem.asm.org at INRA on April 6, 2010
(B) Confocal images of noninfected and S. citri-infected C. haematoceps salivary glands. Fixed salivary glands were incubated with S. citri
antibodies. Detection was carried out with Alexa 488-conjugated anti-rabbit IgG (green fluorescence). Actin filaments were stained with Alexa
568-phalloidin (red). Photos to the right are higher magnifications of the areas outlined in white boxes. Bars, 20 ␮m.



antibodies labeled with peroxidase (Fig. 2A, lane 5). The cor-                reports indicating that PGK has actin-binding properties, we
responding protein band was excised from the colloidal blue-                  decided to focus our attention on it.
stained gel (Fig. 2A, lane 4) and used for MS analysis. Two                     In vitro and ex vivo interaction of S. citri tagged-PGK with
proteins of S. citri were identified, one with a molecular mass                leafhopper actin. (i) Purified tagged PGK binds leafhopper
of 44.5 kDa and a second with a mass of 46 kDa. Seven                         actin in a gel overlay assay. His6-tagged PGK purified by
identified peptides matched those of the PGK protein (44.5                     Ni2ϩ-NTA chromatography followed by cation exchange chro-
kDa) annotated as SPICI 03-024 in the sequence of S. citri                    matography was analyzed by SDS-PAGE (Fig. 3, lane 1). As
strain GII3 and covered 23.79% of the whole theoretical pro-                  expected, only one protein band was observed at 44 kDa, and
tein sequence (Fig. 2B). For the 46-kDa protein, nine peptides                the presence of the tag was confirmed in a Western blot assay
were identified as being a part of a lipoprotein (24%) anno-                   performed with anti-His MAb (Fig. 3B). To determine
tated as SPICI 03-098 in the S. citri genome. Due to previous                 whether His6-tagged PGK displays an affinity for actin, far




   FIG. 2. Partial purification and identification of the S. citri 44-kDa protein. (A) For purification of the actin-binding protein, a mixture of S.
citri proteins was loaded on an actin column composed of leafhopper actin trapped by antiactin antibodies linked to protein A-Sepharose. A control
experiment was carried out by omitting the leafhopper actin protein. Lane 1, the mixture of leafhopper proteins used to prepare the column was
analyzed by SDS-PAGE and stained with colloidal blue. Lane 2, proteins extracted from whole insects were transferred onto nitrocellulose
membranes. Saturated blots were probed with rabbit polyclonal antibodies against chicken actin, followed by immunological detection as previously
described (19). The band at 42 kDa reflects the presence of actin in the protein mixture and the specificity of the antiactin antibody. Lane 3, S.
citri proteins eluted from the antiactin protein A-Sepharose column were analyzed by SDS-PAGE. These proteins are linked to protein
A-Sepharose or/and to actin antibodies (control experiment). Lane 4, S. citri proteins eluted from the actin column were analyzed by SDS-PAGE.
Lane 5, binding of leafhopper proteins to S. citri proteins eluted from the actin column. The blot of S. citri proteins was probed with the mixture
of leafhopper proteins containing actin. Binding was detected with rabbit antiactin antibodies followed by goat anti-rabbit antibodies labeled with
peroxidase. Detection was performed with chemiluminescent substrate. Only one protein at 44 kDa was found to interact with leafhopper actin,
corresponding with the apparent molecular mass of the additional band present in lane 4. (B) LC-MS/MS analysis of the 44-kDa protein identified
phosphoglycerate kinase. Three distinct peptides matching the protein sequence are marked in bold. The underlined sequence in bold of 63 amino
acids consists of four separate peptides overlap by several amino acids: KIGNSLLEVDKVEIAKT, KTFLAKGQGKIILPIDALEAPEFADVP
AKV, KIILPIDALEAPEFADVPAKV, and KVTTGFDIDDGYMGLDIGPKT. Sequence coverage was 23.79%.
VOL. 76, 2010                                                           S. CITRI PGK AND LEAFHOPPER ACTIN INTERACTION                    1883


                                                                            actin protein present in the insect protein mixture (Fig. 3B).
                                                                            One additional control, to confirm that the binding signal in
                                                                            lane 2 was only due to the presence of actin in the insect
                                                                            preparation, revealed no reaction between the His6-tagged
                                                                            PGK preparation and antiactin antibodies (Fig. 3B).
                                                                               (ii) Purified His6-tagged PGK colocates with actin of leaf-
                                                                            hopper Ciha-1 cells. To see the potential effect of PGK protein
                                                                            on the host cell actin cytoskeleton, about 2 ϫ 105 Ciha-1 cells
                                                                            in insect culture medium were incubated with various quanti-
                                                                            ties of tagged PGK for 2 h at 32°C. As a control, Ciha-1 cells
                                                                            were treated with BSA, at concentration equal to that of PGK.
                                                                            As an additional control, the effect of an unrelated His6-tagged
                                                                            protein (eIF4E) on Ciha-1 cells was also assayed. Compared to
                                                                            untreated control cells (Fig. 4A), Ciha-1 cells treated for 2 h at
                                                                            32°C with 400 ␮g/ml of BSA (Fig. 4B) or tagged eIF4E (Fig.
                                                                            4C) showed no alteration in the cell cytoskeleton. In the three
   FIG. 3. In vitro interaction between S. citri His6-tagged PGK and        cases, the cells were of similar size, showed no obvious mor-
leafhopper actin. (A) Lane 1, His6-tagged PGK purified by Ni2ϩ-NTA           phological differences, and the actin filaments stained with
chromatography followed by cation exchange chromatography was an-           phalloidin were clearly visible. These observations suggested
alyzed by SDS-PAGE and stained with colloidal blue. Lane 2, a far
Western assay was performed using a leafhopper protein mixture with         that exogenous proteins and in particular the polyhistidine tag




                                                                                                                                                 Downloaded from aem.asm.org at INRA on April 6, 2010
actin as the overlay. Polyclonal antiactin antibodies were used to detect   have no effect on the Ciha-1 cells. When the cells were treated
an interaction. Peroxidase-conjugated goat anti-rabbit IgGs were used       with His6-tagged PGK (400 ␮g for 2 ϫ 105 cells), faint cellular
as secondary antibodies, and detection was performed with chemilu-          changes were observed and the major alterations were on the
minescent substrate. (B) Purified S. citri His6-tagged PGK and insect
proteins used in the far Western assays were tested with anti-His MAb       actin filaments (Fig. 4D). The immunofluorescent staining al-
and antiactin antiserum. M, molecular mass marker; relative molecular       lows the detection of distinct spots of aggregated tagged PGK
masses are indicated on the left.                                           (Fig. 4E) colocated with actin filaments (Fig. 4F). These ob-
                                                                            servations confirm the interaction observed in vitro between
                                                                            PGK and actin.
Western assays were performed using a leafhopper protein                       Treatment of Ciha-1 cells with tagged PGK has no effect on
mixture. One significant binding activity was revealed with                  spiroplasma attachment. If spiroplasmal PGK is involved in
rabbit antibodies against chicken actin (Fig. 3, lane 2), which             adhesion to host cell surfaces, adding exogenous PGK to
suggested an interaction between the His6-tagged PGK and                    Ciha-1 cells should competitively inhibit the attachment of S.




  FIG. 4. Colocalization of purified S. citri His6-tagged PGK with actin filaments in leafhopper
cells (Ciha-1). Confocal images show Ciha-1 cells untreated (A) or treated for 2 h with various
proteins at 400 ␮g/ml, BSA (B), His6-tagged eIF4E protein (C), and S. citri His6-tagged PGK
(D). The three images in panels D, E, and F represent the same area. Cells were stained for
nuclei with 4Ј,6-diamidino-2-phenylindole (blue). Cellular actin was stained with Alexa 568-
phalloidin (red; A, B, C, and D). (E) Detection of His6-tagged PGK was performed with
anti-His MAb serum followed by a secondary Alexa 514-conjugated rabbit anti-mouse antibody
(green). (F) Merged immunofluorescent images from those in panels D and E. The coincidence
of PGK and F-actin staining appears in yellow. Bars, 8 ␮m.
1884      LABROUSSAA ET AL.                                                                                              APPL. ENVIRON. MICROBIOL.




   FIG. 5. Effect of PGK treatment on S. citri attachment to Ciha-1              FIG. 6. Inhibition of S. citri invasion into Ciha-1 cells by PGK
cells. Monolayers of Ciha-1 cells were incubated for 2 h at 32°C with         treatment. Monolayers of Ciha-1 cells were incubated for 2 h at 32°C
various amounts of PGK from S. cerevisiae, and His6-tagged PGK from           with various amounts of PGK from S. cerevisiae, His6-tagged PGK
S. citri, BSA, or His6-tagged eIF4E. After incubation, the cells were         from S. citri, BSA, or His6-tagged eIF4E prior to infection with S. citri.
infected with S. citri at a MOI of 15 to 30 for 4 h at 4°C. Untreated cells   Following infection with S. citri at a MOI of 15 to 30 for 18 h at 32°C,
infected under the same conditions were the positive controls. Then,          the cells were treated with gentamicin (400 ␮g/ml) for 3 h at 32°C to
the cells were washed and plated on SP4 solid medium. After spiro-            kill attached spiroplasmas. Then, the cells were trypsinized and plated
plasma growth at 32°C, the number of colonies was counted to evaluate         on SP4 medium for counting the infected cells. Cells without protein




                                                                                                                                                           Downloaded from aem.asm.org at INRA on April 6, 2010
the number of cells associated with adherent spiroplasmas. Each value         treatment before infection were the positive controls. Each value rep-
represents the mean of two independent triplicate assays. Vertical lines      resents the mean of two independent triplicate assays. Vertical lines
represent standard error of the mean. Student’s t test was used, and no       represent standard errors of the means. *, significant differences (P Ͻ
statistical differences were found. Black bars, untreated cells; bars with    0.001; Student’s t test) between S. citri internalization with PGK, BSA,
diagonal hatching, S. cerevisiae PGK; brick-filled bars, S. citri His6-        and eIF4E treatment and S. citri internalization without any protein
tagged PGK; white bars, controls.                                             treatment. Black bars, untreated cells; bars with diagonal hatching, S.
                                                                              cerevisiae PGK; brick-filled bars, S. citri His6-tagged PGK; white bars,
                                                                              controls.


citri to this cell line. We took advantage of the PGK sequence
conservation among species to include in our experiment the                   Ciha-1 cells treated with ScPGK at a concentration of 50 ␮g/ml
commercially prepared PGK from S. cerevisiae (hereafter re-                   compared to untreated cells (P Ͻ 0.001) (Fig. 6). With the same
ferred to as ScPGK). Cells without PGK treatment were the                     concentration of S. citri His6-tagged PGK, the entry of spiroplas-
positive controls, and cells treated prior to infection with S. citri         mas in Ciha-1 cells was not noticeably affected. Higher concen-
with BSA and His6-tagged eIF4E were also included as a                        trations significantly diminished invasion by S. citri but less than
control. As seen in Fig. 5, no difference was observed between                with ScPGK. An S. citri His6-tagged PGK concentration of 50
the number of CFU obtained with untreated cells and those                     ␮g/ml reduced entry of spiroplasmas into Ciha-1 cells by 10%, at
obtained with cells preincubated with 50 or 400 ␮g/ml of BSA                  100 ␮g/ml by 30% (P Ͻ 0.001), at 200 ␮g/ml by 50% (P Ͻ 0.001),
or with 400 ␮g/ml of His6-tagged eIF4E. Preincubation of                      and at 400 ␮g/ml by 70% (P Ͻ 0.001).
Ciha-1 cells with either ScPGK (10, 25, 40, or 50 ␮g/ml) or
recombinant His6-tagged PGK from S. citri (10, 25, 40, 50, 100,                                           DISCUSSION
200, or 400 ␮g/ml) prior to incubation with spiroplasmas had
no effect on the attachment of S. citri to Ciha-1 cells. The                     Salivary gland invasion is an essential step of the phyto-
percentage of cells with attaching spiroplasmas varied between                pathogenic mollicutes life cycle in their leafhopper vectors.
80 and 100%, whatever the concentration and origin of PGK.                    Fluorescence microscopy of S. citri-infected salivary glands
These results suggest that the interaction between PGK and                    showed localization of the spiroplasmas along the actin fila-
actin is not involved in the attachment of S. citri to insect cells.          ment. These results are in good agreement with those obtained
   Treatment with PGK from S. citri or S. cerevisiae inhibits S.              with “Candidatus Phytoplasma asteris” (OY strain) (48) in
citri internalization. Ciha-1 cells were infected with S. citri, and          which the surface immunodominant membrane protein (Amp)
the percentage of internalized bacteria was determined in a                   forms a complex with three leafhopper proteins involved in a
gentamicin protection assay. This assay involves the use of                   microfilament complex. According to the authors, these inter-
gentamicin to kill any noninternalized spiroplasma after an                   actions determined the insect-vector specificity of the phyto-
infection period of 18 h. As shown in Fig. 6, the entry levels of             plasmas and played a role in the transmission.
S. citri in the untreated Ciha-1 cells and in cells incubated with               The preferential location of spiroplasmas along actin fila-
BSA (50 or 400 ␮g/ml) appeared to be comparable even at the                   ments suggested that invasion in the host cells could involve
highest concentration. Treatment with tagged eIF4E at a con-                  interactions between S. citri proteins and the cytoskeletal actin.
centration of 400 ␮g/ml did not affect the number of spiroplasmas             These occurrences were not completely unexpected, as in-
able to invade the cells; invasion was not reduced by any more                volvement of host cell actin in bacterial invasion has been
than 10%. This result supports the conclusion that the polyhisti-             demonstrated in a number of bacterial pathogens, such as
dine tag does not inhibit the entrance of S. citri in the cells.              species of Shigella (24), Salmonella (56), and Streptococcus (40,
   S. citri showed an ϳ20-fold decrease in its ability to invade              51). It has been often reported that surface proteins are im-
VOL. 76, 2010                                                     S. CITRI PGK AND LEAFHOPPER ACTIN INTERACTION                                  1885


plicated in the interaction between bacteria and host micro-          modify the enzymatic activity. As in group B streptococci, these
filaments (17, 25). Our microscopic analysis highlighted the           results suggest that the PGK-actin interaction plays a role in
presence of actin-binding protein(s) on the membrane proteins         the internalization but not in the attachment to the cells (15).
of S. citri.                                                          Interestingly, streptococcal internalization into eukaryotic cells
   One candidate protein identified was PGK. PGK is a trans-           is completely abolished by PGK from S. cerevisiae, but the
ferase enzyme used in the seventh step of glycolysis. It transfers    experiment was not conducted with the streptococci PGK.
a phosphate group from 1,3-biphosphoglycerate to ADP, form-           Others have reported that several bacterial glycolytic enzymes,
ing ATP and 3-phosphoglycerate. It was at first somewhat               including glyceraldehyde-3-phosphate dehydrogenase (42, 47),
surprising to find an interaction between host cell actin and          enolase (41), and PGK (15), bind to host cell cytoskeletal
PGK, a glycolytic enzyme classically described as a cytoplasmic       proteins like fibronectin, myosin, and actin. In Mycoplasma
protein. Only one copy of the gene is present in the S. citri         fermentans, the glycolytic enzyme ␣-enolase is a membrane-
genome sequence, and the deduced amino acid sequence of               associated protein located on the cell surface that binds to
the protein has no N-terminal signal peptide and does not             plasminogen (54), as in Streptococcus pneumoniae (10). One
possess a C-terminal anchor sequence or typical transmem-             other human mycoplasma, Mycoplasma pneumoniae, has been
brane domain required for protein insertion and folding in            reported to bind fibronectin through cytoplasmic proteins with
membranes. Yet, proteomic analysis of membrane protein                well-known biological functions, elongation factor Tu and
fractions has identified PGK, in a two-dimensional SDS-                pyruvate dehydrogenase E1 ␤-subunit (6, 7).
PAGE, as an integral or peripheral membrane protein (M. P.               The identification in this work of PGK, well known to be a
Dubrana, personal communication). Nevertheless, there is              glycolytic enzyme present in the cytosol, as an actin-binding
precedent for microbial surface proteins without transmem-            protein associated with the membrane was unexpected and
brane domains, such as enolase (10, 54), glyceraldehyde-3-            indicates secondary functions for PGK. In the invasion process,




                                                                                                                                                          Downloaded from aem.asm.org at INRA on April 6, 2010
phosphate dehydrogenase (11), and 6-phosphogluconate-dehy-            the early steps in adhesion could involve interactions between
drogenase (49). Moreover, it is not the first time that PGK was        specific proteins exposed at the spiroplasma surface, such as
found associated with a membrane. A proteomic analysis of             spiralin, Sc76, ScARPs, and receptors on the surface of the
Streptococcus agalactiae identified PGK as a major outer sur-          host cells. The lipoprotein annotated SPICI 03-098, detected
face protein (27), and in the opportunistic pathogen Candida          as a candidate for interaction with actin protein, could belong
albicans several lines of evidence support the conclusion that        to this group of S. citri proteins putatively involved in the
PGK is present at the outer surface of the cell membrane and          transmission. These early steps would be important in deter-
cell wall as well as in the cytoplasm as expected (1). Despite the    mining the insect-vector specificity. Once the specificity is es-
assigned function of PGK, it may well have some other roles to        tablished, late steps in the invasion process would not neces-
play in bacteria. The finding that the glycolytic enzyme PGK of        sarily be specific. Taken together, our results show that the
S. citri interacts with eukaryotic actin is supported by earlier      interaction between the two highly conserved proteins, PGK
studies that provided evidence that several glycolytic enzymes        and actin, might constitute one of these late steps involved in
from rabbit muscle can be bound in vitro to actin while retain-       internalization of S. citri into cells. In this respect, it was hy-
ing the enzymatic activity (5). Studies of actin recruitment to       pothesized that PGK might play a role in the transmission. To
the site of streptococcal attachment to cells suggest that strep-     test this hypothesis, the experimental transmission of mutants
tococcus PGK acts as an actin-binding protein (15, 51).               generated by inactivation of the S. citri pgk gene through ho-
   When the S. citri His6-tagged PGK was in contact with              mologous recombination is currently under investigation.
Ciha-1 cells, it was found to be colocated with actin filaments.
Although actin is mainly an intracellular constituent, this pro-                               ACKNOWLEDGMENTS
tein has also been reported to be present on the cell surface of         We give special thanks to Michel Castroviejo and Laure Beven for
                                                                                                                                 ´
various cells (37). Fluorescent spots of tagged PGK are prob-         thoughtful advice and technical suggestions for protein purification.
ably located at the surface of cells, and so this protein is not in   Benedicte Doublet kindly provided the His6-tagged eIF4E.
                                                                        ´ ´
                                                                         This work was supported with funding from INRA and Universite   ´
the Ciha-1 cells. To determine if the PGK-actin interaction           Victor Segalen Bordeaux 2. F.L. was supported by a Ph.D. fellowship
                                                                               ´
contributes to adhesion and/or internalization during S. citri        from the Ministere de l’Enseignement Superieur et de la Recherche.
                                                                                      `                         ´
infection, the ability of PGK to inhibit spiroplasma adhesion
                                                                                                     REFERENCES
or/and internalization was tested in a competitive binding and
                                                                      1. Alloush, H. M., J. L. Lopez-Ribot, B. J. Masten, and W. L. Chaffin. 1997.
invasion assay. Our results suggested that PGKs from spiro-              3-Phosphoglycerate kinase: a glycolytic enzyme protein present in the cell
plasmas and from S. cerevisiae do not interfere with adhesion            wall of Candida albicans. Microbiology 143:321–330.
of S. citri to Ciha-1 cells, although actin has been reported to      2. Ammar, E., and S. A. Hogenhout. 2005. Use of immunofluorescence confocal
                                                                         laser scanning microscopy to study distribution of the bacterium corn stunt
be present on the cell surface of various cells (37). However,           spiroplasma in vector leafhoppers (Hemiptera: Cicadellidae) and in host
both PGKs inhibited internalization into Ciha-1 cells in a dose-         plants. Ann. Entomol. Soc. Am. 98:820–826.
dependent manner. The difference observed between the two             3. Ammar, E.-D., D. Fulton, X. Bai, T. Meulia, and S. A. Hogenhout. 2004. An
                                                                         attachment tip and pili-like structures in insect- and plant-pathogenic spiro-
PGK proteins could be due to a difference in the protein                 plasmas of the class Mollicutes. Arch. Microbiol. 181:97–105.
conformations. PGK from S. cerevisiae is a nonrecombinant             4. Andreev, O. A., and J. Borejdo. 1995. Binding of heavy-chain and essential
                                                                         light-chain 1 of S1 to actin depends on the degree of saturation of F-actin
commercial protein, whereas spiroplasmal PGK is a tagged                 filaments with S1. Biochemistry 34:14829–14833.
protein, and the polyhistidine tag could slightly modify the          5. Arnold, H., and D. Pette. 1968. Binding of glycolytic enzymes to structure
conformation of the protein interaction with the actin. More-            proteins of the muscle. Eur. J. Biochem. 6:163–171.
                                                                      6. Balasubramanian, S., T. R. Kannan, and J. B. Baseman. 2008. The surface-
over, during expression in E. coli, posttransductional modifi-            exposed carboxyl region of Mycoplasma pneumoniae elongation factor Tu
cations may also disturb the conformation of the protein and             interacts with fibronectin. Infect. Immun. 76:3116–3123.
1886       LABROUSSAA ET AL.                                                                                                             APPL. ENVIRON. MICROBIOL.

 7. Balasubramanian, S., T. R. Kannan, P. J. Hart, and J. B. Baseman. 2009.                 a Spiroplasma citri hydrophilic protein associated with insect transmissibility.
    Amino acid changes in elongation factor Tu of Mycoplasma pneumoniae and                 Microbiology 152:1221–1230.
    Mycoplasma genitalium influence fibronectin binding. Infect. Immun. 77:3533–        32.   Killiny, N., M. Castroviejo, and C. Saillard. 2005. Spiroplasma citri spiralin
    3541.                                                                                   acts in vitro as a lectin binding to glycoproteins from its insect vector
 8. Balish, M. F., R. T. Santurri, A. M. Ricci, K. K. Lee, and D. C. Krause. 2003.          Circulifer haematoceps. Phytopathology 95:541–548.
    Localization of Mycoplasma pneumoniae cytadherence-associated protein             33.   Kwon, M. O., A. C. Wayadande, and J. Fletcher. 1999. Spiroplasma citri
    HMW2 by fusion with green fluorescent protein: implications for attachment               movement into the intestines and salivary glands of its leafhopper vector,
    organelle structure. Mol. Microbiol. 47:49–60.                                          Circulifer tenellus. Phytopathology 89:1144–1151.
 9. Berg, M., U. Melcher, and J. Fletcher. 2001. Characterization of Spiroplasma      34.   Liu, H. Y., D. J. Gumpf, G. N. Oldfield, and E. C. Calavan. 1983. Transmis-
    citri adhesion related protein SARP1, which contains a domain of a novel                sion of Spiroplasma citri by Circulifer tenellus. Phytopathology 73:582–585.
    family designated sarpin. Gene 275:57–64.                                         35.   Markham, P. G., and R. Townsend. 1979. Environmental vectors of spiro-
10. Bergmann, S., M. Rohde, G. S. Chhatwal, and S. Hammerschmidt. 2001.                     plasma, p. 413–446. In K. Maramorosch and K. F. Harris (ed.), Leafhopper
    ␣-Enolase of Streptococcus pneumoniae is a plasmin(ogen)-binding pro-                   vectors and plant disease agents. Academic Press, New York, NY.
    tein displayed on the bacterial cell surface. Mol. Microbiol. 40:1273–1287.       36.   Markham, P. G., and R. Townsend. 1981. Spiroplasmas. Sci. Prog. 67:43–68.
11. Bergmann, S., M. Rohde, and S. Hammerschmidt. 2004. Glyceraldehyde-3-             37.   Moroianu, J., J. W. Fett, J. F. Riordan, and B. L. Vallee. 1993. Actin is a
    phosphate dehydrogenase of Streptococcus pneumoniae is a surface-dis-                   surface component of calf pulmonary artery endothelial cells in culture.
    played plasminogen-binding protein. Infect. Immun. 72:2416–2419.                        Proc. Natl. Acad. Sci. U. S. A. 90:3815–3819.
12. Berho, N., S. Duret, J. L. Danet, and J. Renaudin. 2006. Plasmid pSci6 from       38.   Neuhoff, V., N. Arold, D. Taube, and W. Ehrhardt. 1988. Improved staining
    Spiroplasma citri GII-3 confers insect transmissibility to the non-transmissi-          of proteins in polyacrylamide gels including isoelectric focusing gels with
    ble strain S. citri 44. Microbiology 152:2703–2716.                                     clear background at nanogram sensitivity using Coomassie Brilliant Blue
13. Berho, N., S. Duret, and J. Renaudin. 2006. Absence of plasmids encoding                G-250 and R-250. Electrophoresis 9:255–262.
    adhesion-related proteins in non-insect-transmissible strains of Spiroplasma      39.   Ozbek, E., S. A. Miller, T. Meulia, and S. A. Hogenhout. 2003. Infection and
    citri. Microbiology 152:873–886.                                                        replication sites of Spiroplasma kunkelii (Class: Mollicutes) in midgut and
14. Boutareaud, A., J. L. Danet, M. Garnier, and C. Saillard. 2004. Disruption              malpighian tubules of the leafhopper Dalbulus maidis. J. Invertebr. Pathol.
    of a gene predicted to encode a solute binding protein of an ABC transporter            82:167–175.
    reduces transmission of Spiroplasma citri by the leafhopper Circulifer            40.   Ozeri, V., I. Rosenshine, A. Ben-Ze’Ev, G. M. Bokoch, T. S. Jou, and E.
    haematoceps. Appl. Environ. Microbiol. 70:3960–3967.                                    Hanski. 2001. De novo formation of focal complex-like structures in host
15. Burnham, C. A., S. E. Shokoples, and G. J. Tyrrell. 2005. Phosphoglycerate              cells by invading streptococci. Mol. Microbiol. 41:561–573.




                                                                                                                                                                               Downloaded from aem.asm.org at INRA on April 6, 2010
    kinase inhibits epithelial cell invasion by group B streptococci. Microb.         41.   Pancholi, V., and V. A. Fischetti. 1998. ␣-Enolase, a novel strong plas-
    Pathog. 38:189–200.                                                                     min(ogen) binding protein on the surface of pathogenic streptococci. J. Biol.
16. Citti, C., L. Marechal-Drouard, C. Saillard, J. H. Weil, and J. M. Bove. 1992.          Chem. 273:14503–14515.
    Spiroplasma citri UGG and UGA tryptophan codons: sequence of the two
                                                                                      42.   Pancholi, V., and V. A. Fischetti. 1993. Glyceraldehyde-3-phosphate dehy-
    tryptophanyl-tRNAs and organization of the corresponding genes. J. Bacte-
                                                                                            drogenase on the surface of group A streptococci is also an ADP-ribosylating
    riol. 174:6471–6478.
                                                                                            enzyme. Proc. Natl. Acad. Sci. U. S. A. 90:8154–8158.
17. Cossart, P., J. Pizarro-Cerda, and M. Lecuit. 2003. Invasion of mammalian
                                                                                      43.   Purcell, A. H. 1982. Insect vector relationships with procaryotic plant-patho-
    cells by Listeria monocytogenes: functional mimicry to subvert cellular func-
                                                                                            gens. Annu. Rev. Phytopathol. 20:397–417.
    tions. Trends Cell Biol. 13:23–31.
                                                                                      44.   Rottem, S. 2003. Interaction of mycoplasmas with host cells. Physiol. Rev.
18. Duret, S., B. Batailler, J. L. Danet, L. Beven, J. Renaudin, and N. Arricau-
                                                                                            83:417–432.
    Bouvery. 17 December 2009, posting date. Infection of the Circulifer haema-
                                                                                      45.   Saglio, P., M. Lhospital, M. Lafleche, G. Dupont, J. M. Bove, J. G. Tully, and
                                                                                                                              `                            ´
    toceps cell line Ciha-1 by Spiroplasma citri: the non insect-transmissible
                                                                                            E. A. Freundt. 1971. Culture in vitro des mycoplasmes associes au stubborn
                                                                                                                                                             ´
    strain 44 is impaired in invasion. Microbiology. doi:10.1099/mic.0.035063-0.
                                                                                            des agrumes et leur observation au microscope electronique. C. R. Acad. Sci.
19. Duret, S., N. Berho, J. L. Danet, M. Garnier, and J. Renaudin. 2003. Spiralin
                                                                                            Paris 272:1387–1390.
    is not essential for helicity, motility, or pathogenicity but is required for
    efficient transmission of Spiroplasma citri by its leafhopper vector Circulifer    46.   Saillard, C., P. Carle, S. Duret-Nurbel, R. Henri, N. Killiny, S. Carrere, J.
    haematoceps. Appl. Environ. Microbiol. 69:6225–6234.                                    Gouzy, J. M. Bove, J. Renaudin, and X. Foissac. 2008. The abundant extra-
20. Fletcher, J., A. Wayadande, U. Melcher, and F. C. Ye. 1998. The phytopatho-             chromosomal DNA content of the Spiroplasma citri GII3-3X genome. BMC
    genic mollicute-insect vector interface: a closer look. Phytopathology 88:1351–         Genomics 9:195.
    1358.                                                                             47.   Seifert, K. N., W. P. McArthur, A. S. Bleiweis, and L. J. Brady. 2003.
21. Foissac, X., C. Saillard, J. Gandar, L. Zreik, and J. M. Bove. 1996. Spiralin           Characterization of group B streptococcal glyceraldehyde-3-phosphate de-
    polymorphism in strains of Spiroplasma citri is not due to differences in               hydrogenase: surface localization, enzymatic activity, and protein-protein
    posttranslational palmitoylation. J. Bacteriol. 178:2934–2940.                          interactions. Can. J. Microbiol. 49:350–356.
22. Guerrier, L., S. Claverol, F. Fortis, S. Rinalducci, A. M. Timperio, P. Anto-     48.   Suzuki, S., K. Oshima, S. Kakizawa, R. Arashida, H. Y. Jung, Y. Yamaji, H.
    nioli, M. Jandrot-Perrus, E. Boschetti, and P. G. Righetti. 2007. Exploring             Nishigawa, M. Ugaki, and S. Namba. 2006. Interaction between the membrane
    the platelet proteome via combinatorial, hexapeptide ligand libraries. J.               protein of a pathogen and insect microfilament complex determines insect-
    Proteome Res. 6:4290–4303.                                                              vector specificity. Proc. Natl. Acad. Sci. U. S. A. 103:4252–4257.
23. Hames, C., S. Halbedel, O. Schilling, and J. Stulke. 2005. Multiple-mutation      49.   Tan, C., S. Fu, M. Liu, M. Jin, J. Liu, W. Bei, and H. Chen. 2008. Cloning,
    reaction: a method for simultaneous introduction of multiple mutations into the         expression and characterization of a cell wall surface protein, 6-phosphoglu-
    glpK gene of Mycoplasma pneumoniae. Appl. Environ. Microbiol. 71:4097–                  conate-dehydrogenase, of Streptococcus suis serotype 2. Vet. Microbiol.
    4100.                                                                                   130:363–370.
24. Hayward, R. D., P. J. Hum, E. J. McGhie, and V. Koronakis. 2002. A                50.   Tully, J. G., R. F. Whitcomb, H. F. Clark, and D. L. Williamson. 1977.
    Salmonella SipB-derived polypeptide blocks the ‘trigger’ mechanism of bac-              Pathogenic mycoplasmas: cultivation and vertebrate pathogenicity of a new
    terial entry into eukaryotic cells. Mol. Microbiol. 45:1715–1727.                       spiroplasma. Science 195:892–894.
25. Hayward, R. D., and V. Koronakis. 2002. Direct modulation of the host cell        51.   Tyrrell, G. J., A. Kennedy, S. E. Shokoples, and R. K. Sherburne. 2002.
    cytoskeleton by Salmonella actin-binding proteins. Trends Cell Biol. 12:15–20.          Binding and invasion of HeLa and MRC-5 cells by Streptococcus agalactiae.
26. Hogenhout, S. A., K. Oshima, E.-D. Ammar, S. Kakizawa, H. N. Kingdom,                   Microbiology 148:3921–3931.
    and S. Namba. 2008. Phytoplasmas: bacteria that manipulate plants and             52.   Vignault, J. C., J. M. Bove, C. Saillard, R. Vogel, A. Farro, L. Venegas, W.
                                                                                                                       ´
    insects. Mol. Plant Pathol. 9:403–423.                                                  Stemmer, S. Aoki, R. E. McCoy, A. S. Al-beldawi, M. Larue, O. Tuzco, M.
27. Hughes, M. J., J. C. Moore, J. D. Lane, R. Wilson, P. K. Pribul, Z. N. Younes,          Ozan, A. Nhami, M. Abassi, J. Bonfils, G. Moutous, A. Fos, F. Poutiers, and
    R. J. Dobson, P. Everest, A. J. Reason, J. M. Redfern, F. M. Greer, T. Paxton,          G. Viennot-Bourgin. 1980. Mise en culture de spiroplasmes ` partir de
                                                                                                                                                                a
    M. Panico, H. R. Morris, R. G. Feldman, and J. D. Santangelo. 2002.                     materiel vegetal et d’insectes provenant de pays circum mediterraneens et du
                                                                                                ´      ´ ´                                               ´        ´
    Identification of major outer surface proteins of Streptococcus agalactiae.              Proche Orient. C. R. Hebd. Seances Acad. Sci. Paris 290:775–780.
    Infect. Immun. 70:1254–1259.                                                      53.   Wayadande, A. C., and J. Fletcher. 1998. Development and use of an estab-
28. Isberg, R. R., and S. Falkow. 1985. A single genetic locus encoded by                   lished cell line of the leafhopper Circulifer tenellus to characterize Spiro-
    Yersinia pseudotuberculosis permits invasion of cultured animal cells by                plasma citri-vector interactions. J. Invertebr. Pathol. 72:126–131.
    Escherichia coli K-12. Nature 317:262–264.                                        54.   Yavlovich, A., H. Rechnitzer, and S. Rottem. 2007. Alpha-enolase resides on
29. Kakizawa, S., K. Oshima, Y. Ishii, A. Hoshi, K. Maejima, H. Y. Jung, Y.                 the cell surface of Mycoplasma fermentans and binds plasminogen. Infect.
    Yamaji, and S. Namba. 2009. Cloning of immunodominant membrane pro-                     Immun. 75:5716–5719.
    tein genes of phytoplasmas and their in planta expression. FEMS Microbiol.        55.   Yu, J., A. C. Wayadande, and J. Fletcher. 2000. Spiroplasma citri surface
    Lett. 293:92–101.                                                                       protein P89 implicated in adhesion to cells of the vector Circulifer tenellus.
30. Kakizawa, S., K. Oshima, and S. Namba. 2006. Diversity and functional impor-            Phytopathology 90:716–722.
    tance of phytoplasma membrane proteins. Trends Microbiol. 14:254–256.             56.   Zhou, D., M. S. Mooseker, and J. E. Galan. 1999. Role of the S. typhimurium
31. Killiny, N., B. Batailler, X. Foissac, and C. Saillard. 2006. Identification of          actin-binding protein SipA in bacterial internalization. Science 283:2092–2095.
A                   Anticorps secondaires
                                              couplés à la
                                              peroxydase
                                                                                          Anticorps
                                                                                     polyclonal de lapin
                                                                                         anti S. citri
                                                                Protéines S. citri


                                                             Protéines totales
                                                          ou de glandes salivaires
                                                            de C. haematoceps

                                                         Membrane nitrocellulose




         B                      SDS-PAGE                                                    Far-western
                     kDa
                                                                     kDa
                     250

                     150                                                                         60 kDa

                     100
                                                                                                 50 kDa
                                                                     50
                     75



                     50

                                                                                                 42 kDa
                     37                                              37
                                                                                                 35 kDa


                     25
                                                                                                 30 kDa
                     20
                                                                                                                           27 kDa
                                                                     25                          25 kDa
                     15
                                   1         2                                 3        4                        5




       Figure 1.3: Far Western 1-D réalisé entre les protéines totales ou des glandes salivaires de
                    C.haematoceps et les protéines totales de S.citri comme sonde.
A: Principe schématisé du far Western. B: Electrophorèses réalisées avec les protéines totales (piste 1) ou des protéines des glandes salivaires
(piste 2) d’insectes. Piste 3: Contrôle négatif où les protéines de S. citri ont été omises. Piste 4: Far Western réalisé avec les protéines totales
                           d’insectes. Piste 5: Far Western réalisé avec les protéines des glandes salivaires d’insectes.
Chapitre 1


           2. Résultats supplémentaires

              2.1. Identificationde protéines          d’insectes      impliquées    dans    une
                 interaction avec S. citri

       Le but principal de cette thèse était l’identification de protéines d’insecte et de
spiroplasme impliquées dans des interactions nécessaires à la transmission. La comparaison
entre les profils d’interaction, obtenus en far Western, avec les protéines totales d’insectes et
ceux obtenus avec les protéines des glandes salivaires permettrait de mettre en évidence des
protéines d’insectes impliquées uniquement dans le passage de l’une ou l’autre des deux
barrières (intestinale ou des glandes salivaires) que le spiroplasme franchit au cours de son
cuicuit.
       Ce travail a donc nécessité la mise au point de cette technique de far Western, de
manière identique pour les expériences utilisant les protéines totales d’insectes et celles
utilisant les protéines des glandes salivaires. De légères mises au point ont été nécessaires par
rapport à la technique développée par Killiny et collaborateurs (Killiny et al., 2005) et sont
mentionnées au chapitre Matériels et Méthodes.


                   2.1.1. Comparaison des far Western monodimensionnels
      (1-D) réalisés avec les protéines totales et de glandes salivaires d’insectes.
       Un schéma simplifié de ce far Western réalisé avec les protéines totales d’insectes et
de glandes salivaires d’insectes, est représenté sur la figure 1.3A.
       En bref, les protéines du premier partenaire, dans notre cas les protéines totales
d’insectes ou celles des glandes salivaires, sont tout d’abord séparées par électrophorèse en
gel d’acrylamide, transférées sur membrane puis mises en contact avec les protéines du
second partenaire, S. citri. Les protéines du spiroplasme interagissant avec les protéines
d’insectes fixées sur la membrane sont détectées par des anticorps anti-S. citri et des anticorps
secondaires marqués à la peroxydase. La présence de peroxydase est détectée par son substrat
chemiluminescent révélant ainsi les signaux d’interaction.
       La Figure 1.3B montre les résultats de ce far Western. Les pistes 1 et 2 montrent les
électrophorèses en gel SDS-PAGE réalisées avec les protéines totales d’insectes (piste 1) et
les protéines des glandes salivaires (piste2). Les pistes 3, 4 et 5 montrent les résultats obtenus
au cours de ces différents far Western.




                                               52
Protéines              Protéines des
                              totales             glandes salivaires

                           kDa

                                                                                Signaux spécifiques des
                            60                                              far Western « protéines totales »

                            50
                                                      *
                                                                              Signaux communs aux
                            42
                                                      *                          deux far Western

                            35
                            30

                            27
                                                      *                    Signal spécifique du far Western « GS »
                                                                            Signal commun aux deux far Western
                            25
                                                      *

                                    1                        2




 Figure 1.4: Schéma des signaux d’interaction obtenus en far Western avec les protéines
             totales et les protéines des glandes salivaires de C.haematoceps.
Piste 1: Profil obtenu avec les protéines totales d’insecte. Piste 2: Profil obtenu avec les protéines des glandes salivaires.
Chapitre 1


La piste 3 est un contrôle négatif sans protéine de spiroplasme. La piste 4 montre le résultat
du far Western réalisés avec les protéines totales d’insectes tandis que la piste 5 montre le
résultat du far Western réalisé avec les protéines des glandes salivaires uniquement.


       La comparaison de ces profils schématisés à la figure 1.4 montre que cinq signaux
localisés au niveau des protéines de masse moléculaire 25, 30, 35, 42 et 50 kDa sont
communs aux deux profils.
En revanche, le signal localisé à 27 kDa semble être spécifique du far Western réalisé avec les
protéines des glandes salivaires. La protéine impliquée dans cette interaction pourrait donc
intervenir de manière spécifique dans le passage de la barrière des glandes salivaires.
D’un autre côté, le signal d’interaction localisé au niveau de 60 kDa, révélé sur le profil far
Western réalisé avec les protéines totales d’insectes, est absent de celui obtenu avec les
protéines des glandes salivaires. Cette observation est corrélée par la comparaison des profils
protéiques des deux préparations de protéines d’insectes. En effet, une protéine de masse
moléculaire évaluée à 60 kDa, présente sur le profil de protéines totales, est absente de celui
des glandes salivaires malgré la quantité équivalente de protéines chargées sur le gel (20 µg)
(figure 1.3, piste 2). Lors de l’étude menée en 2005 au laboratoiresur insecte entier,
l’identification des protéines impliquées dans le signal à 60 kDa a révélé la présence d’une
glycoprotéine d’insecte capable de se lier avec la spiraline de S. citri (Killiny et al., 2005). Il
est possible cette glycoprotéine, absente du profil protéique des glandes salivaires, soit
nécessaire pour accomplir une fonction vis-à-vis du spiroplasme à l’intérieur de son insecte
vecteur ; par exemple, le passage de la barrière intestinale.


                    2.1.2. Far Western bi-dimensionnel (2-D) avec les protéines
      totales et celles des glandes salivaires d’insectes

       Pour confirmer les résultats obtenus avec les far Western 1-D, ainsi que pour faciliter
l’identification ultérieure des protéines d’insectes impliquées dans les interactions avec S.
citri, des far Western 2-D ont été réalisés avec les deux préparations protéiques d’insectes.
       La figure 1.5 montre les résultats obtenus lors de ces far Western 2-D réalisés avec les
protéines totales d’insectes (A) et les protéines de glandes salivaires (B).
       Avec les protéines totales d’insectes, cinq signaux d’intensité très variable sont
visibles. Ces signaux identifient des interactions entre les protéines de S. citri et des protéines
d’insectes dont les masses moléculaires sont voisines de 25, 35, 42, 50 et 60 kDa. Les masses
moléculaires des protéines impliquées dans ces signaux sont similaires à celles identifiées sur
les profils des far Western 1-D correspondants. Les signaux visibles sur ce far Western 2-D
                                            53
A                                                                                B
                   Anticorps
              secondaires couplés                                                                        Anticorps
                à la peroxydase                                                                     secondaires couplés
                                                                                                      à la peroxydase
                                                             Anticorps
                                                           polyclonal de                                                                           Anticorps
                                                         lapin anti S. citri                                                                     polyclonal de
                                                                                                                                               lapin anti S. citri
                                    Protéines S. citri
                                                                                                                          Protéines S. citri


                                Protéines totales
                                C. haematoceps                                                                    Protéines glandes salivaires
                                                                                                                        C. haematoceps


                           Membrane nitrocellulose
                                                                                                                 Membrane nitrocellulose




      5                                    IEF                                   8
                                                                                 8             55                               IEF                                       8
      5                                                                                                                                                                   8

KDa                                                                                    KDa



                                                                                      100
100
 75                                                                60 kDa             75
                                     50 kDa                                                                                                          50 kDa
 50
                                                                                      50
                                                          42 kDa                                                                                       42 kDa
                                                                      35 kDa
 37                                                                                                                                                                  35 kDa
                                                                                       37

                                                                                                                                                                      32 kDa?
                                                                                                                                                                      30 kDa?
                                                                            30 kDa?                                                                                   30 kDa?
                                                                                                                                                                      27 kDa?
                                                                                                                                                                         kDa?
 25                                                                         25 kDa                                                                                    25 kDa
                                                                                      25                                                                              22 kDa
                                                                                                                                                                      25 kDa?

 20




                     Figure 1.5: Far Western 2-D réalisés avec les protéines totales (A) et les
                             protéines des glandes salivaires (B) de C. haematoceps.
Chapitre 1


ressemblent plus à des trains de spots que de réels spots individualisés, ceci étant
particulièrement vrai pour la « trainée » visualisée à 25 kDa. Il n’est donc pas impossible que
le signal à 30 kDa, présent lors du far Western 1-D, soit confondu avec celui de 25 kDa.
       Dans le cas des protéines des glandes salivaires (figure 1.5B), les résultats des far
Western 2-D sont en accord avec ceux des far Western 1-D. En effet, les signaux à 25, 35, 42
et 50 kDa sont bien retrouvés sur ce far-Western 2-D. Néanmoins, les signaux d’interaction à
27 et 30 kDa, visibles en mono-dimension, sont absents sur ce far Western. Comme
précédemment, ces signaux pourraient être englobés par le train de spots à 25 kDa. De plus, le
signal d’interaction localisé à 60 kDa, visible sur les far Western réalisés avec les protéines
totales d’insectes, est absent de ce profil, confirmant les résultats du far Western 1-D.


                  2.1.3. Identification des protéines d’insectes impliquées par
      spectrométrie de masse

       L’identification des protéines d’insectes (totales ou des glandes salivaires)
interagissant avec les protéines de S. citri a donc été réalisée par LC-MS/MS (Liquid
Chromatography-tandem Mass Spectrometry) en prélevant les bandes sur gels 1-D, bandes
localisées aux masses moléculaires correspondant aux signaux d’interaction. Les signaux pour
lesquels une bande de gel a été prélevée sont indiqués par un astérisque sur la figure 1.5. Les
résultats obtenus pour les différentes bandes de gels analysées sont présentés sur la figure 1.6.

                               2.1.3.1.       Signaux d’interaction communs aux deux
      far Western.

                       Signal d’interaction à 42 kDa : l’actine.

       L’actine filamenteuse (F), protéine majoritaire du cytosquelette cellulaire est la seule
protéine révélée dans cette bande de gel localisée à 42 kDa. Sous la forme de microfilaments
(polymères de monomère d’actine globulaire), elle forme un réseau dynamique qui supporte
la structure tridimensionnelle de la cellule eucaryote. Outre la présence de ce réseau qui
« quadrille » le cytoplasme et en préserve l’intégrité, l’actine F est également présente à la
surface des cellules endothéliales et des lymphocytes, dans les fibroblastes et les muscles
lisses (Moroianu et al., 1993). De plus, l’actine est aussi liée à la membrane plasmique sous la
forme d’un complexe cortical d’actine, réseau régulièrement ciblé par de nombreux
pathogènes intracellulaires afin de permettre l’invagination de cette membrane plasmique et
de faciliter leur entrée dans la cellule hôte comme décrit pour de nombreux microorganismes
pathogènes (§ Introduction III.2.2). L’utilisation de drogues déstabilisant les microfilaments

                                               54
Nombre de
                                                                                Nombres               Masse
Bande                           Identification protéine                                   peptides
                                                                                de scans            moléculaire
                                                                                         différents
         P10987|ACT1_DROME Actin-5C- Drosophila melanogaster (Fruit fly)           13       5 (=)     41821.6
         P07837|ACT2_BOMMO Actin, muscle A2- Bombyx mori (Silk moth)               13       5 (=)     41802.6
         P02572|ACT2_DROME Actin-42A- Drosophila melanogaster (Fruit fly)          13       5 (=)     41823.6
42 kDa   P18601|ACT2_ARTSX Actin, clone 211 Artemia spr (Brine shrimp)             13       5 (=)     41783.6
         P10983|ACT1_CAEEL Actin-1/3- Caenorhabditis elegans                       13       5 (=)     41795.5
         P22131|ACT2_PHYIN Actin-1- Phytophtora infestans
                                                                                   11        3        41881.7
         (Potato late blight fungus)
         O17449|TBB1_MANSE Tubulin beta-1 chain (Beta-1 tubulin)-
                                                                                   19        6        50198.2
         Manduca sexta (Tobacco hornworm)
         Q24560|TBB1_DROME Tubulin beta-1 chain (Beta-1 tubulin)-
                                                                                   15        6        50115.2
         Drosophila melanogaster (Fruit fly)
         QMHM5|TBB2C_BOVIN Tubulin beta-2C chain- Bos taurus (Bovine)              15       6 (=)      49799
         P68372|TBB2C_MANSE Tubulin beta-2C chain- Mus musculus (Mouse)            15       6 (=)      49799
         Q6P9T8|TBB2C_RAT Tubulin beta-2C chain- Rattus norvegicus (Rat)           15       6 (=)      49799
50 kDa   P06603|TBA1_DROME Tubulin alpha-1 chain-
                                                                                   3         2        49876.5
         Drosophila melanogaster (Fruit fly)
         P02552|TBA1_CHICK Tubulin alpha-1 chain (Fragment)-
                                                                                   3         2        45871.7
         Gallus gallus (Chicken)
         P68369|TBA1_MANSE Tubulin alpha-1 chain (Alpha-1 tubulin)-
                                                                                   3        2 (=)     50103.7
         (Alpha-tubulin isotype M-alpha-1)-Mus musculus (Mouse)
         P68370|TBA1_MANSE Tubulin alpha-1 chain (Alpha-1 tubulin)-
                                                                                   3        2 (=)     50103.7
         Rattus norvegicus (Rat)
         P48153|RS3_MANSE 40S ribosomal protein S3 - Manduca sexta (Tobacco
                                                                                   6         3        26730.9
         hornworm)
         P29310|1433Z_DROME 14-3-3-like protein (Leonardo protein) (14-3-3
                                                                                   2         2        28227.4
         protein zeta) - Drosophila melanogaster (Fruit fly)
27 kDa
         P41569|RL8_AEDAL 60S ribosomal protein L8 - Aedes albopictus (Forest
                                                                                   2         2        28680.3
         day mosquito)
         Q9V3G1|RL8_DROME 60S ribosomal protein L8 - Drosophila melanogaster
                                                                                   2         2        27892.3
         (Fruit fly)
         Q5ZHW4|RAB5B_CHICK Ras related protein Rab-5B - Gallus gallus
                                                                                   3        3 (=)     23614.5
         (Chicken)
         P61020|RAB5B_CHICK Ras related protein Rab-5B - Homo sapiens (Human)      3        3 (=)     23706.7

         P61021|RAB5B_CHICK Ras related protein Rab-5B - Mus musculus (Mouse)      3        3 (=)     23706.7

         Q1KME6|RAB6A_CHICK Ras related protein Rab-6A - Gallus gallus
25 kDa                                                                             3        3 (=)     23490.5
         (Chicken)
         P20340|RAB6A_CHICK Ras related protein Rab-6A - Homo sapiens (Human)      3        3 (=)     23592.6

         P35279|RAB6A_CHICK Ras related protein Rab-6A - Mus musculus (Mouse)      3        3 (=)     23589.6

         Q5ZHW4|RAB5B_CHICK Ras related protein Rab-6.2 - Caenorhabitis
                                                                                   3        3 (=)     23364.4
         elegans




         Figure 1.6: Résultats de l’identification des protéines d’insectes impliquées
                      dans une interaction avec les protéines de S. citri.
Chapitre 1


d’actine, comme la cytochalasine D ou la latrunculine A, a souvent été utilisée pour confirmer
le rôle de l’actine dans l’internalisation de ces derniers. Les microfilaments d’actine peuvent
donc s’avérer nécessaires dans les processus d’internalisation de pathogènes intracellulaires
mais aussi dans le mouvement de ces derniers une fois libres dans le cytoplasme comme cela
est le cas pour les Shigella ou les Listeria. L’actine peut également être impliquée dans des
étapes plus tardives comme le détachement de vésicules d’endocytose (Fujimoto et al., 2000).
       Ce n’est pas la première fois que l’actine d’un insecte est impliquée dans une
interaction avec une protéine de mollicute phytopathogène transmis par la cicadelle. Une
étude, réalisée chez les phytoplasmes a montré, in vitro et in vivo en microscopie confocale,
qu’une protéine majoritaire de la membrane de Candidatus phytoplasma asteris souche OY,
Amp, interagit avec les microfilaments d’actine de son insecte vecteur (Suzuki et al., 2006).

                       Signal d’interaction à 50 kDa : la tubuline

       La tubuline β est la seule protéine identifiée dans la bande de gel correspondant au
signal localisé à 50 kDa.
       Dans les travaux précédents menés au laboratoire, une protéine d’insecte de 50 kDa
interagissant avec la spiraline a été identifiée comme une glycoprotéine (Killiny et al., 2005).
Il est tout à fait possible que ces deux protéines, à savoir la glycoprotéine et la tubuline, soient
présentes sur le gel mais que la grande proportion de tubuline dans l’insecte, masque cette
glycoprotéine lors de l’analyse en spectrométrie de masse. En effet, l’identification de cette
glycoprotéine avait nécessité l’utilisation de colonnes de Concanavalin A afin de purifier cette
protéine (Killiny et al., 2005).
       Les filaments de microtubules, formés de l’association de tubuline α et β,
interviennent, tout comme l’actine, dans la morphologie des cellules eucaryotes. Chez
certaines bactéries comme les Shigella, ces microtubules, outre ce rôle dans le cytosquelette
cellulaire, sont impliqués dans l’entrée des bactéries dans la cellule. La protéine bactérienne
VirA de ces bactéries interagit avec la tubuline pour permettre l’endocytose (Gruenheid &
Finlay, 2003).
       L’utilisation de drogues, comme la colchicine et le nocodazole, qui déstabilisent les
microtubules a permis de démontrer l’implication de la tubuline dans l’endocytose de la HRP
(horseradish peroxydase) dans les cellules (Piasek & Thyberg, 1980).
       Parallèlement à cela, et non sans rappeler le détournement des microfilaments
d’actine, certains pathogènes utilisent le réseau de microtubules, et les moteurs qui lui sont
associés, pour se déplacer dans la cellule. C’est ainsi que le virus immunodéficient humain

                                                55
Chapitre 1


(VIH) utilise les moteurs dynéines pour rejoindre le centrosome de la cellule et pénétrer dans
le noyau (McDonald et al., 2002). Il en est de même pour la bactérie intracellulaire
obligatoire, Chlamydia trachomatis qui se retrouve constamment à l’intérieur d’une vacuole
lorsqu’elle pénètre et traverse les cellules de son hôte (Clausen et al., 1997).
       Bien que les mécanismes mis en jeu soient moins bien décrits, quelques virus
phytopathogènes utilisent également les microtubules pour leur dispersion de cellule à cellule
dans la plante comme, par exemple, le Tobbaco mosaic virus (Mas & Beachy, 2000) ou
encore le Beet yellows virus (Karasev et al., 1992).


                       Signal d’interaction à 25 kDa : Rab GTPases

       Deux protéines sont identifiées dans la bande de gel correspondant au signal
d’interaction localisé au niveau de 25 kDa. Rab5 et Rab6 sont des protéines appartenant à la
famille des protéines Ras qui sont des GTPases. Ce sont des protéines régulatrices ayant une
activité importante dans le transport des vésicules au sein des cellules eucaryotes (Martinez &
Goud, 1998; Armstrong, 2000). La première fonction de ces protéines est le ciblage et la
fusion des vésicules avec leur récepteur membranaire. De manière intéressante, la
glyceraldehyde-3-phosphate deshydrogenase de Listeria monocytogenes interagit avec la
protéine Rab5 humaine l’empêchant ainsi de remplir sa fonction dans la maturation des
phagosomes en vue de l’élimination de la bactérie (Alvarez-Dominguez et al., 2008). Ce rôle
dans la rétention de Rab5, marqueur des endosomes précoses, est utilisé chez de nombreuses
autres bactéries comme Mycobacterium tuberculosis (Via et al., 1997), Salmonella enterica
serovar typhimurium, plusieurs espèces de Chlamydia ainsi que Legionella pneumophila
(Brumell & Scidmore, 2007) afin de stopper la maturation des phagosomes au stade
d’endosomes précoces. Chez Helicobacter pylori, la présence de Rab5 est nécessaire à la
formation de vacuoles, indispensables à l’internalisation de la bactérie (Papini et al., 1997).


       Peu de données sont disponibles concernant l’implication de Rab6 dans une
manipulation par un pathogène. Rab6 a été retrouvée comme marqueur des vésicules
d’inclusion dans lesquelles se répliquent quelques espèces de Chlamydia sans que son rôle
exact n’ait pu être élucidé (Brumell & Scidmore, 2007).
       Il faut noter que, outre leur implication dans la formation de vésicules d’endocytose,
ces protéines, et notamment Rab5, jouent également un rôle dans la réorganisation du
cytosquelette d’actine à l’origine de la formation de lamellipodes (Spaargaren & Bos, 1999).


                                                56
Chapitre 1


                             2.1.3.2.       Signal spécifique du far Western réalisé avec
      les protéines des glandes salivaires d’insectes

                       Signal d’interaction à 27 kDa : la protéine 14-3-3

       La protéine 14-3-3, identifiée dans la bande de gel localisée à 27 kDa, appartient à une
famille de molécules régulatrices très conservées qui s’expriment dans toutes les cellules
eucaryotes. La protéine 14-3-3, présente dans le fluide cérébrospinal de patients est un critère
pour le diagnostic de la maladie de Creutzfeldt-Jakob (Boston et al., 1982). Cette protéine est
néanmoins retrouvée dans la membrane plasmique de certaines cellules et intervient, en
désorganisant la barrière corticale d’actine, dans l’exocytose de vésicules de sécrétion (Roth
& Burgoyne, 1995). Elle participe également à la régulation de nombreux processus
cellulaires par le biais d’interaction protéine-protéine. En effet, l’interaction avec une protéine
14-3-3 peut détourner la fonction de la protéine interactante en empêchant sa liaison avec
d’autres protéines ou en induisant des changements conformationnels (Mackintosh, 2004).
Chez Trypanosoma brucei, cette protéine intervient dans le recyclage des glycoprotéines
variables de surface (GVS), permettant au trypanosome d’échapper au système immunitaire
(Benz et al., 2009).


       Le rôle que chacune de ces protéines pourrait avoir au cours du cycle de S. citri dans
son insecte vecteur sera discuté à la fin de ce chapitre.


            2.2. Recherche et identification du partenaire de l’actine chez S. citri

       La recherche du partenaire de l’actine a été réalisée par chromatographie d’affinité sur
une colonne de Protein A-Sepharose couplée à des anticorps anti-actine sur le système
chromatographique AKTApurifier (GE Healthcare). Le principe et le protocole de cette
chromatographie ayant permis la purification des protéines interagissant avec l’actine sont
développés au chapitre Matériels et Méthodes.
       Les résultats, publiés dans la publication 1, ont permis de mettre en évidence la
présence d’une bande de gel localisée à 45 kDa contenant une ou plusieurs protéines
interagissant spécifiquement avec l’actine de C. haematoceps.
       Cette bande de gel est découpée puis analysée en spectrométrie de masse par LC-
MS/MS.




                                                57
kDa
                         50




                                                                      Spectrométrie de masse en
                                                                             LC-MS/MS

                         37




                                                                                           % coverage


                                                                                                        molecular
                                                                   # MS/MS


                                                                             # distinct




                                                                                                         weight
                                                                     scan


                          Identification                                        pep


1       Transmembrane conserved hypothetical lipoprotéine            16          9        23,84         46014,9
2                     Phosphoglycerate kinase                        10          7        23,79         44387,9
3                Translation elongation factor EF-Tu                  3          3        8,33          43669,9
4      Spiroplasma citri adhesion related protein (ScARP) 2b          7          6        9,79          88814
5      Spiroplasma citri adhesion related protein (ScARP) 5a          5          4        6,27          95315,4
6      Spiroplasma citri adhesion related protein (ScARP) 3c          4          3        5,94          87266,1
7                     50S ribosomal protein L3                        7          2        17,83         27997,3
8         Serine hydroxymethyltransferase transmembrane               2          2        5,81          45589



    Figure 1.7: Identification par spectrométrie de masse des protéines candidates
                 pour une interaction avec l’actine de C.haematoceps.
    En rouge, les deux protéines candidates retenues pour la suite de l’étude.
Chapitre 1


       L’analyse de cette bande de gel obtenue lors de la chromatographie d’affinité sur la
colonne de protein-A Sépharose a permis de recueillir les résultats présentés dans le
tableau 1.7.
Aux vues du nombre de scans identifiés lors de l’analyse et de la masse moléculaire de la
protéine d’intérêt interagissant avec l’actine, estimée aux alentours de 45 kDa, les deux
candidats les plus intéressants pour la suite de l’étude se révèlent être une « transmembrane
conserved hypothetical lipoprotein » et la phosphoglycérate kinase.



                            2.2.1.1.          Transmembrane         conserved      hypothetical
      lipoprotein (SPICI 03-098).

       Composée de 408 acides aminés, cette protéine possède une masse moléculaire de 46
kDa. Lors du séquençage du génome de S. citri, cette protéine a été annotée comme une
lipoprotéine en raison de la présence d’un peptide signal en N-terminal, typique de ces
protéines, de 24 acides aminés. Ce peptide de séquence M R K L L S I F A A T T L V T T S
A A S A V A C est terminé par une cystéine en position 24. Grâce à ce peptide signal, cette
protéine se trouve exposée à la surface ce qui présente un avantage pour interagir avec l’actine
des cellules de l’insecte, c’est la raison pour laquelle elle nous a semblé de prime abord très
intéressante. Lors de l’analyse du protéome de S. citri réalisé au laboratoire, cette protéine a
été retrouvée à la fois dans la fraction membranaire des protéines du spiroplasme et dans
l’extraction au Triton X-114 confirmant sa nature lipoprotéique. La recherche de protéines
homologues dans les banques généralistes a permis d’identifier une seule protéine chez S.
kunkelii avec 83 % d’identité de séquence. Aucune fonction n’a été attribuée, à ce jour, à
aucune de ces deux protéines.
       L’identification d’une protéine spécifique de seulement deux espèces de spiroplasmes
interagissant avec l’actine de l’insecte, protéine très conservée, semble être en accord avec le
spectre de transmission restreint qui caractérise la vection des spiroplasmes par leurs insectes.
Cette lipoprotéine semblait être un bon candidat pour la transmission de S. citri et, à ce titre,
sa caractérisation fonctionnelle pouvait s’avérer utile.
       L’expression de cette protéine chez E. coli du fait de la présence de sept codons
tryptophanes UGA dans sa séquence n’a pas été obtenue.




                                                58
Far western         Far Western
     Masse
                 "protéines totales" "Glandes salivaires"
 moléculaire                                                   Identification                         Rôle
de l'interaction   1-D        2-D        1-D         2-D
                                                                                          *Liaison avec la spiraline
    60 kDa           X          X                               Glycoprotéine              *Implication au niveau
                                                                                   du franchissement épithélium intestinal?
                                                                 Tubuline β                *Traffic intracellulaire?
    50 kDa           X          X            X           X                                      *Endocytose?
                                                               Glycoprotéine               Liaison avec la spiraline
                                                                                           *Interaction avec la PGK
    42 kDa           X          X            X           X       Actine (F)
                                                                                  *Internalisation dans les cellules d'insectes
    35 kDa           X          X            X           X           nd                              nd
    30 kDa           X          ?            X           ?           nd                              nd
                                                                                          *Traffic intracellulaire?
    27 kDa                                   X           ?         14-3-3
                                                                                               *Exocytose?
                                                                    Rab5                      *Endocytose?
    25 kDa           X          X            X           X
                                                                    Rab6           *Détournement voie phago-lysosomiale?



                   Tableau 1.8: Ensemble des protéines identifiées et rôle éventuel
                                  dans la transmission de S. citri.
   X: bande d’interaction présente dans le far Western correspondant. ? : Présence et rôle non déterminés. nd: non déterminé.
Chapitre 1


                               2.2.1.2.      La phosphoglycérate kinase (PGK)


        Les principales caractéristiques de la PGK de S. citri, décrites dans la publication n°1,
ont favorisé son étude. Sa caractérisation fonctionnelle au cours de cette transmission a
nécessité son expression hétérologue chez E. coli (cf matériel et méthodes).
        Il faut préciser que dans toutes les expériences affectuées avec la PGK recombinante,
celle-ci était toujours étiquetée 6xHis. En effet, malgré toutes les tentatives réalisées pour
éliminer cette étiquette, quelques soient les conditions utilisées, aucune préparation de PGK
n’a pu être « détagguée ». Ceci a nécessité l’ajout d’un contrôle utilisant une autre protéine
étiquettée elle aussi 6xHis dans toutes nos expériences.


III. Conclusion

        La transmission de S. citri par C. haematoceps nécessite de nombreuses interactions
entre le spiroplasme et son insecte vecteur. De ces interactions dépendent, entre autre, les
franchissements de la barrière intestinale et de celle des glandes salivaires. La technique de far
Western 1-D et 2-D, suivie d’une identification par spectrométrie de masse, a permis au cours
de cette thèse d’identifier cinq protéines pouvant intervenir dans le processus de transmission.
De plus, certaines de ces protéines ont pu être plus spécifiquement impliquées dans le
franchissement de l’une ou l’autre des deux barrières que le spiroplasme doit franchir dans
l’insecte.
        Le tableau 1.8 regroupe les résultats obtenus au cours de cette analyse en indiquant
l’ensemble des protéines d’insectes identifiées, leur localisation sur les différents far Western
ainsi que leurs rôles possibles au cours du cycle de S. citri dans C. haematoceps.
        Tout d’abord, l’actine de C. haematoceps, présente au niveau du complexe cortical
sous la membrane plasmique, mais également à la surface des cellules (Moroianu et al., 1993)
pourrait être déstabilisée lors de l’internalisation de ce dernier dans les cellules de l’insecte
sous l’effet de signaux cellulaires déclenchés par le spiroplasme lors de son adhésion. Ce rôle
semble être confirmé par son implication, grâce à son interaction avec la phosphoglycérate
kinase du spiroplasme, dans l’internalisation de ce dernier dans les cellules de l’hôte. En effet,
l’ajout de cette PGK recombinante sur des cellules en culture de l’insecte vecteur infectées
par le spiroplasme inhibe, de manière dose-dépendante, l’internalisation de ce dernier dans les
cellules (Labroussaa et al., 2010). Le rôle inattendu de la PGK de S. citri, plus connue pour
son rôle dans la glycolyse, n’est pas le premier cas de caractérisation d’une protéine
bifonctionnelle chez S.citri. En effet, la protéine P46 du spiroplasme est une protéine
                                               59
Chapitre 1


ribosomique possédant la capacité de se lier à des séquences génomiques inversées répétées
(Le Dantec et al., 1998). Plus récemment, la découverte de l’implication de la glyceraldéhyde-
3-phosphate deshydrogénase (GAPDH) de Mycoplasma pneumoniae dans l’adhésion du
mollicute aux cellules de son hôte (Dumke et al., 2010), montre que la PGK n’est pas la seule
enzyme glycolytique bifonctionnelle impliquée dans un processus d’invasion bactérienne.
       Parmi les autres protéines d’insectes identifiées lors des far Western, il semble peu
probable, à la vue du rôle de l’actine dans l’internalisation de S. citri dans les cellules
d’insectes, que la tubuline soit elle aussi impliquée dans l’endocytose du spiroplasme, ou
alors dans une étape encore plus tardive. Cependant, et tout comme Chlamydia trachomatis,
S. citri, une fois internalisé et présent dans la vacuole d’endocytose, pourrait utiliser les
microtubules pour se déplacer dans la cellule. L’interaction avec ces microtubules pourrait se
faire par l’intermédiaire de protéines spécifiques localisées au niveau de sa structure en « tip »
affleurant à la surface de la vacuole (Ammar et al., 2004). Cependant, de manière similaire
aux résultats concernant les phytoplasmes (Suzuki et al., 2006), S. citri a également été
retrouvé colocalisé le long des filaments d’actine ce qui pourrait signifier que le spiroplasme
utilise ces filaments pour se mouvoir à l’intérieur de la cellule. Une étude plus poussée
permettrait de comprendre un peu mieux comment le spiroplasme parvient à se mouvoir dans
le cytoplasme des cellules de son hôte
       Les protéines Rab5 et Rab6, autres protéines identifiées au cours de cette analyse,
pourraient quant à elles également participer au phénomène d’endocytose de S. citri en
désorganisant le cortex d’actine et en facilitant l’entrée du spiroplasme dans la cellule.
Néanmoins, elles pourraient aussi permettre au spiroplasme, qui détournerait alors leurs
fonctions à son profit, d’éviter la fusion phagoso-lysosomiale responsable de l’élimination de
particules étrangères et ainsi de survivre et de se multiplier dans le cytoplasme comme il a été
décrit pour d’autres microorganismes.
       Enfin, la protéine 14-3-3 présente de nombreuses fonctions intéressantes pour S. citri.
Le spiroplasme pourrait détourner cette protéine de sa fonction première chez l’insecte afin
qu’elle assure un rôle dans le franchissement de la barrière des glandes salivaires. En effet, en
interagissant avec une protéine du spiroplasme, la protéine 14-3-3 pourrait permettre à ce
dernier de transiter à l’intérieur des cellules, dans les vésicules d’endocytose observées en
microscopie électronique, en détournant la voie endo-lysosomiale de l’insecte. Elle pourrait
aussi permettre à S. citri de pénétrer à l’intérieur du canal salivaire par exocytose en modifiant
le cortex cellulaire d’actine afin d’être transmis à un nouvel hôte.



                                               60
Chapitre 1


       Du fait de la très grande conservation de l’actine parmi les insectes (de 93 à 100 %
entre les différentes espèces) et celle de la PGK parmi les mollicutes (70 % environ), il est
difficile de concevoir que cette interaction joue un rôle dans la spécificité de vection entre S.
citri et C. haematoceps au cours de la transmission du spiroplasme par son insecte vecteur.
Néanmoins, les autres protéines identifiées au cours de ce travail, et surtout les deux
glycoprotéines identifiées précédemment au laboratoire, pourraient intervenir plus
précocément en interagissant avec des adhésines du spiroplasme. Ces étapes précoces
permettraient dès lors la mise en place plus tardive d’une cascade d’étapes conduisant à
l’internalisation faisant intervenir la PGK et les filaments d’actine de l’insecte. Elles seraient
donc nécessaires au spiroplasme pour franchir les barrières de l’insecte et assurer sa
propagation dans celui-ci.




                                               61
Chapitre 2
Chapitre 2



Identification de la région minimale de liaison à l’actine de la PGK de
                    S. citri et implication dans la transmission


I. Introduction et objectifs

       La phosphoglycérate kinase de S. citri, identifiée comme partenaire de l’actine dans
une interaction nécessaire à la transmission du spiroplasme, n’était pas pressentie au début de
ce travail de thèse. Elle vient néanmoins s’ajouter à la longue liste de protéines interagissant
avec l’actine et dont le nombre, déjà très élevé, est en constante augmentation. Les fonctions
de ces protéines, encore appelées actin-binding proteins (ABPs), sont aussi diversifiées que le
sont celles de l’actine au sein de la cellule.
       L’actine tient une place prépondérante chez les eucaryotes étant, avec les microtubules
et les filaments intermédiaires, à la base du cytosquelette de la cellule. Le cytosquelette
d’actine remplit de multiples rôles notamment dans le maintien de la morphologie et de la
polarité cellulaire, dans l’endocytose, les mouvements intracellulaires, la motilité ainsi que la
division cellulaire. L’ensemble de ces fonctions nécessite l’assemblage et le désassemblage
permanent des filaments d’actine ainsi que leur structuration en un réseau organisé. La
polymérisation dynamique de ces derniers, impliquée dans la majeure partie des fonctions
énoncées précédemment, est polarisée et se caractérise par des états transitoires régulés par
plusieurs de ces ABPs. L’extrémité (+) du filament d’actine permet la formation d’un
nouveau filament sous l’action de deux ABPs, Arp2 et Arp3, associées en complexe nommé
Arp2/3. Ce dernier permet de former ce nouveau filament à partir d’un côté d’un filament
préexistant, permettant ainsi le développement d’un réseau caractéristique du cytosquelette
d’actine. Ce complexe se lie avec les monomères d’actine G et permet leur agrégation au
niveau de cette extrémité. Plusieurs autres protéines, comme les protéines WASP (Wiskott-
Aldrich syndrome protein) participent également à cette étape d’élongation des filaments
d’actine (Dominguez, 2009). De nouvelles ABPs, comme la protéine gelsoline, interagissent
avec l’extrémité néo-formée en se positionnant comme une coiffe, empêchant l’élongation
excessive du filament (Silacci et al., 2004).
       Parallèlement à la formation de ce réseau, au niveau de l’autre extrémité (-) du
filament d’actine, la dépolymérisation est induite par de nouvelles ABPs. En effet, les
protéines ADF (actin depolymerizing factor), ou encore les protéines appartenant à la famille


                                                 62
Chapitre 2


des cofilines, jouent un rôle important dans le turnover des filaments d’actine en se liant à la
structure ADP/actine-F induisant leur dissociation (Dos Remedios et al., 2003).
       Certaines ABPs, au lieu de modifier la structure ou la dynamique de polymérisation de
l’actine, de nombreuses autres ABPs utilisent les filaments d’actine comme support physique
pour assurer leur fonction. C’est notamment le cas de la myosine qui utilise l’actine pour se
déplacer dans la cellule. D’autres encore connectent les microfilaments à la membrane ou aux
protéines de membranes, comme les protéines talin et vinculin qui relient le cytosquelette aux
récepteurs cellulaires de type intégrines. La liaison des filaments d’actine avec les autres
filaments du cytosquelette peut également être prise en charge par les ABPs comme la
spectrine qui permet la liaison aux filaments intermédiaires (Broderick & Winder, 2005) ou
encore la protéine tau qui permet l’interaction des filaments d’actine avec les microtubules
(Maccioni & Cambiazo, 1995).
       La co-cristallisation de certaines ABPs associées à l’actine a permis de mettre en
évidence des domaines plus particulièrement impliqués dans l’interaction. L’α-actinine, par
exemple, qui permet l’association de plusieurs filaments d’actine entre eux, se lie à l’actine
par le biais de deux domaines de liaison séparés par un domaine flexible (spacer) (Broderick
& Winder, 2005).


       Ce second chapitre est plus particulièrement consacré aux domaines de la PGK qui se
lient à l’actine afin de déterminer si ces domaines présentent des similitudes avec ceux
impliqués dans l’interaction avec le substrat de la PGK au cours de la glycolyse. La mise en
évidence de tels domaines permettrait de mieux comprendre les mécanismes mis en jeu au
cours de l’étape d’internalisation du spiroplasme dans les cellules de l’insecte.
De plus, des travaux concernant la localisation de la PGK chez le spiroplasme ont été réalisés
afin de mieux appréhender la possibilité d’une interaction entre ces deux protéines.
       L’ensemble des résultats présentés dans ce second chapitre sont soumis à publication
sous le titre « A minimal actin-binding region of the S. citri phosphoglycerate kinase is
implicated in the transmission process by the insect vector Circulifer haematoceps ». Les
points clés de ce travail ainsi que les résultats complémentaires seront également détaillés.




                                               63
Réduction de
                                                                                                            Longueur                         l'internalisation     Réduction de la
                                    Représentation peptide                                                               Interaction
                                                                                                             peptide                             de S.citri        transmission de
                                                                                                                         avec l'actine
                                                                                                         (acides aminés)                   dans cellules Ciha-1         S.citri
                                                                                                                                         (400µg/ml de protéines)

         1                    101                   205                    302                   412
   His                                                                                                        412            +++                  85%                   48%
                                                                                                  PGK

   His                                                                        PGK FL1                         302            +++                   nd                    nd




   His                                                                                                        205            +++                   nd                    nd
                                                       PGK FL2


                                                                                                              101            +++                   nd                    nd
  His                             PGK FL3


                        His
                                                                                                              312              -                Aucune                Aucune
          PGK FL4

                   49                   154                                                                   106                                 80%                   41%
             His                          PGK FL5
                                                                                                                               +



Figure 2.1: Représentation des travaux publiés dans la publication 2.
A chaque peptide représenté est associé une longueur en acides aminés et des informations sur son interaction avec l’actine de C. haematoceps ainsi que les pourcentages
d’internalisation et de transmission obtenus au cours des expériences citées dans la publication.
Chapitre 2



II. Résultats et discussion
       1. Publication 2

       Les résultats obtenus sont soumis à Applied and Environmental Microbiology sous le
titre « A minimal actin-binding region of the S. citri phosphoglycerate kinase is implicated in
the transmission process by the insect vector Circulifer haematoceps » sont résumés ci-
dessous et dans le tableau 2.1.


       Afin d’étudier en détails les régions impliquées dans l’interaction entre la PGK de S.
citri et l’actine de C. haematoceps, l’obtention de cinq peptides tronqués dans certaines
parties de cette dernière, a été nécessaire. Ces peptides, nommés PGK-FL1 à PGK-FL5, ont
tous été exprimés puis purifiés chez E.coli.


       L’interaction de chacun de ces peptides avec l’actine de l’insecte vecteur a été testée
en far Western, à la fois en tant que protéines « sondes » mais aussi en tant que protéines
« appât ». Ces deux far Western ont permis de confirmer l’interaction entre l’actine de C.
haematoceps et les 101 premiers acides aminés de la région N-terminale (PGK-FL3) de la
PGK de S. citri.


       L’identification d’une région plus réduite a néanmoins été suggérée d’après les
résultats du far Western entre l’actine et le peptide PGK-FL5 (aa 49-154). Par déduction, la
région commune entre les peptides PGK-FL3 et PGK-FL5, allant de l’acide aminé 49 à 101, a
été démontrée comme étant la région minimale d’interaction avec l’actine de l’insecte.


       L’incubation du peptide PGK-FL5, contenant la région minimale de liaison à l’actine,
avec les cellules en culture de C. haematoceps permet de diminuer l’internalisation de S. citri
dans ces cellules de manière identique à ce qui avait été observé avec la PGK « pleine
longueur ».


       L’implication de l’interaction PGK-actine au cours du cycle de S. citri dans l’insecte a
pu être confirmée in vivo en bloquant partiellement la transmission du spiroplasme dans
l’insecte par injection intra-abdominale du peptide PGK-FL5.



                                               64
Chapitre 2


Involvement of a minimal actin-binding region of S. citri phosphoglycerate
kinase in the spiroplasma transmission process by the insect vector
Circulifer haematoceps.
Fabien Labroussaa, Marie-Pierre Dubrana, Nathalie Arricau-Bouvery, Laure
Béven and Colette Saillard*

INRA et Université Victor Ségalen Bordeaux 2, UMR 1090 Génomique Diversité
Pouvoir Pathogène, 71 Avenue Edouard Bourlaux BP 81, F-33883 Villenave
d’Ornon, France

* Corresponding author.
Mailing address ; UMR 1090 Génomique Diversité Pouvoir Pathogène, INRA,
Université Victor Ségalen Bordeaux 2, 71 Avenue Edouard Bourlaux BP 81, F-
33883 Villenave d’Ornon, France.
Phone : 33 5 57 12 23 62
Fax : 33 5 57 12 23 69
E-mail : saillard@bordeaux.inra.fr

Running title:
Minimal actin-binding region of S. citri PGK




Abstract

Spiroplasma citri is a wall-less bacterium that colonizes phloem vessels of a large number of
host plants. Leafhopper vectors transmitted S. citri in a propagative and circulative manner,
involving colonization and multiplication of bacteria in various insect organs. Previously we
reported that phosphoglycerate kinase (PGK), the well-known glycolytic enzyme, was bound
to leafhopper actin and unexpectedly was implicated in the internalization process of S. citri
into Circulifer haematoceps cells.
In an attempt to identify the actin-interacting regions of PGK, several overlapping PGK
truncations were generated. Binding assays, using the truncations as probes on insect protein
blots, revealed that the actin-binding region of PGK was located on the truncated peptide
designated PGK-FL5 containing amino acids 49-154.
To investigate the role of PGK-FL5-actin interaction, competitive spiroplasma attachment and
internalization assays were performed in which His6-tagged PGK-FL5 was added to Ciha-1
cells prior to infection with S. citri. No effect was observed on the efficiency of attachment of
S. citri to leafhopper cells while internalization was drastically reduced. The in vivo effect of
PGK-FL5 was confirmed by competitive experimental transmission assays as injection of
PGK-FL5 into S. citri infected leafhoppers significantly affected spiroplasmal transmission.
These results suggest that S. citri transmission by its insect vector is directly correlated to
PGK ability to bind actin.




                                               65
Chapitre 2


INTRODUCTION                                          involved in leafhopper transmission,
The       plant     pathogenic       mollicute        including the solute binding protein Sc76
Spiroplasma citri, available in culture               (Boutareaud et al., 2004), the P32 protein
since 1971 (Saglio et al., 1971; Saglio et            (Berho et al., 2006; Killiny et al., 2006),
al., 1973), has emerged as an outstanding             the adhesion relative proteins ScARPs
model       for     studying     spiroplasma          (Berho et al., 2006) and spiralin (Duret et
interactions with its two experimental                al., 2003) have been identified. Among
hosts: the periwinkle plant and the insect            these proteins, solely spiralin was
vector Circulifer haematoceps (Bove et al.,           described as interacting with host proteins.
2003). Due to its circulative and persistent          Indeed, spiralin acts as a lectin able to
transmission, S. citri, similarly to the other        bind, in vitro, insect glycoproteins that
plant pathogenic mollicutes, has to                   may serve as receptors for the adherence of
complete a complex journey in the insect.             spiroplasmas (Killiny et al., 2005).
Successful transmission of S. citri by the                    Recently, we reported that confocal
leafhopper depends mainly on the ability              analysis focused on internalization and
of spiroplasmas to pass through the insect            overall distribution of S. citri at the
gut cells, to multiply in various tissues, and        salivary gland level revealed spiroplasmas
finally to cross the salivary gland cells.            located along the actin microfilaments
The crossing of these different barriers              (Labroussaa et al., 2010). This co-
doubtlessly requires protein interactions             localization was also observed with Ciha-1
between the spiroplasma cells and cells of            cells, a leafhopper cell line from Circulifer
its insect host. The salivary gland invasion          haematoceps, experimentally infected by
represents the essential and ultimate step.           S. citri (Duret et al., 2009). This
Thus the first cell-to-cell contact may be            preferential location suggested that
crucial for the efficient penetration of the          invasion in the host cells could involve
salivary gland membrane. Following                    interactions between S. citri proteins and
electron microscopy observations, it has              the      actin     cytoskeleton.       Among
been     hypothesized      that    leafhopper         phytopathogenic mollicutes, the first
transmission of spiroplasmas and more                 interaction with actin was identified in
precisely the traversal of insect membranes           Candidatus Phytoplasma asteris (OY
was mediated by the recognition of                    strain) and involved its immunodominant
specific membrane proteins, which leads to            membrane protein (Amp). Mechanism of
a process of receptor mediated endocytosis            this interaction is still unclear but seems to
(Fletcher et al., 1998; Kwon et al., 1999;            be implicated in the insect-vector
Ozbek et al., 2003). Nevertheless, the                specificity (Suzuki et al., 2006). The
mechanisms governing these crossings                  ability to bind to actin microfilaments is a
have not been conclusively determined.                characteristic feature that has been reported
Earlier reports on Spiroplasma kunkelii               for many intracellular bacterial pathogens
describe tip structures piercing the basal            (Cossart et al., 2003; Gouin et al., 2005)
laminae of midgut epithelial cells of the             and might be a general system for
leafhopper vector Dalbulus maidis (Ozbek              successful bacterial invasion within host
et al., 2003; Ammar et al., 2004). In order           cells.
to bind, penetrate and degrade the basal              For S. citri, we previously reported that
laminae, these tip structures or attachment           phosphoglycerate kinase (PGK), classified
organelles very likely contain specialized            as a cytosolic protein, unexpectedly bound
enzymes, receptors and/or adhesins as                 actin and mediated the process leading to
human mycoplasmas (Dallo et al., 1990;                internalization of S. citri in eukaryotic cells
Rottem, 2003).                                        (Labroussaa et al., 2010). Thus PGK joins
A few number of S. citri membrane or                  the group of enzymes including enolase
associated-membrane proteins potentially              (Yavlovich et al., 2007), glyceraldehyde-3-

                                                 66
Table1: Primers used for constructions of His6-tagged PGK and PGK truncationsa
                                                                                             Amino acid
 Protein    Primers                     Séquence (5’   3’)b                   Positionc    residue numero

            PGK-F            GTGAGAATTCGGATTTCATATGACAAAC                     -19 to +9
  PGK                                                                                          1-412
            PGK-R            TTATGAAGCTTTTATTTACTTTGAACAGC                   1222-1250*

  PGK      PGKpep-F         TGAGAAGGATTTGAATTCCATATGACAAAC                    -18 to +9
                                                                                               1-302
  FL1      PGKpep1-R        CAAAACCTAAGCTTTTAGTTGTAACTTTTG                     283-303

  PGK      PGKpep-F        TGAGAAGGATTTGAATTCCATATGACAAAC                     -18 to +9
                                                                                               1-205
  FL2      PGKpep2-R       CATTGTGATAAGCTTTTAAACATTTTTACTTC                    590-615

  PGK      PGKpep-F         TGAGAAGGATTTGAATTCCATATGACAAAC                    -18 to +9
                                                                                               1-101
  FL3      PGKpep3-R        CCAATAAGCTTTTATGTTTTCCTTCAAAGG                     883-906

  PGK      PGKpep4-F     GTAAAAATGAATTCCATATGGATTCTGCTTTAGG                    303-324
                                                                                             101-412
  FL4        PGK-R          TTATGAAGCTTTTATTTACTTTGAACAGC                    1222-1250*

  PGK      PGKpep5-F     TTGATAGAATTCCATATGGCACAAGAAGCAAAAG                    147-168
                                                                                              49-154
  FL5      PGKpep5-R       AATATTTCCCTAAAAGCTTTTAAGCAGAATC                     438-462
a All regions were amplified using the respective mutagenic forward and reverse primers, as required.
b Introduced EcoRI, HindIII and NdeI sites underlined.
c upstream position of nucleotide from the adenine nucleotide of the starting ATG codon.
* 11 nucleotides are downstream the stop codon localized at position 1239.
Chapitre 2


phosphate deshydrogenase (Bergmann et                was verified by sequencing the insert. Two
al., 2004), and pyruvate deshydrogenase              µg of plasmid representing each truncation
E1β subunit (Dallo et al., 2002) that                was used to transform E. coli BL21 (DE3).
besides their assigned functions may have            Transformants were selected on LB solid
some other roles to play in bacteria.                medium containing kanamycin (50 µg/ml)
The goal of this study was to identify PGK           at 37°C.
regions that mediate binding to actin of C.          To check the expression of PGK
haematoceps host cells and to determine              truncations fused to the N-terminal
the in vivo effect of this minimal actin-            hexahistidine sequence the experiment was
binding region in the transmission process           carried out as previously described for
of spiroplasmas by its insect vector.                PGK (Labroussaa et al., 2010). All
                                                     proteins,      purified    by       affinity
                                                                               2+
MATERIALS AND METHODS                                chromatography using Ni -nitrilotriacetic
Bacterial strains, leafhoppers, and cell             acid (Ni-NTA) prepacked columns
line culture                                         (Qiagen), were desalted using PD-10
Escherichia coli strains DH10B and BL21              columns according to manufacturer’s
(DE3) were grown in Luria-Bertani (LB)               instructions (GE Healthcare) and protein
medium and used to clone, express, and               concentrations were estimated by the
purify S. citri His6-tagged PGK and its              Bradford procedure. Two µg of each
truncated forms. S. citri GII3, originally           purified His6-tagged proteins were
isolated from its leafhopper vector C.               subjected to 5-15% linear gradient SDS-
haematoceps captured in Morocco                      PAGE and followed by gel staining with
(Vignault et al., 1980), was cultivated in           colloidal blue. Parallel gels were
SP4 medium (Tully et al., 1977) at 32°C.             transferred onto membranes and blots were
Healthy C. haematoceps were reared in an             used for (i) immunoblotting performed
insect-proof cage on stock (Matthiola                with anti-His monoclonal (Mab) antibodies
incana) plants at 30°C. Micro-injection of           (1:3000 dilutions, Sigma), (ii) far Western
S. citri GII3 into C. haematoceps has been           blotting carried out with a mixture of
described previously (Foissac et al., 1996).         leafhopper cell proteins.
The non-phagocyte cell line Ciha-1 from
the Cicadellidae C. haematoceps was                  Identification of PGK truncations that
cultured at 32°C according to Duret et al.           interact with leafhopper actin
(Duret et al., 2009).                                Interactions between individual His6-
                                                     tagged PGK truncations and leafhopper
Cloning, expression, and purification of             actin were detected by far Western
PGK full length and PGK truncations                  experiments.
Expression and purification of S. citri His6-        Equal amounts of His6-tagged PGK and its
tagged PGK was previously described and              individual truncations (2 µg) were
PGK truncations were produced from the               fractionated by a 5-15% linear gradient
pET28 FL plasmid containing the pgk                  SDS-PAGE before transfer onto a
gene, in which the two UGA codons were               nitrocellulose membrane for 45 min at 10
replaced by TGG codons (Labroussaa et                V according to the conditions described by
al., 2010). The individual truncated                 Killiny et al (Killiny et al., 2005).
fragments pgkFL1 to pgkFL5, were                     Membrane blots were then overlaid with
amplified (Table 1) and the resultant DNA            proteins prepared from Ciha-1 cells as
fragments were inserted in pET28a(+)                 follows: the cells were transferred to a
vector (Novagen). The recombinant                    potter-Elvehjem-grinder with phosphate
plasmids (pET28FL1 to pET28FL5) were                 buffered saline (PBS) (2 mM KH2PO4, 8
used to transform E. coli DH10B. The                 mM Na2HPO4, 0.14 M NaCl, 2mM KCl
desired sequence of the resulting plasmids           pH        7.4)      containing       1mM

                                                67
Figure 1
               A
                     1                                                    412
                                                  PGK
                     1                                         302
                                       PGK-FL1
                     1                             205
                                  PGK-FL2
                     1                101
                         PGK-FL3
                                     101                                  412
                                                  PGK-FL4
                             49             154
R                                 PGK-FL5

E
S          B
                         PGK       PGK-FL1 PGK-FL2 PGK-FL3 PGK-FL4 PGK-FL5
U
               kDa
L
T              50
S              37

               25
               20
               15

                         1     2     1 2     1 2         1 2    1 2   1    2
Chapitre 2


phenylmethanesulphonylfluoride (PMSF)               attachment to and internalization into Ciha-
and homogenized. Then the mixture was               1 cells were estimated by counting
centrifuged twice for 1 min at 500 × g.             colonies on solid SP4 medium as described
Protein concentration in the supernatant            previously (Labroussaa et al., 2010).
was determined by the Bradford procedure            Gentamicin protection assay was used for
and aliquots of 500 µg of proteins were             the invasion assay. Briefly, cells were
used as overlay for incubation with the             incubated with 400 µg/ml of gentamycin
blots of His6-tagged proteins. Bindings             during 3h at 32°C in order to kill
were revealed with rabbit polyclonal                extracellular bacteria.
antibodies against actin (1:600 dilution,
Sigma) followed by goat anti-rabbit                 S. citri experimental transmission assays
labelled with peroxidase (1:50,000                  Female leafhoppers were micro-injected
dilution, Sigma). All the steps were                with 0.1 µl of a spiroplasma culture (108
conducted in the same conditions that               spiroplasmas /ml) and caged on healthy
those previously published (Labroussaa et           stock (Matthiola incana) plants at 30±2°C
al., 2010).                                         as described previously (Foissac et al.,
All individual His6-tagged truncated                1996). The fourth day after this first
proteins (40 µg) were also used as overlay          injection, they were microinjected again
on a leafhopper actin protein blot and              with 0,2 µg of His6-tagged PGK or
interaction was revealed using anti-His             truncations (PGK-FL4 or PGK-FL5) in
MAb (1:3,000) followed by peroxidase                phosphate buffer (8 mM NaH2PO4, 2 mM
conjugate goat anti-mouse IgGs. For this            Na2HPO4 [pH 7,4]). Injections with
far Western experiment, the blot of                 phosphate buffer and with a His6-tagged
leafhopper proteins was prepared as                 protein (subunit of Mycoplasma mycoïdes
follows: 20 µg of proteins issued from              SC ATPase) were included as controls in
Ciha-1 cell culture were separated on 12,5          the experiment. Then, for each tagged
% SDS-PAGE and transferred to                       protein or control, re-injected insects were
nitrocellulose membrane. Then, the                  randomly divided in subgroups of 3 among
experiment was conducted in a manner                Eppendorf® tubes on which a Parafilm®
similar to that described previously except         membrane separated the leafhoppers from
that anti-His MAbs in place of of anti-actin        SP4 medium as previously described
antibodies were used.                               (Foissac et al., 1996). When feeding
                                                    through the Parafilm® membrane, infected
Effect of recombinant PGK and its                   leafhoppers injected S. citri into the
truncations on S. citri attachment to and           medium. After 24 h at room temperature,
entry into Ciha-1 cells                             the SP4 medium was collected and
Monolayers of Ciha-1 cells grown in 24-             incubated at 32°C. After one week, the
well plates (approximately 2 x 105 cells per        yellow colour in the tube, indicating the
well) were incubated with various                   growth of S. citri, was noticed and the
concentrations of S. citri His6-tagged PGK          presence of spiroplasmas was verified with
and truncations PGK-FL4 and PGK-FL5.                optical microscopic observations.
Cells without PGK treatment represent
positive control. Cells treated with BSA            Statistical analyses
were also included as a control. Each assay         For attachment to and invasion of S. citri
condition was carried out in triplicate.            into Ciha-1 cells, Student’s t test was used.
After incubation with proteins for 2 h at           For S.citri transmission assay, a chi-square
32°C, the cells were infected with a                test (two-tailed) was performed to identify
suspension of S. citri at a multiplicity of         significant differences.
infection (MOI) of 15 to 30. After
infection with S. citri, spiroplasma                RESULTS

                                               68
Figure 2
          A                          PGK       PGK   PGK   PGK   PGK
                             PGK     FL1       FL2   FL3   FL4   FL5

          kDa

          75


          50

     42

          37

          25
                1        2   3       4         5      6     7    8


                              PGK          PGK       PGK   PGK    PGK
      B             PGK       FL1          FL2       FL3   FL4    FL5

          kDa
          50


          37

          25

          20
          15
          10

                     1           2         3          4     5        6
Chapitre 2


Production of recombinant PGK                       blotting using anti-actin antibodies (Figure
truncations                                         2A, lane 2). As shown on Figure 2A (lanes
In an attempt to identify the actin-binding         3, 4, 5, 6, 8) for PGK, and PGK-FL1 to
region of PGK, we generated by deletion             FL5 truncations, significant binding signals
of the carboxyl-terminal region of the PGK          located at approximately 42 KDa
(PGK full length: 412 amino-acids) three            corresponding to actin molecular mass
truncated polypeptides of varying lengths           were revealed by anti-His MAb. No signal
namely PGK-FL1 (302 aa), PGK-FL2 (205               was observed with PGK-FL4 (Figure 2A
aa) and PGK-FL3 (101 aa) (Figure 1A).               lane 7). From these results we deduced that
PGK-FL4 (312 aa) was the result of the              the region in PGK from amino acid 49 to
first hundred PGK amino acids deletion              101 possessed the capacity to bind actin.
and represented the C-terminal part of              Interestingly, PGK-FL5 showed a marked
PGK. A truncated form of PGK-FL2                    decrease in its actin-binding ability (Figure
consisting of amino acids 49-154 designed           2A lane 8), especially compared to PGK-
PGK-FL5 (106 aa) was also produced                  FL1, PGK-FL2, and PGK-FL3 (Figure 2A
(Figure 1A). His6-tagged PGK and all the            lanes 4, 5, 6).
His6-tagged truncated proteins were                 To further reinforce these findings, a
expressed in E. coli and purified. His6-            second far Western assay was performed in
tagged proteins, PGK, PGK-FL1, PGK-                 which a blot of His6-tagged PGK or its
FL2, PGK-FL3, PGK-FL4 and PGK-FL5                   truncations was overlaid with a Ciha-1
have respectively predicted molecular               cells protein mixture (Figure 2B). Binding
masses of 44.0, 33.7, 23.5, 12.2, 34.0, 12.5        signals between PGK, its truncations and
kDa. On the colloidal blue-stained                  actin were revealed by polyclonal
polyacrylamide gel, His6-tagged PGK, and            antibodies against actin. As expected, an
His6-tagged truncations PGK-FL1, PGK-               interaction signal was detected between
FL2 and PGK-FL4 matched their predicted             PGK and actin (Figure 2B, lane 1).
molecular masses (Figure 1B, lanes 1).              Truncation of PGK from the N-terminal
His6-tagged PGK-FL3 and PGK-FL5                     (1-101), resulting in PGK-FL4 truncated
migrated higher than their predicted                protein (101 to 412), abrogated the binding
molecular masses of 12.2 and 12.5 kDa               activity (Figure 2B, lane 5), suggesting that
and preparations of these two truncations           this region played an important role for
were slightly contaminated by other E.coli          PGK interaction with actin. Binding
proteins (Figure 1B, lanes 1). However,             signals detected with PGK-FL1, PGK-FL2
anti-His Mab recognized only the tagged             and PGK-FL3 (Figure 2A, lane 2, 3, 4)
proteins in all cases in spite of protein           indicated that truncation from the PGK
contaminations in PGK-FL3 and PGK-FL5               carboxyl-terminal had no effect on the
preparations (Figure 1B, lanes 2).                  actin-binding capacity of the PGK
                                                    moieties. Thus, the 101-amino acid region
Identification of the minimal PGK actin-            of PGK-FL3 was required for actin
binding region                                      binding. The signal observed with PGK-
To identify the truncated proteins that             FL5 (amino acid 49 to 154) (Figure 2B,
displayed an affinity for actin, a far              lane 6) confirmed that an actin-binding site
Western assay was performed on a blot of            was located on this truncation. From these
Ciha-1 cell proteins using as overlay the           results, we deduced that the region from
individual truncated proteins. Ciha-1 cell          amino acids 49 to 101 is the minimal
proteins mixture was visualized on a                region that possessed the capacity to bind
12.5%         colloidal         blue-stained        actin.
polyacrylamide gel (Figure 2A, lane 1),
and the presence of actin in the Ciha 1 cell        Competitive binding assay with S. citri
protein mixture was confirmed by Western            and truncated PGK proteins:

                                               69
Figure 3

           A
                                                      120
               Relative % adhesion




                                                      100



                                                       80



                                                       60



                                                       40



                                                       20



                                                        0
                                                                0
                                                                0    PGK 0
                                                                       0 400     peptfin 50 peptfin0400
                                                                                     50           0             50
                                                                                                            peptm i 50          0
                                                                                                                            pept m i         0
                                                                                                                                            BSA
                                                                      4                           4                          40
                                                                                                                             400        40
                                                                               Concentration (µg/ml)

           B
                                                       120
                         Relative % internalization




                                                       100



                                                        80



                                                        60
                                                                                                               *
                                                        40



                                                        20
                                                                          *                                                 *
                                                            0
                                                                00      00
                                                                     PGK 400     peptf5 050
                                                                                      in      peptf in 0
                                                                                                     0400       50
                                                                                                            peptmi 50         00
                                                                                                                         pept mi 400     0
                                                                                                                                       BSA
                                                                       4                          4                         4          40
                                                                               Concentration (µg/ml)
Chapitre 2


Aiming at determining if the minimal                   compare the ability of S. citri to be
binding region of PGK (PGK-FL5) is                     inoculated in SP4 medium by infected
sufficient to inhibit entry into insect cells,         leafhoppers re-injected with PGK or PGK
we performed competitive adhesion and                  truncations. S. citri infected insects that
invasion assays with PGK truncations. No               were re-injected with phosphate buffer
difference was observed between the                    represented the positive controls. Two
relative percentage of adhesion obtained in            hundred and fifty seven groups of 3
the positive controls carried out without              leafhoppers were allowed to feed for 24 h
any treatment or treated with BSA prior to             on SP4 medium. As shown on Table 2, a
infection with S. citri (Figure 3A).                   spiroplasma culture was obtained for 149
Preincubation of His6-tagged PGK (400                  out of the 257 batches. Thus, in 58% of the
µg/ml) with Ciha-1 cells before S. citri               batches, insects succeeded to achieve
infection did not reduced the binding of S.            bacterial transmission as assessed by
citri to cells. To test the correlation                inoculation of S. citri into SP4 medium. A
between PGK-actin interaction and the role             relative percentage of 100 was attributed to
of this interaction in cells infection, PGK-           this maximal transmission rate. There was
FL4, which has no actin-binding activity               no significant difference in the percentage
and PGK-FL5, which is the minimal actin-               of S. citri inoculation in SP4 medium
binding region, were tested in the same                between the positive control and infected
competitive-binding assay. As seen in                  insects re-injected with a control His6-
Figure 3A, competition with 50 and 400                 tagged protein or PGK-FL4 (96.5% and
µg/ml of either PGK-FL4 or PGK-FL5 did                 100%). Injection with the His6-tagged
not noticeably alter the spiroplasmas                  PGK protein or PGK-FL5 peptide in the S.
attachment to cells. These results are in              citri infected leafhoppers resulted in a
accordance with those obtained previously              significant reduction of inoculation in SP4,
showing that the interaction between PGK               compared with controls. The percentages
and actin is not involved in the attachment            of leafhoppers which introduce S. citri in
of S. citri to insect cells (Labroussaa et al.,        SP4 medium was not significantly different
2010).                                                 for the His6-tagged PGK protein and the
Spiroplasma invasion of Ciha-1 cells was               PGK-FL5 peptide (51.7 % and 58.6 %,
estimated similarly to the attachment test             respectively).
after a gentamicin protection assay. As
shown in Figure 3B, the percentage of                  DISCUSSION
internalization of S. citri in cells incubated         In this study we identified regions of S.
with BSA (400 µg/ml) was close to those                citri PGK protein that interact with
of the positive controls. Competition with             leafhopper actin and attempted to
His6-tagged PGK (400 µg/ml) showed the                 determine whether PGK, through its
greatest inhibition rate in invasion, by               binding with actin, play a role in
about 85%. PGK-FL4, whatever its                       transmission of S. citri by the leafhopper
concentration, did not significantly reduce            C. haematoceps.
the invasion of S. citri in Ciha-1 cells. In           Based on our experimental data using PGK
contrast, 50 and 400 µg/ml of PGK-FL5                  truncated derivatives, we determined that
compete with S. citri internalization into             the region of the PGK which binds to actin
Ciha-1 cells with a reduction of 45 and                was located on the PGK-FL3 truncation,
80% such as PGK.                                       corresponding to the N-terminal part of
                                                       PGK (amino acids 1 to 101). Four out of
Effect of PGK or PGK truncations on S.                 the 5 well defined substrate binding sites of
citri transmission                                     PGK mediating interaction with 1,3-
To further assess the effect of PGK in S.              biphosphoglycerate during glycolysis are
citri transmission by leafhoppers we                   present on this fragment. In contrast, the

                                                  70
Table 2: Effect of PGK and its truncations PGK-FL4 and PGK-FL5 on S. citri transmission

                 Number of       Number of batches          Number of         Percentage of     Relative percentage
                independant   (3 leafhoppers per batch)    batches with       batches with        of batches with
                experiments                               positive culture   positive culture     positive culture
  Phosphate
    buffer
                    12                  257                    149                 58                  100

 His6 control       3                   100                     56                 56                 96.5

                                                                                   30 *               51.7 *
  His6-tagged
     PGK
                    8                   176                     52

  His6-tagged
   PGK FL4          3                    82                     48                 58                 100.9

  His6-tagged
   PGK FL5
                    4                   112                     38                 34 *               58,6 *

* p<0.0001, chi-square test (two- tailed)
Chapitre 2


PGK-FL4 fragment (amino acids 101 to                interfere with adhesion of spiroplasmas to
412) corresponding to the C-terminal part           Ciha-1 cells but inhibit the internalization
of PGK, exhibited none binding with actin.          in the cells in a dose dependant manner
This PGK-FL4 fragment mainly includes               (Labroussaa et al., 2010). In this study, as
the ADP binding sites and the catalytic             expected, PGK-FL4 and PGK-FL5
site. The ATP molecule is well known to             truncations or PGK full length had no
interact with PGK but also with actin and           effect on spiroplasmas adhesion to Ciha-1
could thus play the role of a linking agent         cells. The fact that PGK-FL5 with the
between these two proteins. The fact that           minimal actin-binding region conserved
the C-terminal part of PGK is not required          the inhibitory activity on the internalization
for actin-binding capacity of PGK seems to          process reinforces the hypothesis assuming
prove that the interaction between PGK              that the actin-binding efficiency of PGK is
and actin is direct. To determine more              directly related to the relevance of such an
precisely the binding segment, we                   interaction in the internalization process.
constructed a PGK-FL5 truncation with an            This is also confirmed by the fact that
overlapping region of 53 amino acids with           PGK-FL4, which has no effect on
PGK-FL4 and in which the first 48 amino             internalization, does not possess any actin-
acids of PGK-FL3 were missing.                      binding activity.
Interestingly, PGK-FL5 showed a marked              These results prompted us to speculate that
decrease in its actin-binding ability               PGK and PGK-FL5 fragment are
especially compared to PGK-FL3 (Fig                 candidates for playing a role in
1A). This difference in actin-binding               transmission of S. citri. The penultimate
efficiency could be explained by the                event before the infectious bite in the
occurrence of two distinct actin-interacting        phloem is invasion of C. haematoceps
sites located in PGK N-terminal part, the           salivary glands by the spiroplasmas. To
first one being specific to PGK-FL3 and             ascertain the role of PGK and PGK-FL5
located within the amino acids 1-48, and            truncation peptide in salivary gland
the second site being common to both                invasion we developed an in vivo
fragments within amino acids 49-101.                spiroplasma invasion blocking assay.
Based on sequence similarity, the                   Infected leafhoppers were injected with
molecular model proposed for S. cerevisiae          phosphate buffer or tagged proteins on the
PGK (Watson et al., 1982) was used to               4th day after infection. This time period
predict the surface accessibility of the two        corresponds to the maximum of
hypothetical actin-binding domains in S.            spiroplasmas in insect (Boutareaud et al.,
citri PGK. In the modelled S. cerevisiae            2004) and a large majority of them would
PGK N-terminal part, two blocks of amino            be expected to still be circulating in the
acids (L29 to H54 and R66 to D91) were              haemolymph that is the main place of S.
found to be localized side by side with a           citri multiplication. Because transmission
majority of the amino acids residues                rates of S. citri between infected
located at the outer surface of the                 leafhoppers treated with His6-tagged PGK-
molecule. In S. citri PGK, the surface              FL4 and those of control groups
exposure of the corresponding amino acids           (phosphate buffer or tagged protein) were
residues would allow their interaction with         similar, it is highly unlikely that PGK-FL4
actin. In addition, amino acids that are            inhibits the ability of spiroplasmas to enter
believed to participate in actin-binding            in salivary glands. The infected
differ from those involved in PGK                   leafhoppers injected with PGK or with
interactions with its substrate 1,3-                PGK-FL5 displayed an average reduction
biphosphoglycerate.                                 of almost 50% in the transmission of S.
Previously we have described that PGKs              citri when compared with controls. PGK-
from S. citri and S. cerevisiae do not              FL5 truncation, with its minimal actin-

                                               71
Chapitre 2


binding region, sufficient to block the entry        412). PGK-FL5 (amino acids 49 to 154)
of spiroplasmas into Ciha-1 cells, plays as          was constructed by deleting both amino
expected an important role in transmission.          terminal and carboxyl terminal end of
The competition between exogenous PGK                PGK.
and PGK-FL5 with the spiroplasmas could              (B) All His6-tagged proteins were purified
reduce the available number of target sites          as described in Materials and Methods, and
that participate in entry of spiroplasmas in         submitted to SDS-PAGE (lane 1). Parallel
salivary glands.                                     gels were transferred onto nitrocellulose
In summary, our results suggested a                  membranes. Saturated blots were probed
correlation between the PGK-actin                    with anti-His monoclonal antibodies (lane
interaction and the inhibitory effect during         2).
internalization in insect cells. In agreement
with these data, as we show with our in              Figure 2: Determination of the minimal
vivo experimental model, S. citri could use          PGK region required for actin binding
this interaction for crossing salivary glands        activity
barrier and completing its life cycle in             (A) Far Western experiment performed on
insects. The PGK-actin interaction might             Ciha-1 cell proteins (20 µg) overlaid with
be essential for insect transmission but this        His6-tagged PGK and His6-tagged PGK
complex is probably not sufficient for               truncations. Lane 1, gel electrophoresis
deciphering all steps involved in the                pattern of Ciha-1 cell proteins stained with
transmission process. A comparison of the            colloidal blue. Lane 2, proteins from Ciha-
actin-binding region (amino acid 49 to               1 cells (20 µg) were transferred onto a
101) with the same region in various                 nitrocellulose membrane. Saturated blots
phytoplasmas revealed that this region               were probed with rabbit polyclonal
belong to a fragment with a less well                antibodies against chicken actin followed
conserved sequence suggesting the                    by immunological detection. The band at
fundamental importance that could have               42 kDa reflects the presence of actin in the
this sequence for determining insect vector          protein mixture. Lanes 3 to 8, blots from
specificity in plant pathogenic mollicutes.          Ciha-1 cell proteins were probed with PGK
                                                     or individual PGK truncations. Mouse anti-
ACKNOWLEDGEMENTS                                     His MAbs followed by peroxidase
Thanks are due to Claire Charenton who               conjugate goat anti-mouse IgGs were used
kindly provided the His6-tagged MSC_618.             to detect interactions. His6-tagged PGK
This work was supported with funding                 and His6-tagged PGK-FL1 to PGK-FL3
from INRA and Université Victor Ségalen              and PGK-FL5 were bound to actin (lanes
Bordeaux 2. F.L. was supported by a Ph.D.            3, 4, 5, 6, 8). With His6-tagged PGK-FL4,
fellowship from the Ministère de                     no binding signal was observed (lane 7).
l’Enseignement et de la Recherche.                   (B) Far-western experiments performed on
                                                     PGK and its truncations overlaid with
LEGENDS                                              Ciha-1 cell proteins. Blots of His6-tagged
Figure 1: Construction and purification              PGK and His6-tagged PGK truncations
of the truncated PGK proteins                        were probed with the mixture of Ciha-1
(A) Schematic illustration of the PGK and            cell proteins containing actin. Binding was
deletion constructs. Full-length PGK                 detected with rabbit antiactin antibodies
protein (amino acids 1 to 412) was deleted           followed by goat anti-rabbit antibodies
from C-terminus and PGK-FL1 (amino                   labelled with peroxydase. Detection was
acids 1 to 302), PGK-FL2 (amino acids 1              performed       with    chemioluminescent
to 205), PGK-FL3 (amino acids 1 to 101),             substrate. Binding signals were observed
were produced. N-terminal deletion                   with PGK and PGK-FL1 to PGK-FL3 and
produced PGK-FL4 (amino acids 101 to

                                                72
Chapitre 2


PGK-FL5 (lanes 1, 2, 3, 4, 6). No binding          number of cells associated with adherent
was observed with PGK-FL4 (lane5),                 spiroplasmas. Each value represents the
                                                   mean of two independent triplicate assays.
Figure 3: Competitive assays between               Vertical lines represent standard error of
recombinant PGK or its truncations and             the mean. Student’s t test was carried out
S. citri for attachment to and entry into          and no statistical differences were found.
Ciha-1 cells                                       (B) Inhibition of S. citri internalization into
Monolayers of Ciha-1 cells were incubated          Ciha-1 cells by a PGK treatment.
for 2 hrs at 32°C with 400 µg of His6-             Following infection with S. citri at a MOI
tagged PGK (white bars), 50 and 400 µg of          of 15-30 for 18h at 32°C, the cells were
His6-tagged PGK-FL4 (spot-filled bars), 50         treated with gentamicin (400 µg/ml) during
and 400 µg of His6-tagged PGK-FL5                  3 h at 32°C for killing attached
(brick-filled bars), 400 µg of BSA (gray           spiroplasmas. Then the cells were
bars). Untreated cells infected in the same        trypsinized, plated on SP4 medium, for
conditions were the positive controls              counting the infected cells. Each value
(black bars).                                      represents the mean of two independent
(A) Effect of PGK treatment on S. citri            triplicate assays. Vertical lines represent
attachment to Ciha-1 cells. After                  standard errors of the means. Significant
incubation, the cells were infected with S.        differences between S. citri internalization
citri at a MOI of 15-30 for 4 h at 4°C.            with His6-tagged PGK, or PGK-FL5
Then the cells were washed, trypsinized            treatment, and positive control without any
and plated on SP4 solid medium. After              protein treatment (P< 0.001, Student’s t
spiroplasma growth at 32 °C, the number            test)    are    indicated      by    asterisks.
of colonies was counted to evaluate the




                                              73
Positions permettant
           Positions permettant la liaison                           la liaison à l’ADP
            au 1,3-biphosphoglycerate




                                     Positions permettant le changement
                                    conformationnel de la PGK lors de la
                                             liaison au substrats




Figure 2.2: Représentation schématique des informations tirées de l’analyse de la structure 3-D
                             de la PGK au cours de la glycolyse.
Chapitre 2


        2. Résultats supplémentaires et discussion

            2.1. Recherche du mécanisme d’interaction entre la PGK et l’actine

        Les travaux, en cours de publication, ont permis de préciser la région de la PGK
impliquée dans l’interaction avec l’actine. En effet, la région en acides aminés 49-101 de la
PGK a été caractérisée comme la région minimale de liaison à l’actine. De plus, il a été
suggéré que deux régions pourraient intervenir dans cette interaction. L’intensité du signal
obtenu lors du far Western réalisé avec le fragment PGK-FL5 (aa 49-154) est plus faible que
celle obtenue avec les autres signaux d’interaction, et notamment avec le peptide PGK-FL3
(aa 1-101). De ce fait, la région comprenant les acides aminés de 1 à 48 et celle comprenant
les acides aminés 49 à 101 pourraient être impliquées dans une interaction de la PGK avec
l’actine de C. haematoceps.
        Ceci nous a incités à regarder plus en détails la séquence primaire en acides aminés,
ainsi que la structure tridimensionnelle (3-D) de la PGK afin d’identifier des structures ou des
acides aminés particuliers intervenant dans le mécanisme d’interaction de cette protéine avec
l’actine.


        La fonction principale de la PGK, ou néanmoins celle qui est la plus connue, est d’être
une enzyme de la glycolyse. Plusieurs caractéristiques concernant la PGK, principalement
déduites de sa co-cristallisation avec ses substrats au cours de cette étape glycolytique, sont
représentées sur la figure 2.2.
        La structure 3-D de la PGK de S. citri n’était pas disponible mais cette protéine étant
relativement conservée, la modélisation de la structure 3-D de la PGK de S. citri s’est basée
sur la structure 3-D de la PGK de S. cerevisiae, déterminée expérimentalement (Watson et al.,
1982) (figure 2.3A).
        Les données disponibles sur la PGK concernent principalement son rôle au cours de la
glycolyse. La PGK transfère un groupement phosphoryl du 1,3-biphosphoglycérate à l’ADP
en vue de former une molécule d’ATP. Pour assurer ce transfert, elle possède deux domaines
de liaison distincts pour chacun de ses deux substrats : un domaine en N-terminal permettant
de lier le 1,3-biphosphoglycérate, composé de cinq acides aminés D22, N24, R37, H60 et
R120, et un second, en C-terminal, quant à lui, constitué de 11 acides aminés (G242, G310,
N334, P336, G338, V339, F340, E341, G369, D370, S371) assurant la fixation de l’ADP. De
plus, pour le transfert du groupement phosphate, la PGK doit passer d’un état « ouvert » à un
état « fermé » induisant le rapprochement des deux substrats. Cette modification
                                       74
A




  B                                                               C




                             D




Figure 2.3: Différentes vues de la structure 3-D de la PGK de S. citri et des régions impliquées
dans l’interaction avec l’actine.
A: Comparaison de la structure 3-D de la PGK de S. cerevisiae et de S. citri. B: Représentation des acides aminés accessibles à la
surface de la protéine au sein de la région d’intérêt 1-101. C: Représentation de l’occupation dans l’espace (space filled) des
différentes structures secondaires accessibles à la surface contenues dans la région 1-101. D:Représentation des deux domaines
identifiés (M27-E52 et K63-Q88) sur la PGK de S. citri potentiellement impliqués dans l’interaction avec l’actine et se trouvant côte
à côte sur la structure 3-D.
Chapitre 2


conformationnelle est assurée par une région composée de quatre acides aminés localisés aux
positions 204 à 207 (VDNP) sur la PGK de S. citri.
       La région de la PGK du spiroplasme impliquée expérimentalement dans l’interaction
avec l’actine de C. haematoceps est comprise dans les 101 premiers acides aminés du coté N-
terminal. Il faut remarquer que la localisation de cette région n’est absolument pas corrélée
avec celle des sites de liaison à l’ADP qui, étant connus pour se fixer aussi bien sur la PGK
mais également sur l’actine, aurait pu faciliter cette interaction de manière aspécifique en
servant de pont entre les deux protéines. Par opposition, il semble que l’interaction, entre la
PGK de S. citri et l’actine de l’insecte, soit spécifique et directe.
       Dans le but de nous conforter dans nos hypothèses énoncées suite aux résultats
obtenus en far Western, la présence de domaines accessibles à la surface de la protéine qui, de
ce fait, pourraient être responsables de la liaison avec l’actine, a été recherchée. La
figure 2.3B montre la localisation des acides aminés accessibles à la surface de la PGK de S.
citri au sein de la région d’intérêt comprenant les acides aminés de 1 à 101. Les positions dans
l’espace des structures secondaires contenues dans cette région, particulièrement bien
exposées à la surface et donc accessibles pour une interaction, sont également représentées
(figure 2.3C). Trois domaines particulièrement accessibles sont mis en évidence. Mis à part la
région N-terminale qui est souvent très flexible et donc régulièrement exposée à la surface de
nombreuses protéines, deux autres domaines présentent ces mêmes caractéristiques, chacun
de ces domaines faisant parti d’une des deux régions impliquées dans l’interaction avec
l’actine. Pour la région des 48 acides aminés en N-terminal, cette recherche montre la
présence d’un domaine particulièrement accessible allant des acides aminés M27 et E52
(figure 2.3C) formant une structure de type hélice-boucle, propice aux interactions. Pour la
région constituée des 52 acides aminés suivants, une seconde structure de type hélice-boucle a
également été déterminée. Ce domaine prédit comprend les acides aminés K63 à Q88
(figure 2.3D).
       Les deux domaines identifiés, et localisés à la surface de la protéine, sont donc situés
côte à côte sur la structure tridimensionnelle (figure 2.3D). Cette particularité pourrait
expliquer les résultats du far Western obtenu avec le peptide PGK-FL5 dont le signal
d’interaction avec l’actine est moins intense que ceux obtenus avec les autres peptides.
D’après les données de la structure 3-D de la PGK, PGK-FL5, n’ayant pas la région en acides
aminés 1-48, ne possède donc pas non plus ce domaine prédit accessible pour l’interaction.
L’actine de C. haematoceps pourrait, de ce fait, interagir avec la PGK de S. citri par le seul


                                                 75
Séquences                                       Séquences S. citri
                 correspondantes
                                                           1-48              49-101             101-412

                    S. agalactiae                          87%                 59%                 73%

           Candidatus phytoplasma
                                                           75%                 60%                 70%
             asteris souche AY

           Candidatus phytoplasma
                                                           77%                 60%                 70%
             asteris souche OY

           Candidatus phytoplasma
                                                           80%                 54%                 73%
                australiense


                     Figure 2.4: Comparaison des différentes régions de PGK.
  Pourcentage de similarité entre les différentes régions d’intérêt de la PGK de S. citri et les séquences correspondantes chez
Candidatus phytoplasma asteris souche OY, Candidatus phytoplasma asteris souche OY, Candidatus phytoplasma australiense
                                               ainsi que Streptococcus agalactiae.
Chapitre 2


domaine allant des acides aminés 63-88, présent dans la région minimale de liaison à l’actine,
mais cette interaction ne serait pas stabilisée par le second domaine manquant.
        Ces deux domaines ne partagent qu’un seul acide aminé en commun avec ceux
impliqués dans la liaison avec le 1,3-biphosphoglycerate. Cela suggère que, pour se lier à
l’actine, la PGK utilise un mécanisme différent de celui impliqué pour se lier à son substrat de
la glycolyse.
        Cette corrélation entre les résultats expérimentaux et les structures identifiées in silico
au cours de l’analyse de la structure 3-D de la PGK permet de confirmer que la PGK serait
effectivement une nouvelle protéine bifonctionnelle chez S. citri.


           2.2. Recherche d’homologie de séquences chez la PGK d’autres
        organismes.

        Comme évoqué précédemment, l’implication de l’interaction entre la PGK et l’actine
dans la spécificité de vection du spiroplasme est difficile à concevoir. Cependant,
l’identification de domaines spécifiques dans la séquence de la PGK de S. citri, renfermant
des structures propices à une interaction, nous a incités à comparer ces différents domaines
avec ceux d’autres organismes. Ces comparaisons pourraient nous permettre de vérifier si
cette interaction fait partie d’un processus conservé chez de nombreuses espèces bactériennes
ou si des particularités existent au sein de chaque organisme. Les comparaisons ont porté sur
la séquence de Streptococcus agalactiae utilisant l’interaction PGK-actine pour son
internalisation dans les cellules épithéliales (Burnham et al., 2005). Cette comparaison a
également été réalisée avec les séquences d’autres mollicutes phytopathogènes, les
phytoplasmes, transmissibles par insectes vecteurs, dont le génome est disponible (tableau
2.4).
        Les comparaisons ont été effectuées entre les deux régions d’intérêt (1-48 et 49-101)
ainsi que sur la séquence comprenant les acides aminés de 101 à 412 ne présentant pas
d’interaction avec l’actine.
La région C-terminale (aa 101-412) montre des taux de variations identiques à ceux observés
avec les comparaisons des séquences « pleine longueur » (de 70 à 73%). Les comparaisons
des régions des 48 premiers acides aminés de la séquence indiquent que cette dernière est
particulièrement conservée (de 75 à 87% de similarité) tandis que la région comprise entre les
acides aminés 49 et 101 l’est beaucoup moins (54 à 60% de similarité).



                                                76
A




   B

SeqID: readseq.input(1), 412 bases, C98338A0 checksum.
  Analysis Report:
    CMSVM+             Unknown                    [No details]
    CWSVM+             Unknown                    [No details]
    CytoSVM+           Unknown                    [No details]
    ECSVM+             Extracellular              [No details]
    ModHMM+            Unknown                    No internal helices found]
    Motif+             Unknown                    [No motifs found]
    Profile+           Unknown                [No matches to profiles found]
    SCL-BLAST+         Cytoplasmic   [matched 3122608: Phosphoglycerate kinase]
    SCL-BLASTe+        Unknown                [No matches against database]
    Signal+            Unknown                [No signal peptide detected]
  Localization Scores:
    Cytoplasmic             5.86
    CytoplasmicMembrane     0.00
    Cellwall                0.30
    Extracellular           3.83
  Final Prediction:
    Unknown (This protein may have multiple localization sites.)




             Figure 2.5: Localisation cellulaire de la PGK de S.citri
                        prédite par l’outil psortb v.3.0.2.
A: Interface d’interrogation avec la séquence de la PGK de S.citri et les quelques paramètres requis pour
  cette interrogation. B: Résultats de l’interrogation avec les données importantes encadrées en rouge.
Chapitre 2


        Selon notre hypothèse, basée sur les résultats des expériences de far Western, cette
région (aa 1-48) pourrait avoir une fonction stabilisatrice nécessaire à une interaction forte
avec l’actine de l’insecte tandis que la seconde (aa 49-101) comprendrait le domaine minimal
de liaison à l’actine indispensable à cette interaction. Les résultats, extraits des comparaisons
de séquence primaire de diverses PGK, semblent confirmer ces résultats. En effet, il semble
logique qu’une région stabilisatrice soit fortement conservée, tandis que la région intervenant
dans l’interaction, à proprement parler, soit plus dégénérée assurant une meilleure spécificité
de liaison à l’actine.
        Cette interaction faisant intervenir la PGK et l’actine, deux protéines conservées, ne
peut pas expliquer à elle seule la spécificité de vection. De plus, cette interaction joue un rôle
uniquement lors de l’internalisation de S. citri et non pas lors de l’étape précédente
d’attachement, qui de manière générale, est davantage pressentie pour être impliquée dans la
spécificité d’hôte faisant intervenir des protéines spécifiques. Néanmoins, la plus faible
conservation observée dans la région minimale de liaison à l’actine (aa 49-101) pourrait
indiquer un phénomène d’adaptation propre à chaque organisme nécessaire à cette étape
d’internalisation et qui pourrait intervenir au cours du processus global de spécificité de
vection.


            2.3. Localisation de la PGK

        Le rôle de la PGK dans la transmission de S. citri, en tant que partenaire de l’actine,
implique qu’elle soit membranaire et/ou sécrétée. Chez de nombreuses autres bactéries
pathogènes, des déterminants majeurs de la virulence ou de la transmission ont été identifiés
parmi les protéines de surface et/ou parmi les protéines sécrétées.
        Suite à l’étude du protéome de S. citri au laboratoire, il a été montré que cette protéine
se retrouve dans la fraction cytoplasmique mais aussi dans la fraction membranaire. Cette
localisation membranaire, différente de sa localisation cytoplasmique connue et prédite pour
son rôle dans la glycolyse, a déjà été retrouvée chez d’autres bactéries comme Candida
albicans (Alloush et al., 1997) ou encore Streptococcus agalactiae (Hughes et al., 2002).
        En parallèle, l’analyse de la séquence de la PGK, par l’outil de prédiction de
localisation cellulaire psortb v.3.0.2 (Gardy et al., 2005), a été effectuée et semble en accord
avec ces résultats expérimentaux. Cet outil combine plusieurs logiciels de prédictions tel que
des prédicteurs de peptides signaux, de présences d’hélices transmembranaires, de motifs et
de localisation tissus-spécifique afin d’identifier in silico une localisation protéique.

                                               77
A




   B




Figure 2.6: Western blot 2-D anti-PGK réalisé avec la fraction membranaire de S. citri.
A: Coloration au rouge ponceau de la membrane de nitrocellulose sur laquelle ont été transférées une fraction de protéines
membranaires de S. citri séparées par électrophorèse 2-D. B: Agrandissement de la zone de la membrane contenant la PGK de S.
citri (à gauche) et western blot réalisé avec cette même membrane dont la révélation a été effectuée avec l’anticorps anti-PGK (à
droite).
Chapitre 2


L’interrogation (figure 2.5A) ainsi que les résultats (figure 2.5B) prédisent que cette protéine
pourrait posséder plusieurs localisations, l’une cytosolique et l’autre extracellulaire.


       Afin de mettre en œuvre des techniques immunologiques permettant de visualiser la
présence de la PGK de S. citri à la surface du spiroplasme, un anticorps anti-PGK a été
produit (Protéogénix) dans la souris à partir de la protéine His6-PGK purifiée.
       Un western blot a été réalisé sur une fraction protéique enrichie en protéines
membranaires. Les protéines membranaires de S. citri ont été séparées au cours d’une
électrophorèse 2-D puis transférées sur une membrane de nitrocellulose (figure 2.6A) avant
d’être incubée en présence de l’anticorps anti-PGK produit (figure 2.6B). Le résultat de ce
western blot indique, même si cette protéine possède une localisation cytoplasmique du fait de
sa fonction dans la glycolyse, la PGK est également localisée parmi les protéines
membranaires du spiroplasme.


III. Conclusion

       Les résultats présentés dans ce second chapitre semblent indiquer que, outre sa
localisation cytoplasmique associée à sa fonction dans la glycolyse, la PGK peut également
être relocalisée. Le western blot réalisé avec les protéines membranaires de S. citri semble
indiquer que celle-ci pourrait se retrouver dans la membrane du spiroplasme. Cependant, la
PGK étant une protéine très fortement exprimée chez S. citri, le risque d’une contamination
n’est pas exclu. Néanmoins, la localisation « extracellulaire », prédite par le logiciel psortb,
semble confirmer cette possibilité. En l’absence d’éléments supplémentaires, cette prédiction
ne permet pas, à l’heure actuelle, d’affirmer si la PGK est associée à la membrane du
spiroplasme ou bien sécrétée par le spiroplasme afin de pouvoir interagir avec l’actine
       Ces résultats laissent tout de même penser que la PGK de S. citri pourrait posséder une
seconde localisation adéquate pour une interaction avec les microfilaments de l’insecte au
cours du franchissement des cellules constituant les barrières intestinales et des glandes
salivaires de l’hôte, de manière identique obtenues à d’autres organismes utilisant également
une interaction PGK-actine pour leur internalisation dans les cellules de l’hôte, comme
Streptococcus agalactiae (Burnham et al., 2005),
       L’identification de structures, différentes de celles impliquées dans l’interaction de la
PGK avec son substrat au cours de la glycolyse, permet ainsi de préciser le mécanisme
d’interaction entre ces deux protéines. Les deux domaines accessibles à la surface, localisés
                                                78
Chapitre 2


entre les acides aminés M27-E52 et K63-G88, différents de ceux impliqués dans l’interaction
de la PGK avec son substrat dans la glycolyse, seraient plus particulèrement responsables de
sa liaison avec l’actine.
       Grâce à l’utilisation des différentes PGK tronquées lors des tests de compétition sur
les cellules d’insectes, nous avons pu mettre en évidence que la région minimale de liaison
avec l’actine conserve le rôle d’inhibition de l’internalisation de S. citri dans les cellules
attribué à la PGK entière.
       L’injection du peptide PGK-FL5 et de la PGK entière au niveau de l’hémolymphe de
l’insecte bloque de 50 % le recrachage de S. citri dans le milieu de culture indiquant ainsi que
l’interaction entre les deux partenaires joue un rôle prépondérant in vivo dans la transmission
de S. citri par son insecte vecteur C. haematoceps.




                                              79
Chapitre 3
Figure 3.1: Voie métabolique de la glycolyse chez S. citri.
Présence de la phosphoglycérate kinase (en rouge) et de la voie alternative à la formation du pyruvate (en vert). Extrait de
(http://cbib1.cbib.u-bordeaux2.fr/molligen3b/TOOLBOX/KEGG /ShowPathMulti.php)
Chapitre 3


                         Réalisation d’un mutant de S. citri
                       dépourvu de phosphoglycérate kinase


I. Introduction

       Dans les deux premiers chapitres de ce manuscrit, nous avons montré le rôle de la
PGK dans l’internalisation du spiroplasme dans les cellules Ciha-1 (chapitre1) ainsi que dans
la transmission par l’insecte vecteur (chapitre 2). Ces effets importants de la PGK conduisent
à une réflexion sur la capacité à être transmis par C. haematoceps d’un spiroplasme dépourvu
de cette protéine.
       L’obtention d’un tel mutant peut paraître utopique du fait que la PGK, protéine
essentielle de la glycolyse, semble être indispensable pour la survie d’un organisme.
Cependant, un schéma de la voie métabolique de la glycolyse chez S. citri (figure 3.1), fait
apparaître la présence d’une voie alternative à celle passant par la PGK (2.7.2.3, en rouge),
semble exister. En effet, une voie impliquant la L-lactate deshydrogénase (1.1.1.27, en vert),
présente chez S. citri, parait pouvoir substituer celle de la PGK afin de former du pyruvate,
produit final de la glycolyse. De manière surprenante, le séquençage récent du mollicute
phytopathogène Phytoplasma mali souche AT révèle que ce phytoplasme ne posséde pas le
gène codant la PGK (Kube et al., 2008) laissant supposer que l’étude d’un mutant de S. citri
dépourvu de PGK est réalisable.
       Chez S. citri, les premières productions de mutants ont été celles réalisées par
mutagénèse aléatoire grâce à l’utilisation du transposon Tn4001 (Foissac et al., 1997),
originaire de Staphylococcus aureus (Lyon et al., 1984). C’est ainsi que des mutants altérés
dans leur pathogénicité (Gaurivaud et al., 2000; Gaurivaud et al., 2000) ou dans leur
transmission par l’insecte vecteur (Boutareaud et al., 2004) ont été obtenus. Cependant,
l’utilisation de cette mutagenèse aléatoire par transposition nécessite l’obtention d’une banque
de mutants d’une couverture satisfaisante, ainsi que le criblage fastidieux de cette dernière,
afin d’isoler des clones « candidats » c'est-à-dire des clones altérés, entre autres, soit dans leur
phytopathogénicité, soit dans leur transmission.
       Afin d’obtenir un mutant ponctuel au niveau du gène pgk, nous avons utilisé une
technique de mutagenèse ciblée qui permet de sélectionner un évènement de recombinaison
homologue localisé dans un gène cible (Duret et al., 2003).


                                                80
A




         BamHI
5’   tcaagggatccgaaaaaaagttttagtccgtgttgattttaatgtgccaatgaaggatggtcaagttactgatgataatcgtattat
     tgcagctttaccaacaattaaatatttgatagcacaagaagcaaaagtaattttattttctcatttagggaaagttaaaacagctga
     tgatttagaaaaacgtgatatggctccagtagcaaaggtattagaacaaaaattaggacaaccagttaaatttattaatgcctttg
     aaggaaaacaattggaagaagctattaacgaaatgcacaataaagagatctttttattt 3’
                                                                     BglII




                 B
                                               Ps     GentR
                                      pBS

                                                                                          pGOT
                                   O T T             ∆PGK          tet M
                                                       PGK



                      ∆PGK                 tet M              GentR        Ps   O T T             ∆PGK




Figure 3.2: Réalisation d’un mutant de S. citri dépourvu de PGK.
A: Clonage du fragment interne de la PGK au niveau du site BamHI du plasmide pGOT.
B: Schéma d’intégration du pGOT dans le chromosome de S. citri par recombinaison homologue au niveau du gène cible.
Chapitre 3


       L’objectif du travail exposé dans ce chapitre concerne donc la production, par simple
recombinaison homologue, d’un mutant de S. citri dépourvu de PGK. Néanmoins, aucun des
mutants obtenus ne correspondant à celui attendu, l’identification des gènes ayant subi un
évènement de recombinaison chez l’ensemble des mutants produits a été mise en œuvre.


II. Résultats
       1. Construction du vecteur pGOTpgk

       Le vecteur navette S. citri/E. coli, nommé pGOT (figure 3.2A), a été utilisé pour
l’obtention d’un tel mutant. Ces vecteurs ont pour origine commune le plasmide pBS+ qui
leur apporte l’origine de réplication colE1 d’E. coli. De plus, ils possèdent une origine de
réplication de S. citri. Deux gènes de résistance à deux antibiotiques, la gentamycine et la
tétracycline, sont également présents. La résistance à la gentamycine, exprimée de façon
constitutive sous la dépendance d’un promoteur fort, le promoteur de la spiraline, permet la
sélection des transformants après l’électroporation tandis que la résistance à la tétracycline,
apportée par le promoteur du gène cible après une recombinaison homologue, permet de
sélectionner les clones ayant subi cet évènement. Le mutant pour le gène cible désiré est
obtenu par simple recombinaison homologue au niveau de ce gène (figure 3.2B)
       Afin de tronquer de manière ciblée le gène pgk, un fragment interne de 300 pb de ce
dernier a été amplifié par PCR avec les amorces PGK_F-BamHI et PGK_R-BglII. Le choix du
fragment sur le gène pgk répond à plusieurs critères essentiels. Tout d’abord, à la vue du
schéma d’intégration représenté pour le plasmide pGOT (figure 3.2B), l’absence de la partie
N-terminale du gène est impérative car, après intégration par simple recombinaison
homologue, sa présence pourrait reconstituer le gène fonctionnel lors de la recombinaison
avec la partie C-terminale du gène présent sur le chromosome. De plus, ce fragment doit être
d’une taille suffisante pour permettre la recombinaison chez S. citri, mais doit également être
limitée. En effet, lors de la recombinaison homologue, la région N-terminale du gène cible est
reconstituée, rendant éventuellement fonctionnel ce domaine protéique. De manière générale,
une longueur autour de 300 pb est préconisée chez S. citri.
       Ce fragment est ensuite inséré au niveau du site BamHI de chacun des deux plasmides.
Ces derniers sont ensuite introduits dans E. coli par électroporation. L’intégration en « sens »
du fragment du gène pgk, indispensable pour que la recombinaison puisse avoir lieu, est
vérifiée à l’aide d’une double digestion enzymatique à l’aide des enzymes de restriction

                                              81
»             s»
               ns II         en I
             se ndI       tis ndII
            « i         an
           T H
         O I+          « Hi
     W pG mH         T I+
                    O H
   M
         Ba      pG am
                     B
5090
4072   5054 5054                          pGOT + PGK                                       pGOT + PGK
3054
              3022                          « sens »                                       « antisens »
       2722

2036
1636


1018


                                     pb
                                     5090
506
                                     4072
                                     3054
396      388                         2036
201                                  1636
                                     1018
134
                 88                                                                                       388 pb
75                                    506


                                               1   2   3   4   5   6   7   8   9   10 11   12 13 14




Figure 3.3: Vérification de l’intégration en « sens » du fragment interne du gène pgk dans le
plasmide pGOT.
Chapitre 3


BamHI et HindIII (figure 3.3). Cette digestion permet de réaliser en une seule étape, la
sélection des clones ayant inséré le plasmide et de plus, l’ayant inséré dans le sens désiré. La
présence d’un fragment de taille de 388 pb indique le fragment est inséré en « sens ». En
revanche, la présence d’un fragment de 88 pb signifie que le fragment interne ∆pgk n’est pas
présent ou présent en « antisens ». Les clones 4, 6, 9, 11, 13 correspondent à des clones d’E.
coli qui ont correctement intégré le fragment du gène pgk (figure 3.3). La séquence du
fragment du gène pgk a été effectuée pour s’assurer qu’aucune mutation ne s’est insérée dans
la séquence.


       2. Obtention et sélection des clones délétés dans le gène pgk

       Après transformation, les transformants sont sélectionnés sur milieu SP4 additionné de
100 µg/ml de gentamycine (SP4 + gentamycine). Les colonies résistantes sont ensuite
repiquées en milieu SP4 liquide + gentamycine.
       A partir du 5ème passage dans ce milieu, un passage étant considéré comme
l’ensemencement d'une culture de spiroplasmes au 1/10ème dans un milieu de culture frais, la
culture des clones est poursuivie en milieu SP4 additionné cette fois-ci de 5 µg/ml de
tétracycline (SP4 + tétracycline). Alors que la résistance à la gentamicine, sous la dépendance
du promoteur de la spiraline, est constitutive, le gène de résistance à la tétracycline, ne
possédant aucun promoteur en amont, ne s’exprimera donc que lorsque l’évènement
d’intégration aura eu lieu, à partir du promoteur du gène pgk situé dès lors en amont du gène
TetM permettant aux spiroplasmes de se multiplier dans un tel milieu.
       Au cours de notre étude, six clones résistants à la tétracycline ont été sélectionnés. La
présence de plasmides libres dans l’ADN total des clones sélectionnés n’a pas été mise en
évidence suite aux hybridations entre l’ADN de chaque mutant et la sonde tetM ciblant le
gène de résistance à la tétracycline. Le fait que les spiroplasmes se multiplient sur un tel
milieu indique qu’un évènement de recombinaison a eu lieu chez chacun de ces clones et
qu’un promoteur se trouve en amont du gène de résistance à la tétracycline. Cependant, rien
n’atteste que cet évènement s’est produit au niveau du gène pgk. Chacun des clones est alors
testé par PCR afin de s’assurer de la disruption du gène de la PGK. La PCR est réalisée avec
deux amorces positionnées de part et d’autre du gène pgk (figure 3.4). Dans le cas où
l’évènement de recombinaison a eu lieu au niveau du gène pgk, l’intégration complète du
plasmide, d’une taille supérieure à 8 kpb, empêche toute amplification dans les conditions
expérimentales effectuées.

                                              82
Ps     GentR
                                      pBS
                                                        7864 pb
                                                                                       pGOT
                                   O T T            ∆PGK          tet M

                                                        PGK                               chromosome



                       ∆PGK               tet M               GentR       Ps   O T T         ∆PGK         après intégration




                      pb
                     3054
                     2036
                     1636
                     1018                                                               960 pb
                                                                                       960pb
                      506



                                   O      T 1       2         3   4    5       6
                                        OT
                                 H 2 pG O
                                     pG




Figure 3.4: Présence du gène pgk entier chez les clones obtenus avec le plasmide pGOT.
Amplification obtenue avec le couple d’amorce montrant qu’aucun des clones sélectionnés avec le plasmide pGOT ne présentent
de disruption du gène pgk.
Chapitre 3


       Si le gène pgk n’est pas disrupté, un fragment PCR d’environ 960 pb est attendu
correspondant à la taille du fragment présent sur le chromosome. La présence de ce fragment
de 960 pb sur le gels d’agarose après amplification (figure 3.4), indique de manière claire
qu’aucun des clones sélectionnés (clones 1 à 6) ne présentent de disruption dans le gène pgk.
       Suite à ces résultats, plusieurs autres transformations suivies des mêmes processus de
sélection ont été effectuées. L’absence de mutant dépourvu de PGK ne faisant aucun doute,
les efforts afin d’obtenir un tel mutant ont été abandonnés. L’impossibilité d’obtenir une
recombinaison au niveau du gène pgk laisse supposer que l’absence du gène pgk pourrait être
létale pour les spiroplasmes et de ce fait, même si la recombinaison au gène pgk a lieu, la
sélection de tels mutants est impossible.
       Aucune de ces recombinaisons n’ayant eu lieu au niveau du gène pgk, la recherche des
sites d’intégrations du plasmide au niveau du chromosome a été réalisée identifiant ainsi les
gènes disruptés. Comme ces évènements de recombinaison ont eu lieu dans des régions
codantes, du fait de l’expression du gène de résistance à la tétracycline nécessitant un
promoteur en amont, il est intéressant, une fois les gènes identifiés, de tester les mutants
obtenus dans notre système expérimental de transmission afin d’isoler de nouveaux gènes
candidats.


       3. Recherche du site d’intégration du pGOTpgk dans le chromosome de
         S. citri

       Pour expliquer qu’aucun de ces clones ne provient d’un évènement de recombinaison
au gène cible, il faut envisager que cet évènement de recombinaison a bien eu lieu de façon
homologue mais a ciblé d’autres régions présentes sur le plasmide. En effet, hormis le
fragment du gène pgk, deux autres séquences sont présents à la fois sur le plasmide pGOTpgk
et sur le chromosome de S. citri pouvant expliquer un tel phénomène. C’est le cas de la
séquence du promoteur du gène de la spiraline présent en amont du gène de résistance à la
gentamycine et de l’origine de réplication OriC.
       Il est également envisageable qu’une recombinaison illégitime ait eu lieu entre une
région du plasmide pGOTpgk et une région codante du chromosome.




                                              83
A      Intégration à l’Ori ?


  Chromosome             DnaA               O                 DnaN          349pb




Si intégration    DnaA    O T T        ∆PGK         tet M           GentR     Ps O      DnaN   8164pb

                                                                                  pb
                                                                                 5090
                                                                                 4072
                                                                                 3054
                                                                                 2036
                                                                                 1636
                                          8164pb                                 1018

                  349pb                                                          506




                                    O     T 1   2     3       4     5   6   MW
                                  H 2 pGO




  B      Intégration dans le promoteur de la spiraline ?


  Chromosome      Protéine X          Ps Spiraline                 985pb


 Si intégration   Protéine X Ps     GentR             tet M        ∆PGK T T O Ps Spiraline     8164pb

                            pb

                           5090
                           4072
                           3054
                           2036
                           1636
                           1018                                                      985pb
                            506


                                        O     T 1         2       3 4   5 6
                                      H 2 pGO


  Figure 3.5: Recherche de l’intégration du plasmide pGOTpgk au niveau de l’origine de
  réplication de S. citri (A) ou au niveau du promoteur de la spiraline (B).
Chapitre 3


            3.1. Approche par PCR pour détecter une intégration au niveau de
                l’OriC ou du promoteur de la spiraline

       Le choix des amorces de part et d’autre de l’OriC et du promoteur de la spiraline
permettent, après amplification, de préciser si une intégration a eu lieu à cet endroit. Lorsque
aucune intégration ne s’est produite à cet endroit sur le chromosome, la taille de l’amplicon
correspond, pour l’Ori, à 349 pb et pour le promoteur de la spiraline, à 985 pb. Si l’intégration
du plasmide pGOTpgk s’est produite dans l’une ou l’autre de ces régions, la taille de
l’amplicon doit correspondre à une taille supérieure à 8 kpb, soit la taille du plasmide
pGOTpgk linéarisé.
       Les résultats obtenus avec les clones 1 à 6 pour la recherche de l’intégration par
simple recombinaison homologue au niveau de l’OriC (figure 3.5A) et du promoteur spiraline
(figure 3.5B) montrent qu’aucune de ces deux régions ne contient le site d’intégration du
plasmide. En effet, la taille de l’amplicon obtenue correspond à celle que l’on obtiendrait si on
amplifiait la même région à partir du chromosome.


            3.2. Approche par PCR « aléatoire »

       La recherche de l’évènement de recombinaison s’est alors poursuivie en ciblant, de
manière aléatoire, et toujours par approche PCR, la zone du plasmide à partir de laquelle ce
dernier s’est intégré dans le chromosome. Plusieurs zones ont donc été ciblées et sont
représentées sur la figure 3.6.
       L’amplification EV13/Tet1R (figure 3.6A en orange) a permis de cibler la zone allant
du gène OriC jusqu’au gène TetM. Les clones 2, 3, 4, 5, et 6, qui ne présentent pas de produit
d’amplification, ont effectivement intégré le plasmide pGOT dans cette région. Le clone 1
quant à lui a intégré le plasmide à partir d’une autre région.
       Le second couple d’amorces, pM-Bam/Tet1R, a permis de réduire cette région en
ciblant de manière préférentielle la zone comprenant le fragment interne pgk ainsi que la
partie N-terminale du gène tetM pour l’ensemble de ces cinq clones (figure 3.6A en orange).
Ces clones étant sélectionnés sur milieu additionné de tétracycline, il est peu probable que
l’intégration ait eu lieu au niveau du gène de résistance à cet antibiotique. Il semblerait alors
que, pour chacun de ces clones, l’évènement de recombinaison illégitime se soit déroulé au
niveau du fragment interne ∆pgk.
       Pour tester cette hypothèse deux nouveaux couples d’amorces ont été testés.
L’amplification négative obtenue avec les amorces LG1/PGK6 pour les clones 3 et 6
                                          84
A                                  Ps     GentR
                                      pBS

                                                                                                            pGOT
                                    O T T                   ∆PGK             tet M




EV13          pM-Bam

   O T T          ∆PGK              tet M                                                        Clones
                                         Tet1R              Amorces                                                            pGOT
                                                                               1       2        3     4         5        6

 LG1                                                       EV13/Tet1R          +       -        -       -        -       -        +
   O T T                ∆PGK                              pM-Bam/Tet1R         -       -        -       -        -       -        +
                       PGK6                                LG1/PGK6            +       +        -       +       +        -        +
               PGK3                                        PGK3/Tet1R          +       +        +       +        -       +        +
       T     ∆PGK           tet M
                                      Tet1R




                                                                   LG1
                                                                  EV13      pM-Bam
 B                   PGK3
              Nter X    ∆PGK           tet M              GentR   Ps O T T               Cter X         Clones 3 et 6
                                                  Tet1R

                                                      LG1
                                                                             PGK3
                                                     EV13         pM-Bam
              Nter X        tet M            GentR    Ps O T T             ∆PGK          Cter X         Clones 5
                                     Tet1R
                                                               LG1
                                                              EV13       pM-Bam
                   PGK3
              Nter X  ∆PGK           tet M            GentR    Ps O T T       ∆PGK       Cter X         Clones 2 et 4
                                               Tet1R




 Figure 3.6: Recherche de l’intégration du plasmide pGOTpgk dans le chromosome de S. citri.
 A: Approche PCR permettant de rechercher la région sur le plasmide pGOTpgk au sein de laquelle le plasmide s’est linéarisé afin
 de s’intégrer dans le chromosome de S. citri. B: Identification de trois schémas d’intégration possibles pour cinq des six clones.
Chapitre 3


permettent de conclure que ces deux clones ont intégré le plasmide dans les premiers
nucléotides du fragment pgk (figure 3.6A en jaune). De même, l’absence d’amplification
pour le clones 5 avec le couple d’amorces PGK3/Tet1R permet de localiser la linéarisation du
plasmide pGOTpgk en vue de son intégration dans les derniers nucléotides de ce même
fragment cible (figure 3.6A en bleu). Par déduction, l’intégration pour les deux clones
restants, à savoir les clones 2 et 4, s’est produite par linéarisation du plasmide au milieu du
gène ∆pgk sans aucun détail supplémentaire.
       Ces résultats permettent de montrer que le plasmide s’est linéarisé de façon aléatoire
au niveau du gène cible pgk afin de s’intégrer de façon illégitime dans le chromosome du
spiroplasme selon trois schémas différents (figure 3.6B).


       4. Identification des gènes dans le chromosome de S. citri ayant subi
         l’intégration

       Comme nous l’avons vu précédemment (figure 3.6B), les trois schémas d’intégration,
déduits de l’approche par PCR « aléatoire », montrent que le gène ayant subi l’intégration du
plasmide pGOTpgk est, dans tous les cas et quel qu’il soit, placé à proximité du gène de
résistance à la tétracycline (tetM). Ce gène a donc été utilisé pour le design des amorces
nécessaires à la réalisation des PCR au cours d’une technique de marche sur le chromosome.
       Deux enzymes différentes ont été testées au cours de cette technique, à savoir les
endonucléases HincII et SmaI. Le choix de ces endonucléases est soumis à plusieurs règles
qui sont détaillées dans le chapitre Matériels et Méthodes. Les amorces sélectionnées sont
positionées sur les fragments théoriques obtenus après digestion par les endonucléases (figure
3.7A). Une première amplification avec les amorces AP1 et Tet1R est réalisée suivie d’une
seconde amplification interne avec le couple d’amorces AP2/Tet7.
       Aucun fragment d’amplification n’a pu être obtenu lors des digestions avec SmaI.
       La digestion avec l’enzyme HincII, suivie des deux amplifications PCR, a permis
d’obtenir un fragment lors de cette seconde amplification avec chacun des clones testés
(figure 3.7B). Ces fragments, de taille variant entre 300 pb et 800 pb ont été envoyés à
séquencer.
       Le tableau 3.8A présente les résultats obtenus pour ces quatre mutants étudiés. Ces
résultats montrent que, pour les clones 3 et 4, le plasmide s’est intégré dans un gène codant la
protéine hypothétique SPICI 11_005 tandis que pour les clones 5 et 6, le plasmide s’est
intégré dans un gène codant une seconde protéine hypothétique SPICI 14_001.


                                              85
A

 AP1 AP2

                   Nter X           tet M               GentR   Ps O T T         ∆PGK      Cter X

                                  Tet7 Tet1R



 AP1 AP2

                   Nter X         ∆PGK          tet M           GentR   Ps O T T   ∆PGK    Cter X

                                         Tet7 Tet1R




      B                   pb           S HH              S H     S H       S H
                         3054
                         2036
                         1636

                         1018
                                                                                   800pb
                            506                                                    500pb
                                                                                   400pb

                                            3             4         5      6



Figure 3.7: Approche par marche sur le chromosome pour l’identification des gènes disruptés
par recombinaison illégitime.
A: Choix des amorces en fonction des deux types d’intégration précédemment déduits. B: Amplifications AP2/Tet7 au cours de la
PCR niché pour chacun des quatre clones testés.
Chapitre 3


Les schémas d’intégration pour ces quatre mutants ont pu être déduits des séquences obtenues
(figure 3.8B). Ils montrent que même si le plasmide pGOTpgk s’est intégré dans seulement
deux gènes au cours de l’évènement de recombinaison chez ces quatre mutants, l’intégration
ne s’est pas produite au même endroit dans ces gènes. Par exemple, pour le mutant 4,
l’intégration du plasmide s’est produite au niveau du nucléotide 105 du gène spici11_005. Le
plasmide s’est linéarisé au niveau du nucléotide 257 du gène pgk présent dans le pGOTpgk
donnant ainsi le schéma d’intégration décrit (figure 3.8B).


III. Discussion et conclusion

       La plupart des systèmes de recombinaison décrits chez E. coli nécessite le produit du
gène recA (Kowalczykowski et al., 1994). La découverte, en 1995, d’un gène recA tronqué
chez S. citri ne facilite pas l’obtention de mutants (Marais et al., 1996). En effet, la fréquence
d’évènements de recombinaison homologue est très fortement diminuée chez un mutant
dépourvu de gène recA (Miller & Kokjohn, 1990). Chez le spiroplasme, seuls les 390
premiers nucléotides de la partie N-terminale de ce gène sont présents (Marais et al., 1996).
Malgré cela, l’utilisation du plasmide navette pGOT a permis l’obtention de mutants de S.
citri, comme le mutant GII3-gt1, disrupté au niveau du gène crr codant pour un composant
d’un système phosphotransferase (PTS)-glucose (Duret et al., 2005).
       Dans le cadre de ce travail de thèse, l’obtention d’un mutant de S. citri dépourvu de
PGK a été mise en oeuvre. Cependant aucun clone dont le gène pgk a été tronqué n’a pu être
sélectionné sur un milieu sélectif spécifique Il semblerait que la présence du produit du gène
pgk soit essentielle à la survie de S. citri, contrairement à Candidatus Phytoplasma mali
souche AT, qui ne semble pas être dépendant de la voie glycolytique pour sa survie (Kube et
al., 2008). Bien que cette fonction essentielle de la PGK pour le spiroplasme ne soit pas
inattendue, la présence de voies métaboliques parallèles, capable de générer le produit final de
la glycolyse, laissait présager une fin plus favorable. Ce sentiment est renforcé par la mise en
évidence récente que la fonction de la PGK ne semble également pas essentielle à la survie de
Brucella abortus. En effet, un mutant ∆PGK de cette bactérie semble parfaitement viable
mais, de manière intéressante, semble être néanmoins affecté dans sa pathogénicité (Trant et
al., 2010).




                                               86
Région
       A                                                Protéine
                                   Mutants                                   d'identité                 E value
                                                       identifiée
                                                                           sur la protéine
                                            hp spici11_005                    1-103 nt                      2e-44
                                   Mutant 3      PGK                         63-336 nt                      6e-64
                                                 TetM                         1-26 nt                       2e-16
                                            hp spici11_005                    11-105 nt                     1e-42
                                   Mutant 4      PGK                         257-336 nt                     5e-36
                                                 TetM                          1-75 nt                      6e-65
                                                 hp spici14_001               56-87 nt                      0,06
                                   Mutant 5
                                                      TetM                     1-72 nt                      4e-62
                                            hp spici14_001                     1-87 nt                      7e-06
                                   Mutant 6      PGK                         144-336 nt                     9e-95
                                                 TetM                          1-77 nt                      9e-66


       B

                             Mutant 3                                                            Mutant 4
                               36          336                                                              36            336
                                    ∆PGK          tet M                                                          ∆PGK           tet M
                                          63                                                                         257
            1                       103    120                                       1                           105   120
                    hp spici11_005                                                        hp spici11_005
                                                                                              105                                       105
            103                                          103                         1        257 330                             36    257        120
      1     63  330                                    36 63        120
          hp ∆PGK            tet M                                                       hp             tet M                                 hp
                                                               hp
                                                                             AP1
AP1
                             Fragment envoyé à séquencer                                                    Fragment envoyé à séquencer
                      Tet7                                                                           Tet7


                               Mutant 5                                                        Mutant 6
           36            336                                                    36               336
                ∆PGK           tet M                                                 ∆PGK               tet M
                             330                                                               144
                1       87                       261                            1        87                         261
                     hp spici14_001                                                      hp spici14_001
                87                                        87                           87                                               87
       1        1                           36            330        261        1     144 330                                      36   144        261
           hp        tet M                       ∆PGK           hp                  hp ∆PGK             tet M                                 hp
 AP1
                                                                              AP1
                        Fragment envoyé à séquencer
                 Tet7                                                                                       Fragment envoyé à séquencer
                                                                                                     Tet7


      Figure 3.8: Identification des gènes disruptés grâce à l’utilisation du plasmide pGOT.
      A: Tableau récapitulatif des différents gènes identifiés pour les quatre clones étudiés. B: Schémas d’intégration déduits des
      séquences obtenues après la seconde amplification AP2/Tet7.
Chapitre 3


       Cependant, quatre mutants délétés au niveau d’autres gènes ont été obtenus. Les deux
gènes identifiés au cours de cette étude codent deux protéines hypothétiques de 40 acides
aminés pour la protéine hypothétique SPICI 11_005 appartenant à la famille P4 de S. citri et
de 87 acides aminés pour la protéine SPICI 14_001. Aucune fonction, ainsi qu’aucune
structure particulière sur leur séquence, n’a été attribuée à ce jour à ces deux protéines. Le fait
que ces clones indépendants aient subi une recombinaison entre un des deux gènes de ces
protéines et le fragment interne pgk suggère qu’une région de forte identité nucléotidique doit
être présente sur chacun de ces fragments. De manière surprenante, la comparaison de la
séquence de ces deux gènes avec la séquence du fragment interne pgk n’a pas permis
d’identifier de régions conservées (résultats non montrés). Aucune autre donnée pouvant
expliquer ce phénomène n’est disponible à ce jour.




                                                87
Chapitre 4
Figure 4.1: Schéma représentant la localisation des principales adhésines et protéines accessoires,
associées entre elles, impliquées dans la formation du « tip » de Mycoplasma pneumoniae.
D’après Rottem et al., 2003.
Chapitre 4




         Étude préliminaire de complexes protéiques impliqués dans la
                   transmission de S.citri par l’insecte vecteur


I. Introduction et objectifs
       D’après les résultats des far Western, seulement deux protéines de S. citri ont été
identifiées comme interagissant avec les protéines de la cicadelle vectrice C. haematoceps : la
spiraline (Killiny et al., 2005) et la phosphoglycérate kinase (Labroussaa et al., 2010). La
spiraline, protéine majoritaire de la surface du spiroplasme, en plus de son implication au
cours de la transmission (Duret et al., 2003), interagit avec deux glycoprotéines de 50 et 60
kDa de l'insecte vecteur C. haematoceps. La PGK, quant à elle, se lie à l'actine ce qui lui
permet d'intervenir dans l'internalisation de S. citri dans les cellules en culture Ciha-1 et, par
voie de conséquence, dans la transmission. D'autres protéines ont été identifiées jouant
également un rôle dans la transmission du spiroplasme mais une interaction entre ces
protéines et celles de l'insecte vecteur n'est pas à ce jour démontrée. La protéine Sc76,
caractérisée comme une « Solute Binding Protein » (SBP) d'un ABC transporteur de glucose
(Boutareaud et al., 2004) est essentielle au spiroplasme pour être transmis aussi efficacement
que la souche sauvage GII3. Les protéines ScARPs et P32 ne sont pas essentielles lors de la
transmission mais contribuent en grande partie à la réalisation de celle-ci (Breton et al., 2010).
       La plupart des protéines, prenant part à un processus cellulaire quel qu’il soit,
n'interviennent jamais de façon isolée pour assurer leur fonction. Il est admis que les
processus biochimiques soient réalisés et régulés par des complexes protéiques (Alberts,
1998) tout comme du reste dans la plupart des processus bactériens.
       L’étude complète du protéome de Mycoplasma pneumoniae a permis d’énumérer de
façon exhaustive, et en tenant compte de résultats expérimentaux, toutes les fonctions
accomplies par des complexes multi-protéiques chez ce mollicute (Kuhner et al., 2009). Ces
complexes protéiques peuvent intervenir dans de nombreux processus cellulaires (traduction,
transcription, voies métaboliques, etc …) mais également dans les mécanismes de
pathogénicité ou bien d’invasion cellulaire. Lors de l’attachement aux cellules épithéliales de
son hôte, la mise en place d'une structure particulière, appelé « tip » lui permet d’adhérer
spécifiquement aux tissus appropriés jusqu’à l’établissement de son infection (Rottem, 2003).
Cette structure, contenant de nombreuses adhésines comme les protéines P1 et P30, et de

                                               88
Technique                Utilisation        in vitro/in vivo                           Avantages                                                              Inconvénients
                                                                                                                                                 Nécessite la construction d'une banque de protéines
                                Interaction                                           Criblage à débit élévé
                                                                                                                                               Pas très adapté pour l'étude des protéines membranaires
    Double-hybride                binaire             in vivo                       Simple à mettre en œuvre
                                                                                                                                                             Faux positifs et faux négatifs
                               sans a priori                               Détection d'interactions faibles et transitoires
                                                                                                                                                Impossibilité de détecter des complexes multimériques
                              Complexome                                              Criblage à débit élévé
Purification par affinité                                                                                                                                           Faux positifs
                               Interaction            in vitro                      Simple à mettre en œuvre
en tandem (TAP-TAG)                                                                                                                                  Problématique chez les eucaryotes supérieurs
                                 binaire                                 Conserve les modifications post-traductionnelles
                                                                                                                                                              Faux-positifs possibles
                              Complexome                                      Interactions de protéines membranaires
                                                                                                                                 Nécessité d'utiliser une autre méthode d'étude d'interactions protéine-protéine
    Agents pontants         Interaction multi- in vitro/in vivo         Conservation des modifications post-traductionelles
                                                                                                                                    (ou de purification) dans le cas de recherche de complexes protéiques
                                protéique                             Permet de lier covalemment des interactions transitoires
                                                                                                                                                         impliquant une protéine d'intérêt
                                                                                                                                                               Mise au point lourde
                                                                      Visualisation au niveau de la cellule sur différents plans
         FRET               Interaction binaire       in vivo                                                                                                  Equipement coûteux
                                                                         "          " " " " " en fonction du temps
                                                                                                                                  Niveau d'expression élévé des protéines pouvant perturber leurs fonctions
                                                                                              Spécificité                                         Nécessité de posséder un anticorps spécifique
Co-immunoprécipitation Interaction binaire            in vitro         Ne nécessitent d'expression hétérologue de protéines                                         Faux positifs
                                                                                         Mise en place aisée                                 Pas idéal pour des interactions faibles (ou transitoires)
                                                                           Mise en place aisée et bonne reproductibilité
                                                                                                                                         Nécessité d'avoir la protéine "appât" recombinante et purifiée
                               Interaction                           Production de la protéine "appât" en système hétérologue
                                                                                                                                                Déconseillé dans le cas d'interactions transitoires
      Pull -down                 binaire              in vitro          Possibilité de caractériser des interactions avec des
                                                                                                                                                  Faux positifs liés à la préparation des protéines
                             essentiellement                           récepteurs cellulaires grâce à des kits utilisant la GST
                                                                                                                                          Mauvais repliement de la protéine à cause de son étiquette
                                                                                   fusionnée à des domaines SH2
                                                                                                                                        Création d'une banque de peptides pour les protéines d'intérêts
                               Interaction                                              Criblage à débit élevé
     Phage-display                                    in vitro                                                                                                      Faux positifs
                                 binaire                                            Etudes à l'échelle du génome
                                                                                                                                                             Problème de repliements
                               Interaction
      far Western                                     in vitro                                                                Détaillés au cours du chapitre 1
                                 binaire
      BN-PAGE                 Complexome              in vitro                                                                Détaillés au cours du chapitre 4
                                                                          Détermination des constantes de l'interaction
   Surface Plasmon                                                                Analyse rapide et en temps réel                                                    Immobilisation
                            Interaction binaire       in vitro
   Resonance (SPR)                                                          Utilisable pour de très nombreux analytes                     Perturbation de l'équilibre d'interaction (transport dans la matrice)
                                                                                        Système automatisé
                                                                              Visualisation directe des interactions
Résonance Magnétique                                                                                                                                             Temps d'expérimentation
                     Interaction binaire              in vitro         Dispersion de l'information sur plusieurs dimensions
  Nucléaire (RMN)                                                                                                                                                  Résolution spectrale
                                                                            Informations structurales et dynamiques

      Tableau 4.2: Avantages et inconvénients de quelques techniques principales d’interactions protéine-protéine
Chapitre 4


nombreuses protéines accessoires, comme les protéines High Molecular Weight (HMW) 1 à 3
ou encore les protéines P40 et P90 (figure 4.1), suggère des mécanismes de régulation
avancés et coordonnés, nécessitant de nombreuses interactions protéiques, intervenant dans un
remodelage de la membrane bactérienne. Les protéines accessoires sont au cœur de ce
remodelage et agissent pour permettre la stabilisation de ce « tip » (Seybert et al., 2006;
Kuhner et al., 2009). Plus récemment, un nouvel exemple est venu de la description, chez
Mycoplasma mobile, d’une protubérance à la surface du mollicute, non pas impliquée dans
l’adhérence de la bactérie, mais dans son « gliding » lui permettant de se mouvoir. Cette
structure, composée d’une dizaine de protéines rappelant le corps d’une méduse (« jellyfish »
structure), est un modèle supplémentaire de mécanismes multi-protéiques régulant des
fonctions importantes (Nakane & Miyata, 2007).


       De nombreuses approches biochimiques, biophysiques, génétiques et informatiques
sont mises en œuvres pour mesurer qualitativement ou quantitativement les interactions
protéiques in vitro ou in vivo, visualiser ces interactions dans les compartiments cellulaires,
caractériser les interfaces d’interaction entre protéines et, bien évidemment, identifier les
protéines partenaires impliquées (Phizicky & Fields, 1995). Le tableau 4.2 présente les
principales techniques utilisées pour les études d’interaction protéine-protéine avec leurs
avantages et leurs inconvénients.


       Chez S. citri, la technique privilégiée pour l'étude des interactions protéine-protéine
demeure la technique de far Western (Killiny et al., 2005; Labroussaa et al., 2010). Elle ne
nécessite pas d'expression hétérologue de protéines ce qui est un avantage considérable
connaissant l'inconvénient majeur amené par l'utilisation du codon UGA comme codon
tryptophane chez le spiroplasme. La technique de double-hybride, nécessitant l'utilisation de
protéines exprimées chez la levure, a cependant été utilisée lors de l'étude ciblée de la
caractérisation d'enzymes perméases impliquées dans le transport des sucres chez S. citri
(Andre et al., 2003). Néanmoins, ces deux techniques ne permettent pas de mettre en évidence
des complexes multi-protéiques.
       Aucune des études menées jusqu'à présent n'a permis d'identifier de protéines
réduisant totalement, par leur absence, la transmission de S. citri par son insecte vecteur. Chez
le spiroplasme, les protéines candidates impliquées dans la transmission pourraient alors
intervenir en complexes pour assurer leurs fonctions en interagissent entre-elles ou avec des
protéines encore non identifiées. L’absence ou l’inhibition de la fonction de l’une de ces
                                               89
Chapitre 4


protéines n'abolirait pas le processus de transmission qui alors, bien qu’imparfait, permettrait
à S. citri d’assurer son cycle dans l’insecte vecteur.


         Des méthodes d'analyses dédiées à l'identification de complexes impliqués dans la
transmission de S. citri ont été mises au point et font l'objet de ce chapitre qui se compose de
deux parties.
         La première partie correspond à la mise au point de la technique de Blue Native-
PAGE (BN-PAGE) et à la mise en évidence de complexes dans lesquels seraient impliquées
les protéines susceptibles de jouer un rôle dans la transmission (spiraline, ScARPs, P32,
Sc76).
   La seconde partie sera consacrée plus particulièrement aux complexes protéiques faisant
intervenir la PGK. Le pontage des sous-unités protéiques formant ces complexes, effectué par
l'ajout d'un agent pontant, a permis l'identification de plusieurs complexes dont la composition
sera discutée.


II. Résultats et discussion
         1. Recherche de complexes par la technique de BN-PAGE chez S. citri.

         La technique de Two-Dimensional Blue Native/Sodium Dodecyl Sulphate
Polyacrylamide Gel Electrophoresis (2-D BN/SDS-PAGE) a été initialement mise au point
pour l’étude en conditions natives des complexes membranaires de mitochondries (Schagger
& von Jagow, 1991). Son utilisation a également permis d’étudier les complexes
membranaires de chloroplastes (Neff & Dencher, 1999), d’une cyanobactérie (Herranen et al.,
2004) ainsi que l’enveloppe cellulaire d’E. coli (Stenberg et al., 2005). Par la suite, la
technique de BN-PAGE a été modifiée pour permettre l’étude du complexome total de
cellules eucaryotes (Camacho-Carvajal et al., 2004; Claeys et al., 2005) et de bactéries telles
qu’E. coli (Lasserre et al., 2006) et H. pylori (Pyndiah et al., 2007; Bernarde et al., 2010).
         Cette technique, dont le principe est détaillé au chapitre Matériels et Méthodes, permet
la solubilisation et l’enrichissement de complexes protéiques en vue de leurs migrations en
conditions non dénaturantes. Elle permet d'attribuer une masse moléculaire aux complexes
identifiés ainsi qu'aux sous-unités protéiques les composant lors de la seconde électrophorèse
en conditions dénaturantes. De plus, elle possède l’avantage de séparer ces sous-unités dans
leur état natif laissant la possibilité de caractériser leur activité enzymatique si nécessaire.


                                                 90
B
                                                                                           kDa
    A
            kDa

                                                                                           440


                                                                                           232
            440



            232
                                                                                           140
            140

            66
                                                                                           66
n-dodecyl-β-D-maltoside         1%
                                1%             1%
                                              1%               2%
                                                              2%             2%
                                                                             2%            β-D
                                                                                   Dodecyl1% maltoside
                                500mM          750mM           500mM         750mM Acide aminocaproïque
Acide aminocaproïque          500mM          750mM           500mM          750mM                500mM



   Figure 4.3: Analyse en conditions non-dénaturantes des complexes membranaires de S. citri par
   BN-PAGE.
   A: Effets du n-dodecyl-β-D maltoside et de l’acide aminicaproïque au cours de la préparation des complexes membranaires chez S. citri.
   B: Mise en évidence de complexes membranaires chez S. citri au cours d’une seconde expérience indépendante réalisée avec les
   conditions optimales d’extraction des complexes membranaires (1% n-dodecyl-β-D-maltoside; 500mM acide aminocaproïque).
Chapitre 4


Le   BN-PAGE       présente     cependant   des    inconvénients.   Dans   un   premier     temps,
l’enrichissement des complexes protéiques membranaires chez un organisme nécessite, pour
leur solubilisation, l’utilisation de détergents de type non-ionique. Cette extraction pose
parfois des problèmes en fonction de la nature des complexes et des détergents utilisés
(Kügler et al., 1997). La préparation de ces échantillons est un élément pouvant faire parfois
varier la stabilité des complexes et modifier la stœchiométrie des interactions. Par ailleurs, la
méthode de détection utilisée par cette technique, basée sur la coloration des gels obtenus,
peut être limitante dans la mesure où certains complexes, présents en faible quantité, peuvent
ne pas être détectés.
       Toutefois, cette technique présente des résultats en accord avec ceux obtenus par
d’autres techniques. En effet, l’étude du complexe membranaire de E. coli réalisée par cette
technique (Lasserre et al., 2006) a révélé 306 complexes cytosoliques et membranaires. Parmi
ceux-ci, certains déjà connus ont permis de valider la technologie tandis que 109 nouveaux
complexes ont été identifiés, faisant de la technique de BN-PAGE l’une des techniques les
plus efficaces pour étudier le complexome total d’une bactérie.
       En ce qui nous concerne, le but de l’étude n’était pas de réaliser le complexome total
de S. citri et d’identifier ainsi toutes les protéines associées en complexe chez le spiroplasme,
mais plutôt de mettre en évidence les complexes impliquant plus spécifiquement les protéines,
précédemment identifiées au laboratoire, comme protéines candidates pour jouer un rôle dans
la transmission. Pour cela, un western blot a été ajouté après l’électrophorèse en conditions
dénaturantes. Cette étape nécessite donc le transfert de cette deuxième électrophorèse sur
membrane de nitrocellulose et l’incubation de cette membrane avec des anticorps spécifiques
de ces différentes protéines.


            1.1. Extraction et analyse des complexes membranaires.

       Dans un premier temps, cette technique de BN-PAGE a uniquement été mise au point
pour l’extraction des complexes membranaires du spiroplasme. En effet, hormis la protéine
P32, l’ensemble des protéines candidates, que ce soit la spiraline, les ScARPs ou la Sc76, ont
été identifiées comme des protéines membranaires chez S. citri.
       Plusieurs protocoles, utilisés au cours de différentes études, ont été testés pour cette
extraction (Lasserre et al., 2006; Swamy et al., 2006; Pyndiah et al., 2007; Schamel, 2008).
Le protocole utilisé est décrit dans le chapitre Matériel et Méthodes. Un seul détergent, le n-
dodecyl-β-D-maltoside, a été utilisé pour l’extraction des complexes. Ce détergent est devenu,

                                                  91
kDa                                       1% DDM
     1%
1% DDM                                                                                     1%
                                                                                           750mM ACA
   500mM
500mM ACA                                        75                                        750mM




                                                 25




                                                 kDa                                       2% DDM
                                                                                            2%
2% DDM                                                                                      750mM ACA
                                                 75                                        750mM
500mM ACA




                                                 25




      Figure 4.4: Analyse en conditions dénaturantes des complexes membranaires de S. citri par
                            BN-PAGE au cours de la seconde dimension.
Chapitre 4


au cours des nombreuses et plus récentes études en BN-PAGE, le détergent permettant les
meilleures extractions et la meilleure résolution des différents complexes protéiques lors de
l’électrophorèse non dénaturante. Un second facteur variable est celui concernant la
concentration en acide aminocaproïque, un sel de faible force ionique. Ce dernier, ajouté dans
le tampon de lyse après le lavage des protéines du spiroplasme permet d’améliorer le
processus de solubilisation des complexes membranaires.


       Les résultats obtenus au cours de cette première dimension sont représentés sur la
figure 4.3. L’augmentation de la concentration en n-dodecyl-β-D-maltoside ne semble pas
améliorer l’extraction de complexes membranaires chez S. citri. L’augmentation de la
concentration en n-dodecyl-β-D-maltoside, en plus de ne pas permettre l’extraction de
complexes supplémentaires, engendre un phénomène de diffusion dû à une quantité excessive
de détergent. De plus, les variations dans la concentration de l’acide aminocaproïque ne
semblent pas avoir un effet sur la solubilisation de ces complexes (figure 4.3A). Dès la
première concentration testée, soit 1 % de n-dodecyl-β-D-maltoside, associée à une
concentration de 500 mM d’acide aminocaproïque, les profils protéiques, obtenus pour deux
expériences indépendantes, montrent la présence de 12 complexes membranaires de taille
variant d’environ 550 kDa à environ 70 kDa sur le profil mieux résolus de la seconde
expérience (figure 4.3B).
       Les bandes de gels correspondantes aux quatre premières conditions d’extraction sont
ensuite transférées en haut d’un gel SDS-PAGE afin de déterminer le profil protéique des
sous-unités de ces complexes (figure 4.4). Quelque soit la condition utilisée lors de la
première dimension, les profils obtenus au cours de cette seconde dimension sont relativement
semblables mais difficilement interprétables. Très peu de protéines sont individualisées et de
nombreuses stries horizontales présentes sur l’ensemble des gels viennent perturber l’analyse
de cette seconde dimension. Seules quatre à cinq sous-unités sont visibles sur cette seconde
électrophorèse et, de plus, aucune ne semble faire partie d'un même complexe (figure 4.4,
carrés blancs).
       Aux vues de ces résultats, aucun western blot n'a été effectué.


           1.2. Extraction et analyse des complexes cytosoliques.

       Bien que prédite comme étant associée à la membrane du spiroplasme, la protéine
candidate P32 se retrouve préférentiellement dans la fraction cytosolique lors de l'extraction

                                              92
A             kDa


                                                   669




                                                    440




                                                   232


                                                   140




                                                    66



                                                                  1         2
B                                                                      C
    kDa
    250
    150
    100
     75

    50

    37




    25

    15



    10




                            Identification
                            par LC-MS/MS

                               EF-Tu




    Figure 4.5: Analyse des complexes cytosoliques de S. citri impliquant la P32 par BN-PAGE.
    A: Analyse en conditions non-dénaturantes identifiant plusieurs complexes. Piste 1: 50µg de préparation protéique. Piste 2: 100 µg
    de préparation protéique. B: Analyse en conditions dénaturantes sur gel SDS-PAGE. C: Western-blot réalisé avec l’anticorps anti-
    P32.
Chapitre 4


des protéines de S. citri (Killiny et al., 2006). Afin de caractériser les protéines associées en
complexes avec la P32, un BN-PAGE réalisé avec les protéines cytosoliques de S. citri a été
effectué. Le protocole utilisé pour l'extraction de cette fraction protéique est également basé
sur celui décrit pour la détermination des complexes cytoplasmiques chez H. pylori (Pyndiah
et al., 2007).
Les deux profils (figure 4.5A, pistes 1 et 2), réalisés en conditions non-dénaturantes avec
deux concentrations différentes d'une même préparation cytosolique (50 µg et 100 µ g
respectivement pour les pistes 1 et 2), permettent d’identifier, avec une bonne résolution, huit
complexes protéiques de masses moléculaires variant d’environ 700 à 100 kDa (figure 4.5A).
Le profil obtenu lors de l’électrophorèse en SDS-PAGE, selon la seconde dimension, permet
de visualiser quelques protéines individualisées (figure 4.5B). Cependant, ce profil ne semble
pas représenter de façon exhaustive le complexome cytosolique de S. citri. En effet, trop peu
de spots sont présents pour pouvoir refléter la totalité des protéines cytoplasmiques du
spiroplasme.
        Néanmoins, un western blot (figure 4.5C) a été réalisé avec l’anticorps mono-
spécifique dirigé contre la protéine P32 obtenu par l’injection à un lapin d'un spot de gel 2-D
contenant cette protéine. Quatre spots ont été révélés laissant présager la présence de la
protéine candidate. Les masses moléculaires de ces protéines, repérées sur le gel SDS-PAGE
correspondant et réagissant avec l’anticorps, sont voisines de 50 kDa pour trois d'entre elles.
Or, cette masse moléculaire n’est absolument pas en accord avec celle de la protéine P32
proche de 32 kDa. La quatrième, plus proche de la masse moléculaire appropriée se trouve
néanmoins dans une région du gel peu exploitable. L’analyse en spectrométrie de masse de
ces protéines n’a identifié la P32 dans aucune de ces zones de gel analysées signifiant que les
signaux, identifiés au cours du western blot, correspondent à des marquages non spécifiques.
La protéine reconnue par l’anticorps est EF-Tu.


        En résumé, cette technique de BN-PAGE, utilisée pour l’identification des complexes
protéiques chez un grand nombre d’organismes, n’a pas permis, au cours de notre étude, de
mettre en évidence des complexes faisant intervenir des protéines préalablement impliquées
dans la transmission de S. citri. En effet, que ce soit les expériences réalisées avec les
protéines membranaires, censées identifier des complexes auxquels appartiendraient la
spiraline, la Sc76 ou encore les ScARPs, ou celles réalisées avec les protéines cytosoliques
concernant des complexes liés à la protéine P32, aucune n’a donné de résultats exploitables.


                                               93
Mélange1
                                                                                                   Mélange2
               Protéines totales                                                                  Protéines
                  + His6-PGK                                                                    membranaires
                                                                                                  + His6-PGK
                      + DSS
                                                                                                      + DSS




            Elution de la solution protéique sur colonne de nickel




                                                                                                       Protéines
      Protéines totales                                                                              membranaires
          + His6-PGK                                                                                    + His6-PGK
             - DSP                                                                                         - DSP
                                                                                                         Mélange6
         Mélange3



                                                                                Protéines
                           Protéines totales                                  membranaires
                                + His6-PGK                                      + His6-PGK
                                    + DSP                                           + DSP

                                   Mélange4                                       Mélange5




Figure 4.6: Protocole détaillé pour l’étude de complexes protéiques impliquant la PGK grâce
à l’utilisation d’un agent pontant, le DSP.
Cercles marrons: incubation des différentes fractions de S. citri avec la His6-PGK et le DSS. Cercles verts: Contrôles = élution
des protéines non pontées sur colonne de nickel. Cercles rouges: Elutions des protéines pontées sur colonne de nickel.
Chapitre 4


       2. Recherche chez S. citri des complexes impliquant la PGK

       Vu l’absence de résultats concernant l'identification de protéines candidates associées
en complexes par la technique de BN-PAGE, la recherche des complexes impliquant des
protéines liées au processus de transmission du spiroplasme, a été recentrée sur la PGK et ses
partenaires chez le spiroplasme en utilisant la technique de «cross-linking».
       Cette technique consiste de manière générale à établir un lien covalent entre les
protéines figurant dans un complexe puis à les séparer sur gel SDS-PAGE et enfin, à analyser
les peptides obtenus par spectrométrie de masse. Une large gamme d'agents pontants permet
de former des liens de tailles définies entre les sous-unités protéiques d'un complexe allant de
un à quelques dizaines d’angström. Cette différence de longueur permet d’estimer la distance
entre deux résidus acides aminés et ainsi de dessiner une carte d’interaction entre deux
protéines. Selon l'agent pontant utilisé, les protéines peuvent être pontées par des acides
aminés réactifs spécifiques, comme des résidus lysines ou cystéines, présents à leurs surfaces
en quantités suffisantes et bien répartis dans la zone d’interaction. De plus, d’autres
caractéristiques, telles que leur perméabilité membranaire et leur caractère clivable,
permettent la sélection spécifique d’un agent pontant en lien avec les besoins de l’utilisateur.
       La recherche, sans a priori, des complexes multi-protéiques impliquant la PGK chez le
spiroplasme a permis l'utilisation du disuccinimidylsubérate (DSS), un agent pontant
communément employé dans ce type d'étude. Par la suite, l'identification des sous-unités de
ces    complexes     a    nécessité    l'utilisation   d'un    second     agent    pontant,    le
dithobis(succimidylpropionate) (DSP), présentant les mêmes caractéristiques que le DSS, à
l'exception du fait que les interactions pontées sont clivables par le SDS lors de
l'électrophorèse.
       La figure 4.6 présente le schéma du protocole expérimental mis au point au cours de
cette étude. Les préparations protéiques, ainsi que le protocole détaillé mis en œuvre, sont
décrits dans le chapitre Matériels et Méthodes.
       La recherche des partenaires de la PGK chez S. citri s’est donc déroulée en plusieurs
étapes. Pour l'identification des complexes, la PGK recombinante tagguée his6 est incubée en
présence de protéines totales de S. citri (figure 4.6, mélange 1) ou de protéines membranaires
(figure 4.6, mélange 2), en présence du DSS, agent pontant insensible au clivage par le SDS.
Les protéines qui constituent les complexes protéiques sont pontées par des liaisons
covalentes fortes. Mais le but n’étant pas de réaliser le complexome du spiroplasme, une étape
de sélection des complexes renfermant la PGK était donc nécessaire. De ce fait, chaque

                                               94
DSS                DSP

                                                  ge      ge        ng
                                                                       e
                                                                             ng
                                                                                e
                                             él an   éla n      éla      éla
                                            M 1 M 2            M 4 M 5



                                 250
                                 150
                                 100


                                  75



                                  50

                                                                                    *
                                  37



                                  25


                                  20

                                  15




Figure 4.7: Complexes impliquant la PGK chez S. citri pontés par le DSS et le DSP.
Western blot réalisé avec sur la fraction des protéines totales (T) ou membranaires (M) de S. citri révélé avec l’anticorps anti-
histidine permettant de visualisert les complexes « entiers » comprenant la PGK.
* His6-PGK
Chapitre 4


mélange (1 et 2) a été élué sur une colonne de nickel afin de retenir spécifiquement, grâce à
l’affinité de la séquence His6, les complexes dans lesquels la PGK était présente. Ces
complexes sont ensuite révélés spécifiquement avec l’anticorps anti-histidine (Sigma) sur gel
SDS-PAGE (figure 4.7, méalnge 1 et 2 DSS). Pour la fraction des protéines totales de S. citri
(mélange 1), au minimum cinq complexes spécifiques de la PGK sont observés d'une masse
moléculaire variant de 75 kDa à plus de 250 kDa tandis que, pour la fraction membranaire
(mélange 2), deux complexes sont obtenus de masses moléculaires aux environs de 250 kDa.
L’évaluation de la masse moléculaire et du nombre de complexes est difficile car ce gel ne
permet pas la résolution optimale de ces complexes de haut poids moléculaire, supérieurs à
250 kDa. La présence de la His6-PGK ajoutée lors de l’incubation des protéines est également
visualisée (figure 4.7, étoile). En revanche, le même western blot réalisé, en contrôle, avec
ces deux mêmes fractions protéines pontées par le DSP (figure 4.6, mélanges 4 et 5), clivable
par le SDS, révèle uniquement la présence de la His6-PGK comme attendu (figure 4.7) ; les
autres protéines, dissociées au cours de l’électrophorèse en conditions dénaturantes, n’étant
pas reconnues par l’anticorps anti-histidine.
       Par la suite, l'identification des sous-unités associées au sein de ces complexes a été
entreprise. Les deux mêmes fractions protéiques que celles utilisées lors de l'analyse des
complexes « entiers » ont été incubées en présence de la PGK tagguée His6 et du DSP (figure
4.6, mélanges 4 et 5). Le contrôle négatif de l'expérience est constitué des protéines non
pontées et éluées sur une colonne de nickel afin de déterminer la rétention non-spécifique des
protéines de spiroplasme au cours de la purification (figure 4.6, mélanges 3 et 6). Ces
complexes sont ensuite dissociés au cours de l'analyse sur le gel de polyacrylamide, l’agent
pontant étant sensible au clivage par le SDS.
       Les résultats obtenus au cours de cette seconde étude sont représentés sur la figure
4.8.
       Sur la figure 4.8A, les profils obtenus avec les préparations protéiques totales et
membranaires révèlent que très peu de protéines sont retenues de façon non spécifiques sur la
colonne de nickel en l’absence d’agent pontant (mélanges 3 et 6). Deux bandes majoritaires
sont présentes de masses moléculaires proches de 25 et 44 kDa correspondant sans aucun
doute à la spiraline et à la PGK recombinante. La spiraline est la protéine majoritaire de la
surface du spiroplasme et est connue pour contaminer de nombreuses préparations protéiques.
La présence sur ces contrôles de la PGK tagguée His6, retenue sur la colonne de nickel de
façon indépendante à la présence d’agent pontant, n'est pas surprenante.


                                                95
3 : Protéines totales                                         6 : Protéines membranaires
 A       kDa      1     2       3      4       5       6               kDa       1          2       3     4        5       6
       150                                                           150
       100                                                              100
        75                                                              75

        50                                                               50

        37                                                               37


        25                                                               25
        20                                                               20
        15                                                               15



 B                        kDa
                       100                                                                      1
                        75                                                                      2
                                                                                                3
                        50
                                                                                                4
                        37                                                                      5
                                                                                                6
                                                                                                              Mélange 4
                        25                                                                 7
                                                                                           8
                        20                                                                 9
                                                                                           10
                                                                                           11
                                                                                           12
                        15
                                                                                           13
                                                                                           14
                        10

                      150
                      100
                       75                                                             15
                                                                                      16
                       50                                                             17
                                                                                      18
                                                                                      19                      Mélange 5
                       37                                                             20
                                                                                      21
                                                                                      22


                       25                                                              23

                       20
                       15
                                1    2     3       4       5   6    7     8     9      10 11
Figure 4.8: Etudes des sous-unités des complexes impliquant la PGK.
A: Contrôles réalisés avec les fractions totales et membranaires après passage sur colonne de nickel. Pistes 1à 3, lavages en 0, 25 M
imidazole; Pistes 4 à 6: lavages en 0, 5 M imidazole.
B: Elution des différentes fractions protéiques après pontage par le DSP des protéines totales et membranaires du spiroplasme.
Pistes 1 et 2: fractions non retenues; Pistes 3 à 5: 3 derniers lavages triton X-100; Pistes 6 à 8: lavages en 0, 25 M imidazole; Pistes
9 à 11: lavages en 0,5 M imidazole.
Chapitre 4


       Les profils obtenus avec les mélanges 4 et 5 (figure 4.8B) révèlent la présence de
nombreuses bandes sur les gels de polyacrylamide. En ce qui concerne les protéines totales
(mélange 4), 14 bandes, de masses moléculaires variant d'environ 75 kDa à 10 kDa, sont
observées. En parallèle, neuf bandes, numérotées de 15 à 23, sont observées sur le gel de
purification réalisé avec la fraction membranaire (mélange 5) de S. citri.


       Les résultats de l’analyse réalisée par LC-MS/MS des bandes de gels numérotées de 1
à 23 sont présentés en Annexe 1. Chaque protéine présente dans ce tableau, extraite des
tableaux de résultats bruts obtenus lors de cette analyse en spectrométrie de masse, a été
validée manuellement en fonction de sa masse moléculaire, du nombre de scans et de peptides
différents retrouvés qui ont permis son identification. De manière systématique, une protéine
ne présentant pas une masse moléculaire proche de la zone de gel dans laquelle la bande a été
découpée, a été éliminée. De même, les protéines identifiées pour lesquelles le nombre de
scans est inférieur ou équivalent à trois n’ont pas été prises en compte.


            2.1. Protéines associées à la PGK dans des complexes connus

       Dans un premier temps, la recherche des protéines associées à la PGK dans des
complexes déjà connus chez d'autres organismes a été effectuée. Chez Mycoplasma
pneumoniae, pour assurer sa fonction dans la glycolyse, la PGK est associée avec d’autres
protéines, elles aussi impliquées dans cette voie métabolique (Kuhner et al., 2009). Chez E.
coli, elle a été retrouvée associée, dans la fraction membranaire, avec une protéine USG1 de
fonction inconnue (Lasserre et al., 2006) tandis que, chez Thermotoga maritima, elle interagit
avec une triosephosphate isomérase (Schurig et al., 1995) sans que les fonctions de ces
interactions n’aient été révélées à ce jour.
       Le tableau 4.9 donne la composition de deux complexes impliquant la PGK chez M.
pneumoniae: le premier associé à sa fonction dans la glycolyse et le second dans un complexe
faisant intervenir plusieurs chaperones. La PGK est associée en complexe avec certaines
protéines dont notamment la glycéraldéhyde 3-phosphate deshydrogénase (GAPDH),
l’énolase et DnaK avec lesquelles elle forme le noyau central du complexe enzymatique
glycolitique 2 (Kuhner et al., 2009). Ces protéines ont également été retrouvées chez S. citri
(tableau 4.9). L'essentiel des protéines faisant parti des complexes « glycolytic enzyme 2 » et
« protein chaperone » chez M. pneumoniae est retrouvé chez S. citri à l'exception de quatre
protéines (tableau 4.9, avec une étoile), pourtant exprimées chez le spiroplasme. La

                                               96
Mycoplasma
                                         Protéine identifiée              S. citri
                                                               pneumoniae

                 Phosphoglycérate kinase (PGK)                      X         X
                 Glyceraldehyde-3-phosphate dehydrogenase           X         X
                 Enolase                                            X         X
                 Chaperone protein DnaK                             X         X
      Glycolytic
                 protein GrpE                                       X         X
       enzyme
                 DnaJ-like protein MG002 homolog                    X         X
       complex
                 Chaperone ClpB                                     X         X
           2
                 Heat-inducible transcription repressor HrcA        X         X
                 Putative protein phosphatase (SPICI16_041)         X
                 Glycyl-tRNA synthetase (SPICI03_253)               X
                 Probable NADH oxidase (SPICI03_173)                X
                 Phosphoglycérate kinase (PGK)                      X         X
                 50S ribosomal protein L10                          X         X
                 Chaperone protein DnaK                             X         X
                 Chaperone protein DnaJ                             X         X
                 Mgp-operon protein 3 precursor*                    X
                 Probable guanosine-3',5'-bis(diphosphate)
                                                                    X
                 3'-pyrophosphohydrolase (SPICI10_041)
        Protein
                 Uncharacterized protein Mpn441*                    X
      chaperone
                 Uncharacterized protein MG211 homolog*             X
       complex
                 DnaJ-like protein MG002 homolog*                   X
                 Chaperone ClpB                                     X         X
                 Heat-inducible transcription repressor HrcA        X         X
                 Putative protein phosphatase                       X
                 Glycyl-tRNA synthetase                             X
                 Probable NADH oxidase                              X
                 Protein GrpE                                       X         X


Tableau 4.9: Tableau de comparaison entre les protéines associées à des complexes connus
chez Mycoplasma pneumoniae faisant intervenir la PGK.
* protéines spécifiques de Mycoplasma pneumoniae.
Chapitre 4


triosephosphate isomérase en complexe avec la PGK chez Thermotoga maritima (Schurig et
al., 1995; Beaucamp et al., 1997; Yu & Noll, 2001) est également rencontrée en complexe
avec la PGK de S. citri (résultat non montré).


       Sur les 125 protéines identifiées au cours de cette étude, neuf d’entre elles, ont été
éliminées pour leur rôle dans les complexes précédemment cités. Sur les protéines restantes,
13 ont particulièrement attirées notre attention (figure 4.10). A celles-ci, viennent s'ajouter 22
protéines supplémentaires ne présentant pas de fonction connue mais étant, pour la plupart
transmembranaires (figure 4.11).
       Un premier élément est à prendre en compte avant de commencer l’analyse de ces
protéines candidates. En choisissant de s’intéresser à des protéines qui ont été identifiées par
un grand nombre de scans lors de l’analyse en spectrométrie de masse, le risque de
s’intéresser à des protéines majoritaires chez le spiroplasme existe. Ces protéines, par nature,
sur-représentées lors de ces analyses représentent un risque de faux positifs évident. La
présence de la spiraline en est l’exemple typique. Bien que la liaison de cette protéine avec la
PGK pourrait être envisagée, une « contamination » de la bande de gel soumise à la
spectrométrie de masse est probable. De plus, cette protéine a été retrouvée lors des contrôles
négatifs réalisés avec les deux préparations protéiques.
       Ce cas de figure, exposé ici pour la spiraline, semble pouvoir se transposer pour
d’autres protéines candidates. Les protéines MreB et Ftsz, homologues procaryote respectif de
l’actine et de la tubuline eucaryote sont très représentées chez S.citri.
       La fibrille, formant des longues fibres polypeptidiques, représente entre 0,5 % et 3 %
des protéines totales du spiroplasme (Townsend, 1983). Cette protéine forme le cytosquelette
interne de S. citri en association avec plusieurs autres protéines, comme la protéine MreB, et
est impliquée dans la motilité de ce dernier (Trachtenberg, 2004). Plus récemment, ces deux
protéines, associées avec EF-Tu, ont été démontrées comme faisant partie d’un complexe
associé à la membrane et intervenant dans la structuration et la motilité du spiroplasme
(Trachtenberg et al., 2008).
       De la même façon, la protéine EF-Tu et la glycéraldéhyde-3-phosphate
deshydrogénase (GAPDH) sont elles aussi très présentes dans le cytoplasme de la bactérie.
Toutefois, EF-Tu a déjà été identifié comme une protéine pouvant se lier à la fibronectine
humaine (Balasubramanian et al., 2008). La GAPDH, bien que déjà associée à la PGK au sein
du complexe glycolitique, interagit également avec plusieurs protéines de la matrice
extracellulaire comme le plasminogène et le fibrinogène ainsi qu’avec l’actine (Seifert et al.,
                                                 97
Présence bande
                                   Protéine                                    Fraction Fraction
                                                                                totale membranaire
       Adhesion related protein,
                                                                                    1
       transmembrane (ScARPs)
       P32_protein                                                                7
       Spiralin lipoprotein                                                    7;12;13           23
       Preprotein translocase SecA subunit                                        1
       Fibril protein                                                            2;3             17
       ATP synthase alpha chain subunit                                           2
       ATP synthase beta chain subunit                                            3
       Translation_elongation_factor_ef-tu_protein                                4             18;20
       Probable_cell_division_ftsz transmembrane_protein                          4
       Cell_shape_determining_protein_mreb                                        6              21
       Probable_glyceraldehyde_3-phosphate
                                                                                    6
       dehydrogenase_protein
       Probable_abc_transporter_atp_binding
                                                                                  6;7
       component_abc_transporter_protein
       Soj-like protein                                                           7;8

Tableau 4.10: Tableau des protéines candidates potentiellement associées en complexes
avec la PGK dont la fonction est connue.
Chaque protéine est associée à la ou les bandes de gel dans lesquelles elle a été identifiée.
Chapitre 4


2003). Les protéines GAPDH et EF-Tu, localisées à la surface de plusieurs organismes,
pourraient se révéler d’intéressantes candidates au cours de l’invasion du spiroplasme dans les
cellules de l’insecte. De plus, la protéine GAPDH vient d’être récemment identifiée comme
une adhésine pouvant faciliter l’adhésion de Mycoplama pneumoniae sur des cellules de
l’hôte renforçant l’idée que cette protéine pourrait faire partie de la famille des enzymes
multi-fonctionnelles (Dumke et al., 2010).


       D’autres protéines, en revanche ne sont pas connues pour être fortement exprimées
chez un organisme. Leur présence au sein d’un complexe est peut-être plus spécifique que
celle des protéines précédemment énoncées.
       C’est la cas des deux sous-unités α et β faisant partie d’une ATP synthase et de la
sous-unité d’un composant d’un ABC transporteur. Ces protéines présentent l’avantage d’être
associées à la membrane du spiroplasme ce qui pourrait faciliter un rôle éventuel de ces
dernières dans l’invasion des cellules de l’hôte. L’identification d’une sous-unité d’un ABC
transporteur était intéressante car une protéine codant pour une Solute Binding Protein (SBP)
d’un ABC transporteur a déjà été identifiée jouant un rôle dans la transmission du spiroplasme
(Boutareaud et al., 2004). La sous-unité identifiée au cours de notre étude n’est pas une SBP
mais une sous-unité de liaison à l’ATP, molécule fournissant l’énergie nécessaire au transport
des biomolécules. Cette propriété, bien entendu également connue pour l’ATP synthase, est
problématique car la PGK possède aussi cette capacité à se lier avec l’ATP au cours de la
glycolyse. Il se pourrait donc que ces interactions soient médiées par l’ATP qui pourrait
former un pont entre les différentes protéines.
       La protéine Soj (homologue procaryote de la protéine ParA), présente sur l’ensemble
des sept plasmides de S. citri, est impliquée dans la partition du chromosome (Gerdes et al.,
2000). Il est assez difficile d’expliquer comment cette protéine pourrait se retrouver dans un
complexe avec la PGK et surtout comment elle pourrait participer au processus d’invasion. Sa
présence pourrait être liée à celle des sous-unités de l’ATP synthase. En effet, ces protéines
ont récemment été identifiées comme faisant partie d’un même complexe chez M.
pneumoniae (Kuhner et al., 2009). De ce fait, ces protéines pourraient être effectivement
associées en complexes entre elles, mais leur présence au cours de cette étude au sein d’un
complexe avec la PGK ne serait dû qu’à une liaison non spécifique avec l’ATP et être
considérées comme des faux-positifs.




                                                  98
Présence bande
                                            Protéine       Fraction Fraction
                                                            totale membranaire
                                            SPICI 20_065     1;2
                                            SPICI 20_066       3
                                            SPICI 10_054       4
                                            SPICI 16_011               20
                                            pSci4_06          12
                                            SPICI 06_025      14
                   Hypothetical lipoprotein
                                            SPICI NP12_015    14
                                            SPICI 13_023      14
                                            SPICI 07_025      14
                                            SPICI 20_002      14
                                            SPICI 12_036      14
                                            SPICI 09_055      14
                                            SPICI 14_005               17
                          Putative
                                            pSci5_18           5       20
                   transmembrane protein
                                            pSci3_14           5       20
                                            SPICI 06_095       2
                                            SPICI 11_025       4
                                            SPICI 20_028       8
                                            SPICI 06_092       9
                     Hypothetical protein
                                            SPICI 03_189       9
                                            SPICI 17_007      10
                                            SPICI 07_016      10
                                            pSci6_20          10

Figure 4.11: Tableau des protéines candidates potentiellement associées en complexes avec
la PGK dont la fonction n’est pas connue.
Chaque protéine est associée à la ou les bandes de gel dans lesquelles elle a été identifiée.
Chapitre 4


       La protéine SecA, dont le rôle est de permettre la translocation de protéines à travers la
membrane plasmique, pourrait permettre le transport soit de la PGK, soit d’autres protéines
associées au cours des réorganisations protéiques ou des cascades de signalisation nécessaires
lors de l’entrée de la bactérie dans les cellules de l’insecte.
       Deux autres protéines contribuant à la transmission de S. citri par l’insecte ont été
identifiées : les protéines ScARPs et P32.
       Les protéines ScARPs appartiennent à une famille de protéines très étudiées chez S.
citri et dont les principales caractéristiques ont été précédemment énoncées (§ Introduction
III.3.2). Au cours de cette étude, 6 des 8 protéines ont été identifiées : la Scarp2b (pSci5_14),
la Scarp3d (pSci2_04), la Scarp3c (pSci3_07), la Scarp3b (pSci5_11), la Scarp3a (pSci1_05)
et enfin la Scarp2a (pSci4_07). Ces protéines, appartenant à la grande famille des adhésines,
pourraient intervenir dans l’attachement des spiroplasmes sur les cellules de l’insecte.
       La protéine P32, associée à          des protéines membranaires du spiroplasme, n’est
présente que chez les souches transmissibles de S.citri par C. haematoceps (Killiny et al.,
2006). Des études en microscopie électronique ont montré que cette protéine pourrait
participer, au même titre que les protéines ScARPs, à l’étape d’adhésion du spiroplasme aux
cellules de l’insecte (Killiny et al., 2006).


       En parallèle, 23 protéines de fonctions inconnues ont également été identifiées par
spectrométrie de masse. Ces protéines, listées dans le tableau 4.11, sont bien évidemment des
candidats pour la transmission du spiroplasme. Au sein de ces protéines, celles annotées
« hypothetical lipoprotein », au nombre de 12, sont donc des protéines membranaires et
pourraient retenir toute notre attention.


III. Discussion et conclusion

       La recherche de complexes multi-protéiques chez S. citri a été effectuée afin de mettre
en évidence ceux impliqués dans la transmission du spiroplasme. Le but de ces études
préliminaires était de montrer l'implication, au sein de complexes, des protéines candidates
telles que les protéines ScARPs, Sc76, P32, PGK ou bien encore la spiraline.


       Les résultats de ces analyses, obtenus lors de l'étude par « cross-linking » des
complexes impliquant la phosphoglycérate kinase de S. citri, ont révélé l'existence de

                                                 99
Chapitre 4


plusieurs protéines qui peuvent être potentiellement associées à cette dernière. Même si nos
résultats semblent en accord avec des études précédentes, mettant en évidence des partenaires
protéiques de la PGK au sein de divers organismes comme M. pneumoniae (Kuhner et al.,
2009) et E. coli (Lasserre et al., 2006), il est néanmoins nécessaire de garder à l'esprit que
cette étude reste une étape préliminaire en vue de la caractérisation fonctionnelle de ces
complexes. Plusieurs facteurs limitants peuvent venir perturber l'analyse des résultats. La
présence de protéines fortement exprimées chez le spiroplasme pourrait créant une source de
faux positifs. La fixation aspécifique de protéines au cours l'étape de purification des
complexes comprenant la PGK tagguée sur colonne de nickel est problématique. Néanmoins,
la faible présence de telles protéines sur le gel de polyacrylamide, au cours des contrôles
négatifs effectués, est rassurante.


       L'identification de plusieurs protéines interagissant avec la PGK, comme la P32 ou les
ScARPs est un premier élément pour mettre en évidence l'existence de complexes multi-
protéiques jouant un rôle dans la transmission de S. citri par son insecte vecteur. Des mutants
dans lesquels ces protéines sont absentes sont moins efficacement transmis que la souche
sauvage (Berho et al., 2006; Killiny et al., 2006). Aux vues du rôle de la PGK dans
l'internalisation dans les cellules de l'insecte, il se pourrait que ces protéines agissent de pair
avec la PGK au cours du processus d'invasion cellulaire.
       L'étude de la fraction protéique membranaire de S. citri a été réalisée dans le but
d'identifier des sous-unités, interagissant avec la PGK au niveau de la surface du spiroplasme.
Peu de protéines ont été retrouvées exclusivement dans cette fraction. Il est vraisemblable que
l'étape de purification, qui apporte la spécificité à la technique, soit un facteur limitant pour la
détection de protéines faiblement exprimée. Deux protéines de fonction inconnue, les
protéines SPICI16_011 et SPICI 14_005, ont été identifiées uniquement dans cette fraction ce
qui en fait des candidates intéressantes. Néanmoins, la présence de 11 protéines, annotées
« hypothetical lipoprotein », dans la fraction des protéines totales du spiroplasme permet
d'envisager que la PGK pourrait, pour assurer sa fonction dans le processus de transmission,
interagir avec plusieurs autres protéines à la surface du spiroplasme.


       Ces hypothèses nécessitent bien évidemment d'être confirmées au cours d'études
utilisant d'autres techniques d'interactions protéine-protéine comme le far Western par
exemple ou bien lors d'études ex vivo en microscopie confocale en utilisant la lignée cellulaire
Ciha-1 disponible au laboratoire. Même si l'obtention de mutants ciblés est difficile chez S.
                                                100
Chapitre 4


citri, la mise au point d'un nouveau vecteur navette, le pGOTres, permettant l'obtention de
double-mutants, permettrait d'étudier in vivo la transmission d'un spiroplasme dans lequel
plusieurs de ces protéines candidates seraient absentes.




                                              101
Hemolymphe



                                                                              1          Sc76 ?
                            2                               Hemolymphe                   Spiraline?
            ScARPs ?
            P32 ? ?                                                                     ?      ?
                                                                                                  ines
                     e? s




                                                                                     glycoproté
                   ct u r




                ?
                 se te
               in cep




           ?
                 Ré




                                                              Lame basale



                                                                                                                 actine
                                                                                                                 Plasmalemme basal
                                                                                                              Barrière corticale d’actine



                                                                                                     Filaments de microtubule
                                                                                                     et d’actine




                      Rab
                      Rab                                                            Plasmalemme apical

                                 Actine
                                 Actine
                                Tubuline
                                Tubuline
                                                   14-3-3

                                                                                      Canal salivair
                                                                                                          e
                                   4                         5

3                      Actine
                        ?
           PGK Rab
               ?                                                        ? 14-3-3 ?
                                                                           14-3-3
                                              ? tubuline?
                                           Rab 5 et 6?                  ?



    Figure C.1: Schéma hypothétique du franchissement de la barrière des glandes salivaires de
    l’insecte C. haematoceps par S. citri.
Discussion générale et perspectives




                        Discussion générale et perspectives



       L'ensemble des résultats obtenus au cours de cette thèse et plus particulièrement
l’interaction PGK-actine, associés à ceux obtenus sur la transmission du spiroplasme m'a
permis d'émettre des hypothèses sur le mécanisme moléculaire du franchissement de la
barrière des glandes salivaires (figure C.1). En effet, dans notre système expérimental de
transmission qui court-circuite le passage de la barrière intestinale vers l'hémolymphe, seul le
passage des glandes salivaires est déterminant.


I. Hypothèses concernant le cycle de S. citri dans l'insecte C.
   haematoceps
       1. Franchissement de la barrière de l'épithélium intestinal

       La comparaison des deux profils far-Western, obtenus entre les protéines de S. citri et
les protéines totales de l’insecte et celles des glandes salivaires, montre qu’un signal
d’interaction localisé à 60kDa sur le profil far Western des protéines totales d’insecte est
absent de celui des glandes salivaires. L’absence de ce signal est du à l’absence de proteines à
60 kDa sur le profil d’électrophorèse des proteines des glandes salivaires. Cette protéine
pourrait donc être spécifique du franchissement de la barrière intestinale.
       Il se pourrait également que cette protéine soit une des deux glycoprotéines d'insecte
identifiées au cours d'une précédente étude (Killiny et al., 2005). Celle-ci serait alors capable
de se lier avec la spiraline et leur association serait par conséquent impliquée dans la
transmission. La recherche de son partenaire chez le spiroplasme permettrait d'éclaircir un peu
mieux ce premier franchissement que la bactérie doit effectuer afin de poursuivre son circuit.


       2. Franchissement de la barrière des glandes salivaires

            2.1. Franchissement de la lame basale des glandes salivaires

       Les travaux de Killiny et al 2005 ont montré que la spiraline, proteine majoritaire de la
membrane de S. citri était une lectine capable de se lier avec deux glycoprotéines de l'insecte
sans que ces dernières ne soient connues à l'heure actuelle (figure C.1, encadré 1). Sur ces
                                              102
Discussion générale et perspectives


deux glycoprotéines mises en évidence, il se pourrait que seule celle de 50 kDa soit présente
dans les glandes salivaires et participe au franchissement de la lame basale de ces dernières.
       En 2002, un mutant dont le gène sc76 codant une lipoprotéine, présentant des
homologies avec une SBP d'un ABC transporteur de glucose, a été obtenu par mutagénèse
(Boutareaud et al., 2004). Ce mutant est affecté dans sa transmission par l'insecte vecteur. De
part sa fonction au niveau de l'interaction avec des résidus de type sucre, la lipoprotéine Sc76,
pourrait donc elle aussi reconnaître un tel résidu à la surface de la lame basale. Cette
interaction pourrait faciliter le franchissement de cette dernière par le spiroplasme (figure
C.1, encadré 1).


            2.2. Adhésion au plasmalemme des glandes salivaires

       Les protéines P32 et ScARPs absentes des souches non transmissibles (comme la
souche 44), sont des protéines non essentielles dans la transmission mais contribuent
cependant au bon déroulement de celle-ci.
       La protéine P32 est une protéine hydrophile associée à la membrane du spiroplasme.
Cette protéine ne présente aucun segment transmembranaire ce qui signifie qu'elle se trouve
du coté cytoplasmique probablement associée à des protéines membranaires. Les observations
en microscopie électronique à transmission des glandes salivaires d'insectes infectés par la
souche non transmissible 44, ne montrent pas de vésicule d'endocytose. Les spiroplasmes ont
franchi la lame basale et se sont amassés entre la lame basale et le plasmalemme. Dans le cas
des glandes salivaires infectées par les spiroplasmes de la souche 44 complémentée par le
gène p32, un contact entre ceux-ci et le plasmalemme des glandes salivaires est observé
(Killiny et al., 2006). Des adhésines, nécessaires à cette adhésion, pourraient être recrutées
par la P32 afin d'interagir avec les récepteurs membranaires présents à la surface des cellules
de l'insecte (figure C.1, encadré 2).
       Les protéines ScARPs (S. citri adhesion related proteins) sont également absentes chez
la souche 44. Ces protéines présentent des homologies avec la protéine P89 (ou SARP1) qui
est une protéine amphiphile ayant un rôle dans l'adhésion de S. citri à une lignée cellulaire de
C. tenellus et donc, par extension, une protéine qui pourrait être impliquée dans une
interaction avec l'insecte lors de la transmission (Yu et al., 2000; Berg et al., 2001). Ces
ScARPs possèdent un peptide signal riche en séquences répétées par le biais desquelles elles
pourraient interagir avec un ligand. Elle possède également un signal de localisation nucléaire


                                              103
Discussion générale et perspectives


(NLS) qui pourrait permettre la modification de l'expression de certains gènes de l'hôte et
ainsi la mise en place des étapes ultérieures de l'invasion cellulaire.
       Ces protéines pourraient être recrutées par la protéine P32 au niveau de la région de la
membrane de S. citri entrant en contact avec la cellule de l'hôte impliquant une certaine
relocalisation des protéines à la surface du spiroplasme (figure C.1, encadré 2).


            2.3. Internalisation dans les cellules des glandes salivaires

       Les résultats obtenus concernant l’internalisation dans les cellules de l'insecte
identifient la phosphoglycérate kinase comme proteine impliquée dans ce processus. Cette
PGK, en interagissant avec l'actine de l'insecte, pourrait permettre le remodelage de la
membrane de la cellule de l'insecte permettant au spiroplasme de pénétrer (figure C.1,
encadré 3). Cette protéine, connue pour avoir une localisation cytoplasmique, pourrait être
relocalisée au niveau de la membrane afin d'interagir avec l'actine de la cicadelle. L'étude des
complexes protéiques impliquant cette protéine a permis de révéler qu'un complexe pourrait
exister entre la PGK et la P32. Cette dernière pourrait ainsi recruter la PGK au niveau de la
membrane lui permettant d'assurer sa fonction. Les ScARPs pourraient également, aux vues
des résultats présentés au chapitre 4, faire partie de ce complexe. La présence de nombreuses
lipoprotéines, identifiées au cours de l’étude des complexes associés à la PGK, amène à
penser que ces dernières pourraient jouer un rôle au cours de l'étape d'adhésion aux cellules et
entraîneraient par la suite les autres protéines du complexe qui interviendraient alors dans le
processus d'internalisation. Cependant, rien à ce jour n’indique que la PGK, ou bien
seulement un peptide, comme le peptide PGK-FL5, clivé au cours de la mise en place du
processus d’internalisation, ne puisse pas être sécrété par le spiroplasme pour aller interagir
avec l’actine de l’insecte.


       Cette étape d'internalisation pourrait être une étape n'intervenant pas dans la spécificité
de vection. Cette spécificité pourrait être apportée par des protéines spécifiques de S. citri
telles que les ScARPs, la P32 et la spiraline. Les spiroplasmes pourraient utiliser, une fois
cette spécificité de vection acquise, une protéine bi-fonctionnelle comme la PGK pour assurer
les étapes suivantes nécessaire à son invasion cellulaire.




                                               104
Discussion générale et perspectives


              2.4. Devenir des vésicules d'endocytose contenant S. citri

       Une fois internalisé, des études de microscopie électronique ont permis de visualiser
les spiroplasmes à l'intérieur de vésicules d'endocytose (Ozbek et al., 2003).
Le premier but du spiroplasme, à ce moment, est de détourner ces vésicules de la voie
lysosomiale classique qui acidifie le contenu de ces vésicules entraînant la dégradation des
particules contenues. Pour se faire, il est vraisemblable que S. citri utilise les protéines de
l'insecte Rab5 et Rab6 ainsi que la protéine 14-3-3, protéines identifiées au cours de l'étude
des interactions par far Western (chapitre 1). En détournant ces protéines de leur fonction
dans le système de dégradation cellulaire chez l'insecte, les spiroplasmes éviteraient d’être
lysés (figure C.1, encadré 4).
       Afin de rejoindre le canal salivaire, S. citri pourrait utiliser les réseaux du
cytosquelette pour sa mobilité intracellulaire. Il pourrait alors utiliser les microfilaments
d'actine de manière identique à de nombreuses bactéries, y compris les mollicutes
phytopathogènes (Suzuki et al., 2006). En parallèle, la tubuline β, identifiée au cours des
études d’interaction, pourrait également laisser présager que le spiroplasme se déplacerait le
long des microtubules à la manière des Chlamydia (Clausen et al., 1997) (figure C.1,
encadré 4).
       La présence des spiroplasmes au sein de vésicules pourrait être un obstacle à
l'interaction de ceux-ci avec les protéines précédemment citées. La présence d'un « tip »
traversant la membrane des vésicules a été observée (Ammar et al., 2004). Les protéines
impliquées dans les mécanismes de mobilité intracellulaire, ou d'exocytose afin de rejoindre
le canal salivaire, pourraient être présentes dans cette structure et pourraient ainsi interagir
sans difficulté avec leurs partenaires. De plus, il n'est pas impossible que des spiroplasmes se
retrouvent libres dans le cytoplasme bien que ceux-ci n’aient pas pu être visualisés au cours
de différentes études en microscopie électronique. Cependant, une fois la membrane des
vésicules lysée, les spiroplasmes libres pourraient interagir plus facilement avec les protéines
cellulaires (figure C.1, encadré 4).


              2.5. Libération dans le canal salivaire

       S. citri est libéré des cellules des glandes salivaires par exocytose. Deux hypothèses
sont formulées en fonction de la présence de ce dernier au sein des vésicules précédemment
citées. Si le spiroplasme est toujours localisé à l'intérieur des vésicules d'endocytose, une

                                              105
Discussion générale et perspectives


fusion de la membrane de celle-ci avec la membrane du canal salivaire pourrait permettre à S.
citri de se retrouver libre dans ce dernier. En revanche, si le spiroplasme est libre dans le
cytoplasme, une nouvelle protéine, qui pourrait être la protéine 14-3-3, assurerait le passage
de cette ultime membrane (figure C.1, encadré 5).


       Dans le canal salivaire, le spiroplasme sera injecté à une nouvelle plante au cours du
prochain repas de l'insecte sur une plante.



II. Perspectives

       Ce travail s'est principalement orientéé sur l'implication de la PGK au cours de la
transmission du spiroplasme ainsi qu'à la caractérisation fonctionnelle de son interaction avec
l'actine de la cicadelle, également impliquée dans ce processus.


       Mutant dépourvu de PGK


       Il aurait été intéressant d'étudier la transmission d'un mutant dépourvu de PGK.
L’idéal aurait même été de disposer d’un mutant ne possédant pas le domaine de liaison à
l’actine contenu dans la région en acides aminés 1 à 101 de la PGK. Par la suite, la
complémentation de ces mutants aurait permis de restaurer la fonction de la PGK au cours du
processus de transmission du spiroplasme et ainsi de confirmer le rôle de l’interaction PGK-
actine. Un mutant dépourvu de PGK n’a pu être obtenu ce qui semble indiquer que cette
protéine est essentielle à la survie de S. citri. Des efforts concernant la mise au point d'un
vecteur dont le gène codant la protéine essentielle, dans notre cas la PGK, serait sous la
dépendance d'un promoteur inductible, permettraient d'étudier le rôle de cette protéine dans le
système de transmission maintenu au laboratoire.


       Localisation de la PGK chez S. citri


       L'obtention de l'anticorps dirigé contre la PGK va permettre d’étudier la localisation
de cette dernière chez S. citri. En effet, il est indispensable de démontrer que cette protéine
possède une localisation lui permettant d’interagir avec l’actine de l’insecte. Une étude en
microscopie électronique apporterait des précisions sur la position occupée par celle-ci au

                                              106
Discussion générale et perspectives


cours du processus d’invasion des cellules de l’hôte. De plus, l’utilisation des cellules Ciha-1
serait un avantage indéniable afin de visualiser des évènements nécessitant l’adhésion du
spiroplasme avec la cellule eucaryote. Si la localisation de la PGK, permettant l’interaction
avec l’actine, requiert la mise en place de signaux cellulaires mis en place au moment du
contact du spiroplasme avec la cellule, les études en microscopie devront être effectuées dans
un système utilisant des cellules Ciha-1 infectées.
        L’étude du « sécrétome » de S. citri pourrait permettre de révéler si la PGK est
sécrétée par le spiroplasme dans le but de se lier avec l’actine. Une étude préliminaire du
secrétome de S. citri a montré la présence de celle-ci dans la fraction de protéines
potentiellement secrétées. Aux vues des résultats, ce « sécrétome » pourrait également être
étudié dans le cadre de l’infection par le spiroplasme des cellules d’insectes en culture afin de
déterminer si une éventuelle sécrétion de la PGK requiert des signaux de relocalisation ou de
clivage mis en place au moment de l’adhésion de S. citri.
        L’utilisation de la cytochalasine D, une drogue qui dépolymérise les microfilaments,
pourrait également nous permettre de confirmer l’implication de l’actine dans l’internalisation
du spiroplasme. Des incubations, avec différentes concentrations de cette molécule, sur des
cellules Ciha-1 infectées par S. citri devraient influer sur la capacité de ce dernier à envahir
les cellules de l’insecte.
        Ces résultats supplémentaires permettraient de confirmer ou non les hypothèses
formulées au cours de cette thèse sur la fonction de cette protéine associée à l'internalisation
dans les cellules de l'hôte.


        Recherche de complexes protéines impliqués dans la transmission


        L'ensemble des étapes régissant la transmission de S. citri semble être caractérisés par
l'implication de complexes multi-protéiques. Des efforts devraient être poursuivis dans cette
voie.
        La confirmation, par d'autres techniques d'interactions protéine-protéine, des
complexes identifiés par la technique de « cross-linking » serait nécessaire afin d'établir des
bases solides concernant l'implication de ces derniers au cours de la transmission. La
caractérisation fonctionnelle des protéines de chacun de ces complexes sera, par la suite, une
étape indispensable à la compréhension du cycle de S. citri dans son vecteur. Ceci devra être
réalisé aussi bien pour les protéines candidates définies comme la P32 et les ScARPs mais
également pour l'ensemble des lipoprotéines hypothétiques identifiées au cours de cette thèse.
                                              107
Discussion générale et perspectives


       Ces études pourraient également être réalisées sur le mutant 9A3 depourvu de spiraline
ce qui permettrait de s’affranchir des contaminations observées au chapitre 4 mais aussi
d’étudier le devenir des complexes protéiques lorsque cette protéine majoritaire de S. citri est
absente.
       La mise au point récente au laboratoire d'un vecteur navette permettant l'obtention de
« double-mutants » sera un outil essentiel afin de vérifier l'implication des sous-unités
identifiées au sein des complexes multi-protéiques. Des mutants, délétés dans plusieurs des
gènes codant des protéines candidates dans la transmission, pourront de ce fait être étudiés.


       Identification des partenaires, coté S. citri, des autres protéines d’insecte
identifiées par far Western


       L'étude en far Western, réalisée au cours de cette thèse a permis d'identifier plusieurs
autres protéines d'insectes potentiellement impliquées dans une interaction avec le
spiroplasme. Les partenaires de ces protéines, dont le rôle hypothétique a été énoncé
précédemment, devront être recherchés. Leurs interactions avec S. citri devront être
confirmées avant d'étudier leurs fonctions au cours de la transmission du spiroplasme. Ces
étapes pourront être réalisées en suivant la méthodologie utilisée pour l'identification de la
PGK comme partenaire de l'actine de C. haematoceps.


       Séquence du génome de la souche 44 non transmissible


       A notre connaissance, seules les protéines ScARPs et la protéine P32 sont absentes de
la souche non transmissible 44. Toutes les protéines mises en évidence dans la souche GII3
candidates pour jouer un rôle dans la transmission réduisent celle-ci sans jamais l’anéantir.
Ces protéines n’interviennent pas seules mais en complexe avec d’autres. La connaissance de
la séquence du génome de la souche non transmissible permettrait de faire de la génomique
comparée avec la souche transmissible GII3.La présence ou l’absence de certaines protéines
chez l’une ou l’autre souche permettraient de dresser un tableau plus complet des protéines
impliquées dans la transmission et de relier celles-ci entre elles.




                                               108
Matériels et méthodes
Base autoclavée (30 min/115°C)

Mycoplasma Broth Base                          1g
Peptone                                       1,6 g
Tryptone                                       3g
Rouge de phénol 0,5 %                         1,2 ml
pH (ajusté avec NaOH)                          7,8
qsp H2O                                      205 ml
Agar Noble (milieu solide)                     3g

Additifs stériles (filtrés sur 0,45 µm)

Sérum de veau foetal (décomplémenté 1 h à
                                              50 ml
56°C)
CMRL 1066 (acides aminés et vitamines)        15 ml
Yeastolate 4 % (p/v)                         25,5 ml
Glucose 50 %                                  3 ml
Pénicilline G à 200 000 unités/ml             1,5 ml
Pression osmotique                          ~350 mOsm



        Figure M.1: Composition du milieu SP4.
Matériels et méthodes


                                    Matériel et méthodes




I. Matériel biologique
        1. Spiroplasma citri : souches et conditions de culture

        La souche de S. citri GII3 a été isolée à partir de cicadelles Circulifer haematoceps
capturées au Maroc (Vignault et al., 1980). Elle est la souche de référence au laboratoire
d’une part pour ses caractéristiques morphologiques (spiroplasmes hélicoïdaux et doués de
motilité) et d’autre part, elle est transmissible par l’insecte vecteur Circulifer haematoceps.
De plus, cette souche est pathogène pour la plante expérimentale utilisée au laboratoire, la
pervenche de Madagascar (Catharanthus roseus).
        Les spiroplasmes sont cultivés dans le milieu SP4m liquide (Tableau M.1) à 32 °C
sans agitation. Les spiroplasmes transformés par le plasmide pGOT ont été sélectionnés en
présence de gentamycine (100 µg/ml) puis de tétracycline (5 µg/ml). La croissance de S. citri
en culture est suivie par le changement de couleur de l’indicateur coloré, le rouge de phénol,
présent dans le milieu de culture et induit par la production d’acide lactique au cours de la
croissance du spiroplasme. Cependant chaque culture est observée au microscope à fond noir
et il est communément accepté que le titre d’une culture de S. citri GII3 en fin de phase
stationnaire atteint 108 à 109 bactéries/ml. Cette culture est alors repiquée au 1/10ème dans du
milieu SP4 frais ce qui correspond à un passage, noté 1P. Les spiroplasmes cultivés pendant
de nombreux passages en milieu acellulaire semblent perdre leur capacité à être transmis par
l’insecte vecteur, des cultures stocks ayant subi un faible nombre de passage (entre 5 P et 10P)
ont été réalisées.
        Le repiquage de colonies de S. citri en milieu SP4 liquide est réalisé par prélèvement
de la carotte de gélose où se trouve la colonie sous une loupe binoculaire à l’aide d’une
pipette Pasteur stérile. Cette carotte sert alors à ensemencer 1ml de milieu SP4 comprenant ou
non un antibiotique de sélection.


        2. Escherichia coli : souches et utilisation

        Plusieurs souches d’E. coli ont été utilisées en fonction de leurs caractéristiques et de
besoins des différentes expériences.
                                              109
Composants               LB        SOC
              Tryptone              10 g        2g
             Yeast extract          5g        0, 5 g
                NaCl                10 g      0,06 g
               KCl 1M                        0, 25 ml
             Glucose 2M                        1 ml
                 2+
              Mg stock
          (1M MgCl2.6H2O, 1M                   1 ml
                  .
             MgSO4 7H2O)
                 H2O            qsp 1 L     qsp 100 ml
                  pH               7             7
                 Agar
                                    15 g
            (milieu solide)

Figure M.2: Composition des milieux de culture d’E. coli.




                 Milieu cicadelle

   Milieu de Schneider (Invitrogen)                200 ml
   Tampon Histidine pH 6,2
   (0,057 M histidine monohydrate (Sigma)          2,5 ml
   Sérum de veau foetal
   (décomplémenté 1 h à 56°C)                       25 ml
   Milieu G-5 (Invitrogen)                         1,2 ml
   Fungizone                                     1,25 µg/ml
   Penicilline G / Streptomycine                  50 µg/ml


Figure M.3: Milieu de culture de la lignée cellulaire Ciha-1.
Matériels et méthodes


       La souche DH10B [F- mcrA ∆(mrr-hsdRMS-mcrBC)Φ80lacZ∆M15 ∆lacX74 recA1
endA1 araD139 ∆(ara, leu)7697 galU galK λ- rpsL nupG] est couramment utilisée pour la
propagation de plasmides. Elle présente les avantages de posséder une grande efficacité de
transformation et la capacité à maintenir de façon stable des plasmides de grande taille.
       La souche BL21 Star™ (DE3) a servi lors de la production des protéines et des
peptides recombinants. Elle permet d’améliorer le rendement de production dans un système
d’expression utilisant le promoteur T7 comme cela est le cas pour le vecteur d’expression
pET28a(+) (Novagen). En effet, elle porte une mutation dans le gène codant pour la RNaseE
(rne 131) qui est la principale source dégradation des ARNm.
       Ces deux souches, après transformation, ont été cultivées en milieu LB (Tableau M.2)
solide à 37°C en présence d’ampicilline (100 µg/ml) ou de kanamycine (30 à 50 µg/ml).
En milieu liquide, la culture s’effectue à 37 °C sous agitation (180-200 rpm/min).


       3. L’insecte vecteur : la cicadelle Circulifer haematoceps

             3.1. Origine et conditions d’élevage

               Les cicadelles adultes Circulifer haematoceps ont été prélevées sur Matthiola
sinuata en Corse. De retour au laboratoire, ces cicadelles ont été confinées quelques jours sur
giroflées (Matthiola incana). Dès la première ponte, les adultes ont été éliminés afin de
s’assurer que la population ne soit pas infectée par le spiroplasme. Aucune transmission
transovarienne n’ayant été démontrée chez S. citri à ce jour, les larves de ces insectes ne
présentent donc aucun risque d’être infectées par le spiroplasme. Les cicadelles saines sont
élevées dans des cages de plexiglas ventilées contenant trois giroflées et celles-ci sont
renouvelées une par une toutes les 2 semaines. La photopériode est de 16 heures à 30 °C ± 2
°C et 8 heures à 26 °C ± 2 °C. Les cages d’élevages sont regroupées dans une pièce
climatisée, isolées de l’extérieur par des filets pare-insectes et séparées des serres de
production de plantes par un sas de sécurité. Toutes les salles disposent d’un piège jaune
englué qui capte les insectes pouvant s’échapper lors de leur manipulation ou de l’entretien
des cages.


             3.2. Capture et dissection des cicadelles

       Les cicadelles sont capturées à l’aide d’un aspirateur à bouche muni d’un tube
collecteur. Elles sont anesthésiées sous gaz carbonique. Pour le prélèvement des glandes
                                              110
Matériels et méthodes


salivaires, les insectes sont tout d’abord décapités. Les glandes salivaires sont ensuite
disséquées dans une goutte de PBS (2 mM KH2PO4, 8 mM Na2HPO4, 0.14 M NaCl, 2 mM
KCl pH 7.4) contenant 1mM de            phenylmethanesulfonylfluoride (PMSF). Les glandes
salivaires sont ensuite conservées à -20 °C jusqu’à utilisation.


            3.3. Obtention d’une lignée cellulaire

       La lignée cellulaire de Circulifer haematoceps a été initiée à partir d’œufs embryonnés
de 8 à 10 jours. Les œufs, ayant atteint le stade « œil rouge », c'est-à-dire les oeufs pour
lesquels les yeux ont migré jusqu’au 2/3 de l’embryon, sont prélevés dans les nervures des
plantes à l’aide d’une fine aiguille. Une centaine d’embryons ont été récupérés et ont subi un
cycle de stérilisation incluant des incubations successives : 3 minutes dans une solution à 20%
eau de Javel, 2 rinçages avec de l’eau stérile, 3 minutes dans un solution à 70% d’éthanol
suivi de trois nouveaux rinçages à l’eau stérile. Les œufs ont été broyés dans 100 µl de milieu
de culture de cicadelle (Tableau M.3) puis centrifugés 3 minutes 1000 g. Le culot est alors
resuspendu dans 400 µl de tampon de dissociation cellulaire (Invitrogen) et incubé à 28 °C
pendant 10 minutes. Le volume final est ajusté à 500 µl avec du milieu de culture frais et
l’ensemble est transféré dans une flasque de culture, par la suite incubée 1 h à 28 °C. A la fin
de cette incubation, 2,5 ml de milieu de culture frais sont de nouveau ajoutés. Le milieu de
culture est remplacé le jour d’après par du milieu frais puis le milieu est remplacé au 2/3 tous
les 7 jours jusqu’à ce que la première colonie pousse.
       Lorsque la surface d’une colonie a atteint environ 4 mm2 (4 mois plus tard), les
cellules ont été trypsinées (TrypLE, Invitrogen), placées dans un puit de 24 mm de diamètre
dans lequel le milieu est remplacé par 2/3 de milieu de culture frais deux fois par semaine
pendant trois mois. Après cette période, le milieu n’est changé qu’une fois tous les sept jours.
Cette nouvelle lignée cellulaire, cultivée à 32 °C, a été nommée Ciha-1 (Circulifer
haematoceps-1).


II. Plasmides
       1. Commerciaux

            1.1. pBS

       Le plasmide pBS+ est un phagemide de 3,2 kpb utilisé comme vecteur de clonage de
fragments d’ADN dans E. coli. Ce plasmide possède l’origine de réplication colE1 qui lui

                                               111
Figure M.4: Vecteur d’expression pET28a(+) (Novagen) .
Matériels et méthodes


permet de se répliquer dans E. coli, un gène de résistance à l’ampicilline et un site multiple de
clonage situé dans le gène LacZ.


            1.2. pET28a(+)

       Le plasmide pET28a(+) est un vecteur d’expression commercialisé par la société
Novagen (figure M.4). Il permet le clonage et l’expression de protéines recombinantes dans
E. coli. Il possède l’origine de réplication du pBR322, deux gènes de résistance à l’ampicilline
et à la kanamycine. Les gènes cibles sont placés sous la dépendance du promoteur fort,
inductible par l’IPTG, du bactériophage T7. Ce plasmide porte également deux séquences
composées de six résidus histidines présentes de part et d’autre du multi-site de clonage
permettant l’étiquetage des protéines aussi bien en N-terminal qu’en C-terminal. De plus, un
site de coupure à la thrombine permet le clivage de l’étiquette 6xHis placée en N-terminal
uniquement.


       2. Obtenus au laboratoire

            2.1. pGOT1

       Le vecteur pGOT1 est un vecteur navette E. coli/S. citri qui a été construit dans le but
de faciliter la sélection des recombinants lors d’expériences visant à interrompre un gène de
façon ciblée. Ce plasmide possède la région PstI de 2303 pb du pSRG, contenant la cassette
aacA-aphD de résistance à la gentamycine, insérée dans le plasmide pC55 possédant l’oriC de
S. citri. Cette origine de réplication servait, lors de la mise au point de ce type de vecteur, de
région d’intégration permettant l’intégration de gènes dans le chromosome de S. citri. Dans le
plasmide pGOT, cette origine de réplication, d’une taille initiale de 349 pb, a été réduite afin
de ne pas favoriser l’intégration du plasmide dans cette région au profit d’une recombinaison
au niveau du gène cible
        Il porte deux gènes de sélection, l’un conférant la résistance à la gentamycine
exprimée de manière constitutive, l’autre conférant une résistance à la tétracycline qui ne
pourra être exprimée que lorsque l’évènement de recombinaison aura eu lieu. De plus, deux
copies du terminateur de transcription du gène de la fibrille empêchent la transcription
accidentelle de ce gène à partir du promoteur lacZ.




                                               112
Matériels et méthodes


III. Méthodes d’analyse d’ADN
        1. Purification de l’ADN génomique de S. citri

       L’ADN génomique de S. citri est extrait à partir de 10 ml de culture en fin de phase
stationnaire de croissance (environ 108-109 UFC/ml). L’extraction est réalisée avec le kit
Wizard® Genomic DNA Purification (Promega®) selon les recommandations du fournisseur.
Le principe de l’extraction repose sur les étapes classiques d’extraction d’ADN. Après
centrifugation 15 minutes à 14 000 g, les spiroplasmes collectés sont remis en suspension
dans du tampon de lyse. Après incubation à 65 °C pendant 15 minutes, le lysat est traité à la
ribonucléase pendant 30 minutes à 37 °C. Les protéines précipitées sont éliminées par
centrifugation, puis l’ADN est précipité à l’isopropanol. Le culot d’ADN est lavé à l’éthanol
70 % et repris dans 80 µl de TE (Tris-HCl 10 mM, pH 8,3 ; EDTA 1 mM). Le rendement
moyen est d’environ 4 µg d’ADN génomique par millilitre de culture.


        2. Purification de l’ADN plasmidique

       L’ADN plasmidique a été extrait avec le kit Wizard® Plus SV Minipreps DNA
Purification System (Promega®). La méthode d’extraction est basée sur le principe de la lyse
alcaline (Birnboim & Doly, 1979). L’extraction est réalisée sur 2 ml de culture pour E. coli et
sur 10 ml pour S. citri. Les bactéries sont collectées par centrifugation et lysées en milieu
alcalin puis les protéines et l'ADN chromosomique sont éliminés par précipitation. L’ADN
plasmidique est spécifiquement adsorbé sur une matrice composée de silice de haute capacité,
puis élué dans 50 µl d’eau distillée.


        3. Purification de fragments d’ADN à partir de gel d’agarose

       Les fragments d’ADN sont séparés par électrophorèse sur gel d’agarose à 0,8 % en
tampon TBE et colorés au bromure d’éthidium. Les bandes d’intérêt sont repérées et excisées,
puis l’ADN est purifié avec le kit "Wizard SV® Gel and PCR clean up system" (Promega®)
selon le protocole recommandé par le fournisseur.




                                             113
Tampon de charge (6X)
 Tampon TBE
                                      EDTA pH= 8                   60 mM
Tris               8,9 mM             SDS (p/v)                    0,60%
Borate             8,9 mM             Glycérol (v/v)                30%
EDTA               0,2 mM             Bleu de bromophénol (p/v)    0,25%
pH                   8,4              Xylène cyanol (p/v)          0,25%
H2 O               qsp 1 L            H2O                         qsp 50 ml



 Figure M.5: Composition des tampons pour la migration des fragments
                     d’ADN sur gel d’agarose .




                                      Mix 1X        Mix 1X
                                     Taq DNA       Pfx DNA
                                    polymerase    polymerase
         dNTP (5 mM)                    2 µl          3 µl
         Tampon 10 X                    4 µl          5 µl
         MgCl2 (50 mM)                  2 µl          3 µl
         Amorce 1 (100 µM)            0,5 µl        0,5 µl
         Amorce 2 (100 µM)            0,5 µl        0,5 µl
         H2O                          30,7 µl       37,5 µl
         Taq DNA polymérase          2,5 unités      0,5 µl


   Figure M.6: Composition des mélanges réactionnels pour la PCR .
Matériels et méthodes


        4. Hydrolyse par les endonucléases de restriction

       Les enzymes de restriction ont la propriété d’hydrolyser l’ADN au niveau de sites de
reconnaissance spécifiques. Une unité d’enzyme de restriction est capable d’hydrolyser 1 µg
d’ADN plasmidique et 0,1 µg d’ADN génomique. Chaque échantillon est mis en présence de
l’enzyme de restriction, du tampon d’activité de l’enzyme dans un volume final de 30 µl. La
composition du tampon d’activité et la température d’incubation dépendent de l’enzyme et
sont précisées par le fournisseur (Promega, Fermentas, New England Biolabs). Le temps de
digestion varie de une heure (ADN plasmidique) à quatre heures (ADN génomique).


        5. Analyse des fragments d’ADN sur gel d’agarose

       Les fragments d’ADN sont séparés par électrophorèse en gel d’agarose (0,8 à 2 %
d’agarose (p/v) selon la taille des fragments à analyser) dans du tampon TBE (Tableau M.5)
en présence de bromure d’éthidium (0.2 µg/ml). Les échantillons (1 à 2 µg d’ADN
génomique ou 0,1 µg d’ADN plasmidique) sont déposés sur gel en présence de 10 % (v/v) de
tampon de charge (Tableau M.5). L’électrophorèse est conduite dans du tampon TBE à un
voltage constant.
       La taille des fragments d’ADN est estimée par comparaison avec la migration des
standards de tailles connues (marqueur "1 kb Plus DNA Ladder®") (Invitrogen).


        6. Amplification d’ADN par PCR

       La technique de PCR (Polymerase Chain Reaction) utilisée est celle décrite par Saiki
(Saiki et al., 1989). Elle est basée sur la répétition d’un cycle comprenant trois étapes : la
dénaturation de l’ADN séparant les deux brins qui serviront de matrices, l’hybridation d’une
amorce spécifique sur chaque brin matrice et la synthèse, à partir des amorces, d’un brin
d’ADN par une ADN polymérase thermorésistante de Thermophilus aquaticus (Taq ADN
Polymerase®, Promega).
       La composition de l’essai pour un volume réactionnel de 40 µl est détaillée dans le
Tableau M.6. L’ADN polymérase Platinium® Pfx (Invitrogen) est une ADN polymérase
haute fidélité qui a été utilisée lors des étapes de mutagénèse dirigée réalisées sur le gène pgk.
       Le choix des amorces et, plus précisément, leur température de fusion (ou Tm) est un
critère très important. Le Tm est défini par la température à laquelle 50 % des molécules

                                               114
Am orces                     Séquences (5’-3’)                     PCR             Utilisation
PGK F               GTGAGAATTCGGATTTCATATGACAAAC
PGKR W1             CTTGCCCAATATTTCCCTAAAG
PGKF W1             CTTTAGGGAAATATTGGGCAAG
PGK R               AATACAAGCTTTTATTTACTTTGAACAGC
PGK F               GTGAGAATTCGGATTTCATATGACAAAC                                    Mutagénèse dirigée
PGKR W2             CATTGGCCCATTCCAAGTAAC                                             du gène pgk
PGKF W2             GTTACTTGGAATGGGCCAATG
PGK R               AATACAAGCTTTTATTTACTTTGAACAGC                    95°C, 5 m in
PGK F               GTGAGAATTCGGATTTCATATGACAAAC                      95°C, 45 s
PGK R               AATACAAGCTTTTATTTACTTTGAACAGC                     58°C, 45 s
PGKpep F            TGAGAAGGATTTGAATTCCATATGACAAAC                   68°C, 1 m in
                                                                                    Production PGK FL1
PGKpep1-R           CCAATAAGCTTTTATGTTTTCCTTCAAAGG                   68°C, 5 m in
PGKpep F            TGAGAAGGATTTGAATTCCATATGACAAAC                    25 cycles
                                                                                    Production PGK FL2
PGKpep2-R           CATTGTGATAAGCTTTTAAACATTTTTACTTC
PGKpep F            TGAGAAGGATTTGAATTCCATATGACAAAC
                                                                                    Production PGK FL3
PGKpep3-R           CAAAACCTAAGCTTTTAGTTGTAACTTTTG
PGKpep4-F           GTAAAAATGAATTCCATATGGATTCTGCTTTAGG
                                                                                    Production PGK FL4
PGK R               TTATGAAGCTTTTATTTACTTTGAACAGC
PGKpep5-F           TTGATAGAATTCCATATGGCACAAGAAGCAAAAG
                                                                                    Production PGK FL5
PGKpep5-R           AATATTTCCCTAAAAGCTTTTAAGCAGAATC



  Figure M.7: Liste des amorces utilisées au cours de cette thèse.
Matériels et méthodes


bicaténaires sont dénaturées. Il dépend de la longueur de l’amorce, du pourcentage en G+C,
de la complémentarité de l’amorce avec sa matrice et de la composition du milieu réactionnel
(concentration en sels et/ou en agents dénaturants). Le Tm des amorces est estimé selon la
formule simplifiée de Wallace : Tm = 4 x nombre de bases (G + C) + 2 x nombre de bases (A
+ T), sachant que les bases comptabilisées sont celles qui hybrident effectivement avec le brin
matrice (les mismatches ne sont pas pris en compte). Chez S. citri, le pourcentage du génome
en G+C est faible. Ainsi, pour éviter des hybridations aspécifiques, il est préférable de choisir
des amorces dans les régions relativement riches en G+C, en particulier pour l’extrémité 3’ de
l’amorce. Dans certains cas, des sites de restriction, compatibles avec le site de linéarisation
du vecteur, ont été introduits dans les amorces pour faciliter le clonage des fragments d’ADN
amplifiés. Pour permettre une digestion efficace, les sites de restriction ont été introduits, au
minimum, à 4 bases de l’extrémité 5’ de l’amorce.
       L’ensemble des amorces, ainsi que les cycles de température, utilisées dans cette étude
sont présentés dans le Tableau M.7.


       7. Mutagénèse dirigée

       S. citri possède un code génétique différent du code génétique universel. Le codon
UGA, qui est un des trois codons de terminaison dans le code universel, code pour le
tryptophane chez S. citri (Citti et al., 1992). Pour exprimer la PGK chez E. coli, il faut donc
muter les deux codons TGA, contenus dans la séquence du gène pgk, en TGG. La méthode
utilisée repose sur des amplifications PCR successives faisant intervenir des couples
d’amorces portant le nucléotide muté à insérer (Hames et al., 2005).

       8. Clonage de fragment d’ADN amplifié par PCR

            8.1. Préparation du fragment PCR

       Les fragments d’ADN à cloner sont issus soit de l’hydrolyse enzymatique des produits
PCR, soit de l’hydrolyse enzymatique de plasmides recombinants préalablement obtenus. Ils
sont alors purifiés avec le kit Wizard SV® Gel and PCR clean up system (Promega). Cette
étape permet d’éliminer les enzymes, les dNTP, et les amorces encore présents dans le
mélange.




                                              115
Amorces                      Séquences (5’-3’)                              PCR                 Utilisation
Pmut-Bam            GAAAAAAGGATCCGAATTAAAAGATGTTC                             94°C, 30 s   Fragment pgk d'insertion dans
PGKR BglII          TTCGTAGATCTTGTTATAATAGCTTCTTCC                            60°C, 30 s          plasmide pGOT
PGK F               GTGAGAATTCGGATTTCATATGACAAAC                             72°C, 1 min   Vérification intégration PGOT
PGKR W2             CATTGGCCCATTCCAAGTAAC                                      30 cycles           dans gène pgk
Ori3                AGTTCGGTGGCAAAGACC                                        94°C, 30 s   Vérification intégration PGOT
Ori4                AGTAATGTTTAAATCATTGCC                                     54°C, 30 s         au niveau de l'oriC
SR24                GCAAGTCAAGCGGGAC                                          72°C, 30 s   Vérification intégration PGOT
SC1'                AAAATCACTTGCTCCTGCATTTGG                                   40 cycles   au niveau promoteur spiraline
                                                                              94°C, 30 s
EV13                ATAATGTGCTATCTTCCTTC
                                                                              60°C, 30 s
                                                                             72°C, 1 min
Tet1R               TTGTACGCCATCTTTTGCAG
                                                                               30 cycles
PMut-Bam            GAAAAAAGGATCCGAATTAAAAGATGTTC                                             Recherche intégration
Tet1R               TTGTACGCCATCTTTTGCAG                                     94°C, 30 s            pGOTpgk
LG1                 GATCGCACATTATTTTCC                                       60°C, 30 s
PGK6                TAAAACTTTTTTTCGGATCC                                     72°C, 30 s
PGK3                AGAAGCTATTAACGAAATGCAC                                    30 cycles
Tet1R               TTGTACGCCATCTTTTGCAG
                                                                              95°C, 30 s
                                                                              57°C, 30 s
                                                                             62°C, 3 min
AP1                 GTAATACGACTCACTATAGGGC
                                                                                7 cycles
                                                                              94°C, 30 s
                                                                              52°C, 30 s
Tet1R               TTGTACGCCATCTTTTGCAG
                                                                             62°C, 3 min    Marche sur le chromosome
                                                                             62°C, 7 min
                                                                               32 cycles
                                                                              94°C, 30 s
AP2                 ACTATAGGCACGCGTGGT                                        60°C, 30 s
                                                                             72°C, 3 min
Tet7                CCTAATTCTGTAATCGCTCCAC                                   72°C, 7 min
                                                                               40 cycles

  Figure M.7 (suite): Liste des amorces utilisées au cours de cette thèse.
Matériels et méthodes


           8.2. Préparation du vecteur

       Les vecteurs plasmidiques sont linéarisés par hydrolyse avec la/les enzymes de
restriction appropriées. Lorsque cela est nécessaire (lorsque le vecteur n’est hydrolysé que par
une seule enzyme de restriction), les extrémités 5’ sont déphosphorylées par la phosphatase
alcaline (Calf Intestinal Alkalin Phosphatase®, Promega) pour empêcher la recircularisation
du plasmide au cours de la ligation. Les vecteurs, déphosphorylés ou non, sont ensuite
déprotéinisés par purification sur colonne par le kit Wizard SV® Gel and PCR clean up
system (Promega) et repris dans 50 µl d’eau stérile.


           8.3. Ligation du fragment PCR et de son vecteur

       L’ADN ligase du bactériophage T4 catalyse la formation d’une liaison phosphodiester
entre les extrémités 3’-OH du vecteur déphosphorylé et les extrémités 5’-P du fragment
d’ADN à cloner. Le vecteur est mis en présence du fragment à cloner suivant un ratio 1:3 et
d’une unité de ligase dans le tampon d’activité de l’enzyme préconisé par le fournisseur
(Promega) dans un volume final de 10 µl. La ligation est réalisée par incubation à température
ambiante pendant 4 heures ou toute la nuit à 4°C.


       9. Transformation des bactéries

           9.1. E. coli

                     9.1.1. Electrocompétentes

       A partir d’une préculture de 5 ml de E. coli DH10B, 500 ml de milieu LB sont
ensemencés et cultivés sous agitation et à 37 °C. Lorsque l’absorbance à 550 nm de la culture
atteint 0,7, les cellules sont centrifugées à 4 °C, pendant 10 minutes à 6 000 g. Le culot
bactérien est remis en suspension dans 500 ml d’eau stérile glacée et les cellules sont
centrifugées à nouveau à 4 °C pendant 10 minutes à 6 000 g. Les cellules sont ensuite lavées
dans 250 ml d’eau stérile glacée avant d’être centrifugées à 4 °C pendant 10 minutes à 6 000
g. Le culot de cellules est finalement remis en suspension dans 10 ml de glycérol (10 % v/v)
glacé et stérile. Les cellules sont ensuite aliquotées par fractions de 40 µl qui sont
immédiatement congelées dans un bain d’éthanol refroidi par de la carboglace puis
conservées à - 80 °C.


                                              116
Matériels et méthodes


       La transformation est réalisée avec un électroporateur Gene Pulser® (BIO-RAD®). Les
bactéries électrocompétentes (40 µl) sont décongelées dans la glace et mélangées à 60µl d’eau
stérile et 2 µl de mélange de ligation. Après cinq minutes dans la glace, le mélange est
transféré dans une cuve à électroporation dont les électrodes sont distantes de 0,2 cm.
L’électroporateur est réglé sur une tension de 12,5 kV/cm, une capacitance de 25 µF, et une
résistance de 200   . Dans ces conditions, la durée du choc électrique est d’environ 6 ms.
Immédiatement après l’impulsion électrique, les bactéries sont transférées dans 1 ml de milieu
SOC (Tableau M.2) et incubées à 37 °C pendant 30 minutes. Deux cent microlitres du
mélange sont étalés sur milieu solide en présence du marqueur de sélection adéquat et incubés
à 37 °C. Lorsque cela est nécessaire, 40 µl d’une solution d’IPTG à 100 mM (Isopropyl-β-
thiogalactopyranoside) et 40 µl d’une solution à 2% de X-Gal (5-bromo-4-chloro-3-indolyl-β-
D-galactopyranoside) ont été préalablement étalés sur les boites de Pétri. Après une nuit
d’incubation à 37 °C, les cellules transformées sont sélectionnées par leur résistance à
l’antibiotique. En fonction des vecteurs utilisés, les bactéries contenant un plasmide
recombinant sont éventuellement sélectionnées par leur capacité à produire la β-galactosidase
par α-complémentation.


                    9.1.2. Chimiocompétentes

       La transformation au chlorure de calcium (CaCl2) (Mandel & Higa, 1970) a été utilisée
lors de la transformation de la souche d’E. coli BL21 Star™ (DE3) par le vecteur
d’expression pET28a(+) contenant soit la séquence du gène pgk, soit celles des différents
peptides de la PGK. Pour chaque transformation, trois ml de culture ont été ensemencés et
incubés à 37 °C sous agitation. Lorsque l’absorbance à 550 nm de la culture atteint 0,7, les
cellules sont incubées 30 minutes dans la glace puis centrifugées à 4 °C, pendant 10 minutes à
5 000 g. Le culot bactérien est remis en suspension dans 2 ml d’une solution à 54 mM de
CaCl2 stérile glacée. Après une incubation de 15 minutes dans la glace, les cellules sont
centrifugées à nouveau à 4 °C pendant 10 minutes à 5 000 g. Le culot de cellules est remis en
suspension dans 200 µl de CaCl2 glacé et stérile. Pour augmenter l’efficacité de
transformation, les cellules sont ensuite conservées entre 4 et 12 heures à 4 °C. Les bactéries
chimiocompétentes sont mélangées à 1-2 µg de plasmide (pET28a(+) contenant les différents
fragments ADN). Après 30 minutes dans la glace, le mélange est incubé 60 secondes à 42 °C
dans un bain-marie. Puis 1 ml de LB est ajouté sur le mélange qui est incubé 1 heure à 37 °C


                                             117
Digestion                                  Fragments à
                                      enzymatique                                bouts francs



                                                                           Ligation
                                                                           adaptateur

         Fragment génomique                         Séquence connue TetM
         couplé aux adaptateurs


                                   AP1                       Amplification PCR
         Amorces spécifiques du
         TetM et de l’adaptateur
                                                                 Tet1R
                                       AP2




                                                          Tet7
       Produit final contenant une                        PCR nichée
       partie du TetM mais aussi la
       partie génomique adjacente à
       identifier

                                             Séquençage




Figure M.8: Approche par marche sur le chromosome pour l’identification des gènes mutés
                            par recombinaison illégitime.
Matériels et méthodes


sans agitation. 250 µl sont incubés sur milieu solide en présence de kanamycine (30 µg/ml) à
37 °C.


             9.2. S. citri

         Les spiroplasmes sont transformés par électroporation selon la méthode décrite par
McCammon (McCammon et al., 1990) et modifiée par Stamburski (Stamburski et al., 1990).
Trois millilitres d’une culture de S. citri sont centrifugés à 20 000 g pendant 15 minutes à 18
°C. Le culot de cellules est remis en suspension dans 2 ml de tampon Hepes-Saccharose (HS ;
8 mM Hepes, 280 mM Saccharose [pH 7,4]). Après une deuxième centrifugation dans les
mêmes conditions, le culot est finalement remis en suspension dans 400 µL de tampon HS.
         Pour la transformation, 1 à 2 µg d’ADN plasmidique sont mélangés à 400 µl de
cellules dans une cuvette d’électroporation (distance inter-électrodes de 0,4 cm) et celle-ci est
maintenue dans la glace pendant 10 minutes. Un témoin sans ADN est systématiquement
réalisé afin de suivre l’apparition éventuelle de résistants spontanés. Les transformations sont
effectuées avec un électroporateur Gene Pulser® (BIO-RAD) réglé sur une tension de 6,25
kV/cm, une capacité de 3 µF et une résistance de 1 000 Ω. Dans ces conditions, la durée du
choc électrique est d’environ 1 à 3 ms. Après 3 heures d’expression phénotypique à 32 °C
dans 1 ml de milieu SP4, des dilutions 100, 10-1 et 10-2 du mélange de transformation sont
étalées sur milieu SP4 solide contenant de la gentamicine (100 µg/ml). Après 2 à 3 semaines
d’incubation à 32 °C, les colonies sont ensemencées en milieu liquide contenant l’antibiotique
adéquat. Ce premier ensemencement correspond au premier passage.


         10. Marche sur le chromosome

         La technique de marche sur le chromosome a été réalisée en utilisant le kit
GenomeWalker™ DNA walking (BD Biosciences) dont le principe est schématisé sur la
figure M.8.
         2 µg d’ADN chromosomique de chacun des mutants de S. citri considéré ont été
digérés par une des deux endonucléases SmaI ou HincII pendant 4 h à 37°C. Le choix des
amorces tient compte de deux paramètres importants qui sont, dans un premier temps, que les
enzymes doivent digérer l’ADN donnant des bouts francs afin de permettre l’ajout par ligation
d’adaptateurs indispensables aux amplifications ultérieures. Dans un second temps, les
enzymes ne doivent pas coupées avec une fréquence élevée afin de ne pas digérer l’ADN dans
la région d’intérêt.
                                              118
Matériels et méthodes


       L’ADN ainsi digéré a été ensuite purifié puis ligué avec les adaptateurs fournis avec le
kit. La ligation s’est effectuée toute la nuit à 16°C selon les instructions du fournisseur. Le
mélange est ensuite incubé 5 min à 70°C afin de dégrader la ligase présente dans le mélange
réactionnel. 60 µl de TE (10 mM Tris, 1 mM EDTA, pH 7,5) sont ajoutés au mélange.
       Dans notre cas, les régions codantes à identifier ayant inséré le fragment interne pgk,
lui-même fusionné au gène tetM, ce dernier devient de ce fait le gène idéal pour servir de base
aux amplifications suivantes. En effet, afin de pouvoir séquencer et identifier le gène disrupté,
une PCR nichée est nécessaire afin d’amplifier la région comprise entre les adaptateurs et ce
gène TetM. Le design des amorces pour cette PCR nécessite obligatoirement la présence d’un
gène de séquence connue à proximité de ce dernier, ce qui est le cas du gène TetM. La
première amplification par PCR se déroule avec l’aide des oligonucléotides AP1 et Tet1R
selon les conditions détaillées à la figure M.7.
       Un µl de cette première PCR a ensuite servi de matrice pour la PCR nichée suivante
qui utilise les oligonucléotides AP2 et Tet7. Les conditions utilisées au cours de cette seconde
amplification (figure M.7) ont permis d’obtenir des fragments de tailles variables (figure
4.7B) qui ont par la suite été envoyés à séquencer.


IV. Méthodes d’analyse des protéines

       1. Extraction des protéines

            1.1. Préparation des protéines de S. citri

                     1.1.1. Protéines pour l’électrophorèse mono-dimensionnelle

       Cent ml de S. citri (108-109 spiroplasmes/ml) sont centrifugés à 12 000 g à 4 °C
pendant 20 minutes puis le culot est lavé trois fois dans 50 ml de tampon Hepes-Saccharose.
Les cellules sont remises en suspension dans 600 µl de PBS en présence de 1mM de
phenylmethanesulfonylfluoride (PMSF). La suspension de spiroplasmes est ensuite lysée par
sonication (sonicateur Vibracell, Sonics and Materials, Inc., Danbury, CT, 40% pulses/s, 50
W, 4 °C) en suivant 3 cycles alternant 1 minute de sonication et 1 minute d’incubation dans la
glace. Le dosage de protéines est réalisé avec le kit Bio-Rad Protein Assay (§ IV.4.1). Le
rendement moyen est de 2,4 mg de protéines pour 100 ml de culture de S. citri.




                                              119
Tampon de réhydratation TCT

     Urée                                                 7M
     Triton X-100 (v/v)                                    2%
     Chaps (p/v)                                           4%
     Thiourée                                             2M
     DTT                                                 10 mM
     Ampholytes (v/v)                                      2%

Figure M.9: Composition du tampon de réhydratation pour l’électrophorèse 2-D.
Matériels et méthodes


                     1.1.2. Protéines pour l’électrophorèse bi-dimensionnelle

       Les spiroplasmes, pris à partir de 1 L de culture en phase exponentielle de croissance,
sont centrifugés puis lavés comme précédemment (§ IV.1.1.1). Le culot est ensuite remis en
suspension dans 600 µl de tampon de réhydratation préparé extemporanément (tableau M.9).
Le dosage est réalisé selon la méthode de Bradford modifié (§ 4.2).


                     1.1.3. Fractionnement des protéines membranaires

       Une culture de spiroplasme est tout d’abord centrifugée dans les mêmes conditions
que celles utilisées pour la préparation des protéines totales de S. citri. Le culot est ensuite
remis en suspension dans 30 ml de tampon de conservation (50 mM TrisHCl ; 500 µM PMSF,
pH 7). Les cellules sont lysées par sonication et la suspension est centrifugée à 500 g pendant
2 minutes à 4 °C afin d’éliminer un éventuel dépôt de titane dû à la sonication par ultrasons.
Le surnageant est récupéré et les membranes sont récoltées par centrifugation à 20 000 g
pendant 1 h à 4°C. Les membranes sont ensuite lavées 4 fois dans un tampon de lavage des
membranes (50 mM TrisHCl pH 7,5). Le culot final est repris dans un tampon adéquat pour la
suite de l’expérience. De manière générale, ce tampon peut être du phosphate de sodium 0,1
M (80 mM Na2HPO4 ; 20 mM NaH2PO4, pH 7,4) mais il peut aussi être remplacé par un
tampon spécifique lors des expériences de BN-PAGE (§ IV.10.1.1) ou bien de pontage par
des agents pontants (§ IV.10.2.1). Les protéines membranaires sont reprises dans un volume
minimal de tampon puis sont dosées avec le kit Bio-Rad Protein Assay (§ IV.4.1).


           1.2. Préparation des protéines de C. haematoceps

                     1.2.1. Totales

     Cent insectes sont capturés puis broyés dans un potter avec 1 ml de PBS contenant
1 mM de PMSF. Le lysat est ensuite centrifugé à 10 000 g à 4 °C pendant 1 minute afin
d’éliminer les débris (des ailes et des pattes notamment). Les protéines ne sont pas purifiées
davantage afin d’éviter la perte de protéines d’intérêt. Les protéines sont dosées avec le kit
Bio-Rad Protein Assay (§ IV.4.1) et le rendement moyen obtenu est de 3,6 mg de protéines
totales pour 100 insectes broyés.




                                              120
5’                                  3’
                        PGK                                       Mutagénèse dirigée
       3’                                  5’
                                                                   des deux codons
                                                                  tryptophanes TGA


                                                     NdeI    G
                                             EcoRI                           G
                                            5’                                                   3’
                                                            TGA            TGA
   Clonage                                                  ACT     PGK    ACT
                                            3’                                                   5’
 EcoRI/HindIII                                                                         HindIII
                                                             C               C



                   PGK mutée
ApR




             pBluescript KS (+)
                   (2958pb)


            ori          lacI

                      Séquençage du gène
                           pgk muté

                         Clonage
                       NdeI/HindIII

                   PGK mutée         His

                   pET28a(+)
KanR




                    (5369pb)


             ori              lacI




             Figure M.10: Mutagénèse dirigée suivie du clonage dans le vecteur
                     d’expression pET28a(+) du gène pgk de S. citri.
Matériels et méthodes




                    1.2.2. Glandes salivaires

       Les glandes salivaires, extraites et conservées dans le PBS à -20°C, sont décongelées
lentement dans la glace. Elles sont broyées, purifiées et dosées dans les mêmes conditions que
précédemment (§ IV.1.2.1).


                    1.2.3. Pour l’électrophorèse bi-dimensionnelle

       Cent insectes sont broyés dans un mortier avec de l’azote liquide puis la poudre est
remise en suspension dans un potter contant une solution froide (acétone ; 10 % (w/v) acide
trichloroacétique (TCA) ; 0.07 % β-mercaptoéthanol). En ce qui concerne les glandes
salivaires disséquées, le broyage s’effectue directement dans un potter contenant cette même
solution. La suite du protocole est commune aux deux préparations. Après une précipitation
de 1h à -20°C, la suspension protéique est centifugée à 20 000 g à 4°C pendant 20 minutes
puis lavée trois fois dans la même solution à laquelle le TCA a été omis. Le culot est séché à
température ambiante puis remis en suspension dans 600 µl de tampon TCT (tableau M.9).


       2. Production de protéines recombinantes tagguées His6

           2.1. His6-PGK

       Les étapes, allant de la mutation des deux codons tryptophanes présents dans sa
séquence, indispensable à son expression chez E. coli, jusqu’au clonage dans le vecteur
d’expression pET28a(+) (Novagen), sont schématisées dans la figure M.10.
Le produit amplifié de 1 239 pb correspondant au gène pgk, dans lequel les deux codons stop
TGA ont été substitués par un codon TGG (§ IV.7), a été inséré le plasmide pBS et la
construction est utilisée pour transformer la bactérie E. coli DH10B. Le gène d’intérêt est
ensuite transféré dans le plasmide pET28a(+) (Novagen) aux sites NdeI/HindIII et 1µg du
plasmide recombinant, nommé pET28FL, sert à la transformation de E. coli DH10B. L’insert
est ensuite séquencé afin de s’assurer qu’aucune mutation n’ait été insérée au cours des
manipulations. Deux µg du pET28FL portant les deux mutations désirées sont utilisés pour
transformer E. coli BL21(DE3). Les transformants sont sélectionnés sur milieu LB solide
contenant 50 µg/µl de kanamycine à 37°C.


                                             121
Matériels et méthodes


       Un transformant est repiqué puis cultivé dans 500 ml de milieu LB contenant 30 µg/µl
de kanamycine jusqu’en fin de la phase exponentielle de croissance (DO600nm = 0.6). Dans
ce système d’expression, utilisant le plasmide pET28a(+), l’expression de la protéine
recombinante est sous la dépendance d’un promoteur inductible à l' isopropyl-β-D-
thiogalactopyranoside (IPTG). La concentration d’IPTG ainsi que le temps d’induction
peuvent être variables selon l’expression et la toxicité des protéines à produire. La PGK étant
très facilement induite en grande quantité, le temps d’incubation optimal est relativement
court et la concentration en IPTG relativement faible.
       La His6-PGK recombinante est alors produite à 28°C en ajoutant 0,1 mM d’IPTG
pendant 4h.


       La culture est ensuite centrifugée à 7 000 g pendant 10 minutes à 4°C et le culot est
resuspendu dans 10 ml de tampon de lyse (50 mM Tris HCl ; 0,3 M NaCl, pH 8). Après 10
minutes d’incubation à température ambiante, la préparation est à nouveau incubée 10
minutes supplémentaires a température ambiante avec du lysozyme à une concentration de 0,2
mg/ml. Le mélange est ensuite soniqué (50 % pulses/s ; 50W ; 4°C ; 1 minute de sonication
en alternance avec 1 minute dans la glace) jusqu’à qu’un lysat translucide soit obtenu. Les
protéines sont séparées par centrifugation à 13 000 g pendant 10 minutes à 4°C et le
surnageant, contenant les protéines solubles mais également la His6-PGK, est purifié sans
congélation préalable.


              2.2. His6 PGK FL1, 2, 3, 4, 5

       Les séquences nucléiques de chacun des peptides de la PGK ont été obtenues par
réamplification PCR du pET28FL, linéarisé par HindIII, contenant le gène pgk dans lequel les
deux codons TGA ont été mutés. Les amorces utilisées pour l’amplification de chacun des
peptides sont présentées dans le tableau 5.7. Chacun des inserts est inséré dans le pET28a(+)
aux mêmes sites que ceux ayant servi pour l’insertion du gène pgk, les plasmides
recombinants sont par la suite utilisés pour transformer E. coli DH10B. La séquence de
l’insert est vérifiée par séquençage puis E. coli BL21(DE3) est transformée afin de produire
chacun des peptides. L’expression des ces peptides suit le même protocole que celui utilisé
pour l’expression de la PGK pleine longueur (§ IV.2.1), à l’exception du temps d’induction
des peptides suite à l’ajout d’IPTG qui est passé de 4h à toute la nuit pour obtenir des
quantités de protéines produites satisfaisantes.

                                               122
1: CONTRÔLE                                         2: PIEGAGE
              Elution de protéines de                            Elution de protéines de
            S.citri en l’absence d’actine                      S.citri en présence d’actine




                        Protéines                                         Protéines
Anticorps                                   actine
                        de S.citri                                        de S.citri
anti-
actine                                      Autres protéines
                                            d’insectes




   Figure M.11: Recherche du partenaire de l’actine par chromatographie d’affinité
Matériels et méthodes




           3. Purification des protéines par chromatographie liquide

              3.1. Colonne de protein A Sépharose CL-4B

       La Protein A Sepharose™ CL-4B est une résine de Sépharose CL-4B sur laquelle est
fixée de la protéine A, protéine qui possède la capacité à se lier à la région Fc des
immunoglobulines par le biais de la chaîne lourde des ces dernières. Cette liaison est réalisée
par le bromure de cyanogène (CNBr) qui est l'un des réactifs les plus utilisés pour coupler une
cible à la matrice d'une colonne. Comme seule la région Fc des anticorps est utilisée pour la
liaison avec la protéine A, la région Fab des anticorps est disponible pour interagir avec
l’antigène.
       Le principe de cette chromatographie est schématisé sur la figure M.11.
       Des anticorps de lapin dirigés contre l’actine de poulet (Sigma) ont été liés à la protein
A Sepharose™ CL-4B selon les instructions du fournisseur (GE Healthcare). L’ensemble du
fractionnement a été réalisé sur la chaîne de chromatographie basse pression AKTA purifier
(GE Healthcare).
       Une première élution de protéines de S. citri, servant de contrôle négatif, est réalisée
en l’absence de protéines d’insecte, et donc d’actine. 500 µg de protéines de S. citri (§
IV.1.1.1) sont chargées sur la colonne. Les protéines retenues sont éluées avec 20 ml d’un
gradient de 0 à 2M NaCl. L’analyse de ces protéines permet de visualiser, sur gel de
polyacrylamide, les protéines contaminantes qui sont retenues soit sur la résine de protein A
Sépharose, soit par les anticorps anti-actine. Après un lavage de la colonne en NaCl 2M afin
d’éliminer tous ces contaminants, les protéines d’insectes sont déposées sur la colonne et
l’actine se fixe de manière spécifique sur les anticorps. Cette fixation spécifique de l’actine a
été vérifiée par un Western blot réalisé sur ces mêmes protéines d’insectes sur lesquelles
l’anticorps anti-actine reconnaît uniquement une protéine à 42 kDa, masse moléculaire de
l’actine
Pour fixer l’actine de l’insecte vecteur sur les anticorps anti-actine, 1 mg de protéines totales
d’insectes (§ IV.1.2.1) sont chargées sur la colonne. Les protéines retenues de façon non
spécifique sur la colonne sont décrochées par un lavage avec 10 ml d’une solution 2 M NaCl.
Par la suite, 500 µg de protéines de S. citri (§ IV.1.1.1) sont chargées à leur tour sur la
colonne. Les protéines liées à l’actine de façon spécifique sont éluées avec 20 ml d’un gradient
de 0 à 2M NaCl. Toutes les protéines éluées à cette étape sont fractionnées par SDS-PAGE


                                              123
Figure M.12: Liaison d’un atome de nickel avec les acides aminés histidines
     de l’étiquette placée en N-terminal des protéines recombinantes.




                   Tampon A
        Na2HPO4 0,1 M                               40,5 ml
        NaH2PO4 0,1M                                9,5 ml
        NaCl                                        0,25 M
        H2O                                       qsp 100 ml


 Tableau M.13: Composition du tampon utilisé pour la lyse des protéines au
           cours de l’expression des protéines recombinantes.
Matériels et méthodes


puis colorées au bleu colloïdal afin d’être envoyées à la spectrométrie de masse ou bien
transférées sur membrane de nitrocellulose pour une analyse en far Western.


            3.2. Purification de protéines recombinantes

       Le protocole de purification de protéines recombinantes regroupe plusieurs étapes
jusqu’à l’obtention d’une protéine pure à partir d’un lysat bactérien. Il consiste à élué, dans un
premiers temps, la protéine sur une colonne d’affinité de nickel permettant une première
purification. La protéine subit ensuite un passage sur une colonne échangeuses d’ions ce qui
élimine les éventuelles contaminations protéiques laissées par la précédente étape.
       La His6-PGK fut la seule protéine recombinante produite au cours de cette thèse à
subir ce protocole de purification de manière complète. Les autres peptides de la PGK
produits au cours de ce travail n’ont pas subit la dernière étape de purification sur colonne
échangeuses d’ions.
       L’ensemble de ces étapes se déroulent à 4°C (dans une chambre froide ou lorsque cela
n’est pas possible, les tampons sont maintenus dans la glace).


                      3.2.1. IMAC (immobilized metal affinity chromatography)

       La résine utilisée pour la purification de la PGK recombinante est une résine IMAC
(Immobilized Metal Affinity Chromatography) utilisant un ion de nickel (nickel-nitriloacetic
acid ou nickel-NTA) comme site actif. L'ion Ni2+ possède six liens de coordination : quatre
sont sollicités par le NTA pour l'immobiliser sur la résine; il en reste donc deux pour interagir
avec les atomes d'azote du cycle de la chaîne latérale de deux résidus histidines
(figure M.12).
       Ici, nous avons utilisé une résine pré-chargée en Nickel (Qiagen ou Bio-Rad ; 50 %
slurry) pour un volume final de colonne de 1 ml. Avant de charger les échantillons, la colonne
est lavée à l’aide de 10 volumes d’H2O MilliQ afin d’éliminer l’éthanol présent puis elle est
équilibrée à l’aide de 10 volumes de tampon de lyse (§ IV.2.1). Il est important de ne jamais
laisser la colonne se dessécher.
       Les surnageants, contenant les protéines solubles (environ 10 ml) obtenus après
l’induction de la protéine chez E. coli BL21(DE3), sont chargés sur la colonne. A partir de cet
instant, les protéines éluées sont récupérées en fractions de 1 ml. Après avoir récupéré les
protéines non retenues, la colonne est lavée avec 10 volumes de tampon A + 0,1 % Triton X-

                                               124
Figure M.14: Elution des protéines au cours de l’étape de dessalage sur
                           colonne PD-10.
Matériels et méthodes


100 suivis par 10 volumes de tampon A (tableau M.13) afin d’éliminer le Triton X-100
amené lors du premier lavage.
        L’élution des protéines recombinantes se fait par compétition avec l’imidazole qui
entre en compétition avec les résidus histidines pour la fixation sur le nickel par
l’intermédiaire de ses propres atomes d’azote. Trois ml de concentrations croissantes
d’imidazole (0,01 M ; 0,025 M ; 0,05 M ; 0,1 M ; 0,25 M ; 0,5 M) en solution dans du tampon
A sont chargées sur la colonne. Cinquante µl de chaque fraction de 1 ml sont prélevés pour
être analysés sur gel SDS-PAGE. Le reste des élutions va subir un dessalage sur colonne
d’exclusion afin d’éliminer l’imidazole présent dans le tampon.
        Une fois l’élution terminée, la colonne est lavée avec 10 volumes de tampon A +
0,5 M Imidazole suivi de 10 volumes d’éthanol 20 %. La colonne peut être ainsi conservée à
4°C sans jamais laisser la résine se dessécher.


                     3.2.2. Chromatographie d’exclusion

        Après avoir déterminé sur gel SDS-PAGE quelles fractions d’élutions contenaient la
protéine recombinante, chaque fraction d’intérêt (1 ml) est déposée sur une colonne de gel
filtration de type PD-10 (GE Healthcare). Ces colonnes sont destinées à la séparation de
protéines de masses moléculaires supérieures à 5 000 Daltons. Les molécules de masse
moléculaire supérieure à 5 000 Da sont excluent de la matrice Sephadex G-25 et sont donc
éluées en premier. Les molécules de masse moléculaire inférieure aux pores de la matrice
peuvent donc pénétrer dans ces dernières et de ce fait sont éluées plus tardivement.
        La colonne est tout d’abord équilibrée avec un tampon phosphate (80 mM Na2HPO4 ;
20 mM NaH2PO4, pH 8), tampon qui sera celui dans lequel la protéine sera éluée et
conservée. Le volume maximal d’échantillons pouvant être chargé sur la colonne est de 2,5
ml. Une première fraction d’intérêt de 1 ml est chargée sur la colonne. Une fois que la
solution protéique est entièrement pénétrée dans la matrice, le volume est ajusté à 2,5 ml final
en ajoutant du tampon d’équilibration. L’élution est réalisée dans un volume final de 3,5 ml
de tampon d’équilibration suivant la cinétique décrite dans la figure M.14. Chaque fraction
récupérée est dosée, aliquotée et conservée à -20°C dans le tampon phosphate précédemment
cité.




                                              125
Tampon Laemmli 2X
                    Tris-HCl pH 6,8                           100 mM
                    β-mercaptoéthanol                        10 % (v/v)
                    SDS                                       4 % (p/v)
                    Bleu de bromophénol                      0,2 % (p/v)
                    Glycérol                                 20 % (v/v)

    Tableau M.15: Composition du tampon de charge utilisé pour l’électrophorèse des
                       protéines en conditions dénaturantes.




                                                                          Gel de séparation en
                                                   Gel de séparation à
                          Gel de concentration à                           gradient (5-15 %)
                                                 concentration constante
                                    4%
                                                                         Solution à Solution à
                                                   12,50%        10%
                                                                            5%          15 %
Polyacrylamide 40 %(pv)             1 ml            9,3 ml      7,5 ml    1,85 ml      5,6 ml
Tris-HCl 1 M pH 6,8               2,5 ml               -           -          -           -
Tris-HCl 1,5 M pH 8,8                 -              9 ml        9 ml      4,5 ml      4,5 ml
SDS 20 % (p/v)                     50 µl            150 µl      150 µl     75 µl        75 µl
qsp H2O                            10 ml             30 ml      30 ml      15 ml        15 ml
APS 10 % (p/v)                    50 µl            150 µl     150 µl       100 µl     100 µl
TEMED                             10 µl             15 µl      15 µl        10 µl      10 µl

      Tableau M.16: Composition des différents gels SDS utilisés au cours de cette
                                       thèse.
Matériels et méthodes


                      3.2.3. Fractionnement sur colonne échangeuse d’ions

         Une dernière étape de purification supplémentaire peu s’avérer nécessaire lorsque la
pureté de la protéine n’est pas suffisante. En effet, produite en grande quantité, le profil
élution après dessalage montrait de nombreuses contaminations protéiques. Les profils
d’élution des autres peptides de la PGK ne montraient pas de contaminations majeures
susceptibles d’inférer avec la suite des analyses. Un fractionnement par chromatographie
d’échanges d’ions a donc été réalisé uniquement lors de la purification de l’His6-PGK. Ce
type de chromatographie permet de séparer des protéines ayant des propriétés ioniques
différentes.
         Les fractions protéiques d’intérêt sont reprises dans un tampon phosphate à pH 8. Le
pI théorique de la PGK recombinante est de 6,54 (http://expasy.org/tools/pi_tool.html). A un
pH de 8, la charge globale nette de la protéine est donc négative. Pour cette seconde étape de
purification, une colonne échangeuse de cations a donc été utilisée. Celle-ci, chargée
positivement, retiendra de manière spécifique la PGK. L’élution des protéines fixées a été
effectuée par un gradient linéaire de NaCl (0 à 1 M) dans le tampon phosphate pH 8. Les
fractions récupérées sont analysées sur un gel d'électrophorèse.


         4. Dosage des protéines

               4.1. Bradford

         Le principe de ce dosage repose sur le changement de couleur d'un colorant en réponse
à différentes concentrations en protéines. La procédure utilisée est celle décrite par le
fournisseur (BIO-RAD) en utilisant une gamme de dilution standard de bovine serum
albumine (BSA).


               4.2. Bradford modifié

         Ce protocole de dosage Bradford est adapté pour le dosage des protéines en
suspension dans le tampon de réhydratation des gels 2-D qui contient un certain nombre de
réactifs faussant le dosage classique. Le dosage des protéines s’effectue néanmoins par
comparaison avec une gamme de BSA de concentration connue (Ramagli & Rodriguez,
1985).




                                              126
Tampon électrophorèse SDS
         Tris                                   25 mM
         Glycine                                 0,2 M
         SDS (p/v)                              0,10%
         H2O                                    qsp 1 L



Tableau M.17: Composition du tampon utilisé pour l’électrophorèse des
               protéines en conditions dénaturantes.




  Figure M.18: Représentation schématique du dispositif de mélange
               d’acrylamide pour les gels en gradient.
Matériels et méthodes


       5. Séparation des protéines en gel d’électrophorèse
            5.1. Electrophorèse mono-dimensionnelle


       Dans le système (SDS-PAGE Sodium Dodecyl Sulfate-PolyAcrylamide Gel
Electrophoresis), les protéines saturées par les molécules de SDS (détergent anionique),
chargées négativement, migrent dans un champ électrique en fonction de leur masse. Les gels
de polyacrylamide utilisés sont coulés entre deux plaques de verre séparées par des bandes de
téflon de 1,5 mm d’épaisseur. Les échantillons sont incubés dans le même volume de tampon
de charge Laemmli 2X (tableau M.15) avant d’être déposés sur gel.


                     5.1.1. Gels de polyacrylamide à concentration constante

       La technique utilisée est celle décrite par Sambrook et coll. (Sambrook et al., 1989).
Le gel est constitué d’un gel de séparation d’environ 12 cm, préalablement polymérisé (sous 1
ml de butanol saturé en eau) surmonté d'un gel de concentration d’environ 3 cm. La
composition des gels de polyacrylamide est décrite dans le tableau M.16. Après le dépôt des
échantillons, l’électrophorèse est conduite à 80 V pendant la migration dans le gel de
concentration (1 h) afin d’éviter toute diffusion des protéines puis le reste de l’électrophorèse
est réalisée à voltage constant (50 à 60 V), jusqu’à ce que le front de migration se trouve à 1
cm de la bordure du gel de séparation (migration toute la nuit). Le tampon d'électrophorèse est
indiqué dans le tableau M.17.


                     5.1.2. Gels en gradient de polyacrylamide 4-15 %

       La technique utilisée est celle décrite par Swamy et al. (2006). Le gel se compose d’un
gel de concentration identique à celui décrit ci-dessus, et d’un gel de séparation dont la
composition est décrite dans le tableau M.16. Le gradient exponentiel de polyacrylamide est
réalisé par un mélangeur (figure M.18). Ce type de gel permet une meilleure résolution des
protéines qui possèdent des masses moléculaires élevées (supérieures à 100 kDa) tout en
conservant les protéines de faibles masses moléculaires dans le gel et est très utilisé dans
l’étude des complexes protéiques. L'électrophorèse est conduite de manière identique à celle
utilisée pour les gels de concentration constante à l’exception de celle menée pour la
migration des complexes protéiques en BN-PAGE (§ IV.10.1.2.1).


                                              127
Base équilibration

             Urée                                   6M
             Tris                                  50 mM
             SDS (p/v)                               2%
             Glycérol (v/v)                         30%
             H2O                                 qsp 500 ml

Tampon équilibration I : 10 ml base équilibration + 250 µl DTT 2M
Tampon équilibration II : 10 ml base équilibration + 231,2 mg iodoacétamide



  Tableau M.19: Composition des tampons utilisés pour l’équilibration des
     protéines en vue d’une électrophorèse en conditions dénaturantes.
Matériels et méthodes


           5.2. Electrophorèse bi-dimensionnelle

       La combinaison des techniques d’IEF (IsoElectric Focusing) et de SDS-PAGE permet
d’obtenir un degré de résolution élevé, recherché pour la séparation de mélanges complexes
de protéines. La technologie actuelle utilise des gels pré-coulés à gradient de pH immobilisé
(IPG strips: Immobilized non-linear pH gradient strips) qui présente l’avantage de posséder le
gradient de pH définitivement fixé dans le strip évitant ainsi les problèmes de déplacement de
pH au cours de la migration qui était le cas avec la séparation d’IEF en tube. Dans ce travail,
les IPG strips utilisés qui ont d’une longueur de 17 cm de longueur avec une gamme de pH 5-
8 (BIO-RAD).
       Les protéines de S. citri ou d’insectes qui doivent être analysées en électrophorèse
bidimensionnelle sont préparées comme décrit précédemment (§ IV.1.1.2 et § IV.1.2.3
respectivement). Trois cent µg de protéines sont déposés dans un volume minimal de 300 µl
et les strips sont réhydratés activement à 50 volts, 20°C entre 12 et 20 h en ayant pris soin de
recouvrir le strip avec 1 ml d’huile minérale afin d’éviter les risques d’évaporation. Après
réhydratation, la focalisation s’effectue selon le protocole fourni par BIO-RAD. L’ensemble
de ces opérations s’effectue dans l'appareil PROTEAN IEF Cell (BIO-RAD).
       Avant de réaliser la seconde dimension, il est nécessaire d’ioniser les protéines avec
du SDS et de les réduire. Cette opération est effectuée par l’incubation du strip dans 10 ml de
tampon d’équilibration I (tableau M.19), pendant 10 min. Lorsque l’agent réducteur est le
DTT, il est nécessaire de procéder à une seconde incubation pendant 10 min avec le tampon
d’équilibration II qui contient de l’iodoacétamide (tableau M.19). Ceci prévient la ré-
oxydation des protéines au cours de l’électrophorèse et alkyle le DTT résiduel, minimisant les
traînées verticales qui sont observées sur certains gels. Ces tampons doivent être préparés
extemporanément.
       Le strip est ensuite soudé avec de l’agarose 1 % dans une solution de Tris-HCl 1 M pH
6,8 au sommet du gel de concentration d’un gel SDS-PAGE (T = 12,5 %, C= 0,5 %, 1 mm
d’épaisseur). La deuxième électrophorèse sépare donc les protéines en fonction de leur masse
moléculaire. L’électrophorèse s’effectue à 70V jusqu’à ce que le front de migration se trouve
à 1 cm de la bordure du gel de séparation.




                                              128
Ethanol 50 % (v/v)
           Solution de fixation
                                  Acide phosphorique 2 % (v/v)
           Solution de lavage     Acide phosphorique 2 % (v/v)
                                        Ethanol 17 % (v/v)
                Solution de
                                  Acide phosphorique 2 % (v/v)
              sensibilisation
                                 Sulfate d'ammonium 15 % (v/v)
                                        Ethanol 17 % (v/v)
                                  Acide phosphorique 2 % (v/v)
          Solution de coloration
                                 Sulfate d'ammonium 15 % (v/v)
                                 Brillant Blue G-250 0,1% (p/v)
                Solution de
                                           H2O distillée
               décoloration
                Solution de
                                    Acide acétique 1 % (v/v)
               conservation
Tableau M.20: Composition des tampons utilisés pour la coloration des
                  protéines au bleu colloidal.




                               Méthode classique          Méthode compatible avec une
                                                             analyse MALDI-TOF
                          Préfixateur 1: Méthanol 50 %,
                               Acide Acétique 7 %
                          Préfixateur 2: Méthanol 10 %,          Ethanol 50 %
 Solutions de Fixation
                               Acide Acétique 10 %            Acide Acétique 10 %
                           Fixateur: Glutaraldéhyde 8,3
                                         %
     Solution pour
 augmenter l’efficacité                 -                 Thiosulphate de sodium 0,02 %
    de la révélation
                           NiAg, 1 g dans 20 ml d’eau,
                            ajoutés dans 380 ml de la
  Solution de nitrate
                          solution soude (NaOH 0,4 %              NiAg 0,1 %
       d’argent
                           dans Ethanol 20 %, 1,5 ml
                                      NH3)
                                                            Carbonate de sodium 2 %
                              Formaldéhyde 200 µl
Solution de Révélation                                        Formaldéhyde 200 µl
                                 Ethanol 20 %
                                                          Thiosulphate de sodium 0,01‰
                              Acide Acétique 1 %
Solution d’inactivation       Ethanolamine 200 µl              Acide Acétique 1 %
                                 Ethanol 20 %

Tableau M.21: Composition des tampons utilisés pour la coloration des
                  protéines au nitrate d’argent.
Matériels et méthodes


         6. Visualisation des protéines après électrophorèse

         Après électrophorèse, les gels sont colorés par l’une des techniques exposées ci-
dessous, en fonction de la sensibilité désirée et de l’analyse qui suivra. Quelle que soit la
méthode de coloration utilisée, chacune des étapes s’effectue à température ambiante et sous
agitation.


             6.1. Coloration au bleu colloïdal

         La coloration au bleu colloïdal, bien que moins sensible que celle au nitrate d’argent,
présente l’avantage d’être compatible avec des analyses ultérieures en spectrométrie de
masse. Les solutions nécessaires au cours de cette coloration sont regroupées dans le tableau
M.20. Le gel est tout d’abord fixé pendant 1 h dans une solution de fixation puis cette
solution est renouvelée pour 1 h supplémentaire de fixation. Le gel est ensuite incubé 1 h dans
une solution de lavage, 20 min dans une solution de sensiblisation puis coloré jusqu’à
obtention de la coloration désirée dans une solution contenant 0,1 % (w/v) de bleu colloïdal
G250. Le gel est ensuite lavé plusieurs fois avec de l’eau MilliQ afin d’éliminer le bruit de
fond éventuellement présent puis le gel est conservé dans une solution d’acide acétique 1 %
(v/v).


             6.2. Coloration au nitrate d’argent classique

         Cette méthode de coloration au nitrate d’argent donne des résultats très satisfaisants
mais interfère avec l’analyse de protéines par spectrométrie de masse. Les solutions utilisées
sont détaillées dans le tableau M.21. Après la séparation des protéines sur gel, ce dernier est
lavé dans de l’eau milli Q pendant 2 min. La fixation des protéines dans le gel s'effectue dans
une solution de préfixateur 1 pendant 4 h puis, dans un second temps, le même gel est incubé
dans une solution de préfixateur 2 toute la nuit. Le gel est ensuite lavé dans de l’eau milli Q
pendant 15 min et immergé 45 min dans une solution de fixation. Après trois lavages dans
l’eau de 15 min chacun, le gel est plongé deux fois 15 min dans une solution d'éthanol à 20 %.
         La solution de coloration est réalisée extemporanément de la façon suivante: 1 g de
NiAg est dissout dans 20 ml d’eau milli Q. Celle-ci est versée doucement à la surface d'une
solution de soude tout en remuant pour éviter la précipitation. Si un précipité brun apparaît, il
faut ajouter une solution d'ammoniaque pure jusqu'à ce qu'il disparaisse.


                                              129
Tampon transfert
                 Tris                                             25 mM
                 Glycine                                         150 mM
                 Méthanol (v/v)                                    10%
                 H2O                                             qsp 1 L

   Tableau M.22: Composition du tampon utilisé pour le transfert des protéines
                     sur membrane de nitrocellulose.




   Anticorps          Spécificité     Dilution                          Utilisation
Anti-S. citri GII3     Polyclonal      5 µg/ml                   Far Western anti-S. citri
    Anti-P32           Polyclonal     1:50ème                           BN-PAGE

                                                  Recherche partenaire actine (chromatographie d'affinité)
   Anti-actine         Polyclonal     1:200ème
                                                                 Far Western anti-actine

   Anti-PGK            Polyclonal       pur             Localisation PGK(Western blot anti-PGK)
    Anti-His          Monoclonal     1:3000ème                     Western-blot anti-his
 Anti-IgG lapin
   couplé à la        Monoclonal     1:50000ème
  peroxydase
 Anti-IgG souris
   couplé à la        Monoclonal     1:20000ème
  peroxydase

               Tableau M.23: Différents anticorps utilisés au cours de cette thèse.
Matériels et méthodes


         Le gel est incubé immédiatement dans cette solution de coloration pour une heure à
l’abri de la lumière. Après deux lavages à l'éthanol 20 %, la révélation est effectuée par
immersion du gel dans la solution de révélation. Lorsque le contraste désiré est atteint, la
réaction est stoppée par immersion du gel dans la solution inactivation.


             6.3. Coloration au nitrate d’argent compatible avec la spectrométrie de
                 masse

                      6.3.1. Méthode O’Connell et al, 1997

         Cette méthode, bien que moins sensible que la coloration au nitrate d’argent classique,
présente les avantages d'être plus sensible que celle au bleu colloïdal, compatible avec
l’analyse par spectrométrie de masse, mais aussi d'être rapide (O'Connell & Stults, 1997).
         Après électrophorèse, le gel est lavé 30 min dans de l’eau milli Q et fixé pendant 30
min dans une solution éthanol 50 % et acide acétique 10 %. Il est ensuite lavé dans de
l'éthanol à 50 %, pendant 10 min. Les protéines sont sensibilisées au nitrate d'argent par
incubation de 5 min dans une solution de thiosulfate de sodium à 0,02 % (p/v). Le gel est
alors lavé 5 min dans l’eau milliQ puis immergé pendant 30 min à l’abri de la lumière dans
une solution de nitrate d’argent à 0,1 % (p/v), elle-même préalablement incubée 5 min dans la
glace à l’abri de la lumière. Après incubation, le gel est rincé rapidement deux fois dans l’eau
milliQ, puis développé dans une solution de révélation à base de carbonate de sodium, de
formaldéhyde et de thiosulfate de sodium (tableau M.21) jusqu'à obtention du contraste
désiré. La réaction est stoppée par immersion du gel dans une solution d'acide acétique à 1 %
(v/v).


                      6.3.2. Kit Proteosilver™ Silver Stain

         Ce kit de coloration à l’argent permet une coloration sensible des protéines mais
présente surtout le grand avantage d’être très rapide tout en minimisant les inconvénients
d’une coloration à l’argent classique comme notamment le besoin d’être à l’obscurité afin un
bruit de fond important. De plus, cette coloration présente le grand avantage d’être compatible
avec une identification protéique par spectrométrie de masse. L’ensemble des gels a été coloré
en suivant les instructions du fournisseur (Sigma).




                                              130
Anticorps utilisé
           Utilisation                  Protéines "appât"                Protéines "sondes"
                                                                                                         pour la révélation
                                          20 µg protéines
     Far Western anti-S. citri                                      40 µg protéines totales S. citri    Polyclonal anti-S. citri
                                      glandes salivaires insecte
                                                                           20 µg protéines
     Far Western anti-actine          20 µg protéines S. citri                                          Polyclonal anti-actine
                                                                       glandes salivaires insecte
     Confirmation interaction            Protéines éluées
                                                                    500 µg protéines totales insecte    Polyclonal anti-actine
        partenaire actine            chromatographie d'affinité

      Far Western anti-PGK               2 µg His6-PGK              500 µg protéines totales insecte
                                                                                                        Polyclonal anti-actine
       et anti-PGKFL1 à 5             2 µg His6-PGKFL1 à 5          500 µg protéines cellules Ciha-1


Confirmation interaction His6-PGK
                                                                           40 µg His6-PGK
      et His6-PGK FL1 à 5         20 µg protéines cellules Ciha-1                                      Monoclonal anti-histidine
                                                                         et His6-PGKFL1 à 5
       avec actine insecte



             Tableau M.24: Quantités de protéines utilisées au cours des différents far
                           Western réalisés au cours de cette thèse.
Matériels et méthodes


       7. Transfert des protéines et détection immunologique

            7.1. Electrotransfert des protéines sur membrane de nitrocellulose

       Après électrophorèse, les protéines sont transférées électriquement sur membrane de
nitrocellulose selon la méthode décrite par Towbin et coll. en 1979 (Towbin et al., 1979).
L’appareil utilisé est le "semi-dry transfer apparatus" de chez BIO-RAD. Trois feuilles de
papier Whatman® 3MM imbibées de tampon de transfert (tableau M.22) sont déposées sur le
fond de la cuve qui constitue l’anode. La membrane de nitrocellulose également imbibée de
tampon de transfert est déposée sur les papiers Whatman®. Le gel de polyacrylamide,
préalablement immergé 15 min dans du tampon de transfert, est déposé sur la membrane. Il
est ensuite recouvert de trois nouvelles feuilles de papier Whatman® imbibées de la même
solution. Le couvercle correspondant à la cathode est ensuite déposé sur l’ensemble. Dans ces
conditions, les protéines étant chargées négativement, vont migrer du gel vers l’anode et ainsi
se déposer sur la membrane de nitrocellulose. Le transfert est réalisé sous une tension de 10
volts pendant un temps variable dépendant de la concentration en polyacrylamide du gel, de
sa taille et de la masse moléculaire des protéines d’intérêts à transférer. Par exemple, 25 min
sont suffisant au transfert de l’His6-PGK tandis que 45 min sont nécessaires au transfert d’un
profil total de protéines de S. citri sur un gel SDS-PAGE (T = 12,5 %, C= 0,5 %, 12 x 12 cm,
1,5 mm d’épaisseur).
       Afin de vérifier l’efficacité du transfert des protéines sur la membrane, cette dernière
est colorée par une solution contenant 0,1 % (p/v) de rouge ponceau et 1 % d’acide acétique
(v/v). La coloration est éliminée par plusieurs rinçages à l’eau permutée stérile.


            7.2. Détection immunologique des protéines sur membrane

       Après le transfert, la membrane est saturée 1 h à température ambiante dans du lait
écrémé 6 % (p/v). La membrane est ensuite incubée 1 h avec les anticorps primaires dans une
solution de lait écrémé 1 % (p/v). L’ensemble des anticorps primaires utilisés au cours de ce
travail est regroupé dans le tableau M.23. Après 3 lavages de 15 min dans du PBS-Tween 20
(0,1 % v/v) suivi d’un lavage de 15 min en PBS, la membrane est incubée 1 h avec les
anticorps secondaires couplés à la peroxydase (anticorps de chèvre anti IgG (molécule
entière) de lapin ou anticorps de chèvre anti IgG (fragment Fc) de souris). Les anticorps
secondaires sont dilués dans la même solution 1 % lait écrémé (p/v). Après incubation, la
membrane est lavée dans le tampon PBS-Tween (3 fois pendant 15 min) suivi de nouveau
                                              131
1- Electrophorèse
  des protéines
    d’insectes                                              3- Mise en contact avec les
                    2- Transfert sur                            protéines de S. citri
                       membrane




                                                              4- Incubation avec des anticorps
                                                                         anti-S. citri




                               5- Incubation avec des anticorps
                             secondaires couplés à la peroxydase




                                                                          6- Révélation




              Figure M.25: Principe de la technique de far Western
Matériels et méthodes


d’un lavage de 15 min dans le PBS. L’activité de la peroxydase est révélée en présence d’un
substrat de la peroxydase : le Super Signal® West Pico (Thermo Scientific) selon le protocole
préconisé par le fournisseur. La membrane est incubée en présence d’un mélange composé
d’un volume de solution «Luminol/Enhancer» et d’un volume de solution «Stable Peroxyde»
pendant 5 min, égouttée puis placée dans une poche plastique. La révélation est réaliser par
chemiluminescence sur des films autoradiographiques (Hyperfilm™ ECL ; GE Healthcare).


        8. Etude d’interaction protéine-protéine par la technique de far Western

        A la vue des nombreux far Western différents réalisés au cours de ce travail, les
quantités de protéines nécessaires à chacune de ces analyses sont regroupées dans le tableau
M.24.
        Outre ces spécificités, le protocole reste identique quelque soit les protéines utilisées.
Le schéma M.25 présente les différentes étapes composant cette technique d’étude in vitro.
Les protéines du premier partenaire sont déposées sur un gel SDS-PAGE puis sont transférées
sur membrane de nitrocellulose. Toutes les étapes du protocole se déroulent sous faible
agitation et les étapes d’incubation nécessitent la mise sous poche plastique de la membrane
afin de réduire les volumes à utiliser (contrairement aux étapes de lavages qui se déroulent en
bac pour permettre des lavages plus efficaces). La membrane est ensuite saturée dans du lait
écrémé 6 % (p/v dans du PBS) pendant 24 h à 4°C. La membrane est lavée succinctement
dans du PBS pour éliminer l’excédent de la solution de saturation avant que les protéines du
second partenaire ne soient mises à incuber en solution dans du PBS toute la nuit à 4°C. La
membrane est ensuite lavée dans du PBS-Tween (3 x 15 min) puis 15 min dans du PBS. Le
reste de la révélation est strictement identique au protocole utilisé pour le Western-blot.


        9. Identification des protéines par spectrométrie en masse

        Les bandes ou spots de gels, colorés au bleu colloïdal ou au nitrate d’argent
compatible, contenant les proteines d’intérêt sont soumis à une analyse par spectrométrie de
masse en LC-MS/MS réalisée au Pôle Protéomique de la plateforme de Génomique
Fonctionelle de l’Université de Bordeaux 2.
        L’interrogation est réalisée soit contre la base de données généraliste nr de SwissProt,
soit directement contre la banque de protéines de S. citri.



                                               132
Matériels et méthodes


       10. Etude des complexes protéines chez S. citri

            10.1.     Technique de Blue-Native PAGE

                     10.1.1. Préparation des protéines

       La préparation des protéines de S. citri pour l’analyse en BN-PAGE a nécessité
plusieurs ajustements de protocole aussi bien pour les protéines cytoplasmiques que
membranaires, notamment en ce qui concerne la concentration des détergents utilisés pour
l’extraction. Dans ce manuscrit, il est uniquement reporté le protocole ayant permis le
meilleur fractionnement protéique adapté de Pyndiah et coll (Pyndiah et al., 2007).
       Un litre d’une culture de S. citri en fin de phase exponentielle de croissance est
centrifugé 12 000 x g pendant 30 min à 4°C. Le culot est remis en suspension dans un volume
suffisant d’Hepes-Sucrose puis centrifugé à nouveau pendant 30 min à 4°C. Ce cycle de
lavage est recommencé 2 nouvelles fois. Le dernier culot est alors remis en suspension dans
5 ml de tampon de resuspension BN (500 ou 750 mM acide aminocaproïque, 50 mM TrisHCl,
pH 7) conservé à 4°C. La suspension est alors passé trois fois à la French Press à une pression
de 2 kbars. Le lysat, alors supplémenté avec 2 mg/ml de DnaseI et 25 mM de MgSO4, est
incubé 1 h à 25°C puis centrifugé à 10 000 g pendant 15 min à 4°C. Le surnageant est
récupéré puis soumis à une nouvelle ultra-centrifugation à 100 000 g pendant 30 min à 4°C.
       Le surnageant, correspondant aux protéines cytoplasmiques, est dessalé contre du
tampon de resuspension BN en utilisant une 5-ml HiTrap™ desalting column. Les protéines
ainsi purifiées sont aliquotées puis conservées à - 20°C.
       Le culot contenant les protéines membranaires est quant à lui repris dans 5 ml du
même tampon de resuspension BN puis subit un nouveau cycle à la French Press à 2 kbars
suivi d’une ultracentrifugation à 100 000 g dans les mêmes conditions que précédemment. Le
culot final est repris dans 600 µl de tampon de resuspension BN supplémenté de 1 à 2 % de β-
D-dodecyl-n-maltoside, aliquoté puis conservé à - 20°C.


                     10.1.2. Electrophorèse des protéines

                              10.1.2.1.      1ère dimension

       Les électrophorèses des fractions cytoplasmiques et membranaires ont été réalisées sur
des gels de dimensions identiques à ceux ayant précédemment servis pour l’électrophorèse
monodimensionnelle SDS-PAGE.

                                              133
Tampon electrophorèse BN                    Anode          Cathode
Tris                                           50 mM           50 mM
Glycine                                        75 mM           75 mM
Serva blue G (p/v)                                             0,002%

  Tableau M.26: Composition du tampon utilisé pour l’électrophorèse des
      complexes protéiques au cours des expériences de BN-PAGE.
Matériels et méthodes


       Les migrations ont été réalisées sur des gels en gradient 5-15% pour la séparation des
complexes en conditions non dénaturantes (tableau M.16). 1 µl de tampon de charge (500
mM acide aminocaproique, 5 % Serva Blue-G) est ajouté à chaque échantillon avant le dépôt
sur gel. Les compositions des tampons anode et cathode sont détaillées dans le tableau M.26.
La migration est visualisée grâce au marqueur de masse moléculaire adapté aux conditions
dénaturantes (GE Healthcare).
       Les électrophorèses ont été menées à watt constant (1 W) jusqu’à ce que le bleu soit à
1 cm du bord du gel.


                               10.1.2.2.   2ème dimension

       Chaque bande individuelle ayant subi l’électrophorèse en conditions non dénaturantes
est découpée puis incubée successivement dans les deux tampons d’équilibrations (tableau
M.17, § IV.5.2) afin d’être équilibrée. La bande est ensuite placée entre les deux plaques de
verre à environ 2 cm du haut du gel. Le gel SDS-PAGE est ensuite coulé jusqu’à environ 0,5
cm de la bande (tableau M.16). Une fois ce gel de séparation polymérisé, le gel de
concentration est polymérisé afin de permettre la migration des complexes protéiques.
       Les conditions d’électrophorèse sont alors les mêmes que celles précédemment
énoncées lors d’une électrophorèse SDS-PAGE classique (§ IV.5.1.1).


           10.2.        Pontage des complexes protéiques associant la PGK chez S.
               citri

                       10.2.1. Préparation des protéines

       Les protéines totales et membranaires sont préparées comme précédemment décrits (§
IV.1.1.1 pour les protéines totales et § IV.5.1.1 pour les protéines membranaires) puis sont
remises en suspension dans un tampon phosphate 0,05 M pH 7,4. Les protéines sont dosées et
les concentrations sont ajustées à 1 mg/ml. La His6-PGK recombinante est alors incubée en
présence des protéines selon un ratio 1:10 et l’agent pontant utilisé (DSS ou DSP) est à son
tour ajouté à une concentration de 0,25 mM pendant 30 min à 4°C. La réaction est stoppée par
l’ajout de 1,5 M TrisHCl pH 7,4.
       Lors du contrôle négatif, pour lequel l’agent pontant n’est pas ajouté au mélange
réactionnel, le même volume de tampon dans lequel a été dissous l’agent pontant utilisé au



                                            134
Matériels et méthodes


cours de l’expérience parallèle, est ajouté au début de la période d’incubation. Le même
volume de Tris HCl est également ajouté à la fin du temps d’incubation.


                     10.2.2. Purification sur colonne de Nickel

       Le mélange réactionnel est ensuite incubé sur une colonne de nickel, colonne
identique à celle ayant servi lors de la purification de la PGK de S. citri recombinante ou des
différents peptides de cette dernière. La colonne est équilibrée avec 10 ml de tampon 50 mM
Tris HCl pH 7,4. Le mélange réactionnel est incubé puis la colonne est lavée avec 10 volumes
de ce même tampon additionné de Triton X-100 suivis de 10 volumes de ce même tampon
pour lequel le Triton X-100 est absent. Les protéines retenues spécifiquement sur la colonne
sont alors éluées par trois volumes de tampon phosphate additionné de 0,25 M Imidazole puis
trois volumes du même tampon additionné cette fois ci de 0,5 M Imidazole.


V. Etude de la transmission expérimentale de S. citri
        1. Transmission à la pervenche de Madagascar Catharanthus roseus

            1.1. Insectes

       L'élevage et la capture des cicadelles Circulifer haematoceps sont détaillés aux
paragraphes I.3.1 et I.3.2.


            1.2. Les pervenches de Madagascar

       Les pervenches saines produites, à partir de semis, sont cultivées à 25°C ± 2°C sous
une photopériode de 16 heures obtenue grâce à des éclairages par des lampes à vapeur de
sodium. Pour les expériences de transmission expérimentale, les pervenches sur lesquelles les
insectes sont déposés sont âgées de environ 4 semaines (stade 4-6 feuilles).


            1.3. Micro-injection intra-abdominale des cicadelles

       La micro-injection est réalisée au laboratoire selon le protocole décrit par Markham et
al. (Markham & Townsend, 1979) et modifiée par Foissac et al. (Foissac et al., 1996). Les
cicadelles capturées dans les cages d'élevage sont anesthésiées quelques secondes par du gaz
carbonique, et déposées sur une surface froide (un bloc réfrigérant entouré de Parafilm) afin
                                             135
Matériels et méthodes


de les maintenir endormies. Les cicadelles sont triées à l'aide de pinces souples et de pinceaux
fins. Seules les femelles, plus grosses et plus résistantes sont sélectionnées pour être injectées.
Des aiguilles de verre très fines, confectionnées à partir de pipette Pasteur, sont remplies avec
une culture de spiroplasmes. La micro-injection est réalisée sous une loupe binoculaire. Les
insectes sont piqués latéralement entre les deux dernières sternites abdominales de manière à
n'endommager ni la chaîne nerveuse ventrale, ni les tubes de Malpighi, situés plus
antérieurement. L'aiguille est reliée à une pompe soufflante par l'intermédiaire d'un tube
connecteur percé. La culture est injectée en obturant du doigt l'orifice latéral du tube
connecteur. Le volume injecté (environ 0,1 µl d’une culture à 108 à 109 UFC/ml) doit être
suffisant pour qu'un gonflement de l'abdomen de l'insecte soit observé. Après injection, les
cicadelles sont déposées sur du papier absorbant dans une boîte de Pétri.


            1.4. Transmission à la pervenche de Madagascar

       Après avoir été injectées, les cicadelles sont placées sur des giroflées (Matthiola
incana) recouvertes de bonnettes à raison de 10 insectes par plante pour une période de
latence de 10 jours. Les cicadelles sont ensuite prélevées à l’aide d’un aspirateur à bouche et
encagées à nouveau sur de jeunes plants de pervenches de Madagascar dans une pièce
climatisée (30°C ± 2°C), réservée à cet usage, pour une période d'une durée de 15 jours.
Toutes les plantes sont recouvertes d'une bonnette individuelle protégeant ainsi l'essai de toute
intrusion d'autres insectes. La mortalité des insectes est déterminée tous les 3 jours. A la fin de
la période de transmission, les insectes sont éliminés et les plantes traitées avec un insecticide
de contact. Les plantes sont alors transférées dans une autre pièce climatisée (30°C ± 2°C),
réservée aux plantes infectées et dépourvue de tout insecte, et y sont ainsi maintenues jusqu’à
la fin de l’expérience (environ 12 semaines après injection).


            1.5. Symptomatologie

       Le développement des symptômes sur pervenches issues des transmissions est observé
toutes les semaines. Une pervenche infectée par GII3 présente une jaunisse généralisée 5
voire 6 semaines après la fin de la période de transmission et arrête de grandir. Il s’ensuit un
flétrissement létal environ 4 semaines après l’apparition de ces symptômes.




                                               136
4 jours
         107-108 S. citri /ml
                                                                106-108 S.citri /ml




     Injection de la                                    Injection des
R   culture de S.citri                             protéines recombinantes
E
S
U                                                              24h                           Milieu SP4
L
T
S




                                                                                      Gaze      Membrane
                                                                                                Parafilm®
                                              1 semaine


          Nombre de tubes dans
      lesquels S.citri s’est multiplié                         Transmission
                                                          (3 insectes par tube)




     Figure M.27: Méthode d’étude de la transmission de S. citri par son insecte
         vecteur par « recrachage » à travers une membrane de Parafilm®.
Matériels et méthodes


        2. « Recrachage » à travers une membrane de Parafilm®

       L’ensemble des étapes concernant cette méthode d’étude de la transmission de S. citri
par son insecte vecteur est schématisé sur la figure M.27.

            2.1. Injection de la culture de S. citri GII3 dans l’insecte
       Une culture de S. citri est injecté aux insectes comme décrit précédemment (§ V.1.3).
Les insectes sont placés en latence sur giroflées pendant 4 jours afin que les spiroplasmes se
multiplient dans l’insecte.
            2.2. Injection des protéines recombinantes dans l’insecte

       A la suite de la période de latence respectée après l’injection de la culture de
spiroplasmes, les insectes sont prélevés à l’aide d’un aspirateur à bouche. Ils sont ensuite ré-
injectés une seconde fois, en suivant le même protocole que pour S. citri, mais cette fois-ci
avec une solution contenant soit l’His6-PGK ou bien les peptides His6-PGKFL4 et His6-
PGKFL5 à une concentration de 1 µg/µl.


            2.3. Transmission à travers une membrane de Parafilm®

       Trois insectes ayant subi cette deuxième injection sont alors placés dans un tube
Eppendorf® percé de multiples trous afin de laisser l’air entrer. Ce système expérimental est
décrit dans la figure M.27. Les insectes sont laissés dans une atmosphère humide, afin
d’éviter toute dessiccation, pendant 16 à 24 h dans des tubes dont le capuchon stérile est
rempli de milieu SP4 leur permettant de se nourrir et ainsi de recracher les spiroplasmes dans
leur milieu de culture. A la fin de cette période de recrachage, le milieu SP4 est prélevé à
l’aide d’une seringue et transférés dans des tubes Laloux® en verre stériles dont le volume
final de culture est ajusté à 1 ml avec du milieu de culture SP4 frais. Les tubes sont placés à
32°C et le changement de couleur du milieu de culture est observé environ 1 semaine après la
mise en culture.


            2.4. Mise en culture des spiroplasmes à partir des insectes

       Les insectes sont broyés par groupe de 3 dans un potter avec 1 ml de milieu SP4m.
Après 15 min d’incubation à température ambiante, le mélange est filtré sur 0,45 µm. Une



                                              137
Matériels et méthodes


série de dilutions au 1/10ème est réalisée à partir du filtrat. Après incubation à 32°C, le
changement de couleur est noté et le nombre de spiroplasmes est déterminé.


       3. Effet de la PGK et des peptides sur l’adhésion et/ou l’internalisation

            3.1. Adhésion

       Les cellules Ciha-1, cultivées dans des plaques 24 puits (environ 105 cellules par puit),
sont incubées pendant 2 h à 32°C dans 900 µl de milieu cicadelle additionné de différentes
concentrations de PGK de Saccharomyces cerevisiae (Sigma), de His6-PGK ou de His6-
PGKFL4 et FL5. Les cellules n’ayant subi aucun traitement servent de contrôles positifs tandis
que les cellules non infectées par S. citri servent de contrôles négatifs. Des concentrations
équivalentes de BSA ou de His6-eIF4E servent également de contrôles. Chaque condition est
réalisée en triplicat au cours de chacune des expériences indépendantes menées.
       Après cette incubation, les cellules sont infectées avec 100 µl d’une culture de S. citri
avec une multiplicité d’infection (MOI) d’environ 15-30 pendant 4 h à 4°C. Cette température
permet aux spiroplasmes d’adhérer aux cellules de l’hôte mais inhibe les processus eucaryotes
mis en place au cours de l’internalisation. Les cellules sont ensuite lavées dans 500 µl de
milieu de Schneider (Lonza) afin d’éliminer les spiroplasmes libres. Les cellules sont
trypsinées 10 min à 32°C avec un tampon TrypLE™ (Invitrogen) puis des dilutions des
cellules, sur lesquelles des spiroplasmes ont adhérés, sont réalisées. Le traitement avec cette
solution de trypsine n’a aucun effet sur les spiroplasmes (Duret et al., 2009). Ces différentes
dilutions sont étalées sur des boites contenant le milieu de culture des spiroplasmes. Après un
temps d’incubation d’environ une semaine à 32°C, le nombre de colonies est dénombré afin de
déterminer le nombre de cellules sur lesquelles au moins un spiroplasme a adhéré. Un
pourcentage relatif d’adhésion des spiroplasmes sur les cellules Ciha-1 est calculé comme suit:
[(Nombre de colonies dénombrées avec incubation protéine exogène / nombre de colonies
dénombrées sans traitement) x 100%]. Un test de Student a été réalisé afin de déterminer
l’indice de confiance des résultats obtenus.


            3.2. Internalisation

       L’effet du traitement par les différents peptides de la PGK sur l’internalisation des
spiroplasmes dans les cellules Ciha-1 a été déterminé par un test de protection à la
gentamycine (Isberg & Falkow, 1985). La méthodologie utilisée est identique à celle mise au

                                               138
Matériels et méthodes


point pour le test d’adhésion des spiroplasmes sur ces mêmes cellules en culture. Les cellules
sont infectées avec 100 µl d’une culture de S. citri avec une multiplicité d’infection de 15-30
pendant 18 h à 32°C. Les cellules sont lavées trois fois avec 500 µl de milieu de Schneider
(Lonza). Dans le but d’éliminer les spiroplasmes qui ont adhéré aux cellules mais qui n’ont
pas été internalisés, les cellules sont incubées avec 1 ml de milieu de cicadelle frais additionné
de 400 µg/ml de gentamycine pendant 3 h à 32°C. La gentamycine est éliminée par trois
lavages avec 500 µl de milieu de Schneider suivi de trois nouveaux lavages avec 500 µl de
PBS. 100 µl du dernier lavage PBS sont étalés sur boite contenant du milieu SP4 afin de
s’assurer que le traitement à la gentamycine à éliminer la totalité des spiroplasmes adhérents.
Les cellules sont alors trypsinées, étalées sur boites contenant ce même milieu SP4 et incubées
pendant une semaine à 32°C. Le nombre de colonies sur chaque boite est dénombré afin de
déterminer le nombre de cellules dans lesquelles au moins un spiroplasme a été internalisé.
Un pourcentage relatif d’internalisation, ainsi qu’un test statistique correspondant, ont été
calculés de manière identique à ceux réalisés pour le test d’adhésion.




       4. Observations au microscope confocal

            4.1. Glandes salivaires de C. haematoceps infectées

       Les glandes salivaires des insectes C. haematoceps infectés et non infectés par S. citri
sont incubées dans 500 µl de PBS contenant 0.2% Triton X-100 à température ambiante. Les
étapes suivantes se sont toutes effectuées dans ce même volume d’incubation. Les glandes
salivaires sont lavées deux fois dans du PBS et sont fixées toute la nuit à 4°C dans une
solution de 4% paraformaldéhyde diluée dans du PBS additionné de 0,2% Triton X-100 . Les
glandes salivaires sont rincées trois fois dans du PBS avec 0.2% Triton X-100 puis sont
perméabilisées toute la nuit à 4°C dans du PBS contenant 1% Triton X-100 (PBS-T). Elles
sont ensuite bloquées 1 h à température ambiante dans du PBS-T additionné de 1% BSA
(tampon de blocage).
Les glandes salivaires sont ensuite incubées 2 h à température ambiante avec une solution
d’anticorps polyclonaux de S. citri dilués au 1: 500ème dans du PBS additionné de 1% BSA.
Après trois lavages dans du PBS, les glandes salivaires sont ensuite traitées 1 h à température
ambiante avec un anticorps anti-lapin couplé à un fluorochrome (Alexa 488) dilué au 1:200ème
dans du tampon de blocage. En parallèle, l’actine est marquée par la phalloïdine couplée à un
fluorochrome (Alexa 568) dilué au 1:40ème. Les glandes salivaires sont une nouvelle fois
                                              139
Matériels et méthodes


lavées trois fois dans du PBS puis incubées dans un milieu ProLong Gold (Invitrogen). La
spécificité du marquage est évaluée sur des images sur lesquelles l’anticorps polyclonal dirigé
contre le spiroplasme a été omis. Les observations sont réalisées sur un microscope confocal
Leica (TCS SP2) avec une immersion de 40x dans l’eau et de 63x dans l’huile avec un objectif
de 1024 x 1024 pixels de résolution. Les images sont transcrites en vert (Alexa 488) et en
rouge (Alexa 568).


           4.2. Cellules de C. haematoceps incubées avec la His6-PGK

       Afin de visualiser si l’incubation de la His6-PGK sur les cellules Ciha-1 avait un effet
sur le cytosquelette d’actine, des cellules sont cultivées dans des plaques 24 puits comme vu
précédemment pour le test d’adhésion cellulaire de S. citri. Après trois lavages dans 500 µl de
milieu de Schneider, les cellules sont fixées pendant 15 min dans 500 µl dans une solution de
4% paraformaldéhyde diluée dans du PBS additionné de 0,2% Triton X-100 puis
perméabilisées pendant 15 min dans 500 µl d’une solution de 0.1% Triton X-100 in PBS
additionné de 1% BSA. Les cellules sont lavées trois fois dans 500 µl de PBS puis elles sont
incubées dans une solution de PBS contenant les anticorps monoclonaux anti-hisditine dilués
au 1:1000ème suivi par une incubation avec les anticorps secondaire anti-souris couplés à un
fluorochrome (Alexa 514). En parallèle, l’actine est marquée par la phalloïdine couplée à un
fluorochrome (Alexa 568) dilué au 1:40ème et les noyaux sont marqués suite à l’ajout de 0,2
mg/ml de DAPI. Les observations sont réalisées dans des conditions similaires à celles
décrites pour les marquages des glandes salivaires. Les images sont transcrites en bleu
(DAPI), en vert (Alexa 514) et en rouge (Alexa 568).




                                             140
Annexe 1
Nombre de
                                                                     Nombres                  Masse
Bande                       Identification protéine                              peptides
                                                                     de scans              moléculaire
                                                                                différents
          pSci5_14_adhesion_related_protein,_transmembrane             16           13       88760,7
          pSci2_04_adhesion_related_protein,_transmembrane             14           12      91391,07
          SPICI20_065_hypothetical_lipoprotein_transmembrane           13           12      84385,27
          pSci3_07_adhesion_related_protein,_transmembrane             12           10      87213,79
          SPICI03_235_hypothetical_prolipoprotein
                                                                       12          11       73645,74
          diacylglyceryl_transferase
          SPICI03_025_preprotein_translocase_seca_subunit              10          10       90265,48
          pSci5_11_adhesion_related_protein,_transmembrane              9           8       91125,27
   1      pSci1_05_adhesion_related_protein,_transmembrane             9=          7=       91747,91
          pSci4_07_adhesion_related_protein,_transmembrane             9=          7=        92358,8
 (75 et
          SPICI12_021_hypothetical_oligopeptide_abc_transporter
80 kDa)                                                                 8           8       83385,73
          substrate-binding_component_lipoprotein_transmembrane
          SPICI09_031_putative_abc_transporter_permease
                                                                        7           6       71279,55
          and_atp-binding_component_transmembrane_protein
          SPICI01B_013_probable_cell_division_protein_ftsh              7           6       74934,32
          SPICI19_067_putative_atpase_with_chaperone_activity,
                                                                        4           3       80133,05
          clp_protease_subunit_protein
          SPICI18_008_pts_system_fructose-specific_Iiabc
                                                                        4           2       72600,02
          component_transmembrane_protein
          SPICI17_005_putative_transketolase_protein                    4           3       73789,59
          SPICI12_006_fibril_protein                                   51          21       58651,63
          SPICI10_020_groel_chaperonin_protein                         41          17       58100,15
          SPICI02_009_atp_synthase_alpha_chain_protein                 12           6       57316,46
          SPICI19_064_chaperone_dnak_protein                           11           9       64799,91
          SPICI03_235_hypothetical_prolipoprotein
                                                                       11           9       73645,74
          diacylglyceryl_transferase
          SPICI03_195_probable_2,3-bisphosphoglycerate-independent
   2                                                                   11           7       58000,02
          phosphoglycerate_mutase_protein
 (60 et
          SPICI06_095_hypothetical_protein                              8           7       59453,99
75 kDa)
          SPICI01B_013_probable_cell_division_protein_ftsh              5           4       74934,32
          SPICI20_066_hypothetical_lipoprotein_transmembrane           4=          4=       63859,34
          SPICI18_008_pts_system_fructose-specific_Iiabc
                                                                        4           2       72600,02
          component_transmembrane_protein
          SPICI17_005_putative_transketolase_protein                    4           4       73789,59
          SPICI16_043_pts_enzyme_II_glucose-specific_Iicb
                                                                        4           3       75483,36
          component_transmembrane_protein
          SPICI16_005_enolase_protein                                  28          11        50253,8
          SPICI10_020_groel_chaperonin_protein                         24          10       58100,15
          SPICI19_064_chaperone_dnak_protein                           11          10       64799,91
          SPICI03_280_nadp-dependent_glyceraldehyde-3-phosphate
                                                                       10           9       51673,97
          dehydrogenase_oxidoreductase_protein
   3      SPICI20_066_hypothetical_lipoprotein_transmembrane            8           7       63859,34
 (50 et   SPICI12_006_fibril_protein                                    8           7       58651,63
60 kDa)   SPICI01A_065_inosine-5'-monophosphate_dehydrogenase
                                                                        8           8       52179,75
          transmembrane_protein
          SPICI02_011_atp_synthase_beta_chain_protein                   5           5       50589,71
          SPICI01B_005_seryl-trna_synthetase_protein                    5           5       49016,57
          SPICI03_304_putative_trigger_factor_containing
                                                                        4           4       49326,21
          peptidyl-prolyl_isomerase_domain_protein
          SPICI01B_078_translation_elongation_factor_ef-tu_protein     136         20       43642,32
          SPICI03_024_phosphoglycerate_kinase_protein                  11          7        44360,34
          SPICI03_293_pyrimidine-nucleoside_phosphorylase_protein      10          9        47753,98
SPICI04_123_probable_cell_division_ftsz
   4                                                             8    8    44315,66
        transmembrane_protein
(45 kDa
        SPICI19_066_putative_transcription_repressor
  env)                                                           8    6    40051,67
        transcription_regulator_protein (HrcA)
        SPICI11_025_conserved_hypothetical_protein              6      4   44656,45
        SPICI10_054_hypothetical_lipoprotein_transmembrane      5     4    48245,63
        SPICI16_005_enolase_protein                              4     4    50253,8
        pSci5_18_putative_transmembrane_protein                 34    14   46113,84
        pSci3_14_putative_transmembrane_protein                 32    14   46305,96
        SPICI16_011_hypothetical_lipoprotein_transmembrane      32     9   41852,52
        SPICI03_175_putative_pyruvate_dehydrogenase_e1
                                                                18    7    41677,84
        component_alpha_subunit_protein
        SPICI01B_078_translation_elongation
   5                                                            16    7    43642,32
        factor_ef-tu_protein
 (40 et
        SPICI04_123_probable_cell_division_ftsz
45 kDa)                                                         12    10   44315,66
        transmembrane_protein
        SPICI03_076_putative_arginine_deiminase_protein          6    6    45440,68
        SPICI03_063_gtp-dependent_nucleic
                                                                 4    4    40978,23
        acid-binding_protein
        SPICI01B_002_putative_dna_polymerase_III,
                                                                 4    3    42138,87
        beta_chain_protein
        SPICI01A_048_cell_shape_determining_protein_mreb        64    13   37976,37
        SPICI01A_049_cell_shape_determining_protein_mreb        43    12   38625,32
        SPICI13_009_cell_shape-determining_protein_mreb1        40    11    38067,4
        SPICI03_043_probable_glyceraldehyde_3-phosphate
                                                                20    9     36173
        dehydrogenase_protein
   6
        SPICI03_091_probable_abc_transporter_atp_binding
(35 kDa                                                         14=   7=   34577,77
        component_abc_transporter_protein
  env)
        SPICI03_176_probable_pyruvate_dehydrogenase_e1
                                                                12=   7=   36740,09
        component_beta_subunit_protein
        SPICI01A_046_cell_shape_determining_protein_mreb         7    5    38100,62
        SPICI01B_015_probable_abc_transporter
                                                                 5    4    34990,68
        atp_binding_protein
        SPICI04_139_spiralin_lipoprotein                        57    14   25234,46
        SPICI08_046_hypothetical_abc_transporter_atp-binding
                                                                59    10   34811,19
        component_abc_transporter_protein
        pSci6_27_P32_protein                                    14    7    27567,95
   7    SPICI06_063_hypothetical_protein                        11    4    27609,18
(25 kDa SPICI03_168_putative_phosphate_abc_transporter
                                                                10    6    30309,97
  env) atp_binding_component_protein
        SPICI03_105_50s_ribosomal_protein_l2                     5    3    30778,64
        pSci4_11_SOJ-like_protein                                4    3     29495,7
        SPICI03_090_probable_abc_transporter_atp-binding
                                                                 4    3    32620,41
        component_abc_transporter_protein
        pSci6_01_SOJ-like_protein                               28     7   29240,38
        SPICI03_060_soj-like_partition_protein_para             13     6   28081,76
        pSci6_39_SOJ-like_protein                               11     3   29672,78
        SPICI20_028_conserved_hypothetical_protein               8     5   27328,42
   8    SPICI19_065_hypothetical_dnak_cofactor_protein (grpE)    7     4   23503,24
 (20 et pSci5_01_SOJ-like_protein                                6     3   29921,41
25 kDa) pSci3_05_SOJ-like_transmembrane_protein                 6=    5=   29050,27
        SPICI03_055_putative_transcription_antitermination
                                                                 6    3    24554,66
        nusg_transmembrane_protein
        SPICI20_031_putative_potassium_uptake_protein            5    3    26007,91
        pSci2_02_SOJ-like_transmembrane_protein                  4    3    29638,64
        SPICI03_029_triosephosphate_isomerase_protein           12    5    27084,1
SPICI19_065_hypothetical_dnak_cofactor_protein (grpE)    10   6    23503,24
          pSci6_20_hypothetical_protein                             9   5    16883,83
          SPICI09_079_hypothetical_prophage_major_tail_protein      9   4    19218,62
   9      SPICI06_092_hypothetical_protein                          9   5    22612,95
(20 kDa   SPICI03_189_hypothetical_transmembrane_protein            9   8    27094,91
  env)    SPICI03_067_hypothetical_rna
                                                                   5    2    21007,63
          dna-directed_polymerase_protein
          SPICI03_055_putative_transcription_antitermination
                                                                   5    4    24554,66
          nusg_transmembrane_protein
          SPICI20_031_putative_potassium_uptake_protein             4   3    26007,91
          SPICI17_007_hypothetical_protein                         15   4    22654,25
          SPICI20_046_50s_ribosomal_protein_l1                     13   6    24709,48
          pSci6_20_hypothetical_protein                            11   5    16883,83
   10     SPICI17_003_probable_purine_nucleoside
                                                                   7    4    26271,39
(20 kDa   phosphorylase_transmembrane_protein
  env)    SPICI04_138_hypothetical_23.8_kda_in_tsf_3'region
                                                                   6    4    23813,04
          transmembrane_protein
          SPICI07_016_hypothetical_protein                          4   4    20873,26
          SPICI03_119_30s_ribosomal_protein_s5                      4   3    21977,05
          SPICI16_022_probable_30s_ribosomal_protein_s4            13   5    23579,45
   11
          SPICI03_119_30s_ribosomal_protein_s5                      8   5    21977,05
 (15 et
          SPICI03_103_50s_ribosomal_protein_l4                      7   4    22947,41
20 kDa)
          SPICI20_046_50s_ribosomal_protein_l1                      6   2    24709,48
   12     SPICI04_139_spiralin_lipoprotein                         14   2    25234,46
 (15 et
20 kDa) pSci4_06_putative_transmembrane_lipoprotein                4    3    27758,46
   13
 (15 et SPICI04_139_spiralin_lipoprotein                           13   2    25234,46
20 kDa)
        SPICI06_025_hypothetical_lipoprotein_transmembrane         15   4    17674,88
        SPICI01B_076_30s_ribosomal_protein_s7                      15   6    17756,57
        SPICINP12_015_hypothetical_lipoprotein_transmembrane       12   6    19589,11
   14
        SPICI13_023_hypothetical_lipoprotein_transmembrane         9    3    20532,19
(10 kDa
        SPICI07_025_hypothetical_lipoprotein_transmembrane         9    5    20315,25
  env)
        SPICI20_002_hypothetical_lipoprotein_transmembrane         8    6    18434,41
        SPICI12_036_hypothetical_lipoprotein_transmembrane         8    3    20241,23
        SPICI09_055_hypothetical_lipoprotein_transmembrane         8    4    17855,11
   15
 (60 et SPICI04_139_spiralin_lipoprotein                           14   2    25234,46
70 kDa)
   16
(60 kDa SPICI10_020_groel_chaperonin_protein                       49   21   58100,15
  env)
   17   SPICI12_006_fibril_protein                                 11   7    58651,63
(55 kDa
  env) SPICI14_005_hypothetical_transmembrane_protein              6    6    62773,45
        SPICI03_024_phosphoglycerate_kinase_protein                36   15   44360,34
   18
        SPICI01B_078_translation_elongation_factor_ef-tu_protein    8    6   43642,32
(45 kDa
        SPICI03_086_glucose-6-phosphate_isomerase
  env)                                                             5    5    47471,54
        transmembrane_protein
   19
(40 kDa SPICI04_139_spiralin_lipoprotein                           22   2    25234,46
  env)
        SPICI16_011_hypothetical_lipoprotein_transmembrane         14    7   41852,52
   20   pSci3_14_putative_transmembrane_protein                    5=   2=   46305,96
(40 kDa pSci5_18_putative_transmembrane_protein                    5=   2=   46113,84
env)   SPICI19_063_putative_chaperone_dnaj_protein                 5    4     42805,7
         SPICI01B_078_translation_elongation_factor_ef-tu_protein    5    4    43642,32
         SPICI01A_049_cell_shape_determining_protein_mreb           20    6    38625,32
   21    SPICI01A_048_cell_shape_determining_protein_mreb           15    8    37976,37
 (35 et SPICI13_009_cell_shape-determining_protein_mreb1             9    6     38067,4
40 kDa ) SPICI03_043_probable_glyceraldehyde_3-phosphate
                                                                     8    5     36173
         dehydrogenase_protein
         SPICI03_102_50s_ribosomal_protein_l3                        7     4   27980,07
   22
         Chr_653333_654279_2                                        4=    4=   34814,77
(35 kDa
         SPICI04_087_probable_methionyl-trna
  env)                                                              4=    4=   35780,2
         formyltransferase_protein
   23
(25 kDa SPICI04_139_spiralin_lipoprotein                            134   24   25234,46
  env)
Bibliographie
Bibliographie
                                     Bibliographie


Aderem, A. and Underhill, D. M. (1999). "Mechanisms of phagocytosis in macrophages."
       Annu Rev Immunol 17: 593-623.
Alberts, B. (1998). "The cell as a collection of protein machines." Biofutur(184): 42-44.
Allen, R. M. and Donndelinger, C. R. (1981). "Transmission of Spiroplasma-Citri by 2
       Leafhopper Vectors in Arizona." Phytopathology 71(8): 856-856.
Alloush, H. M., Lopez-Ribot, J. L., Masten, B. J. and Chaffin, W. L. (1997). "3-
       phosphoglycerate kinase: a glycolytic enzyme protein present in the cell wall of
       Candida albicans." Microbiology 143 ( Pt 2): 321-30.
Alvarez-Dominguez, C., Madrazo-Toca, F., Fernandez-Prieto, L., Vandekerckhove, J., Pareja,
       E., Tobes, R., Gomez-Lopez, M. T., Del Cerro-Vadillo, E., Fresno, M., Leyva-Cobian,
       F. and Carrasco-Marin, E. (2008). "Characterization of a Listeria monocytogenes
       protein interfering with Rab5a." Traffic 9(3): 325-37.
Ammar, E. D., Fulton, D., Bai, X., Meulia, T. and Hogenhout, S. A. (2004). "An attachment
       tip and pili-like structures in insect- and plant-pathogenic spiroplasmas of the class
       Mollicutes." Arch Microbiol 181(2): 97-105.
Andre, A., Maccheroni, W., Doignon, F., Garnier, M. and Renaudin, J. (2003). "Glucose and
       trehalose PTS permeases of Spiroplasma citri probably share a single IIA domain,
       enabling the spiroplasma to adapt quickly to carbohydrate changes in its
       environment." Microbiology 149(Pt 9): 2687-96.
Andreev, J., Borovsky, Z., Rosenshine, I. and Rottem, S. (1995). "Invasion of HeLa cells by
       Mycoplasma penetrans and the induction of tyrosine phosphorylation of a 145-kDa
       host cell protein." FEMS Microbiol Lett 132(3): 189-94.
Arlat, M., Gough, C. L., Zischek, C., Barberis, P. A., Trigalet, A. and Boucher, C. A. (1992).
       "Transcriptional organization and expression of the large hrp gene cluster of
       Pseudomonas solanacearum." Mol Plant Microbe Interact 5(2): 187-93.
Armstrong, J. (2000). "How do Rab proteins function in membrane traffic?" Int J Biochem
       Cell Biol 32(3): 303-7.
Backus, E. A. and McLean, D. L. (1985). "Behavioral Evidence That the Precibarial Sensilla
       of Leafhoppers Are Chemosensory and Function in Host Discrimination."
       Entomologia Experimentalis Et Applicata 37(3): 219-228.
Bai, X., Zhang, J., Ewing, A., Miller, S. A., Jancso Radek, A., Shevchenko, D. V.,
       Tsukerman, K., Walunas, T., Lapidus, A., Campbell, J. W. and Hogenhout, S. A.
       (2006). "Living with genome instability: the adaptation of phytoplasmas to diverse
       environments of their insect and plant hosts." J Bacteriol 188(10): 3682-96.
Balasubramanian, S., Kannan, T. R. and Baseman, J. B. (2008). "The surface-exposed
       carboxyl region of Mycoplasma pneumoniae elongation factor Tu interacts with
       fibronectin." Infect Immun 76(7): 3116-23.
Barbara, D. J., Morton, A., Clark, M. F. and Davies, D. L. (2002). "Immunodominant
       membrane proteins from two phytoplasmas in the aster yellows clade (chlorante aster
       yellows and clover phyllody) are highly divergent in the major hydrophilic region."
       Microbiology 148(Pt 1): 157-67.
Baseman, J. B., Lange, M., Criscimagna, N. L., Giron, J. A. and Thomas, C. A. (1995).
       "Interplay between mycoplasmas and host target cells." Microb Pathog 19(2): 105-16.
Bastian, F. O. (1979). "Spiroplasma-like inclusions in Creutzfeld-Jakob Disease." Archives of
       Pathology & Laboratory Medicine 103: 665-669.
Bastian, F. O., Sanders, D. E., Forbes, W. A., Hagius, S. D., Walker, J. V., Henk, W. G.,
       Enright, F. M. and Elzer, P. H. (2007). "Spiroplasma spp. from transmissible
       spongiform encephalopathy brains or ticks induce spongiform encephalopathy in
       ruminants." J Med Microbiol 56(Pt 9): 1235-42.


                                             141
Bibliographie
Beaucamp, N., Schurig, H. and Jaenicke, R. (1997). "The PGK-TIM fusion protein from
       Thermotoga maritima and its constituent parts are intrinsically stable and fold
       independently." Biol Chem 378(7): 679-85.
Bébéar, C., Latrille, J., Fleck, J., Roy, B. and Bové, J. M. (1974). " Spiroplasma citri: un
       mollicute." Colloq. Inst. Natl. Santé Rech. Méd. 33: 35-42.
Bencharki, B., Boissinot, S., Revollon, S., Ziegler-Graff, V., Erdinger, M., Wiss, L., Dinant,
       S., Renard, D., Beuve, M., Lemaitre-Guillier, C. and Brault, V. (2010). "Phloem
       protein partners of Cucurbit aphid borne yellows virus: possible involvement of
       phloem proteins in virus transmission by aphids." Mol Plant Microbe Interact 23(6):
       799-810.
Benz, C., Engstler, M., Hillmer, S. and Clayton, C. (2009). "Depletion of 14-3-3 proteins in
       bloodstream-form Trypanosoma brucei inhibits variant surface glycoprotein
       recycling." Int J Parasitol 40(5): 629-34.
Berg, M., Melcher, U. and Fletcher, J. (2001). "Characterization of Spiroplasma citri adhesion
       related protein SARP1, which contains a domain of a novel family designated sarpin."
       Gene 275(1): 57-64.
Bergmann, S., Rohde, M. and Hammerschmidt, S. (2004). "Glyceraldehyde-3-phosphate
       dehydrogenase of Streptococcus pneumoniae is a surface-displayed plasminogen-
       binding protein." Infect Immun 72(4): 2416-9.
Berho, N., Duret, S., Danet, J. L. and Renaudin, J. (2006). "Plasmid pSci6 from Spiroplasma
       citri GII-3 confers insect transmissibility to the non-transmissible strain S. citri 44."
       Microbiology 152(Pt 9): 2703-16.
Berho, N., Duret, S. and Renaudin, J. (2006). "Absence of plasmids encoding adhesion-
       related proteins in non-insect-transmissible strains of Spiroplasma citri." Microbiology
       152(Pt 3): 873-86.
Bernarde, C., Lehours, P., Lasserre, J. P., Castroviejo, M., Bonneu, M., Megraud, F. and
       Menard, A. (2010). "A complexomic study of two Helicobacter pylori strains of two
       pathological origins: potential targets for vaccine development and new insight in
       bacteria metabolism." Mol Cell Proteomics.
Birnboim, H. C. and Doly, J. (1979). "A rapid alkaline extraction procedure for screening
       recombinant plasmid DNA." Nucleic Acids Res 7(6): 1513-23.
Blanchard, A. (1990). "Ureaplasma urealyticum urease genes; use of a UGA tryptophan
       codon." Mol Microbiol 4(4): 669-76.
Blissard, G. W. (1996). "Baculovirus--insect cell interactions." Cytotechnology 20(1-3): 73-
       93.
Borovsky, Z., Tarshis, M., Zhang, P. and Rottem, S. (1998). "Protein kinase C activation and
       vacuolation in HeLa cells invaded by Mycoplasma penetrans." J Med Microbiol
       47(10): 915-22.
Boston, P. F., Jackson, P. and Thompson, R. J. (1982). "Human 14-3-3 Protein -
       Radioimmunoassay, Tissue Distribution, and Cerebrospinal-Fluid Levels in Patients
       with Neurological Disorders." Journal of Neurochemistry 38(5): 1475-1482.
Boucher, C. A., Van Gijsegem, F., Barberis, P. A., Arlat, M. and Zischek, C. (1987).
       "Pseudomonas solanacearum genes controlling both pathogenicity on tomato and
       hypersensitivity on tobacco are clustered." J Bacteriol 169(12): 5626-32.
Bourdet-Sicard, R., Rudiger, M., Jockusch, B. M., Gounon, P., Sansonetti, P. J. and Nhieu, G.
       T. (1999). "Binding of the Shigella protein IpaA to vinculin induces F-actin
       depolymerization." Embo J 18(21): 5853-62.
Boutareaud, A., Danet, J. L., Garnier, M. and Saillard, C. (2004). "Disruption of a gene
       predicted to encode a solute binding protein of an ABC transporter reduces
       transmission of Spiroplasma citri by the leafhopper Circulifer haematoceps." Appl
       Environ Microbiol 70(7): 3960-7.
Bové, C., Vignault, J. C., Garnier, M., Saillard, C., Garcia-Jurado, O., B., C., and Nhami, A.
       (1978). "Mise en évidence de Spiroplasma citri, l'agent causal de la maladie du
       "stubborn" des agrumes, dans des pervenches (Vinca rosea L.) ornementales de la ville

                                              142
Bibliographie
        de Rabat, Maroc." Comptes Rendus de L'Academie Des Sciences-Paris-Série D 288:
        57-60.
Bové, J. M. (1988). "Spiroplasma citri: fifteen years of research." 10th Proc. Conf. Int. Organ.
        Citrus Virol. SM Garnsey.
Bove, J. M., Renaudin, J., Saillard, C., Foissac, X. and Garnier, M. (2003). "Spiroplasma citri,
        a plant pathogenic mollicute: Relationships with its two hosts, the plant and the
        leafhopper vector." Annual Review of Phytopathology 41: 483-500.
Bove, J. M., Vignault, J. C., Garnier, M., Saillard, C., Garciajurado, O., Bove, C. and Nhami,
        A. (1978). "Evidence of Spiroplasma-Citri, Causative Agent of Stubborn Citrus
        Disease in Ornamental Periwinkle (Vinca-Rosea L) in Rabat, Morocco." Comptes
        Rendus Hebdomadaires Des Seances De L Academie Des Sciences Serie D 286(1):
        57-&.
Brault, V., Perigon, S., Reinbold, C., Erdinger, M., Scheidecker, D., Herrbach, E., Richards,
        K. and Ziegler-Graff, V. (2005). "The polerovirus minor capsid protein determines
        vector specificity and intestinal tropism in the aphid." J Virol 79(15): 9685-93.
Breton, M., Duret, S., Arricau-Bouvery, N., Beven, L. and Renaudin, J. (2008).
        "Characterizing the replication and stability regions of Spiroplasma citri plasmids
        identifies a novel replication protein and expands the genetic toolbox for plant-
        pathogenic spiroplasmas." Microbiology 154(Pt 10): 3232-44.
Breton, M., Duret, S., Danet, J. L., Dubrana, M. P. and Renaudin, J. (2010). "Sequences
        essential for transmission of Spiroplasma citri by its leafhopper vector, Circulifer
        haematoceps, revealed by plasmid curing and replacement based on incompatibility."
        Appl Environ Microbiol 76(10): 3198-205.
Brinton, C. C., Jr. (1965). "The structure, function, synthesis and genetic control of bacterial
        pili and a molecular model for DNA and RNA transport in gram negative bacteria."
        Trans N Y Acad Sci 27(8): 1003-54.
Broderick, M. J. and Winder, S. J. (2005). "Spectrin, alpha-actinin, and dystrophin." Adv
        Protein Chem 70: 203-46.
Brodin, L., Low, P. and Shupliakov, O. (2000). "Sequential steps in clathrin-mediated
        synaptic vesicle endocytosis." Curr Opin Neurobiol 10(3): 312-20.
Brumell, J. H. and Scidmore, M. A. (2007). "Manipulation of rab GTPase function by
        intracellular bacterial pathogens." Microbiol Mol Biol Rev 71(4): 636-52.
Brumell, J. H., Tang, P., Zaharik, M. L. and Finlay, B. B. (2002). "Disruption of the
        Salmonella-containing vacuole leads to increased replication of Salmonella enterica
        serovar typhimurium in the cytosol of epithelial cells." Infect Immun 70(6): 3264-70.
Bruyere, A., Brault, V., Ziegler-Graff, V., Simonis, M. T., Van den Heuvel, J. F., Richards,
        K., Guilley, H., Jonard, G. and Herrbach, E. (1997). "Effects of mutations in the beet
        western yellows virus readthrough protein on its expression and packaging and on
        virus accumulation, symptoms, and aphid transmission." Virology 230(2): 323-34.
Burnham, C. A., Shokoples, S. E. and Tyrrell, G. J. (2005). "Phosphoglycerate kinase inhibits
        epithelial cell invasion by group B streptococci." Microb Pathog 38(5-6): 189-200.
Calavan, E. C. and Bove, J. M. (1989). Ecology of Spiroplasma citri. The Mycoplasma. R. F.
        T. Withcomb, J.G. New-York Academic Press. 5: 425-485.
Calavan, E. C. and Oldfield, G. N. (1979). Symptomatology of spiroplasmal plant disease.
        The Mycoplasma, R. F. Whitcomb & J. G. Tully. New York: Academic Press. 3: 37-
        82.
Camacho-Carvajal, M. M., Wollscheid, B., Aebersold, R., Steimle, V. and Schamel, W. W.
        (2004). "Two-dimensional Blue native/SDS gel electrophoresis of multi-protein
        complexes from whole cellular lysates: a proteomics approach." Mol Cell Proteomics
        3(2): 176-82.
Campbell, B. C., Steffen-Campbell, J. D., Sorensen J.T. and R.J., G. (1995). "Paraphyly of
        Homoptera and Auchenorrhyncha inferred from 18S rDNA nucleotide sequences."
        Systematic Entomology 20: 175-194.



                                              143
Bibliographie
Carbonnelle, E., Helaine, S., Nassif, X. and Pelicic, V. (2006). "A systematic genetic analysis
        in Neisseria meningitidis defines the Pil proteins required for assembly, functionality,
        stabilization and export of type IV pili." Mol Microbiol 61(6): 1510-22.
Carbonnelle, E., Helaine, S., Prouvensier, L., Nassif, X. and Pelicic, V. (2005). "Type IV
        pilus biogenesis in Neisseria meningitidis: PilW is involved in a step occurring after
        pilus assembly, essential for fibre stability and function." Mol Microbiol 55(1): 54-64.
Carle, P., Laigret, F., Tully, J. G. and Bove, J. M. (1995). "Heterogeneity of genome sizes
        within the genus Spiroplasma." Int J Syst Bacteriol 45(1): 178-81.
Carle, P., Saillard, C., Carrere, N., Carrere, S., Duret, S., Eveillard, S., Gaurivaud, P.,
        Gourgues, G., Gouzy, J., Salar, P., Verdin, E., Breton, M., Blanchard, A., Laigret, F.,
        Bove, J. M., Renaudin, J. and Foissac, X. (2010). "Partial chromosome sequence of
        Spiroplasma citri reveals extensive viral invasion and important gene decay." Appl
        Environ Microbiol 76(11): 3420-6.
Castano, S., Blaudez, D., Desbat, B., Dufourcq, J. and Wroblewski, H. (2002). "Secondary
        structure of spiralin in solution, at the air/water interface, and in interaction with lipid
        monolayers." Biochim Biophys Acta 1562(1-2): 45-56.
Cebrian, M. C., Villaescusa, F. J., Alfaro-Fernandez, A., de Mendoza, A. H., Cordoba-Selles,
        M. C., Jorda, C., Ferrandiz, J. C., Sanjuan, S. and Font, M. I. (2010). "First Report of
        Spiroplasma citri in Carrot in Europe." Plant Disease 94(10): 1264-1264.
Chang, C. J. and Chen, T. A. (1981). "Amino acids requirement for the in vitro growth of
        Spiroplasma citri." Phytopathology 71: 558-559.
Chang, C. J. and Chen, T. A. (1981). "Development of a Chemically Defined Medium for the
        Growth and Nutritional Study of Spiroplasma-Citri." Phytopathology 71(8): 866-866.
Chen, T. A. and Liao, C. H. (1975). "Corn Stunt Spiroplasma - Isolation, Cultivation, and
        Proof of Pathogenicity." Science 188(4192): 1015-1017.
Choudhury, D., Thompson, A., Stojanoff, V., Langermann, S., Pinkner, J., Hultgren, S. J. and
        Knight, S. D. (1999). "X-ray structure of the FimC-FimH chaperone-adhesin complex
        from uropathogenic Escherichia coli." Science 285(5430): 1061-6.
Ciccarelli, F. D., Doerks, T., von Mering, C., Creevey, C. J., Snel, B. and Bork, P. (2006).
        "Toward automatic reconstruction of a highly resolved tree of life." Science
        311(5765): 1283-7.
Citti, C., Browning, G. F. and Rosengarten, R. (2005). Phenotypic diversity and cell invasion
        in host subversion by pathogenic mycoplasmas. Mycoplasmas: Molecular biology,
        pathogenicity and strategies for control. H. B. A. Blanchard and G. F. Browning (ed.),
        Norfolk (United Kingdom). 439–484.
Citti, C., Marechal-Drouard, L., Saillard, C., Weil, J. H. and Bove, J. M. (1992). "Spiroplasma
        citri UGG and UGA tryptophan codons: sequence of the two tryptophanyl-tRNAs and
        organization of the corresponding genes." J Bacteriol 174(20): 6471-8.
Claeys, D., Geering, K. and Meyer, B. J. (2005). "Two-dimensional Blue Native/sodium
        dodecyl sulfate gel electrophoresis for analysis of multimeric proteins in platelets."
        Electrophoresis 26(6): 1189-99.
Clausen, J. D., Christiansen, G., Holst, H. U. and Birkelund, S. (1997). "Chlamydia
        trachomatis utilizes the host cell microtubule network during early events of
        infection." Mol Microbiol 25(3): 441-9.
Cole, R. M., Tully, J. G., Popkin, T. J. and Bove, J. M. (1973). "Morphology, ultrastructure,
        and bacteriophage infection of the helical mycoplasma-like organism (Spiroplasma
        citri gen. nov., sp. nov.) cultured from "stubborn" disease of citrus." J Bacteriol
        115(1): 367-84.
Cornelis, G. R. (2006). "The type III secretion injectisome." Nat Rev Microbiol 4(11): 811-
        25.
Cornelis, G. R. and Van Gijsegem, F. (2000). "Assembly and function of type III secretory
        systems." Annu Rev Microbiol 54: 735-74.
Cornelis, G. R. and Wolf-Watz, H. (1997). "The Yersinia Yop virulon: a bacterial system for
        subverting eukaryotic cells." Mol Microbiol 23(5): 861-7.

                                               144
Bibliographie
Cossart, P. (2004). "Bacterial invasion: a new strategy to dominate cytoskeleton plasticity."
        Dev Cell 6(3): 314-5.
Cossart, P., Pizarro-Cerda, J. and Lecuit, M. (2003). "Invasion of mammalian cells by Listeria
        monocytogenes: functional mimicry to subvert cellular functions." Trends Cell Biol
        13(1): 23-31.
Cossart, P. and Sansonetti, P. J. (2004). "Bacterial invasion: the paradigms of enteroinvasive
        pathogens." Science 304(5668): 242-8.
Cotter, S. E., Surana, N. K. and St Geme, J. W., 3rd (2005). "Trimeric autotransporters: a
        distinct subfamily of autotransporter proteins." Trends Microbiol 13(5): 199-205.
Daire, X., Boudon-Padieu, E., Bervillé, A., Scnheider, B. and Caudwell, A. (1993a).
        "Diversity among mycoplasma-like organisms inducing grapevine yellows in France."
        Vitis. 32: 159-163.
Daire, X., Clair, D., Larrue, J., Boudon-Padieu, E., ALma, A., Arzone, A., Cararro, L., Osler,
        R., Refatti, E., Granata, G., Credi, R., Tanne, E., Pearson, R. and Caudwell, A.
        (1993b). "Occurence of diverse MLOs in tissues of grapevine affected by grapevine
        yellows in different countries." Vitis. 32: 247-248.
Dallo, S. F., Chavoya, A. and Baseman, J. B. (1990). "Characterization of the gene for a 30-
        kilodalton adhesion-related protein of Mycoplasma pneumoniae." Infect Immun
        58(12): 4163-5.
Dallo, S. F., Kannan, T. R., Blaylock, M. W. and Baseman, J. B. (2002). "Elongation factor
        Tu and E1 beta subunit of pyruvate dehydrogenase complex act as fibronectin binding
        proteins in Mycoplasma pneumoniae." Mol Microbiol 46(4): 1041-51.
Daniels, M. J., Longland, J. M. and Gilbart, J. (1980). "Aspects of motility and chemotaxis in
        spiroplasmas." Journal of General Microbiology 118: 429-436.
Davis, R. E. and Worley, J. F. (1973). " Motile, helical microorganism associated with corn
        stunt disease." Phytopathology 63: 403-408.
Detilleux, P. G., Deyoe, B. L. and Cheville, N. F. (1991). "Effect of endocytic and metabolic
        inhibitors on the internalization and intracellular growth of Brucella abortus in Vero
        cells." Am J Vet Res 52(10): 1658-64.
Dirksen, L. B., Proft, T., Hilbert, H., Plagens, H., Herrmann, R. and Krause, D. C. (1996).
        "Sequence analysis and characterization of the hmw gene cluster of Mycoplasma
        pneumoniae." Gene 171(1): 19-25.
Doi, Y., Teranaka, M., Yora, K. and Asuyama, H. (1967). "Mycoplasma or P. L. T. group-like
        microorganisms found in the phloeme elements of plant infected with mulberry dwarf,
        potato witches'-broom, aster yellows or paulownia witches'-broom." Ann.
        Phytopathol. Soc. Jpn 33: 259-266.
Dominguez, R. (2009). "Actin filament nucleation and elongation factors--structure-function
        relationships." Crit Rev Biochem Mol Biol 44(6): 351-66.
Dos Remedios, C. G., Chhabra, D., Kekic, M., Dedova, I. V., Tsubakihara, M., Berry, D. A.
        and Nosworthy, N. J. (2003). "Actin binding proteins: regulation of cytoskeletal
        microfilaments." Physiol Rev 83(2): 433-73.
Douglas, A. E. (1998). "Nutritional interactions in insect-microbial symbioses: aphids and
        their symbiotic bacteria Buchnera." Annu Rev Entomol 43: 17-37.
Dramsi, S. and Cossart, P. (1998). "Intracellular pathogens and the actin cytoskeleton." Annu
        Rev Cell Dev Biol 14: 137-66.
Duguid, J. P., Smith, I. W., Dempster, G. and Edmunds, P. N. (1955). "Non-flagellar
        filamentous appendages (fimbriae) and haemagglutinating activity in Bacterium coli."
        J Pathol Bacteriol 70(2): 335-48.
Dumke, R., Hausner, M. and Jacobs, E. (2010). "Characterization of the glyceraldehyde-3-
        phosphate deshydrogenase (GAPDH) of Mycoplasma pneumoniae." Chianciano IOM
        Congress.
Duret, S., Andre, A. and Renaudin, J. (2005). "Specific gene targeting in Spiroplasma citri:
        improved vectors and production of unmarked mutations using site-specific
        recombination." Microbiology 151(Pt 8): 2793-803.

                                             145
Bibliographie
Duret, S., Batailler, B., Danet, J. L., Beven, L., Renaudin, J. and Arricau-Bouvery, N. (2009).
        "Infection of the Circulifer haematoceps cell line Ciha-1 by Spiroplasma citri: the non
        insect-transmissible strain 44 is impaired in invasion." Microbiology.
Duret, S., Berho, N., Danet, J. L., Garnier, M. and Renaudin, J. (2003). "Spiralin is not
        essential for helicity, motility, or pathogenicity but is required for efficient
        transmission of Spiroplasma citri by its leafhopper vector Circulifer haematoceps."
        Appl Environ Microbiol 69(10): 6225-34.
Edward, D. G. and Freundt, F. A. (1967). "Proposal for Mollicutes as name of the class
        established for the order Mycoplasmatales." Int. J. Syst. Bacteriol. 17(3): 267-268.
Ellington, J. K., Reilly, S. S., Ramp, W. K., Smeltzer, M. S., Kellam, J. F. and Hudson, M. C.
        (1999). "Mechanisms of Staphylococcus aureus invasion of cultured osteoblasts."
        Microbial Pathogenesis 26(6): 317-323.
Fletcher, J., Schultz, G. A., Davis, R. E., Eastman, C. E. and Goodman, R. M. (1981). "Brittle
        Root Disease of Horseradish - Evidence for an Etiological Role of Spiroplasma-Citri."
        Phytopathology 71(10): 1073-1080.
Fletcher, J., Wayadande, A., Melcher, U. and Ye, F. (1998). "The phytopathogenic mollicute-
        insect vector interface: a closer look." Phytopathology 88(12): 1351-8.
Fleury, B., Bergonier, D., Berthelot, X., Peterhans, E., Frey, J. and Vilei, E. M. (2002).
        "Characterization of P40, a cytadhesin of Mycoplasma agalactiae." Infect Immun
        70(10): 5612-21.
Foissac, X., Danet, J. L., Saillard, C., Gaurivaud, P., Laigret, F., Pare, C. and Bove, J. M.
        (1997). "Mutagenesis by insertion of Tn4001 into the genome of Spiroplasma citri:
        Characterization of mutants affected in plant pathogenicity and transmission to the
        plant by the leafhopper vector Circulifer haematoceps." Mol Plant Microbe Interact
        10(4): 454-461.
Foissac, X., Saillard, C. and Bove, J. M. (1997). "Random insertion of transposon Tn4001 in
        the genome of Spiroplasma citri strain GII3." Plasmid 37(1): 80-6.
Foissac, X., Saillard, C., Gandar, J., Zreik, L. and Bove, J. M. (1996). "Spiralin polymorphism
        in strains of Spiroplasma citri is not due to differences in posttranslational
        palmitoylation." J Bacteriol 178(10): 2934-40.
Foissac, X., Thi Loc, N., Christou, P., Gatehouse, A. M. and Gatehouse, J. A. (2000).
        "Resistance to green leafhopper (Nephotettix virescens) and brown planthopper
        (Nilaparvata lugens) in transgenic rice expressing snowdrop lectin (Galanthus nivalis
        agglutinin; GNA)." J Insect Physiol 46(4): 573-583.
Forbes, A. R. (1969). "The stylets of the green peach aphid, Myzus persicae (Homoptera,
        Aphididae)." Canadian Journal of Entomology 101: 31-41.
Fos, A., Bove, J. M., Lallemand, J., Saillard, C., Vignault, J. C., Ali, Y., Brun, P. and Vogel,
        R. (1986). "The Leafhopper Neoaliturus-Hematoceps Is a Vector of Spiroplasma-Citri
        in the Mediterranean Area." Annales De L Institut Pasteur-Microbiologie 137A(1):
        97-107.
Franzoso, G., Dimitrov, D. S., Blumenthal, R., Barile, M. F. and Rottem, S. (1992). "Fusion
        of Mycoplasma fermentans strain incognitus with T-lymphocytes." FEBS Lett 303(2-
        3): 251-4.
Fudl-Allah, A. E. S. A., Calavan, E. C. and Igwegbe, E. C. K. (1972). "Culture of
        mycoplasma like organism associated with the stubborn disease of citrus."
        Phytopathology 62: 729-731.
Fujimoto, L. M., Roth, R., Heuser, J. E. and Schmid, S. L. (2000). "Actin assembly plays a
        variable, but not obligatory role in receptor-mediated endocytosis in mammalian
        cells." Traffic 1(2): 161-71.
Gadeau, A. P., Mouches, C. and Bove, J. M. (1986). "Probable insensitivity of mollicutes to
        rifampin and characterization of spiroplasmal DNA-dependent RNA polymerase." J
        Bacteriol 166(3): 824-8.
Gaillard, J. L., Berche, P., Mounier, J., Richard, S. and Sansonetti, P. (1987). "In vitro model
        of penetration and intracellular growth of Listeria monocytogenes in the human
        enterocyte-like cell line Caco-2." Infect Immun 55(11): 2822-9.
                                              146
Bibliographie
Gardy, J. L., Laird, M. R., Chen, F., Rey, S., Walsh, C. J., Ester, M. and Brinkman, F. S.
       (2005). "PSORTb v.2.0: expanded prediction of bacterial protein subcellular
       localization and insights gained from comparative proteome analysis." Bioinformatics
       21(5): 617-23.
Garnier, M., Clerc, M. and Bove, J. M. (1984). "Growth and division of Spiroplasma citri:
       elongation of elementary helices." J Bacteriol 158(1): 23-8.
Garnier, M., Foissac, X., Gaurivaud, P., Laigret, F., Renaudin, J., Saillard, C. and Bove, J. M.
       (2001). "Mycoplasmas, plants, insect vectors: a matrimonial triangle." C.R.
       Acad.Sci.Paris. 324(10): 923-8.
Gaurivaud, P., Danet, J. L., Laigret, F., Garnier, M. and Bove, J. M. (2000). "Fructose
       utilization and phytopathogenicity of Spiroplasma citri." Mol Plant Microbe Interact
       13(10): 1145-55.
Gaurivaud, P., Laigret, F., Garnier, M. and Bove, J. M. (2000). "Fructose utilization and
       pathogenicity of Spiroplasma citri: characterization of the fructose operon." Gene
       252(1-2): 61-9.
Gaurivaud, P., Laigret, F., Garnier, M. and Bove, J. M. (2001). "Characterization of FruR as a
       putative activator of the fructose operon of Spiroplasma citri." FEMS Microbiol Lett
       198(1): 73-8.
Gaurivaud, P., Laigret, F., Verdin, E., Garnier, M. and Bove, J. M. (2000). "Fructose operon
       mutants of Spiroplasma citri." Microbiology 146 ( Pt 9): 2229-36.
Gerdes, K., Moller-Jensen, J. and Bugge Jensen, R. (2000). "Plasmid and chromosome
       partitioning: surprises from phylogeny." Mol Microbiol 37(3): 455-66.
Ghosh, A. K., Devenport, M., Jethwaney, D., Kalume, D. E., Pandey, A., Anderson, V. E.,
       Sultan, A. A., Kumar, N. and Jacobs-Lorena, M. (2009). "Malaria parasite invasion of
       the mosquito salivary gland requires interaction between the Plasmodium TRAP and
       the Anopheles saglin proteins." PLoS Pathog 5(1): e1000265.
Ghosh, A. K., Ribolla, P. E. and Jacobs-Lorena, M. (2001). "Targeting Plasmodium ligands
       on mosquito salivary glands and midgut with a phage display peptide library." Proc
       Natl Acad Sci U S A 98(23): 13278-81.
Gianfaldoni, C., Censini, S., Hilleringmann, M., Moschioni, M., Facciotti, C., Pansegrau, W.,
       Masignani, V., Covacci, A., Rappuoli, R., Barocchi, M. A. and Ruggiero, P. (2007).
       "Streptococcus pneumoniae pilus subunits protect mice against lethal challenge."
       Infect Immun 75(2): 1059-62.
Gildow, F. E. (1987). "Virus-membrane interactions involved in circulative transmission of
       luteoviruses by aphids " Adv. Dis. Vector Res. 4: 93-120.
Giron, J. A., Lange, M. and Baseman, J. B. (1996). "Adherence, fibronectin binding, and
       induction of cytoskeleton reorganization in cultured human cells by Mycoplasma
       penetrans." Infect Immun 64(1): 197-208.
Glew, M. D., Marenda, M., Rosengarten, R. and Citti, C. (2002). "Surface diversity in
       Mycoplasma agalactiae is driven by site-specific DNA inversions within the vpma
       multigene locus." Journal of Bacteriology 184(21): 5987-5998.
Gouin, E., Egile, C., Dehoux, P., Villiers, V., Adams, J., Gertler, F., Li, R. and Cossart, P.
       (2004). "The RickA protein of Rickettsia conorii activates the Arp2/3 complex."
       Nature 427(6973): 457-61.
Gouin, E., Welch, M. D. and Cossart, P. (2005). "Actin-based motility of intracellular
       pathogens." Curr Opin Microbiol 8(1): 35-45.
Gouranton, J. and Folliot, R. (1970). "[Presence of perinuclear microtubules in the salivary
       gland of homopterous insect. Centrotus cornutus L]." C R Acad Sci Hebd Seances
       Acad Sci D 270(14): 1819-21.
Granett, A. L., Blue, R. L., Harjung, M. K., Calavan, E. C. and Gumpf, D. J. (1976).
       "Occurence of Spiroplasma citri in periwinkle in California." Calif. Agric. 30: 18-19.
Grassme, H. U. C., Ireland, R. M. and VanPutten, J. P. M. (1996). "Gonococcal opacity
       protein promotes bacterial entry-associated rearrangements of the epithelial cell actin
       cytoskeleton." Infection and Immunity 64(5): 1621-1630.

                                              147
Bibliographie
Gray, S. and Gildow, F. E. (2003). "Luteovirus-aphid interactions." Annu Rev Phytopathol
       41: 539-66.
Green, B. T. and Brown, D. R. (2006). "Differential effects of clathrin and actin inhibitors on
       internalization of Escherichia coli and Salmonella choleraesuis in porcine jejunal
       Peyer's patches." Vet Microbiol 113(1-2): 117-22.
Gruenheid, S. and Finlay, B. B. (2003). "Microbial pathogenesis and cytoskeletal function."
       Nature 422(6933): 775-81.
Hackstadt, T., Rockey, D. D., Heinzen, R. A. and Scidmore, M. A. (1996). "Chlamydia
       trachomatis interrupts an exocytic pathway to acquire endogenously synthesized
       sphingomyelin in transit from the Golgi apparatus to the plasma membrane." Embo J
       15(5): 964-77.
Hall, A. and Nobes, C. D. (2000). "Rho GTPases: molecular switches that control the
       organization and dynamics of the actin cytoskeleton." Philos Trans R Soc Lond B Biol
       Sci 355(1399): 965-70.
Hames, C., Halbedel, S., Schilling, O. and Stulke, J. (2005). "Multiple-mutation reaction: a
       method for simultaneous introduction of multiple mutations into the glpK gene of
       Mycoplasma pneumoniae." Appl Environ Microbiol 71(7): 4097-100.
Hansson, L., Wallbrandt, P., Andersson, J. O., Bystrom, M., Backman, A., Carlstein, A.,
       Enquist, K., Lonn, H., Otter, C. and Stromqvist, M. (1995). "Carbohydrate specificity
       of the Escherichia coli P-pilus papG protein is mediated by its N-terminal part."
       Biochim Biophys Acta 1244(2-3): 377-83.
Hardt, W. D., Chen, L. M., Schuebel, K. E., Bustelo, X. R. and Galan, J. E. (1998). "S.
       typhimurium encodes an activator of Rho GTPases that induces membrane ruffling
       and nuclear responses in host cells." Cell 93(5): 815-26.
Harvey, H. A., Jennings, M. P., Campbell, C. A., Williams, R. and Apicella, M. A. (2001).
       "Receptor-mediated endocytosis of Neisseria gonorrhoeae into primary human
       urethral epithelial cells: the role of the asialoglycoprotein receptor." Molecular
       Microbiology 42(3): 659-672.
Haselkorn, T. S., Markow, T. A. and Moran, N. A. (2009). "Multiple introductions of the
       Spiroplasma bacterial endosymbiont into Drosophila." Mol Ecol 18(6): 1294-305.
Hayward, R. D. and Koronakis, V. (1999). "Direct nucleation and bundling of actin by the
       SipC protein of invasive Salmonella." Embo J 18(18): 4926-34.
Henderson, I. R., Navarro-Garcia, F., Desvaux, M., Fernandez, R. C. and Ala'Aldeen, D.
       (2004). "Type V protein secretion pathway: the autotransporter story." Microbiol Mol
       Biol Rev 68(4): 692-744.
Herranen, M., Battchikova, N., Zhang, P. P., Graf, A., Sirpio, S., Paakkarinen, V. and Aro, E.
       M. (2004). "Towards functional proteomics of membrane protein complexes in
       Synechocystis sp PCC 6803." Plant Physiology 134(1): 470-481.
High, N., Mounier, J., Prevost, M. C. and Sansonetti, P. J. (1992). "Ipab of Shigella-Flexneri
       Causes Entry into Epithelial-Cells and Escape from the Phagocytic Vacuole." Embo
       Journal 11(5): 1991-1999.
Hofmann, C., Vanderbruggen, H., Hofte, H., Van Rie, J., Jansens, S. and Van Mellaert, H.
       (1988). "Specificity of Bacillus thuringiensis delta-endotoxins is correlated with the
       presence of high-affinity binding sites in the brush border membrane of target insect
       midguts." Proc Natl Acad Sci U S A 85(21): 7844-8.
Hogenhout, S. A., Oshima, K., Ammar el, D., Kakizawa, S., Kingdom, H. N. and Namba, S.
       (2008). "Phytoplasmas: bacteria that manipulate plants and insects." Mol Plant Pathol
       9(4): 403-23.
Hu, L. and Kopecko, D. J. (1999). "Campylobacter jejuni 81-176 associates with microtubules
       and dynein during invasion of human intestinal cells." Infect Immun 67(8): 4171-82.
Hughes, M. J., Moore, J. C., Lane, J. D., Wilson, R., Pribul, P. K., Younes, Z. N., Dobson, R.
       J., Everest, P., Reason, A. J., Redfern, J. M., Greer, F. M., Paxton, T., Panico, M.,
       Morris, H. R., Feldman, R. G. and Santangelo, J. D. (2002). "Identification of major
       outer surface proteins of Streptococcus agalactiae." Infect Immun 70(3): 1254-9.

                                             148
Bibliographie
Igwegbe, E. C. K. and Calavan, E. C. (1970). "Occurence of mycoplasma like body in phloem
        of stubborn infected seedlings." Phytopathology 60: 1525-1526.
Ilver, D., Arnqvist, A., Ogren, J., Frick, I. M., Kersulyte, D., Incecik, E. T., Berg, D. E.,
        Covacci, A., Engstrand, L. and Boren, T. (1998). "Helicobacter pylori adhesin binding
        fucosylated histo-blood group antigens revealed by retagging." Science 279(5349):
        373-7.
IRPCM. (2004). "'Candidatus Phytoplasma', a taxon for the wall-less, non-helical prokaryotes
        that colonize plant phloem and insects." Int J Syst Evol Microbiol 54(Pt 4): 1243-55.
Isberg, R. R. and Falkow, S. (1985). "A single genetic locus encoded by Yersinia
        pseudotuberculosis permits invasion of cultured animal cells by Escherichia coli K-
        12." Nature 317(6034): 262-4.
Ishibashi, Y., Claus, S. and Relman, D. A. (1994). "Bordetella-Pertussis Filamentous
        Hemagglutinin Interacts with a Leukocyte Signal-Transduction Complex and
        Stimulates Bacterial Adherence to Monocyte Cr3 (Cd11b/Cd18)." Journal of
        Experimental Medicine 180(4): 1225-1233.
Ishii, Y., Kakizawa, S., Hoshi, A., Maejima, K., Kagiwada, S., Yamaji, Y., Oshima, K. and
        Namba, S. (2009a). "In the non-insect-transmissible line of onion yellows
        phytoplasma (OY-NIM), the plasmid-encoded transmembrane protein ORF3 lacks the
        major promoter region." Microbiology 155(Pt 6): 2058-67.
Ishii, Y., Oshima, K., Kakizawa, S., Hoshi, A., Maejima, K., Kagiwada, S., Yamaji, Y. and
        Namba, S. (2009b). "Process of reductive evolution during 10 years in plasmids of a
        non-insect-transmissible phytoplasma." Gene 446(2): 51-7.
Jacob, C., Nouzieres, F., Duret, S., Bove, J. M. and Renaudin, J. (1997). "Isolation,
        characterization, and complementation of a motility mutant of Spiroplasma citri." J
        Bacteriol 179(15): 4802-10.
Jaraush, W., Danet, J. L., Broquaire, J. M., Saillard, C., Garnier, M. and Dosha, F. (1999).
        "Apricot chlorotic leaf roll in Rousillon: specific detection of the pathogen, search for
        alternative host plants, attempts to determine infection peiods and attempts to identify
        the insecte vector." Acta Horticulturae 488: 739-744.
Kakizawa, S., Oshima, K., Ishii, Y., Hoshi, A., Maejima, K., Jung, H. Y., Yamaji, Y. and
        Namba, S. (2009). "Cloning of immunodominant membrane protein genes of
        phytoplasmas and their in planta expression." FEMS Microbiol Lett 293(1): 92-101.
Kakizawa, S., Oshima, K., Jung, H. Y., Suzuki, S., Nishigawa, H., Arashida, R., Miyata, S.,
        Ugaki, M., Kishino, H. and Namba, S. (2006a). "Positive selection acting on a surface
        membrane protein of the plant-pathogenic phytoplasmas." J Bacteriol 188(9): 3424-8.
Kakizawa, S., Oshima, K., Kuboyama, T., Nishigawa, H., Jung, H., Sawayanagi, T.,
        Tsuchizaki, T., Miyata, S., Ugaki, M. and Namba, S. (2001). "Cloning and expression
        analysis of Phytoplasma protein translocation genes." Mol Plant Microbe Interact
        14(9): 1043-50.
Kakizawa, S., Oshima, K. and Namba, S. (2006b). "Diversity and functional importance of
        phytoplasma membrane proteins." Trends Microbiol 14(6): 254-6.
Kakizawa, S., Oshima, K., Nishigawa, H., Jung, H. Y., Wei, W., Suzuki, S., Tanaka, M.,
        Miyata, S., Ugaki, M. and Namba, S. (2004). "Secretion of immunodominant
        membrane protein from onion yellows phytoplasma through the Sec protein-
        translocation system in Escherichia coli." Microbiology 150(Pt 1): 135-42.
Karasev, A. V., Kashina, A. S., Gelfand, V. I. and Dolja, V. V. (1992). "HSP70-related 65
        kDa protein of beet yellows closterovirus is a microtubule-binding protein." FEBS
        Letters 304: 12-14.
Kariu, T., Yuda, M., Yano, K. and Chinzei, Y. (2002). "MAEBL is essential for malarial
        sporozoite infection of the mosquito salivary gland." Journal of Experimental
        Medicine 195(10): 1317-1323.
Kenny, B., DeVinney, R., Stein, M., Reinscheid, D. J., Frey, E. A. and Finlay, B. B. (1997).
        "Enteropathogenic E. coli (EPEC) transfers its receptor for intimate adherence into
        mammalian cells." Cell 91(4): 511-20.

                                              149
Bibliographie
Kikuchi, T., Mizunoe, Y., Takade, A., Naito, S. and Yoshida, S. (2005). "Curli fibers are
        required for development of biofilm architecture in Escherichia coli K-12 and enhance
        bacterial adherence to human uroepithelial cells." Microbiol Immunol 49(9): 875-84.
Killiny, N., Batailler, B., Foissac, X. and Saillard, C. (2006). "Identification of a Spiroplasma
        citri hydrophilic protein associated with insect transmissibility." Microbiology 152(Pt
        4): 1221-30.
Killiny, N., Castroviejo, M. and Saillard, C. (2005). "Spiroplasma citri spiralin acts in vitro as
        a lectin binding to glycoproteins from its insect vector Circulifer haematoceps."
        Phytopathology 95(5): 541-548.
Kirkegaard, K., Taylor, M. P. and Jackson, W. T. (2004). "Cellular autophagy: surrender,
        avoidance and subversion by microorganisms." Nat Rev Microbiol 2(4): 301-14.
Kline, K. A., Falker, S., Dahlberg, S., Normark, S. and Henriques-Normark, B. (2009).
        "Bacterial adhesins in host-microbe interactions." Cell Host Microbe 5(6): 580-92.
Kowalczykowski, S. C., Dixon, D. A., Eggleston, A. K., Lauder, S. D. and Rehrauer, W. M.
        (1994). "Biochemistry of homologous recombination in Escherichia coli." Microbiol
        Rev 58(3): 401-65.
Krause, D. C. (1996). "Mycoplasma pneumoniae cytadherence: unravelling the tie that binds."
        Mol Microbiol 20(2): 247-53.
Krause, D. C., Leith, D. K., Wilson, R. M. and Baseman, J. B. (1982). "Identification of
        Mycoplasma pneumoniae proteins associated with hemadsorption and virulence."
        Infect Immun 35(3): 809-17.
Kube, M., Schneider, B., Kuhl, H., Dandekar, T., Heitmann, K., Migdoll, A. M., Reinhardt,
        R. and Seemuller, E. (2008). "The linear chromosome of the plant-pathogenic
        mycoplasma 'Candidatus Phytoplasma mali'." Bmc Genomics 9.
Kügler, M., Jänsch, L., Kruft, V., Schmitz, U. K. and Braun, H.-P. (1997). "Analysis of the
        chloroplast protein complexes by blue-native polyacrylamide gel electrophoresis (BN-
        PAGE)." Photosynthesis Research 53(1): 35-44.
Kuhner, S., van Noort, V., Betts, M. J., Leo-Macias, A., Batisse, C., Rode, M., Yamada, T.,
        Maier, T., Bader, S., Beltran-Alvarez, P., Castano-Diez, D., Chen, W. H., Devos, D.,
        Guell, M., Norambuena, T., Racke, I., Rybin, V., Schmidt, A., Yus, E., Aebersold, R.,
        Herrmann, R., Bottcher, B., Frangakis, A. S., Russell, R. B., Serrano, L., Bork, P. and
        Gavin, A. C. (2009). "Proteome organization in a genome-reduced bacterium."
        Science 326(5957): 1235-40.
Kwon, M. O., Wayadande, A. C. and Fletcher, J. (1999). "Spiroplasma citri movement into
        the intestines and salivary glands of its leafhopper vector, Circulifer tenellus."
        Phytopathology 89(12): 1144-1151.
Labroussaa, F., Arricau-Bouvery, N., Dubrana, M. P. and Saillard, C. (2010). "Entry of
        Spiroplasma citri into Circulifer haematoceps Cells Involves Interaction between
        Spiroplasma Phosphoglycerate Kinase and Leafhopper Actin." Applied and
        Environmental Microbiology 76(6): 1879-1886.
Laflèche, D. and Bové, J. M. (1970). "Mycoplasmes dans les agrumes atteints de greening, de
        stubborn ou de maladies similaires." Fruits 25: 455-465.
Langermann, S., Palaszynski, S., Barnhart, M., Auguste, G., Pinkner, J. S., Burlein, J., Barren,
        P., Koenig, S., Leath, S., Jones, C. H. and Hultgren, S. J. (1997). "Prevention of
        mucosal Escherichia coli infection by FimH-adhesin-based systemic vaccination."
        Science 276(5312): 607-11.
Lasserre, J. P., Beyne, E., Pyndiah, S., Lapaillerie, D., Claverol, S. and Bonneu, M. (2006).
        "A complexomic study of Escherichia coli using two-dimensional blue native/SDS
        polyacrylamide gel electrophoresis." Electrophoresis 27(16): 3306-21.
Lauer, P., Rinaudo, C. D., Soriani, M., Margarit, I., Maione, D., Rosini, R., Taddei, A. R.,
        Mora, M., Rappuoli, R., Grandi, G. and Telford, J. L. (2005). "Genome analysis
        reveals pili in Group B Streptococcus." Science 309(5731): 105.
Le Dantec, L., Castroviejo, M., Bove, J. M. and Saillard, C. (1998). "Purification, cloning,
        and preliminary characterization of a Spiroplasma citri ribosomal protein with DNA
        binding capacity." Journal of Biological Chemistry 273(38): 24379-24386.
                                               150
Bibliographie
Lee, I. M., Davis, R. E. and Gundersen-Rindal, D. E. (2000). "Phytoplasma: phytopathogenic
        mollicutes." Annu Rev Microbiol 54: 221-55.
Lee, I. M., Gundersen-Rindal, D. E., Davis, R. E. and Bartoszyk, I. M. (1998). "Revised
        classification scheme of phytoplasmas based an RFLP analyses of 16S rRNA and
        ribosomal protein gene sequences." International Journal of Systematic Bacteriology
        48: 1153-1169.
Lim, P. O. and Sears, B. B. (1989). "16s Ribosomal-Rna Sequence Indicates That Plant-
        Pathogenic Mycoplasmalike Organisms Are Evolutionarily Distinct from Animal
        Mycoplasmas." Journal of Bacteriology 171(11): 5901-5906.
Lim, P. O. and Sears, B. B. (1992). "Evolutionary Relationships of a Plant-Pathogenic
        Mycoplasmalike Organism and Acholeplasma-Laidlawii Deduced from 2 Ribosomal-
        Protein Gene-Sequences." Journal of Bacteriology 174(8): 2606-2611.
Liu, H. Y., Gumpf, D. J., Oldfield, G. N. and Calavan, E. C. (1983). "Transmission of
        Spiroplasma-Citri by Circulifer-Tenellus." Phytopathology 73(4): 582-585.
Liu, S., Sivakumar, S., Sparks, W. O., Miller, W. A. and Bonning, B. C. (2010). "A peptide
        that binds the pea aphid gut impedes entry of Pea enation mosaic virus into the aphid
        hemocoel." Virology 401(1): 107-16.
Lyon, B. R., May, J. W. and Skurray, R. A. (1984). "Tn4001: a gentamicin and kanamycin
        resistance transposon in Staphylococcus aureus." Mol Gen Genet 193(3): 554-6.
Maccheroni, W., Renaudin, J., Bove, J. M. and Garnier, M. (2001). "Identification,
        organization and expression of five mreB-like genes in Spiroplasma citri: effect of
        mreB1 disruption in insect transmission and phytopathogenicity. Unpublished."
        AF455359.
Maccioni, R. B. and Cambiazo, V. (1995). "Role of microtubule-associated proteins in the
        control of microtubule assembly." Physiol Rev 75(4): 835-64.
Mackintosh, C. (2004). "Dynamic interactions between 14-3-3 proteins and phosphoproteins
        regulate diverse cellular processes." Biochem J 381(Pt 2): 329-42.
Mahdavi, J., Sonden, B., Hurtig, M., Olfat, F. O., Forsberg, L., Roche, N., Angstrom, J.,
        Larsson, T., Teneberg, S., Karlsson, K. A., Altraia, S., Wadstrom, T., Kersulyte, D.,
        Berg, D. E., Dubois, A., Petersson, C., Magnusson, K. E., Norberg, T., Lindh, F.,
        Lundskog, B. B., Arnqvist, A., Hammarstrom, L. and Boren, T. (2002). "Helicobacter
        pylori SabA adhesin in persistent infection and chronic inflammation." Science
        297(5581): 573-578.
Majeed, M. and Kihlstrom, E. (1991). "Mobilization of F-Actin and Clathrin During
        Redistribution of Chlamydia-Trachomatis to an Intracellular Site in Eukaryotic Cells."
        Infection and Immunity 59(12): 4465-4472.
Malagnini, V., Pedrazzoli, F., Gualandri, V., Forno, F., Zasso, R., Pozzebon, A. and Ioriatti,
        C. (2010). "A study of the effects of 'Candidatus Phytoplasma mali' on the psyllid
        Cacopsylla melanoneura (Hemiptera: Psyllidae)." J Invertebr Pathol 103(1): 65-7.
Mandel, M. and Higa, A. (1970). "Calcium-dependent bacteriophage DNA infection." J Mol
        Biol 53(1): 159-62.
Mandlik, A., Swierczynski, A., Das, A. and Ton-That, H. (2008). "Pili in Gram-positive
        bacteria: assembly, involvement in colonization and biofilm development." Trends
        Microbiol 16(1): 33-40.
Marais, A., Bove, J. M. and Renaudin, J. (1996). "Characterization of the recA gene regions
        of Spiroplasma citri and Spiroplasma melliferum." J Bacteriol 178(23): 7003-9.
Marais, A., Bove, J. M. and Renaudin, J. (1996). "Spiroplasma citri virus SpV1-derived
        cloning vector: deletion formation by illegitimate and homologous recombination in a
        spiroplasmal host strain which probably lacks a functional recA gene." J Bacteriol
        178(3): 862-70.
Marcone, C., Neimark, H., Ragozzino, A., Lauer, U. and Seemuller, E. (1999). "Chromosome
        sizes of phytoplasmas composing major phylogenetic groups and subgroups."
        Phytopathology 89(9): 805-810.



                                             151
Bibliographie
Markham, P. G. and Townsend, R. (1979). Environmental vectors of spiroplasma. Leafhopper
        vectors and plant disease agents. K. Maramorosch and K. F. Harris. New York,
        Academic Press: 413-446.
Markham, P. G., Townsend, R., Bar-Joseph, M., Daniels, M. J., Plaskitt, A. and Meddins, B.
        M. (1974). "Spiroplasmas are the causal agents of citrus little-leaf disease." Ann Appl
        Biol 78(1): 49-57.
Marsh, M. and Helenius, A. (1989). "Virus entry into animal cells." Adv Virus Res 36: 107-
        51.
Martinez, J. J., Seveau, S., Veiga, E., Matsuyama, S. and Cossart, P. (2005). "Ku70, a
        component of DNA-dependent protein kinase, is a mammalian receptor for Rickettsia
        conorii." Cell 123(6): 1013-23.
Martinez, O. and Goud, B. (1998). "Rab proteins." Biochim Biophys Acta 1404(1-2): 101-12.
Maruta, K., Ogawa, M., Miyamoto, H., Izu, K. and Yoshida, S. I. (1998). "Entry and
        intracellular localization of Legionella dumoffii in Vero cells." Microb Pathog 24(2):
        65-73.
Mas, P. and Beachy, R. N. (2000). "Role of microtubules in the intracellular distribution of
        tobacco mosaic virus movement protein." Proc Natl Acad Sci U S A 97(22): 12345-9.
Matuschewski, K., Nunes, A. C., Nussenzweig, V. and Menard, R. (2002). "Plasmodium
        sporozoite invasion into insect and mammalian cells is directed by the same dual
        binding system." Embo J 21(7): 1597-606.
McCammon, A. L., E. L. Dally and Davis., R. E. (1990). "Electroporation and DNA
        methylation effects on the transfection of spiroplasma." Zentralbl. Bakteriol.
        20(Suppl.): 60–65.
McCoy, R. E., Caudwell, A., Chang, C.-J., Chen, T. A., Chiykowski, L. N., Cousin, M. T.,
        Dale, J. L., de Leeuw, G. T. N., Golino, D. A., Hackett, K. J., Kirkpatrick, B. C.,
        Marwitz, R., Petzold, H., Sinha, R. C., Sugiura, M., Whitcomb, R. F., Yang, I. L.,
        Zhu, B. M. and Seemuller, E. (1989). Plant diseases associated with mycoplasma-like
        organisms. The Mycoplasmas, Whitcomb, R.F. & Tully, J.G. New york: Academic
        Press Inc: 545-640.
McDonald, D., Vodicka, M. A., Lucero, G., Svitkina, T. M., Borisy, G. G., Emerman, M. and
        Hope, T. J. (2002). "Visualization of the intracellular behavior of HIV in living cells."
        J Cell Biol 159(3): 441-52.
McNiven, M. A. and Marlowe, K. J. (1999). "Contributions of molecular motor enzymes to
        vesicle-based protein transport in gastrointestinal epithelial cells." Gastroenterology
        116(2): 438-51.
Mello, A. F., Wayadande, A. C., Yokomi, R. K. and Fletcher, J. (2009). "Transmission of
        different isolates of Spiroplasma citri to carrot and citrus by Circulifer tenellus
        (Hemiptera: Cicadellidae)." J Econ Entomol 102(4): 1417-22.
Mercer, J. and Helenius, A. (2009). "Virus entry by macropinocytosis." Nat Cell Biol 11(5):
        510-20.
Miller, R. V. and Kokjohn, T. A. (1990). "General microbiology of recA: environmental and
        evolutionary significance." Annu Rev Microbiol 44: 365-94.
Mora, M., Bensi, G., Capo, S., Falugi, F., Zingaretti, C., Manetti, A. G., Maggi, T., Taddei, A.
        R., Grandi, G. and Telford, J. L. (2005). "Group A Streptococcus produce pilus-like
        structures containing protective antigens and Lancefield T antigens." Proc Natl Acad
        Sci U S A 102(43): 15641-6.
Morin, S., Ghanim, M., Sobol, I. and Czosnek, H. (2000). "The GroEL protein of the whitefly
        Bemisia tabaci interacts with the coat protein of transmissible and nontransmissible
        begomoviruses in the yeast two-hybrid system." Virology 276(2): 404-16.
Moroianu, J., Fett, J. W., Riordan, J. F. and Vallee, B. L. (1993). "Actin is a surface
        component of calf pulmonary artery endothelial cells in culture." Proc Natl Acad Sci
        U S A 90(9): 3815-9.
Mouches, C., Bove, J. M. and Albisetti, J. (1984). "Pathogenicity of Spiroplasma apis and
        other spiroplasmas for honey-bees in southwestern France." Ann Microbiol (Paris)
        135A(1): 151-5.
                                              152
Bibliographie
Mouchès, C., Bové, J. M., Albisetti, J., Clark, T. B. and Tully, J. G. (1982). "A spiroplasma of
        serogroup IV causes a May-disease-like disorder of honeybees in southwestern
        France." Microbial Ecology 8: 387-399.
Murray, R. G. E. and Schleifer, K. H. (1994). "Taxonomic Notes - a Proposal for Recording
        the Properties of Putative Taxa of Prokaryotes." International Journal of Systematic
        Bacteriology 44(1): 174-176.
Nakane, D. and Miyata, M. (2007). "Cytoskeletal "jellyfish" structure of Mycoplasma
        mobile." Proc Natl Acad Sci U S A 104(49): 19518-23.
Neff, D. and Dencher, N. A. (1999). "Purification of Multisubunit Membrane Protein
        Complexes: Isolation of Chloroplast FoF1-ATP Synthase, CFo and CF1 by Blue
        Native Electrophoresis." Biochemical and Biophysical Research Communications
        259(3): 569-575.
Nhieu, G. T., Enninga, J., Sansonetti, P. and Grompone, G. (2005). "Tyrosine kinase signaling
        and type III effectors orchestrating Shigella invasion." Curr Opin Microbiol 8(1): 16-
        20.
Nhieu, G. T. and Sansonetti, P. J. (1999). "Mechanism of Shigella entry into epithelial cells."
        Curr Opin Microbiol 2(1): 51-5.
Nishigawa, H., Oshima, K., Kakizawa, S., Jung, H. Y., Kuboyama, T., Miyata, S., Ugaki, M.
        and Namba, S. (2002). "A plasmid from a non-insect-transmissible line of a
        phytoplasma lacks two open reading frames that exist in the plasmid from the wild-
        type line." Gene 298(2): 195-201.
Nocard, E. and Roux, E. (1898). "Le microbe de la péripneumonie." Annales de l'Institut
        Pasteur 12: 240-262.
Norris, F. A., Wilson, M. P., Wallis, T. S., Galyov, E. E. and Majerus, P. W. (1998). "SopB, a
        protein required for virulence of Salmonella dublin, is an inositol phosphate
        phosphatase." Proc Natl Acad Sci U S A 95(24): 14057-9.
Nunan, L. M., Lightner, D. V., Oduori M.A. and Gasparich, G. E. (2005). "Spiroplasma
        penaei sp. nov., associated with mortalities in Penaeus vannamei, Pacific white
        shrimp." International Journal of Systematic and Evolutionary Microbiology 55: 2317-
        2322.
O'Connell, K. L. and Stults, J. T. (1997). "Identification of mouse liver proteins on two-
        dimensional electrophoresis gels by matrix-assisted laser desorption/ionization mass
        spectrometry of in situ enzymatic digests." Electrophoresis 18(3-4): 349-59.
Ochman, H., Soncini, F. C., Solomon, F. and Groisman, E. A. (1996). "Identification of a
        pathogenicity island required for Salmonella survival in host cells." Proc Natl Acad
        Sci U S A 93(15): 7800-4.
Oelschlaeger, T. A., Guerry, P. and Kopecko, D. J. (1993). "Unusual Microtubule-Dependent
        Endocytosis Mechanisms Triggered by Campylobacter-Jejuni and Citrobacter-
        Freundii." Proceedings of the National Academy of Sciences of the United States of
        America 90(14): 6884-6888.
Oelschlaeger, T. A. and Tall, B. D. (1997). "Invasion of cultured human epithelial cells by
        Klebsiella pneumoniae isolated from the urinary tract." Infect Immun 65(7): 2950-8.
Ogawa, M., Yoshimori, T., Suzuki, T., Sagara, H., Mizushima, N. and Sasakawa, C. (2005).
        "Escape of intracellular Shigella from autophagy." Science 307(5710): 727-31.
Olsen, A., Jonsson, A. and Normark, S. (1989). "Fibronectin binding mediated by a novel
        class of surface organelles on Escherichia coli." Nature 338(6217): 652-5.
Oshima, K., Kakizawa, S., Nishigawa, H., Jung, H. Y., Wei, W., Suzuki, S., Arashida, R.,
        Nakata, D., Miyata, S., Ugaki, M. and Namba, S. (2004). "Reductive evolution
        suggested from the complete genome sequence of a plant-pathogenic phytoplasma."
        Nature Genetics 36(1): 27-29.
Oshima, K., Shiomi, T., Kuboyama, T., Sawayanagi, T., Nishigawa, H., Kakizawa, S.,
        Miyata, S., Ugaki, M. and Namba, S. (2001). "Isolation and Characterization of
        Derivative Lines of the Onion Yellows Phytoplasma that Do Not Cause Stunting or
        Phloem Hyperplasia." Phytopathology 91(11): 1024-9.

                                              153
Bibliographie
Ozbek, E., Miller, S. A., Meulia, T. and Hogenhout, S. A. (2003). "Infection and replication
        sites of Spiroplasma kunkelii (Class: Mollicutes) in midgut and Malpighian tubules of
        the leafhopper Dalbulus maidis." J Invertebr Pathol 82(3): 167-75.
Papini, E., Satin, B., Bucci, C., de Bernard, M., Telford, J. L., Manetti, R., Rappuoli, R.,
        Zerial, M. and Montecucco, C. (1997). "The small GTP binding protein rab7 is
        essential for cellular vacuolation induced by Helicobacter pylori cytotoxin." Embo J
        16(1): 15-24.
Parsot, C. (2005). "Shigella spp. and enteroinvasive Escherichia coli pathogenicity factors."
        FEMS Microbiol Lett 252(1): 11-8.
Patti, J. M. and Hook, M. (1994). "Microbial adhesins recognizing extracellular matrix
        macromolecules." Curr Opin Cell Biol 6(5): 752-8.
Phizicky, E. M. and Fields, S. (1995). "Protein-Protein Interactions - Methods for Detection
        and Analysis." Microbiological Reviews 59(1): 94-123.
Piasek, A. and Thyberg, J. (1980). "Effects of colchicine on endocytosis of horseradish
        peroxidase by rat peritoneal macrophages." J Cell Sci 45: 59-71.
Pizarro-Cerda, J. and Cossart, P. (2006). "Bacterial adhesion and entry into host cells." Cell
        124(4): 715-27.
Pollack, J. D., Williams, M. V., Banzon, J., Jones, M. A., Harvey, L. and Tully, J. G. (1996).
        "Comparative metabolism of Mesoplasma, Entomoplasma, Mycoplasma, and
        Acholeplasma." Int J Syst Bacteriol 46(4): 885-90.
Pyndiah, S., Lasserre, J. P., Menard, A., Claverol, S., Prouzet-Mauleon, V., Megraud, F.,
        Zerbib, F. and Bonneu, M. (2007). "Two-dimensional blue native/SDS gel
        electrophoresis of multiprotein complexes from Helicobacter pylori." Mol Cell
        Proteomics 6(2): 193-206.
Radin, J. N., Orihuela, C. J., Murti, G., Guglielmo, C., Murray, P. J. and Tuomanen, E. I.
        (2005). "beta-arrestin 1 participates in platelet-activating factor receptor-mediated
        endocytosis of Streptococcus pneumoniae." Infection and Immunity 73(12): 7827-
        7835.
Rahman, M., Kallstrom, H., Normark, S. and Jonsson, A. B. (1997). "PilC of pathogenic
        Neisseria is associated with the bacterial cell surface." Mol Microbiol 25(1): 11-25.
Ramagli, L. S. and Rodriguez, L. V. (1985). "Quantitation of microgram amounts of protein
        in two-dimensional polyacrylamide gel electrophoresis sample buffer."
        ELECTROPHORESIS 6(11): 559-563.
Rana, G. L., Kaloostian, G. H., Oldfield, G. N., Granett, A. L., Calavan, E. C., Pierce, H. D.,
        Lee, I. M. and Grumpf, D. J. (1975). "Acquisition of Spiroplasma citri through
        membranes by homopterous insects." Phytopathology 65: 1143-1145.
Rasooly, R., Raccah, B. and Klein, M. (1994). "Laboratory Transmission of the Citrus
        Stubborn Disease Agent by a Leafhopper from the Circulifer-Tenellus Complex from
        the Jordan Valley." Phytoparasitica 22(3): 209-218.
Razin, S. and Jacobs, E. (1992). "Mycoplasma adhesion." J Gen Microbiol 138(3): 407-22.
Razin, S., Yogev, D. and Naot, Y. (1998). "Molecular biology and pathogenicity of
        mycoplasmas." Microbiol Mol Biol Rev 62(4): 1094-156.
Reinbold, C., Gildow, F. E., Herrbach, E., Ziegler-Graff, V., Goncalves, M. C., van Den
        Heuvel, J. F. and Brault, V. (2001). "Studies on the role of the minor capsid protein in
        transport of Beet western yellows virus through Myzus persicae." J Gen Virol 82(Pt
        8): 1995-2007.
Renaudin, J., Aullo, P., Vignault, J. C. and Bove, J. M. (1990). "Complete nucleotide
        sequence of the genome of Spiroplasma citri virus SpV1-R8A2 B." Nucleic Acids Res
        18(5): 1293.
Renaudin, J. and Bove, J. M. (1994). Spv1 and Spv4, Spiroplasma Viruses with Circular,
        Single-Stranded-DNA Genomes, and Their Contribution to the Molecular-Biology of
        Spiroplasmas. Advances in Virus Research, Vol 44. 44: 429-463.
Renaudin, J. and Lartigue, C. (2005). OriC plasmids as gene vectors for mollicutes.
        Mycoplasmas: Pathogenis, Molecular Biology, and Emerging strategies for Control.
        A. Blanchard and G. Browning. Norwich, UK: Horizon Scientific Press: 3-30.
                                              154
Bibliographie
Renaudin, J., Marais, A., Verdin, E., Duret, S., Foissac, X., Laigret, F. and Bove, J. M.
        (1995). "Integrative and free Spiroplasma citri oriC plasmids: expression of the
        Spiroplasma phoeniceum spiralin in Spiroplasma citri." J Bacteriol 177(10): 2870-7.
Renaudin, J., Pascarel, M. C., Saillard, C., Chevalier, C. and Bove, J. M. (1986). "Chez les
        spiroplasmes le codon UGA n'est pas non sens et semble coder pour le tryptophane."
        C.R Acad Sci Paris Série III(303): 539-540.
Rosati, S., Robino, P., Fadda, M., Pozzi, S., Mannelli, A. and Pittau, M. (2000). "Expression
        and antigenic characterization of recombinant Mycoplasma agalactiae P48 major
        surface protein." Vet Microbiol 71(3-4): 201-10.
Rosenberg, R. (1985). "Inability of Plasmodium knowlesi sporozoites to invade Anopheles
        freeborni salivary glands." Am J Trop Med Hyg 34(4): 687-91.
Rosini, R., Rinaudo, C. D., Soriani, M., Lauer, P., Mora, M., Maione, D., Taddei, A., Santi, I.,
        Ghezzo, C., Brettoni, C., Buccato, S., Margarit, I., Grandi, G. and Telford, J. L.
        (2006). "Identification of novel genomic islands coding for antigenic pilus-like
        structures in Streptococcus agalactiae." Mol Microbiol 61(1): 126-41.
Roth, D. and Burgoyne, R. D. (1995). "Stimulation of Catecholamine Secretion from Adrenal
        Chromaffin Cells by 14-3-3-Proteins Is Due to Reorganization of the Cortical Actin
        Network." Febs Letters 374(1): 77-81.
Rottem, S. (2003). "Interaction of mycoplasmas with host cells." Physiol Rev 83(2): 417-32.
Saglio, P., Lhospital, M., Laflèche, D., Dupont, G., Bové, J. M., Tully, J. G. and Freundt, E.
        A. (1973). "Spiroplasma citri gen. and sp. nov.: a mycoplasma-like organism
        associated with stubborn disease of citrus." Int. J. Syst. Bacteriol. 23: 191-204.
Saglio, P., Lhospital, M., Laflèche, M., Dupont, G., Bové, J. M., Tully, J. G. and Freundt, E.
        A. (1971). "Culture in vitro des mycoplasmes associés au stubborn des agrumes et leur
        observation au microscope electronique." C.R. Acad.Sci.Paris. 272: 1387-1390.
Saglio, P. and Whitcomb, R. F. (1979). Diversity of wall-less procaryotes in plant vascular
        tissue, fungi, and invertebrate animals. The Mycoplasma. R. F. W. J. G. Tully. New-
        York, Academic Press. 3: 1-36.
Saiki, R. K., Walsh, P. S., Levenson, C. H. and Erlich, H. A. (1989). "Genetic analysis of
        amplified DNA with immobilized sequence-specific oligonucleotide probes." Proc
        Natl Acad Sci U S A 86(16): 6230-4.
Saillard, C., Carle, P., Duret-Nurbel, S., Henri, R., Killiny, N., Carrere, S., Gouzy, J., Bove, J.
        M., Renaudin, J. and Foissac, X. (2008). "The abundant extrachromosomal DNA
        content of the Spiroplasma citri GII3-3X genome." BMC Genomics 9: 195.
Saillard, C., Vignault, J. C., Bove, J. M., Raie, A., Tully, J. G., Williamson, D. L., Fos, A.,
        Garnier, M., Gadeau, A., Carle, P. and Whitcomb, R. F. (1987). "Spiroplasma-
        Phoeniceum Sp-Nov, a New Plant-Pathogenic Species from Syria." International
        Journal of Systematic Bacteriology 37(2): 106-115.
Sambrook, J., Fritsch, E. F. and Maniatis, T. (1989). "Molecular cloning. A laboratory
        manual." Cold Spring Harbor Laboratory Press.
Schagger, H. and von Jagow, G. (1991). "Blue native electrophoresis for isolation of
        membrane protein complexes in enzymatically active form." Anal Biochem 199(2):
        223-31.
Schamel, W. W. (2008). "Two-dimensional blue native polyacrylamide gel electrophoresis."
        Curr Protoc Cell Biol Chapter 6: Unit 6 10.
Schilling, J. D., Mulvey, M. A. and Hultgren, S. J. (2001). "Structure and function of
        Escherichia coli type 1 pili: new insight into the pathogenesis of urinary tract
        infections." J Infect Dis 183 Suppl 1: S36-40.
Schmid, S. L. and Damke, H. (1995). "Coated vesicles: a diversity of form and function."
        Faseb J 9(14): 1445-53.
Schramm, N. and Wyrick, P. B. (1995). "Cytoskeletal Requirements in Chlamydia-
        Trachomatis Infection of Host-Cells." Infection and Immunity 63(1): 324-332.
Schurig, H., Beaucamp, N., Ostendorp, R., Jaenicke, R., Adler, E. and Knowles, J. R. (1995).
        "Phosphoglycerate kinase and triosephosphate isomerase from the hyperthermophilic

                                               155
Bibliographie
        bacterium Thermotoga maritima form a covalent bifunctional enzyme complex."
        Embo J 14(3): 442-51.
Seddas, P., Boissinot, S., Strub, J. M., Van Dorsselaer, A., Van Regenmortel, M. H. V. and
        Pattus, F. (2004). "Rack-1, GAPDH3, and actin: proteins of Myzus persicae
        potentially involved in the transcytosis of beet western yellows virus particles in the
        aphid." Virology 325(2): 399-412.
Seemüller, E., Schneider, B., Mäurer, R., Ahrens, U., Daire, X., Kison, H., Lorenz, K.-H.,
        Firrao, G., Avinent, L., Sears, B. B. and Stackebrandt, E. (1994). "Phylogenetic
        classification of phytopathogenic Mollicutes by sequence analysis of the 16S
        ribosomal DNA." International Journal of Systematics Bacteriology 44: 440-446.
Seifert, K. N., McArthur, W. P., Bleiweis, A. S. and Brady, L. J. (2003). "Characterization of
        group B streptococcal glyceraldehyde-3-phosphate dehydrogenase: surface
        localization, enzymatic activity, and protein-protein interactions." Can J Microbiol
        49(5): 350-6.
Seybert, A., Herrmann, R. and Frangakis, A. S. (2006). "Structural analysis of Mycoplasma
        pneumoniae by cryo-electron tomography." J Struct Biol 156(2): 342-54.
Shaevitz, J. W., Lee, J. Y. and Fletcher, D. A. (2005). "Spiroplasma swim by a processive
        change in body helicity." Cell 122(6): 941-5.
Silacci, P., Mazzolai, L., Gauci, C., Stergiopulos, N., Yin, H. L. and Hayoz, D. (2004).
        "Gelsolin superfamily proteins: key regulators of cellular functions." Cell Mol Life Sci
        61(19-20): 2614-23.
Sirand-Pugnet, P., Lartigue, C., Marenda, M., Jacob, D., Barre, A., Barbe, V., Schenowitz, C.,
        Mangenot, S., Couloux, A., Segurens, B., de Daruvar, A., Blanchard, A. and Citti, C.
        (2007). "Being pathogenic, plastic, and sexual while living with a nearly minimal
        bacterial genome." PLoS Genet 3(5): e75.
Spaargaren, M. and Bos, J. L. (1999). "Rab5 induces Rac-independent lamellipodia formation
        and cell migration." Mol Biol Cell 10(10): 3239-50.
Stamburski, C., Renaudin, J. and Bove, J. M. (1990). "Characterization of a promoter and a
        transcription terminator of Spiroplasma melliferum virus SpV4." J Bacteriol 172(10):
        5586-92.
Stamburski, C., Renaudin, J. and Bove, J. M. (1991). "First step toward a virus-derived vector
        for gene cloning and expression in spiroplasmas, organisms which read UGA as a
        tryptophan codon: synthesis of chloramphenicol acetyltransferase in Spiroplasma
        citri." J Bacteriol 173(7): 2225-30.
Stenberg, F., Chovanec, P., Maslen, S. L., Robinson, C. V., Ilag, L. L., von Heijne, G. and
        Daley, D. O. (2005). "Protein complexes of the Escherichia coli cell envelope." J Biol
        Chem 280(41): 34409-19.
Stevens, J. M., Galyov, E. E. and Stevens, M. P. (2006). "Actin-dependent movement of
        bacterial pathogens." Nat Rev Microbiol 4(2): 91-101.
Sturgill-Koszycki, S., Haddix, P. L. and Russell, D. G. (1997). "The interaction between
        Mycobacterium and the macrophage analyzed by two-dimensional polyacrylamide gel
        electrophoresis." Electrophoresis 18(14): 2558-2565.
Sung, M. A., Fleming, K., Chen, H. A. and Matthews, S. (2001). "The solution structure of
        PapGII from uropathogenic Escherichia coli and its recognition of glycolipid
        receptors." Embo Reports 2(7): 621-627.
Suzuki, S., Oshima, K., Kakizawa, S., Arashida, R., Jung, H. Y., Yamaji, Y., Nishigawa, H.,
        Ugaki, M. and Namba, S. (2006). "Interaction between the membrane protein of a
        pathogen and insect microfilament complex determines insect-vector specificity." Proc
        Natl Acad Sci U S A 103(11): 4252-7.
Suzuki, T. and Sasakawa, C. (1998). "N-WASP is an important protein for the actin-based
        motility of Shigella flexneri in the infected epithelial cells." Jpn J Med Sci Biol 51
        Suppl: S63-8.
Swamy, M., Siegers, G. M., Minguet, S., Wollscheid, B. and Schamel, W. W. (2006). "Blue
        native polyacrylamide gel electrophoresis (BN-PAGE) for the identification and
        analysis of multiprotein complexes." Sci STKE 2006(345): pl4.
                                              156
Bibliographie
Taylor-Robinson, D., Davies, H. A., Sarathchandra, P. and Furr, P. M. (1991). "Intracellular
        location of mycoplasmas in cultured cells demonstrated by immunocytochemistry and
        electron microscopy." Int J Exp Pathol 72(6): 705-14.
Taylor-Robinson, D., Sarathchandra, P. and Furr, P. M. (1993). "Mycoplasma fermentans--
        HeLa cell interactions." Clin Infect Dis 17 Suppl 1: S302-4.
Thompson, J., Fernandez-Reyes, D., Sharling, L., Moore, S. G., Eling, W. M., Kyes, S. A.,
        Newbold, C. I., Kafatos, F. C., Janse, C. J. and Waters, A. P. (2007). "Plasmodium
        cysteine repeat modular proteins 1-4: complex proteins with roles throughout the
        malaria parasite life cycle." Cell Microbiol 9(6): 1466-80.
Tilney, L. G., Harb, O. S., Connelly, P. S., Robinson, C. G. and Roy, C. R. (2001). "How the
        parasitic bacterium Legionella pneumophila modifies its phagosome and transforms it
        into rough ER: implications for conversion of plasma membrane to the ER
        membrane." J Cell Sci 114(Pt 24): 4637-50.
Towbin, H., Staehelin, T. and Gordon, J. (1979). "Electrophoretic transfer of proteins from
        polyacrylamide gels to nitrocellulose sheets: procedure and some applications." Proc
        Natl Acad Sci U S A 76(9): 4350-4.
Townsend, R. (1983). "Spiroplasma fibrils." Yale J Biol Med 56(5-6): 447-52.
Trachtenberg, S. (2004). "Shaping and moving a spiroplasma." J Mol Microbiol Biotechnol
        7(1-2): 78-87.
Trachtenberg, S., Andrews, S. B. and Leapman, R. D. (2003). "Mass distribution and spatial
        organization of the linear bacterial motor of Spiroplasma citri R8A2." J Bacteriol
        185(6): 1987-94.
Trachtenberg, S., Dorward, L. M., Speransky, V. V., Jaffe, H., Andrews, S. B. and Leapman,
        R. D. (2008). "Structure of the cytoskeleton of Spiroplasma melliferum BC3 and its
        interactions with the cell membrane." J Mol Biol 378(4): 778-89.
Trachtenberg, S. and Gilad, R. (2001). "A bacterial linear motor: cellular and molecular
        organization of the contractile cytoskeleton of the helical bacterium Spiroplasma
        melliferum BC3." Mol Microbiol 41(4): 827-48.
Tran-Nguyen, L. T., Kube, M., Schneider, B., Reinhardt, R. and Gibb, K. S. (2008).
        "Comparative genome analysis of "Candidatus Phytoplasma australiense" (subgroup
        tuf-Australia I; rp-A) and "Ca. Phytoplasma asteris" Strains OY-M and AY-WB." J
        Bacteriol 190(11): 3979-91.
Trant, C. G., Lacerda, T. L., Carvalho, N. B., Azevedo, V., Rosinha, G. M., Salcedo, S. P.,
        Gorvel, J. P. and Oliveira, S. C. (2010). "The Brucella abortus phosphoglycerate
        kinase mutant is highly attenuated and induces protection superior to that of vaccine
        strain 19 in immunocompromised and immunocompetent mice." Infect Immun 78(5):
        2283-91.
Tully, J. G., Bove, J. M., Laigret, F. and Whitcomb, R. F. (1993). "Revised Taxonomy of the
        Class Mollicutes - Proposed Elevation of a Monophyletic Cluster of Arthropod-
        Associated Mollicutes to Ordinal Rank (Entomoplasmatales Ord-Nov), with Provision
        for Familial Rank to Separate Species with Nonhelical Morphology
        (Entomoplasmataceae Fam-Nov) from Helical Species (Spiroplasmataceae), and
        Emended Descriptions of the Order Mycoplasmatales, Family Mycoplasmataceae (Vol
        43, Pg 383, 1993)." International Journal of Systematic Bacteriology 43(3): 630-630.
Tully, J. G., Whitcomb, R. F., Clark, H. F. and Williamson, D. L. (1977). "Pathogenic
        mycoplasmas: cultivation and vertebrate pathogenicity of a new spiroplasma." Science
        195(4281): 892-4.
van den Heuvel, J. F., Bruyere, A., Hogenhout, S. A., Ziegler-Graff, V., Brault, V., Verbeek,
        M., van der Wilk, F. and Richards, K. (1997). "The N-terminal region of the luteovirus
        readthrough domain determines virus binding to Buchnera GroEL and is essential for
        virus persistence in the aphid." J Virol 71(10): 7258-65.
van den Heuvel, J. F., Verbeek, M. and van der Wilk, F. (1994). "Endosymbiotic bacteria
        associated with circulative transmission of potato leafroll virus by Myzus persicae." J
        Gen Virol 75 ( Pt 10): 2559-65.

                                             157
Bibliographie
Vazeille-Falcoz, M., Perchec-Merien, A. M. and Rodhain, F. (1994). "Experimental infection
       of Aedes aegypti mosquitoes, suckling mice, and rats with four mosquito
       spiroplasmas." J Invertebr Pathol 63(1): 37-42.
Via, L. E., Deretic, D., Ulmer, R. J., Hibler, N. S., Huber, L. A. and Deretic, V. (1997).
       "Arrest of mycobacterial phagosome maturation is caused by a block in vesicle fusion
       between stages controlled by rab5 and rab7." J Biol Chem 272(20): 13326-31.
Vignault, J. C., Bové, J. M., Saillard, C., Vogel, R., Farro, A., Venegas, L., Stemmer, W.,
       Aoki, S., McCoy, R. E., Al-beldawi, A. S., Larue, M., Tuzco, O., Ozan, M., Nhami,
       A., Abassi, M., Bonfils, J., Moutous, G., Fos, A., Poutiers, F. and Viennot-Bourgin, G.
       (1980). "Mise en culture de spiroplasmes à partir de matériel végétal et d’insectes
       provenant de pays circum méditerranéens et du Proche Orient. ." C.R. Acad. Sci.
       Paris. 290: 775-780.
Walker, D. H., Feng, H. M. and Popov, V. L. (2001). "Rickettsial phospholipase A2 as a
       pathogenic mechanism in a model of cell injury by typhus and spotted fever group
       rickettsiae." Am J Trop Med Hyg 65(6): 936-42.
Watson, H. C., Walker, N. P., Shaw, P. J., Bryant, T. N., Wendell, P. L., Fothergill, L. A.,
       Perkins, R. E., Conroy, S. C., Dobson, M. J., Tuite, M. F. and et al. (1982). "Sequence
       and structure of yeast phosphoglycerate kinase." Embo J 1(12): 1635-40.
Wayadande, A. C., Baker, G. R. and Fletcher, J. (1997). "Comparative ultrastructure of the
       salivary glands of two phytopathogen vectors, the beet leafhopper, Circulifer tenellus
       (Baker), and the corn leafhopper, Dalbulus maidis DeLong and Wolcott (Homoptera:
       Cicadellidae)." Journal of Insect Morphology and Embryology 26: 113-120.
Wayadande, A. C. and Fletcher, J. (1995). "Transmission of Spiroplasma citri lines and their
       ability to cross gut and salivary glands barriers within the leafhopper vector Circulifer
       tenellus." Phytopathology 85: 1256-1259.
Welch, M. D., Rosenblatt, J., Skoble, J., Portnoy, D. A. and Mitchison, T. J. (1998).
       "Interaction of human Arp2/3 complex and the Listeria monocytogenes ActA protein
       in actin filament nucleation." Science 281(5373): 105-8.
Whitcomb, R. F., Chen, T. A., Williamson, D. L., Liao, C., Tully, J. G., Bove, J. M.,
       Mouches, C., Rose, D. L., Coan, M. E. and Clark, T. B. (1986). "Spiroplasma-
       Kunkelii Sp-Nov - Characterization of the Etiologic Agent of Corn Stunt Disease."
       International Journal of Systematic Bacteriology 36(2): 170-178.
Whitcomb, R. F., Vignault, J. C., Tully, J. G., Rose, D. L., Carle, P., Bove, J. M., Hackett, K.
       J., Henegar, R. B., Konai, M. and Williamson, D. L. (1993). "Spiroplasma clarkii sp.
       nov. from the Green June Beetle (Coleoptera : Scarabaeidae). ." International Journal
       of Systematics Bacteriology 43 (2): 261-265.
Whitcomb, R. F. and Williamson, D. L. (1975). "Helical Wall-Free Prokaryotes in Insects -
       Multiplication and Pathogenicity." Annals of the New York Academy of Sciences
       266(NOV28): 260-275.
Willcox, M. D. and Drucker, D. B. (1989). "Surface structures, co-aggregation and adherence
       phenomena of Streptococcus oralis and related species." Microbios 59(238): 19-29.
Williamson, D. L., Renaudin, J. and Bove, J. M. (1991). "Nucleotide sequence of the
       Spiroplasma citri fibril protein gene." J Bacteriol 173(14): 4353-62.
Williamson, D. L., Sakaguchi, B., Hackett, K. J., Whitcomb, R. F., Tully, J. G., Carle, P.,
       Bove, J. M., Adams, J. R., Konai, M. and Henegar, R. B. (1999). "Spiroplasma
       poulsonii sp. nov., a new species associated with male-lethality in Drosophila
       willistoni, a neotropical species of fruit fly." Int J Syst Bacteriol 49 Pt 2: 611-8.
Williamson, D. L., Whitcomb, R. F., Tully, J. G., Gasparich, G. E., Rose, D. L., Carle, P.,
       Bove, J. M., Hackett, K. J., Adams, J. R., Henegar, R. B., Konai, M., Chastel, C. and
       French, F. E. (1998). "Revised group classification of the genus Spiroplasma." Int J
       Syst Bacteriol 48 Pt 1: 1-12.
Winner, F., Rosengarten, R. and Citti, C. (2000). "In vitro cell invasion of Mycoplasma
       gallisepticum." Infect Immun 68(7): 4238-44.
Woese, C. R. (1987). "Bacterial evolution." Microbiol Rev 51(2): 221-71.

                                              158
Bibliographie
Woese, C. R., Stackebrandt, E. and Ludwig, W. (1984). "What are mycoplasmas: the
       relationship of tempo and mode in bacterial evolution." J Mol Evol 21(4): 305-16.
Yanagawa, R., Otsuki, K. and Tokui, T. (1968). "Electron microscopy of fine structure of
       Corynebacterium renale with special reference to pili." Jpn J Vet Res 16(1): 31-7.
Yavlovich, A., Rechnitzer, H. and Rottem, S. (2007). "Alpha-enolase resides on the cell
       surface of Mycoplasma fermentans and binds plasminogen." Infect Immun 75(12):
       5716-9.
Ye, F., Renaudin, J., Bove, J. M. and Laigret, F. (1994). "Cloning and sequencing of the
       replication origin (oriC) of the Spiroplasma citri chromosome and construction of
       autonomously replicating artificial plasmids." Curr Microbiol 29(1): 23-9.
Yu, J., Wayadande, A. C. and Fletcher, J. (2000). "Spiroplasma citri surface protein P89
       implicated in adhesion to cells of the vector Circulifer tenellus." Phytopathology
       90(7): 716-722.
Yu, J. S. and Noll, K. M. (2001). "Phosphoglycerate kinase-triose-phosphate isomerase
       complex from Thermotoga neapolitana." Methods Enzymol 331: 78-89.
Zreik, L., Carle, P., Bove, J. M. and Garnier, M. (1995). "Characterization of the
       Mycoplasmalike Organism Associated with Witches-Broom Disease of Lime and
       Proposition of a Candidatus Taxon for the Organism, Candidatus-Phytoplasma-
       Aurantifolia." International Journal of Systematic Bacteriology 45(3): 449-453.




                                          159
Interactions entre Spiroplasma citri et son insecte vecteur Circulifer haematoceps. La
phosphoglycérate kinase de S. citri : une « actin-binding protein » impliquée dans la
transmission du spiroplasme par la cicadelle

Spiroplasma citri est un mollicute phytopathogène transmis de plante à plante par des
cicadelles du genre Circulifer selon un mode persistant circulant-multipliant. Les
franchissements de l’épithélium intestinal et des glandes salivaires sont basés sur un
mécanisme d’endocytose/exocytose. Ce processus d’invasion met en jeu, au sein de
complexes protéiques, des protéines bactériennes spécifiques qui reconnaissent des motifs
déterminés présents à la surface des cellules eucaryotes.
La recherche de protéines de l’insecte vecteur interagissant avec S. citri a notamment conduit
à l’identification de l’actine. Cette interaction a pu être confirmée à la fois in vitro et in vivo.
L’interaction de l’actine avec son partenaire chez S. citri, qui s’est avéré être la
phosphoglycérate kinase (PGK), est impliquée dans l’internalisation du spiroplasme dans les
cellules de l’insecte. La région minimale de liaison à l’actine de la PGK a également été
déterminée.
La réalisation d’un mutant de S. citri dépourvu de PGK a été entreprise avec le plasmide
navette pGOT mais n’a pas permis la sélection de spiroplasmes mutés dans ce gène essentiel.
Néanmoins, la recherche de l’évènement de recombinaison chez les clones obtenus a permis
de mettre en évidence la mutation de deux gènes chez ces derniers.
L'ensemble des protéines impliquées dans la transmission du spiroplasme, identifiées au
préalable chez ce dernier, n’étant pas essentielle au cours de ce processus, une étude
préliminaire des complexes multi-protéiques contenant plusieurs de ces protéines a été
réalisée. L’identification de complexes impliquant à la fois la PGK, la P32 et les ScARPs
pourrait permettre de mieux comprendre les mécanismes régissant la vection de S. citri par
son insecte.
Mots-clés: mollicute phytopathogène, Spiroplasma citri, transmission, insecte vecteur, actine,
phosphoglycérate kinase, interactions protéine-protéine.

Interactions between Spiroplasma citri and its insect vector Circulifer haematoceps. S .citri
phosphoglycerate kinase: an actin-binding protein involved in the spiroplasma transmission by
leafhoppers.

Spiroplasma citri is a phytopathogenic mollicute transmitted from plant to plant by
leafhoppers of the genus Circulifer in a persistent and propagative manner on condition to
cross the intestinal and salivary glands barriers of the insect. These crossings are based on a
endocytosis/exocytosis mechanism which involves bacterial protein complexes in order to
recognize specific patterns on the surface of eukaryotic cells.
Specific molecular interactions between S. citri proteins and those of C. haematoceps were
investigated using far Western technology and had notably led to the identification of actin.
This interaction has been confirmed both in vitro and in vivo. The interaction of actin with his
partner in S. citri, which has been identified as the phosphoglycerate kinase (PGK), is
involved in the internalization of spiroplasma into the insect cells. The minimal actin-binding
region of PGK was also determined.
The realization of a S. citri PGK mutant was carried out using the shuttle plasmid pGOT but
the selection of spiroplasmas mutated in this essential gene failed. Nevertheless, findings in
the localization of recombination events in S. citri chromosome, allowed us to identify
mutations in two genes that could be tested in our experimental transmission system.
The set of proteins involved in the spiroplasmal transmission, previously identified as non
essential proteins in the invasion process, prompted us to study the role of multi-protein
complexes containing several of these proteins. Identification of complexes involving both the
PGK, the P32 and ScARPs should enable us to better understand mechanisms governing the
transmission of S. citri by its insect.
Keywords: phytopathogenic mollicute, Spiroplasma citri, transmission, insect vector, actin,
phosphoglycerate kinase, protein-protein interactions.

Labroussaa (2)

  • 1.
    Université Victor SegalenBordeaux 2 Année 2010 Thèse n° THÈSE pour le DOCTORAT DE L’UNIVERSITÉ BORDEAUX 2 Mention : Sciences Biologiques et Médicales Option : Biologie-Santé Présentée et soutenue publiquement Le 20 Décembre 2010 Par Fabien LABROUSSAA Né le 15 Mars 1984 à Pau (Pyrénées-Atlantiques) INTERACTIONS ENTRE SPIROPLASMA CITRI ET SON INSECTE VECTEUR CIRCULIFER HAEMATOCEPS La phosphoglycérate kinase de S. citri : une « actin-binding protein » impliquée dans la transmission du spiroplasme par la cicadelle Membres du Jury M. BONNEU M., Professeur à l’IPB ENSTBB de Bordeaux ............................ Président Mme. BRAULT V., Directrice de Recherche à l’INRA de Colmar ................... Rapporteur M. HEDDI A., Professeur à l’INSA de Lyon ..................................................... Rapporteur Mme. MARZACHI C., Chercheur à l’Institut de Virologie Végétale de Turin . Examinateur M. LANDRY M., Professeur à l’Université de Bordeaux 2 ............................... Examinateur Mme. SAILLARD C., Maître de Conférence à l’Université de Bordeaux 2 Directrice de thèse
  • 3.
    THÈSE pour le DOCTORAT DE L’UNIVERSITÉ BORDEAUX 2 Mention : Sciences Biologiques et Médicales Option : Biologie-Santé Présentée et soutenue publiquement Le 20 Décembre 2010 Par Fabien LABROUSSAA Né le 15 Mars 1984 à Pau (Pyrénées-Atlantiques) INTERACTIONS ENTRE SPIROPLASMA CITRI ET SON INSECTE VECTEUR CIRCULIFER HAEMATOCEPS La phosphoglycérate kinase de S. citri : une « actin-binding protein » impliquée dans la transmission du spiroplasme par la cicadelle
  • 5.
  • 7.
    Remerciements Ce travail a été réalisé dans le laboratoire de l’Unité Mixte de Recherche 1090 Génomique et Diversité du Pouvoir Pathogène (Institut National de la Recherche Agronomique et Université Victor Ségalen Bordeaux 2), dirigé par Mr Alain Blanchard, sous la direction de Mme Colette Saillard. Je tiens tout d’abord à remercier Mr Blanchard pour m’avoir permis de réaliser ma thèse, ainsi que mes précédents stages de Master 1 et 2, dans son laboratoire. Je souhaite également remercier Mr Bonneu de me faire l’honneur de présider ce jury. Je tiens à adresser mes plus sincères remerciements à Mme V. Brault et Mr A. Heddi d’avoir accepté d’examiner et de juger ce manuscrit. Je remercie également Mme C. Marzachi et Mr M. Landry d’avoir accepté de participer à ce jury de thèse. Un grand merci à Colette pour m’avoir accompagné pendant ces quatre dernières années. Merci pour son encadrement de chaque instant, pour m’avoir laissé la liberté de m’exprimer pleinement dans mon travail. Merci également pour les nombreuses heures passées à la correction de ce manuscrit et aussi lors de chacune de mes présentations orales. Si ces années de thèse ont été un réel plaisir pour moi, c’est en grande partie grâce à elle. J’espère que si j’avais à être le dernier thésard de ta carrière, j’aurais été à la hauteur de mes prédécesseurs. J’adresse aussi un grand merci à Joël et Sybille pour leur encadrement pendant mon stage de M1. Merci à Joël pour toutes les discussions scientifiques ou non, très utiles tout au long de ces années. Merci à Sybille pour son encadrement et sa rigueur qui m’ont apporté toutes les bases indispensables au travail de laboratoire. Merci à vous deux pour votre soutien. Je tiens à remercier Marie-Pierre pour sa formidable gentillesse et sa disponibilité sans failles. Merci pour m’avoir formé à toutes les techniques de Protéomique. Merci aussi pour m’avoir épargné de nombreuses taches chronophages (commandes, micro-injections des insectes, solutions, etc…). J’adresse un grand merci à Nathalie, ma nouvelle voisine de bureau, pour tout ce temps consacré aux manips de microscopie confocale. Merci aussi pour les cellules de Circulifer haematoceps. Mon travail n’aurait pas été le même sans le tien. Promis ! A la fin de ma thèse, je te donne mon bureau que tu jalouses depuis ces derniers mois ! Je remercie énormément Laure, une des rares personnes au monde à se battre pour faire des tests statistiques ! Merçi d’avoir consacrer du temps à l’éveil d’un néo-biochimiste. Je remercie ici une source intarissable d’idées, de conseils et de connaissances dans de nombreux domaines scientifiques. Je tiens également à remercier Michel Castroviejo pour avoir accepté de me prêter pour quelques heures tous ses appareils de chromato mais aussi pour sa gentillesse au cours de chacune de mes visites. Un grand Merci collectif et sincère à tout le labo « Molli ». Aux « IPPistes », Pascal SP, Claire et Guillaume et pour le travail sur Mycoplasma mycoïdes. A toute l’équipe « Phyto » au sens large : Xavier, Sylvie, Delphine, Anne, Gulnara, Sandrine, Christophe, Jam, Pascal S et Jean-Luc. A Jacqueline pour ces conseils et pour tous les autoclavages réalisés en « urgence ». 3
  • 9.
    Aux « serristes», Kaelig et Denis, pour s’occuper de toutes nos bizarreries, pour leurs connaissances pour le secours et le dépannage d’appareils défectueux, sans oublier leurs talents pour le barbecue ! Vous êtes dignes de votre illustre prédécesseur, Patrick, que je remercie également sincèrement pour son travail et sa personnalité. Aux secrétaires, Evelyne et Isa, pour leurs disponibilités et leurs sourires. Peut-être que j’arriverais un jour à vous pardonner pour les pérégrinations italiennes…. Merci aussi à Marc, Laure, Clothilde et Cédric pour les moments « détente » : pause-café, Sodexo et quelques soirées. Je me souviendrais encore longtemps des discussions non-scientifiques improbables et variées qui animaient ces moments-là. Merci à Marc pour m’avoir enseigné tous les secrets du « Bob Whitcomb Award » ! J’ai une pleine bacholle de souvenirs, y’en aura de reste ! Je tiens à remercier Suzann pour avoir mis à ma disposition ses indéniables talents artistiques pour le dessin de Circulifer haematoceps. J’espère arriver à le mettre aussi bien en valeur que ce qu’il le mérite. Toutes les brèves discussions de fin d’après-midi étaient un réel plaisir. Je remercie également Lise et Laura pour leur travail au cours de leurs stages de M1. Bonne chance à vous pour la suite. Anne, Claire et Jam, compagnons de thèse, une pensée spéciale pour vous. Bonne chance pour la suite et j’espère qu’on aura la chance de se revoir plus tard dans quelques congrès sur quelques îles paradisiaques…. En résumé, un grand merci à vous tous qui m’avait permis d’évoluer dans un cadre agréable et propice au travail et fait de ma thèse une superbe expérience et un tremplin pour ma carrière. Assez parlé travail ! Je remercie, du fond du cœur, mes parents qui m’ont toujours permis d’étudier en toute sérénité. Merci pour l’intérêt que vous avez toujours porté à mes études. Je vous en serais éternellement reconnaissant. Je remercie toute ma « famille ». Merci de votre soutien pendant toutes ces années et de m’avoir permis de m’échapper du monde de la Recherche à chaque fois. Yves, Marie-Lucienne, Ben, Carole, Arnaud (compagnon de galère…Courage !) et Poys, merci de m’avoir accueilli dans votre tribu et fait partager de si bons moments. Un grand merci à tous mes amis et plus particulièrement Flo, Céc, David, Camille et Lio. Que ce soit à Paris, Brive, Seignosse ou Pau, il y avait toujours une bonne excuse pour fêter quelque chose ! Bonne nouvelle, voilà une nouvelle raison de faire la fête ! Même si mes recherches restent relativement floues et obscures pour beaucoup d’entre vous, je n’aurais rien réussi sans vous ! Une dernière pensée toute particulière pour Marie qui m’a supporté avant la thèse, pendant ma thèse (miracle !) et qui, j’espère, me supportera encore de longues années après. 4
  • 11.
    Liste des publicationset des communications à des congrès Labroussaa, F.; Dubrana, M.P., Béven, L., Arricau-Bouvery, N. & Saillard, C. A minimal actin-binding region of the S.citri phosphoglycerate kinase is implicated in the transmission process by the insect vector Circulifer haematoceps. Soumis à publication à Applied and Environmental Microbiology . Labroussaa, F. ; Arricau-Bouvery, N. ; Dubrana, M.P. & Saillard, C. Entry of Spiroplasma citri into Circulifer haematoceps cells involves interaction between spiroplasma phosphoglycerate kinase and leafhopper actin. Applied and Environmental Microbiology. 2010, 76(6); 1879-1886. Labroussaa, F., Arricau-Bouvery, N., Breton, M., Dubrana, M.P., Duret, S., Bové, J.M., Renaudin, J. & Saillard, C*. Transmission of the phytopathogenic mollicute “Spiroplasma citri” by its leafhopper vector “Circulifer haematoceps” involves plasmid-encoded determinants and phosphoglycerate kinase protein from the spiroplasma. 18th Conference of the International Oraganization of Citrus Virologists (IOCV), 8-12/11/2010, Campiñas (Brésil). COMMUNICATION ORALE. Labroussaa, F.*; Dubrana, M.P., Béven, L., Arricau-Bouvery, N. & Saillard, C. Deciphering the role of the Spiroplasma citri phosphoglycerate kinase in the internalization into its insect vector cells. 16ème colloque Biologie de l’Insecte, 18-20/09/2010, Lyon. COMMUNICATION ORALE. Labroussaa, F.*; Dubrana, M.P., Arricau-Bouvery, N. & Saillard, C. Interactions between Spiroplasma citri and its insect vector Circulifer haematoceps: the dual role of the phosphoglycerate kinase. 18ème Congrès de l’Organisation Internationale de Mycoplasmologie (IOM), 11-16/07/2010, Chianciano (Italie). COMMUNICATION ORALE récompensée par le prix Robert Whitcomb. Béven, L., Bouyssou, G., Charenton, C., Dautant, A., Labroussaa, F., Sköllermo, A., Perrson, A., Blanchard, A. & Sirand-Pugnet, P. Putative membrane ATPase of mycoplasmas: a specific evolution of ATP synthase F1 subunit. 18ème Congrès de l’Organisation Internationale de Mycoplasmologie (IOM), 11-16/07/2010, Chianciano (Italie). POSTER. Labroussaa, F.*; Arricau-Bouvery, N. ; Dubrana, M.P. & Saillard, C. Transmission de S.citri par son insecte vecteur: rôle de la phosphoglycérate kinase dans l’invasion des cellules de l’hôte. 10ème Journée scientifique de l'Ecole Doctorale Sciences de la Vie et de la Santé; 28/04/2010; Arcachon. POSTER. Labroussaa, F.*; Arricau-Bouvery, N. ; Dubrana, M.P. & Saillard, C. Interactions entre Spiroplasma citri et son insecte vecteur, la cicadelle Circulifer haematoceps : le double jeu de la phosphoglycérate kinase. 9ème Rencontres Plantes-Bactéries ; 18-22/01/2010, Aussois. COMMUNICATION ORALE. 5
  • 13.
    Labroussaa, F. ;Arricau-Bouvery, N.*; Dubrana, M.P. & Saillard, C. La phosphoglycérate kinase inhibe l'internalisation de Spiroplasma citri dans les cellules en culture de son insecte vecteur Circulifer haematoceps. Congrès IMMUNINV; 21-23/10/2009; Poitiers. COMMUNICATION ORALE. Labroussaa, F.*; Dubrana, M.P. ; Saillard, C. & Arricau-Bouvery, N. Interactions protéine-protéine entre Spiroplasma citri et son insecte vecteur Circulifer haematoceps. 1ère Journées des doctorants du Département SPE, 2-3/09/2009, Rennes. COMMUNICATION ORALE. Labroussaa, F. ; Dubrana, M.P. ; Saillard, C. & Arricau-Bouvery, N*. La phosphoglycérate kinase de Spiroplasma citri, une actin-binding protein impliquée dans l'internalisation du spiroplasme dans les cellules de son insecte vecteur. 7ème Colloque national de la Société Française de Phytopathologie (SFP); 08-11/06/2009; Lyon. COMMUNICATION ORALE. Labroussaa, F.*; Dubrana-Ourabah, M.P. ; Bouvery, N. & Saillard, C. Interaction protéines-protéines entre Spiroplasma citri et son insecte vecteur Circulifer haematoceps : identification de protéines d'insectes potentiellement impliquées dans la transmission. 9ème Journée scientifique de l'Ecole Doctorale Sciences de la Vie et de la Santé; 08/04/2009; Arcachon. POSTER. Labroussaa, F.*; Dubrana-Ourabah, M.P. ; Bouvery, N. & Saillard, C. Mise en évidence chez la cicadelle Circulifer haematoceps, de protéines potentiellement impliquées dans la transmission de Spiroplasma citri. 8ème Rencontres Plantes-Bactéries ; 14-18/01/2008; Aussois. COMMUNICATION ORALE récompensée par le prix de la meilleure communication orale. Labroussaa, F. ; Bouvery, N. ; Dubrana-Ourabah, M.P. & Saillard, C*. Interaction between Spiroplasma citri and the actin cytoskeleton of its insect vector's salivary gland cells. 17ème Congrès de l’Organisation Internationale de Mycoplasmologie (IOM); 06-11/07/2008; Tianjin (Chine). COMMUNICATION ORALE. Labroussaa, F. ; Dubrana-Ourabah, M.P.*; Bouvery, N. & Saillard, C. Interaction protéines-protéines entre Spiroplasma citri et son insecte vecteur Circulifer haematoceps : identification de protéines d'insectes potentiellement impliquées dans la transmission. 7ème Rencontre francophone de Mycoplasmologie; 17-18/07/2007; Lyon. COMMUNICATION ORALE. Bouvery, N.*; Labroussaa, F. ; Martin, E. ; Dubrana, M.P. ; Renaudin, J. & Saillard, C. Interaction entre les protéines de Spiroplasma citri et celles du cytosquelette des cellules des glandes salivaires de son insecte vecteur Circulifer haematoceps. 15ème Colloque Physiologie de l'Insecte; 09-11/07/2007; Rennes. COMMUNICATION ORALE. * auteur qui a présenté la communication ou le poster. 6
  • 15.
  • 17.
    INTRODUCTION I. Les mollicutes .................................................................................................................. 12 1. Taxonomie......................................................................................................................... 12 2. Phylogénie......................................................................................................................... 13 3. Evolution et caractéristiques importantes ......................................................................... 13 II. Mollicutes phytopathogènes............................................................................................. 14 1. Phytoplasmes..................................................................................................................... 15 2. Spiroplasmes phytopathogènes ......................................................................................... 16 2.1. Spiroplasma phoeniceum et Spiroplasma kunkelii.................................................... 16 2.2. Spiroplasma citri ....................................................................................................... 17 2.2.1. Description de la maladie et mise en culture..................................................... 17 2.2.2. Caractéristiques de S. citri................................................................................. 18 2.2.3. S. citri, un organisme modèle pour l’élaboration d’outils génétiques............... 19 III. Transmission de microorganismes intracellulaires .......................................................... 21 1. Transmission par insecte vecteur ...................................................................................... 21 1.1. Relation entre le microorganisme et son insecte ....................................................... 21 1.1.1. Transmission externe......................................................................................... 21 1.1.2. Transmission intracellulaire .............................................................................. 21 1.1.3. Relation entre les spiroplasmes et leurs insectes............................................... 22 1.2. Insectes vecteurs........................................................................................................ 23 1.2.1. Vecteurs mollicutes phytopathogènes ............................................................... 23 1.2.1.1. Classification................................................................................................. 23 1.2.1.2. Vecteurs de S. citri ........................................................................................ 23 1.2.1.3. Morphologie des cicadelles ........................................................................... 24 1.2.2. Circuit du spiroplasme dans l’insecte................................................................ 25 2. Cycle cellulaire de la transmission.................................................................................... 26 2.1. Adhésion.................................................................................................................... 27 2.1.1. Adhésines de type fibrillaire ............................................................................. 27 2.1.1.1. Bactéries à Gram-négatif............................................................................... 27 2.1.1.2. Bactéries à Gram-positif................................................................................ 29 2.1.2. Adhésines de type non-fibrillaire ...................................................................... 30 2.1.2.1. Autotransporteurs .......................................................................................... 30 2.1.2.2. Effecteur Tir (translocated intimin receptor) ................................................ 30 2.1.2.3. Hémagglutinine filamenteuse (FHA) ............................................................ 31 2.1.2.4. Système de sécrétion de type 3 (SSTT) ........................................................ 31 2.1.3. Adhésion chez les mollicutes ............................................................................ 33 2.1.3.1. Mycoplasmes................................................................................................. 33 2.1.3.2. Phytoplasmes................................................................................................. 33 2.1.3.3. Spiroplasmes ................................................................................................. 35 2.2. Internalisation............................................................................................................ 35 2.2.1. Voie clathrine-dépendante................................................................................. 35 2.2.2. Phagocytose....................................................................................................... 36 2.2.2.1. « Zipper » mécanisme ................................................................................... 36 2.2.2.2. « Trigger » mécanisme.................................................................................. 37 2.2.2.3. Voie dépendante des microtubules................................................................ 37 2.2.3. Mycoplasmes..................................................................................................... 38 2.2.4. Virus .................................................................................................................. 39 2.2.5. Franchissement de la barrière des glandes salivaires ........................................ 40 2.3. Echappement à la machinerie lysosomiale................................................................ 41 2.3.1. Arrêt de la maturation des phagosomes ............................................................ 41 7
  • 19.
    2.3.2. Libération de la vacuole .................................................................................... 42 2.3.3. Détournement du système lysosomial............................................................... 42 2.4. Dissémination dans l’hôte ......................................................................................... 42 3. Déterminants génétiques de la transmission de Spiroplasma citri.................................... 43 3.1. Transmission expérimentale de S. citri ..................................................................... 43 3.2. Identification de protéines chez S. citri candidates dans la transmission.................. 44 IV. Situation du sujet et objectifs de recherche ...................................................................... 46 CHAPITRE 1: Interactions protéine-protéine entre S. citri et son insecte vecteur Circulifer haematoceps I. Introduction et objectifs ................................................................................................... 48 II. Résultats et discussion...................................................................................................... 51 1. Publication 1...................................................................................................................... 51 2. Résultats supplémentaires ................................................................................................. 52 2.1. Identification de protéines d’insectes impliquées dans une interaction avec S. citri 52 2.1.1. Comparaison des far Western monodimensionnels (1-D) réalisés avec les protéines totales et de glandes salivaires d’insectes.......................................................... 52 2.1.2. Far Western bi-dimensionnel (2-D) avec les protéines totales et celles des glandes salivaires d’insectes.............................................................................................. 53 2.1.3. Identification des protéines d’insectes impliquées par spectrométrie de masse 54 2.1.3.1. Signaux d’interaction communs aux deux far Western. ........................... 54 Signal d’interaction à 42 kDa : l’actine..................................................................... 54 Signal d’interaction à 50 kDa : la tubuline................................................................ 55 Signal d’interaction à 25 kDa : Rab GTPases ........................................................... 56 2.1.3.2. Signal spécifique du far Western réalisé avec les protéines des glandes salivaires d’insectes....................................................................................................... 57 Signal d’interaction à 27 kDa : la protéine 14-3-3 .................................................... 57 2.2. Recherche et identification du partenaire de l’actine chez S. citri ............................ 57 2.2.1.1. Transmembrane conserved hypothetical lipoprotein (SPICI 03-098)........... 58 2.2.1.2. La phosphoglycérate kinase (PGK)............................................................... 59 III. Conclusion........................................................................................................................ 59 CHAPITRE 2: Caractérisation de la région minimale de liaison à l’actine de la PGK de S. citri et implication dans la transmission I. Introduction et objectifs ................................................................................................... 62 II. Résultats et discussion...................................................................................................... 64 1. Publication 2...................................................................................................................... 64 2. Résultats supplémentaires et discussion............................................................................ 74 2.1. Recherche du mécanisme d’interaction entre la PGK et l’actine.............................. 74 2.2. Recherche d’homologie de séquences chez la PGK d’autres organismes. ............... 76 2.3. Localisation de la PGK ............................................................................................. 77 III. Conclusion........................................................................................................................ 78 CHAPITRE 3: Réalisation d’un mutant de S. citri dépourvu de phosphoglycérate kinase I. Introduction ...................................................................................................................... 80 II. Résultats ........................................................................................................................... 81 1. Construction du vecteur pGOTpgk ................................................................................... 81 2. Obtention et sélection des clones délétés dans le gène pgk............................................... 82 8
  • 21.
    3.Recherche du sited’intégration du pGOTpgk dans le chromosome de S. citri ................ 83 3.1. Approche par PCR pour détecter une intégration au niveau de l’OriC ou du promoteur de la spiraline....................................................................................................... 84 3.2. Approche par PCR « aléatoire »................................................................................ 84 4. Identification des gènes dans le chromosome de S. citri ayant subi l’intégration ............ 85 III. Discussion et conclusion .................................................................................................. 86 CHAPITRE 4: Étude préliminaire de complexes protéiques impliqués dans la transmission de S.citri par l’insecte vecteur I. Introduction et objectifs ................................................................................................... 88 II. Résultats et discussion...................................................................................................... 90 1. Recherche de complexes par la technique de BN-PAGE chez S. citri. ............................ 90 1.1. Extraction et analyse des complexes membranaires. ................................................ 91 1.2. Extraction et analyse des complexes cytosoliques. ................................................... 92 2. Recherche chez S. citri des complexes impliquant la PGK .............................................. 94 2.1. Protéines associées à la PGK dans des complexes connus ....................................... 96 III. Discussion et conclusion .................................................................................................. 99 DISCUSSION GENERALE ET PERSPECTIVES I. Hypothèses concernant le cycle de S. citri dans l'insecte C. haematoceps .................... 102 1. Franchissement de la barrière de l'épithélium intestinal ................................................. 102 2. Franchissement de la barrière des glandes salivaires ...................................................... 102 2.1. Franchissement de la lame basale des glandes salivaires........................................ 102 2.2. Adhésion au plasmalemme des glandes salivaires .................................................. 103 2.3. Internalisation dans les cellules des glandes salivaires ........................................... 104 2.4. Devenir des vésicules d'endocytose contenant S. citri ............................................ 105 2.5. Libération dans le canal salivaire ............................................................................ 105 II. Perspectives .................................................................................................................... 106 MATERIELS ET METHODES I. Matériel biologique ........................................................................................................ 109 1. Spiroplasma citri : souches et conditions de culture....................................................... 109 2. Escherichia coli : souches et utilisation .......................................................................... 109 3. L’insecte vecteur : la cicadelle Circulifer haematoceps ................................................. 110 3.1. Origine et conditions d’élevage............................................................................... 110 3.2. Capture et dissection des cicadelles ........................................................................ 110 3.3. Obtention d’une lignée cellulaire ............................................................................ 111 II. Plasmides........................................................................................................................ 111 1. Commerciaux .................................................................................................................. 111 1.1. pBS .......................................................................................................................... 111 1.2. pET28a(+) ............................................................................................................... 112 2. Obtenus au laboratoire .................................................................................................... 112 2.1. pGOT1..................................................................................................................... 112 III. Méthodes d’analyse d’ADN........................................................................................... 113 1. Purification de l’ADN génomique de S. citri.................................................................. 113 2. Purification de l’ADN plasmidique................................................................................. 113 3. Purification de fragments d’ADN à partir de gel d’agarose............................................ 113 4. Hydrolyse par les endonucléases de restriction............................................................... 114 9
  • 23.
    5. Analysedes fragments d’ADN sur gel d’agarose ........................................................... 114 6. Amplification d’ADN par PCR....................................................................................... 114 7. Mutagénèse dirigée ......................................................................................................... 115 8. Clonage de fragment d’ADN amplifié par PCR ............................................................. 115 8.1. Préparation du fragment PCR ................................................................................. 115 8.2. Préparation du vecteur............................................................................................. 116 8.3. Ligation du fragment PCR et de son vecteur .......................................................... 116 9. Transformation des bactéries .......................................................................................... 116 9.1. E. coli ...................................................................................................................... 116 9.1.1. Electrocompétentes ......................................................................................... 116 9.1.2. Chimiocompétentes......................................................................................... 117 9.2. S. citri ...................................................................................................................... 118 10. Marche sur le chromosome ......................................................................................... 118 IV. Méthodes d’analyse des protéines.................................................................................. 119 1. Extraction des protéines .................................................................................................. 119 1.1. Préparation des protéines de S. citri ........................................................................ 119 1.1.1. Protéines pour l’électrophorèse mono-dimensionnelle ................................... 119 1.1.2. Protéines pour l’électrophorèse bi-dimensionnelle ......................................... 120 1.1.3. Fractionnement des protéines membranaires .................................................. 120 1.2. Préparation des protéines de C. haematoceps ......................................................... 120 1.2.1. Totales ............................................................................................................. 120 1.2.2. Glandes salivaires............................................................................................ 121 1.2.3. Pour l’électrophorèse bi-dimensionnelle......................................................... 121 2. Production de protéines recombinantes tagguées His6 .................................................... 121 2.1. His6-PGK................................................................................................................. 121 2.2. His6 PGK FL1, 2, 3, 4, 5 ......................................................................................... 122 3. Purification des protéines par chromatographie liquide.................................................. 123 3.1. Colonne de protein A Sépharose CL-4B................................................................. 123 3.2. Purification de protéines recombinantes ................................................................. 124 3.2.1. IMAC (immobilized metal affinity chromatography)..................................... 124 3.2.2. Chromatographie d’exclusion ......................................................................... 125 3.2.3. Fractionnement sur colonne échangeuse d’ions.............................................. 126 4. Dosage des protéines ....................................................................................................... 126 4.1. Bradford .................................................................................................................. 126 4.2. Bradford modifié ..................................................................................................... 126 5. Séparation des protéines en gel d’électrophorèse ........................................................... 127 5.1. Electrophorèse mono-dimensionnelle ..................................................................... 127 5.1.1. Gels de polyacrylamide à concentration constante ......................................... 127 5.1.2. Gels en gradient de polyacrylamide 4-15 % ................................................... 127 5.2. Electrophorèse bi-dimensionnelle ........................................................................... 128 6. Visualisation des protéines après électrophorèse ............................................................ 129 6.1. Coloration au bleu colloïdal .................................................................................... 129 6.2. Coloration au nitrate d’argent classique.................................................................. 129 6.3. Coloration au nitrate d’argent compatible avec la spectrométrie de masse ............ 130 6.3.1. Méthode O’Connell et al, 1997....................................................................... 130 6.3.2. Kit Proteosilver™ Silver Stain........................................................................ 130 7. Transfert des protéines et détection immunologique ...................................................... 131 7.1. Electrotransfert des protéines sur membrane de nitrocellulose............................... 131 7.2. Détection immunologique des protéines sur membrane ......................................... 131 8. Etude d’interaction protéine-protéine par la technique de far Western .......................... 132 9. Identification des protéines par spectrométrie en masse................................................. 132 10
  • 25.
    10. Etude des complexes protéines chez S. citri ............................................................... 133 10.1. Technique de Blue-Native PAGE ....................................................................... 133 10.1.1. Préparation des protéines ................................................................................ 133 10.1.2. Electrophorèse des protéines ........................................................................... 133 10.1.2.1. 1ère dimension ............................................................................................ 133 10.1.2.2. 2ème dimension........................................................................................... 134 10.2. Pontage des complexes protéiques associant la PGK chez S. citri ..................... 134 10.2.1. Préparation des protéines ................................................................................ 134 10.2.2. Purification sur colonne de Nickel .................................................................. 135 V. Etude de la transmission expérimentale de S. citri......................................................... 135 1. Transmission à la pervenche de Madagascar Catharanthus roseus................................ 135 1.1. Insectes .................................................................................................................... 135 1.2. Les pervenches de Madagascar ............................................................................... 135 1.3. Micro-injection intra-abdominale des cicadelles .................................................... 135 1.4. Transmission à la pervenche de Madagascar .......................................................... 136 1.5. Symptomatologie .................................................................................................... 136 2. « Recrachage » à travers une membrane de Parafilm® .................................................. 137 2.1. Injection de la culture de S. citri GII3 dans l’insecte .............................................. 137 2.2. Injection des protéines recombinantes dans l’insecte ............................................. 137 2.3. Transmission à travers une membrane de Parafilm® ............................................. 137 2.4. Mise en culture des spiroplasmes à partir des insectes ........................................... 137 3. Effet de la PGK et des peptides sur l’adhésion et/ou l’internalisation............................ 138 3.1. Adhésion.................................................................................................................. 138 3.2. Internalisation.......................................................................................................... 138 4. Observations au microscope confocal............................................................................. 139 4.1. Glandes salivaires de C. haematoceps infectées ..................................................... 139 4.2. Cellules de C. haematoceps incubées avec la His6-PGK ........................................ 140 REFERENCES………………………………………………………………………………….141 11
  • 27.
  • 28.
    Classification Guanine+Cytosine Taille du génome Besoin en (moles %) (kpb) Cholestérol Tween 80 Ordre I: MYCOPLASMATALES Famille I: MYCOPLASMATACEAE Genre I: Mycoplasma 23-40 580-1350 Oui Non Genre II: Ureaplasma 27-30 760-1170 Oui Non Ordre II: ENTOMOPLASMATALES Famille I: ENTOMOPLASMATACEAE Genre I: Entomoplasma 27-29 790-1140 Oui Non Genre II: Mesoplasma 27-30 870-1100 Non Oui Famille II: SPIROPLASMATACEAE Genre I: Spiroplasma 25-30 780-2220 Oui∗ ∗ Non Ordre III: ACHOLEPLASMATALES Famille: ACHOLEPLASMATACEAE Genre: Acholeplasma 26-36 1500-2085 Non Non Candidatus Phytoplasma 25-30 600-1240 Ordre IV: ANAEROPLASMATALES Famille: ANAEROPLASMATACEAE Genre I: Anaeroplasma 29-34 1500-1600 Oui Non Genre II: Asteroleplasma 40 1500 Non Non Tableau I.1: Classification des membres de l’ordre des Mollicutes. ∗: S. floricola, S. apis, S. chinense, et les spiroplasmes du groupe XII peuvent se multiplier dans un milieu sans sérum. (Rose et al., 1993)
  • 29.
    Introduction Introduction I. Les mollicutes Les mollicutes sont des eubactéries sans paroi présents chez l’homme, les animaux, les insectes et les plantes. Leur découverte date de la fin du 19ème siècle lorsque Nocard et Roux cultivèrent pour la première fois l’agent de la péripneumonie contagieuse bovine, Mycoplasma mycoïdes (Nocard & Roux, 1898). Ce nom de mycoplasme ne sera donné qu’en 1929 par Nowak, à la suite de l’apparition de filaments évoquant des formes mycéliennes qui apparaissent au cours de la culture de cette bactérie. Ce n’est qu’en 1967 que l’ensemble des mycoplasmes fut regroupé dans la classe des Mollicutes (Edward & Freundt, 1967). 1. Taxonomie La classe des Mollicutes est constituée de plusieurs centaines d’espèces réparties en 4 ordres, eux-mêmes répartis en 5 familles et 8 genres (Tableau 1.1 ; (Tully et al., 1993; Razin et al., 1998)). L’ordre des Mycoplasmatales est constitué d’une seule famille, la famille des Mycoplasmataceae comprenant deux genres: le genre Mycoplasma et le genre Ureaplasma. Dans cet ordre, les organismes ont besoin de cholestérol pour leur croissance et sont majoritairement aérobies. Les mollicutes du genre Ureaplasma ont la capacité d’hydrolyser l’urée. Leurs hôtes sont préférentiellement l’homme et les animaux. L’ordre des Acholeplasmatales comprend une seule famille, les Acholeplasmataceae, ne contenant que le genre Acholeplasma dont les organismes n’ont pas besoin de cholestérol pour leur croissance. Ces organismes sont quant à eux présents chez les mammifères, les insectes et les plantes. L’ordre Anaeroplasmatales regroupe des bactéries, anaérobies, isolées uniquement de la panse des ruminants et classées en une famille, les Anaeroplasmataceae, comprenant deux genres. Les membres du genre Anaeroplasma ont besoin de cholestérol pour leur croissance contrairement aux membres du genre Asteroleplasma. Les Entomoplasmatales sont des mollicutes isolés de la surface de plantes et d’arthropodes. Cet ordre est scindé en deux familles : la famille des Entomoplasmataceae, constituée des deux genres Mesoplasma et Entomoplasma, et celle des Spiroplasmataceae, représentée par un seul genre, le genre Spiroplasma. Les spiroplasmes sont caractérisés par 12
  • 30.
    Figure I.2: Arbrephylogénétique basé sur les séquences d’ADNr des Mollicutes. (D’après Sirand-Pugnet, 2007.)
  • 31.
    Introduction leur morphologie hélicoïdaleet leur motilité. Ils sont plus ou moins exigeants en stérols. Les habitats des spiroplasmes sont les invertébrés, la surface des plantes mais également, pour trois d’entre eux uniquement, les tubes criblés du phloème. De nombreux mollicutes n’ont pas encore été cultivés en milieu acellulaire. De ce fait, leur statut taxonomique n’a pu être établi selon les standards minimaux de définition d’espèce. C’est en particulier le cas des phytoplasmes qui se multiplient dans les insectes et les tubes criblés du phloème. 2. Phylogénie Des études phylogénétiques basées sur l’ADN 16S de ces bactéries ont montré que les mollicutes ont évolué de manière régressive à partir d’un ancêtre bactérien à Gram-positif et à faible pourcentage en base G+C (Woese, 1987). Cet ancêtre serait commun avec certaines Clostridia, comme Clostridium innocuum et Clostridium ramosum, dont ils partagent la propriété d’être insensible à la rifampicine (Gadeau et al., 1986). Cette évolution régressive est marquée notamment par une réduction de la taille de leur génome engendrée par la perte massive de gènes non essentiels à l’autoréplication. Ces études ont également permis de situer les phytoplasmes par rapport aux autres mollicutes (Woese, 1987). Selon ces critères, les phytoplasmes sont apparentés aux acholéplasmes. De manière plus surprenante, les mycoplasmes du groupe mycoïdes, ainsi que Mycoplasma capricolum, appartiennent à la même branche phylogénétique que les spiroplasmes, bien que se trouvant dans des ordres différents dans la classification taxonomique. La classification phylogénétique des mollicutes est représentée figure I.2 où ces derniers sont regroupés en 4 groupes phylogénétiques distincts : les groupes pneumoniae, hominis, spiroplasma et phytoplasma/acholeplasma (Sirand-Pugnet et al., 2007). 3. Evolution et caractéristiques importantes Il a été suggéré que les mollicutes évoluent plus rapidement que les autres bactéries (Woese et al., 1984). Cette vitesse d’évolution rendrait compte de leur positionnement sur les plus longues branches de l’arbre universel de la vie (Ciccarelli et al., 2006). De plus, leur évolution par la perte de certains gènes a influencé certaines propriétés particulières communes à ces bactéries (tableau I.1). En effet, les mollicutes se distinguent en premier lieu 13
  • 33.
    Introduction par l’absence deparoi rigide à peptidoglycane ce qui les rend constitutivement résistants à tous les antibiotiques ayant pour cible la paroi bactérienne. Ils se caractérisent également par une taille de génome réduite qui varie de 580 kpb pour Mycoplasma genitalium à 2200 kpb pour Spiroplasma ixodetis. Ils possèdent un nombre limité de voies métaboliques ce qui implique que leur culture in vitro ne peut être obtenue que dans un milieu complexe contenant notamment du sérum d’origine animale. De plus, l’adaptation de ces organismes à des niches écologiques précises a certainement joué un rôle prépondérant au cours de leur évolution entraînant notamment la perte de la capacité à synthétiser certains acides aminés (Pollack et al., 1996) voire la totalité dans le cas de Spiroplasma citri (Chang & Chen, 1981). Leur pourcentage de moles de paires de bases G+C est faible, de 23 à 41 % (Razin et al., 1998). De ce fait, les mollicutes ont développé un biais dans l’utilisation des codons. Pour un même acide aminé, les codons terminés par A ou T sont utilisés préférentiellement à ceux terminés par G ou C (Razin et al., 1998). Dans tous les genres, hormis le genre Acholeplasma, le tryptophane est codé par le codon UGA et, dans une moindre proportion par le codon UGG (Renaudin et al., 1986; Blanchard, 1990). UGA étant un codon de terminaison dans le code génétique universel, l’expression de protéines dans un système hétérologue de production comme Escherichia coli, s’avère impossible sans muter l’ensemble de ces codons dans les gènes correspondants. Les mollicutes sont présents dans des habitats très variés, mais toujours associés à un hôte vivant, que ce soit l’homme, l’animal (mammifère, poisson, oiseau, insecte) ou la plante (Razin et al., 1998). En milieu naturel, ces organismes sont des parasites obligatoires et, à ce titre, peuvent posséder un ou plusieurs hôtes. Les mollicutes phytopathogènes ont, de ce fait, deux hôtes que sont la plante et l’insecte vecteur par lequel ils sont transmis. II. Mollicutes phytopathogènes C’est en 1967 qu’une équipe japonaise observe pour la première fois, en microscopie électronique, des organismes ressemblant à des mycoplasmes dans les tubes criblés d’une plante atteinte de jaunisse (Doi et al., 1967). Ces organismes ont alors été nommés MLO pour Mycoplasma-Like Organism. Le comité de taxonomie des mycoplasmes a repris, en 1994, la proposition de Murray et Schleifer (Murray & Schleifer, 1994) de désigner, sous le nom de genre 'Candidatus Phytoplasma', les différents groupes phylogénétiques des phytoplasmes (IRPCM., 2004). Le phytoplasme associé à la maladie des balais de sorcières du limettier du Sultanat d'Oman est le premier phytoplasme pour lequel cette proposition a été retenue. Il 14
  • 35.
    Introduction porte maintenant lenom de 'Candidatus Phytoplasma aurantifolia' (Zreik et al., 1995). Depuis, 25 autres espèces de Candidatus Phytoplasma ont été décrites (Hogenhout et al., 2008). Les mollicutes phytopathogènes regroupent aujourd’hui les phytoplasmes appartenant au genre Candidatus phytoplasma et les spiroplasmes appartenant au genre Spiroplasma. Les phytoplasmes sont les plus nombreux et les plus importants du point de vue économique. Cependant, ils résistent toujours à la mise en culture. En revanche, trois espèces de spiroplasmes phytopathogènes sont connues et disponibles en culture pure : Spiroplasma citri, Spiroplasma kunkelii et Spiroplasma phoeniceum. Parmi ceux-là, S. citri a fait l’objet de nombreuses études biologiques et biochimiques et est devenu un organisme modèle pour l’étude des mollicutes phytopathogènes (Garnier et al., 2001; Bove et al., 2003). 1. Phytoplasmes Au niveau mondial, les phytoplasmes sont responsables de plus de 300 maladies de plantes appartenant à plus de 100 familles botaniques différentes (McCoy et al., 1989). Les symptômes provoqués sur les plantes infectées sont variables et incluent des jaunisses foliaires, un enroulement et/ou une diminution de la taille des feuilles, une virescence (pétales non segmentés), une phyllodie (morphologie foliaire des sépales), la prolifération de bourgeons axillaires, un raccourcissement des entre-nœuds, etc…. Les pertes économiques provoquées par des infections à phytoplasmes sont importantes dans nos régions françaises lorsque ces infections touchent des cultures pérennes comme la Flavescence dorée de la vigne (Daire et al., 1993b), la maladie du Stolbur (Daire et al., 1993a), l’enroulement chlorotique de l’abricotier (Jaraush et al., 1999) et la maladie de la prolifération du pommier (Lee et al., 2000). L’analyse de leur ADN ribosomique 16S a permis de démontrer que ces organismes sont phylogénétiquement proches des acholéplasmes (Lim & Sears, 1989; Seemüller et al., 1994) avec lesquels ils partagent l’utilisation du code génétique universel contrairement aux autres mollicutes (Lim & Sears, 1992). Le séquençage systématique de leurs ARNr 16S, associé à la mise au point de techniques de RFLP (Restriction Fragment Length Polymorphism), ont permis d’établir une classification des phytoplasmes (Lee et al., 1998). Les premières données disponibles sur le génome des phytoplasmes révèlent, en se basant sur des études d’électrophorèse en champ pulsé, que celui-ci aurait une taille comprise entre 530 kpb pour le Bermuda grass white leaf phytoplasma, et 1350 kpb pour le Tomato 15
  • 37.
    Introduction Stolbur phytoplasma (Marconeet al., 1999) avec une teneur en G+C de l’ordre de 25 à 30 moles %. Depuis le séquençage, en 2004, de Candidatus Phytoplasma asteris souche Onion Yellows (OY) (Oshima et al., 2004), trois nouveaux génomes sont disponibles dont celui de Candidatus Phytoplasma asteris Aster Yellows (AY) (Bai et al., 2006), Candidatus Phytoplasma australiense (Tran-Nguyen et al., 2008) et Candidatus Phytoplasma mali (Kube et al., 2008). La taille du génome de Candidatus Phytoplasma australiense est d’environ 20 kpb supérieure à ceux des deux phytoplasmes de l’ordre des Candidatus Phytoplasma asteris qui atteignent environ 860 kpb. De ce fait, son génome possède environ 200 gènes « souche- spécifique », qui ne sont pas présents chez les deux autres phytoplasmes séquencés, et qui codent de nombreuses protéines hypothétiques mais aussi des transposases ou encore des intégrases (Tran-Nguyen et al., 2008). Le génome de Candidatus Phytoplasma mali a révélé une caractéristique particulière par rapport aux autres phytoplasmes déjà séquencés. En effet, son génome de 600 kpb est linéaire. De plus, l’analyse des régions codantes de ce dernier a révélé que la voie de la glycolyse, principale source d’énergie d’un organisme, est incomplète et, de plus, aucune ATP synthase de type F n’a été retrouvée (Kube et al., 2008). 2. Spiroplasmes phytopathogènes 2.1. Spiroplasma phoeniceum et Spiroplasma kunkelii Spiroplasma phoeniceum a été isolé en 1986 de pervenches de Madagascar atteintes de jaunisse provenant de Syrie (Saillard et al., 1987). Il provoque des symptômes très similaires à ceux observés sur des plantes infectées par S. citri. Il appartient au sérogroupe I-8 de la dernière classification des spiroplasmes établie en 1998 (Williamson et al., 1998). Son génome de 1860 kpb (Carle et al., 1995) possède 26 % de bases G+C (Saillard et al., 1987). Son optimum de croissance dans un milieu riche en cholestérol est de 32°C. S. kunkelii (sérogroupe I-3), observé pour la première fois en 1972, est l’agent responsable de la maladie du rabougrissement du maïs ou « corn stunt », une maladie qui s’étend depuis le sud des Etats-Unis jusqu’en Argentine. S. kunkelii, cultivé pour la première fois en 1975 (Chen & Liao, 1975; Whitcomb & Williamson, 1975) a été caractérisé en 1986 (Whitcomb et al., 1986). Son génome, partiellement séquencé, est constitué d’un chromosome circulaire de 1610 kpb (Carle et al., 1995) et possède 26 % de bases G+C (Whitcomb et al., 1986). Les séquences disponibles sont accessibles sur le site web suivant: (http://www.genome.ou.edu/ spiro_blast.html). 16
  • 39.
    Introduction 2.2. Spiroplasma citri 2.2.1. Description de la maladie et mise en culture En 1970, deux équipes observent pour la première fois des organismes de type mollicute dans les tubes criblés d'orangers atteints de la maladie du stubborn (Igwegbe & Calavan, 1970; Laflèche & Bové, 1970). Contrairement à un arbre sain dont la forme est généralement pyramidale, l'arbre très atteint présente un aspect buissonneux provenant d'un raccourcissement général des entre-noeuds. Les feuilles des arbres malades présentent une chlorose foliaire. La floraison et la maturation des fruits sont perturbées. La floraison s'échelonne tout le long de l'année et survient donc à contre saison. Les fruits sont déformés en forme de glands et les pépins avortés ou nécrosés. Obtenu en culture pure en France (Saglio et al., 1971) et en Californie (Fudl-Allah et al., 1972), la caractérisation biochimique et immunologique du pathogène responsable de la maladie du stubborn révèle que l'organisme cultivé est bien un mycoplasme du fait de l'absence de paroi à peptidoglycane (Bébéar et al., 1974) mais, qu’il s'agit d'un mycoplasme nouveau de par sa morphologie hélicoïdale et sa motilité (Saglio et al., 1973). Il fut nommé Spiroplasma citri en 1973 (Saglio et al., 1973). La transmission de S. citri à l’oranger Citrus sinensis (Markham et al., 1974) par la cicadelle Euscelis plebejus (Fallen), infectée par micro-injection d’une culture du spiroplasme, a permis de vérifier les postulats de Koch, démontrant ainsi le rôle de S. citri comme agent phytopathogène. La mise au point d'un milieu de culture de composition définie a permis de connaître les exigences nutritionnelles de S. citri (Chang & Chen, 1981). Ainsi, il a été établi que sa culture nécessite l'ajout de cholestérol, d'acides gras, de vitamines, de co-facteurs (acide folique, acide p-aminobenzoïque, etc...), de source de carbone et d'acides aminés sauf les acides aspartique et glutamique. Les sucres fermentés par S. citri sont le glucose, le fructose et le tréhalose; les autres sucres comme le mannose ou le sorbitol ne sont pas utilisés. Le comportement de S. citri envers le saccharose n'est pas bien défini. Les milieux couramment utilisés, comme le milieu SP4, contiennent nécessairement du sérum animal (poulain ou veau foetal) qui apporte les stérols et lipides, ainsi que des sucres, glucose, fructose et saccharose comme source d'énergie (Tully et al., 1977). Ce milieu possède une pression osmotique élevée et contrôlée de 600 mOsm du fait de l’absence de paroi du spiroplasme. La température optimale pour la croissance de S. citri est 32°C (Saglio et al., 1973). Cette croissance est fortement ralentie à 37°C (Garnier et al., 1984). 17
  • 41.
    Introduction En plus d’être l’agent du stubborn des agrumes, S. citri est également responsable de la maladie des racines cassantes du radis noir (Fletcher et al., 1981). Au total, au moins 38 espèces végétales regroupant 12 familles botaniques sont naturellement infectées par S. citri. La première plante découverte infectée par S. citri en Californie (Granett et al., 1976), en Arizona (Allen & Donndelinger, 1981) ainsi qu'au Maroc (Bove et al., 1978) n'appartenant pas à la famille des agrumes (rutacées) est la pervenche de Madagascar (Catharanthus roseus). Par ailleurs, en Californie, S. citri a été isolé de mauvaises herbes comme le plantin (Plantago sp.), de plantes ornementales comme le souci (Tagetes erecta), la reine-marguerite (Callistephus chinensis), de plantes cultivées comme la laitue (Lactuca sp.), le radis (Raphanus sativum), la pastèque (Citrullus vulgaris) et de certains arbres fruitiers, cerisiers, pêchers et poiriers (Calavan & Bove, 1989). Plus récemment, ce spiroplasme a également été isolé de la carotte (Mello et al., 2009 ; Cebrian et al., 2010). S. citri a pu être transmis expérimentalement par greffage ou insecte vecteur à environ 80 espèces végétales différentes. 2.2.2. Caractéristiques de S. citri Depuis son obtention en culture pure, S. citri est devenu le mollicute phytopathogène le mieux caractérisé à l’heure actuelle. Les premières observations au microscope à fond noir révèlent que S. citri possède une morphologie hélicoïdale et est doué de motilité malgré l’absence de flagelle ou de filament axial normalement présent chez les bactéries mobiles (Cole et al., 1973). S. citri doit sa motilité à deux types de mouvements, un mouvement de flexion du corps cellulaire et un mouvement de rotation autour de l’hélice (Davis & Worley, 1973; Daniels et al., 1980). Ce mouvement de rotation associé à sa morphologie hélicoïdale permet au spiroplasme de se déplacer en milieu visqueux. Sur milieu solide, cette motilité a des répercussions sur l’aspect des colonies qui sont diffuses et entourées de colonies satellites. Plus récemment, les travaux de Trachtenberg et collaborateurs ont permis de mettre en évidence l’implication du cytosquelette de S. citri dans sa motilité (Trachtenberg & Gilad, 2001; Trachtenberg et al., 2003; Trachtenberg, 2004). Ce cytosquelette est composé de la protéine de fibrille (Williamson et al., 1991) et de la protéine « actin-like » MreB (Maccheroni et al., 2001). Ce cytosquelette agirait comme un moteur linéaire capable de se contracter permettant ainsi un déplacement directionnel contrôlé (Trachtenberg, 2004). Des travaux complémentaires ont montré que le déplacement du spiroplasme était également dépendant de la propagation d’une 18
  • 43.
    Introduction paire de «kink » le long du corps cellulaire, structures générées par des changements de l’hélicité du spiroplasme (Shaevitz et al., 2005). La croissance de S. citri s’effectue par allongement d’une hélice élémentaire constituée de 2 tours donnant une hélice parentale à quatre tours. L’hélice parentale se divise ensuite, par constriction, en deux hélices élémentaires (Garnier et al., 1984). Aujourd’hui, 92 % de la séquence du génome de S. citri GII3 sont connus (Carle et al., 2010). Ce génome se compose d’un chromosome de 1820 kpb avec 26 % de bases G+C et de sept plasmides (pSciA et pSci1 à 6) qui ne possèdent pas d’homologues connus (Saillard et al., 2008). La taille de ces plasmides varie de 7,8 kpb pour le pSciA à 35,3 kpb pour le pSci6 et leurs nombres de copies par spiroplasmes ont été estimés entre 10 et 14. L'ADN plasmidique représenterait ainsi près de 1,6 Mpb soit 47 % de l'ADN total de S. citri GII3. Les pSci1-6 possèdent un pourcentage en G+C (25,6 à 29 %) proche de celui du chromosome (26 %) alors que le pSciA à un pourcentage plus faible de 21,3 %. De manière intéressante, aucune des CDS portées par les pSci ne présente d’homologie avec une protéine de réplication (Saillard et al., 2008). Des travaux récents ont néanmoins pu restreindre l’origine de réplication des plasmides pSci de S. citri à une région contenant une seule CDS, nommée pE, et à sa séquence en aval présentant des motifs de fixation à la protéine initiatrice DnaA (Breton et al., 2008). De plus, trois formes réplicatives virales SpV1, SpV2 et SpV3 ont été identifiées dans le chromosome de S. citri (Renaudin et al., 1990; Renaudin & Bove, 1994). Les virus SpV2 et SpV3 ressemblent à des bactériophages classiques, alors que le virus SpV1 est filamenteux avec un ADN monocaténaire circulaire de 8,3 kb (Renaudin et al., 1990). Une des caractéristiques de ce virus SpV1 est le grand nombre de copies de son ADN, plus ou moins complètes, réparties dans tout le chromosome (Carle et al., 2010). 2.2.3. S. citri, un organisme modèle pour l’élaboration d’outils génétiques Un des premiers grands challenges concernant l’étude de S. citri fut le développement de vecteurs d’expression de gènes, outil indispensable à la caractérisation fonctionnelle de ces derniers. Dès le début, la présence des formes réplicatives virales a été mise à profit. A partir de la forme réplicative SpV1, un vecteur a été développé parallèlement à une méthode de transformation par électroporation (Stamburski et al., 1991). Cette première approche de transfert de gènes chez S. citri n’a pas été jugée satisfaisante car ces vecteurs viraux sont 19
  • 45.
    Introduction instables, dans lesens où des phénomènes de recombinaisons homologues entre le vecteur et les copies virales portées par le chromosome sont observés (Marais et al., 1996). En 1994, Ye et collaborateurs clonent l’origine de réplication chromosomique de la souche R8A2 de S. citri (Ye et al., 1994) qui sera utilisée plus tard pour la construction de vecteurs, tels que le plasmide pBOT (Renaudin et al., 1995). Ce plasmide navette, dans les cas de complémentation fonctionnelle in vivo, s’intègre dans le chromosome par simple recombinaison homologue entre les origines de réplication (Renaudin et al., 1995). L’ensemble de ces vecteurs navettes, et notamment le plasmide pGOT (Duret et al., 2005), développés récemment au laboratoire dans le but d’obtenir des mutants par simple recombinaison homologue, seront détaillés au chapitre 3. Parallèlement, une technique de mutagénèse aléatoire par transposition avec le transposon Tn4001 a également vu le jour au laboratoire (Foissac et al., 1997). Cette approche a permis d’obtenir plusieurs mutants de S. citri, à savoir un mutant non motile G540 (Jacob et al., 1997), un mutant déficient pour une ATPase de type P transporteur de calcium, un mutant non-phytopathogène (Gaurivaud et al., 2000; Gaurivaud et al., 2001) et un mutant affecté dans sa transmission (Boutareaud et al., 2004). Plus récemment, une nouvelle approche basée sur l’incompatibilité plasmidique permet de modifier le contenu plasmidique de S. citri et d’obtenir des mutants afin de caractériser l’ensemble des gènes présents sur les plasmides pSci (Breton et al., 2010). Ces dernières années, les travaux du laboratoire se sont orientés sur les déterminismes génétiques impliqués dans la transmission de S. citri. En effet, S. citri est transmis de plante à plante par des cicadelles, insectes piqueurs suceurs de sève élaborée, selon un mode circulant multipliant, impliquant des relations étroites avec l’insecte. De nombreuses étapes clés, régissant ce mode de transmission par l’insecte, restent à être élucidées. En revanche, pour de nombreux microorganismes pathogènes (bactéries, virus, champignons), les mécanismes gouvernant les étapes clefs nécessaires à leur transmission ont été particulièrement étudiés et sont, à l’heure actuelle, parfaitement décrits. La suite de cette introduction fait le point sur les connaissances acquises sur les relations des spiroplasmes avec leurs insectes vecteurs puis, décrit les différentes étapes ainsi que les mécanismes mis en jeu au cours de la transmission de pathogènes intracellulaires qu’ils soient transmis par des insectes vecteurs ou non. 20
  • 47.
    Introduction III. Transmission demicroorganismes intracellulaires 1. Transmission par insecte vecteur 1.1. Relation entre le microorganisme et son insecte Il existe plusieurs types de relation entre un microorganisme et son hôte. 1.1.1. Transmission externe Lors d’une transmission externe du microorganisme, c’est-à-dire lorsque celui-ci ne se fixe que sur des parties externes de l’insecte (pattes, thorax, stylet), l’association entre les deux partenaires est limitée. Aucun des deux partenaires n’influence le comportement de l’autre. 1.1.2. Transmission intracellulaire Lorsque l’interaction entre les deux partenaires persiste, comme cela est le cas au cours d’une transmission intracellulaire, cette relation entre le microorganisme et son hôte se complexifie et certaines associations peuvent engendrer une modification du comportement de l’insecte, pouvant aller jusqu’à la mort de ce dernier. Les Baculoviridae sont les pathogènes d'insectes les plus représentés. Ils infectent notamment les larves de lépidoptères et d’hyménoptères (Blissard, 1996). L'infection survient une fois que des larves d'insectes sensibles ont absorbé des aliments contaminés par le virus. Le virus s'attaque alors à l'hémolymphe, aux tissus adipeux et à l'intestin moyen. L'insecte est ensuite paralysé et meurt. Des interactions mutualistes entre les deux partenaires ont également été découvertes ; le microorganisme, dans ce cas appelé endosymbiote d’insecte, peut être classé en deux catégories. Les endosymbiotes primaires ont été associés avec leur insecte hôte depuis des millions d'années. Ils ont une forme d'association obligatoire et ils affichent une co-spéciation avec leur hôte. Cette association, bénéfique aux deux organismes, permet à chacun des deux partenaires de profiter des avantages de l’autre. Le rôle élémentaire de l’endosymbiote est de fournir les nutriments, que l'hôte ne pourrait obtenir seul, en catabolisant la nourriture inassimilable par l'insecte. Parmi ces endosymbiotes primaires des insectes, le plus étudié reste la bactérie Buchnera qui colonise le puceron du pois Acyrthosiphon pisum. Buchnera est capable de synthétiser les acides aminés essentiels que le puceron ne peut naturellement 21
  • 48.
    Classe Ordre Famille Genre Espèce Pathogène Maladies Aedes aegypti Dengue Culicidae Aedes Flavivirus Aedes albopictus Chikungunya Anopheles Anopheles gambiae Plasmodium falciparum Paludisme Culex pipiens Plasmodium Paludisme aviaire Culex Culex quinquefasciatus Nématodes parasites Filariose Diptera Psychodidae Phlebotomus Phlebotomus major Leishmania Leishmaniose Drosophilidae Drosophila Drosophila Non pathogènes Insecta Muscidae Musca Musca domestica > 100 pathogènes Typhoïde, choléra, Glossina Glossinidae Glossina palpalis Trypanosoma brucei Maladie du Sommeil Mouche « tsé tsé » Reduviidae Triatoma Triatoma infestans Trypanoma cruzi Maladie de Chagas Hemiptera Buchnera aphidicola Aphididae Acyrthosiphon Acyrthosiphon pisum Non pathogène Yersinia pestis Peste Siphonaptera Pulicidae Xenopsylla Xenopsylla cheopis Ricketssia typhi Typhus murin Arachnida Ixodida Ixodidae Ixodes Ixodes scapularis Borrelia burgdorferi Maladie de Lyme Figure I.3: Quelques exemples d’insectes vecteur de l’Embranchement des arthropodes associés à l’organisme qu’ils transportent et la maladie provoquée (s’il y a lieu).
  • 49.
    Introduction obtenir par prisede nourriture tandis que ce dernier fournit à la bactérie un milieu riche lui permettant de se répliquer (Douglas, 1998). L’association entre les endosymbiotes secondaires et leurs insectes s’est développée plus récemment. Ces associations ne sont pas obligatoires et, dans la plupart des cas, on parle de relations commensales, l’insecte ne tirant aucun bénéfice de leur interaction. 1.1.3. Relation entre les spiroplasmes et leurs insectes La plupart des espèces de spiroplasmes sont retrouvées dans l’intestin ou l’hémolymphe de moustiques, mouches (tabanides) ou encore de tiques. De manière plus surprenante, S. clarkii a été isolé de l’intestin d’une larve de scarabée (Whitcomb et al., 1993) tandis que S. penaei a lui été retrouvé dans l’hémolymphe de la crevette grise, Penaeus vannamei (Nunan et al., 2005). Plusieurs espèces de spiroplasmes ont également été retrouvées infectant au moins 16 espèces différentes de Drosophila (Haselkorn et al., 2009). Quelques espèces ont également été décrites influençant le comportement de l’hôte. Un spiroplasme a été caractérisé chez le puceron du pois. Il provoque une diminution de la croissance et de la durée de vie du puceron ainsi qu’une baisse de la fertilité (Fukatsu et al., 2001). S. poulsonii, l’agent du « sex-ratio », supprime la descendance mâle de plusieurs espèces de drosophiles et se transmet de manière verticale (Williamson et al., 1999). S. apis et S. melliferum sont des pathogènes de l’abeille Apis mellifera (Mouchès et al., 1982; Mouches et al., 1984). D’autres encore, comme S. culiciola, S. sabaudiense, S. taiwanense sont pathogènes pour le moustique Aedes aegypti dont ils réduisent la durée de vie et la fécondité. De plus, S. taiwanense entraîne aussi un changement du sex-ratio en favorisant la descendance mâle (Vazeille-Falcoz et al., 1994). La présence intracellulaire de S. mirum a même été décrite dans des lésions cérébrales d’un patient atteint d’encéphalopathie (Bastian, 1979). Plus récemment, des expériences menées par le même groupe ont également montré que ce spiroplasme, injecté de manière intracrânienne, produisait des symptômes comparables avec ceux d’une encéphalopathie spongiforme (Bastian et al., 2007). Néanmoins, la plupart des mollicutes phytopathogènes ne semblent pas perturber le comportement de l’insecte. S. citri ne semble avoir aucun effet sur la cicadelle au cours de son circuit à l’intérieur de celle-ci. De même, lors de l’infection de Cacopsylla melanoneura par Candidatus phytoplasma mali, le phytoplasme n’influence pas le développement ou la longévité de ces insectes cependant il semble avoir quelques effets sur le fitness de ces derniers (Malagnini et al., 2010). 22
  • 50.
    Figure I.4: Phylogéniede l’ordre des Hemiptera basée sur les études de phylogénie moléculaire. (D’après Campbell et al., 1995 ; Sforza, 1998).
  • 51.
    Introduction 1.2. Insectes vecteurs Les insectes vecteurs de microorganismes appartiennent tous à l’embranchement des arthropodes. Quelques familles d’insectes responsables de la vection de microorganismes, à l’exception des mollicutes phytopathogènes, sont regroupées dans le tableau I.3. 1.2.1. Vecteurs mollicutes phytopathogènes 1.2.1.1. Classification Les insectes vecteurs des mollicutes phytopathogènes appartiennent à l’ordre des Hemiptera. La classification de ces insectes a longtemps été basée sur des caractères morphologiques (couleur, taille, ailes antérieures, tête, thorax, abdomen, parties génitales etc...). Les hemiptères ont un développement du type hémimétabole, c’est à dire que la nymphe est mobile et ressemble aux larves, et possèdent plusieurs caractéristiques propres comme des antennes longues, des pièces buccales avec un long rostre et deux paires d’ailes dont l’une peut être cornée et durcie (hémiélytre). Ce n’est qu’en 1995, lors des travaux de Campbell et collaborateurs portant sur la comparaison de séquences d’ADN ribosomiques 18S de ces insectes, que la classification des hémiptères a été modifiée et est restée depuis, identique à celle présentée dans le tableau I.4 (Campbell et al., 1995). Dès lors, les insectes vecteurs des mollicutes phytopathogènes appartiennent, au sein du sous-ordre des Cicadomorpha, à la famille des Cicadellidae (cicadelles) ; au sein de l’infra-ordre des Fulguromorpha, à la famille des Cixiidae (cixides) et enfin, au sein de l’ordre des Sternorrhyncha, à la famille des Psyllidae (psylles). Au sein de la famille des Cicadellidae, les vecteurs des mollicutes phytopathogènes appartiennent principalement à la sous-famille des Deltocephalinae. Dans la littérature, les membres de la famille des Cicadellidae sont regroupés sous le terme de « leafhopper » tandis que l’infra-ordre des Fulguromorpha renferme deux familles principales que sont les Cixiidae et les Delphacidae regroupée sous le terme de « planthopper ». Quelques exemples de mollicutes phytopathogènes associés à leur insecte vecteur sont présentés dans le tableau I.5. 1.2.1.2. Vecteurs de S. citri Pour sa part, S. citri est transmis naturellement et expérimentalement par plusieurs insectes (tableau I.5). De toutes les cicadelles précédemment décrites, C. tenellus (figure I.6) est le vecteur majeur du spiroplasme dans le Sud-ouest des Etats-Unis (Rana et al., 1975; Liu 23
  • 52.
    Bactérie Insecte vecteur Famille taxonomique Référence Circulifer haematoceps Fos et al. , 1986 Circulifer tenellus (Baker) Oldfield et al. , 1976 Circulifer opacipennis (Lethierry) Sengonca et al. , 1991 Macrosteles fascifrons (stål) O’Hayer et al ., 1983 Spiroplasma citri Scaphytopius nitridus (DeLong) Cicadellidae Oldfield, 1977 Scaphytopius acutus delongii (Young) Kaloostian et al. , 1979 Scaphytopius coliforniensis (Hepner) Oldfield, 1987 Euscelis plebejus Marckam et al ., 1974 Euscelidius variegatus Marckam & Townsend, 1979 Dalbulus maidis Kunkel, 1946 Spiroplasma kunkelii Cicadellidae Chen & Liao, 1975 Dalbulus elimatus Williamson et Whitcomb, 1975 Phytoplasma Stolbur Hyalesthes obsoletus Cixiidae Fos et al. , 1992 Phytoplasme de la Flavescence Dorée Scaphoideus titanus Ball Cicadellidae Caudwell, 1983 Phytoplasme de l’ESFY Cacopsylla pruni Psyllidae Carraro et al., 1998b Phytoplasme du Pear Decline Cacopsylla pyri Psyllidae Carraro et al ., 1998a Phytoplasme de la proliferation du pommier Cacopsylla melanoneura Psyllidae Alma et al ., 2000 Candidatus phytoplasma ziziphi Hishimonus sellatus Deltocephalidae La & Woo, 1980 Scaphoideus luteolus Baker, 1949 Candidatus phytoplasma ulmi Cicadellidae Macropsis mendax Carraro, 2004 Phytoplasme du rabougrissement du roncier Macropsis fuscula Cicadellidae De Fluiter & Van der Meer, 1953 Phytoplasme de la jaunisse de la vigne du Palatinat Oncopsis alni Cicadellidae Maixnert, 2000 Phytoplasme de la jaunisse de l’aulne Oncopsis alni Cicadellidae Maixnert & Reinert, 1999 Figure I.5: Quelques exemples d’insectes vecteurs de Mollicutes phytopathogènes avec leur maladies associées.
  • 53.
    Introduction et al., 1983).Les vecteur identifiés dans le pourtour méditerranéen sont C. haematoceps (figure I.6) (Fos et al., 1986) et C. tenellus (Rasooly et al., 1994). Ces cicadelles polyphages se développent principalement sur des hôtes herbacés et sur les agrumes (rutacées) qui, lorsqu’ils sont infectés par S. citri, présentent des taux d’infection élevés. La transmission de plante à plante se déroule selon un mode circulant multipliant. De ce fait, dans l’insecte, S. citri effectue un circuit au cours duquel il passe successivement du canal alimentaire, dans l’intestin moyen puis dans l’hémolymphe et gagne les glandes salivaires de la cicadelle afin d’être excrété avec les sécrétions salivaires. La description anatomique de ces tissus nous permettra de mieux appréhender les mécanismes mis en place par S. citri au cours de son trajet et notamment lors des franchissements des deux barrières, que sont l’épithélium intestinal et celui des glandes salivaires, indispensables à sa propagation. 1.2.1.3. Morphologie des cicadelles Les pièces buccales des cicadelles sont composées du labrum, du labium et des stylets. Seul les stylets pénétrent dans la plante lors du repas de l’insecte. Ils sont au nombre de quatre et sont les vestiges des mandibules et des maxilles. La paire de stylets maxillaires se rejoint pour former le canal salivaire et le canal alimentaire. Les stylets mandibulaires entourent en partie les stylets maxillaires. Au niveau de la tête, les deux stylets maxillaires se séparent l’un de l’autre et les fluides ingérés se retrouvent dans une chambre filtrante appelée precibarium. Sa fonction est de réguler le flux de liquide avant qu’il n’entre dans le cibarium. Il est composé d’une valve qui empêche notamment la régurgitation de fluides dans les stylets. Le cibarium est une sorte de pompe qui constitue un sac situé dans la tête et composé d’une couche de cellules épithéliales. Les fluides passent alors dans l’intestin antérieur de l’insecte qui est relativement étroit avec une paroi mince et recouvert de chitine qui s’étend jusqu’au mésothorax ou bien même jusqu’au premier fragment abdominal. Les cellules intestinales possèdent des microvillosités à leur surface qui sont recouvertes d’une fine matrice de nature polysaccharidique, le glycocalyx. L’épithélium intestinal est bordé d’une lame basale composée d’un assemblage de filaments de collagène et d’une matrice amorphe constituée de polysaccharides (Gouranton & Folliot, 1970). Chez les insectes se nourrissant de xylème et de phloème, une chambre filtrante s’est formée permettant le passage direct de l’eau ingérée, contenant les substances en solution, de l’intestin antérieur à l’intestin postérieur dans le but de concentrer la solution nutritive (Forbes, 1969). A la jonction de l’intestin moyen et postérieur se trouvent les tubes de 24
  • 54.
    Figure I.6: Principauxinsectes vecteurs de Spiroplasma citri. Photographies de Circulifer tenellus (à gauche) et de Circulifer haematoceps (à droite). Figure I.7: Représentation schématique de l’appareil salivaire de cicadelles. AG: glande salivaire accessoire. I à VIII: types cellulaires différents de la glande salivaire principale. (D’après Wayadande & Fletcher, 1995).
  • 55.
    Introduction Malpighi. Ils sontau nombre de quatre chez les cicadelles et sont composés de cellules épithéliales très minces qui se divisent en deux parties, une partie distale qui servirait à la sécrétion d’ions et à l’excrétion tandis que la partie proximale aurait une fonction dans la réabsorption des solutés. Les cicadelles possèdent une paire de glandes salivaires situées de part et d’autre de l’œsophage. De chaque côté, il y a une glande principale et une glande accessoire toutes les deux composées de cellules conductrices et sécrétrices. Chaque glande salivaire principale est composée de 8 types cellulaires différents et organisés en lobes concentriques. Ces cellules sont différenciées en fonction de leur morphologie et de leur densité aux électrons. Elles sont binucléées et regroupées en deux lobes. Le lobe antérieur est composé de 10 cellules de type I, 6 cellules de type II, 4 cellules de type III et IV et 2 cellules de type V. Le lobe postérieur est constitué de 5 cellules de type VI, 3 cellules de type VII et 4 cellules de type VIII (figure I.7) (Wayadande et al., 1997). Les glandes salivaires accessoires sont reliées aux glandes salivaires principales par un canal lui-même inséré dans le canal faisant la jonction avec le lobe antérieur et le lobe postérieur des glandes salivaires principales. Ici, les cellules sont uninucléées. Les deux principaux canaux formés par chacune des deux glandes s’unissent pour former un canal salivaire commun qui se dévide dans la pompe salivaire. Tous ces organes baignent dans l’hémolymphe, un fluide extracellulaire qui transporte les métabolites vers les différents tissus de l’insecte. L’osmolarité de l’hémolymphe est relativement élevée et comprise entre 240 et 600 mOsm. La principale source de carbone est le tréhalose, sucre non réducteur composé de deux molécules de glucose. Ce fluide contient également des lipides, des acides aminés libres, des acides inorganiques tel que l’acide ascorbique et des ions Mg2+ et PO43- (Saglio & Whitcomb, 1979). Cette composition est relativement proche de la composition du phloème de la plante à l’exception du sucre majoritaire qui est le saccharose au lieu du tréhalose. 1.2.2. Circuit du spiroplasme dans l’insecte Après ingestion et un passage dans la pompe alimentaire, les spiroplasmes se retrouvent dans l’intestin où la plupart sont digérés par les enzymes présentes. Les survivants poursuivent leur route jusqu’au niveau de l’intestin moyen ou ils pénètrent dans les cellules constituant l’épithélium intestinal situées dans une région dépourvue de chitine. Chez Circulifer tenellus, S. citri pénètre dans ces cellules épithéliales en passant entre les microvillosités (figure I.8A; (Kwon et al., 1999). Le spiroplasme franchit l’épithélium 25
  • 56.
    Passage de labarrière intestinale A B A A: S. citri pénétrant dans les cellules de l’épithélium intestinal de C. tenellus à travers les microvillosités. L: lumière intestinale, MV: microvillosités, S: spiroplasme. B: Zone proche du plasmalemme basal montrant les spiroplasmes dans des vacuoles d’endocytose. H: hémolymphe. Echelle: 0,5 µm. (Kwon et al., 1999) Libération dans l’hémolymphe D C C: S. kunkelii franchissant la lame basale des cellules de l’épithélium intestinal de D. maidis (flèche avec l’étoile) ou bien libre dans l’hémolymphe de l’insecte (flèche à gauche). Bl: lame basale, Mt: tubes de Malpighi, Mi: mitochondrie, Gc: cellule intestinale, Pl: plasmalemme basal. Echelle: 0,5 µm. D: Agrandissement de la région encadrée montrant S. kunkelii avec une protubérance en forme de « tip » proche de la lame basale. (Ozbek et al., 2003). Passage de la barrière des glandes salivaires E F E: S. citri franchissant la lame basale des cellules de l’épithélium des glandes salivaires de C. tenellus dans une vacule d’endocytose. Bl: lame basale, S: spiroplasme, Er: réticulum endoplasmique. F: S. citri libre dans le canaliculus des glandes salivaires de C. tenellus. Echelle: 0,5 µm. (Kwon et al., 1999). Figure I.8: Etapes clés du cycle des spiroplasmes dans leurs insectes vecteurs.
  • 57.
    Introduction intestinal par unmécanisme d’endocytose/exocytose au cours duquel il se retrouve dans une vacuole d’endocytose où il adopte une forme ovoïde (figure I.8B ; (Ozbek et al., 2003)). Au moment du passage dans l’hémolymphe de l’insecte, une protubérance de 70 nm de diamètre est observée traversant la membrane de la vacuole (figure I.8C et D ; (Ozbek et al., 2003)). Cette protubérance, non sans rappeler le « tip » observé chez plusieurs mycoplasmes (Rottem, 2003), regrouperait plusieurs protéines qui seraient les premières impliquées dans un rôle de reconnaissance et de franchissement du plasmalemme intestinal (Ammar et al., 2004). Grâce à l’intermédiaire de ce « tip », les vésicules d’endocytose fusionnent avec le plasmalemme basal et les spiroplasmes sont donc libérés par exocytose. Ils se retrouvent alors dans l’hémolymphe où ils se multiplient massivement. Un nouveau mécanisme d’endocytose/exocytose leur permet de franchir la barrière des glandes salivaires puis, après une nouvelle multiplication, ils sont expulsés dans le canal salivaire (figure I.8E et F; (Kwon et al., 1999)). En résumé, pour sa transmission, le spiroplasme a besoin de franchir deux barrières, la barrière intestinale et la barrière des glandes salivaires. Les franchissements de ces barrières nécessitent des interactions entre S. citri et son insecte vecteur afin de pénétrer à l’intérieur des cellules de son hôte. Or, les mécanismes moléculaires ainsi que les protéines impliquées dans ces étapes d’adhésion aux cellules et d’internalisation dans celle-ci, restent encore inconnus à ce jour. Pour d’autres organismes, les descriptions concernant ce processus d’invasion permettraient de cerner les différents acteurs intervenant au cours de ces étapes et, par analogie, faire un lien avec ce qui est connu concernant la transmission du spiroplasme. 2. Cycle cellulaire de la transmission Le pouvoir pathogène d’un microorganisme intracellulaire repose sur sa capacité à coloniser son hôte et, de ce fait, à envahir les cellules de celui-ci afin de s’y multiplier et de s’y disséminer. L’ensemble de ce processus, nommé « invasion » tout au long de ce manuscrit, se décompose en plusieurs étapes successives. Après avoir été ingéré par leur hôte, les microorganismes doivent (i) adhérer aux cellules de leur hôte, (ii) pénétrer à l’intérieur de celles-ci, (iii) se développer tout en évitant les mécanismes de défense mis en place puis (iv) se disséminer de cellule à cellule afin d’être transmis à un nouvel hôte. 26
  • 58.
    Figure I.9: Représentationdes principaux types de pili décrits chez les bactéries à Gram-négatif et à Gram-positif. (D’après Kline et al, 2009).
  • 59.
    Introduction Le succès d’une invasion réside dans les signaux que les deux acteurs, la cellule et l’agent pathogène, s’échangent perpétuellement. A chaque étape du processus d’infection, l’agent pathogène exploite la machinerie cellulaire de l’hôte à son propre profit. 2.1. Adhésion L’adhésion des microorganismes à des cellules eucaryotes est souvent une première étape essentielle dans la mise en place de la maladie. En effet, étant de manière générale une étape spécifique, l’adhésion permet au pathogène de se retrouver au niveau de tissus appropriés, à partir desquels, il peut initier son processus d’entrée. De nombreuses molécules et de structures macromoléculaires, regroupées sous le terme d’adhésines, permettent aux pathogènes d’assurer cette fonction. Ces adhésines peuvent être divisées en deux familles : les adhésines de type fibrillaire et les adhésines de type non- fibrillaire. 2.1.1. Adhésines de type fibrillaire Les adhésines de type fibrillaire sont des structures filamenteuses visibles à la surface des bactéries. Ces structures ont été pour la première fois observées dans le début des années 50 par deux équipes. La première, dirigée par James Duguid, appela ces structures fimbriae (« frange ») (Duguid et al., 1955), tandis que la seconde, dirigée par Charles Brinton, décida de les nommer pili (« cheveux ») (Brinton, 1965). Bien que les deux termes soient synonymes, et toujours d’actualité, le terme de pili sera préféré au cours de ce manuscrit. Les principaux types de pili, décrits aussi bien chez les bactéries à Gram-négatif qu’à Gram- positif, sont représentés sur la figure I.9. 2.1.1.1. Bactéries à Gram-négatif Les pili ont été, pour la première fois, décrits chez les bactéries à Gram-négatif. Ce sont des structures de 1 à 2 µm de long, formées par l’association de plusieurs sous-unités, généralement regroupées sous le terme de « pilines », formant des structures polymériques qui permettent d’éviter la répulsion des charges négatives présentes à la surface des cellules de la bactérie et de celles de l’hôte, retardant ainsi l’activation du système immunitaire de l’hôte (Kline et al., 2009). Trois principaux types de pili sont connus et se distinguent essentiellement par leurs structures, mais aussi par leurs mécanismes de formation et de régulation qui, bien 27
  • 61.
    Introduction qu’utilisant tous lesystème de sécrétion Sec-dépendant pour l’export de leurs sous-unités, diffèrent au niveau de l’assemblage de ces dernières. Parmi eux, les pili de type I sont peut-être les mieux caractérisés (Langermann et al., 1997). Leurs assemblages nécessitent la sécrétion de sous-unités partiellement structurées au niveau de l’espace périplasmique où l’interaction avec une chaperone permet de finaliser sa structuration. La sous-unité néo-formée vient se polymériser aux autres sous-unités par l’intermédiaire d’un translocateur de la membrane externe. Chaque adhésine possède alors deux domaines distincts : un domaine permettant la copolymérisation avec les autres sous- unités de pilines et un second, responsable de la liaison avec les résidus carbohydrates (Schilling et al., 2001). Ainsi, la bactérie uropathogénique E. coli (UPEC) possède un opéron fim (FimA-fimH) dont la protéine principale FimH, située à l’extrémité de l’organelle, se lie principalement à des résidus mannose (Choudhury et al., 1999). Cette bactérie possède également un opéron pap qui, par l’intermédiaire de la protéine PapG, interagit avec les sous- unités digalactoside (Hansson et al., 1995). Les pili de type IV sont formés de sous-unités qui sont exportées à travers la membrane interne en tant que pré-pilines, puis ces dernières sont reconnues par une peptidase qui clive un peptide conservé en N-terminal, relarguant ainsi une piline mature. Le pili est alors assemblé au niveau du périplasme puis est à son tour exporté à la surface de la bactérie grâce à la formation d’un pore dans la membrane externe (Carbonnelle et al., 2005; Carbonnelle et al., 2006). Ce type de pili est exprimé par plusieurs bactéries pathogènes comme les espèces de Neisseria, Pseudomonas aeruginosa et quelques E. coli entéropathogènes (EPEC). Chez deux espèces de Neisseria, Neisseria gonorrhoeae et Neissaria meningitis, la fibre du pilus est composée de plusieurs protéines autoaggrégées de 17 à 21 kDa, nommées PilE, qui forment la structure de la fibre, ainsi que d’une protéine PilC à son extrémité, capable de se lier aux cellules endothéliales et épithéliales des muqueuses (Rahman et al., 1997). Un autre groupe de bactéries, comprenant plusieurs souches d’E. coli et plusieurs espèces de Salmonella, expriment un type de pili de type « coil » rappelant des fibres amyloïdes. Chez Salmonella enterica, ces structures sont composées d’une protéine CsgA qui est sécrétée par le système Sec à travers la membrane interne puis à travers un pore spécifique de la membrane externe puis, cette protéine interagit avec CsgB pour donner la base de ces fibres insolubles (Olsen et al., 1989; Kikuchi et al., 2005). 28
  • 63.
    Introduction 2.1.1.2. Bactéries à Gram-positif Chez les bactéries à Gram-positif, les premières structures de type pili ont été découvertes chez Corynebacterium renale par microscopie électronique (Yanagawa et al., 1968). Plus récemment, ces structures ont été découvertes chez les trois principales espèces de streptocoques pathogènes pour l’Homme à savoir les streptocoques du groupe A, comme Streptococcus pyogenes (Mora et al., 2005), les streptocoques du groupe B, comme Streptococcus agalactiae (Lauer et al., 2005) et chez Streptococcus pneumoniae (Gianfaldoni et al., 2007). Elles sont également présentes chez d’autres bactéries à Gram-positif comme celles des espèces d’Actinomyces, de Ruminococcus, d’Enterococcus et de Clostridia. Les espèces de Corynebacterium, ainsi que celles des streptocoques pathogènes, possèdent des pili relativement flexibles et pouvant atteindre 3 µm. D’autres bactéries comme Streptococcus salivarius ou Streptococcus oralis ont des pili plus courts, plus fins qui peuvent s’allonger entre 70 et 500 nm (Willcox & Drucker, 1989). A l’inverse des pili des bactéries à Gram-négatif, ceux des bactéries à Gram-positif sont composés de sous-unités liées de manière covalente. En effet, ces sous-unités sont tout d’abord sécrétées par le système de sécrétion Sec. Une transpeptidase, appelée sortase, reconnaît chacune des sous-unités de piline par l’intermédiaire d’une séquence de type LPXTG (ou X correspond à n’importe quel acide aminé), conservée chez l’ensemble des sous-unités des bactéries à Gram-positif, et lie de façon covalente ces sous-unités entre-elles avant qu’elles soient transférées au niveau de la paroi cellulaire (Mandlik et al., 2008). Chez la plupart des bactéries à Gram-positif, l’ensemble des gènes impliqués dans la formation de ces pili est en opéron. De plus, les gènes qui codent les sortases, nécessaires à cet assemblage, peuvent faire partie de ce même opéron, comme cela a été démontré chez Streptococcus agalactiae (Rosini et al., 2006). Que ce soit chez les bactéries à Gram-positif ou à Gram-négatif, les pili sont connus pour se lier à des éléments structuraux de la matrice extracellulaire comme les résidus carbohydrates qui sont présents sur les récepteurs glycolipidiques ou glycoprotéiques de la cellule (Sung et al., 2001). Chez les streptocoques, les protéines impliquées dans les pili possèdent des séquences communes avec les protéines appartenant à la famille des MSCRAMMS (microbial surface components recognizing adhesive matrix molecules) qui sont connues pour interagir avec des molécules de la matrice extracellulaire comme la fibronectine, le fibrinogène, le collagène, la laminine et la vitronectine (Patti & Hook, 1994). 29
  • 64.
    Organisme Ligand Récepteur Tissus Référence Yersinia pseudotuberculosis invasine récepteurs intégrines Cellules M Cossart & Sansonetti, 2004 InlA E-cadhérine Gaillard et al. , 1991 Listeria monocytogenes cellules épithéliales InlB récepteur Met Dramsi et al ., 1995 Salmonella typhimurium PagN nd cellules épithéliales Schwarz-Linek et al ., 2004 Membrane basolaterale des Watarai et al. , 1996 Shigella IpaB CD44 cellules épithéliales de l'intestin Skoudy et al., 2000 Streptococcus pyogenes Sfbl fibronectine Cellules non phagocytaire Switalski et al. , 1982 Staphylococcus aureus FnBPA fibronectine Cellules non phagocytaire Kuusela, 1978 Opas (opacity motifs héparine-sulfate surface des cellules épithéliales Neisseria Virji et al, 1991 proteins) molécule de type CD66 et des neutrophiles BabA antigène du groupe sanguin cellules de l’épithélium de Boren et al., 1993 Helicobacter pylori SabA Lewis b l’estomac Mahdavi et al. , 2002 Bordetella pertussis Hemmaglutinine FHA séquence Arg-Gly-Asp d’une cellules épithéliales du poumon Ishibashi et al ., 1994 E. coli AfaD et AfaE tractus urinaire ou aux cellules Le Bougennec et al ., 2006 Résidus acides syaliques Lectines Castaneda-Roldan et al ., 2004 Brucella fibronectine et vitronectine Cellules épithéliales SP41 nd Castaneda-Roldan et al. , 2006 E. coli EPEC intimine Tir Kenny et al. , 1997 E. coli UPEC Mycoplasma pneumonia P1, P30 et proteins Motifs syaloglycoconjugués Cellules épithéliales tractus Rottem, 2003 Mycoplasma penetrans P65 Fibronectine respiratoire Giron et al ., 1996 Figure I.10: Principales adhésines non-fibrillaire exprimées chez quelques espèces bactériennes.
  • 65.
    Introduction 2.1.2. Adhésines de type non-fibrillaire En plus des structures de type « pili », un grand nombre de molécules impliquées dans l’adhésion bactérienne, ne s’associant pas en polymères, existent et reconnaissent de nombreux éléments de la surface cellulaire de l’hôte. Pour entrer dans des cellules non phagocytaires comme les cellules épithéliales de l’intestin, certains pathogènes expriment une protéine de surface capable de se lier à des récepteurs de surface eucaryote souvent impliqués lors de l’adhérence cellule-matrice ou cellule-cellule. Les principales protéines bactériennes impliquées dans l’étape d’adhésion, ainsi que leurs ligands cellulaires quand ils sont connus, sont présentées dans le tableau I.10. 2.1.2.1. Autotransporteurs Ces protéines, localisées à la surface de la bactérie, représentent la forme la plus simpliste de système d’export protéique chez ces dernières. Les molécules sécrétées par ce système (système de sécrétion de type V) contiennent un peptide N-terminal responsable de la sécrétion à travers la membrane interne, d’un domaine C-terminal qui forme un pore dans la membrane externe et d’un dernier domaine, appelé domaine passager, qui est transporté à travers cette membrane externe afin d’être exposé à la surface de la bactérie (Henderson et al., 2004). Chez H. pylori, la protéine BabA a été déterminée comme étant un autotransporteur qui reconnaît l’antigène du groupe sanguin Lewis b, présent sur les cellules sanguines et les muqueuses gastriques (Ilver et al., 1998). De plus, l’inflammation provoquée, en réponse à cette reconnaissance, augmente l’expression de ces antigènes qui peuvent, à leur tour, être reconnus par une seconde protéine bactérienne SabA suggèrant ainsi que H. pylori favorise l’expression de ces propres récepteurs (Mahdavi et al., 2002). En ce qui concerne les bactéries Yersinia enterocolitica, Neisseria meningitidis et Haemophilus influenzae, les protéines nommées respectivement YadA, NhhA et HadA, appartiennent à une nouvelle sous-famille d’autotransporteurs pour lesquels trois sous-unités s’associent afin de former le pore fonctionnel dans la membrane externe (Cotter et al., 2005). 2.1.2.2. Effecteur Tir (translocated intimin receptor) Les espèces d’E. coli EPEC et EHEC, en plus de l’ensemble de leurs structures de type pili, utilisent un système d’adhésion unique dans lequel la bactérie fournit à la fois le 30
  • 67.
    Introduction récepteur et leligand. En effet, dans un premier temps, l’attachement est réalisé par le biais des pili qui permettent à la bactérie de détruire les microvillosités des cellules épithéliales de l’hôte et d’accumuler les protéines du cytosquelette de l’hôte provoquant la formation de structures ressemblant à un piédestal sur laquelle la bactérie se pose. A ce moment-là, la bactérie injecte ses effecteurs par le biais de son système de sécrétion de type III (SSTT), codés par une région LEE (Locus of Enterocyte Effacement). Un de ces effecteurs, l’effecteur Tir, s’insère dans la membrane de la cellule eucaryote et sert de récepteur à une autre protéine codée par le LEE, la protéine intimine, permettant une adhésion encore plus spécifique aux cellules des muqueuses (Kenny et al., 1997). 2.1.2.3. Hémagglutinine filamenteuse (FHA) Bordetella pertussis, l’agent de la coqueluche, possède également un système d’adhésion particulier. Cette bactérie exprime une hémagglutinine filamenteuse (FHA) qui est responsable de l’attachement aux cellules épithéliales des poumons. Cette protéine se lie à une intégrine par le biais d’une séquence Arg-Gly-Asp. Cette interaction régule positivement l’expression d'une seconde intégrine, le récepteur du complément 3 (CR3) qui reconnaît la FHA par le biais d’un autre domaine (Ishibashi et al., 1994). La bactérie, sous l’action d’un seul ligand, stimule son attachement à deux récepteurs distincts. Certaines autres bactéries ont quant à elles détourné la première étape d’adhésion pour interagir directement avec la machinerie cellulaire en injectant des effecteurs à l’aide de systèmes de sécrétion. Bien qu’une étape d’adhésion stricto sensu par le biais des pili soit toujours nécessaire, ces bactéries ne nécessitent pas de contact proche avec la cellule de l’hôte. 2.1.2.4. Système de sécrétion de type 3 (SSTT) Actuellement, six voies de sécrétion ont été identifiées chez les bactéries à Gram- négatif. En plus du système de sécrétion Sec-dépendant, permettant le passage des molécules qui, comme évoqué précédemment, sont impliquées dans la sécrétion des sous-unités de plusieurs type de pili, un second système impliqué dans l’invasion des microorganismes, le système de sécrétion de type III (SSTT), tient une place tout aussi importante. Ce système de sécrétion est un système Sec-indépendant, pour la première fois mis en évidence chez Yersinia (Cornelis & Wolf-Watz, 1997) et qui est utilisé par de nombreuses 31
  • 69.
    Introduction bactéries à Gram-négatifpathogènes d’animaux, de plantes mais aussi par des bactéries symbiotiques, pour transférer leur effecteurs bactériens dans le cytosol des cellules hôtes eucaryotes (Cornelis & Van Gijsegem, 2000). Le SSTT comprend de manière générale une vingtaine de gènes qui sont essentiels pour la virulence de ces pathogènes et qui codent à la fois les effecteurs sécrétés mais également les protéines formant la machinerie nécessaire à la sécrétion. Les différentes familles de SSTT sont basées sur un même modèle structural très conservé. Des études génétiques montrent que le SSTT présente des similarités de structure avec le corps basal du flagelle suggérant une origine commune (Cornelis, 2006). Les gènes codant les SSTT sont très souvent regroupés en cluster, aussi bien chromosomique que plasmidique, appelé îlot de pathogénicité. Par exemple, les gènes codant le SSTT de Shigella sont regroupés dans une région de 31 kpb, présente sur un plasmide de virulence, qui contient les opérons mxi/spa et ipa/ipg codants, respectivement, l’appareil de sécrétion de type III et les protéines effectrices (Parsot, 2005). Chez Salmonella, ce SSTT inv-spa est codé par un îlot de pathogénicité chromosomique (Ochman et al., 1996). Malgré cette différence, le mécanisme reste identique pour les deux bactéries. Deux des composants sécrétés, nommés respectivement IpaB/C chez Shigella et SipB/C chez Salmonella, forment un pore dans la membrane plasmique eucaryote qui permet la pénétration des effecteurs dans le cytoplasme cellulaire. Jusqu’à que le SSTT soit correctement assemblé, les effecteurs sont produits mais conservés dans le cytoplasme bactérien associées avec des chaperones qui empêchent toute dégradation ou liaison prématurée. Ensuite, le SSTT adhère avec la surface cellulaire via l’implication de IpaB et SipB qui reconnaissent un récepteur membranaire CD44, associé à des domaines membranaires riches en cholestérol et sphingolipides (Cossart & Sansonetti, 2004). En effet, la présence de rafts intacts est primordiale car leur composition, riche en lipides, est optimale pour la formation de pores. De plus, ces domaines sont enrichis en récepteurs cellulaires et en molécules de signalisation, comme les tyrosines kinases de la famille src, importants pour la suite du processus. Chez les bactéries phytopathogéniques, les gènes codant le SSTT ont été identifiés comme des gènes impliqués dans la réponse hypersensible et la pathogénicité (hrp genes ; hypersensitive response and pathogenicity). En effet, des mutants hrp sont incapables d’infecter leur plante hôte et provoquent une réponse de type hypersensible chez les plantes non-hôte comme cela a été démontré chez Ralstonia solanacearum (Boucher et al., 1987). Les bactéries pathogènes de plantes, souvent exogènes, ont besoin de coloniser l’apoplaste de 32
  • 71.
    Introduction ces dernières eninjectant des effecteurs à l’intérieur de celle-ci. Le plus souvent, l’expression de ces gènes est régulée par des facteurs liés à l’hôte et à l’environnement (Arlat et al., 1992). 2.1.3. Adhésion chez les mollicutes 2.1.3.1. Mycoplasmes Chez les mycoplasmes, l’adhésion aux cellules hôtes est la première étape cruciale dans l’établissement de l’infection. M. pneumoniae, responsable de pneumonie atypique chez l’homme, possède une structure appelée « tip », dense aux électrons, qui sert d’organe d’attachement à la bactérie pour se lier aux cellules du tractus respiratoire (Rottem, 2003). Elle concentre les molécules d’adhésion comme les adhésines P1 et P30, indispensables à l’attachement du mycoplasme (Krause, 1996). Ces protéines sont directement impliquées dans la liaison aux récepteurs cellulaires qui sont généralement des motifs syaloglycoconjugués. L’adhésion de M. pneumoniae nécessite également des protéines accessoires telles que les protéines P40 et P90 et les protéines HMW 1-3 (Krause et al., 1982; Dirksen et al., 1996). Ces protéines, localisées elles aussi dans le tip, ne sont pas des adhésines à proprement parler du fait de l’absence de caractéristiques essentielles mais l’absence de l’une d’entre elles inhibe l’adhésion du mycoplasme aux cellules (Razin & Jacobs, 1992). Cette structure est également retrouvée chez M. genitalium et M. gallissepticum. Chez M. agalactiae, l’adhésion implique également plusieurs protéines : deux adhésines P40 (Fleury et al., 2002) et P48 (Rosati et al., 2000) et une famille de protéines variables, nommées Vpma, qui sont codées par un locus soumis à des réarrangements fréquents (Glew et al., 2002). 2.1.3.2. Phytoplasmes Aucune structure rappelant un « tip » n’a été identifiée chez les phytoplasmes. L’obtention de plusieurs séquences de génomes complets de phytoplasmes (Oshima et al., 2004; Bai et al., 2006; Kube et al., 2008) ont permis de montrer l’existence de nombreuses protéines immunodominantes liées à la membrane (IDPs, ImmunoDominant membrane Proteins) qui pourraient être impliquées dans l’adhésion aux cellules d’insectes. Il a été démontré que certaines de ces IDPs subissent une forte pression de sélection divergente et ce, en particulier sur la partie hydrophile extracellulaire, ce qui suggère que ces protéines et leur variabilité jouerait un rôle dans l’interaction avec l’hôte (Barbara et al., 2002; Kakizawa et al., 2004; Kakizawa et al., 2009). Plus récemment, une autre protéine majoritaire de la surface, la protéine Amp, subirait également une pression de sélection positive sur son 33
  • 73.
    Introduction domaine hydrophile luiaccordant un rôle similaire à celui énoncé précédemment pour les IDPs (Kakizawa et al., 2006a; Kakizawa et al., 2006b). De plus, cette protéine Amp de Candidatus Phytoplasma asteris souche OY a été démontrée interagissant avec les microfilaments de l’insecte (Suzuki et al., 2006). Cette interaction semble également être corrélée avec la capacité des insectes à transmettre le phytoplasme ce qui suggère qu’elle pourrait jouer un rôle important dans la spécificité de vection des phytoplasmes. Une étude réalisée sur ce même phytoplasme a montré l’existence de deux souches présentant une pathogénicité altérée (Oshima et al., 2001). Une de ces deux souches présente la caractéristique de ne plus être transmissible par insecte vecteur après avoir été maintenue sur plante par greffages successifs. Cette perte de transmissibilité par l’insecte vecteur a pu être associée à la perte de deux ORF plasmidiques dans le génome de cette souche qui pourraient intervenir dans le mécanisme de transmission (Nishigawa et al., 2002). L’absence d’expression d’une de ces deux ORF, l’ORF3, est causée par la mutation et la délétion de deux séquences promotrices sur les plasmides correspondants. De plus, l’expression de cette ORF chez la souche sauvage se fait préférentiellement dans l’insecte plutôt qu’au niveau de la plante renforçant son rôle dans une interaction avec son hôte insecte (Ishii et al., 2009a; Ishii et al., 2009b). La présence de système de sécrétion pouvant être impliquée, soit dans la formation des structures de pili ou l’injection d’effecteurs responsables de l’entrée de certaines bactéries, a également été étudiée chez les phytoplasmes. La recherche, dans les génomes disponibles, de gènes ayant des similarités avec des gènes codant des protéines de type pili ou des systèmes de sécrétion de type IV s’est avérée infructueuse à ce jour. Néanmoins, la présence des protéines impliquées dans le système d’export Sec-dépendant, comme SecA, SecY et SecE, ont été identifiées (Kakizawa et al., 2001; Kakizawa et al., 2004). L’expression de SecA a même pu être détectée dans des plantes infectées par le phytoplasme (Kakizawa et al., 2001). Ces protéines essentielles pour le fonctionnement du système d’export suggèrent l’existence d’un système de translocation protéique Sec-dépendant fonctionnel et commun chez les phytoplasmes. La protéine Amp, en plus de son rôle dans l’interaction avec les microfilaments de l’insecte, a également été démontrée comme étant un substrat de ce système de sécrétion (Kakizawa et al., 2004). 34
  • 75.
    Introduction 2.1.3.3. Spiroplasmes L’étude du protéome total de la souche de référence GII3 de S. citri a permis de mettre en évidence la présence des sous-unités impliquées dans le système de sécrétion Sec- dépendant comme SecA, SecY ou encore SecE. Un système Sec-dépendant est supposé être fonctionnel chez S. citri. En revanche, aucun système de sécrétion de type III ou IV n’a pu être identifié par homologie. L’existence d’un système de fonction analogue ne présentant d’homologie avec les systèmes précédemment identifiés est cependant envisageable. 2.2. Internalisation Les interactions initiales entre une cellule eucaryote et un pathogène sont indispensables pour la virulence de ce dernier. Cette étape implique uniquement le ligand bactérien et son récepteur, et est indépendante, dans la grande majorité des cas, du cytosquelette. L’adhésion peut alors permettre la mise en place des étapes ultérieures de l’invasion. En effet, les contacts mis en place au cours de cette étape entre les deux organismes conduisent à une cascade de signaux tels que la phosphorylation et déphosphorylation de protéines, le recrutement d’adaptateurs et d’effecteurs ainsi que l’activation de composants du cytosquelette induisant l’internalisation de la bactérie. La membrane plasmique est une structure dynamique assurant de nombreuses fonctions pour la cellule comme l’adhérence entre les cellules, le transport de molécules, l’absorption de nutriments, la défense contre les pathogènes, etc…. La plupart de ces fonctions, et notamment les étapes nécessitant un transport actif au niveau de cette membrane, requièrent un phénomène appelé endocytose. 2.2.1. Voie clathrine-dépendante La voie clathrine-dépendante est la voie la plus importante pour l’internalisation des protéines et des lipides (Brodin et al., 2000). Cette voie d’endocytose, contrôlée par une protéine structurelle de la membrane, la clathrine, se produit dans toutes les cellules eucaryotes. Le contact entre la bactérie et la cellule se fait par le biais d’un récepteur spécifique qui possède, sur son domaine cytoplasmique, un signal d’induction impliquant la formation de puits recouverts de clathrine. Ces puits sont ensuite internalisés dans une vésicule qui est libérée vers les endosomes (Schmid & Damke, 1995). Cette voie est utilisée par plusieurs bactéries intracellulaires comme Ricketssia conorii par l’intermédiaire du 35
  • 76.
    Figure I.11: Deuxmécanismes bactériens utilisés pour l’internalisation dans les cellules eucaryotes. A: Mécanisme basé sur la macropynocytose (Trigger mechanism). B: Mécanismes basé sur la phagocytose (Zipper mechanism). (D’après Finlay et al., 1997).
  • 77.
    Introduction récepteur Ku70 (Martinezet al., 2005), Streptoccocus pneumoniae, par l’intermédiaire de la β-arrestin 1 (Radin et al., 2005), ainsi que plusieurs autres espèces d’E. coli (Green & Brown, 2006), de Legionella (Maruta et al., 1998) ou encore Klebsiella pneumonia (Oelschlaeger & Tall, 1997) et Brucella abortus (Detilleux et al., 1991). 2.2.2. Phagocytose La phagocytose, quant à elle, permet notamment l’invagination des bactéries (Dramsi & Cossart, 1998) par des cellules spécialisées telles que les macrophages, les monocytes ou bien les neutrophiles (Aderem & Underhill, 1999). C’est un processus actif et extrêmement régulé impliquant des récepteurs spécifiques à la surface des cellules et des cascades de signalisation faisant intervenir de nombreuses GTPases (Hall & Nobes, 2000). Elle produit des extensions de la membrane plasmique sous l’influence de la polymérisation des filaments d’actine qui encerclent les particules ou les fluides extracellulaires, les faisant pénétrer à l’intérieur de la cellule dans des phagosomes qui sont ensuite dirigés vers la machinerie lysosomiale afin d’être dégradés. Les bactéries sont parvenues à détourner ces processus cellulaires, mettant ainsi en place des cascades de signalisation dans le but d’envahir les cellules de leur hôte en induisant leur propre phagocytose. Se faisant, ces organismes intracellulaires peuvent ainsi pénétrer dans un grand nombre de types cellulaires plus propices à leur survie. Les voies utilisées par ces bactéries sont, là encore, nombreuses. Chez les bactéries entéroinvasives, deux types principaux de phagocytose peuvent être néanmoins distingués : un mécanisme « en fermeture éclair » (« zipper mechanism » ; (Cossart & Sansonetti, 2004)) qui implique le plus souvent la voie clathrine-dépendante et un mécanisme « trigger » (Pizarro-Cerda & Cossart, 2006) qui se rapporte davantage à la macropynocytose (figure I.11). 2.2.2.1. « Zipper » mécanisme Ce mécanisme a été mieux caractérisé chez les bactéries Listeria et Yersinia. Comme nous l’avons vu précédemment, ces bactéries expriment à leur surface des protéines qui se lient aux récepteurs cellulaires. Il en résulte la formation de la vacuole phagocytaire, cette étape étant induite par les signaux cellulaires produits après le premier contact entre les deux partenaires. Les effecteurs, bien que différents chez les deux bactéries, induisent de légères extensions membranaires par l’intermédiaire d’une cascade de signalisation faisant intervenir 36
  • 79.
    Introduction des protéines impliquéesdans la régulation de la polymérisation des filaments d’actine comme les Rho GTPases, le complexe Arp2/3 ainsi que des protéines appartenant à la famille WASP (Wiskott-Aldrich Syndrome protein). L’induction de nouvelles protéines, cette fois-ci impliquées dans la dépolymérisation des filaments d’actine, permettent la rétractation de la vacuole et donc l’entrée de la bactérie (Cossart & Sansonetti, 2004). 2.2.2.2. « Trigger » mécanisme Ce mécanisme se traduit par des gonflements importants de la membrane plasmique qui emprisonne la bactérie. La formation de la poche, induite par des effecteurs bactériens injectés par le biais du SSTT, implique des réarrangements locaux mais importants de la surface nécessitant des réarrangements massifs du cytosquelette d’actine ainsi qu’une dépolymérisation des microtubules. Certains aspects de ces cascades de signalisation complexes restent encore partiellement inconnus. Chez Shigella, la protéine IpaC induit la polymérisation d’actine par l’intermédiaire de GTPases telles que Cdc42 et Rac1 (Nhieu & Sansonetti, 1999). VirA, un effecteur bactérien, se lie à la tubuline et inhibe sa polymérisation. Une fois le processus d’internalisation engagé, la bactérie entre dans la cellule et un nouvel effecteur IpaA se lie à la vinculine et induit la dépolymérisation de l’actine (Bourdet-Sicard et al., 1999). Le facteur IpgD hydrolyse le phosphatidylinositol 4,5-biphosphate en phosphoinositol phosphate et détache l’actine de la membrane permettant la libération de la vacuole (Nhieu et al., 2005). Chez Salmonella, le processus nécessite les mêmes étapes, à savoir une polymérisation des microfilaments d’actine induite par SipC seule (Hayward & Koronakis, 1999). L’interaction de cette dernière avec SopE permet l’extension brutale des filaments qui, de ce fait, englobe littéralement la bactérie (Hardt et al., 1998). Un homologue du facteur IpgD de Shigella, nommé SopB/SigD, permet de favoriser l’entrée de la bactérie (Norris et al., 1998). 2.2.2.3. Voie dépendante des microtubules La dernière voie utilisée par les bactéries pour pénétrer dans les cellules de l’hôte fait intervenir un mécanisme, moins bien défini, basé sur l’utilisation des microtubules. Cette voie, insensible à la cytochalasine D, une drogue qui altère la polymérisation des filaments d’actine, est totalement indépendante du réseau d’actine. L’implication de cette voie a notamment été démontrée pour l’entrée de Campylobacter jejuni et Citrobacter freundii dans des cellules en culture (Oelschlaeger et al., 1993). 37
  • 81.
    Introduction Bien entendu, ces voies ne s’excluent pas les unes des autres. Plusieurs espèces de Chlamydia utilisent aussi bien la voie clathrine-dépendante que celle utilisant le réseau de microtubule pour entrer dans les cellules (Majeed & Kihlstrom, 1991; Schramm & Wyrick, 1995). Il en est de même pour Saphylococcus aureus (Ellington et al., 1999). Neisseria gonorrhoeae, quant à elle, induit son internalisation à la fois par la voie chlatrine-dépendante par le biais d’un récepteur de type glycoprotéique (Harvey et al., 2001) mais peut aussi induire sa phagocytose par un mécanisme proche du « zipper » mécanisme (Grassme et al., 1996). 2.2.3. Mycoplasmes Pour certains mycoplasmes, des approches expérimentales de microscopie électronique combinée au marquage immunologique (Taylor-Robinson et al., 1991; Taylor- Robinson et al., 1993; Andreev et al., 1995), de microscopie confocale (Baseman et al., 1995; Winner et al., 2000), ont permis de visualiser l’entrée dans les cellules de l’hôte. Cette capacité d'invasion et de survie dans les cellules de l’hôte a été, pour la première fois, démontrée chez M. penetrans (Andreev et al., 1995). Plus récemment, cette capacité à résider dans les cellules non phagocytaires a également été mise en évidence pour d'autres mycoplasmes comme M. fermentans, M. hominis, M. pneumoniae, M. genitalium et M. gallisepticum (Citti et al., 2005). L’intervention de protéines se liant à la fibronectine a été suggérée dans le processus d'internalisation chez M. penetrans (Giron et al., 1996) et M. pneumoniae (Dallo et al., 2002). L'inhibition du processus d’internalisation de certains mycoplasmes comme M. penetrans (Borovsky et al., 1998) et M. gallisepticum (Winner et al., 2000), par certaines drogues affectant les microtubules (nocodazole, vinblastine), suggère que ces internalisations bactériennes utilisent le cytosquelette de la cellule eucaryote. De plus, la dépolymérisation des microfilaments par la cytochalasine D inhibe l'invasion de M. penetrans mais pas celle de M. gallisepticum. Il semble donc que les mycoplasmes disposent de différentes stratégies de détournement du cytosquelette pour entrer à l'intérieur des cellules eucaryotes (Winner et al., 2000). En parallèle, les mycoplasmes, de par leur absence de paroi, peuvent également fusionner directement avec la membrane plasmique afin de pénétrer dans les cellules de l’hôte (Franzoso et al., 1992). 38
  • 83.
    Introduction 2.2.4. Virus En tant que pathogènes intracellulaires obligatoires, de nombreux virus détournent également l’ensemble des voies d’endocytoses pour pénétrer dans les cellules. Une revue, parue en 2009, détaille l’ensemble de ces voies utilisées par les virus pour leur internalisation cellulaire (Mercer & Helenius, 2009). Dans le cas des polérovirus et des lutéovirus, ces franchissements nécessitent l’interaction d’une protéine virale avec un récepteur membranaire conduisant à un phénomène d’endocytose par la voie clathrine-dépendante (Gildow, 1987). Dans le cas de virus enveloppés, comme chez les bunyavirus par exemple, l’internalisation nécessite une fusion directe de l’enveloppe virale avec la membrane cellulaire (Marsh & Helenius, 1989). Les virus de la famille des lutéovirus sont particulièrement bien connus. La protéine de capside (CP), protéine essentielle lors de l’assemblage du virus semble pouvoir intervenir dans la transmission mais ne suffit pas à expliquer le phénomène de transmission à elle seule. En effet, des virus assemblés uniquement avec cette protéine ne sont pas transmissibles à la plante de manière efficace. En revanche, ces virus sont retrouvés dans l’hémolymphe d’insecte ayant été mis à acquérir sur une suspension virale ce qui montre que la CP est impliquée dans le franchissement de la barrière intestinale (Reinbold et al., 2001). L’identification d’un peptide, de structure homologue à celle de la CP des lutéovirus, pouvant se lier aux cellules de l’épithélium intestinal empêche la pénétration des particules virales dans l’hémolymphe renforçant un peu plus le rôle de la CP dans le franchissement de cette barrière (Liu et al., 2010). De plus, une seconde protéine « readthrough » (RT), protéine obtenue par translecture du codon stop de la protéine de capside, composant, avec la CP, la coque protéique virale, semble intervenir dans ce phénomène. Des mutants viraux n’ayant pas incorporé cette protéine ne sont pas transmissibles par insectes bien que ces mêmes mutants, injectés à une plante lors d’une agroinfection, induisent une infection (Bruyere et al., 1997). Cette protéine a également été impliquée dans la spécificité de vection des lutéovirus (Brault et al., 2005). Plus récemment, l’identification de deux lectines, présentant des homologies avec des protéines de la famille PP2 (Phloem Proteins 2) prédominantes dans le phloème des plantes, capables d’interagir avec les particules virales du Cucurbit aphid borne yellows virus (CABYV), semblent jouer un rôle dans le transmission de ce virus par son insecte vecteur (Bencharki et al., 2010). L’identification de récepteurs chez le puceron Myzus persicae a montré que la RT du Beet western mosaic virus pouvait se lier à un homologue de Rack 1 de Drosophila melanogaster qui joue un rôle important dans les mécanismes d’endocytose/exocytose. De 39
  • 85.
    Introduction plus, des particulesvirales de ce même lutéovirus semble pouvoir interagir avec la glyceraldéhyde-3-phosphate deshydrogénase (GAPDH) de l’insecte qui, en régulant l’actine, jouerait un rôle dans l’endoctytose du virus (Seddas et al., 2004). En parallèle, des endosymbiotes du genre Buchnera, présents chez la plupart des pucerons, produisent de grande quantité d’une protéine nommée symbionine. Cette protéine, homologue de la chaperone GroEL de chez E. coli, possède la capacité d’interagir in vitro à des virions ou à des protéines RT recombinantes (van den Heuvel et al., 1994). De plus, la capacité des insectes à transmettre ces mêmes virus est fortement diminuée lorsqu’ils sont débarrassés de leur endosymbiotes (van den Heuvel et al., 1997). Le passage de la barrière intestinale, à l’inverse de celui de la barrière des glandes salivaires, ne semble pas être spécifique de cette vection. En effet, de nombreux virus n’étant pas transmis par certains insectes se retrouvent néanmoins dans l’hémolymphe de ces derniers suggérant un blocage au niveau des glandes salivaires (Gray & Gildow, 2003). 2.2.5. Franchissement de la barrière des glandes salivaires L’ensemble des systèmes étudiés, à partir des données concernant la caractérisation de la transmission de virus phytopathogènes, de bactéries ou de parasites, semble indiquer que la barrière des glandes salivaires reste l’étape essentielle pour déterminer la spécificité de vection. Cette spécificité implique que les microorganismes sont reconnus par la membrane des glandes salivaires, probablement par une interaction de type ligand-récepteur. Cette caractéristique est renforcée par l’aptitude de certains pathogènes à pénétrer dans l’hémolymphe de l’insecte, traversant ainsi la barrière intestinale, mais étant incapable de franchir celles des glandes salivaires. Le parasite Plasmodium knowlesi est transmis par le moustique Anopheles dirus mais, en revanche, se trouve bloqué dans l’hémolymphe d’une autre espèce d’Anopheles non vectrice sans pouvoir envahir les glandes salivaires (Rosenberg, 1985). De nombreux travaux ont été menés sur l’étude de cette reconnaissance de la membrane des glandes salivaires chez Plasmodium. Les protéines PCRMP (Cysteine Repeat modular proteins), deux protéines localisées à la surface du parasite, ainsi que la protéine MAEBL (Kariu et al., 2002) sont impliquées dans le franchissement des glandes salivaires sans que leurs partenaires au niveau de l’insecte ne soient identifiés. Des mutants dépourvus d’une de ces protéines sont incapables d’envahir les glandes salivaires (Thompson et al., 40
  • 87.
    Introduction 2007). Récemment, uneinteraction de type ligand-récepteur a été identifiée. Le peptide SM1 (Salivary gland and Midgut peptide 1) se lie à la membrane des cellules épithéliales des glandes salivaires et de l’intestin mais cette liaison inhibe l’invasion de Plasmodium berghei dans ces organes (Ghosh et al., 2001). L’utilisation d’agents pontants a permis de déterminer son ligand à la surface des cellules. Il s’agit d’une protéine de 50 kDa nommée sagline (Ghosh et al., 2009). De plus, cette protéine agit comme un récepteur pour l’invasion des sporozoites par le biais d’une interaction avec le facteur parasitaire TRAP (Thrombospondin Related Anonymous Protein) (Ghosh et al., 2009). La mutation de deux acides aminés de cette protéine permet d’inhiber l’invasion des glandes salivaires par le sporozoite (Matuschewski et al., 2002). Cette cascade d’interaction reste le mécanisme le mieux décrit concernant le franchissement de la barrière des glandes salivaires dans la transmission par insecte vecteur. 2.3. Echappement à la machinerie lysosomiale Les microorganismes, qui ont maintenant pénétré dans la cellule, se retrouve dans une vacuole d’endocytose. Une fois internalisés, ces derniers doivent se protéger des systèmes de dégradation mise en place par la cellule eucaryote. Le principal mécanisme de ces systèmes de dégradation, activés en condition de stress, repose sur le fait qu’une région du cytoplasme se retrouve séquestrée dans un autophagosome, composé d’une double membrane, qui est ensuite fusionné avec les lysosomes dans le but d’être dégradé (Kirkegaard et al., 2004). En réponse à ces voies de dégradation, les bactéries ont adapté des processus de contournement de ce système immunitaire qui peuvent être regroupés en trois groupes distincts. 2.3.1. Arrêt de la maturation des phagosomes L’arrêt de la maturation peut avoir lieu à des stades différents de la maturation des phagosomes, précocement pour le genre Mycobacterium ou alors plus tardivement dans le cas de Salmonella. Les vacuoles contenant Mycobacterium restent à un stade d’endosome primaire et évitent le processus de fusion avec les lysosomes en empêchant l’incorporation, dans la membrane de la vacuole, d’adenosine triphosphatase qui a pour rôle d’acidifier la vésicule afin d’activer plusieurs enzymes responsables de la dégradation (Sturgill-Koszycki et al., 1997). Dans le cas de Salmonella, les bactéries se retrouvent dans des vacuoles atypiques, les SCV (Salmonella Containing Vacuole), qui sont des endosomes détournés par la bactérie afin de ne pas subir la dégradation lysosomiale (Brumell et al., 2002). 41
  • 89.
    Introduction 2.3.2. Libération de la vacuole D’autres bactéries, à l’inverse, ne restent pas dans leur vésicule d’endocytose et s’échappent des phagosomes. Elles lysent rapidement la vacuole et se retrouvent libre dans le cytoplasme. C’est le cas des Shigella avec le facteur d’adhésion IpaB (High et al., 1992) ou des Listeria avec la lysteriolysine O (LLO) qui forment un pore dans la vacuole permettant à la bactérie d’être libre dans le cytoplasme dans lequel elle peut se multiplier (Gaillard et al., 1987). Rickettsia fait également partie de ces bactéries en sécrétant une phospholipase qui déstabilise la membrane des phagosomes (Walker et al., 2001). 2.3.3. Détournement du système lysosomial Un dernier groupe de bactéries manipule la membrane de la cellule de son hôte pour se retrouver à l’intérieur de vésicules non phagosomiales. Legionella se retrouve ainsi dans un compartiment ayant des caractéristiques communes avec le réticulum endoplasmique (Tilney et al., 2001). D’autres encore, comme les Chlamydia, peuvent produire leur propre compartiment d’endocytose, distinct de tous ceux existants dans la cellule (Hackstadt et al., 1996). Là encore des bactéries possèdent plusieurs systèmes d’échappement à la dégradation cellulaire. C’est ainsi que pour échapper à la voie autophagique, la bactérie Shigella sécrète, par l’intermédiaire de son système de sécrétion de type III, une protéine IcsB qui inhibe la liaison entre le facteur bactérien VirG et le ligand cellulaire Atg5 impliquée dans la séquestration autophagique de la bactérie (Ogawa et al., 2005). Ensuite, elle peut lyser la membrane de ce dernier afin de coloniser le cytoplasme. 2.4. Dissémination dans l’hôte Une fois libre dans le cytoplasme, certaines bactéries utilisent une nouvelle fois le réseau d’actine, cette fois-ci dans le but d’assurer leur motilité intra- ou intercellulaire. De ce fait, une interaction directe entre la bactérie et le cytosquelette est nécessaire (Stevens et al., 2006). Les bactéries possèdent donc des protéines dédiées à cette motilité et capables d’interagir avec le système de polymérisation des filaments d’actine. Listeria induit le recrutement et la polymérisation d’actine en exprimant une protéine de surface ActA qui se lie au complexe Arp2/3, ce dernier formant un pont entre ActA et l’actine (Welch et al., 1998). Il en résulte la formation d’un réseau de filaments d’actine, 42
  • 91.
    Introduction nommé « queued’actine » (actin-tail) que la bactérie peut contrôler grâce à l’intervention de plusieurs autres protéines telles que la cofiline, la profiline ou l’α-actinine qui permettent de moduler la densité et les mouvements des filaments (Cossart & Sansonetti, 2004). Shigella, quant à elle, exprime une protéine extracellulaire IcsA capable de recruter une protéine N- WASP (Neural Wiskott–Aldrich syndrome protein), fonctionnellement et structuralement liée à la protéine ActA de Listeria, qui active elle aussi le complexe Arp2/3 et, de ce fait, induit la formation du réseau d’actine à un pôle de la bactérie (Suzuki & Sasakawa, 1998). Il en est de même pour la bactérie Rickettsia qui utilise également cette queue d’actine par l’intermédiaire d’un mécanisme identique faisant intervenir la protéine RickA (Gouin et al., 2004). En plus de ce réseau d’actine, certains pathogènes utilisent d’autres protéines du réseau de cytosquelette, comme les kinésines et les dynéines associées aux microtubules. Ils interagissent avec ces « moteurs » pour se déplacer également dans le cytoplasme de la cellule (McNiven & Marlowe, 1999). C’est le cas de Campylobacter jejuni qui se déplace le long des filaments de microtubules grâce aux dynéines (Hu & Kopecko, 1999). Ce mode de transport a été également observé chez Chlamydia trachomatis pour qui, l’inhibition de la dynéine cellulaire réduit de manière considérable l’infectivité (Clausen et al., 1997). 3. Déterminants génétiques de la transmission de Spiroplasma citri 3.1. Transmission expérimentale de S. citri Au début du repas sur une plante infectée par S. citri, la cicadelle vectrice, Circulifer haematoceps, fait tout d’abord plusieurs piqûres d’essai afin d’identifier la plante. Au moment de la piqûre, ce dernier sécrète une salive dite coagulante qui, en se solidifiant au contact de l’air, va former une gaine protégeant les stylets. Juste avant l’ingestion, il sécrète une salive plus aqueuse contenant des enzymes (amylases, protéases, oligosaccharases) aidant à la digestion de la sève (Backus & McLean, 1985). Les spiroplasmes présents sont alors ingérés avec cette sève. Après un temps de latence nécessaire à S. citri pour coloniser l’insecte et gagner les glandes salivaires de celui-ci (5 à 6 jours), le spiroplasme est de nouveau injecté, au cours du prochain repas de l’insecte, dans le phloème d’une nouvelle pervenche. Après une période d’incubation de 2 à 3 semaines pour la souche GII3, les premiers symptômes apparaissent sur les pervenches infectées. Les symptômes développés par la pervenche de Madagascar, infectée par S. citri, ont été décrits (Bové et al., 1978; Calavan & Oldfield, 1979). 43
  • 92.
    1: AC N O QU SI IS IS IT Pervenche SM Pervenche IO AN N saine infectée TR 2: LE A Insecte vecteur IN BD ION OM AA CT TR JE IN : IN 3: R 4 EC RA CH AG E Culture de S. citri Figure I.12: Différents systèmes disponibles au laboratoire permettant l’étude de la transmission de S. citri
  • 93.
    Introduction Afin d’étudier les mécanismes mis en jeu au cours de la transmission de S. citri par l’insecte, des sytèmes expérimentaux d’acquisition et de transmission ont été mis au point au laboratoire (figure I.12, étapes 1 et 2). De plus, un système expérimental permet d’injecter une culture de S. citri directement dans l’hémolymphe de l’insecte, court-circuitant ainsi le franchissement de la barrière intestinale, afin de se concentrer uniquement sur le franchissement de la barrière des glandes salivaires (figure I.12, étape 3)(Foissac et al., 1997). Il est également possible de réaliser des tests d’inoculation de S. citri par C. haematoceps à travers une membrane de Parafilm® (figure I.12, étape 4)(Foissac et al., 1996). L’acquisition de spiroplasme par l’insecte peut également être étudiée en plaçant ces derniers sur une plante infectée ou sur une culture de la bactérie. 3.2. Identification de protéines chez S. citri candidates dans la transmission La mise au point d’outils génétiques comme la mutagénèse par l’utilisation de transposons, la disruption de gènes par recombinaison homologue et les vecteurs plasmidiques ont permis de produire et de complémenter des mutants affectés dans leur transmission (Foissac et al., 1997; Renaudin & Lartigue, 2005). Ces derniers, étudiés dans les systèmes de transmission expérimentaux disponibles, ont pu mettre en évidence l’implication de protéines dans la transmission du spiroplasme par son insecte vecteur. C’est ainsi que la spiraline, protéine majoritaire du spiroplasme, mais aussi la protéine Sc76, une lipoprotéine présentant des homologies avec une « Solute Binding Protein » d’un ABC transporteur de glucose, ont été impliquées (Boutareaud et al., 2004 ; Duret et al., 2003). Certaines souches de S. citri se multiplient dans l’hémolymphe, mais ne peuvent pas être transmises à la plante hôte par la cicadelle infectée. C’est le cas des souches R8A2 et Israël qui, maintenues dans la pervenche par greffage pendant plusieurs années, ne peuvent plus être transmises par Circulifer haematoceps (Bové, 1988). Il est est de même pour la souche 44 maintenue sur agrumes depuis de longues années même si elle reste toujours pathogène. Les mêmes caractéristiques ont également été observées pour la souche BR3-G Circulifer tenellus (Wayadande & Fletcher, 1995). De plus, les cicadelles sont incapables d’acquérir cette souche en se nourrissant sur une suspension de spiroplasmes. Ces premières données suggèrent que les franchissements des barrières de l’insecte par le spiroplasme semblent être contrôlés par des protéines dont l’expression pourrait être perdue lorsque le spiroplasme est maintenu dans la plante ou en culture in vitro sans passage dans l’insecte. Les 44
  • 95.
    Introduction souches maintenues dansun tel système, en plus d’être associées à un phénotype de non- transmissibilité, montre un protéome et un profil plasmidique différent de la souche GII3 de référence. Une corrélation a pu être établie entre la présence des plasmides pSci et la transmissibilité de cette bactérie par son insecte vecteur (Berho et al., 2006; Killiny et al., 2006). Afin d’évaluer leurs contributions respectives au phénotype de transmissibilité, les plasmides pSci 1 à 6 de la souche transmissible GII3 ont été introduits dans la souche non transmissible 44, et la transmissibilité de transformants a été déterminée. Il est apparu que seuls les transformants possédant le pSci6 sont transmis avec toutefois une efficacité moindre que celle de la souche transmissible GII3 (Berho et al., 2006). Ces résultats indiquent que contrairement aux autres plasmides pSci, le plasmide pSci6 porte des déterminants essentiels à la transmission. Les premiers de ces déterminants appartiennent à une famille multigénique, les protéines ScARPs (S. citri adhesion related proteins). Ces protéines membranaires présentent de fortes homologies avec la protéine ARP1 de S. citri souche BR3 (Berg et al., 2001) qui est impliquée dans l’adhésion in vitro aux cellules d’insectes (Yu et al., 2000). Dans la souche de S. citri GII3, 8 gènes codent pour 8 protéines ScARPs qui sont portées par les plasmides pSci 1 à 5 (Berho et al., 2006). Elles contiennent un peptide signal, de six à huit séquences répétées qui pourraient servir de domaine de liaison à un ligand comme celles qui interviennent dans les systèmes à deux composants impliqués dans la transduction de signal intervenant dans la virulence bactérienne (Cossart, 2004). De plus, la présence d’un signal de localisation nucléaire a également été prédite sans que son rôle ne soit élucidé. Sa présence suggère néanmoins un éventuel rôle d’effecteur capable de modifier l’expression des gènes de la cellule hôte. La protéine P32 constitue un autre déterminant porté par ce plasmide pSci6 et qui pourrait intervenir dans la transmission du spiroplasme. Cette protéine hydrophile de 238 acides aminés ne possède pas de domaines caractéristiques et ne présente aucune homologie avec des protéines connues. L’introduction du gène p32 dans la souche 44 semble modifier la localisation des spiroplasmes au niveau des glandes salivaires. En revanche, elle ne permet pas de restaurer la transmissibilité (Killiny et al., 2006). La comparaison des cartes protéique des souches transmissibles et non-transmissibles de S. citri a permis de confirmer l’absence de ces déterminants, à savoir les protéines ScARPs et la protéine P32, chez la souche non-transmissible 44. Plus récemment, l’implication plus ciblée d’une CDS présente sur la pSci6 a été décrite. Cette région codante, annotée traG, est requise pour la transmission de S. citri par l’insecte vecteur C. haematoceps (Breton et al., 2010). Ce gène code une protéine qui 45
  • 97.
    Introduction présente des homologiesavec la partie C-terminale d’ATPases de la famille des TraG/VirD4 impliquées dans les systèmes de sécrétion de type IV. Cette protéine cytosolique, bien qu’atypique pour être impliquée dans la transmission du spiroplasme, pourrait permettre à celui-ci de franchir la barrière des glandes salivaires ou de survivre à l’intérieur des cellules de l’insecte. En effet, un spiroplasme dépourvu de cette protéine peut se multiplier dans l’hémolymphe mais semble incapable de rejoindre le canal salivaire afin d’être injecté à la plante (Breton et al., 2010). L’adhésion aux cellules, comme évoqué précédemment, est considérée comme une étape essentielle du processus de colonisation des tissus (Pizarro-Cerda & Cossart, 2006). Chez S. citri, les protéines impliquées dans l’adhésion sont encore peu nombreuses et leurs rôles sont assez mal compris. Même si la protéine Sc76 ainsi les protéines ScARPs, contribuant à la transmission, semblent pouvoir assumer ce rôle d’adhésines, à ce jour, seule la spiraline a été impliquée dans une interaction avec les protéines d’insectes (Killiny et al., 2005). A l’origine, la spiraline est connue pour former un « manteau » protecteur à la surface du spiroplasme (Castano et al., 2002). Cependant, cette lipoprotéine a été démontrée comme étant une protéine de type lectine pouvant interagir avec deux glycoprotéines de l’insecte vecteur C.haematoceps (Killiny et al., 2005). Elle semble donc être une candidate idéale pour avoir ce rôle chez S. citri dans l’adhésion aux cellules d’insectes, étape indispensable au franchissement des barrières intestinale et des glandes salivaires. La mise au point récente, au laboratoire, d’une lignée cellulaire Ciha-1 de l’insecte vecteur C. haematoceps ouvre la voie à l’étude de l’invasion de S. citri dans les cellules de son hôte (Duret et al., 2009). IV. Situation du sujet et objectifs de recherche Les objectifs de cette thèse font partie intégrante de la thématique développée au laboratoire afin d’élucider les mécanismes moléculaires impliqués dans la transmission de S. citri. Au début de ce travail, la spiraline, la P32, les ScARPs ainsi que la protéine Sc76, étaient identifiées comme des protéines candidates dans la transmission mais seule une interaction entre la spiraline et les protéines de l’insecte avait été démontrée. De plus, aucune de ces protéines ne semblaient essentielle à ce processus. Mon but était donc de mettre en évidence des interactions entre les protéines de S. citri et celles de son insecte vecteur puis d’identifier les protéines impliquées dans celles-ci. 46
  • 99.
    Introduction Le premier chapitre de ce mémoire présente les résultats de la technique utilisée pour étudier les interactions entre les protéines de S. citri et celles de son insecte vecteur. L’identification d’une interaction entre la PGK et l’actine de l’insecte fait plus particulièrement l’objet de ce chapitre. Dans le second chapitre sont présentés les résultats obtenus pour définir la région minimale de la PGK impliquée dans l’interaction avec l’actine. Sont également signalés dans ce chapitre, les effets de cette interaction sur la transmission de S. citri par la cicadelle C. haematoceps. Le troisième chapitre est consacré aux tentatives d’obtenir un mutant dépourvu de PGK afin d’étudier sa transmissibilité par l’insecte. Aucune protéine n’étant impliquée seule dans la transmission, la recherche des complexes multi-protéiques impliqués dans celle-ci fera l’objet du chapitre 4. Les deux méthodologies utilisées, à savoir la technique de BN PAGE (Blue Native PAGE) et l’utilisation d’agents pontants, ainsi que les résultats obtenus, seront discutés 47
  • 101.
  • 102.
    Figure 1.1: Schémamontrant le franchissement par S. citri des deux barrières de son insecte vecteur ainsi que les changements de morphologie du spiroplasme au cours de son circuit. (D’après Fletcher et al., 1998).
  • 103.
    Chapitre 1 Interactions protéine-protéine entre S. citri et son insecte vecteur Circulifer haematoceps I. Introduction et objectifs La cicadelle identifiée dans les pays du pourtour méditerranéen comme hôte de S. citri est Circulifer haematoceps (Fos et al., 1986). La souche de référence de S. citri, étudiée dans notre pathosystème, a été isolée pour la première fois à partir d’un insecte C. haematoceps capturé au Maroc (Vignault et al., 1980). Les transmissions expérimentales effectuées au laboratoire, par injection intra abdominale de S. citri dans cette cicadelle, ont révélé qu’elle était capable de le transmettre à la pervenche de Madagascar, Catharanthus roseus. La transmission de S. citri par C. haematoceps est caractérisée par plusieurs facteurs qui lui sont propres. Premièrement, elle est spécifique ce qui signifie qu’une seule espèce d’insecte vecteur ou quelques espèces proches sont capables de transmettre le spiroplasme à la plante. De plus, elle se déroule selon un mode circulant-multipliant nécessitant donc une colonisation de l’insecte. Enfin, elle est persistante ; un insecte infecté le reste tout au long de sa vie. Au cours de son circuit dans C. tenellus, autre vecteur de spiroplasme en Californie, celui-ci doit franchir deux barrières, à savoir la barrière intestinale et celle des glandes salivaires (figure 1.1) (Fletcher et al., 1998). Plusieurs questions se posent concernant ce mécanisme de transmission et les protéines intervenantes : Des protéines de S. citri sont-elles impliquées dans ces franchissements en interagissant directement avec des protéines de l’insecte vecteur ? Si oui, quelles sont-elles ? Les mêmes protéines sont-elles impliquées dans le franchissement des deux barrières ou existe-t-il des protéines intervenant spécifiquement dans le passage de l’une de ces deux barrières ? Ces protéines participent-elles aux étapes d’adhésion et d’internalisation au cours du franchissement de l’une de ces barrières biologiques ? Comment le spiroplasme fait-il pour se déplacer à l’intérieur des cellules de l’insecte ? Est-ce par l’intermédiaire du « tip » ? Si oui, quelles sont les protéines impliquées dans cette structure ? 48
  • 105.
    Chapitre 1 Les travaux réalisés par Killiny et collaborateurs en 2005 ont permis de répondre à la première question qui a été déterminante pour la suite de cette étude. En effet, par la mise au point d’une technique in vitro d’interaction protéine-protéine, le far Western, des interactions ont été démontrées entre S. citri et C. haematoceps (Killiny et al., 2005). Ces interactions, au nombre de sept, impliquent des protéines d’insecte de masses moléculaires variables. De plus, deux de ces protéines, ayant des masses moléculaires de 50 et 60 kDa, sont des glycoprotéines et ont été directement impliquées dans une interaction de type glycoprotéine-lectine avec la spiraline de S. citri. Au début de ce travail de thèse, la spiraline est donc la seule protéine de spiroplasme impliquée dans une interaction avec des protéines d’insecte. Cependant, un mutant dépourvu de spiraline est transmis par la cicadelle C. haematoceps à la pervenche mais l’efficacité de transmission est moindre comparée à celle du sauvage (Duret et al., 2003). Il faut donc admettre que d’autres protéines de spiroplasmes, liées ou non à la spiraline, interviennent dans la transmission de S. citri par son insecte vecteur. Afin d’identifier de nouvelles protéines impliquées dans des interactions avec l’insecte, la technique de far Western a été utilisée pour mettre en évidence des interactions entre les protéines des glandes salivaires de l’insecte et celles de S. citri. En effet, sachant que la dernière étape essentielle au cours de la transmission est le franchissement de la barrière des glandes salivaires et, étant donné que le prélèvement de ces dernières est relativement aisé chez la cicadelle, la plupart de mes études ont porté sur les protéines de cet organe. Cette technique, dont le principe est détaillé dans le chapitre Matériels et Méthodes, permet la détection in vitro des interactions protéines-protéines. Elle trouve ses origines dans les travaux sur les interactions entre les protéines de Bacillus thuringiensis et son insecte vecteur (Hofmann et al., 1988). Des résultats intéressants ont également été obtenus dans l’étude des interactions entre les virus végétaux et leurs cellules hôtes (Morin et al., 2000) et les interactions de type lectine-sucre conférant la résistance à une espèce de riz transgénique exprimant cette lectine vis-à-vis de deux insectes, Nephotettix virescens et Nilaparvate lugens (Foissac et al., 2000). Le principal avantage de cette technique par rapport à d’autres techniques de détection d’interactions protéine-protéine (double hybride, TAP-tag, GST- pulldown, etc…) est qu’elle ne nécessite pas l’expression hétérologue de protéines. En effet, l’utilisation du codon UGA comme codon tryptophane chez S. citri oblige la mutation de chacun d’entre eux lors d’une expression chez E. coli. Une technique nécessitant l’expression de protéines n’était donc pas envisageable pour une étude comme celle-ci, cherchant à identifier, dans le protéome total du spiroplasme, des protéines candidates impliquées dans la 49
  • 107.
    Chapitre 1 transmission. Cetavantage en fait la technique idéale pour une analyse sans a priori afin d’obtenir des candidats qui seront alors testés par d’autres techniques plus fines. Par la suite, l’identification d’un candidat chez C. haematoceps nous a incités à rechercher le partenaire de cette protéine d’insecte et à rechercher le rôle d’une telle interaction au niveau de la transmission de S. citri par son insecte vecteur. Les résultats sont regroupés dans la publication intitulée « Entry of Spiroplasma citri into Circulifer haematoceps cells involves interaction between spiroplasma phosphoglycerate kinase and leafhopper actin ». Quelques résultats complémentaires concernant notamment la technique de far Western ainsi que quelques points clés des travaux présentés dans cette publication, seront également détaillés au cours de ce chapitre. 50
  • 108.
    Figure 1 Figure 2 Figure 3 Figure 4 Figures 5 et 6 Figure 1.2: Principales figures extraites de la publication n°1 (Labroussaa et al., 2010)
  • 109.
    Chapitre 1 II. Résultatset discussion 1. Publication 1 Les résultats obtenus au cours de ce premier chapitre sont publiés dans Applied and Environmental Microbiology sous le titre « Entry of Spiroplasma citri into Circulifer haematoceps cells involves interaction between spiroplasma phosphoglycerate kinase and leafhopper actin ». Les points essentiels de ce travail sont résumés ci-dessous et les figures nécessaires à sa compréhension sont représentées sur la figure 1.2. Le far Western monodimensionnel (1-D) entre les protéines totales d’insectes et celles de S. citri montre que des protéines du spiroplasme interagissent avec cinq protéines des glandes salivaires de Circulifer haematoceps (Figure 1A). Parmi ces protéines, la protéine localisée à 42 kDa a été identifiée comme étant l’actine de l’insecte vecteur. Cette interaction entre S. citri et l’actine de son insecte vecteur a été confirmée par microscopie confocale sur des glandes salivaires de C. haematoceps infectées par S. citri (Figure 1B). Par chromatographie d’affinité, le partenaire de l’actine de l’insecte a été identifié comme étant la phosphoglycérate kinase de S. citri (Figure 2, piste 4). La production et la purification de la His6-PGK de S. citri ont permis de confirmer l’interaction entre les deux partenaires et ce, à la fois en far Western 1-D à l’aide d’un anticorps anti-actine (Figure 3) ainsi qu’en microscopie confocale sur des cellules de C. haematoceps en culture et incubées avec cette PGK recombinante (Figure 4). L’incubation des cellules de C. haematoceps avec différentes concentrations de la His6-PGK a montré que cette dernière n’avait aucun rôle dans l’adhésion aux cellules d’insectes (Figure 5) mais intervenait, de manière dose-dépendante, dans l’internalisation des cellules d’insecte (Figure 6). 51
  • 111.
    APPLIED AND ENVIRONMENTALMICROBIOLOGY, Mar. 2010, p. 1879–1886 Vol. 76, No. 6 0099-2240/10/$12.00 doi:10.1128/AEM.02384-09 Copyright © 2010, American Society for Microbiology. All Rights Reserved. Entry of Spiroplasma citri into Circulifer haematoceps Cells Involves Interaction between Spiroplasma Phosphoglycerate Kinase and Leafhopper Actinᰔ Fabien Labroussaa, Nathalie Arricau-Bouvery, Marie-Pierre Dubrana, and Colette Saillard* INRA et Universite Victor Segalen Bordeaux 2, UMR 1090 Genomique Diversite Pouvoir Pathogene, ´ ´ ´ ´ ` 71 Avenue Edouard Bourlaux BP 81, F-33883 Villenave d’Ornon, France Received 1 October 2009/Accepted 18 January 2010 Transmission of the phytopathogenic mollicutes, spiroplasmas, and phytoplasmas by their insect vectors mainly depends on their ability to pass through gut cells, to multiply in various tissues, and to traverse the salivary gland cells. The passage of these different barriers suggests molecular interactions between the plant mollicute and the insect vector that regulate transmission. In the present study, we focused on the interaction between Spiroplasma citri and its leafhopper vector, Circulifer haematoceps. An in vitro protein overlay assay identified five significant binding activities between S. citri proteins and insect host proteins from salivary glands. One insect protein involved in one binding activity was identified by liquid chromatography-tandem mass spectrometry (LC-MS/MS) as actin. Confocal microscopy observations of infected salivary glands re- Downloaded from aem.asm.org at INRA on April 6, 2010 vealed that spiroplasmas colocated with the host actin filaments. An S. citri actin-binding protein of 44 kDa was isolated by affinity chromatography and identified by LC-MS/MS as phosphoglycerate kinase (PGK). To investigate the role of the PGK-actin interaction, we performed competitive binding and internalization assays on leafhopper cultured cell lines (Ciha-1) in which His6-tagged PGK from S. citri or purified PGK from Saccharomyces cerevisiae was added prior to the addition of S. citri inoculum. The results suggested that exogenous PGK has no effect on spiroplasmal attachment to leafhopper cell surfaces but inhibits S. citri internalization, demonstrating that the process leading to internalization of S. citri in eukaryotic cells requires the presence of PGK. PGK, regardless of origin, reduced the entry of spiroplasmas into Ciha-1 cells in a dose-dependent manner. Phloem-feeding leafhoppers transmit plant pathogenic mol- interacts with the insect microfilament complex and that inter- licutes, spiroplasmas, and phytoplasmas from plant to plant in action plays an important role in determining the insect vector a persistent propagative manner (26, 43). These phytopatho- specificity (48). Several other immunodominant membrane genic mollicutes are restricted to phloem and to certain vector proteins from various phytoplasmas have been mentioned in tissues; thus, their vectors are phloem sap-feeding specialists. the literature as candidates for involvement in host-phyto- After being ingested from plant phloem by their insect vectors, plasma interactions (29, 30). they traverse the insect gut wall, move into the hemolymph, Spiroplasma citri, the first phytopathogenic mollicute avail- where they multiply, and invade the salivary glands (20, 33, 34, able in culture (45), has emerged as an outstanding model for 36). During their movements in the insect vector until its trans- studying spiroplasma interactions with its two hosts: the peri- mission to a new host plant, spiroplasmas and phytoplasmas winkle plant and the insect vector Circulifer haematoceps. Fol- must traverse two major physical barriers, namely, the insect lowing observations of membrane-bound cytoplasmic vesicles intestine and the salivary gland (35, 53). Until now, little was of midgut epithelium and salivary gland cells, S. citri was hy- known about the molecular and cellular interactions contrib- pothesized to cross these physical barriers by receptor-medi- uting to the crossing of these physical barriers. Several lines of ated cell endocytosis (3, 33, 39). Several S. citri protein candi- evidence suggest that host-pathogen interactions could be a dates have been identified as involved in transmission and, for prerequisite for invasion and colonization of insect vector or- a few of them, in an interaction with leafhopper vector pro- gans (2, 48, 53). For human and animal pathogenic mollicutes, teins. Spiralin, the most abundant membrane protein, was sus- it is well established that successful colonization of the host pected to be involved in the transmission for two reasons: (i) a cells requires adhesion as the first step. This event is mediated S. citri spiralinless mutant was less effective in its transmissi- by surface proteins, and among these proteins adhesins play an bility (19); (ii) spiralin acted in vitro as a lectin able to bind to important role (8, 44). Recently, it was reported that an anti- glycoproteins of insect vectors and therefore might function as genic membrane protein (Amp) of onion yellow phytoplasma a ligand able to interact with leafhopper receptors (32). In addition, the ability of S. citri to be transmitted by C. haema- toceps is clearly affected by disruption of a gene predicted to * Corresponding author. Mailing address: UMR 1090 Genomique ´ encode a lipoprotein with homology to a solute-binding pro- Diversite Pouvoir Pathogene, INRA, Universite Victor Segalen Bor- ´ ` ´ ´ tein of an ABC transporter (14). The proteome of nontrans- deaux 2, 71 Avenue Edouard Bourlaux BP 81, F-33883 Villenave d’Ornon, France. Phone: 33 5 57 12 23 62. Fax: 33 5 57 12 23 69. missible S. citri strains specifically lacks adhesion-related pro- E-mail: saillard@bordeaux.inra.fr. teins (ScARPs) and the membrane-associated protein P32 ᰔ Published ahead of print on 29 January 2010. present in the proteome of transmissible strains (12, 13, 31). 1879
  • 113.
    1880 LABROUSSAA ET AL. APPL. ENVIRON. MICROBIOL. These proteins are encoded by plasmids pSci1 to -6 (46), which TABLE 1. Primers used for site-directed mutagenesis are present only in transmissible strains, and ScARPs share of S. citri PGKa strong similarities with the adhesion-related protein SARP1 of Primer Sequence (5Ј33Ј)b Positionc S. citri strain BR3, in which the presence has been correlated to PGK-F GTGAGAATTCGGATTTCATATG Ϫ19 to ϩ9 the ability for the spiroplasma to adhere to insect cells in vitro ACAAAC (9, 55). The specific interactions of S. citri with eukaryotic cells PGK-W1F CTTTAGGGAAATATTGGGCAAG 449–471 remain to be elucidated, but a combination of the effects of PGK-W1R CTTGCCCAATATTTCCCTAAAG 449–471 several proteins or a complex would be necessary to explain the PGK-W2F GTTACTTGGAATGGGCCAATG 991–1011 invasion of a variety of host cell types by S. citri (33). PGK-W2R CATTGGCCCATTCCAAGTAAC 991–1011 PGK-R TTATGAAGCTTTTATTTACTTTG 1222–1250* Nevertheless, in the last sequence of events involved in insect AACAGC vector transmission, the first contact and recognition for the effi- a All regions were amplified using the respective mutagenic forward and re- cient penetration of the salivary gland cells represents an essential verse primers, as required. Overlapping fragments with changes were then an- step. In the present study, confocal images of infected salivary nealed and amplified using PGK-F and PGK-R to generate full-length products. b glands show the localization of S. citri cells along the actin fila- Introduced EcoRI, HindIII, and NdeI sites are underlined, and changed nucleotides are shown in bold. ments. We report the results of the first attempt to decipher the c A negative value indicates an position upstream from the adenine nucleotide role of the spiroplasma’s phosphoglycerate kinase (PGK) in the of the starting ATG codon. *, 11 nucleotides are downstream of the stop codon internalization of S. citri in its insect vector’s cells. located at position 1239. MATERIALS AND METHODS immersed in fixative (4% paraformaldehyde in PBS plus 0.2% Triton X-100) Spiroplasma strain, leafhoppers, and cell line culture. S. citri GII3, originally overnight at 4°C. Then, fixed salivary glands were rinsed three times with PBS Downloaded from aem.asm.org at INRA on April 6, 2010 isolated from its leafhopper vector C. haematoceps captured in Morocco (52), with 0.2% Triton X-100 and permeabilized with PBS containing 1% Triton was cultivated in SP4 medium (50) at 32°C. X-100 (PBS-T) overnight at 4°C followed by an incubation in blocking buffer Healthy C. haematoceps leafhoppers were reared in an insect-proof cage on (PBS-T plus 1% bovine serum albumin [BSA]) for 1 h at RT. S. citri polyclonal stock plants (Mattiola incana) at 30°C. Microinjection of S. citri GII3 into C. antibodies diluted 1:500 in PBS containing 1% BSA were added for 2 h. They haematoceps has been described previously (21). Injected leafhoppers were were washed in PBS and treated with Alexa 488-conjugated goat anti-rabbit IgG maintained for 2 weeks on stock plants before salivary glands were removed. (Invitrogen) at a 1:200 dilution, and simultaneously F-actin was stained by Alexa The nonphagocyte cell line Ciha-1 (Circulifer haematoceps 1) (18) was cultured 568-phalloidin (Invitrogen) at a 1:40 dilution in PBS containing 1% BSA for 1 h at 32°C in Schneider’s Drosophila medium (Invitrogen) supplemented with 1% at RT. After three washings in PBS, they were then mounted with ProLong Gold histidine buffer (0.057 M histidine monohydrate, pH 6.2), 10% Grace’s insect cell antifade reagent (Invitrogen). The specificity of immunostaining was evaluated culture medium, 0.5% G-5 supplement, and 10% (vol/vol) heat-inactivated fetal by omitting the antibodies against S. citri proteins. Immunofluorescence samples bovine serum. were imaged using a TCS SP2 upright Leica confocal laser scanning micro- Far Western blotting experiments. Leafhopper salivary glands were dissected scope, with a 40ϫ water immersion or 63ϫ oil immersion objective lens at in phosphate-buffered saline (PBS; 2 mM KH2PO4, 8 mM Na2HPO4, 0.14 M 1,024 by 1,024 pixel resolution. The images were coded green (Alexa 488) and NaCl, 2 mM KCl [pH 7.4]) containing 1 mM phenylmethanesulfonylfluoride red (Alexa 568). (PMSF). Glands were stored frozen in buffer at Ϫ20°C until use. Glands were Partial purification of S. citri proteins involved in an interaction with actin. transferred to a potter Elvehjem grinder containing the same buffer and homog- Polyclonal antibodies against chicken actin (Sigma) were linked to protein enized. Then the mixture was centrifuged for 1 min at 10,000 ϫ g. The protein A–Sepharose CL-4B according to the manufacturer’s manual (GE Healthcare). concentration was determined by the Bradford procedure. Proteins were not ¨ All steps were conducted on an AKTA purifier liquid chromatography system further purified, to avoid inadvertently removing proteins of interest. Aliquots of (GE Healthcare). Noninfected leafhopper proteins were prepared as described supernatant (20 ␮g) were fractionated by electrophoresis in a 12.5% SDS-PAGE above for salivary gland proteins. To trap leafhopper actin with antiactin anti- gel before transfer onto a nitrocellulose membrane according to the methods of bodies, 1 mg of leafhopper proteins was loaded on the column and proteins Killiny et al. (32). After transfer, all steps were conducted under low agitation. bound nonspecifically to the actin column were eliminated with a 10-ml step Membranes were blocked in 10 ml of PBS with 6% nonfat dry milk and incubated using 2 M NaCl. Then, 500 ␮g of S. citri proteins, prepared as described in the with 2 ml of S. citri proteins (20 ␮g/ml) in PBS overnight at 4°C. S. citri proteins previous section for far Western experiments, was loaded on the actin column. S. used as an overlay were prepared according to the methods described by Killiny citri proteins bound to actin were eluted with a 0 to 2 M NaCl gradient (total et al. (32) with a few modifications. Disruption of the cells was performed by volume, 20 ml). All the eluted proteins were subjected to SDS-PAGE, followed sonication (Vibracell sonicator; Sonics & Materials, Inc., Danbury, CT; rate of by gel staining or far Western analysis. Nonspecific binding of S. citri proteins on 40% pulses/s, 50 W, 4°C; 1 min of sonication and 1 min on ice alternatively, three protein A-Sepharose and/or on antiactin antibodies was highlighted by a control times). After incubation, blots were washed with 50 ml of PBS buffer containing experiment carried out without C. haematoceps proteins loaded on the column. 0.1% Tween 20 (PBS-Tween) and incubated in 10 ml of PBS containing 1% S. citri proteins eluted from such columns were also subjected to SDS-PAGE and nonfat dry milk (antibody buffer) with purified polyclonal IgGs against total S. far Western blotting. Far Western experiments were carried out according to the citri proteins at a final concentration of 5 ␮g/ml for 1 h at room temperature conditions described above. Blots of eluted proteins were incubated with a (RT). After three washings with PBS-Tween, blots were incubated in 10 ml of mixture of C. haematoceps proteins, and the binding activities were revealed with antibody buffer with peroxidase-conjugated goat anti-rabbit IgGs (Sigma Al- polyclonal antibodies against actin. Gels intended for mass spectrometry analysis drich) at a 1:50,000 dilution at RT for 1 h. Blots were then washed in PBS-Tween were stained with colloidal blue (38). three times, followed by incubation with the substrate solution (Super Signal Protein identification by LC-MS/MS. Proteins of interest were excised from West Pico chemiluminescent substrate) according to the manufacturer’s instruc- stained gel and digested with trypsin as previously described (31). The resulting tions (Pierce, Rockford, IL). Then blots were exposed on X-ray film. digestion was used for peptide mass fingerprinting by liquid chromatography- Two micrograms of S. citri purified recombinant PGK was used in a far tandem mass spectrometry (LC-MS/MS) as routinely performed on the proteo- Western assay carried out to confirm interaction with leafhopper actin protein. mics platform of the University of Bordeaux 2, France (22). The blot of His6-tagged PGK was overlaid with 500 ␮g of total insect proteins. Expression and purification of S. citri phosphoglycerate kinase recombinant The experiment was conducted in a manner similar to that described above for protein. S. citri uses the UGA opal codon to incorporate tryptophan rather than the S. citri protein overlay assay except that anti-His monoclonal antibodies a stop codon as in the universal genetic code (16). For PGK expression in (MAb; Sigma) instead of S. citri polyclonal antibodies were used. Escherichia coli, the two opal codons contained in the gene were changed by Immunofluorescence analysis of salivary glands. Salivary glands from infected site-directed mutagenesis by using overlap extension PCR (23). Primers used in or noninfected C. haematoceps leafhoppers were dissected and incubated in 500 the PCR are presented Table 1. The amplified product of 1,239 bp corresponding ␮l of PBS containing 0.2% Triton X-100 at RT. All subsequent steps were to the pgk gene, in which the two opal codons were replaced by TGG codons, was performed in the same volume. Salivary glands were washed twice in PBS and inserted in a plasmid (pBS) and the construct was used to transform E. coli
  • 115.
    VOL. 76, 2010 S. CITRI PGK AND LEAFHOPPER ACTIN INTERACTION 1881 DH10B. The gene of interest was then transferred into a plasmid pET28a(ϩ) were fixed for 15 min in 500 ␮l of 4% formaldehyde at room temperature, vector (Novagen), and 1 ␮g of the recombinant plasmid (pET28 FL) was used to washed three times with 500 ␮l of PBS, and permeabilized by incubation for 15 transform E. coli DH10B. The desired sequence of the resulting plasmid (pET28 min with 500 ␮l of 0.1% Triton X-100 in PBS–1% BSA followed by another three FL) was verified by sequencing the insert. Two micrograms of the pET28 FL times wash with 500 ␮l of PBS. Anti-His MAb at a 1:1,000 dilution was then plasmid bearing the two desired mutations was used to transform E. coli added, followed by a secondary Alexa 514-conjugated rabbit anti-mouse antibody BL21(DE3). Transformants were selected on Luria-Bertani (LB) solid medium (1:200). Actin was stained with Alexa 568-phalloidin (1:40) and nuclei with 0.2 containing kanamycin (50 ␮g/ml) at 37°C. ␮g/ml of DAPI. The coverslips were rinsed once in water and were mounted onto To check the expression of the PGK fused to the N-terminal hexahistidine slides as described above for salivary gland observations. sequence under the control of an isopropyl-␤-D-thiogalactopyranoside (IPTG)- The images were coded with blue (DAPI), green (Alexa 488), and red inducible promoter, one transformant was cultivated in 500 ml of LB medium (Alexa 568). with kanamycin (30 ␮g/ml) until late log phase (optical density at 600 nm, 0.6). The recombinant His6-tagged PGK protein was produced at 28°C in culture by adding 0.1 mM IPTG for 3 h. Bacterial cells were centrifuged at 7,000 ϫ g for 10 RESULTS min at 4°C, and then the pellet was resuspended in 10 ml of lysis buffer (50 mM Tris-HCl [pH 8.0], 0.3 M NaCl, 25 mM MgSO4, 2.5 mM MnCl2, 1 mM PMSF, In vitro protein interaction and in vivo colocalization of S. and 100 unit/ml of DNase I). After 10 min of incubation at RT, lysozyme was citri with host cytoskeleton. Salivary gland proteins from added at 0.2 mg/ml for 10 min. The mixture was lysed by sonication (rate, 50% healthy leafhoppers separated by SDS-PAGE in one dimen- pulses/s; 50 W; 4°C; 1 min of sonication and 1 min on ice alternatively) until a sion were stained with colloidal blue (Fig. 1A, lane 1) or blot- clear lysate was obtained. The insoluble proteins were removed by subsequent ted onto nitrocellulose and probed with S. citri proteins. Bind- centrifugation at 13,000 ϫ g at 4°C for 10 min. The recombinant protein was purified by affinity chromatography using Ni2ϩ-nitrilotriacetic acid (Ni-NTA) ing levels were detected with polyclonal IgGs against total S. prepacked columns (Qiagen) followed by cation exchange chromatography citri proteins. Spiroplasma proteins were found to bind to a set ¨ (Mono Q columns; GE Healthcare) on the AKTA purifier liquid chromatogra- of insect salivary gland proteins having apparent molecular phy system (GE Healthcare) according to the manufacturer’s instructions. masses of 42, 35, 30, 27, and 25 kDa (Fig. 1A, lane 2). In the The purified recombinant His6-tagged PGK protein was tested with anti-His control experiment, in which S. citri proteins were omitted Downloaded from aem.asm.org at INRA on April 6, 2010 MAb and antiactin polyclonal antibodies in a Western blot experiment con- ducted as described previously (19). from the overlay assay, no leafhopper protein was recognized Effect of PGK on S. citri attachment and invasion. (i) Attachment of S. citri to by polyclonal IgGs (Fig. 1A, lane 3). The protein band with a Ciha-1 cells. Monolayers of Ciha-1 cells grown in 24-well plates (approximately mobility of ϳ42 kDa was excised from the stained gel, washed, 2 ϫ 105 cells per well) were incubated with 900 ␮l of various concentrations of and digested with trypsin prior to LC-MS/MS analysis. The MS PGK from Saccharomyces cerevisiae (Sigma) or tagged PGK from S. citri in culture medium. Cells without PGK treatment were the positive controls, and spectra matched, in the NCBI nonredundant protein database, uninfected cells served as negative controls. As additional controls, the effects of those of actin from the fruit fly (Drosophila melanogaster), BSA (Sigma) and those of His6-tagged eukaryotic initiation factor 4E (eIF4E) brine shrimp (Artemia sp.), tapeworm (Diphyllobothrium den- protein on S. citri adhesion were also assayed. Each assay condition was evalu- driticum), and silk moth (Bombyx mori). The finding that actin ated in triplicate. After incubation with proteins for 2 h at 32°C, the cells were was involved in an in vitro interaction with S. citri proteins infected with a 100-␮l S. citri culture at a multiplicity of infection (MOI) of 15 to 30 for 4 h at 4°C. Normally, this temperature allows spiroplasma attachment to suggested that in vivo an interaction between S. citri and the the cell surface but inhibits eukaryotic cell processes required for internalization. insect actin cytoskeleton may be involved in spiroplasma inva- Following the incubation, the cells were then washed three times with 500 ␮l of sion of cells. Schneider’s Drosophila medium to remove any spiroplasmas that had not at- Thus, the far Western results prompted us to explore by tached to the monolayer. After trypsinization for 10 min at 32°C with TrypLE (Invitrogen), dilutions of the cells associated with adherent spiroplasmas were confocal laser scanning microscopy the location of S. citri in directly plated on solid SP4 medium. After incubation at 32°C for 1 week, the salivary glands. In those infected with S. citri (Fig. 1B), spiro- number of spiroplasma colonies on each plate was counted to estimate the plasmas (green fluorescence) are preferentially present along number of Ciha-1 cells that had adherent spiroplasmas (4). In addition, treat- the actin filaments (red color). Salivary glands from nonin- ment of spiroplasmas with trypsin alone in the absence of Ciha-1 cells had no fected leafhoppers did not show spots of green fluorescence effect on spiroplasma growth (18). The relative percentage of adhesion was calculated as follows: [(number of CFU for cells with protein treatment)/(num- specific to spiroplasmas (Fig. 1B). ber of CFU for untreated control cells)] ϫ 100%. For statistical analysis, Stu- Identification of one S. citri protein interacting in vitro with dent’s t test was used when appropriate. actin. To determine the S. citri proteins interacting with actin, (ii) Spiroplasmal entry analysis. The effect of PGK treatment on the inter- spiroplasma proteins were loaded on a column of leafhopper nalization of S. citri into Ciha-1 cells was determined as previously described actin that was trapped by antiactin antibodies linked to protein using the gentamicin protection assay (4, 28). Until S. citri infection, all the steps were the same as those described above for attachment. Infection by 100 ␮l of S. A-Sepharose. The presence of actin in the mixture of leafhopper citri culture at an MOI of 15 to 30 was carried out at 32°C for 18 h. The cells were proteins used to prepare the column (Fig. 2A, lane 1) was con- thereafter washed three times with 500 ␮l of Schneider’s Drosophila medium firmed by Western blotting using antiactin antibodies (Fig. 2A, under low agitation to remove unbound bacteria. In order to eliminate bacteria lane 2). that had attached but not internalized, cells were incubated with 1 ml of fresh culture medium containing 400 ␮g/ml of gentamicin (10 times the MIC) for 3 h As shown in Fig. 2A, lane 3, S. citri proteins eluted from the at 32°C. Gentamicin was eliminated by three washes with 500 ␮l of Schneider’s antiactin–protein A-Sepharose column were those captured on Drosophila medium followed by three additional washes with the same volume Sepharose and/or on actin antibodies (control experiment). of PBS (1.54 mM KH2PO4, 155.17 mM NaCl, 2.71 mM Na2HPO4 ⅐ 7H2O; pH Figure 2A, lane 4, shows the profile of S. citri proteins eluted 7.2). After washes, a 100-␮l aliquot of the last wash was plated on SP4 medium from the actin column. Comparison of the two protein patterns to ensure that all extracellular bacteria had been killed (data not shown). Ciha-1 cells were trypsinized, plated on SP4 medium, and incubated at 32°C for 1 week. revealed one protein at 44 kDa present among the proteins The number of colonies on each plate was counted to determine the number of bound to actin but absent in the control profile. To determine cells in which S. citri was internalized. whether this protein displayed an affinity for actin, a far West- Binding of His6-tagged PGK to Ciha-1 cells. To determine whether the contact ern assay was performed using as overlay a mixture of whole with Ciha-1 cells of His6-tagged PGK, BSA, and His6-tagged eiF4E has an effect on actin cytoskeleton, cells were grown on coverslips in 24-well plates and leafhopper C. haematoceps proteins containing actin. A signif- prepared by the same process described above until infection with S. citri. After icant binding activity located at approximately 44 kDa was the three washes in 500 ␮l of Schneider’s Drosophila medium, cells on coverslips revealed by rabbit antiactin IgGs followed by goat anti-rabbit
  • 117.
    1882 LABROUSSAA ET AL. APPL. ENVIRON. MICROBIOL. FIG. 1. In vitro protein interactions and in vivo colocalization of S. citri with the actin filaments in leafhopper salivary glands. (A) Far Western experiments: binding of S. citri proteins to C. haematoceps salivary gland proteins separated by SDS-PAGE. Lane 1, gel electrophoresis pattern of salivary gland proteins (20 ␮g) stained with colloidal blue. Lane 2, blot from salivary gland proteins probed with S. citri proteins (20 ␮g). Anti-S. citri polyclonal IgGs were used to detect bound spiroplasma proteins. Peroxidase-conjugated goat anti-rabbit IgGs were used as secondary antibodies, and detection was performed with chemiluminescent substrate. Arrows on the right indicate the five significant binding activities between S. citri proteins and insect salivary glands proteins with apparent molecular masses of 42, 35, 30, 27, and 25 kDa. Lane 3, control blot not probed with S. citri proteins but subjected to the same treatment as mentioned for lane 2. The relative molecular masses are indicated on the left. Downloaded from aem.asm.org at INRA on April 6, 2010 (B) Confocal images of noninfected and S. citri-infected C. haematoceps salivary glands. Fixed salivary glands were incubated with S. citri antibodies. Detection was carried out with Alexa 488-conjugated anti-rabbit IgG (green fluorescence). Actin filaments were stained with Alexa 568-phalloidin (red). Photos to the right are higher magnifications of the areas outlined in white boxes. Bars, 20 ␮m. antibodies labeled with peroxidase (Fig. 2A, lane 5). The cor- reports indicating that PGK has actin-binding properties, we responding protein band was excised from the colloidal blue- decided to focus our attention on it. stained gel (Fig. 2A, lane 4) and used for MS analysis. Two In vitro and ex vivo interaction of S. citri tagged-PGK with proteins of S. citri were identified, one with a molecular mass leafhopper actin. (i) Purified tagged PGK binds leafhopper of 44.5 kDa and a second with a mass of 46 kDa. Seven actin in a gel overlay assay. His6-tagged PGK purified by identified peptides matched those of the PGK protein (44.5 Ni2ϩ-NTA chromatography followed by cation exchange chro- kDa) annotated as SPICI 03-024 in the sequence of S. citri matography was analyzed by SDS-PAGE (Fig. 3, lane 1). As strain GII3 and covered 23.79% of the whole theoretical pro- expected, only one protein band was observed at 44 kDa, and tein sequence (Fig. 2B). For the 46-kDa protein, nine peptides the presence of the tag was confirmed in a Western blot assay were identified as being a part of a lipoprotein (24%) anno- performed with anti-His MAb (Fig. 3B). To determine tated as SPICI 03-098 in the S. citri genome. Due to previous whether His6-tagged PGK displays an affinity for actin, far FIG. 2. Partial purification and identification of the S. citri 44-kDa protein. (A) For purification of the actin-binding protein, a mixture of S. citri proteins was loaded on an actin column composed of leafhopper actin trapped by antiactin antibodies linked to protein A-Sepharose. A control experiment was carried out by omitting the leafhopper actin protein. Lane 1, the mixture of leafhopper proteins used to prepare the column was analyzed by SDS-PAGE and stained with colloidal blue. Lane 2, proteins extracted from whole insects were transferred onto nitrocellulose membranes. Saturated blots were probed with rabbit polyclonal antibodies against chicken actin, followed by immunological detection as previously described (19). The band at 42 kDa reflects the presence of actin in the protein mixture and the specificity of the antiactin antibody. Lane 3, S. citri proteins eluted from the antiactin protein A-Sepharose column were analyzed by SDS-PAGE. These proteins are linked to protein A-Sepharose or/and to actin antibodies (control experiment). Lane 4, S. citri proteins eluted from the actin column were analyzed by SDS-PAGE. Lane 5, binding of leafhopper proteins to S. citri proteins eluted from the actin column. The blot of S. citri proteins was probed with the mixture of leafhopper proteins containing actin. Binding was detected with rabbit antiactin antibodies followed by goat anti-rabbit antibodies labeled with peroxidase. Detection was performed with chemiluminescent substrate. Only one protein at 44 kDa was found to interact with leafhopper actin, corresponding with the apparent molecular mass of the additional band present in lane 4. (B) LC-MS/MS analysis of the 44-kDa protein identified phosphoglycerate kinase. Three distinct peptides matching the protein sequence are marked in bold. The underlined sequence in bold of 63 amino acids consists of four separate peptides overlap by several amino acids: KIGNSLLEVDKVEIAKT, KTFLAKGQGKIILPIDALEAPEFADVP AKV, KIILPIDALEAPEFADVPAKV, and KVTTGFDIDDGYMGLDIGPKT. Sequence coverage was 23.79%.
  • 119.
    VOL. 76, 2010 S. CITRI PGK AND LEAFHOPPER ACTIN INTERACTION 1883 actin protein present in the insect protein mixture (Fig. 3B). One additional control, to confirm that the binding signal in lane 2 was only due to the presence of actin in the insect preparation, revealed no reaction between the His6-tagged PGK preparation and antiactin antibodies (Fig. 3B). (ii) Purified His6-tagged PGK colocates with actin of leaf- hopper Ciha-1 cells. To see the potential effect of PGK protein on the host cell actin cytoskeleton, about 2 ϫ 105 Ciha-1 cells in insect culture medium were incubated with various quanti- ties of tagged PGK for 2 h at 32°C. As a control, Ciha-1 cells were treated with BSA, at concentration equal to that of PGK. As an additional control, the effect of an unrelated His6-tagged protein (eIF4E) on Ciha-1 cells was also assayed. Compared to untreated control cells (Fig. 4A), Ciha-1 cells treated for 2 h at 32°C with 400 ␮g/ml of BSA (Fig. 4B) or tagged eIF4E (Fig. 4C) showed no alteration in the cell cytoskeleton. In the three FIG. 3. In vitro interaction between S. citri His6-tagged PGK and cases, the cells were of similar size, showed no obvious mor- leafhopper actin. (A) Lane 1, His6-tagged PGK purified by Ni2ϩ-NTA phological differences, and the actin filaments stained with chromatography followed by cation exchange chromatography was an- phalloidin were clearly visible. These observations suggested alyzed by SDS-PAGE and stained with colloidal blue. Lane 2, a far Western assay was performed using a leafhopper protein mixture with that exogenous proteins and in particular the polyhistidine tag Downloaded from aem.asm.org at INRA on April 6, 2010 actin as the overlay. Polyclonal antiactin antibodies were used to detect have no effect on the Ciha-1 cells. When the cells were treated an interaction. Peroxidase-conjugated goat anti-rabbit IgGs were used with His6-tagged PGK (400 ␮g for 2 ϫ 105 cells), faint cellular as secondary antibodies, and detection was performed with chemilu- changes were observed and the major alterations were on the minescent substrate. (B) Purified S. citri His6-tagged PGK and insect proteins used in the far Western assays were tested with anti-His MAb actin filaments (Fig. 4D). The immunofluorescent staining al- and antiactin antiserum. M, molecular mass marker; relative molecular lows the detection of distinct spots of aggregated tagged PGK masses are indicated on the left. (Fig. 4E) colocated with actin filaments (Fig. 4F). These ob- servations confirm the interaction observed in vitro between PGK and actin. Western assays were performed using a leafhopper protein Treatment of Ciha-1 cells with tagged PGK has no effect on mixture. One significant binding activity was revealed with spiroplasma attachment. If spiroplasmal PGK is involved in rabbit antibodies against chicken actin (Fig. 3, lane 2), which adhesion to host cell surfaces, adding exogenous PGK to suggested an interaction between the His6-tagged PGK and Ciha-1 cells should competitively inhibit the attachment of S. FIG. 4. Colocalization of purified S. citri His6-tagged PGK with actin filaments in leafhopper cells (Ciha-1). Confocal images show Ciha-1 cells untreated (A) or treated for 2 h with various proteins at 400 ␮g/ml, BSA (B), His6-tagged eIF4E protein (C), and S. citri His6-tagged PGK (D). The three images in panels D, E, and F represent the same area. Cells were stained for nuclei with 4Ј,6-diamidino-2-phenylindole (blue). Cellular actin was stained with Alexa 568- phalloidin (red; A, B, C, and D). (E) Detection of His6-tagged PGK was performed with anti-His MAb serum followed by a secondary Alexa 514-conjugated rabbit anti-mouse antibody (green). (F) Merged immunofluorescent images from those in panels D and E. The coincidence of PGK and F-actin staining appears in yellow. Bars, 8 ␮m.
  • 121.
    1884 LABROUSSAA ET AL. APPL. ENVIRON. MICROBIOL. FIG. 5. Effect of PGK treatment on S. citri attachment to Ciha-1 FIG. 6. Inhibition of S. citri invasion into Ciha-1 cells by PGK cells. Monolayers of Ciha-1 cells were incubated for 2 h at 32°C with treatment. Monolayers of Ciha-1 cells were incubated for 2 h at 32°C various amounts of PGK from S. cerevisiae, and His6-tagged PGK from with various amounts of PGK from S. cerevisiae, His6-tagged PGK S. citri, BSA, or His6-tagged eIF4E. After incubation, the cells were from S. citri, BSA, or His6-tagged eIF4E prior to infection with S. citri. infected with S. citri at a MOI of 15 to 30 for 4 h at 4°C. Untreated cells Following infection with S. citri at a MOI of 15 to 30 for 18 h at 32°C, infected under the same conditions were the positive controls. Then, the cells were treated with gentamicin (400 ␮g/ml) for 3 h at 32°C to the cells were washed and plated on SP4 solid medium. After spiro- kill attached spiroplasmas. Then, the cells were trypsinized and plated plasma growth at 32°C, the number of colonies was counted to evaluate on SP4 medium for counting the infected cells. Cells without protein Downloaded from aem.asm.org at INRA on April 6, 2010 the number of cells associated with adherent spiroplasmas. Each value treatment before infection were the positive controls. Each value rep- represents the mean of two independent triplicate assays. Vertical lines resents the mean of two independent triplicate assays. Vertical lines represent standard error of the mean. Student’s t test was used, and no represent standard errors of the means. *, significant differences (P Ͻ statistical differences were found. Black bars, untreated cells; bars with 0.001; Student’s t test) between S. citri internalization with PGK, BSA, diagonal hatching, S. cerevisiae PGK; brick-filled bars, S. citri His6- and eIF4E treatment and S. citri internalization without any protein tagged PGK; white bars, controls. treatment. Black bars, untreated cells; bars with diagonal hatching, S. cerevisiae PGK; brick-filled bars, S. citri His6-tagged PGK; white bars, controls. citri to this cell line. We took advantage of the PGK sequence conservation among species to include in our experiment the Ciha-1 cells treated with ScPGK at a concentration of 50 ␮g/ml commercially prepared PGK from S. cerevisiae (hereafter re- compared to untreated cells (P Ͻ 0.001) (Fig. 6). With the same ferred to as ScPGK). Cells without PGK treatment were the concentration of S. citri His6-tagged PGK, the entry of spiroplas- positive controls, and cells treated prior to infection with S. citri mas in Ciha-1 cells was not noticeably affected. Higher concen- with BSA and His6-tagged eIF4E were also included as a trations significantly diminished invasion by S. citri but less than control. As seen in Fig. 5, no difference was observed between with ScPGK. An S. citri His6-tagged PGK concentration of 50 the number of CFU obtained with untreated cells and those ␮g/ml reduced entry of spiroplasmas into Ciha-1 cells by 10%, at obtained with cells preincubated with 50 or 400 ␮g/ml of BSA 100 ␮g/ml by 30% (P Ͻ 0.001), at 200 ␮g/ml by 50% (P Ͻ 0.001), or with 400 ␮g/ml of His6-tagged eIF4E. Preincubation of and at 400 ␮g/ml by 70% (P Ͻ 0.001). Ciha-1 cells with either ScPGK (10, 25, 40, or 50 ␮g/ml) or recombinant His6-tagged PGK from S. citri (10, 25, 40, 50, 100, DISCUSSION 200, or 400 ␮g/ml) prior to incubation with spiroplasmas had no effect on the attachment of S. citri to Ciha-1 cells. The Salivary gland invasion is an essential step of the phyto- percentage of cells with attaching spiroplasmas varied between pathogenic mollicutes life cycle in their leafhopper vectors. 80 and 100%, whatever the concentration and origin of PGK. Fluorescence microscopy of S. citri-infected salivary glands These results suggest that the interaction between PGK and showed localization of the spiroplasmas along the actin fila- actin is not involved in the attachment of S. citri to insect cells. ment. These results are in good agreement with those obtained Treatment with PGK from S. citri or S. cerevisiae inhibits S. with “Candidatus Phytoplasma asteris” (OY strain) (48) in citri internalization. Ciha-1 cells were infected with S. citri, and which the surface immunodominant membrane protein (Amp) the percentage of internalized bacteria was determined in a forms a complex with three leafhopper proteins involved in a gentamicin protection assay. This assay involves the use of microfilament complex. According to the authors, these inter- gentamicin to kill any noninternalized spiroplasma after an actions determined the insect-vector specificity of the phyto- infection period of 18 h. As shown in Fig. 6, the entry levels of plasmas and played a role in the transmission. S. citri in the untreated Ciha-1 cells and in cells incubated with The preferential location of spiroplasmas along actin fila- BSA (50 or 400 ␮g/ml) appeared to be comparable even at the ments suggested that invasion in the host cells could involve highest concentration. Treatment with tagged eIF4E at a con- interactions between S. citri proteins and the cytoskeletal actin. centration of 400 ␮g/ml did not affect the number of spiroplasmas These occurrences were not completely unexpected, as in- able to invade the cells; invasion was not reduced by any more volvement of host cell actin in bacterial invasion has been than 10%. This result supports the conclusion that the polyhisti- demonstrated in a number of bacterial pathogens, such as dine tag does not inhibit the entrance of S. citri in the cells. species of Shigella (24), Salmonella (56), and Streptococcus (40, S. citri showed an ϳ20-fold decrease in its ability to invade 51). It has been often reported that surface proteins are im-
  • 123.
    VOL. 76, 2010 S. CITRI PGK AND LEAFHOPPER ACTIN INTERACTION 1885 plicated in the interaction between bacteria and host micro- modify the enzymatic activity. As in group B streptococci, these filaments (17, 25). Our microscopic analysis highlighted the results suggest that the PGK-actin interaction plays a role in presence of actin-binding protein(s) on the membrane proteins the internalization but not in the attachment to the cells (15). of S. citri. Interestingly, streptococcal internalization into eukaryotic cells One candidate protein identified was PGK. PGK is a trans- is completely abolished by PGK from S. cerevisiae, but the ferase enzyme used in the seventh step of glycolysis. It transfers experiment was not conducted with the streptococci PGK. a phosphate group from 1,3-biphosphoglycerate to ADP, form- Others have reported that several bacterial glycolytic enzymes, ing ATP and 3-phosphoglycerate. It was at first somewhat including glyceraldehyde-3-phosphate dehydrogenase (42, 47), surprising to find an interaction between host cell actin and enolase (41), and PGK (15), bind to host cell cytoskeletal PGK, a glycolytic enzyme classically described as a cytoplasmic proteins like fibronectin, myosin, and actin. In Mycoplasma protein. Only one copy of the gene is present in the S. citri fermentans, the glycolytic enzyme ␣-enolase is a membrane- genome sequence, and the deduced amino acid sequence of associated protein located on the cell surface that binds to the protein has no N-terminal signal peptide and does not plasminogen (54), as in Streptococcus pneumoniae (10). One possess a C-terminal anchor sequence or typical transmem- other human mycoplasma, Mycoplasma pneumoniae, has been brane domain required for protein insertion and folding in reported to bind fibronectin through cytoplasmic proteins with membranes. Yet, proteomic analysis of membrane protein well-known biological functions, elongation factor Tu and fractions has identified PGK, in a two-dimensional SDS- pyruvate dehydrogenase E1 ␤-subunit (6, 7). PAGE, as an integral or peripheral membrane protein (M. P. The identification in this work of PGK, well known to be a Dubrana, personal communication). Nevertheless, there is glycolytic enzyme present in the cytosol, as an actin-binding precedent for microbial surface proteins without transmem- protein associated with the membrane was unexpected and brane domains, such as enolase (10, 54), glyceraldehyde-3- indicates secondary functions for PGK. In the invasion process, Downloaded from aem.asm.org at INRA on April 6, 2010 phosphate dehydrogenase (11), and 6-phosphogluconate-dehy- the early steps in adhesion could involve interactions between drogenase (49). Moreover, it is not the first time that PGK was specific proteins exposed at the spiroplasma surface, such as found associated with a membrane. A proteomic analysis of spiralin, Sc76, ScARPs, and receptors on the surface of the Streptococcus agalactiae identified PGK as a major outer sur- host cells. The lipoprotein annotated SPICI 03-098, detected face protein (27), and in the opportunistic pathogen Candida as a candidate for interaction with actin protein, could belong albicans several lines of evidence support the conclusion that to this group of S. citri proteins putatively involved in the PGK is present at the outer surface of the cell membrane and transmission. These early steps would be important in deter- cell wall as well as in the cytoplasm as expected (1). Despite the mining the insect-vector specificity. Once the specificity is es- assigned function of PGK, it may well have some other roles to tablished, late steps in the invasion process would not neces- play in bacteria. The finding that the glycolytic enzyme PGK of sarily be specific. Taken together, our results show that the S. citri interacts with eukaryotic actin is supported by earlier interaction between the two highly conserved proteins, PGK studies that provided evidence that several glycolytic enzymes and actin, might constitute one of these late steps involved in from rabbit muscle can be bound in vitro to actin while retain- internalization of S. citri into cells. In this respect, it was hy- ing the enzymatic activity (5). Studies of actin recruitment to pothesized that PGK might play a role in the transmission. To the site of streptococcal attachment to cells suggest that strep- test this hypothesis, the experimental transmission of mutants tococcus PGK acts as an actin-binding protein (15, 51). generated by inactivation of the S. citri pgk gene through ho- When the S. citri His6-tagged PGK was in contact with mologous recombination is currently under investigation. Ciha-1 cells, it was found to be colocated with actin filaments. Although actin is mainly an intracellular constituent, this pro- ACKNOWLEDGMENTS tein has also been reported to be present on the cell surface of We give special thanks to Michel Castroviejo and Laure Beven for ´ various cells (37). Fluorescent spots of tagged PGK are prob- thoughtful advice and technical suggestions for protein purification. ably located at the surface of cells, and so this protein is not in Benedicte Doublet kindly provided the His6-tagged eIF4E. ´ ´ This work was supported with funding from INRA and Universite ´ the Ciha-1 cells. To determine if the PGK-actin interaction Victor Segalen Bordeaux 2. F.L. was supported by a Ph.D. fellowship ´ contributes to adhesion and/or internalization during S. citri from the Ministere de l’Enseignement Superieur et de la Recherche. ` ´ infection, the ability of PGK to inhibit spiroplasma adhesion REFERENCES or/and internalization was tested in a competitive binding and 1. Alloush, H. M., J. L. Lopez-Ribot, B. J. Masten, and W. L. Chaffin. 1997. invasion assay. Our results suggested that PGKs from spiro- 3-Phosphoglycerate kinase: a glycolytic enzyme protein present in the cell plasmas and from S. cerevisiae do not interfere with adhesion wall of Candida albicans. Microbiology 143:321–330. of S. citri to Ciha-1 cells, although actin has been reported to 2. Ammar, E., and S. A. Hogenhout. 2005. Use of immunofluorescence confocal laser scanning microscopy to study distribution of the bacterium corn stunt be present on the cell surface of various cells (37). However, spiroplasma in vector leafhoppers (Hemiptera: Cicadellidae) and in host both PGKs inhibited internalization into Ciha-1 cells in a dose- plants. Ann. Entomol. Soc. Am. 98:820–826. dependent manner. The difference observed between the two 3. Ammar, E.-D., D. Fulton, X. Bai, T. Meulia, and S. A. Hogenhout. 2004. An attachment tip and pili-like structures in insect- and plant-pathogenic spiro- PGK proteins could be due to a difference in the protein plasmas of the class Mollicutes. Arch. Microbiol. 181:97–105. conformations. PGK from S. cerevisiae is a nonrecombinant 4. Andreev, O. A., and J. Borejdo. 1995. Binding of heavy-chain and essential light-chain 1 of S1 to actin depends on the degree of saturation of F-actin commercial protein, whereas spiroplasmal PGK is a tagged filaments with S1. Biochemistry 34:14829–14833. protein, and the polyhistidine tag could slightly modify the 5. Arnold, H., and D. Pette. 1968. Binding of glycolytic enzymes to structure conformation of the protein interaction with the actin. More- proteins of the muscle. Eur. J. Biochem. 6:163–171. 6. Balasubramanian, S., T. R. Kannan, and J. B. Baseman. 2008. The surface- over, during expression in E. coli, posttransductional modifi- exposed carboxyl region of Mycoplasma pneumoniae elongation factor Tu cations may also disturb the conformation of the protein and interacts with fibronectin. Infect. Immun. 76:3116–3123.
  • 125.
    1886 LABROUSSAA ET AL. APPL. ENVIRON. MICROBIOL. 7. Balasubramanian, S., T. R. Kannan, P. J. Hart, and J. B. Baseman. 2009. a Spiroplasma citri hydrophilic protein associated with insect transmissibility. Amino acid changes in elongation factor Tu of Mycoplasma pneumoniae and Microbiology 152:1221–1230. Mycoplasma genitalium influence fibronectin binding. Infect. Immun. 77:3533– 32. Killiny, N., M. Castroviejo, and C. Saillard. 2005. Spiroplasma citri spiralin 3541. acts in vitro as a lectin binding to glycoproteins from its insect vector 8. Balish, M. F., R. T. Santurri, A. M. Ricci, K. K. Lee, and D. C. Krause. 2003. Circulifer haematoceps. Phytopathology 95:541–548. Localization of Mycoplasma pneumoniae cytadherence-associated protein 33. Kwon, M. O., A. C. Wayadande, and J. Fletcher. 1999. Spiroplasma citri HMW2 by fusion with green fluorescent protein: implications for attachment movement into the intestines and salivary glands of its leafhopper vector, organelle structure. Mol. Microbiol. 47:49–60. Circulifer tenellus. Phytopathology 89:1144–1151. 9. Berg, M., U. Melcher, and J. Fletcher. 2001. Characterization of Spiroplasma 34. Liu, H. Y., D. J. Gumpf, G. N. Oldfield, and E. C. Calavan. 1983. Transmis- citri adhesion related protein SARP1, which contains a domain of a novel sion of Spiroplasma citri by Circulifer tenellus. Phytopathology 73:582–585. family designated sarpin. Gene 275:57–64. 35. Markham, P. G., and R. Townsend. 1979. Environmental vectors of spiro- 10. Bergmann, S., M. Rohde, G. S. Chhatwal, and S. Hammerschmidt. 2001. plasma, p. 413–446. In K. Maramorosch and K. F. Harris (ed.), Leafhopper ␣-Enolase of Streptococcus pneumoniae is a plasmin(ogen)-binding pro- vectors and plant disease agents. Academic Press, New York, NY. tein displayed on the bacterial cell surface. Mol. Microbiol. 40:1273–1287. 36. Markham, P. G., and R. Townsend. 1981. Spiroplasmas. Sci. Prog. 67:43–68. 11. Bergmann, S., M. Rohde, and S. Hammerschmidt. 2004. Glyceraldehyde-3- 37. Moroianu, J., J. W. Fett, J. F. Riordan, and B. L. Vallee. 1993. Actin is a phosphate dehydrogenase of Streptococcus pneumoniae is a surface-dis- surface component of calf pulmonary artery endothelial cells in culture. played plasminogen-binding protein. Infect. Immun. 72:2416–2419. Proc. Natl. Acad. Sci. U. S. A. 90:3815–3819. 12. Berho, N., S. Duret, J. L. Danet, and J. Renaudin. 2006. Plasmid pSci6 from 38. Neuhoff, V., N. Arold, D. Taube, and W. Ehrhardt. 1988. Improved staining Spiroplasma citri GII-3 confers insect transmissibility to the non-transmissi- of proteins in polyacrylamide gels including isoelectric focusing gels with ble strain S. citri 44. Microbiology 152:2703–2716. clear background at nanogram sensitivity using Coomassie Brilliant Blue 13. Berho, N., S. Duret, and J. Renaudin. 2006. Absence of plasmids encoding G-250 and R-250. Electrophoresis 9:255–262. adhesion-related proteins in non-insect-transmissible strains of Spiroplasma 39. Ozbek, E., S. A. Miller, T. Meulia, and S. A. Hogenhout. 2003. Infection and citri. Microbiology 152:873–886. replication sites of Spiroplasma kunkelii (Class: Mollicutes) in midgut and 14. Boutareaud, A., J. L. Danet, M. Garnier, and C. Saillard. 2004. Disruption malpighian tubules of the leafhopper Dalbulus maidis. J. Invertebr. Pathol. of a gene predicted to encode a solute binding protein of an ABC transporter 82:167–175. reduces transmission of Spiroplasma citri by the leafhopper Circulifer 40. Ozeri, V., I. Rosenshine, A. Ben-Ze’Ev, G. M. Bokoch, T. S. Jou, and E. haematoceps. Appl. Environ. Microbiol. 70:3960–3967. Hanski. 2001. De novo formation of focal complex-like structures in host 15. Burnham, C. A., S. E. Shokoples, and G. J. Tyrrell. 2005. Phosphoglycerate cells by invading streptococci. Mol. Microbiol. 41:561–573. Downloaded from aem.asm.org at INRA on April 6, 2010 kinase inhibits epithelial cell invasion by group B streptococci. Microb. 41. Pancholi, V., and V. A. Fischetti. 1998. ␣-Enolase, a novel strong plas- Pathog. 38:189–200. min(ogen) binding protein on the surface of pathogenic streptococci. J. Biol. 16. Citti, C., L. Marechal-Drouard, C. Saillard, J. H. Weil, and J. M. Bove. 1992. Chem. 273:14503–14515. Spiroplasma citri UGG and UGA tryptophan codons: sequence of the two 42. Pancholi, V., and V. A. Fischetti. 1993. Glyceraldehyde-3-phosphate dehy- tryptophanyl-tRNAs and organization of the corresponding genes. J. Bacte- drogenase on the surface of group A streptococci is also an ADP-ribosylating riol. 174:6471–6478. enzyme. Proc. Natl. Acad. Sci. U. S. A. 90:8154–8158. 17. Cossart, P., J. Pizarro-Cerda, and M. Lecuit. 2003. Invasion of mammalian 43. Purcell, A. H. 1982. Insect vector relationships with procaryotic plant-patho- cells by Listeria monocytogenes: functional mimicry to subvert cellular func- gens. Annu. Rev. Phytopathol. 20:397–417. tions. Trends Cell Biol. 13:23–31. 44. Rottem, S. 2003. Interaction of mycoplasmas with host cells. Physiol. Rev. 18. Duret, S., B. Batailler, J. L. Danet, L. Beven, J. Renaudin, and N. Arricau- 83:417–432. Bouvery. 17 December 2009, posting date. Infection of the Circulifer haema- 45. Saglio, P., M. Lhospital, M. Lafleche, G. Dupont, J. M. Bove, J. G. Tully, and ` ´ toceps cell line Ciha-1 by Spiroplasma citri: the non insect-transmissible E. A. Freundt. 1971. Culture in vitro des mycoplasmes associes au stubborn ´ strain 44 is impaired in invasion. Microbiology. doi:10.1099/mic.0.035063-0. des agrumes et leur observation au microscope electronique. C. R. Acad. Sci. 19. Duret, S., N. Berho, J. L. Danet, M. Garnier, and J. Renaudin. 2003. Spiralin Paris 272:1387–1390. is not essential for helicity, motility, or pathogenicity but is required for efficient transmission of Spiroplasma citri by its leafhopper vector Circulifer 46. Saillard, C., P. Carle, S. Duret-Nurbel, R. Henri, N. Killiny, S. Carrere, J. haematoceps. Appl. Environ. Microbiol. 69:6225–6234. Gouzy, J. M. Bove, J. Renaudin, and X. Foissac. 2008. The abundant extra- 20. Fletcher, J., A. Wayadande, U. Melcher, and F. C. Ye. 1998. The phytopatho- chromosomal DNA content of the Spiroplasma citri GII3-3X genome. BMC genic mollicute-insect vector interface: a closer look. Phytopathology 88:1351– Genomics 9:195. 1358. 47. Seifert, K. N., W. P. McArthur, A. S. Bleiweis, and L. J. Brady. 2003. 21. Foissac, X., C. Saillard, J. Gandar, L. Zreik, and J. M. Bove. 1996. Spiralin Characterization of group B streptococcal glyceraldehyde-3-phosphate de- polymorphism in strains of Spiroplasma citri is not due to differences in hydrogenase: surface localization, enzymatic activity, and protein-protein posttranslational palmitoylation. J. Bacteriol. 178:2934–2940. interactions. Can. J. Microbiol. 49:350–356. 22. Guerrier, L., S. Claverol, F. Fortis, S. Rinalducci, A. M. Timperio, P. Anto- 48. Suzuki, S., K. Oshima, S. Kakizawa, R. Arashida, H. Y. Jung, Y. Yamaji, H. nioli, M. Jandrot-Perrus, E. Boschetti, and P. G. Righetti. 2007. Exploring Nishigawa, M. Ugaki, and S. Namba. 2006. Interaction between the membrane the platelet proteome via combinatorial, hexapeptide ligand libraries. J. protein of a pathogen and insect microfilament complex determines insect- Proteome Res. 6:4290–4303. vector specificity. Proc. Natl. Acad. Sci. U. S. A. 103:4252–4257. 23. Hames, C., S. Halbedel, O. Schilling, and J. Stulke. 2005. Multiple-mutation 49. Tan, C., S. Fu, M. Liu, M. Jin, J. Liu, W. Bei, and H. Chen. 2008. Cloning, reaction: a method for simultaneous introduction of multiple mutations into the expression and characterization of a cell wall surface protein, 6-phosphoglu- glpK gene of Mycoplasma pneumoniae. Appl. Environ. Microbiol. 71:4097– conate-dehydrogenase, of Streptococcus suis serotype 2. Vet. Microbiol. 4100. 130:363–370. 24. Hayward, R. D., P. J. Hum, E. J. McGhie, and V. Koronakis. 2002. A 50. Tully, J. G., R. F. Whitcomb, H. F. Clark, and D. L. Williamson. 1977. Salmonella SipB-derived polypeptide blocks the ‘trigger’ mechanism of bac- Pathogenic mycoplasmas: cultivation and vertebrate pathogenicity of a new terial entry into eukaryotic cells. Mol. Microbiol. 45:1715–1727. spiroplasma. Science 195:892–894. 25. Hayward, R. D., and V. Koronakis. 2002. Direct modulation of the host cell 51. Tyrrell, G. J., A. Kennedy, S. E. Shokoples, and R. K. Sherburne. 2002. cytoskeleton by Salmonella actin-binding proteins. Trends Cell Biol. 12:15–20. Binding and invasion of HeLa and MRC-5 cells by Streptococcus agalactiae. 26. Hogenhout, S. A., K. Oshima, E.-D. Ammar, S. Kakizawa, H. N. Kingdom, Microbiology 148:3921–3931. and S. Namba. 2008. Phytoplasmas: bacteria that manipulate plants and 52. Vignault, J. C., J. M. Bove, C. Saillard, R. Vogel, A. Farro, L. Venegas, W. ´ insects. Mol. Plant Pathol. 9:403–423. Stemmer, S. Aoki, R. E. McCoy, A. S. Al-beldawi, M. Larue, O. Tuzco, M. 27. Hughes, M. J., J. C. Moore, J. D. Lane, R. Wilson, P. K. Pribul, Z. N. Younes, Ozan, A. Nhami, M. Abassi, J. Bonfils, G. Moutous, A. Fos, F. Poutiers, and R. J. Dobson, P. Everest, A. J. Reason, J. M. Redfern, F. M. Greer, T. Paxton, G. Viennot-Bourgin. 1980. Mise en culture de spiroplasmes ` partir de a M. Panico, H. R. Morris, R. G. Feldman, and J. D. Santangelo. 2002. materiel vegetal et d’insectes provenant de pays circum mediterraneens et du ´ ´ ´ ´ ´ Identification of major outer surface proteins of Streptococcus agalactiae. Proche Orient. C. R. Hebd. Seances Acad. Sci. Paris 290:775–780. Infect. Immun. 70:1254–1259. 53. Wayadande, A. C., and J. Fletcher. 1998. Development and use of an estab- 28. Isberg, R. R., and S. Falkow. 1985. A single genetic locus encoded by lished cell line of the leafhopper Circulifer tenellus to characterize Spiro- Yersinia pseudotuberculosis permits invasion of cultured animal cells by plasma citri-vector interactions. J. Invertebr. Pathol. 72:126–131. Escherichia coli K-12. Nature 317:262–264. 54. Yavlovich, A., H. Rechnitzer, and S. Rottem. 2007. Alpha-enolase resides on 29. Kakizawa, S., K. Oshima, Y. Ishii, A. Hoshi, K. Maejima, H. Y. Jung, Y. the cell surface of Mycoplasma fermentans and binds plasminogen. Infect. Yamaji, and S. Namba. 2009. Cloning of immunodominant membrane pro- Immun. 75:5716–5719. tein genes of phytoplasmas and their in planta expression. FEMS Microbiol. 55. Yu, J., A. C. Wayadande, and J. Fletcher. 2000. Spiroplasma citri surface Lett. 293:92–101. protein P89 implicated in adhesion to cells of the vector Circulifer tenellus. 30. Kakizawa, S., K. Oshima, and S. Namba. 2006. Diversity and functional impor- Phytopathology 90:716–722. tance of phytoplasma membrane proteins. Trends Microbiol. 14:254–256. 56. Zhou, D., M. S. Mooseker, and J. E. Galan. 1999. Role of the S. typhimurium 31. Killiny, N., B. Batailler, X. Foissac, and C. Saillard. 2006. Identification of actin-binding protein SipA in bacterial internalization. Science 283:2092–2095.
  • 126.
    A Anticorps secondaires couplés à la peroxydase Anticorps polyclonal de lapin anti S. citri Protéines S. citri Protéines totales ou de glandes salivaires de C. haematoceps Membrane nitrocellulose B SDS-PAGE Far-western kDa kDa 250 150 60 kDa 100 50 kDa 50 75 50 42 kDa 37 37 35 kDa 25 30 kDa 20 27 kDa 25 25 kDa 15 1 2 3 4 5 Figure 1.3: Far Western 1-D réalisé entre les protéines totales ou des glandes salivaires de C.haematoceps et les protéines totales de S.citri comme sonde. A: Principe schématisé du far Western. B: Electrophorèses réalisées avec les protéines totales (piste 1) ou des protéines des glandes salivaires (piste 2) d’insectes. Piste 3: Contrôle négatif où les protéines de S. citri ont été omises. Piste 4: Far Western réalisé avec les protéines totales d’insectes. Piste 5: Far Western réalisé avec les protéines des glandes salivaires d’insectes.
  • 127.
    Chapitre 1 2. Résultats supplémentaires 2.1. Identificationde protéines d’insectes impliquées dans une interaction avec S. citri Le but principal de cette thèse était l’identification de protéines d’insecte et de spiroplasme impliquées dans des interactions nécessaires à la transmission. La comparaison entre les profils d’interaction, obtenus en far Western, avec les protéines totales d’insectes et ceux obtenus avec les protéines des glandes salivaires permettrait de mettre en évidence des protéines d’insectes impliquées uniquement dans le passage de l’une ou l’autre des deux barrières (intestinale ou des glandes salivaires) que le spiroplasme franchit au cours de son cuicuit. Ce travail a donc nécessité la mise au point de cette technique de far Western, de manière identique pour les expériences utilisant les protéines totales d’insectes et celles utilisant les protéines des glandes salivaires. De légères mises au point ont été nécessaires par rapport à la technique développée par Killiny et collaborateurs (Killiny et al., 2005) et sont mentionnées au chapitre Matériels et Méthodes. 2.1.1. Comparaison des far Western monodimensionnels (1-D) réalisés avec les protéines totales et de glandes salivaires d’insectes. Un schéma simplifié de ce far Western réalisé avec les protéines totales d’insectes et de glandes salivaires d’insectes, est représenté sur la figure 1.3A. En bref, les protéines du premier partenaire, dans notre cas les protéines totales d’insectes ou celles des glandes salivaires, sont tout d’abord séparées par électrophorèse en gel d’acrylamide, transférées sur membrane puis mises en contact avec les protéines du second partenaire, S. citri. Les protéines du spiroplasme interagissant avec les protéines d’insectes fixées sur la membrane sont détectées par des anticorps anti-S. citri et des anticorps secondaires marqués à la peroxydase. La présence de peroxydase est détectée par son substrat chemiluminescent révélant ainsi les signaux d’interaction. La Figure 1.3B montre les résultats de ce far Western. Les pistes 1 et 2 montrent les électrophorèses en gel SDS-PAGE réalisées avec les protéines totales d’insectes (piste 1) et les protéines des glandes salivaires (piste2). Les pistes 3, 4 et 5 montrent les résultats obtenus au cours de ces différents far Western. 52
  • 128.
    Protéines Protéines des totales glandes salivaires kDa Signaux spécifiques des 60 far Western « protéines totales » 50 * Signaux communs aux 42 * deux far Western 35 30 27 * Signal spécifique du far Western « GS » Signal commun aux deux far Western 25 * 1 2 Figure 1.4: Schéma des signaux d’interaction obtenus en far Western avec les protéines totales et les protéines des glandes salivaires de C.haematoceps. Piste 1: Profil obtenu avec les protéines totales d’insecte. Piste 2: Profil obtenu avec les protéines des glandes salivaires.
  • 129.
    Chapitre 1 La piste3 est un contrôle négatif sans protéine de spiroplasme. La piste 4 montre le résultat du far Western réalisés avec les protéines totales d’insectes tandis que la piste 5 montre le résultat du far Western réalisé avec les protéines des glandes salivaires uniquement. La comparaison de ces profils schématisés à la figure 1.4 montre que cinq signaux localisés au niveau des protéines de masse moléculaire 25, 30, 35, 42 et 50 kDa sont communs aux deux profils. En revanche, le signal localisé à 27 kDa semble être spécifique du far Western réalisé avec les protéines des glandes salivaires. La protéine impliquée dans cette interaction pourrait donc intervenir de manière spécifique dans le passage de la barrière des glandes salivaires. D’un autre côté, le signal d’interaction localisé au niveau de 60 kDa, révélé sur le profil far Western réalisé avec les protéines totales d’insectes, est absent de celui obtenu avec les protéines des glandes salivaires. Cette observation est corrélée par la comparaison des profils protéiques des deux préparations de protéines d’insectes. En effet, une protéine de masse moléculaire évaluée à 60 kDa, présente sur le profil de protéines totales, est absente de celui des glandes salivaires malgré la quantité équivalente de protéines chargées sur le gel (20 µg) (figure 1.3, piste 2). Lors de l’étude menée en 2005 au laboratoiresur insecte entier, l’identification des protéines impliquées dans le signal à 60 kDa a révélé la présence d’une glycoprotéine d’insecte capable de se lier avec la spiraline de S. citri (Killiny et al., 2005). Il est possible cette glycoprotéine, absente du profil protéique des glandes salivaires, soit nécessaire pour accomplir une fonction vis-à-vis du spiroplasme à l’intérieur de son insecte vecteur ; par exemple, le passage de la barrière intestinale. 2.1.2. Far Western bi-dimensionnel (2-D) avec les protéines totales et celles des glandes salivaires d’insectes Pour confirmer les résultats obtenus avec les far Western 1-D, ainsi que pour faciliter l’identification ultérieure des protéines d’insectes impliquées dans les interactions avec S. citri, des far Western 2-D ont été réalisés avec les deux préparations protéiques d’insectes. La figure 1.5 montre les résultats obtenus lors de ces far Western 2-D réalisés avec les protéines totales d’insectes (A) et les protéines de glandes salivaires (B). Avec les protéines totales d’insectes, cinq signaux d’intensité très variable sont visibles. Ces signaux identifient des interactions entre les protéines de S. citri et des protéines d’insectes dont les masses moléculaires sont voisines de 25, 35, 42, 50 et 60 kDa. Les masses moléculaires des protéines impliquées dans ces signaux sont similaires à celles identifiées sur les profils des far Western 1-D correspondants. Les signaux visibles sur ce far Western 2-D 53
  • 130.
    A B Anticorps secondaires couplés Anticorps à la peroxydase secondaires couplés à la peroxydase Anticorps polyclonal de Anticorps lapin anti S. citri polyclonal de lapin anti S. citri Protéines S. citri Protéines S. citri Protéines totales C. haematoceps Protéines glandes salivaires C. haematoceps Membrane nitrocellulose Membrane nitrocellulose 5 IEF 8 8 55 IEF 8 5 8 KDa KDa 100 100 75 60 kDa 75 50 kDa 50 kDa 50 50 42 kDa 42 kDa 35 kDa 37 35 kDa 37 32 kDa? 30 kDa? 30 kDa? 30 kDa? 27 kDa? kDa? 25 25 kDa 25 kDa 25 22 kDa 25 kDa? 20 Figure 1.5: Far Western 2-D réalisés avec les protéines totales (A) et les protéines des glandes salivaires (B) de C. haematoceps.
  • 131.
    Chapitre 1 ressemblent plusà des trains de spots que de réels spots individualisés, ceci étant particulièrement vrai pour la « trainée » visualisée à 25 kDa. Il n’est donc pas impossible que le signal à 30 kDa, présent lors du far Western 1-D, soit confondu avec celui de 25 kDa. Dans le cas des protéines des glandes salivaires (figure 1.5B), les résultats des far Western 2-D sont en accord avec ceux des far Western 1-D. En effet, les signaux à 25, 35, 42 et 50 kDa sont bien retrouvés sur ce far-Western 2-D. Néanmoins, les signaux d’interaction à 27 et 30 kDa, visibles en mono-dimension, sont absents sur ce far Western. Comme précédemment, ces signaux pourraient être englobés par le train de spots à 25 kDa. De plus, le signal d’interaction localisé à 60 kDa, visible sur les far Western réalisés avec les protéines totales d’insectes, est absent de ce profil, confirmant les résultats du far Western 1-D. 2.1.3. Identification des protéines d’insectes impliquées par spectrométrie de masse L’identification des protéines d’insectes (totales ou des glandes salivaires) interagissant avec les protéines de S. citri a donc été réalisée par LC-MS/MS (Liquid Chromatography-tandem Mass Spectrometry) en prélevant les bandes sur gels 1-D, bandes localisées aux masses moléculaires correspondant aux signaux d’interaction. Les signaux pour lesquels une bande de gel a été prélevée sont indiqués par un astérisque sur la figure 1.5. Les résultats obtenus pour les différentes bandes de gels analysées sont présentés sur la figure 1.6. 2.1.3.1. Signaux d’interaction communs aux deux far Western. Signal d’interaction à 42 kDa : l’actine. L’actine filamenteuse (F), protéine majoritaire du cytosquelette cellulaire est la seule protéine révélée dans cette bande de gel localisée à 42 kDa. Sous la forme de microfilaments (polymères de monomère d’actine globulaire), elle forme un réseau dynamique qui supporte la structure tridimensionnelle de la cellule eucaryote. Outre la présence de ce réseau qui « quadrille » le cytoplasme et en préserve l’intégrité, l’actine F est également présente à la surface des cellules endothéliales et des lymphocytes, dans les fibroblastes et les muscles lisses (Moroianu et al., 1993). De plus, l’actine est aussi liée à la membrane plasmique sous la forme d’un complexe cortical d’actine, réseau régulièrement ciblé par de nombreux pathogènes intracellulaires afin de permettre l’invagination de cette membrane plasmique et de faciliter leur entrée dans la cellule hôte comme décrit pour de nombreux microorganismes pathogènes (§ Introduction III.2.2). L’utilisation de drogues déstabilisant les microfilaments 54
  • 132.
    Nombre de Nombres Masse Bande Identification protéine peptides de scans moléculaire différents P10987|ACT1_DROME Actin-5C- Drosophila melanogaster (Fruit fly) 13 5 (=) 41821.6 P07837|ACT2_BOMMO Actin, muscle A2- Bombyx mori (Silk moth) 13 5 (=) 41802.6 P02572|ACT2_DROME Actin-42A- Drosophila melanogaster (Fruit fly) 13 5 (=) 41823.6 42 kDa P18601|ACT2_ARTSX Actin, clone 211 Artemia spr (Brine shrimp) 13 5 (=) 41783.6 P10983|ACT1_CAEEL Actin-1/3- Caenorhabditis elegans 13 5 (=) 41795.5 P22131|ACT2_PHYIN Actin-1- Phytophtora infestans 11 3 41881.7 (Potato late blight fungus) O17449|TBB1_MANSE Tubulin beta-1 chain (Beta-1 tubulin)- 19 6 50198.2 Manduca sexta (Tobacco hornworm) Q24560|TBB1_DROME Tubulin beta-1 chain (Beta-1 tubulin)- 15 6 50115.2 Drosophila melanogaster (Fruit fly) QMHM5|TBB2C_BOVIN Tubulin beta-2C chain- Bos taurus (Bovine) 15 6 (=) 49799 P68372|TBB2C_MANSE Tubulin beta-2C chain- Mus musculus (Mouse) 15 6 (=) 49799 Q6P9T8|TBB2C_RAT Tubulin beta-2C chain- Rattus norvegicus (Rat) 15 6 (=) 49799 50 kDa P06603|TBA1_DROME Tubulin alpha-1 chain- 3 2 49876.5 Drosophila melanogaster (Fruit fly) P02552|TBA1_CHICK Tubulin alpha-1 chain (Fragment)- 3 2 45871.7 Gallus gallus (Chicken) P68369|TBA1_MANSE Tubulin alpha-1 chain (Alpha-1 tubulin)- 3 2 (=) 50103.7 (Alpha-tubulin isotype M-alpha-1)-Mus musculus (Mouse) P68370|TBA1_MANSE Tubulin alpha-1 chain (Alpha-1 tubulin)- 3 2 (=) 50103.7 Rattus norvegicus (Rat) P48153|RS3_MANSE 40S ribosomal protein S3 - Manduca sexta (Tobacco 6 3 26730.9 hornworm) P29310|1433Z_DROME 14-3-3-like protein (Leonardo protein) (14-3-3 2 2 28227.4 protein zeta) - Drosophila melanogaster (Fruit fly) 27 kDa P41569|RL8_AEDAL 60S ribosomal protein L8 - Aedes albopictus (Forest 2 2 28680.3 day mosquito) Q9V3G1|RL8_DROME 60S ribosomal protein L8 - Drosophila melanogaster 2 2 27892.3 (Fruit fly) Q5ZHW4|RAB5B_CHICK Ras related protein Rab-5B - Gallus gallus 3 3 (=) 23614.5 (Chicken) P61020|RAB5B_CHICK Ras related protein Rab-5B - Homo sapiens (Human) 3 3 (=) 23706.7 P61021|RAB5B_CHICK Ras related protein Rab-5B - Mus musculus (Mouse) 3 3 (=) 23706.7 Q1KME6|RAB6A_CHICK Ras related protein Rab-6A - Gallus gallus 25 kDa 3 3 (=) 23490.5 (Chicken) P20340|RAB6A_CHICK Ras related protein Rab-6A - Homo sapiens (Human) 3 3 (=) 23592.6 P35279|RAB6A_CHICK Ras related protein Rab-6A - Mus musculus (Mouse) 3 3 (=) 23589.6 Q5ZHW4|RAB5B_CHICK Ras related protein Rab-6.2 - Caenorhabitis 3 3 (=) 23364.4 elegans Figure 1.6: Résultats de l’identification des protéines d’insectes impliquées dans une interaction avec les protéines de S. citri.
  • 133.
    Chapitre 1 d’actine, commela cytochalasine D ou la latrunculine A, a souvent été utilisée pour confirmer le rôle de l’actine dans l’internalisation de ces derniers. Les microfilaments d’actine peuvent donc s’avérer nécessaires dans les processus d’internalisation de pathogènes intracellulaires mais aussi dans le mouvement de ces derniers une fois libres dans le cytoplasme comme cela est le cas pour les Shigella ou les Listeria. L’actine peut également être impliquée dans des étapes plus tardives comme le détachement de vésicules d’endocytose (Fujimoto et al., 2000). Ce n’est pas la première fois que l’actine d’un insecte est impliquée dans une interaction avec une protéine de mollicute phytopathogène transmis par la cicadelle. Une étude, réalisée chez les phytoplasmes a montré, in vitro et in vivo en microscopie confocale, qu’une protéine majoritaire de la membrane de Candidatus phytoplasma asteris souche OY, Amp, interagit avec les microfilaments d’actine de son insecte vecteur (Suzuki et al., 2006). Signal d’interaction à 50 kDa : la tubuline La tubuline β est la seule protéine identifiée dans la bande de gel correspondant au signal localisé à 50 kDa. Dans les travaux précédents menés au laboratoire, une protéine d’insecte de 50 kDa interagissant avec la spiraline a été identifiée comme une glycoprotéine (Killiny et al., 2005). Il est tout à fait possible que ces deux protéines, à savoir la glycoprotéine et la tubuline, soient présentes sur le gel mais que la grande proportion de tubuline dans l’insecte, masque cette glycoprotéine lors de l’analyse en spectrométrie de masse. En effet, l’identification de cette glycoprotéine avait nécessité l’utilisation de colonnes de Concanavalin A afin de purifier cette protéine (Killiny et al., 2005). Les filaments de microtubules, formés de l’association de tubuline α et β, interviennent, tout comme l’actine, dans la morphologie des cellules eucaryotes. Chez certaines bactéries comme les Shigella, ces microtubules, outre ce rôle dans le cytosquelette cellulaire, sont impliqués dans l’entrée des bactéries dans la cellule. La protéine bactérienne VirA de ces bactéries interagit avec la tubuline pour permettre l’endocytose (Gruenheid & Finlay, 2003). L’utilisation de drogues, comme la colchicine et le nocodazole, qui déstabilisent les microtubules a permis de démontrer l’implication de la tubuline dans l’endocytose de la HRP (horseradish peroxydase) dans les cellules (Piasek & Thyberg, 1980). Parallèlement à cela, et non sans rappeler le détournement des microfilaments d’actine, certains pathogènes utilisent le réseau de microtubules, et les moteurs qui lui sont associés, pour se déplacer dans la cellule. C’est ainsi que le virus immunodéficient humain 55
  • 135.
    Chapitre 1 (VIH) utiliseles moteurs dynéines pour rejoindre le centrosome de la cellule et pénétrer dans le noyau (McDonald et al., 2002). Il en est de même pour la bactérie intracellulaire obligatoire, Chlamydia trachomatis qui se retrouve constamment à l’intérieur d’une vacuole lorsqu’elle pénètre et traverse les cellules de son hôte (Clausen et al., 1997). Bien que les mécanismes mis en jeu soient moins bien décrits, quelques virus phytopathogènes utilisent également les microtubules pour leur dispersion de cellule à cellule dans la plante comme, par exemple, le Tobbaco mosaic virus (Mas & Beachy, 2000) ou encore le Beet yellows virus (Karasev et al., 1992). Signal d’interaction à 25 kDa : Rab GTPases Deux protéines sont identifiées dans la bande de gel correspondant au signal d’interaction localisé au niveau de 25 kDa. Rab5 et Rab6 sont des protéines appartenant à la famille des protéines Ras qui sont des GTPases. Ce sont des protéines régulatrices ayant une activité importante dans le transport des vésicules au sein des cellules eucaryotes (Martinez & Goud, 1998; Armstrong, 2000). La première fonction de ces protéines est le ciblage et la fusion des vésicules avec leur récepteur membranaire. De manière intéressante, la glyceraldehyde-3-phosphate deshydrogenase de Listeria monocytogenes interagit avec la protéine Rab5 humaine l’empêchant ainsi de remplir sa fonction dans la maturation des phagosomes en vue de l’élimination de la bactérie (Alvarez-Dominguez et al., 2008). Ce rôle dans la rétention de Rab5, marqueur des endosomes précoses, est utilisé chez de nombreuses autres bactéries comme Mycobacterium tuberculosis (Via et al., 1997), Salmonella enterica serovar typhimurium, plusieurs espèces de Chlamydia ainsi que Legionella pneumophila (Brumell & Scidmore, 2007) afin de stopper la maturation des phagosomes au stade d’endosomes précoces. Chez Helicobacter pylori, la présence de Rab5 est nécessaire à la formation de vacuoles, indispensables à l’internalisation de la bactérie (Papini et al., 1997). Peu de données sont disponibles concernant l’implication de Rab6 dans une manipulation par un pathogène. Rab6 a été retrouvée comme marqueur des vésicules d’inclusion dans lesquelles se répliquent quelques espèces de Chlamydia sans que son rôle exact n’ait pu être élucidé (Brumell & Scidmore, 2007). Il faut noter que, outre leur implication dans la formation de vésicules d’endocytose, ces protéines, et notamment Rab5, jouent également un rôle dans la réorganisation du cytosquelette d’actine à l’origine de la formation de lamellipodes (Spaargaren & Bos, 1999). 56
  • 137.
    Chapitre 1 2.1.3.2. Signal spécifique du far Western réalisé avec les protéines des glandes salivaires d’insectes Signal d’interaction à 27 kDa : la protéine 14-3-3 La protéine 14-3-3, identifiée dans la bande de gel localisée à 27 kDa, appartient à une famille de molécules régulatrices très conservées qui s’expriment dans toutes les cellules eucaryotes. La protéine 14-3-3, présente dans le fluide cérébrospinal de patients est un critère pour le diagnostic de la maladie de Creutzfeldt-Jakob (Boston et al., 1982). Cette protéine est néanmoins retrouvée dans la membrane plasmique de certaines cellules et intervient, en désorganisant la barrière corticale d’actine, dans l’exocytose de vésicules de sécrétion (Roth & Burgoyne, 1995). Elle participe également à la régulation de nombreux processus cellulaires par le biais d’interaction protéine-protéine. En effet, l’interaction avec une protéine 14-3-3 peut détourner la fonction de la protéine interactante en empêchant sa liaison avec d’autres protéines ou en induisant des changements conformationnels (Mackintosh, 2004). Chez Trypanosoma brucei, cette protéine intervient dans le recyclage des glycoprotéines variables de surface (GVS), permettant au trypanosome d’échapper au système immunitaire (Benz et al., 2009). Le rôle que chacune de ces protéines pourrait avoir au cours du cycle de S. citri dans son insecte vecteur sera discuté à la fin de ce chapitre. 2.2. Recherche et identification du partenaire de l’actine chez S. citri La recherche du partenaire de l’actine a été réalisée par chromatographie d’affinité sur une colonne de Protein A-Sepharose couplée à des anticorps anti-actine sur le système chromatographique AKTApurifier (GE Healthcare). Le principe et le protocole de cette chromatographie ayant permis la purification des protéines interagissant avec l’actine sont développés au chapitre Matériels et Méthodes. Les résultats, publiés dans la publication 1, ont permis de mettre en évidence la présence d’une bande de gel localisée à 45 kDa contenant une ou plusieurs protéines interagissant spécifiquement avec l’actine de C. haematoceps. Cette bande de gel est découpée puis analysée en spectrométrie de masse par LC- MS/MS. 57
  • 138.
    kDa 50 Spectrométrie de masse en LC-MS/MS 37 % coverage molecular # MS/MS # distinct weight scan Identification pep 1 Transmembrane conserved hypothetical lipoprotéine 16 9 23,84 46014,9 2 Phosphoglycerate kinase 10 7 23,79 44387,9 3 Translation elongation factor EF-Tu 3 3 8,33 43669,9 4 Spiroplasma citri adhesion related protein (ScARP) 2b 7 6 9,79 88814 5 Spiroplasma citri adhesion related protein (ScARP) 5a 5 4 6,27 95315,4 6 Spiroplasma citri adhesion related protein (ScARP) 3c 4 3 5,94 87266,1 7 50S ribosomal protein L3 7 2 17,83 27997,3 8 Serine hydroxymethyltransferase transmembrane 2 2 5,81 45589 Figure 1.7: Identification par spectrométrie de masse des protéines candidates pour une interaction avec l’actine de C.haematoceps. En rouge, les deux protéines candidates retenues pour la suite de l’étude.
  • 139.
    Chapitre 1 L’analyse de cette bande de gel obtenue lors de la chromatographie d’affinité sur la colonne de protein-A Sépharose a permis de recueillir les résultats présentés dans le tableau 1.7. Aux vues du nombre de scans identifiés lors de l’analyse et de la masse moléculaire de la protéine d’intérêt interagissant avec l’actine, estimée aux alentours de 45 kDa, les deux candidats les plus intéressants pour la suite de l’étude se révèlent être une « transmembrane conserved hypothetical lipoprotein » et la phosphoglycérate kinase. 2.2.1.1. Transmembrane conserved hypothetical lipoprotein (SPICI 03-098). Composée de 408 acides aminés, cette protéine possède une masse moléculaire de 46 kDa. Lors du séquençage du génome de S. citri, cette protéine a été annotée comme une lipoprotéine en raison de la présence d’un peptide signal en N-terminal, typique de ces protéines, de 24 acides aminés. Ce peptide de séquence M R K L L S I F A A T T L V T T S A A S A V A C est terminé par une cystéine en position 24. Grâce à ce peptide signal, cette protéine se trouve exposée à la surface ce qui présente un avantage pour interagir avec l’actine des cellules de l’insecte, c’est la raison pour laquelle elle nous a semblé de prime abord très intéressante. Lors de l’analyse du protéome de S. citri réalisé au laboratoire, cette protéine a été retrouvée à la fois dans la fraction membranaire des protéines du spiroplasme et dans l’extraction au Triton X-114 confirmant sa nature lipoprotéique. La recherche de protéines homologues dans les banques généralistes a permis d’identifier une seule protéine chez S. kunkelii avec 83 % d’identité de séquence. Aucune fonction n’a été attribuée, à ce jour, à aucune de ces deux protéines. L’identification d’une protéine spécifique de seulement deux espèces de spiroplasmes interagissant avec l’actine de l’insecte, protéine très conservée, semble être en accord avec le spectre de transmission restreint qui caractérise la vection des spiroplasmes par leurs insectes. Cette lipoprotéine semblait être un bon candidat pour la transmission de S. citri et, à ce titre, sa caractérisation fonctionnelle pouvait s’avérer utile. L’expression de cette protéine chez E. coli du fait de la présence de sept codons tryptophanes UGA dans sa séquence n’a pas été obtenue. 58
  • 140.
    Far western Far Western Masse "protéines totales" "Glandes salivaires" moléculaire Identification Rôle de l'interaction 1-D 2-D 1-D 2-D *Liaison avec la spiraline 60 kDa X X Glycoprotéine *Implication au niveau du franchissement épithélium intestinal? Tubuline β *Traffic intracellulaire? 50 kDa X X X X *Endocytose? Glycoprotéine Liaison avec la spiraline *Interaction avec la PGK 42 kDa X X X X Actine (F) *Internalisation dans les cellules d'insectes 35 kDa X X X X nd nd 30 kDa X ? X ? nd nd *Traffic intracellulaire? 27 kDa X ? 14-3-3 *Exocytose? Rab5 *Endocytose? 25 kDa X X X X Rab6 *Détournement voie phago-lysosomiale? Tableau 1.8: Ensemble des protéines identifiées et rôle éventuel dans la transmission de S. citri. X: bande d’interaction présente dans le far Western correspondant. ? : Présence et rôle non déterminés. nd: non déterminé.
  • 141.
    Chapitre 1 2.2.1.2. La phosphoglycérate kinase (PGK) Les principales caractéristiques de la PGK de S. citri, décrites dans la publication n°1, ont favorisé son étude. Sa caractérisation fonctionnelle au cours de cette transmission a nécessité son expression hétérologue chez E. coli (cf matériel et méthodes). Il faut préciser que dans toutes les expériences affectuées avec la PGK recombinante, celle-ci était toujours étiquetée 6xHis. En effet, malgré toutes les tentatives réalisées pour éliminer cette étiquette, quelques soient les conditions utilisées, aucune préparation de PGK n’a pu être « détagguée ». Ceci a nécessité l’ajout d’un contrôle utilisant une autre protéine étiquettée elle aussi 6xHis dans toutes nos expériences. III. Conclusion La transmission de S. citri par C. haematoceps nécessite de nombreuses interactions entre le spiroplasme et son insecte vecteur. De ces interactions dépendent, entre autre, les franchissements de la barrière intestinale et de celle des glandes salivaires. La technique de far Western 1-D et 2-D, suivie d’une identification par spectrométrie de masse, a permis au cours de cette thèse d’identifier cinq protéines pouvant intervenir dans le processus de transmission. De plus, certaines de ces protéines ont pu être plus spécifiquement impliquées dans le franchissement de l’une ou l’autre des deux barrières que le spiroplasme doit franchir dans l’insecte. Le tableau 1.8 regroupe les résultats obtenus au cours de cette analyse en indiquant l’ensemble des protéines d’insectes identifiées, leur localisation sur les différents far Western ainsi que leurs rôles possibles au cours du cycle de S. citri dans C. haematoceps. Tout d’abord, l’actine de C. haematoceps, présente au niveau du complexe cortical sous la membrane plasmique, mais également à la surface des cellules (Moroianu et al., 1993) pourrait être déstabilisée lors de l’internalisation de ce dernier dans les cellules de l’insecte sous l’effet de signaux cellulaires déclenchés par le spiroplasme lors de son adhésion. Ce rôle semble être confirmé par son implication, grâce à son interaction avec la phosphoglycérate kinase du spiroplasme, dans l’internalisation de ce dernier dans les cellules de l’hôte. En effet, l’ajout de cette PGK recombinante sur des cellules en culture de l’insecte vecteur infectées par le spiroplasme inhibe, de manière dose-dépendante, l’internalisation de ce dernier dans les cellules (Labroussaa et al., 2010). Le rôle inattendu de la PGK de S. citri, plus connue pour son rôle dans la glycolyse, n’est pas le premier cas de caractérisation d’une protéine bifonctionnelle chez S.citri. En effet, la protéine P46 du spiroplasme est une protéine 59
  • 143.
    Chapitre 1 ribosomique possédantla capacité de se lier à des séquences génomiques inversées répétées (Le Dantec et al., 1998). Plus récemment, la découverte de l’implication de la glyceraldéhyde- 3-phosphate deshydrogénase (GAPDH) de Mycoplasma pneumoniae dans l’adhésion du mollicute aux cellules de son hôte (Dumke et al., 2010), montre que la PGK n’est pas la seule enzyme glycolytique bifonctionnelle impliquée dans un processus d’invasion bactérienne. Parmi les autres protéines d’insectes identifiées lors des far Western, il semble peu probable, à la vue du rôle de l’actine dans l’internalisation de S. citri dans les cellules d’insectes, que la tubuline soit elle aussi impliquée dans l’endocytose du spiroplasme, ou alors dans une étape encore plus tardive. Cependant, et tout comme Chlamydia trachomatis, S. citri, une fois internalisé et présent dans la vacuole d’endocytose, pourrait utiliser les microtubules pour se déplacer dans la cellule. L’interaction avec ces microtubules pourrait se faire par l’intermédiaire de protéines spécifiques localisées au niveau de sa structure en « tip » affleurant à la surface de la vacuole (Ammar et al., 2004). Cependant, de manière similaire aux résultats concernant les phytoplasmes (Suzuki et al., 2006), S. citri a également été retrouvé colocalisé le long des filaments d’actine ce qui pourrait signifier que le spiroplasme utilise ces filaments pour se mouvoir à l’intérieur de la cellule. Une étude plus poussée permettrait de comprendre un peu mieux comment le spiroplasme parvient à se mouvoir dans le cytoplasme des cellules de son hôte Les protéines Rab5 et Rab6, autres protéines identifiées au cours de cette analyse, pourraient quant à elles également participer au phénomène d’endocytose de S. citri en désorganisant le cortex d’actine et en facilitant l’entrée du spiroplasme dans la cellule. Néanmoins, elles pourraient aussi permettre au spiroplasme, qui détournerait alors leurs fonctions à son profit, d’éviter la fusion phagoso-lysosomiale responsable de l’élimination de particules étrangères et ainsi de survivre et de se multiplier dans le cytoplasme comme il a été décrit pour d’autres microorganismes. Enfin, la protéine 14-3-3 présente de nombreuses fonctions intéressantes pour S. citri. Le spiroplasme pourrait détourner cette protéine de sa fonction première chez l’insecte afin qu’elle assure un rôle dans le franchissement de la barrière des glandes salivaires. En effet, en interagissant avec une protéine du spiroplasme, la protéine 14-3-3 pourrait permettre à ce dernier de transiter à l’intérieur des cellules, dans les vésicules d’endocytose observées en microscopie électronique, en détournant la voie endo-lysosomiale de l’insecte. Elle pourrait aussi permettre à S. citri de pénétrer à l’intérieur du canal salivaire par exocytose en modifiant le cortex cellulaire d’actine afin d’être transmis à un nouvel hôte. 60
  • 145.
    Chapitre 1 Du fait de la très grande conservation de l’actine parmi les insectes (de 93 à 100 % entre les différentes espèces) et celle de la PGK parmi les mollicutes (70 % environ), il est difficile de concevoir que cette interaction joue un rôle dans la spécificité de vection entre S. citri et C. haematoceps au cours de la transmission du spiroplasme par son insecte vecteur. Néanmoins, les autres protéines identifiées au cours de ce travail, et surtout les deux glycoprotéines identifiées précédemment au laboratoire, pourraient intervenir plus précocément en interagissant avec des adhésines du spiroplasme. Ces étapes précoces permettraient dès lors la mise en place plus tardive d’une cascade d’étapes conduisant à l’internalisation faisant intervenir la PGK et les filaments d’actine de l’insecte. Elles seraient donc nécessaires au spiroplasme pour franchir les barrières de l’insecte et assurer sa propagation dans celui-ci. 61
  • 147.
  • 149.
    Chapitre 2 Identification dela région minimale de liaison à l’actine de la PGK de S. citri et implication dans la transmission I. Introduction et objectifs La phosphoglycérate kinase de S. citri, identifiée comme partenaire de l’actine dans une interaction nécessaire à la transmission du spiroplasme, n’était pas pressentie au début de ce travail de thèse. Elle vient néanmoins s’ajouter à la longue liste de protéines interagissant avec l’actine et dont le nombre, déjà très élevé, est en constante augmentation. Les fonctions de ces protéines, encore appelées actin-binding proteins (ABPs), sont aussi diversifiées que le sont celles de l’actine au sein de la cellule. L’actine tient une place prépondérante chez les eucaryotes étant, avec les microtubules et les filaments intermédiaires, à la base du cytosquelette de la cellule. Le cytosquelette d’actine remplit de multiples rôles notamment dans le maintien de la morphologie et de la polarité cellulaire, dans l’endocytose, les mouvements intracellulaires, la motilité ainsi que la division cellulaire. L’ensemble de ces fonctions nécessite l’assemblage et le désassemblage permanent des filaments d’actine ainsi que leur structuration en un réseau organisé. La polymérisation dynamique de ces derniers, impliquée dans la majeure partie des fonctions énoncées précédemment, est polarisée et se caractérise par des états transitoires régulés par plusieurs de ces ABPs. L’extrémité (+) du filament d’actine permet la formation d’un nouveau filament sous l’action de deux ABPs, Arp2 et Arp3, associées en complexe nommé Arp2/3. Ce dernier permet de former ce nouveau filament à partir d’un côté d’un filament préexistant, permettant ainsi le développement d’un réseau caractéristique du cytosquelette d’actine. Ce complexe se lie avec les monomères d’actine G et permet leur agrégation au niveau de cette extrémité. Plusieurs autres protéines, comme les protéines WASP (Wiskott- Aldrich syndrome protein) participent également à cette étape d’élongation des filaments d’actine (Dominguez, 2009). De nouvelles ABPs, comme la protéine gelsoline, interagissent avec l’extrémité néo-formée en se positionnant comme une coiffe, empêchant l’élongation excessive du filament (Silacci et al., 2004). Parallèlement à la formation de ce réseau, au niveau de l’autre extrémité (-) du filament d’actine, la dépolymérisation est induite par de nouvelles ABPs. En effet, les protéines ADF (actin depolymerizing factor), ou encore les protéines appartenant à la famille 62
  • 151.
    Chapitre 2 des cofilines,jouent un rôle important dans le turnover des filaments d’actine en se liant à la structure ADP/actine-F induisant leur dissociation (Dos Remedios et al., 2003). Certaines ABPs, au lieu de modifier la structure ou la dynamique de polymérisation de l’actine, de nombreuses autres ABPs utilisent les filaments d’actine comme support physique pour assurer leur fonction. C’est notamment le cas de la myosine qui utilise l’actine pour se déplacer dans la cellule. D’autres encore connectent les microfilaments à la membrane ou aux protéines de membranes, comme les protéines talin et vinculin qui relient le cytosquelette aux récepteurs cellulaires de type intégrines. La liaison des filaments d’actine avec les autres filaments du cytosquelette peut également être prise en charge par les ABPs comme la spectrine qui permet la liaison aux filaments intermédiaires (Broderick & Winder, 2005) ou encore la protéine tau qui permet l’interaction des filaments d’actine avec les microtubules (Maccioni & Cambiazo, 1995). La co-cristallisation de certaines ABPs associées à l’actine a permis de mettre en évidence des domaines plus particulièrement impliqués dans l’interaction. L’α-actinine, par exemple, qui permet l’association de plusieurs filaments d’actine entre eux, se lie à l’actine par le biais de deux domaines de liaison séparés par un domaine flexible (spacer) (Broderick & Winder, 2005). Ce second chapitre est plus particulièrement consacré aux domaines de la PGK qui se lient à l’actine afin de déterminer si ces domaines présentent des similitudes avec ceux impliqués dans l’interaction avec le substrat de la PGK au cours de la glycolyse. La mise en évidence de tels domaines permettrait de mieux comprendre les mécanismes mis en jeu au cours de l’étape d’internalisation du spiroplasme dans les cellules de l’insecte. De plus, des travaux concernant la localisation de la PGK chez le spiroplasme ont été réalisés afin de mieux appréhender la possibilité d’une interaction entre ces deux protéines. L’ensemble des résultats présentés dans ce second chapitre sont soumis à publication sous le titre « A minimal actin-binding region of the S. citri phosphoglycerate kinase is implicated in the transmission process by the insect vector Circulifer haematoceps ». Les points clés de ce travail ainsi que les résultats complémentaires seront également détaillés. 63
  • 152.
    Réduction de Longueur l'internalisation Réduction de la Représentation peptide Interaction peptide de S.citri transmission de avec l'actine (acides aminés) dans cellules Ciha-1 S.citri (400µg/ml de protéines) 1 101 205 302 412 His 412 +++ 85% 48% PGK His PGK FL1 302 +++ nd nd His 205 +++ nd nd PGK FL2 101 +++ nd nd His PGK FL3 His 312 - Aucune Aucune PGK FL4 49 154 106 80% 41% His PGK FL5 + Figure 2.1: Représentation des travaux publiés dans la publication 2. A chaque peptide représenté est associé une longueur en acides aminés et des informations sur son interaction avec l’actine de C. haematoceps ainsi que les pourcentages d’internalisation et de transmission obtenus au cours des expériences citées dans la publication.
  • 153.
    Chapitre 2 II. Résultatset discussion 1. Publication 2 Les résultats obtenus sont soumis à Applied and Environmental Microbiology sous le titre « A minimal actin-binding region of the S. citri phosphoglycerate kinase is implicated in the transmission process by the insect vector Circulifer haematoceps » sont résumés ci- dessous et dans le tableau 2.1. Afin d’étudier en détails les régions impliquées dans l’interaction entre la PGK de S. citri et l’actine de C. haematoceps, l’obtention de cinq peptides tronqués dans certaines parties de cette dernière, a été nécessaire. Ces peptides, nommés PGK-FL1 à PGK-FL5, ont tous été exprimés puis purifiés chez E.coli. L’interaction de chacun de ces peptides avec l’actine de l’insecte vecteur a été testée en far Western, à la fois en tant que protéines « sondes » mais aussi en tant que protéines « appât ». Ces deux far Western ont permis de confirmer l’interaction entre l’actine de C. haematoceps et les 101 premiers acides aminés de la région N-terminale (PGK-FL3) de la PGK de S. citri. L’identification d’une région plus réduite a néanmoins été suggérée d’après les résultats du far Western entre l’actine et le peptide PGK-FL5 (aa 49-154). Par déduction, la région commune entre les peptides PGK-FL3 et PGK-FL5, allant de l’acide aminé 49 à 101, a été démontrée comme étant la région minimale d’interaction avec l’actine de l’insecte. L’incubation du peptide PGK-FL5, contenant la région minimale de liaison à l’actine, avec les cellules en culture de C. haematoceps permet de diminuer l’internalisation de S. citri dans ces cellules de manière identique à ce qui avait été observé avec la PGK « pleine longueur ». L’implication de l’interaction PGK-actine au cours du cycle de S. citri dans l’insecte a pu être confirmée in vivo en bloquant partiellement la transmission du spiroplasme dans l’insecte par injection intra-abdominale du peptide PGK-FL5. 64
  • 155.
    Chapitre 2 Involvement ofa minimal actin-binding region of S. citri phosphoglycerate kinase in the spiroplasma transmission process by the insect vector Circulifer haematoceps. Fabien Labroussaa, Marie-Pierre Dubrana, Nathalie Arricau-Bouvery, Laure Béven and Colette Saillard* INRA et Université Victor Ségalen Bordeaux 2, UMR 1090 Génomique Diversité Pouvoir Pathogène, 71 Avenue Edouard Bourlaux BP 81, F-33883 Villenave d’Ornon, France * Corresponding author. Mailing address ; UMR 1090 Génomique Diversité Pouvoir Pathogène, INRA, Université Victor Ségalen Bordeaux 2, 71 Avenue Edouard Bourlaux BP 81, F- 33883 Villenave d’Ornon, France. Phone : 33 5 57 12 23 62 Fax : 33 5 57 12 23 69 E-mail : saillard@bordeaux.inra.fr Running title: Minimal actin-binding region of S. citri PGK Abstract Spiroplasma citri is a wall-less bacterium that colonizes phloem vessels of a large number of host plants. Leafhopper vectors transmitted S. citri in a propagative and circulative manner, involving colonization and multiplication of bacteria in various insect organs. Previously we reported that phosphoglycerate kinase (PGK), the well-known glycolytic enzyme, was bound to leafhopper actin and unexpectedly was implicated in the internalization process of S. citri into Circulifer haematoceps cells. In an attempt to identify the actin-interacting regions of PGK, several overlapping PGK truncations were generated. Binding assays, using the truncations as probes on insect protein blots, revealed that the actin-binding region of PGK was located on the truncated peptide designated PGK-FL5 containing amino acids 49-154. To investigate the role of PGK-FL5-actin interaction, competitive spiroplasma attachment and internalization assays were performed in which His6-tagged PGK-FL5 was added to Ciha-1 cells prior to infection with S. citri. No effect was observed on the efficiency of attachment of S. citri to leafhopper cells while internalization was drastically reduced. The in vivo effect of PGK-FL5 was confirmed by competitive experimental transmission assays as injection of PGK-FL5 into S. citri infected leafhoppers significantly affected spiroplasmal transmission. These results suggest that S. citri transmission by its insect vector is directly correlated to PGK ability to bind actin. 65
  • 157.
    Chapitre 2 INTRODUCTION involved in leafhopper transmission, The plant pathogenic mollicute including the solute binding protein Sc76 Spiroplasma citri, available in culture (Boutareaud et al., 2004), the P32 protein since 1971 (Saglio et al., 1971; Saglio et (Berho et al., 2006; Killiny et al., 2006), al., 1973), has emerged as an outstanding the adhesion relative proteins ScARPs model for studying spiroplasma (Berho et al., 2006) and spiralin (Duret et interactions with its two experimental al., 2003) have been identified. Among hosts: the periwinkle plant and the insect these proteins, solely spiralin was vector Circulifer haematoceps (Bove et al., described as interacting with host proteins. 2003). Due to its circulative and persistent Indeed, spiralin acts as a lectin able to transmission, S. citri, similarly to the other bind, in vitro, insect glycoproteins that plant pathogenic mollicutes, has to may serve as receptors for the adherence of complete a complex journey in the insect. spiroplasmas (Killiny et al., 2005). Successful transmission of S. citri by the Recently, we reported that confocal leafhopper depends mainly on the ability analysis focused on internalization and of spiroplasmas to pass through the insect overall distribution of S. citri at the gut cells, to multiply in various tissues, and salivary gland level revealed spiroplasmas finally to cross the salivary gland cells. located along the actin microfilaments The crossing of these different barriers (Labroussaa et al., 2010). This co- doubtlessly requires protein interactions localization was also observed with Ciha-1 between the spiroplasma cells and cells of cells, a leafhopper cell line from Circulifer its insect host. The salivary gland invasion haematoceps, experimentally infected by represents the essential and ultimate step. S. citri (Duret et al., 2009). This Thus the first cell-to-cell contact may be preferential location suggested that crucial for the efficient penetration of the invasion in the host cells could involve salivary gland membrane. Following interactions between S. citri proteins and electron microscopy observations, it has the actin cytoskeleton. Among been hypothesized that leafhopper phytopathogenic mollicutes, the first transmission of spiroplasmas and more interaction with actin was identified in precisely the traversal of insect membranes Candidatus Phytoplasma asteris (OY was mediated by the recognition of strain) and involved its immunodominant specific membrane proteins, which leads to membrane protein (Amp). Mechanism of a process of receptor mediated endocytosis this interaction is still unclear but seems to (Fletcher et al., 1998; Kwon et al., 1999; be implicated in the insect-vector Ozbek et al., 2003). Nevertheless, the specificity (Suzuki et al., 2006). The mechanisms governing these crossings ability to bind to actin microfilaments is a have not been conclusively determined. characteristic feature that has been reported Earlier reports on Spiroplasma kunkelii for many intracellular bacterial pathogens describe tip structures piercing the basal (Cossart et al., 2003; Gouin et al., 2005) laminae of midgut epithelial cells of the and might be a general system for leafhopper vector Dalbulus maidis (Ozbek successful bacterial invasion within host et al., 2003; Ammar et al., 2004). In order cells. to bind, penetrate and degrade the basal For S. citri, we previously reported that laminae, these tip structures or attachment phosphoglycerate kinase (PGK), classified organelles very likely contain specialized as a cytosolic protein, unexpectedly bound enzymes, receptors and/or adhesins as actin and mediated the process leading to human mycoplasmas (Dallo et al., 1990; internalization of S. citri in eukaryotic cells Rottem, 2003). (Labroussaa et al., 2010). Thus PGK joins A few number of S. citri membrane or the group of enzymes including enolase associated-membrane proteins potentially (Yavlovich et al., 2007), glyceraldehyde-3- 66
  • 158.
    Table1: Primers usedfor constructions of His6-tagged PGK and PGK truncationsa Amino acid Protein Primers Séquence (5’ 3’)b Positionc residue numero PGK-F GTGAGAATTCGGATTTCATATGACAAAC -19 to +9 PGK 1-412 PGK-R TTATGAAGCTTTTATTTACTTTGAACAGC 1222-1250* PGK PGKpep-F TGAGAAGGATTTGAATTCCATATGACAAAC -18 to +9 1-302 FL1 PGKpep1-R CAAAACCTAAGCTTTTAGTTGTAACTTTTG 283-303 PGK PGKpep-F TGAGAAGGATTTGAATTCCATATGACAAAC -18 to +9 1-205 FL2 PGKpep2-R CATTGTGATAAGCTTTTAAACATTTTTACTTC 590-615 PGK PGKpep-F TGAGAAGGATTTGAATTCCATATGACAAAC -18 to +9 1-101 FL3 PGKpep3-R CCAATAAGCTTTTATGTTTTCCTTCAAAGG 883-906 PGK PGKpep4-F GTAAAAATGAATTCCATATGGATTCTGCTTTAGG 303-324 101-412 FL4 PGK-R TTATGAAGCTTTTATTTACTTTGAACAGC 1222-1250* PGK PGKpep5-F TTGATAGAATTCCATATGGCACAAGAAGCAAAAG 147-168 49-154 FL5 PGKpep5-R AATATTTCCCTAAAAGCTTTTAAGCAGAATC 438-462 a All regions were amplified using the respective mutagenic forward and reverse primers, as required. b Introduced EcoRI, HindIII and NdeI sites underlined. c upstream position of nucleotide from the adenine nucleotide of the starting ATG codon. * 11 nucleotides are downstream the stop codon localized at position 1239.
  • 159.
    Chapitre 2 phosphate deshydrogenase(Bergmann et was verified by sequencing the insert. Two al., 2004), and pyruvate deshydrogenase µg of plasmid representing each truncation E1β subunit (Dallo et al., 2002) that was used to transform E. coli BL21 (DE3). besides their assigned functions may have Transformants were selected on LB solid some other roles to play in bacteria. medium containing kanamycin (50 µg/ml) The goal of this study was to identify PGK at 37°C. regions that mediate binding to actin of C. To check the expression of PGK haematoceps host cells and to determine truncations fused to the N-terminal the in vivo effect of this minimal actin- hexahistidine sequence the experiment was binding region in the transmission process carried out as previously described for of spiroplasmas by its insect vector. PGK (Labroussaa et al., 2010). All proteins, purified by affinity 2+ MATERIALS AND METHODS chromatography using Ni -nitrilotriacetic Bacterial strains, leafhoppers, and cell acid (Ni-NTA) prepacked columns line culture (Qiagen), were desalted using PD-10 Escherichia coli strains DH10B and BL21 columns according to manufacturer’s (DE3) were grown in Luria-Bertani (LB) instructions (GE Healthcare) and protein medium and used to clone, express, and concentrations were estimated by the purify S. citri His6-tagged PGK and its Bradford procedure. Two µg of each truncated forms. S. citri GII3, originally purified His6-tagged proteins were isolated from its leafhopper vector C. subjected to 5-15% linear gradient SDS- haematoceps captured in Morocco PAGE and followed by gel staining with (Vignault et al., 1980), was cultivated in colloidal blue. Parallel gels were SP4 medium (Tully et al., 1977) at 32°C. transferred onto membranes and blots were Healthy C. haematoceps were reared in an used for (i) immunoblotting performed insect-proof cage on stock (Matthiola with anti-His monoclonal (Mab) antibodies incana) plants at 30°C. Micro-injection of (1:3000 dilutions, Sigma), (ii) far Western S. citri GII3 into C. haematoceps has been blotting carried out with a mixture of described previously (Foissac et al., 1996). leafhopper cell proteins. The non-phagocyte cell line Ciha-1 from the Cicadellidae C. haematoceps was Identification of PGK truncations that cultured at 32°C according to Duret et al. interact with leafhopper actin (Duret et al., 2009). Interactions between individual His6- tagged PGK truncations and leafhopper Cloning, expression, and purification of actin were detected by far Western PGK full length and PGK truncations experiments. Expression and purification of S. citri His6- Equal amounts of His6-tagged PGK and its tagged PGK was previously described and individual truncations (2 µg) were PGK truncations were produced from the fractionated by a 5-15% linear gradient pET28 FL plasmid containing the pgk SDS-PAGE before transfer onto a gene, in which the two UGA codons were nitrocellulose membrane for 45 min at 10 replaced by TGG codons (Labroussaa et V according to the conditions described by al., 2010). The individual truncated Killiny et al (Killiny et al., 2005). fragments pgkFL1 to pgkFL5, were Membrane blots were then overlaid with amplified (Table 1) and the resultant DNA proteins prepared from Ciha-1 cells as fragments were inserted in pET28a(+) follows: the cells were transferred to a vector (Novagen). The recombinant potter-Elvehjem-grinder with phosphate plasmids (pET28FL1 to pET28FL5) were buffered saline (PBS) (2 mM KH2PO4, 8 used to transform E. coli DH10B. The mM Na2HPO4, 0.14 M NaCl, 2mM KCl desired sequence of the resulting plasmids pH 7.4) containing 1mM 67
  • 160.
    Figure 1 A 1 412 PGK 1 302 PGK-FL1 1 205 PGK-FL2 1 101 PGK-FL3 101 412 PGK-FL4 49 154 R PGK-FL5 E S B PGK PGK-FL1 PGK-FL2 PGK-FL3 PGK-FL4 PGK-FL5 U kDa L T 50 S 37 25 20 15 1 2 1 2 1 2 1 2 1 2 1 2
  • 161.
    Chapitre 2 phenylmethanesulphonylfluoride (PMSF) attachment to and internalization into Ciha- and homogenized. Then the mixture was 1 cells were estimated by counting centrifuged twice for 1 min at 500 × g. colonies on solid SP4 medium as described Protein concentration in the supernatant previously (Labroussaa et al., 2010). was determined by the Bradford procedure Gentamicin protection assay was used for and aliquots of 500 µg of proteins were the invasion assay. Briefly, cells were used as overlay for incubation with the incubated with 400 µg/ml of gentamycin blots of His6-tagged proteins. Bindings during 3h at 32°C in order to kill were revealed with rabbit polyclonal extracellular bacteria. antibodies against actin (1:600 dilution, Sigma) followed by goat anti-rabbit S. citri experimental transmission assays labelled with peroxidase (1:50,000 Female leafhoppers were micro-injected dilution, Sigma). All the steps were with 0.1 µl of a spiroplasma culture (108 conducted in the same conditions that spiroplasmas /ml) and caged on healthy those previously published (Labroussaa et stock (Matthiola incana) plants at 30±2°C al., 2010). as described previously (Foissac et al., All individual His6-tagged truncated 1996). The fourth day after this first proteins (40 µg) were also used as overlay injection, they were microinjected again on a leafhopper actin protein blot and with 0,2 µg of His6-tagged PGK or interaction was revealed using anti-His truncations (PGK-FL4 or PGK-FL5) in MAb (1:3,000) followed by peroxidase phosphate buffer (8 mM NaH2PO4, 2 mM conjugate goat anti-mouse IgGs. For this Na2HPO4 [pH 7,4]). Injections with far Western experiment, the blot of phosphate buffer and with a His6-tagged leafhopper proteins was prepared as protein (subunit of Mycoplasma mycoïdes follows: 20 µg of proteins issued from SC ATPase) were included as controls in Ciha-1 cell culture were separated on 12,5 the experiment. Then, for each tagged % SDS-PAGE and transferred to protein or control, re-injected insects were nitrocellulose membrane. Then, the randomly divided in subgroups of 3 among experiment was conducted in a manner Eppendorf® tubes on which a Parafilm® similar to that described previously except membrane separated the leafhoppers from that anti-His MAbs in place of of anti-actin SP4 medium as previously described antibodies were used. (Foissac et al., 1996). When feeding through the Parafilm® membrane, infected Effect of recombinant PGK and its leafhoppers injected S. citri into the truncations on S. citri attachment to and medium. After 24 h at room temperature, entry into Ciha-1 cells the SP4 medium was collected and Monolayers of Ciha-1 cells grown in 24- incubated at 32°C. After one week, the well plates (approximately 2 x 105 cells per yellow colour in the tube, indicating the well) were incubated with various growth of S. citri, was noticed and the concentrations of S. citri His6-tagged PGK presence of spiroplasmas was verified with and truncations PGK-FL4 and PGK-FL5. optical microscopic observations. Cells without PGK treatment represent positive control. Cells treated with BSA Statistical analyses were also included as a control. Each assay For attachment to and invasion of S. citri condition was carried out in triplicate. into Ciha-1 cells, Student’s t test was used. After incubation with proteins for 2 h at For S.citri transmission assay, a chi-square 32°C, the cells were infected with a test (two-tailed) was performed to identify suspension of S. citri at a multiplicity of significant differences. infection (MOI) of 15 to 30. After infection with S. citri, spiroplasma RESULTS 68
  • 162.
    Figure 2 A PGK PGK PGK PGK PGK PGK FL1 FL2 FL3 FL4 FL5 kDa 75 50 42 37 25 1 2 3 4 5 6 7 8 PGK PGK PGK PGK PGK B PGK FL1 FL2 FL3 FL4 FL5 kDa 50 37 25 20 15 10 1 2 3 4 5 6
  • 163.
    Chapitre 2 Production ofrecombinant PGK blotting using anti-actin antibodies (Figure truncations 2A, lane 2). As shown on Figure 2A (lanes In an attempt to identify the actin-binding 3, 4, 5, 6, 8) for PGK, and PGK-FL1 to region of PGK, we generated by deletion FL5 truncations, significant binding signals of the carboxyl-terminal region of the PGK located at approximately 42 KDa (PGK full length: 412 amino-acids) three corresponding to actin molecular mass truncated polypeptides of varying lengths were revealed by anti-His MAb. No signal namely PGK-FL1 (302 aa), PGK-FL2 (205 was observed with PGK-FL4 (Figure 2A aa) and PGK-FL3 (101 aa) (Figure 1A). lane 7). From these results we deduced that PGK-FL4 (312 aa) was the result of the the region in PGK from amino acid 49 to first hundred PGK amino acids deletion 101 possessed the capacity to bind actin. and represented the C-terminal part of Interestingly, PGK-FL5 showed a marked PGK. A truncated form of PGK-FL2 decrease in its actin-binding ability (Figure consisting of amino acids 49-154 designed 2A lane 8), especially compared to PGK- PGK-FL5 (106 aa) was also produced FL1, PGK-FL2, and PGK-FL3 (Figure 2A (Figure 1A). His6-tagged PGK and all the lanes 4, 5, 6). His6-tagged truncated proteins were To further reinforce these findings, a expressed in E. coli and purified. His6- second far Western assay was performed in tagged proteins, PGK, PGK-FL1, PGK- which a blot of His6-tagged PGK or its FL2, PGK-FL3, PGK-FL4 and PGK-FL5 truncations was overlaid with a Ciha-1 have respectively predicted molecular cells protein mixture (Figure 2B). Binding masses of 44.0, 33.7, 23.5, 12.2, 34.0, 12.5 signals between PGK, its truncations and kDa. On the colloidal blue-stained actin were revealed by polyclonal polyacrylamide gel, His6-tagged PGK, and antibodies against actin. As expected, an His6-tagged truncations PGK-FL1, PGK- interaction signal was detected between FL2 and PGK-FL4 matched their predicted PGK and actin (Figure 2B, lane 1). molecular masses (Figure 1B, lanes 1). Truncation of PGK from the N-terminal His6-tagged PGK-FL3 and PGK-FL5 (1-101), resulting in PGK-FL4 truncated migrated higher than their predicted protein (101 to 412), abrogated the binding molecular masses of 12.2 and 12.5 kDa activity (Figure 2B, lane 5), suggesting that and preparations of these two truncations this region played an important role for were slightly contaminated by other E.coli PGK interaction with actin. Binding proteins (Figure 1B, lanes 1). However, signals detected with PGK-FL1, PGK-FL2 anti-His Mab recognized only the tagged and PGK-FL3 (Figure 2A, lane 2, 3, 4) proteins in all cases in spite of protein indicated that truncation from the PGK contaminations in PGK-FL3 and PGK-FL5 carboxyl-terminal had no effect on the preparations (Figure 1B, lanes 2). actin-binding capacity of the PGK moieties. Thus, the 101-amino acid region Identification of the minimal PGK actin- of PGK-FL3 was required for actin binding region binding. The signal observed with PGK- To identify the truncated proteins that FL5 (amino acid 49 to 154) (Figure 2B, displayed an affinity for actin, a far lane 6) confirmed that an actin-binding site Western assay was performed on a blot of was located on this truncation. From these Ciha-1 cell proteins using as overlay the results, we deduced that the region from individual truncated proteins. Ciha-1 cell amino acids 49 to 101 is the minimal proteins mixture was visualized on a region that possessed the capacity to bind 12.5% colloidal blue-stained actin. polyacrylamide gel (Figure 2A, lane 1), and the presence of actin in the Ciha 1 cell Competitive binding assay with S. citri protein mixture was confirmed by Western and truncated PGK proteins: 69
  • 164.
    Figure 3 A 120 Relative % adhesion 100 80 60 40 20 0 0 0 PGK 0 0 400 peptfin 50 peptfin0400 50 0 50 peptm i 50 0 pept m i 0 BSA 4 4 40 400 40 Concentration (µg/ml) B 120 Relative % internalization 100 80 60 * 40 20 * * 0 00 00 PGK 400 peptf5 050 in peptf in 0 0400 50 peptmi 50 00 pept mi 400 0 BSA 4 4 4 40 Concentration (µg/ml)
  • 165.
    Chapitre 2 Aiming atdetermining if the minimal compare the ability of S. citri to be binding region of PGK (PGK-FL5) is inoculated in SP4 medium by infected sufficient to inhibit entry into insect cells, leafhoppers re-injected with PGK or PGK we performed competitive adhesion and truncations. S. citri infected insects that invasion assays with PGK truncations. No were re-injected with phosphate buffer difference was observed between the represented the positive controls. Two relative percentage of adhesion obtained in hundred and fifty seven groups of 3 the positive controls carried out without leafhoppers were allowed to feed for 24 h any treatment or treated with BSA prior to on SP4 medium. As shown on Table 2, a infection with S. citri (Figure 3A). spiroplasma culture was obtained for 149 Preincubation of His6-tagged PGK (400 out of the 257 batches. Thus, in 58% of the µg/ml) with Ciha-1 cells before S. citri batches, insects succeeded to achieve infection did not reduced the binding of S. bacterial transmission as assessed by citri to cells. To test the correlation inoculation of S. citri into SP4 medium. A between PGK-actin interaction and the role relative percentage of 100 was attributed to of this interaction in cells infection, PGK- this maximal transmission rate. There was FL4, which has no actin-binding activity no significant difference in the percentage and PGK-FL5, which is the minimal actin- of S. citri inoculation in SP4 medium binding region, were tested in the same between the positive control and infected competitive-binding assay. As seen in insects re-injected with a control His6- Figure 3A, competition with 50 and 400 tagged protein or PGK-FL4 (96.5% and µg/ml of either PGK-FL4 or PGK-FL5 did 100%). Injection with the His6-tagged not noticeably alter the spiroplasmas PGK protein or PGK-FL5 peptide in the S. attachment to cells. These results are in citri infected leafhoppers resulted in a accordance with those obtained previously significant reduction of inoculation in SP4, showing that the interaction between PGK compared with controls. The percentages and actin is not involved in the attachment of leafhoppers which introduce S. citri in of S. citri to insect cells (Labroussaa et al., SP4 medium was not significantly different 2010). for the His6-tagged PGK protein and the Spiroplasma invasion of Ciha-1 cells was PGK-FL5 peptide (51.7 % and 58.6 %, estimated similarly to the attachment test respectively). after a gentamicin protection assay. As shown in Figure 3B, the percentage of DISCUSSION internalization of S. citri in cells incubated In this study we identified regions of S. with BSA (400 µg/ml) was close to those citri PGK protein that interact with of the positive controls. Competition with leafhopper actin and attempted to His6-tagged PGK (400 µg/ml) showed the determine whether PGK, through its greatest inhibition rate in invasion, by binding with actin, play a role in about 85%. PGK-FL4, whatever its transmission of S. citri by the leafhopper concentration, did not significantly reduce C. haematoceps. the invasion of S. citri in Ciha-1 cells. In Based on our experimental data using PGK contrast, 50 and 400 µg/ml of PGK-FL5 truncated derivatives, we determined that compete with S. citri internalization into the region of the PGK which binds to actin Ciha-1 cells with a reduction of 45 and was located on the PGK-FL3 truncation, 80% such as PGK. corresponding to the N-terminal part of PGK (amino acids 1 to 101). Four out of Effect of PGK or PGK truncations on S. the 5 well defined substrate binding sites of citri transmission PGK mediating interaction with 1,3- To further assess the effect of PGK in S. biphosphoglycerate during glycolysis are citri transmission by leafhoppers we present on this fragment. In contrast, the 70
  • 166.
    Table 2: Effectof PGK and its truncations PGK-FL4 and PGK-FL5 on S. citri transmission Number of Number of batches Number of Percentage of Relative percentage independant (3 leafhoppers per batch) batches with batches with of batches with experiments positive culture positive culture positive culture Phosphate buffer 12 257 149 58 100 His6 control 3 100 56 56 96.5 30 * 51.7 * His6-tagged PGK 8 176 52 His6-tagged PGK FL4 3 82 48 58 100.9 His6-tagged PGK FL5 4 112 38 34 * 58,6 * * p<0.0001, chi-square test (two- tailed)
  • 167.
    Chapitre 2 PGK-FL4 fragment(amino acids 101 to interfere with adhesion of spiroplasmas to 412) corresponding to the C-terminal part Ciha-1 cells but inhibit the internalization of PGK, exhibited none binding with actin. in the cells in a dose dependant manner This PGK-FL4 fragment mainly includes (Labroussaa et al., 2010). In this study, as the ADP binding sites and the catalytic expected, PGK-FL4 and PGK-FL5 site. The ATP molecule is well known to truncations or PGK full length had no interact with PGK but also with actin and effect on spiroplasmas adhesion to Ciha-1 could thus play the role of a linking agent cells. The fact that PGK-FL5 with the between these two proteins. The fact that minimal actin-binding region conserved the C-terminal part of PGK is not required the inhibitory activity on the internalization for actin-binding capacity of PGK seems to process reinforces the hypothesis assuming prove that the interaction between PGK that the actin-binding efficiency of PGK is and actin is direct. To determine more directly related to the relevance of such an precisely the binding segment, we interaction in the internalization process. constructed a PGK-FL5 truncation with an This is also confirmed by the fact that overlapping region of 53 amino acids with PGK-FL4, which has no effect on PGK-FL4 and in which the first 48 amino internalization, does not possess any actin- acids of PGK-FL3 were missing. binding activity. Interestingly, PGK-FL5 showed a marked These results prompted us to speculate that decrease in its actin-binding ability PGK and PGK-FL5 fragment are especially compared to PGK-FL3 (Fig candidates for playing a role in 1A). This difference in actin-binding transmission of S. citri. The penultimate efficiency could be explained by the event before the infectious bite in the occurrence of two distinct actin-interacting phloem is invasion of C. haematoceps sites located in PGK N-terminal part, the salivary glands by the spiroplasmas. To first one being specific to PGK-FL3 and ascertain the role of PGK and PGK-FL5 located within the amino acids 1-48, and truncation peptide in salivary gland the second site being common to both invasion we developed an in vivo fragments within amino acids 49-101. spiroplasma invasion blocking assay. Based on sequence similarity, the Infected leafhoppers were injected with molecular model proposed for S. cerevisiae phosphate buffer or tagged proteins on the PGK (Watson et al., 1982) was used to 4th day after infection. This time period predict the surface accessibility of the two corresponds to the maximum of hypothetical actin-binding domains in S. spiroplasmas in insect (Boutareaud et al., citri PGK. In the modelled S. cerevisiae 2004) and a large majority of them would PGK N-terminal part, two blocks of amino be expected to still be circulating in the acids (L29 to H54 and R66 to D91) were haemolymph that is the main place of S. found to be localized side by side with a citri multiplication. Because transmission majority of the amino acids residues rates of S. citri between infected located at the outer surface of the leafhoppers treated with His6-tagged PGK- molecule. In S. citri PGK, the surface FL4 and those of control groups exposure of the corresponding amino acids (phosphate buffer or tagged protein) were residues would allow their interaction with similar, it is highly unlikely that PGK-FL4 actin. In addition, amino acids that are inhibits the ability of spiroplasmas to enter believed to participate in actin-binding in salivary glands. The infected differ from those involved in PGK leafhoppers injected with PGK or with interactions with its substrate 1,3- PGK-FL5 displayed an average reduction biphosphoglycerate. of almost 50% in the transmission of S. Previously we have described that PGKs citri when compared with controls. PGK- from S. citri and S. cerevisiae do not FL5 truncation, with its minimal actin- 71
  • 169.
    Chapitre 2 binding region,sufficient to block the entry 412). PGK-FL5 (amino acids 49 to 154) of spiroplasmas into Ciha-1 cells, plays as was constructed by deleting both amino expected an important role in transmission. terminal and carboxyl terminal end of The competition between exogenous PGK PGK. and PGK-FL5 with the spiroplasmas could (B) All His6-tagged proteins were purified reduce the available number of target sites as described in Materials and Methods, and that participate in entry of spiroplasmas in submitted to SDS-PAGE (lane 1). Parallel salivary glands. gels were transferred onto nitrocellulose In summary, our results suggested a membranes. Saturated blots were probed correlation between the PGK-actin with anti-His monoclonal antibodies (lane interaction and the inhibitory effect during 2). internalization in insect cells. In agreement with these data, as we show with our in Figure 2: Determination of the minimal vivo experimental model, S. citri could use PGK region required for actin binding this interaction for crossing salivary glands activity barrier and completing its life cycle in (A) Far Western experiment performed on insects. The PGK-actin interaction might Ciha-1 cell proteins (20 µg) overlaid with be essential for insect transmission but this His6-tagged PGK and His6-tagged PGK complex is probably not sufficient for truncations. Lane 1, gel electrophoresis deciphering all steps involved in the pattern of Ciha-1 cell proteins stained with transmission process. A comparison of the colloidal blue. Lane 2, proteins from Ciha- actin-binding region (amino acid 49 to 1 cells (20 µg) were transferred onto a 101) with the same region in various nitrocellulose membrane. Saturated blots phytoplasmas revealed that this region were probed with rabbit polyclonal belong to a fragment with a less well antibodies against chicken actin followed conserved sequence suggesting the by immunological detection. The band at fundamental importance that could have 42 kDa reflects the presence of actin in the this sequence for determining insect vector protein mixture. Lanes 3 to 8, blots from specificity in plant pathogenic mollicutes. Ciha-1 cell proteins were probed with PGK or individual PGK truncations. Mouse anti- ACKNOWLEDGEMENTS His MAbs followed by peroxidase Thanks are due to Claire Charenton who conjugate goat anti-mouse IgGs were used kindly provided the His6-tagged MSC_618. to detect interactions. His6-tagged PGK This work was supported with funding and His6-tagged PGK-FL1 to PGK-FL3 from INRA and Université Victor Ségalen and PGK-FL5 were bound to actin (lanes Bordeaux 2. F.L. was supported by a Ph.D. 3, 4, 5, 6, 8). With His6-tagged PGK-FL4, fellowship from the Ministère de no binding signal was observed (lane 7). l’Enseignement et de la Recherche. (B) Far-western experiments performed on PGK and its truncations overlaid with LEGENDS Ciha-1 cell proteins. Blots of His6-tagged Figure 1: Construction and purification PGK and His6-tagged PGK truncations of the truncated PGK proteins were probed with the mixture of Ciha-1 (A) Schematic illustration of the PGK and cell proteins containing actin. Binding was deletion constructs. Full-length PGK detected with rabbit antiactin antibodies protein (amino acids 1 to 412) was deleted followed by goat anti-rabbit antibodies from C-terminus and PGK-FL1 (amino labelled with peroxydase. Detection was acids 1 to 302), PGK-FL2 (amino acids 1 performed with chemioluminescent to 205), PGK-FL3 (amino acids 1 to 101), substrate. Binding signals were observed were produced. N-terminal deletion with PGK and PGK-FL1 to PGK-FL3 and produced PGK-FL4 (amino acids 101 to 72
  • 171.
    Chapitre 2 PGK-FL5 (lanes1, 2, 3, 4, 6). No binding number of cells associated with adherent was observed with PGK-FL4 (lane5), spiroplasmas. Each value represents the mean of two independent triplicate assays. Figure 3: Competitive assays between Vertical lines represent standard error of recombinant PGK or its truncations and the mean. Student’s t test was carried out S. citri for attachment to and entry into and no statistical differences were found. Ciha-1 cells (B) Inhibition of S. citri internalization into Monolayers of Ciha-1 cells were incubated Ciha-1 cells by a PGK treatment. for 2 hrs at 32°C with 400 µg of His6- Following infection with S. citri at a MOI tagged PGK (white bars), 50 and 400 µg of of 15-30 for 18h at 32°C, the cells were His6-tagged PGK-FL4 (spot-filled bars), 50 treated with gentamicin (400 µg/ml) during and 400 µg of His6-tagged PGK-FL5 3 h at 32°C for killing attached (brick-filled bars), 400 µg of BSA (gray spiroplasmas. Then the cells were bars). Untreated cells infected in the same trypsinized, plated on SP4 medium, for conditions were the positive controls counting the infected cells. Each value (black bars). represents the mean of two independent (A) Effect of PGK treatment on S. citri triplicate assays. Vertical lines represent attachment to Ciha-1 cells. After standard errors of the means. Significant incubation, the cells were infected with S. differences between S. citri internalization citri at a MOI of 15-30 for 4 h at 4°C. with His6-tagged PGK, or PGK-FL5 Then the cells were washed, trypsinized treatment, and positive control without any and plated on SP4 solid medium. After protein treatment (P< 0.001, Student’s t spiroplasma growth at 32 °C, the number test) are indicated by asterisks. of colonies was counted to evaluate the 73
  • 172.
    Positions permettant Positions permettant la liaison la liaison à l’ADP au 1,3-biphosphoglycerate Positions permettant le changement conformationnel de la PGK lors de la liaison au substrats Figure 2.2: Représentation schématique des informations tirées de l’analyse de la structure 3-D de la PGK au cours de la glycolyse.
  • 173.
    Chapitre 2 2. Résultats supplémentaires et discussion 2.1. Recherche du mécanisme d’interaction entre la PGK et l’actine Les travaux, en cours de publication, ont permis de préciser la région de la PGK impliquée dans l’interaction avec l’actine. En effet, la région en acides aminés 49-101 de la PGK a été caractérisée comme la région minimale de liaison à l’actine. De plus, il a été suggéré que deux régions pourraient intervenir dans cette interaction. L’intensité du signal obtenu lors du far Western réalisé avec le fragment PGK-FL5 (aa 49-154) est plus faible que celle obtenue avec les autres signaux d’interaction, et notamment avec le peptide PGK-FL3 (aa 1-101). De ce fait, la région comprenant les acides aminés de 1 à 48 et celle comprenant les acides aminés 49 à 101 pourraient être impliquées dans une interaction de la PGK avec l’actine de C. haematoceps. Ceci nous a incités à regarder plus en détails la séquence primaire en acides aminés, ainsi que la structure tridimensionnelle (3-D) de la PGK afin d’identifier des structures ou des acides aminés particuliers intervenant dans le mécanisme d’interaction de cette protéine avec l’actine. La fonction principale de la PGK, ou néanmoins celle qui est la plus connue, est d’être une enzyme de la glycolyse. Plusieurs caractéristiques concernant la PGK, principalement déduites de sa co-cristallisation avec ses substrats au cours de cette étape glycolytique, sont représentées sur la figure 2.2. La structure 3-D de la PGK de S. citri n’était pas disponible mais cette protéine étant relativement conservée, la modélisation de la structure 3-D de la PGK de S. citri s’est basée sur la structure 3-D de la PGK de S. cerevisiae, déterminée expérimentalement (Watson et al., 1982) (figure 2.3A). Les données disponibles sur la PGK concernent principalement son rôle au cours de la glycolyse. La PGK transfère un groupement phosphoryl du 1,3-biphosphoglycérate à l’ADP en vue de former une molécule d’ATP. Pour assurer ce transfert, elle possède deux domaines de liaison distincts pour chacun de ses deux substrats : un domaine en N-terminal permettant de lier le 1,3-biphosphoglycérate, composé de cinq acides aminés D22, N24, R37, H60 et R120, et un second, en C-terminal, quant à lui, constitué de 11 acides aminés (G242, G310, N334, P336, G338, V339, F340, E341, G369, D370, S371) assurant la fixation de l’ADP. De plus, pour le transfert du groupement phosphate, la PGK doit passer d’un état « ouvert » à un état « fermé » induisant le rapprochement des deux substrats. Cette modification 74
  • 174.
    A B C D Figure 2.3: Différentes vues de la structure 3-D de la PGK de S. citri et des régions impliquées dans l’interaction avec l’actine. A: Comparaison de la structure 3-D de la PGK de S. cerevisiae et de S. citri. B: Représentation des acides aminés accessibles à la surface de la protéine au sein de la région d’intérêt 1-101. C: Représentation de l’occupation dans l’espace (space filled) des différentes structures secondaires accessibles à la surface contenues dans la région 1-101. D:Représentation des deux domaines identifiés (M27-E52 et K63-Q88) sur la PGK de S. citri potentiellement impliqués dans l’interaction avec l’actine et se trouvant côte à côte sur la structure 3-D.
  • 175.
    Chapitre 2 conformationnelle estassurée par une région composée de quatre acides aminés localisés aux positions 204 à 207 (VDNP) sur la PGK de S. citri. La région de la PGK du spiroplasme impliquée expérimentalement dans l’interaction avec l’actine de C. haematoceps est comprise dans les 101 premiers acides aminés du coté N- terminal. Il faut remarquer que la localisation de cette région n’est absolument pas corrélée avec celle des sites de liaison à l’ADP qui, étant connus pour se fixer aussi bien sur la PGK mais également sur l’actine, aurait pu faciliter cette interaction de manière aspécifique en servant de pont entre les deux protéines. Par opposition, il semble que l’interaction, entre la PGK de S. citri et l’actine de l’insecte, soit spécifique et directe. Dans le but de nous conforter dans nos hypothèses énoncées suite aux résultats obtenus en far Western, la présence de domaines accessibles à la surface de la protéine qui, de ce fait, pourraient être responsables de la liaison avec l’actine, a été recherchée. La figure 2.3B montre la localisation des acides aminés accessibles à la surface de la PGK de S. citri au sein de la région d’intérêt comprenant les acides aminés de 1 à 101. Les positions dans l’espace des structures secondaires contenues dans cette région, particulièrement bien exposées à la surface et donc accessibles pour une interaction, sont également représentées (figure 2.3C). Trois domaines particulièrement accessibles sont mis en évidence. Mis à part la région N-terminale qui est souvent très flexible et donc régulièrement exposée à la surface de nombreuses protéines, deux autres domaines présentent ces mêmes caractéristiques, chacun de ces domaines faisant parti d’une des deux régions impliquées dans l’interaction avec l’actine. Pour la région des 48 acides aminés en N-terminal, cette recherche montre la présence d’un domaine particulièrement accessible allant des acides aminés M27 et E52 (figure 2.3C) formant une structure de type hélice-boucle, propice aux interactions. Pour la région constituée des 52 acides aminés suivants, une seconde structure de type hélice-boucle a également été déterminée. Ce domaine prédit comprend les acides aminés K63 à Q88 (figure 2.3D). Les deux domaines identifiés, et localisés à la surface de la protéine, sont donc situés côte à côte sur la structure tridimensionnelle (figure 2.3D). Cette particularité pourrait expliquer les résultats du far Western obtenu avec le peptide PGK-FL5 dont le signal d’interaction avec l’actine est moins intense que ceux obtenus avec les autres peptides. D’après les données de la structure 3-D de la PGK, PGK-FL5, n’ayant pas la région en acides aminés 1-48, ne possède donc pas non plus ce domaine prédit accessible pour l’interaction. L’actine de C. haematoceps pourrait, de ce fait, interagir avec la PGK de S. citri par le seul 75
  • 176.
    Séquences Séquences S. citri correspondantes 1-48 49-101 101-412 S. agalactiae 87% 59% 73% Candidatus phytoplasma 75% 60% 70% asteris souche AY Candidatus phytoplasma 77% 60% 70% asteris souche OY Candidatus phytoplasma 80% 54% 73% australiense Figure 2.4: Comparaison des différentes régions de PGK. Pourcentage de similarité entre les différentes régions d’intérêt de la PGK de S. citri et les séquences correspondantes chez Candidatus phytoplasma asteris souche OY, Candidatus phytoplasma asteris souche OY, Candidatus phytoplasma australiense ainsi que Streptococcus agalactiae.
  • 177.
    Chapitre 2 domaine allantdes acides aminés 63-88, présent dans la région minimale de liaison à l’actine, mais cette interaction ne serait pas stabilisée par le second domaine manquant. Ces deux domaines ne partagent qu’un seul acide aminé en commun avec ceux impliqués dans la liaison avec le 1,3-biphosphoglycerate. Cela suggère que, pour se lier à l’actine, la PGK utilise un mécanisme différent de celui impliqué pour se lier à son substrat de la glycolyse. Cette corrélation entre les résultats expérimentaux et les structures identifiées in silico au cours de l’analyse de la structure 3-D de la PGK permet de confirmer que la PGK serait effectivement une nouvelle protéine bifonctionnelle chez S. citri. 2.2. Recherche d’homologie de séquences chez la PGK d’autres organismes. Comme évoqué précédemment, l’implication de l’interaction entre la PGK et l’actine dans la spécificité de vection du spiroplasme est difficile à concevoir. Cependant, l’identification de domaines spécifiques dans la séquence de la PGK de S. citri, renfermant des structures propices à une interaction, nous a incités à comparer ces différents domaines avec ceux d’autres organismes. Ces comparaisons pourraient nous permettre de vérifier si cette interaction fait partie d’un processus conservé chez de nombreuses espèces bactériennes ou si des particularités existent au sein de chaque organisme. Les comparaisons ont porté sur la séquence de Streptococcus agalactiae utilisant l’interaction PGK-actine pour son internalisation dans les cellules épithéliales (Burnham et al., 2005). Cette comparaison a également été réalisée avec les séquences d’autres mollicutes phytopathogènes, les phytoplasmes, transmissibles par insectes vecteurs, dont le génome est disponible (tableau 2.4). Les comparaisons ont été effectuées entre les deux régions d’intérêt (1-48 et 49-101) ainsi que sur la séquence comprenant les acides aminés de 101 à 412 ne présentant pas d’interaction avec l’actine. La région C-terminale (aa 101-412) montre des taux de variations identiques à ceux observés avec les comparaisons des séquences « pleine longueur » (de 70 à 73%). Les comparaisons des régions des 48 premiers acides aminés de la séquence indiquent que cette dernière est particulièrement conservée (de 75 à 87% de similarité) tandis que la région comprise entre les acides aminés 49 et 101 l’est beaucoup moins (54 à 60% de similarité). 76
  • 178.
    A B SeqID: readseq.input(1), 412 bases, C98338A0 checksum. Analysis Report: CMSVM+ Unknown [No details] CWSVM+ Unknown [No details] CytoSVM+ Unknown [No details] ECSVM+ Extracellular [No details] ModHMM+ Unknown No internal helices found] Motif+ Unknown [No motifs found] Profile+ Unknown [No matches to profiles found] SCL-BLAST+ Cytoplasmic [matched 3122608: Phosphoglycerate kinase] SCL-BLASTe+ Unknown [No matches against database] Signal+ Unknown [No signal peptide detected] Localization Scores: Cytoplasmic 5.86 CytoplasmicMembrane 0.00 Cellwall 0.30 Extracellular 3.83 Final Prediction: Unknown (This protein may have multiple localization sites.) Figure 2.5: Localisation cellulaire de la PGK de S.citri prédite par l’outil psortb v.3.0.2. A: Interface d’interrogation avec la séquence de la PGK de S.citri et les quelques paramètres requis pour cette interrogation. B: Résultats de l’interrogation avec les données importantes encadrées en rouge.
  • 179.
    Chapitre 2 Selon notre hypothèse, basée sur les résultats des expériences de far Western, cette région (aa 1-48) pourrait avoir une fonction stabilisatrice nécessaire à une interaction forte avec l’actine de l’insecte tandis que la seconde (aa 49-101) comprendrait le domaine minimal de liaison à l’actine indispensable à cette interaction. Les résultats, extraits des comparaisons de séquence primaire de diverses PGK, semblent confirmer ces résultats. En effet, il semble logique qu’une région stabilisatrice soit fortement conservée, tandis que la région intervenant dans l’interaction, à proprement parler, soit plus dégénérée assurant une meilleure spécificité de liaison à l’actine. Cette interaction faisant intervenir la PGK et l’actine, deux protéines conservées, ne peut pas expliquer à elle seule la spécificité de vection. De plus, cette interaction joue un rôle uniquement lors de l’internalisation de S. citri et non pas lors de l’étape précédente d’attachement, qui de manière générale, est davantage pressentie pour être impliquée dans la spécificité d’hôte faisant intervenir des protéines spécifiques. Néanmoins, la plus faible conservation observée dans la région minimale de liaison à l’actine (aa 49-101) pourrait indiquer un phénomène d’adaptation propre à chaque organisme nécessaire à cette étape d’internalisation et qui pourrait intervenir au cours du processus global de spécificité de vection. 2.3. Localisation de la PGK Le rôle de la PGK dans la transmission de S. citri, en tant que partenaire de l’actine, implique qu’elle soit membranaire et/ou sécrétée. Chez de nombreuses autres bactéries pathogènes, des déterminants majeurs de la virulence ou de la transmission ont été identifiés parmi les protéines de surface et/ou parmi les protéines sécrétées. Suite à l’étude du protéome de S. citri au laboratoire, il a été montré que cette protéine se retrouve dans la fraction cytoplasmique mais aussi dans la fraction membranaire. Cette localisation membranaire, différente de sa localisation cytoplasmique connue et prédite pour son rôle dans la glycolyse, a déjà été retrouvée chez d’autres bactéries comme Candida albicans (Alloush et al., 1997) ou encore Streptococcus agalactiae (Hughes et al., 2002). En parallèle, l’analyse de la séquence de la PGK, par l’outil de prédiction de localisation cellulaire psortb v.3.0.2 (Gardy et al., 2005), a été effectuée et semble en accord avec ces résultats expérimentaux. Cet outil combine plusieurs logiciels de prédictions tel que des prédicteurs de peptides signaux, de présences d’hélices transmembranaires, de motifs et de localisation tissus-spécifique afin d’identifier in silico une localisation protéique. 77
  • 180.
    A B Figure 2.6: Western blot 2-D anti-PGK réalisé avec la fraction membranaire de S. citri. A: Coloration au rouge ponceau de la membrane de nitrocellulose sur laquelle ont été transférées une fraction de protéines membranaires de S. citri séparées par électrophorèse 2-D. B: Agrandissement de la zone de la membrane contenant la PGK de S. citri (à gauche) et western blot réalisé avec cette même membrane dont la révélation a été effectuée avec l’anticorps anti-PGK (à droite).
  • 181.
    Chapitre 2 L’interrogation (figure2.5A) ainsi que les résultats (figure 2.5B) prédisent que cette protéine pourrait posséder plusieurs localisations, l’une cytosolique et l’autre extracellulaire. Afin de mettre en œuvre des techniques immunologiques permettant de visualiser la présence de la PGK de S. citri à la surface du spiroplasme, un anticorps anti-PGK a été produit (Protéogénix) dans la souris à partir de la protéine His6-PGK purifiée. Un western blot a été réalisé sur une fraction protéique enrichie en protéines membranaires. Les protéines membranaires de S. citri ont été séparées au cours d’une électrophorèse 2-D puis transférées sur une membrane de nitrocellulose (figure 2.6A) avant d’être incubée en présence de l’anticorps anti-PGK produit (figure 2.6B). Le résultat de ce western blot indique, même si cette protéine possède une localisation cytoplasmique du fait de sa fonction dans la glycolyse, la PGK est également localisée parmi les protéines membranaires du spiroplasme. III. Conclusion Les résultats présentés dans ce second chapitre semblent indiquer que, outre sa localisation cytoplasmique associée à sa fonction dans la glycolyse, la PGK peut également être relocalisée. Le western blot réalisé avec les protéines membranaires de S. citri semble indiquer que celle-ci pourrait se retrouver dans la membrane du spiroplasme. Cependant, la PGK étant une protéine très fortement exprimée chez S. citri, le risque d’une contamination n’est pas exclu. Néanmoins, la localisation « extracellulaire », prédite par le logiciel psortb, semble confirmer cette possibilité. En l’absence d’éléments supplémentaires, cette prédiction ne permet pas, à l’heure actuelle, d’affirmer si la PGK est associée à la membrane du spiroplasme ou bien sécrétée par le spiroplasme afin de pouvoir interagir avec l’actine Ces résultats laissent tout de même penser que la PGK de S. citri pourrait posséder une seconde localisation adéquate pour une interaction avec les microfilaments de l’insecte au cours du franchissement des cellules constituant les barrières intestinales et des glandes salivaires de l’hôte, de manière identique obtenues à d’autres organismes utilisant également une interaction PGK-actine pour leur internalisation dans les cellules de l’hôte, comme Streptococcus agalactiae (Burnham et al., 2005), L’identification de structures, différentes de celles impliquées dans l’interaction de la PGK avec son substrat au cours de la glycolyse, permet ainsi de préciser le mécanisme d’interaction entre ces deux protéines. Les deux domaines accessibles à la surface, localisés 78
  • 183.
    Chapitre 2 entre lesacides aminés M27-E52 et K63-G88, différents de ceux impliqués dans l’interaction de la PGK avec son substrat dans la glycolyse, seraient plus particulèrement responsables de sa liaison avec l’actine. Grâce à l’utilisation des différentes PGK tronquées lors des tests de compétition sur les cellules d’insectes, nous avons pu mettre en évidence que la région minimale de liaison avec l’actine conserve le rôle d’inhibition de l’internalisation de S. citri dans les cellules attribué à la PGK entière. L’injection du peptide PGK-FL5 et de la PGK entière au niveau de l’hémolymphe de l’insecte bloque de 50 % le recrachage de S. citri dans le milieu de culture indiquant ainsi que l’interaction entre les deux partenaires joue un rôle prépondérant in vivo dans la transmission de S. citri par son insecte vecteur C. haematoceps. 79
  • 185.
  • 186.
    Figure 3.1: Voiemétabolique de la glycolyse chez S. citri. Présence de la phosphoglycérate kinase (en rouge) et de la voie alternative à la formation du pyruvate (en vert). Extrait de (http://cbib1.cbib.u-bordeaux2.fr/molligen3b/TOOLBOX/KEGG /ShowPathMulti.php)
  • 187.
    Chapitre 3 Réalisation d’un mutant de S. citri dépourvu de phosphoglycérate kinase I. Introduction Dans les deux premiers chapitres de ce manuscrit, nous avons montré le rôle de la PGK dans l’internalisation du spiroplasme dans les cellules Ciha-1 (chapitre1) ainsi que dans la transmission par l’insecte vecteur (chapitre 2). Ces effets importants de la PGK conduisent à une réflexion sur la capacité à être transmis par C. haematoceps d’un spiroplasme dépourvu de cette protéine. L’obtention d’un tel mutant peut paraître utopique du fait que la PGK, protéine essentielle de la glycolyse, semble être indispensable pour la survie d’un organisme. Cependant, un schéma de la voie métabolique de la glycolyse chez S. citri (figure 3.1), fait apparaître la présence d’une voie alternative à celle passant par la PGK (2.7.2.3, en rouge), semble exister. En effet, une voie impliquant la L-lactate deshydrogénase (1.1.1.27, en vert), présente chez S. citri, parait pouvoir substituer celle de la PGK afin de former du pyruvate, produit final de la glycolyse. De manière surprenante, le séquençage récent du mollicute phytopathogène Phytoplasma mali souche AT révèle que ce phytoplasme ne posséde pas le gène codant la PGK (Kube et al., 2008) laissant supposer que l’étude d’un mutant de S. citri dépourvu de PGK est réalisable. Chez S. citri, les premières productions de mutants ont été celles réalisées par mutagénèse aléatoire grâce à l’utilisation du transposon Tn4001 (Foissac et al., 1997), originaire de Staphylococcus aureus (Lyon et al., 1984). C’est ainsi que des mutants altérés dans leur pathogénicité (Gaurivaud et al., 2000; Gaurivaud et al., 2000) ou dans leur transmission par l’insecte vecteur (Boutareaud et al., 2004) ont été obtenus. Cependant, l’utilisation de cette mutagenèse aléatoire par transposition nécessite l’obtention d’une banque de mutants d’une couverture satisfaisante, ainsi que le criblage fastidieux de cette dernière, afin d’isoler des clones « candidats » c'est-à-dire des clones altérés, entre autres, soit dans leur phytopathogénicité, soit dans leur transmission. Afin d’obtenir un mutant ponctuel au niveau du gène pgk, nous avons utilisé une technique de mutagenèse ciblée qui permet de sélectionner un évènement de recombinaison homologue localisé dans un gène cible (Duret et al., 2003). 80
  • 188.
    A BamHI 5’ tcaagggatccgaaaaaaagttttagtccgtgttgattttaatgtgccaatgaaggatggtcaagttactgatgataatcgtattat tgcagctttaccaacaattaaatatttgatagcacaagaagcaaaagtaattttattttctcatttagggaaagttaaaacagctga tgatttagaaaaacgtgatatggctccagtagcaaaggtattagaacaaaaattaggacaaccagttaaatttattaatgcctttg aaggaaaacaattggaagaagctattaacgaaatgcacaataaagagatctttttattt 3’ BglII B Ps GentR pBS pGOT O T T ∆PGK tet M PGK ∆PGK tet M GentR Ps O T T ∆PGK Figure 3.2: Réalisation d’un mutant de S. citri dépourvu de PGK. A: Clonage du fragment interne de la PGK au niveau du site BamHI du plasmide pGOT. B: Schéma d’intégration du pGOT dans le chromosome de S. citri par recombinaison homologue au niveau du gène cible.
  • 189.
    Chapitre 3 L’objectif du travail exposé dans ce chapitre concerne donc la production, par simple recombinaison homologue, d’un mutant de S. citri dépourvu de PGK. Néanmoins, aucun des mutants obtenus ne correspondant à celui attendu, l’identification des gènes ayant subi un évènement de recombinaison chez l’ensemble des mutants produits a été mise en œuvre. II. Résultats 1. Construction du vecteur pGOTpgk Le vecteur navette S. citri/E. coli, nommé pGOT (figure 3.2A), a été utilisé pour l’obtention d’un tel mutant. Ces vecteurs ont pour origine commune le plasmide pBS+ qui leur apporte l’origine de réplication colE1 d’E. coli. De plus, ils possèdent une origine de réplication de S. citri. Deux gènes de résistance à deux antibiotiques, la gentamycine et la tétracycline, sont également présents. La résistance à la gentamycine, exprimée de façon constitutive sous la dépendance d’un promoteur fort, le promoteur de la spiraline, permet la sélection des transformants après l’électroporation tandis que la résistance à la tétracycline, apportée par le promoteur du gène cible après une recombinaison homologue, permet de sélectionner les clones ayant subi cet évènement. Le mutant pour le gène cible désiré est obtenu par simple recombinaison homologue au niveau de ce gène (figure 3.2B) Afin de tronquer de manière ciblée le gène pgk, un fragment interne de 300 pb de ce dernier a été amplifié par PCR avec les amorces PGK_F-BamHI et PGK_R-BglII. Le choix du fragment sur le gène pgk répond à plusieurs critères essentiels. Tout d’abord, à la vue du schéma d’intégration représenté pour le plasmide pGOT (figure 3.2B), l’absence de la partie N-terminale du gène est impérative car, après intégration par simple recombinaison homologue, sa présence pourrait reconstituer le gène fonctionnel lors de la recombinaison avec la partie C-terminale du gène présent sur le chromosome. De plus, ce fragment doit être d’une taille suffisante pour permettre la recombinaison chez S. citri, mais doit également être limitée. En effet, lors de la recombinaison homologue, la région N-terminale du gène cible est reconstituée, rendant éventuellement fonctionnel ce domaine protéique. De manière générale, une longueur autour de 300 pb est préconisée chez S. citri. Ce fragment est ensuite inséré au niveau du site BamHI de chacun des deux plasmides. Ces derniers sont ensuite introduits dans E. coli par électroporation. L’intégration en « sens » du fragment du gène pgk, indispensable pour que la recombinaison puisse avoir lieu, est vérifiée à l’aide d’une double digestion enzymatique à l’aide des enzymes de restriction 81
  • 190.
    » s» ns II en I se ndI tis ndII « i an T H O I+ « Hi W pG mH T I+ O H M Ba pG am B 5090 4072 5054 5054 pGOT + PGK pGOT + PGK 3054 3022 « sens » « antisens » 2722 2036 1636 1018 pb 5090 506 4072 3054 396 388 2036 201 1636 1018 134 88 388 pb 75 506 1 2 3 4 5 6 7 8 9 10 11 12 13 14 Figure 3.3: Vérification de l’intégration en « sens » du fragment interne du gène pgk dans le plasmide pGOT.
  • 191.
    Chapitre 3 BamHI etHindIII (figure 3.3). Cette digestion permet de réaliser en une seule étape, la sélection des clones ayant inséré le plasmide et de plus, l’ayant inséré dans le sens désiré. La présence d’un fragment de taille de 388 pb indique le fragment est inséré en « sens ». En revanche, la présence d’un fragment de 88 pb signifie que le fragment interne ∆pgk n’est pas présent ou présent en « antisens ». Les clones 4, 6, 9, 11, 13 correspondent à des clones d’E. coli qui ont correctement intégré le fragment du gène pgk (figure 3.3). La séquence du fragment du gène pgk a été effectuée pour s’assurer qu’aucune mutation ne s’est insérée dans la séquence. 2. Obtention et sélection des clones délétés dans le gène pgk Après transformation, les transformants sont sélectionnés sur milieu SP4 additionné de 100 µg/ml de gentamycine (SP4 + gentamycine). Les colonies résistantes sont ensuite repiquées en milieu SP4 liquide + gentamycine. A partir du 5ème passage dans ce milieu, un passage étant considéré comme l’ensemencement d'une culture de spiroplasmes au 1/10ème dans un milieu de culture frais, la culture des clones est poursuivie en milieu SP4 additionné cette fois-ci de 5 µg/ml de tétracycline (SP4 + tétracycline). Alors que la résistance à la gentamicine, sous la dépendance du promoteur de la spiraline, est constitutive, le gène de résistance à la tétracycline, ne possédant aucun promoteur en amont, ne s’exprimera donc que lorsque l’évènement d’intégration aura eu lieu, à partir du promoteur du gène pgk situé dès lors en amont du gène TetM permettant aux spiroplasmes de se multiplier dans un tel milieu. Au cours de notre étude, six clones résistants à la tétracycline ont été sélectionnés. La présence de plasmides libres dans l’ADN total des clones sélectionnés n’a pas été mise en évidence suite aux hybridations entre l’ADN de chaque mutant et la sonde tetM ciblant le gène de résistance à la tétracycline. Le fait que les spiroplasmes se multiplient sur un tel milieu indique qu’un évènement de recombinaison a eu lieu chez chacun de ces clones et qu’un promoteur se trouve en amont du gène de résistance à la tétracycline. Cependant, rien n’atteste que cet évènement s’est produit au niveau du gène pgk. Chacun des clones est alors testé par PCR afin de s’assurer de la disruption du gène de la PGK. La PCR est réalisée avec deux amorces positionnées de part et d’autre du gène pgk (figure 3.4). Dans le cas où l’évènement de recombinaison a eu lieu au niveau du gène pgk, l’intégration complète du plasmide, d’une taille supérieure à 8 kpb, empêche toute amplification dans les conditions expérimentales effectuées. 82
  • 192.
    Ps GentR pBS 7864 pb pGOT O T T ∆PGK tet M PGK chromosome ∆PGK tet M GentR Ps O T T ∆PGK après intégration pb 3054 2036 1636 1018 960 pb 960pb 506 O T 1 2 3 4 5 6 OT H 2 pG O pG Figure 3.4: Présence du gène pgk entier chez les clones obtenus avec le plasmide pGOT. Amplification obtenue avec le couple d’amorce montrant qu’aucun des clones sélectionnés avec le plasmide pGOT ne présentent de disruption du gène pgk.
  • 193.
    Chapitre 3 Si le gène pgk n’est pas disrupté, un fragment PCR d’environ 960 pb est attendu correspondant à la taille du fragment présent sur le chromosome. La présence de ce fragment de 960 pb sur le gels d’agarose après amplification (figure 3.4), indique de manière claire qu’aucun des clones sélectionnés (clones 1 à 6) ne présentent de disruption dans le gène pgk. Suite à ces résultats, plusieurs autres transformations suivies des mêmes processus de sélection ont été effectuées. L’absence de mutant dépourvu de PGK ne faisant aucun doute, les efforts afin d’obtenir un tel mutant ont été abandonnés. L’impossibilité d’obtenir une recombinaison au niveau du gène pgk laisse supposer que l’absence du gène pgk pourrait être létale pour les spiroplasmes et de ce fait, même si la recombinaison au gène pgk a lieu, la sélection de tels mutants est impossible. Aucune de ces recombinaisons n’ayant eu lieu au niveau du gène pgk, la recherche des sites d’intégrations du plasmide au niveau du chromosome a été réalisée identifiant ainsi les gènes disruptés. Comme ces évènements de recombinaison ont eu lieu dans des régions codantes, du fait de l’expression du gène de résistance à la tétracycline nécessitant un promoteur en amont, il est intéressant, une fois les gènes identifiés, de tester les mutants obtenus dans notre système expérimental de transmission afin d’isoler de nouveaux gènes candidats. 3. Recherche du site d’intégration du pGOTpgk dans le chromosome de S. citri Pour expliquer qu’aucun de ces clones ne provient d’un évènement de recombinaison au gène cible, il faut envisager que cet évènement de recombinaison a bien eu lieu de façon homologue mais a ciblé d’autres régions présentes sur le plasmide. En effet, hormis le fragment du gène pgk, deux autres séquences sont présents à la fois sur le plasmide pGOTpgk et sur le chromosome de S. citri pouvant expliquer un tel phénomène. C’est le cas de la séquence du promoteur du gène de la spiraline présent en amont du gène de résistance à la gentamycine et de l’origine de réplication OriC. Il est également envisageable qu’une recombinaison illégitime ait eu lieu entre une région du plasmide pGOTpgk et une région codante du chromosome. 83
  • 194.
    A Intégration à l’Ori ? Chromosome DnaA O DnaN 349pb Si intégration DnaA O T T ∆PGK tet M GentR Ps O DnaN 8164pb pb 5090 4072 3054 2036 1636 8164pb 1018 349pb 506 O T 1 2 3 4 5 6 MW H 2 pGO B Intégration dans le promoteur de la spiraline ? Chromosome Protéine X Ps Spiraline 985pb Si intégration Protéine X Ps GentR tet M ∆PGK T T O Ps Spiraline 8164pb pb 5090 4072 3054 2036 1636 1018 985pb 506 O T 1 2 3 4 5 6 H 2 pGO Figure 3.5: Recherche de l’intégration du plasmide pGOTpgk au niveau de l’origine de réplication de S. citri (A) ou au niveau du promoteur de la spiraline (B).
  • 195.
    Chapitre 3 3.1. Approche par PCR pour détecter une intégration au niveau de l’OriC ou du promoteur de la spiraline Le choix des amorces de part et d’autre de l’OriC et du promoteur de la spiraline permettent, après amplification, de préciser si une intégration a eu lieu à cet endroit. Lorsque aucune intégration ne s’est produite à cet endroit sur le chromosome, la taille de l’amplicon correspond, pour l’Ori, à 349 pb et pour le promoteur de la spiraline, à 985 pb. Si l’intégration du plasmide pGOTpgk s’est produite dans l’une ou l’autre de ces régions, la taille de l’amplicon doit correspondre à une taille supérieure à 8 kpb, soit la taille du plasmide pGOTpgk linéarisé. Les résultats obtenus avec les clones 1 à 6 pour la recherche de l’intégration par simple recombinaison homologue au niveau de l’OriC (figure 3.5A) et du promoteur spiraline (figure 3.5B) montrent qu’aucune de ces deux régions ne contient le site d’intégration du plasmide. En effet, la taille de l’amplicon obtenue correspond à celle que l’on obtiendrait si on amplifiait la même région à partir du chromosome. 3.2. Approche par PCR « aléatoire » La recherche de l’évènement de recombinaison s’est alors poursuivie en ciblant, de manière aléatoire, et toujours par approche PCR, la zone du plasmide à partir de laquelle ce dernier s’est intégré dans le chromosome. Plusieurs zones ont donc été ciblées et sont représentées sur la figure 3.6. L’amplification EV13/Tet1R (figure 3.6A en orange) a permis de cibler la zone allant du gène OriC jusqu’au gène TetM. Les clones 2, 3, 4, 5, et 6, qui ne présentent pas de produit d’amplification, ont effectivement intégré le plasmide pGOT dans cette région. Le clone 1 quant à lui a intégré le plasmide à partir d’une autre région. Le second couple d’amorces, pM-Bam/Tet1R, a permis de réduire cette région en ciblant de manière préférentielle la zone comprenant le fragment interne pgk ainsi que la partie N-terminale du gène tetM pour l’ensemble de ces cinq clones (figure 3.6A en orange). Ces clones étant sélectionnés sur milieu additionné de tétracycline, il est peu probable que l’intégration ait eu lieu au niveau du gène de résistance à cet antibiotique. Il semblerait alors que, pour chacun de ces clones, l’évènement de recombinaison illégitime se soit déroulé au niveau du fragment interne ∆pgk. Pour tester cette hypothèse deux nouveaux couples d’amorces ont été testés. L’amplification négative obtenue avec les amorces LG1/PGK6 pour les clones 3 et 6 84
  • 196.
    A Ps GentR pBS pGOT O T T ∆PGK tet M EV13 pM-Bam O T T ∆PGK tet M Clones Tet1R Amorces pGOT 1 2 3 4 5 6 LG1 EV13/Tet1R + - - - - - + O T T ∆PGK pM-Bam/Tet1R - - - - - - + PGK6 LG1/PGK6 + + - + + - + PGK3 PGK3/Tet1R + + + + - + + T ∆PGK tet M Tet1R LG1 EV13 pM-Bam B PGK3 Nter X ∆PGK tet M GentR Ps O T T Cter X Clones 3 et 6 Tet1R LG1 PGK3 EV13 pM-Bam Nter X tet M GentR Ps O T T ∆PGK Cter X Clones 5 Tet1R LG1 EV13 pM-Bam PGK3 Nter X ∆PGK tet M GentR Ps O T T ∆PGK Cter X Clones 2 et 4 Tet1R Figure 3.6: Recherche de l’intégration du plasmide pGOTpgk dans le chromosome de S. citri. A: Approche PCR permettant de rechercher la région sur le plasmide pGOTpgk au sein de laquelle le plasmide s’est linéarisé afin de s’intégrer dans le chromosome de S. citri. B: Identification de trois schémas d’intégration possibles pour cinq des six clones.
  • 197.
    Chapitre 3 permettent deconclure que ces deux clones ont intégré le plasmide dans les premiers nucléotides du fragment pgk (figure 3.6A en jaune). De même, l’absence d’amplification pour le clones 5 avec le couple d’amorces PGK3/Tet1R permet de localiser la linéarisation du plasmide pGOTpgk en vue de son intégration dans les derniers nucléotides de ce même fragment cible (figure 3.6A en bleu). Par déduction, l’intégration pour les deux clones restants, à savoir les clones 2 et 4, s’est produite par linéarisation du plasmide au milieu du gène ∆pgk sans aucun détail supplémentaire. Ces résultats permettent de montrer que le plasmide s’est linéarisé de façon aléatoire au niveau du gène cible pgk afin de s’intégrer de façon illégitime dans le chromosome du spiroplasme selon trois schémas différents (figure 3.6B). 4. Identification des gènes dans le chromosome de S. citri ayant subi l’intégration Comme nous l’avons vu précédemment (figure 3.6B), les trois schémas d’intégration, déduits de l’approche par PCR « aléatoire », montrent que le gène ayant subi l’intégration du plasmide pGOTpgk est, dans tous les cas et quel qu’il soit, placé à proximité du gène de résistance à la tétracycline (tetM). Ce gène a donc été utilisé pour le design des amorces nécessaires à la réalisation des PCR au cours d’une technique de marche sur le chromosome. Deux enzymes différentes ont été testées au cours de cette technique, à savoir les endonucléases HincII et SmaI. Le choix de ces endonucléases est soumis à plusieurs règles qui sont détaillées dans le chapitre Matériels et Méthodes. Les amorces sélectionnées sont positionées sur les fragments théoriques obtenus après digestion par les endonucléases (figure 3.7A). Une première amplification avec les amorces AP1 et Tet1R est réalisée suivie d’une seconde amplification interne avec le couple d’amorces AP2/Tet7. Aucun fragment d’amplification n’a pu être obtenu lors des digestions avec SmaI. La digestion avec l’enzyme HincII, suivie des deux amplifications PCR, a permis d’obtenir un fragment lors de cette seconde amplification avec chacun des clones testés (figure 3.7B). Ces fragments, de taille variant entre 300 pb et 800 pb ont été envoyés à séquencer. Le tableau 3.8A présente les résultats obtenus pour ces quatre mutants étudiés. Ces résultats montrent que, pour les clones 3 et 4, le plasmide s’est intégré dans un gène codant la protéine hypothétique SPICI 11_005 tandis que pour les clones 5 et 6, le plasmide s’est intégré dans un gène codant une seconde protéine hypothétique SPICI 14_001. 85
  • 198.
    A AP1 AP2 Nter X tet M GentR Ps O T T ∆PGK Cter X Tet7 Tet1R AP1 AP2 Nter X ∆PGK tet M GentR Ps O T T ∆PGK Cter X Tet7 Tet1R B pb S HH S H S H S H 3054 2036 1636 1018 800pb 506 500pb 400pb 3 4 5 6 Figure 3.7: Approche par marche sur le chromosome pour l’identification des gènes disruptés par recombinaison illégitime. A: Choix des amorces en fonction des deux types d’intégration précédemment déduits. B: Amplifications AP2/Tet7 au cours de la PCR niché pour chacun des quatre clones testés.
  • 199.
    Chapitre 3 Les schémasd’intégration pour ces quatre mutants ont pu être déduits des séquences obtenues (figure 3.8B). Ils montrent que même si le plasmide pGOTpgk s’est intégré dans seulement deux gènes au cours de l’évènement de recombinaison chez ces quatre mutants, l’intégration ne s’est pas produite au même endroit dans ces gènes. Par exemple, pour le mutant 4, l’intégration du plasmide s’est produite au niveau du nucléotide 105 du gène spici11_005. Le plasmide s’est linéarisé au niveau du nucléotide 257 du gène pgk présent dans le pGOTpgk donnant ainsi le schéma d’intégration décrit (figure 3.8B). III. Discussion et conclusion La plupart des systèmes de recombinaison décrits chez E. coli nécessite le produit du gène recA (Kowalczykowski et al., 1994). La découverte, en 1995, d’un gène recA tronqué chez S. citri ne facilite pas l’obtention de mutants (Marais et al., 1996). En effet, la fréquence d’évènements de recombinaison homologue est très fortement diminuée chez un mutant dépourvu de gène recA (Miller & Kokjohn, 1990). Chez le spiroplasme, seuls les 390 premiers nucléotides de la partie N-terminale de ce gène sont présents (Marais et al., 1996). Malgré cela, l’utilisation du plasmide navette pGOT a permis l’obtention de mutants de S. citri, comme le mutant GII3-gt1, disrupté au niveau du gène crr codant pour un composant d’un système phosphotransferase (PTS)-glucose (Duret et al., 2005). Dans le cadre de ce travail de thèse, l’obtention d’un mutant de S. citri dépourvu de PGK a été mise en oeuvre. Cependant aucun clone dont le gène pgk a été tronqué n’a pu être sélectionné sur un milieu sélectif spécifique Il semblerait que la présence du produit du gène pgk soit essentielle à la survie de S. citri, contrairement à Candidatus Phytoplasma mali souche AT, qui ne semble pas être dépendant de la voie glycolytique pour sa survie (Kube et al., 2008). Bien que cette fonction essentielle de la PGK pour le spiroplasme ne soit pas inattendue, la présence de voies métaboliques parallèles, capable de générer le produit final de la glycolyse, laissait présager une fin plus favorable. Ce sentiment est renforcé par la mise en évidence récente que la fonction de la PGK ne semble également pas essentielle à la survie de Brucella abortus. En effet, un mutant ∆PGK de cette bactérie semble parfaitement viable mais, de manière intéressante, semble être néanmoins affecté dans sa pathogénicité (Trant et al., 2010). 86
  • 200.
    Région A Protéine Mutants d'identité E value identifiée sur la protéine hp spici11_005 1-103 nt 2e-44 Mutant 3 PGK 63-336 nt 6e-64 TetM 1-26 nt 2e-16 hp spici11_005 11-105 nt 1e-42 Mutant 4 PGK 257-336 nt 5e-36 TetM 1-75 nt 6e-65 hp spici14_001 56-87 nt 0,06 Mutant 5 TetM 1-72 nt 4e-62 hp spici14_001 1-87 nt 7e-06 Mutant 6 PGK 144-336 nt 9e-95 TetM 1-77 nt 9e-66 B Mutant 3 Mutant 4 36 336 36 336 ∆PGK tet M ∆PGK tet M 63 257 1 103 120 1 105 120 hp spici11_005 hp spici11_005 105 105 103 103 1 257 330 36 257 120 1 63 330 36 63 120 hp ∆PGK tet M hp tet M hp hp AP1 AP1 Fragment envoyé à séquencer Fragment envoyé à séquencer Tet7 Tet7 Mutant 5 Mutant 6 36 336 36 336 ∆PGK tet M ∆PGK tet M 330 144 1 87 261 1 87 261 hp spici14_001 hp spici14_001 87 87 87 87 1 1 36 330 261 1 144 330 36 144 261 hp tet M ∆PGK hp hp ∆PGK tet M hp AP1 AP1 Fragment envoyé à séquencer Tet7 Fragment envoyé à séquencer Tet7 Figure 3.8: Identification des gènes disruptés grâce à l’utilisation du plasmide pGOT. A: Tableau récapitulatif des différents gènes identifiés pour les quatre clones étudiés. B: Schémas d’intégration déduits des séquences obtenues après la seconde amplification AP2/Tet7.
  • 201.
    Chapitre 3 Cependant, quatre mutants délétés au niveau d’autres gènes ont été obtenus. Les deux gènes identifiés au cours de cette étude codent deux protéines hypothétiques de 40 acides aminés pour la protéine hypothétique SPICI 11_005 appartenant à la famille P4 de S. citri et de 87 acides aminés pour la protéine SPICI 14_001. Aucune fonction, ainsi qu’aucune structure particulière sur leur séquence, n’a été attribuée à ce jour à ces deux protéines. Le fait que ces clones indépendants aient subi une recombinaison entre un des deux gènes de ces protéines et le fragment interne pgk suggère qu’une région de forte identité nucléotidique doit être présente sur chacun de ces fragments. De manière surprenante, la comparaison de la séquence de ces deux gènes avec la séquence du fragment interne pgk n’a pas permis d’identifier de régions conservées (résultats non montrés). Aucune autre donnée pouvant expliquer ce phénomène n’est disponible à ce jour. 87
  • 203.
  • 204.
    Figure 4.1: Schémareprésentant la localisation des principales adhésines et protéines accessoires, associées entre elles, impliquées dans la formation du « tip » de Mycoplasma pneumoniae. D’après Rottem et al., 2003.
  • 205.
    Chapitre 4 Étude préliminaire de complexes protéiques impliqués dans la transmission de S.citri par l’insecte vecteur I. Introduction et objectifs D’après les résultats des far Western, seulement deux protéines de S. citri ont été identifiées comme interagissant avec les protéines de la cicadelle vectrice C. haematoceps : la spiraline (Killiny et al., 2005) et la phosphoglycérate kinase (Labroussaa et al., 2010). La spiraline, protéine majoritaire de la surface du spiroplasme, en plus de son implication au cours de la transmission (Duret et al., 2003), interagit avec deux glycoprotéines de 50 et 60 kDa de l'insecte vecteur C. haematoceps. La PGK, quant à elle, se lie à l'actine ce qui lui permet d'intervenir dans l'internalisation de S. citri dans les cellules en culture Ciha-1 et, par voie de conséquence, dans la transmission. D'autres protéines ont été identifiées jouant également un rôle dans la transmission du spiroplasme mais une interaction entre ces protéines et celles de l'insecte vecteur n'est pas à ce jour démontrée. La protéine Sc76, caractérisée comme une « Solute Binding Protein » (SBP) d'un ABC transporteur de glucose (Boutareaud et al., 2004) est essentielle au spiroplasme pour être transmis aussi efficacement que la souche sauvage GII3. Les protéines ScARPs et P32 ne sont pas essentielles lors de la transmission mais contribuent en grande partie à la réalisation de celle-ci (Breton et al., 2010). La plupart des protéines, prenant part à un processus cellulaire quel qu’il soit, n'interviennent jamais de façon isolée pour assurer leur fonction. Il est admis que les processus biochimiques soient réalisés et régulés par des complexes protéiques (Alberts, 1998) tout comme du reste dans la plupart des processus bactériens. L’étude complète du protéome de Mycoplasma pneumoniae a permis d’énumérer de façon exhaustive, et en tenant compte de résultats expérimentaux, toutes les fonctions accomplies par des complexes multi-protéiques chez ce mollicute (Kuhner et al., 2009). Ces complexes protéiques peuvent intervenir dans de nombreux processus cellulaires (traduction, transcription, voies métaboliques, etc …) mais également dans les mécanismes de pathogénicité ou bien d’invasion cellulaire. Lors de l’attachement aux cellules épithéliales de son hôte, la mise en place d'une structure particulière, appelé « tip » lui permet d’adhérer spécifiquement aux tissus appropriés jusqu’à l’établissement de son infection (Rottem, 2003). Cette structure, contenant de nombreuses adhésines comme les protéines P1 et P30, et de 88
  • 206.
    Technique Utilisation in vitro/in vivo Avantages Inconvénients Nécessite la construction d'une banque de protéines Interaction Criblage à débit élévé Pas très adapté pour l'étude des protéines membranaires Double-hybride binaire in vivo Simple à mettre en œuvre Faux positifs et faux négatifs sans a priori Détection d'interactions faibles et transitoires Impossibilité de détecter des complexes multimériques Complexome Criblage à débit élévé Purification par affinité Faux positifs Interaction in vitro Simple à mettre en œuvre en tandem (TAP-TAG) Problématique chez les eucaryotes supérieurs binaire Conserve les modifications post-traductionnelles Faux-positifs possibles Complexome Interactions de protéines membranaires Nécessité d'utiliser une autre méthode d'étude d'interactions protéine-protéine Agents pontants Interaction multi- in vitro/in vivo Conservation des modifications post-traductionelles (ou de purification) dans le cas de recherche de complexes protéiques protéique Permet de lier covalemment des interactions transitoires impliquant une protéine d'intérêt Mise au point lourde Visualisation au niveau de la cellule sur différents plans FRET Interaction binaire in vivo Equipement coûteux " " " " " " en fonction du temps Niveau d'expression élévé des protéines pouvant perturber leurs fonctions Spécificité Nécessité de posséder un anticorps spécifique Co-immunoprécipitation Interaction binaire in vitro Ne nécessitent d'expression hétérologue de protéines Faux positifs Mise en place aisée Pas idéal pour des interactions faibles (ou transitoires) Mise en place aisée et bonne reproductibilité Nécessité d'avoir la protéine "appât" recombinante et purifiée Interaction Production de la protéine "appât" en système hétérologue Déconseillé dans le cas d'interactions transitoires Pull -down binaire in vitro Possibilité de caractériser des interactions avec des Faux positifs liés à la préparation des protéines essentiellement récepteurs cellulaires grâce à des kits utilisant la GST Mauvais repliement de la protéine à cause de son étiquette fusionnée à des domaines SH2 Création d'une banque de peptides pour les protéines d'intérêts Interaction Criblage à débit élevé Phage-display in vitro Faux positifs binaire Etudes à l'échelle du génome Problème de repliements Interaction far Western in vitro Détaillés au cours du chapitre 1 binaire BN-PAGE Complexome in vitro Détaillés au cours du chapitre 4 Détermination des constantes de l'interaction Surface Plasmon Analyse rapide et en temps réel Immobilisation Interaction binaire in vitro Resonance (SPR) Utilisable pour de très nombreux analytes Perturbation de l'équilibre d'interaction (transport dans la matrice) Système automatisé Visualisation directe des interactions Résonance Magnétique Temps d'expérimentation Interaction binaire in vitro Dispersion de l'information sur plusieurs dimensions Nucléaire (RMN) Résolution spectrale Informations structurales et dynamiques Tableau 4.2: Avantages et inconvénients de quelques techniques principales d’interactions protéine-protéine
  • 207.
    Chapitre 4 nombreuses protéinesaccessoires, comme les protéines High Molecular Weight (HMW) 1 à 3 ou encore les protéines P40 et P90 (figure 4.1), suggère des mécanismes de régulation avancés et coordonnés, nécessitant de nombreuses interactions protéiques, intervenant dans un remodelage de la membrane bactérienne. Les protéines accessoires sont au cœur de ce remodelage et agissent pour permettre la stabilisation de ce « tip » (Seybert et al., 2006; Kuhner et al., 2009). Plus récemment, un nouvel exemple est venu de la description, chez Mycoplasma mobile, d’une protubérance à la surface du mollicute, non pas impliquée dans l’adhérence de la bactérie, mais dans son « gliding » lui permettant de se mouvoir. Cette structure, composée d’une dizaine de protéines rappelant le corps d’une méduse (« jellyfish » structure), est un modèle supplémentaire de mécanismes multi-protéiques régulant des fonctions importantes (Nakane & Miyata, 2007). De nombreuses approches biochimiques, biophysiques, génétiques et informatiques sont mises en œuvres pour mesurer qualitativement ou quantitativement les interactions protéiques in vitro ou in vivo, visualiser ces interactions dans les compartiments cellulaires, caractériser les interfaces d’interaction entre protéines et, bien évidemment, identifier les protéines partenaires impliquées (Phizicky & Fields, 1995). Le tableau 4.2 présente les principales techniques utilisées pour les études d’interaction protéine-protéine avec leurs avantages et leurs inconvénients. Chez S. citri, la technique privilégiée pour l'étude des interactions protéine-protéine demeure la technique de far Western (Killiny et al., 2005; Labroussaa et al., 2010). Elle ne nécessite pas d'expression hétérologue de protéines ce qui est un avantage considérable connaissant l'inconvénient majeur amené par l'utilisation du codon UGA comme codon tryptophane chez le spiroplasme. La technique de double-hybride, nécessitant l'utilisation de protéines exprimées chez la levure, a cependant été utilisée lors de l'étude ciblée de la caractérisation d'enzymes perméases impliquées dans le transport des sucres chez S. citri (Andre et al., 2003). Néanmoins, ces deux techniques ne permettent pas de mettre en évidence des complexes multi-protéiques. Aucune des études menées jusqu'à présent n'a permis d'identifier de protéines réduisant totalement, par leur absence, la transmission de S. citri par son insecte vecteur. Chez le spiroplasme, les protéines candidates impliquées dans la transmission pourraient alors intervenir en complexes pour assurer leurs fonctions en interagissent entre-elles ou avec des protéines encore non identifiées. L’absence ou l’inhibition de la fonction de l’une de ces 89
  • 209.
    Chapitre 4 protéines n'aboliraitpas le processus de transmission qui alors, bien qu’imparfait, permettrait à S. citri d’assurer son cycle dans l’insecte vecteur. Des méthodes d'analyses dédiées à l'identification de complexes impliqués dans la transmission de S. citri ont été mises au point et font l'objet de ce chapitre qui se compose de deux parties. La première partie correspond à la mise au point de la technique de Blue Native- PAGE (BN-PAGE) et à la mise en évidence de complexes dans lesquels seraient impliquées les protéines susceptibles de jouer un rôle dans la transmission (spiraline, ScARPs, P32, Sc76). La seconde partie sera consacrée plus particulièrement aux complexes protéiques faisant intervenir la PGK. Le pontage des sous-unités protéiques formant ces complexes, effectué par l'ajout d'un agent pontant, a permis l'identification de plusieurs complexes dont la composition sera discutée. II. Résultats et discussion 1. Recherche de complexes par la technique de BN-PAGE chez S. citri. La technique de Two-Dimensional Blue Native/Sodium Dodecyl Sulphate Polyacrylamide Gel Electrophoresis (2-D BN/SDS-PAGE) a été initialement mise au point pour l’étude en conditions natives des complexes membranaires de mitochondries (Schagger & von Jagow, 1991). Son utilisation a également permis d’étudier les complexes membranaires de chloroplastes (Neff & Dencher, 1999), d’une cyanobactérie (Herranen et al., 2004) ainsi que l’enveloppe cellulaire d’E. coli (Stenberg et al., 2005). Par la suite, la technique de BN-PAGE a été modifiée pour permettre l’étude du complexome total de cellules eucaryotes (Camacho-Carvajal et al., 2004; Claeys et al., 2005) et de bactéries telles qu’E. coli (Lasserre et al., 2006) et H. pylori (Pyndiah et al., 2007; Bernarde et al., 2010). Cette technique, dont le principe est détaillé au chapitre Matériels et Méthodes, permet la solubilisation et l’enrichissement de complexes protéiques en vue de leurs migrations en conditions non dénaturantes. Elle permet d'attribuer une masse moléculaire aux complexes identifiés ainsi qu'aux sous-unités protéiques les composant lors de la seconde électrophorèse en conditions dénaturantes. De plus, elle possède l’avantage de séparer ces sous-unités dans leur état natif laissant la possibilité de caractériser leur activité enzymatique si nécessaire. 90
  • 210.
    B kDa A kDa 440 232 440 232 140 140 66 66 n-dodecyl-β-D-maltoside 1% 1% 1% 1% 2% 2% 2% 2% β-D Dodecyl1% maltoside 500mM 750mM 500mM 750mM Acide aminocaproïque Acide aminocaproïque 500mM 750mM 500mM 750mM 500mM Figure 4.3: Analyse en conditions non-dénaturantes des complexes membranaires de S. citri par BN-PAGE. A: Effets du n-dodecyl-β-D maltoside et de l’acide aminicaproïque au cours de la préparation des complexes membranaires chez S. citri. B: Mise en évidence de complexes membranaires chez S. citri au cours d’une seconde expérience indépendante réalisée avec les conditions optimales d’extraction des complexes membranaires (1% n-dodecyl-β-D-maltoside; 500mM acide aminocaproïque).
  • 211.
    Chapitre 4 Le BN-PAGE présente cependant des inconvénients. Dans un premier temps, l’enrichissement des complexes protéiques membranaires chez un organisme nécessite, pour leur solubilisation, l’utilisation de détergents de type non-ionique. Cette extraction pose parfois des problèmes en fonction de la nature des complexes et des détergents utilisés (Kügler et al., 1997). La préparation de ces échantillons est un élément pouvant faire parfois varier la stabilité des complexes et modifier la stœchiométrie des interactions. Par ailleurs, la méthode de détection utilisée par cette technique, basée sur la coloration des gels obtenus, peut être limitante dans la mesure où certains complexes, présents en faible quantité, peuvent ne pas être détectés. Toutefois, cette technique présente des résultats en accord avec ceux obtenus par d’autres techniques. En effet, l’étude du complexe membranaire de E. coli réalisée par cette technique (Lasserre et al., 2006) a révélé 306 complexes cytosoliques et membranaires. Parmi ceux-ci, certains déjà connus ont permis de valider la technologie tandis que 109 nouveaux complexes ont été identifiés, faisant de la technique de BN-PAGE l’une des techniques les plus efficaces pour étudier le complexome total d’une bactérie. En ce qui nous concerne, le but de l’étude n’était pas de réaliser le complexome total de S. citri et d’identifier ainsi toutes les protéines associées en complexe chez le spiroplasme, mais plutôt de mettre en évidence les complexes impliquant plus spécifiquement les protéines, précédemment identifiées au laboratoire, comme protéines candidates pour jouer un rôle dans la transmission. Pour cela, un western blot a été ajouté après l’électrophorèse en conditions dénaturantes. Cette étape nécessite donc le transfert de cette deuxième électrophorèse sur membrane de nitrocellulose et l’incubation de cette membrane avec des anticorps spécifiques de ces différentes protéines. 1.1. Extraction et analyse des complexes membranaires. Dans un premier temps, cette technique de BN-PAGE a uniquement été mise au point pour l’extraction des complexes membranaires du spiroplasme. En effet, hormis la protéine P32, l’ensemble des protéines candidates, que ce soit la spiraline, les ScARPs ou la Sc76, ont été identifiées comme des protéines membranaires chez S. citri. Plusieurs protocoles, utilisés au cours de différentes études, ont été testés pour cette extraction (Lasserre et al., 2006; Swamy et al., 2006; Pyndiah et al., 2007; Schamel, 2008). Le protocole utilisé est décrit dans le chapitre Matériel et Méthodes. Un seul détergent, le n- dodecyl-β-D-maltoside, a été utilisé pour l’extraction des complexes. Ce détergent est devenu, 91
  • 212.
    kDa 1% DDM 1% 1% DDM 1% 750mM ACA 500mM 500mM ACA 75 750mM 25 kDa 2% DDM 2% 2% DDM 750mM ACA 75 750mM 500mM ACA 25 Figure 4.4: Analyse en conditions dénaturantes des complexes membranaires de S. citri par BN-PAGE au cours de la seconde dimension.
  • 213.
    Chapitre 4 au coursdes nombreuses et plus récentes études en BN-PAGE, le détergent permettant les meilleures extractions et la meilleure résolution des différents complexes protéiques lors de l’électrophorèse non dénaturante. Un second facteur variable est celui concernant la concentration en acide aminocaproïque, un sel de faible force ionique. Ce dernier, ajouté dans le tampon de lyse après le lavage des protéines du spiroplasme permet d’améliorer le processus de solubilisation des complexes membranaires. Les résultats obtenus au cours de cette première dimension sont représentés sur la figure 4.3. L’augmentation de la concentration en n-dodecyl-β-D-maltoside ne semble pas améliorer l’extraction de complexes membranaires chez S. citri. L’augmentation de la concentration en n-dodecyl-β-D-maltoside, en plus de ne pas permettre l’extraction de complexes supplémentaires, engendre un phénomène de diffusion dû à une quantité excessive de détergent. De plus, les variations dans la concentration de l’acide aminocaproïque ne semblent pas avoir un effet sur la solubilisation de ces complexes (figure 4.3A). Dès la première concentration testée, soit 1 % de n-dodecyl-β-D-maltoside, associée à une concentration de 500 mM d’acide aminocaproïque, les profils protéiques, obtenus pour deux expériences indépendantes, montrent la présence de 12 complexes membranaires de taille variant d’environ 550 kDa à environ 70 kDa sur le profil mieux résolus de la seconde expérience (figure 4.3B). Les bandes de gels correspondantes aux quatre premières conditions d’extraction sont ensuite transférées en haut d’un gel SDS-PAGE afin de déterminer le profil protéique des sous-unités de ces complexes (figure 4.4). Quelque soit la condition utilisée lors de la première dimension, les profils obtenus au cours de cette seconde dimension sont relativement semblables mais difficilement interprétables. Très peu de protéines sont individualisées et de nombreuses stries horizontales présentes sur l’ensemble des gels viennent perturber l’analyse de cette seconde dimension. Seules quatre à cinq sous-unités sont visibles sur cette seconde électrophorèse et, de plus, aucune ne semble faire partie d'un même complexe (figure 4.4, carrés blancs). Aux vues de ces résultats, aucun western blot n'a été effectué. 1.2. Extraction et analyse des complexes cytosoliques. Bien que prédite comme étant associée à la membrane du spiroplasme, la protéine candidate P32 se retrouve préférentiellement dans la fraction cytosolique lors de l'extraction 92
  • 214.
    A kDa 669 440 232 140 66 1 2 B C kDa 250 150 100 75 50 37 25 15 10 Identification par LC-MS/MS EF-Tu Figure 4.5: Analyse des complexes cytosoliques de S. citri impliquant la P32 par BN-PAGE. A: Analyse en conditions non-dénaturantes identifiant plusieurs complexes. Piste 1: 50µg de préparation protéique. Piste 2: 100 µg de préparation protéique. B: Analyse en conditions dénaturantes sur gel SDS-PAGE. C: Western-blot réalisé avec l’anticorps anti- P32.
  • 215.
    Chapitre 4 des protéinesde S. citri (Killiny et al., 2006). Afin de caractériser les protéines associées en complexes avec la P32, un BN-PAGE réalisé avec les protéines cytosoliques de S. citri a été effectué. Le protocole utilisé pour l'extraction de cette fraction protéique est également basé sur celui décrit pour la détermination des complexes cytoplasmiques chez H. pylori (Pyndiah et al., 2007). Les deux profils (figure 4.5A, pistes 1 et 2), réalisés en conditions non-dénaturantes avec deux concentrations différentes d'une même préparation cytosolique (50 µg et 100 µ g respectivement pour les pistes 1 et 2), permettent d’identifier, avec une bonne résolution, huit complexes protéiques de masses moléculaires variant d’environ 700 à 100 kDa (figure 4.5A). Le profil obtenu lors de l’électrophorèse en SDS-PAGE, selon la seconde dimension, permet de visualiser quelques protéines individualisées (figure 4.5B). Cependant, ce profil ne semble pas représenter de façon exhaustive le complexome cytosolique de S. citri. En effet, trop peu de spots sont présents pour pouvoir refléter la totalité des protéines cytoplasmiques du spiroplasme. Néanmoins, un western blot (figure 4.5C) a été réalisé avec l’anticorps mono- spécifique dirigé contre la protéine P32 obtenu par l’injection à un lapin d'un spot de gel 2-D contenant cette protéine. Quatre spots ont été révélés laissant présager la présence de la protéine candidate. Les masses moléculaires de ces protéines, repérées sur le gel SDS-PAGE correspondant et réagissant avec l’anticorps, sont voisines de 50 kDa pour trois d'entre elles. Or, cette masse moléculaire n’est absolument pas en accord avec celle de la protéine P32 proche de 32 kDa. La quatrième, plus proche de la masse moléculaire appropriée se trouve néanmoins dans une région du gel peu exploitable. L’analyse en spectrométrie de masse de ces protéines n’a identifié la P32 dans aucune de ces zones de gel analysées signifiant que les signaux, identifiés au cours du western blot, correspondent à des marquages non spécifiques. La protéine reconnue par l’anticorps est EF-Tu. En résumé, cette technique de BN-PAGE, utilisée pour l’identification des complexes protéiques chez un grand nombre d’organismes, n’a pas permis, au cours de notre étude, de mettre en évidence des complexes faisant intervenir des protéines préalablement impliquées dans la transmission de S. citri. En effet, que ce soit les expériences réalisées avec les protéines membranaires, censées identifier des complexes auxquels appartiendraient la spiraline, la Sc76 ou encore les ScARPs, ou celles réalisées avec les protéines cytosoliques concernant des complexes liés à la protéine P32, aucune n’a donné de résultats exploitables. 93
  • 216.
    Mélange1 Mélange2 Protéines totales Protéines + His6-PGK membranaires + His6-PGK + DSS + DSS Elution de la solution protéique sur colonne de nickel Protéines Protéines totales membranaires + His6-PGK + His6-PGK - DSP - DSP Mélange6 Mélange3 Protéines Protéines totales membranaires + His6-PGK + His6-PGK + DSP + DSP Mélange4 Mélange5 Figure 4.6: Protocole détaillé pour l’étude de complexes protéiques impliquant la PGK grâce à l’utilisation d’un agent pontant, le DSP. Cercles marrons: incubation des différentes fractions de S. citri avec la His6-PGK et le DSS. Cercles verts: Contrôles = élution des protéines non pontées sur colonne de nickel. Cercles rouges: Elutions des protéines pontées sur colonne de nickel.
  • 217.
    Chapitre 4 2. Recherche chez S. citri des complexes impliquant la PGK Vu l’absence de résultats concernant l'identification de protéines candidates associées en complexes par la technique de BN-PAGE, la recherche des complexes impliquant des protéines liées au processus de transmission du spiroplasme, a été recentrée sur la PGK et ses partenaires chez le spiroplasme en utilisant la technique de «cross-linking». Cette technique consiste de manière générale à établir un lien covalent entre les protéines figurant dans un complexe puis à les séparer sur gel SDS-PAGE et enfin, à analyser les peptides obtenus par spectrométrie de masse. Une large gamme d'agents pontants permet de former des liens de tailles définies entre les sous-unités protéiques d'un complexe allant de un à quelques dizaines d’angström. Cette différence de longueur permet d’estimer la distance entre deux résidus acides aminés et ainsi de dessiner une carte d’interaction entre deux protéines. Selon l'agent pontant utilisé, les protéines peuvent être pontées par des acides aminés réactifs spécifiques, comme des résidus lysines ou cystéines, présents à leurs surfaces en quantités suffisantes et bien répartis dans la zone d’interaction. De plus, d’autres caractéristiques, telles que leur perméabilité membranaire et leur caractère clivable, permettent la sélection spécifique d’un agent pontant en lien avec les besoins de l’utilisateur. La recherche, sans a priori, des complexes multi-protéiques impliquant la PGK chez le spiroplasme a permis l'utilisation du disuccinimidylsubérate (DSS), un agent pontant communément employé dans ce type d'étude. Par la suite, l'identification des sous-unités de ces complexes a nécessité l'utilisation d'un second agent pontant, le dithobis(succimidylpropionate) (DSP), présentant les mêmes caractéristiques que le DSS, à l'exception du fait que les interactions pontées sont clivables par le SDS lors de l'électrophorèse. La figure 4.6 présente le schéma du protocole expérimental mis au point au cours de cette étude. Les préparations protéiques, ainsi que le protocole détaillé mis en œuvre, sont décrits dans le chapitre Matériels et Méthodes. La recherche des partenaires de la PGK chez S. citri s’est donc déroulée en plusieurs étapes. Pour l'identification des complexes, la PGK recombinante tagguée his6 est incubée en présence de protéines totales de S. citri (figure 4.6, mélange 1) ou de protéines membranaires (figure 4.6, mélange 2), en présence du DSS, agent pontant insensible au clivage par le SDS. Les protéines qui constituent les complexes protéiques sont pontées par des liaisons covalentes fortes. Mais le but n’étant pas de réaliser le complexome du spiroplasme, une étape de sélection des complexes renfermant la PGK était donc nécessaire. De ce fait, chaque 94
  • 218.
    DSS DSP ge ge ng e ng e él an éla n éla éla M 1 M 2 M 4 M 5 250 150 100 75 50 * 37 25 20 15 Figure 4.7: Complexes impliquant la PGK chez S. citri pontés par le DSS et le DSP. Western blot réalisé avec sur la fraction des protéines totales (T) ou membranaires (M) de S. citri révélé avec l’anticorps anti- histidine permettant de visualisert les complexes « entiers » comprenant la PGK. * His6-PGK
  • 219.
    Chapitre 4 mélange (1et 2) a été élué sur une colonne de nickel afin de retenir spécifiquement, grâce à l’affinité de la séquence His6, les complexes dans lesquels la PGK était présente. Ces complexes sont ensuite révélés spécifiquement avec l’anticorps anti-histidine (Sigma) sur gel SDS-PAGE (figure 4.7, méalnge 1 et 2 DSS). Pour la fraction des protéines totales de S. citri (mélange 1), au minimum cinq complexes spécifiques de la PGK sont observés d'une masse moléculaire variant de 75 kDa à plus de 250 kDa tandis que, pour la fraction membranaire (mélange 2), deux complexes sont obtenus de masses moléculaires aux environs de 250 kDa. L’évaluation de la masse moléculaire et du nombre de complexes est difficile car ce gel ne permet pas la résolution optimale de ces complexes de haut poids moléculaire, supérieurs à 250 kDa. La présence de la His6-PGK ajoutée lors de l’incubation des protéines est également visualisée (figure 4.7, étoile). En revanche, le même western blot réalisé, en contrôle, avec ces deux mêmes fractions protéines pontées par le DSP (figure 4.6, mélanges 4 et 5), clivable par le SDS, révèle uniquement la présence de la His6-PGK comme attendu (figure 4.7) ; les autres protéines, dissociées au cours de l’électrophorèse en conditions dénaturantes, n’étant pas reconnues par l’anticorps anti-histidine. Par la suite, l'identification des sous-unités associées au sein de ces complexes a été entreprise. Les deux mêmes fractions protéiques que celles utilisées lors de l'analyse des complexes « entiers » ont été incubées en présence de la PGK tagguée His6 et du DSP (figure 4.6, mélanges 4 et 5). Le contrôle négatif de l'expérience est constitué des protéines non pontées et éluées sur une colonne de nickel afin de déterminer la rétention non-spécifique des protéines de spiroplasme au cours de la purification (figure 4.6, mélanges 3 et 6). Ces complexes sont ensuite dissociés au cours de l'analyse sur le gel de polyacrylamide, l’agent pontant étant sensible au clivage par le SDS. Les résultats obtenus au cours de cette seconde étude sont représentés sur la figure 4.8. Sur la figure 4.8A, les profils obtenus avec les préparations protéiques totales et membranaires révèlent que très peu de protéines sont retenues de façon non spécifiques sur la colonne de nickel en l’absence d’agent pontant (mélanges 3 et 6). Deux bandes majoritaires sont présentes de masses moléculaires proches de 25 et 44 kDa correspondant sans aucun doute à la spiraline et à la PGK recombinante. La spiraline est la protéine majoritaire de la surface du spiroplasme et est connue pour contaminer de nombreuses préparations protéiques. La présence sur ces contrôles de la PGK tagguée His6, retenue sur la colonne de nickel de façon indépendante à la présence d’agent pontant, n'est pas surprenante. 95
  • 220.
    3 : Protéinestotales 6 : Protéines membranaires A kDa 1 2 3 4 5 6 kDa 1 2 3 4 5 6 150 150 100 100 75 75 50 50 37 37 25 25 20 20 15 15 B kDa 100 1 75 2 3 50 4 37 5 6 Mélange 4 25 7 8 20 9 10 11 12 15 13 14 10 150 100 75 15 16 50 17 18 19 Mélange 5 37 20 21 22 25 23 20 15 1 2 3 4 5 6 7 8 9 10 11 Figure 4.8: Etudes des sous-unités des complexes impliquant la PGK. A: Contrôles réalisés avec les fractions totales et membranaires après passage sur colonne de nickel. Pistes 1à 3, lavages en 0, 25 M imidazole; Pistes 4 à 6: lavages en 0, 5 M imidazole. B: Elution des différentes fractions protéiques après pontage par le DSP des protéines totales et membranaires du spiroplasme. Pistes 1 et 2: fractions non retenues; Pistes 3 à 5: 3 derniers lavages triton X-100; Pistes 6 à 8: lavages en 0, 25 M imidazole; Pistes 9 à 11: lavages en 0,5 M imidazole.
  • 221.
    Chapitre 4 Les profils obtenus avec les mélanges 4 et 5 (figure 4.8B) révèlent la présence de nombreuses bandes sur les gels de polyacrylamide. En ce qui concerne les protéines totales (mélange 4), 14 bandes, de masses moléculaires variant d'environ 75 kDa à 10 kDa, sont observées. En parallèle, neuf bandes, numérotées de 15 à 23, sont observées sur le gel de purification réalisé avec la fraction membranaire (mélange 5) de S. citri. Les résultats de l’analyse réalisée par LC-MS/MS des bandes de gels numérotées de 1 à 23 sont présentés en Annexe 1. Chaque protéine présente dans ce tableau, extraite des tableaux de résultats bruts obtenus lors de cette analyse en spectrométrie de masse, a été validée manuellement en fonction de sa masse moléculaire, du nombre de scans et de peptides différents retrouvés qui ont permis son identification. De manière systématique, une protéine ne présentant pas une masse moléculaire proche de la zone de gel dans laquelle la bande a été découpée, a été éliminée. De même, les protéines identifiées pour lesquelles le nombre de scans est inférieur ou équivalent à trois n’ont pas été prises en compte. 2.1. Protéines associées à la PGK dans des complexes connus Dans un premier temps, la recherche des protéines associées à la PGK dans des complexes déjà connus chez d'autres organismes a été effectuée. Chez Mycoplasma pneumoniae, pour assurer sa fonction dans la glycolyse, la PGK est associée avec d’autres protéines, elles aussi impliquées dans cette voie métabolique (Kuhner et al., 2009). Chez E. coli, elle a été retrouvée associée, dans la fraction membranaire, avec une protéine USG1 de fonction inconnue (Lasserre et al., 2006) tandis que, chez Thermotoga maritima, elle interagit avec une triosephosphate isomérase (Schurig et al., 1995) sans que les fonctions de ces interactions n’aient été révélées à ce jour. Le tableau 4.9 donne la composition de deux complexes impliquant la PGK chez M. pneumoniae: le premier associé à sa fonction dans la glycolyse et le second dans un complexe faisant intervenir plusieurs chaperones. La PGK est associée en complexe avec certaines protéines dont notamment la glycéraldéhyde 3-phosphate deshydrogénase (GAPDH), l’énolase et DnaK avec lesquelles elle forme le noyau central du complexe enzymatique glycolitique 2 (Kuhner et al., 2009). Ces protéines ont également été retrouvées chez S. citri (tableau 4.9). L'essentiel des protéines faisant parti des complexes « glycolytic enzyme 2 » et « protein chaperone » chez M. pneumoniae est retrouvé chez S. citri à l'exception de quatre protéines (tableau 4.9, avec une étoile), pourtant exprimées chez le spiroplasme. La 96
  • 222.
    Mycoplasma Protéine identifiée S. citri pneumoniae Phosphoglycérate kinase (PGK) X X Glyceraldehyde-3-phosphate dehydrogenase X X Enolase X X Chaperone protein DnaK X X Glycolytic protein GrpE X X enzyme DnaJ-like protein MG002 homolog X X complex Chaperone ClpB X X 2 Heat-inducible transcription repressor HrcA X X Putative protein phosphatase (SPICI16_041) X Glycyl-tRNA synthetase (SPICI03_253) X Probable NADH oxidase (SPICI03_173) X Phosphoglycérate kinase (PGK) X X 50S ribosomal protein L10 X X Chaperone protein DnaK X X Chaperone protein DnaJ X X Mgp-operon protein 3 precursor* X Probable guanosine-3',5'-bis(diphosphate) X 3'-pyrophosphohydrolase (SPICI10_041) Protein Uncharacterized protein Mpn441* X chaperone Uncharacterized protein MG211 homolog* X complex DnaJ-like protein MG002 homolog* X Chaperone ClpB X X Heat-inducible transcription repressor HrcA X X Putative protein phosphatase X Glycyl-tRNA synthetase X Probable NADH oxidase X Protein GrpE X X Tableau 4.9: Tableau de comparaison entre les protéines associées à des complexes connus chez Mycoplasma pneumoniae faisant intervenir la PGK. * protéines spécifiques de Mycoplasma pneumoniae.
  • 223.
    Chapitre 4 triosephosphate isoméraseen complexe avec la PGK chez Thermotoga maritima (Schurig et al., 1995; Beaucamp et al., 1997; Yu & Noll, 2001) est également rencontrée en complexe avec la PGK de S. citri (résultat non montré). Sur les 125 protéines identifiées au cours de cette étude, neuf d’entre elles, ont été éliminées pour leur rôle dans les complexes précédemment cités. Sur les protéines restantes, 13 ont particulièrement attirées notre attention (figure 4.10). A celles-ci, viennent s'ajouter 22 protéines supplémentaires ne présentant pas de fonction connue mais étant, pour la plupart transmembranaires (figure 4.11). Un premier élément est à prendre en compte avant de commencer l’analyse de ces protéines candidates. En choisissant de s’intéresser à des protéines qui ont été identifiées par un grand nombre de scans lors de l’analyse en spectrométrie de masse, le risque de s’intéresser à des protéines majoritaires chez le spiroplasme existe. Ces protéines, par nature, sur-représentées lors de ces analyses représentent un risque de faux positifs évident. La présence de la spiraline en est l’exemple typique. Bien que la liaison de cette protéine avec la PGK pourrait être envisagée, une « contamination » de la bande de gel soumise à la spectrométrie de masse est probable. De plus, cette protéine a été retrouvée lors des contrôles négatifs réalisés avec les deux préparations protéiques. Ce cas de figure, exposé ici pour la spiraline, semble pouvoir se transposer pour d’autres protéines candidates. Les protéines MreB et Ftsz, homologues procaryote respectif de l’actine et de la tubuline eucaryote sont très représentées chez S.citri. La fibrille, formant des longues fibres polypeptidiques, représente entre 0,5 % et 3 % des protéines totales du spiroplasme (Townsend, 1983). Cette protéine forme le cytosquelette interne de S. citri en association avec plusieurs autres protéines, comme la protéine MreB, et est impliquée dans la motilité de ce dernier (Trachtenberg, 2004). Plus récemment, ces deux protéines, associées avec EF-Tu, ont été démontrées comme faisant partie d’un complexe associé à la membrane et intervenant dans la structuration et la motilité du spiroplasme (Trachtenberg et al., 2008). De la même façon, la protéine EF-Tu et la glycéraldéhyde-3-phosphate deshydrogénase (GAPDH) sont elles aussi très présentes dans le cytoplasme de la bactérie. Toutefois, EF-Tu a déjà été identifié comme une protéine pouvant se lier à la fibronectine humaine (Balasubramanian et al., 2008). La GAPDH, bien que déjà associée à la PGK au sein du complexe glycolitique, interagit également avec plusieurs protéines de la matrice extracellulaire comme le plasminogène et le fibrinogène ainsi qu’avec l’actine (Seifert et al., 97
  • 224.
    Présence bande Protéine Fraction Fraction totale membranaire Adhesion related protein, 1 transmembrane (ScARPs) P32_protein 7 Spiralin lipoprotein 7;12;13 23 Preprotein translocase SecA subunit 1 Fibril protein 2;3 17 ATP synthase alpha chain subunit 2 ATP synthase beta chain subunit 3 Translation_elongation_factor_ef-tu_protein 4 18;20 Probable_cell_division_ftsz transmembrane_protein 4 Cell_shape_determining_protein_mreb 6 21 Probable_glyceraldehyde_3-phosphate 6 dehydrogenase_protein Probable_abc_transporter_atp_binding 6;7 component_abc_transporter_protein Soj-like protein 7;8 Tableau 4.10: Tableau des protéines candidates potentiellement associées en complexes avec la PGK dont la fonction est connue. Chaque protéine est associée à la ou les bandes de gel dans lesquelles elle a été identifiée.
  • 225.
    Chapitre 4 2003). Lesprotéines GAPDH et EF-Tu, localisées à la surface de plusieurs organismes, pourraient se révéler d’intéressantes candidates au cours de l’invasion du spiroplasme dans les cellules de l’insecte. De plus, la protéine GAPDH vient d’être récemment identifiée comme une adhésine pouvant faciliter l’adhésion de Mycoplama pneumoniae sur des cellules de l’hôte renforçant l’idée que cette protéine pourrait faire partie de la famille des enzymes multi-fonctionnelles (Dumke et al., 2010). D’autres protéines, en revanche ne sont pas connues pour être fortement exprimées chez un organisme. Leur présence au sein d’un complexe est peut-être plus spécifique que celle des protéines précédemment énoncées. C’est la cas des deux sous-unités α et β faisant partie d’une ATP synthase et de la sous-unité d’un composant d’un ABC transporteur. Ces protéines présentent l’avantage d’être associées à la membrane du spiroplasme ce qui pourrait faciliter un rôle éventuel de ces dernières dans l’invasion des cellules de l’hôte. L’identification d’une sous-unité d’un ABC transporteur était intéressante car une protéine codant pour une Solute Binding Protein (SBP) d’un ABC transporteur a déjà été identifiée jouant un rôle dans la transmission du spiroplasme (Boutareaud et al., 2004). La sous-unité identifiée au cours de notre étude n’est pas une SBP mais une sous-unité de liaison à l’ATP, molécule fournissant l’énergie nécessaire au transport des biomolécules. Cette propriété, bien entendu également connue pour l’ATP synthase, est problématique car la PGK possède aussi cette capacité à se lier avec l’ATP au cours de la glycolyse. Il se pourrait donc que ces interactions soient médiées par l’ATP qui pourrait former un pont entre les différentes protéines. La protéine Soj (homologue procaryote de la protéine ParA), présente sur l’ensemble des sept plasmides de S. citri, est impliquée dans la partition du chromosome (Gerdes et al., 2000). Il est assez difficile d’expliquer comment cette protéine pourrait se retrouver dans un complexe avec la PGK et surtout comment elle pourrait participer au processus d’invasion. Sa présence pourrait être liée à celle des sous-unités de l’ATP synthase. En effet, ces protéines ont récemment été identifiées comme faisant partie d’un même complexe chez M. pneumoniae (Kuhner et al., 2009). De ce fait, ces protéines pourraient être effectivement associées en complexes entre elles, mais leur présence au cours de cette étude au sein d’un complexe avec la PGK ne serait dû qu’à une liaison non spécifique avec l’ATP et être considérées comme des faux-positifs. 98
  • 226.
    Présence bande Protéine Fraction Fraction totale membranaire SPICI 20_065 1;2 SPICI 20_066 3 SPICI 10_054 4 SPICI 16_011 20 pSci4_06 12 SPICI 06_025 14 Hypothetical lipoprotein SPICI NP12_015 14 SPICI 13_023 14 SPICI 07_025 14 SPICI 20_002 14 SPICI 12_036 14 SPICI 09_055 14 SPICI 14_005 17 Putative pSci5_18 5 20 transmembrane protein pSci3_14 5 20 SPICI 06_095 2 SPICI 11_025 4 SPICI 20_028 8 SPICI 06_092 9 Hypothetical protein SPICI 03_189 9 SPICI 17_007 10 SPICI 07_016 10 pSci6_20 10 Figure 4.11: Tableau des protéines candidates potentiellement associées en complexes avec la PGK dont la fonction n’est pas connue. Chaque protéine est associée à la ou les bandes de gel dans lesquelles elle a été identifiée.
  • 227.
    Chapitre 4 La protéine SecA, dont le rôle est de permettre la translocation de protéines à travers la membrane plasmique, pourrait permettre le transport soit de la PGK, soit d’autres protéines associées au cours des réorganisations protéiques ou des cascades de signalisation nécessaires lors de l’entrée de la bactérie dans les cellules de l’insecte. Deux autres protéines contribuant à la transmission de S. citri par l’insecte ont été identifiées : les protéines ScARPs et P32. Les protéines ScARPs appartiennent à une famille de protéines très étudiées chez S. citri et dont les principales caractéristiques ont été précédemment énoncées (§ Introduction III.3.2). Au cours de cette étude, 6 des 8 protéines ont été identifiées : la Scarp2b (pSci5_14), la Scarp3d (pSci2_04), la Scarp3c (pSci3_07), la Scarp3b (pSci5_11), la Scarp3a (pSci1_05) et enfin la Scarp2a (pSci4_07). Ces protéines, appartenant à la grande famille des adhésines, pourraient intervenir dans l’attachement des spiroplasmes sur les cellules de l’insecte. La protéine P32, associée à des protéines membranaires du spiroplasme, n’est présente que chez les souches transmissibles de S.citri par C. haematoceps (Killiny et al., 2006). Des études en microscopie électronique ont montré que cette protéine pourrait participer, au même titre que les protéines ScARPs, à l’étape d’adhésion du spiroplasme aux cellules de l’insecte (Killiny et al., 2006). En parallèle, 23 protéines de fonctions inconnues ont également été identifiées par spectrométrie de masse. Ces protéines, listées dans le tableau 4.11, sont bien évidemment des candidats pour la transmission du spiroplasme. Au sein de ces protéines, celles annotées « hypothetical lipoprotein », au nombre de 12, sont donc des protéines membranaires et pourraient retenir toute notre attention. III. Discussion et conclusion La recherche de complexes multi-protéiques chez S. citri a été effectuée afin de mettre en évidence ceux impliqués dans la transmission du spiroplasme. Le but de ces études préliminaires était de montrer l'implication, au sein de complexes, des protéines candidates telles que les protéines ScARPs, Sc76, P32, PGK ou bien encore la spiraline. Les résultats de ces analyses, obtenus lors de l'étude par « cross-linking » des complexes impliquant la phosphoglycérate kinase de S. citri, ont révélé l'existence de 99
  • 229.
    Chapitre 4 plusieurs protéinesqui peuvent être potentiellement associées à cette dernière. Même si nos résultats semblent en accord avec des études précédentes, mettant en évidence des partenaires protéiques de la PGK au sein de divers organismes comme M. pneumoniae (Kuhner et al., 2009) et E. coli (Lasserre et al., 2006), il est néanmoins nécessaire de garder à l'esprit que cette étude reste une étape préliminaire en vue de la caractérisation fonctionnelle de ces complexes. Plusieurs facteurs limitants peuvent venir perturber l'analyse des résultats. La présence de protéines fortement exprimées chez le spiroplasme pourrait créant une source de faux positifs. La fixation aspécifique de protéines au cours l'étape de purification des complexes comprenant la PGK tagguée sur colonne de nickel est problématique. Néanmoins, la faible présence de telles protéines sur le gel de polyacrylamide, au cours des contrôles négatifs effectués, est rassurante. L'identification de plusieurs protéines interagissant avec la PGK, comme la P32 ou les ScARPs est un premier élément pour mettre en évidence l'existence de complexes multi- protéiques jouant un rôle dans la transmission de S. citri par son insecte vecteur. Des mutants dans lesquels ces protéines sont absentes sont moins efficacement transmis que la souche sauvage (Berho et al., 2006; Killiny et al., 2006). Aux vues du rôle de la PGK dans l'internalisation dans les cellules de l'insecte, il se pourrait que ces protéines agissent de pair avec la PGK au cours du processus d'invasion cellulaire. L'étude de la fraction protéique membranaire de S. citri a été réalisée dans le but d'identifier des sous-unités, interagissant avec la PGK au niveau de la surface du spiroplasme. Peu de protéines ont été retrouvées exclusivement dans cette fraction. Il est vraisemblable que l'étape de purification, qui apporte la spécificité à la technique, soit un facteur limitant pour la détection de protéines faiblement exprimée. Deux protéines de fonction inconnue, les protéines SPICI16_011 et SPICI 14_005, ont été identifiées uniquement dans cette fraction ce qui en fait des candidates intéressantes. Néanmoins, la présence de 11 protéines, annotées « hypothetical lipoprotein », dans la fraction des protéines totales du spiroplasme permet d'envisager que la PGK pourrait, pour assurer sa fonction dans le processus de transmission, interagir avec plusieurs autres protéines à la surface du spiroplasme. Ces hypothèses nécessitent bien évidemment d'être confirmées au cours d'études utilisant d'autres techniques d'interactions protéine-protéine comme le far Western par exemple ou bien lors d'études ex vivo en microscopie confocale en utilisant la lignée cellulaire Ciha-1 disponible au laboratoire. Même si l'obtention de mutants ciblés est difficile chez S. 100
  • 231.
    Chapitre 4 citri, lamise au point d'un nouveau vecteur navette, le pGOTres, permettant l'obtention de double-mutants, permettrait d'étudier in vivo la transmission d'un spiroplasme dans lequel plusieurs de ces protéines candidates seraient absentes. 101
  • 232.
    Hemolymphe 1 Sc76 ? 2 Hemolymphe Spiraline? ScARPs ? P32 ? ? ? ? ines e? s glycoproté ct u r ? se te in cep ? Ré Lame basale actine Plasmalemme basal Barrière corticale d’actine Filaments de microtubule et d’actine Rab Rab Plasmalemme apical Actine Actine Tubuline Tubuline 14-3-3 Canal salivair e 4 5 3 Actine ? PGK Rab ? ? 14-3-3 ? 14-3-3 ? tubuline? Rab 5 et 6? ? Figure C.1: Schéma hypothétique du franchissement de la barrière des glandes salivaires de l’insecte C. haematoceps par S. citri.
  • 233.
    Discussion générale etperspectives Discussion générale et perspectives L'ensemble des résultats obtenus au cours de cette thèse et plus particulièrement l’interaction PGK-actine, associés à ceux obtenus sur la transmission du spiroplasme m'a permis d'émettre des hypothèses sur le mécanisme moléculaire du franchissement de la barrière des glandes salivaires (figure C.1). En effet, dans notre système expérimental de transmission qui court-circuite le passage de la barrière intestinale vers l'hémolymphe, seul le passage des glandes salivaires est déterminant. I. Hypothèses concernant le cycle de S. citri dans l'insecte C. haematoceps 1. Franchissement de la barrière de l'épithélium intestinal La comparaison des deux profils far-Western, obtenus entre les protéines de S. citri et les protéines totales de l’insecte et celles des glandes salivaires, montre qu’un signal d’interaction localisé à 60kDa sur le profil far Western des protéines totales d’insecte est absent de celui des glandes salivaires. L’absence de ce signal est du à l’absence de proteines à 60 kDa sur le profil d’électrophorèse des proteines des glandes salivaires. Cette protéine pourrait donc être spécifique du franchissement de la barrière intestinale. Il se pourrait également que cette protéine soit une des deux glycoprotéines d'insecte identifiées au cours d'une précédente étude (Killiny et al., 2005). Celle-ci serait alors capable de se lier avec la spiraline et leur association serait par conséquent impliquée dans la transmission. La recherche de son partenaire chez le spiroplasme permettrait d'éclaircir un peu mieux ce premier franchissement que la bactérie doit effectuer afin de poursuivre son circuit. 2. Franchissement de la barrière des glandes salivaires 2.1. Franchissement de la lame basale des glandes salivaires Les travaux de Killiny et al 2005 ont montré que la spiraline, proteine majoritaire de la membrane de S. citri était une lectine capable de se lier avec deux glycoprotéines de l'insecte sans que ces dernières ne soient connues à l'heure actuelle (figure C.1, encadré 1). Sur ces 102
  • 235.
    Discussion générale etperspectives deux glycoprotéines mises en évidence, il se pourrait que seule celle de 50 kDa soit présente dans les glandes salivaires et participe au franchissement de la lame basale de ces dernières. En 2002, un mutant dont le gène sc76 codant une lipoprotéine, présentant des homologies avec une SBP d'un ABC transporteur de glucose, a été obtenu par mutagénèse (Boutareaud et al., 2004). Ce mutant est affecté dans sa transmission par l'insecte vecteur. De part sa fonction au niveau de l'interaction avec des résidus de type sucre, la lipoprotéine Sc76, pourrait donc elle aussi reconnaître un tel résidu à la surface de la lame basale. Cette interaction pourrait faciliter le franchissement de cette dernière par le spiroplasme (figure C.1, encadré 1). 2.2. Adhésion au plasmalemme des glandes salivaires Les protéines P32 et ScARPs absentes des souches non transmissibles (comme la souche 44), sont des protéines non essentielles dans la transmission mais contribuent cependant au bon déroulement de celle-ci. La protéine P32 est une protéine hydrophile associée à la membrane du spiroplasme. Cette protéine ne présente aucun segment transmembranaire ce qui signifie qu'elle se trouve du coté cytoplasmique probablement associée à des protéines membranaires. Les observations en microscopie électronique à transmission des glandes salivaires d'insectes infectés par la souche non transmissible 44, ne montrent pas de vésicule d'endocytose. Les spiroplasmes ont franchi la lame basale et se sont amassés entre la lame basale et le plasmalemme. Dans le cas des glandes salivaires infectées par les spiroplasmes de la souche 44 complémentée par le gène p32, un contact entre ceux-ci et le plasmalemme des glandes salivaires est observé (Killiny et al., 2006). Des adhésines, nécessaires à cette adhésion, pourraient être recrutées par la P32 afin d'interagir avec les récepteurs membranaires présents à la surface des cellules de l'insecte (figure C.1, encadré 2). Les protéines ScARPs (S. citri adhesion related proteins) sont également absentes chez la souche 44. Ces protéines présentent des homologies avec la protéine P89 (ou SARP1) qui est une protéine amphiphile ayant un rôle dans l'adhésion de S. citri à une lignée cellulaire de C. tenellus et donc, par extension, une protéine qui pourrait être impliquée dans une interaction avec l'insecte lors de la transmission (Yu et al., 2000; Berg et al., 2001). Ces ScARPs possèdent un peptide signal riche en séquences répétées par le biais desquelles elles pourraient interagir avec un ligand. Elle possède également un signal de localisation nucléaire 103
  • 237.
    Discussion générale etperspectives (NLS) qui pourrait permettre la modification de l'expression de certains gènes de l'hôte et ainsi la mise en place des étapes ultérieures de l'invasion cellulaire. Ces protéines pourraient être recrutées par la protéine P32 au niveau de la région de la membrane de S. citri entrant en contact avec la cellule de l'hôte impliquant une certaine relocalisation des protéines à la surface du spiroplasme (figure C.1, encadré 2). 2.3. Internalisation dans les cellules des glandes salivaires Les résultats obtenus concernant l’internalisation dans les cellules de l'insecte identifient la phosphoglycérate kinase comme proteine impliquée dans ce processus. Cette PGK, en interagissant avec l'actine de l'insecte, pourrait permettre le remodelage de la membrane de la cellule de l'insecte permettant au spiroplasme de pénétrer (figure C.1, encadré 3). Cette protéine, connue pour avoir une localisation cytoplasmique, pourrait être relocalisée au niveau de la membrane afin d'interagir avec l'actine de la cicadelle. L'étude des complexes protéiques impliquant cette protéine a permis de révéler qu'un complexe pourrait exister entre la PGK et la P32. Cette dernière pourrait ainsi recruter la PGK au niveau de la membrane lui permettant d'assurer sa fonction. Les ScARPs pourraient également, aux vues des résultats présentés au chapitre 4, faire partie de ce complexe. La présence de nombreuses lipoprotéines, identifiées au cours de l’étude des complexes associés à la PGK, amène à penser que ces dernières pourraient jouer un rôle au cours de l'étape d'adhésion aux cellules et entraîneraient par la suite les autres protéines du complexe qui interviendraient alors dans le processus d'internalisation. Cependant, rien à ce jour n’indique que la PGK, ou bien seulement un peptide, comme le peptide PGK-FL5, clivé au cours de la mise en place du processus d’internalisation, ne puisse pas être sécrété par le spiroplasme pour aller interagir avec l’actine de l’insecte. Cette étape d'internalisation pourrait être une étape n'intervenant pas dans la spécificité de vection. Cette spécificité pourrait être apportée par des protéines spécifiques de S. citri telles que les ScARPs, la P32 et la spiraline. Les spiroplasmes pourraient utiliser, une fois cette spécificité de vection acquise, une protéine bi-fonctionnelle comme la PGK pour assurer les étapes suivantes nécessaire à son invasion cellulaire. 104
  • 239.
    Discussion générale etperspectives 2.4. Devenir des vésicules d'endocytose contenant S. citri Une fois internalisé, des études de microscopie électronique ont permis de visualiser les spiroplasmes à l'intérieur de vésicules d'endocytose (Ozbek et al., 2003). Le premier but du spiroplasme, à ce moment, est de détourner ces vésicules de la voie lysosomiale classique qui acidifie le contenu de ces vésicules entraînant la dégradation des particules contenues. Pour se faire, il est vraisemblable que S. citri utilise les protéines de l'insecte Rab5 et Rab6 ainsi que la protéine 14-3-3, protéines identifiées au cours de l'étude des interactions par far Western (chapitre 1). En détournant ces protéines de leur fonction dans le système de dégradation cellulaire chez l'insecte, les spiroplasmes éviteraient d’être lysés (figure C.1, encadré 4). Afin de rejoindre le canal salivaire, S. citri pourrait utiliser les réseaux du cytosquelette pour sa mobilité intracellulaire. Il pourrait alors utiliser les microfilaments d'actine de manière identique à de nombreuses bactéries, y compris les mollicutes phytopathogènes (Suzuki et al., 2006). En parallèle, la tubuline β, identifiée au cours des études d’interaction, pourrait également laisser présager que le spiroplasme se déplacerait le long des microtubules à la manière des Chlamydia (Clausen et al., 1997) (figure C.1, encadré 4). La présence des spiroplasmes au sein de vésicules pourrait être un obstacle à l'interaction de ceux-ci avec les protéines précédemment citées. La présence d'un « tip » traversant la membrane des vésicules a été observée (Ammar et al., 2004). Les protéines impliquées dans les mécanismes de mobilité intracellulaire, ou d'exocytose afin de rejoindre le canal salivaire, pourraient être présentes dans cette structure et pourraient ainsi interagir sans difficulté avec leurs partenaires. De plus, il n'est pas impossible que des spiroplasmes se retrouvent libres dans le cytoplasme bien que ceux-ci n’aient pas pu être visualisés au cours de différentes études en microscopie électronique. Cependant, une fois la membrane des vésicules lysée, les spiroplasmes libres pourraient interagir plus facilement avec les protéines cellulaires (figure C.1, encadré 4). 2.5. Libération dans le canal salivaire S. citri est libéré des cellules des glandes salivaires par exocytose. Deux hypothèses sont formulées en fonction de la présence de ce dernier au sein des vésicules précédemment citées. Si le spiroplasme est toujours localisé à l'intérieur des vésicules d'endocytose, une 105
  • 241.
    Discussion générale etperspectives fusion de la membrane de celle-ci avec la membrane du canal salivaire pourrait permettre à S. citri de se retrouver libre dans ce dernier. En revanche, si le spiroplasme est libre dans le cytoplasme, une nouvelle protéine, qui pourrait être la protéine 14-3-3, assurerait le passage de cette ultime membrane (figure C.1, encadré 5). Dans le canal salivaire, le spiroplasme sera injecté à une nouvelle plante au cours du prochain repas de l'insecte sur une plante. II. Perspectives Ce travail s'est principalement orientéé sur l'implication de la PGK au cours de la transmission du spiroplasme ainsi qu'à la caractérisation fonctionnelle de son interaction avec l'actine de la cicadelle, également impliquée dans ce processus. Mutant dépourvu de PGK Il aurait été intéressant d'étudier la transmission d'un mutant dépourvu de PGK. L’idéal aurait même été de disposer d’un mutant ne possédant pas le domaine de liaison à l’actine contenu dans la région en acides aminés 1 à 101 de la PGK. Par la suite, la complémentation de ces mutants aurait permis de restaurer la fonction de la PGK au cours du processus de transmission du spiroplasme et ainsi de confirmer le rôle de l’interaction PGK- actine. Un mutant dépourvu de PGK n’a pu être obtenu ce qui semble indiquer que cette protéine est essentielle à la survie de S. citri. Des efforts concernant la mise au point d'un vecteur dont le gène codant la protéine essentielle, dans notre cas la PGK, serait sous la dépendance d'un promoteur inductible, permettraient d'étudier le rôle de cette protéine dans le système de transmission maintenu au laboratoire. Localisation de la PGK chez S. citri L'obtention de l'anticorps dirigé contre la PGK va permettre d’étudier la localisation de cette dernière chez S. citri. En effet, il est indispensable de démontrer que cette protéine possède une localisation lui permettant d’interagir avec l’actine de l’insecte. Une étude en microscopie électronique apporterait des précisions sur la position occupée par celle-ci au 106
  • 243.
    Discussion générale etperspectives cours du processus d’invasion des cellules de l’hôte. De plus, l’utilisation des cellules Ciha-1 serait un avantage indéniable afin de visualiser des évènements nécessitant l’adhésion du spiroplasme avec la cellule eucaryote. Si la localisation de la PGK, permettant l’interaction avec l’actine, requiert la mise en place de signaux cellulaires mis en place au moment du contact du spiroplasme avec la cellule, les études en microscopie devront être effectuées dans un système utilisant des cellules Ciha-1 infectées. L’étude du « sécrétome » de S. citri pourrait permettre de révéler si la PGK est sécrétée par le spiroplasme dans le but de se lier avec l’actine. Une étude préliminaire du secrétome de S. citri a montré la présence de celle-ci dans la fraction de protéines potentiellement secrétées. Aux vues des résultats, ce « sécrétome » pourrait également être étudié dans le cadre de l’infection par le spiroplasme des cellules d’insectes en culture afin de déterminer si une éventuelle sécrétion de la PGK requiert des signaux de relocalisation ou de clivage mis en place au moment de l’adhésion de S. citri. L’utilisation de la cytochalasine D, une drogue qui dépolymérise les microfilaments, pourrait également nous permettre de confirmer l’implication de l’actine dans l’internalisation du spiroplasme. Des incubations, avec différentes concentrations de cette molécule, sur des cellules Ciha-1 infectées par S. citri devraient influer sur la capacité de ce dernier à envahir les cellules de l’insecte. Ces résultats supplémentaires permettraient de confirmer ou non les hypothèses formulées au cours de cette thèse sur la fonction de cette protéine associée à l'internalisation dans les cellules de l'hôte. Recherche de complexes protéines impliqués dans la transmission L'ensemble des étapes régissant la transmission de S. citri semble être caractérisés par l'implication de complexes multi-protéiques. Des efforts devraient être poursuivis dans cette voie. La confirmation, par d'autres techniques d'interactions protéine-protéine, des complexes identifiés par la technique de « cross-linking » serait nécessaire afin d'établir des bases solides concernant l'implication de ces derniers au cours de la transmission. La caractérisation fonctionnelle des protéines de chacun de ces complexes sera, par la suite, une étape indispensable à la compréhension du cycle de S. citri dans son vecteur. Ceci devra être réalisé aussi bien pour les protéines candidates définies comme la P32 et les ScARPs mais également pour l'ensemble des lipoprotéines hypothétiques identifiées au cours de cette thèse. 107
  • 245.
    Discussion générale etperspectives Ces études pourraient également être réalisées sur le mutant 9A3 depourvu de spiraline ce qui permettrait de s’affranchir des contaminations observées au chapitre 4 mais aussi d’étudier le devenir des complexes protéiques lorsque cette protéine majoritaire de S. citri est absente. La mise au point récente au laboratoire d'un vecteur navette permettant l'obtention de « double-mutants » sera un outil essentiel afin de vérifier l'implication des sous-unités identifiées au sein des complexes multi-protéiques. Des mutants, délétés dans plusieurs des gènes codant des protéines candidates dans la transmission, pourront de ce fait être étudiés. Identification des partenaires, coté S. citri, des autres protéines d’insecte identifiées par far Western L'étude en far Western, réalisée au cours de cette thèse a permis d'identifier plusieurs autres protéines d'insectes potentiellement impliquées dans une interaction avec le spiroplasme. Les partenaires de ces protéines, dont le rôle hypothétique a été énoncé précédemment, devront être recherchés. Leurs interactions avec S. citri devront être confirmées avant d'étudier leurs fonctions au cours de la transmission du spiroplasme. Ces étapes pourront être réalisées en suivant la méthodologie utilisée pour l'identification de la PGK comme partenaire de l'actine de C. haematoceps. Séquence du génome de la souche 44 non transmissible A notre connaissance, seules les protéines ScARPs et la protéine P32 sont absentes de la souche non transmissible 44. Toutes les protéines mises en évidence dans la souche GII3 candidates pour jouer un rôle dans la transmission réduisent celle-ci sans jamais l’anéantir. Ces protéines n’interviennent pas seules mais en complexe avec d’autres. La connaissance de la séquence du génome de la souche non transmissible permettrait de faire de la génomique comparée avec la souche transmissible GII3.La présence ou l’absence de certaines protéines chez l’une ou l’autre souche permettraient de dresser un tableau plus complet des protéines impliquées dans la transmission et de relier celles-ci entre elles. 108
  • 247.
  • 248.
    Base autoclavée (30min/115°C) Mycoplasma Broth Base 1g Peptone 1,6 g Tryptone 3g Rouge de phénol 0,5 % 1,2 ml pH (ajusté avec NaOH) 7,8 qsp H2O 205 ml Agar Noble (milieu solide) 3g Additifs stériles (filtrés sur 0,45 µm) Sérum de veau foetal (décomplémenté 1 h à 50 ml 56°C) CMRL 1066 (acides aminés et vitamines) 15 ml Yeastolate 4 % (p/v) 25,5 ml Glucose 50 % 3 ml Pénicilline G à 200 000 unités/ml 1,5 ml Pression osmotique ~350 mOsm Figure M.1: Composition du milieu SP4.
  • 249.
    Matériels et méthodes Matériel et méthodes I. Matériel biologique 1. Spiroplasma citri : souches et conditions de culture La souche de S. citri GII3 a été isolée à partir de cicadelles Circulifer haematoceps capturées au Maroc (Vignault et al., 1980). Elle est la souche de référence au laboratoire d’une part pour ses caractéristiques morphologiques (spiroplasmes hélicoïdaux et doués de motilité) et d’autre part, elle est transmissible par l’insecte vecteur Circulifer haematoceps. De plus, cette souche est pathogène pour la plante expérimentale utilisée au laboratoire, la pervenche de Madagascar (Catharanthus roseus). Les spiroplasmes sont cultivés dans le milieu SP4m liquide (Tableau M.1) à 32 °C sans agitation. Les spiroplasmes transformés par le plasmide pGOT ont été sélectionnés en présence de gentamycine (100 µg/ml) puis de tétracycline (5 µg/ml). La croissance de S. citri en culture est suivie par le changement de couleur de l’indicateur coloré, le rouge de phénol, présent dans le milieu de culture et induit par la production d’acide lactique au cours de la croissance du spiroplasme. Cependant chaque culture est observée au microscope à fond noir et il est communément accepté que le titre d’une culture de S. citri GII3 en fin de phase stationnaire atteint 108 à 109 bactéries/ml. Cette culture est alors repiquée au 1/10ème dans du milieu SP4 frais ce qui correspond à un passage, noté 1P. Les spiroplasmes cultivés pendant de nombreux passages en milieu acellulaire semblent perdre leur capacité à être transmis par l’insecte vecteur, des cultures stocks ayant subi un faible nombre de passage (entre 5 P et 10P) ont été réalisées. Le repiquage de colonies de S. citri en milieu SP4 liquide est réalisé par prélèvement de la carotte de gélose où se trouve la colonie sous une loupe binoculaire à l’aide d’une pipette Pasteur stérile. Cette carotte sert alors à ensemencer 1ml de milieu SP4 comprenant ou non un antibiotique de sélection. 2. Escherichia coli : souches et utilisation Plusieurs souches d’E. coli ont été utilisées en fonction de leurs caractéristiques et de besoins des différentes expériences. 109
  • 250.
    Composants LB SOC Tryptone 10 g 2g Yeast extract 5g 0, 5 g NaCl 10 g 0,06 g KCl 1M 0, 25 ml Glucose 2M 1 ml 2+ Mg stock (1M MgCl2.6H2O, 1M 1 ml . MgSO4 7H2O) H2O qsp 1 L qsp 100 ml pH 7 7 Agar 15 g (milieu solide) Figure M.2: Composition des milieux de culture d’E. coli. Milieu cicadelle Milieu de Schneider (Invitrogen) 200 ml Tampon Histidine pH 6,2 (0,057 M histidine monohydrate (Sigma) 2,5 ml Sérum de veau foetal (décomplémenté 1 h à 56°C) 25 ml Milieu G-5 (Invitrogen) 1,2 ml Fungizone 1,25 µg/ml Penicilline G / Streptomycine 50 µg/ml Figure M.3: Milieu de culture de la lignée cellulaire Ciha-1.
  • 251.
    Matériels et méthodes La souche DH10B [F- mcrA ∆(mrr-hsdRMS-mcrBC)Φ80lacZ∆M15 ∆lacX74 recA1 endA1 araD139 ∆(ara, leu)7697 galU galK λ- rpsL nupG] est couramment utilisée pour la propagation de plasmides. Elle présente les avantages de posséder une grande efficacité de transformation et la capacité à maintenir de façon stable des plasmides de grande taille. La souche BL21 Star™ (DE3) a servi lors de la production des protéines et des peptides recombinants. Elle permet d’améliorer le rendement de production dans un système d’expression utilisant le promoteur T7 comme cela est le cas pour le vecteur d’expression pET28a(+) (Novagen). En effet, elle porte une mutation dans le gène codant pour la RNaseE (rne 131) qui est la principale source dégradation des ARNm. Ces deux souches, après transformation, ont été cultivées en milieu LB (Tableau M.2) solide à 37°C en présence d’ampicilline (100 µg/ml) ou de kanamycine (30 à 50 µg/ml). En milieu liquide, la culture s’effectue à 37 °C sous agitation (180-200 rpm/min). 3. L’insecte vecteur : la cicadelle Circulifer haematoceps 3.1. Origine et conditions d’élevage Les cicadelles adultes Circulifer haematoceps ont été prélevées sur Matthiola sinuata en Corse. De retour au laboratoire, ces cicadelles ont été confinées quelques jours sur giroflées (Matthiola incana). Dès la première ponte, les adultes ont été éliminés afin de s’assurer que la population ne soit pas infectée par le spiroplasme. Aucune transmission transovarienne n’ayant été démontrée chez S. citri à ce jour, les larves de ces insectes ne présentent donc aucun risque d’être infectées par le spiroplasme. Les cicadelles saines sont élevées dans des cages de plexiglas ventilées contenant trois giroflées et celles-ci sont renouvelées une par une toutes les 2 semaines. La photopériode est de 16 heures à 30 °C ± 2 °C et 8 heures à 26 °C ± 2 °C. Les cages d’élevages sont regroupées dans une pièce climatisée, isolées de l’extérieur par des filets pare-insectes et séparées des serres de production de plantes par un sas de sécurité. Toutes les salles disposent d’un piège jaune englué qui capte les insectes pouvant s’échapper lors de leur manipulation ou de l’entretien des cages. 3.2. Capture et dissection des cicadelles Les cicadelles sont capturées à l’aide d’un aspirateur à bouche muni d’un tube collecteur. Elles sont anesthésiées sous gaz carbonique. Pour le prélèvement des glandes 110
  • 253.
    Matériels et méthodes salivaires,les insectes sont tout d’abord décapités. Les glandes salivaires sont ensuite disséquées dans une goutte de PBS (2 mM KH2PO4, 8 mM Na2HPO4, 0.14 M NaCl, 2 mM KCl pH 7.4) contenant 1mM de phenylmethanesulfonylfluoride (PMSF). Les glandes salivaires sont ensuite conservées à -20 °C jusqu’à utilisation. 3.3. Obtention d’une lignée cellulaire La lignée cellulaire de Circulifer haematoceps a été initiée à partir d’œufs embryonnés de 8 à 10 jours. Les œufs, ayant atteint le stade « œil rouge », c'est-à-dire les oeufs pour lesquels les yeux ont migré jusqu’au 2/3 de l’embryon, sont prélevés dans les nervures des plantes à l’aide d’une fine aiguille. Une centaine d’embryons ont été récupérés et ont subi un cycle de stérilisation incluant des incubations successives : 3 minutes dans une solution à 20% eau de Javel, 2 rinçages avec de l’eau stérile, 3 minutes dans un solution à 70% d’éthanol suivi de trois nouveaux rinçages à l’eau stérile. Les œufs ont été broyés dans 100 µl de milieu de culture de cicadelle (Tableau M.3) puis centrifugés 3 minutes 1000 g. Le culot est alors resuspendu dans 400 µl de tampon de dissociation cellulaire (Invitrogen) et incubé à 28 °C pendant 10 minutes. Le volume final est ajusté à 500 µl avec du milieu de culture frais et l’ensemble est transféré dans une flasque de culture, par la suite incubée 1 h à 28 °C. A la fin de cette incubation, 2,5 ml de milieu de culture frais sont de nouveau ajoutés. Le milieu de culture est remplacé le jour d’après par du milieu frais puis le milieu est remplacé au 2/3 tous les 7 jours jusqu’à ce que la première colonie pousse. Lorsque la surface d’une colonie a atteint environ 4 mm2 (4 mois plus tard), les cellules ont été trypsinées (TrypLE, Invitrogen), placées dans un puit de 24 mm de diamètre dans lequel le milieu est remplacé par 2/3 de milieu de culture frais deux fois par semaine pendant trois mois. Après cette période, le milieu n’est changé qu’une fois tous les sept jours. Cette nouvelle lignée cellulaire, cultivée à 32 °C, a été nommée Ciha-1 (Circulifer haematoceps-1). II. Plasmides 1. Commerciaux 1.1. pBS Le plasmide pBS+ est un phagemide de 3,2 kpb utilisé comme vecteur de clonage de fragments d’ADN dans E. coli. Ce plasmide possède l’origine de réplication colE1 qui lui 111
  • 254.
    Figure M.4: Vecteurd’expression pET28a(+) (Novagen) .
  • 255.
    Matériels et méthodes permetde se répliquer dans E. coli, un gène de résistance à l’ampicilline et un site multiple de clonage situé dans le gène LacZ. 1.2. pET28a(+) Le plasmide pET28a(+) est un vecteur d’expression commercialisé par la société Novagen (figure M.4). Il permet le clonage et l’expression de protéines recombinantes dans E. coli. Il possède l’origine de réplication du pBR322, deux gènes de résistance à l’ampicilline et à la kanamycine. Les gènes cibles sont placés sous la dépendance du promoteur fort, inductible par l’IPTG, du bactériophage T7. Ce plasmide porte également deux séquences composées de six résidus histidines présentes de part et d’autre du multi-site de clonage permettant l’étiquetage des protéines aussi bien en N-terminal qu’en C-terminal. De plus, un site de coupure à la thrombine permet le clivage de l’étiquette 6xHis placée en N-terminal uniquement. 2. Obtenus au laboratoire 2.1. pGOT1 Le vecteur pGOT1 est un vecteur navette E. coli/S. citri qui a été construit dans le but de faciliter la sélection des recombinants lors d’expériences visant à interrompre un gène de façon ciblée. Ce plasmide possède la région PstI de 2303 pb du pSRG, contenant la cassette aacA-aphD de résistance à la gentamycine, insérée dans le plasmide pC55 possédant l’oriC de S. citri. Cette origine de réplication servait, lors de la mise au point de ce type de vecteur, de région d’intégration permettant l’intégration de gènes dans le chromosome de S. citri. Dans le plasmide pGOT, cette origine de réplication, d’une taille initiale de 349 pb, a été réduite afin de ne pas favoriser l’intégration du plasmide dans cette région au profit d’une recombinaison au niveau du gène cible Il porte deux gènes de sélection, l’un conférant la résistance à la gentamycine exprimée de manière constitutive, l’autre conférant une résistance à la tétracycline qui ne pourra être exprimée que lorsque l’évènement de recombinaison aura eu lieu. De plus, deux copies du terminateur de transcription du gène de la fibrille empêchent la transcription accidentelle de ce gène à partir du promoteur lacZ. 112
  • 257.
    Matériels et méthodes III.Méthodes d’analyse d’ADN 1. Purification de l’ADN génomique de S. citri L’ADN génomique de S. citri est extrait à partir de 10 ml de culture en fin de phase stationnaire de croissance (environ 108-109 UFC/ml). L’extraction est réalisée avec le kit Wizard® Genomic DNA Purification (Promega®) selon les recommandations du fournisseur. Le principe de l’extraction repose sur les étapes classiques d’extraction d’ADN. Après centrifugation 15 minutes à 14 000 g, les spiroplasmes collectés sont remis en suspension dans du tampon de lyse. Après incubation à 65 °C pendant 15 minutes, le lysat est traité à la ribonucléase pendant 30 minutes à 37 °C. Les protéines précipitées sont éliminées par centrifugation, puis l’ADN est précipité à l’isopropanol. Le culot d’ADN est lavé à l’éthanol 70 % et repris dans 80 µl de TE (Tris-HCl 10 mM, pH 8,3 ; EDTA 1 mM). Le rendement moyen est d’environ 4 µg d’ADN génomique par millilitre de culture. 2. Purification de l’ADN plasmidique L’ADN plasmidique a été extrait avec le kit Wizard® Plus SV Minipreps DNA Purification System (Promega®). La méthode d’extraction est basée sur le principe de la lyse alcaline (Birnboim & Doly, 1979). L’extraction est réalisée sur 2 ml de culture pour E. coli et sur 10 ml pour S. citri. Les bactéries sont collectées par centrifugation et lysées en milieu alcalin puis les protéines et l'ADN chromosomique sont éliminés par précipitation. L’ADN plasmidique est spécifiquement adsorbé sur une matrice composée de silice de haute capacité, puis élué dans 50 µl d’eau distillée. 3. Purification de fragments d’ADN à partir de gel d’agarose Les fragments d’ADN sont séparés par électrophorèse sur gel d’agarose à 0,8 % en tampon TBE et colorés au bromure d’éthidium. Les bandes d’intérêt sont repérées et excisées, puis l’ADN est purifié avec le kit "Wizard SV® Gel and PCR clean up system" (Promega®) selon le protocole recommandé par le fournisseur. 113
  • 258.
    Tampon de charge(6X) Tampon TBE EDTA pH= 8 60 mM Tris 8,9 mM SDS (p/v) 0,60% Borate 8,9 mM Glycérol (v/v) 30% EDTA 0,2 mM Bleu de bromophénol (p/v) 0,25% pH 8,4 Xylène cyanol (p/v) 0,25% H2 O qsp 1 L H2O qsp 50 ml Figure M.5: Composition des tampons pour la migration des fragments d’ADN sur gel d’agarose . Mix 1X Mix 1X Taq DNA Pfx DNA polymerase polymerase dNTP (5 mM) 2 µl 3 µl Tampon 10 X 4 µl 5 µl MgCl2 (50 mM) 2 µl 3 µl Amorce 1 (100 µM) 0,5 µl 0,5 µl Amorce 2 (100 µM) 0,5 µl 0,5 µl H2O 30,7 µl 37,5 µl Taq DNA polymérase 2,5 unités 0,5 µl Figure M.6: Composition des mélanges réactionnels pour la PCR .
  • 259.
    Matériels et méthodes 4. Hydrolyse par les endonucléases de restriction Les enzymes de restriction ont la propriété d’hydrolyser l’ADN au niveau de sites de reconnaissance spécifiques. Une unité d’enzyme de restriction est capable d’hydrolyser 1 µg d’ADN plasmidique et 0,1 µg d’ADN génomique. Chaque échantillon est mis en présence de l’enzyme de restriction, du tampon d’activité de l’enzyme dans un volume final de 30 µl. La composition du tampon d’activité et la température d’incubation dépendent de l’enzyme et sont précisées par le fournisseur (Promega, Fermentas, New England Biolabs). Le temps de digestion varie de une heure (ADN plasmidique) à quatre heures (ADN génomique). 5. Analyse des fragments d’ADN sur gel d’agarose Les fragments d’ADN sont séparés par électrophorèse en gel d’agarose (0,8 à 2 % d’agarose (p/v) selon la taille des fragments à analyser) dans du tampon TBE (Tableau M.5) en présence de bromure d’éthidium (0.2 µg/ml). Les échantillons (1 à 2 µg d’ADN génomique ou 0,1 µg d’ADN plasmidique) sont déposés sur gel en présence de 10 % (v/v) de tampon de charge (Tableau M.5). L’électrophorèse est conduite dans du tampon TBE à un voltage constant. La taille des fragments d’ADN est estimée par comparaison avec la migration des standards de tailles connues (marqueur "1 kb Plus DNA Ladder®") (Invitrogen). 6. Amplification d’ADN par PCR La technique de PCR (Polymerase Chain Reaction) utilisée est celle décrite par Saiki (Saiki et al., 1989). Elle est basée sur la répétition d’un cycle comprenant trois étapes : la dénaturation de l’ADN séparant les deux brins qui serviront de matrices, l’hybridation d’une amorce spécifique sur chaque brin matrice et la synthèse, à partir des amorces, d’un brin d’ADN par une ADN polymérase thermorésistante de Thermophilus aquaticus (Taq ADN Polymerase®, Promega). La composition de l’essai pour un volume réactionnel de 40 µl est détaillée dans le Tableau M.6. L’ADN polymérase Platinium® Pfx (Invitrogen) est une ADN polymérase haute fidélité qui a été utilisée lors des étapes de mutagénèse dirigée réalisées sur le gène pgk. Le choix des amorces et, plus précisément, leur température de fusion (ou Tm) est un critère très important. Le Tm est défini par la température à laquelle 50 % des molécules 114
  • 260.
    Am orces Séquences (5’-3’) PCR Utilisation PGK F GTGAGAATTCGGATTTCATATGACAAAC PGKR W1 CTTGCCCAATATTTCCCTAAAG PGKF W1 CTTTAGGGAAATATTGGGCAAG PGK R AATACAAGCTTTTATTTACTTTGAACAGC PGK F GTGAGAATTCGGATTTCATATGACAAAC Mutagénèse dirigée PGKR W2 CATTGGCCCATTCCAAGTAAC du gène pgk PGKF W2 GTTACTTGGAATGGGCCAATG PGK R AATACAAGCTTTTATTTACTTTGAACAGC 95°C, 5 m in PGK F GTGAGAATTCGGATTTCATATGACAAAC 95°C, 45 s PGK R AATACAAGCTTTTATTTACTTTGAACAGC 58°C, 45 s PGKpep F TGAGAAGGATTTGAATTCCATATGACAAAC 68°C, 1 m in Production PGK FL1 PGKpep1-R CCAATAAGCTTTTATGTTTTCCTTCAAAGG 68°C, 5 m in PGKpep F TGAGAAGGATTTGAATTCCATATGACAAAC 25 cycles Production PGK FL2 PGKpep2-R CATTGTGATAAGCTTTTAAACATTTTTACTTC PGKpep F TGAGAAGGATTTGAATTCCATATGACAAAC Production PGK FL3 PGKpep3-R CAAAACCTAAGCTTTTAGTTGTAACTTTTG PGKpep4-F GTAAAAATGAATTCCATATGGATTCTGCTTTAGG Production PGK FL4 PGK R TTATGAAGCTTTTATTTACTTTGAACAGC PGKpep5-F TTGATAGAATTCCATATGGCACAAGAAGCAAAAG Production PGK FL5 PGKpep5-R AATATTTCCCTAAAAGCTTTTAAGCAGAATC Figure M.7: Liste des amorces utilisées au cours de cette thèse.
  • 261.
    Matériels et méthodes bicaténairessont dénaturées. Il dépend de la longueur de l’amorce, du pourcentage en G+C, de la complémentarité de l’amorce avec sa matrice et de la composition du milieu réactionnel (concentration en sels et/ou en agents dénaturants). Le Tm des amorces est estimé selon la formule simplifiée de Wallace : Tm = 4 x nombre de bases (G + C) + 2 x nombre de bases (A + T), sachant que les bases comptabilisées sont celles qui hybrident effectivement avec le brin matrice (les mismatches ne sont pas pris en compte). Chez S. citri, le pourcentage du génome en G+C est faible. Ainsi, pour éviter des hybridations aspécifiques, il est préférable de choisir des amorces dans les régions relativement riches en G+C, en particulier pour l’extrémité 3’ de l’amorce. Dans certains cas, des sites de restriction, compatibles avec le site de linéarisation du vecteur, ont été introduits dans les amorces pour faciliter le clonage des fragments d’ADN amplifiés. Pour permettre une digestion efficace, les sites de restriction ont été introduits, au minimum, à 4 bases de l’extrémité 5’ de l’amorce. L’ensemble des amorces, ainsi que les cycles de température, utilisées dans cette étude sont présentés dans le Tableau M.7. 7. Mutagénèse dirigée S. citri possède un code génétique différent du code génétique universel. Le codon UGA, qui est un des trois codons de terminaison dans le code universel, code pour le tryptophane chez S. citri (Citti et al., 1992). Pour exprimer la PGK chez E. coli, il faut donc muter les deux codons TGA, contenus dans la séquence du gène pgk, en TGG. La méthode utilisée repose sur des amplifications PCR successives faisant intervenir des couples d’amorces portant le nucléotide muté à insérer (Hames et al., 2005). 8. Clonage de fragment d’ADN amplifié par PCR 8.1. Préparation du fragment PCR Les fragments d’ADN à cloner sont issus soit de l’hydrolyse enzymatique des produits PCR, soit de l’hydrolyse enzymatique de plasmides recombinants préalablement obtenus. Ils sont alors purifiés avec le kit Wizard SV® Gel and PCR clean up system (Promega). Cette étape permet d’éliminer les enzymes, les dNTP, et les amorces encore présents dans le mélange. 115
  • 262.
    Amorces Séquences (5’-3’) PCR Utilisation Pmut-Bam GAAAAAAGGATCCGAATTAAAAGATGTTC 94°C, 30 s Fragment pgk d'insertion dans PGKR BglII TTCGTAGATCTTGTTATAATAGCTTCTTCC 60°C, 30 s plasmide pGOT PGK F GTGAGAATTCGGATTTCATATGACAAAC 72°C, 1 min Vérification intégration PGOT PGKR W2 CATTGGCCCATTCCAAGTAAC 30 cycles dans gène pgk Ori3 AGTTCGGTGGCAAAGACC 94°C, 30 s Vérification intégration PGOT Ori4 AGTAATGTTTAAATCATTGCC 54°C, 30 s au niveau de l'oriC SR24 GCAAGTCAAGCGGGAC 72°C, 30 s Vérification intégration PGOT SC1' AAAATCACTTGCTCCTGCATTTGG 40 cycles au niveau promoteur spiraline 94°C, 30 s EV13 ATAATGTGCTATCTTCCTTC 60°C, 30 s 72°C, 1 min Tet1R TTGTACGCCATCTTTTGCAG 30 cycles PMut-Bam GAAAAAAGGATCCGAATTAAAAGATGTTC Recherche intégration Tet1R TTGTACGCCATCTTTTGCAG 94°C, 30 s pGOTpgk LG1 GATCGCACATTATTTTCC 60°C, 30 s PGK6 TAAAACTTTTTTTCGGATCC 72°C, 30 s PGK3 AGAAGCTATTAACGAAATGCAC 30 cycles Tet1R TTGTACGCCATCTTTTGCAG 95°C, 30 s 57°C, 30 s 62°C, 3 min AP1 GTAATACGACTCACTATAGGGC 7 cycles 94°C, 30 s 52°C, 30 s Tet1R TTGTACGCCATCTTTTGCAG 62°C, 3 min Marche sur le chromosome 62°C, 7 min 32 cycles 94°C, 30 s AP2 ACTATAGGCACGCGTGGT 60°C, 30 s 72°C, 3 min Tet7 CCTAATTCTGTAATCGCTCCAC 72°C, 7 min 40 cycles Figure M.7 (suite): Liste des amorces utilisées au cours de cette thèse.
  • 263.
    Matériels et méthodes 8.2. Préparation du vecteur Les vecteurs plasmidiques sont linéarisés par hydrolyse avec la/les enzymes de restriction appropriées. Lorsque cela est nécessaire (lorsque le vecteur n’est hydrolysé que par une seule enzyme de restriction), les extrémités 5’ sont déphosphorylées par la phosphatase alcaline (Calf Intestinal Alkalin Phosphatase®, Promega) pour empêcher la recircularisation du plasmide au cours de la ligation. Les vecteurs, déphosphorylés ou non, sont ensuite déprotéinisés par purification sur colonne par le kit Wizard SV® Gel and PCR clean up system (Promega) et repris dans 50 µl d’eau stérile. 8.3. Ligation du fragment PCR et de son vecteur L’ADN ligase du bactériophage T4 catalyse la formation d’une liaison phosphodiester entre les extrémités 3’-OH du vecteur déphosphorylé et les extrémités 5’-P du fragment d’ADN à cloner. Le vecteur est mis en présence du fragment à cloner suivant un ratio 1:3 et d’une unité de ligase dans le tampon d’activité de l’enzyme préconisé par le fournisseur (Promega) dans un volume final de 10 µl. La ligation est réalisée par incubation à température ambiante pendant 4 heures ou toute la nuit à 4°C. 9. Transformation des bactéries 9.1. E. coli 9.1.1. Electrocompétentes A partir d’une préculture de 5 ml de E. coli DH10B, 500 ml de milieu LB sont ensemencés et cultivés sous agitation et à 37 °C. Lorsque l’absorbance à 550 nm de la culture atteint 0,7, les cellules sont centrifugées à 4 °C, pendant 10 minutes à 6 000 g. Le culot bactérien est remis en suspension dans 500 ml d’eau stérile glacée et les cellules sont centrifugées à nouveau à 4 °C pendant 10 minutes à 6 000 g. Les cellules sont ensuite lavées dans 250 ml d’eau stérile glacée avant d’être centrifugées à 4 °C pendant 10 minutes à 6 000 g. Le culot de cellules est finalement remis en suspension dans 10 ml de glycérol (10 % v/v) glacé et stérile. Les cellules sont ensuite aliquotées par fractions de 40 µl qui sont immédiatement congelées dans un bain d’éthanol refroidi par de la carboglace puis conservées à - 80 °C. 116
  • 265.
    Matériels et méthodes La transformation est réalisée avec un électroporateur Gene Pulser® (BIO-RAD®). Les bactéries électrocompétentes (40 µl) sont décongelées dans la glace et mélangées à 60µl d’eau stérile et 2 µl de mélange de ligation. Après cinq minutes dans la glace, le mélange est transféré dans une cuve à électroporation dont les électrodes sont distantes de 0,2 cm. L’électroporateur est réglé sur une tension de 12,5 kV/cm, une capacitance de 25 µF, et une résistance de 200 . Dans ces conditions, la durée du choc électrique est d’environ 6 ms. Immédiatement après l’impulsion électrique, les bactéries sont transférées dans 1 ml de milieu SOC (Tableau M.2) et incubées à 37 °C pendant 30 minutes. Deux cent microlitres du mélange sont étalés sur milieu solide en présence du marqueur de sélection adéquat et incubés à 37 °C. Lorsque cela est nécessaire, 40 µl d’une solution d’IPTG à 100 mM (Isopropyl-β- thiogalactopyranoside) et 40 µl d’une solution à 2% de X-Gal (5-bromo-4-chloro-3-indolyl-β- D-galactopyranoside) ont été préalablement étalés sur les boites de Pétri. Après une nuit d’incubation à 37 °C, les cellules transformées sont sélectionnées par leur résistance à l’antibiotique. En fonction des vecteurs utilisés, les bactéries contenant un plasmide recombinant sont éventuellement sélectionnées par leur capacité à produire la β-galactosidase par α-complémentation. 9.1.2. Chimiocompétentes La transformation au chlorure de calcium (CaCl2) (Mandel & Higa, 1970) a été utilisée lors de la transformation de la souche d’E. coli BL21 Star™ (DE3) par le vecteur d’expression pET28a(+) contenant soit la séquence du gène pgk, soit celles des différents peptides de la PGK. Pour chaque transformation, trois ml de culture ont été ensemencés et incubés à 37 °C sous agitation. Lorsque l’absorbance à 550 nm de la culture atteint 0,7, les cellules sont incubées 30 minutes dans la glace puis centrifugées à 4 °C, pendant 10 minutes à 5 000 g. Le culot bactérien est remis en suspension dans 2 ml d’une solution à 54 mM de CaCl2 stérile glacée. Après une incubation de 15 minutes dans la glace, les cellules sont centrifugées à nouveau à 4 °C pendant 10 minutes à 5 000 g. Le culot de cellules est remis en suspension dans 200 µl de CaCl2 glacé et stérile. Pour augmenter l’efficacité de transformation, les cellules sont ensuite conservées entre 4 et 12 heures à 4 °C. Les bactéries chimiocompétentes sont mélangées à 1-2 µg de plasmide (pET28a(+) contenant les différents fragments ADN). Après 30 minutes dans la glace, le mélange est incubé 60 secondes à 42 °C dans un bain-marie. Puis 1 ml de LB est ajouté sur le mélange qui est incubé 1 heure à 37 °C 117
  • 266.
    Digestion Fragments à enzymatique bouts francs Ligation adaptateur Fragment génomique Séquence connue TetM couplé aux adaptateurs AP1 Amplification PCR Amorces spécifiques du TetM et de l’adaptateur Tet1R AP2 Tet7 Produit final contenant une PCR nichée partie du TetM mais aussi la partie génomique adjacente à identifier Séquençage Figure M.8: Approche par marche sur le chromosome pour l’identification des gènes mutés par recombinaison illégitime.
  • 267.
    Matériels et méthodes sansagitation. 250 µl sont incubés sur milieu solide en présence de kanamycine (30 µg/ml) à 37 °C. 9.2. S. citri Les spiroplasmes sont transformés par électroporation selon la méthode décrite par McCammon (McCammon et al., 1990) et modifiée par Stamburski (Stamburski et al., 1990). Trois millilitres d’une culture de S. citri sont centrifugés à 20 000 g pendant 15 minutes à 18 °C. Le culot de cellules est remis en suspension dans 2 ml de tampon Hepes-Saccharose (HS ; 8 mM Hepes, 280 mM Saccharose [pH 7,4]). Après une deuxième centrifugation dans les mêmes conditions, le culot est finalement remis en suspension dans 400 µL de tampon HS. Pour la transformation, 1 à 2 µg d’ADN plasmidique sont mélangés à 400 µl de cellules dans une cuvette d’électroporation (distance inter-électrodes de 0,4 cm) et celle-ci est maintenue dans la glace pendant 10 minutes. Un témoin sans ADN est systématiquement réalisé afin de suivre l’apparition éventuelle de résistants spontanés. Les transformations sont effectuées avec un électroporateur Gene Pulser® (BIO-RAD) réglé sur une tension de 6,25 kV/cm, une capacité de 3 µF et une résistance de 1 000 Ω. Dans ces conditions, la durée du choc électrique est d’environ 1 à 3 ms. Après 3 heures d’expression phénotypique à 32 °C dans 1 ml de milieu SP4, des dilutions 100, 10-1 et 10-2 du mélange de transformation sont étalées sur milieu SP4 solide contenant de la gentamicine (100 µg/ml). Après 2 à 3 semaines d’incubation à 32 °C, les colonies sont ensemencées en milieu liquide contenant l’antibiotique adéquat. Ce premier ensemencement correspond au premier passage. 10. Marche sur le chromosome La technique de marche sur le chromosome a été réalisée en utilisant le kit GenomeWalker™ DNA walking (BD Biosciences) dont le principe est schématisé sur la figure M.8. 2 µg d’ADN chromosomique de chacun des mutants de S. citri considéré ont été digérés par une des deux endonucléases SmaI ou HincII pendant 4 h à 37°C. Le choix des amorces tient compte de deux paramètres importants qui sont, dans un premier temps, que les enzymes doivent digérer l’ADN donnant des bouts francs afin de permettre l’ajout par ligation d’adaptateurs indispensables aux amplifications ultérieures. Dans un second temps, les enzymes ne doivent pas coupées avec une fréquence élevée afin de ne pas digérer l’ADN dans la région d’intérêt. 118
  • 269.
    Matériels et méthodes L’ADN ainsi digéré a été ensuite purifié puis ligué avec les adaptateurs fournis avec le kit. La ligation s’est effectuée toute la nuit à 16°C selon les instructions du fournisseur. Le mélange est ensuite incubé 5 min à 70°C afin de dégrader la ligase présente dans le mélange réactionnel. 60 µl de TE (10 mM Tris, 1 mM EDTA, pH 7,5) sont ajoutés au mélange. Dans notre cas, les régions codantes à identifier ayant inséré le fragment interne pgk, lui-même fusionné au gène tetM, ce dernier devient de ce fait le gène idéal pour servir de base aux amplifications suivantes. En effet, afin de pouvoir séquencer et identifier le gène disrupté, une PCR nichée est nécessaire afin d’amplifier la région comprise entre les adaptateurs et ce gène TetM. Le design des amorces pour cette PCR nécessite obligatoirement la présence d’un gène de séquence connue à proximité de ce dernier, ce qui est le cas du gène TetM. La première amplification par PCR se déroule avec l’aide des oligonucléotides AP1 et Tet1R selon les conditions détaillées à la figure M.7. Un µl de cette première PCR a ensuite servi de matrice pour la PCR nichée suivante qui utilise les oligonucléotides AP2 et Tet7. Les conditions utilisées au cours de cette seconde amplification (figure M.7) ont permis d’obtenir des fragments de tailles variables (figure 4.7B) qui ont par la suite été envoyés à séquencer. IV. Méthodes d’analyse des protéines 1. Extraction des protéines 1.1. Préparation des protéines de S. citri 1.1.1. Protéines pour l’électrophorèse mono-dimensionnelle Cent ml de S. citri (108-109 spiroplasmes/ml) sont centrifugés à 12 000 g à 4 °C pendant 20 minutes puis le culot est lavé trois fois dans 50 ml de tampon Hepes-Saccharose. Les cellules sont remises en suspension dans 600 µl de PBS en présence de 1mM de phenylmethanesulfonylfluoride (PMSF). La suspension de spiroplasmes est ensuite lysée par sonication (sonicateur Vibracell, Sonics and Materials, Inc., Danbury, CT, 40% pulses/s, 50 W, 4 °C) en suivant 3 cycles alternant 1 minute de sonication et 1 minute d’incubation dans la glace. Le dosage de protéines est réalisé avec le kit Bio-Rad Protein Assay (§ IV.4.1). Le rendement moyen est de 2,4 mg de protéines pour 100 ml de culture de S. citri. 119
  • 270.
    Tampon de réhydratationTCT Urée 7M Triton X-100 (v/v) 2% Chaps (p/v) 4% Thiourée 2M DTT 10 mM Ampholytes (v/v) 2% Figure M.9: Composition du tampon de réhydratation pour l’électrophorèse 2-D.
  • 271.
    Matériels et méthodes 1.1.2. Protéines pour l’électrophorèse bi-dimensionnelle Les spiroplasmes, pris à partir de 1 L de culture en phase exponentielle de croissance, sont centrifugés puis lavés comme précédemment (§ IV.1.1.1). Le culot est ensuite remis en suspension dans 600 µl de tampon de réhydratation préparé extemporanément (tableau M.9). Le dosage est réalisé selon la méthode de Bradford modifié (§ 4.2). 1.1.3. Fractionnement des protéines membranaires Une culture de spiroplasme est tout d’abord centrifugée dans les mêmes conditions que celles utilisées pour la préparation des protéines totales de S. citri. Le culot est ensuite remis en suspension dans 30 ml de tampon de conservation (50 mM TrisHCl ; 500 µM PMSF, pH 7). Les cellules sont lysées par sonication et la suspension est centrifugée à 500 g pendant 2 minutes à 4 °C afin d’éliminer un éventuel dépôt de titane dû à la sonication par ultrasons. Le surnageant est récupéré et les membranes sont récoltées par centrifugation à 20 000 g pendant 1 h à 4°C. Les membranes sont ensuite lavées 4 fois dans un tampon de lavage des membranes (50 mM TrisHCl pH 7,5). Le culot final est repris dans un tampon adéquat pour la suite de l’expérience. De manière générale, ce tampon peut être du phosphate de sodium 0,1 M (80 mM Na2HPO4 ; 20 mM NaH2PO4, pH 7,4) mais il peut aussi être remplacé par un tampon spécifique lors des expériences de BN-PAGE (§ IV.10.1.1) ou bien de pontage par des agents pontants (§ IV.10.2.1). Les protéines membranaires sont reprises dans un volume minimal de tampon puis sont dosées avec le kit Bio-Rad Protein Assay (§ IV.4.1). 1.2. Préparation des protéines de C. haematoceps 1.2.1. Totales Cent insectes sont capturés puis broyés dans un potter avec 1 ml de PBS contenant 1 mM de PMSF. Le lysat est ensuite centrifugé à 10 000 g à 4 °C pendant 1 minute afin d’éliminer les débris (des ailes et des pattes notamment). Les protéines ne sont pas purifiées davantage afin d’éviter la perte de protéines d’intérêt. Les protéines sont dosées avec le kit Bio-Rad Protein Assay (§ IV.4.1) et le rendement moyen obtenu est de 3,6 mg de protéines totales pour 100 insectes broyés. 120
  • 272.
    5’ 3’ PGK Mutagénèse dirigée 3’ 5’ des deux codons tryptophanes TGA NdeI G EcoRI G 5’ 3’ TGA TGA Clonage ACT PGK ACT 3’ 5’ EcoRI/HindIII HindIII C C PGK mutée ApR pBluescript KS (+) (2958pb) ori lacI Séquençage du gène pgk muté Clonage NdeI/HindIII PGK mutée His pET28a(+) KanR (5369pb) ori lacI Figure M.10: Mutagénèse dirigée suivie du clonage dans le vecteur d’expression pET28a(+) du gène pgk de S. citri.
  • 273.
    Matériels et méthodes 1.2.2. Glandes salivaires Les glandes salivaires, extraites et conservées dans le PBS à -20°C, sont décongelées lentement dans la glace. Elles sont broyées, purifiées et dosées dans les mêmes conditions que précédemment (§ IV.1.2.1). 1.2.3. Pour l’électrophorèse bi-dimensionnelle Cent insectes sont broyés dans un mortier avec de l’azote liquide puis la poudre est remise en suspension dans un potter contant une solution froide (acétone ; 10 % (w/v) acide trichloroacétique (TCA) ; 0.07 % β-mercaptoéthanol). En ce qui concerne les glandes salivaires disséquées, le broyage s’effectue directement dans un potter contenant cette même solution. La suite du protocole est commune aux deux préparations. Après une précipitation de 1h à -20°C, la suspension protéique est centifugée à 20 000 g à 4°C pendant 20 minutes puis lavée trois fois dans la même solution à laquelle le TCA a été omis. Le culot est séché à température ambiante puis remis en suspension dans 600 µl de tampon TCT (tableau M.9). 2. Production de protéines recombinantes tagguées His6 2.1. His6-PGK Les étapes, allant de la mutation des deux codons tryptophanes présents dans sa séquence, indispensable à son expression chez E. coli, jusqu’au clonage dans le vecteur d’expression pET28a(+) (Novagen), sont schématisées dans la figure M.10. Le produit amplifié de 1 239 pb correspondant au gène pgk, dans lequel les deux codons stop TGA ont été substitués par un codon TGG (§ IV.7), a été inséré le plasmide pBS et la construction est utilisée pour transformer la bactérie E. coli DH10B. Le gène d’intérêt est ensuite transféré dans le plasmide pET28a(+) (Novagen) aux sites NdeI/HindIII et 1µg du plasmide recombinant, nommé pET28FL, sert à la transformation de E. coli DH10B. L’insert est ensuite séquencé afin de s’assurer qu’aucune mutation n’ait été insérée au cours des manipulations. Deux µg du pET28FL portant les deux mutations désirées sont utilisés pour transformer E. coli BL21(DE3). Les transformants sont sélectionnés sur milieu LB solide contenant 50 µg/µl de kanamycine à 37°C. 121
  • 275.
    Matériels et méthodes Un transformant est repiqué puis cultivé dans 500 ml de milieu LB contenant 30 µg/µl de kanamycine jusqu’en fin de la phase exponentielle de croissance (DO600nm = 0.6). Dans ce système d’expression, utilisant le plasmide pET28a(+), l’expression de la protéine recombinante est sous la dépendance d’un promoteur inductible à l' isopropyl-β-D- thiogalactopyranoside (IPTG). La concentration d’IPTG ainsi que le temps d’induction peuvent être variables selon l’expression et la toxicité des protéines à produire. La PGK étant très facilement induite en grande quantité, le temps d’incubation optimal est relativement court et la concentration en IPTG relativement faible. La His6-PGK recombinante est alors produite à 28°C en ajoutant 0,1 mM d’IPTG pendant 4h. La culture est ensuite centrifugée à 7 000 g pendant 10 minutes à 4°C et le culot est resuspendu dans 10 ml de tampon de lyse (50 mM Tris HCl ; 0,3 M NaCl, pH 8). Après 10 minutes d’incubation à température ambiante, la préparation est à nouveau incubée 10 minutes supplémentaires a température ambiante avec du lysozyme à une concentration de 0,2 mg/ml. Le mélange est ensuite soniqué (50 % pulses/s ; 50W ; 4°C ; 1 minute de sonication en alternance avec 1 minute dans la glace) jusqu’à qu’un lysat translucide soit obtenu. Les protéines sont séparées par centrifugation à 13 000 g pendant 10 minutes à 4°C et le surnageant, contenant les protéines solubles mais également la His6-PGK, est purifié sans congélation préalable. 2.2. His6 PGK FL1, 2, 3, 4, 5 Les séquences nucléiques de chacun des peptides de la PGK ont été obtenues par réamplification PCR du pET28FL, linéarisé par HindIII, contenant le gène pgk dans lequel les deux codons TGA ont été mutés. Les amorces utilisées pour l’amplification de chacun des peptides sont présentées dans le tableau 5.7. Chacun des inserts est inséré dans le pET28a(+) aux mêmes sites que ceux ayant servi pour l’insertion du gène pgk, les plasmides recombinants sont par la suite utilisés pour transformer E. coli DH10B. La séquence de l’insert est vérifiée par séquençage puis E. coli BL21(DE3) est transformée afin de produire chacun des peptides. L’expression des ces peptides suit le même protocole que celui utilisé pour l’expression de la PGK pleine longueur (§ IV.2.1), à l’exception du temps d’induction des peptides suite à l’ajout d’IPTG qui est passé de 4h à toute la nuit pour obtenir des quantités de protéines produites satisfaisantes. 122
  • 276.
    1: CONTRÔLE 2: PIEGAGE Elution de protéines de Elution de protéines de S.citri en l’absence d’actine S.citri en présence d’actine Protéines Protéines Anticorps actine de S.citri de S.citri anti- actine Autres protéines d’insectes Figure M.11: Recherche du partenaire de l’actine par chromatographie d’affinité
  • 277.
    Matériels et méthodes 3. Purification des protéines par chromatographie liquide 3.1. Colonne de protein A Sépharose CL-4B La Protein A Sepharose™ CL-4B est une résine de Sépharose CL-4B sur laquelle est fixée de la protéine A, protéine qui possède la capacité à se lier à la région Fc des immunoglobulines par le biais de la chaîne lourde des ces dernières. Cette liaison est réalisée par le bromure de cyanogène (CNBr) qui est l'un des réactifs les plus utilisés pour coupler une cible à la matrice d'une colonne. Comme seule la région Fc des anticorps est utilisée pour la liaison avec la protéine A, la région Fab des anticorps est disponible pour interagir avec l’antigène. Le principe de cette chromatographie est schématisé sur la figure M.11. Des anticorps de lapin dirigés contre l’actine de poulet (Sigma) ont été liés à la protein A Sepharose™ CL-4B selon les instructions du fournisseur (GE Healthcare). L’ensemble du fractionnement a été réalisé sur la chaîne de chromatographie basse pression AKTA purifier (GE Healthcare). Une première élution de protéines de S. citri, servant de contrôle négatif, est réalisée en l’absence de protéines d’insecte, et donc d’actine. 500 µg de protéines de S. citri (§ IV.1.1.1) sont chargées sur la colonne. Les protéines retenues sont éluées avec 20 ml d’un gradient de 0 à 2M NaCl. L’analyse de ces protéines permet de visualiser, sur gel de polyacrylamide, les protéines contaminantes qui sont retenues soit sur la résine de protein A Sépharose, soit par les anticorps anti-actine. Après un lavage de la colonne en NaCl 2M afin d’éliminer tous ces contaminants, les protéines d’insectes sont déposées sur la colonne et l’actine se fixe de manière spécifique sur les anticorps. Cette fixation spécifique de l’actine a été vérifiée par un Western blot réalisé sur ces mêmes protéines d’insectes sur lesquelles l’anticorps anti-actine reconnaît uniquement une protéine à 42 kDa, masse moléculaire de l’actine Pour fixer l’actine de l’insecte vecteur sur les anticorps anti-actine, 1 mg de protéines totales d’insectes (§ IV.1.2.1) sont chargées sur la colonne. Les protéines retenues de façon non spécifique sur la colonne sont décrochées par un lavage avec 10 ml d’une solution 2 M NaCl. Par la suite, 500 µg de protéines de S. citri (§ IV.1.1.1) sont chargées à leur tour sur la colonne. Les protéines liées à l’actine de façon spécifique sont éluées avec 20 ml d’un gradient de 0 à 2M NaCl. Toutes les protéines éluées à cette étape sont fractionnées par SDS-PAGE 123
  • 278.
    Figure M.12: Liaisond’un atome de nickel avec les acides aminés histidines de l’étiquette placée en N-terminal des protéines recombinantes. Tampon A Na2HPO4 0,1 M 40,5 ml NaH2PO4 0,1M 9,5 ml NaCl 0,25 M H2O qsp 100 ml Tableau M.13: Composition du tampon utilisé pour la lyse des protéines au cours de l’expression des protéines recombinantes.
  • 279.
    Matériels et méthodes puiscolorées au bleu colloïdal afin d’être envoyées à la spectrométrie de masse ou bien transférées sur membrane de nitrocellulose pour une analyse en far Western. 3.2. Purification de protéines recombinantes Le protocole de purification de protéines recombinantes regroupe plusieurs étapes jusqu’à l’obtention d’une protéine pure à partir d’un lysat bactérien. Il consiste à élué, dans un premiers temps, la protéine sur une colonne d’affinité de nickel permettant une première purification. La protéine subit ensuite un passage sur une colonne échangeuses d’ions ce qui élimine les éventuelles contaminations protéiques laissées par la précédente étape. La His6-PGK fut la seule protéine recombinante produite au cours de cette thèse à subir ce protocole de purification de manière complète. Les autres peptides de la PGK produits au cours de ce travail n’ont pas subit la dernière étape de purification sur colonne échangeuses d’ions. L’ensemble de ces étapes se déroulent à 4°C (dans une chambre froide ou lorsque cela n’est pas possible, les tampons sont maintenus dans la glace). 3.2.1. IMAC (immobilized metal affinity chromatography) La résine utilisée pour la purification de la PGK recombinante est une résine IMAC (Immobilized Metal Affinity Chromatography) utilisant un ion de nickel (nickel-nitriloacetic acid ou nickel-NTA) comme site actif. L'ion Ni2+ possède six liens de coordination : quatre sont sollicités par le NTA pour l'immobiliser sur la résine; il en reste donc deux pour interagir avec les atomes d'azote du cycle de la chaîne latérale de deux résidus histidines (figure M.12). Ici, nous avons utilisé une résine pré-chargée en Nickel (Qiagen ou Bio-Rad ; 50 % slurry) pour un volume final de colonne de 1 ml. Avant de charger les échantillons, la colonne est lavée à l’aide de 10 volumes d’H2O MilliQ afin d’éliminer l’éthanol présent puis elle est équilibrée à l’aide de 10 volumes de tampon de lyse (§ IV.2.1). Il est important de ne jamais laisser la colonne se dessécher. Les surnageants, contenant les protéines solubles (environ 10 ml) obtenus après l’induction de la protéine chez E. coli BL21(DE3), sont chargés sur la colonne. A partir de cet instant, les protéines éluées sont récupérées en fractions de 1 ml. Après avoir récupéré les protéines non retenues, la colonne est lavée avec 10 volumes de tampon A + 0,1 % Triton X- 124
  • 280.
    Figure M.14: Elutiondes protéines au cours de l’étape de dessalage sur colonne PD-10.
  • 281.
    Matériels et méthodes 100suivis par 10 volumes de tampon A (tableau M.13) afin d’éliminer le Triton X-100 amené lors du premier lavage. L’élution des protéines recombinantes se fait par compétition avec l’imidazole qui entre en compétition avec les résidus histidines pour la fixation sur le nickel par l’intermédiaire de ses propres atomes d’azote. Trois ml de concentrations croissantes d’imidazole (0,01 M ; 0,025 M ; 0,05 M ; 0,1 M ; 0,25 M ; 0,5 M) en solution dans du tampon A sont chargées sur la colonne. Cinquante µl de chaque fraction de 1 ml sont prélevés pour être analysés sur gel SDS-PAGE. Le reste des élutions va subir un dessalage sur colonne d’exclusion afin d’éliminer l’imidazole présent dans le tampon. Une fois l’élution terminée, la colonne est lavée avec 10 volumes de tampon A + 0,5 M Imidazole suivi de 10 volumes d’éthanol 20 %. La colonne peut être ainsi conservée à 4°C sans jamais laisser la résine se dessécher. 3.2.2. Chromatographie d’exclusion Après avoir déterminé sur gel SDS-PAGE quelles fractions d’élutions contenaient la protéine recombinante, chaque fraction d’intérêt (1 ml) est déposée sur une colonne de gel filtration de type PD-10 (GE Healthcare). Ces colonnes sont destinées à la séparation de protéines de masses moléculaires supérieures à 5 000 Daltons. Les molécules de masse moléculaire supérieure à 5 000 Da sont excluent de la matrice Sephadex G-25 et sont donc éluées en premier. Les molécules de masse moléculaire inférieure aux pores de la matrice peuvent donc pénétrer dans ces dernières et de ce fait sont éluées plus tardivement. La colonne est tout d’abord équilibrée avec un tampon phosphate (80 mM Na2HPO4 ; 20 mM NaH2PO4, pH 8), tampon qui sera celui dans lequel la protéine sera éluée et conservée. Le volume maximal d’échantillons pouvant être chargé sur la colonne est de 2,5 ml. Une première fraction d’intérêt de 1 ml est chargée sur la colonne. Une fois que la solution protéique est entièrement pénétrée dans la matrice, le volume est ajusté à 2,5 ml final en ajoutant du tampon d’équilibration. L’élution est réalisée dans un volume final de 3,5 ml de tampon d’équilibration suivant la cinétique décrite dans la figure M.14. Chaque fraction récupérée est dosée, aliquotée et conservée à -20°C dans le tampon phosphate précédemment cité. 125
  • 282.
    Tampon Laemmli 2X Tris-HCl pH 6,8 100 mM β-mercaptoéthanol 10 % (v/v) SDS 4 % (p/v) Bleu de bromophénol 0,2 % (p/v) Glycérol 20 % (v/v) Tableau M.15: Composition du tampon de charge utilisé pour l’électrophorèse des protéines en conditions dénaturantes. Gel de séparation en Gel de séparation à Gel de concentration à gradient (5-15 %) concentration constante 4% Solution à Solution à 12,50% 10% 5% 15 % Polyacrylamide 40 %(pv) 1 ml 9,3 ml 7,5 ml 1,85 ml 5,6 ml Tris-HCl 1 M pH 6,8 2,5 ml - - - - Tris-HCl 1,5 M pH 8,8 - 9 ml 9 ml 4,5 ml 4,5 ml SDS 20 % (p/v) 50 µl 150 µl 150 µl 75 µl 75 µl qsp H2O 10 ml 30 ml 30 ml 15 ml 15 ml APS 10 % (p/v) 50 µl 150 µl 150 µl 100 µl 100 µl TEMED 10 µl 15 µl 15 µl 10 µl 10 µl Tableau M.16: Composition des différents gels SDS utilisés au cours de cette thèse.
  • 283.
    Matériels et méthodes 3.2.3. Fractionnement sur colonne échangeuse d’ions Une dernière étape de purification supplémentaire peu s’avérer nécessaire lorsque la pureté de la protéine n’est pas suffisante. En effet, produite en grande quantité, le profil élution après dessalage montrait de nombreuses contaminations protéiques. Les profils d’élution des autres peptides de la PGK ne montraient pas de contaminations majeures susceptibles d’inférer avec la suite des analyses. Un fractionnement par chromatographie d’échanges d’ions a donc été réalisé uniquement lors de la purification de l’His6-PGK. Ce type de chromatographie permet de séparer des protéines ayant des propriétés ioniques différentes. Les fractions protéiques d’intérêt sont reprises dans un tampon phosphate à pH 8. Le pI théorique de la PGK recombinante est de 6,54 (http://expasy.org/tools/pi_tool.html). A un pH de 8, la charge globale nette de la protéine est donc négative. Pour cette seconde étape de purification, une colonne échangeuse de cations a donc été utilisée. Celle-ci, chargée positivement, retiendra de manière spécifique la PGK. L’élution des protéines fixées a été effectuée par un gradient linéaire de NaCl (0 à 1 M) dans le tampon phosphate pH 8. Les fractions récupérées sont analysées sur un gel d'électrophorèse. 4. Dosage des protéines 4.1. Bradford Le principe de ce dosage repose sur le changement de couleur d'un colorant en réponse à différentes concentrations en protéines. La procédure utilisée est celle décrite par le fournisseur (BIO-RAD) en utilisant une gamme de dilution standard de bovine serum albumine (BSA). 4.2. Bradford modifié Ce protocole de dosage Bradford est adapté pour le dosage des protéines en suspension dans le tampon de réhydratation des gels 2-D qui contient un certain nombre de réactifs faussant le dosage classique. Le dosage des protéines s’effectue néanmoins par comparaison avec une gamme de BSA de concentration connue (Ramagli & Rodriguez, 1985). 126
  • 284.
    Tampon électrophorèse SDS Tris 25 mM Glycine 0,2 M SDS (p/v) 0,10% H2O qsp 1 L Tableau M.17: Composition du tampon utilisé pour l’électrophorèse des protéines en conditions dénaturantes. Figure M.18: Représentation schématique du dispositif de mélange d’acrylamide pour les gels en gradient.
  • 285.
    Matériels et méthodes 5. Séparation des protéines en gel d’électrophorèse 5.1. Electrophorèse mono-dimensionnelle Dans le système (SDS-PAGE Sodium Dodecyl Sulfate-PolyAcrylamide Gel Electrophoresis), les protéines saturées par les molécules de SDS (détergent anionique), chargées négativement, migrent dans un champ électrique en fonction de leur masse. Les gels de polyacrylamide utilisés sont coulés entre deux plaques de verre séparées par des bandes de téflon de 1,5 mm d’épaisseur. Les échantillons sont incubés dans le même volume de tampon de charge Laemmli 2X (tableau M.15) avant d’être déposés sur gel. 5.1.1. Gels de polyacrylamide à concentration constante La technique utilisée est celle décrite par Sambrook et coll. (Sambrook et al., 1989). Le gel est constitué d’un gel de séparation d’environ 12 cm, préalablement polymérisé (sous 1 ml de butanol saturé en eau) surmonté d'un gel de concentration d’environ 3 cm. La composition des gels de polyacrylamide est décrite dans le tableau M.16. Après le dépôt des échantillons, l’électrophorèse est conduite à 80 V pendant la migration dans le gel de concentration (1 h) afin d’éviter toute diffusion des protéines puis le reste de l’électrophorèse est réalisée à voltage constant (50 à 60 V), jusqu’à ce que le front de migration se trouve à 1 cm de la bordure du gel de séparation (migration toute la nuit). Le tampon d'électrophorèse est indiqué dans le tableau M.17. 5.1.2. Gels en gradient de polyacrylamide 4-15 % La technique utilisée est celle décrite par Swamy et al. (2006). Le gel se compose d’un gel de concentration identique à celui décrit ci-dessus, et d’un gel de séparation dont la composition est décrite dans le tableau M.16. Le gradient exponentiel de polyacrylamide est réalisé par un mélangeur (figure M.18). Ce type de gel permet une meilleure résolution des protéines qui possèdent des masses moléculaires élevées (supérieures à 100 kDa) tout en conservant les protéines de faibles masses moléculaires dans le gel et est très utilisé dans l’étude des complexes protéiques. L'électrophorèse est conduite de manière identique à celle utilisée pour les gels de concentration constante à l’exception de celle menée pour la migration des complexes protéiques en BN-PAGE (§ IV.10.1.2.1). 127
  • 286.
    Base équilibration Urée 6M Tris 50 mM SDS (p/v) 2% Glycérol (v/v) 30% H2O qsp 500 ml Tampon équilibration I : 10 ml base équilibration + 250 µl DTT 2M Tampon équilibration II : 10 ml base équilibration + 231,2 mg iodoacétamide Tableau M.19: Composition des tampons utilisés pour l’équilibration des protéines en vue d’une électrophorèse en conditions dénaturantes.
  • 287.
    Matériels et méthodes 5.2. Electrophorèse bi-dimensionnelle La combinaison des techniques d’IEF (IsoElectric Focusing) et de SDS-PAGE permet d’obtenir un degré de résolution élevé, recherché pour la séparation de mélanges complexes de protéines. La technologie actuelle utilise des gels pré-coulés à gradient de pH immobilisé (IPG strips: Immobilized non-linear pH gradient strips) qui présente l’avantage de posséder le gradient de pH définitivement fixé dans le strip évitant ainsi les problèmes de déplacement de pH au cours de la migration qui était le cas avec la séparation d’IEF en tube. Dans ce travail, les IPG strips utilisés qui ont d’une longueur de 17 cm de longueur avec une gamme de pH 5- 8 (BIO-RAD). Les protéines de S. citri ou d’insectes qui doivent être analysées en électrophorèse bidimensionnelle sont préparées comme décrit précédemment (§ IV.1.1.2 et § IV.1.2.3 respectivement). Trois cent µg de protéines sont déposés dans un volume minimal de 300 µl et les strips sont réhydratés activement à 50 volts, 20°C entre 12 et 20 h en ayant pris soin de recouvrir le strip avec 1 ml d’huile minérale afin d’éviter les risques d’évaporation. Après réhydratation, la focalisation s’effectue selon le protocole fourni par BIO-RAD. L’ensemble de ces opérations s’effectue dans l'appareil PROTEAN IEF Cell (BIO-RAD). Avant de réaliser la seconde dimension, il est nécessaire d’ioniser les protéines avec du SDS et de les réduire. Cette opération est effectuée par l’incubation du strip dans 10 ml de tampon d’équilibration I (tableau M.19), pendant 10 min. Lorsque l’agent réducteur est le DTT, il est nécessaire de procéder à une seconde incubation pendant 10 min avec le tampon d’équilibration II qui contient de l’iodoacétamide (tableau M.19). Ceci prévient la ré- oxydation des protéines au cours de l’électrophorèse et alkyle le DTT résiduel, minimisant les traînées verticales qui sont observées sur certains gels. Ces tampons doivent être préparés extemporanément. Le strip est ensuite soudé avec de l’agarose 1 % dans une solution de Tris-HCl 1 M pH 6,8 au sommet du gel de concentration d’un gel SDS-PAGE (T = 12,5 %, C= 0,5 %, 1 mm d’épaisseur). La deuxième électrophorèse sépare donc les protéines en fonction de leur masse moléculaire. L’électrophorèse s’effectue à 70V jusqu’à ce que le front de migration se trouve à 1 cm de la bordure du gel de séparation. 128
  • 288.
    Ethanol 50 %(v/v) Solution de fixation Acide phosphorique 2 % (v/v) Solution de lavage Acide phosphorique 2 % (v/v) Ethanol 17 % (v/v) Solution de Acide phosphorique 2 % (v/v) sensibilisation Sulfate d'ammonium 15 % (v/v) Ethanol 17 % (v/v) Acide phosphorique 2 % (v/v) Solution de coloration Sulfate d'ammonium 15 % (v/v) Brillant Blue G-250 0,1% (p/v) Solution de H2O distillée décoloration Solution de Acide acétique 1 % (v/v) conservation Tableau M.20: Composition des tampons utilisés pour la coloration des protéines au bleu colloidal. Méthode classique Méthode compatible avec une analyse MALDI-TOF Préfixateur 1: Méthanol 50 %, Acide Acétique 7 % Préfixateur 2: Méthanol 10 %, Ethanol 50 % Solutions de Fixation Acide Acétique 10 % Acide Acétique 10 % Fixateur: Glutaraldéhyde 8,3 % Solution pour augmenter l’efficacité - Thiosulphate de sodium 0,02 % de la révélation NiAg, 1 g dans 20 ml d’eau, ajoutés dans 380 ml de la Solution de nitrate solution soude (NaOH 0,4 % NiAg 0,1 % d’argent dans Ethanol 20 %, 1,5 ml NH3) Carbonate de sodium 2 % Formaldéhyde 200 µl Solution de Révélation Formaldéhyde 200 µl Ethanol 20 % Thiosulphate de sodium 0,01‰ Acide Acétique 1 % Solution d’inactivation Ethanolamine 200 µl Acide Acétique 1 % Ethanol 20 % Tableau M.21: Composition des tampons utilisés pour la coloration des protéines au nitrate d’argent.
  • 289.
    Matériels et méthodes 6. Visualisation des protéines après électrophorèse Après électrophorèse, les gels sont colorés par l’une des techniques exposées ci- dessous, en fonction de la sensibilité désirée et de l’analyse qui suivra. Quelle que soit la méthode de coloration utilisée, chacune des étapes s’effectue à température ambiante et sous agitation. 6.1. Coloration au bleu colloïdal La coloration au bleu colloïdal, bien que moins sensible que celle au nitrate d’argent, présente l’avantage d’être compatible avec des analyses ultérieures en spectrométrie de masse. Les solutions nécessaires au cours de cette coloration sont regroupées dans le tableau M.20. Le gel est tout d’abord fixé pendant 1 h dans une solution de fixation puis cette solution est renouvelée pour 1 h supplémentaire de fixation. Le gel est ensuite incubé 1 h dans une solution de lavage, 20 min dans une solution de sensiblisation puis coloré jusqu’à obtention de la coloration désirée dans une solution contenant 0,1 % (w/v) de bleu colloïdal G250. Le gel est ensuite lavé plusieurs fois avec de l’eau MilliQ afin d’éliminer le bruit de fond éventuellement présent puis le gel est conservé dans une solution d’acide acétique 1 % (v/v). 6.2. Coloration au nitrate d’argent classique Cette méthode de coloration au nitrate d’argent donne des résultats très satisfaisants mais interfère avec l’analyse de protéines par spectrométrie de masse. Les solutions utilisées sont détaillées dans le tableau M.21. Après la séparation des protéines sur gel, ce dernier est lavé dans de l’eau milli Q pendant 2 min. La fixation des protéines dans le gel s'effectue dans une solution de préfixateur 1 pendant 4 h puis, dans un second temps, le même gel est incubé dans une solution de préfixateur 2 toute la nuit. Le gel est ensuite lavé dans de l’eau milli Q pendant 15 min et immergé 45 min dans une solution de fixation. Après trois lavages dans l’eau de 15 min chacun, le gel est plongé deux fois 15 min dans une solution d'éthanol à 20 %. La solution de coloration est réalisée extemporanément de la façon suivante: 1 g de NiAg est dissout dans 20 ml d’eau milli Q. Celle-ci est versée doucement à la surface d'une solution de soude tout en remuant pour éviter la précipitation. Si un précipité brun apparaît, il faut ajouter une solution d'ammoniaque pure jusqu'à ce qu'il disparaisse. 129
  • 290.
    Tampon transfert Tris 25 mM Glycine 150 mM Méthanol (v/v) 10% H2O qsp 1 L Tableau M.22: Composition du tampon utilisé pour le transfert des protéines sur membrane de nitrocellulose. Anticorps Spécificité Dilution Utilisation Anti-S. citri GII3 Polyclonal 5 µg/ml Far Western anti-S. citri Anti-P32 Polyclonal 1:50ème BN-PAGE Recherche partenaire actine (chromatographie d'affinité) Anti-actine Polyclonal 1:200ème Far Western anti-actine Anti-PGK Polyclonal pur Localisation PGK(Western blot anti-PGK) Anti-His Monoclonal 1:3000ème Western-blot anti-his Anti-IgG lapin couplé à la Monoclonal 1:50000ème peroxydase Anti-IgG souris couplé à la Monoclonal 1:20000ème peroxydase Tableau M.23: Différents anticorps utilisés au cours de cette thèse.
  • 291.
    Matériels et méthodes Le gel est incubé immédiatement dans cette solution de coloration pour une heure à l’abri de la lumière. Après deux lavages à l'éthanol 20 %, la révélation est effectuée par immersion du gel dans la solution de révélation. Lorsque le contraste désiré est atteint, la réaction est stoppée par immersion du gel dans la solution inactivation. 6.3. Coloration au nitrate d’argent compatible avec la spectrométrie de masse 6.3.1. Méthode O’Connell et al, 1997 Cette méthode, bien que moins sensible que la coloration au nitrate d’argent classique, présente les avantages d'être plus sensible que celle au bleu colloïdal, compatible avec l’analyse par spectrométrie de masse, mais aussi d'être rapide (O'Connell & Stults, 1997). Après électrophorèse, le gel est lavé 30 min dans de l’eau milli Q et fixé pendant 30 min dans une solution éthanol 50 % et acide acétique 10 %. Il est ensuite lavé dans de l'éthanol à 50 %, pendant 10 min. Les protéines sont sensibilisées au nitrate d'argent par incubation de 5 min dans une solution de thiosulfate de sodium à 0,02 % (p/v). Le gel est alors lavé 5 min dans l’eau milliQ puis immergé pendant 30 min à l’abri de la lumière dans une solution de nitrate d’argent à 0,1 % (p/v), elle-même préalablement incubée 5 min dans la glace à l’abri de la lumière. Après incubation, le gel est rincé rapidement deux fois dans l’eau milliQ, puis développé dans une solution de révélation à base de carbonate de sodium, de formaldéhyde et de thiosulfate de sodium (tableau M.21) jusqu'à obtention du contraste désiré. La réaction est stoppée par immersion du gel dans une solution d'acide acétique à 1 % (v/v). 6.3.2. Kit Proteosilver™ Silver Stain Ce kit de coloration à l’argent permet une coloration sensible des protéines mais présente surtout le grand avantage d’être très rapide tout en minimisant les inconvénients d’une coloration à l’argent classique comme notamment le besoin d’être à l’obscurité afin un bruit de fond important. De plus, cette coloration présente le grand avantage d’être compatible avec une identification protéique par spectrométrie de masse. L’ensemble des gels a été coloré en suivant les instructions du fournisseur (Sigma). 130
  • 292.
    Anticorps utilisé Utilisation Protéines "appât" Protéines "sondes" pour la révélation 20 µg protéines Far Western anti-S. citri 40 µg protéines totales S. citri Polyclonal anti-S. citri glandes salivaires insecte 20 µg protéines Far Western anti-actine 20 µg protéines S. citri Polyclonal anti-actine glandes salivaires insecte Confirmation interaction Protéines éluées 500 µg protéines totales insecte Polyclonal anti-actine partenaire actine chromatographie d'affinité Far Western anti-PGK 2 µg His6-PGK 500 µg protéines totales insecte Polyclonal anti-actine et anti-PGKFL1 à 5 2 µg His6-PGKFL1 à 5 500 µg protéines cellules Ciha-1 Confirmation interaction His6-PGK 40 µg His6-PGK et His6-PGK FL1 à 5 20 µg protéines cellules Ciha-1 Monoclonal anti-histidine et His6-PGKFL1 à 5 avec actine insecte Tableau M.24: Quantités de protéines utilisées au cours des différents far Western réalisés au cours de cette thèse.
  • 293.
    Matériels et méthodes 7. Transfert des protéines et détection immunologique 7.1. Electrotransfert des protéines sur membrane de nitrocellulose Après électrophorèse, les protéines sont transférées électriquement sur membrane de nitrocellulose selon la méthode décrite par Towbin et coll. en 1979 (Towbin et al., 1979). L’appareil utilisé est le "semi-dry transfer apparatus" de chez BIO-RAD. Trois feuilles de papier Whatman® 3MM imbibées de tampon de transfert (tableau M.22) sont déposées sur le fond de la cuve qui constitue l’anode. La membrane de nitrocellulose également imbibée de tampon de transfert est déposée sur les papiers Whatman®. Le gel de polyacrylamide, préalablement immergé 15 min dans du tampon de transfert, est déposé sur la membrane. Il est ensuite recouvert de trois nouvelles feuilles de papier Whatman® imbibées de la même solution. Le couvercle correspondant à la cathode est ensuite déposé sur l’ensemble. Dans ces conditions, les protéines étant chargées négativement, vont migrer du gel vers l’anode et ainsi se déposer sur la membrane de nitrocellulose. Le transfert est réalisé sous une tension de 10 volts pendant un temps variable dépendant de la concentration en polyacrylamide du gel, de sa taille et de la masse moléculaire des protéines d’intérêts à transférer. Par exemple, 25 min sont suffisant au transfert de l’His6-PGK tandis que 45 min sont nécessaires au transfert d’un profil total de protéines de S. citri sur un gel SDS-PAGE (T = 12,5 %, C= 0,5 %, 12 x 12 cm, 1,5 mm d’épaisseur). Afin de vérifier l’efficacité du transfert des protéines sur la membrane, cette dernière est colorée par une solution contenant 0,1 % (p/v) de rouge ponceau et 1 % d’acide acétique (v/v). La coloration est éliminée par plusieurs rinçages à l’eau permutée stérile. 7.2. Détection immunologique des protéines sur membrane Après le transfert, la membrane est saturée 1 h à température ambiante dans du lait écrémé 6 % (p/v). La membrane est ensuite incubée 1 h avec les anticorps primaires dans une solution de lait écrémé 1 % (p/v). L’ensemble des anticorps primaires utilisés au cours de ce travail est regroupé dans le tableau M.23. Après 3 lavages de 15 min dans du PBS-Tween 20 (0,1 % v/v) suivi d’un lavage de 15 min en PBS, la membrane est incubée 1 h avec les anticorps secondaires couplés à la peroxydase (anticorps de chèvre anti IgG (molécule entière) de lapin ou anticorps de chèvre anti IgG (fragment Fc) de souris). Les anticorps secondaires sont dilués dans la même solution 1 % lait écrémé (p/v). Après incubation, la membrane est lavée dans le tampon PBS-Tween (3 fois pendant 15 min) suivi de nouveau 131
  • 294.
    1- Electrophorèse des protéines d’insectes 3- Mise en contact avec les 2- Transfert sur protéines de S. citri membrane 4- Incubation avec des anticorps anti-S. citri 5- Incubation avec des anticorps secondaires couplés à la peroxydase 6- Révélation Figure M.25: Principe de la technique de far Western
  • 295.
    Matériels et méthodes d’unlavage de 15 min dans le PBS. L’activité de la peroxydase est révélée en présence d’un substrat de la peroxydase : le Super Signal® West Pico (Thermo Scientific) selon le protocole préconisé par le fournisseur. La membrane est incubée en présence d’un mélange composé d’un volume de solution «Luminol/Enhancer» et d’un volume de solution «Stable Peroxyde» pendant 5 min, égouttée puis placée dans une poche plastique. La révélation est réaliser par chemiluminescence sur des films autoradiographiques (Hyperfilm™ ECL ; GE Healthcare). 8. Etude d’interaction protéine-protéine par la technique de far Western A la vue des nombreux far Western différents réalisés au cours de ce travail, les quantités de protéines nécessaires à chacune de ces analyses sont regroupées dans le tableau M.24. Outre ces spécificités, le protocole reste identique quelque soit les protéines utilisées. Le schéma M.25 présente les différentes étapes composant cette technique d’étude in vitro. Les protéines du premier partenaire sont déposées sur un gel SDS-PAGE puis sont transférées sur membrane de nitrocellulose. Toutes les étapes du protocole se déroulent sous faible agitation et les étapes d’incubation nécessitent la mise sous poche plastique de la membrane afin de réduire les volumes à utiliser (contrairement aux étapes de lavages qui se déroulent en bac pour permettre des lavages plus efficaces). La membrane est ensuite saturée dans du lait écrémé 6 % (p/v dans du PBS) pendant 24 h à 4°C. La membrane est lavée succinctement dans du PBS pour éliminer l’excédent de la solution de saturation avant que les protéines du second partenaire ne soient mises à incuber en solution dans du PBS toute la nuit à 4°C. La membrane est ensuite lavée dans du PBS-Tween (3 x 15 min) puis 15 min dans du PBS. Le reste de la révélation est strictement identique au protocole utilisé pour le Western-blot. 9. Identification des protéines par spectrométrie en masse Les bandes ou spots de gels, colorés au bleu colloïdal ou au nitrate d’argent compatible, contenant les proteines d’intérêt sont soumis à une analyse par spectrométrie de masse en LC-MS/MS réalisée au Pôle Protéomique de la plateforme de Génomique Fonctionelle de l’Université de Bordeaux 2. L’interrogation est réalisée soit contre la base de données généraliste nr de SwissProt, soit directement contre la banque de protéines de S. citri. 132
  • 297.
    Matériels et méthodes 10. Etude des complexes protéines chez S. citri 10.1. Technique de Blue-Native PAGE 10.1.1. Préparation des protéines La préparation des protéines de S. citri pour l’analyse en BN-PAGE a nécessité plusieurs ajustements de protocole aussi bien pour les protéines cytoplasmiques que membranaires, notamment en ce qui concerne la concentration des détergents utilisés pour l’extraction. Dans ce manuscrit, il est uniquement reporté le protocole ayant permis le meilleur fractionnement protéique adapté de Pyndiah et coll (Pyndiah et al., 2007). Un litre d’une culture de S. citri en fin de phase exponentielle de croissance est centrifugé 12 000 x g pendant 30 min à 4°C. Le culot est remis en suspension dans un volume suffisant d’Hepes-Sucrose puis centrifugé à nouveau pendant 30 min à 4°C. Ce cycle de lavage est recommencé 2 nouvelles fois. Le dernier culot est alors remis en suspension dans 5 ml de tampon de resuspension BN (500 ou 750 mM acide aminocaproïque, 50 mM TrisHCl, pH 7) conservé à 4°C. La suspension est alors passé trois fois à la French Press à une pression de 2 kbars. Le lysat, alors supplémenté avec 2 mg/ml de DnaseI et 25 mM de MgSO4, est incubé 1 h à 25°C puis centrifugé à 10 000 g pendant 15 min à 4°C. Le surnageant est récupéré puis soumis à une nouvelle ultra-centrifugation à 100 000 g pendant 30 min à 4°C. Le surnageant, correspondant aux protéines cytoplasmiques, est dessalé contre du tampon de resuspension BN en utilisant une 5-ml HiTrap™ desalting column. Les protéines ainsi purifiées sont aliquotées puis conservées à - 20°C. Le culot contenant les protéines membranaires est quant à lui repris dans 5 ml du même tampon de resuspension BN puis subit un nouveau cycle à la French Press à 2 kbars suivi d’une ultracentrifugation à 100 000 g dans les mêmes conditions que précédemment. Le culot final est repris dans 600 µl de tampon de resuspension BN supplémenté de 1 à 2 % de β- D-dodecyl-n-maltoside, aliquoté puis conservé à - 20°C. 10.1.2. Electrophorèse des protéines 10.1.2.1. 1ère dimension Les électrophorèses des fractions cytoplasmiques et membranaires ont été réalisées sur des gels de dimensions identiques à ceux ayant précédemment servis pour l’électrophorèse monodimensionnelle SDS-PAGE. 133
  • 298.
    Tampon electrophorèse BN Anode Cathode Tris 50 mM 50 mM Glycine 75 mM 75 mM Serva blue G (p/v) 0,002% Tableau M.26: Composition du tampon utilisé pour l’électrophorèse des complexes protéiques au cours des expériences de BN-PAGE.
  • 299.
    Matériels et méthodes Les migrations ont été réalisées sur des gels en gradient 5-15% pour la séparation des complexes en conditions non dénaturantes (tableau M.16). 1 µl de tampon de charge (500 mM acide aminocaproique, 5 % Serva Blue-G) est ajouté à chaque échantillon avant le dépôt sur gel. Les compositions des tampons anode et cathode sont détaillées dans le tableau M.26. La migration est visualisée grâce au marqueur de masse moléculaire adapté aux conditions dénaturantes (GE Healthcare). Les électrophorèses ont été menées à watt constant (1 W) jusqu’à ce que le bleu soit à 1 cm du bord du gel. 10.1.2.2. 2ème dimension Chaque bande individuelle ayant subi l’électrophorèse en conditions non dénaturantes est découpée puis incubée successivement dans les deux tampons d’équilibrations (tableau M.17, § IV.5.2) afin d’être équilibrée. La bande est ensuite placée entre les deux plaques de verre à environ 2 cm du haut du gel. Le gel SDS-PAGE est ensuite coulé jusqu’à environ 0,5 cm de la bande (tableau M.16). Une fois ce gel de séparation polymérisé, le gel de concentration est polymérisé afin de permettre la migration des complexes protéiques. Les conditions d’électrophorèse sont alors les mêmes que celles précédemment énoncées lors d’une électrophorèse SDS-PAGE classique (§ IV.5.1.1). 10.2. Pontage des complexes protéiques associant la PGK chez S. citri 10.2.1. Préparation des protéines Les protéines totales et membranaires sont préparées comme précédemment décrits (§ IV.1.1.1 pour les protéines totales et § IV.5.1.1 pour les protéines membranaires) puis sont remises en suspension dans un tampon phosphate 0,05 M pH 7,4. Les protéines sont dosées et les concentrations sont ajustées à 1 mg/ml. La His6-PGK recombinante est alors incubée en présence des protéines selon un ratio 1:10 et l’agent pontant utilisé (DSS ou DSP) est à son tour ajouté à une concentration de 0,25 mM pendant 30 min à 4°C. La réaction est stoppée par l’ajout de 1,5 M TrisHCl pH 7,4. Lors du contrôle négatif, pour lequel l’agent pontant n’est pas ajouté au mélange réactionnel, le même volume de tampon dans lequel a été dissous l’agent pontant utilisé au 134
  • 301.
    Matériels et méthodes coursde l’expérience parallèle, est ajouté au début de la période d’incubation. Le même volume de Tris HCl est également ajouté à la fin du temps d’incubation. 10.2.2. Purification sur colonne de Nickel Le mélange réactionnel est ensuite incubé sur une colonne de nickel, colonne identique à celle ayant servi lors de la purification de la PGK de S. citri recombinante ou des différents peptides de cette dernière. La colonne est équilibrée avec 10 ml de tampon 50 mM Tris HCl pH 7,4. Le mélange réactionnel est incubé puis la colonne est lavée avec 10 volumes de ce même tampon additionné de Triton X-100 suivis de 10 volumes de ce même tampon pour lequel le Triton X-100 est absent. Les protéines retenues spécifiquement sur la colonne sont alors éluées par trois volumes de tampon phosphate additionné de 0,25 M Imidazole puis trois volumes du même tampon additionné cette fois ci de 0,5 M Imidazole. V. Etude de la transmission expérimentale de S. citri 1. Transmission à la pervenche de Madagascar Catharanthus roseus 1.1. Insectes L'élevage et la capture des cicadelles Circulifer haematoceps sont détaillés aux paragraphes I.3.1 et I.3.2. 1.2. Les pervenches de Madagascar Les pervenches saines produites, à partir de semis, sont cultivées à 25°C ± 2°C sous une photopériode de 16 heures obtenue grâce à des éclairages par des lampes à vapeur de sodium. Pour les expériences de transmission expérimentale, les pervenches sur lesquelles les insectes sont déposés sont âgées de environ 4 semaines (stade 4-6 feuilles). 1.3. Micro-injection intra-abdominale des cicadelles La micro-injection est réalisée au laboratoire selon le protocole décrit par Markham et al. (Markham & Townsend, 1979) et modifiée par Foissac et al. (Foissac et al., 1996). Les cicadelles capturées dans les cages d'élevage sont anesthésiées quelques secondes par du gaz carbonique, et déposées sur une surface froide (un bloc réfrigérant entouré de Parafilm) afin 135
  • 303.
    Matériels et méthodes deles maintenir endormies. Les cicadelles sont triées à l'aide de pinces souples et de pinceaux fins. Seules les femelles, plus grosses et plus résistantes sont sélectionnées pour être injectées. Des aiguilles de verre très fines, confectionnées à partir de pipette Pasteur, sont remplies avec une culture de spiroplasmes. La micro-injection est réalisée sous une loupe binoculaire. Les insectes sont piqués latéralement entre les deux dernières sternites abdominales de manière à n'endommager ni la chaîne nerveuse ventrale, ni les tubes de Malpighi, situés plus antérieurement. L'aiguille est reliée à une pompe soufflante par l'intermédiaire d'un tube connecteur percé. La culture est injectée en obturant du doigt l'orifice latéral du tube connecteur. Le volume injecté (environ 0,1 µl d’une culture à 108 à 109 UFC/ml) doit être suffisant pour qu'un gonflement de l'abdomen de l'insecte soit observé. Après injection, les cicadelles sont déposées sur du papier absorbant dans une boîte de Pétri. 1.4. Transmission à la pervenche de Madagascar Après avoir été injectées, les cicadelles sont placées sur des giroflées (Matthiola incana) recouvertes de bonnettes à raison de 10 insectes par plante pour une période de latence de 10 jours. Les cicadelles sont ensuite prélevées à l’aide d’un aspirateur à bouche et encagées à nouveau sur de jeunes plants de pervenches de Madagascar dans une pièce climatisée (30°C ± 2°C), réservée à cet usage, pour une période d'une durée de 15 jours. Toutes les plantes sont recouvertes d'une bonnette individuelle protégeant ainsi l'essai de toute intrusion d'autres insectes. La mortalité des insectes est déterminée tous les 3 jours. A la fin de la période de transmission, les insectes sont éliminés et les plantes traitées avec un insecticide de contact. Les plantes sont alors transférées dans une autre pièce climatisée (30°C ± 2°C), réservée aux plantes infectées et dépourvue de tout insecte, et y sont ainsi maintenues jusqu’à la fin de l’expérience (environ 12 semaines après injection). 1.5. Symptomatologie Le développement des symptômes sur pervenches issues des transmissions est observé toutes les semaines. Une pervenche infectée par GII3 présente une jaunisse généralisée 5 voire 6 semaines après la fin de la période de transmission et arrête de grandir. Il s’ensuit un flétrissement létal environ 4 semaines après l’apparition de ces symptômes. 136
  • 304.
    4 jours 107-108 S. citri /ml 106-108 S.citri /ml Injection de la Injection des R culture de S.citri protéines recombinantes E S U 24h Milieu SP4 L T S Gaze Membrane Parafilm® 1 semaine Nombre de tubes dans lesquels S.citri s’est multiplié Transmission (3 insectes par tube) Figure M.27: Méthode d’étude de la transmission de S. citri par son insecte vecteur par « recrachage » à travers une membrane de Parafilm®.
  • 305.
    Matériels et méthodes 2. « Recrachage » à travers une membrane de Parafilm® L’ensemble des étapes concernant cette méthode d’étude de la transmission de S. citri par son insecte vecteur est schématisé sur la figure M.27. 2.1. Injection de la culture de S. citri GII3 dans l’insecte Une culture de S. citri est injecté aux insectes comme décrit précédemment (§ V.1.3). Les insectes sont placés en latence sur giroflées pendant 4 jours afin que les spiroplasmes se multiplient dans l’insecte. 2.2. Injection des protéines recombinantes dans l’insecte A la suite de la période de latence respectée après l’injection de la culture de spiroplasmes, les insectes sont prélevés à l’aide d’un aspirateur à bouche. Ils sont ensuite ré- injectés une seconde fois, en suivant le même protocole que pour S. citri, mais cette fois-ci avec une solution contenant soit l’His6-PGK ou bien les peptides His6-PGKFL4 et His6- PGKFL5 à une concentration de 1 µg/µl. 2.3. Transmission à travers une membrane de Parafilm® Trois insectes ayant subi cette deuxième injection sont alors placés dans un tube Eppendorf® percé de multiples trous afin de laisser l’air entrer. Ce système expérimental est décrit dans la figure M.27. Les insectes sont laissés dans une atmosphère humide, afin d’éviter toute dessiccation, pendant 16 à 24 h dans des tubes dont le capuchon stérile est rempli de milieu SP4 leur permettant de se nourrir et ainsi de recracher les spiroplasmes dans leur milieu de culture. A la fin de cette période de recrachage, le milieu SP4 est prélevé à l’aide d’une seringue et transférés dans des tubes Laloux® en verre stériles dont le volume final de culture est ajusté à 1 ml avec du milieu de culture SP4 frais. Les tubes sont placés à 32°C et le changement de couleur du milieu de culture est observé environ 1 semaine après la mise en culture. 2.4. Mise en culture des spiroplasmes à partir des insectes Les insectes sont broyés par groupe de 3 dans un potter avec 1 ml de milieu SP4m. Après 15 min d’incubation à température ambiante, le mélange est filtré sur 0,45 µm. Une 137
  • 307.
    Matériels et méthodes sériede dilutions au 1/10ème est réalisée à partir du filtrat. Après incubation à 32°C, le changement de couleur est noté et le nombre de spiroplasmes est déterminé. 3. Effet de la PGK et des peptides sur l’adhésion et/ou l’internalisation 3.1. Adhésion Les cellules Ciha-1, cultivées dans des plaques 24 puits (environ 105 cellules par puit), sont incubées pendant 2 h à 32°C dans 900 µl de milieu cicadelle additionné de différentes concentrations de PGK de Saccharomyces cerevisiae (Sigma), de His6-PGK ou de His6- PGKFL4 et FL5. Les cellules n’ayant subi aucun traitement servent de contrôles positifs tandis que les cellules non infectées par S. citri servent de contrôles négatifs. Des concentrations équivalentes de BSA ou de His6-eIF4E servent également de contrôles. Chaque condition est réalisée en triplicat au cours de chacune des expériences indépendantes menées. Après cette incubation, les cellules sont infectées avec 100 µl d’une culture de S. citri avec une multiplicité d’infection (MOI) d’environ 15-30 pendant 4 h à 4°C. Cette température permet aux spiroplasmes d’adhérer aux cellules de l’hôte mais inhibe les processus eucaryotes mis en place au cours de l’internalisation. Les cellules sont ensuite lavées dans 500 µl de milieu de Schneider (Lonza) afin d’éliminer les spiroplasmes libres. Les cellules sont trypsinées 10 min à 32°C avec un tampon TrypLE™ (Invitrogen) puis des dilutions des cellules, sur lesquelles des spiroplasmes ont adhérés, sont réalisées. Le traitement avec cette solution de trypsine n’a aucun effet sur les spiroplasmes (Duret et al., 2009). Ces différentes dilutions sont étalées sur des boites contenant le milieu de culture des spiroplasmes. Après un temps d’incubation d’environ une semaine à 32°C, le nombre de colonies est dénombré afin de déterminer le nombre de cellules sur lesquelles au moins un spiroplasme a adhéré. Un pourcentage relatif d’adhésion des spiroplasmes sur les cellules Ciha-1 est calculé comme suit: [(Nombre de colonies dénombrées avec incubation protéine exogène / nombre de colonies dénombrées sans traitement) x 100%]. Un test de Student a été réalisé afin de déterminer l’indice de confiance des résultats obtenus. 3.2. Internalisation L’effet du traitement par les différents peptides de la PGK sur l’internalisation des spiroplasmes dans les cellules Ciha-1 a été déterminé par un test de protection à la gentamycine (Isberg & Falkow, 1985). La méthodologie utilisée est identique à celle mise au 138
  • 309.
    Matériels et méthodes pointpour le test d’adhésion des spiroplasmes sur ces mêmes cellules en culture. Les cellules sont infectées avec 100 µl d’une culture de S. citri avec une multiplicité d’infection de 15-30 pendant 18 h à 32°C. Les cellules sont lavées trois fois avec 500 µl de milieu de Schneider (Lonza). Dans le but d’éliminer les spiroplasmes qui ont adhéré aux cellules mais qui n’ont pas été internalisés, les cellules sont incubées avec 1 ml de milieu de cicadelle frais additionné de 400 µg/ml de gentamycine pendant 3 h à 32°C. La gentamycine est éliminée par trois lavages avec 500 µl de milieu de Schneider suivi de trois nouveaux lavages avec 500 µl de PBS. 100 µl du dernier lavage PBS sont étalés sur boite contenant du milieu SP4 afin de s’assurer que le traitement à la gentamycine à éliminer la totalité des spiroplasmes adhérents. Les cellules sont alors trypsinées, étalées sur boites contenant ce même milieu SP4 et incubées pendant une semaine à 32°C. Le nombre de colonies sur chaque boite est dénombré afin de déterminer le nombre de cellules dans lesquelles au moins un spiroplasme a été internalisé. Un pourcentage relatif d’internalisation, ainsi qu’un test statistique correspondant, ont été calculés de manière identique à ceux réalisés pour le test d’adhésion. 4. Observations au microscope confocal 4.1. Glandes salivaires de C. haematoceps infectées Les glandes salivaires des insectes C. haematoceps infectés et non infectés par S. citri sont incubées dans 500 µl de PBS contenant 0.2% Triton X-100 à température ambiante. Les étapes suivantes se sont toutes effectuées dans ce même volume d’incubation. Les glandes salivaires sont lavées deux fois dans du PBS et sont fixées toute la nuit à 4°C dans une solution de 4% paraformaldéhyde diluée dans du PBS additionné de 0,2% Triton X-100 . Les glandes salivaires sont rincées trois fois dans du PBS avec 0.2% Triton X-100 puis sont perméabilisées toute la nuit à 4°C dans du PBS contenant 1% Triton X-100 (PBS-T). Elles sont ensuite bloquées 1 h à température ambiante dans du PBS-T additionné de 1% BSA (tampon de blocage). Les glandes salivaires sont ensuite incubées 2 h à température ambiante avec une solution d’anticorps polyclonaux de S. citri dilués au 1: 500ème dans du PBS additionné de 1% BSA. Après trois lavages dans du PBS, les glandes salivaires sont ensuite traitées 1 h à température ambiante avec un anticorps anti-lapin couplé à un fluorochrome (Alexa 488) dilué au 1:200ème dans du tampon de blocage. En parallèle, l’actine est marquée par la phalloïdine couplée à un fluorochrome (Alexa 568) dilué au 1:40ème. Les glandes salivaires sont une nouvelle fois 139
  • 311.
    Matériels et méthodes lavéestrois fois dans du PBS puis incubées dans un milieu ProLong Gold (Invitrogen). La spécificité du marquage est évaluée sur des images sur lesquelles l’anticorps polyclonal dirigé contre le spiroplasme a été omis. Les observations sont réalisées sur un microscope confocal Leica (TCS SP2) avec une immersion de 40x dans l’eau et de 63x dans l’huile avec un objectif de 1024 x 1024 pixels de résolution. Les images sont transcrites en vert (Alexa 488) et en rouge (Alexa 568). 4.2. Cellules de C. haematoceps incubées avec la His6-PGK Afin de visualiser si l’incubation de la His6-PGK sur les cellules Ciha-1 avait un effet sur le cytosquelette d’actine, des cellules sont cultivées dans des plaques 24 puits comme vu précédemment pour le test d’adhésion cellulaire de S. citri. Après trois lavages dans 500 µl de milieu de Schneider, les cellules sont fixées pendant 15 min dans 500 µl dans une solution de 4% paraformaldéhyde diluée dans du PBS additionné de 0,2% Triton X-100 puis perméabilisées pendant 15 min dans 500 µl d’une solution de 0.1% Triton X-100 in PBS additionné de 1% BSA. Les cellules sont lavées trois fois dans 500 µl de PBS puis elles sont incubées dans une solution de PBS contenant les anticorps monoclonaux anti-hisditine dilués au 1:1000ème suivi par une incubation avec les anticorps secondaire anti-souris couplés à un fluorochrome (Alexa 514). En parallèle, l’actine est marquée par la phalloïdine couplée à un fluorochrome (Alexa 568) dilué au 1:40ème et les noyaux sont marqués suite à l’ajout de 0,2 mg/ml de DAPI. Les observations sont réalisées dans des conditions similaires à celles décrites pour les marquages des glandes salivaires. Les images sont transcrites en bleu (DAPI), en vert (Alexa 514) et en rouge (Alexa 568). 140
  • 313.
  • 315.
    Nombre de Nombres Masse Bande Identification protéine peptides de scans moléculaire différents pSci5_14_adhesion_related_protein,_transmembrane 16 13 88760,7 pSci2_04_adhesion_related_protein,_transmembrane 14 12 91391,07 SPICI20_065_hypothetical_lipoprotein_transmembrane 13 12 84385,27 pSci3_07_adhesion_related_protein,_transmembrane 12 10 87213,79 SPICI03_235_hypothetical_prolipoprotein 12 11 73645,74 diacylglyceryl_transferase SPICI03_025_preprotein_translocase_seca_subunit 10 10 90265,48 pSci5_11_adhesion_related_protein,_transmembrane 9 8 91125,27 1 pSci1_05_adhesion_related_protein,_transmembrane 9= 7= 91747,91 pSci4_07_adhesion_related_protein,_transmembrane 9= 7= 92358,8 (75 et SPICI12_021_hypothetical_oligopeptide_abc_transporter 80 kDa) 8 8 83385,73 substrate-binding_component_lipoprotein_transmembrane SPICI09_031_putative_abc_transporter_permease 7 6 71279,55 and_atp-binding_component_transmembrane_protein SPICI01B_013_probable_cell_division_protein_ftsh 7 6 74934,32 SPICI19_067_putative_atpase_with_chaperone_activity, 4 3 80133,05 clp_protease_subunit_protein SPICI18_008_pts_system_fructose-specific_Iiabc 4 2 72600,02 component_transmembrane_protein SPICI17_005_putative_transketolase_protein 4 3 73789,59 SPICI12_006_fibril_protein 51 21 58651,63 SPICI10_020_groel_chaperonin_protein 41 17 58100,15 SPICI02_009_atp_synthase_alpha_chain_protein 12 6 57316,46 SPICI19_064_chaperone_dnak_protein 11 9 64799,91 SPICI03_235_hypothetical_prolipoprotein 11 9 73645,74 diacylglyceryl_transferase SPICI03_195_probable_2,3-bisphosphoglycerate-independent 2 11 7 58000,02 phosphoglycerate_mutase_protein (60 et SPICI06_095_hypothetical_protein 8 7 59453,99 75 kDa) SPICI01B_013_probable_cell_division_protein_ftsh 5 4 74934,32 SPICI20_066_hypothetical_lipoprotein_transmembrane 4= 4= 63859,34 SPICI18_008_pts_system_fructose-specific_Iiabc 4 2 72600,02 component_transmembrane_protein SPICI17_005_putative_transketolase_protein 4 4 73789,59 SPICI16_043_pts_enzyme_II_glucose-specific_Iicb 4 3 75483,36 component_transmembrane_protein SPICI16_005_enolase_protein 28 11 50253,8 SPICI10_020_groel_chaperonin_protein 24 10 58100,15 SPICI19_064_chaperone_dnak_protein 11 10 64799,91 SPICI03_280_nadp-dependent_glyceraldehyde-3-phosphate 10 9 51673,97 dehydrogenase_oxidoreductase_protein 3 SPICI20_066_hypothetical_lipoprotein_transmembrane 8 7 63859,34 (50 et SPICI12_006_fibril_protein 8 7 58651,63 60 kDa) SPICI01A_065_inosine-5'-monophosphate_dehydrogenase 8 8 52179,75 transmembrane_protein SPICI02_011_atp_synthase_beta_chain_protein 5 5 50589,71 SPICI01B_005_seryl-trna_synthetase_protein 5 5 49016,57 SPICI03_304_putative_trigger_factor_containing 4 4 49326,21 peptidyl-prolyl_isomerase_domain_protein SPICI01B_078_translation_elongation_factor_ef-tu_protein 136 20 43642,32 SPICI03_024_phosphoglycerate_kinase_protein 11 7 44360,34 SPICI03_293_pyrimidine-nucleoside_phosphorylase_protein 10 9 47753,98
  • 317.
    SPICI04_123_probable_cell_division_ftsz 4 8 8 44315,66 transmembrane_protein (45 kDa SPICI19_066_putative_transcription_repressor env) 8 6 40051,67 transcription_regulator_protein (HrcA) SPICI11_025_conserved_hypothetical_protein 6 4 44656,45 SPICI10_054_hypothetical_lipoprotein_transmembrane 5 4 48245,63 SPICI16_005_enolase_protein 4 4 50253,8 pSci5_18_putative_transmembrane_protein 34 14 46113,84 pSci3_14_putative_transmembrane_protein 32 14 46305,96 SPICI16_011_hypothetical_lipoprotein_transmembrane 32 9 41852,52 SPICI03_175_putative_pyruvate_dehydrogenase_e1 18 7 41677,84 component_alpha_subunit_protein SPICI01B_078_translation_elongation 5 16 7 43642,32 factor_ef-tu_protein (40 et SPICI04_123_probable_cell_division_ftsz 45 kDa) 12 10 44315,66 transmembrane_protein SPICI03_076_putative_arginine_deiminase_protein 6 6 45440,68 SPICI03_063_gtp-dependent_nucleic 4 4 40978,23 acid-binding_protein SPICI01B_002_putative_dna_polymerase_III, 4 3 42138,87 beta_chain_protein SPICI01A_048_cell_shape_determining_protein_mreb 64 13 37976,37 SPICI01A_049_cell_shape_determining_protein_mreb 43 12 38625,32 SPICI13_009_cell_shape-determining_protein_mreb1 40 11 38067,4 SPICI03_043_probable_glyceraldehyde_3-phosphate 20 9 36173 dehydrogenase_protein 6 SPICI03_091_probable_abc_transporter_atp_binding (35 kDa 14= 7= 34577,77 component_abc_transporter_protein env) SPICI03_176_probable_pyruvate_dehydrogenase_e1 12= 7= 36740,09 component_beta_subunit_protein SPICI01A_046_cell_shape_determining_protein_mreb 7 5 38100,62 SPICI01B_015_probable_abc_transporter 5 4 34990,68 atp_binding_protein SPICI04_139_spiralin_lipoprotein 57 14 25234,46 SPICI08_046_hypothetical_abc_transporter_atp-binding 59 10 34811,19 component_abc_transporter_protein pSci6_27_P32_protein 14 7 27567,95 7 SPICI06_063_hypothetical_protein 11 4 27609,18 (25 kDa SPICI03_168_putative_phosphate_abc_transporter 10 6 30309,97 env) atp_binding_component_protein SPICI03_105_50s_ribosomal_protein_l2 5 3 30778,64 pSci4_11_SOJ-like_protein 4 3 29495,7 SPICI03_090_probable_abc_transporter_atp-binding 4 3 32620,41 component_abc_transporter_protein pSci6_01_SOJ-like_protein 28 7 29240,38 SPICI03_060_soj-like_partition_protein_para 13 6 28081,76 pSci6_39_SOJ-like_protein 11 3 29672,78 SPICI20_028_conserved_hypothetical_protein 8 5 27328,42 8 SPICI19_065_hypothetical_dnak_cofactor_protein (grpE) 7 4 23503,24 (20 et pSci5_01_SOJ-like_protein 6 3 29921,41 25 kDa) pSci3_05_SOJ-like_transmembrane_protein 6= 5= 29050,27 SPICI03_055_putative_transcription_antitermination 6 3 24554,66 nusg_transmembrane_protein SPICI20_031_putative_potassium_uptake_protein 5 3 26007,91 pSci2_02_SOJ-like_transmembrane_protein 4 3 29638,64 SPICI03_029_triosephosphate_isomerase_protein 12 5 27084,1
  • 319.
    SPICI19_065_hypothetical_dnak_cofactor_protein (grpE) 10 6 23503,24 pSci6_20_hypothetical_protein 9 5 16883,83 SPICI09_079_hypothetical_prophage_major_tail_protein 9 4 19218,62 9 SPICI06_092_hypothetical_protein 9 5 22612,95 (20 kDa SPICI03_189_hypothetical_transmembrane_protein 9 8 27094,91 env) SPICI03_067_hypothetical_rna 5 2 21007,63 dna-directed_polymerase_protein SPICI03_055_putative_transcription_antitermination 5 4 24554,66 nusg_transmembrane_protein SPICI20_031_putative_potassium_uptake_protein 4 3 26007,91 SPICI17_007_hypothetical_protein 15 4 22654,25 SPICI20_046_50s_ribosomal_protein_l1 13 6 24709,48 pSci6_20_hypothetical_protein 11 5 16883,83 10 SPICI17_003_probable_purine_nucleoside 7 4 26271,39 (20 kDa phosphorylase_transmembrane_protein env) SPICI04_138_hypothetical_23.8_kda_in_tsf_3'region 6 4 23813,04 transmembrane_protein SPICI07_016_hypothetical_protein 4 4 20873,26 SPICI03_119_30s_ribosomal_protein_s5 4 3 21977,05 SPICI16_022_probable_30s_ribosomal_protein_s4 13 5 23579,45 11 SPICI03_119_30s_ribosomal_protein_s5 8 5 21977,05 (15 et SPICI03_103_50s_ribosomal_protein_l4 7 4 22947,41 20 kDa) SPICI20_046_50s_ribosomal_protein_l1 6 2 24709,48 12 SPICI04_139_spiralin_lipoprotein 14 2 25234,46 (15 et 20 kDa) pSci4_06_putative_transmembrane_lipoprotein 4 3 27758,46 13 (15 et SPICI04_139_spiralin_lipoprotein 13 2 25234,46 20 kDa) SPICI06_025_hypothetical_lipoprotein_transmembrane 15 4 17674,88 SPICI01B_076_30s_ribosomal_protein_s7 15 6 17756,57 SPICINP12_015_hypothetical_lipoprotein_transmembrane 12 6 19589,11 14 SPICI13_023_hypothetical_lipoprotein_transmembrane 9 3 20532,19 (10 kDa SPICI07_025_hypothetical_lipoprotein_transmembrane 9 5 20315,25 env) SPICI20_002_hypothetical_lipoprotein_transmembrane 8 6 18434,41 SPICI12_036_hypothetical_lipoprotein_transmembrane 8 3 20241,23 SPICI09_055_hypothetical_lipoprotein_transmembrane 8 4 17855,11 15 (60 et SPICI04_139_spiralin_lipoprotein 14 2 25234,46 70 kDa) 16 (60 kDa SPICI10_020_groel_chaperonin_protein 49 21 58100,15 env) 17 SPICI12_006_fibril_protein 11 7 58651,63 (55 kDa env) SPICI14_005_hypothetical_transmembrane_protein 6 6 62773,45 SPICI03_024_phosphoglycerate_kinase_protein 36 15 44360,34 18 SPICI01B_078_translation_elongation_factor_ef-tu_protein 8 6 43642,32 (45 kDa SPICI03_086_glucose-6-phosphate_isomerase env) 5 5 47471,54 transmembrane_protein 19 (40 kDa SPICI04_139_spiralin_lipoprotein 22 2 25234,46 env) SPICI16_011_hypothetical_lipoprotein_transmembrane 14 7 41852,52 20 pSci3_14_putative_transmembrane_protein 5= 2= 46305,96 (40 kDa pSci5_18_putative_transmembrane_protein 5= 2= 46113,84
  • 321.
    env) SPICI19_063_putative_chaperone_dnaj_protein 5 4 42805,7 SPICI01B_078_translation_elongation_factor_ef-tu_protein 5 4 43642,32 SPICI01A_049_cell_shape_determining_protein_mreb 20 6 38625,32 21 SPICI01A_048_cell_shape_determining_protein_mreb 15 8 37976,37 (35 et SPICI13_009_cell_shape-determining_protein_mreb1 9 6 38067,4 40 kDa ) SPICI03_043_probable_glyceraldehyde_3-phosphate 8 5 36173 dehydrogenase_protein SPICI03_102_50s_ribosomal_protein_l3 7 4 27980,07 22 Chr_653333_654279_2 4= 4= 34814,77 (35 kDa SPICI04_087_probable_methionyl-trna env) 4= 4= 35780,2 formyltransferase_protein 23 (25 kDa SPICI04_139_spiralin_lipoprotein 134 24 25234,46 env)
  • 323.
  • 325.
    Bibliographie Bibliographie Aderem, A. and Underhill, D. M. (1999). "Mechanisms of phagocytosis in macrophages." Annu Rev Immunol 17: 593-623. Alberts, B. (1998). "The cell as a collection of protein machines." Biofutur(184): 42-44. Allen, R. M. and Donndelinger, C. R. (1981). "Transmission of Spiroplasma-Citri by 2 Leafhopper Vectors in Arizona." Phytopathology 71(8): 856-856. Alloush, H. M., Lopez-Ribot, J. L., Masten, B. J. and Chaffin, W. L. (1997). "3- phosphoglycerate kinase: a glycolytic enzyme protein present in the cell wall of Candida albicans." Microbiology 143 ( Pt 2): 321-30. Alvarez-Dominguez, C., Madrazo-Toca, F., Fernandez-Prieto, L., Vandekerckhove, J., Pareja, E., Tobes, R., Gomez-Lopez, M. T., Del Cerro-Vadillo, E., Fresno, M., Leyva-Cobian, F. and Carrasco-Marin, E. (2008). "Characterization of a Listeria monocytogenes protein interfering with Rab5a." Traffic 9(3): 325-37. Ammar, E. D., Fulton, D., Bai, X., Meulia, T. and Hogenhout, S. A. (2004). "An attachment tip and pili-like structures in insect- and plant-pathogenic spiroplasmas of the class Mollicutes." Arch Microbiol 181(2): 97-105. Andre, A., Maccheroni, W., Doignon, F., Garnier, M. and Renaudin, J. (2003). "Glucose and trehalose PTS permeases of Spiroplasma citri probably share a single IIA domain, enabling the spiroplasma to adapt quickly to carbohydrate changes in its environment." Microbiology 149(Pt 9): 2687-96. Andreev, J., Borovsky, Z., Rosenshine, I. and Rottem, S. (1995). "Invasion of HeLa cells by Mycoplasma penetrans and the induction of tyrosine phosphorylation of a 145-kDa host cell protein." FEMS Microbiol Lett 132(3): 189-94. Arlat, M., Gough, C. L., Zischek, C., Barberis, P. A., Trigalet, A. and Boucher, C. A. (1992). "Transcriptional organization and expression of the large hrp gene cluster of Pseudomonas solanacearum." Mol Plant Microbe Interact 5(2): 187-93. Armstrong, J. (2000). "How do Rab proteins function in membrane traffic?" Int J Biochem Cell Biol 32(3): 303-7. Backus, E. A. and McLean, D. L. (1985). "Behavioral Evidence That the Precibarial Sensilla of Leafhoppers Are Chemosensory and Function in Host Discrimination." Entomologia Experimentalis Et Applicata 37(3): 219-228. Bai, X., Zhang, J., Ewing, A., Miller, S. A., Jancso Radek, A., Shevchenko, D. V., Tsukerman, K., Walunas, T., Lapidus, A., Campbell, J. W. and Hogenhout, S. A. (2006). "Living with genome instability: the adaptation of phytoplasmas to diverse environments of their insect and plant hosts." J Bacteriol 188(10): 3682-96. Balasubramanian, S., Kannan, T. R. and Baseman, J. B. (2008). "The surface-exposed carboxyl region of Mycoplasma pneumoniae elongation factor Tu interacts with fibronectin." Infect Immun 76(7): 3116-23. Barbara, D. J., Morton, A., Clark, M. F. and Davies, D. L. (2002). "Immunodominant membrane proteins from two phytoplasmas in the aster yellows clade (chlorante aster yellows and clover phyllody) are highly divergent in the major hydrophilic region." Microbiology 148(Pt 1): 157-67. Baseman, J. B., Lange, M., Criscimagna, N. L., Giron, J. A. and Thomas, C. A. (1995). "Interplay between mycoplasmas and host target cells." Microb Pathog 19(2): 105-16. Bastian, F. O. (1979). "Spiroplasma-like inclusions in Creutzfeld-Jakob Disease." Archives of Pathology & Laboratory Medicine 103: 665-669. Bastian, F. O., Sanders, D. E., Forbes, W. A., Hagius, S. D., Walker, J. V., Henk, W. G., Enright, F. M. and Elzer, P. H. (2007). "Spiroplasma spp. from transmissible spongiform encephalopathy brains or ticks induce spongiform encephalopathy in ruminants." J Med Microbiol 56(Pt 9): 1235-42. 141
  • 327.
    Bibliographie Beaucamp, N., Schurig,H. and Jaenicke, R. (1997). "The PGK-TIM fusion protein from Thermotoga maritima and its constituent parts are intrinsically stable and fold independently." Biol Chem 378(7): 679-85. Bébéar, C., Latrille, J., Fleck, J., Roy, B. and Bové, J. M. (1974). " Spiroplasma citri: un mollicute." Colloq. Inst. Natl. Santé Rech. Méd. 33: 35-42. Bencharki, B., Boissinot, S., Revollon, S., Ziegler-Graff, V., Erdinger, M., Wiss, L., Dinant, S., Renard, D., Beuve, M., Lemaitre-Guillier, C. and Brault, V. (2010). "Phloem protein partners of Cucurbit aphid borne yellows virus: possible involvement of phloem proteins in virus transmission by aphids." Mol Plant Microbe Interact 23(6): 799-810. Benz, C., Engstler, M., Hillmer, S. and Clayton, C. (2009). "Depletion of 14-3-3 proteins in bloodstream-form Trypanosoma brucei inhibits variant surface glycoprotein recycling." Int J Parasitol 40(5): 629-34. Berg, M., Melcher, U. and Fletcher, J. (2001). "Characterization of Spiroplasma citri adhesion related protein SARP1, which contains a domain of a novel family designated sarpin." Gene 275(1): 57-64. Bergmann, S., Rohde, M. and Hammerschmidt, S. (2004). "Glyceraldehyde-3-phosphate dehydrogenase of Streptococcus pneumoniae is a surface-displayed plasminogen- binding protein." Infect Immun 72(4): 2416-9. Berho, N., Duret, S., Danet, J. L. and Renaudin, J. (2006). "Plasmid pSci6 from Spiroplasma citri GII-3 confers insect transmissibility to the non-transmissible strain S. citri 44." Microbiology 152(Pt 9): 2703-16. Berho, N., Duret, S. and Renaudin, J. (2006). "Absence of plasmids encoding adhesion- related proteins in non-insect-transmissible strains of Spiroplasma citri." Microbiology 152(Pt 3): 873-86. Bernarde, C., Lehours, P., Lasserre, J. P., Castroviejo, M., Bonneu, M., Megraud, F. and Menard, A. (2010). "A complexomic study of two Helicobacter pylori strains of two pathological origins: potential targets for vaccine development and new insight in bacteria metabolism." Mol Cell Proteomics. Birnboim, H. C. and Doly, J. (1979). "A rapid alkaline extraction procedure for screening recombinant plasmid DNA." Nucleic Acids Res 7(6): 1513-23. Blanchard, A. (1990). "Ureaplasma urealyticum urease genes; use of a UGA tryptophan codon." Mol Microbiol 4(4): 669-76. Blissard, G. W. (1996). "Baculovirus--insect cell interactions." Cytotechnology 20(1-3): 73- 93. Borovsky, Z., Tarshis, M., Zhang, P. and Rottem, S. (1998). "Protein kinase C activation and vacuolation in HeLa cells invaded by Mycoplasma penetrans." J Med Microbiol 47(10): 915-22. Boston, P. F., Jackson, P. and Thompson, R. J. (1982). "Human 14-3-3 Protein - Radioimmunoassay, Tissue Distribution, and Cerebrospinal-Fluid Levels in Patients with Neurological Disorders." Journal of Neurochemistry 38(5): 1475-1482. Boucher, C. A., Van Gijsegem, F., Barberis, P. A., Arlat, M. and Zischek, C. (1987). "Pseudomonas solanacearum genes controlling both pathogenicity on tomato and hypersensitivity on tobacco are clustered." J Bacteriol 169(12): 5626-32. Bourdet-Sicard, R., Rudiger, M., Jockusch, B. M., Gounon, P., Sansonetti, P. J. and Nhieu, G. T. (1999). "Binding of the Shigella protein IpaA to vinculin induces F-actin depolymerization." Embo J 18(21): 5853-62. Boutareaud, A., Danet, J. L., Garnier, M. and Saillard, C. (2004). "Disruption of a gene predicted to encode a solute binding protein of an ABC transporter reduces transmission of Spiroplasma citri by the leafhopper Circulifer haematoceps." Appl Environ Microbiol 70(7): 3960-7. Bové, C., Vignault, J. C., Garnier, M., Saillard, C., Garcia-Jurado, O., B., C., and Nhami, A. (1978). "Mise en évidence de Spiroplasma citri, l'agent causal de la maladie du "stubborn" des agrumes, dans des pervenches (Vinca rosea L.) ornementales de la ville 142
  • 329.
    Bibliographie de Rabat, Maroc." Comptes Rendus de L'Academie Des Sciences-Paris-Série D 288: 57-60. Bové, J. M. (1988). "Spiroplasma citri: fifteen years of research." 10th Proc. Conf. Int. Organ. Citrus Virol. SM Garnsey. Bove, J. M., Renaudin, J., Saillard, C., Foissac, X. and Garnier, M. (2003). "Spiroplasma citri, a plant pathogenic mollicute: Relationships with its two hosts, the plant and the leafhopper vector." Annual Review of Phytopathology 41: 483-500. Bove, J. M., Vignault, J. C., Garnier, M., Saillard, C., Garciajurado, O., Bove, C. and Nhami, A. (1978). "Evidence of Spiroplasma-Citri, Causative Agent of Stubborn Citrus Disease in Ornamental Periwinkle (Vinca-Rosea L) in Rabat, Morocco." Comptes Rendus Hebdomadaires Des Seances De L Academie Des Sciences Serie D 286(1): 57-&. Brault, V., Perigon, S., Reinbold, C., Erdinger, M., Scheidecker, D., Herrbach, E., Richards, K. and Ziegler-Graff, V. (2005). "The polerovirus minor capsid protein determines vector specificity and intestinal tropism in the aphid." J Virol 79(15): 9685-93. Breton, M., Duret, S., Arricau-Bouvery, N., Beven, L. and Renaudin, J. (2008). "Characterizing the replication and stability regions of Spiroplasma citri plasmids identifies a novel replication protein and expands the genetic toolbox for plant- pathogenic spiroplasmas." Microbiology 154(Pt 10): 3232-44. Breton, M., Duret, S., Danet, J. L., Dubrana, M. P. and Renaudin, J. (2010). "Sequences essential for transmission of Spiroplasma citri by its leafhopper vector, Circulifer haematoceps, revealed by plasmid curing and replacement based on incompatibility." Appl Environ Microbiol 76(10): 3198-205. Brinton, C. C., Jr. (1965). "The structure, function, synthesis and genetic control of bacterial pili and a molecular model for DNA and RNA transport in gram negative bacteria." Trans N Y Acad Sci 27(8): 1003-54. Broderick, M. J. and Winder, S. J. (2005). "Spectrin, alpha-actinin, and dystrophin." Adv Protein Chem 70: 203-46. Brodin, L., Low, P. and Shupliakov, O. (2000). "Sequential steps in clathrin-mediated synaptic vesicle endocytosis." Curr Opin Neurobiol 10(3): 312-20. Brumell, J. H. and Scidmore, M. A. (2007). "Manipulation of rab GTPase function by intracellular bacterial pathogens." Microbiol Mol Biol Rev 71(4): 636-52. Brumell, J. H., Tang, P., Zaharik, M. L. and Finlay, B. B. (2002). "Disruption of the Salmonella-containing vacuole leads to increased replication of Salmonella enterica serovar typhimurium in the cytosol of epithelial cells." Infect Immun 70(6): 3264-70. Bruyere, A., Brault, V., Ziegler-Graff, V., Simonis, M. T., Van den Heuvel, J. F., Richards, K., Guilley, H., Jonard, G. and Herrbach, E. (1997). "Effects of mutations in the beet western yellows virus readthrough protein on its expression and packaging and on virus accumulation, symptoms, and aphid transmission." Virology 230(2): 323-34. Burnham, C. A., Shokoples, S. E. and Tyrrell, G. J. (2005). "Phosphoglycerate kinase inhibits epithelial cell invasion by group B streptococci." Microb Pathog 38(5-6): 189-200. Calavan, E. C. and Bove, J. M. (1989). Ecology of Spiroplasma citri. The Mycoplasma. R. F. T. Withcomb, J.G. New-York Academic Press. 5: 425-485. Calavan, E. C. and Oldfield, G. N. (1979). Symptomatology of spiroplasmal plant disease. The Mycoplasma, R. F. Whitcomb & J. G. Tully. New York: Academic Press. 3: 37- 82. Camacho-Carvajal, M. M., Wollscheid, B., Aebersold, R., Steimle, V. and Schamel, W. W. (2004). "Two-dimensional Blue native/SDS gel electrophoresis of multi-protein complexes from whole cellular lysates: a proteomics approach." Mol Cell Proteomics 3(2): 176-82. Campbell, B. C., Steffen-Campbell, J. D., Sorensen J.T. and R.J., G. (1995). "Paraphyly of Homoptera and Auchenorrhyncha inferred from 18S rDNA nucleotide sequences." Systematic Entomology 20: 175-194. 143
  • 331.
    Bibliographie Carbonnelle, E., Helaine,S., Nassif, X. and Pelicic, V. (2006). "A systematic genetic analysis in Neisseria meningitidis defines the Pil proteins required for assembly, functionality, stabilization and export of type IV pili." Mol Microbiol 61(6): 1510-22. Carbonnelle, E., Helaine, S., Prouvensier, L., Nassif, X. and Pelicic, V. (2005). "Type IV pilus biogenesis in Neisseria meningitidis: PilW is involved in a step occurring after pilus assembly, essential for fibre stability and function." Mol Microbiol 55(1): 54-64. Carle, P., Laigret, F., Tully, J. G. and Bove, J. M. (1995). "Heterogeneity of genome sizes within the genus Spiroplasma." Int J Syst Bacteriol 45(1): 178-81. Carle, P., Saillard, C., Carrere, N., Carrere, S., Duret, S., Eveillard, S., Gaurivaud, P., Gourgues, G., Gouzy, J., Salar, P., Verdin, E., Breton, M., Blanchard, A., Laigret, F., Bove, J. M., Renaudin, J. and Foissac, X. (2010). "Partial chromosome sequence of Spiroplasma citri reveals extensive viral invasion and important gene decay." Appl Environ Microbiol 76(11): 3420-6. Castano, S., Blaudez, D., Desbat, B., Dufourcq, J. and Wroblewski, H. (2002). "Secondary structure of spiralin in solution, at the air/water interface, and in interaction with lipid monolayers." Biochim Biophys Acta 1562(1-2): 45-56. Cebrian, M. C., Villaescusa, F. J., Alfaro-Fernandez, A., de Mendoza, A. H., Cordoba-Selles, M. C., Jorda, C., Ferrandiz, J. C., Sanjuan, S. and Font, M. I. (2010). "First Report of Spiroplasma citri in Carrot in Europe." Plant Disease 94(10): 1264-1264. Chang, C. J. and Chen, T. A. (1981). "Amino acids requirement for the in vitro growth of Spiroplasma citri." Phytopathology 71: 558-559. Chang, C. J. and Chen, T. A. (1981). "Development of a Chemically Defined Medium for the Growth and Nutritional Study of Spiroplasma-Citri." Phytopathology 71(8): 866-866. Chen, T. A. and Liao, C. H. (1975). "Corn Stunt Spiroplasma - Isolation, Cultivation, and Proof of Pathogenicity." Science 188(4192): 1015-1017. Choudhury, D., Thompson, A., Stojanoff, V., Langermann, S., Pinkner, J., Hultgren, S. J. and Knight, S. D. (1999). "X-ray structure of the FimC-FimH chaperone-adhesin complex from uropathogenic Escherichia coli." Science 285(5430): 1061-6. Ciccarelli, F. D., Doerks, T., von Mering, C., Creevey, C. J., Snel, B. and Bork, P. (2006). "Toward automatic reconstruction of a highly resolved tree of life." Science 311(5765): 1283-7. Citti, C., Browning, G. F. and Rosengarten, R. (2005). Phenotypic diversity and cell invasion in host subversion by pathogenic mycoplasmas. Mycoplasmas: Molecular biology, pathogenicity and strategies for control. H. B. A. Blanchard and G. F. Browning (ed.), Norfolk (United Kingdom). 439–484. Citti, C., Marechal-Drouard, L., Saillard, C., Weil, J. H. and Bove, J. M. (1992). "Spiroplasma citri UGG and UGA tryptophan codons: sequence of the two tryptophanyl-tRNAs and organization of the corresponding genes." J Bacteriol 174(20): 6471-8. Claeys, D., Geering, K. and Meyer, B. J. (2005). "Two-dimensional Blue Native/sodium dodecyl sulfate gel electrophoresis for analysis of multimeric proteins in platelets." Electrophoresis 26(6): 1189-99. Clausen, J. D., Christiansen, G., Holst, H. U. and Birkelund, S. (1997). "Chlamydia trachomatis utilizes the host cell microtubule network during early events of infection." Mol Microbiol 25(3): 441-9. Cole, R. M., Tully, J. G., Popkin, T. J. and Bove, J. M. (1973). "Morphology, ultrastructure, and bacteriophage infection of the helical mycoplasma-like organism (Spiroplasma citri gen. nov., sp. nov.) cultured from "stubborn" disease of citrus." J Bacteriol 115(1): 367-84. Cornelis, G. R. (2006). "The type III secretion injectisome." Nat Rev Microbiol 4(11): 811- 25. Cornelis, G. R. and Van Gijsegem, F. (2000). "Assembly and function of type III secretory systems." Annu Rev Microbiol 54: 735-74. Cornelis, G. R. and Wolf-Watz, H. (1997). "The Yersinia Yop virulon: a bacterial system for subverting eukaryotic cells." Mol Microbiol 23(5): 861-7. 144
  • 333.
    Bibliographie Cossart, P. (2004)."Bacterial invasion: a new strategy to dominate cytoskeleton plasticity." Dev Cell 6(3): 314-5. Cossart, P., Pizarro-Cerda, J. and Lecuit, M. (2003). "Invasion of mammalian cells by Listeria monocytogenes: functional mimicry to subvert cellular functions." Trends Cell Biol 13(1): 23-31. Cossart, P. and Sansonetti, P. J. (2004). "Bacterial invasion: the paradigms of enteroinvasive pathogens." Science 304(5668): 242-8. Cotter, S. E., Surana, N. K. and St Geme, J. W., 3rd (2005). "Trimeric autotransporters: a distinct subfamily of autotransporter proteins." Trends Microbiol 13(5): 199-205. Daire, X., Boudon-Padieu, E., Bervillé, A., Scnheider, B. and Caudwell, A. (1993a). "Diversity among mycoplasma-like organisms inducing grapevine yellows in France." Vitis. 32: 159-163. Daire, X., Clair, D., Larrue, J., Boudon-Padieu, E., ALma, A., Arzone, A., Cararro, L., Osler, R., Refatti, E., Granata, G., Credi, R., Tanne, E., Pearson, R. and Caudwell, A. (1993b). "Occurence of diverse MLOs in tissues of grapevine affected by grapevine yellows in different countries." Vitis. 32: 247-248. Dallo, S. F., Chavoya, A. and Baseman, J. B. (1990). "Characterization of the gene for a 30- kilodalton adhesion-related protein of Mycoplasma pneumoniae." Infect Immun 58(12): 4163-5. Dallo, S. F., Kannan, T. R., Blaylock, M. W. and Baseman, J. B. (2002). "Elongation factor Tu and E1 beta subunit of pyruvate dehydrogenase complex act as fibronectin binding proteins in Mycoplasma pneumoniae." Mol Microbiol 46(4): 1041-51. Daniels, M. J., Longland, J. M. and Gilbart, J. (1980). "Aspects of motility and chemotaxis in spiroplasmas." Journal of General Microbiology 118: 429-436. Davis, R. E. and Worley, J. F. (1973). " Motile, helical microorganism associated with corn stunt disease." Phytopathology 63: 403-408. Detilleux, P. G., Deyoe, B. L. and Cheville, N. F. (1991). "Effect of endocytic and metabolic inhibitors on the internalization and intracellular growth of Brucella abortus in Vero cells." Am J Vet Res 52(10): 1658-64. Dirksen, L. B., Proft, T., Hilbert, H., Plagens, H., Herrmann, R. and Krause, D. C. (1996). "Sequence analysis and characterization of the hmw gene cluster of Mycoplasma pneumoniae." Gene 171(1): 19-25. Doi, Y., Teranaka, M., Yora, K. and Asuyama, H. (1967). "Mycoplasma or P. L. T. group-like microorganisms found in the phloeme elements of plant infected with mulberry dwarf, potato witches'-broom, aster yellows or paulownia witches'-broom." Ann. Phytopathol. Soc. Jpn 33: 259-266. Dominguez, R. (2009). "Actin filament nucleation and elongation factors--structure-function relationships." Crit Rev Biochem Mol Biol 44(6): 351-66. Dos Remedios, C. G., Chhabra, D., Kekic, M., Dedova, I. V., Tsubakihara, M., Berry, D. A. and Nosworthy, N. J. (2003). "Actin binding proteins: regulation of cytoskeletal microfilaments." Physiol Rev 83(2): 433-73. Douglas, A. E. (1998). "Nutritional interactions in insect-microbial symbioses: aphids and their symbiotic bacteria Buchnera." Annu Rev Entomol 43: 17-37. Dramsi, S. and Cossart, P. (1998). "Intracellular pathogens and the actin cytoskeleton." Annu Rev Cell Dev Biol 14: 137-66. Duguid, J. P., Smith, I. W., Dempster, G. and Edmunds, P. N. (1955). "Non-flagellar filamentous appendages (fimbriae) and haemagglutinating activity in Bacterium coli." J Pathol Bacteriol 70(2): 335-48. Dumke, R., Hausner, M. and Jacobs, E. (2010). "Characterization of the glyceraldehyde-3- phosphate deshydrogenase (GAPDH) of Mycoplasma pneumoniae." Chianciano IOM Congress. Duret, S., Andre, A. and Renaudin, J. (2005). "Specific gene targeting in Spiroplasma citri: improved vectors and production of unmarked mutations using site-specific recombination." Microbiology 151(Pt 8): 2793-803. 145
  • 335.
    Bibliographie Duret, S., Batailler,B., Danet, J. L., Beven, L., Renaudin, J. and Arricau-Bouvery, N. (2009). "Infection of the Circulifer haematoceps cell line Ciha-1 by Spiroplasma citri: the non insect-transmissible strain 44 is impaired in invasion." Microbiology. Duret, S., Berho, N., Danet, J. L., Garnier, M. and Renaudin, J. (2003). "Spiralin is not essential for helicity, motility, or pathogenicity but is required for efficient transmission of Spiroplasma citri by its leafhopper vector Circulifer haematoceps." Appl Environ Microbiol 69(10): 6225-34. Edward, D. G. and Freundt, F. A. (1967). "Proposal for Mollicutes as name of the class established for the order Mycoplasmatales." Int. J. Syst. Bacteriol. 17(3): 267-268. Ellington, J. K., Reilly, S. S., Ramp, W. K., Smeltzer, M. S., Kellam, J. F. and Hudson, M. C. (1999). "Mechanisms of Staphylococcus aureus invasion of cultured osteoblasts." Microbial Pathogenesis 26(6): 317-323. Fletcher, J., Schultz, G. A., Davis, R. E., Eastman, C. E. and Goodman, R. M. (1981). "Brittle Root Disease of Horseradish - Evidence for an Etiological Role of Spiroplasma-Citri." Phytopathology 71(10): 1073-1080. Fletcher, J., Wayadande, A., Melcher, U. and Ye, F. (1998). "The phytopathogenic mollicute- insect vector interface: a closer look." Phytopathology 88(12): 1351-8. Fleury, B., Bergonier, D., Berthelot, X., Peterhans, E., Frey, J. and Vilei, E. M. (2002). "Characterization of P40, a cytadhesin of Mycoplasma agalactiae." Infect Immun 70(10): 5612-21. Foissac, X., Danet, J. L., Saillard, C., Gaurivaud, P., Laigret, F., Pare, C. and Bove, J. M. (1997). "Mutagenesis by insertion of Tn4001 into the genome of Spiroplasma citri: Characterization of mutants affected in plant pathogenicity and transmission to the plant by the leafhopper vector Circulifer haematoceps." Mol Plant Microbe Interact 10(4): 454-461. Foissac, X., Saillard, C. and Bove, J. M. (1997). "Random insertion of transposon Tn4001 in the genome of Spiroplasma citri strain GII3." Plasmid 37(1): 80-6. Foissac, X., Saillard, C., Gandar, J., Zreik, L. and Bove, J. M. (1996). "Spiralin polymorphism in strains of Spiroplasma citri is not due to differences in posttranslational palmitoylation." J Bacteriol 178(10): 2934-40. Foissac, X., Thi Loc, N., Christou, P., Gatehouse, A. M. and Gatehouse, J. A. (2000). "Resistance to green leafhopper (Nephotettix virescens) and brown planthopper (Nilaparvata lugens) in transgenic rice expressing snowdrop lectin (Galanthus nivalis agglutinin; GNA)." J Insect Physiol 46(4): 573-583. Forbes, A. R. (1969). "The stylets of the green peach aphid, Myzus persicae (Homoptera, Aphididae)." Canadian Journal of Entomology 101: 31-41. Fos, A., Bove, J. M., Lallemand, J., Saillard, C., Vignault, J. C., Ali, Y., Brun, P. and Vogel, R. (1986). "The Leafhopper Neoaliturus-Hematoceps Is a Vector of Spiroplasma-Citri in the Mediterranean Area." Annales De L Institut Pasteur-Microbiologie 137A(1): 97-107. Franzoso, G., Dimitrov, D. S., Blumenthal, R., Barile, M. F. and Rottem, S. (1992). "Fusion of Mycoplasma fermentans strain incognitus with T-lymphocytes." FEBS Lett 303(2- 3): 251-4. Fudl-Allah, A. E. S. A., Calavan, E. C. and Igwegbe, E. C. K. (1972). "Culture of mycoplasma like organism associated with the stubborn disease of citrus." Phytopathology 62: 729-731. Fujimoto, L. M., Roth, R., Heuser, J. E. and Schmid, S. L. (2000). "Actin assembly plays a variable, but not obligatory role in receptor-mediated endocytosis in mammalian cells." Traffic 1(2): 161-71. Gadeau, A. P., Mouches, C. and Bove, J. M. (1986). "Probable insensitivity of mollicutes to rifampin and characterization of spiroplasmal DNA-dependent RNA polymerase." J Bacteriol 166(3): 824-8. Gaillard, J. L., Berche, P., Mounier, J., Richard, S. and Sansonetti, P. (1987). "In vitro model of penetration and intracellular growth of Listeria monocytogenes in the human enterocyte-like cell line Caco-2." Infect Immun 55(11): 2822-9. 146
  • 337.
    Bibliographie Gardy, J. L.,Laird, M. R., Chen, F., Rey, S., Walsh, C. J., Ester, M. and Brinkman, F. S. (2005). "PSORTb v.2.0: expanded prediction of bacterial protein subcellular localization and insights gained from comparative proteome analysis." Bioinformatics 21(5): 617-23. Garnier, M., Clerc, M. and Bove, J. M. (1984). "Growth and division of Spiroplasma citri: elongation of elementary helices." J Bacteriol 158(1): 23-8. Garnier, M., Foissac, X., Gaurivaud, P., Laigret, F., Renaudin, J., Saillard, C. and Bove, J. M. (2001). "Mycoplasmas, plants, insect vectors: a matrimonial triangle." C.R. Acad.Sci.Paris. 324(10): 923-8. Gaurivaud, P., Danet, J. L., Laigret, F., Garnier, M. and Bove, J. M. (2000). "Fructose utilization and phytopathogenicity of Spiroplasma citri." Mol Plant Microbe Interact 13(10): 1145-55. Gaurivaud, P., Laigret, F., Garnier, M. and Bove, J. M. (2000). "Fructose utilization and pathogenicity of Spiroplasma citri: characterization of the fructose operon." Gene 252(1-2): 61-9. Gaurivaud, P., Laigret, F., Garnier, M. and Bove, J. M. (2001). "Characterization of FruR as a putative activator of the fructose operon of Spiroplasma citri." FEMS Microbiol Lett 198(1): 73-8. Gaurivaud, P., Laigret, F., Verdin, E., Garnier, M. and Bove, J. M. (2000). "Fructose operon mutants of Spiroplasma citri." Microbiology 146 ( Pt 9): 2229-36. Gerdes, K., Moller-Jensen, J. and Bugge Jensen, R. (2000). "Plasmid and chromosome partitioning: surprises from phylogeny." Mol Microbiol 37(3): 455-66. Ghosh, A. K., Devenport, M., Jethwaney, D., Kalume, D. E., Pandey, A., Anderson, V. E., Sultan, A. A., Kumar, N. and Jacobs-Lorena, M. (2009). "Malaria parasite invasion of the mosquito salivary gland requires interaction between the Plasmodium TRAP and the Anopheles saglin proteins." PLoS Pathog 5(1): e1000265. Ghosh, A. K., Ribolla, P. E. and Jacobs-Lorena, M. (2001). "Targeting Plasmodium ligands on mosquito salivary glands and midgut with a phage display peptide library." Proc Natl Acad Sci U S A 98(23): 13278-81. Gianfaldoni, C., Censini, S., Hilleringmann, M., Moschioni, M., Facciotti, C., Pansegrau, W., Masignani, V., Covacci, A., Rappuoli, R., Barocchi, M. A. and Ruggiero, P. (2007). "Streptococcus pneumoniae pilus subunits protect mice against lethal challenge." Infect Immun 75(2): 1059-62. Gildow, F. E. (1987). "Virus-membrane interactions involved in circulative transmission of luteoviruses by aphids " Adv. Dis. Vector Res. 4: 93-120. Giron, J. A., Lange, M. and Baseman, J. B. (1996). "Adherence, fibronectin binding, and induction of cytoskeleton reorganization in cultured human cells by Mycoplasma penetrans." Infect Immun 64(1): 197-208. Glew, M. D., Marenda, M., Rosengarten, R. and Citti, C. (2002). "Surface diversity in Mycoplasma agalactiae is driven by site-specific DNA inversions within the vpma multigene locus." Journal of Bacteriology 184(21): 5987-5998. Gouin, E., Egile, C., Dehoux, P., Villiers, V., Adams, J., Gertler, F., Li, R. and Cossart, P. (2004). "The RickA protein of Rickettsia conorii activates the Arp2/3 complex." Nature 427(6973): 457-61. Gouin, E., Welch, M. D. and Cossart, P. (2005). "Actin-based motility of intracellular pathogens." Curr Opin Microbiol 8(1): 35-45. Gouranton, J. and Folliot, R. (1970). "[Presence of perinuclear microtubules in the salivary gland of homopterous insect. Centrotus cornutus L]." C R Acad Sci Hebd Seances Acad Sci D 270(14): 1819-21. Granett, A. L., Blue, R. L., Harjung, M. K., Calavan, E. C. and Gumpf, D. J. (1976). "Occurence of Spiroplasma citri in periwinkle in California." Calif. Agric. 30: 18-19. Grassme, H. U. C., Ireland, R. M. and VanPutten, J. P. M. (1996). "Gonococcal opacity protein promotes bacterial entry-associated rearrangements of the epithelial cell actin cytoskeleton." Infection and Immunity 64(5): 1621-1630. 147
  • 339.
    Bibliographie Gray, S. andGildow, F. E. (2003). "Luteovirus-aphid interactions." Annu Rev Phytopathol 41: 539-66. Green, B. T. and Brown, D. R. (2006). "Differential effects of clathrin and actin inhibitors on internalization of Escherichia coli and Salmonella choleraesuis in porcine jejunal Peyer's patches." Vet Microbiol 113(1-2): 117-22. Gruenheid, S. and Finlay, B. B. (2003). "Microbial pathogenesis and cytoskeletal function." Nature 422(6933): 775-81. Hackstadt, T., Rockey, D. D., Heinzen, R. A. and Scidmore, M. A. (1996). "Chlamydia trachomatis interrupts an exocytic pathway to acquire endogenously synthesized sphingomyelin in transit from the Golgi apparatus to the plasma membrane." Embo J 15(5): 964-77. Hall, A. and Nobes, C. D. (2000). "Rho GTPases: molecular switches that control the organization and dynamics of the actin cytoskeleton." Philos Trans R Soc Lond B Biol Sci 355(1399): 965-70. Hames, C., Halbedel, S., Schilling, O. and Stulke, J. (2005). "Multiple-mutation reaction: a method for simultaneous introduction of multiple mutations into the glpK gene of Mycoplasma pneumoniae." Appl Environ Microbiol 71(7): 4097-100. Hansson, L., Wallbrandt, P., Andersson, J. O., Bystrom, M., Backman, A., Carlstein, A., Enquist, K., Lonn, H., Otter, C. and Stromqvist, M. (1995). "Carbohydrate specificity of the Escherichia coli P-pilus papG protein is mediated by its N-terminal part." Biochim Biophys Acta 1244(2-3): 377-83. Hardt, W. D., Chen, L. M., Schuebel, K. E., Bustelo, X. R. and Galan, J. E. (1998). "S. typhimurium encodes an activator of Rho GTPases that induces membrane ruffling and nuclear responses in host cells." Cell 93(5): 815-26. Harvey, H. A., Jennings, M. P., Campbell, C. A., Williams, R. and Apicella, M. A. (2001). "Receptor-mediated endocytosis of Neisseria gonorrhoeae into primary human urethral epithelial cells: the role of the asialoglycoprotein receptor." Molecular Microbiology 42(3): 659-672. Haselkorn, T. S., Markow, T. A. and Moran, N. A. (2009). "Multiple introductions of the Spiroplasma bacterial endosymbiont into Drosophila." Mol Ecol 18(6): 1294-305. Hayward, R. D. and Koronakis, V. (1999). "Direct nucleation and bundling of actin by the SipC protein of invasive Salmonella." Embo J 18(18): 4926-34. Henderson, I. R., Navarro-Garcia, F., Desvaux, M., Fernandez, R. C. and Ala'Aldeen, D. (2004). "Type V protein secretion pathway: the autotransporter story." Microbiol Mol Biol Rev 68(4): 692-744. Herranen, M., Battchikova, N., Zhang, P. P., Graf, A., Sirpio, S., Paakkarinen, V. and Aro, E. M. (2004). "Towards functional proteomics of membrane protein complexes in Synechocystis sp PCC 6803." Plant Physiology 134(1): 470-481. High, N., Mounier, J., Prevost, M. C. and Sansonetti, P. J. (1992). "Ipab of Shigella-Flexneri Causes Entry into Epithelial-Cells and Escape from the Phagocytic Vacuole." Embo Journal 11(5): 1991-1999. Hofmann, C., Vanderbruggen, H., Hofte, H., Van Rie, J., Jansens, S. and Van Mellaert, H. (1988). "Specificity of Bacillus thuringiensis delta-endotoxins is correlated with the presence of high-affinity binding sites in the brush border membrane of target insect midguts." Proc Natl Acad Sci U S A 85(21): 7844-8. Hogenhout, S. A., Oshima, K., Ammar el, D., Kakizawa, S., Kingdom, H. N. and Namba, S. (2008). "Phytoplasmas: bacteria that manipulate plants and insects." Mol Plant Pathol 9(4): 403-23. Hu, L. and Kopecko, D. J. (1999). "Campylobacter jejuni 81-176 associates with microtubules and dynein during invasion of human intestinal cells." Infect Immun 67(8): 4171-82. Hughes, M. J., Moore, J. C., Lane, J. D., Wilson, R., Pribul, P. K., Younes, Z. N., Dobson, R. J., Everest, P., Reason, A. J., Redfern, J. M., Greer, F. M., Paxton, T., Panico, M., Morris, H. R., Feldman, R. G. and Santangelo, J. D. (2002). "Identification of major outer surface proteins of Streptococcus agalactiae." Infect Immun 70(3): 1254-9. 148
  • 341.
    Bibliographie Igwegbe, E. C.K. and Calavan, E. C. (1970). "Occurence of mycoplasma like body in phloem of stubborn infected seedlings." Phytopathology 60: 1525-1526. Ilver, D., Arnqvist, A., Ogren, J., Frick, I. M., Kersulyte, D., Incecik, E. T., Berg, D. E., Covacci, A., Engstrand, L. and Boren, T. (1998). "Helicobacter pylori adhesin binding fucosylated histo-blood group antigens revealed by retagging." Science 279(5349): 373-7. IRPCM. (2004). "'Candidatus Phytoplasma', a taxon for the wall-less, non-helical prokaryotes that colonize plant phloem and insects." Int J Syst Evol Microbiol 54(Pt 4): 1243-55. Isberg, R. R. and Falkow, S. (1985). "A single genetic locus encoded by Yersinia pseudotuberculosis permits invasion of cultured animal cells by Escherichia coli K- 12." Nature 317(6034): 262-4. Ishibashi, Y., Claus, S. and Relman, D. A. (1994). "Bordetella-Pertussis Filamentous Hemagglutinin Interacts with a Leukocyte Signal-Transduction Complex and Stimulates Bacterial Adherence to Monocyte Cr3 (Cd11b/Cd18)." Journal of Experimental Medicine 180(4): 1225-1233. Ishii, Y., Kakizawa, S., Hoshi, A., Maejima, K., Kagiwada, S., Yamaji, Y., Oshima, K. and Namba, S. (2009a). "In the non-insect-transmissible line of onion yellows phytoplasma (OY-NIM), the plasmid-encoded transmembrane protein ORF3 lacks the major promoter region." Microbiology 155(Pt 6): 2058-67. Ishii, Y., Oshima, K., Kakizawa, S., Hoshi, A., Maejima, K., Kagiwada, S., Yamaji, Y. and Namba, S. (2009b). "Process of reductive evolution during 10 years in plasmids of a non-insect-transmissible phytoplasma." Gene 446(2): 51-7. Jacob, C., Nouzieres, F., Duret, S., Bove, J. M. and Renaudin, J. (1997). "Isolation, characterization, and complementation of a motility mutant of Spiroplasma citri." J Bacteriol 179(15): 4802-10. Jaraush, W., Danet, J. L., Broquaire, J. M., Saillard, C., Garnier, M. and Dosha, F. (1999). "Apricot chlorotic leaf roll in Rousillon: specific detection of the pathogen, search for alternative host plants, attempts to determine infection peiods and attempts to identify the insecte vector." Acta Horticulturae 488: 739-744. Kakizawa, S., Oshima, K., Ishii, Y., Hoshi, A., Maejima, K., Jung, H. Y., Yamaji, Y. and Namba, S. (2009). "Cloning of immunodominant membrane protein genes of phytoplasmas and their in planta expression." FEMS Microbiol Lett 293(1): 92-101. Kakizawa, S., Oshima, K., Jung, H. Y., Suzuki, S., Nishigawa, H., Arashida, R., Miyata, S., Ugaki, M., Kishino, H. and Namba, S. (2006a). "Positive selection acting on a surface membrane protein of the plant-pathogenic phytoplasmas." J Bacteriol 188(9): 3424-8. Kakizawa, S., Oshima, K., Kuboyama, T., Nishigawa, H., Jung, H., Sawayanagi, T., Tsuchizaki, T., Miyata, S., Ugaki, M. and Namba, S. (2001). "Cloning and expression analysis of Phytoplasma protein translocation genes." Mol Plant Microbe Interact 14(9): 1043-50. Kakizawa, S., Oshima, K. and Namba, S. (2006b). "Diversity and functional importance of phytoplasma membrane proteins." Trends Microbiol 14(6): 254-6. Kakizawa, S., Oshima, K., Nishigawa, H., Jung, H. Y., Wei, W., Suzuki, S., Tanaka, M., Miyata, S., Ugaki, M. and Namba, S. (2004). "Secretion of immunodominant membrane protein from onion yellows phytoplasma through the Sec protein- translocation system in Escherichia coli." Microbiology 150(Pt 1): 135-42. Karasev, A. V., Kashina, A. S., Gelfand, V. I. and Dolja, V. V. (1992). "HSP70-related 65 kDa protein of beet yellows closterovirus is a microtubule-binding protein." FEBS Letters 304: 12-14. Kariu, T., Yuda, M., Yano, K. and Chinzei, Y. (2002). "MAEBL is essential for malarial sporozoite infection of the mosquito salivary gland." Journal of Experimental Medicine 195(10): 1317-1323. Kenny, B., DeVinney, R., Stein, M., Reinscheid, D. J., Frey, E. A. and Finlay, B. B. (1997). "Enteropathogenic E. coli (EPEC) transfers its receptor for intimate adherence into mammalian cells." Cell 91(4): 511-20. 149
  • 343.
    Bibliographie Kikuchi, T., Mizunoe,Y., Takade, A., Naito, S. and Yoshida, S. (2005). "Curli fibers are required for development of biofilm architecture in Escherichia coli K-12 and enhance bacterial adherence to human uroepithelial cells." Microbiol Immunol 49(9): 875-84. Killiny, N., Batailler, B., Foissac, X. and Saillard, C. (2006). "Identification of a Spiroplasma citri hydrophilic protein associated with insect transmissibility." Microbiology 152(Pt 4): 1221-30. Killiny, N., Castroviejo, M. and Saillard, C. (2005). "Spiroplasma citri spiralin acts in vitro as a lectin binding to glycoproteins from its insect vector Circulifer haematoceps." Phytopathology 95(5): 541-548. Kirkegaard, K., Taylor, M. P. and Jackson, W. T. (2004). "Cellular autophagy: surrender, avoidance and subversion by microorganisms." Nat Rev Microbiol 2(4): 301-14. Kline, K. A., Falker, S., Dahlberg, S., Normark, S. and Henriques-Normark, B. (2009). "Bacterial adhesins in host-microbe interactions." Cell Host Microbe 5(6): 580-92. Kowalczykowski, S. C., Dixon, D. A., Eggleston, A. K., Lauder, S. D. and Rehrauer, W. M. (1994). "Biochemistry of homologous recombination in Escherichia coli." Microbiol Rev 58(3): 401-65. Krause, D. C. (1996). "Mycoplasma pneumoniae cytadherence: unravelling the tie that binds." Mol Microbiol 20(2): 247-53. Krause, D. C., Leith, D. K., Wilson, R. M. and Baseman, J. B. (1982). "Identification of Mycoplasma pneumoniae proteins associated with hemadsorption and virulence." Infect Immun 35(3): 809-17. Kube, M., Schneider, B., Kuhl, H., Dandekar, T., Heitmann, K., Migdoll, A. M., Reinhardt, R. and Seemuller, E. (2008). "The linear chromosome of the plant-pathogenic mycoplasma 'Candidatus Phytoplasma mali'." Bmc Genomics 9. Kügler, M., Jänsch, L., Kruft, V., Schmitz, U. K. and Braun, H.-P. (1997). "Analysis of the chloroplast protein complexes by blue-native polyacrylamide gel electrophoresis (BN- PAGE)." Photosynthesis Research 53(1): 35-44. Kuhner, S., van Noort, V., Betts, M. J., Leo-Macias, A., Batisse, C., Rode, M., Yamada, T., Maier, T., Bader, S., Beltran-Alvarez, P., Castano-Diez, D., Chen, W. H., Devos, D., Guell, M., Norambuena, T., Racke, I., Rybin, V., Schmidt, A., Yus, E., Aebersold, R., Herrmann, R., Bottcher, B., Frangakis, A. S., Russell, R. B., Serrano, L., Bork, P. and Gavin, A. C. (2009). "Proteome organization in a genome-reduced bacterium." Science 326(5957): 1235-40. Kwon, M. O., Wayadande, A. C. and Fletcher, J. (1999). "Spiroplasma citri movement into the intestines and salivary glands of its leafhopper vector, Circulifer tenellus." Phytopathology 89(12): 1144-1151. Labroussaa, F., Arricau-Bouvery, N., Dubrana, M. P. and Saillard, C. (2010). "Entry of Spiroplasma citri into Circulifer haematoceps Cells Involves Interaction between Spiroplasma Phosphoglycerate Kinase and Leafhopper Actin." Applied and Environmental Microbiology 76(6): 1879-1886. Laflèche, D. and Bové, J. M. (1970). "Mycoplasmes dans les agrumes atteints de greening, de stubborn ou de maladies similaires." Fruits 25: 455-465. Langermann, S., Palaszynski, S., Barnhart, M., Auguste, G., Pinkner, J. S., Burlein, J., Barren, P., Koenig, S., Leath, S., Jones, C. H. and Hultgren, S. J. (1997). "Prevention of mucosal Escherichia coli infection by FimH-adhesin-based systemic vaccination." Science 276(5312): 607-11. Lasserre, J. P., Beyne, E., Pyndiah, S., Lapaillerie, D., Claverol, S. and Bonneu, M. (2006). "A complexomic study of Escherichia coli using two-dimensional blue native/SDS polyacrylamide gel electrophoresis." Electrophoresis 27(16): 3306-21. Lauer, P., Rinaudo, C. D., Soriani, M., Margarit, I., Maione, D., Rosini, R., Taddei, A. R., Mora, M., Rappuoli, R., Grandi, G. and Telford, J. L. (2005). "Genome analysis reveals pili in Group B Streptococcus." Science 309(5731): 105. Le Dantec, L., Castroviejo, M., Bove, J. M. and Saillard, C. (1998). "Purification, cloning, and preliminary characterization of a Spiroplasma citri ribosomal protein with DNA binding capacity." Journal of Biological Chemistry 273(38): 24379-24386. 150
  • 345.
    Bibliographie Lee, I. M.,Davis, R. E. and Gundersen-Rindal, D. E. (2000). "Phytoplasma: phytopathogenic mollicutes." Annu Rev Microbiol 54: 221-55. Lee, I. M., Gundersen-Rindal, D. E., Davis, R. E. and Bartoszyk, I. M. (1998). "Revised classification scheme of phytoplasmas based an RFLP analyses of 16S rRNA and ribosomal protein gene sequences." International Journal of Systematic Bacteriology 48: 1153-1169. Lim, P. O. and Sears, B. B. (1989). "16s Ribosomal-Rna Sequence Indicates That Plant- Pathogenic Mycoplasmalike Organisms Are Evolutionarily Distinct from Animal Mycoplasmas." Journal of Bacteriology 171(11): 5901-5906. Lim, P. O. and Sears, B. B. (1992). "Evolutionary Relationships of a Plant-Pathogenic Mycoplasmalike Organism and Acholeplasma-Laidlawii Deduced from 2 Ribosomal- Protein Gene-Sequences." Journal of Bacteriology 174(8): 2606-2611. Liu, H. Y., Gumpf, D. J., Oldfield, G. N. and Calavan, E. C. (1983). "Transmission of Spiroplasma-Citri by Circulifer-Tenellus." Phytopathology 73(4): 582-585. Liu, S., Sivakumar, S., Sparks, W. O., Miller, W. A. and Bonning, B. C. (2010). "A peptide that binds the pea aphid gut impedes entry of Pea enation mosaic virus into the aphid hemocoel." Virology 401(1): 107-16. Lyon, B. R., May, J. W. and Skurray, R. A. (1984). "Tn4001: a gentamicin and kanamycin resistance transposon in Staphylococcus aureus." Mol Gen Genet 193(3): 554-6. Maccheroni, W., Renaudin, J., Bove, J. M. and Garnier, M. (2001). "Identification, organization and expression of five mreB-like genes in Spiroplasma citri: effect of mreB1 disruption in insect transmission and phytopathogenicity. Unpublished." AF455359. Maccioni, R. B. and Cambiazo, V. (1995). "Role of microtubule-associated proteins in the control of microtubule assembly." Physiol Rev 75(4): 835-64. Mackintosh, C. (2004). "Dynamic interactions between 14-3-3 proteins and phosphoproteins regulate diverse cellular processes." Biochem J 381(Pt 2): 329-42. Mahdavi, J., Sonden, B., Hurtig, M., Olfat, F. O., Forsberg, L., Roche, N., Angstrom, J., Larsson, T., Teneberg, S., Karlsson, K. A., Altraia, S., Wadstrom, T., Kersulyte, D., Berg, D. E., Dubois, A., Petersson, C., Magnusson, K. E., Norberg, T., Lindh, F., Lundskog, B. B., Arnqvist, A., Hammarstrom, L. and Boren, T. (2002). "Helicobacter pylori SabA adhesin in persistent infection and chronic inflammation." Science 297(5581): 573-578. Majeed, M. and Kihlstrom, E. (1991). "Mobilization of F-Actin and Clathrin During Redistribution of Chlamydia-Trachomatis to an Intracellular Site in Eukaryotic Cells." Infection and Immunity 59(12): 4465-4472. Malagnini, V., Pedrazzoli, F., Gualandri, V., Forno, F., Zasso, R., Pozzebon, A. and Ioriatti, C. (2010). "A study of the effects of 'Candidatus Phytoplasma mali' on the psyllid Cacopsylla melanoneura (Hemiptera: Psyllidae)." J Invertebr Pathol 103(1): 65-7. Mandel, M. and Higa, A. (1970). "Calcium-dependent bacteriophage DNA infection." J Mol Biol 53(1): 159-62. Mandlik, A., Swierczynski, A., Das, A. and Ton-That, H. (2008). "Pili in Gram-positive bacteria: assembly, involvement in colonization and biofilm development." Trends Microbiol 16(1): 33-40. Marais, A., Bove, J. M. and Renaudin, J. (1996). "Characterization of the recA gene regions of Spiroplasma citri and Spiroplasma melliferum." J Bacteriol 178(23): 7003-9. Marais, A., Bove, J. M. and Renaudin, J. (1996). "Spiroplasma citri virus SpV1-derived cloning vector: deletion formation by illegitimate and homologous recombination in a spiroplasmal host strain which probably lacks a functional recA gene." J Bacteriol 178(3): 862-70. Marcone, C., Neimark, H., Ragozzino, A., Lauer, U. and Seemuller, E. (1999). "Chromosome sizes of phytoplasmas composing major phylogenetic groups and subgroups." Phytopathology 89(9): 805-810. 151
  • 347.
    Bibliographie Markham, P. G.and Townsend, R. (1979). Environmental vectors of spiroplasma. Leafhopper vectors and plant disease agents. K. Maramorosch and K. F. Harris. New York, Academic Press: 413-446. Markham, P. G., Townsend, R., Bar-Joseph, M., Daniels, M. J., Plaskitt, A. and Meddins, B. M. (1974). "Spiroplasmas are the causal agents of citrus little-leaf disease." Ann Appl Biol 78(1): 49-57. Marsh, M. and Helenius, A. (1989). "Virus entry into animal cells." Adv Virus Res 36: 107- 51. Martinez, J. J., Seveau, S., Veiga, E., Matsuyama, S. and Cossart, P. (2005). "Ku70, a component of DNA-dependent protein kinase, is a mammalian receptor for Rickettsia conorii." Cell 123(6): 1013-23. Martinez, O. and Goud, B. (1998). "Rab proteins." Biochim Biophys Acta 1404(1-2): 101-12. Maruta, K., Ogawa, M., Miyamoto, H., Izu, K. and Yoshida, S. I. (1998). "Entry and intracellular localization of Legionella dumoffii in Vero cells." Microb Pathog 24(2): 65-73. Mas, P. and Beachy, R. N. (2000). "Role of microtubules in the intracellular distribution of tobacco mosaic virus movement protein." Proc Natl Acad Sci U S A 97(22): 12345-9. Matuschewski, K., Nunes, A. C., Nussenzweig, V. and Menard, R. (2002). "Plasmodium sporozoite invasion into insect and mammalian cells is directed by the same dual binding system." Embo J 21(7): 1597-606. McCammon, A. L., E. L. Dally and Davis., R. E. (1990). "Electroporation and DNA methylation effects on the transfection of spiroplasma." Zentralbl. Bakteriol. 20(Suppl.): 60–65. McCoy, R. E., Caudwell, A., Chang, C.-J., Chen, T. A., Chiykowski, L. N., Cousin, M. T., Dale, J. L., de Leeuw, G. T. N., Golino, D. A., Hackett, K. J., Kirkpatrick, B. C., Marwitz, R., Petzold, H., Sinha, R. C., Sugiura, M., Whitcomb, R. F., Yang, I. L., Zhu, B. M. and Seemuller, E. (1989). Plant diseases associated with mycoplasma-like organisms. The Mycoplasmas, Whitcomb, R.F. & Tully, J.G. New york: Academic Press Inc: 545-640. McDonald, D., Vodicka, M. A., Lucero, G., Svitkina, T. M., Borisy, G. G., Emerman, M. and Hope, T. J. (2002). "Visualization of the intracellular behavior of HIV in living cells." J Cell Biol 159(3): 441-52. McNiven, M. A. and Marlowe, K. J. (1999). "Contributions of molecular motor enzymes to vesicle-based protein transport in gastrointestinal epithelial cells." Gastroenterology 116(2): 438-51. Mello, A. F., Wayadande, A. C., Yokomi, R. K. and Fletcher, J. (2009). "Transmission of different isolates of Spiroplasma citri to carrot and citrus by Circulifer tenellus (Hemiptera: Cicadellidae)." J Econ Entomol 102(4): 1417-22. Mercer, J. and Helenius, A. (2009). "Virus entry by macropinocytosis." Nat Cell Biol 11(5): 510-20. Miller, R. V. and Kokjohn, T. A. (1990). "General microbiology of recA: environmental and evolutionary significance." Annu Rev Microbiol 44: 365-94. Mora, M., Bensi, G., Capo, S., Falugi, F., Zingaretti, C., Manetti, A. G., Maggi, T., Taddei, A. R., Grandi, G. and Telford, J. L. (2005). "Group A Streptococcus produce pilus-like structures containing protective antigens and Lancefield T antigens." Proc Natl Acad Sci U S A 102(43): 15641-6. Morin, S., Ghanim, M., Sobol, I. and Czosnek, H. (2000). "The GroEL protein of the whitefly Bemisia tabaci interacts with the coat protein of transmissible and nontransmissible begomoviruses in the yeast two-hybrid system." Virology 276(2): 404-16. Moroianu, J., Fett, J. W., Riordan, J. F. and Vallee, B. L. (1993). "Actin is a surface component of calf pulmonary artery endothelial cells in culture." Proc Natl Acad Sci U S A 90(9): 3815-9. Mouches, C., Bove, J. M. and Albisetti, J. (1984). "Pathogenicity of Spiroplasma apis and other spiroplasmas for honey-bees in southwestern France." Ann Microbiol (Paris) 135A(1): 151-5. 152
  • 349.
    Bibliographie Mouchès, C., Bové,J. M., Albisetti, J., Clark, T. B. and Tully, J. G. (1982). "A spiroplasma of serogroup IV causes a May-disease-like disorder of honeybees in southwestern France." Microbial Ecology 8: 387-399. Murray, R. G. E. and Schleifer, K. H. (1994). "Taxonomic Notes - a Proposal for Recording the Properties of Putative Taxa of Prokaryotes." International Journal of Systematic Bacteriology 44(1): 174-176. Nakane, D. and Miyata, M. (2007). "Cytoskeletal "jellyfish" structure of Mycoplasma mobile." Proc Natl Acad Sci U S A 104(49): 19518-23. Neff, D. and Dencher, N. A. (1999). "Purification of Multisubunit Membrane Protein Complexes: Isolation of Chloroplast FoF1-ATP Synthase, CFo and CF1 by Blue Native Electrophoresis." Biochemical and Biophysical Research Communications 259(3): 569-575. Nhieu, G. T., Enninga, J., Sansonetti, P. and Grompone, G. (2005). "Tyrosine kinase signaling and type III effectors orchestrating Shigella invasion." Curr Opin Microbiol 8(1): 16- 20. Nhieu, G. T. and Sansonetti, P. J. (1999). "Mechanism of Shigella entry into epithelial cells." Curr Opin Microbiol 2(1): 51-5. Nishigawa, H., Oshima, K., Kakizawa, S., Jung, H. Y., Kuboyama, T., Miyata, S., Ugaki, M. and Namba, S. (2002). "A plasmid from a non-insect-transmissible line of a phytoplasma lacks two open reading frames that exist in the plasmid from the wild- type line." Gene 298(2): 195-201. Nocard, E. and Roux, E. (1898). "Le microbe de la péripneumonie." Annales de l'Institut Pasteur 12: 240-262. Norris, F. A., Wilson, M. P., Wallis, T. S., Galyov, E. E. and Majerus, P. W. (1998). "SopB, a protein required for virulence of Salmonella dublin, is an inositol phosphate phosphatase." Proc Natl Acad Sci U S A 95(24): 14057-9. Nunan, L. M., Lightner, D. V., Oduori M.A. and Gasparich, G. E. (2005). "Spiroplasma penaei sp. nov., associated with mortalities in Penaeus vannamei, Pacific white shrimp." International Journal of Systematic and Evolutionary Microbiology 55: 2317- 2322. O'Connell, K. L. and Stults, J. T. (1997). "Identification of mouse liver proteins on two- dimensional electrophoresis gels by matrix-assisted laser desorption/ionization mass spectrometry of in situ enzymatic digests." Electrophoresis 18(3-4): 349-59. Ochman, H., Soncini, F. C., Solomon, F. and Groisman, E. A. (1996). "Identification of a pathogenicity island required for Salmonella survival in host cells." Proc Natl Acad Sci U S A 93(15): 7800-4. Oelschlaeger, T. A., Guerry, P. and Kopecko, D. J. (1993). "Unusual Microtubule-Dependent Endocytosis Mechanisms Triggered by Campylobacter-Jejuni and Citrobacter- Freundii." Proceedings of the National Academy of Sciences of the United States of America 90(14): 6884-6888. Oelschlaeger, T. A. and Tall, B. D. (1997). "Invasion of cultured human epithelial cells by Klebsiella pneumoniae isolated from the urinary tract." Infect Immun 65(7): 2950-8. Ogawa, M., Yoshimori, T., Suzuki, T., Sagara, H., Mizushima, N. and Sasakawa, C. (2005). "Escape of intracellular Shigella from autophagy." Science 307(5710): 727-31. Olsen, A., Jonsson, A. and Normark, S. (1989). "Fibronectin binding mediated by a novel class of surface organelles on Escherichia coli." Nature 338(6217): 652-5. Oshima, K., Kakizawa, S., Nishigawa, H., Jung, H. Y., Wei, W., Suzuki, S., Arashida, R., Nakata, D., Miyata, S., Ugaki, M. and Namba, S. (2004). "Reductive evolution suggested from the complete genome sequence of a plant-pathogenic phytoplasma." Nature Genetics 36(1): 27-29. Oshima, K., Shiomi, T., Kuboyama, T., Sawayanagi, T., Nishigawa, H., Kakizawa, S., Miyata, S., Ugaki, M. and Namba, S. (2001). "Isolation and Characterization of Derivative Lines of the Onion Yellows Phytoplasma that Do Not Cause Stunting or Phloem Hyperplasia." Phytopathology 91(11): 1024-9. 153
  • 351.
    Bibliographie Ozbek, E., Miller,S. A., Meulia, T. and Hogenhout, S. A. (2003). "Infection and replication sites of Spiroplasma kunkelii (Class: Mollicutes) in midgut and Malpighian tubules of the leafhopper Dalbulus maidis." J Invertebr Pathol 82(3): 167-75. Papini, E., Satin, B., Bucci, C., de Bernard, M., Telford, J. L., Manetti, R., Rappuoli, R., Zerial, M. and Montecucco, C. (1997). "The small GTP binding protein rab7 is essential for cellular vacuolation induced by Helicobacter pylori cytotoxin." Embo J 16(1): 15-24. Parsot, C. (2005). "Shigella spp. and enteroinvasive Escherichia coli pathogenicity factors." FEMS Microbiol Lett 252(1): 11-8. Patti, J. M. and Hook, M. (1994). "Microbial adhesins recognizing extracellular matrix macromolecules." Curr Opin Cell Biol 6(5): 752-8. Phizicky, E. M. and Fields, S. (1995). "Protein-Protein Interactions - Methods for Detection and Analysis." Microbiological Reviews 59(1): 94-123. Piasek, A. and Thyberg, J. (1980). "Effects of colchicine on endocytosis of horseradish peroxidase by rat peritoneal macrophages." J Cell Sci 45: 59-71. Pizarro-Cerda, J. and Cossart, P. (2006). "Bacterial adhesion and entry into host cells." Cell 124(4): 715-27. Pollack, J. D., Williams, M. V., Banzon, J., Jones, M. A., Harvey, L. and Tully, J. G. (1996). "Comparative metabolism of Mesoplasma, Entomoplasma, Mycoplasma, and Acholeplasma." Int J Syst Bacteriol 46(4): 885-90. Pyndiah, S., Lasserre, J. P., Menard, A., Claverol, S., Prouzet-Mauleon, V., Megraud, F., Zerbib, F. and Bonneu, M. (2007). "Two-dimensional blue native/SDS gel electrophoresis of multiprotein complexes from Helicobacter pylori." Mol Cell Proteomics 6(2): 193-206. Radin, J. N., Orihuela, C. J., Murti, G., Guglielmo, C., Murray, P. J. and Tuomanen, E. I. (2005). "beta-arrestin 1 participates in platelet-activating factor receptor-mediated endocytosis of Streptococcus pneumoniae." Infection and Immunity 73(12): 7827- 7835. Rahman, M., Kallstrom, H., Normark, S. and Jonsson, A. B. (1997). "PilC of pathogenic Neisseria is associated with the bacterial cell surface." Mol Microbiol 25(1): 11-25. Ramagli, L. S. and Rodriguez, L. V. (1985). "Quantitation of microgram amounts of protein in two-dimensional polyacrylamide gel electrophoresis sample buffer." ELECTROPHORESIS 6(11): 559-563. Rana, G. L., Kaloostian, G. H., Oldfield, G. N., Granett, A. L., Calavan, E. C., Pierce, H. D., Lee, I. M. and Grumpf, D. J. (1975). "Acquisition of Spiroplasma citri through membranes by homopterous insects." Phytopathology 65: 1143-1145. Rasooly, R., Raccah, B. and Klein, M. (1994). "Laboratory Transmission of the Citrus Stubborn Disease Agent by a Leafhopper from the Circulifer-Tenellus Complex from the Jordan Valley." Phytoparasitica 22(3): 209-218. Razin, S. and Jacobs, E. (1992). "Mycoplasma adhesion." J Gen Microbiol 138(3): 407-22. Razin, S., Yogev, D. and Naot, Y. (1998). "Molecular biology and pathogenicity of mycoplasmas." Microbiol Mol Biol Rev 62(4): 1094-156. Reinbold, C., Gildow, F. E., Herrbach, E., Ziegler-Graff, V., Goncalves, M. C., van Den Heuvel, J. F. and Brault, V. (2001). "Studies on the role of the minor capsid protein in transport of Beet western yellows virus through Myzus persicae." J Gen Virol 82(Pt 8): 1995-2007. Renaudin, J., Aullo, P., Vignault, J. C. and Bove, J. M. (1990). "Complete nucleotide sequence of the genome of Spiroplasma citri virus SpV1-R8A2 B." Nucleic Acids Res 18(5): 1293. Renaudin, J. and Bove, J. M. (1994). Spv1 and Spv4, Spiroplasma Viruses with Circular, Single-Stranded-DNA Genomes, and Their Contribution to the Molecular-Biology of Spiroplasmas. Advances in Virus Research, Vol 44. 44: 429-463. Renaudin, J. and Lartigue, C. (2005). OriC plasmids as gene vectors for mollicutes. Mycoplasmas: Pathogenis, Molecular Biology, and Emerging strategies for Control. A. Blanchard and G. Browning. Norwich, UK: Horizon Scientific Press: 3-30. 154
  • 353.
    Bibliographie Renaudin, J., Marais,A., Verdin, E., Duret, S., Foissac, X., Laigret, F. and Bove, J. M. (1995). "Integrative and free Spiroplasma citri oriC plasmids: expression of the Spiroplasma phoeniceum spiralin in Spiroplasma citri." J Bacteriol 177(10): 2870-7. Renaudin, J., Pascarel, M. C., Saillard, C., Chevalier, C. and Bove, J. M. (1986). "Chez les spiroplasmes le codon UGA n'est pas non sens et semble coder pour le tryptophane." C.R Acad Sci Paris Série III(303): 539-540. Rosati, S., Robino, P., Fadda, M., Pozzi, S., Mannelli, A. and Pittau, M. (2000). "Expression and antigenic characterization of recombinant Mycoplasma agalactiae P48 major surface protein." Vet Microbiol 71(3-4): 201-10. Rosenberg, R. (1985). "Inability of Plasmodium knowlesi sporozoites to invade Anopheles freeborni salivary glands." Am J Trop Med Hyg 34(4): 687-91. Rosini, R., Rinaudo, C. D., Soriani, M., Lauer, P., Mora, M., Maione, D., Taddei, A., Santi, I., Ghezzo, C., Brettoni, C., Buccato, S., Margarit, I., Grandi, G. and Telford, J. L. (2006). "Identification of novel genomic islands coding for antigenic pilus-like structures in Streptococcus agalactiae." Mol Microbiol 61(1): 126-41. Roth, D. and Burgoyne, R. D. (1995). "Stimulation of Catecholamine Secretion from Adrenal Chromaffin Cells by 14-3-3-Proteins Is Due to Reorganization of the Cortical Actin Network." Febs Letters 374(1): 77-81. Rottem, S. (2003). "Interaction of mycoplasmas with host cells." Physiol Rev 83(2): 417-32. Saglio, P., Lhospital, M., Laflèche, D., Dupont, G., Bové, J. M., Tully, J. G. and Freundt, E. A. (1973). "Spiroplasma citri gen. and sp. nov.: a mycoplasma-like organism associated with stubborn disease of citrus." Int. J. Syst. Bacteriol. 23: 191-204. Saglio, P., Lhospital, M., Laflèche, M., Dupont, G., Bové, J. M., Tully, J. G. and Freundt, E. A. (1971). "Culture in vitro des mycoplasmes associés au stubborn des agrumes et leur observation au microscope electronique." C.R. Acad.Sci.Paris. 272: 1387-1390. Saglio, P. and Whitcomb, R. F. (1979). Diversity of wall-less procaryotes in plant vascular tissue, fungi, and invertebrate animals. The Mycoplasma. R. F. W. J. G. Tully. New- York, Academic Press. 3: 1-36. Saiki, R. K., Walsh, P. S., Levenson, C. H. and Erlich, H. A. (1989). "Genetic analysis of amplified DNA with immobilized sequence-specific oligonucleotide probes." Proc Natl Acad Sci U S A 86(16): 6230-4. Saillard, C., Carle, P., Duret-Nurbel, S., Henri, R., Killiny, N., Carrere, S., Gouzy, J., Bove, J. M., Renaudin, J. and Foissac, X. (2008). "The abundant extrachromosomal DNA content of the Spiroplasma citri GII3-3X genome." BMC Genomics 9: 195. Saillard, C., Vignault, J. C., Bove, J. M., Raie, A., Tully, J. G., Williamson, D. L., Fos, A., Garnier, M., Gadeau, A., Carle, P. and Whitcomb, R. F. (1987). "Spiroplasma- Phoeniceum Sp-Nov, a New Plant-Pathogenic Species from Syria." International Journal of Systematic Bacteriology 37(2): 106-115. Sambrook, J., Fritsch, E. F. and Maniatis, T. (1989). "Molecular cloning. A laboratory manual." Cold Spring Harbor Laboratory Press. Schagger, H. and von Jagow, G. (1991). "Blue native electrophoresis for isolation of membrane protein complexes in enzymatically active form." Anal Biochem 199(2): 223-31. Schamel, W. W. (2008). "Two-dimensional blue native polyacrylamide gel electrophoresis." Curr Protoc Cell Biol Chapter 6: Unit 6 10. Schilling, J. D., Mulvey, M. A. and Hultgren, S. J. (2001). "Structure and function of Escherichia coli type 1 pili: new insight into the pathogenesis of urinary tract infections." J Infect Dis 183 Suppl 1: S36-40. Schmid, S. L. and Damke, H. (1995). "Coated vesicles: a diversity of form and function." Faseb J 9(14): 1445-53. Schramm, N. and Wyrick, P. B. (1995). "Cytoskeletal Requirements in Chlamydia- Trachomatis Infection of Host-Cells." Infection and Immunity 63(1): 324-332. Schurig, H., Beaucamp, N., Ostendorp, R., Jaenicke, R., Adler, E. and Knowles, J. R. (1995). "Phosphoglycerate kinase and triosephosphate isomerase from the hyperthermophilic 155
  • 355.
    Bibliographie bacterium Thermotoga maritima form a covalent bifunctional enzyme complex." Embo J 14(3): 442-51. Seddas, P., Boissinot, S., Strub, J. M., Van Dorsselaer, A., Van Regenmortel, M. H. V. and Pattus, F. (2004). "Rack-1, GAPDH3, and actin: proteins of Myzus persicae potentially involved in the transcytosis of beet western yellows virus particles in the aphid." Virology 325(2): 399-412. Seemüller, E., Schneider, B., Mäurer, R., Ahrens, U., Daire, X., Kison, H., Lorenz, K.-H., Firrao, G., Avinent, L., Sears, B. B. and Stackebrandt, E. (1994). "Phylogenetic classification of phytopathogenic Mollicutes by sequence analysis of the 16S ribosomal DNA." International Journal of Systematics Bacteriology 44: 440-446. Seifert, K. N., McArthur, W. P., Bleiweis, A. S. and Brady, L. J. (2003). "Characterization of group B streptococcal glyceraldehyde-3-phosphate dehydrogenase: surface localization, enzymatic activity, and protein-protein interactions." Can J Microbiol 49(5): 350-6. Seybert, A., Herrmann, R. and Frangakis, A. S. (2006). "Structural analysis of Mycoplasma pneumoniae by cryo-electron tomography." J Struct Biol 156(2): 342-54. Shaevitz, J. W., Lee, J. Y. and Fletcher, D. A. (2005). "Spiroplasma swim by a processive change in body helicity." Cell 122(6): 941-5. Silacci, P., Mazzolai, L., Gauci, C., Stergiopulos, N., Yin, H. L. and Hayoz, D. (2004). "Gelsolin superfamily proteins: key regulators of cellular functions." Cell Mol Life Sci 61(19-20): 2614-23. Sirand-Pugnet, P., Lartigue, C., Marenda, M., Jacob, D., Barre, A., Barbe, V., Schenowitz, C., Mangenot, S., Couloux, A., Segurens, B., de Daruvar, A., Blanchard, A. and Citti, C. (2007). "Being pathogenic, plastic, and sexual while living with a nearly minimal bacterial genome." PLoS Genet 3(5): e75. Spaargaren, M. and Bos, J. L. (1999). "Rab5 induces Rac-independent lamellipodia formation and cell migration." Mol Biol Cell 10(10): 3239-50. Stamburski, C., Renaudin, J. and Bove, J. M. (1990). "Characterization of a promoter and a transcription terminator of Spiroplasma melliferum virus SpV4." J Bacteriol 172(10): 5586-92. Stamburski, C., Renaudin, J. and Bove, J. M. (1991). "First step toward a virus-derived vector for gene cloning and expression in spiroplasmas, organisms which read UGA as a tryptophan codon: synthesis of chloramphenicol acetyltransferase in Spiroplasma citri." J Bacteriol 173(7): 2225-30. Stenberg, F., Chovanec, P., Maslen, S. L., Robinson, C. V., Ilag, L. L., von Heijne, G. and Daley, D. O. (2005). "Protein complexes of the Escherichia coli cell envelope." J Biol Chem 280(41): 34409-19. Stevens, J. M., Galyov, E. E. and Stevens, M. P. (2006). "Actin-dependent movement of bacterial pathogens." Nat Rev Microbiol 4(2): 91-101. Sturgill-Koszycki, S., Haddix, P. L. and Russell, D. G. (1997). "The interaction between Mycobacterium and the macrophage analyzed by two-dimensional polyacrylamide gel electrophoresis." Electrophoresis 18(14): 2558-2565. Sung, M. A., Fleming, K., Chen, H. A. and Matthews, S. (2001). "The solution structure of PapGII from uropathogenic Escherichia coli and its recognition of glycolipid receptors." Embo Reports 2(7): 621-627. Suzuki, S., Oshima, K., Kakizawa, S., Arashida, R., Jung, H. Y., Yamaji, Y., Nishigawa, H., Ugaki, M. and Namba, S. (2006). "Interaction between the membrane protein of a pathogen and insect microfilament complex determines insect-vector specificity." Proc Natl Acad Sci U S A 103(11): 4252-7. Suzuki, T. and Sasakawa, C. (1998). "N-WASP is an important protein for the actin-based motility of Shigella flexneri in the infected epithelial cells." Jpn J Med Sci Biol 51 Suppl: S63-8. Swamy, M., Siegers, G. M., Minguet, S., Wollscheid, B. and Schamel, W. W. (2006). "Blue native polyacrylamide gel electrophoresis (BN-PAGE) for the identification and analysis of multiprotein complexes." Sci STKE 2006(345): pl4. 156
  • 357.
    Bibliographie Taylor-Robinson, D., Davies,H. A., Sarathchandra, P. and Furr, P. M. (1991). "Intracellular location of mycoplasmas in cultured cells demonstrated by immunocytochemistry and electron microscopy." Int J Exp Pathol 72(6): 705-14. Taylor-Robinson, D., Sarathchandra, P. and Furr, P. M. (1993). "Mycoplasma fermentans-- HeLa cell interactions." Clin Infect Dis 17 Suppl 1: S302-4. Thompson, J., Fernandez-Reyes, D., Sharling, L., Moore, S. G., Eling, W. M., Kyes, S. A., Newbold, C. I., Kafatos, F. C., Janse, C. J. and Waters, A. P. (2007). "Plasmodium cysteine repeat modular proteins 1-4: complex proteins with roles throughout the malaria parasite life cycle." Cell Microbiol 9(6): 1466-80. Tilney, L. G., Harb, O. S., Connelly, P. S., Robinson, C. G. and Roy, C. R. (2001). "How the parasitic bacterium Legionella pneumophila modifies its phagosome and transforms it into rough ER: implications for conversion of plasma membrane to the ER membrane." J Cell Sci 114(Pt 24): 4637-50. Towbin, H., Staehelin, T. and Gordon, J. (1979). "Electrophoretic transfer of proteins from polyacrylamide gels to nitrocellulose sheets: procedure and some applications." Proc Natl Acad Sci U S A 76(9): 4350-4. Townsend, R. (1983). "Spiroplasma fibrils." Yale J Biol Med 56(5-6): 447-52. Trachtenberg, S. (2004). "Shaping and moving a spiroplasma." J Mol Microbiol Biotechnol 7(1-2): 78-87. Trachtenberg, S., Andrews, S. B. and Leapman, R. D. (2003). "Mass distribution and spatial organization of the linear bacterial motor of Spiroplasma citri R8A2." J Bacteriol 185(6): 1987-94. Trachtenberg, S., Dorward, L. M., Speransky, V. V., Jaffe, H., Andrews, S. B. and Leapman, R. D. (2008). "Structure of the cytoskeleton of Spiroplasma melliferum BC3 and its interactions with the cell membrane." J Mol Biol 378(4): 778-89. Trachtenberg, S. and Gilad, R. (2001). "A bacterial linear motor: cellular and molecular organization of the contractile cytoskeleton of the helical bacterium Spiroplasma melliferum BC3." Mol Microbiol 41(4): 827-48. Tran-Nguyen, L. T., Kube, M., Schneider, B., Reinhardt, R. and Gibb, K. S. (2008). "Comparative genome analysis of "Candidatus Phytoplasma australiense" (subgroup tuf-Australia I; rp-A) and "Ca. Phytoplasma asteris" Strains OY-M and AY-WB." J Bacteriol 190(11): 3979-91. Trant, C. G., Lacerda, T. L., Carvalho, N. B., Azevedo, V., Rosinha, G. M., Salcedo, S. P., Gorvel, J. P. and Oliveira, S. C. (2010). "The Brucella abortus phosphoglycerate kinase mutant is highly attenuated and induces protection superior to that of vaccine strain 19 in immunocompromised and immunocompetent mice." Infect Immun 78(5): 2283-91. Tully, J. G., Bove, J. M., Laigret, F. and Whitcomb, R. F. (1993). "Revised Taxonomy of the Class Mollicutes - Proposed Elevation of a Monophyletic Cluster of Arthropod- Associated Mollicutes to Ordinal Rank (Entomoplasmatales Ord-Nov), with Provision for Familial Rank to Separate Species with Nonhelical Morphology (Entomoplasmataceae Fam-Nov) from Helical Species (Spiroplasmataceae), and Emended Descriptions of the Order Mycoplasmatales, Family Mycoplasmataceae (Vol 43, Pg 383, 1993)." International Journal of Systematic Bacteriology 43(3): 630-630. Tully, J. G., Whitcomb, R. F., Clark, H. F. and Williamson, D. L. (1977). "Pathogenic mycoplasmas: cultivation and vertebrate pathogenicity of a new spiroplasma." Science 195(4281): 892-4. van den Heuvel, J. F., Bruyere, A., Hogenhout, S. A., Ziegler-Graff, V., Brault, V., Verbeek, M., van der Wilk, F. and Richards, K. (1997). "The N-terminal region of the luteovirus readthrough domain determines virus binding to Buchnera GroEL and is essential for virus persistence in the aphid." J Virol 71(10): 7258-65. van den Heuvel, J. F., Verbeek, M. and van der Wilk, F. (1994). "Endosymbiotic bacteria associated with circulative transmission of potato leafroll virus by Myzus persicae." J Gen Virol 75 ( Pt 10): 2559-65. 157
  • 359.
    Bibliographie Vazeille-Falcoz, M., Perchec-Merien,A. M. and Rodhain, F. (1994). "Experimental infection of Aedes aegypti mosquitoes, suckling mice, and rats with four mosquito spiroplasmas." J Invertebr Pathol 63(1): 37-42. Via, L. E., Deretic, D., Ulmer, R. J., Hibler, N. S., Huber, L. A. and Deretic, V. (1997). "Arrest of mycobacterial phagosome maturation is caused by a block in vesicle fusion between stages controlled by rab5 and rab7." J Biol Chem 272(20): 13326-31. Vignault, J. C., Bové, J. M., Saillard, C., Vogel, R., Farro, A., Venegas, L., Stemmer, W., Aoki, S., McCoy, R. E., Al-beldawi, A. S., Larue, M., Tuzco, O., Ozan, M., Nhami, A., Abassi, M., Bonfils, J., Moutous, G., Fos, A., Poutiers, F. and Viennot-Bourgin, G. (1980). "Mise en culture de spiroplasmes à partir de matériel végétal et d’insectes provenant de pays circum méditerranéens et du Proche Orient. ." C.R. Acad. Sci. Paris. 290: 775-780. Walker, D. H., Feng, H. M. and Popov, V. L. (2001). "Rickettsial phospholipase A2 as a pathogenic mechanism in a model of cell injury by typhus and spotted fever group rickettsiae." Am J Trop Med Hyg 65(6): 936-42. Watson, H. C., Walker, N. P., Shaw, P. J., Bryant, T. N., Wendell, P. L., Fothergill, L. A., Perkins, R. E., Conroy, S. C., Dobson, M. J., Tuite, M. F. and et al. (1982). "Sequence and structure of yeast phosphoglycerate kinase." Embo J 1(12): 1635-40. Wayadande, A. C., Baker, G. R. and Fletcher, J. (1997). "Comparative ultrastructure of the salivary glands of two phytopathogen vectors, the beet leafhopper, Circulifer tenellus (Baker), and the corn leafhopper, Dalbulus maidis DeLong and Wolcott (Homoptera: Cicadellidae)." Journal of Insect Morphology and Embryology 26: 113-120. Wayadande, A. C. and Fletcher, J. (1995). "Transmission of Spiroplasma citri lines and their ability to cross gut and salivary glands barriers within the leafhopper vector Circulifer tenellus." Phytopathology 85: 1256-1259. Welch, M. D., Rosenblatt, J., Skoble, J., Portnoy, D. A. and Mitchison, T. J. (1998). "Interaction of human Arp2/3 complex and the Listeria monocytogenes ActA protein in actin filament nucleation." Science 281(5373): 105-8. Whitcomb, R. F., Chen, T. A., Williamson, D. L., Liao, C., Tully, J. G., Bove, J. M., Mouches, C., Rose, D. L., Coan, M. E. and Clark, T. B. (1986). "Spiroplasma- Kunkelii Sp-Nov - Characterization of the Etiologic Agent of Corn Stunt Disease." International Journal of Systematic Bacteriology 36(2): 170-178. Whitcomb, R. F., Vignault, J. C., Tully, J. G., Rose, D. L., Carle, P., Bove, J. M., Hackett, K. J., Henegar, R. B., Konai, M. and Williamson, D. L. (1993). "Spiroplasma clarkii sp. nov. from the Green June Beetle (Coleoptera : Scarabaeidae). ." International Journal of Systematics Bacteriology 43 (2): 261-265. Whitcomb, R. F. and Williamson, D. L. (1975). "Helical Wall-Free Prokaryotes in Insects - Multiplication and Pathogenicity." Annals of the New York Academy of Sciences 266(NOV28): 260-275. Willcox, M. D. and Drucker, D. B. (1989). "Surface structures, co-aggregation and adherence phenomena of Streptococcus oralis and related species." Microbios 59(238): 19-29. Williamson, D. L., Renaudin, J. and Bove, J. M. (1991). "Nucleotide sequence of the Spiroplasma citri fibril protein gene." J Bacteriol 173(14): 4353-62. Williamson, D. L., Sakaguchi, B., Hackett, K. J., Whitcomb, R. F., Tully, J. G., Carle, P., Bove, J. M., Adams, J. R., Konai, M. and Henegar, R. B. (1999). "Spiroplasma poulsonii sp. nov., a new species associated with male-lethality in Drosophila willistoni, a neotropical species of fruit fly." Int J Syst Bacteriol 49 Pt 2: 611-8. Williamson, D. L., Whitcomb, R. F., Tully, J. G., Gasparich, G. E., Rose, D. L., Carle, P., Bove, J. M., Hackett, K. J., Adams, J. R., Henegar, R. B., Konai, M., Chastel, C. and French, F. E. (1998). "Revised group classification of the genus Spiroplasma." Int J Syst Bacteriol 48 Pt 1: 1-12. Winner, F., Rosengarten, R. and Citti, C. (2000). "In vitro cell invasion of Mycoplasma gallisepticum." Infect Immun 68(7): 4238-44. Woese, C. R. (1987). "Bacterial evolution." Microbiol Rev 51(2): 221-71. 158
  • 361.
    Bibliographie Woese, C. R.,Stackebrandt, E. and Ludwig, W. (1984). "What are mycoplasmas: the relationship of tempo and mode in bacterial evolution." J Mol Evol 21(4): 305-16. Yanagawa, R., Otsuki, K. and Tokui, T. (1968). "Electron microscopy of fine structure of Corynebacterium renale with special reference to pili." Jpn J Vet Res 16(1): 31-7. Yavlovich, A., Rechnitzer, H. and Rottem, S. (2007). "Alpha-enolase resides on the cell surface of Mycoplasma fermentans and binds plasminogen." Infect Immun 75(12): 5716-9. Ye, F., Renaudin, J., Bove, J. M. and Laigret, F. (1994). "Cloning and sequencing of the replication origin (oriC) of the Spiroplasma citri chromosome and construction of autonomously replicating artificial plasmids." Curr Microbiol 29(1): 23-9. Yu, J., Wayadande, A. C. and Fletcher, J. (2000). "Spiroplasma citri surface protein P89 implicated in adhesion to cells of the vector Circulifer tenellus." Phytopathology 90(7): 716-722. Yu, J. S. and Noll, K. M. (2001). "Phosphoglycerate kinase-triose-phosphate isomerase complex from Thermotoga neapolitana." Methods Enzymol 331: 78-89. Zreik, L., Carle, P., Bove, J. M. and Garnier, M. (1995). "Characterization of the Mycoplasmalike Organism Associated with Witches-Broom Disease of Lime and Proposition of a Candidatus Taxon for the Organism, Candidatus-Phytoplasma- Aurantifolia." International Journal of Systematic Bacteriology 45(3): 449-453. 159
  • 362.
    Interactions entre Spiroplasmacitri et son insecte vecteur Circulifer haematoceps. La phosphoglycérate kinase de S. citri : une « actin-binding protein » impliquée dans la transmission du spiroplasme par la cicadelle Spiroplasma citri est un mollicute phytopathogène transmis de plante à plante par des cicadelles du genre Circulifer selon un mode persistant circulant-multipliant. Les franchissements de l’épithélium intestinal et des glandes salivaires sont basés sur un mécanisme d’endocytose/exocytose. Ce processus d’invasion met en jeu, au sein de complexes protéiques, des protéines bactériennes spécifiques qui reconnaissent des motifs déterminés présents à la surface des cellules eucaryotes. La recherche de protéines de l’insecte vecteur interagissant avec S. citri a notamment conduit à l’identification de l’actine. Cette interaction a pu être confirmée à la fois in vitro et in vivo. L’interaction de l’actine avec son partenaire chez S. citri, qui s’est avéré être la phosphoglycérate kinase (PGK), est impliquée dans l’internalisation du spiroplasme dans les cellules de l’insecte. La région minimale de liaison à l’actine de la PGK a également été déterminée. La réalisation d’un mutant de S. citri dépourvu de PGK a été entreprise avec le plasmide navette pGOT mais n’a pas permis la sélection de spiroplasmes mutés dans ce gène essentiel. Néanmoins, la recherche de l’évènement de recombinaison chez les clones obtenus a permis de mettre en évidence la mutation de deux gènes chez ces derniers. L'ensemble des protéines impliquées dans la transmission du spiroplasme, identifiées au préalable chez ce dernier, n’étant pas essentielle au cours de ce processus, une étude préliminaire des complexes multi-protéiques contenant plusieurs de ces protéines a été réalisée. L’identification de complexes impliquant à la fois la PGK, la P32 et les ScARPs pourrait permettre de mieux comprendre les mécanismes régissant la vection de S. citri par son insecte. Mots-clés: mollicute phytopathogène, Spiroplasma citri, transmission, insecte vecteur, actine, phosphoglycérate kinase, interactions protéine-protéine. Interactions between Spiroplasma citri and its insect vector Circulifer haematoceps. S .citri phosphoglycerate kinase: an actin-binding protein involved in the spiroplasma transmission by leafhoppers. Spiroplasma citri is a phytopathogenic mollicute transmitted from plant to plant by leafhoppers of the genus Circulifer in a persistent and propagative manner on condition to cross the intestinal and salivary glands barriers of the insect. These crossings are based on a endocytosis/exocytosis mechanism which involves bacterial protein complexes in order to recognize specific patterns on the surface of eukaryotic cells. Specific molecular interactions between S. citri proteins and those of C. haematoceps were investigated using far Western technology and had notably led to the identification of actin. This interaction has been confirmed both in vitro and in vivo. The interaction of actin with his partner in S. citri, which has been identified as the phosphoglycerate kinase (PGK), is involved in the internalization of spiroplasma into the insect cells. The minimal actin-binding region of PGK was also determined. The realization of a S. citri PGK mutant was carried out using the shuttle plasmid pGOT but the selection of spiroplasmas mutated in this essential gene failed. Nevertheless, findings in the localization of recombination events in S. citri chromosome, allowed us to identify mutations in two genes that could be tested in our experimental transmission system. The set of proteins involved in the spiroplasmal transmission, previously identified as non essential proteins in the invasion process, prompted us to study the role of multi-protein complexes containing several of these proteins. Identification of complexes involving both the PGK, the P32 and ScARPs should enable us to better understand mechanisms governing the transmission of S. citri by its insect. Keywords: phytopathogenic mollicute, Spiroplasma citri, transmission, insect vector, actin, phosphoglycerate kinase, protein-protein interactions.