ANÉVRYSMES FÉMORAUX
Plus de questions que de réponses
Daniel Bourgouin
Marie-Andrée Lortie
Guillaume Febrer
José Dufresne
CHRTR
Trois-Rivières
Cas # 1
 ♂ 71 ans entrepreneur…
 ATCD
 PABI ’99
 Investigation ‘2011
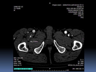
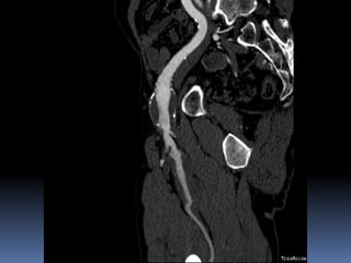
 FCD 35 mm
 FPD 30 mm
 Popl D 35 mm
 Popl G 23 mm
 FCG 18 mm
Type 1
Cas #2
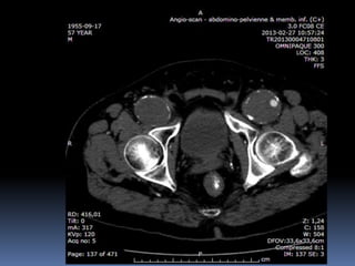
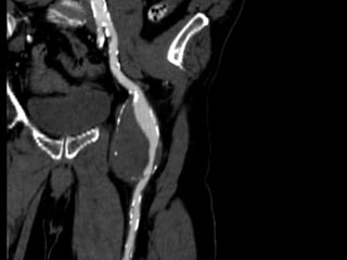
 ♂ 57 ans
 ATCD
 Anévr. Poplité D. op ‘2000
 Anévr. Poplité G. op. ‘2001
 Db 2
 Korsakoff
 R.C. Douleurs locales à G.
 Constatations…
Type 2
Que nous apprennent ces cas
Anévrysmes fémorale commune?
 Épidémiologie
 Présentation clinique
 Indication opératoire
 Reconstruction chirurgicale
Autres anévrysmes ?
Asymptomatique
Douleur
ischémie
Chez les asymptomatiques
2.5 cm
Que nous apprennent ces cas
Anévrysmes fémorale profonde?
 Épidémiologie
 Présentation clinique
 Indication opératoire
 Reconstruction chirurgicale
Autres anévrysmes ?
Se méfier de
Rupture !
1ère manifestation
…une complication
Ligaturer
! Approche
72 59
ATCD: PABI ’99 re: AIliaquebil ATCD: Db , ROH Korsakoff,
MCASPAC, fempop bilat Anévr popl.
Suivi Anévr fém et popl RC: référé rupture…en fait «non» mais
symptomatique
Quest: … Quest.:C.I. non limitante
E.P.: masse puls. > 5cm ing. D non doul
et autres…
E.P.: masse pulsatile >5 cm ing G doul
palpation, nécrose sèche extr dist un
orteil non doul
Pls périph N Doppler
Angioscan: dimensions anévr. ? Angioscan: dimensions Anévr ?
Cas #1 72 ans Cas #2 59 ans
 Suivi
 ATCD
 PABI
 Particularités
 Anévrysme Fémorale
profonde
 Cutler-Darling type 1
 Symptomatique
 ATCD
 Fem-pop. Bilatéraux…
 Particularités
 Korsakoff
 Cutler-Darling type 2
thrombosés
2013session4 2

2013session4 2

  • 1.
    ANÉVRYSMES FÉMORAUX Plus dequestions que de réponses Daniel Bourgouin Marie-Andrée Lortie Guillaume Febrer José Dufresne CHRTR Trois-Rivières
  • 2.
    Cas # 1 ♂ 71 ans entrepreneur…  ATCD  PABI ’99  Investigation ‘2011  FCD 35 mm  FPD 30 mm  Popl D 35 mm  Popl G 23 mm  FCG 18 mm
  • 7.
  • 15.
    Cas #2  ♂57 ans  ATCD  Anévr. Poplité D. op ‘2000  Anévr. Poplité G. op. ‘2001  Db 2  Korsakoff  R.C. Douleurs locales à G.  Constatations…
  • 19.
  • 20.
    Que nous apprennentces cas Anévrysmes fémorale commune?  Épidémiologie  Présentation clinique  Indication opératoire  Reconstruction chirurgicale Autres anévrysmes ? Asymptomatique Douleur ischémie Chez les asymptomatiques 2.5 cm
  • 21.
    Que nous apprennentces cas Anévrysmes fémorale profonde?  Épidémiologie  Présentation clinique  Indication opératoire  Reconstruction chirurgicale Autres anévrysmes ? Se méfier de Rupture ! 1ère manifestation …une complication Ligaturer ! Approche
  • 23.
    72 59 ATCD: PABI’99 re: AIliaquebil ATCD: Db , ROH Korsakoff, MCASPAC, fempop bilat Anévr popl. Suivi Anévr fém et popl RC: référé rupture…en fait «non» mais symptomatique Quest: … Quest.:C.I. non limitante E.P.: masse puls. > 5cm ing. D non doul et autres… E.P.: masse pulsatile >5 cm ing G doul palpation, nécrose sèche extr dist un orteil non doul Pls périph N Doppler Angioscan: dimensions anévr. ? Angioscan: dimensions Anévr ?
  • 24.
    Cas #1 72ans Cas #2 59 ans  Suivi  ATCD  PABI  Particularités  Anévrysme Fémorale profonde  Cutler-Darling type 1  Symptomatique  ATCD  Fem-pop. Bilatéraux…  Particularités  Korsakoff  Cutler-Darling type 2 thrombosés