Jacques G.Tittley
MD, RVT, FRCSC
Entretiens Vasculaires
Mai, 2014
Quebec
Divulgation
 Aucune
Objectifs
 Revoir la formation embryonnaire de
l’arche aortique thoracique
 En particulier, l’artère sous-Clavière
aberrante droite avec diverticule de
Kommerell
 Discuter une technique hybride de
reparation
3rd - Proximal part form common carotid arteries;
Distal portion joins with dorsal aortae to form internal
carotid arteries
4th - Right: proximal portion of right subclavian artery.
Distal portion of the subclavian forms from right distal dorsal aorta and the
seventh intersegmental artery
Left: forms mid part of the arch of the aorta.
Proximal develops from aortic sac.
Distal part forms from left dorsal aorta.
6th – Left: Proximal part persists as proximal part of left pulmonary artery.
Distal part passes from left pulmonary artery to the dorsal aorta (shunt –
ductus arteriosus)
Right: Proximal portion persists as the
proximal portion of the right pulmonary
artery. Distal portion degenerates.
Seventh intersegmentary artery becomes subclavian artery
Nerf récurrent
Anomalies
Arche Bovine
8% Noirs
5% Blancs
1.Cows,horses, pigs, deer;
2.Whales, shrews;
3.Marsupials, rats, dogs, apes, monkeys;
4.The platypus, sea cows, some bats,
humans;
5.African elephants, walruses.
Persistance du Canal Artériel
Maternal prostaglandins
Bradykinin
A) - Ductal: Occurs when
Ductus Arteriosus closes
B) - Pre-Ductal: Usually with
cardiac anomaly since less
blood to descending aorta:
hypoplastic aorta (cannot close
PDA)
C) - Post-Ductal: Most
common; ? Related to muscular
closure from “ductal” tissue
Coarctation
Coarctation
5-10%
Associated with
congenital heart
disease
Artere Aberrante Sous Clavière Droite 0.1%
 En 1794, David Bayford se sert de la phrase “dysphagia lusus
naturae” (dysphagie cause part une anomalie de la nature) m.
Le symptom le plus commun cause par une artere sous-
claviere, avec ou sans anévrisme est la dysphagie.
La presentation la plus commune de l’artere sous-Clavière
droite est la decouverte pendant une radiography de la poitrine
ou une endoscopie.
Dysphagie Lusoria
Burckhard Friedrich Kommerell
1901-1990
1901 Strasbourg
Pianiste
Munich, Berlin, Boston
Premièrement un radiologue
1936: Diverticule
Diverticule de Kommerell
Artere Aberrante Sous-Clavière
(Artere Lusorienne)
 Droite plus commune
que gauche (entre
0.4 a 2.0% des
patients)
 Artere Lusorienne
gauche associée
avec arche de cote
droit
Arche Double
+/- chromosome 20q11 deletion
Right Sided Aortic Arch
Often with
Kommerell’s since
high flow to Ductus
Ivica Vucemilo¹ MD,, Christopher Zarins² MD, and Jacques Tittley¹ MD
Division of Vascular Surgery, McMaster University¹, Hamilton, Ontario.
Division of Vascular Surgery, Stanford University², USA
Cas illustratif 1
 73 M
 Presentation:
 Hx de toux sans raison
 CT découverte d’un “anévrisme thoracique”
 Histoire médicale:
 HTN
 Reflux
 Bronchite chronique:
○ ex-fumeur, arrêté pour 4 ans
○ 50 années-paquets
Cas 1
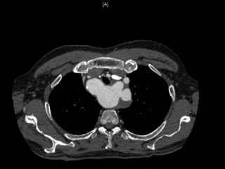
 CTA Pre-opératoire:
 Artere sous clavière aberrante droite
○ Origine a partir de l’aorte thoracique descendante,
distal a l’artere sous-clavier gauche
○ Trajet derriere l’œsophage et la trachée
 Diverticule de Kommerell a l’origine de l’artere
sous-claviere aberrante droite (diamètre 4.6 cm)
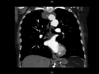
CAS 1
 Origine commune des artères carotidiennes
(CCA)
 Artere vertébrale droite dominante qui origine de l
artere sous-clavier aberrante droite
 Aucuns autres anévrismes ou sténoses
Artere Sous-Clavière Aberrante
 Plus fréquemment asymptomatique
 Symptomatique si:
o - anévrisme (de l’artere ou un
diverticule) est grand
- l’artere aberrante cause une
compression de l’œsophage a cause de
sont trajet
Artere Sous-Clavière Aberrante
 Symptômes
 Dysphagie lusoria (plus commun chez les adultes)
 Infections respiratoires (enfants)
 Dyspnée, douleurs thoraciques, paralysie du nerf au
larynx
 Fistule Aorto-oeophagique, avec hémorragie fatale
 Risque de rupture
 Associée avec dissection aortique
Traitement
Taux de rupture et grosseur de l’anévrisme
 Presentation initiale dans in 19% des patients,
avec une mortalité de 100% ; Austin 1984, Knight
1999.
 Moyen diameter des anévrismes ruptures
5.8±2cm; Cina 2004.
 Recommendation:
 Traitement artere sous-claviere aberrante,
avec ou sans diverticule (anévrisme)
recommandé si:
 Symptômes
 Anévrisme de grandeur 3 cms ou plus
Histoire de traitement
 1946 Gross:
Premiere reparation de l’artere sous- clavier aberrante
 1955 DeBakey:
 Premiere reparation de dissection de l’aorte avec
artere sous clavier droite aberrant
 1994 Dake:
Premiere reparation endovasculaire hybride
Reparation Chiurugie Ouverte
 Mortalité de chirurgie ouverte elective: 8.3 a
16.6%
 Procedures operatoires diverses selon
l’anatomie et la pathologie vasculaire:
 occlusion proximale de l’artere lusorienne, soit par
approche cervical, sternotomie, ou thoracotomie,
dépendant si il s’agît d’une arche gauche ou droite
 transposition de l’artere sous-clavière
 Clampe aortique, avec ou sans arrestation
cardiopulmonaire
Reparation Endovasculaire
 Récente popularité
 Plusieurs options:
 Endovasculaire seulement (ie. Pour
stenose ou fistule de l’artere lusorienne)
 Procedure hybride (chirurgie ouverte
combine avec chirurgie endovasculaire:
○ Transposition ou pontage de l’artere
lusorienne
○ Stenting endovascular de l’anévrisme
Advantages Possibles des
Options Endovasculaires
 Durée de l’hospitalisation réduite
 Éviter les intervention plus invasives:
 Bypass cardiopulmonaire
 Arrestation hypothermique
 Drainage de liquide cephalorachidien
 Taux de complications reduit:
 Paraplegie, complications pulmonaires
 Mortalité reduite
Reparation Endovasculaire
 ? Résultats a long term:
 Peux de rapports publies
 Short follow-up
 Revue de literature entreprise pour revoir le
sujet de traitement endovasculaire de
pathologie aortique comme notre patient
avec une artere lusorienne et un diverticule
Revue Systématique
Matériaux et Méthodes
 Medline base de données (1990 to
2011):
 Publications Englaises
 Pubmed and Ovid software used
 Stratégie de recherche:
 “Kommerell’s diverticulum”
 “Aberrant subclavian artery”
 “Endovascular”
 Les references des articles identifies
furent examinees egalement
Résultats
 22 articles identifies (2001-2011)
 Nombre total de patients: 28
 10 F, 16 M
○ 2 patients démographies inconnu
 Age: entre 42 and 80ans
Dimensions des Anévrismes
 Entre 2.3 –7.0 cms
 1 pt avec un diverticule de 2.3 cms ainsi qu’un
anévrisme thoraco-abdominal de 6.2 cms
 1 pt avec un diverticule de 2.4 cms ainsi qu’un
anévrisme thoraco-abdominal de 6.5 cms
Presentations pre-opératoires
Symptomes N (28 patients)
Dysphagia lusiora 7
Interscapular pain 5
Nonspecific chest
pain
2
Dyspnea 2
Cough 1
Hoarseness 1
Hematemesis 2
Asymptomatic 5
No data available 3
Arche Aortique Gauche avec Artere
Lusorienne Droite Seulement (6)
Author Symptoms Procedure Device
Vos
2002
Acute type B
dissection
R car-subc transposition, ARSA ligation,
transfemoral occlusion of ARSA orifice
Gore
Excluder
Baccin
2004
Acute type B
dissection
TEVAR Braile stent
Kopp
2007
Dysphagia
lusoria
R car-subc bypass,
Transbrachial ARSA origin occlusion
Li
2007
Acute type B
dissection at
ARSA origin
Transfemoral insertion of covered stent
into ARSA
Wallgraft
Shenib
2008
Dysphagia
lusoria
R car-subc bypass, ligation of distal ARSA,
anterograde occlusion of ARSA with
excluder
Zenith
Excluder
Magagna
2008
GI bleed
(aortic fistula)
Transsubclavian covered stent placement
into ARSA
Talent
(Medtronic)
Arche Aortique Droite Avec Artere
Lusorienne Gauche et Diverticule
(6)
Author Type of OR Procedure Device
Okada
2001
1 stage
(no hybrid)
TEVAR Gianturo
Myamoto
2002
1 stage
(hybrid)
Open supra-aortic repair, intra-
aortic stent insertion on CPB
Gianturo
Chiesa
2007
1 stage
(hybrid)
Open triple graft (sternotomy),
ARSA occlusion, TEVAR
TX2 (Cook),
occluder
Naoum
2008
1 stage
(hybrid)
L car-subcl bypass,
ligation of ARSA, TEVAR
Tag (Gore)
Klonaris
2009
1 stage
(no hybrid)
TEVAR TX2
Frigatti
2009
2 stage
(hybrid)
1. Bilateral car-subcl bypass,
2. TEVAR
? graft
Arche Aortique Gauche Avec Artere
Lusorienne Droite et Diverticule de
Kommerell (13pt)
Author Type of
OR
Procedure Device
Corral
2003
1 stage
(hybrid)
Bilateral car-subc bypass, lig of ARSA
TEVAR
Talent
(Medtronic)
Hutton
2004
1 stage
(no hybrid)
TEVAR across ARSA
(no revascularization)
TX2
(Cook)
Odero
2007
1 stage
(no hybrid)
TEVAR across ARSA
(no revascularization)
TX2
(Cook)
Mosquera
2007
1 stage
(no hybrid)
TEVAR – no coverage of ARSA Valiant
Kopp
2007
1 stage
(hybrid)
TEVAR across ARSA, with coverage of
LSA
TX2
(Cook)
Kedora
2009
1 stage
(hybrid)
R car-subc bypass, transsubclavian plug
into ARSA, ligation of ARSA
(KOD only 2.1 cm)
Zenith
Excluder
Author Type of
OR
Procedure Device
Lacroix
2003
2 stage
(hybrid)
1. R car-subc bypass, transbrachial ARSA
embolization,
2. TEVAR (covered LSA)
-
Attaman
(2005)
2 stage
(hybrid)
1. L car-subc bypass
2. TEVAR covering ARSA
Talent
(Medtronic)
Kopp
(2007)
2 stage
(hybrid)
1. R car-subc transposition
2. TEVAR covered LSA
Homemade
nitinol stent
2 stage
(hybrid)
1. R car-subc transposition
2. TEVAR covered LSA
Homemade
nitinol stent
Apple
2008
2 stage
(hybrid)
1. Car-subc bypass/transposition
2. TEVAR
Tag (Gore)
2 stage
(hybrid)
1. Car-subc bypass/transposition
2. TEVAR
Tag (Gore)
Shenib
2008
2 stage
(hybrid)
1. R car-subc bypass
2. L car-subc bypass, TEVAR
Tag (Gore)
Cooper
2009
2 stage
(hybrid)
1. Supraaortic revascularization (sternotomy)
2. TEVAR (covered LSA)
Valiant
Reisenman
2009
2 stage
(hybrid)
1. R car-subc bypass
2. TEVAR
Tag (Gore)
Occlusion de l’artere sous-claviere sans
revascularisation
Author Procedure Covered artery Symptoms
Hutton
2004
TEVAR across ARSA ARSA R arm claudication with
steal (resolved in 6
weeks
Attaman
(2005)
1. L car-subc bypass
2. TEVAR covering ARSA
ARSA R arm claudication with
severe exercise
Odero
2007
TEVAR across ARSA ARSA R arm claudication
(no steal)
Lacroix
2003
1. R car-subc bypass, transbrachial ARSA
embolization,
2. TEVAR (covered LSA)
LSA No symptoms
Kopp
(2007)
1. R car-subc transposition
2. TEVAR
LSA No symptoms
1. R car-subc transposition
2. TEVAR
Cooper
2009
1. Supraaortic revascularization
(sternotomy)
2. TEVAR
LSA No symptoms
Procédures Adjonctives
 Drainage liquide cephalorachidien:
 CSF drain used (1 pt)
 CSF drain not used (13 pt)
 TEE (echo) pour placement du stent:
 1 pt
 Hypotension induite pendent le placement
du stent:
- Ballon dans la vene cave superieure et
inferieure(1 pt)
- Medical (2 pt)
Suites Post-operatoires
 Durée d’hospitalisation:
 Entre 1-8 jours
 Aucuns details pour 15 patients (55%)
 Duree de suites post-opératoires:
 Entre 6 et 92 mois
 Aucuns details pour 8 patients (29%)
Suites Post-opératoires
 Endofuite:
 Aucunes endofuites dans 20 pt (86.95%)
 Endofuites dans 3 pt (13.05%):
 Aucuns details pour 5 pt
 Reduction du sac de l’anévrisme de 25-50%:
 Seulement discutée dans 5 articles
Mortalité
 Mortalité: 1 pt (3.7%)
 Aucune mortalité résultat de procedure elective
 77 F, stent precedent pour artere lusorienne droite avec
diverticule
 Hemorrhagie aigue: fistule aorto-oesophagienne
 CTA : debit persistent dans le sac anévrisme
 Operation urgente avec thoracotomy et arrêt
hypothermic, patch de l’orifice de l’artere lusorienne
 Saignement persistent apres l’operation
 TEVAR urgent
 Mortalité après 24 hr de faillite cardiac
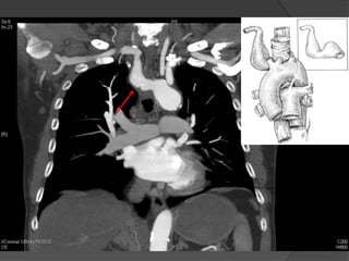
Cas 1
 Reparation par stages (3) et trois admissions.
 Stage 1: transposition carotido-sousclavien
gauche
 Stage 2: Pontage carotido-sousclavien droit
(Gore Tex)
 Stage 3: TEVAR (Zenith TX2)
- transfemoral
- pacemaker transveneux ventriculaire
durant placement du stent thoracique
Tips and techniques in carotid artery stenting
Rajesh K. Malik, Ageliki Vouyouka, Alexander
Salloum, Michael L. Marin, Peter L. Faries
Journal of Vascular Surgery
July 2009 (Vol. 50, Issue 1, Pages 216-220)
Suites Post-operatoires: CTA
 Aucunes
endofuites ou
migration
 Exclusion
complete et
thrombose de
artere lusorienne
ainsi que le
diverticule
Cas1
 Aucunes complications post-operatoire
 Duree hospitaliere:
 6 jours
 Suite post-opératoire:
 Asymptomatique (resolution de la toux)
 CTA a 4 mois post TEVAR
Conclusion
Conclusion
 Les anomalies d’arche aortique sont
relativement communes.
 Le traitement de ces anomalies requiert
une comprehension profonde de
l’embriologie aortique
 Les techniques traditionelles de
chirurgie ouverte sont tres invasive et
comprennent un taux élevé de morbidité
et mortalité, associe avec une
hospitalization prolongée
Conclusion
 Un approche hybride, comprennent un
debranchement des vaisseaux supra-
aortiques, en combinaison avec un stent
thoracique a obtenue d’excellent
resultats, avec un tres bas taux de
mortalité et de morbidité, et une
hospitalization reduite
 Nous recommandons une
revascularization complete par étape de
tous vaisseaux recouverts par stents
Conclusion
 L’arrêt du debit cardiac avec un
pacemaker peut etre utile a améliorer la
precision du positionnement du stent
 Cet approche souligne l’evolution des
techniques endovasculaires dans le
traitement de conditions vasculaires
difficiles
Merci
References
References
 Bayford D. An account of singular case of obstructional
deglutition. Mem Med Soc London. 1794;2:275
 DeBakey ME. Surgical considerations of dissecting
aneurysms of the aorta. Ann Surg. 1955; 142:586-612.
 Dake MD, et al. Endovascular stent-graft placement for the
treatment of acute aortic dissection. N Engl J Med.
1999;340:1546-1552.
 Gross RE. Surgical treatment for dysphagia lusoria. Ann
Surg. 1946;124:532-4.
 Kommerell B. Verlagerung des Ösophagus durch eine
abnorm verlaufende Arteria subclavia dextra (arteria lusoria)
Fortschr Geb Röntgenstr Nuklearmed 1936;54:590–5.
 Cina et al. Kommerell’s diverticulum and right-sided aortic
arch: a cohort study and review of literature. J Vasc
Surg.2004;39(1):131-139.

2014session2 3

  • 1.
    Jacques G.Tittley MD, RVT,FRCSC Entretiens Vasculaires Mai, 2014 Quebec
  • 2.
  • 3.
    Objectifs  Revoir laformation embryonnaire de l’arche aortique thoracique  En particulier, l’artère sous-Clavière aberrante droite avec diverticule de Kommerell  Discuter une technique hybride de reparation
  • 23.
    3rd - Proximalpart form common carotid arteries; Distal portion joins with dorsal aortae to form internal carotid arteries
  • 24.
    4th - Right:proximal portion of right subclavian artery. Distal portion of the subclavian forms from right distal dorsal aorta and the seventh intersegmental artery Left: forms mid part of the arch of the aorta. Proximal develops from aortic sac. Distal part forms from left dorsal aorta.
  • 25.
    6th – Left:Proximal part persists as proximal part of left pulmonary artery. Distal part passes from left pulmonary artery to the dorsal aorta (shunt – ductus arteriosus) Right: Proximal portion persists as the proximal portion of the right pulmonary artery. Distal portion degenerates.
  • 26.
    Seventh intersegmentary arterybecomes subclavian artery
  • 27.
  • 28.
  • 29.
  • 30.
  • 31.
    1.Cows,horses, pigs, deer; 2.Whales,shrews; 3.Marsupials, rats, dogs, apes, monkeys; 4.The platypus, sea cows, some bats, humans; 5.African elephants, walruses.
  • 34.
    Persistance du CanalArtériel Maternal prostaglandins Bradykinin
  • 35.
    A) - Ductal:Occurs when Ductus Arteriosus closes B) - Pre-Ductal: Usually with cardiac anomaly since less blood to descending aorta: hypoplastic aorta (cannot close PDA) C) - Post-Ductal: Most common; ? Related to muscular closure from “ductal” tissue Coarctation
  • 36.
  • 38.
    Artere Aberrante SousClavière Droite 0.1%
  • 40.
     En 1794,David Bayford se sert de la phrase “dysphagia lusus naturae” (dysphagie cause part une anomalie de la nature) m. Le symptom le plus commun cause par une artere sous- claviere, avec ou sans anévrisme est la dysphagie. La presentation la plus commune de l’artere sous-Clavière droite est la decouverte pendant une radiography de la poitrine ou une endoscopie. Dysphagie Lusoria
  • 42.
    Burckhard Friedrich Kommerell 1901-1990 1901Strasbourg Pianiste Munich, Berlin, Boston Premièrement un radiologue 1936: Diverticule
  • 43.
  • 44.
    Artere Aberrante Sous-Clavière (ArtereLusorienne)  Droite plus commune que gauche (entre 0.4 a 2.0% des patients)  Artere Lusorienne gauche associée avec arche de cote droit
  • 45.
  • 46.
  • 47.
  • 51.
    Ivica Vucemilo¹ MD,,Christopher Zarins² MD, and Jacques Tittley¹ MD Division of Vascular Surgery, McMaster University¹, Hamilton, Ontario. Division of Vascular Surgery, Stanford University², USA
  • 52.
    Cas illustratif 1 73 M  Presentation:  Hx de toux sans raison  CT découverte d’un “anévrisme thoracique”  Histoire médicale:  HTN  Reflux  Bronchite chronique: ○ ex-fumeur, arrêté pour 4 ans ○ 50 années-paquets
  • 53.
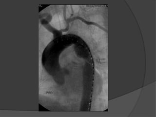
    Cas 1  CTAPre-opératoire:  Artere sous clavière aberrante droite ○ Origine a partir de l’aorte thoracique descendante, distal a l’artere sous-clavier gauche ○ Trajet derriere l’œsophage et la trachée  Diverticule de Kommerell a l’origine de l’artere sous-claviere aberrante droite (diamètre 4.6 cm)
  • 55.
    CAS 1  Originecommune des artères carotidiennes (CCA)  Artere vertébrale droite dominante qui origine de l artere sous-clavier aberrante droite  Aucuns autres anévrismes ou sténoses
  • 60.
    Artere Sous-Clavière Aberrante Plus fréquemment asymptomatique  Symptomatique si: o - anévrisme (de l’artere ou un diverticule) est grand - l’artere aberrante cause une compression de l’œsophage a cause de sont trajet
  • 61.
    Artere Sous-Clavière Aberrante Symptômes  Dysphagie lusoria (plus commun chez les adultes)  Infections respiratoires (enfants)  Dyspnée, douleurs thoraciques, paralysie du nerf au larynx  Fistule Aorto-oeophagique, avec hémorragie fatale  Risque de rupture  Associée avec dissection aortique
  • 62.
    Traitement Taux de ruptureet grosseur de l’anévrisme  Presentation initiale dans in 19% des patients, avec une mortalité de 100% ; Austin 1984, Knight 1999.  Moyen diameter des anévrismes ruptures 5.8±2cm; Cina 2004.  Recommendation:  Traitement artere sous-claviere aberrante, avec ou sans diverticule (anévrisme) recommandé si:  Symptômes  Anévrisme de grandeur 3 cms ou plus
  • 63.
    Histoire de traitement 1946 Gross: Premiere reparation de l’artere sous- clavier aberrante  1955 DeBakey:  Premiere reparation de dissection de l’aorte avec artere sous clavier droite aberrant  1994 Dake: Premiere reparation endovasculaire hybride
  • 64.
    Reparation Chiurugie Ouverte Mortalité de chirurgie ouverte elective: 8.3 a 16.6%  Procedures operatoires diverses selon l’anatomie et la pathologie vasculaire:  occlusion proximale de l’artere lusorienne, soit par approche cervical, sternotomie, ou thoracotomie, dépendant si il s’agît d’une arche gauche ou droite  transposition de l’artere sous-clavière  Clampe aortique, avec ou sans arrestation cardiopulmonaire
  • 65.
    Reparation Endovasculaire  Récentepopularité  Plusieurs options:  Endovasculaire seulement (ie. Pour stenose ou fistule de l’artere lusorienne)  Procedure hybride (chirurgie ouverte combine avec chirurgie endovasculaire: ○ Transposition ou pontage de l’artere lusorienne ○ Stenting endovascular de l’anévrisme
  • 66.
    Advantages Possibles des OptionsEndovasculaires  Durée de l’hospitalisation réduite  Éviter les intervention plus invasives:  Bypass cardiopulmonaire  Arrestation hypothermique  Drainage de liquide cephalorachidien  Taux de complications reduit:  Paraplegie, complications pulmonaires  Mortalité reduite
  • 67.
    Reparation Endovasculaire  ?Résultats a long term:  Peux de rapports publies  Short follow-up  Revue de literature entreprise pour revoir le sujet de traitement endovasculaire de pathologie aortique comme notre patient avec une artere lusorienne et un diverticule
  • 68.
  • 69.
    Matériaux et Méthodes Medline base de données (1990 to 2011):  Publications Englaises  Pubmed and Ovid software used  Stratégie de recherche:  “Kommerell’s diverticulum”  “Aberrant subclavian artery”  “Endovascular”  Les references des articles identifies furent examinees egalement
  • 70.
    Résultats  22 articlesidentifies (2001-2011)  Nombre total de patients: 28  10 F, 16 M ○ 2 patients démographies inconnu  Age: entre 42 and 80ans
  • 71.
    Dimensions des Anévrismes Entre 2.3 –7.0 cms  1 pt avec un diverticule de 2.3 cms ainsi qu’un anévrisme thoraco-abdominal de 6.2 cms  1 pt avec un diverticule de 2.4 cms ainsi qu’un anévrisme thoraco-abdominal de 6.5 cms
  • 72.
    Presentations pre-opératoires Symptomes N(28 patients) Dysphagia lusiora 7 Interscapular pain 5 Nonspecific chest pain 2 Dyspnea 2 Cough 1 Hoarseness 1 Hematemesis 2 Asymptomatic 5 No data available 3
  • 73.
    Arche Aortique Gaucheavec Artere Lusorienne Droite Seulement (6) Author Symptoms Procedure Device Vos 2002 Acute type B dissection R car-subc transposition, ARSA ligation, transfemoral occlusion of ARSA orifice Gore Excluder Baccin 2004 Acute type B dissection TEVAR Braile stent Kopp 2007 Dysphagia lusoria R car-subc bypass, Transbrachial ARSA origin occlusion Li 2007 Acute type B dissection at ARSA origin Transfemoral insertion of covered stent into ARSA Wallgraft Shenib 2008 Dysphagia lusoria R car-subc bypass, ligation of distal ARSA, anterograde occlusion of ARSA with excluder Zenith Excluder Magagna 2008 GI bleed (aortic fistula) Transsubclavian covered stent placement into ARSA Talent (Medtronic)
  • 74.
    Arche Aortique DroiteAvec Artere Lusorienne Gauche et Diverticule (6) Author Type of OR Procedure Device Okada 2001 1 stage (no hybrid) TEVAR Gianturo Myamoto 2002 1 stage (hybrid) Open supra-aortic repair, intra- aortic stent insertion on CPB Gianturo Chiesa 2007 1 stage (hybrid) Open triple graft (sternotomy), ARSA occlusion, TEVAR TX2 (Cook), occluder Naoum 2008 1 stage (hybrid) L car-subcl bypass, ligation of ARSA, TEVAR Tag (Gore) Klonaris 2009 1 stage (no hybrid) TEVAR TX2 Frigatti 2009 2 stage (hybrid) 1. Bilateral car-subcl bypass, 2. TEVAR ? graft
  • 75.
    Arche Aortique GaucheAvec Artere Lusorienne Droite et Diverticule de Kommerell (13pt) Author Type of OR Procedure Device Corral 2003 1 stage (hybrid) Bilateral car-subc bypass, lig of ARSA TEVAR Talent (Medtronic) Hutton 2004 1 stage (no hybrid) TEVAR across ARSA (no revascularization) TX2 (Cook) Odero 2007 1 stage (no hybrid) TEVAR across ARSA (no revascularization) TX2 (Cook) Mosquera 2007 1 stage (no hybrid) TEVAR – no coverage of ARSA Valiant Kopp 2007 1 stage (hybrid) TEVAR across ARSA, with coverage of LSA TX2 (Cook) Kedora 2009 1 stage (hybrid) R car-subc bypass, transsubclavian plug into ARSA, ligation of ARSA (KOD only 2.1 cm) Zenith Excluder
  • 76.
    Author Type of OR ProcedureDevice Lacroix 2003 2 stage (hybrid) 1. R car-subc bypass, transbrachial ARSA embolization, 2. TEVAR (covered LSA) - Attaman (2005) 2 stage (hybrid) 1. L car-subc bypass 2. TEVAR covering ARSA Talent (Medtronic) Kopp (2007) 2 stage (hybrid) 1. R car-subc transposition 2. TEVAR covered LSA Homemade nitinol stent 2 stage (hybrid) 1. R car-subc transposition 2. TEVAR covered LSA Homemade nitinol stent Apple 2008 2 stage (hybrid) 1. Car-subc bypass/transposition 2. TEVAR Tag (Gore) 2 stage (hybrid) 1. Car-subc bypass/transposition 2. TEVAR Tag (Gore) Shenib 2008 2 stage (hybrid) 1. R car-subc bypass 2. L car-subc bypass, TEVAR Tag (Gore) Cooper 2009 2 stage (hybrid) 1. Supraaortic revascularization (sternotomy) 2. TEVAR (covered LSA) Valiant Reisenman 2009 2 stage (hybrid) 1. R car-subc bypass 2. TEVAR Tag (Gore)
  • 77.
    Occlusion de l’arteresous-claviere sans revascularisation Author Procedure Covered artery Symptoms Hutton 2004 TEVAR across ARSA ARSA R arm claudication with steal (resolved in 6 weeks Attaman (2005) 1. L car-subc bypass 2. TEVAR covering ARSA ARSA R arm claudication with severe exercise Odero 2007 TEVAR across ARSA ARSA R arm claudication (no steal) Lacroix 2003 1. R car-subc bypass, transbrachial ARSA embolization, 2. TEVAR (covered LSA) LSA No symptoms Kopp (2007) 1. R car-subc transposition 2. TEVAR LSA No symptoms 1. R car-subc transposition 2. TEVAR Cooper 2009 1. Supraaortic revascularization (sternotomy) 2. TEVAR LSA No symptoms
  • 78.
    Procédures Adjonctives  Drainageliquide cephalorachidien:  CSF drain used (1 pt)  CSF drain not used (13 pt)  TEE (echo) pour placement du stent:  1 pt  Hypotension induite pendent le placement du stent: - Ballon dans la vene cave superieure et inferieure(1 pt) - Medical (2 pt)
  • 79.
    Suites Post-operatoires  Duréed’hospitalisation:  Entre 1-8 jours  Aucuns details pour 15 patients (55%)  Duree de suites post-opératoires:  Entre 6 et 92 mois  Aucuns details pour 8 patients (29%)
  • 80.
    Suites Post-opératoires  Endofuite: Aucunes endofuites dans 20 pt (86.95%)  Endofuites dans 3 pt (13.05%):  Aucuns details pour 5 pt  Reduction du sac de l’anévrisme de 25-50%:  Seulement discutée dans 5 articles
  • 81.
    Mortalité  Mortalité: 1pt (3.7%)  Aucune mortalité résultat de procedure elective  77 F, stent precedent pour artere lusorienne droite avec diverticule  Hemorrhagie aigue: fistule aorto-oesophagienne  CTA : debit persistent dans le sac anévrisme  Operation urgente avec thoracotomy et arrêt hypothermic, patch de l’orifice de l’artere lusorienne  Saignement persistent apres l’operation  TEVAR urgent  Mortalité après 24 hr de faillite cardiac
  • 83.
    Cas 1  Reparationpar stages (3) et trois admissions.  Stage 1: transposition carotido-sousclavien gauche  Stage 2: Pontage carotido-sousclavien droit (Gore Tex)  Stage 3: TEVAR (Zenith TX2) - transfemoral - pacemaker transveneux ventriculaire durant placement du stent thoracique
  • 84.
    Tips and techniquesin carotid artery stenting Rajesh K. Malik, Ageliki Vouyouka, Alexander Salloum, Michael L. Marin, Peter L. Faries Journal of Vascular Surgery July 2009 (Vol. 50, Issue 1, Pages 216-220)
  • 86.
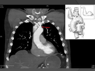
    Suites Post-operatoires: CTA Aucunes endofuites ou migration  Exclusion complete et thrombose de artere lusorienne ainsi que le diverticule
  • 87.
    Cas1  Aucunes complicationspost-operatoire  Duree hospitaliere:  6 jours  Suite post-opératoire:  Asymptomatique (resolution de la toux)  CTA a 4 mois post TEVAR
  • 88.
  • 89.
    Conclusion  Les anomaliesd’arche aortique sont relativement communes.  Le traitement de ces anomalies requiert une comprehension profonde de l’embriologie aortique  Les techniques traditionelles de chirurgie ouverte sont tres invasive et comprennent un taux élevé de morbidité et mortalité, associe avec une hospitalization prolongée
  • 90.
    Conclusion  Un approchehybride, comprennent un debranchement des vaisseaux supra- aortiques, en combinaison avec un stent thoracique a obtenue d’excellent resultats, avec un tres bas taux de mortalité et de morbidité, et une hospitalization reduite  Nous recommandons une revascularization complete par étape de tous vaisseaux recouverts par stents
  • 91.
    Conclusion  L’arrêt dudebit cardiac avec un pacemaker peut etre utile a améliorer la precision du positionnement du stent  Cet approche souligne l’evolution des techniques endovasculaires dans le traitement de conditions vasculaires difficiles
  • 92.
  • 94.
  • 95.
    References  Bayford D.An account of singular case of obstructional deglutition. Mem Med Soc London. 1794;2:275  DeBakey ME. Surgical considerations of dissecting aneurysms of the aorta. Ann Surg. 1955; 142:586-612.  Dake MD, et al. Endovascular stent-graft placement for the treatment of acute aortic dissection. N Engl J Med. 1999;340:1546-1552.  Gross RE. Surgical treatment for dysphagia lusoria. Ann Surg. 1946;124:532-4.  Kommerell B. Verlagerung des Ösophagus durch eine abnorm verlaufende Arteria subclavia dextra (arteria lusoria) Fortschr Geb Röntgenstr Nuklearmed 1936;54:590–5.  Cina et al. Kommerell’s diverticulum and right-sided aortic arch: a cohort study and review of literature. J Vasc Surg.2004;39(1):131-139.