APPROCHE DE BASE DE
L'INTERPRETATION DU SCAN DE
LA TETE
David Zimmerman, M.D.
Neuroradiologie, BWH
Abonnez-vous à DeepL Pro pour traduire des fichiers plus volumineux.
Visitez www.DeepL.com/pro pour en savoir plus.
Conten
u
• Principes de base de la TDM
• Neuroanatomie de la
tomodensitométrie
• Processus pathologiques évalués
par tomodensitométrie
Physique de base
de la
tomodensitométrie
Détecteurs annulaires
ou linéaires
Tube à rayons X rotatif
et faisceau de rayons X
en éventail
Patien
t
Scanner CT
Mouvement du
patient
mouvement
Fig. I.3
ńeÍicaÍ
(A) íSystème multidétecteur (Vos anneaux représentés Derek. (B)
íVlultislice
Comment est produite une image de tomodensitométrie3
Chaque coupe de tomodensitométrie acquise est subdivisée en une matrice contenant jusqu'à
1024 x 1024 éléments de volume (voxels). Chaque voxel a été traversé pendant le scan par de
nombreux photons de rayons X et l'intensité du rayonnement transmis a été mesurée par des
détecteurs. À partir de ces relevés d'intensité, la densité ou la valeur d'atténuation du tissu en
chaque point de la tranche peut être calculée. Des valeurs d'atténuation spécifiques sont
attribuées à chaque voxeL L'image visualisée est ensuite reconstruite sous la forme d'une
matrice correspondante d'éléments d'image (pixels).
-
1000
-
500
+500 +1000
Graisse Os
Qu'est-ce qu'une unité Hounsfield ou un nombre
CT ?
L'air Eau
Os +400
+1000
Tissu Solt +40- +80
Eau O
Graisse -60-- -100
Poumon -400- -600
Air -1000
Fig.
I.4
L'échelle de Hounsfield des nombres
CT.
Mesures de l'unité
Hounsfield
• Os~ +613 HU
• Matière blanche~ +24,7 UH
• Matière grise~ +35,8 UH
• LCR - Ventricule~ +3,3 UH
• Graisse du cuir chevelu~ -84.5
HU
• Air~ -966,3 HU
Différences de densité
des tissus
• Les substances de faible densité laissent passer
plus de photons vers les détecteurs, ce qui
donne un aspect plus gris ou plus noir au
scanner - comme le LCR.
• Le faisceau de rayons X est davantage atténué par
le calcium, de sorte que moins de photons
traversent l'os pour atteindre les détecteurs,
d'où l'aspect "blanc" de l'os au scanner.
• La matière blanche est moins cellulaire, contient
des axones myélinisés (graisse) et a une teneur
en eau plus élevée que la matière grise, ce qui se
traduit par des valeurs d'atténuation ou une
densité légèrement inférieures.
Niveau de fenêtre (WL) et largeur de fenêtre
Alors que la gamme des nombres CT reconnus par l'ordinateur est de 2000, l'œil humain ne
peut pas distinguer avec précision 2000 nuances de gris. Par conséquent, pour permettre
à l'observateur d'interpréter l'image, seul un nombre limité d'UH est affiché. Une échelle
de gris cliniquement utile est obtenue en réglant le WL et le WW sur la console de
l'ordinateur à une gamme appropriée d'unités Hounsfield, en fonction du tissu étudié.
Le terme "niveau de la fenêtre" représente l'unité Hounsfidd centrale de tous les nombres
compris dans la largeur de la fenêtre.
La largeur de la fenêtre couvre l'HU de toutes les fissures d'intérêt et celles-ci sont
affichées en différentes nuances de gris. Les tissus dont les numéros de tomodensitométrie se
situent en dehors de cette plage sont affichés en noir ou en blanc. La WL et la WW peuvent
être réglées indépendamment sur la console de l'ordinateur et leurs réglages respectifs
affectent l'image finale affichée.
Par exemple, lors d'un examen tomodensitométrique d u thorax, une largeur d'onde de 350 et
une largeur d'onde de +40 sont choisies pour imager le médiastin (tissus mous) (figure 1.5a),
tandis qu'une largeur d'onde optimale de l5fD et une largeur d'onde de -600 sont utilisées pour
évaluer les champs pulmonaires.
A
B
Fig. I. S ces deux irnoges aie or the some section, v/ewe d of d/7eren/ window settings.
(A) Un niveau de fenêtre oL+ zt0 avec une largeur de fenêtre oL 350 révèle des structures dans
/#e mediostin um mais aucun porencñymo pulmonaire ne peut être vu.
(B) Le niveau de la fenêtre est de -b00 avec une largeur de fenêtre de L ITOO Houns unités
de champ. Cela permet de voir les détails du long porencñymo la ibe, de la dépense de
l'ostinum médian.
Différents niveaux de fenêtre
• Fenêtre cérébrale - montre une hémorragie sous-
arachnoïdienne (protéines sanguines/ caillots) à haute
densité dans les citernes basilaires avec de petits foyers d'air
(flèches rouges) liés à un traumatisme.
• Fenêtre des tissus mous - montre un hématome du cuir
chevelu
• Fenêtre osseuse - montre un fragment de balle et une
fracture
Reconstruction de l'image
L'acquisition de données volumétriques à l'aide de la tomodensitométrie hélicoïdale signifie que les images
peuvent être post-traitées de manière appropriée à la situation clinique.
• Refonte multiplanaire (MPR) - en prenant une coupe à travers le réseau tridimensionnel de
chiffres CT acquis avec une série de coupes contiguës, les plans sagittal, coronal et oblique
peuvent être visualisés en plus du plan transaxial standard (Fig. 1.7).
Artéfacts de la
tomodensitométr
ie
Artéfact de durcissement du
faisceau dû à un alliage
métallique dans une balle logée
Artéfact de traînée dans le plan coronal
Artéfact de volume
partiel
• Notez la flèche rouge, dans
l'espace extra-axial adjacent à
l'hémisphère cérébelleux droit,
il y a une légère augmentation
de la densité liée au
moyennage du sinus sigmoïde,
du cervelet et du LCR dans cette
coupe.
• Flèche bleue - une bande
d'artefacts limite l'évaluation
du pons.
Neuro-imagerie
par
tomodensitométr
ie
• La tête est
systématiquement
scannée par
imagerie
séquentielle dans le
plan axial, chaque
coupe mesurant
5 mm
d'épaisseur.
• L'imagerie
hélicoïdale est
utilisée pour les
angiogrammes CT
de la tête/du cou
et d'autres
parties du corps.
Illustration de la
neuroanatomie
Illustration de la
neuroanatomie
Illustration de la
neuroanatomie
Neuroanatomie illustrative
Approche du scanner de la
tête
• D'abord - évaluer les structures
anatomiques normales, fenêtre pour
un contraste optimal du tissu cérébral
• Deuxièmement - évaluer les signes de
pathologie sous-jacente tels que : effet de
masse, œdème, déplacement de la ligne
médiane, hémorragie, hydrocéphalie,
collection/hématome sous-dural ou épidural,
ou infarctus.
• Troisièmement, évaluer les sinus et les
structures osseuses à l'aide de fenêtres
osseuses.
• Quatrièmement - utiliser une fenêtre pour
les tissus mous afin d'évaluer
l'anatomie extracrânienne - orbites,
visage, cuir chevelu.
Anatomi
e
• Rouge -
Hémisphèr
e
cérébelleux
• Bleu -
Vermis
cérébelleux
• Vert - Moelle
épinière
• Rose - Muscles
masticateurs
• Orange -
Sinus
Anatomie- Niveau du
pons
• Violet - Sinus sphénoïde
• Jaune - angle
ponto- cérébelleux
• Rouge -
Pédoncule
cérébelleux
moyen
• Orange - Lobe
temporal
• Bleu - Quatrième
ventricule
Anatomie - Niveau
du
mésencéphale
• Jaune - sinus ethmoïde
• Violet - Fosse de Sellar
• Vert -
Citerne
suprasellaire
• Rouge -
Aqueduc
cérébral
• Bleu - Corne temporale
du système ventriculaire
• Orange - Lobe occipital
• Blanc - Artère cérébrale
moyenne, notez qu'elle
est isodense par rapport
à la matière grise
Anatomi
e
• Vert -
Troisièm
e
ventricul
e
• Jaune -
Lobe
frontal
• Rouge -
Fissure
sylvienne
• Bleu -
Lobe
temporal
• Orange - Citerne de
Anatomi
e
• Blanc - le foramen de
Monroe relie le
ventricule latéral au
troisième ventricule
• Jaune - tête caudale
• Bleu - globus pallidus
• Rouge - putamen
• Violet - thalamus
• Vert - branche
postérieure de la
capsule interne
• Orange - glande
pinéale avec
calcification
Anatomi
e
• Blanc - genu du corps
calleux
• Rouge - splénium
du corps calleux
• Jaune - thalamus
• Vert - plexus choroïde
dans le ventricule latéral
• Bleu - capsule externe
entre le cortex insulaire
latéralement et le
putamen des ganglions de
la base médialement
Anatomi
e
• Blanc - corps
du caudé
• Rouge - les corona
radiata sont des
voies de la
substance blanche
• Jaune - falx cerebri
• Bleu - sinus
sagittal
supérieur
Anatomi
e
• Jaune - le centrum
semiovale est une
voie
supraventriculaire de
la substance blanche
qui part et arrive
au cortex cérébral.
• Bleu - lobe pariétal
Anatomie - vertex ou sommet du cerveau
Anatomi
e
• Blanc - gyrus frontal
supérieur
• Jaune - sillon
frontal supérieur
• Rouge - gyrus
frontal moyen
• Vert - sillon
préfrontal
• Orange - bande
motrice ou gyrus
préfrontal
• Bleu - sillon central
• Violet - bande sensorielle
ou gyrus post-central
• Rose - sillon post-central
Fenêtre osseuse -
Anatomie
• Orange - fissure
orbitaire inférieure
• Vert -
foramen
lacerum
• Jaune -
foramen
ovale
3e
transmettantla
division du CN V
• Rouge - foramen
spinosum pour
l'artère méningée
moyenne
• Pourpre - portion
pétreuse de
l'artère carotide
interne
• Blanc - veine
jugulaire
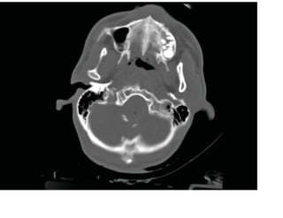
Fenêtre osseuse -
Anatomie
• Jaune - le canal de
Vidian transmet le nerf
grand pétrosal de
CN VII
• Rouge - clivus
• Bleu - canal carotidien
• Blanc - veine jugulaire
• Vert -
sinus
sigmoïde
Sinus dans le plan
axial
• De gauche à droite : sinus frontal,
sinus éthmoïde, sinus maxillaire
et sinus sphénoïde
Anatomie angiographique
par
tomodensitométrie
• Rouge - ACM ou
artère cérébrale
moyenne
• Jaune - ACA
• Vert - ACP
• Bleu - Artère basilaire
Anatomie angiographique
par
tomodensitométrie
• Rouge -
artères
cérébrales
antérieures
• Jaune - veine de
Galen
• Violet - sinus
sagittal
supérieur
• Vert - sinus
droit
• Bleu - artère
basilaire
Pathologieau scanner
cérébral
Pouvez-vous trouver l'anomalie ?
Anévrisme de l'artère cérébrale
moyenne gauche sur un scanner
sans contraste
Anévrisme de l'artère cérébrale
moyenne gauche sur un scanner
sans contraste
• Jaune - Anévrisme
de bifurcation de
l'ACM
• Rose - Fissure
sylvienne
• Orange - Artère
basilaire
• Vert - Artère cérébrale
moyenne
supraclinoïde
• Bleu - Selle
dorsale
osseuse
TRAUMA
Traumatisme dû à une
blessure par balle
• Les hémorragies
aiguës sont
brillantes au
scanner, en raison de
l'atténuation accrue
des photons des
rayons X par les
protéines sanguines
lors de la formation
du caillot.
• Dans ce cas, il s'agit
d'une
hémorragie sous-
arachnoïdienne
Traumatisme -
Même cas
• Le fenêtrage des tissus
mous montre un
gonflement important du
cuir chevelu. Le sinus
frontal gauche est
opacifié.
• L'œdème cérébral diffus
et l'hématome sous-
dural (flèches jaunes) ont
entraîné un déplacement
des structures sur la
ligne médiane du côté
droit.
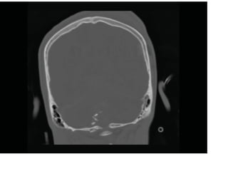
Fenêtres osseuses avec balle logée
Les images tomodensitométriques
axiales des diapositives suivantes
montrent le point d'entrée de la balle
dans le crâne occipital droit avec des
fragments de fracture comminutive.
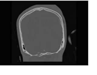
Les données du scanner peuvent
être reformatées dans le plan
coronal pour évaluer les fractures
du calvaire.
AVC
Infarctus cérébelleux droit
• Les infarctus sont
initialement mal définis
avec une
atténuation/densité plus
faible ou un aspect "gris
plus foncé".
• Les infarctus chroniques
sont noirs comme le LCR
car la perte de tissu due
à la mort des cellules
neuronales se liquéfie, ce
qui est connu sous le
nom d'encéphalomalacie.
Infarctus cérébelleux gauche
• L'œdème cytotoxique
dans les infarctus
implique la matière grise
et la matière blanche -
c'est pourquoi la faible
atténuation anormale
s'étend au cortex.
• Il est important de
connaître les territoires
vasculaires : il s'agit d'un
infarctus de l'artère
cérébelleuse postéro-
inférieure (PICA).
• Le stade aigu à subaigu
de l'infarctus peut
entraîner un effet de
masse dû à l'œdème.
Y a-t-il une asymétrie entre les
deux hémisphères ?
Infarctus territorial aigu de
l'artère cérébrale
moyenne gauche
• L'occlusion artérielle due à un thrombus ou à un embole entraîne une
perte de différenciation entre la matière grise et la matière blanche
lorsque l'ischémie se développe.
• Noter la perte du ruban cortical blanc de la substance grise dans
l'hémisphère gauche (flèches jaunes) par rapport au côté controlatéral
normal (flèches bleues).
Signe dense de l'ACM dans un
infarctus aigu
• Remarquez que le
thrombus est plus
blanc dans l'artère
cérébrale moyenne
gauche occluse
sur cette étude
sans contraste.
Infarctus subaigu
• Dans les 5 à 7 jours
suivant l'événement
initial, la zone
complètement infarcie
présente un aspect
géographique bien défini
avec un effet de masse.
• Les infarctus
chroniques
présentent une
perte de volume
• Les infarctus peuvent subir
une conversion
hémorragique,
généralement dans les
premiers jours.
Infarctus chronique du lobe frontal
droit - noter la dilatation ex vacuo de
la corne frontale droite secondaire à
la perte de volume parenchymateuse.
Infarctus chronique de l'ACM
gauche avec perte de
volume parenchymateux
Masses cérébrales et
œdème
Métastase cérébrale
hémorragique
• La masse hyperdense du
lobe pariétal postérieur
gauche présente
une composante
hémorragique.
• Notez le schéma de l'œdème
vasogénique (flèches jaunes)
par rapport à l'œdème
cytotoxique de l'infarctus.
L'œdème présente des
projections en forme de doigts
le long de la substance blanche
uniquement.
• L'œdème vasogénique
résulte d'une augmentation
du liquide dans l'interstitium
par effet de masse.
• L'œdème cytotoxique est un
gonflement intracellulaire dû à la
mort des cellules, qui concerne la
matière grise et la matière
blanche. Cependant, les infarctus
ont également une composante
vasogénique.
Glioblastom
e
Glioblastom
e
• La diapositive précédente est une
tomodensitométrie avec produit de contraste
montrant une masse agressive à
rehaussement hétérogène qui infiltre la
substance blanche et s'étend à travers le splénium
du corps calleux.
• Le glioblastome multiforme (GBM) est de loin la
plus fréquente et la plus maligne des tumeurs
gliales. Composés d'un mélange hétérogène
d'astrocytes néoplasiques peu différenciés, les
glioblastomes touchent principalement les
adultes et se localisent préférentiellement dans
les hémisphères cérébraux.
Hydrocéphali
e
Hydrocéphali
e
• Les ventricules sont
plus dilatés que les
espaces sous-
arachnoïdiens.
• Les causes comprennent
une masse obstruante
(hydrocéphalie non
communicante) ou un
défaut de résorption du
LCR dans les granulations
arachnoïdiennes qui
peuvent ne pas
fonctionner correctement
après une hémorragie
sous- arachnoïdienne ou
une méningite : cette
forme est connue sous le
nom d'hydrocéphalie
communicante.
Signes d'hydrocéphalie
• Un bon indicateur est
la dilatation anormale
des cornes
temporales, qui
sont normalement en
forme de fente.
• Notez ici que les
cornes
temporales sont
légèrement dilatées,
alors que les
espaces sous-
arachnoïdiens ne le
sont pas.
Circułotion du liquide céphalo-rachidien
Hydrocéphalie obstructive
• L'hyperdensité de ce
kyste colloïdal bénin est
due à sa forte teneur en
protéines.
• Le kyste est situé dans le
troisième ventricule
antérieur au niveau du
foramen de Monroe et a
entraîné une dilatation des
ventricules latéraux.
• Le patient se plaint
principalement de
céphalées sévères
accompagnées d'une
augmentation de la
pression intracrânienne.
• Une résection
neurochirurgicale
est impérative
Hydrocéphali
e
• Une autre cause
d'hydrocéphalie
communicante est la
carcinomatose
leptoméningée ou la
propagation d'une
maladie métastatique aux
méninges, qui affecte la
résorption du LCR.
• Notez la dilatation des
ventricules et la masse en
forme de plaque le long de
la surface du lobe frontal
gauche sur cette
tomodensitométrie avec
renforcement du contraste.
Atrophi
e
• Les ventricules sont
dilatés, mais les espaces
sous- arachnoïdiens le
sont également, ce qui
n'est pas attendu en cas
d'hydrocéphalie.
• La combinaison de ces
deux observations est
compatible avec une perte
de volume diffuse ou une
atrophie chez ce patient de
80 ans.
Hémorragie
cérébrale
Hémorragie cérébrale
• Hémorragie
parenchymateuse ou
hématome centré sur les
ganglions de la base
gauche avec un léger
œdème vasogénique
environnant (flèches
jaunes).
• Les ganglions de la base,
le pons et le cervelet sont
des localisations
courantes d'une
hémorragie hypertensive.
Causes de l'hémorragie parenchymateuse
• Hypertension
artérielle
• Accident vasculaire
cérébral
hémorragique
• Traumatisme
• Coagulopathie
en cas de
leucémie
• Coumadin
• Rupture
d'anévrisme
• MAV et fistule
durale
• Dissection vasculaire
• Lésion axonale
diffuse
• Abus de cocaïne
• Angiopathie
amyloïde
• Vasculopathi
e radique
• Toxoplasmos
e
• Tumeur
Hématome sous-
dural
Hématome sous-dural
aigu
• Jaune -
hématome sous-
dural autour de
la convexité du
lobe frontal
gauche
• Bleu -
hématome
sous-dural le
long du
tentorium
• Rouge - hémorragie
sous-
arachnoïdienne
dans la fissure
sylvienne
Hématome sous-dural
subaigu
• Les produits
sanguins
subaigus sont
isodenses par
rapport au
parenchyme
cérébral adjacent et
peuvent
facilement passer
inaperçus.
• Observez comment
les sillons de
l'hémisphère
gauche sont plus
serrés et plus
comprimés en
raison de l'effet de
masse.
Hématome sous-
dural
• Notez que l'hématome sous-dural recouvre
le LCR dans l'espace sous-arachnoïdien
et qu'il traverse la suture coronale
(flèche jaune), ce qui n'est pas le cas
d'une collection épidurale.
Extérieur du cerveau avec
fenêtres sur les os et les
tissus mous
Sinusite maxillaire
• Le niveau d'air et de
liquide dans le
sinus maxillaire
gauche n'est
pas spécifique d'une
sinusite aiguë,
mais une corrélation
avec les symptômes
est toujours
suggérée.
Fenêtres osseuses - Maladie osseuse
• Cancer de la prostate avec
métastases au niveau de
l'os pétreux gauche et du
clivus
• Les métastases du cancer
de la prostate et souvent du
cancer du sein entraînent
des lésions scléreuses de
densité plus élevée, en
raison d'une activité
ostéoblastique accrue dans
l'os.
Métastases lytiques
• Les fenêtres osseuses
montrent des trous
irréguliers
dispersés ou
des lésions lytiques
dans le calvarium à
la suite d'un cancer
du poumon.
• Le myélome multiple,
le carcinome rénal et
le cancer du sein
peuvent avoir un
aspect
identique.
Lymphom
e
• Il est toujours
important
d'examiner les
orbites, le cuir
chevelu et la région
faciale à l'aide
des fenêtres des
tissus mous.
• Hypertrophie
bilatérale des
glandes lacrymales
chez un patient
atteint d'un
lymphome
Gonflement traumatique
périorbitaire
• Les fenêtres des tissus
mous sont utiles
pour évaluer
l'étendue de
l'œdème, de
l'hématome du cuir
chevelu (flèche
rouge) et de la
tuméfaction
inflammatoire des
tissus mous.
• Permet
également
d'évaluer la
musculature et
les globes.
Résum
é
• Comprendre l'anatomie
• Utiliser les différentes fenêtres du scanner
pour évaluer les pathologies des tissus
mous, du cerveau, des sinus et des os.
• BONNE CHANCE !
Référence
s
• Netter, Frank. Atlas d'anatomie
humaine. Novartis, 1997.
• Jackson, Simon. L'imagerie transversale
en toute simplicité. Churchill Livingstone,
2004.

basic-approach-to-evaluating-a-headct (1)-compressé fr.pptx

  • 1.
    APPROCHE DE BASEDE L'INTERPRETATION DU SCAN DE LA TETE David Zimmerman, M.D. Neuroradiologie, BWH Abonnez-vous à DeepL Pro pour traduire des fichiers plus volumineux. Visitez www.DeepL.com/pro pour en savoir plus.
  • 2.
    Conten u • Principes debase de la TDM • Neuroanatomie de la tomodensitométrie • Processus pathologiques évalués par tomodensitométrie
  • 3.
    Physique de base dela tomodensitométrie
  • 4.
    Détecteurs annulaires ou linéaires Tubeà rayons X rotatif et faisceau de rayons X en éventail Patien t
  • 5.
  • 6.
    Mouvement du patient mouvement Fig. I.3 ńeÍicaÍ (A)íSystème multidétecteur (Vos anneaux représentés Derek. (B) íVlultislice
  • 7.
    Comment est produiteune image de tomodensitométrie3 Chaque coupe de tomodensitométrie acquise est subdivisée en une matrice contenant jusqu'à 1024 x 1024 éléments de volume (voxels). Chaque voxel a été traversé pendant le scan par de nombreux photons de rayons X et l'intensité du rayonnement transmis a été mesurée par des détecteurs. À partir de ces relevés d'intensité, la densité ou la valeur d'atténuation du tissu en chaque point de la tranche peut être calculée. Des valeurs d'atténuation spécifiques sont attribuées à chaque voxeL L'image visualisée est ensuite reconstruite sous la forme d'une matrice correspondante d'éléments d'image (pixels).
  • 8.
    - 1000 - 500 +500 +1000 Graisse Os Qu'est-cequ'une unité Hounsfield ou un nombre CT ? L'air Eau Os +400 +1000 Tissu Solt +40- +80 Eau O Graisse -60-- -100 Poumon -400- -600 Air -1000 Fig. I.4 L'échelle de Hounsfield des nombres CT.
  • 9.
    Mesures de l'unité Hounsfield •Os~ +613 HU • Matière blanche~ +24,7 UH • Matière grise~ +35,8 UH • LCR - Ventricule~ +3,3 UH • Graisse du cuir chevelu~ -84.5 HU • Air~ -966,3 HU
  • 10.
    Différences de densité destissus • Les substances de faible densité laissent passer plus de photons vers les détecteurs, ce qui donne un aspect plus gris ou plus noir au scanner - comme le LCR. • Le faisceau de rayons X est davantage atténué par le calcium, de sorte que moins de photons traversent l'os pour atteindre les détecteurs, d'où l'aspect "blanc" de l'os au scanner. • La matière blanche est moins cellulaire, contient des axones myélinisés (graisse) et a une teneur en eau plus élevée que la matière grise, ce qui se traduit par des valeurs d'atténuation ou une densité légèrement inférieures.
  • 11.
    Niveau de fenêtre(WL) et largeur de fenêtre Alors que la gamme des nombres CT reconnus par l'ordinateur est de 2000, l'œil humain ne peut pas distinguer avec précision 2000 nuances de gris. Par conséquent, pour permettre à l'observateur d'interpréter l'image, seul un nombre limité d'UH est affiché. Une échelle de gris cliniquement utile est obtenue en réglant le WL et le WW sur la console de l'ordinateur à une gamme appropriée d'unités Hounsfield, en fonction du tissu étudié. Le terme "niveau de la fenêtre" représente l'unité Hounsfidd centrale de tous les nombres compris dans la largeur de la fenêtre. La largeur de la fenêtre couvre l'HU de toutes les fissures d'intérêt et celles-ci sont affichées en différentes nuances de gris. Les tissus dont les numéros de tomodensitométrie se situent en dehors de cette plage sont affichés en noir ou en blanc. La WL et la WW peuvent être réglées indépendamment sur la console de l'ordinateur et leurs réglages respectifs affectent l'image finale affichée. Par exemple, lors d'un examen tomodensitométrique d u thorax, une largeur d'onde de 350 et une largeur d'onde de +40 sont choisies pour imager le médiastin (tissus mous) (figure 1.5a), tandis qu'une largeur d'onde optimale de l5fD et une largeur d'onde de -600 sont utilisées pour évaluer les champs pulmonaires.
  • 12.
    A B Fig. I. Sces deux irnoges aie or the some section, v/ewe d of d/7eren/ window settings. (A) Un niveau de fenêtre oL+ zt0 avec une largeur de fenêtre oL 350 révèle des structures dans /#e mediostin um mais aucun porencñymo pulmonaire ne peut être vu. (B) Le niveau de la fenêtre est de -b00 avec une largeur de fenêtre de L ITOO Houns unités de champ. Cela permet de voir les détails du long porencñymo la ibe, de la dépense de l'ostinum médian.
  • 13.
    Différents niveaux defenêtre • Fenêtre cérébrale - montre une hémorragie sous- arachnoïdienne (protéines sanguines/ caillots) à haute densité dans les citernes basilaires avec de petits foyers d'air (flèches rouges) liés à un traumatisme. • Fenêtre des tissus mous - montre un hématome du cuir chevelu • Fenêtre osseuse - montre un fragment de balle et une fracture
  • 14.
    Reconstruction de l'image L'acquisitionde données volumétriques à l'aide de la tomodensitométrie hélicoïdale signifie que les images peuvent être post-traitées de manière appropriée à la situation clinique. • Refonte multiplanaire (MPR) - en prenant une coupe à travers le réseau tridimensionnel de chiffres CT acquis avec une série de coupes contiguës, les plans sagittal, coronal et oblique peuvent être visualisés en plus du plan transaxial standard (Fig. 1.7).
  • 16.
  • 17.
    Artéfact de durcissementdu faisceau dû à un alliage métallique dans une balle logée
  • 18.
    Artéfact de traînéedans le plan coronal
  • 19.
    Artéfact de volume partiel •Notez la flèche rouge, dans l'espace extra-axial adjacent à l'hémisphère cérébelleux droit, il y a une légère augmentation de la densité liée au moyennage du sinus sigmoïde, du cervelet et du LCR dans cette coupe. • Flèche bleue - une bande d'artefacts limite l'évaluation du pons.
  • 20.
    Neuro-imagerie par tomodensitométr ie • La têteest systématiquement scannée par imagerie séquentielle dans le plan axial, chaque coupe mesurant 5 mm d'épaisseur. • L'imagerie hélicoïdale est utilisée pour les angiogrammes CT de la tête/du cou et d'autres parties du corps.
  • 21.
  • 22.
  • 23.
  • 24.
  • 25.
    Approche du scannerde la tête • D'abord - évaluer les structures anatomiques normales, fenêtre pour un contraste optimal du tissu cérébral • Deuxièmement - évaluer les signes de pathologie sous-jacente tels que : effet de masse, œdème, déplacement de la ligne médiane, hémorragie, hydrocéphalie, collection/hématome sous-dural ou épidural, ou infarctus. • Troisièmement, évaluer les sinus et les structures osseuses à l'aide de fenêtres osseuses. • Quatrièmement - utiliser une fenêtre pour les tissus mous afin d'évaluer l'anatomie extracrânienne - orbites, visage, cuir chevelu.
  • 26.
    Anatomi e • Rouge - Hémisphèr e cérébelleux •Bleu - Vermis cérébelleux • Vert - Moelle épinière • Rose - Muscles masticateurs • Orange - Sinus
  • 27.
    Anatomie- Niveau du pons •Violet - Sinus sphénoïde • Jaune - angle ponto- cérébelleux • Rouge - Pédoncule cérébelleux moyen • Orange - Lobe temporal • Bleu - Quatrième ventricule
  • 28.
    Anatomie - Niveau du mésencéphale •Jaune - sinus ethmoïde • Violet - Fosse de Sellar • Vert - Citerne suprasellaire • Rouge - Aqueduc cérébral • Bleu - Corne temporale du système ventriculaire • Orange - Lobe occipital • Blanc - Artère cérébrale moyenne, notez qu'elle est isodense par rapport à la matière grise
  • 29.
    Anatomi e • Vert - Troisièm e ventricul e •Jaune - Lobe frontal • Rouge - Fissure sylvienne • Bleu - Lobe temporal • Orange - Citerne de
  • 30.
    Anatomi e • Blanc -le foramen de Monroe relie le ventricule latéral au troisième ventricule • Jaune - tête caudale • Bleu - globus pallidus • Rouge - putamen • Violet - thalamus • Vert - branche postérieure de la capsule interne • Orange - glande pinéale avec calcification
  • 31.
    Anatomi e • Blanc -genu du corps calleux • Rouge - splénium du corps calleux • Jaune - thalamus • Vert - plexus choroïde dans le ventricule latéral • Bleu - capsule externe entre le cortex insulaire latéralement et le putamen des ganglions de la base médialement
  • 32.
    Anatomi e • Blanc -corps du caudé • Rouge - les corona radiata sont des voies de la substance blanche • Jaune - falx cerebri • Bleu - sinus sagittal supérieur
  • 33.
    Anatomi e • Jaune -le centrum semiovale est une voie supraventriculaire de la substance blanche qui part et arrive au cortex cérébral. • Bleu - lobe pariétal
  • 34.
    Anatomie - vertexou sommet du cerveau
  • 35.
    Anatomi e • Blanc -gyrus frontal supérieur • Jaune - sillon frontal supérieur • Rouge - gyrus frontal moyen • Vert - sillon préfrontal • Orange - bande motrice ou gyrus préfrontal • Bleu - sillon central • Violet - bande sensorielle ou gyrus post-central • Rose - sillon post-central
  • 36.
    Fenêtre osseuse - Anatomie •Orange - fissure orbitaire inférieure • Vert - foramen lacerum • Jaune - foramen ovale 3e transmettantla division du CN V • Rouge - foramen spinosum pour l'artère méningée moyenne • Pourpre - portion pétreuse de l'artère carotide interne • Blanc - veine jugulaire
  • 37.
    Fenêtre osseuse - Anatomie •Jaune - le canal de Vidian transmet le nerf grand pétrosal de CN VII • Rouge - clivus • Bleu - canal carotidien • Blanc - veine jugulaire • Vert - sinus sigmoïde
  • 38.
    Sinus dans leplan axial • De gauche à droite : sinus frontal, sinus éthmoïde, sinus maxillaire et sinus sphénoïde
  • 39.
    Anatomie angiographique par tomodensitométrie • Rouge- ACM ou artère cérébrale moyenne • Jaune - ACA • Vert - ACP • Bleu - Artère basilaire
  • 40.
    Anatomie angiographique par tomodensitométrie • Rouge- artères cérébrales antérieures • Jaune - veine de Galen • Violet - sinus sagittal supérieur • Vert - sinus droit • Bleu - artère basilaire
  • 41.
  • 42.
  • 43.
    Anévrisme de l'artèrecérébrale moyenne gauche sur un scanner sans contraste
  • 44.
    Anévrisme de l'artèrecérébrale moyenne gauche sur un scanner sans contraste • Jaune - Anévrisme de bifurcation de l'ACM • Rose - Fissure sylvienne • Orange - Artère basilaire • Vert - Artère cérébrale moyenne supraclinoïde • Bleu - Selle dorsale osseuse
  • 45.
  • 46.
    Traumatisme dû àune blessure par balle • Les hémorragies aiguës sont brillantes au scanner, en raison de l'atténuation accrue des photons des rayons X par les protéines sanguines lors de la formation du caillot. • Dans ce cas, il s'agit d'une hémorragie sous- arachnoïdienne
  • 47.
    Traumatisme - Même cas •Le fenêtrage des tissus mous montre un gonflement important du cuir chevelu. Le sinus frontal gauche est opacifié. • L'œdème cérébral diffus et l'hématome sous- dural (flèches jaunes) ont entraîné un déplacement des structures sur la ligne médiane du côté droit.
  • 48.
  • 49.
    Les images tomodensitométriques axialesdes diapositives suivantes montrent le point d'entrée de la balle dans le crâne occipital droit avec des fragments de fracture comminutive.
  • 55.
    Les données duscanner peuvent être reformatées dans le plan coronal pour évaluer les fractures du calvaire.
  • 63.
  • 64.
    Infarctus cérébelleux droit •Les infarctus sont initialement mal définis avec une atténuation/densité plus faible ou un aspect "gris plus foncé". • Les infarctus chroniques sont noirs comme le LCR car la perte de tissu due à la mort des cellules neuronales se liquéfie, ce qui est connu sous le nom d'encéphalomalacie.
  • 65.
    Infarctus cérébelleux gauche •L'œdème cytotoxique dans les infarctus implique la matière grise et la matière blanche - c'est pourquoi la faible atténuation anormale s'étend au cortex. • Il est important de connaître les territoires vasculaires : il s'agit d'un infarctus de l'artère cérébelleuse postéro- inférieure (PICA). • Le stade aigu à subaigu de l'infarctus peut entraîner un effet de masse dû à l'œdème.
  • 66.
    Y a-t-il uneasymétrie entre les deux hémisphères ?
  • 67.
    Infarctus territorial aigude l'artère cérébrale moyenne gauche • L'occlusion artérielle due à un thrombus ou à un embole entraîne une perte de différenciation entre la matière grise et la matière blanche lorsque l'ischémie se développe. • Noter la perte du ruban cortical blanc de la substance grise dans l'hémisphère gauche (flèches jaunes) par rapport au côté controlatéral normal (flèches bleues).
  • 68.
    Signe dense del'ACM dans un infarctus aigu • Remarquez que le thrombus est plus blanc dans l'artère cérébrale moyenne gauche occluse sur cette étude sans contraste.
  • 69.
    Infarctus subaigu • Dansles 5 à 7 jours suivant l'événement initial, la zone complètement infarcie présente un aspect géographique bien défini avec un effet de masse. • Les infarctus chroniques présentent une perte de volume • Les infarctus peuvent subir une conversion hémorragique, généralement dans les premiers jours.
  • 70.
    Infarctus chronique dulobe frontal droit - noter la dilatation ex vacuo de la corne frontale droite secondaire à la perte de volume parenchymateuse.
  • 71.
    Infarctus chronique del'ACM gauche avec perte de volume parenchymateux
  • 72.
  • 73.
    Métastase cérébrale hémorragique • Lamasse hyperdense du lobe pariétal postérieur gauche présente une composante hémorragique. • Notez le schéma de l'œdème vasogénique (flèches jaunes) par rapport à l'œdème cytotoxique de l'infarctus. L'œdème présente des projections en forme de doigts le long de la substance blanche uniquement. • L'œdème vasogénique résulte d'une augmentation du liquide dans l'interstitium par effet de masse. • L'œdème cytotoxique est un gonflement intracellulaire dû à la mort des cellules, qui concerne la matière grise et la matière blanche. Cependant, les infarctus ont également une composante vasogénique.
  • 74.
  • 75.
    Glioblastom e • La diapositiveprécédente est une tomodensitométrie avec produit de contraste montrant une masse agressive à rehaussement hétérogène qui infiltre la substance blanche et s'étend à travers le splénium du corps calleux. • Le glioblastome multiforme (GBM) est de loin la plus fréquente et la plus maligne des tumeurs gliales. Composés d'un mélange hétérogène d'astrocytes néoplasiques peu différenciés, les glioblastomes touchent principalement les adultes et se localisent préférentiellement dans les hémisphères cérébraux.
  • 76.
  • 77.
    Hydrocéphali e • Les ventriculessont plus dilatés que les espaces sous- arachnoïdiens. • Les causes comprennent une masse obstruante (hydrocéphalie non communicante) ou un défaut de résorption du LCR dans les granulations arachnoïdiennes qui peuvent ne pas fonctionner correctement après une hémorragie sous- arachnoïdienne ou une méningite : cette forme est connue sous le nom d'hydrocéphalie communicante.
  • 78.
    Signes d'hydrocéphalie • Unbon indicateur est la dilatation anormale des cornes temporales, qui sont normalement en forme de fente. • Notez ici que les cornes temporales sont légèrement dilatées, alors que les espaces sous- arachnoïdiens ne le sont pas.
  • 79.
    Circułotion du liquidecéphalo-rachidien
  • 80.
    Hydrocéphalie obstructive • L'hyperdensitéde ce kyste colloïdal bénin est due à sa forte teneur en protéines. • Le kyste est situé dans le troisième ventricule antérieur au niveau du foramen de Monroe et a entraîné une dilatation des ventricules latéraux. • Le patient se plaint principalement de céphalées sévères accompagnées d'une augmentation de la pression intracrânienne. • Une résection neurochirurgicale est impérative
  • 81.
    Hydrocéphali e • Une autrecause d'hydrocéphalie communicante est la carcinomatose leptoméningée ou la propagation d'une maladie métastatique aux méninges, qui affecte la résorption du LCR. • Notez la dilatation des ventricules et la masse en forme de plaque le long de la surface du lobe frontal gauche sur cette tomodensitométrie avec renforcement du contraste.
  • 82.
    Atrophi e • Les ventriculessont dilatés, mais les espaces sous- arachnoïdiens le sont également, ce qui n'est pas attendu en cas d'hydrocéphalie. • La combinaison de ces deux observations est compatible avec une perte de volume diffuse ou une atrophie chez ce patient de 80 ans.
  • 83.
  • 84.
    Hémorragie cérébrale • Hémorragie parenchymateuseou hématome centré sur les ganglions de la base gauche avec un léger œdème vasogénique environnant (flèches jaunes). • Les ganglions de la base, le pons et le cervelet sont des localisations courantes d'une hémorragie hypertensive.
  • 85.
    Causes de l'hémorragieparenchymateuse • Hypertension artérielle • Accident vasculaire cérébral hémorragique • Traumatisme • Coagulopathie en cas de leucémie • Coumadin • Rupture d'anévrisme • MAV et fistule durale • Dissection vasculaire • Lésion axonale diffuse • Abus de cocaïne • Angiopathie amyloïde • Vasculopathi e radique • Toxoplasmos e • Tumeur
  • 86.
  • 87.
    Hématome sous-dural aigu • Jaune- hématome sous- dural autour de la convexité du lobe frontal gauche • Bleu - hématome sous-dural le long du tentorium • Rouge - hémorragie sous- arachnoïdienne dans la fissure sylvienne
  • 88.
    Hématome sous-dural subaigu • Lesproduits sanguins subaigus sont isodenses par rapport au parenchyme cérébral adjacent et peuvent facilement passer inaperçus. • Observez comment les sillons de l'hémisphère gauche sont plus serrés et plus comprimés en raison de l'effet de masse.
  • 89.
    Hématome sous- dural • Notezque l'hématome sous-dural recouvre le LCR dans l'espace sous-arachnoïdien et qu'il traverse la suture coronale (flèche jaune), ce qui n'est pas le cas d'une collection épidurale.
  • 90.
    Extérieur du cerveauavec fenêtres sur les os et les tissus mous
  • 91.
    Sinusite maxillaire • Leniveau d'air et de liquide dans le sinus maxillaire gauche n'est pas spécifique d'une sinusite aiguë, mais une corrélation avec les symptômes est toujours suggérée.
  • 92.
    Fenêtres osseuses -Maladie osseuse • Cancer de la prostate avec métastases au niveau de l'os pétreux gauche et du clivus • Les métastases du cancer de la prostate et souvent du cancer du sein entraînent des lésions scléreuses de densité plus élevée, en raison d'une activité ostéoblastique accrue dans l'os.
  • 93.
    Métastases lytiques • Lesfenêtres osseuses montrent des trous irréguliers dispersés ou des lésions lytiques dans le calvarium à la suite d'un cancer du poumon. • Le myélome multiple, le carcinome rénal et le cancer du sein peuvent avoir un aspect identique.
  • 94.
    Lymphom e • Il esttoujours important d'examiner les orbites, le cuir chevelu et la région faciale à l'aide des fenêtres des tissus mous. • Hypertrophie bilatérale des glandes lacrymales chez un patient atteint d'un lymphome
  • 95.
    Gonflement traumatique périorbitaire • Lesfenêtres des tissus mous sont utiles pour évaluer l'étendue de l'œdème, de l'hématome du cuir chevelu (flèche rouge) et de la tuméfaction inflammatoire des tissus mous. • Permet également d'évaluer la musculature et les globes.
  • 96.
    Résum é • Comprendre l'anatomie •Utiliser les différentes fenêtres du scanner pour évaluer les pathologies des tissus mous, du cerveau, des sinus et des os. • BONNE CHANCE !
  • 97.
    Référence s • Netter, Frank.Atlas d'anatomie humaine. Novartis, 1997. • Jackson, Simon. L'imagerie transversale en toute simplicité. Churchill Livingstone, 2004.