GUIDE D'INTERPRÉTATION D'UN
TDM CEREBRALE EN URGENCE
GUIDE OF INTERPRETATION BRAIN
CT SCAN IN EMERGENCY
NEUROLOGIE ET NEUROCHIRURGIE
PRÉPARATION ECOS
A L'USAGE DES EXTERNES ET INTERNES EN MÉDECINE
RÉALISÉ PAR DJAFAR HENNI ABDERAOUF
FACULTÉ DE MÉDECINE D'ORAN
ANNÉE UNIVERSITAIRE 2022/2023
BRAIN CT- SCAN
TDM CÉRÉBRAL
FACULTÉ DE MÉDECINE D'ORAN
DJAFAR HENNI ABDERAOUF
RÉFÉRENCES :
•
•
•
•



•
•
•
•



•
RÉFÉRENCES :
•
•
•
•
•
•
•
•
•
Objectifs
1. Discuter les protocoles d’examen des TDM
cerebrale en fonction des indications
2. Connaitre la radioanatomie scanographique
normale de l’encephale
3. Connaitre la terminologie scanographique et
la semiologie de la base
4. Etre capable d’interpreter en urgence un
TDM cerebrale
5. Etre bien preparer pour l’ECOS
PLAN
•
•
•
•
•
•
PLAN
•
•
•
•
•
•
La TDM cérébral: le plus souvent c’est un examen de
première intention dans l’exploration des pathologies
cérébrale
-on peut faire une etude des structures parenchymateuses et
osseuses
-en cas de lesion traumatique ++++++: la TDM c’est l’examen
de première intention :
- recherche des lésions hémorragiques
-fractrures de la base du crâne ou la voute
1- Technique
• TDM basée sur l'analyse de l'atténuation d'un
faisceau du rayon X au travers des tissus
• Imageries en coupes
• Capable de localiser précisément chaque
élément de la coupe
• Possibilité de determiner la densité( en unite
de Hunsfeild UH )
• Balayage d’un objet par les rayons X qui sont
atténués et recueillis par un détecteur
• Table mobile + anneau ( qui contient le tube à
rayon X et les détecteurs)
• Systeme informatique (console) : acquisition
et post-traitement
• Fenêtrage large : visualisation simultanée des
structures de densités très différentes
• Fenêtrage etroit : augmentaion du contaste et
permet de discerner des structures de densité
proche
• Fenêtre parenchymateuse (etude du parenchyme
cérébral) : niveau 35 UH , largeur 140 UH
• Fenêtre osseuse ( pour l’etude de la boite
crânienne ) : 800 UH , largeur 2000 UH
• Utilisés lorsque le contaste naturel en TDM est
insuffisant pour obtenir des informations
• PDCI par voie IV
• IODE : forte absorption des rayons X ( densité
élevée )
• Examen sans injection de PDCI : (dans quelle
situation et pourquoi pas de PDIC ???)
Contraste naturel estimé suffisant pour répondre
à la question posée .
On recherché à mettre en évidence une
hypersensite pathologique (concentré avec cette
phrase car on revoit cette notion en pathologie
du TDM)
On etudie une cinetique de produit de contraste
L’injection de PDCI est contre-indiquée
• Examen TDM avec injection de PDIC :
C’est la technique la plus utilisee surtout
couramment avec l’agmentation des
frequenes de cancer
Images TDM acquises dans un delai variable
après injection de PDCI en fonction des
structures que l’on souhaite voir opacifiées
SANS INJECTION DE PDC (QUELLE
SITUATION ??? )
• traumatismes crânien
• AVC hémorragique :
 a la recherche d’un saignement intra ou extra
cérébral
• AVC ischémique :
a la recherche d’une hyperdensité spontanée
AVEC INJECTION DE PDC (QUELLE
SITUATION ET COMMENT ??? )
• Angio-TDM : exploration des tronc supra aortique
( TSA ) et du polygone de willis dans le cadre
d’une pathologie cérébrovasculaire dans un delai
de 15 a 30 s
• TDM veineuse : exploration des sinus veineux du
crâne à la recherche de thrombophlebite dans un
delai de 40 a 50 s
• Opacification parenchymateuse : recherche de
lésion secondaire, d’abces , tumeur , apres
impregnation parenchymateuse de PDC
• en TDM chaque structure observée est décrite
selon sa densité
• Hyperdense : apparait plus dense que son
environnement
• Hypodense : densité plus faible
• Isodense : densité similaire
• Valeur propre de la densité de chaque pixel
exprimée en unite hunsfiled :
Substance grise +35/+50 UH
Substance blanche +24/+38 UH
• Prise de contraste ( ou rehhaussement c’est
kifkif ) : accroissement de la densité de la
lésion apres l’inection de PDC
• Lavage : lorsque’une lésion présente un
rehaussement au temps précoce, puis une
perte de contraste au temps tardif , on parle
de lavage tardif
TDM AVEC PRISE DE CONTRASTE (
TUMEUR )
TDM cérébrale en coupe axiale sans injection du
produit de contraste montrant des calcifications des
noyaux caudes, noyaux lenticulaires et des thalamus
• Hyperdensite spontanée : sur un examen sans
injection de produit de contrast uniquement
Traduit le plus souvent un saignement récent
Calcifications
• Adenopathie : nombreux ganglions
physiologiques visibles en TDM
Distinction avec des adenopathies (
pathologiques ) : criteres morphologique , taille ,
localistion …
• oedème périlésionnel : hypodensite entourant
un processus pathologique
• Effet de masse : refoulement voire effacement
des sillons et/ou des ventricules en regard
d’une lésion
EFFET DE MASSE
• Déviation de la ligne médiane : perte de
l'alignement dans l'axe de la faux du cerveau
secondaire a un effet de masse ( signe un
engagement sous-falcoriel )
• Engagement cérébral : hernie de tissu
cérébral au travers des orifices naturels de
l’encéphale
ETAGE SOUS-TENTORIELLE
ETAGE SUS-TENTORIELLE
ETAGE SUS-TENTORIELLE
LE PLUS IMPORTANT !!
• Examen sans injection de produit de contraste
: traumatismes ,AVC
• Examen avec injection de PDC : angio-TDM
,TDM veineuse , prise de contrast
pathologique , lavage
• Lesion hyperdense , hypodense , isodense
• Anomalies de la densité spontanée , oedème,
,effet de masse déviation de la ligne mediane
QUESTION SOUVENT POUSSÉ !!!
Comment distinguer un scanner d’une IRM T1 ? Sur les
tissus extérieurs :
QUESTION SOUVENT POUSSÉ !!!
comment je peux faire la différence
entre lobe frontal et pariétal ??
Les 2 hémisphères cérébraux sont séparés
par la faux du cerveau. La scissure
centrale/Du rolando dessine un oméga
concave en avant. Cettes cissure est
capitale car en avant se trouve la
circonvolution frontale
ascendante/motrice. En arrière se trouve la
circonvolution pariétale
ascendante/sensitive
• Traumatisme crânien sévère
• Signes de focalisations :
 Deficit moteur ou sensitif
 Crise convulsive
 Atteinte nerveuse
• Signes de fractures de la base du crane
• Détérioration neurologique
• Patient Inconscient , coma
• Plaie cranio-cérébrale, embarrure
PATHOLOGIES VASCULAIRES
• hémorragie méningée
• hémorragie intracerebrale
• AVC ischémique
• AVC hémorragique
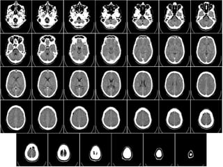
PLAN D'ANALYSE
• identité du patient : type examen , age , sexe , la
date de l’examen et l’horaire( AVC ischemique )
• Analyse du contenant : os en fenetre osseuse
• Analyse de contenu :
Cervelet
Tronc cerebral
Encéphale(Substance grise , Sblanche ,
ventricules)
LOCALISATION
LOCALISATION
LOCALISATION
LOCALISATION
LOCALISATION
BASICS
BASICS
TRAUMATISMES
• LESION EXTRA-AXIALES : HED , HSD , HAS
(hematome extra dural , hematome sous dural ,
hémorragie sous arachnoidienne )
• LESIONS INTRA-AXIALE
• LESIONS OSSEUSES
LÉSIONS EXTRA AXIALES
LÉSIONS EXTRA AXIALES
DESCRIPTION ??
LÉSIONS EXTRA AXIALES
LÉSIONS EXTRA AXIALES
LÉSIONS EXTRA AXIALES
LÉSIONS EXTRA AXIALES
LÉSIONS EXTRA AXIALES
LÉSIONS EXTRA AXIALES
LÉSIONS EXTRA AXIALES
LÉSIONS EXTRA AXIALES
COMPLICATIONS
COMPLICATIONS
COMPLICATIONS
QUIZE !!!
SYNDROME VASCULAIRE
• AVC hémorragique
• AVC ischémique
• Hémorragie méningée
HEMATOMES
INTRAPARENCHYMATEUX
HEMATOMES
INTRAPARENCHYMATEUX
HEMATOMES
INTRAPARENCHYMATEUX
STOOOOP :
décrire les lésions
quelle bilan complémentaire ?
STOP :
décrire les lésions
QUIZE :
TDM , patient HTA connue
description et diagnostic
TERRITOIRES VASCULAIRES
mémoriser le schémas ç'est extrêmement
important !!
TERRITOIRES VASCULAIRES
SIGNES INDIRECT D’AVC ISCHEMIQUE
PHASE AIGUE
AVC ISCHÉMIQUE
PHASE AIGUE
AVC ISCHÉMIQUE
PHASE AIGUE
AVC ISCHÉMIQUE
PHASE AIGUE
AVC ISCHÉMIQUE
PHASE AIGUE
AVC ISCHÉMIQUE
PHASE AIGUE
AVC ISCHÉMIQUE
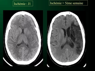
PHASE TARDIVE
SIGNES DIRECT
Sur la TDM on voit une HYPODENSITE
intéressant le territoire artérielle atteint
Normal
Avc
ischemique
AVC ISCHÉMIQUE VS AVC
HÉMORRAGIQUE
• AVC hémorragique
QUESTION !!
Ç'EST QUOI CES STRUCTURES SUR LES
FLÈCHES ?? ON LES VOIS DANS CHAQUE
TDM CÉRÉBRAL ??
REPONSE
CE SONT LES CALCIFICATIONS PHYSIOLOGIQUES
EXTRA-PARENCHYMATEUSES COMMES :
LA DURE – MERE : notamment la faux du
cerveau
LES PLEXUS CHOROIDES : les ventricules
L’EPIPHYSE : glande pineal qui est en arrière
de troisième ventricule se calcifient
physiologiquement chez l'adulte (pas chez
l’enfant ?? )
LES CALCIFICATIONS PHYSIOLOGIQUES
EXTRA-PARENCHYMATEUSES
QUIZZ
QUIZZ
QUIZZ
TRANSFORMATION HÉMORRAGIQUE
D'AVC ISCHÉMIQUE
TRANSFORMATION HÉMORRAGIQUE
D'AVC ISCHÉMIQUE
CAS CLINIQUE
• Occlusion des sinus veineux cérébraux souvent associés à une
thrombose des veines corticales
• SCANNER et ANGIO SCANNER: Sans /Avec inj:
Sans inj: hyperdensité spontanée du thrombus au sein d’un sinus
veineux=SIGNE DU TRIANGLE DENSE.
• SCANNER avec inj: Zone hypodense d’un sinus(thrombus) cernée
d’une importante prise de contraste de la paroi du sinus réalisant
le SIGNE DU DELTA ou du TRIANGLE VIDE: ++++SIGNE DIRECT
ANGIO IRM(ARM):
ARM: Absence de flux
SIGNE DE DELTA
BASICS IN BRAIN CT SCAN
IL FAUT DETERMINER L'ÉTAGE Où VOUS ETES SUR LA TDM
POUR PRECISER LA LESION : Lésions intracrâniennes sus- et
sous-tentorielles !!
• L'intérieur du crâne est divisé en deux étages par la tente
du cervelet:
• L'étage sus-tentoriel qui contient les hémisphères
cérébraux et les structures profondes situées autour du
IIIéme ventricule.
• L'étage sous-tentoriel (que l'on pourrait aussi appeler
«fosse postérieure») qui contient le cervelet et le tronc
cérébral. Cet espace est limité supérieurement par la tente
du cervelet, inférieurement par le trou occipital et
latéralement par la boite crânienne.
BASICS IN BRAIN CT SCAN
BASICS IN BRAIN CT SCAN
COMMENT DETERMINER LA DROITE OU LA
GAUCHE DU TDM SUR UNE COUPE ??
TOUJOURS VOTRE MAIN GAUCHE C'EST LA
DROITE SUR UN TDM ET VICE VER ÇA
EN PLUS TOUJOURS VOUS RETROUVEZ SUR LA
TDM UN SIGN R QUI VEUT DIRE EN ANGLAIS
RIGHT ET L POUR LEFT
EXEMPLE TYPE 1
toujours debuter par : il s'agit d 'un TDM cerebrale
sans / avec injection de PDC ( bash ta3raf ila avec
wela sans PDC yli9 tarja3e tshofe les diapo ali mn
9bl ) fentre parenchymateuse/ Osseuse , avec des
coupes axiales avec reconstruction en sagitalle /
coronale / 3D ( ca depend wash 3talaak f TDM )
objectivant par ex : une hyperdensité spontanée
en lentille biconvexe pariétal droite limité par les
sutures en faveur d'un hématome extra dural
exerçant un effet de masse sur les ventricules
homolatéraux
INTERPRÉTATION TYPIQUE DE
L’EXEMPLE PRÉCÉDENT 1
Il s'agit d'un TDM cérébrale sans injection de PDC avec une
coupes axiales,,,abscence de reconstruction , en fenêtre
parenchymateuse :
• objectivant une hyperdensité spontanée en lentille
biconvexe pariétal droite limité par les sutures en faveur
d'un hématome extra dural exerçant un effet de masse sur
les ventricules homolatéraux
• Effacement des sillons corticaux
• legère déviation de la ligne médiane en rapport avec l'effet
de masse
• abscenes des signes d'engagement
• abscence de lésion osseuse
• systeme ventriculaire non dilaté , en place
EXEMPLE TYPE 2
INTERPRÉTATION TYPIQUE DE
L’EXEMPLE PRÉCÉDENT 2
Il s'agit d'un TDMcérébrale sans injection de PDC avec une coupe
axiale, fenetre parenchymateuse ,ETAGE SUS-TENTORIELE,
objectivant une:
 hyperdensité spontanée parieto+-tomporelle profonde
capsulo_lenticulo_ caudé gauche entouré d'un oedème hypodense
et légère innondation ventruculaire homolaterale en faveur d'une
hemmoragie intra- parenchymateuse (avc hemmoragique ) exerçant
un effet de masse sur la corne occipital du ventricule homolaterale
 Effacement des sillons corticaux du côté de la lésion
 abscence de déviation de la ligne médiane
 Absence d'hémorragie méningé
 structure de la ligne médiane en place
 abscence de lésion osseuses
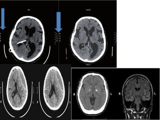
PRATIQUEZ VOUS AVEC CES CAS
CLINIQUES (3)
Hémiplégie droite de survenue brutale chez un
homme de 71 ans
INTERPRÉTATION
A. Le scanner cérébral sans injection réalisés heures après le
début des troubles montre des signes précoces d'infarctus
cérébral dans le territoire sylvien gauche avec un
effacement du noyau lenticulaire G et une
dédifférenciation substance grise-substance blanche dans
la région fronto-pariétale G.
B. L'angioscanner du polygone de Willis montre le thrombus
avec une interruption du flux dans l'artère sylvienne G.
C. Le scanner cérébral à 3 semaines montre une
hypodensité étendue témoignant d'un infarctus sylvien G
total.
Diagnostic : Infarctus sylvien gauche total
INTERPRÉTATION TYPIQUE DE
L’EXEMPLE PRÉCÉDENT 3 FIGURE A
Il s'agit d'un TDMcérébrale sans injection de PDC avec une coupe
axiale, fenetre parenchymateuse ,ETAGE SUS-TENTORIELE,
objectivant une:
 DES signes précoces d'infarctus cérébral dans le territoire sylvien
gauche avec un effacement du noyau lenticulaire G et une
dédifférenciation substance grise-substance blanche dans la région
fronto-pariétale G. Effacement des sillons corticaux du côté de la
lésion
 ABSCENCE D’EFFET DE MASSE
 abscence de déviation de la ligne médiane
 Absence d'hémorragie méningé
 structure de la ligne médiane en place
 abscence de lésion osseuses
FIN
BONNE CHANCE POUR LES
EXAMENS ET BONNE
COURAGE
RBY YWAFA9KOM
INSHA’ALLAH

GUIDE D'INTERPRETATION D'UN TDM CEREBRALE EN URGENCE.pdf

  • 1.
    GUIDE D'INTERPRÉTATION D'UN TDMCEREBRALE EN URGENCE GUIDE OF INTERPRETATION BRAIN CT SCAN IN EMERGENCY NEUROLOGIE ET NEUROCHIRURGIE PRÉPARATION ECOS A L'USAGE DES EXTERNES ET INTERNES EN MÉDECINE RÉALISÉ PAR DJAFAR HENNI ABDERAOUF FACULTÉ DE MÉDECINE D'ORAN ANNÉE UNIVERSITAIRE 2022/2023
  • 2.
    BRAIN CT- SCAN TDMCÉRÉBRAL FACULTÉ DE MÉDECINE D'ORAN DJAFAR HENNI ABDERAOUF
  • 3.
  • 4.
  • 5.
    Objectifs 1. Discuter lesprotocoles d’examen des TDM cerebrale en fonction des indications 2. Connaitre la radioanatomie scanographique normale de l’encephale 3. Connaitre la terminologie scanographique et la semiologie de la base 4. Etre capable d’interpreter en urgence un TDM cerebrale 5. Etre bien preparer pour l’ECOS
  • 6.
  • 7.
  • 8.
    La TDM cérébral:le plus souvent c’est un examen de première intention dans l’exploration des pathologies cérébrale -on peut faire une etude des structures parenchymateuses et osseuses -en cas de lesion traumatique ++++++: la TDM c’est l’examen de première intention : - recherche des lésions hémorragiques -fractrures de la base du crâne ou la voute
  • 9.
  • 10.
    • TDM baséesur l'analyse de l'atténuation d'un faisceau du rayon X au travers des tissus • Imageries en coupes • Capable de localiser précisément chaque élément de la coupe • Possibilité de determiner la densité( en unite de Hunsfeild UH ) • Balayage d’un objet par les rayons X qui sont atténués et recueillis par un détecteur
  • 11.
    • Table mobile+ anneau ( qui contient le tube à rayon X et les détecteurs) • Systeme informatique (console) : acquisition et post-traitement
  • 12.
    • Fenêtrage large: visualisation simultanée des structures de densités très différentes • Fenêtrage etroit : augmentaion du contaste et permet de discerner des structures de densité proche • Fenêtre parenchymateuse (etude du parenchyme cérébral) : niveau 35 UH , largeur 140 UH • Fenêtre osseuse ( pour l’etude de la boite crânienne ) : 800 UH , largeur 2000 UH
  • 13.
    • Utilisés lorsquele contaste naturel en TDM est insuffisant pour obtenir des informations • PDCI par voie IV • IODE : forte absorption des rayons X ( densité élevée )
  • 14.
    • Examen sansinjection de PDCI : (dans quelle situation et pourquoi pas de PDIC ???) Contraste naturel estimé suffisant pour répondre à la question posée . On recherché à mettre en évidence une hypersensite pathologique (concentré avec cette phrase car on revoit cette notion en pathologie du TDM) On etudie une cinetique de produit de contraste L’injection de PDCI est contre-indiquée
  • 15.
    • Examen TDMavec injection de PDIC : C’est la technique la plus utilisee surtout couramment avec l’agmentation des frequenes de cancer Images TDM acquises dans un delai variable après injection de PDCI en fonction des structures que l’on souhaite voir opacifiées
  • 16.
    SANS INJECTION DEPDC (QUELLE SITUATION ??? ) • traumatismes crânien • AVC hémorragique :  a la recherche d’un saignement intra ou extra cérébral • AVC ischémique : a la recherche d’une hyperdensité spontanée
  • 17.
    AVEC INJECTION DEPDC (QUELLE SITUATION ET COMMENT ??? ) • Angio-TDM : exploration des tronc supra aortique ( TSA ) et du polygone de willis dans le cadre d’une pathologie cérébrovasculaire dans un delai de 15 a 30 s • TDM veineuse : exploration des sinus veineux du crâne à la recherche de thrombophlebite dans un delai de 40 a 50 s • Opacification parenchymateuse : recherche de lésion secondaire, d’abces , tumeur , apres impregnation parenchymateuse de PDC
  • 18.
    • en TDMchaque structure observée est décrite selon sa densité • Hyperdense : apparait plus dense que son environnement • Hypodense : densité plus faible • Isodense : densité similaire • Valeur propre de la densité de chaque pixel exprimée en unite hunsfiled : Substance grise +35/+50 UH Substance blanche +24/+38 UH
  • 19.
    • Prise decontraste ( ou rehhaussement c’est kifkif ) : accroissement de la densité de la lésion apres l’inection de PDC • Lavage : lorsque’une lésion présente un rehaussement au temps précoce, puis une perte de contraste au temps tardif , on parle de lavage tardif
  • 20.
    TDM AVEC PRISEDE CONTRASTE ( TUMEUR )
  • 22.
    TDM cérébrale encoupe axiale sans injection du produit de contraste montrant des calcifications des noyaux caudes, noyaux lenticulaires et des thalamus
  • 24.
    • Hyperdensite spontanée: sur un examen sans injection de produit de contrast uniquement Traduit le plus souvent un saignement récent Calcifications • Adenopathie : nombreux ganglions physiologiques visibles en TDM Distinction avec des adenopathies ( pathologiques ) : criteres morphologique , taille , localistion …
  • 25.
    • oedème périlésionnel: hypodensite entourant un processus pathologique • Effet de masse : refoulement voire effacement des sillons et/ou des ventricules en regard d’une lésion
  • 26.
  • 27.
    • Déviation dela ligne médiane : perte de l'alignement dans l'axe de la faux du cerveau secondaire a un effet de masse ( signe un engagement sous-falcoriel ) • Engagement cérébral : hernie de tissu cérébral au travers des orifices naturels de l’encéphale
  • 33.
  • 34.
  • 35.
  • 44.
    LE PLUS IMPORTANT!! • Examen sans injection de produit de contraste : traumatismes ,AVC • Examen avec injection de PDC : angio-TDM ,TDM veineuse , prise de contrast pathologique , lavage • Lesion hyperdense , hypodense , isodense • Anomalies de la densité spontanée , oedème, ,effet de masse déviation de la ligne mediane
  • 45.
    QUESTION SOUVENT POUSSÉ!!! Comment distinguer un scanner d’une IRM T1 ? Sur les tissus extérieurs :
  • 46.
    QUESTION SOUVENT POUSSÉ!!! comment je peux faire la différence entre lobe frontal et pariétal ?? Les 2 hémisphères cérébraux sont séparés par la faux du cerveau. La scissure centrale/Du rolando dessine un oméga concave en avant. Cettes cissure est capitale car en avant se trouve la circonvolution frontale ascendante/motrice. En arrière se trouve la circonvolution pariétale ascendante/sensitive
  • 59.
    • Traumatisme crâniensévère • Signes de focalisations :  Deficit moteur ou sensitif  Crise convulsive  Atteinte nerveuse • Signes de fractures de la base du crane • Détérioration neurologique • Patient Inconscient , coma • Plaie cranio-cérébrale, embarrure
  • 60.
    PATHOLOGIES VASCULAIRES • hémorragieméningée • hémorragie intracerebrale • AVC ischémique • AVC hémorragique
  • 61.
    PLAN D'ANALYSE • identitédu patient : type examen , age , sexe , la date de l’examen et l’horaire( AVC ischemique ) • Analyse du contenant : os en fenetre osseuse • Analyse de contenu : Cervelet Tronc cerebral Encéphale(Substance grise , Sblanche , ventricules)
  • 62.
  • 63.
  • 64.
  • 65.
  • 66.
  • 67.
  • 68.
  • 70.
    TRAUMATISMES • LESION EXTRA-AXIALES: HED , HSD , HAS (hematome extra dural , hematome sous dural , hémorragie sous arachnoidienne ) • LESIONS INTRA-AXIALE • LESIONS OSSEUSES
  • 71.
  • 72.
  • 73.
  • 74.
  • 75.
  • 76.
  • 77.
  • 78.
  • 79.
  • 80.
  • 81.
  • 82.
  • 83.
  • 84.
  • 90.
  • 91.
    SYNDROME VASCULAIRE • AVChémorragique • AVC ischémique • Hémorragie méningée
  • 92.
  • 93.
  • 94.
  • 95.
    STOOOOP : décrire leslésions quelle bilan complémentaire ?
  • 96.
  • 98.
    QUIZE : TDM ,patient HTA connue description et diagnostic
  • 99.
    TERRITOIRES VASCULAIRES mémoriser leschémas ç'est extrêmement important !!
  • 100.
  • 101.
    SIGNES INDIRECT D’AVCISCHEMIQUE PHASE AIGUE
  • 108.
  • 109.
  • 110.
  • 111.
  • 112.
  • 114.
    AVC ISCHÉMIQUE PHASE TARDIVE SIGNESDIRECT Sur la TDM on voit une HYPODENSITE intéressant le territoire artérielle atteint
  • 115.
  • 117.
    AVC ISCHÉMIQUE VSAVC HÉMORRAGIQUE
  • 118.
  • 120.
    QUESTION !! Ç'EST QUOICES STRUCTURES SUR LES FLÈCHES ?? ON LES VOIS DANS CHAQUE TDM CÉRÉBRAL ??
  • 121.
    REPONSE CE SONT LESCALCIFICATIONS PHYSIOLOGIQUES EXTRA-PARENCHYMATEUSES COMMES : LA DURE – MERE : notamment la faux du cerveau LES PLEXUS CHOROIDES : les ventricules L’EPIPHYSE : glande pineal qui est en arrière de troisième ventricule se calcifient physiologiquement chez l'adulte (pas chez l’enfant ?? )
  • 122.
  • 123.
  • 124.
  • 125.
  • 126.
  • 127.
  • 130.
  • 132.
    • Occlusion dessinus veineux cérébraux souvent associés à une thrombose des veines corticales • SCANNER et ANGIO SCANNER: Sans /Avec inj: Sans inj: hyperdensité spontanée du thrombus au sein d’un sinus veineux=SIGNE DU TRIANGLE DENSE. • SCANNER avec inj: Zone hypodense d’un sinus(thrombus) cernée d’une importante prise de contraste de la paroi du sinus réalisant le SIGNE DU DELTA ou du TRIANGLE VIDE: ++++SIGNE DIRECT ANGIO IRM(ARM): ARM: Absence de flux
  • 133.
  • 138.
    BASICS IN BRAINCT SCAN IL FAUT DETERMINER L'ÉTAGE Où VOUS ETES SUR LA TDM POUR PRECISER LA LESION : Lésions intracrâniennes sus- et sous-tentorielles !! • L'intérieur du crâne est divisé en deux étages par la tente du cervelet: • L'étage sus-tentoriel qui contient les hémisphères cérébraux et les structures profondes situées autour du IIIéme ventricule. • L'étage sous-tentoriel (que l'on pourrait aussi appeler «fosse postérieure») qui contient le cervelet et le tronc cérébral. Cet espace est limité supérieurement par la tente du cervelet, inférieurement par le trou occipital et latéralement par la boite crânienne.
  • 139.
  • 140.
    BASICS IN BRAINCT SCAN COMMENT DETERMINER LA DROITE OU LA GAUCHE DU TDM SUR UNE COUPE ??
  • 141.
    TOUJOURS VOTRE MAINGAUCHE C'EST LA DROITE SUR UN TDM ET VICE VER ÇA EN PLUS TOUJOURS VOUS RETROUVEZ SUR LA TDM UN SIGN R QUI VEUT DIRE EN ANGLAIS RIGHT ET L POUR LEFT
  • 143.
    EXEMPLE TYPE 1 toujoursdebuter par : il s'agit d 'un TDM cerebrale sans / avec injection de PDC ( bash ta3raf ila avec wela sans PDC yli9 tarja3e tshofe les diapo ali mn 9bl ) fentre parenchymateuse/ Osseuse , avec des coupes axiales avec reconstruction en sagitalle / coronale / 3D ( ca depend wash 3talaak f TDM ) objectivant par ex : une hyperdensité spontanée en lentille biconvexe pariétal droite limité par les sutures en faveur d'un hématome extra dural exerçant un effet de masse sur les ventricules homolatéraux
  • 144.
    INTERPRÉTATION TYPIQUE DE L’EXEMPLEPRÉCÉDENT 1 Il s'agit d'un TDM cérébrale sans injection de PDC avec une coupes axiales,,,abscence de reconstruction , en fenêtre parenchymateuse : • objectivant une hyperdensité spontanée en lentille biconvexe pariétal droite limité par les sutures en faveur d'un hématome extra dural exerçant un effet de masse sur les ventricules homolatéraux • Effacement des sillons corticaux • legère déviation de la ligne médiane en rapport avec l'effet de masse • abscenes des signes d'engagement • abscence de lésion osseuse • systeme ventriculaire non dilaté , en place
  • 145.
  • 146.
    INTERPRÉTATION TYPIQUE DE L’EXEMPLEPRÉCÉDENT 2 Il s'agit d'un TDMcérébrale sans injection de PDC avec une coupe axiale, fenetre parenchymateuse ,ETAGE SUS-TENTORIELE, objectivant une:  hyperdensité spontanée parieto+-tomporelle profonde capsulo_lenticulo_ caudé gauche entouré d'un oedème hypodense et légère innondation ventruculaire homolaterale en faveur d'une hemmoragie intra- parenchymateuse (avc hemmoragique ) exerçant un effet de masse sur la corne occipital du ventricule homolaterale  Effacement des sillons corticaux du côté de la lésion  abscence de déviation de la ligne médiane  Absence d'hémorragie méningé  structure de la ligne médiane en place  abscence de lésion osseuses
  • 147.
    PRATIQUEZ VOUS AVECCES CAS CLINIQUES (3) Hémiplégie droite de survenue brutale chez un homme de 71 ans
  • 148.
    INTERPRÉTATION A. Le scannercérébral sans injection réalisés heures après le début des troubles montre des signes précoces d'infarctus cérébral dans le territoire sylvien gauche avec un effacement du noyau lenticulaire G et une dédifférenciation substance grise-substance blanche dans la région fronto-pariétale G. B. L'angioscanner du polygone de Willis montre le thrombus avec une interruption du flux dans l'artère sylvienne G. C. Le scanner cérébral à 3 semaines montre une hypodensité étendue témoignant d'un infarctus sylvien G total. Diagnostic : Infarctus sylvien gauche total
  • 149.
    INTERPRÉTATION TYPIQUE DE L’EXEMPLEPRÉCÉDENT 3 FIGURE A Il s'agit d'un TDMcérébrale sans injection de PDC avec une coupe axiale, fenetre parenchymateuse ,ETAGE SUS-TENTORIELE, objectivant une:  DES signes précoces d'infarctus cérébral dans le territoire sylvien gauche avec un effacement du noyau lenticulaire G et une dédifférenciation substance grise-substance blanche dans la région fronto-pariétale G. Effacement des sillons corticaux du côté de la lésion  ABSCENCE D’EFFET DE MASSE  abscence de déviation de la ligne médiane  Absence d'hémorragie méningé  structure de la ligne médiane en place  abscence de lésion osseuses
  • 150.
    FIN BONNE CHANCE POURLES EXAMENS ET BONNE COURAGE RBY YWAFA9KOM INSHA’ALLAH