• Présenté par: 
Benmekki Abdelghani
Plan 
• Généralités-Définition 
• Rappel anatomique 
• Classification 
• Diagnostic 
• Lésions associées 
• Formes cliniques 
• Traitement 
• Résultats 
• Conclusion
Généralités-Définition 
• La luxation traumatique de hanche est le déplacement 
permanent et post-traumatique de la tête fémorale en 
dehors de la cavité acétabulaire. 
• Elle peut être pure ou associée à une fracture de la 
tête fémorale. 
• C’est une lésion grave et représente une urgence 
thérapeutique. 
• Elle est la conséquence d’un traumatisme violent avec 
souvent des lésions associées locales et à distances. 
• Les complications ne sont pas négligeables, dominées 
par le risque d’arthrose et de nécrose post-traumatique 
de la tête fémorale.
Rappel anatomique 
• La hanche est une énarthrose: d’un secteur de 
mobilité très grand, dans les trois plans de l’espace. 
• C’est une articulation portante. 
• Articulation très emboîté, très stable, la tête 
fémorale en ¾ de sphère est contenue dans une 
cavité acétabulaire hémisphérique augmenté sur 
les pourtour par bourrelet cotyloïdien ou 
«Labrum», recouvrant la tête dans toutes les 
positions. 
• Un système de pression négative maintien les deux 
structures emboîtés.
• Le système capsulo-ligamentaire est constitué 
par trois puissants ligaments coxo-fémoraux 
renforçant une capsule en forme de manchon 
tordu. 
• Le ligament rond est un ligament intra-articulaire 
qui fixe la tête fémorale au cotyle. 
• Le système musculaire très complexe 
contribue à une stabilisation active de cette 
articulation.
• Vascularisation de la tête: 
Les artères circonflexes forment un cercle péri-articulaire 
qui donne des branches surtout postérieurs à la 
tête fémorale, les traumatismes graves de la hanche sont 
très préjudiciable à cette vascularisation.
Classification 
• Étant donné sa grande stabilité, seuls des 
traumatismes d’une grande violence sont 
capables d’entraîner la luxation de l’articulation 
coxofémorale. 
• Ainsi les accidents de la voie publique sont les 
plus grands pourvoyeurs de cette lésion (plus de 
60 %). 
• La variété de la luxation est fonction de la 
position de la hanche lors du traumatisme.
Classification de Bigelow: 
En 1882 Bigelow à établi une classification encore utilisée, selon l’état 
du ligament de Bertin. On oppose les luxations régulières et les 
luxations irrégulières. 
Les luxations régulières: 
Sont caractérisées par l’intégrité de ce ligament qui limite et dirige le 
déplacement de la tête fémorale. Ce déplacement peut être : 
postérieur: avec deux variétés: iliaque(50%), ischiatique(25%) 
antérieur: deux autres variétés: obturatrice(15%) ou pubienne(10%). 
Les luxations irrégulières: 
Le ligament de Bertin a cédé et le déplacement de la tête fémorale 
n’est ni limité ni dirigé ; on distingue les variétés sus et sous-cotyloïdiennes.
La luxation postérieure est de loin la plus fréquente 
(75 % des cas) elle survient lorsque le point d’impact se 
situe sur la face antérieure d’un genou fléchi alors que 
la hanche est en flexion-adduction et rotation interne 
(accident du tableau de bord). 
Elle peut être iliaque (50 %) ou ischiatique (25 %). 
Upadhyay a montré qu’en cas de faible rotation 
interne ou d’antéversion importante du col fémoral, il 
apparaît que le risque de fracture acétabulaire est plus 
faible.
L’accident du tableau de bord 
(surtout si le passager a les jambes croisées)
Attitude du blessé 
Luxation postérieure iliaque pure de hanche
La luxation antérieure (rare 25%): 
Elle survient lorsque le point d’impact est situé à 
la face interne du genou fléchi et que la hanche 
est en position de flexion-abduction et rotation 
externe ou lorsque le traumatisme se fait sur les 
pieds-jambes en extension et hanche en 
rotation externe. 
Elle peut être obturatrice (15 %) ou pubienne 
(10 %).
Luxation obturatrice pure
Cinq types de luxations ont été définis par Levin: 
• Type I : luxation pure sans instabilité avec réduction 
concentrique. 
• Type II : luxation irréductible sans fracture de la tête 
ou de l’acétabulum (cotyle). 
• Type III : hanche instable après réduction ou 
incarcération. 
• Type IV : association à une fracture de l’acétabulum. 
• Type V : association à une fracture de la tête ou du 
col.
Diagnostic 
• Circonstances: 
Les polytraumatismes et les accidents à 
haute énergie doivent faire évoquer 
systématiquement le diagnostic et 
conduire à la réalisation d’une radiographie 
de bassin de face, en particulier en cas de 
trouble de conscience associé.
• Examen clinique: 
La déformation est souvent évidente avec une attitude vicieuse 
caractéristique dépendant du type de luxation: 
• Luxation iliaque: il s’agit d’une luxation postérieure; le 
membre inférieur est en adduction-rotation interne et 
extension. 
• Luxation ischiatique: de la même façon, le membre est en 
adduction-rotation interne et en flexion. 
• Luxation obturatrice: il s’agit d’une luxation antérieure, le 
membre est en abduction-rotation externe et flexion. 
• Luxation pubienne: comme dans la luxation obturatrice, le 
membre est en abduction-rotation externe et en extension.
• Le raccourcissement est constant sauf en cas de luxation 
pubienne. 
• Douleur à la mobilisation active et passive. 
• L’impotence fonctionnelle est absolue. 
• L’examen de la hanche doit être intégré dans le cadre d’un 
examen complet et bilatéral, notamment chez un patient 
polytraumatisé. 
• Une lésion vasculaire doit être éliminée par la palpation des 
pouls distaux. 
• L’exploration nerveuse, motrice et sensitive est 
indispensable.
• Imagerie: 
La Radiographie conventionnelle: La réalisation d’un bassin de face 
est le minimum nécessaire et obligatoire chez un polytraumatisé, 
surtout si celui-ci présente des troubles de la conscience. 
Des clichés de profil ou de trois quarts sont réalisés au moindre 
doute. 
Il faut analyser la symétrie des interlignes coxofémoraux, le respect 
du cintre cervico-obturateur, la position des hanches en rotation et 
la taille respective des têtes fémorales (effet d’agrandissement). Il 
faut également rechercher une lésion osseuse associée du bassin 
ou de l’extrémité supérieure du fémur. 
• En l’absence de lésion associée, aucune autre iconographie n’est 
indispensable avant réduction car il permet de poser le 
diagnostique de la luxation et de préciser sa variété.
Incidence de face
¾ Obturateur (oblique 
externe): 
Décubitus, oblique postérieur du 
côté sain de 45°. 
Le 3/4 obturateur permet l'étude 
du cotyle, de la ligne innominée 
(colonne antérieure) et du cadre 
obturateur. 
¾ Alaire (oblique interne): 
Décubitus, oblique postérieur du 
côté atteint de 45°. 
Le 3/4 alaire permet l'étude de 
l'aile iliaque, de l'articulation sacro-iliaque, 
de la colonne postérieure 
et du bord antérieur du cotyle.
La tomodensitométrie: permet de faire un bilan précis 
des lésions ostéo-chondrales infra-radiologiques et de 
planifier un éventuel geste chirurgical, mais elle ne doit 
pas retarder la prise en charge. 
Il est à noter que les lésions chondrales et 
ostéochondrales sont largement méconnues par les 
radiographies standards alors qu’elles jouent 
probablement un rôle important dans le développement 
d’une arthrose ultérieure, d’où l’intérêt de réaliser cet 
examen de manière différée mais systématiquement, 
même si la réduction semble parfaite.
Lésions associées 
1) Lésions articulaires: 
Les lésions du cartilage de la tête fémorale sont 
fréquentes, Elles sont retrouvées dans 63 % des cas par 
Tehranzadeh , Il s’agit d’une encoche souvent 
inférieure à 5mm et peu visible sur les radiographies 
standards. 
Cette encoche est antérieure dans les luxations 
postérieures et postérieure dans les luxations 
antérieures.
2) Lésions des parties molles: 
Elles sont constantes du fait de la grande violence 
du traumatisme causal: 
• Les lésions capsulaires (déchirure ou 
désinsertion) peuvent entraîner l’irréductibilité 
de la luxation par phénomène d’incarcération. 
• Les lésions musculaires sont responsables de la 
constitution d’hématomes et exposent au risque 
d’apparition d’ostéomes qui donnent rarement 
une limitation importante des mouvements.
3) Lésions artérielles: 
Elles peuvent être à type de déchirure, de 
compression, ou de thrombose. 
Lorsqu’elles intéressent les vaisseaux circonflexes 
qui assurent la vascularisation de la tête fémorale, 
elles exposent au risque de nécrose céphalique. 
Ceci explique l’urgence qu’il y a à réduire les 
luxations de hanche afin de limiter au maximum la 
durée d’ischémie osseuse et ainsi à préserver la 
vitalité céphalique.
4) Lésions nerveuses: 
Elles ne sont pas exceptionnelles et constituent un 
argument pour la réduction en urgence. Les atteintes du 
nerf grand sciatique s’observent dans 7 à 18 % des 
luxations postérieures. 
Les ruptures vraies sont exceptionnelles. 
Leur potentiel de récupération spontané est bien sûr nul. 
Dans la grande majorité des cas, l’atteinte se fait par 
compression, contusion ou constitution d’un hématome. 
Les lésions peuvent être tronculaires ou radiculaires.
L’atteinte des racines hautes est la plus fréquente. 
Lorsque le déficit neurologique intéresse le contingent 
fibulaire commun du nerf grand sciatique, le potentiel de 
récupération spontané de ces lésions est grand: 70 à 80 % 
de récupération dans un délai de 6 à 8 mois. 
En revanche, lorsque les signes neurologiques intéressent 
les contingents fibulaire commun et tibial, le pronostic est 
beaucoup plus péjoratif. 
En cas de luxation antérieure, on peut constater 
exceptionnellement des atteintes obturatrices ou 
fémorales.
5) Lésions osseuses: 
Ces lésions peuvent intéresser tous les segments du membre 
traumatisé. Il est donc indispensable d’examiner le pied, la 
cheville, la jambe, le genou et la cuisse du patient. 
Il est impératif de réaliser, dans le bilan systématique, une 
radiographie du genou de face et de profil. On retrouve, dans 
26% des cas, une lésion osseuse du genou. 
Une place particulière est à donner aux fractures de 
l’acétabulum que l’on rencontre dans 20 % des luxations 
postérieures (Fig. 4), et aux fractures de la tête fémorale qui 
représentent 13 % des cas.
Luxation de hanche associée à une fracture de 
la paroi postérieure du cotyle
Fracture de tête fémorale avec un fragment 
antéro-inférieur et un fragment interposé au 
pôle supérieur de la tête fémorale
Formes cliniques 
• Association à une fracture du fémur. 
• Formes bilatérales 1 % à 5 %. 
• Formes vieillies polytraumatisé leur 
traitement en est difficile: 
 Traction lourde et prolongée trois semaines suivie 
d'une mise en abduction. 
 Réduction sanglante difficile et hémorragique: 
risque de nécrose. 
• Luxations récidivantes Exceptionnelles. 
• Luxations de l'enfant: sont rares.
Luxation obturatrice bilatérale
Traitement 
• Réduction en urgence: 
La réduction orthopédique doit être faite en urgence. 
Le délai idéal de la réalisation du geste est discutable. Selon 
Hooggard, le délai est idéalement >6 heures, Selon Brau, le cap 
décisif se situerait à 12 heures. 
donc il est préférable de réduire les luxations avant 6 heures 
tout en acceptant de temporiser quelques heures si les 
conditions le suggèrent. 
• La réduction doit toujours se faire sous anesthésie générale 
et chez un patient curarisé avec une hémodynamique stable. 
• Les manoeuvres doivent être douces et si possible uniques, de 
sorte à ne pas aggraver les lésions associées.
• Manoeuvre de Boehler: 
Elle est réalisée en décubitus dorsal sur plan dur, avec un contre-appui 
sur les épines iliaques antéro-supérieures. On effectue 
une traction dans l’axe du fémur, hanche et genou en flexion à 
90° et l’on entend un claquement audible synonyme de 
réduction des luxations postérieures. 
• Manoeuvre de Allis: 
La traction se fait dans l’axe de la déformation pendant que la 
hanche est fléchie à 90°. 
De petits mouvements de rotation interne et externe sont 
réalisés.
Manoeuvre de Boehler
• Autres manoeuvres: 
• Il faut éviter les manoeuvres en abduction telles qu’elles 
ont été décrites par Bigelow car elles exposent à un 
risque trop grand de fractures du col du fémur. 
• En cas de luxation obturatrice, il faut tracter la hanche 
dans l’axe puis donner un mouvement de flexion-rotation 
et abduction. 
• Devant une luxation pure de l’articulation coxofémorale, 
il n’y a pas d’indication à la réduction chirurgicale de 
première intention. Celle-ci doit être réservée aux échecs 
de réduction orthopédique (irréductibilité ou persistance 
d’une incongruence articulaire).
• Suites post-réductionnelles: 
Lors de la réduction, un ressaut net et un claquement sont 
perçus ; ce sont les deux témoins d’une bonne réduction. 
La mobilité, la longueur des membres inférieurs et la stabilité 
de la hanche sont vérifiées par la réalisation d’une 
radiographie de bassin de face est indispensable avant de 
conclure au succès de la réduction. Elle permet de s’assurer 
de la parfaite congruence articulaire et de rechercher une 
lésion osseuse associée qui serait passée inaperçue sur les 
clichés luxés. En l’absence de lésions associées qui 
nécessiteraient un traitement complémentaire spécifique, le 
patient doit être mis en traction Trans-osseuse et 
rééducation active douce sous couvert de la traction.
La durée de traction est de l’ordre de 3 semaines, Ceci vise à 
diminuer les pressions intra-articulaires pour diminuer le risque 
de nécrose de la tête fémorale. 
On réalise systématiquement une tomodensitométrie de 
l’articulation coxofémorale en urgence différée. Elle permet un 
bilan lésionnel précis (lésion chondrale très fréquente, fracture 
de l’acétabulum, de la tête, ou corps étranger passé inaperçu). 
Le délai de décharge complète classiquement préconisé est de 2 
mois et l’appui complet est proscrit pour 3 mois. 
Une surveillance régulière clinique et radiologique semestrielle, 
annuelle, puis tous les 3 à 4 ans, est indispensable.
La réduction chirurgicale: 
• La chirurgie si échec de réduction 
orthopédique ou lorsqu'il y a une fracture. 
associée à fixer. Elle doit se faire en urgence. 
• Souvent il y a interposition d’un lambeau de 
capsule ou un fragment osseux intra 
articulaire.
Parfois après réduction une ostéosynthèse 
d’un fragment osseux important est réalisée
Résultats 
• La réalisation d’une radiographie de bassin de face est 
indispensable avant de conclure au succès de la réduction. 
• Les résultats à courts termes sont globalement bons. 
• Les complications immédiates et péri-réductionnelles 
doivent être pris en compte. 
• Les résultats à long terme sont nettement plus mitigés et 
conditionnés par l’apparition d’une complication tardive. 
• Non réduite, elle évolue vers le stade de luxation ancienne 
avec des séquelles majeures (raccourcissement de 6 à 7 cm 
du membre, bascule du bassin, douleurs et instabilité).
• Nécrose céphalique: 
C’est le premier risque, apparaît de 1 à 5 ans après la 
luxation, elle est plus fréquente en cas de luxation 
postérieure et de délai réductionnel important. 
Elle peut rester longtemps pauci-symptomatique mais 
aboutit constamment à un mauvais résultat. 
Le diagnostic est essentiellement clinique, épaulé 
par la radiographie standard. 
Le scanner et L’IRM servent ensuite à faire un bilan 
lésionnel précis. 
Son taux de survenue est de 0 à 10%.
Nécrose aseptique de la tête fémorale 
deux ans après réduction
• L’arthrose: 
C’est le risque majeur à long terme. 
Sa survenue est intimement liée à l’apparition d’une 
nécrose ; ainsi, Olmir a mis en évidence 34 % d’arthrose en 
cas de réduction avant 24 heures (10 % de nécrose avérée) 
et 71 % en cas de réduction après 24 heures (40 % de 
nécrose). 
D’une manière générale, les résultats se dégradent 
nettement avec le temps, allant jusqu’à 90 % d’arthrose 
pour Hoogaard. 
Le patient doit également être informé de ce risque, certes 
lointain, mais très fréquent.
Conclusion 
• La luxation traumatique de hanche est une lésion grave qui 
donne de bons résultats précoces lorsque la réduction est 
réalisée dans un délai de 6 heures. 
• Le patient doit donc être scrupuleusement suivi à long terme et 
être prévenu des risques qu’il encourt. 
• Le pronostic des luxations-fractures du col fémoral ou du cotyle 
est beaucoup moins bon, lié pour l’essentiel à la violence du 
traumatisme qui entraîne des lésions immédiates des vaisseaux 
à l’origine nécroses céphalique, ou de lésions ostéo-chondrales 
source de coxarthrose. 
• Même fort de toutes ces précautions, le taux de résultats 
mauvais et passables reste très important (50 % à 10 ans selon 
Vielpeau) et l’évolution arthrosique à long terme semble 
malheureusement être hautement probable, sinon inéluctable.

Luxation traumatique de la hanche

  • 1.
    • Présenté par: Benmekki Abdelghani
  • 2.
    Plan • Généralités-Définition • Rappel anatomique • Classification • Diagnostic • Lésions associées • Formes cliniques • Traitement • Résultats • Conclusion
  • 3.
    Généralités-Définition • Laluxation traumatique de hanche est le déplacement permanent et post-traumatique de la tête fémorale en dehors de la cavité acétabulaire. • Elle peut être pure ou associée à une fracture de la tête fémorale. • C’est une lésion grave et représente une urgence thérapeutique. • Elle est la conséquence d’un traumatisme violent avec souvent des lésions associées locales et à distances. • Les complications ne sont pas négligeables, dominées par le risque d’arthrose et de nécrose post-traumatique de la tête fémorale.
  • 4.
    Rappel anatomique •La hanche est une énarthrose: d’un secteur de mobilité très grand, dans les trois plans de l’espace. • C’est une articulation portante. • Articulation très emboîté, très stable, la tête fémorale en ¾ de sphère est contenue dans une cavité acétabulaire hémisphérique augmenté sur les pourtour par bourrelet cotyloïdien ou «Labrum», recouvrant la tête dans toutes les positions. • Un système de pression négative maintien les deux structures emboîtés.
  • 5.
    • Le systèmecapsulo-ligamentaire est constitué par trois puissants ligaments coxo-fémoraux renforçant une capsule en forme de manchon tordu. • Le ligament rond est un ligament intra-articulaire qui fixe la tête fémorale au cotyle. • Le système musculaire très complexe contribue à une stabilisation active de cette articulation.
  • 7.
    • Vascularisation dela tête: Les artères circonflexes forment un cercle péri-articulaire qui donne des branches surtout postérieurs à la tête fémorale, les traumatismes graves de la hanche sont très préjudiciable à cette vascularisation.
  • 8.
    Classification • Étantdonné sa grande stabilité, seuls des traumatismes d’une grande violence sont capables d’entraîner la luxation de l’articulation coxofémorale. • Ainsi les accidents de la voie publique sont les plus grands pourvoyeurs de cette lésion (plus de 60 %). • La variété de la luxation est fonction de la position de la hanche lors du traumatisme.
  • 9.
    Classification de Bigelow: En 1882 Bigelow à établi une classification encore utilisée, selon l’état du ligament de Bertin. On oppose les luxations régulières et les luxations irrégulières. Les luxations régulières: Sont caractérisées par l’intégrité de ce ligament qui limite et dirige le déplacement de la tête fémorale. Ce déplacement peut être : postérieur: avec deux variétés: iliaque(50%), ischiatique(25%) antérieur: deux autres variétés: obturatrice(15%) ou pubienne(10%). Les luxations irrégulières: Le ligament de Bertin a cédé et le déplacement de la tête fémorale n’est ni limité ni dirigé ; on distingue les variétés sus et sous-cotyloïdiennes.
  • 10.
    La luxation postérieureest de loin la plus fréquente (75 % des cas) elle survient lorsque le point d’impact se situe sur la face antérieure d’un genou fléchi alors que la hanche est en flexion-adduction et rotation interne (accident du tableau de bord). Elle peut être iliaque (50 %) ou ischiatique (25 %). Upadhyay a montré qu’en cas de faible rotation interne ou d’antéversion importante du col fémoral, il apparaît que le risque de fracture acétabulaire est plus faible.
  • 11.
    L’accident du tableaude bord (surtout si le passager a les jambes croisées)
  • 12.
    Attitude du blessé Luxation postérieure iliaque pure de hanche
  • 13.
    La luxation antérieure(rare 25%): Elle survient lorsque le point d’impact est situé à la face interne du genou fléchi et que la hanche est en position de flexion-abduction et rotation externe ou lorsque le traumatisme se fait sur les pieds-jambes en extension et hanche en rotation externe. Elle peut être obturatrice (15 %) ou pubienne (10 %).
  • 14.
  • 15.
    Cinq types deluxations ont été définis par Levin: • Type I : luxation pure sans instabilité avec réduction concentrique. • Type II : luxation irréductible sans fracture de la tête ou de l’acétabulum (cotyle). • Type III : hanche instable après réduction ou incarcération. • Type IV : association à une fracture de l’acétabulum. • Type V : association à une fracture de la tête ou du col.
  • 16.
    Diagnostic • Circonstances: Les polytraumatismes et les accidents à haute énergie doivent faire évoquer systématiquement le diagnostic et conduire à la réalisation d’une radiographie de bassin de face, en particulier en cas de trouble de conscience associé.
  • 17.
    • Examen clinique: La déformation est souvent évidente avec une attitude vicieuse caractéristique dépendant du type de luxation: • Luxation iliaque: il s’agit d’une luxation postérieure; le membre inférieur est en adduction-rotation interne et extension. • Luxation ischiatique: de la même façon, le membre est en adduction-rotation interne et en flexion. • Luxation obturatrice: il s’agit d’une luxation antérieure, le membre est en abduction-rotation externe et flexion. • Luxation pubienne: comme dans la luxation obturatrice, le membre est en abduction-rotation externe et en extension.
  • 19.
    • Le raccourcissementest constant sauf en cas de luxation pubienne. • Douleur à la mobilisation active et passive. • L’impotence fonctionnelle est absolue. • L’examen de la hanche doit être intégré dans le cadre d’un examen complet et bilatéral, notamment chez un patient polytraumatisé. • Une lésion vasculaire doit être éliminée par la palpation des pouls distaux. • L’exploration nerveuse, motrice et sensitive est indispensable.
  • 20.
    • Imagerie: LaRadiographie conventionnelle: La réalisation d’un bassin de face est le minimum nécessaire et obligatoire chez un polytraumatisé, surtout si celui-ci présente des troubles de la conscience. Des clichés de profil ou de trois quarts sont réalisés au moindre doute. Il faut analyser la symétrie des interlignes coxofémoraux, le respect du cintre cervico-obturateur, la position des hanches en rotation et la taille respective des têtes fémorales (effet d’agrandissement). Il faut également rechercher une lésion osseuse associée du bassin ou de l’extrémité supérieure du fémur. • En l’absence de lésion associée, aucune autre iconographie n’est indispensable avant réduction car il permet de poser le diagnostique de la luxation et de préciser sa variété.
  • 21.
  • 22.
    ¾ Obturateur (oblique externe): Décubitus, oblique postérieur du côté sain de 45°. Le 3/4 obturateur permet l'étude du cotyle, de la ligne innominée (colonne antérieure) et du cadre obturateur. ¾ Alaire (oblique interne): Décubitus, oblique postérieur du côté atteint de 45°. Le 3/4 alaire permet l'étude de l'aile iliaque, de l'articulation sacro-iliaque, de la colonne postérieure et du bord antérieur du cotyle.
  • 23.
    La tomodensitométrie: permetde faire un bilan précis des lésions ostéo-chondrales infra-radiologiques et de planifier un éventuel geste chirurgical, mais elle ne doit pas retarder la prise en charge. Il est à noter que les lésions chondrales et ostéochondrales sont largement méconnues par les radiographies standards alors qu’elles jouent probablement un rôle important dans le développement d’une arthrose ultérieure, d’où l’intérêt de réaliser cet examen de manière différée mais systématiquement, même si la réduction semble parfaite.
  • 25.
    Lésions associées 1)Lésions articulaires: Les lésions du cartilage de la tête fémorale sont fréquentes, Elles sont retrouvées dans 63 % des cas par Tehranzadeh , Il s’agit d’une encoche souvent inférieure à 5mm et peu visible sur les radiographies standards. Cette encoche est antérieure dans les luxations postérieures et postérieure dans les luxations antérieures.
  • 26.
    2) Lésions desparties molles: Elles sont constantes du fait de la grande violence du traumatisme causal: • Les lésions capsulaires (déchirure ou désinsertion) peuvent entraîner l’irréductibilité de la luxation par phénomène d’incarcération. • Les lésions musculaires sont responsables de la constitution d’hématomes et exposent au risque d’apparition d’ostéomes qui donnent rarement une limitation importante des mouvements.
  • 27.
    3) Lésions artérielles: Elles peuvent être à type de déchirure, de compression, ou de thrombose. Lorsqu’elles intéressent les vaisseaux circonflexes qui assurent la vascularisation de la tête fémorale, elles exposent au risque de nécrose céphalique. Ceci explique l’urgence qu’il y a à réduire les luxations de hanche afin de limiter au maximum la durée d’ischémie osseuse et ainsi à préserver la vitalité céphalique.
  • 28.
    4) Lésions nerveuses: Elles ne sont pas exceptionnelles et constituent un argument pour la réduction en urgence. Les atteintes du nerf grand sciatique s’observent dans 7 à 18 % des luxations postérieures. Les ruptures vraies sont exceptionnelles. Leur potentiel de récupération spontané est bien sûr nul. Dans la grande majorité des cas, l’atteinte se fait par compression, contusion ou constitution d’un hématome. Les lésions peuvent être tronculaires ou radiculaires.
  • 29.
    L’atteinte des racineshautes est la plus fréquente. Lorsque le déficit neurologique intéresse le contingent fibulaire commun du nerf grand sciatique, le potentiel de récupération spontané de ces lésions est grand: 70 à 80 % de récupération dans un délai de 6 à 8 mois. En revanche, lorsque les signes neurologiques intéressent les contingents fibulaire commun et tibial, le pronostic est beaucoup plus péjoratif. En cas de luxation antérieure, on peut constater exceptionnellement des atteintes obturatrices ou fémorales.
  • 30.
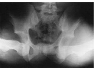
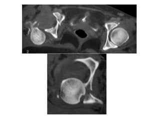
    5) Lésions osseuses: Ces lésions peuvent intéresser tous les segments du membre traumatisé. Il est donc indispensable d’examiner le pied, la cheville, la jambe, le genou et la cuisse du patient. Il est impératif de réaliser, dans le bilan systématique, une radiographie du genou de face et de profil. On retrouve, dans 26% des cas, une lésion osseuse du genou. Une place particulière est à donner aux fractures de l’acétabulum que l’on rencontre dans 20 % des luxations postérieures (Fig. 4), et aux fractures de la tête fémorale qui représentent 13 % des cas.
  • 31.
    Luxation de hancheassociée à une fracture de la paroi postérieure du cotyle
  • 32.
    Fracture de têtefémorale avec un fragment antéro-inférieur et un fragment interposé au pôle supérieur de la tête fémorale
  • 33.
    Formes cliniques •Association à une fracture du fémur. • Formes bilatérales 1 % à 5 %. • Formes vieillies polytraumatisé leur traitement en est difficile:  Traction lourde et prolongée trois semaines suivie d'une mise en abduction.  Réduction sanglante difficile et hémorragique: risque de nécrose. • Luxations récidivantes Exceptionnelles. • Luxations de l'enfant: sont rares.
  • 34.
  • 35.
    Traitement • Réductionen urgence: La réduction orthopédique doit être faite en urgence. Le délai idéal de la réalisation du geste est discutable. Selon Hooggard, le délai est idéalement >6 heures, Selon Brau, le cap décisif se situerait à 12 heures. donc il est préférable de réduire les luxations avant 6 heures tout en acceptant de temporiser quelques heures si les conditions le suggèrent. • La réduction doit toujours se faire sous anesthésie générale et chez un patient curarisé avec une hémodynamique stable. • Les manoeuvres doivent être douces et si possible uniques, de sorte à ne pas aggraver les lésions associées.
  • 36.
    • Manoeuvre deBoehler: Elle est réalisée en décubitus dorsal sur plan dur, avec un contre-appui sur les épines iliaques antéro-supérieures. On effectue une traction dans l’axe du fémur, hanche et genou en flexion à 90° et l’on entend un claquement audible synonyme de réduction des luxations postérieures. • Manoeuvre de Allis: La traction se fait dans l’axe de la déformation pendant que la hanche est fléchie à 90°. De petits mouvements de rotation interne et externe sont réalisés.
  • 37.
  • 38.
    • Autres manoeuvres: • Il faut éviter les manoeuvres en abduction telles qu’elles ont été décrites par Bigelow car elles exposent à un risque trop grand de fractures du col du fémur. • En cas de luxation obturatrice, il faut tracter la hanche dans l’axe puis donner un mouvement de flexion-rotation et abduction. • Devant une luxation pure de l’articulation coxofémorale, il n’y a pas d’indication à la réduction chirurgicale de première intention. Celle-ci doit être réservée aux échecs de réduction orthopédique (irréductibilité ou persistance d’une incongruence articulaire).
  • 39.
    • Suites post-réductionnelles: Lors de la réduction, un ressaut net et un claquement sont perçus ; ce sont les deux témoins d’une bonne réduction. La mobilité, la longueur des membres inférieurs et la stabilité de la hanche sont vérifiées par la réalisation d’une radiographie de bassin de face est indispensable avant de conclure au succès de la réduction. Elle permet de s’assurer de la parfaite congruence articulaire et de rechercher une lésion osseuse associée qui serait passée inaperçue sur les clichés luxés. En l’absence de lésions associées qui nécessiteraient un traitement complémentaire spécifique, le patient doit être mis en traction Trans-osseuse et rééducation active douce sous couvert de la traction.
  • 40.
    La durée detraction est de l’ordre de 3 semaines, Ceci vise à diminuer les pressions intra-articulaires pour diminuer le risque de nécrose de la tête fémorale. On réalise systématiquement une tomodensitométrie de l’articulation coxofémorale en urgence différée. Elle permet un bilan lésionnel précis (lésion chondrale très fréquente, fracture de l’acétabulum, de la tête, ou corps étranger passé inaperçu). Le délai de décharge complète classiquement préconisé est de 2 mois et l’appui complet est proscrit pour 3 mois. Une surveillance régulière clinique et radiologique semestrielle, annuelle, puis tous les 3 à 4 ans, est indispensable.
  • 41.
    La réduction chirurgicale: • La chirurgie si échec de réduction orthopédique ou lorsqu'il y a une fracture. associée à fixer. Elle doit se faire en urgence. • Souvent il y a interposition d’un lambeau de capsule ou un fragment osseux intra articulaire.
  • 42.
    Parfois après réductionune ostéosynthèse d’un fragment osseux important est réalisée
  • 43.
    Résultats • Laréalisation d’une radiographie de bassin de face est indispensable avant de conclure au succès de la réduction. • Les résultats à courts termes sont globalement bons. • Les complications immédiates et péri-réductionnelles doivent être pris en compte. • Les résultats à long terme sont nettement plus mitigés et conditionnés par l’apparition d’une complication tardive. • Non réduite, elle évolue vers le stade de luxation ancienne avec des séquelles majeures (raccourcissement de 6 à 7 cm du membre, bascule du bassin, douleurs et instabilité).
  • 44.
    • Nécrose céphalique: C’est le premier risque, apparaît de 1 à 5 ans après la luxation, elle est plus fréquente en cas de luxation postérieure et de délai réductionnel important. Elle peut rester longtemps pauci-symptomatique mais aboutit constamment à un mauvais résultat. Le diagnostic est essentiellement clinique, épaulé par la radiographie standard. Le scanner et L’IRM servent ensuite à faire un bilan lésionnel précis. Son taux de survenue est de 0 à 10%.
  • 45.
    Nécrose aseptique dela tête fémorale deux ans après réduction
  • 46.
    • L’arthrose: C’estle risque majeur à long terme. Sa survenue est intimement liée à l’apparition d’une nécrose ; ainsi, Olmir a mis en évidence 34 % d’arthrose en cas de réduction avant 24 heures (10 % de nécrose avérée) et 71 % en cas de réduction après 24 heures (40 % de nécrose). D’une manière générale, les résultats se dégradent nettement avec le temps, allant jusqu’à 90 % d’arthrose pour Hoogaard. Le patient doit également être informé de ce risque, certes lointain, mais très fréquent.
  • 47.
    Conclusion • Laluxation traumatique de hanche est une lésion grave qui donne de bons résultats précoces lorsque la réduction est réalisée dans un délai de 6 heures. • Le patient doit donc être scrupuleusement suivi à long terme et être prévenu des risques qu’il encourt. • Le pronostic des luxations-fractures du col fémoral ou du cotyle est beaucoup moins bon, lié pour l’essentiel à la violence du traumatisme qui entraîne des lésions immédiates des vaisseaux à l’origine nécroses céphalique, ou de lésions ostéo-chondrales source de coxarthrose. • Même fort de toutes ces précautions, le taux de résultats mauvais et passables reste très important (50 % à 10 ans selon Vielpeau) et l’évolution arthrosique à long terme semble malheureusement être hautement probable, sinon inéluctable.