Polyarthrite rhumatoïde
A.Abdessemed
Service de rhumatologie
EHS de BEN AKNOUN
DEFINITION
La polyarthrite rhumatoïde (PR) est une maladie inflammatoire
du tissu conjonctif à prédominance synoviale qui fait partie du
groupe des maladies auto-immunes. Il s'agit d'une part d'un
rhumatisme inflammatoire chronique évoluant par poussées
susceptibles d'entraîner des lésions articulaires parfois graves,
d'autre part d'une maladie systémique, véritable connectivite
entraînant des manifestations extra-articulaires susceptibles de
compromettre le pronostic vital
PATHOGENIE-PHYSIOPATHOLOGIE
Psychologiques, Endocriniens Environnementaux
Immunologiques Génétiques
PR
Affection polyfactorielle
Représentation schématique des différentes phases de la pathogénie et de
l'immunopathologie des lésions articulaires de la polyarthrite rhumatoïde (M :
macrophage ; T : lymphocytes T).
Représentation schématique de l'interaction des cellules impliquées dans la
synovite rhumatoïde : lymphocytes T, macrophages, synoviocytes.
Dysrégulation de la balance des cytokines et des métalloprotéases au
cours de la polyarthrite rhumatoïde (IL1 : interleukine 1 ; MMP :
métalloprotéases : RTNFs : récepteurs solubles du TNFα ; IL1 RA :
antagoniste du récepteur de l'IL1 ; IL1 RS : récepteur soluble de l'IL1 ;
TIMP : inhibiteur des métalloprotéases).
EPIDEMIOLOGIE
La PR est présente dans le monde entier.
C’est le rhumatisme inflammatoire chronique le plus fréquent
La PR peut survenir à tout âge, mais on l’observe surtout
entre 40 et 60 ans
Elle est quatre fois plus fréquente chez la femme que chez
l’homme.
PR AU DEBUT
Le diagnostic de la PR doit être fait aussi précocement que possible
Mode de début : après un traumatisme affectif ou dans les suites d’un
accouchement
Les modes de début sont variables
Oligoarthrite distale 70%
MCP +++2 et 3ème
, poignets, IPP, parfois l’avant pied
douleurs inflammatoires : nocturnes,réveillant les malades, elles sont maximales
le matin au réveil, entraînant un enraidissement articulaire qui cède dans la
matinée.
L’atteinte articulaire est fixe et relativement symétrique.
les doigts prennent un aspect en « fuseau » très évocateur
Il existe très rarement une atteinte des interphalangiennes distales.
Discrète altération de l’état général, fébricule à 38 °C, amaigrissement et surtout
asthénie, sont fréquents
PR AU DEBUT
Polyarthrite aiguë
Dans 20 % des cas environ
Autres modes de début possibles
Ils sont plus rares :
-Atteinte rhizomélique touchant les hanches et les épaules
-Une monoarthrite (poignets ou genoux surtout)
-Des manifestations articulaires inflammatoires intermittentes
mono- ou oligoarticulaires (le rhumatisme palindromique)
-Des polyarthralgies
-Exceptionnellement commencer par des manifestations
extra-articulaires isolées : vascularite, atteinte pleuropulmonaire,
nodules rhumatoïdes
Manifestations tendineuses
les ténosynovites, fréquentes au début=== syndrome du canal carpien
Doigts en fuseau
Ténosynovite des extenseurs des doigts
PR AU DEBUT
Examens complémentaires
Examens biologiques sanguins
Syndrome biologique inflammatoire
augmentation de la vitesse de sédimentation globulaire (VS), parfois de la protéine
C réactive (CRP). L’électrophorèse sérique objective une augmentation
des alpha-2- et, parfois, des gammaglobulines
Facteur rhumatoïde (FR)
Le FR est un anticorps antigammaglobulinique qui appartient le plus souvent à la
classe des immunoglobulines (Ig) M.
Il est dirigés contre les IgG humaines ou animales
Il est mis en évidence par :
La réaction de Waaler-Rose
Le test au latex
Néphélométrie laser
ELISA
Intérêt diagnostique du facteur rhumatoïde
souvent négatif au début
À la phase d’état, le FR est présent dans 70 à 85 % des cas
La présence de FR n’est ni indispensable ni suffisante pour affirmer le diagnostic
Positivité des réactions de détection des facteurs rhumatoïdes en dehors
de la polyarthrite rhumatoïde (PR) (réaction de Waaler-Rose et test au
latex)
Pourcentage de positivité
Sujets normaux de moins de 65 ans 1-15
Sujets normaux de plus de 65 ans 7-30
Sujets sains parents de PR 15-20
Lupus érythémateux disséminé 25-40
Sclérodermie 20-50
Dermatomyosite 12-20
Gougerot-Sjögren 75-98
Infections bactériennes 11-20
Infections virales 14-17
Mononucléose infectieuse 4-72
Endocardite d’Osler 30-50
Tuberculose 5-15
Lèpre 15-30
Syphilis 15-25
Leishmaniose 90-100
Silicose (sans PR) 15-42
Bronchite 18-62
Fibrose pulmonaire 32-46
Macroglobulinémie 22-30
Myélome 4-18
Anticorps antipeptides citrullinés (anti-CCP)
Ces anticorps ont été d’abord connus sous le terme d’anticorps antikératine et
d’anticorps antipérinucléaires
Il ont une spécificité élevée
Peuvent être présents dès le début de la maladie, parfois même avant l’installation
des troubles
Ont également une valeur pronostique
Anticorps antinucléaires dans 15 à 30 % des cas,
Les anticorps antiacide désoxyribonucléique (ADN) natif, Les anticorps anti-
antigènes nucléaires solubles (anti-RNP, anti-SSA ou anti-SSB) sont
exceptionnels dans la PR, sauf en cas de syndrome de chevauchement.
HLA
La PR est associée à certains allèles HLA DRB1*04 et DRB1*01.
Les allèles DR4 sont présents chez environ 60 % des patients
Liquide synovial
Le liquide synovial est de type inflammatoire
On peut retrouver du FR dans le liquide synovial
Histologie synoviale
La synovite est caractérisée par
une hypertrophie des villosités synoviales
une multiplication des franges.
Il existe une hyperplasie des cellules synoviales qui se répartissent en plusieurs
couches successives.
Infiltrat lymphocytaire périvasculaire
Néovascularisation et congestion capillaire
Examen radiographique
Cliché du thorax, des mains et des poignets de face et des pieds de face
Normale
Parfois :
une tuméfaction des parties molles ou
une simple déminéralisation épiphysaire en « bande » métacarpophalangienne
ou plus rarement : érosion de l’extrémité antérieure du cinquième métatarsien,
très évocatrice
L’échographie et l’imagerie par résonance magnétique (IRM) articulaires
plus sensibles que l’examen clinique pour détecter précocement la synovite
articulaire et plus sensibles que la radiographie standard
DIAGNOSTIC
le consensus international actuel propose d’effectuer la démarche diagnostique
en trois étapes :
• première étape : reconnaître un rhumatisme inflammatoire débutant pouvant
correspondre à une PR (PR « possible ») ;
ceci repose sur des arguments cliniques dont le meilleur est l’existence de deux
articulations gonflées,
mais également un dérouillage matinal de plus de 30 minutes sur les articulations
périphériques,
et une douleur à la pression transverse des avant-pieds et des métacarpo
phalangiennes (squeez test)
• deuxième étape : éliminer un autre rhumatisme inflammatoire défini
• troisième étape : rechercher devant cette PR « probable » des éléments permettant
de prédire l’évolution vers une polyarthrite chronique et destructrice
Critères de classification de la polyarthrite rhumatoïde (PR) proposés
par l’American College of Rheumatology en 1987
Critère 1 Raideur articulaire matinale de durée supérieure à 1 heure durant un minimum de 6
semaines
Critère 2 Gonflement des parties molles, touchant au moins trois articulations simultanément
Critère 3 Gonflement d’au moins une articulation des mains (poignet, MCP ou IPP) durant un
minimum de 6 semaines, observé par un médecin
Critère 4 Atteinte articulaire simultanée symétrique (une atteinte bilatérale sans symétrie
absolue des MCP, IPP ou MTP est acceptée)
Critère 5 Atteinte radiologique typique de PR des mains (IPP, MCP) et poignets avec présence
nécessaire d’érosions ounde déminéralisation touchant les articulations atteintes de façon
exclusive et prédominante
Critère 6 Nodules sous-cutanés rhumatoïdes observés par un médecin (saillies osseuses sur
les faces d’extension, régions juxta-articulaires)
Critère 7 Sérologie rhumatoïde positive (taux anormal par toute méthode pour laquelle la
positivité n’existe que chez moins de 5 % d’une population témoin normale)
Quatre critères sur sept présents permettent undiagnostic de PR. Pour les critères1 à 4, une
durée minimale de 6 semaines est exigée.
MCP : articulations métacarpophalangiennes ; IPP : articulations interphalangiennes
proximales ;MTP : articulations métatarsophalangiennes
Diagnostic différentiel
Devant une monoarthrite
arthrite infectieuse
Devant une oligo- ou une polyarthrite
•Polyarthrites infectieuses d’origine bactérienne
•Polyarthrites d’origine virale
•Rhumatismes poststreptococciques
•Spondylarthropathies
•Autres rhumatismes inflammatoires :
Pseudopolyarthrite rhizomélique
Polyarthrite oedémateuse du sujet âgé
•Connectivites
•Arthropathies métaboliques
•Arthrose érosive des doigts
PR A LA PHASE D’ETAT
Atteinte articulaire
L’Inflammation est permanente
Les lésions ligamentaires et ostéocartilagineuses apparaissent→→ limitation
articulaire et déformations irréversibles
►►handicap fonctionnel
le rachis dorsal et lombaire n’est pas touché. Une atteinte sacroiliaque unilatérale est
possible
Déformations :
Mains :
déviation cubitale des doigts en « coup de vent »
déformation en « col de cygne »
déformation en boutonnière
déformation du doigt en « maillet » ou en marteau
pouce en « Z » , pouce adductus
Poignets :
atteinte précoce de l’articulation radiocubitale inférieure, une luxation de la styloïde
cubitale : signe de la touche de piano
Empatement du poignet + MCP = déformation en dos de chameau
Pieds :
Arthrite + luxation des MTP = avant-pieds ronds
Hallux valgus + quintus varus + orteils en griffe = avant-pieds triangulaires
Affaissement de la voûte plantaire = pieds plats
Limitation de la mobilité aux genoux, hanches(coxite), coudes et épaules
Rachis cervical : arthrite occipitoatloïdienne et surtout atloïdoaxoïdienne qui peut se
traduire par des douleurs cervicales hautes ou par une luxation atloïdoaxoïdienne
Autres atteintes : manubriosternale, sternoclaviculaires
Les ténosynovites sont pratiquement constantes à la phase d’état de la PR et
peuvent se compliquer de ruptures tendineuses,
Pouce en Z
Déviation en coup de vent cubital
Doigt en boutonnière Doigt en col de signe
Doigt en maillet
Doigt en col de signe
Doigt en boutonnière
Déformation en dos de chameau
Luxation antérieure du carpe
Affaissement de la voûte plantaire
Avant pied triangulaire
Radiographie standard :
les signes caractéristiques de la PR sont rarement visibles
avant 6 mois d’évolution
-un épaississement des parties molles,
-une augmentation de la transparence radiologique
épiphysaire, l’« ostéoporose en bande »
-érosions périarticulaires, puis
-des géodes intraosseuses juxta-articulaires caractéristiques
et secondairement
-le pincement de l’interligne articulaire
carpite
Manifestations extra-articulaires
Signes généraux
Nodules rhumatoïdes
Vascularite rhumatoïde
micro-infarctus digitaux périunguéaux
ulcères profonds
livedo réticulaire
purpura vasculaire
nécroses digitales ou des orteils
neuropathies périphériques
Atteintes neuromusculaires
Syndrome du canal carpien, atteinte cubitale
Neuropathie périphérique
Compression médullaire
myalgies
Manifestations hématologiques
Anémie
Adénopathies
Syndrome de Felty : PR+SPM+leucopénie
Manifestations pleuropulmonaires
Infections +++
Pleurésie
Fibrose pulmonaire
Nodules rhumatoïdes
Manifestations cardiaques
Les trois tuniques peuvent être atteintes
La PR constitue un facteur de risque cardiovasculaire
Atteinte oculaire et oto-rhino-laryngologique
Sclérite, nodules des cordes vocales
Atteinte rénale
Iatrogène ou par amylose( protéinurie, syndrome néphrotique, IR)
Amylose : AA secondaire
Manifestations dermatologiques
Phénomène de Raynaud
Syndrome de Gougerot Sjögren
Ostéoporose
Evolution
Vers l’aggravation et l’extension des atteintes articulaires
Poussées successives entrecoupée de rémissions
Le handicap fonctionnel engendré par la PR est variable
Des manifestations extraarticulaires peuvent survenir au
cours de l’évolution et parfois mettre en jeu le pronostic vital
Evaluation
 Score d’activité disease activity score (DAS) ou
DAS28
Nombre d’articulations douloureuses
Nombre d’articulations gonflées
VS, CRP
EVA patient
 Le retentissement fonctionnel
le score health assessment questionnaire (HAQ)
TRAITEMENT
Information et éducation du patient
Traitements symptomatiques
Antalgiques
Anti-inflammatoires non stéroïdiens
AINS classiques
Les coxibs sont des inhibiteurs sélectifs de la cyclo-oxygénase (COX) de type 2
Pas d’effet inhibiteur sur la COX- 1 qui est responsable de l’effet antiagrégant
plaquettaire et de l’effet délétère sur la muqueuse digestive
Glucocorticoïdes
Corticoïdes à durée de vie courte
Prednisone, prednisolone, methylprednisolone
10 à 15 mg/j→→0,1mg/kg/j
Régime hyposodé, calcium, vitamine D
Traitements de fond « classiques »
DMARD « disease modifying anti rheumatic drug »
Médicament ayant un effet symptomatique retardé et théoriquement
un effet sur l’évolution de la maladie, notamment sur la progression
radiographique articulaire.
l’évaluation clinique des traitements de fond de la PR est parfaitement
codifiée et repose
soit sur les critères de l’American College of Rheumatology (ACR)
soit sur les critères européens de l’European League Against
Rheumatism (EULAR) fondés sur le score d’activité DAS (Disease
Activity Score)
Doivent être maintenus tant qu’ils sont efficaces et bien tolérés
Méthotrexate
Le méthotrexate (MTX) est un antimétabolite. C’est un analogue de l’acide folique
traitement de référence de la PR
Mécanisme d’action : anti inflammatoire et immunosuppresseur
Agit sur le métabolisme de l’acide folique, inhibe la dihydrofolate réductase=inhibe
la synthèse des purines
++++synthèse de l’adénosine : puissant anti inflammatoire
↓ synthèse de IL1 et IL6
7,5 à 25 mg par semaine
L’efficacité du produit est « rapide », apparaissant en 4 à 6 semaines,
►►Ralentissement de la progression radiographique
Associer l’acide folique
Contraception efficace+++
Pas de risque de stérilité chez la femme
Traitement Effets indésirables Surveillance Fréquence
Méthotréxate Digestifs : nausées,
vomissements, diarrhée,
stomatite
Cytolyse hépatique
Hématologiques : leucopénie,
thrombopénie, pancytopénie
Respiratoires :+++++
pneumopathie
immunoallergique
Infections
Tératogénicité +++
Oncogénicité=lymphomes
NFS,
TGO,TGP,PAL
Urée, créatinine
Albuminémie
Rx thorax
Séroogies
hépatite B C
vaccinations
8 jours
→1mois
léflunomide (Arava®)
Immunomodulatrice
Mécanisme d’action :immunomodulateur
inhibition compétitive de la dihydrorotate-déshydrogénase,
Une enzyme clé de la voie de la synthèse de novo des
bases pyrimidiques.
ralentit la prolifération des lymphocytes T impliqués dans
la réaction autoimmune de la PR
persiste pendant environ 2 ans
10 à 20mg/j
Contraception efficace
Traitement Effets indésirables Surveillance Fréquence
leflunomide Diarrhée, perte de poids, HTA
Infections, cytolyse hépatique,
pancytopénie, tératogénicité
NFS,
TGO,TGP,PAL
Sérologies
hépatite B C
vaccinations
15 jours(6mois)
→ 2 mois
Sulfasalazine
Salazosulfapyridine ou salazopyrine® est constituée de la
conjugaison d’un salicylé, l’acide 5-aminosalicylique et d’un
sulfamide la sulfapyridine
Mecanisme d’action : ↓IgA secrétoires au niveau du tube digestif
inhibe les cellules NK
↓chimiotactisme des PN
Effet en 3 à 4 mois
2 à 3g/j
Maintient possible pendant la grossesse
Traitement Effets indésirables Surveillance Fréquence
sulfasalazyne ++++Nausées, vomissements,
douleurs abdominales,
Céphalées, vertiges, prurit,
éruption cutanée
Leucopénie, thrombopénie
Hémolyse si déficit en G6PD
cytolyse hépatique ou
cholestase
Oligospermie
hypersensibilité
NFS,
TGO,TGP,PAL
Urée, créatinine
15 jours(3mois)
→
1 mois(3mois)
Antipaludéens de synthèse
sulfate d’hydroxychloroquine (Plaquenil®)
comprimés à 200 mg.
La posologie d’attaque conseillée est de 400 mg/ j
le sulfate de chloroquine (Nivaquine®) comprimés à 100 mg : 200mg/j
Mécanisme d’action :
inhibent les enzymes lysosomiales et captent des radicaux libres.
Inhibent le chimiotactisme et la phagocytose des polynucléaires et des
monocytes
ont aussi un effet immunosupresseur.
Effet modeste, médicaments réservés aux formes les plus bénignes des PR ou
aux rhumatismes inflammatoires indifférenciés.
Réponse thérapeutique tardive, 4 à 6 mois de traitement.
Pas d’effet sur la progression radiographique
L’associer à un autre traitement de fond dans les PR érosives
Traitement Effets indésirables Surveillance Fréquence
Antipaludéens
de synthèse
Rétinopathie +++++
anorexie, nausées
vomissements, diarrhée,
douleurs abdominales,
troubles cutanés (rash divers),
nerveux (insomnies,
céphalées, vertiges,
bourdonnement d’oreilles).
Coloration brunâtre des faces
d’extension des bras et des
jambes, du cou,du visage et
du lit des ongles.
Une alopécie discrète
Neuromyopathies
Leucopénie, anémie
NFS,
ophtalmologique
6mois à 18mois
Sels d’or
utilisation devenue rare,
réservés à certains cas particuliers par exemple lorsque les nouveaux
traitements sont contre indiqués.
Aurothiopropanol sulfonate de sodium (Allochrysine®)
réponse thérapeutique tardive, rarement avant 3 à 4 mois de traitement
50mg en IM/semaine→dose 1,2 à 1,8g→100mg/mois
Contraception efficace
Inducteur de LES
Traitement Effets indésirables Surveillance Fréquence
Sels d’or Prurit, éruption cutanée,
Érythrodermie
Agranulocytose, thrombopénie
Protéinurie (glomérulonéphrite)
Stomatite, hépatite, fibrose
pulmonaire
NFS,
Urée, créatinine
Bandelette
urinaire avant
chaque injection
Tous les mois
Ciclosporine
PR sévère rebelle aux autres traitements
Risque d’HTA et d’insuffisance rénale
Autres médicaments immunosuppresseurs
L’azathioprine (Imurel®) est prescrite à la posologie de 2 à 3 mg/ kg/ j
le cyclophosphamide (Endoxan®) : 750 mg/m2 en perfusion i.v
le chloraminophène (Chlorambucil®)
réservés aux manifestations extra-articulaires de la PR réfractaire
Effets secondaires : hématologiques, infectieux et oncogène
Associations de traitements de fond
Methotrexate + salazopyrine + plaquenil
Methotrexate + leflunomide
Traitements biologiques : biothérapies
Anti-TNF alpha
•Anticorps monoclonaux anti-TNFalpha
-Infliximab (Remicade®)
-Adalimumab (Humira)
-Golimumab
•récepteurs solubles du TNFalpha
Etanercept (Enbrel®)
Associé au methotrexate
Risque infectieux et néoplasique
Anakinra (Kineret®) est un antagoniste du récepteur de l’IL1
Abatacept (Orancia®)
un inhibiteur des voies de costimulation (CD80/CD86-CD28) entre les cellules
présentatrices de l’antigène et les lymphocytes T.
Rituximab (Mabthera®)
est un anticorps monoclonal inhibant spécifiquement le récepteur CD20 des
lymphocytes B
Tocilizumab (Roactemra®)
anticorps monoclonal inhibant le récepteur de l’IL6.
Traitements locaux
-Ponction évacuatrice
-Infiltration cortisonique intra articulaire, asepsie rigoureuse++++
3 infiltrations/articulation/année
-Synoviorthèse :destruction de la synoviale malade par l’injection intra articulaire
d’un radio isotope (yttrium 90,rhénium 196, erbium 169), ou d’un produit chimique
(l’acide osmique)
À un stade précoce
Réeducation fonctionnelle ++++
Kinésithérapie, ergothérapie
Appareillage
Orthèse de repos et de fonction
Aides techniques
Chirurgie
Ténosynovectomie, arthrodèse
PTH, PTG
Arthrodèse occipito-C2 (luxation C1-C2)
Psychothérapie
STRATEGIE THERAPEUTIQUE
Polyarthrite active
Methotrexate
Leflunomide
Sulfasalazyne Echec
Réponse inadéquate
Associations thérapeutiques
Biothérapie
intolérance
Contrôle étroit de l’activité et de la sévérité

Polyarthrite rhumatoïde

  • 1.
  • 2.
    DEFINITION La polyarthrite rhumatoïde(PR) est une maladie inflammatoire du tissu conjonctif à prédominance synoviale qui fait partie du groupe des maladies auto-immunes. Il s'agit d'une part d'un rhumatisme inflammatoire chronique évoluant par poussées susceptibles d'entraîner des lésions articulaires parfois graves, d'autre part d'une maladie systémique, véritable connectivite entraînant des manifestations extra-articulaires susceptibles de compromettre le pronostic vital
  • 3.
  • 4.
    Représentation schématique desdifférentes phases de la pathogénie et de l'immunopathologie des lésions articulaires de la polyarthrite rhumatoïde (M : macrophage ; T : lymphocytes T).
  • 5.
    Représentation schématique del'interaction des cellules impliquées dans la synovite rhumatoïde : lymphocytes T, macrophages, synoviocytes.
  • 6.
    Dysrégulation de labalance des cytokines et des métalloprotéases au cours de la polyarthrite rhumatoïde (IL1 : interleukine 1 ; MMP : métalloprotéases : RTNFs : récepteurs solubles du TNFα ; IL1 RA : antagoniste du récepteur de l'IL1 ; IL1 RS : récepteur soluble de l'IL1 ; TIMP : inhibiteur des métalloprotéases).
  • 7.
    EPIDEMIOLOGIE La PR estprésente dans le monde entier. C’est le rhumatisme inflammatoire chronique le plus fréquent La PR peut survenir à tout âge, mais on l’observe surtout entre 40 et 60 ans Elle est quatre fois plus fréquente chez la femme que chez l’homme.
  • 8.
    PR AU DEBUT Lediagnostic de la PR doit être fait aussi précocement que possible Mode de début : après un traumatisme affectif ou dans les suites d’un accouchement Les modes de début sont variables Oligoarthrite distale 70% MCP +++2 et 3ème , poignets, IPP, parfois l’avant pied douleurs inflammatoires : nocturnes,réveillant les malades, elles sont maximales le matin au réveil, entraînant un enraidissement articulaire qui cède dans la matinée. L’atteinte articulaire est fixe et relativement symétrique. les doigts prennent un aspect en « fuseau » très évocateur Il existe très rarement une atteinte des interphalangiennes distales. Discrète altération de l’état général, fébricule à 38 °C, amaigrissement et surtout asthénie, sont fréquents
  • 9.
    PR AU DEBUT Polyarthriteaiguë Dans 20 % des cas environ Autres modes de début possibles Ils sont plus rares : -Atteinte rhizomélique touchant les hanches et les épaules -Une monoarthrite (poignets ou genoux surtout) -Des manifestations articulaires inflammatoires intermittentes mono- ou oligoarticulaires (le rhumatisme palindromique) -Des polyarthralgies -Exceptionnellement commencer par des manifestations extra-articulaires isolées : vascularite, atteinte pleuropulmonaire, nodules rhumatoïdes Manifestations tendineuses les ténosynovites, fréquentes au début=== syndrome du canal carpien
  • 11.
  • 12.
  • 13.
    PR AU DEBUT Examenscomplémentaires Examens biologiques sanguins Syndrome biologique inflammatoire augmentation de la vitesse de sédimentation globulaire (VS), parfois de la protéine C réactive (CRP). L’électrophorèse sérique objective une augmentation des alpha-2- et, parfois, des gammaglobulines Facteur rhumatoïde (FR) Le FR est un anticorps antigammaglobulinique qui appartient le plus souvent à la classe des immunoglobulines (Ig) M. Il est dirigés contre les IgG humaines ou animales Il est mis en évidence par : La réaction de Waaler-Rose Le test au latex Néphélométrie laser ELISA Intérêt diagnostique du facteur rhumatoïde souvent négatif au début À la phase d’état, le FR est présent dans 70 à 85 % des cas La présence de FR n’est ni indispensable ni suffisante pour affirmer le diagnostic
  • 14.
    Positivité des réactionsde détection des facteurs rhumatoïdes en dehors de la polyarthrite rhumatoïde (PR) (réaction de Waaler-Rose et test au latex) Pourcentage de positivité Sujets normaux de moins de 65 ans 1-15 Sujets normaux de plus de 65 ans 7-30 Sujets sains parents de PR 15-20 Lupus érythémateux disséminé 25-40 Sclérodermie 20-50 Dermatomyosite 12-20 Gougerot-Sjögren 75-98 Infections bactériennes 11-20 Infections virales 14-17 Mononucléose infectieuse 4-72 Endocardite d’Osler 30-50 Tuberculose 5-15 Lèpre 15-30 Syphilis 15-25 Leishmaniose 90-100 Silicose (sans PR) 15-42 Bronchite 18-62 Fibrose pulmonaire 32-46 Macroglobulinémie 22-30 Myélome 4-18
  • 15.
    Anticorps antipeptides citrullinés(anti-CCP) Ces anticorps ont été d’abord connus sous le terme d’anticorps antikératine et d’anticorps antipérinucléaires Il ont une spécificité élevée Peuvent être présents dès le début de la maladie, parfois même avant l’installation des troubles Ont également une valeur pronostique Anticorps antinucléaires dans 15 à 30 % des cas, Les anticorps antiacide désoxyribonucléique (ADN) natif, Les anticorps anti- antigènes nucléaires solubles (anti-RNP, anti-SSA ou anti-SSB) sont exceptionnels dans la PR, sauf en cas de syndrome de chevauchement. HLA La PR est associée à certains allèles HLA DRB1*04 et DRB1*01. Les allèles DR4 sont présents chez environ 60 % des patients Liquide synovial Le liquide synovial est de type inflammatoire On peut retrouver du FR dans le liquide synovial
  • 16.
    Histologie synoviale La synoviteest caractérisée par une hypertrophie des villosités synoviales une multiplication des franges. Il existe une hyperplasie des cellules synoviales qui se répartissent en plusieurs couches successives. Infiltrat lymphocytaire périvasculaire Néovascularisation et congestion capillaire Examen radiographique Cliché du thorax, des mains et des poignets de face et des pieds de face Normale Parfois : une tuméfaction des parties molles ou une simple déminéralisation épiphysaire en « bande » métacarpophalangienne ou plus rarement : érosion de l’extrémité antérieure du cinquième métatarsien, très évocatrice L’échographie et l’imagerie par résonance magnétique (IRM) articulaires plus sensibles que l’examen clinique pour détecter précocement la synovite articulaire et plus sensibles que la radiographie standard
  • 17.
    DIAGNOSTIC le consensus internationalactuel propose d’effectuer la démarche diagnostique en trois étapes : • première étape : reconnaître un rhumatisme inflammatoire débutant pouvant correspondre à une PR (PR « possible ») ; ceci repose sur des arguments cliniques dont le meilleur est l’existence de deux articulations gonflées, mais également un dérouillage matinal de plus de 30 minutes sur les articulations périphériques, et une douleur à la pression transverse des avant-pieds et des métacarpo phalangiennes (squeez test) • deuxième étape : éliminer un autre rhumatisme inflammatoire défini • troisième étape : rechercher devant cette PR « probable » des éléments permettant de prédire l’évolution vers une polyarthrite chronique et destructrice
  • 18.
    Critères de classificationde la polyarthrite rhumatoïde (PR) proposés par l’American College of Rheumatology en 1987 Critère 1 Raideur articulaire matinale de durée supérieure à 1 heure durant un minimum de 6 semaines Critère 2 Gonflement des parties molles, touchant au moins trois articulations simultanément Critère 3 Gonflement d’au moins une articulation des mains (poignet, MCP ou IPP) durant un minimum de 6 semaines, observé par un médecin Critère 4 Atteinte articulaire simultanée symétrique (une atteinte bilatérale sans symétrie absolue des MCP, IPP ou MTP est acceptée) Critère 5 Atteinte radiologique typique de PR des mains (IPP, MCP) et poignets avec présence nécessaire d’érosions ounde déminéralisation touchant les articulations atteintes de façon exclusive et prédominante Critère 6 Nodules sous-cutanés rhumatoïdes observés par un médecin (saillies osseuses sur les faces d’extension, régions juxta-articulaires) Critère 7 Sérologie rhumatoïde positive (taux anormal par toute méthode pour laquelle la positivité n’existe que chez moins de 5 % d’une population témoin normale) Quatre critères sur sept présents permettent undiagnostic de PR. Pour les critères1 à 4, une durée minimale de 6 semaines est exigée. MCP : articulations métacarpophalangiennes ; IPP : articulations interphalangiennes proximales ;MTP : articulations métatarsophalangiennes
  • 19.
    Diagnostic différentiel Devant unemonoarthrite arthrite infectieuse Devant une oligo- ou une polyarthrite •Polyarthrites infectieuses d’origine bactérienne •Polyarthrites d’origine virale •Rhumatismes poststreptococciques •Spondylarthropathies •Autres rhumatismes inflammatoires : Pseudopolyarthrite rhizomélique Polyarthrite oedémateuse du sujet âgé •Connectivites •Arthropathies métaboliques •Arthrose érosive des doigts
  • 20.
    PR A LAPHASE D’ETAT Atteinte articulaire L’Inflammation est permanente Les lésions ligamentaires et ostéocartilagineuses apparaissent→→ limitation articulaire et déformations irréversibles ►►handicap fonctionnel le rachis dorsal et lombaire n’est pas touché. Une atteinte sacroiliaque unilatérale est possible Déformations : Mains : déviation cubitale des doigts en « coup de vent » déformation en « col de cygne » déformation en boutonnière déformation du doigt en « maillet » ou en marteau pouce en « Z » , pouce adductus Poignets : atteinte précoce de l’articulation radiocubitale inférieure, une luxation de la styloïde cubitale : signe de la touche de piano
  • 21.
    Empatement du poignet+ MCP = déformation en dos de chameau Pieds : Arthrite + luxation des MTP = avant-pieds ronds Hallux valgus + quintus varus + orteils en griffe = avant-pieds triangulaires Affaissement de la voûte plantaire = pieds plats Limitation de la mobilité aux genoux, hanches(coxite), coudes et épaules Rachis cervical : arthrite occipitoatloïdienne et surtout atloïdoaxoïdienne qui peut se traduire par des douleurs cervicales hautes ou par une luxation atloïdoaxoïdienne Autres atteintes : manubriosternale, sternoclaviculaires Les ténosynovites sont pratiquement constantes à la phase d’état de la PR et peuvent se compliquer de ruptures tendineuses,
  • 22.
    Pouce en Z Déviationen coup de vent cubital
  • 23.
    Doigt en boutonnièreDoigt en col de signe Doigt en maillet Doigt en col de signe Doigt en boutonnière
  • 24.
    Déformation en dosde chameau Luxation antérieure du carpe
  • 25.
    Affaissement de lavoûte plantaire Avant pied triangulaire
  • 26.
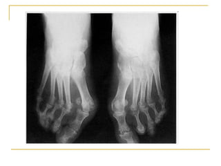
    Radiographie standard : lessignes caractéristiques de la PR sont rarement visibles avant 6 mois d’évolution -un épaississement des parties molles, -une augmentation de la transparence radiologique épiphysaire, l’« ostéoporose en bande » -érosions périarticulaires, puis -des géodes intraosseuses juxta-articulaires caractéristiques et secondairement -le pincement de l’interligne articulaire
  • 27.
  • 29.
  • 30.
    Vascularite rhumatoïde micro-infarctus digitauxpériunguéaux ulcères profonds livedo réticulaire purpura vasculaire nécroses digitales ou des orteils neuropathies périphériques Atteintes neuromusculaires Syndrome du canal carpien, atteinte cubitale Neuropathie périphérique Compression médullaire myalgies Manifestations hématologiques Anémie Adénopathies Syndrome de Felty : PR+SPM+leucopénie Manifestations pleuropulmonaires Infections +++ Pleurésie Fibrose pulmonaire Nodules rhumatoïdes
  • 31.
    Manifestations cardiaques Les troistuniques peuvent être atteintes La PR constitue un facteur de risque cardiovasculaire Atteinte oculaire et oto-rhino-laryngologique Sclérite, nodules des cordes vocales Atteinte rénale Iatrogène ou par amylose( protéinurie, syndrome néphrotique, IR) Amylose : AA secondaire Manifestations dermatologiques Phénomène de Raynaud Syndrome de Gougerot Sjögren Ostéoporose
  • 32.
    Evolution Vers l’aggravation etl’extension des atteintes articulaires Poussées successives entrecoupée de rémissions Le handicap fonctionnel engendré par la PR est variable Des manifestations extraarticulaires peuvent survenir au cours de l’évolution et parfois mettre en jeu le pronostic vital
  • 33.
    Evaluation  Score d’activitédisease activity score (DAS) ou DAS28 Nombre d’articulations douloureuses Nombre d’articulations gonflées VS, CRP EVA patient  Le retentissement fonctionnel le score health assessment questionnaire (HAQ)
  • 34.
    TRAITEMENT Information et éducationdu patient Traitements symptomatiques Antalgiques Anti-inflammatoires non stéroïdiens AINS classiques Les coxibs sont des inhibiteurs sélectifs de la cyclo-oxygénase (COX) de type 2 Pas d’effet inhibiteur sur la COX- 1 qui est responsable de l’effet antiagrégant plaquettaire et de l’effet délétère sur la muqueuse digestive Glucocorticoïdes Corticoïdes à durée de vie courte Prednisone, prednisolone, methylprednisolone 10 à 15 mg/j→→0,1mg/kg/j Régime hyposodé, calcium, vitamine D
  • 35.
    Traitements de fond« classiques » DMARD « disease modifying anti rheumatic drug » Médicament ayant un effet symptomatique retardé et théoriquement un effet sur l’évolution de la maladie, notamment sur la progression radiographique articulaire. l’évaluation clinique des traitements de fond de la PR est parfaitement codifiée et repose soit sur les critères de l’American College of Rheumatology (ACR) soit sur les critères européens de l’European League Against Rheumatism (EULAR) fondés sur le score d’activité DAS (Disease Activity Score) Doivent être maintenus tant qu’ils sont efficaces et bien tolérés
  • 36.
    Méthotrexate Le méthotrexate (MTX)est un antimétabolite. C’est un analogue de l’acide folique traitement de référence de la PR Mécanisme d’action : anti inflammatoire et immunosuppresseur Agit sur le métabolisme de l’acide folique, inhibe la dihydrofolate réductase=inhibe la synthèse des purines ++++synthèse de l’adénosine : puissant anti inflammatoire ↓ synthèse de IL1 et IL6 7,5 à 25 mg par semaine L’efficacité du produit est « rapide », apparaissant en 4 à 6 semaines, ►►Ralentissement de la progression radiographique Associer l’acide folique Contraception efficace+++ Pas de risque de stérilité chez la femme
  • 37.
    Traitement Effets indésirablesSurveillance Fréquence Méthotréxate Digestifs : nausées, vomissements, diarrhée, stomatite Cytolyse hépatique Hématologiques : leucopénie, thrombopénie, pancytopénie Respiratoires :+++++ pneumopathie immunoallergique Infections Tératogénicité +++ Oncogénicité=lymphomes NFS, TGO,TGP,PAL Urée, créatinine Albuminémie Rx thorax Séroogies hépatite B C vaccinations 8 jours →1mois
  • 38.
    léflunomide (Arava®) Immunomodulatrice Mécanisme d’action:immunomodulateur inhibition compétitive de la dihydrorotate-déshydrogénase, Une enzyme clé de la voie de la synthèse de novo des bases pyrimidiques. ralentit la prolifération des lymphocytes T impliqués dans la réaction autoimmune de la PR persiste pendant environ 2 ans 10 à 20mg/j Contraception efficace
  • 39.
    Traitement Effets indésirablesSurveillance Fréquence leflunomide Diarrhée, perte de poids, HTA Infections, cytolyse hépatique, pancytopénie, tératogénicité NFS, TGO,TGP,PAL Sérologies hépatite B C vaccinations 15 jours(6mois) → 2 mois
  • 40.
    Sulfasalazine Salazosulfapyridine ou salazopyrine®est constituée de la conjugaison d’un salicylé, l’acide 5-aminosalicylique et d’un sulfamide la sulfapyridine Mecanisme d’action : ↓IgA secrétoires au niveau du tube digestif inhibe les cellules NK ↓chimiotactisme des PN Effet en 3 à 4 mois 2 à 3g/j Maintient possible pendant la grossesse
  • 41.
    Traitement Effets indésirablesSurveillance Fréquence sulfasalazyne ++++Nausées, vomissements, douleurs abdominales, Céphalées, vertiges, prurit, éruption cutanée Leucopénie, thrombopénie Hémolyse si déficit en G6PD cytolyse hépatique ou cholestase Oligospermie hypersensibilité NFS, TGO,TGP,PAL Urée, créatinine 15 jours(3mois) → 1 mois(3mois)
  • 42.
    Antipaludéens de synthèse sulfated’hydroxychloroquine (Plaquenil®) comprimés à 200 mg. La posologie d’attaque conseillée est de 400 mg/ j le sulfate de chloroquine (Nivaquine®) comprimés à 100 mg : 200mg/j Mécanisme d’action : inhibent les enzymes lysosomiales et captent des radicaux libres. Inhibent le chimiotactisme et la phagocytose des polynucléaires et des monocytes ont aussi un effet immunosupresseur. Effet modeste, médicaments réservés aux formes les plus bénignes des PR ou aux rhumatismes inflammatoires indifférenciés. Réponse thérapeutique tardive, 4 à 6 mois de traitement. Pas d’effet sur la progression radiographique L’associer à un autre traitement de fond dans les PR érosives
  • 43.
    Traitement Effets indésirablesSurveillance Fréquence Antipaludéens de synthèse Rétinopathie +++++ anorexie, nausées vomissements, diarrhée, douleurs abdominales, troubles cutanés (rash divers), nerveux (insomnies, céphalées, vertiges, bourdonnement d’oreilles). Coloration brunâtre des faces d’extension des bras et des jambes, du cou,du visage et du lit des ongles. Une alopécie discrète Neuromyopathies Leucopénie, anémie NFS, ophtalmologique 6mois à 18mois
  • 44.
    Sels d’or utilisation devenuerare, réservés à certains cas particuliers par exemple lorsque les nouveaux traitements sont contre indiqués. Aurothiopropanol sulfonate de sodium (Allochrysine®) réponse thérapeutique tardive, rarement avant 3 à 4 mois de traitement 50mg en IM/semaine→dose 1,2 à 1,8g→100mg/mois Contraception efficace Inducteur de LES
  • 45.
    Traitement Effets indésirablesSurveillance Fréquence Sels d’or Prurit, éruption cutanée, Érythrodermie Agranulocytose, thrombopénie Protéinurie (glomérulonéphrite) Stomatite, hépatite, fibrose pulmonaire NFS, Urée, créatinine Bandelette urinaire avant chaque injection Tous les mois
  • 46.
    Ciclosporine PR sévère rebelleaux autres traitements Risque d’HTA et d’insuffisance rénale Autres médicaments immunosuppresseurs L’azathioprine (Imurel®) est prescrite à la posologie de 2 à 3 mg/ kg/ j le cyclophosphamide (Endoxan®) : 750 mg/m2 en perfusion i.v le chloraminophène (Chlorambucil®) réservés aux manifestations extra-articulaires de la PR réfractaire Effets secondaires : hématologiques, infectieux et oncogène Associations de traitements de fond Methotrexate + salazopyrine + plaquenil Methotrexate + leflunomide
  • 47.
    Traitements biologiques :biothérapies Anti-TNF alpha •Anticorps monoclonaux anti-TNFalpha -Infliximab (Remicade®) -Adalimumab (Humira) -Golimumab •récepteurs solubles du TNFalpha Etanercept (Enbrel®) Associé au methotrexate Risque infectieux et néoplasique Anakinra (Kineret®) est un antagoniste du récepteur de l’IL1 Abatacept (Orancia®) un inhibiteur des voies de costimulation (CD80/CD86-CD28) entre les cellules présentatrices de l’antigène et les lymphocytes T. Rituximab (Mabthera®) est un anticorps monoclonal inhibant spécifiquement le récepteur CD20 des lymphocytes B Tocilizumab (Roactemra®) anticorps monoclonal inhibant le récepteur de l’IL6.
  • 48.
    Traitements locaux -Ponction évacuatrice -Infiltrationcortisonique intra articulaire, asepsie rigoureuse++++ 3 infiltrations/articulation/année -Synoviorthèse :destruction de la synoviale malade par l’injection intra articulaire d’un radio isotope (yttrium 90,rhénium 196, erbium 169), ou d’un produit chimique (l’acide osmique) À un stade précoce Réeducation fonctionnelle ++++ Kinésithérapie, ergothérapie Appareillage Orthèse de repos et de fonction Aides techniques Chirurgie Ténosynovectomie, arthrodèse PTH, PTG Arthrodèse occipito-C2 (luxation C1-C2) Psychothérapie
  • 49.
    STRATEGIE THERAPEUTIQUE Polyarthrite active Methotrexate Leflunomide SulfasalazyneEchec Réponse inadéquate Associations thérapeutiques Biothérapie intolérance Contrôle étroit de l’activité et de la sévérité