Pancréatite aigue
Plan:
• Introduction
• Rappel anatomo-physiologique
• Physiopathologie
• Diagnostic positif
• Diagnostic étiologique
• Diagnostic différentiel
• Complications
• Traitement
• Conclusion
Introduction
• La pancréatite aiguë est l’inflammation aiguë du pancréas du à un processur
d’auto digestion de la glande par ses propres enzymes précoement activés.
• Elle s’installe en quelques heures, voire quelques jours et peut régresser
spontanément, dans 80 % des cas.
• C’est une pathologie assez fréquente, qui lorsqu’elle est déclarée, peut engager le
pronostique vital. On parle alors d’une urgence médico-chirurgicale
• Pronostique est sombre dans les formes sévère 10-50% de mortalité
Rappel anatomique
• Le pancréas est un organe profond
de l’appareil digestif, c’est une glande située
en sus-mésocolique et retro péritonéal,
allongé transversalement devant L1-L2,
en avant du plexus solaire qui comprend
quatre parties, une tête et un corps; séparés
par un Isthme et une queue.
Rappel anatomique
• Le canal de Wirsung:
Canal excréteur principal, parcourt la glande
de gauche à droite, rejoint le cholédoque
avant de se terminer dans l’ampoule de Vater
au niveau de la face interne de D2
• Le canal de Santorini:
Canal secondaire, plus grêle et uniquement
céphalique. Il s’abouche au dessus
de l’ampoule de Vater
Rappel physiologique
1-Le pancréas endocrine:
• L’insuline.
• Le glucagon.
• La somatostatine.
2-Le pancréas exocrine: le suc pancréatique
• Lipolytiques = Lipase.
• Glycolytiques = Amylase.
• Protéolytiques=trypsine
Le pancréas est une glande mixte
Physiopathologie
• Le pancréas fabrique des enzymes pour la digestion des aliments. Ces enzymes digestives
(trypsine, amylase, lipase, chymotrypsine, élastase, exopeptidases, etc.), sont synthétisées et
excrétées sous une forme inactivée. Elles ne sont actives qu’une fois parvenues dans le tube
digestif et vont « digérer » les différents nutriments.
• Au cours de la pancréatite aiguë, il existe une activation prématurée et inadaptée des
enzymes pancréatiques dans les canaux pancréatiques, au sein même de la glande. Ces
enzymes activées attaquent, « digèrent » la glande pancréatique elle-même et provoquent son
inflammation.
• Cette digestion peut soit s’étendre à la graisse située autour du pancréas et former des
coulées de nécrose de graisse, soit provoquer de la nécrose de la glande pancréatique (en
partie ou totalement) si l’inflammation est importante.
Diagnostique positif
Interrogatoire
• Lithiase vésiculaire connue
• Antécédents de coliques hépatiques
• Alcoolisme et tabagisme
• Prise médicamenteuse (jkbjhvtycftcc)
Examen physique
• Signes fonctionnels: la Douleur
Constante
D’apparition brutale
Après un repas abondant
Violente, permanente, angoissante
De siège épigastrique ou en barre dans les
hypochondres
Irradiation transfixiante dorsale ou scapulaire
 Soulagée par la position penchée en avant (
chien de
fusil)
Examen physique
• Signes fonctionnels: les vomissements
Fréquents
D’abord alimentaire
Puis bilieux
Examen physique
L’arret des matières et des gaz:
Inconstant
Iléus paralytique
La dyspnée:
Inconstant
Dans les formes graves
• Signes fonctionnels:
Examen physique
• Signes généraux: (s.d.gravité)
Signes de choc
Dyspnée
Oligoanurie,
Signes d’infection: fièvre
Signes neurologiques : confusion , agitations
Hémorragies digestives
Examen physique
• Signes physiques:
Inspection:
Météorisme abdominale.
Taches ecchymotiques lombaires (GRAY-TURNER)
ou periombilicales( signe de cullen) qui sont
péjoratives
Examen physique
• Signes physiques:
Palpation:
Douleur provoquée ou défense épigastrique,
Pas de contracture
Les touchers pelviens sont normaux.++
Douleur - Angle costo-vertebral gauche
MAYO-ROBSON
- Rebord costal gauche
MALLET-GUY
Lipasemie: 3 fois la normale, spécifique, un peu retardé, plus durable.
Amylasemie: 3 – 5 fois la normale, moins spécifique plus précoce , mais
négative après 48 h.Amylasurie: plus tardive, mais prolongée.
Proteine Creactive: pas de valeur diagnostique mais pronostique
Examens para cliniques
• La biologie:
Bilan hepatique :
-Les transaminases:etiologie biliaire
-elevation de la bilirubine:obstacle choledocien
Recherche de la lipase et amylase dans les liquides d’épanchements
:si élévation++ fistule
Autres examens : calcémie ; glycémie ;FNS ; gaz du sang ; urée
créatinine
Examens para cliniques
• La biologie:
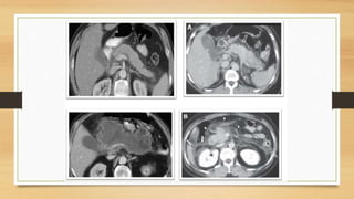
La TDM: c’est l’examen de référence. Elle devrait être effectuée au moins
48 heures après le début de douleurs, un examen trop précoce pouvant sous-
évaluer la gravité de la pancréatite. Une fois la pancréatite aiguë identifiée, la
TDM fait le diagnostic positif, élimine les diagnostics différentiels,
montre les complications potentielles, comme une nécrose du pancréas, ou
des collections nécrotiques.
Examens para cliniques
• La radiologie:
Classification de BALTHAZAR
- Grade A : pancréas normal
- Grade B : hypertrophie diffuse ou localisée du pancréas
- Grade C : Inflammation limitée au pancréas et à la graisse péri-
pancréatique.
- Grade D : collection péri-pancréatique unique (coulée de nécrose)
- Grade E : phlegmon ou collections multiples et/ou présence de gaz intra
ou péri-pancréatique
Examens para cliniques
• L’échographie abdominale:
souvent gênée par les gaz. Elle
montre
-Anomalies pancréatiques :
augmentation de la taille , aspect
hétérogène.
-Epanchement péritonéal,
-LV ,LVBP.
Diagnostic étiologique
• La lithiase biliaire : 40%.
• Obstruction du sphincter
• d'Oddi par une LVBP
Diagnostic étiologique
• Alcoolisme : 40%.
• en augmentant la viscosité du suc pancréatique
• formation de bouchons protéiques.
Diagnostique étiologique
• Métabolique: hypertriglycéridemie , hypercalcémie.
• Entérocolites inflammatoires: RCUH,CROHN
• Maladies systémiques : lupus , vascularites.
• Anomalies canalaires: pancréas divisum.(PA récidivante).
• Post traumatique: contusion abdominale.
• Idiopathique.
• Iatrogène: médicamenteuse (Imurel, furosémide, les tétracyclines, la
méthyldopa ) , post CPRE, post opératoire
• Infectieuse: bactérienne (micobactérie…), virale (CMV…), parasitaire (kyste hydatique…)
Diagnostic différentiel
• Infarctus du myocarde
• Rupture d’un anévrisme de l’aorte
• Infarctus mésentérique,
• Ulcère perforé (UGD),
• Péritonite,
• Occlusion Intestinale par stongulation,
• Appendicite,
• Diverticulite,
• Cholécystite ,
• Sigmoidite,
• pleuro pneumopathie….
Complications
 Infectieuse = surinfection de coulée de nécrose
pancréatique.
 Hémorragique = érosion vasculaire des vaisseaux de
contiguité.
 Thrombose = thrombose veineuse mésentérique.
 Pseudo kyste pancréatique.
 Perforation digestive due à la nécrose des méos
péritonite
 Pancréatite chronique et insuffisance pancréatique
• Loco régionales:
Complications
 Etat de choc septique / hémorragique
Détresse respiratoire
Insuffisance rénale aigue
Coagulopathie Intra Vasculaire Disséminée (CIVD)
Insuffisance hépatique aigue
Décès
• Générales:
Traitement
Traiter la douleur
Réanimer le malade et corriger le retentissement systémique
Traiter les complications notamment loco régionales
Eviter la récidive en traitant l’ étiologie
• Le but:
Traitement:
• Il n'existe pas de traitement spécifique des
pancréatites aiguës.
• Le traitement est symptomatique, adapté à la
gravité mais peut dans certains cas (origine biliaire
ou métabolique) comporter une part étiologique.
• Les principes thérapeutiques sont très différents
selon qu'il s'agit d'une pancréatite aiguë bénigne ou
sévère
Pancréatite aigue bénigne
• l'hospitalisation en unité simple :
• mise à jeun stricte
• perfusion de solutés hydro-électrolytiques afin de maintenir un équilibre correct ;
• antalgiques de niveau adapté (y compris si nécessaire, des morphiniques) et en quantité suffisante
pour soulager la douleur.
• Une sonde nasogastrique ne sera mise en place qu'en cas de vomissements importants et incoercibles
• Une surveillance quotidienne sera instaurée afin de vérifier l'absence d'évolution vers une forme plus
sévère.
• Une réalimentation orale classique sera reprise après disparition des douleurs, des vomissements et
reprise du transit. Ceci survient généralement dans les 10 jours suivant le début des symptômes. Le
bilan étiologique sera fait en parallèle et les mesures adaptées seront prises
Pancréatite aigue sévère
• L'hospitalisation en unité de soins continus si le malade est à risque
d'évolution sévère (terrain, CRP > 150 mg/L, score de Ranson ≥ 3,
score de Balthazar ≥ 4) ou en réanimation (en présence de SIRS ou
défaillances viscérales) s'impose
• mise à jeun strict jusqu’à disparition de la douleur ;
• antalgiques mineurs et majeurs
• pose d'une sonde nasogastrique (en cas de vomissements) ;
Pancréatite aigue sévère
• pose d'un cathéter central souvent nécessaire à la fois pour
monitorer la pression veineuse centrale et pour perfuser des solutés
hydroélectrolytiques .
• des inhibiteurs de la pompe à protons seront prescrits pour
prévenir les ulcérations de stress.
• Il n'y a pas d'indication de mettre en place une antibiothérapie
préventive de l'infection de la nécrose
Pancréatite aigue sévère
• Une nutrition artificielle doit être mise en place en raison de la durée prévisible du jeûne et de la situation de
stress métabolique majeur. Si l'iléus réflexe n'est pas au premier plan, la nutrition doit être mise en place le
plus tôt possible par voie entérale par la mise en place d'une sonde nasogastrique
Les défaillances viscérales seront traitées par :
-remplissage, drogues vasoactives,
- oxygénothérapie voire ventilation assistée,
- épuration extrarénale
La surveillance sera renforcée : clinique pluriquotidienne ; biologique :
créatinine, SpO2, hémogramme quotidien, CRP bihebdomadaire ;
radiologique : TDM tous les 10 à 15 jours.
Conclusion:
• La pancréatite aigue est une pathologique assez fréquente
• Dominée par deux étiologies principales: la lithiase vésiculaire et l’alcoolisme
• C’est une urgence médico-chirurgicale
• Le diagnostique se base sur trois critères: la douleur typique, l’élévation de la
lipasémie et la TDM
• La prise en charge dépends de la sévérité des lésions.
• Le traitement est basée sur la mise à jeun du patient, l’administration d’antalgique à
fortes doses, le traitement de l’étiologie.

Pancréatite aigue

  • 1.
  • 2.
    Plan: • Introduction • Rappelanatomo-physiologique • Physiopathologie • Diagnostic positif • Diagnostic étiologique • Diagnostic différentiel • Complications • Traitement • Conclusion
  • 3.
    Introduction • La pancréatiteaiguë est l’inflammation aiguë du pancréas du à un processur d’auto digestion de la glande par ses propres enzymes précoement activés. • Elle s’installe en quelques heures, voire quelques jours et peut régresser spontanément, dans 80 % des cas. • C’est une pathologie assez fréquente, qui lorsqu’elle est déclarée, peut engager le pronostique vital. On parle alors d’une urgence médico-chirurgicale • Pronostique est sombre dans les formes sévère 10-50% de mortalité
  • 4.
    Rappel anatomique • Lepancréas est un organe profond de l’appareil digestif, c’est une glande située en sus-mésocolique et retro péritonéal, allongé transversalement devant L1-L2, en avant du plexus solaire qui comprend quatre parties, une tête et un corps; séparés par un Isthme et une queue.
  • 5.
    Rappel anatomique • Lecanal de Wirsung: Canal excréteur principal, parcourt la glande de gauche à droite, rejoint le cholédoque avant de se terminer dans l’ampoule de Vater au niveau de la face interne de D2 • Le canal de Santorini: Canal secondaire, plus grêle et uniquement céphalique. Il s’abouche au dessus de l’ampoule de Vater
  • 6.
    Rappel physiologique 1-Le pancréasendocrine: • L’insuline. • Le glucagon. • La somatostatine. 2-Le pancréas exocrine: le suc pancréatique • Lipolytiques = Lipase. • Glycolytiques = Amylase. • Protéolytiques=trypsine Le pancréas est une glande mixte
  • 8.
    Physiopathologie • Le pancréasfabrique des enzymes pour la digestion des aliments. Ces enzymes digestives (trypsine, amylase, lipase, chymotrypsine, élastase, exopeptidases, etc.), sont synthétisées et excrétées sous une forme inactivée. Elles ne sont actives qu’une fois parvenues dans le tube digestif et vont « digérer » les différents nutriments. • Au cours de la pancréatite aiguë, il existe une activation prématurée et inadaptée des enzymes pancréatiques dans les canaux pancréatiques, au sein même de la glande. Ces enzymes activées attaquent, « digèrent » la glande pancréatique elle-même et provoquent son inflammation. • Cette digestion peut soit s’étendre à la graisse située autour du pancréas et former des coulées de nécrose de graisse, soit provoquer de la nécrose de la glande pancréatique (en partie ou totalement) si l’inflammation est importante.
  • 10.
  • 11.
    Interrogatoire • Lithiase vésiculaireconnue • Antécédents de coliques hépatiques • Alcoolisme et tabagisme • Prise médicamenteuse (jkbjhvtycftcc)
  • 12.
    Examen physique • Signesfonctionnels: la Douleur Constante D’apparition brutale Après un repas abondant Violente, permanente, angoissante De siège épigastrique ou en barre dans les hypochondres Irradiation transfixiante dorsale ou scapulaire  Soulagée par la position penchée en avant ( chien de fusil)
  • 14.
    Examen physique • Signesfonctionnels: les vomissements Fréquents D’abord alimentaire Puis bilieux
  • 15.
    Examen physique L’arret desmatières et des gaz: Inconstant Iléus paralytique La dyspnée: Inconstant Dans les formes graves • Signes fonctionnels:
  • 16.
    Examen physique • Signesgénéraux: (s.d.gravité) Signes de choc Dyspnée Oligoanurie, Signes d’infection: fièvre Signes neurologiques : confusion , agitations Hémorragies digestives
  • 17.
    Examen physique • Signesphysiques: Inspection: Météorisme abdominale. Taches ecchymotiques lombaires (GRAY-TURNER) ou periombilicales( signe de cullen) qui sont péjoratives
  • 18.
    Examen physique • Signesphysiques: Palpation: Douleur provoquée ou défense épigastrique, Pas de contracture Les touchers pelviens sont normaux.++ Douleur - Angle costo-vertebral gauche MAYO-ROBSON - Rebord costal gauche MALLET-GUY
  • 19.
    Lipasemie: 3 foisla normale, spécifique, un peu retardé, plus durable. Amylasemie: 3 – 5 fois la normale, moins spécifique plus précoce , mais négative après 48 h.Amylasurie: plus tardive, mais prolongée. Proteine Creactive: pas de valeur diagnostique mais pronostique Examens para cliniques • La biologie:
  • 20.
    Bilan hepatique : -Lestransaminases:etiologie biliaire -elevation de la bilirubine:obstacle choledocien Recherche de la lipase et amylase dans les liquides d’épanchements :si élévation++ fistule Autres examens : calcémie ; glycémie ;FNS ; gaz du sang ; urée créatinine Examens para cliniques • La biologie:
  • 21.
    La TDM: c’estl’examen de référence. Elle devrait être effectuée au moins 48 heures après le début de douleurs, un examen trop précoce pouvant sous- évaluer la gravité de la pancréatite. Une fois la pancréatite aiguë identifiée, la TDM fait le diagnostic positif, élimine les diagnostics différentiels, montre les complications potentielles, comme une nécrose du pancréas, ou des collections nécrotiques. Examens para cliniques • La radiologie:
  • 23.
    Classification de BALTHAZAR -Grade A : pancréas normal - Grade B : hypertrophie diffuse ou localisée du pancréas - Grade C : Inflammation limitée au pancréas et à la graisse péri- pancréatique. - Grade D : collection péri-pancréatique unique (coulée de nécrose) - Grade E : phlegmon ou collections multiples et/ou présence de gaz intra ou péri-pancréatique
  • 24.
    Examens para cliniques •L’échographie abdominale: souvent gênée par les gaz. Elle montre -Anomalies pancréatiques : augmentation de la taille , aspect hétérogène. -Epanchement péritonéal, -LV ,LVBP.
  • 25.
    Diagnostic étiologique • Lalithiase biliaire : 40%. • Obstruction du sphincter • d'Oddi par une LVBP
  • 26.
    Diagnostic étiologique • Alcoolisme: 40%. • en augmentant la viscosité du suc pancréatique • formation de bouchons protéiques.
  • 27.
    Diagnostique étiologique • Métabolique:hypertriglycéridemie , hypercalcémie. • Entérocolites inflammatoires: RCUH,CROHN • Maladies systémiques : lupus , vascularites. • Anomalies canalaires: pancréas divisum.(PA récidivante). • Post traumatique: contusion abdominale. • Idiopathique. • Iatrogène: médicamenteuse (Imurel, furosémide, les tétracyclines, la méthyldopa ) , post CPRE, post opératoire • Infectieuse: bactérienne (micobactérie…), virale (CMV…), parasitaire (kyste hydatique…)
  • 28.
    Diagnostic différentiel • Infarctusdu myocarde • Rupture d’un anévrisme de l’aorte • Infarctus mésentérique, • Ulcère perforé (UGD), • Péritonite, • Occlusion Intestinale par stongulation, • Appendicite, • Diverticulite, • Cholécystite , • Sigmoidite, • pleuro pneumopathie….
  • 29.
    Complications  Infectieuse =surinfection de coulée de nécrose pancréatique.  Hémorragique = érosion vasculaire des vaisseaux de contiguité.  Thrombose = thrombose veineuse mésentérique.  Pseudo kyste pancréatique.  Perforation digestive due à la nécrose des méos péritonite  Pancréatite chronique et insuffisance pancréatique • Loco régionales:
  • 30.
    Complications  Etat dechoc septique / hémorragique Détresse respiratoire Insuffisance rénale aigue Coagulopathie Intra Vasculaire Disséminée (CIVD) Insuffisance hépatique aigue Décès • Générales:
  • 31.
    Traitement Traiter la douleur Réanimerle malade et corriger le retentissement systémique Traiter les complications notamment loco régionales Eviter la récidive en traitant l’ étiologie • Le but:
  • 32.
    Traitement: • Il n'existepas de traitement spécifique des pancréatites aiguës. • Le traitement est symptomatique, adapté à la gravité mais peut dans certains cas (origine biliaire ou métabolique) comporter une part étiologique. • Les principes thérapeutiques sont très différents selon qu'il s'agit d'une pancréatite aiguë bénigne ou sévère
  • 33.
    Pancréatite aigue bénigne •l'hospitalisation en unité simple : • mise à jeun stricte • perfusion de solutés hydro-électrolytiques afin de maintenir un équilibre correct ; • antalgiques de niveau adapté (y compris si nécessaire, des morphiniques) et en quantité suffisante pour soulager la douleur. • Une sonde nasogastrique ne sera mise en place qu'en cas de vomissements importants et incoercibles • Une surveillance quotidienne sera instaurée afin de vérifier l'absence d'évolution vers une forme plus sévère. • Une réalimentation orale classique sera reprise après disparition des douleurs, des vomissements et reprise du transit. Ceci survient généralement dans les 10 jours suivant le début des symptômes. Le bilan étiologique sera fait en parallèle et les mesures adaptées seront prises
  • 34.
    Pancréatite aigue sévère •L'hospitalisation en unité de soins continus si le malade est à risque d'évolution sévère (terrain, CRP > 150 mg/L, score de Ranson ≥ 3, score de Balthazar ≥ 4) ou en réanimation (en présence de SIRS ou défaillances viscérales) s'impose • mise à jeun strict jusqu’à disparition de la douleur ; • antalgiques mineurs et majeurs • pose d'une sonde nasogastrique (en cas de vomissements) ;
  • 35.
    Pancréatite aigue sévère •pose d'un cathéter central souvent nécessaire à la fois pour monitorer la pression veineuse centrale et pour perfuser des solutés hydroélectrolytiques . • des inhibiteurs de la pompe à protons seront prescrits pour prévenir les ulcérations de stress. • Il n'y a pas d'indication de mettre en place une antibiothérapie préventive de l'infection de la nécrose
  • 36.
    Pancréatite aigue sévère •Une nutrition artificielle doit être mise en place en raison de la durée prévisible du jeûne et de la situation de stress métabolique majeur. Si l'iléus réflexe n'est pas au premier plan, la nutrition doit être mise en place le plus tôt possible par voie entérale par la mise en place d'une sonde nasogastrique Les défaillances viscérales seront traitées par : -remplissage, drogues vasoactives, - oxygénothérapie voire ventilation assistée, - épuration extrarénale La surveillance sera renforcée : clinique pluriquotidienne ; biologique : créatinine, SpO2, hémogramme quotidien, CRP bihebdomadaire ; radiologique : TDM tous les 10 à 15 jours.
  • 37.
    Conclusion: • La pancréatiteaigue est une pathologique assez fréquente • Dominée par deux étiologies principales: la lithiase vésiculaire et l’alcoolisme • C’est une urgence médico-chirurgicale • Le diagnostique se base sur trois critères: la douleur typique, l’élévation de la lipasémie et la TDM • La prise en charge dépends de la sévérité des lésions. • Le traitement est basée sur la mise à jeun du patient, l’administration d’antalgique à fortes doses, le traitement de l’étiologie.

Notes de l'éditeur