PERITONITE
              DEFINITION

• Inflammation aigue ou chronique du
  péritoine
• Localisées (abcès intra-péritonéaux et abcès
  sous-phréniques) ou Diffuses
• Primitives ou secondaires
SYSTEME DE DEFENSE DU
            PERITOINE

• Membrane dialysante semi perméable
• Secrétion de liquides à pouvoir bactéricide
• Cloisonnement de la cavité péritonéale
• Distribution intra-péritonéale des épanchements
• Action du grand épiploon (ainsi que mésentère et
  mésocolon)
• Résorption des petits foyers
• Evacuation des collections
• Augmentation massive des défenses cellulaires et
  tumorales
PERITONITE
PERITONITES SECONDAIRES “CHIRURGICALES”
  (99%)
          1) Péritonites aigues diffuses
                  Comment faire le diagostic ?
                  Quelles sont les formes cliniques ?
                  Diagnostic différentiel ?
                  Quelles sont les causes des péritonites?
          2) Péritonites aigues localisées et abcès sous phréniques
          3) Péritonites postopératoires


PERITONITES PRIMITIVES MEDICALES : 1%
PERITONITE AIGUE DIFFUSE (PAD)
                  PRINCIPALES ETIOLOGIES

• DIGESTIVES : 99% des PAD
      PERFORATIONS DIGESTIVES :
 - Perforation duodénale (ulcère)
 - Perforations gastriques (ulcère, cancer) OESO ABDO RECTUM
 - Perforations coliques (cancer, sigmoidite)
 - Perforations du grêle (ulcère, tumeur, contusion)
      PERITONITES APPENDICULAIRES
      PERITONITES BILIAIRES ET PANCREATIQUES

• AUTRES : PERITONITES GYNECOLOGIQUES...
PERITONITES AIGUES

ETIOLOGIES LES PLUS FREQUENTES :

 ! Perforation d’ulcère duodénal
 ! Péritonite appendiculaire
 ! Perforation colique
 ! Perforation du grêle
COMMENT FAIRE LE DIAGNOSTIC?
            SIGNES FONCTIONNELS ET GENERAUX
                       VARIABLES
                 DOULEURS ABDOMINALES AIGUES:
   - pas de caractère spécifique sauf peut-être
         ! violence au début (en faveur d’une perforation)
         ! localisées puis diffuses
         ! caractère continu
   - vomissements, nausées, hoquet +/-
   - arrêt des matières et des gaz
         variable, pas d’intérêt capital pour le diagnostic parfois
         remplacé par une diarrhée
   - signes généraux
         Perfo. Duo                  App.            Diverticule colon
T°       normale                     38-39°                   40°
Pouls       80                        100                     120°
   - Agitation : péritonite biliaire postopératoire
SYNDROME DE PERITONITE AIGUE
     DIFFUSE D’ORIGINE DIGESTIVE
- Inspection :       Météorisme diminution respiration
                     abdominale
- Palpation :        Défense (diffuse)ou contracture+++
                     Douleur à la décompression
                           (BLUMBERG)++++
                      Hyperesthésie cutanée
- Percussion :        recherched’un pneumopéritoine clinique
   (en cas de                        perforation), tympanisme,
                                     matité des flancs
- Auscultation :      Bruits intestinaux diminués ou abolis
-                Douleurs aux touchers pelviens+++
COMMENT FAIRE LE DIAGNOSTIC ?
PERITONITES AIGUES DIFFUSES PAR
         PERFORATION

  1)   Brutalite du début
       SG variables selon l’organe perforé
  2) EXAMEN CLINIQUE +++
       Pneumopéritoine clinique(PNO)
  (Disparition de la matité pré hépatique)
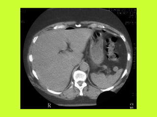
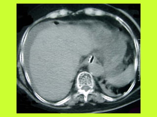
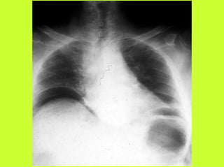
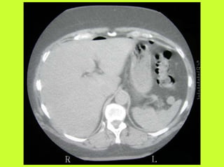
  3) RADIO (PNO)
RADIOGRAPHIES
             ABDOMEN SP -scanner

PNEUMOPERITOINE SUR SUJET DEBOUT
  " Croissant gazeux sous diaphragmatique
  " Disparition du niveau hydroaérique gastrique
PNEUMOPERITOINE SUR SUJET COUCHE
   " Visibilité du ligament triangulaire du foie
   " Visibilité anormale des parois intestinales
   " Image aérique pré-hépatique
   "Pneumatisation de MORRISSON
       (cul de sac inter-hépato-rénal)
AUTRES EXAMENS
   "TOGD aux hydrosolubles?
   " Echo, scanner
   " Coelioscopie ?
   " Pas de lavement colique, pas de fibroscppie, pas de coloscopie, pas
   d’IRM
EXAMENS en cas de
 PERITONITE AIGUE DIFFUSE

PAS D’ENDOSCOPIE ou

D’ OPACIFICATION DIGESTIVE
en cas de

SUSPICION de PERITONITE par
PERFORATION DIGESTIVE
SYNROME DE PERITONITE AIGUE DIFFUSE
      PAR PERFORATION d’ un ULCERE
              DUODENAL(1)

! Antécédents d’ulcére duodénal-trts :AINS corticoides
! Début brutal : siége épigastrique           FID
! Douleur violente, intense, # en inspiration profonde,
  continue, localisée puis vite diffuse
! Vomissement, AMG inconstants
! Paleur, respiration rapide, pouls     , fièvre absente au
  début (6 premiéres heures)
SYNROME DE PERITONITE AIGUE DIFFUSE
   PAR PERFORATION d’ un ULCERE
           DUODENAL(2)

! Inspection : météorismes, $ respiration
  abdominale
! Palpation, défense ou contracture
     Douleur à la décompression (BLUMBERG)
     Hyperesthésie cutanée
! Percussion :
     - pneumopéritoine clinique, tympanisme
     - matité des flancs
! Auscultation : bruits intestinaux $ ou abolis
! Douleurs aux touchers pelviens
PERITONITES PAR PERFORATION
           COLIQUE

! Gravissime
! Péritonite stercorale
! Douleurs abdominales diffuses
! Choc toxi-infectieux - T°39°
! Contracture ou métérorisme
! ASP, pneumopéritoine important
PERFORATIONS COLIQUES

- Sigmoidite dverticulaire+++
- Cancer colique+++
- Colites aigues (colectasies)++
- Autres : fécalome, volvulus, hernie
  étranglée
- Perforations instrumentales (rectoscopie,
  coloscopie, LB)
- Perforations en apparence idiopathiques
PERITONITE APPENDICULAIRE

I - PERITONITE D’EMBLEE GENERALISEE



        Sans prodromes: douleurs FID,T°...



1 - Péritonite franche aigue purulente
2 - Péritonite putride (par perforation d’une appendicite gangréneuse)
“Septicémie péritonéale”
PERITONITE APPENDICULAIRE

II - PERITONITE AIGUE
      SECONDAIREMENT GENERALISEE
           1 - La péritonite progressive
(progressivement généralisée) (Appendicite
%péritonite (par diffusion)
PERITONITE APPENDICULAIRE
    II - PERITONITE AIGUE SECONDAIREMENT
    GENERALISEE
2 - La péritonite en deux temps
                  - Accalmie traitresse
                  - Reprise des symptômes (malgré le
traitement (glace etc…) ou à cause du traitement
(lavements purgatifs)
      - péritonite spontanée
     - péritonite provoquée (lavement, purge, reprise
alimentation, examen brutal)
PERITONITE APPENDICULAIRE

  II - PERITONITE AIGUE SECONDAIREMENT
  GENERALISEE

3 - La péritonite en 3 temps
              Appendicite %abcès
%péritonite chute de la température lors
de la rupture de l’abcès
Evolutions possibles de l’appendicite
PERFORATIONS
                 JEJUNO-ILEALES
- ANSE SPHACELEE
   - Entérite aigue nécrosante
   - Infarctus mésentérique
   - Strangulations (volvulus ou bride)
- TRAUMATISMES : Perforation méconnue (plaie ou contusion)
- LESIONS INFLAMMATOIRES
   - Tuberculose, Crohn
   - Iléite non spécifique
   - Typhoide
- TYPHOIDE
- HODGKIN, LYMPHOME NON HODGKINIEN
- AUTRES : péritonite noueuse, diverticules,
              Comprimés de KCL, radiolésions, tumeurs du grêle
PERITONITES BILIAIRES -
           CLINIQUE


! Douleurs initiales sous costales droites
! Agitation (post-op.)
! Irritation péritonéale (douleurs à la
 décompression)
! Douleurs abdominales diffuses,
 maximum dans le flanc droit
PERITONITE AIGUE DIFFUSE
       ASTHENIQUE
- Terrain +++ : vieillard, AEG
- Début peu brutal
- Douleurs modérées, absentes ou mal exprimées
- Pas de contracture
- Pouls très accéléré par rapport à la température
- Diarrhée réactionnelle
- Ponction péritonéale
- Opacification par produits hydrosolubles
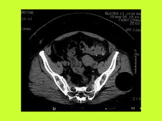
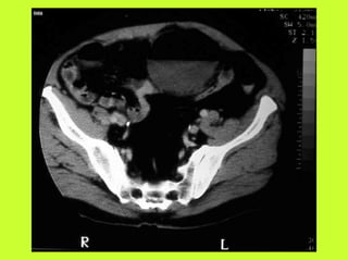
PERITONITES LOCALISEES
1) PERITONITES AIGUES LOCALISEES (SOUS
 MESOCOLIQUES)
     - FID appendicite, Crohn
     - FIG : sigmoidite
     - PELVIS : causes gynécologiques,
                   appendicite
2) ABCES SOUS-PHRENIQUES (susmésocoliques)
     - Perforation d’ulcère duodénal
     - Pancréatite
TABLEAU DE SUPPURATION
          PROFONDE
- AEG, T° élevée, oscillante

- Faciès : teint terreux, yeux excavés

- Insomnie

- Douleurs abdominales sourdes permanentes

- Hyperleucocytose, VS augmentée
DIAGNOSTIC DIFFERENTIEL
A - DU FAIT DE LA DOULEUR
        & AFFECTIONS MEDICALES qui ne nécessitent pas de laparotomie
   " coliques néphrétiques
   " coliques hépatiques
   " angor abdominal
   " coliques de plomb (coliques saturnines)
   " crises gastriques du tabès
   " intoxication aigue
   " crises solaires
   " poussée aigue ulcéreuse - gastrite aigue
   " pneumopathies des bases pulmonaires
   " insuffisant respiratoire aigue (hépatalgies, bas débit : dilatation gastrique aigue,
   ischémie mésentérique)
   " syndrôme des neuroleptiques (agitation + douleur abdominale++++
   vomissements + hyperthermie à 40. Il n’existe pas de contracture, pas d’irritation
   péritonéale)
DIAGNOSTIC DIFFERENTIEL
A - DU FAIT DE LA DOULEUR
        % AFFECTIONS CHIRURGICALES
Il ne s’agit pas de péritonite mais cela ne signifie pas qu’il
   ne faut pas les opérer ; ces tableaux peuvent
   représenter une indication à une laparotomie :
   " pancréatite aigue
   " infarctus mésentérique
   " torsion aigue d’organes pelviens
   " occlusion intestinale
   " cholécystite
   " hémopéritoine
  " grossesse extra-utérine
DIAGNOSTIC DIFFERENTIEL
B - DU FAIT DE LA CONTRACTURE
   " fracture du rachis, du bassin, des cotes
   " hématome rétropéritonéal
   " pathologie des muscles grands droits : hématome,
   myosite abcès rupture
      EN CAS DE DOUTE :
  " pas d’antalgiques
  " pas de glace sur le ventre
  " pas d’attitude attentiste

% INDICATION OPERATOIRE COELIO OU LAPARO
PERITONITE PRIMITIVE -
            CLINIQUE
- TABLEAU DE PERITONITE AIGUE
(ou flore mixte à la ponction)
% urgence chirurgicale % laparotomie inutile

- TABLEAU MOINS TYPIQUE
   - Contexte
   - Pas de pneumopéritoine
   - Ponction flore MONOMORPHE
PERITONITE PRIMITIVE
   TRAITEMENT - CONDUITE A TENIR
- FLORE MONOMORPHE
     - traitement médical seul
             - Pneumocoque
             - Autres : Ampicilline
- EN CAS DE FLORE MIXTE
     - laparotomie exploratrice
     + association d’une pénicilline et du
             Métronidazole
- PERITONITE TUBERCULEUSE
     - Traitement triple
LES PERITONITES PRIMITIVES
MECANISMES :
  - contamination du péritoine par voie hématogène au cours d’une
  bactériémie asymptomatique
  - passage spontané transmural de bactéries de la lumière intestinale vers
  le péritoine
  - ponction du péritoine, infection de dehors en dedans
FACTEURS ASSOCIES
  - cirrhose, HTP, ascite
  - déficit immunitaire
  - traitement immuno-suppresseur
ETIOLOGIES
  - Ascite du cirrhotique
  - Tuberculose péritonéale
  - Pneumocoque
  - Typhoide
  - Amibiase
PERITONITE PRIMITIVE -
               CLINIQUE
- ASCITE INFECTEE DU CIRRHOTIQUE
      - Température , douleurs abdominales
      - Décompensation
              - < 300 leucocytes/mm3
      - Ponction
              - +< 500 leucocytes/mm3
- PERITONITE TUBERCULEUSE
      - Ascite infectée chez un non cirrhotique
      - Lymphocytose - culture - laparoscopie
      - +/- biopsie hépatique
PERITONITE PRIMITIVE -
           CLINIQUE
PONCTION ASCITE

 - numération formule
     leucocyte +% de polynucléaires
 - chimie, protides, glucose, amylase, lactates
 - cytologie : cellues néoplasiques
 - culture aéro, anaérobie + antibiogramme
EVOLUTION SANS TRAITEMENT
       LA PERITONITE EVOLUEE

 " Occlusion fébrile
 " Défense abdominale
 " Altération de l’état général

LA CONTRACTURE PEUT MANQUER A CE
 STADE

 " Choc T.I., anurie, décès
PRINCIPES DE TRAITEMENT D’UNE
         PERITONITE (1)
I - REANIMATION
   A . Pour combattre l’hypovolémie et le choc et
   maintenir une oxygénation tissulaire correcte
   B. Traiter l’ensemencement bactérien non éliminé
   par la chirurgie, avec des antibiotiques
   C. Traiter les insuffisances viscérales
   D. Apporter un complément nutritionnel adéquat
PRINCIPES DE TRAITEMENT D’UNE
         PERITONITE (2)
II - TRAITEMENT CHIRURGICAL
   PRINCIPE I (REPARATION) : contrôle de la source
   d’infection
   PRINCIPE 2 (TOILETTE) : évacuer l’inoculation des
   bactéries, le pus et par la toilette péritonéale et autres
   méthodes
   PRINCIPE 3 (DRAINAGE) : drainage des différents
   compartements intra-abdominaux
   PRINCIPE 4 (PREVENTION) : prévenir et traiter les
   éventuelles infections persistantes ou les récidives
   infectieuses (re-laparotomie systématique,
   laparostomie…)
PERITONITES PAR PERFORATIONS
           COLIQUES
CANCER COLORECTAL
" colectomie segmentaire avec colostomie (pas de
   rétablissement de la continuité) BOUILLY VOLKMANN
   (2) ou HARTMANN (1)
" perforation diastatique
        Caecostomie + résection colique
SIGMOIDITE DIVERTICULAIRE
        " colostomie d’amont
ou
        " extériorisation de la perforation
ou
        " colectomie type HARTMANN
PERITONITE PAR PERFORATION
          D’ULCERE DUODENAL (2)
TRAITEMENT
  1 NON CHIRURGICAL DANS CERTAINES
  CONDITIONS
      - aspiration (méthode de TAYLOR)
      - à distance d’un repas
      - moins de 6 heures après la perforation
      - surveillance en milieu chirurgical
      - poursuivi si après 6 heures : $ $ des SF
      - AB, réanimation IV, diète stricte
  2 CHIRURGICAL (coelio ou laparo)
      - suture de la perforation
      - parfois traitement radical de l’ulcère : vagotomie
  ou gastrectomie
PERITONITES EXPERIMENTALES
- PHASE INITIALE :
     - péritonite diffuse
     - aérobie (E. Coli)

- PHASE SECONDAIRE :
     - abcédation localisée
     - anaérobie (bactéroides fragilis)
     - Métronidazole
PERITONITE PAR PERFORATION
      D’ULCERE DUODENAL (1)



Ulcère de la face ANTERIEURE du bulbe (9/10)
  - Douleur à début horaire, épigastrique
  - Douleur provoquée, défense voire contracture
  hypochondre droit, flanc droit, FID
  - Peu ou pas de vomissement
  - Pas d’hyperthermie (12 premières heures)
  - Pneumopéritoine clinique et/ou RADIO (50%)
QUELLES SONT LES AUTRES FORMES
     CLINIQUES DE PERITONITES ?
Toxique (SG choc)
Gangréneuses (Douleurs = SG)
Cholériforme (diarrhée)
                               pelvienne
  à expression                 thoracique
                               hémopéritoine
                               herniaire
  Néonatale
  Femme enceinte
  Vieillard
  Sida
I - PERFORATIONS
        GASTRO-DUODENALES


- Ulcère duodénal
- Ulcère gastrique
- Cancer gastrique
- Ulcère peptique
TRAITEMENT CHIRURGICAL (1)
         PERITONITES
PRINCIPE 1 :

 appendicectomie, omentectomie, suture d’une
 perforation d’ulcère ou gastrique, exérèse d’un
 cancer gastrique ou d’un cancer colique ou d’une
 diverticulite perforée, pas d’anastomose en milieu
 infecté
TRAITEMENT CHIRURGICAL (2)
         PERITONITES

PRINCIPE 2
 Toilette péritonéale après prélèvement bactério,
 aspiration du pus, pas d’évidence sur les
 différentes séries de diminution de mortallité ou
 des complications septiques postopératoires par
 les lavages intra-abdominaux chez les patients
 bénéficiant d’une antibiothérapie systémique, pas
 d’avantage prouvé aux lavages avec antibiotiques
 intra-péritonéaux (effets toxiques)
TRAITEMENT CHIRURGICAL (3)
         PERITONITES

PRINCIPE 3

 pas d’avantage à l’instillation intra-péritonéale
 d’Héparine, pas d’avantage au large débridement
 intra-abdominal (saignements diffus), pas
 d’avantage évident au lavage péritonéal
 postopératoire
OBSERVATION
              Mr B….., 49 ans
  - Anorexie - Epigastralgies - Amaigrissement -
  Dysphagie ?
  - Ethylisme - tabagisme

J0 : 11 h : endoscopie, gastroduodénite
     13 h : choc toxi-infectieux, hypothermie,
             collapsus, oligurie, défense abdo.
J1 : 8 h : tableau idem - 2ème choc
     10 h : laparotomie : péritonite primitive
              hémoculture positive : entérocoque
TRAITEMENT CHIRURGICAL (4)
           PERITONITES
PRINCIPE 4

  Laparostomie ou re-laparotomie systématique des
  années 80 non maintenue actuellement. Une étude
  randomisée multicentrique a remis récemment en
  question l’intérêt des drainages et des re-laparotomies
  Le principe essentiel est la qualité du traitement du
  premier geste opératoire
CONDUITE A TENIR DES ABCES INTRA
  ABDOMINAUX : beaucoup moins de re-laparotomies,
  ponction et drainage percutanés +++
FORMES CLINIQUES
           PARTICULIERES
- Cholériforme : vieillard, diarrhée
- Toxique :
       - enfant
       - altération état général
       - douleurs T° +/- absentes
- Gangréneuse :
       - douleurs atroces
       - AEG
       - Contractures
       - Diarrhée fétide
PERITONITE APPENDICULAIRE
I - PERITONITE D’EMBLEE GENERALISEE
             1 - Péritonite franche aigue purulente
             2 - Péritonite putride (par perforation d’une appendicite gangréneuse)
     “Septicémie péritonéale”
II - PERITONITE AIGUE SECONDAIREMENT GENERALISEE
             1 - La péritonite progressive (progressivement généralisée) (Appendicite
     %péritonite (par diffusion)
             2 - La péritonite en deux temps
                         - Accalmie traitresse
                         - Reprise des symptômes (malgré le traitement (glace etc…) ou à
     cause du traitement (lavements purgatifs)
     - péritonite spontanée
     - péritonite provoquée (lavement, purge, reprise alimentation, examen brutal)
             3 - La péritonite en 3 temps
                         Appendicite %abcès %péritonite chute de la température lors de la
     rupture de l’abcès
C’est pas l’accalmie qui est traitresse, c’est le défaut d’examen du médecin qui est coupable
PERITONITE AIGUE DIFFUSE
   D’ORIGINE DIGESTIVE

Représentent 99% des péritonites aigues diffuses
  CONCERNE : estomac, duodénum,grêle, colon, rectum
  (gravité croissante)
  EXCLUE : œsophage, abdominal, voies biliaires,
  rectum sous péritonéal, les péritonites postopértoires
  COMPREND :les perforations véritables ulcère
  gastrique ou duodénal) et les diffusions (appendicite)
  SONT DE GRAVITE CROISSANTE SELON :
       - l’épanchement : bilio-gastrique, purulent,
  stercoral
V A H E D I  Lesions

V A H E D I Lesions

  • 1.
    PERITONITE DEFINITION • Inflammation aigue ou chronique du péritoine • Localisées (abcès intra-péritonéaux et abcès sous-phréniques) ou Diffuses • Primitives ou secondaires
  • 2.
    SYSTEME DE DEFENSEDU PERITOINE • Membrane dialysante semi perméable • Secrétion de liquides à pouvoir bactéricide • Cloisonnement de la cavité péritonéale • Distribution intra-péritonéale des épanchements • Action du grand épiploon (ainsi que mésentère et mésocolon) • Résorption des petits foyers • Evacuation des collections • Augmentation massive des défenses cellulaires et tumorales
  • 5.
    PERITONITE PERITONITES SECONDAIRES “CHIRURGICALES” (99%) 1) Péritonites aigues diffuses Comment faire le diagostic ? Quelles sont les formes cliniques ? Diagnostic différentiel ? Quelles sont les causes des péritonites? 2) Péritonites aigues localisées et abcès sous phréniques 3) Péritonites postopératoires PERITONITES PRIMITIVES MEDICALES : 1%
  • 6.
    PERITONITE AIGUE DIFFUSE(PAD) PRINCIPALES ETIOLOGIES • DIGESTIVES : 99% des PAD PERFORATIONS DIGESTIVES : - Perforation duodénale (ulcère) - Perforations gastriques (ulcère, cancer) OESO ABDO RECTUM - Perforations coliques (cancer, sigmoidite) - Perforations du grêle (ulcère, tumeur, contusion) PERITONITES APPENDICULAIRES PERITONITES BILIAIRES ET PANCREATIQUES • AUTRES : PERITONITES GYNECOLOGIQUES...
  • 7.
    PERITONITES AIGUES ETIOLOGIES LESPLUS FREQUENTES : ! Perforation d’ulcère duodénal ! Péritonite appendiculaire ! Perforation colique ! Perforation du grêle
  • 8.
    COMMENT FAIRE LEDIAGNOSTIC? SIGNES FONCTIONNELS ET GENERAUX VARIABLES DOULEURS ABDOMINALES AIGUES: - pas de caractère spécifique sauf peut-être ! violence au début (en faveur d’une perforation) ! localisées puis diffuses ! caractère continu - vomissements, nausées, hoquet +/- - arrêt des matières et des gaz variable, pas d’intérêt capital pour le diagnostic parfois remplacé par une diarrhée - signes généraux Perfo. Duo App. Diverticule colon T° normale 38-39° 40° Pouls 80 100 120° - Agitation : péritonite biliaire postopératoire
  • 9.
    SYNDROME DE PERITONITEAIGUE DIFFUSE D’ORIGINE DIGESTIVE - Inspection : Météorisme diminution respiration abdominale - Palpation : Défense (diffuse)ou contracture+++ Douleur à la décompression (BLUMBERG)++++ Hyperesthésie cutanée - Percussion : recherched’un pneumopéritoine clinique (en cas de perforation), tympanisme, matité des flancs - Auscultation : Bruits intestinaux diminués ou abolis - Douleurs aux touchers pelviens+++
  • 10.
    COMMENT FAIRE LEDIAGNOSTIC ? PERITONITES AIGUES DIFFUSES PAR PERFORATION 1) Brutalite du début SG variables selon l’organe perforé 2) EXAMEN CLINIQUE +++ Pneumopéritoine clinique(PNO) (Disparition de la matité pré hépatique) 3) RADIO (PNO)
  • 11.
    RADIOGRAPHIES ABDOMEN SP -scanner PNEUMOPERITOINE SUR SUJET DEBOUT " Croissant gazeux sous diaphragmatique " Disparition du niveau hydroaérique gastrique PNEUMOPERITOINE SUR SUJET COUCHE " Visibilité du ligament triangulaire du foie " Visibilité anormale des parois intestinales " Image aérique pré-hépatique "Pneumatisation de MORRISSON (cul de sac inter-hépato-rénal) AUTRES EXAMENS "TOGD aux hydrosolubles? " Echo, scanner " Coelioscopie ? " Pas de lavement colique, pas de fibroscppie, pas de coloscopie, pas d’IRM
  • 22.
    EXAMENS en casde PERITONITE AIGUE DIFFUSE PAS D’ENDOSCOPIE ou D’ OPACIFICATION DIGESTIVE en cas de SUSPICION de PERITONITE par PERFORATION DIGESTIVE
  • 24.
    SYNROME DE PERITONITEAIGUE DIFFUSE PAR PERFORATION d’ un ULCERE DUODENAL(1) ! Antécédents d’ulcére duodénal-trts :AINS corticoides ! Début brutal : siége épigastrique FID ! Douleur violente, intense, # en inspiration profonde, continue, localisée puis vite diffuse ! Vomissement, AMG inconstants ! Paleur, respiration rapide, pouls , fièvre absente au début (6 premiéres heures)
  • 25.
    SYNROME DE PERITONITEAIGUE DIFFUSE PAR PERFORATION d’ un ULCERE DUODENAL(2) ! Inspection : météorismes, $ respiration abdominale ! Palpation, défense ou contracture Douleur à la décompression (BLUMBERG) Hyperesthésie cutanée ! Percussion : - pneumopéritoine clinique, tympanisme - matité des flancs ! Auscultation : bruits intestinaux $ ou abolis ! Douleurs aux touchers pelviens
  • 27.
    PERITONITES PAR PERFORATION COLIQUE ! Gravissime ! Péritonite stercorale ! Douleurs abdominales diffuses ! Choc toxi-infectieux - T°39° ! Contracture ou métérorisme ! ASP, pneumopéritoine important
  • 28.
    PERFORATIONS COLIQUES - Sigmoiditedverticulaire+++ - Cancer colique+++ - Colites aigues (colectasies)++ - Autres : fécalome, volvulus, hernie étranglée - Perforations instrumentales (rectoscopie, coloscopie, LB) - Perforations en apparence idiopathiques
  • 29.
    PERITONITE APPENDICULAIRE I -PERITONITE D’EMBLEE GENERALISEE Sans prodromes: douleurs FID,T°... 1 - Péritonite franche aigue purulente 2 - Péritonite putride (par perforation d’une appendicite gangréneuse) “Septicémie péritonéale”
  • 30.
    PERITONITE APPENDICULAIRE II -PERITONITE AIGUE SECONDAIREMENT GENERALISEE 1 - La péritonite progressive (progressivement généralisée) (Appendicite %péritonite (par diffusion)
  • 31.
    PERITONITE APPENDICULAIRE II - PERITONITE AIGUE SECONDAIREMENT GENERALISEE 2 - La péritonite en deux temps - Accalmie traitresse - Reprise des symptômes (malgré le traitement (glace etc…) ou à cause du traitement (lavements purgatifs) - péritonite spontanée - péritonite provoquée (lavement, purge, reprise alimentation, examen brutal)
  • 32.
    PERITONITE APPENDICULAIRE II - PERITONITE AIGUE SECONDAIREMENT GENERALISEE 3 - La péritonite en 3 temps Appendicite %abcès %péritonite chute de la température lors de la rupture de l’abcès
  • 33.
    Evolutions possibles del’appendicite
  • 36.
    PERFORATIONS JEJUNO-ILEALES - ANSE SPHACELEE - Entérite aigue nécrosante - Infarctus mésentérique - Strangulations (volvulus ou bride) - TRAUMATISMES : Perforation méconnue (plaie ou contusion) - LESIONS INFLAMMATOIRES - Tuberculose, Crohn - Iléite non spécifique - Typhoide - TYPHOIDE - HODGKIN, LYMPHOME NON HODGKINIEN - AUTRES : péritonite noueuse, diverticules, Comprimés de KCL, radiolésions, tumeurs du grêle
  • 37.
    PERITONITES BILIAIRES - CLINIQUE ! Douleurs initiales sous costales droites ! Agitation (post-op.) ! Irritation péritonéale (douleurs à la décompression) ! Douleurs abdominales diffuses, maximum dans le flanc droit
  • 38.
    PERITONITE AIGUE DIFFUSE ASTHENIQUE - Terrain +++ : vieillard, AEG - Début peu brutal - Douleurs modérées, absentes ou mal exprimées - Pas de contracture - Pouls très accéléré par rapport à la température - Diarrhée réactionnelle - Ponction péritonéale - Opacification par produits hydrosolubles
  • 39.
    PERITONITES LOCALISEES 1) PERITONITESAIGUES LOCALISEES (SOUS MESOCOLIQUES) - FID appendicite, Crohn - FIG : sigmoidite - PELVIS : causes gynécologiques, appendicite 2) ABCES SOUS-PHRENIQUES (susmésocoliques) - Perforation d’ulcère duodénal - Pancréatite
  • 43.
    TABLEAU DE SUPPURATION PROFONDE - AEG, T° élevée, oscillante - Faciès : teint terreux, yeux excavés - Insomnie - Douleurs abdominales sourdes permanentes - Hyperleucocytose, VS augmentée
  • 44.
    DIAGNOSTIC DIFFERENTIEL A -DU FAIT DE LA DOULEUR & AFFECTIONS MEDICALES qui ne nécessitent pas de laparotomie " coliques néphrétiques " coliques hépatiques " angor abdominal " coliques de plomb (coliques saturnines) " crises gastriques du tabès " intoxication aigue " crises solaires " poussée aigue ulcéreuse - gastrite aigue " pneumopathies des bases pulmonaires " insuffisant respiratoire aigue (hépatalgies, bas débit : dilatation gastrique aigue, ischémie mésentérique) " syndrôme des neuroleptiques (agitation + douleur abdominale++++ vomissements + hyperthermie à 40. Il n’existe pas de contracture, pas d’irritation péritonéale)
  • 45.
    DIAGNOSTIC DIFFERENTIEL A -DU FAIT DE LA DOULEUR % AFFECTIONS CHIRURGICALES Il ne s’agit pas de péritonite mais cela ne signifie pas qu’il ne faut pas les opérer ; ces tableaux peuvent représenter une indication à une laparotomie : " pancréatite aigue " infarctus mésentérique " torsion aigue d’organes pelviens " occlusion intestinale " cholécystite " hémopéritoine " grossesse extra-utérine
  • 46.
    DIAGNOSTIC DIFFERENTIEL B -DU FAIT DE LA CONTRACTURE " fracture du rachis, du bassin, des cotes " hématome rétropéritonéal " pathologie des muscles grands droits : hématome, myosite abcès rupture EN CAS DE DOUTE : " pas d’antalgiques " pas de glace sur le ventre " pas d’attitude attentiste % INDICATION OPERATOIRE COELIO OU LAPARO
  • 48.
    PERITONITE PRIMITIVE - CLINIQUE - TABLEAU DE PERITONITE AIGUE (ou flore mixte à la ponction) % urgence chirurgicale % laparotomie inutile - TABLEAU MOINS TYPIQUE - Contexte - Pas de pneumopéritoine - Ponction flore MONOMORPHE
  • 49.
    PERITONITE PRIMITIVE TRAITEMENT - CONDUITE A TENIR - FLORE MONOMORPHE - traitement médical seul - Pneumocoque - Autres : Ampicilline - EN CAS DE FLORE MIXTE - laparotomie exploratrice + association d’une pénicilline et du Métronidazole - PERITONITE TUBERCULEUSE - Traitement triple
  • 50.
    LES PERITONITES PRIMITIVES MECANISMES: - contamination du péritoine par voie hématogène au cours d’une bactériémie asymptomatique - passage spontané transmural de bactéries de la lumière intestinale vers le péritoine - ponction du péritoine, infection de dehors en dedans FACTEURS ASSOCIES - cirrhose, HTP, ascite - déficit immunitaire - traitement immuno-suppresseur ETIOLOGIES - Ascite du cirrhotique - Tuberculose péritonéale - Pneumocoque - Typhoide - Amibiase
  • 51.
    PERITONITE PRIMITIVE - CLINIQUE - ASCITE INFECTEE DU CIRRHOTIQUE - Température , douleurs abdominales - Décompensation - < 300 leucocytes/mm3 - Ponction - +< 500 leucocytes/mm3 - PERITONITE TUBERCULEUSE - Ascite infectée chez un non cirrhotique - Lymphocytose - culture - laparoscopie - +/- biopsie hépatique
  • 52.
    PERITONITE PRIMITIVE - CLINIQUE PONCTION ASCITE - numération formule leucocyte +% de polynucléaires - chimie, protides, glucose, amylase, lactates - cytologie : cellues néoplasiques - culture aéro, anaérobie + antibiogramme
  • 53.
    EVOLUTION SANS TRAITEMENT LA PERITONITE EVOLUEE " Occlusion fébrile " Défense abdominale " Altération de l’état général LA CONTRACTURE PEUT MANQUER A CE STADE " Choc T.I., anurie, décès
  • 54.
    PRINCIPES DE TRAITEMENTD’UNE PERITONITE (1) I - REANIMATION A . Pour combattre l’hypovolémie et le choc et maintenir une oxygénation tissulaire correcte B. Traiter l’ensemencement bactérien non éliminé par la chirurgie, avec des antibiotiques C. Traiter les insuffisances viscérales D. Apporter un complément nutritionnel adéquat
  • 55.
    PRINCIPES DE TRAITEMENTD’UNE PERITONITE (2) II - TRAITEMENT CHIRURGICAL PRINCIPE I (REPARATION) : contrôle de la source d’infection PRINCIPE 2 (TOILETTE) : évacuer l’inoculation des bactéries, le pus et par la toilette péritonéale et autres méthodes PRINCIPE 3 (DRAINAGE) : drainage des différents compartements intra-abdominaux PRINCIPE 4 (PREVENTION) : prévenir et traiter les éventuelles infections persistantes ou les récidives infectieuses (re-laparotomie systématique, laparostomie…)
  • 56.
    PERITONITES PAR PERFORATIONS COLIQUES CANCER COLORECTAL " colectomie segmentaire avec colostomie (pas de rétablissement de la continuité) BOUILLY VOLKMANN (2) ou HARTMANN (1) " perforation diastatique Caecostomie + résection colique SIGMOIDITE DIVERTICULAIRE " colostomie d’amont ou " extériorisation de la perforation ou " colectomie type HARTMANN
  • 57.
    PERITONITE PAR PERFORATION D’ULCERE DUODENAL (2) TRAITEMENT 1 NON CHIRURGICAL DANS CERTAINES CONDITIONS - aspiration (méthode de TAYLOR) - à distance d’un repas - moins de 6 heures après la perforation - surveillance en milieu chirurgical - poursuivi si après 6 heures : $ $ des SF - AB, réanimation IV, diète stricte 2 CHIRURGICAL (coelio ou laparo) - suture de la perforation - parfois traitement radical de l’ulcère : vagotomie ou gastrectomie
  • 58.
    PERITONITES EXPERIMENTALES - PHASEINITIALE : - péritonite diffuse - aérobie (E. Coli) - PHASE SECONDAIRE : - abcédation localisée - anaérobie (bactéroides fragilis) - Métronidazole
  • 59.
    PERITONITE PAR PERFORATION D’ULCERE DUODENAL (1) Ulcère de la face ANTERIEURE du bulbe (9/10) - Douleur à début horaire, épigastrique - Douleur provoquée, défense voire contracture hypochondre droit, flanc droit, FID - Peu ou pas de vomissement - Pas d’hyperthermie (12 premières heures) - Pneumopéritoine clinique et/ou RADIO (50%)
  • 61.
    QUELLES SONT LESAUTRES FORMES CLINIQUES DE PERITONITES ? Toxique (SG choc) Gangréneuses (Douleurs = SG) Cholériforme (diarrhée) pelvienne à expression thoracique hémopéritoine herniaire Néonatale Femme enceinte Vieillard Sida
  • 62.
    I - PERFORATIONS GASTRO-DUODENALES - Ulcère duodénal - Ulcère gastrique - Cancer gastrique - Ulcère peptique
  • 63.
    TRAITEMENT CHIRURGICAL (1) PERITONITES PRINCIPE 1 : appendicectomie, omentectomie, suture d’une perforation d’ulcère ou gastrique, exérèse d’un cancer gastrique ou d’un cancer colique ou d’une diverticulite perforée, pas d’anastomose en milieu infecté
  • 64.
    TRAITEMENT CHIRURGICAL (2) PERITONITES PRINCIPE 2 Toilette péritonéale après prélèvement bactério, aspiration du pus, pas d’évidence sur les différentes séries de diminution de mortallité ou des complications septiques postopératoires par les lavages intra-abdominaux chez les patients bénéficiant d’une antibiothérapie systémique, pas d’avantage prouvé aux lavages avec antibiotiques intra-péritonéaux (effets toxiques)
  • 65.
    TRAITEMENT CHIRURGICAL (3) PERITONITES PRINCIPE 3 pas d’avantage à l’instillation intra-péritonéale d’Héparine, pas d’avantage au large débridement intra-abdominal (saignements diffus), pas d’avantage évident au lavage péritonéal postopératoire
  • 66.
    OBSERVATION Mr B….., 49 ans - Anorexie - Epigastralgies - Amaigrissement - Dysphagie ? - Ethylisme - tabagisme J0 : 11 h : endoscopie, gastroduodénite 13 h : choc toxi-infectieux, hypothermie, collapsus, oligurie, défense abdo. J1 : 8 h : tableau idem - 2ème choc 10 h : laparotomie : péritonite primitive hémoculture positive : entérocoque
  • 67.
    TRAITEMENT CHIRURGICAL (4) PERITONITES PRINCIPE 4 Laparostomie ou re-laparotomie systématique des années 80 non maintenue actuellement. Une étude randomisée multicentrique a remis récemment en question l’intérêt des drainages et des re-laparotomies Le principe essentiel est la qualité du traitement du premier geste opératoire CONDUITE A TENIR DES ABCES INTRA ABDOMINAUX : beaucoup moins de re-laparotomies, ponction et drainage percutanés +++
  • 68.
    FORMES CLINIQUES PARTICULIERES - Cholériforme : vieillard, diarrhée - Toxique : - enfant - altération état général - douleurs T° +/- absentes - Gangréneuse : - douleurs atroces - AEG - Contractures - Diarrhée fétide
  • 69.
    PERITONITE APPENDICULAIRE I -PERITONITE D’EMBLEE GENERALISEE 1 - Péritonite franche aigue purulente 2 - Péritonite putride (par perforation d’une appendicite gangréneuse) “Septicémie péritonéale” II - PERITONITE AIGUE SECONDAIREMENT GENERALISEE 1 - La péritonite progressive (progressivement généralisée) (Appendicite %péritonite (par diffusion) 2 - La péritonite en deux temps - Accalmie traitresse - Reprise des symptômes (malgré le traitement (glace etc…) ou à cause du traitement (lavements purgatifs) - péritonite spontanée - péritonite provoquée (lavement, purge, reprise alimentation, examen brutal) 3 - La péritonite en 3 temps Appendicite %abcès %péritonite chute de la température lors de la rupture de l’abcès C’est pas l’accalmie qui est traitresse, c’est le défaut d’examen du médecin qui est coupable
  • 70.
    PERITONITE AIGUE DIFFUSE D’ORIGINE DIGESTIVE Représentent 99% des péritonites aigues diffuses CONCERNE : estomac, duodénum,grêle, colon, rectum (gravité croissante) EXCLUE : œsophage, abdominal, voies biliaires, rectum sous péritonéal, les péritonites postopértoires COMPREND :les perforations véritables ulcère gastrique ou duodénal) et les diffusions (appendicite) SONT DE GRAVITE CROISSANTE SELON : - l’épanchement : bilio-gastrique, purulent, stercoral