URGENCES ABDOMINALES
NON TRAUMATIQUES
saRsþacarü evC¢> hgS c½nÞvr³
Hang Chanvohreak, MD, DHPEd, Vice-Recteur-USS
Ancien Radiologue, l’hôpital de Calmette,
2024
Objectif du cours
- Décrire la définition de l’abdomen aiguë
- Décrire les différentes types d’imagerie dans l’urgence abdominale
- Décrire d’une bonne et mauvais de l’indication de l’ASP
- Décrire les intérêts et les différentes techniques d’ imagerie dans l’exploration des
différentes pathologies qui cause l’abdomen aiguë.
- Décrire les sémiologies radiologiques des différentes maladies qui cause l’abdomen
aiguë.
Après la fini de cette leçon, l’étudiant peut:
- Savoir la définition de l’abdomen aiguë
- Connaître les différentes types d’imagerie dans l’urgence abdominale
- Savoir une bonne de l’indication de l’ASP
- Connaître les différentes techniques d’ imagerie dans l’exploration des différentes
pathologies qui cause l’abdomen aiguë.
-Connaître les sémiologie radiologiques des différentes maladies qui cause l’abdomen
aiguë.
Définition
● Douleur abdominale qui persiste
supérieur à quelques heurs
● Contracture abdominale
●Causes par réaction inflammatoire
ou par dysfonctionnement viscérale
Pathologies
➔Perforation
➔Infectieuses
➔Occlusion
➔Vasculaires
But d’imagerie
● Permet de réduire le
nombre de laparotomies
inutiles.
● Réduire / prévenir avant la
survenue de complications
dramatiques comme la
perforation.
➔ASP
➔Echographie
➔TDM
➔IRM ?
➔Artériographie/ angio-scanner
Types d’imageries
ASP
BONNE INDICATION: LA RECHERCHE
● d’une perforation
● d’une occlusion
● d’une lithiase rénale
symptomatique
● d’un CE
MAUVAISES INDICATIONS :
● un bilan abdominal sans douleur
abdominale.
● Hémorragie digestive.
● recherche d’ascite.
● Pancréatite aigu.
ASP
ECHOGRAPHIE
Avantages:
● Rapide, Simple, Au lit, aux
urgences.
● Orienté diagnostique.
●Epanchement liquidien.
●Abcès.
●Guidée ponction.
Limites:
● Douleur, Agiter, Immobiliser
● Distension abdominal avec gaz
- Occlusion
- Iléus réflexe
● Choc
Exploration large
● de base thoracique au pelvis
● Des vaisseaux, carde osseux
● des partie molle.
TDM
Injection Intra-veineuse ?
•Néphrotoxicité de l ’iode
•Déshydratation
•Terrain fragile: diabète…….
Hémorragies digestives
- Imagerie: localiser le saignement
- Eventuellement : thérapeutique
ANGIOGRAPHIE
Classification de localisation
Douleur de
l'hypocondre droit
1-Pathologies
hépatiques et VB
2-Appendicite sous
hépatique
3- Colique
néphrétique
Douleur de l'hypocondre
gauche
● Colique
néphrétique /Pyélonéphrite
/ infarctus rénal
● Infarctus
splénique /Abcès
splénique
● Pancréatite caudale
Douleur de la
FID
●Appendicite
● Rupture de GEU/KOV
● Torsion d'ovaire
Douleur de la fosse
iliaque gauche
●Diverticulite
sigmoïdienne
● Abcès tubo-ovarien
● Corps jaune
hémorragique
● Torsion d'annexe
● Rupture de GEU/KOV
Douleur épigastrique
● Ulcère gastrique
(perforation)
● Pancréatite aiguë
● Anévrisme aortique
rompu
Douleur diffuse
● Occlusion intestinale
● Infarctus mésentérique
● GEU rompue?
Douleur de l’HCD: Cholécystite aigu non ou lithiasique
Echo: Épaississement de la
paroi vésiculaire.
Calcul : image
hyperéchogène avec cône
d’ombre.
Douleur de l’HCD: Obstruction du cholédoque
TDM sans et avec injection
Douleur de l’HCD: Abcès du foie
• Cliniques :Fièvre, Douleur de l’HCD,
hyperleucocytose
• Echo: Image hypoéchogène avec
renforcement postérieure.
TDM avec injection : image
hypodense avec prise de contraste à
périphérie
Douleur de l’HCD: Colique néphrétique
Distension pyélocalicielle par un gros calcul obstructif de l’uretère supérieur.
Douleur épigastrique
● Ulcère gastrique (éventuellement perforé)
● Pancréatite aiguë
● Anévrisme aortique rompu
Croissant gazeux
Croissant gazeux
Perforation gastrique par
l’ulcère gastrique
Pneumopéritoine (TDM > ASP ):
Fenêtres larges ou adapté pour
confirmation de localisation et de
nature de la lésion.
Pancréatite aigu : Définition
CAUSES
●Lithiase vésiculaire (38%)
●Alcool (38%)
●Autres :
▪ Tumorales (toutes masses du pancréas), malformatives
▪ Toxiques
▪ Traumatique, iatrogènes
▪ Infectieuses (oreillons, ascaris, hydatidose, )
▪ métaboliques, auto immunes
▪ Génétiques
▪ Piqure de scorpion
▪ Idiopathiques
DIAGNOSTIC
● Douleurs épigastriques (100% des
cas)
● lipase > 3N
● Orientation
● Cytolyse (ALAT > 3N) : origine
biliaire (95%)
●Pas recommandée pour le
diagnostic de PA
● Objectifs :
- Lithiase, dilatation des voies
biliaires ? = origine biliaire
-Cirrhose : origine alcoolique?
Échographie
Échographie
● Hypodensité pancréatique (un aspect normal est possible dans
les formes peu graves)
● Atteinte focale ou diffuse
● Utilité < 48h limitée (après iléus paralytique)
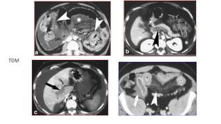
APPENDICITE
– Appendice de D> 6mm
– La paroi est épaissie et prise de
contraste
– Appendicolithe
– Infiltration de la graisse (péri cæcale,
pariétocolique)
Appendicitis : US
29
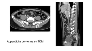
Scanner pelvien avec injection
Stercolithe
Infiltration de la graisse
Épaississement
Appendicite pelvienne en TDM
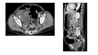
29 ans , appendicite ?
Hyperleucocytose :15000
Dia: Thrombose phlébite de la veine ovarique droite
Diagnostic différentiel
Malades inflammatoires chroniques de l’intestin
• épaississement concentrique de la paroi
intestinale
• Disparition de relief haustral
• Epanchement liquidien péritonéal
• Air extra digestif.
• Abcès péri coliques ou à distance
COLITE
● Une femme,52 ans, douleur abdominale sans fièvre avec constipation depuis10 jours.
● Échographie : épaississement concentrique de la paroi intestinale de15mm ( Maladie de Crohn?)
● 5 jours après le traitement par anti-inflammatoire, la paroi intestinale devienne normale en
scanner.
37
OCCLUSION
Imagerie: Confirmer localisation et
le type de de l’obstacle: tumeur,
infectieuse.
- Estomac
- Grêle
- Colon
Echo > ASP si pas d ’air
-Distension colon ou grêle
-Paroi du tube digestif fine e
-Absence de mouvement
-Masse tumorale, Abcès,
Bride adhérente
occlusion du grêle
41
occlusion du colon
OCCLUSION : ASP
•NHA (air + eau )
•Localiser: Grêle ou colon ?
•Type de l’obstacle ?
Occlusion du colon ( tumeur du
sigmoïde)
Occlusion du grêle
TDM
Les ischémies artérielles aiguës
• Viscérale abdo reçoit 30% de VST
• muqueuse Gastro-intestinal: Re > 50%
• Large anastomose et résistance
• Occlusion ou déficit durables de perfusion
A: Ischémie artériel aigue segmentaire; réduction de calibre et distension intestin
en d’amont
B: Infarcissement veineux; augmenté de calibre, la paroi est épaissie et réduit la
lumière.
• ASP :
– Le plus souvent normal
– Syndrome sub occlusif Non spécifique
– Sévérité de l’atteinte :
• Pneumatose pariétale
• Pneumopéritoine
• OPACIFICATION : Inutile, risquée en urgence
• ECHOGRAPHIE difficile :
– Distension des anses, atonie, paroi E > 3 mm.
– Souffrance péritonéale : réaction liquidienne.
– Aéroportie.
– Inconvénient: barrage aérique gazeux
ISCHEMIE INTESTINO MESENTERIQUE
Les ischémies veineuses intestino-mésentériques
• L‘IVM: 0,2 à 2% dans séries
autopsies
• L’IVM:
-Aspect "intestin noir"
-La paroi est épaissie
-Réduction de lumière
-Extravasion du plasma
• Etendu et obstructive
TDM
Grossesse extra utérine
Sac ovulaire
Hémopéritoine dans
l’espace hépato-
rénal
Sac vitellin
Douleur abdominale focale fébrile : stratégie d’exploration
CONCLUSION
Choc : US
Perforation: ASP/ TDM
Occlusion : ASP/TDM
Ischémie : TDM avec injection de produit de contraste
Douleur de l’hypochondre
-Droit: US
-Gauche: TDM
Douleur FI
-Droit: US puis TDM
-Gauche: US ou TDM
CN : US/ ASP/ TDM

Urgence abdo DCEM 2024.pdf........................

  • 1.
    URGENCES ABDOMINALES NON TRAUMATIQUES saRsþacarüevC¢> hgS c½nÞvr³ Hang Chanvohreak, MD, DHPEd, Vice-Recteur-USS Ancien Radiologue, l’hôpital de Calmette, 2024
  • 2.
    Objectif du cours -Décrire la définition de l’abdomen aiguë - Décrire les différentes types d’imagerie dans l’urgence abdominale - Décrire d’une bonne et mauvais de l’indication de l’ASP - Décrire les intérêts et les différentes techniques d’ imagerie dans l’exploration des différentes pathologies qui cause l’abdomen aiguë. - Décrire les sémiologies radiologiques des différentes maladies qui cause l’abdomen aiguë.
  • 3.
    Après la finide cette leçon, l’étudiant peut: - Savoir la définition de l’abdomen aiguë - Connaître les différentes types d’imagerie dans l’urgence abdominale - Savoir une bonne de l’indication de l’ASP - Connaître les différentes techniques d’ imagerie dans l’exploration des différentes pathologies qui cause l’abdomen aiguë. -Connaître les sémiologie radiologiques des différentes maladies qui cause l’abdomen aiguë.
  • 4.
    Définition ● Douleur abdominalequi persiste supérieur à quelques heurs ● Contracture abdominale ●Causes par réaction inflammatoire ou par dysfonctionnement viscérale
  • 5.
    Pathologies ➔Perforation ➔Infectieuses ➔Occlusion ➔Vasculaires But d’imagerie ● Permetde réduire le nombre de laparotomies inutiles. ● Réduire / prévenir avant la survenue de complications dramatiques comme la perforation.
  • 6.
  • 7.
    ASP BONNE INDICATION: LARECHERCHE ● d’une perforation ● d’une occlusion ● d’une lithiase rénale symptomatique ● d’un CE MAUVAISES INDICATIONS : ● un bilan abdominal sans douleur abdominale. ● Hémorragie digestive. ● recherche d’ascite. ● Pancréatite aigu.
  • 8.
  • 9.
    ECHOGRAPHIE Avantages: ● Rapide, Simple,Au lit, aux urgences. ● Orienté diagnostique. ●Epanchement liquidien. ●Abcès. ●Guidée ponction. Limites: ● Douleur, Agiter, Immobiliser ● Distension abdominal avec gaz - Occlusion - Iléus réflexe ● Choc
  • 10.
    Exploration large ● debase thoracique au pelvis ● Des vaisseaux, carde osseux ● des partie molle. TDM Injection Intra-veineuse ? •Néphrotoxicité de l ’iode •Déshydratation •Terrain fragile: diabète…….
  • 11.
    Hémorragies digestives - Imagerie:localiser le saignement - Eventuellement : thérapeutique ANGIOGRAPHIE
  • 12.
    Classification de localisation Douleurde l'hypocondre droit 1-Pathologies hépatiques et VB 2-Appendicite sous hépatique 3- Colique néphrétique Douleur de l'hypocondre gauche ● Colique néphrétique /Pyélonéphrite / infarctus rénal ● Infarctus splénique /Abcès splénique ● Pancréatite caudale
  • 13.
    Douleur de la FID ●Appendicite ●Rupture de GEU/KOV ● Torsion d'ovaire Douleur de la fosse iliaque gauche ●Diverticulite sigmoïdienne ● Abcès tubo-ovarien ● Corps jaune hémorragique ● Torsion d'annexe ● Rupture de GEU/KOV
  • 14.
    Douleur épigastrique ● Ulcèregastrique (perforation) ● Pancréatite aiguë ● Anévrisme aortique rompu Douleur diffuse ● Occlusion intestinale ● Infarctus mésentérique ● GEU rompue?
  • 15.
    Douleur de l’HCD:Cholécystite aigu non ou lithiasique Echo: Épaississement de la paroi vésiculaire. Calcul : image hyperéchogène avec cône d’ombre.
  • 16.
    Douleur de l’HCD:Obstruction du cholédoque TDM sans et avec injection
  • 17.
    Douleur de l’HCD:Abcès du foie • Cliniques :Fièvre, Douleur de l’HCD, hyperleucocytose • Echo: Image hypoéchogène avec renforcement postérieure. TDM avec injection : image hypodense avec prise de contraste à périphérie
  • 18.
    Douleur de l’HCD:Colique néphrétique Distension pyélocalicielle par un gros calcul obstructif de l’uretère supérieur.
  • 19.
    Douleur épigastrique ● Ulcèregastrique (éventuellement perforé) ● Pancréatite aiguë ● Anévrisme aortique rompu Croissant gazeux
  • 20.
    Croissant gazeux Perforation gastriquepar l’ulcère gastrique Pneumopéritoine (TDM > ASP ): Fenêtres larges ou adapté pour confirmation de localisation et de nature de la lésion.
  • 22.
  • 23.
    CAUSES ●Lithiase vésiculaire (38%) ●Alcool(38%) ●Autres : ▪ Tumorales (toutes masses du pancréas), malformatives ▪ Toxiques ▪ Traumatique, iatrogènes ▪ Infectieuses (oreillons, ascaris, hydatidose, ) ▪ métaboliques, auto immunes ▪ Génétiques ▪ Piqure de scorpion ▪ Idiopathiques
  • 24.
    DIAGNOSTIC ● Douleurs épigastriques(100% des cas) ● lipase > 3N ● Orientation ● Cytolyse (ALAT > 3N) : origine biliaire (95%) ●Pas recommandée pour le diagnostic de PA ● Objectifs : - Lithiase, dilatation des voies biliaires ? = origine biliaire -Cirrhose : origine alcoolique? Échographie
  • 25.
    Échographie ● Hypodensité pancréatique(un aspect normal est possible dans les formes peu graves) ● Atteinte focale ou diffuse ● Utilité < 48h limitée (après iléus paralytique)
  • 28.
    APPENDICITE – Appendice deD> 6mm – La paroi est épaissie et prise de contraste – Appendicolithe – Infiltration de la graisse (péri cæcale, pariétocolique)
  • 29.
  • 31.
  • 32.
    Stercolithe Infiltration de lagraisse Épaississement
  • 33.
  • 34.
    29 ans ,appendicite ? Hyperleucocytose :15000 Dia: Thrombose phlébite de la veine ovarique droite Diagnostic différentiel
  • 35.
    Malades inflammatoires chroniquesde l’intestin • épaississement concentrique de la paroi intestinale • Disparition de relief haustral • Epanchement liquidien péritonéal • Air extra digestif. • Abcès péri coliques ou à distance
  • 36.
  • 37.
    ● Une femme,52ans, douleur abdominale sans fièvre avec constipation depuis10 jours. ● Échographie : épaississement concentrique de la paroi intestinale de15mm ( Maladie de Crohn?) ● 5 jours après le traitement par anti-inflammatoire, la paroi intestinale devienne normale en scanner. 37
  • 40.
    OCCLUSION Imagerie: Confirmer localisationet le type de de l’obstacle: tumeur, infectieuse. - Estomac - Grêle - Colon Echo > ASP si pas d ’air -Distension colon ou grêle -Paroi du tube digestif fine e -Absence de mouvement -Masse tumorale, Abcès, Bride adhérente
  • 41.
  • 42.
    OCCLUSION : ASP •NHA(air + eau ) •Localiser: Grêle ou colon ? •Type de l’obstacle ?
  • 43.
    Occlusion du colon( tumeur du sigmoïde) Occlusion du grêle
  • 45.
  • 46.
    Les ischémies artériellesaiguës • Viscérale abdo reçoit 30% de VST • muqueuse Gastro-intestinal: Re > 50% • Large anastomose et résistance • Occlusion ou déficit durables de perfusion
  • 47.
    A: Ischémie artérielaigue segmentaire; réduction de calibre et distension intestin en d’amont B: Infarcissement veineux; augmenté de calibre, la paroi est épaissie et réduit la lumière.
  • 48.
    • ASP : –Le plus souvent normal – Syndrome sub occlusif Non spécifique – Sévérité de l’atteinte : • Pneumatose pariétale • Pneumopéritoine • OPACIFICATION : Inutile, risquée en urgence • ECHOGRAPHIE difficile : – Distension des anses, atonie, paroi E > 3 mm. – Souffrance péritonéale : réaction liquidienne. – Aéroportie. – Inconvénient: barrage aérique gazeux ISCHEMIE INTESTINO MESENTERIQUE
  • 49.
    Les ischémies veineusesintestino-mésentériques • L‘IVM: 0,2 à 2% dans séries autopsies • L’IVM: -Aspect "intestin noir" -La paroi est épaissie -Réduction de lumière -Extravasion du plasma • Etendu et obstructive
  • 50.
  • 51.
    Grossesse extra utérine Sacovulaire Hémopéritoine dans l’espace hépato- rénal Sac vitellin
  • 52.
    Douleur abdominale focalefébrile : stratégie d’exploration
  • 53.
    CONCLUSION Choc : US Perforation:ASP/ TDM Occlusion : ASP/TDM Ischémie : TDM avec injection de produit de contraste Douleur de l’hypochondre -Droit: US -Gauche: TDM Douleur FI -Droit: US puis TDM -Gauche: US ou TDM CN : US/ ASP/ TDM