Appendicites aigues
Appendicites aigues
Introduction
Introduction
 La plus fréquente des urgences abdominales
La plus fréquente des urgences abdominales
 Evolution imprévisible pouvant être mortelle si
Evolution imprévisible pouvant être mortelle si
pas traitée à temps
pas traitée à temps
 Diagnostic clinique +++ mais intérêt de
Diagnostic clinique +++ mais intérêt de
l’échographie et du scanner
l’échographie et du scanner
 Diagnostic différentiel avec les autres causes de
Diagnostic différentiel avec les autres causes de
douleur de la FID
douleur de la FID
 Urgence chirurgicale
Urgence chirurgicale
ANATOMIE
ANATOMIE
Anatomopathologie
Anatomopathologie
 Lésions appendiculaires
Lésions appendiculaires
 Appendicite catarrhale
Appendicite catarrhale
 Appendicite suppurée
Appendicite suppurée
 Appendicite nécrosée
Appendicite nécrosée
 Appendicite perforée
Appendicite perforée
 Plastron
Plastron
 Abcès
Abcès
 Péritonite
Péritonite
 Localisée
Localisée
 Généralisée : en 1,2 ou3 temps
Généralisée : en 1,2 ou3 temps
Signes cliniques de la forme
Signes cliniques de la forme
habituelle
habituelle
 Signes fonctionnels
Signes fonctionnels
 Douleur de la FID
Douleur de la FID
 Nausées , vomissements
Nausées , vomissements
 Troubles du transit??
Troubles du transit??
 Signes physiques
Signes physiques
 Douleur provoquée au point de Mac Burney
Douleur provoquée au point de Mac Burney
 Défense
Défense
 TR,TV
TR,TV
 Signes généraux
Signes généraux
 Fièvre à 38°5
Fièvre à 38°5
 Langue blanche (saburrale)
Langue blanche (saburrale)
Les examens complémentaires
Les examens complémentaires
 La biologie
La biologie
 NF: hyperleucocytose
NF: hyperleucocytose
 PCR,VS
PCR,VS
 DIG-,ECBU-
DIG-,ECBU-
 L’imagerie
L’imagerie
 L’ASP
L’ASP
 L’échographie
L’échographie
 Le scanner
Le scanner
L’ASP
L’ASP
 Rendement médiocre
Rendement médiocre
 Cout non négligeable
Cout non négligeable
 Le stercolithe
Le stercolithe
appendiculaire
appendiculaire
 Interet ????
Interet ????
L’échographie
L’échographie
 Appendice non
Appendice non
compressible
compressible
 Apéristaltique
Apéristaltique
 Diamètre > 6 à 8 mm
Diamètre > 6 à 8 mm
 Epaisseur > 3mm
Epaisseur > 3mm
 Stercolithe
Stercolithe
 Métaanalyse de 3358
Métaanalyse de 3358
patients : Se =84,7% et
patients : Se =84,7% et
Sp = 92 %
Sp = 92 %
Le Scanner
Le Scanner
 Technique
Technique
 Sémiologie
Sémiologie
 Résultats
Résultats
 Echographie vs Scanner
Echographie vs Scanner
Technique
Technique
 Scanner spiralé sans puis avec injection IV
Scanner spiralé sans puis avec injection IV
d’iode
d’iode
 Scanner spiralé avec opacification colique
Scanner spiralé avec opacification colique
( USA)
( USA)
 Scanner sans injection , ni opacification
Scanner sans injection , ni opacification
Sémiologie
Sémiologie
 Augmentation du
Augmentation du
diamètre transversal
diamètre transversal
 Epaississement pariétal
Epaississement pariétal
 Inflammation de la
Inflammation de la
graisse
graisse
périappendiculaire
périappendiculaire
 Stercolithe
Stercolithe
 Complications
Complications
( phlegmon , abcès )
( phlegmon , abcès )
appendicites aiguës
appendicite pelvienne
appendicite aiguë ; « typhlite » réactionnelle
appendicite gangréneuse
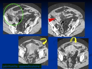
péritonite appendiculaire
péritonite sur appendicite pelvienne
Diagnostic différentiel
Diagnostic différentiel
 Pour les appendicites en position habituelle
Pour les appendicites en position habituelle
 Douleurs abdominales non spécifiques
Douleurs abdominales non spécifiques
 Adénolymphite mésentérique
Adénolymphite mésentérique
 Crohn
Crohn
 Diverticulite de meckel , du colon droit
Diverticulite de meckel , du colon droit
 Pour les formes ectopiques
Pour les formes ectopiques
 Infections urinaires
Infections urinaires
 Pathologies gynécologiques : GEU,Kyste ovaire (interet de
Pathologies gynécologiques : GEU,Kyste ovaire (interet de
l’ècho endovaginale en cas de doute)
l’ècho endovaginale en cas de doute)
 Cholécystite, sigmoidite
Cholécystite, sigmoidite
« diverticulite » de Meckel
Les formes évolutives (1)
Les formes évolutives (1)
 Le plastron appendiculaire
Le plastron appendiculaire
 Anatomo-pathologie: magma viscéral au contact de
Anatomo-pathologie: magma viscéral au contact de
l’appendice
l’appendice
 Clinique : masse palpable mal limitée,température,défense
Clinique : masse palpable mal limitée,température,défense
 Scanner++
Scanner++
 L’abcès
L’abcès
 Topographie : FID, Douglas,autres
Topographie : FID, Douglas,autres
 Clinique : Douleurs, fièvre hectique, TR,TV
Clinique : Douleurs, fièvre hectique, TR,TV
 Scanner
Scanner
Les formes évolutives (2)
Les formes évolutives (2)
 Les péritonites
Les péritonites
 En 1 temps : tableau d’app typique puis aggravation
En 1 temps : tableau d’app typique puis aggravation
 En 2 temps : tableau d’app typique, accalmie, puis aggravation
En 2 temps : tableau d’app typique, accalmie, puis aggravation
 En 3 temps : app, plastron, abcès,péritonite
En 3 temps : app, plastron, abcès,péritonite
 Clinique
Clinique
 Douleurs diffuses
Douleurs diffuses
 Température à 40°
Température à 40°
 Contracture
Contracture
 TR,TV
TR,TV
 Etat de choc??
Etat de choc??
Quelques formes particulières
Quelques formes particulières
 Formes occlusives : occlusion fébrile
Formes occlusives : occlusion fébrile
 Formes du vieillard : torpides, occlusion,
Formes du vieillard : torpides, occlusion,
plastron
plastron
 Formes de l’immuno-déprimé
Formes de l’immuno-déprimé
 Formes de la femme enceinte: diagnostic
Formes de la femme enceinte: diagnostic
difficile, pronostic maternel et infantile mauvais
difficile, pronostic maternel et infantile mauvais
Traitement
Traitement
 C’est une urgence chirurgicale
C’est une urgence chirurgicale
 Forme habituelle
Forme habituelle
 Appendicectomie: McBurney ou laparoscopie
Appendicectomie: McBurney ou laparoscopie
 Antibioprophyllaxie flash
Antibioprophyllaxie flash
 Plastron: seul cas ou il ne faut pas opérer
Plastron: seul cas ou il ne faut pas opérer
 Antibiotiques 10 jours + a jeun+glace
Antibiotiques 10 jours + a jeun+glace
 Appendicectomie 3 mois plus tard
Appendicectomie 3 mois plus tard
 Abcès:
Abcès:
 Antibiotiques + drainage chirurgical ou radiologique
Antibiotiques + drainage chirurgical ou radiologique
 Appendicectomie 3 mois plus tard
Appendicectomie 3 mois plus tard
 Péritonites
Péritonites
 Antibiotiques + réanimation
Antibiotiques + réanimation
 Appendicectomie + lavage+drainage
Appendicectomie + lavage+drainage
 Voie d’abord à discuter
Voie d’abord à discuter
Technique chirurgicale : Mac Burney
Technique chirurgicale : Mac Burney
Abord coelioscopique
Abord coelioscopique
Péritonite appendiculaire
Péritonite appendiculaire
Suites post-opératoires
Suites post-opératoires
 Hospitalisation:2à3jours
Hospitalisation:2à3jours
 Complications
Complications
 Hémorragies
Hémorragies
 Abcès de paroi
Abcès de paroi
 Abcès profonds
Abcès profonds
 Lâchage de moignon
Lâchage de moignon

Appendicites aigues aspects cliniques.ppt

  • 1.
  • 2.
    Introduction Introduction  La plusfréquente des urgences abdominales La plus fréquente des urgences abdominales  Evolution imprévisible pouvant être mortelle si Evolution imprévisible pouvant être mortelle si pas traitée à temps pas traitée à temps  Diagnostic clinique +++ mais intérêt de Diagnostic clinique +++ mais intérêt de l’échographie et du scanner l’échographie et du scanner  Diagnostic différentiel avec les autres causes de Diagnostic différentiel avec les autres causes de douleur de la FID douleur de la FID  Urgence chirurgicale Urgence chirurgicale
  • 3.
  • 4.
    Anatomopathologie Anatomopathologie  Lésions appendiculaires Lésionsappendiculaires  Appendicite catarrhale Appendicite catarrhale  Appendicite suppurée Appendicite suppurée  Appendicite nécrosée Appendicite nécrosée  Appendicite perforée Appendicite perforée  Plastron Plastron  Abcès Abcès  Péritonite Péritonite  Localisée Localisée  Généralisée : en 1,2 ou3 temps Généralisée : en 1,2 ou3 temps
  • 5.
    Signes cliniques dela forme Signes cliniques de la forme habituelle habituelle  Signes fonctionnels Signes fonctionnels  Douleur de la FID Douleur de la FID  Nausées , vomissements Nausées , vomissements  Troubles du transit?? Troubles du transit??  Signes physiques Signes physiques  Douleur provoquée au point de Mac Burney Douleur provoquée au point de Mac Burney  Défense Défense  TR,TV TR,TV  Signes généraux Signes généraux  Fièvre à 38°5 Fièvre à 38°5  Langue blanche (saburrale) Langue blanche (saburrale)
  • 6.
    Les examens complémentaires Lesexamens complémentaires  La biologie La biologie  NF: hyperleucocytose NF: hyperleucocytose  PCR,VS PCR,VS  DIG-,ECBU- DIG-,ECBU-  L’imagerie L’imagerie  L’ASP L’ASP  L’échographie L’échographie  Le scanner Le scanner
  • 7.
    L’ASP L’ASP  Rendement médiocre Rendementmédiocre  Cout non négligeable Cout non négligeable  Le stercolithe Le stercolithe appendiculaire appendiculaire  Interet ???? Interet ????
  • 8.
    L’échographie L’échographie  Appendice non Appendicenon compressible compressible  Apéristaltique Apéristaltique  Diamètre > 6 à 8 mm Diamètre > 6 à 8 mm  Epaisseur > 3mm Epaisseur > 3mm  Stercolithe Stercolithe  Métaanalyse de 3358 Métaanalyse de 3358 patients : Se =84,7% et patients : Se =84,7% et Sp = 92 % Sp = 92 %
  • 9.
    Le Scanner Le Scanner Technique Technique  Sémiologie Sémiologie  Résultats Résultats  Echographie vs Scanner Echographie vs Scanner
  • 10.
    Technique Technique  Scanner spiralésans puis avec injection IV Scanner spiralé sans puis avec injection IV d’iode d’iode  Scanner spiralé avec opacification colique Scanner spiralé avec opacification colique ( USA) ( USA)  Scanner sans injection , ni opacification Scanner sans injection , ni opacification
  • 11.
    Sémiologie Sémiologie  Augmentation du Augmentationdu diamètre transversal diamètre transversal  Epaississement pariétal Epaississement pariétal  Inflammation de la Inflammation de la graisse graisse périappendiculaire périappendiculaire  Stercolithe Stercolithe  Complications Complications ( phlegmon , abcès ) ( phlegmon , abcès )
  • 12.
  • 13.
  • 14.
    appendicite aiguë ;« typhlite » réactionnelle
  • 15.
  • 16.
  • 17.
  • 18.
    Diagnostic différentiel Diagnostic différentiel Pour les appendicites en position habituelle Pour les appendicites en position habituelle  Douleurs abdominales non spécifiques Douleurs abdominales non spécifiques  Adénolymphite mésentérique Adénolymphite mésentérique  Crohn Crohn  Diverticulite de meckel , du colon droit Diverticulite de meckel , du colon droit  Pour les formes ectopiques Pour les formes ectopiques  Infections urinaires Infections urinaires  Pathologies gynécologiques : GEU,Kyste ovaire (interet de Pathologies gynécologiques : GEU,Kyste ovaire (interet de l’ècho endovaginale en cas de doute) l’ècho endovaginale en cas de doute)  Cholécystite, sigmoidite Cholécystite, sigmoidite
  • 19.
  • 20.
    Les formes évolutives(1) Les formes évolutives (1)  Le plastron appendiculaire Le plastron appendiculaire  Anatomo-pathologie: magma viscéral au contact de Anatomo-pathologie: magma viscéral au contact de l’appendice l’appendice  Clinique : masse palpable mal limitée,température,défense Clinique : masse palpable mal limitée,température,défense  Scanner++ Scanner++  L’abcès L’abcès  Topographie : FID, Douglas,autres Topographie : FID, Douglas,autres  Clinique : Douleurs, fièvre hectique, TR,TV Clinique : Douleurs, fièvre hectique, TR,TV  Scanner Scanner
  • 21.
    Les formes évolutives(2) Les formes évolutives (2)  Les péritonites Les péritonites  En 1 temps : tableau d’app typique puis aggravation En 1 temps : tableau d’app typique puis aggravation  En 2 temps : tableau d’app typique, accalmie, puis aggravation En 2 temps : tableau d’app typique, accalmie, puis aggravation  En 3 temps : app, plastron, abcès,péritonite En 3 temps : app, plastron, abcès,péritonite  Clinique Clinique  Douleurs diffuses Douleurs diffuses  Température à 40° Température à 40°  Contracture Contracture  TR,TV TR,TV  Etat de choc?? Etat de choc??
  • 22.
    Quelques formes particulières Quelquesformes particulières  Formes occlusives : occlusion fébrile Formes occlusives : occlusion fébrile  Formes du vieillard : torpides, occlusion, Formes du vieillard : torpides, occlusion, plastron plastron  Formes de l’immuno-déprimé Formes de l’immuno-déprimé  Formes de la femme enceinte: diagnostic Formes de la femme enceinte: diagnostic difficile, pronostic maternel et infantile mauvais difficile, pronostic maternel et infantile mauvais
  • 23.
    Traitement Traitement  C’est uneurgence chirurgicale C’est une urgence chirurgicale  Forme habituelle Forme habituelle  Appendicectomie: McBurney ou laparoscopie Appendicectomie: McBurney ou laparoscopie  Antibioprophyllaxie flash Antibioprophyllaxie flash  Plastron: seul cas ou il ne faut pas opérer Plastron: seul cas ou il ne faut pas opérer  Antibiotiques 10 jours + a jeun+glace Antibiotiques 10 jours + a jeun+glace  Appendicectomie 3 mois plus tard Appendicectomie 3 mois plus tard  Abcès: Abcès:  Antibiotiques + drainage chirurgical ou radiologique Antibiotiques + drainage chirurgical ou radiologique  Appendicectomie 3 mois plus tard Appendicectomie 3 mois plus tard  Péritonites Péritonites  Antibiotiques + réanimation Antibiotiques + réanimation  Appendicectomie + lavage+drainage Appendicectomie + lavage+drainage  Voie d’abord à discuter Voie d’abord à discuter
  • 24.
    Technique chirurgicale :Mac Burney Technique chirurgicale : Mac Burney
  • 25.
  • 26.
  • 27.
    Suites post-opératoires Suites post-opératoires Hospitalisation:2à3jours Hospitalisation:2à3jours  Complications Complications  Hémorragies Hémorragies  Abcès de paroi Abcès de paroi  Abcès profonds Abcès profonds  Lâchage de moignon Lâchage de moignon