Sémiologie Neuroradiologique
Pr Fabrice Bonneville
Service de neuroradiologie
Objectifs
Connaître les différentes méthodes
d’exploration en Neuroradiologie
Rappeler des notions
de radio-anatomie
Découvrir la sémiologie:
– Scanner :
• Hypodensité
• Hyperdensité
– IRM
• T1
• T2 / FLAIR
Imagerie du SNC
Principaux examens en Neuroradiologie
– Echo-doppler, Scanner, IRM, artériographie
Sémiologie élémentaire
– Hyper/hypo densité (TDM)
– hyper/hyposignal (IRM)
– Topographie
– effet de masse
– engagement
Principales pathologies
– Tumeurs, AVC: hémorragique et ischémique,
maladies de la SB
Utilise les ultra-sons
Sonde émettrice-réceptrice
Image échographique en échelle de gris
Intérêt « vasculaire » en neuroradio
ECHOGRAPHIE-DOPPLER
ECHOGRAPHIE-DOPPLER
Examen non invasif
Aucune contre-indication
Morphologique et hémodynamique
Mais :
• Opérateur dépendant
• zones mal explorées
SCANNER
• Tube à rayons Xrayons X émetteur et récepteur
• Imagerie basée sur l’absorption des RX/ tissus
• Informations sur densités des tissus
• Acquisition spiralée :
• déplacement continu de la table d’examen associé à la
rotation concomitante du tube à rayons X
• La reconstruction en volume des coupes acquises
s’effectue sur une console indépendante
• Injection intra-veineuse d’ioded’iode
• Examen peu invasif (injection iode, RX)
• Respect des contre-indications
• femme enceinte (RX)femme enceinte (RX)
• allergie à l’iode,allergie à l’iode,
• insuffisance rénale,insuffisance rénale,
• diabétique sous biguanidediabétique sous biguanide
• Temps d’examen rapide (5-10 minutes)
• Reconstruction volumique plus longue (± 20 minutes)
• Examen peu opérateur-dépendant
• Renseignements morphologiques
SCANNER
IRM
• Champ magnétique puissantChamp magnétique puissant
• Imagerie du proton (noyau d’hydrogène)
• Temps de relaxation et d’écho des spins
• T1, T2, imagerie fonctionnelle (IRMf, diffusion, Spectro)
• Etude multiplanaire (sagittal, coronal, axial)
• Séquences angiographiques utilisées
• Phénomène de flux (pas d’injection de produit de contraste)
• Opacification vasculaire
(injection IV d’un produit de contraste paramagnétique)
• Examen non invasif (pas d’iode, pas de rayons X)
• Respect des contre-indicationscontre-indications:
• Pace-makers,
• certaines valves cardiaques et clips vasculaires,
• certains corps étrangers ferromagnétiques
(oculaires, prothèses cochléaires)
• Claustrophobie
• Temps d’examen long (30 minutes: X séquences 5 min)
• Renseignements essentiellement morphologiques,
mais potentiellement fonctionnels
IRM
• Tube à rayons X + amplificateur de brillance
• Opacification des vaisseaux par
l’injection intra-artériellel’injection intra-artérielle de produit de contraste iodé
• Introduction d’une sonde dans l’artère fémorale
jusqu’aux vaisseaux du cou sous contrôle radioscopique.
• Examen dynamique:
•Etude artérielle, parenchymateuse puis veineuse
ANGIOGRAPHIE NUMERISEE
ANGIOGRAPHIE
NUMERISEE
Examen de référence
• Excellente résolution spatiale
• Etude de l’origine des TSA jusqu’à leurs branches
terminales encéphaliques
Mais :
• Examen invasif qui comporte des risques
locaux et généraux :
morbidité 1 à 5 %
complications neurologiques 2 % dont
0,3 à 1% AIConstitué
• Hospitalisation (24h)
• Sédation voire anesthésie
Angiographie vs ARM
Imagerie du SNC
Scanner cérébral
– Rayons X
– Imagerie en coupes
– Avec ou sans injection (IV -) de PDC iodé
IRM cérébrale
– Champ magnétique (1,5 ou 3 Tesla)
– Imagerie en coupes
Exploration des Vaisseaux
– Angioscanner, AngioIRM,
– Angiographie/artériographie :
Invasif, Rayons X + injection PDC iodé
Analyse de l’image en TDM
Absorption des rayons X pour un élément chimique donné dépend :
– Du nombre atomique Z, de sa densité
– De l’énergie du rayonnement incident
Mesure de coefficients d’atténuation linéaire, rapportés à un coefficient de référence : eau
Echelle de coefficient d’atténuation : Unité Hounsfield (UH)
Définition d’un processus pathologique
– (isodense, hyperdense, hypodense) par rapport aux valeurs du cerveau normal
+1000 UH
OS
AIR
- 1000 UH
EAU (LCS) 0
UH
S Blanche
Sang +100
GRAISSE
-100 UH
S. Grise
Dte
Av
Gche
Arr
Scanner cérébral normal (IV -)
Etage sous tentoriel Etage sus tentoriel
Scanner cérébral normal IV+
Risques liés aux produits
de contraste iodés
Réaction allergique :
Réactions mineures : urticaire localisé
Réactions modérées : urticaire géant, vomissements, oedème
Réactions sévères : oedème laryngé, oedème pulmonaire,
bronchospasme, collapsus, arrêt cardiaque,
Décès = 1/100 000 cas.
Nephrotoxicite des produits de contraste
 Insuffisance Rénale Aigue : nécrose tubulaire ischémique
 Facteurs de risque : IR préexistante, myélome, diabète, hypovolémie,
médicaments néphrotoxiques, volume de PCI, injections PCI répétées
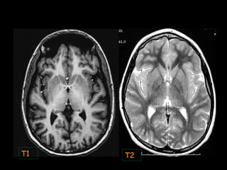
SE T1 Aspect en échelle de gris SE T2
Blanc
(Hypersignal)
Graisse LCS
S Blanche Graisse
S Grise
S Grise Gris S Blanche
LCS
Calcium
Air
Calcium
Air
Noir
(Hyposignal)
Imagerie par Résonance MagnétiqueImagerie par Résonance Magnétique
T1 T2
T2
FLAIR
FLuid Attenuated Inversion Recovery
Imagerie du SNC
Principaux examens en Neuroradiologie
– Scanner, IRM, artériographie
Sémiologie élémentaire :
ou comment je lis un examen ?
(et j’arrête de dire « Ya ça là »!)
– Le « ça »:
• hyper/hypo densité (TDM)
• hyper/hyposignal (IRM)
• la forme, la taille, le nombre
– Le « là »:
• topographie : intra / extra-axiale
• l’étendue
– Le retentissement:
• effet de masse
• engagement
Isodensité
Densité des NGC =
densité du cortex cérébral
L : noyau lenticulaire
Th : Thalamus
NC : Tête du noyau caudé
Densité s. grise > s. blanche
Hypodensité (noir)
Leucoaraiose
Encéphalite
AVC
oedeme cytotoxique
Tumeur
Oedeme vasogénique
Hyperdensité (blanc)
Hématome
BallesLipiodol
Calcifications
Isosignal : comme cerveau (SG)
Iso T1
Hyper DiffusionIso FLAIR
Hyper FLAIR Iso T2Iso T1
Hypersignal T2 / hyposignal T1
(signal « liquidien »)
Abcès
Astrocytome
SEP
Hypersignal T1
Graisse
Sang
(méthémoglobine)
Gadolinium
Post-hypophyse
Protéine
Mélanine
T1 Fat Sat
Système ventriculaire
normal
Hydrocéphalie
hydrocéphalie
Hydrocéphalie active
Kyste
colloïde
Schwannome
vestibulaire
Contenu ventriculaire
Hémorragie
intraventriculaire
Abcès
Tumeur
Compression ventriculaire
Effet de masse
Processus expansif
– Tumeur, abcès, hématome, kyste, etc...
Conséquences:
– Déplacement: ligne médiane, ventricules, parenchyme
– Compression des espaces sous arachnoïdiens
Risque = engagement
Engagements cérébraux
Effet de masse :
engagement sous falcoriel
Engagement sous-falcoriel
Engagement temporal
Engagement occipital
Imagerie du SNC
Principaux examens en Neuroradiologie
– Scanner, IRM, artériographie
Sémiologie élémentaire
– Hyper/hypo densité, hyper/hyposignal,
effet de masse, engagement
Principales pathologies
– Tumeurs, AVC: hémorragique et ischémique, maladies de la
SB
Pathologie tumorale intracrâniennePathologie tumorale intracrânienne
SémiologieSémiologie
• Topographie lésionnelle
• Œdème/Infiltration
• Prise de contraste et rupture de la BHE
• Nécrose centro-tumorale
• Effet de masse
• Engagement
Topographie lésionnelle
Intra-axiale Extra-axiale
Intra ou extra-axiale ?
Possible
– Base d’implantation large
– Modifications osseuses
– Rehaussement méningé
– Éloignement du cerveau /
crâne
Certain
– LCS entre cerveau et tumeur
– Cortex entre lésion et SB
– Vaisseaux entre les 2
Œdème péri-tumoral (vasogénique)
Hyposignal T1 / hypersignal T2
Limité par le corps calleux et les fibres en U
Aspects en « doigts de gants »
Œdème ou
infiltration ?
Infiltration:
atteinte
corticale
Oedème:
Pas d’atteinte
corticale
Nécrose centro-tumorale
Tumeurs de haut grade
Nécrose non hémorragique : Hypo T1, Hyper T2
Prise de contraste
Traduit souvent la malignité des tumeurs intra-parenchymateuses
2 mécanismes
– Rupture de la BHE
– néovascularisation
Lymphome Glioblastome
Association éléments sémiologiques
Effet de masse
Oedéme péri-tumoral
Prise de contraste (rupture BHE)
Nécrose centro-tumorale
Tumeur de haut grade de malignité
Accidents vasculaires cérébrauxAccidents vasculaires cérébraux
Hémorragiques et Ischémiques
Hématome sous et extra duraux
Hématome extra-dural (HED)
– sang entre dure-mère et table interne de la voûte
– fracture + plaie de l’artère méningée moyenne
– lentille biconvexe, hyperdense
Hématome sous-dural (HSD)
– sang entre arachnoïde et dure-mère
– plaie d’une veine corticale
– croissant hyperdense
Associations : 1HED + 1 HSD, 2 HSD
HED/HSD
HED HSD
Age du saignement
HSD aigu : hyperdense
HSD non opéré stade subaigu : isodense
HSD chronique : hypodense
Hémorragie Sous-Arachnoïdienne
(Hémorragie méningée)
Irruption de sang ESA
Céphalée soudaine, intense
«Coup de tonnerre dans un ciel serein»
Syndrome méningé sans fièvre
La cause la plus fréquente est la rupture
d’un anévrisme intracrânien
Hémorragie méningée:
SCANNER en URGENCE !
Scanner sans injection = Examen de 1ère intention
Hyperdensité spontanée des espaces sous arachnoïdiens
HSA et Scanner
Visibilité diminue au fil des jours…
Persistance de l’hyperdensité fonction de
l’abondance du saignement
HSA et scanner normal:
– 10% des cas
– Saignement minime
– Réalisation tardive
Diagnostic = Ponction lombaire
Hémorragie sous-arachnoïdienne (HSA)
= hémorragie méningée (HM)
– post-traumatique
– rupture d’anévrisme, de MAV
– hématome intra-cérébral
souvent associé
Hyperdensité spontanée des espaces sous arachnoïdiens:
citernes de la base et sillons corticaux
HM
HSA post traumatique
Hypersignal des ESA sur la séquence FLAIR
Hémorragie sous-arachnoïdienne (HSA)
Rupture d’anévrysme
ArtériographieAngioscanner
Hématome intracérébral
Hématome intracérébral et Scanner
Stade subaigu :
– 1 à 6 semaines
– Evolution de la périphérie vers le centre
– L’hyperdensité devient progressivement isodense
SEMIOLOGIE IRM
Sang non circulant et hématomes
Sémio IRM complexe, elle dépend :
. du siège de l'hématome : intra ou extra-cérébral
. du champ magnétique de la machine (1T – 3Teslas)
. du type de séquence : T1, T2, écho de gradient ou écho de spin
. de l’évolution dans le temps +++ : des produits de dégradation
de l'hémoglobine
Hématome Intracérébral
Stade Contenu T1 T2 TDM
Hyperaigu
Premières heures)
oxyHb Iso Hyper Hyper
Aigu
< 3 jours)
DesoxyHb Iso Hypo Hyper
Subaigu précoce
(4 à 7jours)
MetHb Intra-cellulaire Hyper Hypo Hyper puis Iso
Subaigu tardif
(fin de la 1ère
semaine
à quelques semaines)
MetHb extra-cellulaire
Couronne d’Hémosidérine
Hyper
Hypo
Hyper
Hypo
Iso puis Hypo (> 6 sem)
Chronique Hémosidérine intra-
macrophagique
Hypo Hypo Hypo
Aigu Subaigu Chronique
T1 T2 T1 T2 T1 et T2
Z O R R O
Hématome au stade Hyperaigu :J0
Hématome à 1ZO(rro) : hématome < 2J
(zo)RR(o) :
Hématome subaigu = 2 sem.
T1
T2 Flair T2*
Hématome au stade séquellaire > 3 sem: (zorr)O
T1 T2*
Ischémie cérébrale et Scanner
Signes précoces:
Sémiologie de l’œdème cytotoxique :
– Hypodensité prédominant dans la substance grise
– Dédifférenciation substance grise-substance blanche
Dédifférenciation gris-blanc
Evolution de l’hypodensité
– Scanner le plus souvent normal au début
– Lésion visible après la 12ème heure
– Hypodensité systématisée à un territoire artériel
• Cortico-sous-corticale
• Triangulaire, à base périphérique
– S ’accentue franchement à partir de la 3ème semaine
– Hypodensité liquidienne séquellaire avec signes d ’atrophie
cérébrale localisée à partir de la 5ème semaine
Ischémie cérébrale et Scanner
Ischémie : J1 Ischémie > 5ème semaine
Signes associés :
– ±Thrombus intra-artériel : Hyperdensité spontanée
de l ’artère cérébrale moyenne au stade aigu
– ± Effet de masse : œdème vasogénique associée
– Rupture de la barrière hémato-encéphalique : Prise
de contraste corticale gyriforme au stade
intermédiaire (5j-5sem)
Ischémie cérébrale et Scanner
« Trop belle sylvienne »
Effet de masse
Prise de contraste gyriforme
• Hypodensité dans le territoire de l’artère cérébrale occluse,
• Positivité tardive du scanner +++
AVC ischémique
IRM plus sensible que le scanner :
– Diagnostic plus précoce
– Infarctus de petite taille
– Etendue et gravité de l’infarctus dès les premières
heures (diffusion, perfusion)
Thrombolyse si <4.5h
Nécessité d’établir un diagnostic positif
IRM et ischémie
IRM et ischémie
Séquence de diffusion+++
- positive précocement
- sensible
- spécifique
Principe :
Mesure la mobilité de la molécule d’eau dans un tissu
Dans le tissu ischémié, à la phase précoce, l’eau est
« piégée » dans les cellules : la mobilité des molécules
d’eau est moindre
Ischémie récente =
hypersignal en diffusion et
diminution du coefficient de diffusion
Coefficient de diffusionHypersignal diffusion
48 heures48 heures
TDMTDM FLAIRFLAIR DiffusionDiffusion ADCADC
Accident
ischémique
à 3 heures
Flair Diffusion Perfusion
AccidentAccident
ischémiqueischémique
à 3 heuresà 3 heures
Evolution sans traitementEvolution sans traitement
2 jours après2 jours après
Pathologies de la substance blanche
Inflammatoires (SEP)
Dégénératives
Sclérose en plaque
Femme jeune ++
Hypersignaux T2 et FLAIR de la substance
blanche « disséminés dans le temps et l’espace »
Prédominance péri ventriculaire (grand axe
perpendiculaire au ventricule) et corps calleux++
Si ancien : hyposignal T1 (« trou noir »)
Savoir formuler une demande d'examen
Une demande d'examen :
Décrit un tableau neurologique, sa date d'installation et son mode de début,
brutal ou progressif, son mode évolutif, les antécédents du patient
Précise les traitements en cours, les pathologies associées, le terrain allergique,
la coopération prévisible du patient
Documente les contre-indications
Une demande d'examen correctement formulée pose une question
INDICATION : résume la demande d'examen
TECHNIQUE : principes de réalisation des examens d'imagerie
RESULTATS : connaissances d'anatomie et de pathologies
appliquées à l'imagerie
CONCLUSION : répond à la question posée
Savoir lire un compte-rendu d'examen
Conclusion
Scanner
– Sémiologie simple
(hypo/hyperdensité)
– Disponible
– Parfait pour l’urgence
IRM
– Plus complexe, plus précis+++
– Examen plus long
– Examen de choix neuroradiologie

Semiologie semio neuroradio

  • 1.
    Sémiologie Neuroradiologique Pr FabriceBonneville Service de neuroradiologie
  • 2.
    Objectifs Connaître les différentesméthodes d’exploration en Neuroradiologie Rappeler des notions de radio-anatomie Découvrir la sémiologie: – Scanner : • Hypodensité • Hyperdensité – IRM • T1 • T2 / FLAIR
  • 3.
    Imagerie du SNC Principauxexamens en Neuroradiologie – Echo-doppler, Scanner, IRM, artériographie Sémiologie élémentaire – Hyper/hypo densité (TDM) – hyper/hyposignal (IRM) – Topographie – effet de masse – engagement Principales pathologies – Tumeurs, AVC: hémorragique et ischémique, maladies de la SB
  • 4.
    Utilise les ultra-sons Sondeémettrice-réceptrice Image échographique en échelle de gris Intérêt « vasculaire » en neuroradio ECHOGRAPHIE-DOPPLER
  • 5.
    ECHOGRAPHIE-DOPPLER Examen non invasif Aucunecontre-indication Morphologique et hémodynamique Mais : • Opérateur dépendant • zones mal explorées
  • 6.
    SCANNER • Tube àrayons Xrayons X émetteur et récepteur • Imagerie basée sur l’absorption des RX/ tissus • Informations sur densités des tissus • Acquisition spiralée : • déplacement continu de la table d’examen associé à la rotation concomitante du tube à rayons X • La reconstruction en volume des coupes acquises s’effectue sur une console indépendante • Injection intra-veineuse d’ioded’iode
  • 8.
    • Examen peuinvasif (injection iode, RX) • Respect des contre-indications • femme enceinte (RX)femme enceinte (RX) • allergie à l’iode,allergie à l’iode, • insuffisance rénale,insuffisance rénale, • diabétique sous biguanidediabétique sous biguanide • Temps d’examen rapide (5-10 minutes) • Reconstruction volumique plus longue (± 20 minutes) • Examen peu opérateur-dépendant • Renseignements morphologiques SCANNER
  • 9.
    IRM • Champ magnétiquepuissantChamp magnétique puissant • Imagerie du proton (noyau d’hydrogène) • Temps de relaxation et d’écho des spins • T1, T2, imagerie fonctionnelle (IRMf, diffusion, Spectro) • Etude multiplanaire (sagittal, coronal, axial) • Séquences angiographiques utilisées • Phénomène de flux (pas d’injection de produit de contraste) • Opacification vasculaire (injection IV d’un produit de contraste paramagnétique)
  • 11.
    • Examen noninvasif (pas d’iode, pas de rayons X) • Respect des contre-indicationscontre-indications: • Pace-makers, • certaines valves cardiaques et clips vasculaires, • certains corps étrangers ferromagnétiques (oculaires, prothèses cochléaires) • Claustrophobie • Temps d’examen long (30 minutes: X séquences 5 min) • Renseignements essentiellement morphologiques, mais potentiellement fonctionnels IRM
  • 12.
    • Tube àrayons X + amplificateur de brillance • Opacification des vaisseaux par l’injection intra-artériellel’injection intra-artérielle de produit de contraste iodé • Introduction d’une sonde dans l’artère fémorale jusqu’aux vaisseaux du cou sous contrôle radioscopique. • Examen dynamique: •Etude artérielle, parenchymateuse puis veineuse ANGIOGRAPHIE NUMERISEE
  • 13.
    ANGIOGRAPHIE NUMERISEE Examen de référence •Excellente résolution spatiale • Etude de l’origine des TSA jusqu’à leurs branches terminales encéphaliques Mais : • Examen invasif qui comporte des risques locaux et généraux : morbidité 1 à 5 % complications neurologiques 2 % dont 0,3 à 1% AIConstitué • Hospitalisation (24h) • Sédation voire anesthésie
  • 22.
  • 23.
    Imagerie du SNC Scannercérébral – Rayons X – Imagerie en coupes – Avec ou sans injection (IV -) de PDC iodé IRM cérébrale – Champ magnétique (1,5 ou 3 Tesla) – Imagerie en coupes Exploration des Vaisseaux – Angioscanner, AngioIRM, – Angiographie/artériographie : Invasif, Rayons X + injection PDC iodé
  • 24.
    Analyse de l’imageen TDM Absorption des rayons X pour un élément chimique donné dépend : – Du nombre atomique Z, de sa densité – De l’énergie du rayonnement incident Mesure de coefficients d’atténuation linéaire, rapportés à un coefficient de référence : eau Echelle de coefficient d’atténuation : Unité Hounsfield (UH) Définition d’un processus pathologique – (isodense, hyperdense, hypodense) par rapport aux valeurs du cerveau normal +1000 UH OS AIR - 1000 UH EAU (LCS) 0 UH S Blanche Sang +100 GRAISSE -100 UH S. Grise Dte Av Gche Arr
  • 25.
    Scanner cérébral normal(IV -) Etage sous tentoriel Etage sus tentoriel
  • 26.
  • 27.
    Risques liés auxproduits de contraste iodés Réaction allergique : Réactions mineures : urticaire localisé Réactions modérées : urticaire géant, vomissements, oedème Réactions sévères : oedème laryngé, oedème pulmonaire, bronchospasme, collapsus, arrêt cardiaque, Décès = 1/100 000 cas. Nephrotoxicite des produits de contraste  Insuffisance Rénale Aigue : nécrose tubulaire ischémique  Facteurs de risque : IR préexistante, myélome, diabète, hypovolémie, médicaments néphrotoxiques, volume de PCI, injections PCI répétées
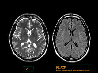
  • 28.
    SE T1 Aspecten échelle de gris SE T2 Blanc (Hypersignal) Graisse LCS S Blanche Graisse S Grise S Grise Gris S Blanche LCS Calcium Air Calcium Air Noir (Hyposignal) Imagerie par Résonance MagnétiqueImagerie par Résonance Magnétique
  • 29.
  • 30.
  • 32.
    Imagerie du SNC Principauxexamens en Neuroradiologie – Scanner, IRM, artériographie Sémiologie élémentaire : ou comment je lis un examen ? (et j’arrête de dire « Ya ça là »!) – Le « ça »: • hyper/hypo densité (TDM) • hyper/hyposignal (IRM) • la forme, la taille, le nombre – Le « là »: • topographie : intra / extra-axiale • l’étendue – Le retentissement: • effet de masse • engagement
  • 33.
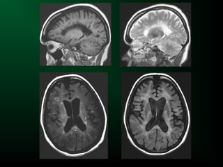
    Isodensité Densité des NGC= densité du cortex cérébral L : noyau lenticulaire Th : Thalamus NC : Tête du noyau caudé Densité s. grise > s. blanche
  • 34.
  • 35.
  • 36.
    Isosignal : commecerveau (SG) Iso T1 Hyper DiffusionIso FLAIR Hyper FLAIR Iso T2Iso T1
  • 37.
    Hypersignal T2 /hyposignal T1 (signal « liquidien ») Abcès Astrocytome SEP
  • 38.
  • 39.
  • 40.
  • 41.
  • 42.
  • 43.
  • 44.
    Effet de masse Processusexpansif – Tumeur, abcès, hématome, kyste, etc... Conséquences: – Déplacement: ligne médiane, ventricules, parenchyme – Compression des espaces sous arachnoïdiens Risque = engagement
  • 45.
  • 46.
    Effet de masse: engagement sous falcoriel
  • 47.
  • 48.
  • 49.
  • 50.
    Imagerie du SNC Principauxexamens en Neuroradiologie – Scanner, IRM, artériographie Sémiologie élémentaire – Hyper/hypo densité, hyper/hyposignal, effet de masse, engagement Principales pathologies – Tumeurs, AVC: hémorragique et ischémique, maladies de la SB
  • 51.
    Pathologie tumorale intracrâniennePathologietumorale intracrânienne SémiologieSémiologie • Topographie lésionnelle • Œdème/Infiltration • Prise de contraste et rupture de la BHE • Nécrose centro-tumorale • Effet de masse • Engagement
  • 52.
  • 53.
    Intra ou extra-axiale? Possible – Base d’implantation large – Modifications osseuses – Rehaussement méningé – Éloignement du cerveau / crâne Certain – LCS entre cerveau et tumeur – Cortex entre lésion et SB – Vaisseaux entre les 2
  • 54.
    Œdème péri-tumoral (vasogénique) HyposignalT1 / hypersignal T2 Limité par le corps calleux et les fibres en U Aspects en « doigts de gants »
  • 55.
  • 56.
    Nécrose centro-tumorale Tumeurs dehaut grade Nécrose non hémorragique : Hypo T1, Hyper T2
  • 57.
    Prise de contraste Traduitsouvent la malignité des tumeurs intra-parenchymateuses 2 mécanismes – Rupture de la BHE – néovascularisation Lymphome Glioblastome
  • 58.
    Association éléments sémiologiques Effetde masse Oedéme péri-tumoral Prise de contraste (rupture BHE) Nécrose centro-tumorale Tumeur de haut grade de malignité
  • 59.
    Accidents vasculaires cérébrauxAccidentsvasculaires cérébraux Hémorragiques et Ischémiques
  • 60.
    Hématome sous etextra duraux Hématome extra-dural (HED) – sang entre dure-mère et table interne de la voûte – fracture + plaie de l’artère méningée moyenne – lentille biconvexe, hyperdense Hématome sous-dural (HSD) – sang entre arachnoïde et dure-mère – plaie d’une veine corticale – croissant hyperdense Associations : 1HED + 1 HSD, 2 HSD
  • 61.
  • 62.
    Age du saignement HSDaigu : hyperdense HSD non opéré stade subaigu : isodense HSD chronique : hypodense
  • 63.
    Hémorragie Sous-Arachnoïdienne (Hémorragie méningée) Irruptionde sang ESA Céphalée soudaine, intense «Coup de tonnerre dans un ciel serein» Syndrome méningé sans fièvre La cause la plus fréquente est la rupture d’un anévrisme intracrânien
  • 64.
    Hémorragie méningée: SCANNER enURGENCE ! Scanner sans injection = Examen de 1ère intention Hyperdensité spontanée des espaces sous arachnoïdiens
  • 65.
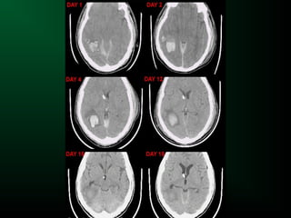
    HSA et Scanner Visibilitédiminue au fil des jours… Persistance de l’hyperdensité fonction de l’abondance du saignement HSA et scanner normal: – 10% des cas – Saignement minime – Réalisation tardive Diagnostic = Ponction lombaire
  • 66.
    Hémorragie sous-arachnoïdienne (HSA) =hémorragie méningée (HM) – post-traumatique – rupture d’anévrisme, de MAV – hématome intra-cérébral souvent associé
  • 67.
    Hyperdensité spontanée desespaces sous arachnoïdiens: citernes de la base et sillons corticaux
  • 68.
  • 69.
    Hypersignal des ESAsur la séquence FLAIR Hémorragie sous-arachnoïdienne (HSA)
  • 70.
  • 73.
  • 74.
    Hématome intracérébral etScanner Stade subaigu : – 1 à 6 semaines – Evolution de la périphérie vers le centre – L’hyperdensité devient progressivement isodense
  • 76.
    SEMIOLOGIE IRM Sang noncirculant et hématomes Sémio IRM complexe, elle dépend : . du siège de l'hématome : intra ou extra-cérébral . du champ magnétique de la machine (1T – 3Teslas) . du type de séquence : T1, T2, écho de gradient ou écho de spin . de l’évolution dans le temps +++ : des produits de dégradation de l'hémoglobine
  • 77.
    Hématome Intracérébral Stade ContenuT1 T2 TDM Hyperaigu Premières heures) oxyHb Iso Hyper Hyper Aigu < 3 jours) DesoxyHb Iso Hypo Hyper Subaigu précoce (4 à 7jours) MetHb Intra-cellulaire Hyper Hypo Hyper puis Iso Subaigu tardif (fin de la 1ère semaine à quelques semaines) MetHb extra-cellulaire Couronne d’Hémosidérine Hyper Hypo Hyper Hypo Iso puis Hypo (> 6 sem) Chronique Hémosidérine intra- macrophagique Hypo Hypo Hypo Aigu Subaigu Chronique T1 T2 T1 T2 T1 et T2 Z O R R O
  • 78.
    Hématome au stadeHyperaigu :J0
  • 79.
    Hématome à 1ZO(rro): hématome < 2J
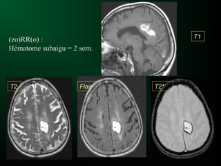
  • 80.
    (zo)RR(o) : Hématome subaigu= 2 sem. T1 T2 Flair T2*
  • 81.
    Hématome au stadeséquellaire > 3 sem: (zorr)O T1 T2*
  • 82.
    Ischémie cérébrale etScanner Signes précoces: Sémiologie de l’œdème cytotoxique : – Hypodensité prédominant dans la substance grise – Dédifférenciation substance grise-substance blanche
  • 83.
  • 84.
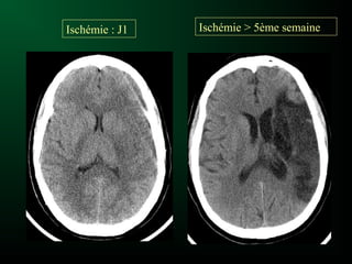
    Evolution de l’hypodensité –Scanner le plus souvent normal au début – Lésion visible après la 12ème heure – Hypodensité systématisée à un territoire artériel • Cortico-sous-corticale • Triangulaire, à base périphérique – S ’accentue franchement à partir de la 3ème semaine – Hypodensité liquidienne séquellaire avec signes d ’atrophie cérébrale localisée à partir de la 5ème semaine Ischémie cérébrale et Scanner
  • 85.
    Ischémie : J1Ischémie > 5ème semaine
  • 86.
    Signes associés : –±Thrombus intra-artériel : Hyperdensité spontanée de l ’artère cérébrale moyenne au stade aigu – ± Effet de masse : œdème vasogénique associée – Rupture de la barrière hémato-encéphalique : Prise de contraste corticale gyriforme au stade intermédiaire (5j-5sem) Ischémie cérébrale et Scanner
  • 87.
    « Trop bellesylvienne »
  • 88.
  • 89.
  • 90.
    • Hypodensité dansle territoire de l’artère cérébrale occluse, • Positivité tardive du scanner +++ AVC ischémique
  • 91.
    IRM plus sensibleque le scanner : – Diagnostic plus précoce – Infarctus de petite taille – Etendue et gravité de l’infarctus dès les premières heures (diffusion, perfusion) Thrombolyse si <4.5h Nécessité d’établir un diagnostic positif IRM et ischémie
  • 92.
    IRM et ischémie Séquencede diffusion+++ - positive précocement - sensible - spécifique Principe : Mesure la mobilité de la molécule d’eau dans un tissu Dans le tissu ischémié, à la phase précoce, l’eau est « piégée » dans les cellules : la mobilité des molécules d’eau est moindre
  • 93.
    Ischémie récente = hypersignalen diffusion et diminution du coefficient de diffusion Coefficient de diffusionHypersignal diffusion
  • 94.
    48 heures48 heures TDMTDMFLAIRFLAIR DiffusionDiffusion ADCADC Accident ischémique à 3 heures
  • 95.
    Flair Diffusion Perfusion AccidentAccident ischémiqueischémique à3 heuresà 3 heures Evolution sans traitementEvolution sans traitement 2 jours après2 jours après
  • 96.
    Pathologies de lasubstance blanche Inflammatoires (SEP) Dégénératives
  • 97.
    Sclérose en plaque Femmejeune ++ Hypersignaux T2 et FLAIR de la substance blanche « disséminés dans le temps et l’espace » Prédominance péri ventriculaire (grand axe perpendiculaire au ventricule) et corps calleux++ Si ancien : hyposignal T1 (« trou noir »)
  • 99.
    Savoir formuler unedemande d'examen Une demande d'examen : Décrit un tableau neurologique, sa date d'installation et son mode de début, brutal ou progressif, son mode évolutif, les antécédents du patient Précise les traitements en cours, les pathologies associées, le terrain allergique, la coopération prévisible du patient Documente les contre-indications Une demande d'examen correctement formulée pose une question
  • 100.
    INDICATION : résumela demande d'examen TECHNIQUE : principes de réalisation des examens d'imagerie RESULTATS : connaissances d'anatomie et de pathologies appliquées à l'imagerie CONCLUSION : répond à la question posée Savoir lire un compte-rendu d'examen
  • 101.
    Conclusion Scanner – Sémiologie simple (hypo/hyperdensité) –Disponible – Parfait pour l’urgence IRM – Plus complexe, plus précis+++ – Examen plus long – Examen de choix neuroradiologie