Techniques radiologiques : Rachis cervical  et dorsal Dr A. SALEM Radiologie, HCN
Rappel anatomique Vertèbre fondamentale: Corps:  2/3 d’un cylindre Arc postérieur: Amarré au corps par les  2 pédicules. 2 lames  au niveau postérieur prolongées par  l’apophyse épineuse   2 apophyses transverses  latéralement 2  apophyse articulaires supérieures  et  2  inférieures  aux deux extrémités d’une colonnette osseuses intercalée entre le pédicule en avant, la lame en arrière La partie moyenne de cette colonnette:  isthme
 
Image radiologique de face Corps vertébral:   Rectangulaire rapport constant hauteur/largeur = 2/3 Limites supérieures et inférieures planes: plateaux Pédicules :   Yeux vides regardant bien de face Apophyse épineuse:   Nez au milieu de la figure Rappel anatomique
Image radiologique de face Apophyses transverses : bras écartées Lames :  bande claire horizontale  ±  rétrécie en son milieu en superposition avec l’ombre du corps vertébral. Apophyses articulaires  sup. et inf. : cornes épaisses
Image radiologique de profil: Corps vertébral en avant: Rectangulaire, Bord postérieur épaissi: projection du mur postérieur Apophyse épineuse en arrière mince donc peu lisible Entre corps vertébral et apophyse épineuse se projettent en superposition: Les pédicules droits et gauches Les apophyses articulaires  et les colonnes postérieures  en partie constitués par l’isthme
segment articulaire:  Autorise et contrôle les mouvements d’une vertèbre sur une autre. D’avant en arrière: Disque Trous de conjugaison Articulations inter apophysaires Ligament inter épineux (et ligament jaune) Rappel anatomique
Disque Espace sombre entre deux plateaux vertébraux de 2 vertèbres empilées. Limité par deux plateaux vertébraux plans ou légèrement concaves, presque parallèles La hauteur est sensiblement la même pour chaque segment rachidien. Pincement : «  jamais à l’état normal, dans chaque région, la hauteur d’un disque ne décroît d’un étage à l’étage sous-jacent » Rappel anatomique
Rôle du rachis cervical Rôle  statique et dynamique Solidité/ support Mobilité de la tête  Rôle de protection de l’axe nerveux  Vecteur à l’axe vasculaire vertébral
Anatomie du Rachis cervical Rachis cervical supérieur:  jonction cranio-rachidienne Rachis cervical inférieur Condyles occipitaux Vertèbres cervicales de C3 à C7 ,C1 ,C2.
 
 
 
 
 
 
 
 
 
Radiographie conventionnelle  Incidence de face Incidence de profil  (neutre et dynamique) Incidence oblique antéro-postérieure (¾) Incidence de Dorland Incidence centrée sur la charnière cervico-occipitale (F+P) Incidence centrée sur la charnière cervico-dorsale
INCIDENCE DE FACE Cassette 18 X 24 en long Distance foyer-film = 1 mètre Incidence antéro-postérieure Patient assis, tête en légère extension, épaules tombantes Rayon ascendant de 20 ° vers la tête Centrage au niveau du cartilage thyroïde (pomme d’Adam)
Critères de réussite Visualisation des corps vertébraux de C3 à D2  Dégagement des sommets pulmonaires et des deux premières côtes Bien de face Position médiane de la trachée Épineuses médianes par rapport à la ligne des pédicules Distance égale entre l’uncus et l’épineuse des deux côtés D2 C3
Résultat: Bonne visualisation des corps vertébraux (Face sup et inf) Bonne visualisation des uncus  C1, C2 sont masqués Arc postérieur mal analysé
Incidence de profil Cassette 24 X 30 cm. Distance foyer-film 1.5 m  Patient assis sur un tabouret, tête de profil, épaules bien abaissées. Rayon directeur horizontal. Centrage à mi-distance entre l’angle mandibulaire et l’épaule à la verticale du CAE. Diaphragmer latéralement
Critères de réussite: Visualisation de toutes les vertèbres cervicales jusqu’à C7 Les disques doivent être bien enfilés profil Superposition des angles mandibulaires, des apophyses articulaires droites et gauches. Lignes verticales  régulières et parallèles entre elles.
Ligne des parties molles  Ligne corporéale antérieure Ligne corporéale postérieure  Ligne des masses articulaires antérieure Ligne des masses articulaires postérieure Ligne des corticales spino-lamaires Ligne des épineuses Résultat: Lordose cervicale 7 lignes:
Ligne des parties molles  Ligne corporéale antérieure Ligne corporéale postérieure  Ligne des masses articulaires antérieure Ligne des masses articulaires postérieure Ligne des corticales spino-lamaires Ligne des épineuses Résultat: Lordose cervicale 7 lignes:
Le diamètre du canal rachidien entre le bord postérieur du corps vertébral et la ligne antérieure des épineuses (15 mm). Les lames et les articulaires ont la même densité d’un niveau à un autre.
Les incidences de profil en flexion et en extension Patient de profil Position maximale du rachis cervical en extension puis en flexion Etudier les déplacements relatifs de chaque vertèbre.
 
Incidences obliques antéro-postérieures ( ¾ )  Cassette 24 X 30  Distance foyer film = 1 m. Patient assis sur un tabouret. Epaules abaissées au maximum. Plan du dos faisant un angle de 45° avec la table placée verticalement. Centrage au niveau de la pomme d’Adam. Rayon incliné ascendant de 20° OPG: trous droits OPD: trous gauches
Résultat: Trous de conjugaison tous dégagés et limités par: En haut et en bas par les pédicules. En avant par les coins postéro-latéraux des corps vertébraux, les uncus et les disques. En arrière par les apophyses articulaires .
Trois quart droit Trou de conjugaison G Trois quart gauche Trou de conjugaison D
Incidence centrée sur la charnière cervico-occipitale de face. Cassette 18 X 24  Distance foyer-film = 1 m. Patient assis de face en AP. Bouche grande ouverte. Rayon directeur horizontal. Centrage sur la ligne médiane rasant les incisives supérieures.
* Condyles occipitaux
Condyles occipitaux
 
 
 
 
Critères de réussite: Superposition des incisives supérieures et de la face inférieure de l’occipital. Symétrie des faces latérales de C1 par rapport à l’odontoïde. Odontoïde et épineuse de C2 sur la même ligne médiane. Symétrie des articulations atlonto-axoïdiennes. Epineuse de l’axis massive et bifide, visible à travers le corps vertébral.
Lignes d’intérêt: Ligne bidigastrique : unit les zones d’insertion des muscles digastriques: le sommet de la dent ne doit pas la dépasser. La ligne bimastoïdienne:  unit les pointes des mastoïdes: le sommet de la dent ne doit pas    dépasser cette ligne > 10 mm.
Incidence centrée sur la charnière cervico-occipitale de profil Intérêt :  Stabilité atlanto-occipitale Stabilité de la jonction C1- C2 Détection d’une impression basilaire. Même technique que pour l’incidence de profil. Centrage au niveau du lobe de l’oreille.
Stabilité atlanto-occipitale: Apophyse odontoïde alignée sur la pente du clivus d’une distance de  5 mm  chez l’adulte et  10 mm  pour l ’enfant. Si > 12 mm    instabilité atlanto-occipitale. La tangentielle au bord postérieur du clivus ( ligne de Wackenheim ) doit passer au-dessus du sommet de l’apophyse odontoïde.
Stabilité C1 – C2 La distance maximale entre le bord antérieur de l’apophyse odontoïde et le bord postérieur de l’arc antérieur de C1 est de  5 mm  chez l’enfant et  3 mm  chez l’adulte. Au-delà   Insuffisance du ligament transverse. Si  > 7 mm     Rupture ou insuffisance du ligament alaire.
Impression basilaire Ligne de Mac Gregor : rejoint le bord postérieur du palais osseux et le point le bas situé de l’occiput. Ligne de Chamberlain : Rejoint le bord postérieur du palais osseux au bord antérieur du trou occipital.
Si l’apophyse odontoïde se projette à  >  9 mm  au- delà de la ligne de Mac Gregor >  7mm  au-delà de la ligne de Chamberlain IMPRESSION BASILAIRE
Incidence de Dorland ou des massifs articulaires Cassette 18 X 24  Distance foyer-film = 1m. Patient en décubitus dorsal  Epaule bien à plat Tête en hyperextension Rayon incliné de 25° vers les pieds Centrage au niveau de la pomme d’Adam.
Intérêt: Efface les corps vertébraux Etudie:  les inter-articulaires postérieures de face. Les massifs articulaires postérieurs Arcs postérieurs
 
Rachis Dorsal Le rôle essentiel du rachis dorsal : protection de l'axe médullaire morphologie des pièces vertébrales et plus particulièrement des arcs postérieurs permet au rachis d'assurer cette fonction prioritaire rachis dorsal: maintien de la statique et à la mobilité de l'axe rachidien secondaire.
Variante thoracique: corps vertébral est arrondi en avant et latéralement  pédicules s'implantent à la face postérolatérale du corps vertébral, dans sa moitié supérieure  Lames hautes s’imbriquant entre elles. Apophyses épineuses très longues, verticale surtout de D3 à D9. Les articulations inter apophysaires sont dans un plan frontal ( ne s’individualisent pas de face et superposés de profil). Arc postérieur très long par rapport au corps vertébral. Rappel anatomique
 
 
Technique Rachis dorsal de face: Concavité antérieure    incidence antéropostérieure
Rachis dorsal de face RD : horizontal Centrage: 2 travers de doigts en dessous de la ligne joignant les deux aisselles (médiosternal) critères de réussite: visibilité de l’ensemble du rachis dorsal Bon dégagement des Disques InterVertébraux Position médiane de la ligne des épineuses. Pédicules symétriques et à égale distance de la ligne des épineuses
 
Si scoliose; profil du côté de la scoliose Sujet debout de profil strict, les avants bras croisés en pronation forcée. RD : horizontal Centrage : pointe de l’omoplate. PER RESPIRATOIRE  (effacer les côtes) Temps de pose long, expiration lente Rachis dorsal de profil
Critères de réussite:  bonne visibilité des trous de conjugaison Aspect linéaire des plateaux vertébraux
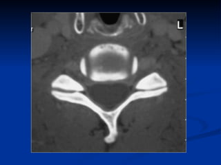
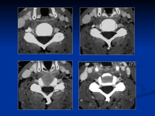
TDM cervicale  Acquisition hélicoïdale Matrice 512 x 512 Petite épaisseur de coupe Injection IV de PC: épidurographie Faible quantité de graisse dans le rachis cervical Reconstruction 2D/3D
TDM injectée Épidurographie Base de la sémiologie TDM des HD
TDM+INJECTION IV AVANTAGES Technique ambulatoire, généralisée Bonne visualisation des structures osseuses Bonne sensibilité Reconstruction 2D/3D LIMITES Artéfacts d’épaule Injection IV de PC jamais anodine Médiocre pour l’étude de la moelle Peu sensible en cas de dégénérescence débutante.
 
 
TDM dorsale pathologie vertébrale et non discale  premier temps de l'examen scannographique: cliché numérisé de repérage Face: région dorsale haute Profil: rachis dorsal moyen et bas inclinaison du statif et la réalisation de coupes dans le plan discal ou vertébral  L'acquisition hélicoïdale est indiquée dans le bilan des lésions raumatiques, du fait de la rapidité de l'acquisition  
TDM Les reconstructions multiplanaires et en 3D de surface sont utiles à l'analyse du mur vertébral postérieur.  L'injection intraveineuse de produit de contraste iodé n'est pas systématique: spondylodiscite ou prolifération néoplasique  Le contenu du sac dural ne peut être exploré sans une injection sous-arachnoïdienne de produit de contraste compte tenu du manque de contrastes naturels lié à la pauvreté en graisse épidurale
IRM Multi planaire Multi paramétrique Remarquable résolution en contraste Anodine
IRM cervicale Technique « Scowt view » Séquence sagittale TSE T2 Séquence sagittale TSE T1 Coupe axiale EG T2 Séquence EG à effet myélographique Injection de PC non systématique
 
 
 
 
 
IRM dorsale  coupes  : une acquisition de repérage est réalisée dans un plan frontal  plans de coupe:  plan sagittal objectivant l'ensemble du rachis plan axial transverse pour une étude segmentaire épaisseur de coupe ne doit pas dépasser 3 à 4 mm dans le plan sagittal et 5 à 10 mm dans le plan axial
IRM dorsale Un examen IRM du rachis thoracique comprend le plus souvent : une séquence pondérée en T1, avec des coupes fines (3 à 4 mm) dans un plan sagittal  une séquence pondérée en T2 dans le plan sagittal ;  si besoin, des coupes axiales pondérées T1 ou T2 suivant l'indication.
 
 
 
 
Artéfacts  artefacts de flux :  espace sous arachnoïdien rétromédullaire thoracique, axiales T2 SE rapide    ne doit pas être confondu avec des dilatations vasculaires  artefacts de mouvement:  pulsations cardiaques et aux mouvements respiratoires L’ artefact de Gibbs  (artefact de troncature) hypo-intensité T1 et hyperintensité T2 linéaire centromédullaire parallèle à l’axe de la moelle    ne doit pas être confondu avec une fente syringomyélique. L’ artefact  de déplacement chimique peut effacer le signal de l’un des deux plateaux vertébraux sur les coupes sagittales et frontales pondérées en T1

Technique radiologique rachis cervical

  • 1.
    Techniques radiologiques : Rachiscervical et dorsal Dr A. SALEM Radiologie, HCN
  • 2.
    Rappel anatomique Vertèbrefondamentale: Corps: 2/3 d’un cylindre Arc postérieur: Amarré au corps par les 2 pédicules. 2 lames au niveau postérieur prolongées par l’apophyse épineuse 2 apophyses transverses latéralement 2 apophyse articulaires supérieures et 2 inférieures aux deux extrémités d’une colonnette osseuses intercalée entre le pédicule en avant, la lame en arrière La partie moyenne de cette colonnette: isthme
  • 3.
  • 4.
    Image radiologique deface Corps vertébral: Rectangulaire rapport constant hauteur/largeur = 2/3 Limites supérieures et inférieures planes: plateaux Pédicules : Yeux vides regardant bien de face Apophyse épineuse: Nez au milieu de la figure Rappel anatomique
  • 5.
    Image radiologique deface Apophyses transverses : bras écartées Lames : bande claire horizontale ± rétrécie en son milieu en superposition avec l’ombre du corps vertébral. Apophyses articulaires sup. et inf. : cornes épaisses
  • 6.
    Image radiologique deprofil: Corps vertébral en avant: Rectangulaire, Bord postérieur épaissi: projection du mur postérieur Apophyse épineuse en arrière mince donc peu lisible Entre corps vertébral et apophyse épineuse se projettent en superposition: Les pédicules droits et gauches Les apophyses articulaires et les colonnes postérieures en partie constitués par l’isthme
  • 7.
    segment articulaire: Autorise et contrôle les mouvements d’une vertèbre sur une autre. D’avant en arrière: Disque Trous de conjugaison Articulations inter apophysaires Ligament inter épineux (et ligament jaune) Rappel anatomique
  • 8.
    Disque Espace sombreentre deux plateaux vertébraux de 2 vertèbres empilées. Limité par deux plateaux vertébraux plans ou légèrement concaves, presque parallèles La hauteur est sensiblement la même pour chaque segment rachidien. Pincement : «  jamais à l’état normal, dans chaque région, la hauteur d’un disque ne décroît d’un étage à l’étage sous-jacent » Rappel anatomique
  • 9.
    Rôle du rachiscervical Rôle statique et dynamique Solidité/ support Mobilité de la tête Rôle de protection de l’axe nerveux Vecteur à l’axe vasculaire vertébral
  • 10.
    Anatomie du Rachiscervical Rachis cervical supérieur: jonction cranio-rachidienne Rachis cervical inférieur Condyles occipitaux Vertèbres cervicales de C3 à C7 ,C1 ,C2.
  • 11.
  • 12.
  • 13.
  • 14.
  • 15.
  • 16.
  • 17.
  • 18.
  • 19.
  • 20.
    Radiographie conventionnelle Incidence de face Incidence de profil (neutre et dynamique) Incidence oblique antéro-postérieure (¾) Incidence de Dorland Incidence centrée sur la charnière cervico-occipitale (F+P) Incidence centrée sur la charnière cervico-dorsale
  • 21.
    INCIDENCE DE FACECassette 18 X 24 en long Distance foyer-film = 1 mètre Incidence antéro-postérieure Patient assis, tête en légère extension, épaules tombantes Rayon ascendant de 20 ° vers la tête Centrage au niveau du cartilage thyroïde (pomme d’Adam)
  • 22.
    Critères de réussiteVisualisation des corps vertébraux de C3 à D2 Dégagement des sommets pulmonaires et des deux premières côtes Bien de face Position médiane de la trachée Épineuses médianes par rapport à la ligne des pédicules Distance égale entre l’uncus et l’épineuse des deux côtés D2 C3
  • 23.
    Résultat: Bonne visualisationdes corps vertébraux (Face sup et inf) Bonne visualisation des uncus C1, C2 sont masqués Arc postérieur mal analysé
  • 24.
    Incidence de profilCassette 24 X 30 cm. Distance foyer-film 1.5 m Patient assis sur un tabouret, tête de profil, épaules bien abaissées. Rayon directeur horizontal. Centrage à mi-distance entre l’angle mandibulaire et l’épaule à la verticale du CAE. Diaphragmer latéralement
  • 25.
    Critères de réussite:Visualisation de toutes les vertèbres cervicales jusqu’à C7 Les disques doivent être bien enfilés profil Superposition des angles mandibulaires, des apophyses articulaires droites et gauches. Lignes verticales régulières et parallèles entre elles.
  • 26.
    Ligne des partiesmolles Ligne corporéale antérieure Ligne corporéale postérieure Ligne des masses articulaires antérieure Ligne des masses articulaires postérieure Ligne des corticales spino-lamaires Ligne des épineuses Résultat: Lordose cervicale 7 lignes:
  • 27.
    Ligne des partiesmolles Ligne corporéale antérieure Ligne corporéale postérieure Ligne des masses articulaires antérieure Ligne des masses articulaires postérieure Ligne des corticales spino-lamaires Ligne des épineuses Résultat: Lordose cervicale 7 lignes:
  • 28.
    Le diamètre ducanal rachidien entre le bord postérieur du corps vertébral et la ligne antérieure des épineuses (15 mm). Les lames et les articulaires ont la même densité d’un niveau à un autre.
  • 29.
    Les incidences deprofil en flexion et en extension Patient de profil Position maximale du rachis cervical en extension puis en flexion Etudier les déplacements relatifs de chaque vertèbre.
  • 30.
  • 31.
    Incidences obliques antéro-postérieures( ¾ ) Cassette 24 X 30 Distance foyer film = 1 m. Patient assis sur un tabouret. Epaules abaissées au maximum. Plan du dos faisant un angle de 45° avec la table placée verticalement. Centrage au niveau de la pomme d’Adam. Rayon incliné ascendant de 20° OPG: trous droits OPD: trous gauches
  • 32.
    Résultat: Trous deconjugaison tous dégagés et limités par: En haut et en bas par les pédicules. En avant par les coins postéro-latéraux des corps vertébraux, les uncus et les disques. En arrière par les apophyses articulaires .
  • 33.
    Trois quart droitTrou de conjugaison G Trois quart gauche Trou de conjugaison D
  • 34.
    Incidence centrée surla charnière cervico-occipitale de face. Cassette 18 X 24 Distance foyer-film = 1 m. Patient assis de face en AP. Bouche grande ouverte. Rayon directeur horizontal. Centrage sur la ligne médiane rasant les incisives supérieures.
  • 35.
  • 36.
  • 37.
  • 38.
  • 39.
  • 40.
  • 41.
    Critères de réussite:Superposition des incisives supérieures et de la face inférieure de l’occipital. Symétrie des faces latérales de C1 par rapport à l’odontoïde. Odontoïde et épineuse de C2 sur la même ligne médiane. Symétrie des articulations atlonto-axoïdiennes. Epineuse de l’axis massive et bifide, visible à travers le corps vertébral.
  • 42.
    Lignes d’intérêt: Lignebidigastrique : unit les zones d’insertion des muscles digastriques: le sommet de la dent ne doit pas la dépasser. La ligne bimastoïdienne: unit les pointes des mastoïdes: le sommet de la dent ne doit pas dépasser cette ligne > 10 mm.
  • 43.
    Incidence centrée surla charnière cervico-occipitale de profil Intérêt : Stabilité atlanto-occipitale Stabilité de la jonction C1- C2 Détection d’une impression basilaire. Même technique que pour l’incidence de profil. Centrage au niveau du lobe de l’oreille.
  • 44.
    Stabilité atlanto-occipitale: Apophyseodontoïde alignée sur la pente du clivus d’une distance de 5 mm chez l’adulte et 10 mm pour l ’enfant. Si > 12 mm  instabilité atlanto-occipitale. La tangentielle au bord postérieur du clivus ( ligne de Wackenheim ) doit passer au-dessus du sommet de l’apophyse odontoïde.
  • 45.
    Stabilité C1 –C2 La distance maximale entre le bord antérieur de l’apophyse odontoïde et le bord postérieur de l’arc antérieur de C1 est de 5 mm chez l’enfant et 3 mm chez l’adulte. Au-delà  Insuffisance du ligament transverse. Si > 7 mm  Rupture ou insuffisance du ligament alaire.
  • 46.
    Impression basilaire Lignede Mac Gregor : rejoint le bord postérieur du palais osseux et le point le bas situé de l’occiput. Ligne de Chamberlain : Rejoint le bord postérieur du palais osseux au bord antérieur du trou occipital.
  • 47.
    Si l’apophyse odontoïdese projette à > 9 mm au- delà de la ligne de Mac Gregor > 7mm au-delà de la ligne de Chamberlain IMPRESSION BASILAIRE
  • 48.
    Incidence de Dorlandou des massifs articulaires Cassette 18 X 24 Distance foyer-film = 1m. Patient en décubitus dorsal Epaule bien à plat Tête en hyperextension Rayon incliné de 25° vers les pieds Centrage au niveau de la pomme d’Adam.
  • 49.
    Intérêt: Efface lescorps vertébraux Etudie: les inter-articulaires postérieures de face. Les massifs articulaires postérieurs Arcs postérieurs
  • 50.
  • 51.
    Rachis Dorsal Lerôle essentiel du rachis dorsal : protection de l'axe médullaire morphologie des pièces vertébrales et plus particulièrement des arcs postérieurs permet au rachis d'assurer cette fonction prioritaire rachis dorsal: maintien de la statique et à la mobilité de l'axe rachidien secondaire.
  • 52.
    Variante thoracique: corpsvertébral est arrondi en avant et latéralement pédicules s'implantent à la face postérolatérale du corps vertébral, dans sa moitié supérieure Lames hautes s’imbriquant entre elles. Apophyses épineuses très longues, verticale surtout de D3 à D9. Les articulations inter apophysaires sont dans un plan frontal ( ne s’individualisent pas de face et superposés de profil). Arc postérieur très long par rapport au corps vertébral. Rappel anatomique
  • 53.
  • 54.
  • 55.
    Technique Rachis dorsalde face: Concavité antérieure  incidence antéropostérieure
  • 56.
    Rachis dorsal deface RD : horizontal Centrage: 2 travers de doigts en dessous de la ligne joignant les deux aisselles (médiosternal) critères de réussite: visibilité de l’ensemble du rachis dorsal Bon dégagement des Disques InterVertébraux Position médiane de la ligne des épineuses. Pédicules symétriques et à égale distance de la ligne des épineuses
  • 57.
  • 58.
    Si scoliose; profildu côté de la scoliose Sujet debout de profil strict, les avants bras croisés en pronation forcée. RD : horizontal Centrage : pointe de l’omoplate. PER RESPIRATOIRE (effacer les côtes) Temps de pose long, expiration lente Rachis dorsal de profil
  • 59.
    Critères de réussite: bonne visibilité des trous de conjugaison Aspect linéaire des plateaux vertébraux
  • 60.
    TDM cervicale Acquisition hélicoïdale Matrice 512 x 512 Petite épaisseur de coupe Injection IV de PC: épidurographie Faible quantité de graisse dans le rachis cervical Reconstruction 2D/3D
  • 61.
    TDM injectée ÉpidurographieBase de la sémiologie TDM des HD
  • 62.
    TDM+INJECTION IV AVANTAGESTechnique ambulatoire, généralisée Bonne visualisation des structures osseuses Bonne sensibilité Reconstruction 2D/3D LIMITES Artéfacts d’épaule Injection IV de PC jamais anodine Médiocre pour l’étude de la moelle Peu sensible en cas de dégénérescence débutante.
  • 63.
  • 64.
  • 65.
    TDM dorsale pathologievertébrale et non discale premier temps de l'examen scannographique: cliché numérisé de repérage Face: région dorsale haute Profil: rachis dorsal moyen et bas inclinaison du statif et la réalisation de coupes dans le plan discal ou vertébral L'acquisition hélicoïdale est indiquée dans le bilan des lésions raumatiques, du fait de la rapidité de l'acquisition  
  • 66.
    TDM Les reconstructionsmultiplanaires et en 3D de surface sont utiles à l'analyse du mur vertébral postérieur. L'injection intraveineuse de produit de contraste iodé n'est pas systématique: spondylodiscite ou prolifération néoplasique Le contenu du sac dural ne peut être exploré sans une injection sous-arachnoïdienne de produit de contraste compte tenu du manque de contrastes naturels lié à la pauvreté en graisse épidurale
  • 67.
    IRM Multi planaireMulti paramétrique Remarquable résolution en contraste Anodine
  • 68.
    IRM cervicale Technique« Scowt view » Séquence sagittale TSE T2 Séquence sagittale TSE T1 Coupe axiale EG T2 Séquence EG à effet myélographique Injection de PC non systématique
  • 69.
  • 70.
  • 71.
  • 72.
  • 73.
  • 74.
    IRM dorsale coupes : une acquisition de repérage est réalisée dans un plan frontal plans de coupe: plan sagittal objectivant l'ensemble du rachis plan axial transverse pour une étude segmentaire épaisseur de coupe ne doit pas dépasser 3 à 4 mm dans le plan sagittal et 5 à 10 mm dans le plan axial
  • 75.
    IRM dorsale Unexamen IRM du rachis thoracique comprend le plus souvent : une séquence pondérée en T1, avec des coupes fines (3 à 4 mm) dans un plan sagittal une séquence pondérée en T2 dans le plan sagittal ; si besoin, des coupes axiales pondérées T1 ou T2 suivant l'indication.
  • 76.
  • 77.
  • 78.
  • 79.
  • 80.
    Artéfacts artefactsde flux : espace sous arachnoïdien rétromédullaire thoracique, axiales T2 SE rapide  ne doit pas être confondu avec des dilatations vasculaires artefacts de mouvement: pulsations cardiaques et aux mouvements respiratoires L’ artefact de Gibbs (artefact de troncature) hypo-intensité T1 et hyperintensité T2 linéaire centromédullaire parallèle à l’axe de la moelle  ne doit pas être confondu avec une fente syringomyélique. L’ artefact de déplacement chimique peut effacer le signal de l’un des deux plateaux vertébraux sur les coupes sagittales et frontales pondérées en T1