Introduction au
Introduction au
Scanner Cérébral
Scanner Cérébral
Introduction
Introduction
 Cette presentation vous montrera une
Cette presentation vous montrera une
approche systématique du Scanner
approche systématique du Scanner
Cérébral
Cérébral
 In fine, vous devrez être capable de vous
In fine, vous devrez être capable de vous
familiarizer avec l’anatomie normale et
familiarizer avec l’anatomie normale et
être capable d’identifier les anomaloes
être capable d’identifier les anomaloes
classiques du Scanner cérébral
classiques du Scanner cérébral
 A la fin, il y a des cas courts
A la fin, il y a des cas courts
Types de Scanner Cérébral
Types de Scanner Cérébral
 Non injecté
Non injecté
 Injecté
Injecté
 Le PDC est donné pour evaluer :
Le PDC est donné pour evaluer :
 Structures vasculaires
Structures vasculaires
 Tumeurs
Tumeurs
 Sites d’infection
Sites d’infection
 Contre-indications relatives :
Contre-indications relatives :
 Allergies et Insuffisance Rénale
Allergies et Insuffisance Rénale
Indications fréquentes du
Indications fréquentes du
Scanner cérébral
Scanner cérébral
 Traumatisme
Traumatisme craniofacial
craniofacial
 AVC
AVC en phase aigue
en phase aigue
 Suspicion d’
Suspicion d’hémorragie
hémorragie intracranienne ou
intracranienne ou
sous-arachnoidienne
sous-arachnoidienne
 Evaluation des
Evaluation des céphalées
céphalées
 Evaluation des
Evaluation des déficits sensitifs
déficits sensitifs ou
ou moteurs
moteurs
 Evaluation des
Evaluation des cavités sinusiennes
cavités sinusiennes
Notions de Base du Scanner
Notions de Base du Scanner
 Avant de commencer, vous devez vous
Avant de commencer, vous devez vous
familiariser avec certaines notions clés :
familiariser avec certaines notions clés :
 Unités Hounsfield
Unités Hounsfield
 Fenetrages et seuil
Fenetrages et seuil
 Plans
Plans
C’est quoi une unité
C’est quoi une unité
Hounsfield?
Hounsfield?
 D’après le nom de l’inventeur du Scanner
D’après le nom de l’inventeur du Scanner
 Le scanner enregistre l’
Le scanner enregistre l’attenuation
attenuation (clarté)
(clarté)
de chaque pixel en unité Hounsfield (HU)
de chaque pixel en unité Hounsfield (HU)
 Ce nombre represente la la
Ce nombre represente la la densité
densité
relative
relative du tissu scanné
du tissu scanné
 Varie de -1000 à +1000
Varie de -1000 à +1000
Unités Hounsfield (HU)
Unités Hounsfield (HU)
 Differents substances ont des desnités relatives
Differents substances ont des desnités relatives
diferentes et ainsi, des unités Hounsfield differentes
diferentes et ainsi, des unités Hounsfield differentes
 Air: -1000 HU
Air: -1000 HU
 Graisse : -50 HU
Graisse : -50 HU
 Eau : 0 HU
Eau : 0 HU
 Tissu mou : +40 HU
Tissu mou : +40 HU
 Sang : +40-80 HU
Sang : +40-80 HU
 Cailloux : +100 to +400 HU
Cailloux : +100 to +400 HU
 Os : +1000 HU
Os : +1000 HU
 Donc si vous n’etes pas sur de ce que vous cherchez,
Donc si vous n’etes pas sur de ce que vous cherchez,
alors mesurez sa densité relative en Unité Hounsfield!
alors mesurez sa densité relative en Unité Hounsfield!
Comment mesurer les HU
Comment mesurer les HU
 Dans le logiciel de
Dans le logiciel de
visualisation des images
visualisation des images
du scanner, vous
du scanner, vous
utilisez l’outils ROI ovale
utilisez l’outils ROI ovale
pour mesurer le HU:
pour mesurer le HU:
 A gauche, vous voyez
A gauche, vous voyez
un exemple des
un exemple des
mesures de HU des
mesures de HU des
différentes structures,
différentes structures,
os, LCR, parenchyme et
os, LCR, parenchyme et
l’air qui ont des
l’air qui ont des
moyennes
moyennes différentes
différentes
Fenetrage
Fenetrage
 L’oeil humain peut seulement percevoir ~ 16
L’oeil humain peut seulement percevoir ~ 16
nuances de gris
nuances de gris
 Les nuances de gris des images du scanner
Les nuances de gris des images du scanner
se situent au délà de ce que l’oeil peut voir
se situent au délà de ce que l’oeil peut voir
 Ainsi, pour interpréter les images, on limite
Ainsi, pour interpréter les images, on limite
les nombre de HU montrées (Fenetrage)
les nombre de HU montrées (Fenetrage)
 L’ordinateur converti cet intervalle en nuance
L’ordinateur converti cet intervalle en nuance
de gris que nous pouvont voir
de gris que nous pouvont voir
Fenetrage et Seuil
Fenetrage et Seuil
 Epaisseur de la fenetre :
Epaisseur de la fenetre :
 L’intervalle de HU de tous les tissus d’interet
L’intervalle de HU de tous les tissus d’interet
 Les Tissus dans cet intervalle seront affiché
Les Tissus dans cet intervalle seront affiché
dans les différents
dans les différents niveaux de gris
niveaux de gris
 Les Tissus avec les HU à l’extérieur de
Les Tissus avec les HU à l’extérieur de
l’intervalle seront affiché en
l’intervalle seront affiché en noir ou en blanc
noir ou en blanc
 Seuil de la fenetre :
Seuil de la fenetre :
 L’
L’HU central
HU central de tous les nombres de
de tous les nombres de
l’épaisseur de la fenetre
l’épaisseur de la fenetre
Fenetrage
Fenetrage
+400
+400
+300
+300
+200
+200
+100
+100
0
0
-100
-100
-200
-200
-300
-300
-400
-400
Fenetre
Fenetre
large
large
Fénètre
Fénètre
etroite
etroite
Unités
Unités
Hounsfield (HU)
Hounsfield (HU)
Exemples de Fenetre
Exemples de Fenetre
Fenetre
Fenetre
Cérébrale
Cérébrale
Fenetre
Fenetre
Osseuse
Osseuse
Fenetre
Fenetre Sous-durale
Sous-durale
W:350 L:90
W:350 L:90
 Dans le scanner cerebral, 3 fenetres
Dans le scanner cerebral, 3 fenetres
classiques sont utilisés
classiques sont utilisés
Plan
Plan
 Plan
Plan Transaxial
Transaxial
 utilisé le plus souvent pour le
utilisé le plus souvent pour le
scanner cérébral
scanner cérébral
 Plan
Plan Coronal
Coronal
 Bonne évaluation de l’hypophyse,
Bonne évaluation de l’hypophyse,
de la selle turcique et des sinus
de la selle turcique et des sinus
 Plan
Plan Saggital
Saggital
 rarement utilisé (plus pour l’IRM)
rarement utilisé (plus pour l’IRM)
 Le Plan se réfère à l’orientation de l’image de la coupe
Le Plan se réfère à l’orientation de l’image de la coupe
Exemple de plan de coupe
Exemple de plan de coupe
Plan
Plan Axial
Axial Plan
Plan Coronal
Coronal Plan
Plan Saggital
Saggital
Identification
Identification
 Nous allons commencer notre approche
Nous allons commencer notre approche
basique de l’interprétation du scanner
basique de l’interprétation du scanner
cérébral
cérébral
 Commencer par les choses simples :
Commencer par les choses simples :
 NOM DU PATIENT
NOM DU PATIENT (s’assurer d’avoir le bon patient !!)
(s’assurer d’avoir le bon patient !!)
 NUMERO DU DOSSIER MEDICAL #
NUMERO DU DOSSIER MEDICAL #
 AGE
AGE
 DATE DE L’EXAMEN
DATE DE L’EXAMEN
Anciens examens
Anciens examens
 Toujours
Toujoursrechercher les anciens scanner
rechercher les anciens scanner
pour comparaison
pour comparaison
 Les anomalies peuvent être subtiles
Les anomalies peuvent être subtiles
 La meilleure façon de les voir serai de comparer
La meilleure façon de les voir serai de comparer
les anciens scanner avec les nouveaux
les anciens scanner avec les nouveaux
 Même les anciens scanners abdomainaux ou
Même les anciens scanners abdomainaux ou
thoracique peuvent orienter vers une
thoracique peuvent orienter vers une
pathologie encéphalique
pathologie encéphalique
 ex. Metastases cerebrales des Cancers pumonaires
ex. Metastases cerebrales des Cancers pumonaires
Parametres de l’examen
Parametres de l’examen
 Noter la technique de l’examen:
Noter la technique de l’examen:
 Region anatomique: Tête, cou, Colonne
Region anatomique: Tête, cou, Colonne
 Epaisseur de coupe (mm)
Epaisseur de coupe (mm)
 Niveau du fenetrage & epaisseur
Niveau du fenetrage & epaisseur
 Plan: Transaxial, coronal, saggital
Plan: Transaxial, coronal, saggital
 Injection du produit de contraste?
Injection du produit de contraste?
 Rechercher le cercle de Willis. Il sera rehausé dans
Rechercher le cercle de Willis. Il sera rehausé dans
les examens avec produit de contraste
les examens avec produit de contraste
Analyse de l’image
Analyse de l’image
 Maintenant que vous avez toute les
Maintenant que vous avez toute les
informations de base du scanner; c’est le
informations de base du scanner; c’est le
moment de regarder le scanner lui-
moment de regarder le scanner lui-
même
même
 Y aller de façon
Y aller de façon systematique
systematique
 Utiliser la
Utiliser la même
même approache pour tous
approache pour tous
les scans pour s’assurer que vous ne
les scans pour s’assurer que vous ne
manquez pas quelque chose
manquez pas quelque chose
Regions à inspecter
Regions à inspecter
 On commence par la region médiane et
On commence par la region médiane et
on se dirige vers l’extérieur:
on se dirige vers l’extérieur:
1.
1. Structures médianes
Structures médianes
et symétrie
et symétrie
2.
2. Ventricules
Ventricules
3.
3. Cisternes
Cisternes
4.
4. Parenchyme cérébral
Parenchyme cérébral
5.
5. Scissures/sillons
Scissures/sillons
6.
6. Sinus
Sinus
7.
7. Os
Os
8.
8. Peau et Tissus
Peau et Tissus
moux
moux
1. Structures médianes
1. Structures médianes
 Identifier:
Identifier: (
(cliquez
cliquez sur les noms pour voir les
sur les noms pour voir les
localitions)
localitions)
 Faux du Cerveau
Faux du Cerveau
 Glande Pineale
Glande Pineale
(souvent calcifiée)
(souvent calcifiée)
 Grande veine de
Grande veine de
Galien
Galien
 Fornix
Fornix
Deplacement de la ligne
Deplacement de la ligne
médiane
médiane
 Evaluez le deplacement de la ligne médiane :
Evaluez le deplacement de la ligne médiane :
Trouvez une coupe où les
Trouvez une coupe où les
deux ventricules latéraux
deux ventricules latéraux
sont proéminents
sont proéminents
Tracez une ligne
Tracez une ligne
médiane joignant la
médiane joignant la
faux du cervea d’avant
faux du cervea d’avant
en arrière
en arrière
Le septum entre
Le septum entre
les ventricules
les ventricules
latéraux ne
latéraux ne
devrait
devrait pas
pas
devier
devier de plus de
de plus de
5mm de la ligne
5mm de la ligne
médiane
médiane
Midline shift examples
Midline shift examples
Un abces droit entrainant un
Un abces droit entrainant un
deplacement de la ligne
deplacement de la ligne
médiane vers la gauche
médiane vers la gauche
Une tumeur gauche entrainant
Une tumeur gauche entrainant
un deplacement de la ligne
un deplacement de la ligne
médiane vers la droite
médiane vers la droite
L L
R R
liquez sur moi
liquez sur moi pour
pour voir
voir le deplacement
le deplacement
Cliquez sur moi
Cliquez sur moi pour
pour voir
voir le deplacement
le deplacement
2. Ventricules
2. Ventricules
 3e ventricule
3e ventricule
 4e ventricule
4e ventricule
 Identifiez:
Identifiez: (
(cliquez
cliquez sur les noms pour voir leur localisations)
sur les noms pour voir leur localisations)
 Ventricule Lateral x 2
Ventricule Lateral x 2
 Acqueduc du
Acqueduc du
Mésencéphale
Mésencéphale
Ventricules
Ventricules
 Evaluez toute modification de la symétrie
Evaluez toute modification de la symétrie
 Symétrie
Symétrie
 Taille
Taille
 Forme
Forme
 Densité
Densité
 Le deplacement des ventricules est
Le deplacement des ventricules est
souvent le resultat d’un effet de masse ou
souvent le resultat d’un effet de masse ou
d’une atrophy
d’une atrophy
 Pathologie Commune:
Pathologie Commune: (
(cliquez
cliquez
sur
sur sur un nom pour voir un exemple)
sur un nom pour voir un exemple)
 Hydrocephalie
Hydrocephalie
 Hemorrhagie
Hemorrhagie intra-
intra-
ventriculaire
ventriculaire
 Effect de masse
Effect de masse
 Atrophie
Atrophie
Ventricules
Ventricules
3.
3. Cisternes
Cisternes
 Identifiez:
Identifiez: (
(cliquez
cliquez sur les noms pour voir leur
sur les noms pour voir leur
localisations)
localisations)
 Citerne
Citerne
suprascellaire
suprascellaire
 Cisterne Ambiente
Cisterne Ambiente
 Cisterne Prepontine
Cisterne Prepontine
 Cisterna magna
Cisterna magna
Cisternes
Cisternes
 Evaluez pour toute modification de
Evaluez pour toute modification de
 Symétrie
Symétrie
 Taille
Taille
 Densité
Densité
 Cisternes contienent souvent
Cisternes contienent souvent du sang
du sang
dans hemorrhagie sous arachnoidienne
dans hemorrhagie sous arachnoidienne
 Cisternes peuvent contenir du
Cisternes peuvent contenir du pus
pus dans
dans
les méningites
les méningites
4. Parenchymes Cérébraux –
4. Parenchymes Cérébraux –
Lobes
Lobes
 D’abord identifier les lobes:
D’abord identifier les lobes:
(
(cliquez
cliquez sur les noms pour voir leur localisations)
sur les noms pour voir leur localisations)
 Lobe Temporal
Lobe Temporal
 Lobe Occipital
Lobe Occipital
 Lobe Frontal
Lobe Frontal
 Lobe Parietal
Lobe Parietal
Parenchymes Cérébraux –
Parenchymes Cérébraux –
Tronc Cérébral
Tronc Cérébral
 Identifiez:
Identifiez:
(
(cliquez
cliquez sur les noms pour voir leur localisations)
sur les noms pour voir leur localisations)
 Protubérance
Protubérance
 Cervelet
Cervelet
 Mésencéphale
Mésencéphale
 Moelle allongée
Moelle allongée
Parenchyme cérébral – Structures
Parenchyme cérébral – Structures
profondes
profondes
 Enfin, identifiez les structures profondes:
Enfin, identifiez les structures profondes:
(
(cliquez
cliquez sur les noms pour voir leur localisations)
sur les noms pour voir leur localisations)
 Thalamus
Thalamus
 Noyau Lenticulaire
Noyau Lenticulaire
 Noyau Caudé
Noyau Caudé
 Corps Calleux
Corps Calleux
 Capsule Interne
Capsule Interne
 Capsule Externe
Capsule Externe
Recherchez les masses
Recherchez les masses (
(cliquez
cliquez sur les noms pour voir leur localisations)
sur les noms pour voir leur localisations)
 Absces
Absces
 Neoplasme
Neoplasme
Masses Parenchymateuse
Masses Parenchymateuse
Notez comment la tumeur devient hyperdense avec le
PDC
Aussi l’oedeme périphérique hypodense
Notez la prise de contraste annulaire
d’un abcès
Infarctus aigu
Infarctus aigu
L’artere cérébrale moyenne (ACM)
L’artere cérébrale moyenne (ACM)
devient
devient hyperdense
hyperdense suite à l’occlusion
suite à l’occlusion
la limite habituelle entre la substance
la limite habituelle entre la substance
blache de la substance grise est
blache de la substance grise est perdue
perdue
suite à l’oedeme vasogénique
suite à l’oedeme vasogénique
 Signe de l’ACM Hyperdense
Signe de l’ACM Hyperdense
 Recherchez les signes précoces d’un infarctus
Recherchez les signes précoces d’un infarctus
aigu
aigu  Perte de la differentiation
Perte de la differentiation
substance blanche-
substance blanche-
substance grise
substance grise
Cliquez ici
Cliquez ici pour voir
pour voir Cliquez ici
Cliquez ici pour voir
pour voir
Chronic Infarct
Chronic Infarct
 Ensuite, recherchez les signes d’infarctus
Ensuite, recherchez les signes d’infarctus
chronique
chronique:
:
Deplacement modéré
de la ligne médiane due
à l’atrophie
Retraction du parenchymes
de la voute due à l’atrophie
Zone Focale
d’hypodensité
Localisation des Infarctus
Localisation des Infarctus
Modifications
Modifications
Microangiopathiques
Microangiopathiques
 Vous pourrez voirle terme
Vous pourrez voirle terme
“modifications microangiopathique”
“modifications microangiopathique”
ou Leucoaraïose dans les rapports
ou Leucoaraïose dans les rapports
 Ils se refèrent à des ischémies de la
Ils se refèrent à des ischémies de la
substance blanche par maladie des
substance blanche par maladie des
petits vaisseaux due à l’âge
petits vaisseaux due à l’âge
 Trés souvent rencontré aux âges
Trés souvent rencontré aux âges
avancés
avancés
 Sa signification clinique est encore
Sa signification clinique est encore
inconnue
inconnue
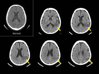
Modifications
Microangiopathiques
Normal
Types d’Hematome
Types d’Hematome
 Recherchez la preuve d’un saignement:
Recherchez la preuve d’un saignement:
 Hématome sousdural
Hématome sousdural
 Due une lésion des veines sousdurales
Due une lésion des veines sousdurales
 Recherchez une
Recherchez une forme
forme croissant de lune
croissant de lune sur la surface
sur la surface
du cerveau
du cerveau
 Qui traverse les sutures
Qui traverse les sutures
 Hématome épidurale ou extradural
Hématome épidurale ou extradural
 Due à la rupture de l’artère méningée moyenne
Due à la rupture de l’artère méningée moyenne
 Associé à la fracture de la voute
Associé à la fracture de la voute
 Recherchez une forme
Recherchez une forme biconvexe, ou lenticulaire
biconvexe, ou lenticulaire
 Ne croise pas le sutures
Ne croise pas le sutures
Sous-dural vs. Extra-dural
Sous-dural vs. Extra-dural
SOUS-DURAL
SOUS-DURAL EXTRADURAL
EXTRADURAL
Notez la forme de croissant
Notez la forme de croissant Notez la forme lenticulaire
Notez la forme lenticulaire
Cliquez ici
Cliquez ici pour voir la
pour voir la
forme
forme
Cliquez ici
Cliquez ici pour voir la
pour voir la
forme
forme
Hémorragie sous
Hémorragie sous
arachnoidienne
arachnoidienne
Sang dans
l’espace sous
subarachnoidie
n
Sang dans
les sillonsi
Sang dans les ventricule
 Recherchez une hémorragie sous arachnoidienne
Recherchez une hémorragie sous arachnoidienne
 Due à la rupture d’un anévrysme, un trauma, ou une malformation AV
Due à la rupture d’un anévrysme, un trauma, ou une malformation AV
 Sang dans l’
Sang dans l’espace sous-arachnoidien
espace sous-arachnoidien et/ou
et/ou ventricules
ventricules
 Sang d’abord dans la citerne inter-pedunculaire
Sang d’abord dans la citerne inter-pedunculaire
(Normal)
Hémorragie
Hémorragie
intraparenchymateuse
intraparenchymateuse
 Recherchez une
Recherchez une
hémorragie
hémorragie
intraparenchymateuse :
intraparenchymateuse :
 Sang (aigue, subaigue, ou
Sang (aigue, subaigue, ou
chronique) localisé dans
chronique) localisé dans
le parenchyme cérébral
le parenchyme cérébral
 Entouré d’oedeme
Entouré d’oedeme
 Cause fréquente HTA
Cause fréquente HTA
Hémorragie
Hémorragie
 Si vous voyez un hématome, cherchez à savoir s’il est récent ou
Si vous voyez un hématome, cherchez à savoir s’il est récent ou
ancien:
ancien:
 AIGU (< 3 jours)
AIGU (< 3 jours)
 Hyperdense
Hyperdense (80-100 HU) par rapport au parenchyme
(80-100 HU) par rapport au parenchyme
 Due au contenu proteine-Hb
Due au contenu proteine-Hb
 Peut être difficile à voir si l’hémoglobine est basse (<80HU)
Peut être difficile à voir si l’hémoglobine est basse (<80HU)
 SUBAIGU (3-14 jours)
SUBAIGU (3-14 jours)
 Hyperdense, isodense, ou hypodense
Hyperdense, isodense, ou hypodense par rapport au parenchyme
par rapport au parenchyme
 La perte de la densité commence en péripherie et va vers le centre
La perte de la densité commence en péripherie et va vers le centre
 CHRONIQUE (>2 semaines)
CHRONIQUE (>2 semaines)
 Hypodense
Hypodense (<40 HU)
(<40 HU) par rapport au parenchyme
par rapport au parenchyme
La Densité du sang en fonction du
La Densité du sang en fonction du
temps dans un hématome sous-
temps dans un hématome sous-
dural
dural
Aigue
Aigue
(<3 jours)
(<3 jours)
Sub-aigue
Sub-aigue
(3-14 jours)
(3-14 jours)
Chronique
Chronique
(>14 jours)
(>14 jours)
Hyperdens
e
Isodense
Hypodense
5. Sillons
5. Sillons
 Sillon Central
Sillon Central
 Sillon
Sillon
Precentral
Precentral
 Sillon
Sillon
 Scissure Sylvienne
Scissure Sylvienne
 Sillon Postcentral
Sillon Postcentral

Identifiez:
Identifiez:
(
(cliquez
cliquez sur les noms et leurs localisations)
sur les noms et leurs localisations)
Sulci
Sulci
 Rappelez vous que les sillons deviennent plus profondes
Rappelez vous que les sillons deviennent plus profondes
avec l’âge
avec l’âge
 Recherchez le sang dans les sillons et la scissure sylvienne
Recherchez le sang dans les sillons et la scissure sylvienne
cce qui montre un saignement
cce qui montre un saignement sous-arachnoidien
sous-arachnoidien
Sang frais
dans la
scissure
Sylvienne
Sang frais
dans un
sillon
6. Sinus
6. Sinus
 Allez à la
Allez à la Fenetre osseuse
Fenetre osseuse pour mieux evaluer les
pour mieux evaluer les
sinus
sinus
 Identifiez:
Identifiez: (
(cliquez
cliquez sur les noms pour voir les localisations)
sur les noms pour voir les localisations)
 Sinus Ethmoidales
Sinus Ethmoidales
 Sinus
Sinus
Sphenoidales
Sphenoidales
 Superior Saggital
Superior Saggital
Sinus
Sinus
 Sinus Frontal
Sinus Frontal
 Sinus
Sinus
Maxillaires
Maxillaires
Sinus
Sinus
 Evaluez la sinusite :
Evaluez la sinusite :
fluide dans le
fluide dans le
sinus
sinus
(niveau hydroaérique )
(niveau hydroaérique )
normal
sinusite
Sinus
Sinus
 Recherchez:
Recherchez:
 Epaississement de la muqueuse
Epaississement de la muqueuse
 Sang dans les sinus
Sang dans les sinus (spécialement avec une histoire de
(spécialement avec une histoire de
traumatisme)
traumatisme)
 Polypes ou kystes de retention de mucus
Polypes ou kystes de retention de mucus
7. Os
7. Os
 Restez dans la
Restez dans la Fenetre osseuse
Fenetre osseuse et observez les os
et observez les os
 Identifiez:
Identifiez:
(
(cliquez
cliquez sur les noms pour voir les localisations)
sur les noms pour voir les localisations)
 Crane
Crane
 Sutures
Sutures
 Cellules
Cellules
Mastoidiennes
Mastoidiennes
Os
Os
 Recherchez :
Recherchez :
 Fractures
Fractures
 Modifications
Modifications
chirurgicales
chirurgicales (ex.
(ex.
craniotomies)
craniotomies)
8. Peau et Tissu mou
8. Peau et Tissu mou
 Evaluez :
Evaluez :
 Modifications
Modifications
chirurgicales
chirurgicales
 Hématome sous
Hématome sous
galéal
galéal
 Corps etrangers
Corps etrangers
Félicitations!
Félicitations!
 Maintenant vous connaissez une techinque facile,
Maintenant vous connaissez une techinque facile,
systematique pour l’interoprétation du Scanner
systematique pour l’interoprétation du Scanner
Cérébral!
Cérébral!
 Vous avez appris comment identifier l’anatomie
Vous avez appris comment identifier l’anatomie
normale, et comment retrouver les anomalies
normale, et comment retrouver les anomalies
classiques sur un scanner cérébral
classiques sur un scanner cérébral
 Ce qui suit est un résumé de ce qu’on a vu
Ce qui suit est un résumé de ce qu’on a vu
précédemment sous forme de cas-courts
précédemment sous forme de cas-courts
Recapitulation
Recapitulation
 Commencez par l’identification
Commencez par l’identification
 Rechechez les anciens Scans
Rechechez les anciens Scans
 Verifier la technique
Verifier la technique
 Observez chaque région de facon
Observez chaque région de facon
systématique
systématique
 On a comméncé par la ligne médiale :
On a comméncé par la ligne médiale :
1.
1. Structures médianes
Structures médianes
2.
2. Ventricules
Ventricules
3.
3. Cisternes
Cisternes
4.
4. Parenchyme cérébral
Parenchyme cérébral
5.
5. Sillon
Sillon
6.
6. Sinus
Sinus
7.
7. Os
Os
8.
8. Peau et tissus mous
Peau et tissus mous
Recapitulation
Recapitulation
 Dans chaque aire, identifiez les éléments
Dans chaque aire, identifiez les éléments
anatomiques
anatomiques
 Ensuite recherchez les anomalies
Ensuite recherchez les anomalies
 Ceci est la liste des choses à ne pas oublier:
Ceci est la liste des choses à ne pas oublier:
 Ligne médiale
Ligne médiale:
: deplacement de la ligne médiane
deplacement de la ligne médiane
 Ventricules
Ventricules:
: Sang
Sang et
et Effet de masse
Effet de masse
 Cisternes
Cisternes:
: blood
blood et
et pus
pus
 Parenchyme
Parenchyme: signes d’
: signes d’ischemia
ischemia et/ou de
et/ou de saignement
saignement
 Sillons
Sillons:
: sang
sang
 Sinus
Sinus: signes de
: signes de sinusite
sinusite
 Os
Os:
: fractures
fractures
 Tissu mou
Tissu mou:
: hematome
hematome
Recapitulation
Recapitulation
 Rappelz vous d’utiliser la
Rappelz vous d’utiliser la même
même
approche à
approche à chaque fois
chaque fois pour ne rien
pour ne rien
oublier!
oublier!
 Essayez les cas suivant pour tester vos
Essayez les cas suivant pour tester vos
connaissances
connaissances
CAS
CAS
Case #1
Case #1
 Mme EW, 80 ans, sexe féminin avec
Mme EW, 80 ans, sexe féminin avec
comme palinte:
comme palinte:
 Aphasie d’expression/apraxie
Aphasie d’expression/apraxie
 Leger affaissement de l’hémiface droit
Leger affaissement de l’hémiface droit
 Fibrillation Atriale
Fibrillation Atriale
 Un scanner cérébral non injecté est
Un scanner cérébral non injecté est
réalisé
réalisé
Votre analyse
Votre analyse
 Quels sont vos trouvailles?
Quels sont vos trouvailles?
 Quel est votre impression?
Quel est votre impression?
 Quel serai votre prémier diagnostic?
Quel serai votre prémier diagnostic?
Normal
Cas #1 - Réponse
Cas #1 - Réponse
 Mme. EW a eu un
Mme. EW a eu un
Infarctus du
Infarctus du Lobe Parietal
Lobe Parietal
Gauche
Gauche
 La localisation est
La localisation est
compatible avec un
compatible avec un
infarctus
infarctus ACM
ACM
 La cause est une embole
La cause est une embole
due à la fibrillation atriale
due à la fibrillation atriale
Cas #2
Cas #2
 Mr GH a 56 ans, masculinse presente avec:
Mr GH a 56 ans, masculinse presente avec:
 Céphales EVA 10/10 de survenue brutale au
Céphales EVA 10/10 de survenue brutale au
cours d’un jogging
cours d’un jogging
 Photophobie, nausée & vomissement
Photophobie, nausée & vomissement
 Pas d’histoire de traumatisme ou de perte de
Pas d’histoire de traumatisme ou de perte de
connaissance
connaissance
 Ailleurs RAS
Ailleurs RAS
 Scanner cérébral non infecté est réalisé
Scanner cérébral non infecté est réalisé
Votre analyse
Votre analyse
 Quels sont vos trouvailles?
Quels sont vos trouvailles?
 Quel est votre impression?
Quel est votre impression?
 Quels est votre premier diagnostic?
Quels est votre premier diagnostic?
 Est-ce que la pathologie est aigue, sub-
Est-ce que la pathologie est aigue, sub-
aigue ou chronique
aigue ou chronique
Cas #2 - Reponse
Cas #2 - Reponse
 Mr. GH a eu un large
Mr. GH a eu un large
hématome sousarachnoidien
hématome sousarachnoidien
 Le saignement était
Le saignement était aigue
aigue
 Cela était causé par la
Cela était causé par la
rupture d’un anévrysme de
rupture d’un anévrysme de
l’ACA
l’ACA
 Il a été admis en USI où son
Il a été admis en USI où son
état s’est vite detérioré
état s’est vite detérioré
 Il est decedé peu de temps
Il est decedé peu de temps
après son admission
après son admission
Cas #3
Cas #3
 Ms. JH a 66 ans, feminin qui a glissé sur
Ms. JH a 66 ans, feminin qui a glissé sur
les escaliers hier et cogné sa tête.
les escaliers hier et cogné sa tête.
 Elle se présent avec
Elle se présent avec
 Une faiblesse de l’hémicorps gauche
Une faiblesse de l’hémicorps gauche
 Des céphalées legères
Des céphalées legères
 Un Scanner cérébral non injecté est
Un Scanner cérébral non injecté est
réalisé
réalisé
R L
Votre analyse
Votre analyse
 Quels sont vos trouvailles?
Quels sont vos trouvailles?
 Quel est votre impression?
Quel est votre impression?
 Quels est votre premier diagnostic?
Quels est votre premier diagnostic?
 Est-ce que la pathologie est aigue, sub-
Est-ce que la pathologie est aigue, sub-
aigue ou chronique
aigue ou chronique
Cas #3 - Réponse
Cas #3 - Réponse
 Mme. JH a eu un large
Mme. JH a eu un large
hématome sousdural
hématome sousdural droit
droit
 Il est aigu
Il est aigu acute
acute
 Cela est du à la rupture
Cela est du à la rupture
des veines sous sous
des veines sous sous
duraux lorsqu’elle a cogné
duraux lorsqu’elle a cogné
sa tête
sa tête
 Une craniotomie a été
Une craniotomie a été
réalisée et le sang a été
réalisée et le sang a été
drainé
drainé
Cas Bonus
Cas Bonus
 Mr. LR a 80 ans, masculin se présente
Mr. LR a 80 ans, masculin se présente
avec :
avec :
 Une historie de délire qui dure 3 mois
Une historie de délire qui dure 3 mois
 Il est récemment tombé du lit
Il est récemment tombé du lit
 Une plaie du scalp
Une plaie du scalp
 Pas de déficit neurologique focal
Pas de déficit neurologique focal
 Un Scanner cérébral non injecté est
Un Scanner cérébral non injecté est
réalisé
réalisé
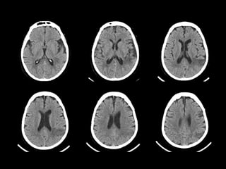
Subdural
Subdural
Observez les structures médianes
Note?
Analyse
Analyse
 Pouvez vous voir les anomalies?
Pouvez vous voir les anomalies?
 Quel est votre impression?
Quel est votre impression?
 Quel serai votre prémier diagnostic?
Quel serai votre prémier diagnostic?
Cas Bonus - Answer
Cas Bonus - Answer
 Mr. LR a eu un petit
Mr. LR a eu un petit
hématome
hématome sousdural
sousdural gauche
gauche
 Le sang est vu le long de
Le sang est vu le long de
l’espace sous dural gauche et
l’espace sous dural gauche et
aussi dans la partie antérieure
aussi dans la partie antérieure
de la faux du cerveau
de la faux du cerveau
(Fleches)
(Fleches)
 L’hématome est
L’hématome est aigu
aigu
 A cause de sa petite taille,
A cause de sa petite taille,
aucun traitement n’a été
aucun traitement n’a été
necessaire
necessaire
 Les Scanner de suivi ont
Les Scanner de suivi ont
montré une resorption de
montré une resorption de Scanner normal pour la comparaison
Scanner normal pour la comparaison

Element de Scanner cérébral pour interprétation .ppt

  • 1.
    Introduction au Introduction au ScannerCérébral Scanner Cérébral
  • 2.
    Introduction Introduction  Cette presentationvous montrera une Cette presentation vous montrera une approche systématique du Scanner approche systématique du Scanner Cérébral Cérébral  In fine, vous devrez être capable de vous In fine, vous devrez être capable de vous familiarizer avec l’anatomie normale et familiarizer avec l’anatomie normale et être capable d’identifier les anomaloes être capable d’identifier les anomaloes classiques du Scanner cérébral classiques du Scanner cérébral  A la fin, il y a des cas courts A la fin, il y a des cas courts
  • 3.
    Types de ScannerCérébral Types de Scanner Cérébral  Non injecté Non injecté  Injecté Injecté  Le PDC est donné pour evaluer : Le PDC est donné pour evaluer :  Structures vasculaires Structures vasculaires  Tumeurs Tumeurs  Sites d’infection Sites d’infection  Contre-indications relatives : Contre-indications relatives :  Allergies et Insuffisance Rénale Allergies et Insuffisance Rénale
  • 4.
    Indications fréquentes du Indicationsfréquentes du Scanner cérébral Scanner cérébral  Traumatisme Traumatisme craniofacial craniofacial  AVC AVC en phase aigue en phase aigue  Suspicion d’ Suspicion d’hémorragie hémorragie intracranienne ou intracranienne ou sous-arachnoidienne sous-arachnoidienne  Evaluation des Evaluation des céphalées céphalées  Evaluation des Evaluation des déficits sensitifs déficits sensitifs ou ou moteurs moteurs  Evaluation des Evaluation des cavités sinusiennes cavités sinusiennes
  • 5.
    Notions de Basedu Scanner Notions de Base du Scanner  Avant de commencer, vous devez vous Avant de commencer, vous devez vous familiariser avec certaines notions clés : familiariser avec certaines notions clés :  Unités Hounsfield Unités Hounsfield  Fenetrages et seuil Fenetrages et seuil  Plans Plans
  • 6.
    C’est quoi uneunité C’est quoi une unité Hounsfield? Hounsfield?  D’après le nom de l’inventeur du Scanner D’après le nom de l’inventeur du Scanner  Le scanner enregistre l’ Le scanner enregistre l’attenuation attenuation (clarté) (clarté) de chaque pixel en unité Hounsfield (HU) de chaque pixel en unité Hounsfield (HU)  Ce nombre represente la la Ce nombre represente la la densité densité relative relative du tissu scanné du tissu scanné  Varie de -1000 à +1000 Varie de -1000 à +1000
  • 7.
    Unités Hounsfield (HU) UnitésHounsfield (HU)  Differents substances ont des desnités relatives Differents substances ont des desnités relatives diferentes et ainsi, des unités Hounsfield differentes diferentes et ainsi, des unités Hounsfield differentes  Air: -1000 HU Air: -1000 HU  Graisse : -50 HU Graisse : -50 HU  Eau : 0 HU Eau : 0 HU  Tissu mou : +40 HU Tissu mou : +40 HU  Sang : +40-80 HU Sang : +40-80 HU  Cailloux : +100 to +400 HU Cailloux : +100 to +400 HU  Os : +1000 HU Os : +1000 HU  Donc si vous n’etes pas sur de ce que vous cherchez, Donc si vous n’etes pas sur de ce que vous cherchez, alors mesurez sa densité relative en Unité Hounsfield! alors mesurez sa densité relative en Unité Hounsfield!
  • 8.
    Comment mesurer lesHU Comment mesurer les HU  Dans le logiciel de Dans le logiciel de visualisation des images visualisation des images du scanner, vous du scanner, vous utilisez l’outils ROI ovale utilisez l’outils ROI ovale pour mesurer le HU: pour mesurer le HU:  A gauche, vous voyez A gauche, vous voyez un exemple des un exemple des mesures de HU des mesures de HU des différentes structures, différentes structures, os, LCR, parenchyme et os, LCR, parenchyme et l’air qui ont des l’air qui ont des moyennes moyennes différentes différentes
  • 9.
    Fenetrage Fenetrage  L’oeil humainpeut seulement percevoir ~ 16 L’oeil humain peut seulement percevoir ~ 16 nuances de gris nuances de gris  Les nuances de gris des images du scanner Les nuances de gris des images du scanner se situent au délà de ce que l’oeil peut voir se situent au délà de ce que l’oeil peut voir  Ainsi, pour interpréter les images, on limite Ainsi, pour interpréter les images, on limite les nombre de HU montrées (Fenetrage) les nombre de HU montrées (Fenetrage)  L’ordinateur converti cet intervalle en nuance L’ordinateur converti cet intervalle en nuance de gris que nous pouvont voir de gris que nous pouvont voir
  • 10.
    Fenetrage et Seuil Fenetrageet Seuil  Epaisseur de la fenetre : Epaisseur de la fenetre :  L’intervalle de HU de tous les tissus d’interet L’intervalle de HU de tous les tissus d’interet  Les Tissus dans cet intervalle seront affiché Les Tissus dans cet intervalle seront affiché dans les différents dans les différents niveaux de gris niveaux de gris  Les Tissus avec les HU à l’extérieur de Les Tissus avec les HU à l’extérieur de l’intervalle seront affiché en l’intervalle seront affiché en noir ou en blanc noir ou en blanc  Seuil de la fenetre : Seuil de la fenetre :  L’ L’HU central HU central de tous les nombres de de tous les nombres de l’épaisseur de la fenetre l’épaisseur de la fenetre
  • 11.
  • 12.
    Exemples de Fenetre Exemplesde Fenetre Fenetre Fenetre Cérébrale Cérébrale Fenetre Fenetre Osseuse Osseuse Fenetre Fenetre Sous-durale Sous-durale W:350 L:90 W:350 L:90  Dans le scanner cerebral, 3 fenetres Dans le scanner cerebral, 3 fenetres classiques sont utilisés classiques sont utilisés
  • 13.
    Plan Plan  Plan Plan Transaxial Transaxial utilisé le plus souvent pour le utilisé le plus souvent pour le scanner cérébral scanner cérébral  Plan Plan Coronal Coronal  Bonne évaluation de l’hypophyse, Bonne évaluation de l’hypophyse, de la selle turcique et des sinus de la selle turcique et des sinus  Plan Plan Saggital Saggital  rarement utilisé (plus pour l’IRM) rarement utilisé (plus pour l’IRM)  Le Plan se réfère à l’orientation de l’image de la coupe Le Plan se réfère à l’orientation de l’image de la coupe
  • 14.
    Exemple de plande coupe Exemple de plan de coupe Plan Plan Axial Axial Plan Plan Coronal Coronal Plan Plan Saggital Saggital
  • 15.
    Identification Identification  Nous allonscommencer notre approche Nous allons commencer notre approche basique de l’interprétation du scanner basique de l’interprétation du scanner cérébral cérébral  Commencer par les choses simples : Commencer par les choses simples :  NOM DU PATIENT NOM DU PATIENT (s’assurer d’avoir le bon patient !!) (s’assurer d’avoir le bon patient !!)  NUMERO DU DOSSIER MEDICAL # NUMERO DU DOSSIER MEDICAL #  AGE AGE  DATE DE L’EXAMEN DATE DE L’EXAMEN
  • 16.
    Anciens examens Anciens examens Toujours Toujoursrechercher les anciens scanner rechercher les anciens scanner pour comparaison pour comparaison  Les anomalies peuvent être subtiles Les anomalies peuvent être subtiles  La meilleure façon de les voir serai de comparer La meilleure façon de les voir serai de comparer les anciens scanner avec les nouveaux les anciens scanner avec les nouveaux  Même les anciens scanners abdomainaux ou Même les anciens scanners abdomainaux ou thoracique peuvent orienter vers une thoracique peuvent orienter vers une pathologie encéphalique pathologie encéphalique  ex. Metastases cerebrales des Cancers pumonaires ex. Metastases cerebrales des Cancers pumonaires
  • 17.
    Parametres de l’examen Parametresde l’examen  Noter la technique de l’examen: Noter la technique de l’examen:  Region anatomique: Tête, cou, Colonne Region anatomique: Tête, cou, Colonne  Epaisseur de coupe (mm) Epaisseur de coupe (mm)  Niveau du fenetrage & epaisseur Niveau du fenetrage & epaisseur  Plan: Transaxial, coronal, saggital Plan: Transaxial, coronal, saggital  Injection du produit de contraste? Injection du produit de contraste?  Rechercher le cercle de Willis. Il sera rehausé dans Rechercher le cercle de Willis. Il sera rehausé dans les examens avec produit de contraste les examens avec produit de contraste
  • 18.
    Analyse de l’image Analysede l’image  Maintenant que vous avez toute les Maintenant que vous avez toute les informations de base du scanner; c’est le informations de base du scanner; c’est le moment de regarder le scanner lui- moment de regarder le scanner lui- même même  Y aller de façon Y aller de façon systematique systematique  Utiliser la Utiliser la même même approache pour tous approache pour tous les scans pour s’assurer que vous ne les scans pour s’assurer que vous ne manquez pas quelque chose manquez pas quelque chose
  • 19.
    Regions à inspecter Regionsà inspecter  On commence par la region médiane et On commence par la region médiane et on se dirige vers l’extérieur: on se dirige vers l’extérieur: 1. 1. Structures médianes Structures médianes et symétrie et symétrie 2. 2. Ventricules Ventricules 3. 3. Cisternes Cisternes 4. 4. Parenchyme cérébral Parenchyme cérébral 5. 5. Scissures/sillons Scissures/sillons 6. 6. Sinus Sinus 7. 7. Os Os 8. 8. Peau et Tissus Peau et Tissus moux moux
  • 20.
    1. Structures médianes 1.Structures médianes  Identifier: Identifier: ( (cliquez cliquez sur les noms pour voir les sur les noms pour voir les localitions) localitions)  Faux du Cerveau Faux du Cerveau  Glande Pineale Glande Pineale (souvent calcifiée) (souvent calcifiée)  Grande veine de Grande veine de Galien Galien  Fornix Fornix
  • 21.
    Deplacement de laligne Deplacement de la ligne médiane médiane  Evaluez le deplacement de la ligne médiane : Evaluez le deplacement de la ligne médiane : Trouvez une coupe où les Trouvez une coupe où les deux ventricules latéraux deux ventricules latéraux sont proéminents sont proéminents Tracez une ligne Tracez une ligne médiane joignant la médiane joignant la faux du cervea d’avant faux du cervea d’avant en arrière en arrière Le septum entre Le septum entre les ventricules les ventricules latéraux ne latéraux ne devrait devrait pas pas devier devier de plus de de plus de 5mm de la ligne 5mm de la ligne médiane médiane
  • 22.
    Midline shift examples Midlineshift examples Un abces droit entrainant un Un abces droit entrainant un deplacement de la ligne deplacement de la ligne médiane vers la gauche médiane vers la gauche Une tumeur gauche entrainant Une tumeur gauche entrainant un deplacement de la ligne un deplacement de la ligne médiane vers la droite médiane vers la droite L L R R liquez sur moi liquez sur moi pour pour voir voir le deplacement le deplacement Cliquez sur moi Cliquez sur moi pour pour voir voir le deplacement le deplacement
  • 23.
    2. Ventricules 2. Ventricules 3e ventricule 3e ventricule  4e ventricule 4e ventricule  Identifiez: Identifiez: ( (cliquez cliquez sur les noms pour voir leur localisations) sur les noms pour voir leur localisations)  Ventricule Lateral x 2 Ventricule Lateral x 2  Acqueduc du Acqueduc du Mésencéphale Mésencéphale
  • 24.
    Ventricules Ventricules  Evaluez toutemodification de la symétrie Evaluez toute modification de la symétrie  Symétrie Symétrie  Taille Taille  Forme Forme  Densité Densité  Le deplacement des ventricules est Le deplacement des ventricules est souvent le resultat d’un effet de masse ou souvent le resultat d’un effet de masse ou d’une atrophy d’une atrophy
  • 25.
     Pathologie Commune: PathologieCommune: ( (cliquez cliquez sur sur sur un nom pour voir un exemple) sur un nom pour voir un exemple)  Hydrocephalie Hydrocephalie  Hemorrhagie Hemorrhagie intra- intra- ventriculaire ventriculaire  Effect de masse Effect de masse  Atrophie Atrophie Ventricules Ventricules
  • 26.
    3. 3. Cisternes Cisternes  Identifiez: Identifiez:( (cliquez cliquez sur les noms pour voir leur sur les noms pour voir leur localisations) localisations)  Citerne Citerne suprascellaire suprascellaire  Cisterne Ambiente Cisterne Ambiente  Cisterne Prepontine Cisterne Prepontine  Cisterna magna Cisterna magna
  • 27.
    Cisternes Cisternes  Evaluez pourtoute modification de Evaluez pour toute modification de  Symétrie Symétrie  Taille Taille  Densité Densité  Cisternes contienent souvent Cisternes contienent souvent du sang du sang dans hemorrhagie sous arachnoidienne dans hemorrhagie sous arachnoidienne  Cisternes peuvent contenir du Cisternes peuvent contenir du pus pus dans dans les méningites les méningites
  • 28.
    4. Parenchymes Cérébraux– 4. Parenchymes Cérébraux – Lobes Lobes  D’abord identifier les lobes: D’abord identifier les lobes: ( (cliquez cliquez sur les noms pour voir leur localisations) sur les noms pour voir leur localisations)  Lobe Temporal Lobe Temporal  Lobe Occipital Lobe Occipital  Lobe Frontal Lobe Frontal  Lobe Parietal Lobe Parietal
  • 29.
    Parenchymes Cérébraux – ParenchymesCérébraux – Tronc Cérébral Tronc Cérébral  Identifiez: Identifiez: ( (cliquez cliquez sur les noms pour voir leur localisations) sur les noms pour voir leur localisations)  Protubérance Protubérance  Cervelet Cervelet  Mésencéphale Mésencéphale  Moelle allongée Moelle allongée
  • 30.
    Parenchyme cérébral –Structures Parenchyme cérébral – Structures profondes profondes  Enfin, identifiez les structures profondes: Enfin, identifiez les structures profondes: ( (cliquez cliquez sur les noms pour voir leur localisations) sur les noms pour voir leur localisations)  Thalamus Thalamus  Noyau Lenticulaire Noyau Lenticulaire  Noyau Caudé Noyau Caudé  Corps Calleux Corps Calleux  Capsule Interne Capsule Interne  Capsule Externe Capsule Externe
  • 31.
    Recherchez les masses Recherchezles masses ( (cliquez cliquez sur les noms pour voir leur localisations) sur les noms pour voir leur localisations)  Absces Absces  Neoplasme Neoplasme Masses Parenchymateuse Masses Parenchymateuse Notez comment la tumeur devient hyperdense avec le PDC Aussi l’oedeme périphérique hypodense Notez la prise de contraste annulaire d’un abcès
  • 32.
    Infarctus aigu Infarctus aigu L’arterecérébrale moyenne (ACM) L’artere cérébrale moyenne (ACM) devient devient hyperdense hyperdense suite à l’occlusion suite à l’occlusion la limite habituelle entre la substance la limite habituelle entre la substance blache de la substance grise est blache de la substance grise est perdue perdue suite à l’oedeme vasogénique suite à l’oedeme vasogénique  Signe de l’ACM Hyperdense Signe de l’ACM Hyperdense  Recherchez les signes précoces d’un infarctus Recherchez les signes précoces d’un infarctus aigu aigu  Perte de la differentiation Perte de la differentiation substance blanche- substance blanche- substance grise substance grise Cliquez ici Cliquez ici pour voir pour voir Cliquez ici Cliquez ici pour voir pour voir
  • 33.
    Chronic Infarct Chronic Infarct Ensuite, recherchez les signes d’infarctus Ensuite, recherchez les signes d’infarctus chronique chronique: : Deplacement modéré de la ligne médiane due à l’atrophie Retraction du parenchymes de la voute due à l’atrophie Zone Focale d’hypodensité
  • 34.
  • 35.
    Modifications Modifications Microangiopathiques Microangiopathiques  Vous pourrezvoirle terme Vous pourrez voirle terme “modifications microangiopathique” “modifications microangiopathique” ou Leucoaraïose dans les rapports ou Leucoaraïose dans les rapports  Ils se refèrent à des ischémies de la Ils se refèrent à des ischémies de la substance blanche par maladie des substance blanche par maladie des petits vaisseaux due à l’âge petits vaisseaux due à l’âge  Trés souvent rencontré aux âges Trés souvent rencontré aux âges avancés avancés  Sa signification clinique est encore Sa signification clinique est encore inconnue inconnue Modifications Microangiopathiques Normal
  • 36.
    Types d’Hematome Types d’Hematome Recherchez la preuve d’un saignement: Recherchez la preuve d’un saignement:  Hématome sousdural Hématome sousdural  Due une lésion des veines sousdurales Due une lésion des veines sousdurales  Recherchez une Recherchez une forme forme croissant de lune croissant de lune sur la surface sur la surface du cerveau du cerveau  Qui traverse les sutures Qui traverse les sutures  Hématome épidurale ou extradural Hématome épidurale ou extradural  Due à la rupture de l’artère méningée moyenne Due à la rupture de l’artère méningée moyenne  Associé à la fracture de la voute Associé à la fracture de la voute  Recherchez une forme Recherchez une forme biconvexe, ou lenticulaire biconvexe, ou lenticulaire  Ne croise pas le sutures Ne croise pas le sutures
  • 37.
    Sous-dural vs. Extra-dural Sous-duralvs. Extra-dural SOUS-DURAL SOUS-DURAL EXTRADURAL EXTRADURAL Notez la forme de croissant Notez la forme de croissant Notez la forme lenticulaire Notez la forme lenticulaire Cliquez ici Cliquez ici pour voir la pour voir la forme forme Cliquez ici Cliquez ici pour voir la pour voir la forme forme
  • 38.
    Hémorragie sous Hémorragie sous arachnoidienne arachnoidienne Sangdans l’espace sous subarachnoidie n Sang dans les sillonsi Sang dans les ventricule  Recherchez une hémorragie sous arachnoidienne Recherchez une hémorragie sous arachnoidienne  Due à la rupture d’un anévrysme, un trauma, ou une malformation AV Due à la rupture d’un anévrysme, un trauma, ou une malformation AV  Sang dans l’ Sang dans l’espace sous-arachnoidien espace sous-arachnoidien et/ou et/ou ventricules ventricules  Sang d’abord dans la citerne inter-pedunculaire Sang d’abord dans la citerne inter-pedunculaire (Normal)
  • 39.
    Hémorragie Hémorragie intraparenchymateuse intraparenchymateuse  Recherchez une Recherchezune hémorragie hémorragie intraparenchymateuse : intraparenchymateuse :  Sang (aigue, subaigue, ou Sang (aigue, subaigue, ou chronique) localisé dans chronique) localisé dans le parenchyme cérébral le parenchyme cérébral  Entouré d’oedeme Entouré d’oedeme  Cause fréquente HTA Cause fréquente HTA
  • 40.
    Hémorragie Hémorragie  Si vousvoyez un hématome, cherchez à savoir s’il est récent ou Si vous voyez un hématome, cherchez à savoir s’il est récent ou ancien: ancien:  AIGU (< 3 jours) AIGU (< 3 jours)  Hyperdense Hyperdense (80-100 HU) par rapport au parenchyme (80-100 HU) par rapport au parenchyme  Due au contenu proteine-Hb Due au contenu proteine-Hb  Peut être difficile à voir si l’hémoglobine est basse (<80HU) Peut être difficile à voir si l’hémoglobine est basse (<80HU)  SUBAIGU (3-14 jours) SUBAIGU (3-14 jours)  Hyperdense, isodense, ou hypodense Hyperdense, isodense, ou hypodense par rapport au parenchyme par rapport au parenchyme  La perte de la densité commence en péripherie et va vers le centre La perte de la densité commence en péripherie et va vers le centre  CHRONIQUE (>2 semaines) CHRONIQUE (>2 semaines)  Hypodense Hypodense (<40 HU) (<40 HU) par rapport au parenchyme par rapport au parenchyme
  • 41.
    La Densité dusang en fonction du La Densité du sang en fonction du temps dans un hématome sous- temps dans un hématome sous- dural dural Aigue Aigue (<3 jours) (<3 jours) Sub-aigue Sub-aigue (3-14 jours) (3-14 jours) Chronique Chronique (>14 jours) (>14 jours) Hyperdens e Isodense Hypodense
  • 42.
    5. Sillons 5. Sillons Sillon Central Sillon Central  Sillon Sillon Precentral Precentral  Sillon Sillon  Scissure Sylvienne Scissure Sylvienne  Sillon Postcentral Sillon Postcentral  Identifiez: Identifiez: ( (cliquez cliquez sur les noms et leurs localisations) sur les noms et leurs localisations)
  • 43.
    Sulci Sulci  Rappelez vousque les sillons deviennent plus profondes Rappelez vous que les sillons deviennent plus profondes avec l’âge avec l’âge  Recherchez le sang dans les sillons et la scissure sylvienne Recherchez le sang dans les sillons et la scissure sylvienne cce qui montre un saignement cce qui montre un saignement sous-arachnoidien sous-arachnoidien Sang frais dans la scissure Sylvienne Sang frais dans un sillon
  • 44.
    6. Sinus 6. Sinus Allez à la Allez à la Fenetre osseuse Fenetre osseuse pour mieux evaluer les pour mieux evaluer les sinus sinus  Identifiez: Identifiez: ( (cliquez cliquez sur les noms pour voir les localisations) sur les noms pour voir les localisations)  Sinus Ethmoidales Sinus Ethmoidales  Sinus Sinus Sphenoidales Sphenoidales  Superior Saggital Superior Saggital Sinus Sinus  Sinus Frontal Sinus Frontal  Sinus Sinus Maxillaires Maxillaires
  • 45.
    Sinus Sinus  Evaluez lasinusite : Evaluez la sinusite : fluide dans le fluide dans le sinus sinus (niveau hydroaérique ) (niveau hydroaérique ) normal sinusite
  • 46.
    Sinus Sinus  Recherchez: Recherchez:  Epaississementde la muqueuse Epaississement de la muqueuse  Sang dans les sinus Sang dans les sinus (spécialement avec une histoire de (spécialement avec une histoire de traumatisme) traumatisme)  Polypes ou kystes de retention de mucus Polypes ou kystes de retention de mucus
  • 47.
    7. Os 7. Os Restez dans la Restez dans la Fenetre osseuse Fenetre osseuse et observez les os et observez les os  Identifiez: Identifiez: ( (cliquez cliquez sur les noms pour voir les localisations) sur les noms pour voir les localisations)  Crane Crane  Sutures Sutures  Cellules Cellules Mastoidiennes Mastoidiennes
  • 48.
    Os Os  Recherchez : Recherchez:  Fractures Fractures  Modifications Modifications chirurgicales chirurgicales (ex. (ex. craniotomies) craniotomies)
  • 49.
    8. Peau etTissu mou 8. Peau et Tissu mou  Evaluez : Evaluez :  Modifications Modifications chirurgicales chirurgicales  Hématome sous Hématome sous galéal galéal  Corps etrangers Corps etrangers
  • 50.
    Félicitations! Félicitations!  Maintenant vousconnaissez une techinque facile, Maintenant vous connaissez une techinque facile, systematique pour l’interoprétation du Scanner systematique pour l’interoprétation du Scanner Cérébral! Cérébral!  Vous avez appris comment identifier l’anatomie Vous avez appris comment identifier l’anatomie normale, et comment retrouver les anomalies normale, et comment retrouver les anomalies classiques sur un scanner cérébral classiques sur un scanner cérébral  Ce qui suit est un résumé de ce qu’on a vu Ce qui suit est un résumé de ce qu’on a vu précédemment sous forme de cas-courts précédemment sous forme de cas-courts
  • 51.
    Recapitulation Recapitulation  Commencez parl’identification Commencez par l’identification  Rechechez les anciens Scans Rechechez les anciens Scans  Verifier la technique Verifier la technique  Observez chaque région de facon Observez chaque région de facon systématique systématique  On a comméncé par la ligne médiale : On a comméncé par la ligne médiale : 1. 1. Structures médianes Structures médianes 2. 2. Ventricules Ventricules 3. 3. Cisternes Cisternes 4. 4. Parenchyme cérébral Parenchyme cérébral 5. 5. Sillon Sillon 6. 6. Sinus Sinus 7. 7. Os Os 8. 8. Peau et tissus mous Peau et tissus mous
  • 52.
    Recapitulation Recapitulation  Dans chaqueaire, identifiez les éléments Dans chaque aire, identifiez les éléments anatomiques anatomiques  Ensuite recherchez les anomalies Ensuite recherchez les anomalies  Ceci est la liste des choses à ne pas oublier: Ceci est la liste des choses à ne pas oublier:  Ligne médiale Ligne médiale: : deplacement de la ligne médiane deplacement de la ligne médiane  Ventricules Ventricules: : Sang Sang et et Effet de masse Effet de masse  Cisternes Cisternes: : blood blood et et pus pus  Parenchyme Parenchyme: signes d’ : signes d’ischemia ischemia et/ou de et/ou de saignement saignement  Sillons Sillons: : sang sang  Sinus Sinus: signes de : signes de sinusite sinusite  Os Os: : fractures fractures  Tissu mou Tissu mou: : hematome hematome
  • 53.
    Recapitulation Recapitulation  Rappelz vousd’utiliser la Rappelz vous d’utiliser la même même approche à approche à chaque fois chaque fois pour ne rien pour ne rien oublier! oublier!  Essayez les cas suivant pour tester vos Essayez les cas suivant pour tester vos connaissances connaissances
  • 54.
  • 55.
    Case #1 Case #1 Mme EW, 80 ans, sexe féminin avec Mme EW, 80 ans, sexe féminin avec comme palinte: comme palinte:  Aphasie d’expression/apraxie Aphasie d’expression/apraxie  Leger affaissement de l’hémiface droit Leger affaissement de l’hémiface droit  Fibrillation Atriale Fibrillation Atriale  Un scanner cérébral non injecté est Un scanner cérébral non injecté est réalisé réalisé
  • 57.
    Votre analyse Votre analyse Quels sont vos trouvailles? Quels sont vos trouvailles?  Quel est votre impression? Quel est votre impression?  Quel serai votre prémier diagnostic? Quel serai votre prémier diagnostic?
  • 58.
  • 59.
    Cas #1 -Réponse Cas #1 - Réponse  Mme. EW a eu un Mme. EW a eu un Infarctus du Infarctus du Lobe Parietal Lobe Parietal Gauche Gauche  La localisation est La localisation est compatible avec un compatible avec un infarctus infarctus ACM ACM  La cause est une embole La cause est une embole due à la fibrillation atriale due à la fibrillation atriale
  • 60.
    Cas #2 Cas #2 Mr GH a 56 ans, masculinse presente avec: Mr GH a 56 ans, masculinse presente avec:  Céphales EVA 10/10 de survenue brutale au Céphales EVA 10/10 de survenue brutale au cours d’un jogging cours d’un jogging  Photophobie, nausée & vomissement Photophobie, nausée & vomissement  Pas d’histoire de traumatisme ou de perte de Pas d’histoire de traumatisme ou de perte de connaissance connaissance  Ailleurs RAS Ailleurs RAS  Scanner cérébral non infecté est réalisé Scanner cérébral non infecté est réalisé
  • 62.
    Votre analyse Votre analyse Quels sont vos trouvailles? Quels sont vos trouvailles?  Quel est votre impression? Quel est votre impression?  Quels est votre premier diagnostic? Quels est votre premier diagnostic?  Est-ce que la pathologie est aigue, sub- Est-ce que la pathologie est aigue, sub- aigue ou chronique aigue ou chronique
  • 63.
    Cas #2 -Reponse Cas #2 - Reponse  Mr. GH a eu un large Mr. GH a eu un large hématome sousarachnoidien hématome sousarachnoidien  Le saignement était Le saignement était aigue aigue  Cela était causé par la Cela était causé par la rupture d’un anévrysme de rupture d’un anévrysme de l’ACA l’ACA  Il a été admis en USI où son Il a été admis en USI où son état s’est vite detérioré état s’est vite detérioré  Il est decedé peu de temps Il est decedé peu de temps après son admission après son admission
  • 64.
    Cas #3 Cas #3 Ms. JH a 66 ans, feminin qui a glissé sur Ms. JH a 66 ans, feminin qui a glissé sur les escaliers hier et cogné sa tête. les escaliers hier et cogné sa tête.  Elle se présent avec Elle se présent avec  Une faiblesse de l’hémicorps gauche Une faiblesse de l’hémicorps gauche  Des céphalées legères Des céphalées legères  Un Scanner cérébral non injecté est Un Scanner cérébral non injecté est réalisé réalisé
  • 65.
  • 66.
    Votre analyse Votre analyse Quels sont vos trouvailles? Quels sont vos trouvailles?  Quel est votre impression? Quel est votre impression?  Quels est votre premier diagnostic? Quels est votre premier diagnostic?  Est-ce que la pathologie est aigue, sub- Est-ce que la pathologie est aigue, sub- aigue ou chronique aigue ou chronique
  • 67.
    Cas #3 -Réponse Cas #3 - Réponse  Mme. JH a eu un large Mme. JH a eu un large hématome sousdural hématome sousdural droit droit  Il est aigu Il est aigu acute acute  Cela est du à la rupture Cela est du à la rupture des veines sous sous des veines sous sous duraux lorsqu’elle a cogné duraux lorsqu’elle a cogné sa tête sa tête  Une craniotomie a été Une craniotomie a été réalisée et le sang a été réalisée et le sang a été drainé drainé
  • 68.
    Cas Bonus Cas Bonus Mr. LR a 80 ans, masculin se présente Mr. LR a 80 ans, masculin se présente avec : avec :  Une historie de délire qui dure 3 mois Une historie de délire qui dure 3 mois  Il est récemment tombé du lit Il est récemment tombé du lit  Une plaie du scalp Une plaie du scalp  Pas de déficit neurologique focal Pas de déficit neurologique focal  Un Scanner cérébral non injecté est Un Scanner cérébral non injecté est réalisé réalisé
  • 69.
  • 70.
    Analyse Analyse  Pouvez vousvoir les anomalies? Pouvez vous voir les anomalies?  Quel est votre impression? Quel est votre impression?  Quel serai votre prémier diagnostic? Quel serai votre prémier diagnostic?
  • 71.
    Cas Bonus -Answer Cas Bonus - Answer  Mr. LR a eu un petit Mr. LR a eu un petit hématome hématome sousdural sousdural gauche gauche  Le sang est vu le long de Le sang est vu le long de l’espace sous dural gauche et l’espace sous dural gauche et aussi dans la partie antérieure aussi dans la partie antérieure de la faux du cerveau de la faux du cerveau (Fleches) (Fleches)  L’hématome est L’hématome est aigu aigu  A cause de sa petite taille, A cause de sa petite taille, aucun traitement n’a été aucun traitement n’a été necessaire necessaire  Les Scanner de suivi ont Les Scanner de suivi ont montré une resorption de montré une resorption de Scanner normal pour la comparaison Scanner normal pour la comparaison

Notes de l'éditeur

  • #9 References: Barrett HH. Statistical limitations in transaxial tomography. Comput Biol med. 1976 6:307. Grainger & Allison’s Diagnostic Radiology 4th ed.
  • #13 Figure from: www.neurosurvival.ca