CAS CLINIQUE
Melle B… âgée de 26 ans, institutrice depuis 2 ans, vient en
consultation pour la découverte depuis 15 jours d’un ganglion
cervical droit de 2 cm.
On ne retrouve aucun antécédent médico-chirurgical,
vaccination à jour et absence de toute conduite à risque.
La patiente déclare présenter depuis deux mois environ un
prurit diffus, non amélioré par les crèmes que lui a conseillé son
pharmacien.
A l’interrogatoire, vous retrouvez un poids de 53 kg avec une
perte de 3 kg depuis 6 mois, pas de sueur ni de fièvre, mais
parfois des douleurs au niveau de son ganglion après une soirée
chez des amis.
A l’examen clinique, vous notez une adénopathie cervicale droite
de 2 par 1 cm mais également un ganglion sus claviculaire gauche
de 1 par 1,5 cm, les autres aires ganglionnaires sont libres. Le
pouls est régulier mais il existe une tachycardie à 100/min, la
TA est à 12/7, le reste de l’examen est normal.
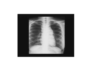
1) Quels examens d’orientation demandez
vous ?
1) Quels examens d’orientation
demandez vous ?
• Examen clinique complet avec schéma des
adénopathies
• NFP
• VS ou CRP
• Ionogramme sanguin complet
• LDH
• Bilan hépatique
• Radiographie pulmonaire de face
• Cytoponction ganglionnaire
• Sérologies virales : MNI, HIV, toxoplasmose
2) Quel(s) examen(s) demandez vous pour
confirmer le diagnostic ?
2) Quel examen demandez vous pour
confirmer le diagnostic ?
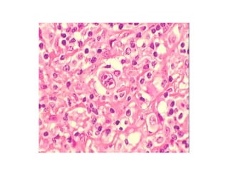
• Biopsie exérèse ganglionnaire avec envoi du
prélèvement frais au laboratoire
d’anatomopathologie pour examen
anatomopathologique et immunohistochimique.
En général, on demande aussi une analyse
cytogénétique et de biologie moléculaire.
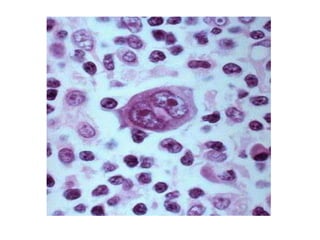
3) Le diagnostic de maladie de Hodgkin
scléro-nodulaire est posé, que demandez
vous pour affiner la classification d’Ann
Arbor ?
3) Le diagnostic de maladie de Hodgkin scléro-
nodulaire est posé, que demandez vous pour
affinez la classification d’Ann Arbor ?
• Scanner cervico-thoraco-abdomino-
pelvien
• Biopsie ostéo médullaire
• TEP scan
4) Melle B… présente un stade II A,
complétez le bilan pré thérapeutique ?
4) Melle B… présente un stade II A,
complétez le bilan pré thérapeutique ?
• Echographie cardiaque ou scintigraphie myocardique
avant utilisation d’ANTHRACYCLINE pour mesurer la
FEVG et ECG.
• calcémie, phosphore, acide urique, ionogramme,
créatinine, albumine,
• Β2 microglobuline,
• Bilan pré transfusionnel,
• Sérologies virales,
• EFR,
• Conservation de sperme si le patient était un homme.
5) Le programme thérapeutique comprend 4 cures ABVD
puis une radiothérapie sur les aires initialement
envahies.
Vous décidez de réaliser le traitement après mise en
place d’un cathéter sous clavier gauche.
Melle B… a terminé l’ensemble de son traitement.
Quel est votre bilan d’évaluation post-thérapeutique ?
5) Quel est votre bilan d’évaluation
post-thérapeutique ?
• Scanner cervico-thoraco-abdomino-
pelvien
• NFP, CRP, LDH, Bilan hépatique, B2
microglobuline
• TEP scan
• Bilan hormonal : thyroïdien, FSH, LH
6) Quel est votre surveillance à moyen et
long terme ?
6) Quel est votre surveillance à moyen
et long terme ?
• Consultation spécialisée régulièrement pour
une durée de 10 ans minimum .
• NFP, CRP, LDH, Bilan hépatique, B2
microglobuline tous les 3 mois puis tous les 6
mois.
• Scanner cervico-thoraco-abdomino-pelvien
tous les 6 mois pendant les deux premières
années et TEP scan en fonction.
• Examens associés en fonction des
complications à moyen et long terme.

3301732.ppt

  • 1.
  • 2.
    Melle B… âgéede 26 ans, institutrice depuis 2 ans, vient en consultation pour la découverte depuis 15 jours d’un ganglion cervical droit de 2 cm. On ne retrouve aucun antécédent médico-chirurgical, vaccination à jour et absence de toute conduite à risque. La patiente déclare présenter depuis deux mois environ un prurit diffus, non amélioré par les crèmes que lui a conseillé son pharmacien. A l’interrogatoire, vous retrouvez un poids de 53 kg avec une perte de 3 kg depuis 6 mois, pas de sueur ni de fièvre, mais parfois des douleurs au niveau de son ganglion après une soirée chez des amis. A l’examen clinique, vous notez une adénopathie cervicale droite de 2 par 1 cm mais également un ganglion sus claviculaire gauche de 1 par 1,5 cm, les autres aires ganglionnaires sont libres. Le pouls est régulier mais il existe une tachycardie à 100/min, la TA est à 12/7, le reste de l’examen est normal.
  • 4.
    1) Quels examensd’orientation demandez vous ?
  • 5.
    1) Quels examensd’orientation demandez vous ? • Examen clinique complet avec schéma des adénopathies • NFP • VS ou CRP • Ionogramme sanguin complet • LDH • Bilan hépatique • Radiographie pulmonaire de face • Cytoponction ganglionnaire • Sérologies virales : MNI, HIV, toxoplasmose
  • 8.
    2) Quel(s) examen(s)demandez vous pour confirmer le diagnostic ?
  • 9.
    2) Quel examendemandez vous pour confirmer le diagnostic ? • Biopsie exérèse ganglionnaire avec envoi du prélèvement frais au laboratoire d’anatomopathologie pour examen anatomopathologique et immunohistochimique. En général, on demande aussi une analyse cytogénétique et de biologie moléculaire.
  • 12.
    3) Le diagnosticde maladie de Hodgkin scléro-nodulaire est posé, que demandez vous pour affiner la classification d’Ann Arbor ?
  • 13.
    3) Le diagnosticde maladie de Hodgkin scléro- nodulaire est posé, que demandez vous pour affinez la classification d’Ann Arbor ? • Scanner cervico-thoraco-abdomino- pelvien • Biopsie ostéo médullaire • TEP scan
  • 15.
    4) Melle B…présente un stade II A, complétez le bilan pré thérapeutique ?
  • 16.
    4) Melle B…présente un stade II A, complétez le bilan pré thérapeutique ? • Echographie cardiaque ou scintigraphie myocardique avant utilisation d’ANTHRACYCLINE pour mesurer la FEVG et ECG. • calcémie, phosphore, acide urique, ionogramme, créatinine, albumine, • Β2 microglobuline, • Bilan pré transfusionnel, • Sérologies virales, • EFR, • Conservation de sperme si le patient était un homme.
  • 17.
    5) Le programmethérapeutique comprend 4 cures ABVD puis une radiothérapie sur les aires initialement envahies. Vous décidez de réaliser le traitement après mise en place d’un cathéter sous clavier gauche. Melle B… a terminé l’ensemble de son traitement. Quel est votre bilan d’évaluation post-thérapeutique ?
  • 18.
    5) Quel estvotre bilan d’évaluation post-thérapeutique ? • Scanner cervico-thoraco-abdomino- pelvien • NFP, CRP, LDH, Bilan hépatique, B2 microglobuline • TEP scan • Bilan hormonal : thyroïdien, FSH, LH
  • 19.
    6) Quel estvotre surveillance à moyen et long terme ?
  • 20.
    6) Quel estvotre surveillance à moyen et long terme ? • Consultation spécialisée régulièrement pour une durée de 10 ans minimum . • NFP, CRP, LDH, Bilan hépatique, B2 microglobuline tous les 3 mois puis tous les 6 mois. • Scanner cervico-thoraco-abdomino-pelvien tous les 6 mois pendant les deux premières années et TEP scan en fonction. • Examens associés en fonction des complications à moyen et long terme.