Métabolismes hépatiques
Pr ABID HAKIMA
Service d’Hépato-gastroentérologie
CHU Hassan II de Fès
2022-2023
PLAN
I. INTRODUCTION
II. RAPPEL ANATOMIQUE ET HISTOLOGIQUE
III. MÉTABOLISME HÉPATIQUE DES GLUCIDES
IV. MÉTABOLISME HÉPATIQUE DES LIPIDES
V. MÉTABOLISME HÉPATIQUE DES PROTIDES
VI. SYNTHÈSE DE L'HÈME ET DÉGRADATION EN BILIRUBINE
VII. MÉTABOLISMES HÉPATIQUE DES XÉNOBIOTIQUES.
VIII. MÉTABOLISME DE L'ÉTHANOL
IX. EXPLORATIONS DES FONCTIONS HÉPATIQUES
X. IMPLICATIONS PHYSIOPATHOLOGIQUES
XI. CONCLUSION
I-INTRODUCTION
❑Métabolisme : Ensemble des réactions de synthèse (anabolisme) et de dégradation
(catabolisme), qui s'effectuent au sein de la matière vivante à partir des constituants
chimiques fournis à l'organisme par l'alimentation et sous l'action de catalyseurs
spécifiques
❑Foie : un des organes les plus importants du corps
❑Fonctions: métaboliques, vasculaires, immunologiques, sécrétoires et excrétoires.
❑Rôle clé dans le métabolisme des glucides, des protéines et des graisses dans le corps
humain.
II-Rappel anatomique et histologique
ANATOMIE DU FOIE
❑La plus volumineuse des glandes de l’organisme (environ 1,5 kg)
❑ HCDt, sous le diaphragme auquel il est relié par des « ligaments »
❑ importantevascularisation: 75 % du sang venant de la sphère digestive via la veine porte.
❑ les veines péri-lobulaires capillaires sinusoïdes les veines centro-lobulaires
les veines interlobulaires les veines sus-hépatiques la veine cave inf.
❑ Glandeséparée en lobeseux-mêmes organisés par des lobuleshépatiques
❑ Glandeamphicrine: à la fois exocrine et endocrine(majorité des protéinesplasmatiques)
ANATOMIE DU FOIE
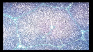
HISTOLOGIE DU FOIE
MICROANATOMIE DU SINUSOIDE
HEPATIQUE
HISTOLOGIE DU FOIE
• LES HÉPATOCYTES(80%des
cellules du foie) : Cellulestrès singulières
du fait de leurs très nombreuses fonctions
:
- métabolismes ultimes des produits
de digestion,
- détoxication de nombreux substrats,
endogènes ou exogènes
- stockage de divers composés
- nombreuses fonctions endocrines
- une seule fonction exocrine= bile
• LES AUTRES CELLULES HÉPATIQUES :
❖ Cellulesendothéliales
❖Cellulesde Ito : soutien et communication hépatocyte-sinusoide
❖Cellulesde Kupffer (macrophages): immunité +++
❖Cellulesmyofibroblastiques(dérivées de cellulesde Ito)
❖Celluleshématopoïétiqueschez l’embryon.
HISTOLOGIE DU FOIE
• Le foie est l'organe central de la régulation glycémique: fonction glucostatique
• Fonction de consommation, du stockage et de la production du glucose afin d’éviter les
hypo et hyperglycémies++ :
• Régulation hormonale faisant appel à l’insuline et aux hormones de contre régulation
glycémique
III-Métabolisme hépatique des glucides
• En postprandiale 50% du glucose est absorbé, et sera utilisé dans 2 voies métaboliques :
• La glycolyse : C’est une particularité propre du foie. Une partie du glucose sera
dégradée en pyruvates grâce à 2 enzymes :La phospho-fructo-kinase et la pyruvate
kinase
• La Glycogenogenèse: conversion de l’excès de glucose en glycogène: forme de
stockage
III-Métabolisme hépatique des glucides
• Lors du jeûne :
• La glycogénolyse : Dégradation du glycogène avec production de glucose (
glucose-6 phosphatase)
o Néoglucogenèse: transformation de précurseurs d’origine diverses en glucose:
▪ Acide aminé issu de l’alimentation ou de l’organisme
▪ Glycérol issu de la lipolyse
▪ Lactate issu de la glycolyse
Dégradation du fructose et du galactose
❑Sous Forme de disaccharides :
• Saccharose = glucose et fructose
• lactose = glucose et galactose.
❑Métabolisme énergétique++: conversion en glucose
❑Composition des membranes cellulaires,
❑Transport intracellulaire indépendant de l’insuline
❑Métabolisme: phosphorylation au niveau hépatique.
❑Origine :
⮚Fructose: saccharose ou libre ( jus de fruits, légumes, miel)
⮚Le galactose: lait et ses dérivés, dégradation de glycoprotéines ou de glycolipides ( membranes cellulaires)
Régulation
L’adaptationdu métabolisme glucidique est fonction de la glycémie :
❑ hypoglycémie : Stimule le glucagon :
⮚ Stimulation de la glycogénolyse
⮚ Stimulation de la néoglucogenèse
⮚ Inhibition de la glycolyse
❑ Hyperglycémie : stimule l’insuline :
⮚ Stimulation de la glycogénogenèse
⮚ stimulation de la glycolyse
⮚ Inhibition de la néoglucogenèse
⮚ Stimulation de l’utilisation musculaire
• Lipides : principale réserve d’énergie
• Triglycérides +++
• Dégradation en acides gras (AG) et glycérol, oxydés en acétyl CoA puis en CO2
et H2O
IV-Métabolisme hépatique des lipides
Libération d’une grande quantité d’énergie
❑La biosynthèse des acides gras et des lipides répond à deux impératifs dans la Cellule:
- fourniture des acides gras nécessaires à la cellule ( lipides de structure)
- mise en réserve de l’énergie en cas d’excès ( dans les tissus adipeux)
❑Le foie: organe central de ce métabolisme
∙ Synthèse de toutesles formes des lipides ( AG ,TG, Cholestérol, phospholipides)
∙ Synthèse des protéinesde transport: les lipoprotéines
∙ mécanismes énergétiques de suppléance : par la bêta-oxydation des acides gras (synthèse de corps
cétoniques(cétogenèse).
❑en situation d’hyperglycémie et de sécrétion d’insuline
❑La synthèse des acides gras: au niveau cytosolique ( alors que leur dégradation par ß-oxydation est intra
mitochondriale)
❑ Acétyl-CoA intra-mitochondrial= seul précurseur de la synthèse des AG.
❑ 3 origines :
❖ la ß-oxydation des acides gras (intra-mitochondriale),
❖ l'oxydation du pyruvate (mitochondriale),
❖ la dégradation oxydative des acides aminés dits cétogènes :tyrosine, phénylalanine
Lipogenèse de novo : les AG+++
Catabolisme des AG (Cétogenèse) : OXIDATION DES AG
∙ Bêta-oxydationmitochondriale:productiond’acétyl-CoAet de nucléotides réduits FADH2 et NADH
∙ Une partie produit de l'énergie: cycle de krebs .
∙ une partie est transformée en corps cétoniques(cétogenèse) spécifique au foie: en cas de déficit en
glucides
acide acéto-acétiquepartiellementtransformé en acide bêta-hydroxy-butyriqueet en acétone.
• Devenirdes corps cétoniques : substrats énergétiques alternatifs de suppléancedu glucose
• Régulationde la cétogenèse: insuline/ glucagon++.
• Elimination :
• Urinaire : en cas d’excès de CC circulants
• Pulmonaire: faible.
Métabolisme des triglycérides
• lieu de synthèse : réticulumendoplasmiquedes hépatocytes
• les précurseurs : L’acétyl CoA + 3 AG
• la synthèse : Glycérol et 3 AG
• Le devenir des TG :
o Stockage hépatique
o Stockage au niveau de tissu adipeux
o éliminés dans la bile.
o Régulation:L’insuline (synthèse )/ Le glucagon adrénalineet le cortisol (lipolyse des TG en AG )
Métabolisme du Cholestérol
❑Rôle:
❑composant essentiel des membranes cellulaires
❑précurseurdes acides biliaires, de la vitamine D et des hormones stéroïdes
❑Lieu de synthèse: cytoplasme( +apport alimentaire)
❑la synthèse de cholestérol:1g/j++
• Condensationde 3 Acétyl CoA : formation de l’hydroxy-méthyl-glutaryl-CoA(HMG-CoA)
• suivie de plusieurs réactionsaboutissant à la formation de cholestérol.
❑Régulationde la synthèse :
1.enzymatique : l’HMG-CoA réductase(synthèse), les apo-lipoproteines(transport)et la 7-α hydroxylase
(catabolisme)
2.Hormonale: Insuline (stimulation)et Glucagon (inhibition)
❑Devenir:
• Une partie est mise en réserve
• Une partie est sécrétée dans le sang sous forme de VLDL.
• La troisième voie est l’excrétion biliaire ( forme libre , acides biliaires)
Les acides biliaires ?
❑acides saturés à 24 atomes de carbone
❑Foie : acides biliaires primaires : acides choliques et chénodéoxycholiques.
❑Conjugaison avec:
⮚ soit la taurine (taurocholique et taurochénodéoxycholique)
⮚ soit avec la glycine (glycocholique et glycochénodéoxycholique).
❑Sécrétion dans la bile (phospholipides, chol, eau, bilirubine, electrolytes )
❑Au niveau intestinal : acides biliaires secondaires sous l’action de bactéries anaérobies (acides déoxycholiques
et litocholiques).
❑La plus grande proportion est dé conjuguée et réabsorbée via la veine porte et resécrétée par le foie dans la bile
(cycle entéro-hépatique des acides biliaires).
Cycle entero-
hépatique du
cholestérol et
acides biliaires
Métabolisme des phospholipides :
- mêmes étapes que pour les TG
- jusqu’au niveau du diacylglycérol à quoi s’ajoute un alcool.
le transport des lipides (les lipoproteines ):
❖ Les lipides sont véhiculés dans le sang grâce à leur association à des protéines(les apolipoproteines)pour
constituerdes formes solubles: les lipoproteines.
❖ structuredes lipoproteines : sphérique
• le noyau renferme les lipides hydrophobes( TG et Cholest estérifié)
• l’enveloppeconstituéedes apolipoproteines(une seule ou plusieurs).
• les lipides les plus hydrophiles(les phospholipides).
❖Différentes lipoprotéines: 5 types :
• Les chylomicrons (CM)
• Les lipoprotéinesde très faible densité VLDL ( very low density lipoproteins)
• Les lipoprotéinesde densité intermédiaire IDL (Intermediary density lipoproteins);
• Les lipoprotéinesde faible densité LDL ( low density lipoproteins).
• les lipoprotéinesde haute densité HDL (High density lipoprotein)
Métabolisme énergétique
Glucides
Lipides
V-Métabolisme hépatique des protides
❑Synthèse hépatiquedes protides: 25% des dépenses énergétiques
❑Les protéinesplasmatiques:
• synthèse hépatique(albumine++++: 35-45g/l)
• les immunoglobulines(moelle osseuse)
❑Les acides aminés : unités de construction de protéines
• groupe amine (–NH2) et un groupe carboxyle(–COOH).
• Liaison en chaînes: molécules de protéines.
• Dérivés des protéinesalimentaires et des protéinesmusculaires du corps humain.
• Plusieurs réactions dans le foie++
❑Transamination :
❖Transfert d’un groupe amine d’un AA à un acide α-céto réactif: formation d’un AA
et un acide α-céto.
❖Rôle des transaminases +++
❖Exemple: Acide α-cétoglutarique + acide aminé → acide glutamique + acide α-
céto
❑Désamination :
❖élimination d'un groupe aminé aboutissant à la formation d'ammoniac (NH3).
❖glutamate déshydrogénase+++.
❖Le reste de l'acide aminé (α-cétoglutarate): production d'énergie (par conversion en
molécules de glucose et de lipides )
❖Exemple: Glutamate + NAD+ + H2O → NH4+ + α-cétoglutarate + NADH + H+
❑Synthèse d'urée :
❑l'ammoniac: toxique pour les tissus humains
❑transformation en urée par les hépatocytes ( cycle de l'urée)
❑Excrétion rénale.
❑Autres fonctions de Synthèse protidiques :
❑AA non essentiels
❑protéines plasmatiques (albumine, transferrine, ferritine, céruléoplasmine)
❑plusieurs facteurs de coagulation (II, V, VII, IX et X)
❑ immunoglobulines.
Régulation du métabolisme protidique
• A) La régulation hormonale : Les hormones peuvent être anabolisantes ou catabolisantes.
⮚Les hormones anabolisantes : l’insuline , Hormone de croissance :
⮚Les hormones catabolisantes :Glucagon , Glucocorticoïdes , Cytokines (TNF, interleukines)
• B) La régulation nutritionnelle :
⮚La régulation par les substrats : Les acides aminés, Les autres substrats énergétiques
⮚La régulation au cours des différents états nutritionnels :
∙ Etat post prandial : Le repas freine la dégradation protéique, ↑ la synthèse protéique (liée à ↑ des AA circulants),
↑Augmente l’apport énergétique
∙ Etat post absorptif (à jeun) :protéolyse étant légèrement supérieure à la synthèse
VI-Synthèse de l'hème et dégradation en bilirubine
• L’hème= porphyrine qui contient quatre cycles pyrroles liés
par des ponts méthényl, avec un atome de fer ferreux au centre
de la molécule.
• Au niveau de la mitochondrie : Synthèse de La 5-
aminolévulinate à partir du glycocolle et du succinylCoA).
• Au niveau du cytolsol : 2 molécules de 5-aminolévulinate se
condensent pour former le porphobilinogène
• Les réactions se succèdent pour aboutir au
coproporphyrinogène III.
• Le fer ferreux est additionné par la ferrochélatase pour obtenir
la protoporphyrine IX de l’hémoglobine
Synthèse de l’hème
• L’hème est dégradé en
bilirubine.
• Tous les jours, environ 250 à 300
mg de bilirubine proviennent du
renouvellement des globules
rouges dans le foie, la rate et la
moelle osseuse.
• La protoporphyrine de
l’hémoglobine est clivée en
biliverdine par l’hème
oxygénase, ensuite réduite en
bilirubine.
Dégradation de la bilirubine
VIII- métabolisme hépatique des médicaments
et xénobiotiques
❑Enzymes situées au niveau du REL du foie++: protection de l'organisme contrel'accumulation de
substancesliposolublesexogènes et endogènes : transformationen molécules hydrosolublescapables
d'être excrétées dans la bile ou l'urine.
❑Deux étapes : Fonctionnalisation puis conjugaison
❑Le RE dispose d'un système enzymatique, totalementaspécifique, qui active l'oxygène moléculairepour
l'oxydation des composés liposolubles: CytochromeP450
IX-Métabolisme de l'éthanol
• Apport endogène (dégradation du glucose) ou exogène.
• Toxique ++: foie ++, autres organes
Autres fonction métaboliques diverses
• Stockage des vitamines : A, D, B12…
• Stockage de fer sous forme de ferritine ( apoferritine)
• Métabolisme du cuivre
• Synthèse des facteurs de coagulation : fibrinogène, prothrombine…
• Métabolisme et excrétion des hormones
• Sécrétion de calcium (bile)
• ….
XI-Explorations des fonctions hépatiques
• Les transaminases: l’aspartateaminotransférase (ASAT) et l’alanineaminotransférase (ALAT) qui sont
de localisationmitochondriale. Cettedernière est réputéeplus sensible.
• L’albumine : reflète l’état nutritionnelgénéral et le niveau de synthèse protéiqueet d’apport en
aminoacides.
• la transferrine (fixe le fer ferrique (Fe3+), et ferritine( réserve de fer dans le foie et la moelle osseuse).
• La céruloplasmine participeà l’exportationdu cuivre à partir du foie et est augmentée dans les maladies
aiguës du tissu hépatique.
• Le cuivre: composant important de nombreuses enzymes.
• La bilirubinémie
• La g-GT et La phosphatasealcaline (PAL): cholestases.
• protéines de coagulation sanguine: TP temps de prothrombine
X- implications physiopathologiques
Exemples :
❑Cirrhose , l’insuffisance hépatocellulaire
❑Encéphalopathie hépatique
❑Stéatose hépatique et insulinorésistance
❑Hémolyse : ictère à bilirubine non conjuguée
CONCLUSION
- Le foie: organe central de la régulation glycémique
- Métabolisme énergétique +++
- Synthèse des protéines de structure et des protéinesplasmatiques.
- Détoxification ++++++
- L’altération massive du parenchyme hépatique par divers processus pathologiques: perturbation du
métabolisme hépatique
Thank you and good luck

métabolimes hépatiques.pdf

  • 1.
    Métabolismes hépatiques Pr ABIDHAKIMA Service d’Hépato-gastroentérologie CHU Hassan II de Fès 2022-2023
  • 2.
    PLAN I. INTRODUCTION II. RAPPELANATOMIQUE ET HISTOLOGIQUE III. MÉTABOLISME HÉPATIQUE DES GLUCIDES IV. MÉTABOLISME HÉPATIQUE DES LIPIDES V. MÉTABOLISME HÉPATIQUE DES PROTIDES VI. SYNTHÈSE DE L'HÈME ET DÉGRADATION EN BILIRUBINE VII. MÉTABOLISMES HÉPATIQUE DES XÉNOBIOTIQUES. VIII. MÉTABOLISME DE L'ÉTHANOL IX. EXPLORATIONS DES FONCTIONS HÉPATIQUES X. IMPLICATIONS PHYSIOPATHOLOGIQUES XI. CONCLUSION
  • 3.
    I-INTRODUCTION ❑Métabolisme : Ensembledes réactions de synthèse (anabolisme) et de dégradation (catabolisme), qui s'effectuent au sein de la matière vivante à partir des constituants chimiques fournis à l'organisme par l'alimentation et sous l'action de catalyseurs spécifiques ❑Foie : un des organes les plus importants du corps ❑Fonctions: métaboliques, vasculaires, immunologiques, sécrétoires et excrétoires. ❑Rôle clé dans le métabolisme des glucides, des protéines et des graisses dans le corps humain.
  • 4.
  • 5.
    ANATOMIE DU FOIE ❑Laplus volumineuse des glandes de l’organisme (environ 1,5 kg) ❑ HCDt, sous le diaphragme auquel il est relié par des « ligaments » ❑ importantevascularisation: 75 % du sang venant de la sphère digestive via la veine porte. ❑ les veines péri-lobulaires capillaires sinusoïdes les veines centro-lobulaires les veines interlobulaires les veines sus-hépatiques la veine cave inf. ❑ Glandeséparée en lobeseux-mêmes organisés par des lobuleshépatiques ❑ Glandeamphicrine: à la fois exocrine et endocrine(majorité des protéinesplasmatiques)
  • 8.
  • 9.
  • 10.
  • 12.
  • 13.
    • LES HÉPATOCYTES(80%des cellulesdu foie) : Cellulestrès singulières du fait de leurs très nombreuses fonctions : - métabolismes ultimes des produits de digestion, - détoxication de nombreux substrats, endogènes ou exogènes - stockage de divers composés - nombreuses fonctions endocrines - une seule fonction exocrine= bile
  • 14.
    • LES AUTRESCELLULES HÉPATIQUES : ❖ Cellulesendothéliales ❖Cellulesde Ito : soutien et communication hépatocyte-sinusoide ❖Cellulesde Kupffer (macrophages): immunité +++ ❖Cellulesmyofibroblastiques(dérivées de cellulesde Ito) ❖Celluleshématopoïétiqueschez l’embryon. HISTOLOGIE DU FOIE
  • 16.
    • Le foieest l'organe central de la régulation glycémique: fonction glucostatique • Fonction de consommation, du stockage et de la production du glucose afin d’éviter les hypo et hyperglycémies++ : • Régulation hormonale faisant appel à l’insuline et aux hormones de contre régulation glycémique III-Métabolisme hépatique des glucides
  • 17.
    • En postprandiale50% du glucose est absorbé, et sera utilisé dans 2 voies métaboliques : • La glycolyse : C’est une particularité propre du foie. Une partie du glucose sera dégradée en pyruvates grâce à 2 enzymes :La phospho-fructo-kinase et la pyruvate kinase • La Glycogenogenèse: conversion de l’excès de glucose en glycogène: forme de stockage III-Métabolisme hépatique des glucides
  • 19.
    • Lors dujeûne : • La glycogénolyse : Dégradation du glycogène avec production de glucose ( glucose-6 phosphatase) o Néoglucogenèse: transformation de précurseurs d’origine diverses en glucose: ▪ Acide aminé issu de l’alimentation ou de l’organisme ▪ Glycérol issu de la lipolyse ▪ Lactate issu de la glycolyse
  • 21.
    Dégradation du fructoseet du galactose ❑Sous Forme de disaccharides : • Saccharose = glucose et fructose • lactose = glucose et galactose. ❑Métabolisme énergétique++: conversion en glucose ❑Composition des membranes cellulaires, ❑Transport intracellulaire indépendant de l’insuline ❑Métabolisme: phosphorylation au niveau hépatique. ❑Origine : ⮚Fructose: saccharose ou libre ( jus de fruits, légumes, miel) ⮚Le galactose: lait et ses dérivés, dégradation de glycoprotéines ou de glycolipides ( membranes cellulaires)
  • 22.
    Régulation L’adaptationdu métabolisme glucidiqueest fonction de la glycémie : ❑ hypoglycémie : Stimule le glucagon : ⮚ Stimulation de la glycogénolyse ⮚ Stimulation de la néoglucogenèse ⮚ Inhibition de la glycolyse ❑ Hyperglycémie : stimule l’insuline : ⮚ Stimulation de la glycogénogenèse ⮚ stimulation de la glycolyse ⮚ Inhibition de la néoglucogenèse ⮚ Stimulation de l’utilisation musculaire
  • 23.
    • Lipides :principale réserve d’énergie • Triglycérides +++ • Dégradation en acides gras (AG) et glycérol, oxydés en acétyl CoA puis en CO2 et H2O IV-Métabolisme hépatique des lipides Libération d’une grande quantité d’énergie
  • 24.
    ❑La biosynthèse desacides gras et des lipides répond à deux impératifs dans la Cellule: - fourniture des acides gras nécessaires à la cellule ( lipides de structure) - mise en réserve de l’énergie en cas d’excès ( dans les tissus adipeux) ❑Le foie: organe central de ce métabolisme ∙ Synthèse de toutesles formes des lipides ( AG ,TG, Cholestérol, phospholipides) ∙ Synthèse des protéinesde transport: les lipoprotéines ∙ mécanismes énergétiques de suppléance : par la bêta-oxydation des acides gras (synthèse de corps cétoniques(cétogenèse).
  • 25.
    ❑en situation d’hyperglycémieet de sécrétion d’insuline ❑La synthèse des acides gras: au niveau cytosolique ( alors que leur dégradation par ß-oxydation est intra mitochondriale) ❑ Acétyl-CoA intra-mitochondrial= seul précurseur de la synthèse des AG. ❑ 3 origines : ❖ la ß-oxydation des acides gras (intra-mitochondriale), ❖ l'oxydation du pyruvate (mitochondriale), ❖ la dégradation oxydative des acides aminés dits cétogènes :tyrosine, phénylalanine Lipogenèse de novo : les AG+++
  • 26.
    Catabolisme des AG(Cétogenèse) : OXIDATION DES AG ∙ Bêta-oxydationmitochondriale:productiond’acétyl-CoAet de nucléotides réduits FADH2 et NADH ∙ Une partie produit de l'énergie: cycle de krebs . ∙ une partie est transformée en corps cétoniques(cétogenèse) spécifique au foie: en cas de déficit en glucides acide acéto-acétiquepartiellementtransformé en acide bêta-hydroxy-butyriqueet en acétone. • Devenirdes corps cétoniques : substrats énergétiques alternatifs de suppléancedu glucose • Régulationde la cétogenèse: insuline/ glucagon++. • Elimination : • Urinaire : en cas d’excès de CC circulants • Pulmonaire: faible.
  • 27.
    Métabolisme des triglycérides •lieu de synthèse : réticulumendoplasmiquedes hépatocytes • les précurseurs : L’acétyl CoA + 3 AG • la synthèse : Glycérol et 3 AG • Le devenir des TG : o Stockage hépatique o Stockage au niveau de tissu adipeux o éliminés dans la bile. o Régulation:L’insuline (synthèse )/ Le glucagon adrénalineet le cortisol (lipolyse des TG en AG )
  • 29.
    Métabolisme du Cholestérol ❑Rôle: ❑composantessentiel des membranes cellulaires ❑précurseurdes acides biliaires, de la vitamine D et des hormones stéroïdes ❑Lieu de synthèse: cytoplasme( +apport alimentaire) ❑la synthèse de cholestérol:1g/j++ • Condensationde 3 Acétyl CoA : formation de l’hydroxy-méthyl-glutaryl-CoA(HMG-CoA) • suivie de plusieurs réactionsaboutissant à la formation de cholestérol. ❑Régulationde la synthèse : 1.enzymatique : l’HMG-CoA réductase(synthèse), les apo-lipoproteines(transport)et la 7-α hydroxylase (catabolisme) 2.Hormonale: Insuline (stimulation)et Glucagon (inhibition) ❑Devenir: • Une partie est mise en réserve • Une partie est sécrétée dans le sang sous forme de VLDL. • La troisième voie est l’excrétion biliaire ( forme libre , acides biliaires)
  • 30.
    Les acides biliaires? ❑acides saturés à 24 atomes de carbone ❑Foie : acides biliaires primaires : acides choliques et chénodéoxycholiques. ❑Conjugaison avec: ⮚ soit la taurine (taurocholique et taurochénodéoxycholique) ⮚ soit avec la glycine (glycocholique et glycochénodéoxycholique). ❑Sécrétion dans la bile (phospholipides, chol, eau, bilirubine, electrolytes ) ❑Au niveau intestinal : acides biliaires secondaires sous l’action de bactéries anaérobies (acides déoxycholiques et litocholiques). ❑La plus grande proportion est dé conjuguée et réabsorbée via la veine porte et resécrétée par le foie dans la bile (cycle entéro-hépatique des acides biliaires).
  • 31.
  • 32.
    Métabolisme des phospholipides: - mêmes étapes que pour les TG - jusqu’au niveau du diacylglycérol à quoi s’ajoute un alcool.
  • 33.
    le transport deslipides (les lipoproteines ): ❖ Les lipides sont véhiculés dans le sang grâce à leur association à des protéines(les apolipoproteines)pour constituerdes formes solubles: les lipoproteines. ❖ structuredes lipoproteines : sphérique • le noyau renferme les lipides hydrophobes( TG et Cholest estérifié) • l’enveloppeconstituéedes apolipoproteines(une seule ou plusieurs). • les lipides les plus hydrophiles(les phospholipides). ❖Différentes lipoprotéines: 5 types : • Les chylomicrons (CM) • Les lipoprotéinesde très faible densité VLDL ( very low density lipoproteins) • Les lipoprotéinesde densité intermédiaire IDL (Intermediary density lipoproteins); • Les lipoprotéinesde faible densité LDL ( low density lipoproteins). • les lipoprotéinesde haute densité HDL (High density lipoprotein)
  • 34.
  • 38.
    V-Métabolisme hépatique desprotides ❑Synthèse hépatiquedes protides: 25% des dépenses énergétiques ❑Les protéinesplasmatiques: • synthèse hépatique(albumine++++: 35-45g/l) • les immunoglobulines(moelle osseuse) ❑Les acides aminés : unités de construction de protéines • groupe amine (–NH2) et un groupe carboxyle(–COOH). • Liaison en chaînes: molécules de protéines. • Dérivés des protéinesalimentaires et des protéinesmusculaires du corps humain. • Plusieurs réactions dans le foie++
  • 39.
    ❑Transamination : ❖Transfert d’ungroupe amine d’un AA à un acide α-céto réactif: formation d’un AA et un acide α-céto. ❖Rôle des transaminases +++ ❖Exemple: Acide α-cétoglutarique + acide aminé → acide glutamique + acide α- céto ❑Désamination : ❖élimination d'un groupe aminé aboutissant à la formation d'ammoniac (NH3). ❖glutamate déshydrogénase+++. ❖Le reste de l'acide aminé (α-cétoglutarate): production d'énergie (par conversion en molécules de glucose et de lipides ) ❖Exemple: Glutamate + NAD+ + H2O → NH4+ + α-cétoglutarate + NADH + H+
  • 40.
    ❑Synthèse d'urée : ❑l'ammoniac:toxique pour les tissus humains ❑transformation en urée par les hépatocytes ( cycle de l'urée) ❑Excrétion rénale. ❑Autres fonctions de Synthèse protidiques : ❑AA non essentiels ❑protéines plasmatiques (albumine, transferrine, ferritine, céruléoplasmine) ❑plusieurs facteurs de coagulation (II, V, VII, IX et X) ❑ immunoglobulines.
  • 41.
    Régulation du métabolismeprotidique • A) La régulation hormonale : Les hormones peuvent être anabolisantes ou catabolisantes. ⮚Les hormones anabolisantes : l’insuline , Hormone de croissance : ⮚Les hormones catabolisantes :Glucagon , Glucocorticoïdes , Cytokines (TNF, interleukines) • B) La régulation nutritionnelle : ⮚La régulation par les substrats : Les acides aminés, Les autres substrats énergétiques ⮚La régulation au cours des différents états nutritionnels : ∙ Etat post prandial : Le repas freine la dégradation protéique, ↑ la synthèse protéique (liée à ↑ des AA circulants), ↑Augmente l’apport énergétique ∙ Etat post absorptif (à jeun) :protéolyse étant légèrement supérieure à la synthèse
  • 42.
    VI-Synthèse de l'hèmeet dégradation en bilirubine • L’hème= porphyrine qui contient quatre cycles pyrroles liés par des ponts méthényl, avec un atome de fer ferreux au centre de la molécule. • Au niveau de la mitochondrie : Synthèse de La 5- aminolévulinate à partir du glycocolle et du succinylCoA). • Au niveau du cytolsol : 2 molécules de 5-aminolévulinate se condensent pour former le porphobilinogène • Les réactions se succèdent pour aboutir au coproporphyrinogène III. • Le fer ferreux est additionné par la ferrochélatase pour obtenir la protoporphyrine IX de l’hémoglobine Synthèse de l’hème
  • 43.
    • L’hème estdégradé en bilirubine. • Tous les jours, environ 250 à 300 mg de bilirubine proviennent du renouvellement des globules rouges dans le foie, la rate et la moelle osseuse. • La protoporphyrine de l’hémoglobine est clivée en biliverdine par l’hème oxygénase, ensuite réduite en bilirubine. Dégradation de la bilirubine
  • 44.
    VIII- métabolisme hépatiquedes médicaments et xénobiotiques ❑Enzymes situées au niveau du REL du foie++: protection de l'organisme contrel'accumulation de substancesliposolublesexogènes et endogènes : transformationen molécules hydrosolublescapables d'être excrétées dans la bile ou l'urine. ❑Deux étapes : Fonctionnalisation puis conjugaison ❑Le RE dispose d'un système enzymatique, totalementaspécifique, qui active l'oxygène moléculairepour l'oxydation des composés liposolubles: CytochromeP450
  • 45.
    IX-Métabolisme de l'éthanol •Apport endogène (dégradation du glucose) ou exogène. • Toxique ++: foie ++, autres organes
  • 46.
    Autres fonction métaboliquesdiverses • Stockage des vitamines : A, D, B12… • Stockage de fer sous forme de ferritine ( apoferritine) • Métabolisme du cuivre • Synthèse des facteurs de coagulation : fibrinogène, prothrombine… • Métabolisme et excrétion des hormones • Sécrétion de calcium (bile) • ….
  • 47.
    XI-Explorations des fonctionshépatiques • Les transaminases: l’aspartateaminotransférase (ASAT) et l’alanineaminotransférase (ALAT) qui sont de localisationmitochondriale. Cettedernière est réputéeplus sensible. • L’albumine : reflète l’état nutritionnelgénéral et le niveau de synthèse protéiqueet d’apport en aminoacides. • la transferrine (fixe le fer ferrique (Fe3+), et ferritine( réserve de fer dans le foie et la moelle osseuse). • La céruloplasmine participeà l’exportationdu cuivre à partir du foie et est augmentée dans les maladies aiguës du tissu hépatique. • Le cuivre: composant important de nombreuses enzymes. • La bilirubinémie • La g-GT et La phosphatasealcaline (PAL): cholestases. • protéines de coagulation sanguine: TP temps de prothrombine
  • 48.
    X- implications physiopathologiques Exemples: ❑Cirrhose , l’insuffisance hépatocellulaire ❑Encéphalopathie hépatique ❑Stéatose hépatique et insulinorésistance ❑Hémolyse : ictère à bilirubine non conjuguée
  • 49.
    CONCLUSION - Le foie:organe central de la régulation glycémique - Métabolisme énergétique +++ - Synthèse des protéines de structure et des protéinesplasmatiques. - Détoxification ++++++ - L’altération massive du parenchyme hépatique par divers processus pathologiques: perturbation du métabolisme hépatique
  • 50.
    Thank you andgood luck