Tube digestif - Pensée réflexive
• Vous trouverez dans cette section des éléments de questionnement vous
permettant de mieux maitriser l’anatomie topographique. Pour le plan
axial, il est important d’utiliser «e-anatomy» pour vous permettre de
reconnaître la relation des organes entre eux et leur relation topographique.
• Buts:
• - évaluer les coupes nécessaires à un examen de qualité
• - avoir un jugement critique sur l’ensemble de l’examen.
Identification des structures digestives
4
2
1
3
5
Identification des structures digestives
4
2
1
3
5
1- côlon descendant
2- côlon ascendant
3- grêle (iléon)
4- estomac
5- duodénum
Identification des structures digestives
1
2
3
4
5
Identification des structures digestives
1
2
3
4
5
1- estomac
2- duodénum
3- côlon ascendant
4- côlon descendant
5- jéjunum
Identifiez la jonction gastro-oesophagienne.
Identifiez la jonction gastro-oesophagienne.
Remarquez que
l’œsophage se
distingue
facilement de la
veine cave
inférieure par l’air
qu’il contient.
Identifiez les organes qui sont en relation avec l’estomac et précisez
le niveau de coupe sur le topogramme
estomac
Identifiez les organes qui sont en relation avec l’estomac et précisez
le niveau de coupe sur le topogramme
foie
rate
estomac
En vous référant au pancréas, identifiez la portion visible de l’estomac.
En vous référant au pancréas, identifiez la portion visible de l’estomac.
Visualisation de la queue du pancréas donc la portion
visible de l’estomac est la grosse tubérosité
pc
Est-ce que cette coupe coronale démontrant le duodénum (*) a été réalisée dans la
région antérieure ou postérieure de l’abdomen.
*
Est-ce que cette coupe coronale démontrant le duodénum (*) a été réalisée dans la
région antérieure ou postérieure de l’abdomen.
*
Région postérieure.
Visualisation de l’aorte et la veine cave inférieure
À partir de la coupe axiale, précisez le nom de la région encerclée et déterminez le
niveau de coupe sur le topogramme
Région iléo-cæcale
À partir de la coupe axiale, précisez le nom de la région encerclée et déterminez le
niveau de coupe sur le topogramme
Sur cette coupe coronale, repérez la région démontrée de la diapositive précédente.
1
2
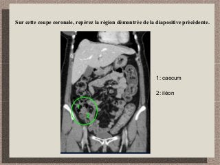
Sur cette coupe coronale, repérez la région démontrée de la diapositive précédente.
1
2
1: caecum
2: iléon
Identifiez l’image qui démontre bien l’angle splénique
A B C
Identifiez l’image qui démontre bien l’angle splénique
A B C
B
Identifiez les structures numérotées et indiquez le niveau de coupe sur le
topogramme.
1
2
3
4
5
6
7
8
Identifiez les structures numérotées et indiquez le niveau de coupe sur le
topogramme.
1: côlon descendant
2: angle splénique
3:côlon transverse
4: jéjunum
5: rate
6: foie (segment 3)
7: rein gauche
8: coeur
1
2
3
4
5
6
7
8

Cours 3 pensée réflexive tube digestif

  • 1.
    Tube digestif -Pensée réflexive • Vous trouverez dans cette section des éléments de questionnement vous permettant de mieux maitriser l’anatomie topographique. Pour le plan axial, il est important d’utiliser «e-anatomy» pour vous permettre de reconnaître la relation des organes entre eux et leur relation topographique. • Buts: • - évaluer les coupes nécessaires à un examen de qualité • - avoir un jugement critique sur l’ensemble de l’examen.
  • 2.
    Identification des structuresdigestives 4 2 1 3 5
  • 3.
    Identification des structuresdigestives 4 2 1 3 5 1- côlon descendant 2- côlon ascendant 3- grêle (iléon) 4- estomac 5- duodénum
  • 4.
    Identification des structuresdigestives 1 2 3 4 5
  • 5.
    Identification des structuresdigestives 1 2 3 4 5 1- estomac 2- duodénum 3- côlon ascendant 4- côlon descendant 5- jéjunum
  • 6.
    Identifiez la jonctiongastro-oesophagienne.
  • 7.
    Identifiez la jonctiongastro-oesophagienne. Remarquez que l’œsophage se distingue facilement de la veine cave inférieure par l’air qu’il contient.
  • 8.
    Identifiez les organesqui sont en relation avec l’estomac et précisez le niveau de coupe sur le topogramme estomac
  • 9.
    Identifiez les organesqui sont en relation avec l’estomac et précisez le niveau de coupe sur le topogramme foie rate estomac
  • 10.
    En vous référantau pancréas, identifiez la portion visible de l’estomac.
  • 11.
    En vous référantau pancréas, identifiez la portion visible de l’estomac. Visualisation de la queue du pancréas donc la portion visible de l’estomac est la grosse tubérosité pc
  • 12.
    Est-ce que cettecoupe coronale démontrant le duodénum (*) a été réalisée dans la région antérieure ou postérieure de l’abdomen. *
  • 13.
    Est-ce que cettecoupe coronale démontrant le duodénum (*) a été réalisée dans la région antérieure ou postérieure de l’abdomen. * Région postérieure. Visualisation de l’aorte et la veine cave inférieure
  • 14.
    À partir dela coupe axiale, précisez le nom de la région encerclée et déterminez le niveau de coupe sur le topogramme
  • 15.
    Région iléo-cæcale À partirde la coupe axiale, précisez le nom de la région encerclée et déterminez le niveau de coupe sur le topogramme
  • 16.
    Sur cette coupecoronale, repérez la région démontrée de la diapositive précédente. 1 2
  • 17.
    Sur cette coupecoronale, repérez la région démontrée de la diapositive précédente. 1 2 1: caecum 2: iléon
  • 18.
    Identifiez l’image quidémontre bien l’angle splénique A B C
  • 19.
    Identifiez l’image quidémontre bien l’angle splénique A B C B
  • 20.
    Identifiez les structuresnumérotées et indiquez le niveau de coupe sur le topogramme. 1 2 3 4 5 6 7 8
  • 21.
    Identifiez les structuresnumérotées et indiquez le niveau de coupe sur le topogramme. 1: côlon descendant 2: angle splénique 3:côlon transverse 4: jéjunum 5: rate 6: foie (segment 3) 7: rein gauche 8: coeur 1 2 3 4 5 6 7 8