REPUBLIQUE DEMOCRATIQUE DU CONGO
ENSEIGNEMENT SUPERIEUR ET UNIVERSITAIRE (E.S.U)
UNIVERSITE CATHOLIQUE LA SAPIENTIA
UCS/GOMA
FACULTE DE MEDECINE
Présenté par :
SEDIRI MODESTE
RHUHUNE ZIHALIRWA
SHASHI SAONGO
RUKORIKI ISHIMWE
SAFI BARIBANE
KISUSU SIVANZIRE Artemas
Année Académique 2017-2018
MITOCHONDRIES
Les mitochondries) sont des organites fermés par
membrane avec des réseaux d'enzymes spécialisés pour la
respiration aérobie et la production d'adénosine
triphosphate (ATP), avec des liaisons phosphate à haute
énergie, qui fournissent de l'énergie pour la plupart des
activités cellulaires. La glycolyse convertit le glucose en
anaérobie en pyruvate dans le cytoplasme, libérant de
l'énergie. Le reste de l'énergie est captée lorsque le
pyruvate est importé dans la mitochondrie et oxydé en
CO2 et en H2O. Les enzymes mitochondriales
produisent 15 fois plus d'ATP que ce qui est
produit par la glycolyse seule. Une partie de
l'énergie libérée dans les mitochondries n'est
pas stockée dans l'ATP mais est dissipée sous
forme de chaleur qui maintient la
température du corps. Les mitochondries sont
généralement des structures allongées avec
des diamètres
de 0,5 à 1 μm et des longueurs jusqu'à 10 fois plus
grandes.
Ils sont très plastiques, changent rapidement de
forme, fusionnent les uns avec les autres et se
divisent, et se déplacent à travers le cytoplasme le
long des microtubules. Le nombre de mitochondries
est lié aux besoins énergétiques de la cellule: les
cellules à métabolisme énergétique élevé (par
exemple, le muscle cardiaque, les cellules de certains
tubules rénaux)
ont une mitochondrie abondante, alors
que les cellules à faible métabolisme
ont peu de mitochondries.
De même, les mitochondries des
cellules différenciées sont concentrées
dans les régions cytoplasmiques où
l'utilisation de l'énergie est plus
APPLICATION MÉDICALE
L'épilepsie myoclonique avec fibres rouges
irrégulières (MERRF) est une maladie rare
survenant chez des individus dont les cellules de
tissus spécifiques, notamment des régions du
muscle squelettique, héritent de DNa
mitochondriale avec un gène muté de lysine-trNa,
entraînant une
synthèse défectueuse de la chaîne respiratoire.
protéines qui peuvent produire des anomalies
structurelles dans les fibres musculaires et
d'autres cellules. Les mitochondries sont souvent
assez grandes pour être visibles au microscope
optique comme de nombreux organites discrets
(Figure 2-19).
Sous le TEM, on voit que chaque mitochondrie
possède deux membranes séparées et très
différentes qui créent ensemble deux
compartiments: la matrice la plus interne et un
espace intermembranaire étroit (Figure 2-20a).
Les deux membranes mitochondriales contiennent
une plus grande densité de molécules protéiques
que les autres membranes de la cellule et ont une
fluidité réduite.
La membrane externe est semblable à un tamis et
contient de nombreuses protéines
transmembranaires appelées porines qui forment
des canaux à travers lesquels de petites molécules
telles que le pyruvate et d'autres métabolites
passent facilement du cytoplasme à l'espace
intermembranaire. La membrane interne est pliée
pour former une série de longues inflexions
appelées crêtes, qui se projettent également
dans la matrice et augmentent considérablement
la surface de cette membrane (Figure 2-20). Le
nombre de crêtes dans les mitochondries
correspond
a) Dans certaines cellules sectionnées avec H & e, les
mitochondries apparaissent dans tout le cytoplasme
comme de nombreuses structures éosinophiles. Les
mitochondries apparaissent généralement rondes ou
légèrement allongées et sont plus nombreuses dans
les régions cytoplasmiques avec des demandes
énergétiques plus élevées, telles que près de la
membrane cellulaire dans les cellules subissant un
transport actif. Les noyaux centraux sont également
clairement visibles dans ces cellules.
(b) des mitochondries entières peuvent être montrées
dans des cellules cultivées, telles que les cellules
endothéliales montrées ici, et apparaissent souvent
comme les structures allongées (montrées ici en
jaune ou orange), habituellement disposées en
parallèle le long des microtubules. De telles
préparations aux besoins énergétiques de la cellule.
La bicouche lipidique de la membrane interne
contient
des phospholipides inhabituels et est très
imperméable aux ions (Figure 2-20) Les
protéines intégrales comprennent diverses
protéines de transport qui rendent la membrane
interne sélectivement perméable aux petites
molécules requises par les enzymes dans la
matrice. Les enzymes matricielles comprennent
celles qui oxydent le pyruvate et les acides gras
pour former l'acétyl coenzyme
A (CoA) et celles du cycle de l'acide citrique qui
oxydent l'acétyl CoA, libérant du CO2 comme
déchets et de petites molécules riches en énergie
qui fournissent des électrons pour le transport le
long de l'électron. - chaîne de transport (ou
chaîne respiratoire).
Les enzymes et autres composants de cette chaîne sont
noyés dans la membrane interne et permettent la
phosphorylation oxydative, qui produit la plus grande
partie de l'ATP dans les cellules animales. La formation
d'ATP par des enzymes de phosphorylation oxydative se
produit par un processus chimiosmotique. Les protéines
membranaires guident les petites molécules porteuses
d'électrons à travers des complexes enzymatiques
étroitement serrés, de sorte que les électrons se déplacent
séquentiellement.
Les enzymes et autres composants de cette chaîne sont
noyés dans la membrane interne et permettent la
phosphorylation oxydative, qui produit la plus grande
partie de l'ATP dans les cellules animales. La formation
d'ATP par des enzymes de phosphorylation oxydative se
produit par un processus chimiosmotique. Les protéines
membranaires guident les petites molécules porteuses
d'électrons à travers des complexes enzymatiques
étroitement serrés, de sorte que les électrons se déplacent
séquentiellement.
en fonction de leur association avec les microtubules
verts. Le noyau de la cellule a été coloré avec DaPI.
(Figure 2-19b, avec la permission d'Invitrogen.) Le
long de la chaîne. Le transfert d'électrons est couplé
avec l'absorption et la libération de protons orientées,
les protons s'accumulant dans l'espace
intermembranaire (Figure 2-20) et produisant un
gradient électrochimique à travers la membrane
interne. Protéines associées à la membrane de la
forme du système ATP synthase
grands complexes (10 nm), multisubunit, globulaires
sur des structures semblables à des tiges qui se
projettent du côté de la matrice de la membrane
interne (figure 2-20). Grâce à ce complexe
enzymatique, il existe une voie hydrophile qui
permet aux protons de s'écouler le long du gradient
électrochimique, repoussant la membrane dans la
matrice. Le passage de protons à travers ce canal
provoque la rotation de polypeptides spécifiques dans
le complexe globulaire ATP synthase,
convertissant l'énergie du flux de protons dans l'énergie
mécanique du mouvement protéique. L'énergie mécanique
est stockée dans la nouvelle liaison phosphate de l'ATP par
d'autres polypeptides sous-unitaires liant l'adénosine
diphosphate (ADP) et le phosphate inorganique.
Un torrent constant de protons le long du gradient permet
à chacun de cescomplexes de synthase pour produire plus
de 100 molécules d'ATP par seconde. Un autre rôle de la
mitochondrie se produit au moment du stress cellulaire,
lorsque le cytochrome c est libéré de l'espace
intermembranaire dans le cytoplasme. Dans le
cytoplasme, cette protéine active des ensembles de
protéases qui dégradent tous les composants
cellulaires dans un processus régulé appelé apoptose
qui entraîne une mort cellulaire rapide (voir chapitre
3). Les nouvelles mitochondries proviennent de la
croissance et de la division (fission) des
mitochondries préexistantes. Au cours de la mitose
cellulaire, chaque cellule fille reçoit environ la moitié
de la mitochondrie dans la cellule mère.
Contrairement à la plupart des organites, les
mitochondries sont en partie autonomes des gènes
et des activités nucléaires. La matrice
mitochondriale contient un petit chromosome
circulaire d'ADN, de ribosomes, d'ARNm et
d'ARNt, tous présentant des similarités avec les
composants bactériens correspondants. La
synthèse des protéines se produit dans les
mitochondries, mais en raison de la quantité
réduite d'ADN mitochondrial,
seulement un petit sous-ensemble de protéines
mitochondrialesest produit localement. La plupart
sont codés par l'ADN nucléaire et synthétisés sur des
polyribosomes libres du cytosol. Ces protéines ont de
courtes séquences d'acides aminés terminales qui
servent de signaux pour leur absorption à travers les
membranes mitochondriales. L'observation selon
laquelle les mitochondries ont certaines
caractéristiques bactériennes a conduit à un travail
ultérieur à la compréhension
que les mitochondries ont évolué à partir d'un
procaryote aérobie ancestral qui vivait en symbiose
dans une cellule hôte eucaryote ancestrale.
Peroxysomes Les peroxysomes sont des organites
sphériques entourés d'une membrane unique et
nommés pour leurs enzymes produisant et dégradant
le peroxyde d'hydrogène, H2O2 (Figure 2-21). Les
oxydases situées ici oxydent les substrats en
éliminant les atomes d'hydrogène qui sont transférés
à l'oxygène moléculaire (O2), produisant H2O2.
Les peroxydases telles que la catalase décomposent
immédiatement H2O2, qui est potentiellement
dommageable pour la cellule. Ces enzymes inactivent
également diverses molécules potentiellement toxiques, y
compris certains médicaments d'ordonnance, en
particulier dans les péristolsomes abondants et abondants
des cellules hépatiques et rénales. D'autres enzymes
diverses dans les peroxysomes complètent certaines
fonctions du SER et des mitochondries dans le métabolisme
des lipides
et d'autres molécules. Ainsi, la β-oxydation des
acides gras à longue chaîne (18 carbones et plus) est
préférentiellement réalisée par des enzymes
peroxysomales qui diffèrent de leurs homologues
mitochondriaux. Certaines réactions conduisant à la
formation d'acides biliaires et de cholestérol se
produisent également dans les peroxysomes. Les
peroxysomes se forment de deux façons: le
bourgeonnement des vésicules précurseurs de l'ER ou
la croissance et la division de peroxydes préexistants.
Ces organites manquent d'acides nucléiques; Leurs
enzymes sont synthétisées sur des polyribosomes
cytosoliques libres et portent une petite séquence
signal d'acides aminés à l'extrémité carboxyle. Ce
signal est reconnu par les récepteurs situé dans la
membrane peroxysomale et les protéines sont
importées.
APPLICATION MÉDICALE
Plusieurs troubles assez rares résultent de protéines
peroxosomes défectueuses. L'adrénoleucodystrophie
néonatale est causée par une protéine membranaire
intégrale défectueuse nécessaire au transport d'acides
gras à très longue chaîne dans les peroxydes de la β-
oxydation. l'accumulation de ces acides gras dans les
fluides corporels peut perturber les gaines de
myéline dans le tissu nerveux,
provoquant des symptômes neurologiques sévères.
Les carences en enzymes peroxysomales provoquent
le syndrome de Zellweger qui affecte la structure et
les fonctions de plusieurs systèmes organiques
LE CYTOSKELETON
Le cytosquelette cytoplasmique est un réseau
complexe de
(1) microtubules,
(2) de microfilaments (filaments d'actine) et
(3) de filaments intermédiaires. Ces polymères
protéiques déterminent les formes des cellules, jouent
un rôle important dans les mouvements
Les microtubules sont également organisés en plus
grands réseaux appelés axonèmes dans les
extensions cytoplasmiques appelées cils (discutés au
chapitre 4) et flagelles. Chaque microtubule est
creux, avec un diamètre extérieur de 25 nm et une
paroi de 5 nm d'épaisseur, unstructure qui confère
une rigidité importante pour aider à maintenir la
forme des cellules. Les microtubules varient en
longueur, mais peuvent atteindre plusieurs
micromètres de long.
Deux ou plusieurs microtubules sont souvent reliés
côte à côte par des bras ou des ponts protéiques,
particulièrement importants chez les cils et les
flagelles. Comme indiqué dans le tableau 2-4, la
sous-unité protéique d'un micro-tubule est un
hétérodimère de tubuline α et β, chacun ayant une
masse moléculaire d'environ 50 kDa. Dans des
conditions appropriées (in vivo ou in vitro), les
hétérodimères de la tubuline se polymérisent pour
former des microtubules qui présentent une légère
Un total de 13 unités sont présentes dans un tour
complet de la spirale. Les sous-unités alignées
forment des protofilaments longitudinaux et 13
protofilaments parallèles constituent la paroi des
microtubules. La polymérisation des tubulines est
dirigée par des centres organisateurs de microtubules
(MTOC), qui contiennent des assemblages de
tubuline agissant comme sites de nucléation pour la
polymérisation.
Les microtubules sont des structures polarisées et la
croissance (polymérisation) se produit plus
rapidement à l'extrémité (+) des microtubules
existants (figure 2-23). Les microtubules présentent
une instabilité dynamique, avec des cycles continus
de polymérisation et de dépolymérisation à l'état
d'équilibre, qui dépendent des concentrations de
tubuline, de Ca2 +, de Mg2 + et de la présence de
diverses protéines associées aux microtubules (MAP
Les microtubules sont des structures polarisées et la
croissance (polymérisation) se produit plus rapidement à
l'extrémité (+) des microtubules existants (figure 2-23).
Les microtubules présentent une instabilité dynamique,
avec des cycles continus de polymérisation et de
dépolymérisation à l'état d'équilibre, qui dépendent des
concentrations de tubuline, de Ca2 +, de Mg2 + et de la
présence de diverses protéines associées aux microtubules
(MAP). L'énergie pour l'assemblage estIMAGE2 Les deux
membranes mitochondriales et la matrice peuvent être
vues dans le TeM et le diagramme.
(A) La membrane externe est lisse et la membrane interne
a de nombreux plis tranchants appelés cristae qui
augmentent considérablement sa surface. Les crêtes sont
plus nombreuses dans les mitochondries des cellules
hautement actives. La matrice mitochondriale la plus
interne est un gel contenant de nombreuses enzymes. La
surface de la membrane interne en contact avec la matrice
est constellée de nombreux complexes protéiques mul-
timériques ressemblant à des unités globulaires sur de
courtes tiges. Ceux-ci contiennent les complexes aTP
synthase qui génèrent la plupart des aTP de la cellule.
(b) Les métabolites tels que le pyruvate et les acides gras
pénètrent dans les mitochondries via des porines
membranaires et sont convertis en acétyl-Coa par des
enzymes matricielles du cycle de l'acide citrique (cycle de
Krebs), produisant du ATP et du NADH (nicotinamide
adénine dinucléotide). source d'électrons pour la chaîne
de transport d'électrons. Le mouvement des électrons à
travers les complexes protéiques du système de transport
d'électrons de la membrane interne s'accompagne du
mouvement dirigé des protons (H +) de la matrice dans
l'espace intermembranaire.
La membrane interne est imperméable aux protons et
le résultat est un gradient électrochimique à travers
la membrane. Les autres protéines associées à la
membrane constituent les systèmes ATP synthase,
dont chacun forme un complexe globulaire sur une
structure en forme de tige qui fait saillie du côté de la
matrice de la membrane interne. un canal dans ce
complexe enzymatique permet au flux de protons de
descendre le gradient électrochimique et à travers la
membrane dans la matrice.
Le mouvement canalisé des protons entraîne la
rotation rapide de polypeptides spécifiques dans le
complexe aTP synthase globulaire, convertissant
l'énergie du flux de protons en énergie mécanique.
D'autres protéines sous-unitaires du complexe
stockent cette énergie dans la nouvelle liaison
phosphate de aTP qui quitte ensuite la
mitochondrie pour une utilisation dans toute la
cellule.
sont de petits organites membraneux, sphériques,
contenant des enzymes qui utilisent l'O2 pour
éliminer les atomes d'hydrogène des acides gras,
dans ufne réaction qui produit du peroxyde
d'hydrogène.(H2O2) qui doit être décomposée en
eau et en O2 par une autre enzyme,
Les peroxysomes
la catalase. (a) par les peroxysomes TeM (P) montrent
généralement une matrice de densité électronique
modérée. les particules agrégées denses aux électrons
représentent le glycogène (g). X30,000. (b) Les
peroxysomes (P) chez la plupart des espèces sont
caractérisés par un agrégat cristalloïde central plus dense
en électrons des enzymes constitutives, comme indiqué
ici. X60,000. (c) une cellule endothéliale cultivée traitée
par immunocytochimie montre de nombreux peroxysomes
(vert) répartis dans tout le cytoplasme parmi les
mitochondries allongées vitales (rouge)
autour du noyau coloré par DaPI (bleu).
Les peroxysomes montrés ici ont été spécifiquement
colorés en utilisant un anticorps dirigé contre la
protéine membranaire PMP70. (Figure 2-21c, avec la
permission d'Invitrogen.) Les microtubules (MT) et
les microfilaments d'actine (MF) peuvent tous deux
être clairement distingués dans ce TeM du
cytoplasme des fibroblastes, ce qui permet une bonne
comparaison des diamètres relatifs de ces deux
composants cytosquelettiques. X60,000.
(b) des réseaux de microfilaments et de microtubules
sont facilement démontrés par immunocytochimie en
utilisant des anticorps contre leurs protéines sous-
unitaires, comme dans cette cellule cultivée.
Les filaments d'actine (rouge) sont les plus
concentrés à la périphérie de la cellule, formant des
faisceaux circonférentiels proéminents à partir
desquels les filaments les plus fins se projettent dans
les extensions cellulaires et poussent contre la
membrane cellulaire.
les filaments d'actine forment un réseau dynamique
important pour les changements de forme cellulaire
tels que ceux pendant la division cellulaire, la
locomotion et la formation de processus
cellulaires,des plis, des pseudopodes, des
lamellipodes, des microvillosités, etc.,
., qui servent à modifier la surface d'une cellule ou à
diriger les mouvements de ramper d'une cellule. Les
microtubules (vert / jaune) sont orientés dans des
réseaux qui s'étendent généralement de la
zone du centrosome près du noyau jusqu'aux
extensions les plus périphériques. En plus de servir à
stabiliser la forme des cellules, les microtubules
forment les pistes pour le transport de vésicules et
d'organites à base de kinésine dans la périphérie de la
cellule et le transport à base de dynéine vers
le noyau de la cellule. IMAGE à des concentrations
stables de tubuline, certains microtubules se
développent tandis que d'autres rétrécissent, chacun
existant dans une condition appelée instabilité
dynamique. Dans les zones cytoplasmiques où la
concentration de tubuline est élevée, la tubuline gTP
est ajoutée à l'extrémité (+) d'une microtubule plus
rapidement que le gTP incorporé peut être hydrolysé.
Le "bouchon gTP" résultant stabilise cette extrémité
du microtubule et favorise une croissance plus
rapide. à mesure que les concentrations de tubuline
libre diminuent, le taux de croissance diminue
également, permettant ainsi à l'hydrolyse du gTP de
se rattraper. Le &bouchon de gdp& résultant à
l'extrémité des microtubules est instable et favorise
une dépolymérisation rapide (appelée
&catastrophe&).
Cela augmente la concentration locale de tubuline
monomère libre qui &sauve& le microtubule avant
qu'il ne disparaisse complètement et produit une
autre courte période d'allongement microtubulaire.
L'instabilité dynamique permet aux extrémités en
croissance des microtubules d'explorer le cytoplasme
et de se stabiliser lorsqu'elles entrent en contact avec
des structures stabilisatrices, telles quekinétochores
sur les chromosomes au début de la mitose (voir le
chapitre 3).
Le centrosome est le centre organisateur des
microtubules pour le fuseau mitotique et consiste en
des centrioles appariés. Le TeM révèle que les deux
centrioles dans un centrosome existent à angle droit
l'une de l'autre dans une matrice dense de sous-unités
de tubuline libres et d'autres protéines. chaque
centriole est constituée de neuf triplets
microtubulaires.
Dans un processus mal compris, le centrosome se duplique
et se divise également pendant l'interphase d'une cellule,
chaque moitié ayant une paire centriole dupliquée. au
début de la mitose, les deux centrosomes filles se
déplacent vers les côtés opposés du noyau et deviennent
les deux pôles du fuseau mitotique des microtubules se
fixant aux chromosomes. les centrioles appariés organisent
des complexes de tubuline voisins et d'autres protéines
sous la forme d'une matrice péricentriolaire proche du
noyau des cellules qui ne se divisent pas.
Dans un processus mal compris, le centrosome se
duplique et se divise également pendant l'interphase
d'une cellule, chaque moitié ayant une paire centriole
dupliquée. au début de la mitose, les deux
centrosomes filles se déplacent vers les côtés opposés
du noyau et deviennent les deux pôles du fuseau
mitotique des microtubules se fixant aux
chromosomes. les centrioles appariés organisent des
complexes de tubuline voisins et d'autres protéines
sous la forme d'une matrice péricentriolaire proche
du noyau des cellules qui ne se divisent pas.
Avant la division cellulaire, plus particulièrement
pendant la période de réplication de l'ADN, chaque
centrosome se duplique de sorte que chaque
centrosome a maintenant deux paires de centrioles.
Pendant la mitose, le centrosome se divise en
moitiés, qui se déplacent vers les pôles opposés de la
cellule et deviennent des centres d'organisation pour
les microtubules du fuseau mitotique.
. Les microtubules font également partie du système
de transport intracellulaire de vésicules
membraneuses, de complexes macromoléculaires et
d'organites. Des exemples bien étudiés comprennent
le transport axoplasmique dans les neurones, le
transport de la mélanine dans les cellules
pigmentaires, les mouvements chromosomiques par
le fuseau mitotique et les mouvements des vésicules
entre les différents compartiments cellulaires.
Dans chacun de ces exemples, le mouvement est
suspendu si les microtubules sont perturbés. Le
transport le long des microtubules est sous le
contrôle de protéines appelées protéines
motrices, qui utilisent l'ATP pour déplacer les
structures plus grandes. Les kinésines
transportent le matériel loin du MTOC près du
noyau vers l'extrémité plus des microtubules
(transport antérograde);
les dynéines cytoplasmiques transportent le matériel
le long des microtubules dans la direction opposée
(transport rétrograde), généralement vers le noyau.
Les rôles importants de ce système comprennent
l'extension du RE de l'enveloppe nucléaire à la
plasmalemme et le déplacement des vésicules vers et
à travers l'appareil de Golgi.
APPLICATION MÉDICALE
Plusieurs composés inhibiteurs utilisés par les
biologistes cellulaires pour étudier les détails de la
dynamique des microtubules sont également
largement utilisés en chimiothérapie anticancéreuse
pour bloquer l'activité du fuseau mitotique dans les
cellules néoplasiques à croissance rapide. De tels
médicaments comprennent la vinblastine,
la vincristine et le paclitaxel, qui ont tous été à
l'origine découverts comme dérivés de plantes.
Microfilaments (Actin Filaments) Les
microfilaments composés d'actine permettent la
motilité cellulaire et la plupart des activités
contractiles dans les cellules, par l'assemblage
réversible des filaments d'actine et les interactions
entre ces filaments et la protéine associée, la
myosine. Les filaments d'actine sont minces
(diamètre de 5-7 nm), polymères polarisés,
plus courts et plus flexibles que les microtubules
(Figure 2-22). Ils sont composés de monomères G-
actine globulaires qui s'assemblent en présence de K
+ et Mg2 + dans une hélice double brin d'actine F
filamenteuse (tableau 2-4). La G-actine est
généralement ajoutée à des filaments préexistants,
mais de nouveaux filaments peuvent être formés à
partir d'un pool de G-actine par l'action de facteurs de
nucléation tels que la formine.
Les filaments d'actine sont également très
dynamiques. Les monomères sont ajoutés rapidement
à l'extrémité (+) ou barbelée, avec hydrolyse de l'ATP
à chaque addition; en même temps, les monomères se
dissocient à l'extrémité (-) ou pointue. Cela conduit à
la migration des sous-unités à travers le polymère,
qui se produit rapidement dans les filaments purifiés
dans un processus appelé le moulage à la bande
(Figure 2-25).
Dans les cellules, l'assemblage et le désassemblage
des sous-unités de la F-actine sont favorisés par
d'autres protéines, telles que la profiline et la cofiline,
respectivement. L'actine est très abondante dans
toutes les cellules, généralement concentrée sous
forme de réseaux de filaments d'actine et
d'abondantes sous-unités G-actine globales
concentrées près de la membrane cellulaire (région
parfois appelée cortex cellulaire) et dans les
extensions cellulaires.
Les microvillosités sont des extensions qui
augmentent la surface de la cellule pour améliorer
l'absorption cellulaire, tandis que d'autres sont
utilisées dans la motilité cellulaire. Dans les cellules
attachées à des substrats fermes, les filaments
d'actine peuvent être concentrés en faisceaux
parallèles appelés fibres de stress (voir la figure 2-
13c). Les propriétés physiques des filaments d'actine,
en particulier leurs longueurs et leurs interactions
avec d'autres protéines, déterminent les propriétés
mécaniques du cytoplasme local, notamment sa
viscosité. La reticulation dans les réseaux de F-actine
augmente la viscosité cytoplasmique, tandis que la
séparation (et le recouvrement) des filaments tend à
diminuer la viscosité.
Les longueurs et autres propriétés physiques des
filaments d'actine sont contrôlées par une grande
variété de protéines se liant à l'actine, dont quelques-
unes sont indiquées sur la figure 2-26. Les activités
importantes de telles protéines sont les suivantes:
■ Séparation et / ou coiffage de l'extrémité de l'actine F
(p. Ex., Gelsoline, capZ)
■ Filaments d'actine réticulants (p. Ex. Filamine) ou en
faisceaux (par exemple, fimbrine, α-actinine)
■ Liaison de la F-actine aux protéines membranaires et
autres filaments cyto-squelettiques (spectrine) Tout
comme les moteurs moléculaires kinésine et dynéine se
déplacent le long des microtubules, divers moteurs à
myosine utilisent l'ATP pour transporter la cargaison le
long de la F-actine. Le mouvement est généralement vers
l'extrémité barbelée (+) des filaments d'actine;
La myosine VI est la seule myosine connue qui se
déplace dans l'autre direction. Les interactions entre
la F-actine et les myosines forment la base de divers
mouvements cellulaires:
■ Transport de divers organites, vésicules et
granules à travers la cellule (flux cytoplasmique)
■ Anneaux contractiles de microfilaments et de
myosine II qui se contractent pour produire deux
cellules à la fin de mitose
Les filaments ou microfilaments d'actine sont des
polymères hélicoïdaux de grande taille, assemblés à
partir de sous-unités globulaires d'actine.
(b) l'assemblage des filaments d'actine (F-actine) est
polarisé, avec des sous-unités g-actine ajoutées à
l'extrémité plus (+) et éliminées à l'extrémité
négative (-). même des filaments d'actine d'une
longueur constante sont des structures
hautement dynamiques, équilibrant l'assemblage et le
désassemblage de la g-actine aux extrémités
opposées, avec un mouvement net ou un écoulement
le long du polymère connu sous le nom de fraisage.
(Figure 2-25a, avec la permission de John Heuser,
Faculté de médecine de l'Université de Washington,
St. Louis, MO). IMAGE un grand nombre de
protéines régulent l'assemblage des microfilaments et
les interactions de ces filaments entre eux.
en modifiant la longueur des microfilaments et la
réticulation, de telles protéines influencent
grandement les propriétés physiques du cytoplasme
local.
■ Les molécules membranaires de la myosine I dont
les mouvements dans les microfilaments sont
importants dans les changements de surface cellulaire
qui sous-tendent la phagocytose et la pinocytose.
■ Contraction du cytoplasme qui raccourcit les
cellules ou rétracte rapidement les extensions
cellulaires. Les filaments de myosine permettent des
contractions très fortes dans des cellules spécialisées
comme celles des muscles (voir chapitre 10).
Filaments intermédiaires En plus des microtubules et
des filaments d'actine, le cytoskelcton comprend une
classe de filaments de taille intermédiaire entre les
deux autres et d'un diamètre moyen de 10 nm
(tableau 2-4).
Les filaments intermédiaires sont beaucoup plus
stables que les microtubules et les filaments d'actine.
De plus, ces filaments sont composés de différentes
sous-unités protéiques dans différents types
cellulaires. Plus d'une douzaine de classes protéiques
hétérogènes, de taille allant de 40 à 230 kDa, formant
des sous-unités de filaments intermédiaires, ont été
identifiées et localisées immunocytochimiquement.
Comme l'indique le tableau 2-4, presque toutes ces
sous-unités sont des dimères enroulés en forme de
bâtonnets qui forment des tétramères antiparallèles,
qui s'auto-assemblent en grands faisceaux ou
protofibrilles semblables à des câbles stabilisés par
d'autres interactions latérales. Le tableau 2-5
énumère six classes de protéines de filaments
intermédiaires formant
des sous-unités semblables à des bâtonnets, leurs
tailles et leurs distributions cellulaires, et les
maladies qui résultent de leur perturbation. Les
protéines de filaments intermédiaires ayant une
importance biologique, histologique ou pathologique
particulière sont les suivantes:
■ Les kératines (Gr. Keras, horn) ou les
cytokératines sont une famille hétérogène
d'isoformes acides et basiques qui composent les
sous-unités hétérodimères des filaments
intermédiaires dans tous les épithéliums. cellules
(voir chapitre 4). Ils sont codés par plus de 30 gènes
apparentés et produisent des filaments ayant
différentes propriétés chimiques et immunologiques
pour diverses fonctions. Dans les cellules
épidermiques,
Les filaments intermédiaires de kératines forment de
grands faisceaux (tonofibrilles) qui s'attachent à
certaines jonctions entre les cellules épithéliales
(figure 2-27).
■ La vimentine est la protéine de filament
intermédiaire de classe III la plus commune et se
retrouve dans la plupart des cellules dérivées du
mésenchyme.
Les protéines importantes ressemblant à la vimentine
comprennent la desmine présente dans presque toutes
les cellules musculaires et la protéine acide fibreuse
gliale (GFAP) que l'on trouve surtout dans les astro-
cytes, supportant les cellules des tissus du système
nerveux central. Les filaments de desmin d'une
cellule cultivée sont immuno- cytochimiquement
représentés sur la figure 1-12a.
■ Les protéines de neurofilaments de trois tailles
distinctes forment des hétérodimères qui forment les
sous-unités des principaux filaments intermédiaires
des neurones.
■ Les lamines sont une famille de sept isoformes
présentes dans le noyau de la cellule, où elles
forment un cadre structural appelé lamina nucléaire
juste à l'intérieur de l'enveloppe nucléaire (voir
chapitre 3)
Filaments intermédiaires
En plus des microtubules et des filaments d'actine, le
cytosquelette comprend une classe de filaments de
taille intermédiaire entre les deux autres et d'un
diamètre moyen de 10 nm (tableau 2-4). Les
filaments intermédiaires sont beaucoup plus stables
que les microtubules et les filaments d'actine. De
plus, ces filaments sont composés de différentes
sous-unités protéiques dans différents types
cellulaires.
Plus d'une douzaine de classes protéiques
hétérogènes, de taille allant de 40 à 230 kDa, formant
des sous-unités de filaments intermédiaires, ont été
identifiées et localisées immunocytochimiquement.
Comme l'indique le tableau 2-4, presque toutes ces
sous-unités sont des dimères enroulés en forme de
bâtonnets qui forment des tétramères antiparallèles,
qui s'auto-assemblent en grands faisceaux ou
protofibrilles semblables à des câbles stabilisés par
d'autres interactions latérales.
Le tableau 2-5 énumère six classes de protéines de
filaments intermédiaires formant des sous-unités
semblables à des bâtonnets, leurs tailles et leurs
distributions cellulaires, et les maladies qui résultent
de leur perturbation. Les protéines de filaments
intermédiaires ayant une importance biologique,
histologique ou pathologique particulière sont les
suivantes:
Les kératines (Gr. Keras, horn) ou les cytokératines
sont une famille hétérogène d'isoformes acides et
basiques qui composent les sous-unités
hétérodimères des filaments intermédiaires dans tous
les épithéliums. cellules (voir chapitre 4). Ils sont
codés par plus de 30 gènes apparentés et produisent
des filaments ayant différentes propriétés chimiques
et immunologiques pour diverses fonctions. Dans les
cellules épidermiques,
les cytokératines s'accumulent dans le processus de
différenciation appelé kératinisation, ce qui se traduit
par une couche externe de cellules cutanées non
vivantes qui réduit la déshydratation. L'évolution des
kératines a rendu possible la vie terrestre. La
kératinisation fournit également une certaine
protection contre les abrasions mineures et produit
diverses structures protectrices dures de la peau,
telles que les ongles (ainsi que les plumes,
les becs, les cornes et les écailles des reptiles). Les
filaments intermédiaires de kératines forment de
grands faisceaux (tonofibrilles) qui s'attachent à
certaines jonctions entre les cellules épithéliales
(figure 2-27).
■ La vimentine est la protéine de filament
intermédiaire de classe III la plus commune et se
retrouve dans la plupart des cellules dérivées du
mésenchyme.
. Les protéines importantes ressemblant à la
vimentine comprennent la desmine présente dans
presque toutes les cellules musculaires et la protéine
acide fibreuse gliale (GFAP) que l'on trouve surtout
dans les astro- cytes, supportant les cellules des tissus
du système nerveux central. Les filaments de desmin
d'une cellule cultivée sont immuno-
cytochimiquement représentés sur la figure 1-12a
■ Les protéines de neurofilaments de trois tailles
distinctes forment des hétérodimères qui forment les
sous-unités des principaux filaments intermédiaires
des neurones.
■ Les lamines sont une famille de sept isoformes
présentes dans le noyau cellulaire, où elles forment
un cadre structural appelé lamina nucléaire juste à
l'intérieur de l'enveloppe nucléaire (voir C une classe
importante et importante de filaments intermédiaires
est composée de sous-unités de kératine,
qui sont Les faisceaux de filaments de kératine
appelés tonofibrilles s'associent à certaines classes de
jonctions intercellulaires (J) communes dans les
cellules épithéliales et sont facilement visibles avec
le TeM, comme indiqué ici dans deux prolongements
dans une cellule épidermique liée à une cellule
voisine. 60 000.
APPLICATION MÉDICALE
La présence d'un type spécifique de filament
intermédiaire dans les tumeurs peut souvent révéler
l'origine cellulaire de la tumeur, information
importante pour le diagnostic et le traitement du
cancer. L'identification des protéines de filaments
intermédiaires au moyen de méthodes
immunocytochimiques est une routine
Un exemple est l'utilisation de gFaP pour identifier les
astrocytomes, le type le plus commun de tumeur cérébrale.
les inclusions cytoplasmiques ont peu ou pas
d'activité métabolique (ce qui les distingue des
organites), mais contiennent des métabolites
accumulés ou d'autres substances non enfermées
dans la membrane. La plupart des types d'inclusions
sont des composants cytoplas- miques transitoires
non entourés de membrane
LES INCLUSIONS CYTOPLASMIQUES
. Les inclusions importantes et communément
observées sont les suivantes:
■ Gouttelettes de graisse (Figure 2-28a),
accumulations de molécules lipidiques proéminentes
dans les adipocytes (cellules graisseuses), les cellules
du cortex surrénalien, le foie et d'autres cellules.
■ Les granules de glycogène (Figure 2-28b),
agrégats du polymère glucidique dans lequel le
glucose est stocké, sont visibles dans plusieurs types
cellulaires, principalement des cellules hépatiques,
sous la forme de bouquets irréguliers d'acide
périodique-Schiff (PAS) - positif ou électron.
matériau dense.
■ La lipofuscine est un pigment brun jaunâtre
visualisé par la coloration de H & E dans de
nombreuses cellules, en particulier dans les cellules
non volatiles stables (par exemple, les neurones, le
muscle cardiaque). Parfois appelé &pigment
d'usure&, les granules de lipofuscine contiennent un
mélange complexe de matériaux dérivés en partieLes
inclusions sont des structures cytoplasmiques ou des
dépôts remplis de macromolécules stockées et ne
sont pas présents dans toutes les cellules.
. (a) Les gouttelettes lipidiques sont abondantes dans
les cellules du cortex surrénalien et apparaissent avec
les TeM comme de petites structures sphériques avec
des matrices homogènes (l). Les mitochondries sont
également visibles ici. en tant qu'agrégats de
molécules lipidiques hydrophobes, ces inclusions
sont entourées d'une seule monocouche de
phospholipides avec diverses protéines
périphériques, y compris des enzymes
pour le métabolisme des lipides. Dans le traitement
de routine des tissus pour les coupes de paraffine, les
gouttelettes de graisse sont généralement éliminées,
laissant des espaces vides dans les cellules. Les
cellules adipeuses communes ont un cytoplasme
essentiellement rempli d'une grosse goutte de lipide.
X19 000. (b) TeM d'un cytoplasme de cellules
hépatiques montre de nombreuses particules
individuelles ou groupées denses aux électrons
représentant des granules de glycogène,
bien que ces granules manquent de membrane. les
granules de glycogène forment habituellement des
agrégats caractéristiques tels que ceux montrés. le
glycogène est une source d'énergie facile, et de tels
granules sont souvent abondants dans les cellules
ayant une activité métabolique élevée. X30,000. (c)
Les dépôts de pigments (PD) se produisent dans de
nombreux types cellulaires et peuvent
contenir diverses substances complexes, telles que la
lipofuscine ou la mélanine. Les granules de lipofuscine
représentent un sous-produit accumulé de la digestion
lysosomale dans les cellules à vie longue, mais les
granules de mélanine servent à protéger les noyaux
cellulaires contre les dommages causés à la DNa par la
lumière. De nombreuses cellules contiennent des dépôts
pigmentés de granules d'hémosidérine contenant la
protéine ferritine, qui forme un complexe de stockage pour
le fer.
. Les granules d'hémosidérine sont très denses aux
électrons, mais avec le microscope optique, ils
apparaissent brunâtres et ressemblent à la
lipofuscine. Les cellules hépatiques montrées ont de
grandes régions cytoplasmiques remplies de dépôts
de pigment, qui représentent probablement de
l'hémosidérine contenant du fer. X400. Giemsa.
IMAGE
■ L'hémosidérine (Figure 2-28c) est un agrégat brun
dense de protéines de ferritine dénaturées contenant
de nombreux atomes de fer liés. Elle apparaît dans
les cellules phagocytaires, en particulier les
macrophages du foie et de la rate, où elle résulte de la
phagocytose des globules rouges.
APPLICATION MÉDICALE
une affection appelée hémosidérose, caractérisée par
l'inclusion d'hémosidérine contenant du fer dans les
cellules des organes du corps, peut être observée
avec une absorption accrue de fer alimentaire, une
altération de l'utilisation du fer ou une lyse excessive
des globules rouges. . L'hémosidérose elle-même
n'endommage pas la fonction des cellules ou des
organes.
Cependant, des accumulations extrêmes de fer dans
l'hémosidérine cellulaire peuvent entraîner des
troubles tels que l'hémochromatose et le syndrome de
surcharge en fer, dans lesquels les tissus du foie et
d'autres organes sont endommagés.
MERCI
MITOCHONDRIE, PEROXYSOME,  ET SYTOSQUELETTE.
MITOCHONDRIE, PEROXYSOME,  ET SYTOSQUELETTE.
MITOCHONDRIE, PEROXYSOME,  ET SYTOSQUELETTE.
MITOCHONDRIE, PEROXYSOME,  ET SYTOSQUELETTE.
MITOCHONDRIE, PEROXYSOME,  ET SYTOSQUELETTE.
MITOCHONDRIE, PEROXYSOME,  ET SYTOSQUELETTE.
MITOCHONDRIE, PEROXYSOME,  ET SYTOSQUELETTE.

MITOCHONDRIE, PEROXYSOME, ET SYTOSQUELETTE.

  • 1.
    REPUBLIQUE DEMOCRATIQUE DUCONGO ENSEIGNEMENT SUPERIEUR ET UNIVERSITAIRE (E.S.U) UNIVERSITE CATHOLIQUE LA SAPIENTIA UCS/GOMA FACULTE DE MEDECINE Présenté par : SEDIRI MODESTE RHUHUNE ZIHALIRWA SHASHI SAONGO RUKORIKI ISHIMWE SAFI BARIBANE KISUSU SIVANZIRE Artemas Année Académique 2017-2018
  • 2.
    MITOCHONDRIES Les mitochondries) sontdes organites fermés par membrane avec des réseaux d'enzymes spécialisés pour la respiration aérobie et la production d'adénosine triphosphate (ATP), avec des liaisons phosphate à haute énergie, qui fournissent de l'énergie pour la plupart des activités cellulaires. La glycolyse convertit le glucose en anaérobie en pyruvate dans le cytoplasme, libérant de l'énergie. Le reste de l'énergie est captée lorsque le pyruvate est importé dans la mitochondrie et oxydé en
  • 3.
    CO2 et enH2O. Les enzymes mitochondriales produisent 15 fois plus d'ATP que ce qui est produit par la glycolyse seule. Une partie de l'énergie libérée dans les mitochondries n'est pas stockée dans l'ATP mais est dissipée sous forme de chaleur qui maintient la température du corps. Les mitochondries sont généralement des structures allongées avec des diamètres
  • 4.
    de 0,5 à1 μm et des longueurs jusqu'à 10 fois plus grandes. Ils sont très plastiques, changent rapidement de forme, fusionnent les uns avec les autres et se divisent, et se déplacent à travers le cytoplasme le long des microtubules. Le nombre de mitochondries est lié aux besoins énergétiques de la cellule: les cellules à métabolisme énergétique élevé (par exemple, le muscle cardiaque, les cellules de certains tubules rénaux)
  • 5.
    ont une mitochondrieabondante, alors que les cellules à faible métabolisme ont peu de mitochondries. De même, les mitochondries des cellules différenciées sont concentrées dans les régions cytoplasmiques où l'utilisation de l'énergie est plus
  • 6.
    APPLICATION MÉDICALE L'épilepsie myocloniqueavec fibres rouges irrégulières (MERRF) est une maladie rare survenant chez des individus dont les cellules de tissus spécifiques, notamment des régions du muscle squelettique, héritent de DNa mitochondriale avec un gène muté de lysine-trNa, entraînant une
  • 7.
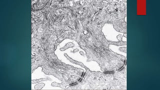
    synthèse défectueuse dela chaîne respiratoire. protéines qui peuvent produire des anomalies structurelles dans les fibres musculaires et d'autres cellules. Les mitochondries sont souvent assez grandes pour être visibles au microscope optique comme de nombreux organites discrets (Figure 2-19).
  • 8.
    Sous le TEM,on voit que chaque mitochondrie possède deux membranes séparées et très différentes qui créent ensemble deux compartiments: la matrice la plus interne et un espace intermembranaire étroit (Figure 2-20a). Les deux membranes mitochondriales contiennent une plus grande densité de molécules protéiques que les autres membranes de la cellule et ont une fluidité réduite.
  • 9.
    La membrane externeest semblable à un tamis et contient de nombreuses protéines transmembranaires appelées porines qui forment des canaux à travers lesquels de petites molécules telles que le pyruvate et d'autres métabolites passent facilement du cytoplasme à l'espace intermembranaire. La membrane interne est pliée pour former une série de longues inflexions appelées crêtes, qui se projettent également
  • 10.
    dans la matriceet augmentent considérablement la surface de cette membrane (Figure 2-20). Le nombre de crêtes dans les mitochondries correspond
  • 12.
    a) Dans certainescellules sectionnées avec H & e, les mitochondries apparaissent dans tout le cytoplasme comme de nombreuses structures éosinophiles. Les mitochondries apparaissent généralement rondes ou légèrement allongées et sont plus nombreuses dans les régions cytoplasmiques avec des demandes énergétiques plus élevées, telles que près de la membrane cellulaire dans les cellules subissant un transport actif. Les noyaux centraux sont également clairement visibles dans ces cellules.
  • 13.
    (b) des mitochondriesentières peuvent être montrées dans des cellules cultivées, telles que les cellules endothéliales montrées ici, et apparaissent souvent comme les structures allongées (montrées ici en jaune ou orange), habituellement disposées en parallèle le long des microtubules. De telles préparations aux besoins énergétiques de la cellule. La bicouche lipidique de la membrane interne contient
  • 14.
    des phospholipides inhabituelset est très imperméable aux ions (Figure 2-20) Les protéines intégrales comprennent diverses protéines de transport qui rendent la membrane interne sélectivement perméable aux petites molécules requises par les enzymes dans la matrice. Les enzymes matricielles comprennent celles qui oxydent le pyruvate et les acides gras pour former l'acétyl coenzyme
  • 15.
    A (CoA) etcelles du cycle de l'acide citrique qui oxydent l'acétyl CoA, libérant du CO2 comme déchets et de petites molécules riches en énergie qui fournissent des électrons pour le transport le long de l'électron. - chaîne de transport (ou chaîne respiratoire).
  • 16.
    Les enzymes etautres composants de cette chaîne sont noyés dans la membrane interne et permettent la phosphorylation oxydative, qui produit la plus grande partie de l'ATP dans les cellules animales. La formation d'ATP par des enzymes de phosphorylation oxydative se produit par un processus chimiosmotique. Les protéines membranaires guident les petites molécules porteuses d'électrons à travers des complexes enzymatiques étroitement serrés, de sorte que les électrons se déplacent séquentiellement.
  • 17.
    Les enzymes etautres composants de cette chaîne sont noyés dans la membrane interne et permettent la phosphorylation oxydative, qui produit la plus grande partie de l'ATP dans les cellules animales. La formation d'ATP par des enzymes de phosphorylation oxydative se produit par un processus chimiosmotique. Les protéines membranaires guident les petites molécules porteuses d'électrons à travers des complexes enzymatiques étroitement serrés, de sorte que les électrons se déplacent séquentiellement.
  • 18.
    en fonction deleur association avec les microtubules verts. Le noyau de la cellule a été coloré avec DaPI. (Figure 2-19b, avec la permission d'Invitrogen.) Le long de la chaîne. Le transfert d'électrons est couplé avec l'absorption et la libération de protons orientées, les protons s'accumulant dans l'espace intermembranaire (Figure 2-20) et produisant un gradient électrochimique à travers la membrane interne. Protéines associées à la membrane de la forme du système ATP synthase
  • 19.
    grands complexes (10nm), multisubunit, globulaires sur des structures semblables à des tiges qui se projettent du côté de la matrice de la membrane interne (figure 2-20). Grâce à ce complexe enzymatique, il existe une voie hydrophile qui permet aux protons de s'écouler le long du gradient électrochimique, repoussant la membrane dans la matrice. Le passage de protons à travers ce canal provoque la rotation de polypeptides spécifiques dans le complexe globulaire ATP synthase,
  • 20.
    convertissant l'énergie duflux de protons dans l'énergie mécanique du mouvement protéique. L'énergie mécanique est stockée dans la nouvelle liaison phosphate de l'ATP par d'autres polypeptides sous-unitaires liant l'adénosine diphosphate (ADP) et le phosphate inorganique. Un torrent constant de protons le long du gradient permet à chacun de cescomplexes de synthase pour produire plus de 100 molécules d'ATP par seconde. Un autre rôle de la mitochondrie se produit au moment du stress cellulaire, lorsque le cytochrome c est libéré de l'espace
  • 21.
    intermembranaire dans lecytoplasme. Dans le cytoplasme, cette protéine active des ensembles de protéases qui dégradent tous les composants cellulaires dans un processus régulé appelé apoptose qui entraîne une mort cellulaire rapide (voir chapitre 3). Les nouvelles mitochondries proviennent de la croissance et de la division (fission) des mitochondries préexistantes. Au cours de la mitose cellulaire, chaque cellule fille reçoit environ la moitié de la mitochondrie dans la cellule mère.
  • 22.
    Contrairement à laplupart des organites, les mitochondries sont en partie autonomes des gènes et des activités nucléaires. La matrice mitochondriale contient un petit chromosome circulaire d'ADN, de ribosomes, d'ARNm et d'ARNt, tous présentant des similarités avec les composants bactériens correspondants. La synthèse des protéines se produit dans les mitochondries, mais en raison de la quantité réduite d'ADN mitochondrial,
  • 23.
    seulement un petitsous-ensemble de protéines mitochondrialesest produit localement. La plupart sont codés par l'ADN nucléaire et synthétisés sur des polyribosomes libres du cytosol. Ces protéines ont de courtes séquences d'acides aminés terminales qui servent de signaux pour leur absorption à travers les membranes mitochondriales. L'observation selon laquelle les mitochondries ont certaines caractéristiques bactériennes a conduit à un travail ultérieur à la compréhension
  • 24.
    que les mitochondriesont évolué à partir d'un procaryote aérobie ancestral qui vivait en symbiose dans une cellule hôte eucaryote ancestrale. Peroxysomes Les peroxysomes sont des organites sphériques entourés d'une membrane unique et nommés pour leurs enzymes produisant et dégradant le peroxyde d'hydrogène, H2O2 (Figure 2-21). Les oxydases situées ici oxydent les substrats en éliminant les atomes d'hydrogène qui sont transférés à l'oxygène moléculaire (O2), produisant H2O2.
  • 25.
    Les peroxydases tellesque la catalase décomposent immédiatement H2O2, qui est potentiellement dommageable pour la cellule. Ces enzymes inactivent également diverses molécules potentiellement toxiques, y compris certains médicaments d'ordonnance, en particulier dans les péristolsomes abondants et abondants des cellules hépatiques et rénales. D'autres enzymes diverses dans les peroxysomes complètent certaines fonctions du SER et des mitochondries dans le métabolisme des lipides
  • 26.
    et d'autres molécules.Ainsi, la β-oxydation des acides gras à longue chaîne (18 carbones et plus) est préférentiellement réalisée par des enzymes peroxysomales qui diffèrent de leurs homologues mitochondriaux. Certaines réactions conduisant à la formation d'acides biliaires et de cholestérol se produisent également dans les peroxysomes. Les peroxysomes se forment de deux façons: le bourgeonnement des vésicules précurseurs de l'ER ou la croissance et la division de peroxydes préexistants.
  • 27.
    Ces organites manquentd'acides nucléiques; Leurs enzymes sont synthétisées sur des polyribosomes cytosoliques libres et portent une petite séquence signal d'acides aminés à l'extrémité carboxyle. Ce signal est reconnu par les récepteurs situé dans la membrane peroxysomale et les protéines sont importées.
  • 30.
    APPLICATION MÉDICALE Plusieurs troublesassez rares résultent de protéines peroxosomes défectueuses. L'adrénoleucodystrophie néonatale est causée par une protéine membranaire intégrale défectueuse nécessaire au transport d'acides gras à très longue chaîne dans les peroxydes de la β- oxydation. l'accumulation de ces acides gras dans les fluides corporels peut perturber les gaines de myéline dans le tissu nerveux,
  • 31.
    provoquant des symptômesneurologiques sévères. Les carences en enzymes peroxysomales provoquent le syndrome de Zellweger qui affecte la structure et les fonctions de plusieurs systèmes organiques
  • 32.
    LE CYTOSKELETON Le cytosquelettecytoplasmique est un réseau complexe de (1) microtubules, (2) de microfilaments (filaments d'actine) et (3) de filaments intermédiaires. Ces polymères protéiques déterminent les formes des cellules, jouent un rôle important dans les mouvements
  • 33.
    Les microtubules sontégalement organisés en plus grands réseaux appelés axonèmes dans les extensions cytoplasmiques appelées cils (discutés au chapitre 4) et flagelles. Chaque microtubule est creux, avec un diamètre extérieur de 25 nm et une paroi de 5 nm d'épaisseur, unstructure qui confère une rigidité importante pour aider à maintenir la forme des cellules. Les microtubules varient en longueur, mais peuvent atteindre plusieurs micromètres de long.
  • 34.
    Deux ou plusieursmicrotubules sont souvent reliés côte à côte par des bras ou des ponts protéiques, particulièrement importants chez les cils et les flagelles. Comme indiqué dans le tableau 2-4, la sous-unité protéique d'un micro-tubule est un hétérodimère de tubuline α et β, chacun ayant une masse moléculaire d'environ 50 kDa. Dans des conditions appropriées (in vivo ou in vitro), les hétérodimères de la tubuline se polymérisent pour former des microtubules qui présentent une légère
  • 35.
    Un total de13 unités sont présentes dans un tour complet de la spirale. Les sous-unités alignées forment des protofilaments longitudinaux et 13 protofilaments parallèles constituent la paroi des microtubules. La polymérisation des tubulines est dirigée par des centres organisateurs de microtubules (MTOC), qui contiennent des assemblages de tubuline agissant comme sites de nucléation pour la polymérisation.
  • 36.
    Les microtubules sontdes structures polarisées et la croissance (polymérisation) se produit plus rapidement à l'extrémité (+) des microtubules existants (figure 2-23). Les microtubules présentent une instabilité dynamique, avec des cycles continus de polymérisation et de dépolymérisation à l'état d'équilibre, qui dépendent des concentrations de tubuline, de Ca2 +, de Mg2 + et de la présence de diverses protéines associées aux microtubules (MAP
  • 37.
    Les microtubules sontdes structures polarisées et la croissance (polymérisation) se produit plus rapidement à l'extrémité (+) des microtubules existants (figure 2-23). Les microtubules présentent une instabilité dynamique, avec des cycles continus de polymérisation et de dépolymérisation à l'état d'équilibre, qui dépendent des concentrations de tubuline, de Ca2 +, de Mg2 + et de la présence de diverses protéines associées aux microtubules (MAP). L'énergie pour l'assemblage estIMAGE2 Les deux membranes mitochondriales et la matrice peuvent être vues dans le TeM et le diagramme.
  • 38.
    (A) La membraneexterne est lisse et la membrane interne a de nombreux plis tranchants appelés cristae qui augmentent considérablement sa surface. Les crêtes sont plus nombreuses dans les mitochondries des cellules hautement actives. La matrice mitochondriale la plus interne est un gel contenant de nombreuses enzymes. La surface de la membrane interne en contact avec la matrice est constellée de nombreux complexes protéiques mul- timériques ressemblant à des unités globulaires sur de courtes tiges. Ceux-ci contiennent les complexes aTP synthase qui génèrent la plupart des aTP de la cellule.
  • 39.
    (b) Les métabolitestels que le pyruvate et les acides gras pénètrent dans les mitochondries via des porines membranaires et sont convertis en acétyl-Coa par des enzymes matricielles du cycle de l'acide citrique (cycle de Krebs), produisant du ATP et du NADH (nicotinamide adénine dinucléotide). source d'électrons pour la chaîne de transport d'électrons. Le mouvement des électrons à travers les complexes protéiques du système de transport d'électrons de la membrane interne s'accompagne du mouvement dirigé des protons (H +) de la matrice dans l'espace intermembranaire.
  • 40.
    La membrane interneest imperméable aux protons et le résultat est un gradient électrochimique à travers la membrane. Les autres protéines associées à la membrane constituent les systèmes ATP synthase, dont chacun forme un complexe globulaire sur une structure en forme de tige qui fait saillie du côté de la matrice de la membrane interne. un canal dans ce complexe enzymatique permet au flux de protons de descendre le gradient électrochimique et à travers la membrane dans la matrice.
  • 41.
    Le mouvement canalisédes protons entraîne la rotation rapide de polypeptides spécifiques dans le complexe aTP synthase globulaire, convertissant l'énergie du flux de protons en énergie mécanique. D'autres protéines sous-unitaires du complexe stockent cette énergie dans la nouvelle liaison phosphate de aTP qui quitte ensuite la mitochondrie pour une utilisation dans toute la cellule.
  • 42.
    sont de petitsorganites membraneux, sphériques, contenant des enzymes qui utilisent l'O2 pour éliminer les atomes d'hydrogène des acides gras, dans ufne réaction qui produit du peroxyde d'hydrogène.(H2O2) qui doit être décomposée en eau et en O2 par une autre enzyme, Les peroxysomes
  • 43.
    la catalase. (a)par les peroxysomes TeM (P) montrent généralement une matrice de densité électronique modérée. les particules agrégées denses aux électrons représentent le glycogène (g). X30,000. (b) Les peroxysomes (P) chez la plupart des espèces sont caractérisés par un agrégat cristalloïde central plus dense en électrons des enzymes constitutives, comme indiqué ici. X60,000. (c) une cellule endothéliale cultivée traitée par immunocytochimie montre de nombreux peroxysomes (vert) répartis dans tout le cytoplasme parmi les mitochondries allongées vitales (rouge)
  • 44.
    autour du noyaucoloré par DaPI (bleu). Les peroxysomes montrés ici ont été spécifiquement colorés en utilisant un anticorps dirigé contre la protéine membranaire PMP70. (Figure 2-21c, avec la permission d'Invitrogen.) Les microtubules (MT) et les microfilaments d'actine (MF) peuvent tous deux être clairement distingués dans ce TeM du cytoplasme des fibroblastes, ce qui permet une bonne comparaison des diamètres relatifs de ces deux composants cytosquelettiques. X60,000.
  • 45.
    (b) des réseauxde microfilaments et de microtubules sont facilement démontrés par immunocytochimie en utilisant des anticorps contre leurs protéines sous- unitaires, comme dans cette cellule cultivée. Les filaments d'actine (rouge) sont les plus concentrés à la périphérie de la cellule, formant des faisceaux circonférentiels proéminents à partir desquels les filaments les plus fins se projettent dans les extensions cellulaires et poussent contre la membrane cellulaire.
  • 46.
    les filaments d'actineforment un réseau dynamique important pour les changements de forme cellulaire tels que ceux pendant la division cellulaire, la locomotion et la formation de processus cellulaires,des plis, des pseudopodes, des lamellipodes, des microvillosités, etc., ., qui servent à modifier la surface d'une cellule ou à diriger les mouvements de ramper d'une cellule. Les microtubules (vert / jaune) sont orientés dans des réseaux qui s'étendent généralement de la
  • 47.
    zone du centrosomeprès du noyau jusqu'aux extensions les plus périphériques. En plus de servir à stabiliser la forme des cellules, les microtubules forment les pistes pour le transport de vésicules et d'organites à base de kinésine dans la périphérie de la cellule et le transport à base de dynéine vers
  • 48.
    le noyau dela cellule. IMAGE à des concentrations stables de tubuline, certains microtubules se développent tandis que d'autres rétrécissent, chacun existant dans une condition appelée instabilité dynamique. Dans les zones cytoplasmiques où la concentration de tubuline est élevée, la tubuline gTP est ajoutée à l'extrémité (+) d'une microtubule plus rapidement que le gTP incorporé peut être hydrolysé.
  • 49.
    Le "bouchon gTP"résultant stabilise cette extrémité du microtubule et favorise une croissance plus rapide. à mesure que les concentrations de tubuline libre diminuent, le taux de croissance diminue également, permettant ainsi à l'hydrolyse du gTP de se rattraper. Le &bouchon de gdp& résultant à l'extrémité des microtubules est instable et favorise une dépolymérisation rapide (appelée &catastrophe&).
  • 50.
    Cela augmente laconcentration locale de tubuline monomère libre qui &sauve& le microtubule avant qu'il ne disparaisse complètement et produit une autre courte période d'allongement microtubulaire. L'instabilité dynamique permet aux extrémités en croissance des microtubules d'explorer le cytoplasme et de se stabiliser lorsqu'elles entrent en contact avec des structures stabilisatrices, telles quekinétochores sur les chromosomes au début de la mitose (voir le chapitre 3).
  • 51.
    Le centrosome estle centre organisateur des microtubules pour le fuseau mitotique et consiste en des centrioles appariés. Le TeM révèle que les deux centrioles dans un centrosome existent à angle droit l'une de l'autre dans une matrice dense de sous-unités de tubuline libres et d'autres protéines. chaque centriole est constituée de neuf triplets microtubulaires.
  • 52.
    Dans un processusmal compris, le centrosome se duplique et se divise également pendant l'interphase d'une cellule, chaque moitié ayant une paire centriole dupliquée. au début de la mitose, les deux centrosomes filles se déplacent vers les côtés opposés du noyau et deviennent les deux pôles du fuseau mitotique des microtubules se fixant aux chromosomes. les centrioles appariés organisent des complexes de tubuline voisins et d'autres protéines sous la forme d'une matrice péricentriolaire proche du noyau des cellules qui ne se divisent pas.
  • 53.
    Dans un processusmal compris, le centrosome se duplique et se divise également pendant l'interphase d'une cellule, chaque moitié ayant une paire centriole dupliquée. au début de la mitose, les deux centrosomes filles se déplacent vers les côtés opposés du noyau et deviennent les deux pôles du fuseau mitotique des microtubules se fixant aux chromosomes. les centrioles appariés organisent des complexes de tubuline voisins et d'autres protéines sous la forme d'une matrice péricentriolaire proche
  • 54.
    du noyau descellules qui ne se divisent pas. Avant la division cellulaire, plus particulièrement pendant la période de réplication de l'ADN, chaque centrosome se duplique de sorte que chaque centrosome a maintenant deux paires de centrioles. Pendant la mitose, le centrosome se divise en moitiés, qui se déplacent vers les pôles opposés de la cellule et deviennent des centres d'organisation pour les microtubules du fuseau mitotique.
  • 55.
    . Les microtubulesfont également partie du système de transport intracellulaire de vésicules membraneuses, de complexes macromoléculaires et d'organites. Des exemples bien étudiés comprennent le transport axoplasmique dans les neurones, le transport de la mélanine dans les cellules pigmentaires, les mouvements chromosomiques par le fuseau mitotique et les mouvements des vésicules entre les différents compartiments cellulaires.
  • 56.
    Dans chacun deces exemples, le mouvement est suspendu si les microtubules sont perturbés. Le transport le long des microtubules est sous le contrôle de protéines appelées protéines motrices, qui utilisent l'ATP pour déplacer les structures plus grandes. Les kinésines transportent le matériel loin du MTOC près du noyau vers l'extrémité plus des microtubules (transport antérograde);
  • 57.
    les dynéines cytoplasmiquestransportent le matériel le long des microtubules dans la direction opposée (transport rétrograde), généralement vers le noyau. Les rôles importants de ce système comprennent l'extension du RE de l'enveloppe nucléaire à la plasmalemme et le déplacement des vésicules vers et à travers l'appareil de Golgi.
  • 58.
    APPLICATION MÉDICALE Plusieurs composésinhibiteurs utilisés par les biologistes cellulaires pour étudier les détails de la dynamique des microtubules sont également largement utilisés en chimiothérapie anticancéreuse pour bloquer l'activité du fuseau mitotique dans les cellules néoplasiques à croissance rapide. De tels médicaments comprennent la vinblastine,
  • 59.
    la vincristine etle paclitaxel, qui ont tous été à l'origine découverts comme dérivés de plantes. Microfilaments (Actin Filaments) Les microfilaments composés d'actine permettent la motilité cellulaire et la plupart des activités contractiles dans les cellules, par l'assemblage réversible des filaments d'actine et les interactions entre ces filaments et la protéine associée, la myosine. Les filaments d'actine sont minces (diamètre de 5-7 nm), polymères polarisés,
  • 60.
    plus courts etplus flexibles que les microtubules (Figure 2-22). Ils sont composés de monomères G- actine globulaires qui s'assemblent en présence de K + et Mg2 + dans une hélice double brin d'actine F filamenteuse (tableau 2-4). La G-actine est généralement ajoutée à des filaments préexistants, mais de nouveaux filaments peuvent être formés à partir d'un pool de G-actine par l'action de facteurs de nucléation tels que la formine.
  • 61.
    Les filaments d'actinesont également très dynamiques. Les monomères sont ajoutés rapidement à l'extrémité (+) ou barbelée, avec hydrolyse de l'ATP à chaque addition; en même temps, les monomères se dissocient à l'extrémité (-) ou pointue. Cela conduit à la migration des sous-unités à travers le polymère, qui se produit rapidement dans les filaments purifiés dans un processus appelé le moulage à la bande (Figure 2-25).
  • 62.
    Dans les cellules,l'assemblage et le désassemblage des sous-unités de la F-actine sont favorisés par d'autres protéines, telles que la profiline et la cofiline, respectivement. L'actine est très abondante dans toutes les cellules, généralement concentrée sous forme de réseaux de filaments d'actine et d'abondantes sous-unités G-actine globales concentrées près de la membrane cellulaire (région parfois appelée cortex cellulaire) et dans les extensions cellulaires.
  • 63.
    Les microvillosités sontdes extensions qui augmentent la surface de la cellule pour améliorer l'absorption cellulaire, tandis que d'autres sont utilisées dans la motilité cellulaire. Dans les cellules attachées à des substrats fermes, les filaments d'actine peuvent être concentrés en faisceaux parallèles appelés fibres de stress (voir la figure 2- 13c). Les propriétés physiques des filaments d'actine,
  • 64.
    en particulier leurslongueurs et leurs interactions avec d'autres protéines, déterminent les propriétés mécaniques du cytoplasme local, notamment sa viscosité. La reticulation dans les réseaux de F-actine augmente la viscosité cytoplasmique, tandis que la séparation (et le recouvrement) des filaments tend à diminuer la viscosité.
  • 65.
    Les longueurs etautres propriétés physiques des filaments d'actine sont contrôlées par une grande variété de protéines se liant à l'actine, dont quelques- unes sont indiquées sur la figure 2-26. Les activités importantes de telles protéines sont les suivantes:
  • 66.
    ■ Séparation et/ ou coiffage de l'extrémité de l'actine F (p. Ex., Gelsoline, capZ) ■ Filaments d'actine réticulants (p. Ex. Filamine) ou en faisceaux (par exemple, fimbrine, α-actinine) ■ Liaison de la F-actine aux protéines membranaires et autres filaments cyto-squelettiques (spectrine) Tout comme les moteurs moléculaires kinésine et dynéine se déplacent le long des microtubules, divers moteurs à myosine utilisent l'ATP pour transporter la cargaison le long de la F-actine. Le mouvement est généralement vers l'extrémité barbelée (+) des filaments d'actine;
  • 67.
    La myosine VIest la seule myosine connue qui se déplace dans l'autre direction. Les interactions entre la F-actine et les myosines forment la base de divers mouvements cellulaires: ■ Transport de divers organites, vésicules et granules à travers la cellule (flux cytoplasmique) ■ Anneaux contractiles de microfilaments et de myosine II qui se contractent pour produire deux cellules à la fin de mitose
  • 68.
    Les filaments oumicrofilaments d'actine sont des polymères hélicoïdaux de grande taille, assemblés à partir de sous-unités globulaires d'actine. (b) l'assemblage des filaments d'actine (F-actine) est polarisé, avec des sous-unités g-actine ajoutées à l'extrémité plus (+) et éliminées à l'extrémité négative (-). même des filaments d'actine d'une longueur constante sont des structures
  • 69.
    hautement dynamiques, équilibrantl'assemblage et le désassemblage de la g-actine aux extrémités opposées, avec un mouvement net ou un écoulement le long du polymère connu sous le nom de fraisage. (Figure 2-25a, avec la permission de John Heuser, Faculté de médecine de l'Université de Washington, St. Louis, MO). IMAGE un grand nombre de protéines régulent l'assemblage des microfilaments et les interactions de ces filaments entre eux.
  • 70.
    en modifiant lalongueur des microfilaments et la réticulation, de telles protéines influencent grandement les propriétés physiques du cytoplasme local. ■ Les molécules membranaires de la myosine I dont les mouvements dans les microfilaments sont importants dans les changements de surface cellulaire qui sous-tendent la phagocytose et la pinocytose.
  • 71.
    ■ Contraction ducytoplasme qui raccourcit les cellules ou rétracte rapidement les extensions cellulaires. Les filaments de myosine permettent des contractions très fortes dans des cellules spécialisées comme celles des muscles (voir chapitre 10). Filaments intermédiaires En plus des microtubules et des filaments d'actine, le cytoskelcton comprend une classe de filaments de taille intermédiaire entre les deux autres et d'un diamètre moyen de 10 nm (tableau 2-4).
  • 72.
    Les filaments intermédiairessont beaucoup plus stables que les microtubules et les filaments d'actine. De plus, ces filaments sont composés de différentes sous-unités protéiques dans différents types cellulaires. Plus d'une douzaine de classes protéiques hétérogènes, de taille allant de 40 à 230 kDa, formant des sous-unités de filaments intermédiaires, ont été identifiées et localisées immunocytochimiquement.
  • 73.
    Comme l'indique letableau 2-4, presque toutes ces sous-unités sont des dimères enroulés en forme de bâtonnets qui forment des tétramères antiparallèles, qui s'auto-assemblent en grands faisceaux ou protofibrilles semblables à des câbles stabilisés par d'autres interactions latérales. Le tableau 2-5 énumère six classes de protéines de filaments intermédiaires formant
  • 74.
    des sous-unités semblablesà des bâtonnets, leurs tailles et leurs distributions cellulaires, et les maladies qui résultent de leur perturbation. Les protéines de filaments intermédiaires ayant une importance biologique, histologique ou pathologique particulière sont les suivantes:
  • 75.
    ■ Les kératines(Gr. Keras, horn) ou les cytokératines sont une famille hétérogène d'isoformes acides et basiques qui composent les sous-unités hétérodimères des filaments intermédiaires dans tous les épithéliums. cellules (voir chapitre 4). Ils sont codés par plus de 30 gènes apparentés et produisent des filaments ayant différentes propriétés chimiques et immunologiques pour diverses fonctions. Dans les cellules épidermiques,
  • 76.
    Les filaments intermédiairesde kératines forment de grands faisceaux (tonofibrilles) qui s'attachent à certaines jonctions entre les cellules épithéliales (figure 2-27). ■ La vimentine est la protéine de filament intermédiaire de classe III la plus commune et se retrouve dans la plupart des cellules dérivées du mésenchyme.
  • 77.
    Les protéines importantesressemblant à la vimentine comprennent la desmine présente dans presque toutes les cellules musculaires et la protéine acide fibreuse gliale (GFAP) que l'on trouve surtout dans les astro- cytes, supportant les cellules des tissus du système nerveux central. Les filaments de desmin d'une cellule cultivée sont immuno- cytochimiquement représentés sur la figure 1-12a.
  • 78.
    ■ Les protéinesde neurofilaments de trois tailles distinctes forment des hétérodimères qui forment les sous-unités des principaux filaments intermédiaires des neurones. ■ Les lamines sont une famille de sept isoformes présentes dans le noyau de la cellule, où elles forment un cadre structural appelé lamina nucléaire juste à l'intérieur de l'enveloppe nucléaire (voir chapitre 3) Filaments intermédiaires
  • 79.
    En plus desmicrotubules et des filaments d'actine, le cytosquelette comprend une classe de filaments de taille intermédiaire entre les deux autres et d'un diamètre moyen de 10 nm (tableau 2-4). Les filaments intermédiaires sont beaucoup plus stables que les microtubules et les filaments d'actine. De plus, ces filaments sont composés de différentes sous-unités protéiques dans différents types cellulaires.
  • 80.
    Plus d'une douzainede classes protéiques hétérogènes, de taille allant de 40 à 230 kDa, formant des sous-unités de filaments intermédiaires, ont été identifiées et localisées immunocytochimiquement. Comme l'indique le tableau 2-4, presque toutes ces sous-unités sont des dimères enroulés en forme de bâtonnets qui forment des tétramères antiparallèles, qui s'auto-assemblent en grands faisceaux ou protofibrilles semblables à des câbles stabilisés par d'autres interactions latérales.
  • 81.
    Le tableau 2-5énumère six classes de protéines de filaments intermédiaires formant des sous-unités semblables à des bâtonnets, leurs tailles et leurs distributions cellulaires, et les maladies qui résultent de leur perturbation. Les protéines de filaments intermédiaires ayant une importance biologique, histologique ou pathologique particulière sont les suivantes:
  • 82.
    Les kératines (Gr.Keras, horn) ou les cytokératines sont une famille hétérogène d'isoformes acides et basiques qui composent les sous-unités hétérodimères des filaments intermédiaires dans tous les épithéliums. cellules (voir chapitre 4). Ils sont codés par plus de 30 gènes apparentés et produisent des filaments ayant différentes propriétés chimiques et immunologiques pour diverses fonctions. Dans les cellules épidermiques,
  • 83.
    les cytokératines s'accumulentdans le processus de différenciation appelé kératinisation, ce qui se traduit par une couche externe de cellules cutanées non vivantes qui réduit la déshydratation. L'évolution des kératines a rendu possible la vie terrestre. La kératinisation fournit également une certaine protection contre les abrasions mineures et produit diverses structures protectrices dures de la peau, telles que les ongles (ainsi que les plumes,
  • 84.
    les becs, lescornes et les écailles des reptiles). Les filaments intermédiaires de kératines forment de grands faisceaux (tonofibrilles) qui s'attachent à certaines jonctions entre les cellules épithéliales (figure 2-27). ■ La vimentine est la protéine de filament intermédiaire de classe III la plus commune et se retrouve dans la plupart des cellules dérivées du mésenchyme.
  • 85.
    . Les protéinesimportantes ressemblant à la vimentine comprennent la desmine présente dans presque toutes les cellules musculaires et la protéine acide fibreuse gliale (GFAP) que l'on trouve surtout dans les astro- cytes, supportant les cellules des tissus du système nerveux central. Les filaments de desmin d'une cellule cultivée sont immuno- cytochimiquement représentés sur la figure 1-12a
  • 86.
    ■ Les protéinesde neurofilaments de trois tailles distinctes forment des hétérodimères qui forment les sous-unités des principaux filaments intermédiaires des neurones. ■ Les lamines sont une famille de sept isoformes présentes dans le noyau cellulaire, où elles forment un cadre structural appelé lamina nucléaire juste à l'intérieur de l'enveloppe nucléaire (voir C une classe importante et importante de filaments intermédiaires est composée de sous-unités de kératine,
  • 87.
    qui sont Lesfaisceaux de filaments de kératine appelés tonofibrilles s'associent à certaines classes de jonctions intercellulaires (J) communes dans les cellules épithéliales et sont facilement visibles avec le TeM, comme indiqué ici dans deux prolongements dans une cellule épidermique liée à une cellule voisine. 60 000.
  • 88.
    APPLICATION MÉDICALE La présenced'un type spécifique de filament intermédiaire dans les tumeurs peut souvent révéler l'origine cellulaire de la tumeur, information importante pour le diagnostic et le traitement du cancer. L'identification des protéines de filaments intermédiaires au moyen de méthodes immunocytochimiques est une routine
  • 89.
    Un exemple estl'utilisation de gFaP pour identifier les astrocytomes, le type le plus commun de tumeur cérébrale.
  • 90.
    les inclusions cytoplasmiquesont peu ou pas d'activité métabolique (ce qui les distingue des organites), mais contiennent des métabolites accumulés ou d'autres substances non enfermées dans la membrane. La plupart des types d'inclusions sont des composants cytoplas- miques transitoires non entourés de membrane LES INCLUSIONS CYTOPLASMIQUES
  • 91.
    . Les inclusionsimportantes et communément observées sont les suivantes: ■ Gouttelettes de graisse (Figure 2-28a), accumulations de molécules lipidiques proéminentes dans les adipocytes (cellules graisseuses), les cellules du cortex surrénalien, le foie et d'autres cellules.
  • 92.
    ■ Les granulesde glycogène (Figure 2-28b), agrégats du polymère glucidique dans lequel le glucose est stocké, sont visibles dans plusieurs types cellulaires, principalement des cellules hépatiques, sous la forme de bouquets irréguliers d'acide périodique-Schiff (PAS) - positif ou électron. matériau dense.
  • 93.
    ■ La lipofuscineest un pigment brun jaunâtre visualisé par la coloration de H & E dans de nombreuses cellules, en particulier dans les cellules non volatiles stables (par exemple, les neurones, le muscle cardiaque). Parfois appelé &pigment d'usure&, les granules de lipofuscine contiennent un mélange complexe de matériaux dérivés en partieLes inclusions sont des structures cytoplasmiques ou des dépôts remplis de macromolécules stockées et ne sont pas présents dans toutes les cellules.
  • 94.
    . (a) Lesgouttelettes lipidiques sont abondantes dans les cellules du cortex surrénalien et apparaissent avec les TeM comme de petites structures sphériques avec des matrices homogènes (l). Les mitochondries sont également visibles ici. en tant qu'agrégats de molécules lipidiques hydrophobes, ces inclusions sont entourées d'une seule monocouche de phospholipides avec diverses protéines périphériques, y compris des enzymes
  • 95.
    pour le métabolismedes lipides. Dans le traitement de routine des tissus pour les coupes de paraffine, les gouttelettes de graisse sont généralement éliminées, laissant des espaces vides dans les cellules. Les cellules adipeuses communes ont un cytoplasme essentiellement rempli d'une grosse goutte de lipide. X19 000. (b) TeM d'un cytoplasme de cellules hépatiques montre de nombreuses particules individuelles ou groupées denses aux électrons représentant des granules de glycogène,
  • 96.
    bien que cesgranules manquent de membrane. les granules de glycogène forment habituellement des agrégats caractéristiques tels que ceux montrés. le glycogène est une source d'énergie facile, et de tels granules sont souvent abondants dans les cellules ayant une activité métabolique élevée. X30,000. (c) Les dépôts de pigments (PD) se produisent dans de nombreux types cellulaires et peuvent
  • 97.
    contenir diverses substancescomplexes, telles que la lipofuscine ou la mélanine. Les granules de lipofuscine représentent un sous-produit accumulé de la digestion lysosomale dans les cellules à vie longue, mais les granules de mélanine servent à protéger les noyaux cellulaires contre les dommages causés à la DNa par la lumière. De nombreuses cellules contiennent des dépôts pigmentés de granules d'hémosidérine contenant la protéine ferritine, qui forme un complexe de stockage pour le fer.
  • 98.
    . Les granulesd'hémosidérine sont très denses aux électrons, mais avec le microscope optique, ils apparaissent brunâtres et ressemblent à la lipofuscine. Les cellules hépatiques montrées ont de grandes régions cytoplasmiques remplies de dépôts de pigment, qui représentent probablement de l'hémosidérine contenant du fer. X400. Giemsa. IMAGE
  • 99.
    ■ L'hémosidérine (Figure2-28c) est un agrégat brun dense de protéines de ferritine dénaturées contenant de nombreux atomes de fer liés. Elle apparaît dans les cellules phagocytaires, en particulier les macrophages du foie et de la rate, où elle résulte de la phagocytose des globules rouges.
  • 100.
    APPLICATION MÉDICALE une affectionappelée hémosidérose, caractérisée par l'inclusion d'hémosidérine contenant du fer dans les cellules des organes du corps, peut être observée avec une absorption accrue de fer alimentaire, une altération de l'utilisation du fer ou une lyse excessive des globules rouges. . L'hémosidérose elle-même n'endommage pas la fonction des cellules ou des organes.
  • 101.
    Cependant, des accumulationsextrêmes de fer dans l'hémosidérine cellulaire peuvent entraîner des troubles tels que l'hémochromatose et le syndrome de surcharge en fer, dans lesquels les tissus du foie et d'autres organes sont endommagés.
  • 102.