Technique et Traitement des
endofuites de type 2
S Haulon, J Sobocinski, M Midulla,
T Resch, N Dias
Lille, France
Malmö, Sweden
ENDOFUITES White, JVIR 1991
3-15% 15-50% 5-10%
HAUT
DEBIT
φsiologi
que
φsiologi
que
“persistence of blood flow within the aneurysmal sac outside the lumen
of the endograft”
Algorithme EF type 2
• Origines:
Alimentation rétrograde du sac anévrismal
par une a. Lombaire ou a. Mésentérique inf
or IMA
ENDOFUITES type 2
Embolisation AMI Préventive?
TYPE 2 – hypogastrique
TYPE 2 – AMI
TYPE 2 – Quelle(s) artère(s) alimente(nt) le sac?
Inflow and Outflow
Inflow? Outflow?
outflow
inflow
Options thérapeutiques
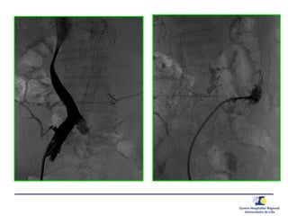
Embolisation par Coil voie
Trans Arterielle
ONYXGLUE
Embolisation transartérielle
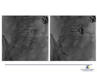
Ponction translombaire –
embolisation directe
Ponction
Anévrysmographie
Guide de pression 0.014’’
20 G needle0.014’’ PressureWire
 Pression
Aorta
Sac
Alternatives
EVC 2012 AAA Endoleaks
Suivi
• À 1 an:  du diamètre de 1 cm diamètre + EF type 2 and 1b
2ème Procédure
• Angiographie
• Embolisation Type 2
• Embolisation iliaque interne + jambage
d’extension iliaque
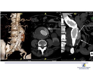
Suivi après embolisation d’une EF
Type II
• Evaluation CTA rendue difficile par la présence de
matériel d’embolisation
– Appréciation du diamètre
Conclusions
• Bon résultat de la ponction lombaire
• Comme alternative en cas d’échec de ttt
transartériel
• Options alternatives

Type 2 el haulon armv 28092013