Echodoppler dans le suivi des
endoprothèses aortiques
Ibrahim SEDIRI, Corinne GAUTIER
CHRU Lille
Surveillance après traitement
• Contrôle initial
– Etude de l’échogénicité du thrombus
– Contrôle de la perméabilité du montage
– Recherche d’endofuites: diagnostic positif et mécanisme
– Contrôle des voies d’abord au Scarpa
• Contrôles ultérieurs
‒ Evaluation de la rétraction du sac
‒ Etude de l’échogénicité du thrombus
‒ Complications: plicature, thrombose, endofuite
Suivi des endoprothèses par US
• Réduction de calibre du sac ++++ (mode 2D)
• Aspect du thrombus (2D)
• Perméabilité de la prothèse (Doppler)
• Dépistage des complications
– sténoses ou thromboses (Doppler)
– endofuites (Doppler et Échographie de Contraste)
Analyse exhaustive
Complémentarité des différents modes
Qualité du contrôle
• Connaître le type de montage
• Vérifier l’ensemble des segments
• Utiliser toutes les modalités 2D, Doppler et contraste
• Réaliser plusieurs incidences: balayage en coupe transverse,
grand axe (branches, hémodynamique)
• Rythme optimal des contrôles: <30J, M6, M12, M18, M24
sauf si endofuite ou évolutivité (HAS juillet 2009)
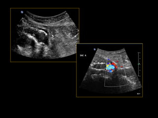
Aspect normal: 2D transverse
Aspect normal: 2D grand axe
Aspect normal: Doppler
Aspect normal
Contraste mode dédié
ASPECTS PATHOLOGIQUES
ÉVOLUTION DU CALIBRE
Coupes 2D transverses étagées
• incidence perpendiculaire à l’axe aortique
section circulaire
• mesure du diamètre antéropostérieur externe
maximal, moyenne de 3 mesures
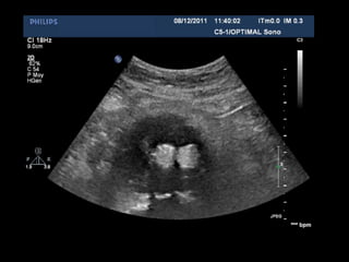
THROMBOSE
ENDOFUITES
• Présence de sang entre l’endoprothèse et
la paroi de l'anévrisme
• Favorise la croissance du sac anévrysmal
et la rupture
• Plusieurs mécanismes possibles
ENDOFUITE TYPE 1
TYPE 1TYPE 1
DDééfaut dfaut d’’accolementaccolement
prothprothèèsese àà la paroila paroi
aortiqueaortique
Proximal ou distalProximal ou distal
Anomalie prAnomalie préécoce,coce,
endofuiteendofuite souventsouvent
importanteimportante
Doppler: caractéristiques hémodynamiques des endofuites
• flux entrant, sortant, alternant
• vitesses circulatoires à la porte d’entrée
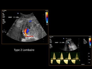
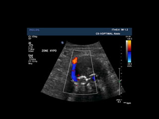
ENDOFUITE TYPE 2
TYPE 2TYPE 2
ReperfusionReperfusion parpar
circulation rcirculation réétrogradetrograde
(branche(s) de l(branche(s) de l’’aorteaorte
native)native)
ArtArtèère lombaire,re lombaire,
mméésentsentéérique infrique inféérieure,rieure,
iliaque interneiliaque interne
Type 2 Mésentérique inf.
Type 2 Mésentérique inf.
Type 2 Lombaire
Type 2 Lombaire
TYPE 3TYPE 3
DDééfaillance mfaillance méécaniquecanique
et det dééfaut dfaut d’é’étanchtanchééititéé
entre lesentre les éélléémentsments
A :A : dysjonctiondysjonction
B :dB :dééchirurechirure
ENDOFUITE DE TYPE III
 Examen précoce de référence
 Echo Doppler douteux
 Non régression ou a fortiori
croissance AAA non expliquée
 Modification du thrombus
 Mécanisme et dynamique d’une
endofuite en 2ème intention
 Après traitement d’une
complication
Échographie de Contraste
Recommandation de classe A grade 1
EN PRATIQUE
Premier contrôle avant sortie
Exclusion de l’anévrysme, recherche de complications
Second examen à 6 mois,1 an et annuel
diminution de calibre de l’AAA +++
perméabilité de l’endoprothèse et des branches, recherche
de complication
Rôle de l’ED
Surveillance du calibre
Substitution partielle TDM possible avec ED contraste

Echodoppler de contrôle endoprothèses cg v2

  • 1.
    Echodoppler dans lesuivi des endoprothèses aortiques Ibrahim SEDIRI, Corinne GAUTIER CHRU Lille
  • 2.
    Surveillance après traitement •Contrôle initial – Etude de l’échogénicité du thrombus – Contrôle de la perméabilité du montage – Recherche d’endofuites: diagnostic positif et mécanisme – Contrôle des voies d’abord au Scarpa • Contrôles ultérieurs ‒ Evaluation de la rétraction du sac ‒ Etude de l’échogénicité du thrombus ‒ Complications: plicature, thrombose, endofuite
  • 3.
    Suivi des endoprothèsespar US • Réduction de calibre du sac ++++ (mode 2D) • Aspect du thrombus (2D) • Perméabilité de la prothèse (Doppler) • Dépistage des complications – sténoses ou thromboses (Doppler) – endofuites (Doppler et Échographie de Contraste) Analyse exhaustive Complémentarité des différents modes
  • 4.
    Qualité du contrôle •Connaître le type de montage • Vérifier l’ensemble des segments • Utiliser toutes les modalités 2D, Doppler et contraste • Réaliser plusieurs incidences: balayage en coupe transverse, grand axe (branches, hémodynamique) • Rythme optimal des contrôles: <30J, M6, M12, M18, M24 sauf si endofuite ou évolutivité (HAS juillet 2009)
  • 5.
  • 6.
  • 7.
  • 8.
  • 10.
  • 11.
    ÉVOLUTION DU CALIBRE Coupes2D transverses étagées • incidence perpendiculaire à l’axe aortique section circulaire • mesure du diamètre antéropostérieur externe maximal, moyenne de 3 mesures
  • 12.
  • 13.
    ENDOFUITES • Présence desang entre l’endoprothèse et la paroi de l'anévrisme • Favorise la croissance du sac anévrysmal et la rupture • Plusieurs mécanismes possibles
  • 14.
    ENDOFUITE TYPE 1 TYPE1TYPE 1 DDééfaut dfaut d’’accolementaccolement prothprothèèsese àà la paroila paroi aortiqueaortique Proximal ou distalProximal ou distal Anomalie prAnomalie préécoce,coce, endofuiteendofuite souventsouvent importanteimportante
  • 15.
    Doppler: caractéristiques hémodynamiquesdes endofuites • flux entrant, sortant, alternant • vitesses circulatoires à la porte d’entrée
  • 18.
    ENDOFUITE TYPE 2 TYPE2TYPE 2 ReperfusionReperfusion parpar circulation rcirculation réétrogradetrograde (branche(s) de l(branche(s) de l’’aorteaorte native)native) ArtArtèère lombaire,re lombaire, mméésentsentéérique infrique inféérieure,rieure, iliaque interneiliaque interne Type 2 Mésentérique inf.
  • 19.
  • 22.
  • 23.
  • 24.
    TYPE 3TYPE 3 DDééfaillancemfaillance méécaniquecanique et det dééfaut dfaut d’é’étanchtanchééititéé entre lesentre les éélléémentsments A :A : dysjonctiondysjonction B :dB :dééchirurechirure ENDOFUITE DE TYPE III
  • 26.
     Examen précocede référence  Echo Doppler douteux  Non régression ou a fortiori croissance AAA non expliquée  Modification du thrombus  Mécanisme et dynamique d’une endofuite en 2ème intention  Après traitement d’une complication Échographie de Contraste Recommandation de classe A grade 1
  • 27.
    EN PRATIQUE Premier contrôleavant sortie Exclusion de l’anévrysme, recherche de complications Second examen à 6 mois,1 an et annuel diminution de calibre de l’AAA +++ perméabilité de l’endoprothèse et des branches, recherche de complication Rôle de l’ED Surveillance du calibre Substitution partielle TDM possible avec ED contraste