Les leishmanioses
Introduction
Introduction
• Plusieurs agents pathogènes
• Polymorphisme clinique
• Distribution géographique large
• Fléau parasitaire en Tunisie : +++
Les leishmanioses
Les leishmanioses :
:
2 millions de cas par an dont 500 000 LV.
Dans le monde,350 millions de personnes exposées.
Plan
Plan
Introduction
Définition
Agent pathogène
Agent vecteur
Cycle de base et synthèse épidémiologique
Les leishmanioses viscérales
Les leishmanioses cutanées et cutanéo-
muqueuses
Définition
Définition
Les leishmanioses :
Les leishmanioses :
• Dues à des flagellés
• Famille des Trypanosomatidés,
• Genre Leishmania
• Transmises par les phlébotomes
Agent pathogène
Agent pathogène
• Forme amastigote
Forme amastigote
• Forme promastigote
Forme promastigote
Forme amastigote
Forme amastigote
Noyau
Noyau
Kinétoplaste
Kinétoplaste
Rhizoplaste
Rhizoplaste
Macrophage
Macrophage
Taille : 2 à 6
Taille : 2 à 6

m
m
Noyau
Noyau
Kinétoplaste
Kinétoplaste
Flagelle
Flagelle
Forme promastigote
Forme promastigote
Taille: 20-25
Taille: 20-25 
 m
m
Critères d’Identification
Critères d’Identification
des leishmanies
des leishmanies
 Morphologie : impossible
 Clinique, épidémiologie
 Biochimie
 Biologie moléculaire
Dans l’ancien monde
• L.donovani, L.infantum
• L.tropica, L. major
Dans le nouveau monde :
• L.chagasi
• L.mexicana , L.brasiliensis
L.V
L.C
L.V
L.C. & L.C.M
Classification des leishmanioses
Classification des leishmanioses
Agent vecteur : Phlébotome
Agent vecteur : Phlébotome
Phlébotome gorgé de sang
Phlébotome : biotopes
Phlébotome : biotopes
Phlébotome : biotope
Phlébotome : biotope
Cycle de Leishmania infantum
Cycles évolutifs
rongeurs
rongeurs
sauvages
sauvages
chiens +++
chiens +++
canidés sauvages
canidés sauvages
PHLEBOTOME
PHLEBOTOME
Epidémiologie des leishmanioses
Epidémiologie des leishmanioses
F1 F3
F2
Homme
Homme
Homme
• Envahissement du SRH, fatale sans ttt
• 2 types :
- Méditerranéen : K.A. Méditerranéen,
Chinois, Américain
expression cutanée = 0
- Hindou: Hindou, Est et Centre Africain
Lésions cutanées : +++
Les leishmanioses viscérales
=Kala-azar
Leishmaniose viscérale méditerranéenne
Kala-Azar infantile
• Kala-Azar (enfant +++ ; adulte +)
• Rép. géographique : bassin méditerranéen
• Agent pathogène : L.infantum
• Réservoir : chien +++ ; Autres +
Leishmaniose viscérale
 formes symptomatiques
- début brutal ou progressif
- phase d ’état
Trépied : asthénie, anorexie, amaigrissement
Fièvre capricieuse anarchique
Teint terreux (anémie)
Splénomégalie (lisse, indolore, mobile, énorme)
Hépatomégalie
Formes inapparentes
L V de l’adulte en : parasitose opportuniste
déficit immunitaire, sida, greffe
Clinique
Clinique
Symptômes cardinaux :
Symptômes cardinaux :
• Fièvre
• Anémie
• Splénomégalie
40
42
38
36
34
1 2 3 4 5 6 7 8 9 10 11
37
Fièvre folle
HMG
SMG
Clinique
Clinique
• Symptômes moins constants :
Symptômes moins constants :
- hépatomégalie
- hépatomégalie
- micropolyadénopathies
- micropolyadénopathies
- hémorragies
- hémorragies
• Symptomatologie tronquée
Symptomatologie tronquée
• Kala-Azar
Kala-Azar SIDA, immunodépression
SIDA, immunodépression
Diagnostic biologique
Diagnostic biologique
 Etape séro-hématologique
Etape séro-hématologique :
:
- signes humoraux : VS :
pic globulines A/G <1
- signes hématologiques : Pancytopénie
Anémie + Leucopénie + Thrombocytopénie
 Etape immunologique :
Etape immunologique :
IFI : +++
WB
WB :
: 14 et 16 KDa
Immunofluorescence
Immunofluorescence
 Prélèvement :
- ponction médullaire, ganglionnaire,
ostéomédullaire, hépatique et
splénique.
- Prélèvement du sang périphérique
 Examen direct: +++
 Culture (NNN): +++
 Inoculation au Hamster : +/-
 PCR
Etape parasitologique
Etape parasitologique
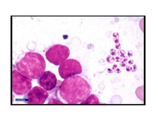
Examen direct
Examen direct
Milieu NNN
Milieu NNN
Phase liquide
Phase liquide
Gélose(sang lapin)
Gélose(sang lapin)
Forme promastigote
Forme promastigote
Traitement
Traitement
• Absence de traitement : mort
• Traitement : Stibiés
Diamidines
Amphotéricine B
Les stibiés :
Les stibiés :
• antimoniate de N méthylglucamine :
GLUCANTIME
• gluconate sodique d’antimoine :
PENTOSTAM
2 types d’accidents :
2 types d’accidents :
- Stibio - intolérance
- Stibio - intoxication
Les diamidines
Les diamidines
• Pentamidine (Lomidine)
incidents
accidents graves
Amphotéricine B
Autres Kala-Azar
Autres Kala-Azar
• Chinois et américain :
Adulte jeune
• Indien :
Adulte jeune
signes cutanées : +++
• Est- Africain :
Adulte
Lésions cutanées : +++
Aspect léonin
Aspect léonin
Bizerte
Bizerte
Jandouba
Jandouba
Beja
Beja
Ariana
Ariana
Tuni
Tuni
s
s
Nabel
Nabel
Zaghoua
Zaghoua
n
n
Sousse
Sousse
Silian
Silian
a
a
K
a
s
s
e
r
i
n
e
K
a
s
s
e
r
i
n
e
Kebili
Kebili
Tozeur
Tozeur
Gafsa
Gafsa
Tataouine
Tataouine
Gabes
Gabes
Sfax
Sfax
Kairoua
Kairoua
n
n
Le Kef
Le Kef
Mahdia
Mahdia
Monastir
Monastir
Medenine
Medenine
Sidi
Sidi
bouzid
bouzid
*
*
Le Kala-Azar en Tunisie
Le Kala-Azar en Tunisie
*
Foyers anciens
Foyers anciens
Foyers récents
Foyers récents
 Age : enfant +++
 Agent causal: L. infantum,
zymodème MON 1
 Réservoir animal : chien +++
 Vecteur : Phlebotomus perniciosus
Le Kala - Azar en Tunisie
Le Kala - Azar en Tunisie
Leishmaniose
Leishmaniose canine
canine
Leishmanioses cutanées
Leishmanioses cutanées
et cutanéo-muqueuses
et cutanéo-muqueuses
Leishmaniose cutanée pure de l’Ancien
Monde
Leishmaniose cutanéo-muqueuse
du Nouveau Monde
Distinction aléatoire
Leishmanioses cutanées
Leishmanioses cutanées
de l’Ancien Monde
de l’Ancien Monde
 Bouton d’Orient : Bouton de Gafsa,
Biskra.....
 Bassin méditerranéen
 Sud de la Russie
 Afrique Noire (hémisphère nord)
Nodule
Nodule
Papule
Papule
inflammatoire
inflammatoire
Infiltration
Infiltration
Croûte
Croûte
Clou
Clou
1
1
2
2 3
3
L.C.S.
L.C.S.
L.C.Z.
L.C.Z.
L.C.A.
L.C.A.
Leishmanioses cutanées
Leishmanioses cutanées
Leishmaniose cutanée
Leishmaniose cutanée
sporadique du Nord
sporadique du Nord
- Aire de distribution = celui du Kala-Azar
- Agent causal: L. infantum
zymodène MON.24
- Réservoir: Chien +/-
Leishmaniose cutanée du Nord
Leishmaniose cutanée du Nord
Leishmaniose cutanée
Leishmaniose cutanée
zoonotique
zoonotique
- Classique bouton de Gafsa
- Diffusion vers Centre et Sud du pays
- Caractère saisonnier automno-estival
- Agent causal : L. major zymodème
MON.25
- Vecteur: Phlebotomus papatasi
Leishmaniose cutanée zoonotique
Leishmaniose cutanée zoonotique
Leishmaniose de la lèvre
Cicatrice après traitement
Lésion du médian
Psammomys obesus
Psammomys obesus
Psammomys obesus
Psammomys obesus : biotope
: biotope
terrier
Meriones libycus
Meriones libycus
Leishmaniose cutanée
Leishmaniose cutanée
anthroponotique
anthroponotique
- Microfoyers : Sud-Est du pays
- Agent pathogène : L. tropica MON.8
- Vecteur : Phlebotomus sergenti : +
- Réservoir : Cténodactylus gondi :?
Leishmaniose cutanée : prélèvement
Leishmaniose cutanée : prélèvement
Examen direct
Examen direct
Forme amastigote
Traitement
Traitement
- glucantime : intra et périlésionnelles
- imidazolés (Flagyl*)
- cryothérpie, chirurgie : +/-
- pansement aseptique
Prophylaxie
• Collective : Insecticides si vecteur
endophile
• Individuelle : moustiquaires
imprégnées, répulsifs
• Essais de vaccins
Leishmanioses cutanées et
cutanéo-muqueuses
du Nouveau Monde
• Foyer de type 1
• Formes cutanées pures
• Formes cutanées à extension lymphatique
• Forme Uta
• ulcère des chicléros
• Forme Espundia
• Maladie de Convit
Espundia
Espundia
Leishmaniose cutanéo-muqueuese
Ulcère des chicléros

leishmanioses-13010819s1516-phpapp02.ppt