Les leishmanioses
Introduction
Les leishmanioses :
•   Plusieurs agents pathogènes

• Polymorphisme clinique

• Distribution géographique large

• Fléau parasitaire en Tunisie : +++
2 millions de cas par an dont 500 000 LV.
Dans le monde,350 millions de personnes exposées.
Plan
 Introduction
 Définition
 Agent pathogène
 Agent vecteur
 Cycle de base et synthèse épidémiologique
 Les leishmanioses viscérales
 Les leishmanioses cutanées et cutanéo-
muqueuses
Définition
Les leishmanioses :

 • Dues à des flagellés
 • Famille des Trypanosomatidés,
 • Genre Leishmania
 • Transmises par les phlébotomes
Agent pathogène


• Forme amastigote


• Forme promastigote
Forme amastigote
 Taille : 2 à 6
 µ m

          Rhizoplaste
Noyau
        Kinétoplaste




                  Macrophage
Forme promastigote



        Kinétoplaste
Noyau                  Flagelle

        Taille: 20-25 µ m
Critères d’Identification
    des leishmanies

 Morphologie : impossible

 Clinique, épidémiologie

 Biochimie

 Biologie moléculaire
Classification des leishmanioses

Dans l’ancien monde
• L.donovani, L.infantum        L.V

• L.tropica,   L. major         L.C

Dans le nouveau monde :
• L.chagasi                     L.V

• L.mexicana , L.brasiliensis    L.C. & L.C.M
Agent vecteur : Phlébotome
Phlébotome gorgé de sang
Phlébotome : biotopes
Phlébotome : biotope
Cycle de Leishmania infantum
Cycles évolutifs
Epidémiologie des leishmanioses
Homme
    rongeurs                 F1
     sauvages
                                  F3




                                            Homme
          chiens +++
          canidés sauvages

Homme
                                       PHLEBOTOME
                             F2
Les leishmanioses viscérales
            =Kala-azar
• Envahissement   du SRH, fatale sans ttt
• 2 types :

   - Méditerranéen : K.A. Méditerranéen,

                     Chinois, Américain

          expression cutanée = 0

   - Hindou: Hindou, Est et Centre Africain

         Lésions cutanées : +++
Leishmaniose viscérale méditerranéenne
            Kala-Azar infantile



• Kala-Azar   (enfant +++ ; adulte +)

• Rép. géographique : bassin méditerranéen

• Agent pathogène : L.infantum

• Réservoir : chien +++ ; Autres +
Leishmaniose viscérale
Formes inapparentes

 formes symptomatiques
       - début brutal ou progressif
       - phase d ’état
    Trépied : asthénie, anorexie, amaigrissement
    Fièvre capricieuse anarchique
    Teint terreux (anémie)
    Splénomégalie (lisse, indolore, mobile, énorme)
    Hépatomégalie

L V de l’adulte en    : parasitose opportuniste
                        déficit immunitaire, sida, greffe
Clinique

Symptômes cardinaux :

     • Fièvre

     • Anémie

     • Splénomégalie
42
           Fièvre folle
40

38
37
36


34
     1 2 3 4 5 6 7 8 9 10 11
HMG




      SMG
Clinique
• Symptômes moins constants :
              - hépatomégalie
              - micropolyadénopathies
              - hémorragies

• Symptomatologie tronquée
• Kala-Azar          SIDA, immunodépression
Diagnostic biologique
   Etape séro-hématologique :
- signes humoraux : VS :
                   pic globulines        A/G <1
- signes hématologiques : Pancytopénie
     Anémie + Leucopénie + Thrombocytopénie

 Etape    immunologique :
        IFI : +++
       WB : 14 et 16 KDa
Immunofluorescence
Etape parasitologique
 Prélèvement       :
         - ponction médullaire, ganglionnaire,
               ostéomédullaire, hépatique et
splénique.
         - Prélèvement du sang périphérique

 Examen     direct: +++
 Culture   (NNN): +++
 Inoculation au Hamster : +/-
 PCR
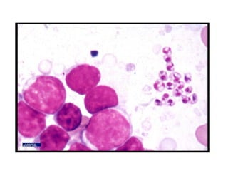
Examen direct
Milieu NNN




Gélose(sang lapin)     Phase liquide
Forme promastigote
Traitement

• Absence de traitement :      mort


• Traitement :   Stibiés
                 Diamidines
                 Amphotéricine B
Les stibiés :
  • antimoniate   de N méthylglucamine :
   GLUCANTIME
  • gluconate sodique d’antimoine :
  PENTOSTAM
   2 types d’accidents :
       - Stibio - intolérance
       - Stibio - intoxication
Les diamidines
  • Pentamidine (Lomidine)

     incidents

     accidents graves
Amphotéricine B
Autres Kala-Azar
• Chinois et américain :
         Adulte jeune

• Indien :
        Adulte jeune
        signes cutanées : +++

• Est- Africain :
        Adulte
        Lésions cutanées : +++
Aspect léonin
Le Kala-Azar en Tunisie
                                             ni
                                  Bizerte  Tu
                                    Ariana  s
                                 Beja      Nabel
                        Jandouba
                                                   ua
                                   Silian      g ho Sousse
                                   a         Za
                                               n
                         Le Kef
                                                          Monastir
                                        Kairoua         Mahdia


                                        *
                                        n




                                    e
                               r in
                                        Sidi




                            se
                                                    *
                         as
                                        bouzid




                        K
                                                 Sfax
                          Gafsa

                     Tozeur                 Gabes

                                                    Medenine
                              Kebili
    Foyers anciens                      Tataouine


*   Foyers récents
Le Kala - Azar en Tunisie

 Age   : enfant +++

 Agent causal: L. infantum,

                 zymodème MON 1

 Réservoir animal : chien +++

 Vecteur : Phlebotomus perniciosus
Leishmaniose canine
Leishmanioses cutanées
    et cutanéo-muqueuses

Leishmaniose cutanée pure de l’Ancien
Monde

Leishmaniose cutanéo-muqueuse

du Nouveau Monde

         Distinction aléatoire
Leishmanioses cutanées
        de l’Ancien Monde

 Bouton   d’Orient : Bouton de Gafsa,

Biskra.....

 Bassin méditerranéen

 Sud de la Russie

 Afrique Noire (hémisphère nord)
Croûte
          Nodule 2                 3



   1
                                 Clou
                Infiltration
Papule
inflammatoire
Leishmanioses cutanées




    L.C.S.

    L.C.Z.
    L.C.A.
Leishmaniose cutanée
          sporadique du Nord


- Aire   de distribution = celui du Kala-Azar

- Agent causal: L. infantum

                  zymodène MON.24

- Réservoir: Chien +/-
Leishmaniose cutanée du Nord
Leishmaniose cutanée
            zoonotique

-   Classique bouton de Gafsa
- Diffusion vers Centre et Sud du pays
- Caractère saisonnier automno-estival
- Agent causal : L. major zymodème
MON.25
- Vecteur: Phlebotomus papatasi
Leishmaniose cutanée zoonotique
Leishmaniose de la lèvre
Lésion du médian   Cicatrice après traitement
Psammomys obesus
Psammomys obesus : biotope




                   terrier
Meriones libycus
Leishmaniose cutanée
          anthroponotique
-   Microfoyers      : Sud-Est du pays

- Agent pathogène : L. tropica MON.8

- Vecteur         : Phlebotomus sergenti : +

- Réservoir       : Cténodactylus gondi :?
Leishmaniose cutanée : prélèvement
Examen direct




Forme amastigote
Traitement

- glucantime     : intra et périlésionnelles
- imidazolés (Flagyl*)
- cryothérpie, chirurgie : +/-
- pansement aseptique
Prophylaxie
• Collective : Insecticides si vecteur
  endophile

• Individuelle : moustiquaires
  imprégnées, répulsifs

• Essais de vaccins
Leishmanioses cutanées et
   cutanéo-muqueuses
    du Nouveau Monde
• Foyer de type 1
• Formes cutanées pures
• Formes cutanées à extension lymphatique
• Forme Uta
• ulcère des chicléros
• Forme Espundia
• Maladie de Convit
Espundia
Leishmaniose cutanéo-muqueuese
Ulcère des chicléros

Leishmanioses