Anatomie de l ’abdomen Marie-Odile Werquin Imagerie Médicale
Plan Radio-anatomie Organes pleins  Tube digestif  Appareil urinaire Organes génitaux Vascularisation Espaces péritonéaux Variantes de la normale  Pièges habituels
On distingue  9 régions  au niveau de l’abdomen Les hypochondres D et G L’épigastre La région ombilicale Les flancs D et G Les fosses iliaques D et G L’hypogastre
Foie Sous diaphragmatique 2 lobes 8 segments 2 pédicules vasculaires Ligaments
Le foie  pèse entre 1400 et 1600 g et mesure une dizaine de centimètres dans sa plus grande hauteur. L’apport sanguin hépatique est double : par la veine porte  par l’artère hépatique issue du tronc coeliaque.  L’ensemble veine porte- artère hépatique constitue, avec le canal cholédoque un pédicule hépatique.  La ramification de cette veine permet d’isoler 7 segments. Foie
Le Foie
Le Foie
Le sang quitte le foie par trois veines sus-hépatiques principales (droite, médiane et gauche) et des veines accessoires qui drainent le segment 1 (ou lobe de Spiegel. Les veines sus-hépatiques  principales délimitent 4 secteurs composés chacun de 1 à 2 segments :  latéral gauche (segments 2 et 3), paramédian gauche (segment 4), paramédian droit (segments 5 et 8)  latéral (ou postérieur) droit (segments 6 et 7) Elles se jettent dans la veine cave inférieure. Le Foie : 8 segments
Le Foie : 8 segments
 
Le Foie : 2 Pédicules vasculaires
Le Foie : les veines sus-hépatiques
Le Foie : 2 Pédicules vasculaires
 
 
 
 
 
5 ligaments  dont 4 composés d'une double couche de péritoine :  le ligament suspenseur ou falciforme.  les ligaments latéraux.  le ligament coronaire.  le ligament rond qui correspond à la veine ombilicale oblitérée. Le Foie : les ligaments
Le Foie : les ligaments
lig. coronaire lig.  triangulaire  D lig .  triangulaire  G lig. rond lig .  falciforme v. cave inférieure bord  antérieur fond  vésicule  biliaire lobe   droit lobe   gauche
Le Foie : scissures et ligaments
 droit ,   gauche ,   caudé Face dorsale : 2 sillons séparent 3 lobes lig. triangulaire G.    lig. triangulaire  D. lig .  coronaire veine cave inférieure dans son sillon sillon du lig.veineux
 
 
Ligaments du Foie Ligament rond Ligament triangulaire ZÔNE  NON  PÉRITONISÉE
Les voies biliaires Une des fonctions du foie est la sécrétion de la bile. Elle est recueillie par  les voies biliaires  : Les voies biliaires intra hépatiques : Au niveau de chaque lobule hépatique, la bile sécrétée par les hépatocytes va être recueillie par un ensemble de petits canaux dont La réunion va former les canaux hépatiques droit et gauche qui s ’unissent au niveau du hile du foie en canal hépatique commun. La réunion du canal hépatique commun et du canal cystique forme le Cholédoque.
Les  voies biliaires extra hépatiques . La voie biliaire principale : Elle naît de la réunion des canaux hépatiques droit et gauche qui se réunissent pour former le canal commun qui va se réunir au canal cystique pour former le canal cholédoque, celui ci va s’aboucher au duodénum par l ’ampoule de Vater. La voie biliaire accessoire (la vésicule biliaire) : C’est un réservoir où s'accumule la bile dans l’intervalle des périodes de digestion. L’orifice de sortie est le canal cystique. Les voies biliaires
Les voies biliaires
 
La rate Elle est située sous la coupole du diaphragme, en avant du rein gauche, en dehors de l’estomac et au-dessus de l’angle gauche du colon.
La rate Elle n’a aucun rôle digestif.  C’est un organe lymphoïde qui intervient dans les phénomènes immunitaires et dans la destruction des globules rouges.  Elle a une forme de pyramide. Elle est vascularisée par l’artère et la veine splénique.
La rate Située dans l’hypochondre gauche, sous-diaphragmatique.
La Rate
  La rate
Le Pancréas C’est une glande mixte qui a une sécrétion exocrine car il déverse le suc pancréatique dans l'intestin et une sécrétion endocrine car il y a une sécrétion d'hormone. Il se situe en avant de  L2-L3, oblique en haut et à gauche
Il comporte 3 parties :  La tête: en arrière du bulbe, en dedans du deuxième duodénum et au dessus du troisième duodénum petit pancréas de Winslow ou crochet (processus unciforme) Le corps et l’isthme La queue: en contact avec le hile splénique (intra péritonéal) Le Pancréas
2 canaux : La voie biliaire principale. Le canal de wirsung (< à 5 mm) Débouchent dans le duodénum au niveau de l’ampoule de vater. La vascularisation est assurée par les branches des artères hépatiques, spléniques et mésentériques supérieures. Le Pancréas
 
Le Pancréas
Le Pancréas
Rapports du pancréas
 
 
L’Œsophage  : C’est un conduit qui fait communiquer le pharynx en haut et l'estomac en bas. Il mesure environ 25 cm et a un diamètre de 2 à 3 cm. Tube Digestif
L’Œsophage  : On lui décrit quatre portions. Une partie cervicale :  à la base du cou(C6) et en arrière de la trachée. Une partie thoracique : en rapport avec l’aorte thoracique, le canal thoracique, le cœur, les nerfs pneumogastriques et les pédicules pulmonaires.  Une partie diaphragmatique : L’œsophage traverse le diaphragme. Une partie abdominale  :Il se jette dans l’estomac par un orifice appelé le cardia. Tube Digestif
Tube Digestif Oesophage
Tube Digestif Oesophage
Tube Digestif Oesophage
Œsophage : transit opaque cardia 1/3 sup = de C6 à T4:  25 cm des arcades dentaires 1/3 moyen = 25 à 28 cm     Région sous-carinaire  1/3 inférieur = 28 à 35 cm
Tube Digestif L’Estomac
Tube Digestif L’estomac : Situation dans l’hypocondre gauche et l’épigastre. taille variable (selon  patient et  degré de remplissage) 3 moyens d’attache. Paroi fine et régulière  < 10 mm ( fiable si estomac distendu) grande courbure = sous phrénique G pylore,le Cardia et la petite courbure.
 
L’estomac Il est très vascularisé par des branches qui proviennent du tronc cœliaque issu de l’aorte.
 
 
 
Différentes parties de l’estomac cardia Petite courbure Grande   courbure pylore antre fundus Antre pylorique duodénum Poche à air   gastrique corps
L’estomac
 
ANATOMIE
Tube digestif Le Duodénum  : C’est la portion du tube digestif qui fait immédiatement suite à l’estomac, il commence au pylore et va jusqu’à l'angle de Treitz. Les 2ième et 3ième segments entourent la tète du pancréas (cadre duodénal). Il  a quatre portions  les canaux excréteurs du pancréas et des voies biliaires débouchent dans le deuxième duodénum.  Épaisseur pariétale 3 mm.
Tube digestif Duodénum : 4 parties
 
D 1 D 2 D 3 D 4
Les 2 et 3iéme segments entourent la tète du pancréas
L’intestin grêle Segment du tube digestif qui relie l’estomac au colon (gros intestin). Il mesure environ 6 mètres. Il comprend 2 parties : le jéjunum et l’iléon. Il est relié à la paroi abdominale par le mésentère. Il est vascularisé par l’artère mésentérique supérieure et la veine mésentérique supérieure.
L’intestin grêle
Le   colon Il mesure 1,5 mètre environ. Il fait suite à l’intestin grêle et forme un cadre (cadre colique). Il se termine par l’anus.
Il  a plusieurs segments : Le cæcum :l’intestin grêle s’y abouche sur sa face interne par la valvule de Bauhin. Le colon droit ou ascendant monte verticalement pour former l’angle droit et va se poursuivre par le colon transverse, le colon droit est en rapport avec la face inférieure du lobe droit du foie. Le colon transverse est à hauteur de la rate, il est mobile et mesure 40 à 80 cm. Le colon descendant (dans le flanc gauche) et va se transformer en colon sigmoïde qui va ensuite former le rectum et se terminer par l’anus. Le   colon
 
Colon : lavement en double contraste
 
Le rectum C’est la partie terminale du tube digestif. Il a 2 zones : Une partie haute dilatée qui va former l’ampoule rectale. Une partie basse qui est rétrécie et qui traverse le périnée et s’ouvrir à l’extérieur par l’anus. Il est vascularisé par l’artère mésentérique inférieure.
Le rectum
L’appareil urinaire L’appareil urinaire se compose des reins, des uretères et de la vessie. Les reins  sont rétro-péritonéaux : de part et d’autre du rachis entre T12 et L3. Fixés sous les côtes, ils sont en liaison avec l’artère rénale . Le rein possède une fonction secrétoire puis excrétoire à partir du pyelon, origine de l’uretère.
L’appareil urinaire
L’appareil urinaire
L’appareil urinaire Les uretères  se dirigent vers le bas, en avant et en dedans pour rejoindre la partie postéro supérieure de la vessie. On distingue 3 parties : L’uretère lombaire (12 cm) L’uretère iliaque (3 cm) L’uretère pelvienne (12 cm)
 
La vessie  : Elle recueille l’urine qui lui parvient par les uretères. L’urine est évacuée par l’urètre lors de la miction. L’appareil urinaire
 
Les surrénales  sont 2 glandes endocrines triangulaires situées au dessus des reins. Elles sont principalement responsables de la gestion des situations de stress via la synthèse de corticostéroïdes et de cathécolamines, entre autres le cortisol et l‘adrénaline.  Intérêt d’un balisage digestif pour l’étude de ces glandes L’appareil urinaire
Les reins et les surrénales
 
 
 
L’appareil génital féminin L’utérus  est l’organe central de la cavité pelvienne Situé entre la vessie en avant et le rectum en arrière. L’utérus est divisé en corps et col. Le fond utérin est la région située au dessus de l’insertion des trompes.
Les trompes  : 10 cm de longueur. 4 parties : Le segment interstitiel qui correspond au trajet utérin (1cm). L’isthme (3cm). L’ampoule tubaire (4cm). L’extrémité distale ou pavillon tubaire (2cm). L’appareil génital féminin
Les ovaires  : Organe de la forme d’une amande. La taille dépend de l’âge de l’activité ovarienne: 2,5 à 5 cm de longueur. 0,6 à 1,5 cm d’épaisseur. 1,5 à 3 cm de largeur. Le ligament suspenseur correspond à des plis péritonéaux. L’appareil génital féminin
L’appareil génital féminin
L’appareil génital féminin
L’appareil génital masculin 2   testicules  : Glandes ovoïdes situées à la racine des cuisses dans les bourses qui forment le scrotum. Des voies spermatiques extra testiculaires  : L’épididyme. Les canaux déférents. Les canaux éjaculateurs. L’urètre.
Des glandes annexes : Les vésicules séminales. La prostate  (5 lobes entourant la portion initiale de l’urètre dans la vessie) Les glandes de cowper  situées dans le bulbe spongieux de l’urètre Du  pénis . L’appareil génital masculin
L’appareil génital masulin
Tronc Coeliaque  : situé en T12 - L1 3 branches : L’artère coronaire stomachique L’artère splénique L’artère hépatique commune (30 % de la vascularisation hépatique) Multiples variantes anatomiques Les artères
a. cystique a. hépatique propre a. hépatique  commune a. gastro-duodénale tronc coeliaque Artère splénique Artère coronaire stomachique
Tronc Coeliaque Vues tri-dimensionnelles
Tronc Coeliaque Coupes natives axiales
Les artères Artères rénales et aorte :  situation rétro péritonéale. Les artères rénales sont au niveau de L1. L’artère rénale droite passe en arrière de la VCI et de la veine rénale droite. L’artère rénale gauche plus courte s’oblique en dehors et en arrière, passe en arrière de la veine rénale gauche.
Aorte et branches : aspect scanner en 3D
 
L’artère mésentérique supérieure  : Longueur 20 à 25 cm. Vascularisation du duodénum, du pancréas, du grêle, du colon droit et de la partie droite du colon transverse. Naît de la face antérieure de l’aorte au niveau de T12-L1. Forme avec l’aorte la pince aorto-mésentérique. Elle se termine dans le mésentère. Les artères
 
 
L’artère mésentérique inférieure  : Naît au dessus de la bifurcation aortique au niveau de L3. Vascularisation d’un 1/3 du colon transverse, du colon descendant, du colon sigmoïde et du rectum. Les artères
 
AMS AMI
Les Veines Veine cave inférieure : rétro-péritonéale réunion des veines iliaques primitives en L5. située sur bord antéro-latéral du rachis à droite de l’aorte, elle reçoit les veines gonadiques (ovariennes ou testiculaires) et les veines rénales se jette dans l’oreillette droite après abouchement des Veines Sus-hépatiques
Les veines VCI Veines rénales
Tronc Porte : intra péritonéal amène le sang veineux au foie provenant de la rate, du pancréas et des organes digestifs. réunion au niveau de L2 des veines mésentériques supérieure, inférieure et splénique apporte 70 % de la vascularisation hépatique se divise en 2 branches en situation intra hépatique Les Veines
Les Veines VMS VMI Veine splénique Tronc spléno-mésaraïque Tronc Porte VBP
Système veineux portal Veine mésentérique supérieure  Veine splénique  Veine porte  Veine coronaire  stomachique Veine mésentérique inférieure
 
Anastomoses entre les réseaux veineux Porte et Cave.
 
Veines Veines rénales  : se jettent dans la Veine Cave Inférieure en regard de L2. la Veine Rénale gauche passe dans la pince aorto-mésentérique.
 
 
Les Veines les Veines sus-hépatiques 3 veines qui délimitent les lobes  et segments hépatiques. s’abouchent dans la VCI au niveau diaphragmatique.
 
 
 
 
Péritoine Membrane séreuse à 2 feuillets qui enveloppe les viscères digestifs : Le feuillet pariétal tapisse la paroi abdominale interne. Le feuillet viscéral enveloppe les organes digestifs intra péritonéaux. Le péritoine s’étend sur toute la hauteur de l’abdomen du diaphragme au petit bassin.
Un organe est intra péritonéal quand il est libre dans la cavité péritonéale.  Toutes les surfaces de cet organe sont tapissées par le péritoine et cet organe se retrouve relié à la paroi abdominale par un méso (ex: l’estomac). On dit qu'un organe est rétro péritonéal lorsqu’il est situé à l'extérieur du péritoine (les reins). Les organes partiellement rétro péritonéaux sont accolés à la paroi péritonéale.  Le méso a disparu et le péritoine ne tapisse qu'une seule face de l'organe (duodénum, pancréas, le colon ascendant et descendant). Péritoine
 
Les Epiploons Lame péritonéale qui relie  2 organes entre eux et contiennent un ou plusieurs pédicules vasculaires. Le petit épiploon ou ligament gastro-hépatique. Épiploon ou ligament gastro-splénique. Épiploon pancréato-splénique Le grand épiploon ou ligament gastro-colique. Les 4 épiploons rattachés à l’estomac, à la rate, au côlon et au pancréas  forment l’arrière cavité des épiploons.
Les épiploons
 
Arrière cavité des épiploons
 
Épiploons Arrière cavité des épiploons Hiatus   de Winslow A.C.E
Épiploons Grand épiploon Gastro-colique
Péritoine: espace de Morisson
 
Mésos et Mésentère Le  Méso  est un repli du péritoine qui rattache les organes à la paroi abdominale : méso de l’estomac. méso du colon transverse qui divise la cavité péritonéale en 2 : Étage sus-mésocolique. Étage sous-méso-colique. le méso du grêle est le  mésentère  (organe nourricier du grêle).
LES ANSES GRELES ET LE MESENTERE
Étage sus méso colique Il contient l'oesophage abdominal et l'estomac, le duodéno-pancréas en quasi-totalité, le foie, les voies biliaires, la rate. Ces viscères et leurs mésos délimitent 4 compartiments : - 2 loges inter-hépato-diaphragmatiques droite et gauche séparées par le ligament falciforme du foie . - La loge sous-hépatique (ou gastrique), entre le foie et la face ventrale de l’estomac. - La loge splénique (rate).
Épanchement dans la fossette inter-hépato-rénale
Épanchement autour du foie et de la rate
Il contient une partie minime du duodéno pancréas, l’intestin grêle, le colon. Le relief du colon et le mésentère (qui est le méso de l’intestin grêle) délimitent 5 compartiments : 2 gouttières pariéto-coliques droite et gauche entre colon droit et colon gauche et la paroi latérale de l’abdomen.  La gouttière droite communique : en cranial avec les loges inter-hépato-diaphragmatiques droite et sous-hépatique  en caudal avec le pelvis.                         Étage sous méso colique
Mésos et Mésentère
Épanchement dans les gouttières pariéto-coliques
2 loges dextro et sénestro-mésentériques, de part et d’autre du mésentère : Elles s’ouvrent en bas dans le pelvis.  Le dernier compartiment qui la partie la plus déclive est le cul de sac de Douglas : situé entre la rectum et la vessie chez l’homme (cul de sac recto vésical), entre le rectum et l’utérus chez la femme (cul de sac recto utérin). C’est le point le plus déclive de la cavité abdominale. Étage sous méso colique
Épanchement dans le Douglas
 
 
Piége: Piliers du diaphragme
PIEGES Varices  Oesophagiennes
Piége: Piliers du diaphragme Coupes natives  reconstructions
PIEGES Insertions diaphragmatiques
VARIANTES VCI double   Veine rénale G rétro-aortique
Adénopathies Diaphragmatique coronaire stomachique
Adénopathies
Adénopathies Rétro-crurale inter-aortico-cave
Adénopathies Rétro-cave mésentériques vci
Adénopathies Adénopathies petite courbure
PIEGES ADENOPATHIES ?    TUBE DIGESTIF NON OPACIFIE
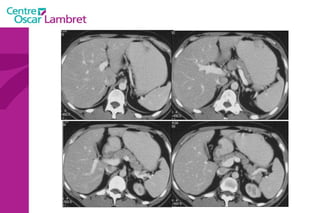
PIEGES Nodule hépatique
PIEGES Hernie Hiatale   Néoplasie

Anatomie abdomen

  • 1.
    Anatomie de l ’abdomenMarie-Odile Werquin Imagerie Médicale
  • 2.
    Plan Radio-anatomie Organespleins Tube digestif Appareil urinaire Organes génitaux Vascularisation Espaces péritonéaux Variantes de la normale Pièges habituels
  • 3.
    On distingue 9 régions au niveau de l’abdomen Les hypochondres D et G L’épigastre La région ombilicale Les flancs D et G Les fosses iliaques D et G L’hypogastre
  • 4.
    Foie Sous diaphragmatique2 lobes 8 segments 2 pédicules vasculaires Ligaments
  • 5.
    Le foie pèse entre 1400 et 1600 g et mesure une dizaine de centimètres dans sa plus grande hauteur. L’apport sanguin hépatique est double : par la veine porte par l’artère hépatique issue du tronc coeliaque. L’ensemble veine porte- artère hépatique constitue, avec le canal cholédoque un pédicule hépatique. La ramification de cette veine permet d’isoler 7 segments. Foie
  • 6.
  • 7.
  • 8.
    Le sang quittele foie par trois veines sus-hépatiques principales (droite, médiane et gauche) et des veines accessoires qui drainent le segment 1 (ou lobe de Spiegel. Les veines sus-hépatiques principales délimitent 4 secteurs composés chacun de 1 à 2 segments : latéral gauche (segments 2 et 3), paramédian gauche (segment 4), paramédian droit (segments 5 et 8) latéral (ou postérieur) droit (segments 6 et 7) Elles se jettent dans la veine cave inférieure. Le Foie : 8 segments
  • 9.
    Le Foie :8 segments
  • 10.
  • 11.
    Le Foie :2 Pédicules vasculaires
  • 12.
    Le Foie :les veines sus-hépatiques
  • 13.
    Le Foie :2 Pédicules vasculaires
  • 14.
  • 15.
  • 16.
  • 17.
  • 18.
  • 19.
    5 ligaments dont 4 composés d'une double couche de péritoine : le ligament suspenseur ou falciforme. les ligaments latéraux. le ligament coronaire. le ligament rond qui correspond à la veine ombilicale oblitérée. Le Foie : les ligaments
  • 20.
    Le Foie :les ligaments
  • 21.
    lig. coronaire lig. triangulaire D lig . triangulaire G lig. rond lig . falciforme v. cave inférieure bord antérieur fond vésicule biliaire lobe droit lobe gauche
  • 22.
    Le Foie :scissures et ligaments
  • 23.
     droit ,  gauche ,  caudé Face dorsale : 2 sillons séparent 3 lobes lig. triangulaire G.    lig. triangulaire D. lig . coronaire veine cave inférieure dans son sillon sillon du lig.veineux
  • 24.
  • 25.
  • 26.
    Ligaments du FoieLigament rond Ligament triangulaire ZÔNE NON PÉRITONISÉE
  • 27.
    Les voies biliairesUne des fonctions du foie est la sécrétion de la bile. Elle est recueillie par les voies biliaires : Les voies biliaires intra hépatiques : Au niveau de chaque lobule hépatique, la bile sécrétée par les hépatocytes va être recueillie par un ensemble de petits canaux dont La réunion va former les canaux hépatiques droit et gauche qui s ’unissent au niveau du hile du foie en canal hépatique commun. La réunion du canal hépatique commun et du canal cystique forme le Cholédoque.
  • 28.
    Les voiesbiliaires extra hépatiques . La voie biliaire principale : Elle naît de la réunion des canaux hépatiques droit et gauche qui se réunissent pour former le canal commun qui va se réunir au canal cystique pour former le canal cholédoque, celui ci va s’aboucher au duodénum par l ’ampoule de Vater. La voie biliaire accessoire (la vésicule biliaire) : C’est un réservoir où s'accumule la bile dans l’intervalle des périodes de digestion. L’orifice de sortie est le canal cystique. Les voies biliaires
  • 29.
  • 30.
  • 31.
    La rate Elleest située sous la coupole du diaphragme, en avant du rein gauche, en dehors de l’estomac et au-dessus de l’angle gauche du colon.
  • 32.
    La rate Ellen’a aucun rôle digestif. C’est un organe lymphoïde qui intervient dans les phénomènes immunitaires et dans la destruction des globules rouges. Elle a une forme de pyramide. Elle est vascularisée par l’artère et la veine splénique.
  • 33.
    La rate Situéedans l’hypochondre gauche, sous-diaphragmatique.
  • 34.
  • 35.
    Larate
  • 36.
    Le Pancréas C’estune glande mixte qui a une sécrétion exocrine car il déverse le suc pancréatique dans l'intestin et une sécrétion endocrine car il y a une sécrétion d'hormone. Il se situe en avant de L2-L3, oblique en haut et à gauche
  • 37.
    Il comporte 3parties : La tête: en arrière du bulbe, en dedans du deuxième duodénum et au dessus du troisième duodénum petit pancréas de Winslow ou crochet (processus unciforme) Le corps et l’isthme La queue: en contact avec le hile splénique (intra péritonéal) Le Pancréas
  • 38.
    2 canaux :La voie biliaire principale. Le canal de wirsung (< à 5 mm) Débouchent dans le duodénum au niveau de l’ampoule de vater. La vascularisation est assurée par les branches des artères hépatiques, spléniques et mésentériques supérieures. Le Pancréas
  • 39.
  • 40.
  • 41.
  • 42.
  • 43.
  • 44.
  • 45.
    L’Œsophage :C’est un conduit qui fait communiquer le pharynx en haut et l'estomac en bas. Il mesure environ 25 cm et a un diamètre de 2 à 3 cm. Tube Digestif
  • 46.
    L’Œsophage :On lui décrit quatre portions. Une partie cervicale : à la base du cou(C6) et en arrière de la trachée. Une partie thoracique : en rapport avec l’aorte thoracique, le canal thoracique, le cœur, les nerfs pneumogastriques et les pédicules pulmonaires. Une partie diaphragmatique : L’œsophage traverse le diaphragme. Une partie abdominale :Il se jette dans l’estomac par un orifice appelé le cardia. Tube Digestif
  • 47.
  • 48.
  • 49.
  • 50.
    Œsophage : transitopaque cardia 1/3 sup = de C6 à T4: 25 cm des arcades dentaires 1/3 moyen = 25 à 28 cm  Région sous-carinaire 1/3 inférieur = 28 à 35 cm
  • 51.
  • 52.
    Tube Digestif L’estomac: Situation dans l’hypocondre gauche et l’épigastre. taille variable (selon patient et degré de remplissage) 3 moyens d’attache. Paroi fine et régulière < 10 mm ( fiable si estomac distendu) grande courbure = sous phrénique G pylore,le Cardia et la petite courbure.
  • 53.
  • 54.
    L’estomac Il esttrès vascularisé par des branches qui proviennent du tronc cœliaque issu de l’aorte.
  • 55.
  • 56.
  • 57.
  • 58.
    Différentes parties del’estomac cardia Petite courbure Grande courbure pylore antre fundus Antre pylorique duodénum Poche à air gastrique corps
  • 59.
  • 60.
  • 61.
  • 62.
    Tube digestif LeDuodénum : C’est la portion du tube digestif qui fait immédiatement suite à l’estomac, il commence au pylore et va jusqu’à l'angle de Treitz. Les 2ième et 3ième segments entourent la tète du pancréas (cadre duodénal). Il a quatre portions les canaux excréteurs du pancréas et des voies biliaires débouchent dans le deuxième duodénum. Épaisseur pariétale 3 mm.
  • 63.
  • 64.
  • 65.
    D 1 D2 D 3 D 4
  • 66.
    Les 2 et3iéme segments entourent la tète du pancréas
  • 67.
    L’intestin grêle Segmentdu tube digestif qui relie l’estomac au colon (gros intestin). Il mesure environ 6 mètres. Il comprend 2 parties : le jéjunum et l’iléon. Il est relié à la paroi abdominale par le mésentère. Il est vascularisé par l’artère mésentérique supérieure et la veine mésentérique supérieure.
  • 68.
  • 69.
    Le colon Il mesure 1,5 mètre environ. Il fait suite à l’intestin grêle et forme un cadre (cadre colique). Il se termine par l’anus.
  • 70.
    Il aplusieurs segments : Le cæcum :l’intestin grêle s’y abouche sur sa face interne par la valvule de Bauhin. Le colon droit ou ascendant monte verticalement pour former l’angle droit et va se poursuivre par le colon transverse, le colon droit est en rapport avec la face inférieure du lobe droit du foie. Le colon transverse est à hauteur de la rate, il est mobile et mesure 40 à 80 cm. Le colon descendant (dans le flanc gauche) et va se transformer en colon sigmoïde qui va ensuite former le rectum et se terminer par l’anus. Le colon
  • 71.
  • 72.
    Colon : lavementen double contraste
  • 73.
  • 74.
    Le rectum C’estla partie terminale du tube digestif. Il a 2 zones : Une partie haute dilatée qui va former l’ampoule rectale. Une partie basse qui est rétrécie et qui traverse le périnée et s’ouvrir à l’extérieur par l’anus. Il est vascularisé par l’artère mésentérique inférieure.
  • 75.
  • 76.
    L’appareil urinaire L’appareilurinaire se compose des reins, des uretères et de la vessie. Les reins sont rétro-péritonéaux : de part et d’autre du rachis entre T12 et L3. Fixés sous les côtes, ils sont en liaison avec l’artère rénale . Le rein possède une fonction secrétoire puis excrétoire à partir du pyelon, origine de l’uretère.
  • 77.
  • 78.
  • 79.
    L’appareil urinaire Lesuretères se dirigent vers le bas, en avant et en dedans pour rejoindre la partie postéro supérieure de la vessie. On distingue 3 parties : L’uretère lombaire (12 cm) L’uretère iliaque (3 cm) L’uretère pelvienne (12 cm)
  • 80.
  • 81.
    La vessie : Elle recueille l’urine qui lui parvient par les uretères. L’urine est évacuée par l’urètre lors de la miction. L’appareil urinaire
  • 82.
  • 83.
    Les surrénales sont 2 glandes endocrines triangulaires situées au dessus des reins. Elles sont principalement responsables de la gestion des situations de stress via la synthèse de corticostéroïdes et de cathécolamines, entre autres le cortisol et l‘adrénaline. Intérêt d’un balisage digestif pour l’étude de ces glandes L’appareil urinaire
  • 84.
    Les reins etles surrénales
  • 85.
  • 86.
  • 87.
  • 88.
    L’appareil génital fémininL’utérus est l’organe central de la cavité pelvienne Situé entre la vessie en avant et le rectum en arrière. L’utérus est divisé en corps et col. Le fond utérin est la région située au dessus de l’insertion des trompes.
  • 89.
    Les trompes : 10 cm de longueur. 4 parties : Le segment interstitiel qui correspond au trajet utérin (1cm). L’isthme (3cm). L’ampoule tubaire (4cm). L’extrémité distale ou pavillon tubaire (2cm). L’appareil génital féminin
  • 90.
    Les ovaires : Organe de la forme d’une amande. La taille dépend de l’âge de l’activité ovarienne: 2,5 à 5 cm de longueur. 0,6 à 1,5 cm d’épaisseur. 1,5 à 3 cm de largeur. Le ligament suspenseur correspond à des plis péritonéaux. L’appareil génital féminin
  • 91.
  • 92.
  • 93.
    L’appareil génital masculin2 testicules : Glandes ovoïdes situées à la racine des cuisses dans les bourses qui forment le scrotum. Des voies spermatiques extra testiculaires : L’épididyme. Les canaux déférents. Les canaux éjaculateurs. L’urètre.
  • 94.
    Des glandes annexes: Les vésicules séminales. La prostate (5 lobes entourant la portion initiale de l’urètre dans la vessie) Les glandes de cowper situées dans le bulbe spongieux de l’urètre Du pénis . L’appareil génital masculin
  • 95.
  • 96.
    Tronc Coeliaque : situé en T12 - L1 3 branches : L’artère coronaire stomachique L’artère splénique L’artère hépatique commune (30 % de la vascularisation hépatique) Multiples variantes anatomiques Les artères
  • 97.
    a. cystique a.hépatique propre a. hépatique commune a. gastro-duodénale tronc coeliaque Artère splénique Artère coronaire stomachique
  • 98.
    Tronc Coeliaque Vuestri-dimensionnelles
  • 99.
    Tronc Coeliaque Coupesnatives axiales
  • 100.
    Les artères Artèresrénales et aorte : situation rétro péritonéale. Les artères rénales sont au niveau de L1. L’artère rénale droite passe en arrière de la VCI et de la veine rénale droite. L’artère rénale gauche plus courte s’oblique en dehors et en arrière, passe en arrière de la veine rénale gauche.
  • 101.
    Aorte et branches: aspect scanner en 3D
  • 102.
  • 103.
    L’artère mésentérique supérieure : Longueur 20 à 25 cm. Vascularisation du duodénum, du pancréas, du grêle, du colon droit et de la partie droite du colon transverse. Naît de la face antérieure de l’aorte au niveau de T12-L1. Forme avec l’aorte la pince aorto-mésentérique. Elle se termine dans le mésentère. Les artères
  • 104.
  • 105.
  • 106.
    L’artère mésentérique inférieure : Naît au dessus de la bifurcation aortique au niveau de L3. Vascularisation d’un 1/3 du colon transverse, du colon descendant, du colon sigmoïde et du rectum. Les artères
  • 107.
  • 108.
  • 109.
    Les Veines Veinecave inférieure : rétro-péritonéale réunion des veines iliaques primitives en L5. située sur bord antéro-latéral du rachis à droite de l’aorte, elle reçoit les veines gonadiques (ovariennes ou testiculaires) et les veines rénales se jette dans l’oreillette droite après abouchement des Veines Sus-hépatiques
  • 110.
    Les veines VCIVeines rénales
  • 111.
    Tronc Porte :intra péritonéal amène le sang veineux au foie provenant de la rate, du pancréas et des organes digestifs. réunion au niveau de L2 des veines mésentériques supérieure, inférieure et splénique apporte 70 % de la vascularisation hépatique se divise en 2 branches en situation intra hépatique Les Veines
  • 112.
    Les Veines VMSVMI Veine splénique Tronc spléno-mésaraïque Tronc Porte VBP
  • 113.
    Système veineux portalVeine mésentérique supérieure Veine splénique Veine porte Veine coronaire stomachique Veine mésentérique inférieure
  • 114.
  • 115.
    Anastomoses entre lesréseaux veineux Porte et Cave.
  • 116.
  • 117.
    Veines Veines rénales : se jettent dans la Veine Cave Inférieure en regard de L2. la Veine Rénale gauche passe dans la pince aorto-mésentérique.
  • 118.
  • 119.
  • 120.
    Les Veines lesVeines sus-hépatiques 3 veines qui délimitent les lobes et segments hépatiques. s’abouchent dans la VCI au niveau diaphragmatique.
  • 121.
  • 122.
  • 123.
  • 124.
  • 125.
    Péritoine Membrane séreuseà 2 feuillets qui enveloppe les viscères digestifs : Le feuillet pariétal tapisse la paroi abdominale interne. Le feuillet viscéral enveloppe les organes digestifs intra péritonéaux. Le péritoine s’étend sur toute la hauteur de l’abdomen du diaphragme au petit bassin.
  • 126.
    Un organe estintra péritonéal quand il est libre dans la cavité péritonéale. Toutes les surfaces de cet organe sont tapissées par le péritoine et cet organe se retrouve relié à la paroi abdominale par un méso (ex: l’estomac). On dit qu'un organe est rétro péritonéal lorsqu’il est situé à l'extérieur du péritoine (les reins). Les organes partiellement rétro péritonéaux sont accolés à la paroi péritonéale. Le méso a disparu et le péritoine ne tapisse qu'une seule face de l'organe (duodénum, pancréas, le colon ascendant et descendant). Péritoine
  • 127.
  • 128.
    Les Epiploons Lamepéritonéale qui relie 2 organes entre eux et contiennent un ou plusieurs pédicules vasculaires. Le petit épiploon ou ligament gastro-hépatique. Épiploon ou ligament gastro-splénique. Épiploon pancréato-splénique Le grand épiploon ou ligament gastro-colique. Les 4 épiploons rattachés à l’estomac, à la rate, au côlon et au pancréas forment l’arrière cavité des épiploons.
  • 129.
  • 130.
  • 131.
  • 132.
  • 133.
    Épiploons Arrière cavitédes épiploons Hiatus de Winslow A.C.E
  • 134.
  • 135.
  • 136.
  • 137.
    Mésos et MésentèreLe Méso est un repli du péritoine qui rattache les organes à la paroi abdominale : méso de l’estomac. méso du colon transverse qui divise la cavité péritonéale en 2 : Étage sus-mésocolique. Étage sous-méso-colique. le méso du grêle est le mésentère (organe nourricier du grêle).
  • 138.
    LES ANSES GRELESET LE MESENTERE
  • 139.
    Étage sus mésocolique Il contient l'oesophage abdominal et l'estomac, le duodéno-pancréas en quasi-totalité, le foie, les voies biliaires, la rate. Ces viscères et leurs mésos délimitent 4 compartiments : - 2 loges inter-hépato-diaphragmatiques droite et gauche séparées par le ligament falciforme du foie . - La loge sous-hépatique (ou gastrique), entre le foie et la face ventrale de l’estomac. - La loge splénique (rate).
  • 140.
    Épanchement dans lafossette inter-hépato-rénale
  • 141.
    Épanchement autour dufoie et de la rate
  • 142.
    Il contient unepartie minime du duodéno pancréas, l’intestin grêle, le colon. Le relief du colon et le mésentère (qui est le méso de l’intestin grêle) délimitent 5 compartiments : 2 gouttières pariéto-coliques droite et gauche entre colon droit et colon gauche et la paroi latérale de l’abdomen. La gouttière droite communique : en cranial avec les loges inter-hépato-diaphragmatiques droite et sous-hépatique en caudal avec le pelvis.                       Étage sous méso colique
  • 143.
  • 144.
    Épanchement dans lesgouttières pariéto-coliques
  • 145.
    2 loges dextroet sénestro-mésentériques, de part et d’autre du mésentère : Elles s’ouvrent en bas dans le pelvis. Le dernier compartiment qui la partie la plus déclive est le cul de sac de Douglas : situé entre la rectum et la vessie chez l’homme (cul de sac recto vésical), entre le rectum et l’utérus chez la femme (cul de sac recto utérin). C’est le point le plus déclive de la cavité abdominale. Étage sous méso colique
  • 146.
  • 147.
  • 148.
  • 149.
  • 150.
    PIEGES Varices Oesophagiennes
  • 151.
    Piége: Piliers dudiaphragme Coupes natives reconstructions
  • 152.
  • 153.
    VARIANTES VCI double Veine rénale G rétro-aortique
  • 154.
  • 155.
  • 156.
  • 157.
  • 158.
  • 159.
    PIEGES ADENOPATHIES ? TUBE DIGESTIF NON OPACIFIE
  • 160.
  • 161.