PNEUMOTHORAX
  SPONTANE

       Dr.Henzazi Hind
        CES pneumologie
         2éme année
LE PNEUMOTHORAX SPONTANE

PLAN:
I- introduction:
  1.1. définition.
  1.2. intérêts.
  1.3. rappel anatomo-physio-pathologiue.
II- diagnostic positif:
  2.1.TDD: pneumothorax spontané idiopathique généralisé du sujet jeune.
    2.1.1.clinique:.
    2.1.2.paraclinique:
            a- RX thorax.
            b- TDM thoracique.
            c- examen manométrique
     2.13- évolution-complication- pronostic
  2.2. formes cliniques:
     2.1.1. formes selon la topographie.
     2.1.2. formes graves.
LE PNEUMOTHORAX SPONTANE



PLAN:

III- diagnostic de gravité:
  3.1. signes d’insuffisance respiratoire aigue.
  3.2. signes de choc hémodynamique.
  3.3. signes de compression.
IV- diagnostic différentiel:
  4.1. avant la RX.
  4.2. à la RX.
V- diagnostic étiologique:
  5.1. pneumothorax spontané primaire.
  5.2. pneumothorax spontané secondaire.
VI- traitement:
  6.1. buts.
  6.2. moyens.
  6.3. indications.
  6.4. surveillance- résultats.
  6.5. prévention.
VII- conclusion.
I- INTRODUCTION:




1.1. définition:
 Épanchement gazeux de la grande cavité pleurale libre

  ou cloisonné en dehors de tout traumatisme ou de
  manœuvre instrumentale.

   Exclus:
     - Plaie de la poitrine et les traumatismes du thorax.
     - Pneumothorax iatrogène.

   Pneumothorax généralisé ou total /partiel ou localisé.
I- INTRODUCTION:




1.2. Intérêts :

 Pathologie courante.
 Diagnostic aisé par la clinique.

 urgence médicochirurgicale.

 étiologie tuberculeuse+++

 récidives fréquentes : 25% à 2 ans et 50% à
  6ans
 PEC multidisciplinaire.
I- INTRODUCTION:




1.3. Rappel anatomo-physio-pathologique :



        - La plèvre: 2feuillets
              .Feuillet viscéral
              .Feuillet pariétal
       - La cavité pleurale
       - Dépression intra-pleurale
I- INTRODUCTION


1.3. Rappel anatomo-physio-pathologique:



      Brèche   pleurale.

      Décollement   du poumon à la paroi.

      Troubles   ventillatoires.
la fistule broncho pleurale peut être :
      ouverte : poumon cavité pleurale à
   chaque mouvement respiratoire. Équilibre
   entre pressions pleurales et intra
   bronchiques. PNO chronique.

     à soupape : air vers cavité pleurale à
  chaque inspiration, PNO massifs.

    fermée : après passage air fermeture
  fistule - résorption progressive: PNO
     minimes et stables.
II- DIAGNOSTIC POSITIF:



2.1. TDD: PNEUMOTHORAX SPONTANE IDIOPATHIQUE
   GENERALISE DU SUJET JEUNE.


  2.1.1. clinique:
   a- interrogatoire:
      absence de pathologie respiratoire connue.
      facteur déclenchant.
      tabagisme.
      début brutal par:
                    douleur thoracique.
                    dyspnée.
                    toux
Douleur thoracique:
● maître symptôme
● apparition brutale.
● Intensité variable : douleur intense
● type: coup de poignard comme un coup de tonnerre
   dans un ciel serein, parfois point de côté.
● peut être fugace (PNO minimes).
● Siège variable : latérothoracique homolatérale à
   l’épanchement++, sous mammelonnaire, axillaire,
   scapulaire, abdominale.
● aggravée par l’inspiration profonde, la toux et l’effort
   à glotte fermée (toux, éternuement, défécation…)
Dyspnée:
● installation brutale.
● polypnée superficielle.
● intensité variable: minime, modérée, ou majeure
   devenant angoissante asphyxiante dans les
   épanchements gazeux de grande abondance.
● aggravée par la douleur, l’effort, les changements de
   position et l’inspiration profonde.
● Atténuée par le repos et le décubitus latéral du coté
   opposé à l’épanchement
Toux:


● Inconstante.
● installation brutale, mais peut être progressive.
● sèche, quinteuse, rebelle, pénible, douloureuse et
   gênante.
● Sans horaire particulier.
● Déclenchée par les changements de position.
● Elle aggrave la douleur et la dyspnée.
b- examen physique



    b.1. examen général:
    fonction de la tolérance.
    fièvre peu élevée autour de 38 °C++.

 formes graves: signes de choc et d’asphyxie :
    ▪ Malade immobile, anxieux.
    ▪ Visage pâle, couvert de sueurs, cyanose
      péribuccale.
    ▪ Respiration rapide, courte et superficielle.
    ▪ TA basse, pincée, difficile à prendre.
b- l’examen physique :


b-2- examen pleuro pulmonaire :
 inspection : l'hémithorax distendu +
        diminution de l'ampliation thoracique
 palpation: abolition VV.

 percussion: tympanisme

 auscultation: abolition MV + Sd amphoro-métallique:

          - souffle amphorique
          - tintement métallique de lænnec
          - retentissement métallique des bruits
                      thoraciques
          - bruit d’airain de trousseau
b- l’examen physique :




   b-2- examen pleuro pulmonaire :

      Trépied de Gaillard :
            abolition des VV.
            tympanisme.
            abolition MV.
b- l’examen physique :


b-3- examen des autres appareils :

appareil cardiovasculaire+++

signes de refoulement:déplacement du choc de pointe et
   de l’aire de matité cardiaque vers le côté
   controlatéral
2.1.2- PARACLINIQUE :


a- RX du thorax :

 clichés de face et de profil en inspiration profonde.
 RX de thorax de face en expiration forcée un  :
          ● épanchements minimes.
          ● La surveillance évolutive :total retour
            du poumon à la paroi.
a- RX du thorax :

 Apports :
     Affirmer le pneumothorax.
     Définir le caractère complet ou incomplet du

      pneumothorax
     Estimer la taille de l’épanchement.

     Analyser le parenchyme pulmonaire sous-jacent

      et du coté opposé.
     Suivre l’évolution : retour du poumon à la paroi.
a- RX du thorax :
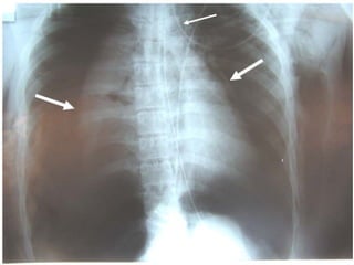
   Résultats :

Confirmation :

    Hyperclareté homogène, avasculaire, périphérique,
    Moignon hyperdense rétracté sur le hile,
    Distension des EIC et une netteté anormale des cotes.
    Plèvre viscérale :fin liseré opaque net comme tracé au
    crayon.
a- RX du thorax :
Définition du caractère complet :

 PNO complet: décollement de tout le poumon, quelle
 que soit l’importance de l’épanchement.

  PNO incomplet: décollement partiel du poumon
  (sommet++).
a- RX du thorax :
Appréciation de la taille du pneumothorax : 

   mesure de la distance séparant la ligne
    bordante du sommet :
              < ou = 3 cm : Faible abondance.
              > 3 cm : moyenne ou forte abondance.
   L’idéal : volume du pneumothorax exprimé en
    %.
              V = 1 – (B3/A3)*100.
a- RX du thorax :
Signes radiologiques associés :

 * hydro pneumothorax.

 *h
  hcœur et du médiastin refoulés.

 * Anomalies parenchymateuses homo ou
  controlatérales.

 * Un aspect de petit cœur dans les formes
  bilatérales.
b- la tomodensitométrie thoracique :


   non nécessaire au diagnostic.

   diagnostic étiologique et discussion d’un geste
    thérapeutique radical++.

   risque de récidive en précisant: le nombre, le volume
    et la topographie des bulles.
C- Examen manométrique

    pression de gaz (manomètre à eau): les trois
     éventualités sus-citées sont possibles :

     fistule fermée ou plutôt refermée: pression
        négative- soustraction d'air l'abaisse davantage.
     fistule restée longuement ouverte : pression = P
        alvéolaire, non modifiée par adjonction ou retrait
        d'air.
     pneumothorax à soupape: pression fortement
        positive, augmentée avec l'inspiration, retrait
        d'air ne l'abaisse que temporairement.
    Ces signes manométriques donnent déjà une
     idée sur l'évolution.
2.1.3. Évolution - Complications - Pronostic :


a- Rétrocession spontanée.

b- pneumothorax suffocant.

c- pneumothorax récidivant.

d- l'hydro pneumothorax.

e- passage à la chronicité.
2.1.3. Évolution - Complications - Pronostic :


a- Rétrocession spontanée:

 PNO à fistule fermée++ .

 résorption de l’air et ré-expansion pulmonaire en
 quelques heures, jours ou semaines.

 Parfois aidée par une exsufflation.
2.1.3. Évolution - Complications - Pronostic :

b- pneumothorax suffocant :

 fistule à soupape avec pression pleurale positive.

 cliniques : détresse cardio-respiratoire.

 RX : PNO massif avec refoulement majeur du
 médiastin.

  Drain pleural = urgence mais la simple pose d’une
  aiguille intra pleurale décomprimant l’épanchement
  gazeux permet parfois de passer un cap critique.
2.1.3. Évolution - Complications - Pronostic :


C- pneumothorax récidivant:

  ce sont les pneumothorax guérissant le mieux qui
   sont plus sujets à des récidives.

   Le risque de récidive est de 25% dans les 2 ans et
   de 50% dans les 6 ans.
2.1.3. Évolution - Complications - Pronostic :


d- l'hydro pneumothorax :

    contexte fébrile avec deux signes physiques :
      - matité de la base séparée par un niveau
        horizontal d'une sonorité sus jacente.
     - succussion hippocratique.

    RX confirme le double épanchement.

    La ponction pleurale: liquide.
2.1.3. Évolution - Complications - Pronostic :


e- passage à la chronicité:

  absence de fermeture de la brèche

  épaississement de la plèvre viscérale réalisant une
 pachypleurite qui s'oppose à la ré-expansion du
 poumon.

évolution pendant des mois.
2.2. FORMES CLINIQUES :

2.2.1. Formes selon la topographie :

a. Pneumothorax spontané partiel ou localisé :
   fréquent et bien toléré.
   SF: douleur thoracique fugace.
   Les signes RX discrets et un cliché thoracique
    (normal?)  cliché en expiration forcée
   Selon la topographie, on peut distinguer les :
                pneumothorax axillaire
                pneumothorax apicaux
                pneumothorax interlobaires
                pneumothorax médiastinaux
2.2.1. Formes selon la topographie :


b. Pneumothorax avec pneumomédiastin :

 rare.

 rupture d’une bulle au contact du pédicule pulmonaire.

 suspecté devant un emphysème sous-cutané débutant à
  la bas du cou  RX++.

 évolution est souvent simple.
2.2.2. Formes graves

•   Pneumothorax bilatéral ou sur poumon unique. 

b. Pneumothorax sur poumon pathologique (BPCO++).

c. Pneumothorax sur cardiopathie sous-jacente.

d. Hémopneumothorax.

e. Pneumothorax suffocant.
a- Pneumothorax bilatéral ou sur
   poumon unique :


Rarissime

 mais responsable d’un syndrome asphyxique majeur.

 Souvent diagnostic post-mortem.
b. Pneumothorax sur poumon
pathologique (BPCO++): graves

   tableau clinique sévère: insuffisance respiratoire
    aigue.
   insuffisance respiratoire chronique pré-éxistante
    (emphysémateux+).
   Même si PNO minime  déséquilibrer un état limite
    surtout par l'encombrement bronchique qu'il
    provoque.
    Toute IRA chez un broncho-pneumopathe doit faire
    systématiquement évoquer PNO
   Tout PNO reconnu chez un broncho-pneumopathe
    chronique  unité spécialisée en urgence pour
    drainage
c. Pneumothorax sur cardiopathie
sous-jacente :



 mal toléré

 décompensation de la cardiopathie sous jacente.
d. Hémopneumothorax :

   rupture de bride.
   Clinique : aux signes PNO+ épanchement liquidien +
    hémorragie interne.
   La RX : opacité basale avec niveau horizontal
    surmonté d’une clarté
   La ponction : sang pur incoagulable.
   La pose d’un drain aspiratif, le contrôle de la volémie
    par transfusion et le transfert à proximité d’un
    centre de chirurgie thoracique sont les premiers
    éléments thérapeutiques.
   La persistance du saignement au delà de 12 h
    nécessite une thoracotomie d’urgence d’hémostase.
III- DIAGNOSTIC DE GRAVITE :



 Les signes de mauvaise tolérance sont à
 rechercher systématiquement avant même la
 pratique d’une radiographie du thorax, car la
 clinique seule peut suffire à poser le diagnostic.

   3.1.   Signes d'insuffisance respiratoire aigue.
   3.2.   les signes de choc hémodynamique.
   3.3.   Les signes de compression.
III- DIAGNOSTIC DE GRAVITE :

3.1. Signes d'insuffisance respiratoire aigue :

   3.1.1. Signes respiratoires:
  ●Dyspnée       ●Cyanose     ●Usage des muscles
  respiratoires accessoires
  ●Respiration abdominale paradoxale
  ●SaO2 < 90%

  3.1.2. Signes cardiovasculaires :

   ●Tachycardie >110 bats/min      ●Hypotension

   ●Troubles du rythme     ●Marbrures        ●OMI
3.1. Signes d'insuffisance respiratoire aigue :


3.1.3. Signes neurologiques :
   ●Agitations            ●Confusions
   ●Obnibulation
   ●Astérixis            ●Coma

3.1.4. Signes gazométriques
   ●Hypoxémie < 55mmHg
   ●Hypercapnie > 45mmHg
   ●Acidose respiratoire.
III- DIAGNOSTIC DE GRAVITE :

3.2. les signes de choc hémodynamique : (En cas
  d’hémopneumothorax)

   Tachycardie avec un pouls rapide filant

   Hypotension artérielle avec une différentielle pincée

   Pâleur des muqueuses

   Sueurs
III- DIAGNOSTIC DE GRAVITE :

3.3. Les signes de compression :

Ils sont surtout liés au pneumothorax à soupape ou à
   clapet.

            TVJ.
            Un pouls paradoxal.
            Une distension thoracique.
            Un emphysème sous cutané.
            RX: refoulement plus ou moins important
            du médiastin au coté opposé.
IV- DIAGNOSTIC DIFFERENTIEL :


4.1. Avant la radio :

       OAP.
       Embolie pulmonaire.
       Pleurésies massives de constitution rapide.
       L’infarctus du myocarde.
       L’asthme.
       Autres : péricardite, dissection aortique….
 OAP:



     En faveur : Début brutal, Dyspnée, toux.

     En défaveur : Absence d’ATCD de
      cardiopathie, Absence d’orthopnée, position
      antalgique, syndrome d’épanchement gazeux
      pleural, absence de râles en marée montante.
 Embolie pulmonaire :




         En faveur : Début brutal, douleur
          thoracique, dyspnée, la toux.

         En défaveur : Absence de circonstances
          favorisantes d’une MTEV, absence de
          signes de thrombophlébite, présence d’un
          syndrome d’épanchement gazeux pleural.
 Pleurésies massives de constitution
rapide :



         En faveur : Début brutal, douleur
          thoracique, toux, dyspnée.

         En défaveur : position antalgique,
          syndrome d’épanchement gazeux, ponction
          ne ramène pas de liquide.
 L’infarctus du myocarde :



         En faveur : début brutal, douleur
          thoracique, dyspnée.

         En défaveur : absence de FR
          cardiovasculaires, présence d’un syndrome
          d’épanchement gazeux, absence d’anomalies
          évocatrices à l’ECG.
 L’asthme :




         En faveur : début brutal, dyspnée.

         En défaveur : absence de râles sibilants,
          présence d’un syndrome d’épanchement
          gazeux, classiquement le dyspnée dans
          l’asthme est expiratoire, absence de
          prodromes.
 Autres :



   péricardite, dissection aortique….
IV- DIAGNOSTIC DIFFERENTIEL :

4.2. A la radio :
 Les kystes aériens sont à éliminer devant:
  l'absence de moignon collabé, l'existence de
  parenchyme autour du kyste et le contour
  polycyclique du kyste.

 Le diagnostic différentiel des PNO localisés
  pose des problèmes plus difficiles avec :
            bulles d'emphysème.

            cavités pulmonaires.
V- DIAGNOSTIC ETIOLOGIQUE :

5.1. Pneumothorax spontané idiopathique:

   sujets jeunes (20 à 40 ans) et longilignes.
   tabagisme = facteur de risque (dose dépendant).
   D’autres facteurs de risque : variations de P
    atmosphérique, temps orageux, cycle lunaire et
    l’exposition à des sons intenses (musique techno),
    formes familiales (mutations génétiques)
   Plus récemment on a aussi pu impliquer des anomalies
    de porosité de la plèvre viscérale
   impt taux de récidive : 30 %. Ce risque atteint 62% au
    2eme épisode et 83% au 3ème. La majorité des
    récidives surviennent entre 6 mois et 2 ans après le
    1er épisode.
V- DIAGNOSTIC ETIOLOGIQUE :

5.2. Pneumothorax spontanés secondaires :

    ► Pneumopathies infectieuses :
          ● Bactériennes.
          ● Parasitaires.
    ► BPCO.
    ► Pneumopathies interstitielles diffuses.
    ► Néoplasies.
    ► Endométriose : pneumothorax cataménial.
    ► Autres.
► Pneumopathies infectieuses :

    ● Bactériennes :
         * Tuberculose pulmonaire :

   PNO résulte soit par rupture de cavernes sous-
    pleurales soit par séquelles para-ciactricielles.
   Le diagnostic est en règle facile devant des signes
    d’appel cliniques et radiologiques, confirmé par la
    présence des BAAR dans l’examen bactériologique des
    crachats.
► Pneumopathies infectieuses :

    ● Bactériennes :


      * Pneumopathies bactériennes nécrosantes :

   Le tableau clinique est souvent aigu
   La RX du thorax met en évidence une ou plusieurs
    cavités avec niveaux hydro aeriques.
► Pneumopathies infectieuses :

● Parasitaires :

* Pneumocystose (au cours du SIDA) :
 rupture intra pleurale de lésions parenchymateuses
   infectieuses excavées sous pleurales.
 Le tableau clinique est celui d’une pneumopathie aigue.

 Le diagnostic de certitude : pneumocystis jovecii dans
   le liquide du LBA.

* Hydatidose pulmonaire.
► BPCO :

   bronchites chroniques et surtout l’emphysème.
   dystrophies bulleuses qui peuvent secondairement se
    rompre dans la cavité pleurale.
   Le patient : tabagique chronique avec notion de toux
    productive.
   L’examen : un thorax distendu tympanique avec des
    rouchi ou des sibilants.
   La RX : raréfaction de la trame vasculaire et parfois
    des bulles d’emphysème et un aplatissement des
    coupoles diaphragmatiques.
   La spiromètrie affirme le TVO non réversible sous
    bronchodilatateurs.
► Pneumopathies interstitielles
diffuses:


 Sarcoïdose, silicose, histiocytose X,
 lymphangiogranulomatose….
► Néoplasies :


   Le pneumothorax peut être révélateur.

   Il est secondaire soit à la nécrose tumorale puis sa
    rupture secondaire dans la cavité pleurale, soit à la
    rupture d’un emphysème obstructif constitué en
    amont de la sténose tumorale.
► Endométriose : pneumothorax
cataménial :


   Survient dans les premières 24 heures des règles.
   Absence de symptômes en dehors de cette période.
   Prédominance du coté droit.
   Caractère récidivent.
► Autres :


   Crise d’asthme.
   Mucoviscidose.
   Infarctus pulmonaire.
   Maladie de wegner.
   Abcès sous phrénique.
VI- TRAITEMENT :


6.1. Buts :

         Enlever l’air de l’espace pleural.
         Prévenir les récidives.
VI- TRAITEMENT :

6.2. Moyens :
        a) moyens d'hygiène et médicamenteux :
 Repos strict au lit.
 Arrêt du tabac.
 Lutter contre la toux et la douleur

 Absence des efforts à glotte fermée
 Lutter contre la dyspnée et le choc.
 Prévenir les surinfections.

 Transfusion sanguine iso groupe iso rhésus.
 Une kinésithérapie, voire une fibro-aspiration en cas
  d’encombrement ou de trouble ventilatoire
VI- TRAITEMENT :


6.2. Moyens :

b) moyens instrumentaux et chirurgicaux :

 Exsufflation à l'aiguille de KUSS.
 Le drainage pleural.

 Symphyse pleurale.

 Thoracotomie
 Exsufflation à l'aiguille de
KUSS :

* sous anesthésie locale, après contrôle hémostase.
* aiguille à bout mousse (pour ne pas léser le poumon
 lors du retour à la paroi) ;
* 2e espace intercostal sur la ligne médioclaviculaire
 (LMC) ;
* aspiration (vide mural, pas plus de 30 minutes ou à la
 seringue) ;
* radiographie de thorax de contrôle au décours.
 Le   drainage pleural :

* anesthésie locale.
* asepsie chirurgicale.
* après bilan d’hémostase primaire.
* prémédication (atropine à disposition) et surveillance
 scopique (risque de malaise vagal).
* 2e EIC sur LMC ou 3-5e sur ligne médio-axillaire.
* Introduction d’un drain en haut et en avant.
* mise en aspiration douce à – 20 cm d’eau avec un
 système permettant de surveiller l’aspiration
 effective de l’air (bullage dans un bocal d’eau) et doté
 d’une valve anti-retour.
 Symphyse         pleurale :
éviter les récidives+++

 *Par talcage saupoudré dans la cavité pleurale sous
 contrôle de la vue en thoracoscopie, sous anesthésie
 locale, évite la récidive dans plus de 90% des cas.

 *Par méthode chimique : L’instillation de
 tétracyclines, on observe cependant une récidive
 après traitement dans 15 à 20% des cas.

 *Par abrasion mécanique : une abrasion des sommets
 ou une pleurectomie apicale, sous anesthésie générale
 par thoracoscopie évite les récidives dans 98% des
 cas.
   Thoracotomie:


    *suture de la fistule.
    *décortication pleurale.
    *une exérèse des brides.
    *une exérèse, si possible, des dystrophies bulleuses
    (analyse histologique systématique).
    *une biopsie pulmonaire en cas de doute sur une
    pathologie parenchymateuse sous-jacente.
VI- TRAITEMENT :


6.3. Indications :

   Le choix du traitement dépend :
         De la tolérance : importance du pneumothorax et
          état du poumon sous-jacent
         Du fait qu’il s’agit d’un 1er episode ou d’une
           récidive
         De la durée d’évolution.
         PNO controlatéral.
         Contexte spécifique du malade : profession ;
          souhaits de vie particuliers.
VI- TRAITEMENT :

6.3.1. Formes graves : Aucun retard au traitement+++

 a/Pneumothorax suffocant compressif
         Drainage d’emblée.
         Aiguille intrapleurale en solution d’attente.
 b/Pneumothorax bilatéral
         Drainage bilatéral.
 c/Hémopneumothorax
         Après correction du choc hémorragique,
  drainage avec deux drains (apical et basal).
         Si échec : chirurgie d’hémostase.
VI- TRAITEMENT :

6.3.2. Le 1er épisode de pneumothorax:

S’il est de volume < 20% et bien toléré,
   Repos strict pendant 48h

   Si échec, exsuflation à l’aiguille



S’il est de volume > 20% :
   Exsuflation à l’aiguille

   Si echec, drainage

   En cas de persistance du bullage au-delà de 4
      jours, thoracoscopie pour symphyse
VI- TRAITEMENT :

6.3.3. Poumon sous-jacent pathologique:
 
          Drainage systématique
VI- TRAITEMENT :

6.3.4. Récidive :

 1ère récidive touchant le poumon controlatéral :
 Indication formelle de symphyse chirurgicale
 d’emblée.

 1ère récidive touchant le poumon homolatéral :
 Nouveau drainage ou symphyse.

 2ème récidive touchant le poumon homolatéral :
 symphyse chirurgicale d’emblée.
VI- TRAITEMENT :

6.4. Surveillance – Résultats :
       Les éléments de surveillance :

   Clinique : signes fonctionnels, signes généraux, signes
    physiques.

   Rx thorax tous les jours.

 Oscillation et bullage du système d’aspiration en cas
  de drainage.
VI- TRAITEMENT :


6.4. Surveillance – Résultats :
                 Résultats :
 Retour du poumon à la paroi: Ttt bien conduit.
 La fin du bullage, en cas de drainage, traduit le
  colmatage de la brèche et l'évacuation de la totalité
  de l'épanchement gazeux;
 Le drain est dit "exclu" lorsque aucune oscillation
  n'est plus visible dans la colonne d'eau lors des
  mouvement respiratoires, ce qui traduit le retour du
  poumon à la paroi la paroi (ou drain bouché par un
  caillot!)
VI- TRAITEMENT :

6.5. Prévention:

 6.5.1. Prévention primaire :

     Arrêt du tabac
     Prévention et PEC correcte des
     causes de pneumothorax spontanés
     secondaires
VI- TRAITEMENT :

6.5. Prévention:

6.5.2. Prévention secondaire (Éviter les récidives) :

   arrêt du tabagisme.
   éviter les activités générant de grandes
   variations de pression intrathoracique :
         * le parachutisme ;
         * les instruments à vent.
         * la plongée sous-marine
   vie normale sinon (aucune contre-indication
    sportive notamment).
VI- TRAITEMENT :

6.5. Prévention:

      6.5.3. Prévention tertiaire :

             PEC des récidives.
VII. Conclusion :


   pathologie courante en pratique pneumologique.

   Les causes en sont multiples:la tuberculose++.

   Le diagnostic est clinique, conforté par la RX.

   Le traitement est fonction de la tolérance, de l’état
    du parenchyme sous-jacent, de l’existence ou non
    d’une récidive, et est multidisciplinaire (pneumologues,
    chirurgiens thoraciques, radiologues, réanimateurs).

Pneumothorax spontane

  • 1.
    PNEUMOTHORAX SPONTANE Dr.Henzazi Hind CES pneumologie 2éme année
  • 2.
    LE PNEUMOTHORAX SPONTANE PLAN: I-introduction: 1.1. définition. 1.2. intérêts. 1.3. rappel anatomo-physio-pathologiue. II- diagnostic positif: 2.1.TDD: pneumothorax spontané idiopathique généralisé du sujet jeune. 2.1.1.clinique:. 2.1.2.paraclinique: a- RX thorax. b- TDM thoracique. c- examen manométrique 2.13- évolution-complication- pronostic 2.2. formes cliniques: 2.1.1. formes selon la topographie. 2.1.2. formes graves.
  • 3.
    LE PNEUMOTHORAX SPONTANE PLAN: III-diagnostic de gravité: 3.1. signes d’insuffisance respiratoire aigue. 3.2. signes de choc hémodynamique. 3.3. signes de compression. IV- diagnostic différentiel: 4.1. avant la RX. 4.2. à la RX. V- diagnostic étiologique: 5.1. pneumothorax spontané primaire. 5.2. pneumothorax spontané secondaire. VI- traitement: 6.1. buts. 6.2. moyens. 6.3. indications. 6.4. surveillance- résultats. 6.5. prévention. VII- conclusion.
  • 4.
    I- INTRODUCTION: 1.1. définition: Épanchement gazeux de la grande cavité pleurale libre ou cloisonné en dehors de tout traumatisme ou de manœuvre instrumentale.  Exclus: - Plaie de la poitrine et les traumatismes du thorax. - Pneumothorax iatrogène.  Pneumothorax généralisé ou total /partiel ou localisé.
  • 5.
    I- INTRODUCTION: 1.2. Intérêts:  Pathologie courante.  Diagnostic aisé par la clinique.  urgence médicochirurgicale.  étiologie tuberculeuse+++  récidives fréquentes : 25% à 2 ans et 50% à 6ans  PEC multidisciplinaire.
  • 6.
    I- INTRODUCTION: 1.3. Rappelanatomo-physio-pathologique : - La plèvre: 2feuillets .Feuillet viscéral .Feuillet pariétal - La cavité pleurale - Dépression intra-pleurale
  • 7.
    I- INTRODUCTION 1.3. Rappelanatomo-physio-pathologique:  Brèche pleurale.  Décollement du poumon à la paroi.  Troubles ventillatoires.
  • 10.
    la fistule bronchopleurale peut être :  ouverte : poumon cavité pleurale à chaque mouvement respiratoire. Équilibre entre pressions pleurales et intra bronchiques. PNO chronique.  à soupape : air vers cavité pleurale à chaque inspiration, PNO massifs.  fermée : après passage air fermeture fistule - résorption progressive: PNO minimes et stables.
  • 12.
    II- DIAGNOSTIC POSITIF: 2.1.TDD: PNEUMOTHORAX SPONTANE IDIOPATHIQUE GENERALISE DU SUJET JEUNE. 2.1.1. clinique: a- interrogatoire: absence de pathologie respiratoire connue. facteur déclenchant. tabagisme. début brutal par:  douleur thoracique.  dyspnée.  toux
  • 13.
    Douleur thoracique: ● maîtresymptôme ● apparition brutale. ● Intensité variable : douleur intense ● type: coup de poignard comme un coup de tonnerre dans un ciel serein, parfois point de côté. ● peut être fugace (PNO minimes). ● Siège variable : latérothoracique homolatérale à l’épanchement++, sous mammelonnaire, axillaire, scapulaire, abdominale. ● aggravée par l’inspiration profonde, la toux et l’effort à glotte fermée (toux, éternuement, défécation…)
  • 14.
    Dyspnée: ● installation brutale. ●polypnée superficielle. ● intensité variable: minime, modérée, ou majeure devenant angoissante asphyxiante dans les épanchements gazeux de grande abondance. ● aggravée par la douleur, l’effort, les changements de position et l’inspiration profonde. ● Atténuée par le repos et le décubitus latéral du coté opposé à l’épanchement
  • 15.
    Toux: ● Inconstante. ● installationbrutale, mais peut être progressive. ● sèche, quinteuse, rebelle, pénible, douloureuse et gênante. ● Sans horaire particulier. ● Déclenchée par les changements de position. ● Elle aggrave la douleur et la dyspnée.
  • 16.
    b- examen physique b.1. examen général: fonction de la tolérance. fièvre peu élevée autour de 38 °C++. formes graves: signes de choc et d’asphyxie : ▪ Malade immobile, anxieux. ▪ Visage pâle, couvert de sueurs, cyanose péribuccale. ▪ Respiration rapide, courte et superficielle. ▪ TA basse, pincée, difficile à prendre.
  • 17.
    b- l’examen physique : b-2-examen pleuro pulmonaire :  inspection : l'hémithorax distendu + diminution de l'ampliation thoracique  palpation: abolition VV.  percussion: tympanisme  auscultation: abolition MV + Sd amphoro-métallique: - souffle amphorique - tintement métallique de lænnec - retentissement métallique des bruits thoraciques - bruit d’airain de trousseau
  • 18.
    b- l’examen physique : b-2- examen pleuro pulmonaire : Trépied de Gaillard :  abolition des VV.  tympanisme.  abolition MV.
  • 19.
    b- l’examen physique : b-3-examen des autres appareils : appareil cardiovasculaire+++ signes de refoulement:déplacement du choc de pointe et de l’aire de matité cardiaque vers le côté controlatéral
  • 20.
    2.1.2- PARACLINIQUE : a- RXdu thorax :  clichés de face et de profil en inspiration profonde.  RX de thorax de face en expiration forcée un  : ● épanchements minimes. ● La surveillance évolutive :total retour du poumon à la paroi.
  • 21.
    a- RX duthorax :  Apports :  Affirmer le pneumothorax.  Définir le caractère complet ou incomplet du pneumothorax  Estimer la taille de l’épanchement.  Analyser le parenchyme pulmonaire sous-jacent et du coté opposé.  Suivre l’évolution : retour du poumon à la paroi.
  • 22.
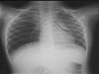
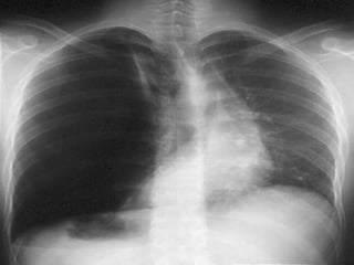
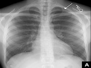
    a- RX duthorax :  Résultats : Confirmation : Hyperclareté homogène, avasculaire, périphérique, Moignon hyperdense rétracté sur le hile, Distension des EIC et une netteté anormale des cotes. Plèvre viscérale :fin liseré opaque net comme tracé au crayon.
  • 24.
    a- RX duthorax : Définition du caractère complet :  PNO complet: décollement de tout le poumon, quelle que soit l’importance de l’épanchement.  PNO incomplet: décollement partiel du poumon (sommet++).
  • 25.
    a- RX duthorax : Appréciation de la taille du pneumothorax :   mesure de la distance séparant la ligne bordante du sommet : < ou = 3 cm : Faible abondance. > 3 cm : moyenne ou forte abondance.  L’idéal : volume du pneumothorax exprimé en %. V = 1 – (B3/A3)*100.
  • 26.
    a- RX duthorax : Signes radiologiques associés : * hydro pneumothorax. *h hcœur et du médiastin refoulés. * Anomalies parenchymateuses homo ou controlatérales. * Un aspect de petit cœur dans les formes bilatérales.
  • 30.
    b- la tomodensitométriethoracique :  non nécessaire au diagnostic.  diagnostic étiologique et discussion d’un geste thérapeutique radical++.  risque de récidive en précisant: le nombre, le volume et la topographie des bulles.
  • 32.
    C- Examen manométrique  pression de gaz (manomètre à eau): les trois éventualités sus-citées sont possibles :  fistule fermée ou plutôt refermée: pression négative- soustraction d'air l'abaisse davantage.  fistule restée longuement ouverte : pression = P alvéolaire, non modifiée par adjonction ou retrait d'air.  pneumothorax à soupape: pression fortement positive, augmentée avec l'inspiration, retrait d'air ne l'abaisse que temporairement.  Ces signes manométriques donnent déjà une idée sur l'évolution.
  • 33.
    2.1.3. Évolution - Complications- Pronostic : a- Rétrocession spontanée. b- pneumothorax suffocant. c- pneumothorax récidivant. d- l'hydro pneumothorax. e- passage à la chronicité.
  • 34.
    2.1.3. Évolution - Complications- Pronostic : a- Rétrocession spontanée: PNO à fistule fermée++ . résorption de l’air et ré-expansion pulmonaire en quelques heures, jours ou semaines. Parfois aidée par une exsufflation.
  • 35.
    2.1.3. Évolution - Complications- Pronostic : b- pneumothorax suffocant : fistule à soupape avec pression pleurale positive. cliniques : détresse cardio-respiratoire. RX : PNO massif avec refoulement majeur du médiastin. Drain pleural = urgence mais la simple pose d’une aiguille intra pleurale décomprimant l’épanchement gazeux permet parfois de passer un cap critique.
  • 37.
    2.1.3. Évolution - Complications- Pronostic : C- pneumothorax récidivant: ce sont les pneumothorax guérissant le mieux qui sont plus sujets à des récidives. Le risque de récidive est de 25% dans les 2 ans et de 50% dans les 6 ans.
  • 38.
    2.1.3. Évolution - Complications- Pronostic : d- l'hydro pneumothorax : contexte fébrile avec deux signes physiques : - matité de la base séparée par un niveau horizontal d'une sonorité sus jacente. - succussion hippocratique. RX confirme le double épanchement. La ponction pleurale: liquide.
  • 39.
    2.1.3. Évolution - Complications- Pronostic : e- passage à la chronicité:  absence de fermeture de la brèche  épaississement de la plèvre viscérale réalisant une pachypleurite qui s'oppose à la ré-expansion du poumon. évolution pendant des mois.
  • 40.
    2.2. FORMES CLINIQUES : 2.2.1.Formes selon la topographie : a. Pneumothorax spontané partiel ou localisé :  fréquent et bien toléré.  SF: douleur thoracique fugace.  Les signes RX discrets et un cliché thoracique (normal?)  cliché en expiration forcée  Selon la topographie, on peut distinguer les :  pneumothorax axillaire  pneumothorax apicaux  pneumothorax interlobaires  pneumothorax médiastinaux
  • 43.
    2.2.1. Formes selonla topographie : b. Pneumothorax avec pneumomédiastin : rare. rupture d’une bulle au contact du pédicule pulmonaire. suspecté devant un emphysème sous-cutané débutant à la bas du cou  RX++. évolution est souvent simple.
  • 46.
    2.2.2. Formes graves • Pneumothorax bilatéral ou sur poumon unique.  b. Pneumothorax sur poumon pathologique (BPCO++). c. Pneumothorax sur cardiopathie sous-jacente. d. Hémopneumothorax. e. Pneumothorax suffocant.
  • 47.
    a- Pneumothorax bilatéralou sur poumon unique : Rarissime mais responsable d’un syndrome asphyxique majeur. Souvent diagnostic post-mortem.
  • 48.
    b. Pneumothorax surpoumon pathologique (BPCO++): graves  tableau clinique sévère: insuffisance respiratoire aigue.  insuffisance respiratoire chronique pré-éxistante (emphysémateux+).  Même si PNO minime  déséquilibrer un état limite surtout par l'encombrement bronchique qu'il provoque.  Toute IRA chez un broncho-pneumopathe doit faire systématiquement évoquer PNO  Tout PNO reconnu chez un broncho-pneumopathe chronique  unité spécialisée en urgence pour drainage
  • 49.
    c. Pneumothorax surcardiopathie sous-jacente : mal toléré décompensation de la cardiopathie sous jacente.
  • 50.
    d. Hémopneumothorax :  rupture de bride.  Clinique : aux signes PNO+ épanchement liquidien + hémorragie interne.  La RX : opacité basale avec niveau horizontal surmonté d’une clarté  La ponction : sang pur incoagulable.  La pose d’un drain aspiratif, le contrôle de la volémie par transfusion et le transfert à proximité d’un centre de chirurgie thoracique sont les premiers éléments thérapeutiques.  La persistance du saignement au delà de 12 h nécessite une thoracotomie d’urgence d’hémostase.
  • 51.
    III- DIAGNOSTIC DEGRAVITE : Les signes de mauvaise tolérance sont à rechercher systématiquement avant même la pratique d’une radiographie du thorax, car la clinique seule peut suffire à poser le diagnostic. 3.1. Signes d'insuffisance respiratoire aigue. 3.2. les signes de choc hémodynamique. 3.3. Les signes de compression.
  • 52.
    III- DIAGNOSTIC DEGRAVITE : 3.1. Signes d'insuffisance respiratoire aigue : 3.1.1. Signes respiratoires: ●Dyspnée ●Cyanose ●Usage des muscles respiratoires accessoires ●Respiration abdominale paradoxale ●SaO2 < 90% 3.1.2. Signes cardiovasculaires : ●Tachycardie >110 bats/min ●Hypotension ●Troubles du rythme ●Marbrures ●OMI
  • 53.
    3.1. Signes d'insuffisancerespiratoire aigue : 3.1.3. Signes neurologiques : ●Agitations ●Confusions ●Obnibulation ●Astérixis ●Coma 3.1.4. Signes gazométriques ●Hypoxémie < 55mmHg ●Hypercapnie > 45mmHg ●Acidose respiratoire.
  • 54.
    III- DIAGNOSTIC DEGRAVITE : 3.2. les signes de choc hémodynamique : (En cas d’hémopneumothorax)  Tachycardie avec un pouls rapide filant  Hypotension artérielle avec une différentielle pincée  Pâleur des muqueuses  Sueurs
  • 55.
    III- DIAGNOSTIC DEGRAVITE : 3.3. Les signes de compression : Ils sont surtout liés au pneumothorax à soupape ou à clapet.  TVJ.  Un pouls paradoxal.  Une distension thoracique.  Un emphysème sous cutané.  RX: refoulement plus ou moins important du médiastin au coté opposé.
  • 56.
    IV- DIAGNOSTIC DIFFERENTIEL : 4.1.Avant la radio :  OAP.  Embolie pulmonaire.  Pleurésies massives de constitution rapide.  L’infarctus du myocarde.  L’asthme.  Autres : péricardite, dissection aortique….
  • 57.
     OAP:  En faveur : Début brutal, Dyspnée, toux.  En défaveur : Absence d’ATCD de cardiopathie, Absence d’orthopnée, position antalgique, syndrome d’épanchement gazeux pleural, absence de râles en marée montante.
  • 58.
     Embolie pulmonaire :  En faveur : Début brutal, douleur thoracique, dyspnée, la toux.  En défaveur : Absence de circonstances favorisantes d’une MTEV, absence de signes de thrombophlébite, présence d’un syndrome d’épanchement gazeux pleural.
  • 59.
     Pleurésies massivesde constitution rapide :  En faveur : Début brutal, douleur thoracique, toux, dyspnée.  En défaveur : position antalgique, syndrome d’épanchement gazeux, ponction ne ramène pas de liquide.
  • 60.
     L’infarctus dumyocarde :  En faveur : début brutal, douleur thoracique, dyspnée.  En défaveur : absence de FR cardiovasculaires, présence d’un syndrome d’épanchement gazeux, absence d’anomalies évocatrices à l’ECG.
  • 61.
     L’asthme :  En faveur : début brutal, dyspnée.  En défaveur : absence de râles sibilants, présence d’un syndrome d’épanchement gazeux, classiquement le dyspnée dans l’asthme est expiratoire, absence de prodromes.
  • 62.
     Autres : péricardite, dissection aortique….
  • 63.
    IV- DIAGNOSTIC DIFFERENTIEL : 4.2.A la radio :  Les kystes aériens sont à éliminer devant: l'absence de moignon collabé, l'existence de parenchyme autour du kyste et le contour polycyclique du kyste.  Le diagnostic différentiel des PNO localisés pose des problèmes plus difficiles avec :  bulles d'emphysème.  cavités pulmonaires.
  • 64.
    V- DIAGNOSTIC ETIOLOGIQUE : 5.1.Pneumothorax spontané idiopathique:  sujets jeunes (20 à 40 ans) et longilignes.  tabagisme = facteur de risque (dose dépendant).  D’autres facteurs de risque : variations de P atmosphérique, temps orageux, cycle lunaire et l’exposition à des sons intenses (musique techno), formes familiales (mutations génétiques)  Plus récemment on a aussi pu impliquer des anomalies de porosité de la plèvre viscérale  impt taux de récidive : 30 %. Ce risque atteint 62% au 2eme épisode et 83% au 3ème. La majorité des récidives surviennent entre 6 mois et 2 ans après le 1er épisode.
  • 65.
    V- DIAGNOSTIC ETIOLOGIQUE : 5.2.Pneumothorax spontanés secondaires : ► Pneumopathies infectieuses : ● Bactériennes. ● Parasitaires. ► BPCO. ► Pneumopathies interstitielles diffuses. ► Néoplasies. ► Endométriose : pneumothorax cataménial. ► Autres.
  • 66.
    ► Pneumopathies infectieuses : ● Bactériennes : * Tuberculose pulmonaire :  PNO résulte soit par rupture de cavernes sous- pleurales soit par séquelles para-ciactricielles.  Le diagnostic est en règle facile devant des signes d’appel cliniques et radiologiques, confirmé par la présence des BAAR dans l’examen bactériologique des crachats.
  • 67.
    ► Pneumopathies infectieuses : ● Bactériennes : * Pneumopathies bactériennes nécrosantes :  Le tableau clinique est souvent aigu  La RX du thorax met en évidence une ou plusieurs cavités avec niveaux hydro aeriques.
  • 68.
    ► Pneumopathies infectieuses : ●Parasitaires : * Pneumocystose (au cours du SIDA) :  rupture intra pleurale de lésions parenchymateuses infectieuses excavées sous pleurales.  Le tableau clinique est celui d’une pneumopathie aigue.  Le diagnostic de certitude : pneumocystis jovecii dans le liquide du LBA. * Hydatidose pulmonaire.
  • 69.
    ► BPCO :  bronchites chroniques et surtout l’emphysème.  dystrophies bulleuses qui peuvent secondairement se rompre dans la cavité pleurale.  Le patient : tabagique chronique avec notion de toux productive.  L’examen : un thorax distendu tympanique avec des rouchi ou des sibilants.  La RX : raréfaction de la trame vasculaire et parfois des bulles d’emphysème et un aplatissement des coupoles diaphragmatiques.  La spiromètrie affirme le TVO non réversible sous bronchodilatateurs.
  • 70.
    ► Pneumopathies interstitielles diffuses: Sarcoïdose, silicose, histiocytose X, lymphangiogranulomatose….
  • 71.
    ► Néoplasies :  Le pneumothorax peut être révélateur.  Il est secondaire soit à la nécrose tumorale puis sa rupture secondaire dans la cavité pleurale, soit à la rupture d’un emphysème obstructif constitué en amont de la sténose tumorale.
  • 72.
    ► Endométriose : pneumothorax cataménial :  Survient dans les premières 24 heures des règles.  Absence de symptômes en dehors de cette période.  Prédominance du coté droit.  Caractère récidivent.
  • 73.
    ► Autres :  Crise d’asthme.  Mucoviscidose.  Infarctus pulmonaire.  Maladie de wegner.  Abcès sous phrénique.
  • 74.
    VI- TRAITEMENT : 6.1. Buts:  Enlever l’air de l’espace pleural.  Prévenir les récidives.
  • 75.
    VI- TRAITEMENT : 6.2. Moyens : a) moyens d'hygiène et médicamenteux :  Repos strict au lit.  Arrêt du tabac.  Lutter contre la toux et la douleur  Absence des efforts à glotte fermée  Lutter contre la dyspnée et le choc.  Prévenir les surinfections.  Transfusion sanguine iso groupe iso rhésus.  Une kinésithérapie, voire une fibro-aspiration en cas d’encombrement ou de trouble ventilatoire
  • 76.
    VI- TRAITEMENT : 6.2. Moyens : b)moyens instrumentaux et chirurgicaux :  Exsufflation à l'aiguille de KUSS.  Le drainage pleural.  Symphyse pleurale.  Thoracotomie
  • 77.
     Exsufflation àl'aiguille de KUSS : * sous anesthésie locale, après contrôle hémostase. * aiguille à bout mousse (pour ne pas léser le poumon lors du retour à la paroi) ; * 2e espace intercostal sur la ligne médioclaviculaire (LMC) ; * aspiration (vide mural, pas plus de 30 minutes ou à la seringue) ; * radiographie de thorax de contrôle au décours.
  • 79.
     Le drainage pleural : * anesthésie locale. * asepsie chirurgicale. * après bilan d’hémostase primaire. * prémédication (atropine à disposition) et surveillance scopique (risque de malaise vagal). * 2e EIC sur LMC ou 3-5e sur ligne médio-axillaire. * Introduction d’un drain en haut et en avant. * mise en aspiration douce à – 20 cm d’eau avec un système permettant de surveiller l’aspiration effective de l’air (bullage dans un bocal d’eau) et doté d’une valve anti-retour.
  • 80.
     Symphyse pleurale : éviter les récidives+++ *Par talcage saupoudré dans la cavité pleurale sous contrôle de la vue en thoracoscopie, sous anesthésie locale, évite la récidive dans plus de 90% des cas. *Par méthode chimique : L’instillation de tétracyclines, on observe cependant une récidive après traitement dans 15 à 20% des cas. *Par abrasion mécanique : une abrasion des sommets ou une pleurectomie apicale, sous anesthésie générale par thoracoscopie évite les récidives dans 98% des cas.
  • 82.
    Thoracotomie: *suture de la fistule. *décortication pleurale. *une exérèse des brides. *une exérèse, si possible, des dystrophies bulleuses (analyse histologique systématique). *une biopsie pulmonaire en cas de doute sur une pathologie parenchymateuse sous-jacente.
  • 83.
    VI- TRAITEMENT : 6.3. Indications :  Le choix du traitement dépend :      De la tolérance : importance du pneumothorax et état du poumon sous-jacent      Du fait qu’il s’agit d’un 1er episode ou d’une récidive      De la durée d’évolution.      PNO controlatéral.      Contexte spécifique du malade : profession ; souhaits de vie particuliers.
  • 84.
    VI- TRAITEMENT : 6.3.1. Formesgraves : Aucun retard au traitement+++ a/Pneumothorax suffocant compressif  Drainage d’emblée.  Aiguille intrapleurale en solution d’attente. b/Pneumothorax bilatéral  Drainage bilatéral. c/Hémopneumothorax  Après correction du choc hémorragique, drainage avec deux drains (apical et basal).  Si échec : chirurgie d’hémostase.
  • 85.
    VI- TRAITEMENT : 6.3.2. Le1er épisode de pneumothorax: S’il est de volume < 20% et bien toléré,  Repos strict pendant 48h  Si échec, exsuflation à l’aiguille S’il est de volume > 20% :  Exsuflation à l’aiguille  Si echec, drainage  En cas de persistance du bullage au-delà de 4 jours, thoracoscopie pour symphyse
  • 86.
    VI- TRAITEMENT : 6.3.3. Poumonsous-jacent pathologique:    Drainage systématique
  • 87.
    VI- TRAITEMENT : 6.3.4. Récidive : 1ère récidive touchant le poumon controlatéral : Indication formelle de symphyse chirurgicale d’emblée. 1ère récidive touchant le poumon homolatéral : Nouveau drainage ou symphyse. 2ème récidive touchant le poumon homolatéral : symphyse chirurgicale d’emblée.
  • 88.
    VI- TRAITEMENT : 6.4. Surveillance– Résultats : Les éléments de surveillance :  Clinique : signes fonctionnels, signes généraux, signes physiques.  Rx thorax tous les jours.  Oscillation et bullage du système d’aspiration en cas de drainage.
  • 89.
    VI- TRAITEMENT : 6.4. Surveillance– Résultats : Résultats :  Retour du poumon à la paroi: Ttt bien conduit.  La fin du bullage, en cas de drainage, traduit le colmatage de la brèche et l'évacuation de la totalité de l'épanchement gazeux;  Le drain est dit "exclu" lorsque aucune oscillation n'est plus visible dans la colonne d'eau lors des mouvement respiratoires, ce qui traduit le retour du poumon à la paroi la paroi (ou drain bouché par un caillot!)
  • 90.
    VI- TRAITEMENT : 6.5. Prévention: 6.5.1. Prévention primaire :  Arrêt du tabac  Prévention et PEC correcte des causes de pneumothorax spontanés secondaires
  • 91.
    VI- TRAITEMENT : 6.5. Prévention: 6.5.2.Prévention secondaire (Éviter les récidives) :  arrêt du tabagisme.  éviter les activités générant de grandes variations de pression intrathoracique : * le parachutisme ; * les instruments à vent. * la plongée sous-marine  vie normale sinon (aucune contre-indication sportive notamment).
  • 92.
    VI- TRAITEMENT : 6.5. Prévention: 6.5.3. Prévention tertiaire : PEC des récidives.
  • 93.
    VII. Conclusion :  pathologie courante en pratique pneumologique.  Les causes en sont multiples:la tuberculose++.  Le diagnostic est clinique, conforté par la RX.  Le traitement est fonction de la tolérance, de l’état du parenchyme sous-jacent, de l’existence ou non d’une récidive, et est multidisciplinaire (pneumologues, chirurgiens thoraciques, radiologues, réanimateurs).