ASPERGILLOSE
BRONCHO-PULMONAIRE
     ALLERGIQUE

           Dr HENZAZI hind.
           CES pneumologie 3ème Année
           CHU Fonn Dakar
PLAN
I- INTRODUCTION :
   1-1- Définitions.
   1-2- Intérêts.
   1-3- Rappels.

II- PHYSIOPATHOLOGIE :
  2-1- Agent pathogène.
  2-2- Physiopathologie proprement dite.
III- DIAGNOSTIC POSITIF :
   3-1- TDD : ABPA de l’adulte jeune
        asthmatique.
   3-2- Formes cliniques.

IV- DIAGNOSTIC DIFFERENTIEL.

V- TRAITEMENT.

VI- CONCLUSION.
I-INTRODUCTION
1-1- Définitions:


 ABPA ou maladie de HINSON & PEPYS est
 une pneumopathie d’hypersensibilité induite
 par la colonisation trachéo-bronchique par une
 moisissure opportuniste : Aspergillus.

 Aspergillus fumigatus +++

 Asthme +++, mucoviscidose.
PNEUMOPATHIES D'HYPERSENSIBILITÉ
sont des pneumopathies de mécanisme
immunoallergique complexe, à médiation humorale
et surtout cellulaire, dues à l'inhalation chronique
de substances antigéniques le plus souvent
organiques et parfois chimiques.
   Immunité à médiation humorale : se fait par les
    lymphocytes B, qui au contact d'un Ag, se
    différencient en plasmocytes, cellules capables
    de fabriquer des AC spécifiques de l‘Ag.

   Immunité à médiation cellulaire : se fait par les
    lymphocytes T capables de détruire directement
    des cellules lorsqu'elles sont infectées par l’Ag.
1-2- Intérêts:

   Sujet d’actualité.

   Pathologie rare mais qui doit être bien connue des
    allergologues (asthmatiques +++).

   Pathologie complexe, de mécanisme physiopathologique
    multiple.
1-2- Intérêts:
   Dic univoque, reposant sur des critères majeurs et
    mineurs en utilisant un faisceau d’arguments cliniques,
    biologiques et Rx.

   Difficultés Dic induisent une sous-estimation des
    formes invasives dont la mortalité, en particulier sous
    les tropiques, se situe entre 50 et 100%.

   Réels progrès grâce à TDM thoracique et nouvelles
    méthodes de Dic mycologique.
1-2- Intérêts:

   Dic et Ttt précoce dès les formes mineures, pour
    prévenir les formes plus sévères.
1-3- Rappel historique :
       Tige garnie de touffes
           de poil, dont on se sert,
 MICHELLI (1729) :
            dans les cérémonies de
             l’église pour asperger
Attribution du nom bénite
                   l’eau
Aspergillus à ces
moisissures : ressemblance
avec le goupillon
qui se prénomme
aspergillus en latin.
    LINK (1809) : Découverte
    d’Aspergillus glaucus ,
    et description des 1ères
    formes sexuées.



SLUYTER (1847) : 1èr cas
d’aspergillose chez l’homme.
   BRISTOWE (1854) : 1èr cas d’aspergillome.




   VIRSHOW (1856) : 1ère description anapath
    des lésions.
   HINSON (1952) :
    Description clinique
    de l’ABPA.



    PEPYS (1959) :
    AC précipitants.
   DROUHET (1961) : Rôle de l’amphotéricine B
    dans le Ttt des mycoses profondes.



   1973 : Classification anatomo-clinique avec
    distinction de 3 entités : l’Aspergillome,
    l’Aspergillose invasive et ABPA.
1-3- Rappel épidémiologique :
   Asthme :
          Rare chez enfant : < 1%
          Adulte de 30-40 ans : 2-8%
          cortico-dépendant : 7- 14%

   Mucoviscidose :
           Adolescent et adulte : 6-25%
1-3- Rappel épidémiologique :

   5 à 10% de patients atteints d’un asthme cortico-
    dépendant aux USA, correspondraient à une ABPA.
1-3- Rappel épidémiologique :

   Dans une étude plus récente, 21.6% des asthmatiques
    parmi 255 patients sont sensibilisés à A.fumigatus, parmi
    ces derniers 25.7% réunissent les critères d’une ABPA.
II- PHYSIOPATHOLOGIE
2-1- Agent pathogène:
CLASSIFICATION


 Aspergillus : champignon filamenteux.

 Eucaryote appartenant au :
       Règne : mycètes.
       Classe : ascomycètes.
       Ordre : plectomycètes.
       Famille : aspergillacae.
Plusieurs espèces :

           Aspergillus fumigatus +++.

           Aspergillus flavus.

           Aspergillus niger.


           Aspergillus nidulans, versicolor   …
RESERVOIR

   Champignon saprophyte ubiquiste:
         ○ Extérieur et intérieur des habitations
         ○ Sol.
         ○ Plantes.
         ○ Graines.
         ○ Bois.
         ○ Composte.
         ○ Coton.
         ○ Vêtements.
         ○ Climatiseurs.
         ○ Eau   …
STRUCTURE


Mycélium (hyphes) formé de filaments de taille
régulière, de 4µm de diamètre, avec des ramifications
dichotomiques à angle aigu.

Filaments dits conidiophores (stipes) se terminant par
une vésicule de forme globuleuse sphérique de taille
variable.
Autour de la vésicule, sont disposées une ou plusieurs
    rangées de phialides, à l’intérieur desquelles naissent
    des spores ou phialospores.

    Phialides sont pfs portées par des métules et
    recouvrent tte vésicule ou seulmt la partie sup.

    L’ensemble : tête aspergillaire.

   Chaque tête peut relarguer jusqu’à 10 spores.
SPORES

METULES

VESICULE



CONIDIOP
HORE
A. Fumigatus
A. Fumigatus
A. Fumigatus
A. Flavus
A. flavus
A. Nidulans
A. Nidulans
A. Niger
A. Niger
A. glaucus
A. Terreus
PROPAGATION
   LOCALE :
     - Croissance centrifuge des filaments.
     - Limitée.

   A DISTANCE :
     - Spores entraînées au loin (vent, animaux, moyens
        de transport….)
      - Nouvelle colonie à distance.
CARACTERISTIQUES

   Diamètre de spores : 2 à 3 µm.

   Grande longueur des filaments.

   Croissance très rapide :
        5 à 7 jours dans une T° de 25 à 37°C.

   Thermophile : pousse jusqu’à 55°C et survit jusqu’à
    70°C.
Adhérence à la mb basale (via fibrinogène, laminine,
fibronectine, etc…)

Production de toxines : fumagilline, fumitoxine.

Tropisme vasculaire.
2-2- Physiopathologie proprement
    dite :
  MODE DE CONTAMINATION
    VOIE AÉRIENNE +++
     - Bronches et alvéoles.
     - Diffusion éventuelle aux organes profonds.

    VOIE CUTANEE :
      - Brûlure, plaie, geste invasif……


           Pas de contagion interhumaine
ABPA
Permeabilité Vx.
Contraction muscle
       lisse.
  Activation PNE
III- DIAGNOSTIC POSITIF
3-1- TDD : ABPA de l’adulte
     jeune asthmatique :
3-1-1- clinique : tableau d’asthme à
dyspnée continue fébrile :
   Interrogatoire :

- Asthme svt ancien corticodependant, avec des crises de
    plus en plus sévères.
- Terrain atopique, personnel ou familial.
- Polysensibilisation aux pneumallergènes habituels.
- Profession à risque.
- Travaux récents dans l’habitation ou au voisinage.
- ATCD familiaux d’ABPA.
- Autres ATCD personnels ou familiaux.
- Signes fonctionnels.
   Signes fonctionnels :

o   Dyspnée :

    - Bradypnée expiratoire.
    - D’installation et d’aggravation progressive.
    - Continue.
    - Intensité : périmètre de marche et FR.
    - Facteurs déclenchants.
o   Toux :

    - D’apparition progressive.
    - Sans horaire particulier.
    - Quinteuse.
    - Sèche au début, devenant par la suite
      productive.
o   Expectoration :

    - Signe très évocateur.

    - Moules bronchiques brins : véritables bouchons
      mycéliens caoutchoutés contenant des PNE,
      protéines et des hyphes aspergillaires.

    - Parfois il s’agit de bronchorrhées.
Bouchon muco-inflammatoire obstruant les VAD
        chez un patient décédé d’ABPA
o   Douleurs thoraciques.

o   Hémoptysie.
 Signes       généraux :

o   Fièvre :    poussée fébrile chez un asthmatique, non
    expliquée par une infection à germe banal, doit faire
    évoquer le diagnostic.


o   Asthénie, anorexie, amaigrissement.
 Signes      physiques :

o   Examen pleuro pulmonaire :
Râles sibilants, ronflants, crépitants…


o   Examen des autres appareils :
Autres manifestations allergiques.
3-1-2- para clinique :
3-1-2-1- Imagerie thoracique :
      Radiographie thoracique.
      TDM thoracique.



3-1-2-2- Biologie.

3-1-2-3- EFR.

3-1-2-4- fibroscopie bronchique.
IMAGERIE THORACIQUE
 RX thorax ( face + profil) :
   IMAGES LABILES :

    - infiltrat parenchymateux hétérogène, ou péri hilaire
      pouvant simuler des ADP.

    - opacité systématisée rétractile lobaire ou
      segmentaire, uni ou bilatérale, par bouchon muqueux.

    - impaction mucoîde : bronchectasies pleines avec
      aspect en doigt de gant
Infiltrat hétérogène
Opacité systématisée au LSD rétractile
DDB pleines en doigt de gant   Après Ttt corticoïde
 RX thorax ( face + profil) :
   IMAGES PERMANANTES :

    - bronchectasies proximales : opacités kystiques ou
      en rails, volontiers volumineuses.
Dilatation des bronches kystique bilatérale
 RX thorax ( face + profil) :

   IMAGES TARDIVES : variées et non spécifiques.

    - Structures cavitaires.
    - Emphysème localisé.
    - Rétraction des lobes supérieurs.
    - Fibrose pulmonaire : aspect en nid d’abeille.
    - Pneumothorax ou pleurésie.
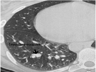
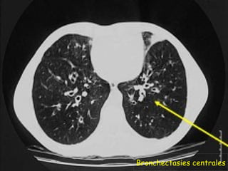
 TDM thoracique :

   Examen de référence pour mev des DDB proximales
    (critère majeur de Dic) et des impactions mucoides .

   Permet de voir les images associées : infiltrats
    labiles, atélectasies, aspect d’emphysème.

   Plus sensible et plus précoce pour Dic des fibroses
    pulmonaires.
Bronchectasies centrales
Impactions mucoides
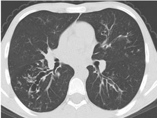
DDB cylindriques et kystiques proximales prédominant aux
lobes sup, avec trbles ventilatoires et bronchomucocèles.
Bouchon muqueux dans des      Disparition des bronchocèles
bronchectasies proximales.    après drainage.
Bronchocèles avec aspect en
« doigt de gants ».
Série B – Cas n°1




Rayon de Miel




                 Évolution vers fibrose avec
 Rayon de Miel   aspect en « rayon de miel »
                 dans les régions périphériques
                 sous-pleurales,associé à des
                 épaississements septaux.
BIOLOGIE
 NFS :

 Hyper éosinophilie constante dans les
 exacerbations > 1000 élmt/mm3.

 Peut être masquée par : infection, cortico.

 Sans spécificité.

 Autres causes : mldies de système, parasitoses,
 mdcts, asthme.
 Diagnostic immunologique :
   Tests cutanés allergologiques :

    PRINCIPE

     Reproduction, à très pte échelle et au niveau de la
     peau du patient de la R° allergique type I.

     Réactivité des mastocytes.
Production d’un :

        Oedème.
        Érythème.     Triade de Lewis
        Papule.

  Début de la R° : 5 min.
  Max : 10 à 20 min.
MATERIEL


Trousse d’urgence +++

Aiguille spéciale, standardisée (Morrow Brown,
Allerbiopointe, Stallerpointe…)

Batterie d’allergènes : allergènes Asp f2, f4, f6.
PRECAUTIONS

A distance de prise d’antihistaminique.
     (1 sem à 15 j pour Kétotiféne)

A distance de prise d’antidépresseur ou sédatifs.
     (4 jours)

A distance pour corticothérapie.
     ( 4 j si dose > à 15 mg/j)

CI des bêtabloquants.
TECHNIQUE


  Piqûre dans le derme d’une
faible qtité d’allergène asp.

  Face ant de l’avant bras.

  3cm entre chaque test.


                              Témoins POSITIF et NEGATIF
LECTURE


Après 15 minutes .

Après 6 à 8 heures.

Test positif si :
 - Triade de LEWIS : papule, érythème, prurit
 - Diamètre moyen de la papule égal ou > à la
    ½ du diamètre de la papule du témoin.
● Dosage des IgE sériques totales :


 Peuvent persister plusieurs mois dans tissus.

 ½vie plasmatique brève : 2,4 j.

 Dosage : méthode radioimmunologique,
 immunoenzymatologique.

 Concentration sérique faible : 50-100 ng/ml.
L’élévation tes taux sériques des IgE doit être
   interprétée en fonction du contexte clinique :

   - 20% sujets sains : IgE élevée.

   - 20 % allergiques : IgE faible.

          Sensibilité/spécificité : 70%
IgE élevée :

 Affections parasitaires.

 Affections dermato : pemphigus, psoriasis.

 Affections néoplasiques : carcinome bronchique,
 hodgkin, myelome à IgE.

 Deficit immunitaire : Sd de wiskott aldrich, Sd de
 BUKLEY.

 Infections virales : MNI, CMV.
● Sérologie aspergillaire :

  PRINCIPE


 Ag aspergillaires induisent des R° d’HS de type I et
 III, avec production d’AC de type IgM, IgG, IgA et IgE.

 Ces R° Ag-AC peuvent avoir des applications multiples :

      diagnostic direct = recherche de l’Ag.
      diagnostic indirect = recherche d‘AC spécifiques.
   Mise en évidence de ces R° Ag-AC se fait par
    différentes techniques :

   Techniques n’utilisant pas de marqueurs :

          - Réactions de précipitation.
          - Réactions d'agglutination.
          - neutralisation.
          - immuno-chromatographie
          - fixation du complément.

   Techniques utilisant des marqueurs :

          - radio-immunologie : ELISA.
          - immuno-enzymologie.
          - immunofluorescence.
 Réaction de précipitation :
 sur milieu liquide :
Sur milieu gélifié :
IMMUNONEPHLOTOMETRIE
 Réaction d’agglutination :
ELISA
INTERPRETATION DES RESULTATS


  IgM : 1ères décelables après la primo-infection, puis
  suivent les IgA, disparaissent ensuite après environ 16
  semaines.

  Lors d’une réinfection : les augmentations des IgM et
  des IgA sont moindres et se produisent plus rarement.

  IgG : formés en différé. Après atteinte d’un maximum,
  leur concentration chute sur plusieurs années.
Résultats significatifs lorsque les taux
  sont 2 fois plus élevés que ceux du pools de
   sérums de référence.




IgM IgA               IgG                 16 sem
INTERPRETATION DES RESULTATS

  Au moins 3 arcs de précipitation signent une aspergillose
  viscérale. Mais possibilité d’une R° négative dans
  d’authentiques cas d’aspergillose.

  Un seul arc à activité enzymatique suffit au Dic
  d’aspergillose maladie.

  L’arc à activité catalasique est un élément important du
  suivi sérologique.
● Diagnostic mycologique :

 PRELEVEMENT
                     Pvts répétés et placés dans
                      flacons secs et stériles..
 Expectorations : lavage de la bouche par solution iodée
                     Acheminement rapide au labo,
 diluée, kiné de drainage conserver pdt 24h à +4°C
                   sinon à bronchique.
 Pvts sous fibroscopie bronchique : liquide d’aspiration
 bronchique, LBA, brossage fixateurs……………………
                      Pas de endobronchique.

 Sang.
 Ponction biopsie transthoracique, biopsie pulmonaire
 chirurgicale : exceptionnellement.
EXAMEN DIRECT

         Technique :

   Observation directe du pvt au MO entre lame et lamelle.

   Sensibilité augmentée par :
         - Méthodes de marquage ( noir clorazole, calcofluor)
         - Colorations ( argentique, Giemsa)
 Résultats

   filaments mycéliens hyalins : Les hyphes sont très
    ramifiés (aspect en brosse) , à angles aigus et leur
    largeur est de 2,5 à 5µ .

   Têtes aspergillaire +++

   Spores : pas de valeur (souillure).
   Avantages :

     Lecture immédiate…………

     Si culture (+), le risque qu’il
    s’agisse de contamination est
    minime.
   Têtes aspergillaires au MO :
ENSEMENCEMENT

Ensemencement sur tube Sabouraud additionné d’ATB
ou sur milieu plus spécifique.

2 milieux de culture de référence sont actuellement
recommandés : le MEA (Malt Extract Agar) et le CYA
(Czapek Yeast Agar).

Tubes placés à l’étuve à 25°C – 37°C pendant au
moins 1 semaine.
CULTURE

Étape indispensable pour l’identification du genre et de
l’espèce.

Majorité des Aspergillus pousse très bien sur milieu de
Sabouroud.

Culture est obtenue en 48h et la production de têtes
aspergillaires entre 3 et 5 jours suivant les milieux
utilisés.
   Clés d’identification sont basées sur :

 Couleur macroscopique des colonies : verte, brune, ocre -
  jaune, blanche ou noire .

 Puis au microscope sur :
 - Morphologie des têtes : unisériées, bisériées ou mixtes.
 - Forme et la taille des vésicules.
 - Disposition des phialides à leur surface.
 - Taille et l’ornementation des stipes et des conidies.
 - Optimum thermique.
 - Production de pigments et d’exsudats.
 A. fumigatus :

 Croissance très rapide à 37°C, possible à 50°C.
 Colonies blanches à vertes, puis d’un vert foncé à gris
 noirâtre.
 Vésicule en massue.
 Phialides directement portées par vésicule (unisériées),
 présentes sur les 2/3 du sommet.
 Conidies rondes vertes et échinulées de 2,5 à 3 µ de
 diamètre. Elles sont en chaînettes et parallèles à l’axe
 du conidiophore.
A. fumigatus
A. fumigatus
A. Fumigatus
 A.Flavus :

 Colonies vert – jaune.
 Têtes conidiennes radiées de 300 à 400 µ. La tête
 présente des rayons sur tout le tour de la vésicule qui
 est sphérique.
 Phialides seules ou portées par des métules.
 Conidies hyalines, rondes à piriformes, échinulées de
 3,5 à 4,5µ .
A flavus
 A. nidulans :


 Colonies vertes à jaunâtres.
 Têtes conidiennes en colonne.
 Vésicule sphérique.
 phialides portées par des métules et situées sur la
 partie supérieure de la vésicule.
 Conidies rondes , vertes , échinulées de 3 à 3,5m.
A. Nidulans
 A. niger :

 Colonies poudreuses noires.
 Têtes conidiennes radiées et bisériées de couleur
 noire.
 Stipes (pieds) épais, lisses et incolores.
 Vésicules sphériques, phialides portées par des
 métules sur tout le pourtour.
 Conidies noires et rondes, échinulées, de 4 à 5µ.
A Niger
 A. terreus :


 Colonies duveteuses parfois crevassées, beiges à brun
 foncé.
 Vésicule sphérique, globuleuse avec des phialides
 bisériées sur la partie supérieure.
 Conidies sont petites (1,5µ) et d’aspect elliptique.
A. terreus
A. Terreus
INTERPRETATION DES RESULTATS


   Examen direct et culture négatifs    :

            Absence de champignon pathogène.

            Faux négatif :
                 - Pvt incorrect ou insuffisant.
INTERPRETATION DES RESULTATS


   Examen direct   négatif   et culture   positive :

         Qtité peu impte de levure ou de spore dans pvt.


        INTERET DE LA CULTURE +++
INTERPRETATION DES RESULTATS



   Examen direct positif   et culture   négative   :

          Patient sous Ttt prophylactique ou curatif.



    IMPOSSIBLE DE PRÉCISER L’ESPÈCE.
Selon la clinique et le terrain
INTERPRETATION DES RESULTATS
           Selon l’origine du pvt :
                 - sites théoriquemt stériles
   Examen direct et culture positifs :
                        (sang, biopsie).

            Selon l’ex direct et la culture :
                 - quantification champignon,
                         (notion de seuil)
     SAPROPHYTE, COLONISATION
            PATHOGENE
ANTIFONGIOGRAMME

 Microcupules : 2 concentrations d AF.
 Sensible intermédiaire résistant.

 Boite avec disques : diamètre
 d’inhibition.
PCR

  Identification précise du genre ou de l’espèce à partir
  d’ extrait d’ADN amplifié.

  On distingue :
 - Méthodes d’hybridation par des sondes spécifiques.
 - Méthodes de PCR nichée (nested PCR).
 - Méthodes de séquençage direct.
Méthodes d’avenir dans la domaine de la mycologie.

  Complément de choix dans l’identification rapide, fiable,
  et objective car indépendant de l’expérience de
  l’observateur.
EFR
   Stade précoce : anomalies fonctionnelles d’un asthme
    banal ( TVO réversible spontanément ou sous Ttt
    broncho-dilatateur).


   Au stade avancé : persistance du TVO en inter
    critique. La réversibilité est moins bonne, comparée
    aux asthmatiques dont la maladie dure depuis la même
    période de temps. Parfois TVR associé à une baisse de
    la DLCO.
Fibroscopie bronchique
Inflammation bronchique diffuse.

Hypersécrétion blanchâtre ou brunâtre réalisant de
véritables bouchons muqueux difficiles à évacuer.

Liquide de fibro-aspiration : isolement d’A.fumigatus
(non pathognomonique).

LBA : alvéolite eosinophilique.

Biopsie bronchique : absence d’aspergillus dans la
paroi bronchique.
3-1-3- évolution – pronostic
- complication :

   Évolution est variable selon les patients :

       - Exacerbations : une tous les 2 ans.
       - Séquelles : DDB, emphysème.

   Pc fonctionnel à long terme reste incertain, mais bon
    dans la plupart des cas.
 Complications :

 DDB.

 Emphysème.

 Fibrose pulmonaire.

 aspergillose semi-invasive ou invasive : facteur de
 mauvais pronostic.
 Pronostic :

 Pronostic individuel est difficile à déterminer.

 Études de suivi de long terme concluent qu’une
 corticothérapie parentérale diminue la détérioration
 fonctionnelle respiratoire et radiologique.
3-2- Formes cliniques :
 ABPA et mucoviscidose :


 Peut révéler le diagnostic.

 Facteur de morbidité :
   - 6% des exacerbations hospitalières.
   - déclin du VEMS.
    Difficultés Dic de l’ABPA en cas de mucoviscidose :

    Tableau clinique (fébricule, AEG, expectoration) et Rx
     (infiltrats) : évocateurs vers une surinfection.
     Si persistance après Ttt ATB penser à l’ABPA.

    Difficulté d’interprétation des réponses immunitaires :
    - TC à AF + : 33 à 58 %.
    - précipitines à AF + dans 31 à 37 % IgE totales ABPA.
    - IgE totales     : 13 à 32 %.
    - AF dans culture d’expectoration : 57 %.
 ABPA chez l’enfant :
 Formes familiales :


 Exceptionnelles.

 Présence du groupe HLA DR2, DR4, DR5 et DR7
 représente un facteur de susceptibilité pour l’ABPA.
 À l’inverse, HLA DQ2 protègerait de l’ABPA.
 Formes pauci symptomatiques :


 Fréquentes.

 1/3 des infiltrats pulmonaires peuvent être
 totalement asymptomatiques.
 Formes associées à d’autres
localisations :
 Sinusite aspergillaire.

 Aspergillose ophtalmique.

 Aspergillome.

 Aspergillose cutanée.
 Formes inhabituelles :

 Absence d’ATCD broncho-pulmonaire.

 Autre variété d’aspergillus : flavus, nidulans, niger…

         - Tableaux cliniques similaires.
         - Mais critères Dic font défaut.
III- DIAGNOSTIC
          DIFFERNTIEL
3-1- Surinfection bronchique
à germe banal :

 En faveur :
   Expectoration, fièvre, AEG, images Rx



 En défaveur :
 Absence d’amélioration sous ATB, DDB à la TDM
 thoracique,
3-2- Bronchite aspergillaire :

 En faveur :
 Fièvre, asthénie, amaigrissement, douleur thoracique,
 dyspnée, sibilances, images d’atélectasie segmentaires
 ou lobaires, isolement d’AF dans les secrétions
 bronchiques.

 En défaveur :
 Pas d’éosinophilie, pas d’IgE spécifiques ni d’AC
 précipitants.
3-3- Asthme aspergillaire :

 En faveur :
 Forte exposition aspergillaire environnementale, tableau
 d’asthme chez un sujet atopique polysensibilisé, TVO,
 hyperéosinophilie, tests cutanés +, IgE spécifiques anti-
 aspergillaires.

 En défaveur :
  Absence IgG precipitants, moules bronchiques.
3-4- AAE aspergillaire :
 En faveur :
 Forte exposition aspergillaire environnementale, toux,
 dyspnée, douleur thoracique, fièvre, asthénie,
 amaigrissement, précipitines aspergillaires.

 En défaveur :
 Absence d’hyperéosinophilie sanguine, d’IgE
 spécifiques ou de R° cutanée immédiate, absence de
 granulome caractéristique sur pvts biopsiques.
3-5- Granulomatose
             bronchocentrique :

 En faveur :
 AEG, fièvre, toux, dyspnée, douleur thoracique,
 sibilances, atélectasies LS à la Rx, présence d’AC
 précipitants.

 En défaveur :
 Absence de granulome epithelio-giganto-cellulaire
 sans thrombose ni nécrose Vx.
3-6- Aspergillose pulmonaire
invasive :

 En faveur :
 Toux, fièvre, AEG, douleur thoracique, hémoptysie,
 dyspnée, images Rx, isolement de l’AF dans les
 secrétions bronchiques.

 En défaveur :
 Patient atopique mais non neutropénique, absence de
 localisation dans d’autres organes.
3-7- Aspergillome :

 En faveur :
 Hémoptysie, dyspnée, douleur thoracique, présence
 d’arcs de précipitation.

 En défaveur :
 Absence de lésion séquellaire cavitaire, absence d’IgE
 ou d’IgG spécifiques, absence d’éosinophilie.
IV- TRAITEMENT
4-1- Buts :

 Guérir le malade.

 Traiter les symptômes.

 Éviter les exacerbations.

 Éviter la survenue des complications.
4-2- Moyens :

   Mesures hygièno-diététiques.

   Kinésithérapie respiratoire.

   Corticothérapie.

   Antifongiques.

   Ttt habituel de la maladie sous jacente : asthme,
    mucoviscidose….
4-3- indications :

 Mesures hygièno-diététiques :

 Éloignement des déchets organiques (milieu rural).

 Prévenir risque travaux à domicile.

 Nettoyage, séchage appareils aérosols.

 Maintenir un bon état nutritionnel.
Patients à risque hospitalisés :

  Délocalisation au besoin.

  Transport avec masque dans zones proches du chantier.

  Vérification régulière du système de ventilation.

  Fenêtres et portes maintenues fermées.

  contrôle de la qualité microbiologique de l’air.
 Corticothérapie :
Corticothérapie orale :
         - Ttt de poussées aigues.
         - Pas de schéma consensuel.

○ Schéma anglo-saxon +++ :

  Posologie initiale : 0,5 à 0,75 mg/kg/j, pdt 15 jours.
  Ttt alterné tous les 2 jours, durant 3 mois.
  Dégression progressive sur 3 mois.

○ Autres schémas :

  Dose de charge pendant 15 jours, puis diminution
  progressive des doses en 6 à 8 semaines.
Corticothérapie inhalée :

Dipropionate de beclomethasone 400 ug .

  Réduction de la composante broncho spastique.
  Réduction des infiltrats pulmonaires.
  Absence de détérioration fonctionnelle au long cours.
  Ne prévient pas les rechutes
 Antifongiques :
○ Objectifs :

  Epargneur de corticoïde.
  Limite les rechutes.

○ Indication :

  Cortico-dépendance.
  Cortico-intolérance.
 Antifongiques :
○ Itraconazole (Sporanox ®) +++ :

   Dérivé triazolé.
   Fongicide vis-à-vis d’A.fumigatus.
   Galénique : suspension , gélule.
   Grande variabilité d’absorption :
          - Meilleure pour suspension, mais mauvais goût.
          - Pic sérique à 2 h (suspension), à 4h (gélule).
          - Meilleure en milieu acide ( à jeun), diminuée par
            repas et anti-acides.
○ Itraconazole (Sporanox ®) +++ :



   Posologie initiale : 5 à 10 mg/kg/j en 2 prises.

   Contrôle systématique par itraconazolémie à 15 j Ttt.

   Durée du Ttt : 16 semaines à plus d’un an.
 Antifongiques :
○ Voriconazole (VFEND ®) :

  Dérivé triazolé.
  Fongicide vis-à-vis d’A.fumigatus.
  Très bonne absorption, non soumise au ph gastrique.
  Pic sérique à 1-2h.
  Meilleure CMI in vitro que itraconazole.
  Effets secondaires :

   - Photosensibilisation.          - Nausée.
   - Élévation enzyme hépatique.    - céphalée
   - Perte de cheveux.              -Trouble de la vue
○ Voriconazole (VFEND ®) :



   Indication : échecs de l’itraconazole.

   Posologie :
     < 12 ans : 8mg/kg/j (max 200mg) en 2 prises.
     > 12 ans < 40kg : 200mg/j en 2 prises.
     > 12 ans > 40kg : 400mg/j en 2 prises.
 Antifongiques :

○ aérosols d’amphotéricine B, nystatine, kétoconazole :

  Résultats discordants
 Kinésithérapie respiratoire.

 Ttt habituel de la maladie sous jacente :
 asthme, mucoviscidose…
4-4- Surveillance :
 Surveillance de la maladie :

  Contrôle radio-clinique après 1 mois, tous 3 mois pdt 1 an.

  Dosages itératifs IgE totales sériques et PNE sanguine.

  EFR initiale, puis selon la sévérité, 2 à 3 fois par an.

  DLCO et gazométrie initiale à répéter 1 à 2 fois par an.

  TDM thoracique initiale, puis après 2 à 3 ans.
 Surveillance du Ttt :

  Cliniques : effets indésirables.

  Ionogramme.

  Bilan hépatique.

  Itraconazolémie.
4-5- Résultats :

 Amélioration radio-clinique en 3 à 3 semaines.

 Réduction significative de taux des IgE totales.
V- CONCLUSION
   ABPA contribue à morbidité de l’asthme et de la
    mucoviscidose.

   Dic : faisceau d’arguments cliniques, biologiques et Rx.

   Corticoïde systémique +++ mais pas d’étude randomisée.

   Itraconazole effet d’épargne des corticoïdes.

   Autres traitements : expérience débutante.
Aspergillose bronchopulmonaire allergique
Aspergillose bronchopulmonaire allergique

Aspergillose bronchopulmonaire allergique

  • 2.
    ASPERGILLOSE BRONCHO-PULMONAIRE ALLERGIQUE Dr HENZAZI hind. CES pneumologie 3ème Année CHU Fonn Dakar
  • 3.
    PLAN I- INTRODUCTION : 1-1- Définitions. 1-2- Intérêts. 1-3- Rappels. II- PHYSIOPATHOLOGIE : 2-1- Agent pathogène. 2-2- Physiopathologie proprement dite.
  • 4.
    III- DIAGNOSTIC POSITIF: 3-1- TDD : ABPA de l’adulte jeune asthmatique. 3-2- Formes cliniques. IV- DIAGNOSTIC DIFFERENTIEL. V- TRAITEMENT. VI- CONCLUSION.
  • 5.
  • 6.
    1-1- Définitions: ABPAou maladie de HINSON & PEPYS est une pneumopathie d’hypersensibilité induite par la colonisation trachéo-bronchique par une moisissure opportuniste : Aspergillus. Aspergillus fumigatus +++ Asthme +++, mucoviscidose.
  • 7.
    PNEUMOPATHIES D'HYPERSENSIBILITÉ sont despneumopathies de mécanisme immunoallergique complexe, à médiation humorale et surtout cellulaire, dues à l'inhalation chronique de substances antigéniques le plus souvent organiques et parfois chimiques.
  • 8.
    Immunité à médiation humorale : se fait par les lymphocytes B, qui au contact d'un Ag, se différencient en plasmocytes, cellules capables de fabriquer des AC spécifiques de l‘Ag.  Immunité à médiation cellulaire : se fait par les lymphocytes T capables de détruire directement des cellules lorsqu'elles sont infectées par l’Ag.
  • 10.
    1-2- Intérêts:  Sujet d’actualité.  Pathologie rare mais qui doit être bien connue des allergologues (asthmatiques +++).  Pathologie complexe, de mécanisme physiopathologique multiple.
  • 11.
    1-2- Intérêts:  Dic univoque, reposant sur des critères majeurs et mineurs en utilisant un faisceau d’arguments cliniques, biologiques et Rx.  Difficultés Dic induisent une sous-estimation des formes invasives dont la mortalité, en particulier sous les tropiques, se situe entre 50 et 100%.  Réels progrès grâce à TDM thoracique et nouvelles méthodes de Dic mycologique.
  • 12.
    1-2- Intérêts:  Dic et Ttt précoce dès les formes mineures, pour prévenir les formes plus sévères.
  • 13.
    1-3- Rappel historique: Tige garnie de touffes de poil, dont on se sert,  MICHELLI (1729) : dans les cérémonies de l’église pour asperger Attribution du nom bénite l’eau Aspergillus à ces moisissures : ressemblance avec le goupillon qui se prénomme aspergillus en latin.
  • 15.
    LINK (1809) : Découverte d’Aspergillus glaucus , et description des 1ères formes sexuées. SLUYTER (1847) : 1èr cas d’aspergillose chez l’homme.
  • 16.
    BRISTOWE (1854) : 1èr cas d’aspergillome.  VIRSHOW (1856) : 1ère description anapath des lésions.
  • 17.
    HINSON (1952) : Description clinique de l’ABPA.  PEPYS (1959) : AC précipitants.
  • 18.
    DROUHET (1961) : Rôle de l’amphotéricine B dans le Ttt des mycoses profondes.  1973 : Classification anatomo-clinique avec distinction de 3 entités : l’Aspergillome, l’Aspergillose invasive et ABPA.
  • 19.
    1-3- Rappel épidémiologique:  Asthme : Rare chez enfant : < 1% Adulte de 30-40 ans : 2-8% cortico-dépendant : 7- 14%  Mucoviscidose : Adolescent et adulte : 6-25%
  • 20.
    1-3- Rappel épidémiologique:  5 à 10% de patients atteints d’un asthme cortico- dépendant aux USA, correspondraient à une ABPA.
  • 21.
    1-3- Rappel épidémiologique:  Dans une étude plus récente, 21.6% des asthmatiques parmi 255 patients sont sensibilisés à A.fumigatus, parmi ces derniers 25.7% réunissent les critères d’une ABPA.
  • 22.
  • 23.
    2-1- Agent pathogène: CLASSIFICATION Aspergillus : champignon filamenteux. Eucaryote appartenant au : Règne : mycètes. Classe : ascomycètes. Ordre : plectomycètes. Famille : aspergillacae.
  • 24.
    Plusieurs espèces :  Aspergillus fumigatus +++.  Aspergillus flavus.  Aspergillus niger.  Aspergillus nidulans, versicolor …
  • 25.
    RESERVOIR  Champignon saprophyte ubiquiste: ○ Extérieur et intérieur des habitations ○ Sol. ○ Plantes. ○ Graines. ○ Bois. ○ Composte. ○ Coton. ○ Vêtements. ○ Climatiseurs. ○ Eau …
  • 27.
    STRUCTURE Mycélium (hyphes) forméde filaments de taille régulière, de 4µm de diamètre, avec des ramifications dichotomiques à angle aigu. Filaments dits conidiophores (stipes) se terminant par une vésicule de forme globuleuse sphérique de taille variable.
  • 28.
    Autour de lavésicule, sont disposées une ou plusieurs rangées de phialides, à l’intérieur desquelles naissent des spores ou phialospores. Phialides sont pfs portées par des métules et recouvrent tte vésicule ou seulmt la partie sup. L’ensemble : tête aspergillaire.  Chaque tête peut relarguer jusqu’à 10 spores.
  • 31.
  • 32.
  • 33.
  • 34.
  • 36.
  • 37.
  • 38.
  • 39.
  • 41.
  • 42.
  • 43.
  • 44.
  • 45.
    PROPAGATION  LOCALE : - Croissance centrifuge des filaments. - Limitée.  A DISTANCE : - Spores entraînées au loin (vent, animaux, moyens de transport….) - Nouvelle colonie à distance.
  • 46.
    CARACTERISTIQUES  Diamètre de spores : 2 à 3 µm.  Grande longueur des filaments.  Croissance très rapide : 5 à 7 jours dans une T° de 25 à 37°C.  Thermophile : pousse jusqu’à 55°C et survit jusqu’à 70°C.
  • 47.
    Adhérence à lamb basale (via fibrinogène, laminine, fibronectine, etc…) Production de toxines : fumagilline, fumitoxine. Tropisme vasculaire.
  • 49.
    2-2- Physiopathologie proprement dite : MODE DE CONTAMINATION  VOIE AÉRIENNE +++ - Bronches et alvéoles. - Diffusion éventuelle aux organes profonds.  VOIE CUTANEE : - Brûlure, plaie, geste invasif…… Pas de contagion interhumaine
  • 53.
  • 54.
  • 57.
  • 58.
    3-1- TDD :ABPA de l’adulte jeune asthmatique :
  • 59.
    3-1-1- clinique :tableau d’asthme à dyspnée continue fébrile :
  • 60.
    Interrogatoire : - Asthme svt ancien corticodependant, avec des crises de plus en plus sévères. - Terrain atopique, personnel ou familial. - Polysensibilisation aux pneumallergènes habituels. - Profession à risque. - Travaux récents dans l’habitation ou au voisinage. - ATCD familiaux d’ABPA. - Autres ATCD personnels ou familiaux. - Signes fonctionnels.
  • 61.
    Signes fonctionnels : o Dyspnée : - Bradypnée expiratoire. - D’installation et d’aggravation progressive. - Continue. - Intensité : périmètre de marche et FR. - Facteurs déclenchants.
  • 62.
    o Toux : - D’apparition progressive. - Sans horaire particulier. - Quinteuse. - Sèche au début, devenant par la suite productive.
  • 63.
    o Expectoration : - Signe très évocateur. - Moules bronchiques brins : véritables bouchons mycéliens caoutchoutés contenant des PNE, protéines et des hyphes aspergillaires. - Parfois il s’agit de bronchorrhées.
  • 64.
    Bouchon muco-inflammatoire obstruantles VAD chez un patient décédé d’ABPA
  • 65.
    o Douleurs thoraciques. o Hémoptysie.
  • 66.
     Signes généraux : o Fièvre : poussée fébrile chez un asthmatique, non expliquée par une infection à germe banal, doit faire évoquer le diagnostic. o Asthénie, anorexie, amaigrissement.
  • 67.
     Signes physiques : o Examen pleuro pulmonaire : Râles sibilants, ronflants, crépitants… o Examen des autres appareils : Autres manifestations allergiques.
  • 68.
  • 69.
    3-1-2-1- Imagerie thoracique:  Radiographie thoracique.  TDM thoracique. 3-1-2-2- Biologie. 3-1-2-3- EFR. 3-1-2-4- fibroscopie bronchique.
  • 70.
  • 71.
     RX thorax( face + profil) :  IMAGES LABILES : - infiltrat parenchymateux hétérogène, ou péri hilaire pouvant simuler des ADP. - opacité systématisée rétractile lobaire ou segmentaire, uni ou bilatérale, par bouchon muqueux. - impaction mucoîde : bronchectasies pleines avec aspect en doigt de gant
  • 72.
  • 73.
  • 74.
    DDB pleines endoigt de gant Après Ttt corticoïde
  • 75.
     RX thorax( face + profil) :  IMAGES PERMANANTES : - bronchectasies proximales : opacités kystiques ou en rails, volontiers volumineuses.
  • 76.
    Dilatation des broncheskystique bilatérale
  • 77.
     RX thorax( face + profil) :  IMAGES TARDIVES : variées et non spécifiques. - Structures cavitaires. - Emphysème localisé. - Rétraction des lobes supérieurs. - Fibrose pulmonaire : aspect en nid d’abeille. - Pneumothorax ou pleurésie.
  • 78.
     TDM thoracique:  Examen de référence pour mev des DDB proximales (critère majeur de Dic) et des impactions mucoides .  Permet de voir les images associées : infiltrats labiles, atélectasies, aspect d’emphysème.  Plus sensible et plus précoce pour Dic des fibroses pulmonaires.
  • 79.
  • 81.
  • 82.
    DDB cylindriques etkystiques proximales prédominant aux lobes sup, avec trbles ventilatoires et bronchomucocèles.
  • 83.
    Bouchon muqueux dansdes Disparition des bronchocèles bronchectasies proximales. après drainage. Bronchocèles avec aspect en « doigt de gants ».
  • 84.
    Série B –Cas n°1 Rayon de Miel Évolution vers fibrose avec Rayon de Miel aspect en « rayon de miel » dans les régions périphériques sous-pleurales,associé à des épaississements septaux.
  • 85.
  • 86.
     NFS : Hyper éosinophilie constante dans les exacerbations > 1000 élmt/mm3. Peut être masquée par : infection, cortico. Sans spécificité. Autres causes : mldies de système, parasitoses, mdcts, asthme.
  • 87.
     Diagnostic immunologique:  Tests cutanés allergologiques : PRINCIPE Reproduction, à très pte échelle et au niveau de la peau du patient de la R° allergique type I. Réactivité des mastocytes.
  • 89.
    Production d’un :  Oedème.  Érythème. Triade de Lewis  Papule. Début de la R° : 5 min. Max : 10 à 20 min.
  • 90.
    MATERIEL Trousse d’urgence +++ Aiguillespéciale, standardisée (Morrow Brown, Allerbiopointe, Stallerpointe…) Batterie d’allergènes : allergènes Asp f2, f4, f6.
  • 91.
    PRECAUTIONS A distance deprise d’antihistaminique. (1 sem à 15 j pour Kétotiféne) A distance de prise d’antidépresseur ou sédatifs. (4 jours) A distance pour corticothérapie. ( 4 j si dose > à 15 mg/j) CI des bêtabloquants.
  • 92.
    TECHNIQUE Piqûredans le derme d’une faible qtité d’allergène asp. Face ant de l’avant bras. 3cm entre chaque test. Témoins POSITIF et NEGATIF
  • 93.
    LECTURE Après 15 minutes. Après 6 à 8 heures. Test positif si : - Triade de LEWIS : papule, érythème, prurit - Diamètre moyen de la papule égal ou > à la ½ du diamètre de la papule du témoin.
  • 94.
    ● Dosage desIgE sériques totales : Peuvent persister plusieurs mois dans tissus. ½vie plasmatique brève : 2,4 j. Dosage : méthode radioimmunologique, immunoenzymatologique. Concentration sérique faible : 50-100 ng/ml.
  • 96.
    L’élévation tes tauxsériques des IgE doit être interprétée en fonction du contexte clinique : - 20% sujets sains : IgE élevée. - 20 % allergiques : IgE faible. Sensibilité/spécificité : 70%
  • 97.
    IgE élevée : Affections parasitaires. Affections dermato : pemphigus, psoriasis. Affections néoplasiques : carcinome bronchique, hodgkin, myelome à IgE. Deficit immunitaire : Sd de wiskott aldrich, Sd de BUKLEY. Infections virales : MNI, CMV.
  • 98.
    ● Sérologie aspergillaire: PRINCIPE Ag aspergillaires induisent des R° d’HS de type I et III, avec production d’AC de type IgM, IgG, IgA et IgE. Ces R° Ag-AC peuvent avoir des applications multiples :  diagnostic direct = recherche de l’Ag.  diagnostic indirect = recherche d‘AC spécifiques.
  • 99.
    Mise en évidence de ces R° Ag-AC se fait par différentes techniques :  Techniques n’utilisant pas de marqueurs : - Réactions de précipitation. - Réactions d'agglutination. - neutralisation. - immuno-chromatographie - fixation du complément.  Techniques utilisant des marqueurs : - radio-immunologie : ELISA. - immuno-enzymologie. - immunofluorescence.
  • 100.
     Réaction deprécipitation : sur milieu liquide :
  • 101.
  • 102.
  • 103.
  • 104.
  • 105.
    INTERPRETATION DES RESULTATS IgM : 1ères décelables après la primo-infection, puis suivent les IgA, disparaissent ensuite après environ 16 semaines. Lors d’une réinfection : les augmentations des IgM et des IgA sont moindres et se produisent plus rarement. IgG : formés en différé. Après atteinte d’un maximum, leur concentration chute sur plusieurs années.
  • 106.
    Résultats significatifs lorsqueles taux sont 2 fois plus élevés que ceux du pools de sérums de référence. IgM IgA IgG 16 sem
  • 107.
    INTERPRETATION DES RESULTATS Au moins 3 arcs de précipitation signent une aspergillose viscérale. Mais possibilité d’une R° négative dans d’authentiques cas d’aspergillose. Un seul arc à activité enzymatique suffit au Dic d’aspergillose maladie. L’arc à activité catalasique est un élément important du suivi sérologique.
  • 110.
    ● Diagnostic mycologique: PRELEVEMENT  Pvts répétés et placés dans flacons secs et stériles.. Expectorations : lavage de la bouche par solution iodée  Acheminement rapide au labo, diluée, kiné de drainage conserver pdt 24h à +4°C sinon à bronchique. Pvts sous fibroscopie bronchique : liquide d’aspiration bronchique, LBA, brossage fixateurs……………………  Pas de endobronchique. Sang. Ponction biopsie transthoracique, biopsie pulmonaire chirurgicale : exceptionnellement.
  • 111.
    EXAMEN DIRECT  Technique :  Observation directe du pvt au MO entre lame et lamelle.  Sensibilité augmentée par : - Méthodes de marquage ( noir clorazole, calcofluor) - Colorations ( argentique, Giemsa)
  • 112.
     Résultats  filaments mycéliens hyalins : Les hyphes sont très ramifiés (aspect en brosse) , à angles aigus et leur largeur est de 2,5 à 5µ .  Têtes aspergillaire +++  Spores : pas de valeur (souillure).
  • 113.
    Avantages :  Lecture immédiate…………  Si culture (+), le risque qu’il s’agisse de contamination est minime.
  • 115.
    Têtes aspergillaires au MO :
  • 116.
    ENSEMENCEMENT Ensemencement sur tubeSabouraud additionné d’ATB ou sur milieu plus spécifique. 2 milieux de culture de référence sont actuellement recommandés : le MEA (Malt Extract Agar) et le CYA (Czapek Yeast Agar). Tubes placés à l’étuve à 25°C – 37°C pendant au moins 1 semaine.
  • 117.
    CULTURE Étape indispensable pourl’identification du genre et de l’espèce. Majorité des Aspergillus pousse très bien sur milieu de Sabouroud. Culture est obtenue en 48h et la production de têtes aspergillaires entre 3 et 5 jours suivant les milieux utilisés.
  • 118.
    Clés d’identification sont basées sur :  Couleur macroscopique des colonies : verte, brune, ocre - jaune, blanche ou noire .  Puis au microscope sur : - Morphologie des têtes : unisériées, bisériées ou mixtes. - Forme et la taille des vésicules. - Disposition des phialides à leur surface. - Taille et l’ornementation des stipes et des conidies. - Optimum thermique. - Production de pigments et d’exsudats.
  • 120.
     A. fumigatus: Croissance très rapide à 37°C, possible à 50°C. Colonies blanches à vertes, puis d’un vert foncé à gris noirâtre. Vésicule en massue. Phialides directement portées par vésicule (unisériées), présentes sur les 2/3 du sommet. Conidies rondes vertes et échinulées de 2,5 à 3 µ de diamètre. Elles sont en chaînettes et parallèles à l’axe du conidiophore.
  • 121.
  • 122.
  • 124.
  • 125.
     A.Flavus : Colonies vert – jaune. Têtes conidiennes radiées de 300 à 400 µ. La tête présente des rayons sur tout le tour de la vésicule qui est sphérique. Phialides seules ou portées par des métules. Conidies hyalines, rondes à piriformes, échinulées de 3,5 à 4,5µ .
  • 126.
  • 128.
     A. nidulans: Colonies vertes à jaunâtres. Têtes conidiennes en colonne. Vésicule sphérique. phialides portées par des métules et situées sur la partie supérieure de la vésicule. Conidies rondes , vertes , échinulées de 3 à 3,5m.
  • 130.
  • 131.
     A. niger: Colonies poudreuses noires. Têtes conidiennes radiées et bisériées de couleur noire. Stipes (pieds) épais, lisses et incolores. Vésicules sphériques, phialides portées par des métules sur tout le pourtour. Conidies noires et rondes, échinulées, de 4 à 5µ.
  • 132.
  • 135.
     A. terreus: Colonies duveteuses parfois crevassées, beiges à brun foncé. Vésicule sphérique, globuleuse avec des phialides bisériées sur la partie supérieure. Conidies sont petites (1,5µ) et d’aspect elliptique.
  • 136.
  • 137.
  • 138.
    INTERPRETATION DES RESULTATS  Examen direct et culture négatifs : Absence de champignon pathogène. Faux négatif : - Pvt incorrect ou insuffisant.
  • 139.
    INTERPRETATION DES RESULTATS  Examen direct négatif et culture positive : Qtité peu impte de levure ou de spore dans pvt. INTERET DE LA CULTURE +++
  • 140.
    INTERPRETATION DES RESULTATS  Examen direct positif et culture négative : Patient sous Ttt prophylactique ou curatif. IMPOSSIBLE DE PRÉCISER L’ESPÈCE.
  • 141.
    Selon la cliniqueet le terrain INTERPRETATION DES RESULTATS  Selon l’origine du pvt : - sites théoriquemt stériles  Examen direct et culture positifs : (sang, biopsie).  Selon l’ex direct et la culture : - quantification champignon, (notion de seuil) SAPROPHYTE, COLONISATION PATHOGENE
  • 142.
    ANTIFONGIOGRAMME Microcupules :2 concentrations d AF. Sensible intermédiaire résistant. Boite avec disques : diamètre d’inhibition.
  • 143.
    PCR Identificationprécise du genre ou de l’espèce à partir d’ extrait d’ADN amplifié. On distingue : - Méthodes d’hybridation par des sondes spécifiques. - Méthodes de PCR nichée (nested PCR). - Méthodes de séquençage direct. Méthodes d’avenir dans la domaine de la mycologie. Complément de choix dans l’identification rapide, fiable, et objective car indépendant de l’expérience de l’observateur.
  • 145.
  • 146.
    Stade précoce : anomalies fonctionnelles d’un asthme banal ( TVO réversible spontanément ou sous Ttt broncho-dilatateur).  Au stade avancé : persistance du TVO en inter critique. La réversibilité est moins bonne, comparée aux asthmatiques dont la maladie dure depuis la même période de temps. Parfois TVR associé à une baisse de la DLCO.
  • 147.
  • 148.
    Inflammation bronchique diffuse. Hypersécrétionblanchâtre ou brunâtre réalisant de véritables bouchons muqueux difficiles à évacuer. Liquide de fibro-aspiration : isolement d’A.fumigatus (non pathognomonique). LBA : alvéolite eosinophilique. Biopsie bronchique : absence d’aspergillus dans la paroi bronchique.
  • 153.
    3-1-3- évolution –pronostic - complication :  Évolution est variable selon les patients : - Exacerbations : une tous les 2 ans. - Séquelles : DDB, emphysème.  Pc fonctionnel à long terme reste incertain, mais bon dans la plupart des cas.
  • 155.
     Complications : DDB. Emphysème. Fibrose pulmonaire. aspergillose semi-invasive ou invasive : facteur de mauvais pronostic.
  • 156.
     Pronostic : Pronostic individuel est difficile à déterminer. Études de suivi de long terme concluent qu’une corticothérapie parentérale diminue la détérioration fonctionnelle respiratoire et radiologique.
  • 157.
  • 158.
     ABPA etmucoviscidose : Peut révéler le diagnostic. Facteur de morbidité : - 6% des exacerbations hospitalières. - déclin du VEMS.
  • 159.
    Difficultés Dic de l’ABPA en cas de mucoviscidose :  Tableau clinique (fébricule, AEG, expectoration) et Rx (infiltrats) : évocateurs vers une surinfection. Si persistance après Ttt ATB penser à l’ABPA.  Difficulté d’interprétation des réponses immunitaires : - TC à AF + : 33 à 58 %. - précipitines à AF + dans 31 à 37 % IgE totales ABPA. - IgE totales : 13 à 32 %. - AF dans culture d’expectoration : 57 %.
  • 160.
     ABPA chezl’enfant :
  • 161.
     Formes familiales: Exceptionnelles. Présence du groupe HLA DR2, DR4, DR5 et DR7 représente un facteur de susceptibilité pour l’ABPA. À l’inverse, HLA DQ2 protègerait de l’ABPA.
  • 162.
     Formes paucisymptomatiques : Fréquentes. 1/3 des infiltrats pulmonaires peuvent être totalement asymptomatiques.
  • 163.
     Formes associéesà d’autres localisations : Sinusite aspergillaire. Aspergillose ophtalmique. Aspergillome. Aspergillose cutanée.
  • 168.
     Formes inhabituelles: Absence d’ATCD broncho-pulmonaire. Autre variété d’aspergillus : flavus, nidulans, niger… - Tableaux cliniques similaires. - Mais critères Dic font défaut.
  • 169.
    III- DIAGNOSTIC DIFFERNTIEL
  • 170.
    3-1- Surinfection bronchique àgerme banal : En faveur : Expectoration, fièvre, AEG, images Rx En défaveur : Absence d’amélioration sous ATB, DDB à la TDM thoracique,
  • 171.
    3-2- Bronchite aspergillaire: En faveur : Fièvre, asthénie, amaigrissement, douleur thoracique, dyspnée, sibilances, images d’atélectasie segmentaires ou lobaires, isolement d’AF dans les secrétions bronchiques. En défaveur : Pas d’éosinophilie, pas d’IgE spécifiques ni d’AC précipitants.
  • 172.
    3-3- Asthme aspergillaire: En faveur : Forte exposition aspergillaire environnementale, tableau d’asthme chez un sujet atopique polysensibilisé, TVO, hyperéosinophilie, tests cutanés +, IgE spécifiques anti- aspergillaires. En défaveur : Absence IgG precipitants, moules bronchiques.
  • 173.
    3-4- AAE aspergillaire: En faveur : Forte exposition aspergillaire environnementale, toux, dyspnée, douleur thoracique, fièvre, asthénie, amaigrissement, précipitines aspergillaires. En défaveur : Absence d’hyperéosinophilie sanguine, d’IgE spécifiques ou de R° cutanée immédiate, absence de granulome caractéristique sur pvts biopsiques.
  • 174.
    3-5- Granulomatose bronchocentrique : En faveur : AEG, fièvre, toux, dyspnée, douleur thoracique, sibilances, atélectasies LS à la Rx, présence d’AC précipitants. En défaveur : Absence de granulome epithelio-giganto-cellulaire sans thrombose ni nécrose Vx.
  • 175.
    3-6- Aspergillose pulmonaire invasive: En faveur : Toux, fièvre, AEG, douleur thoracique, hémoptysie, dyspnée, images Rx, isolement de l’AF dans les secrétions bronchiques. En défaveur : Patient atopique mais non neutropénique, absence de localisation dans d’autres organes.
  • 176.
    3-7- Aspergillome : En faveur : Hémoptysie, dyspnée, douleur thoracique, présence d’arcs de précipitation. En défaveur : Absence de lésion séquellaire cavitaire, absence d’IgE ou d’IgG spécifiques, absence d’éosinophilie.
  • 177.
  • 178.
    4-1- Buts : Guérir le malade. Traiter les symptômes. Éviter les exacerbations. Éviter la survenue des complications.
  • 179.
    4-2- Moyens :  Mesures hygièno-diététiques.  Kinésithérapie respiratoire.  Corticothérapie.  Antifongiques.  Ttt habituel de la maladie sous jacente : asthme, mucoviscidose….
  • 180.
    4-3- indications : Mesures hygièno-diététiques : Éloignement des déchets organiques (milieu rural). Prévenir risque travaux à domicile. Nettoyage, séchage appareils aérosols. Maintenir un bon état nutritionnel.
  • 181.
    Patients à risquehospitalisés : Délocalisation au besoin. Transport avec masque dans zones proches du chantier. Vérification régulière du système de ventilation. Fenêtres et portes maintenues fermées. contrôle de la qualité microbiologique de l’air.
  • 183.
     Corticothérapie : Corticothérapieorale : - Ttt de poussées aigues. - Pas de schéma consensuel. ○ Schéma anglo-saxon +++ : Posologie initiale : 0,5 à 0,75 mg/kg/j, pdt 15 jours. Ttt alterné tous les 2 jours, durant 3 mois. Dégression progressive sur 3 mois. ○ Autres schémas : Dose de charge pendant 15 jours, puis diminution progressive des doses en 6 à 8 semaines.
  • 184.
    Corticothérapie inhalée : Dipropionatede beclomethasone 400 ug . Réduction de la composante broncho spastique. Réduction des infiltrats pulmonaires. Absence de détérioration fonctionnelle au long cours. Ne prévient pas les rechutes
  • 185.
     Antifongiques : ○Objectifs : Epargneur de corticoïde. Limite les rechutes. ○ Indication : Cortico-dépendance. Cortico-intolérance.
  • 186.
     Antifongiques : ○Itraconazole (Sporanox ®) +++ :  Dérivé triazolé.  Fongicide vis-à-vis d’A.fumigatus.  Galénique : suspension , gélule.  Grande variabilité d’absorption : - Meilleure pour suspension, mais mauvais goût. - Pic sérique à 2 h (suspension), à 4h (gélule). - Meilleure en milieu acide ( à jeun), diminuée par repas et anti-acides.
  • 187.
    ○ Itraconazole (Sporanox®) +++ :  Posologie initiale : 5 à 10 mg/kg/j en 2 prises.  Contrôle systématique par itraconazolémie à 15 j Ttt.  Durée du Ttt : 16 semaines à plus d’un an.
  • 188.
     Antifongiques : ○Voriconazole (VFEND ®) : Dérivé triazolé. Fongicide vis-à-vis d’A.fumigatus. Très bonne absorption, non soumise au ph gastrique. Pic sérique à 1-2h. Meilleure CMI in vitro que itraconazole. Effets secondaires : - Photosensibilisation. - Nausée. - Élévation enzyme hépatique. - céphalée - Perte de cheveux. -Trouble de la vue
  • 189.
    ○ Voriconazole (VFEND®) :  Indication : échecs de l’itraconazole.  Posologie : < 12 ans : 8mg/kg/j (max 200mg) en 2 prises. > 12 ans < 40kg : 200mg/j en 2 prises. > 12 ans > 40kg : 400mg/j en 2 prises.
  • 190.
     Antifongiques : ○aérosols d’amphotéricine B, nystatine, kétoconazole : Résultats discordants
  • 192.
     Kinésithérapie respiratoire. Ttt habituel de la maladie sous jacente : asthme, mucoviscidose…
  • 193.
    4-4- Surveillance : Surveillance de la maladie : Contrôle radio-clinique après 1 mois, tous 3 mois pdt 1 an. Dosages itératifs IgE totales sériques et PNE sanguine. EFR initiale, puis selon la sévérité, 2 à 3 fois par an. DLCO et gazométrie initiale à répéter 1 à 2 fois par an. TDM thoracique initiale, puis après 2 à 3 ans.
  • 194.
     Surveillance duTtt : Cliniques : effets indésirables. Ionogramme. Bilan hépatique. Itraconazolémie.
  • 195.
    4-5- Résultats : Amélioration radio-clinique en 3 à 3 semaines. Réduction significative de taux des IgE totales.
  • 196.
  • 197.
    ABPA contribue à morbidité de l’asthme et de la mucoviscidose.  Dic : faisceau d’arguments cliniques, biologiques et Rx.  Corticoïde systémique +++ mais pas d’étude randomisée.  Itraconazole effet d’épargne des corticoïdes.  Autres traitements : expérience débutante.