LA CHIRURGIE  DES GLIOMES CEREBRAUX avec le GLIOLAN (acide 5-amino-lévulinique) au CHU de FORT de FRANCE et GIESSEN.  Dr/Pr. Norbert MANZO Service de Neurochirurgie CHU de FORT- DE- FRANCE. MARTINIQUE.97200.
Plan : Rappels sur la 5-ALA Résultats obtenus avec GLIOLAN Conclusion Cas clinique
La 5-ALA Acide 5-amino-lévulinique Nom commercial : GLIOLAN  ® Médicament utilisé pour mettre en évidence le tissu tumoral pendant l’intervention. Forme galénique : poudre, à mélanger avec de l’eau avant administration. Utilisation en combinaison avec le microscope Pentero.
La 5-ALA (suite) Précurseur qui intervient dans la synthèse de l’hémoglobine. Absorbé par les cellules de l’organisme puis converti en agents fluorescents, notamment Protoporphyrine IX. Or, les cellules des  gliomes malins accumulent   cette molécule, et la convertissent  plus vite   en agents fluorescents.
La 5-ALA (suite) Administration au patient de 5-ALA avant l’intervention entraîne la synthèse et l’accumulation de porphyrines  fluorescentes dans les tissus cancéreux  : la zone tumorale émet une fluorescence contrairement au  tissu sain.
La 5-ALA (suite) En éclairant « en bleu » (longueur d’onde différente), la tumeur apparaît “en rose” , il suffit de changer le mode d’éclairage du microscope. Donc limites de  résection plus précises, moins de résidus tumoraux. Visualisation en direct des cellules cancéreuses qui ont intégré la 5-ALA.
Utilisation 5-ALA : lumière blanche et lumière bleue
 
 
 
Concrètement : Molécule administrée  per os  dans les 4 à 6h avant l‘anesthésie, à la dose de 20 mg/kg Pendant l'opération : changement de lumière du microscope fait apparaître les cellules qui ont intégré la 5-ALA : visualisation plus précise de la tumeur, ses limites.
La 5-ALA Contre-indications : porphyrie, grossesse, allergie au produit. Effets indésirables : anémie, hyperleucocytose, cytolyse hépatique. Molécule récente, exigeant une sécurité d’emploi : autorisation délivrée individuellement au neurochirurgien après une formation spécifique
Résultats des essais cliniques   L'utilisation de la chirurgie guidée par fluorescence augmente : - le nombre de  résections complètes   : sur l’imagerie post-op à 72h,  65%  de résections complètes avec 5-ALA,  vs  38%  en chirurgie conventionnelle (Allemagne: Pr  STUMMER, Dr NESTLER, étude phase III) - la  survie sans récidive   : à 6 mois,  20%  des patients ayant reçu Gliolan étaient encore en vie et sans progression de la maladie, contre  11%  dans l’autre groupe (Pr STUMMER,)
Concernant la  survie globale , les patients ayant eu une éxérèse complète ont une médiane de survie de  17,2  mois contre  12  mois lorsqu’il y a un volume résiduel, Mais la différence entre les groupes avec ou sans GLIOLAN n’était pas significative.
Résultats au CHU de FORT-DE-FRANCE 60 PATIENTS OPERES DE GLIOBLASTOME :  55  GLIOBLASTOMES  OPÉRÉS avec GLIOLAN 5  GLIOBLASTOMES EN CHIRURGIE CONVENTIONNELLE  (LUMIERE BLANCHE) - 40  patients de la MARTINIQUE - 10  patients de GUYANE -  7  patients de la GUADALOUPE -  3  patients  de SAINT MARTIN
Contrôle  IRM post-opératoire IRM post-op à 24 H, à 15 jours , à  1 mois , et tous les mois ou avant si justification clinique. Avec Gliolan  : en moyenne  78%  d’éxérèse par rapport à la taille initiale de la tumeur. Sans Gliolan  : en moyenne  60%  d’éxérèse. ( Utilisation d’un logiciel de mesure de volume des hématomes pour calculer le volume pré-op et de volume résiduel post-op.)
Influence sur l’évolution Groupe des patients opérés en MARTINIQUE. Survie Sans Récidive  : -  à  8  mois  :  environ  22%   dans le groupe opéré  avec GLIOLAN. -  10%  dans le groupe opéré sans GLIOLAN.
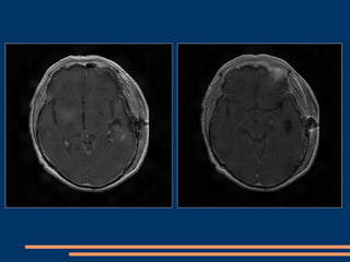
CAS CLINIQUES –GIESSEN+CHU FORT de FRANCE Patient de  35  ans  (GIESSEN) Ralentissement  psychomoteur depuis 1 mois , déficit moteur de l’hémicorps droit d’installation progressive , aphasie  de Wernicke et Broca. Juin 2009 : réalisation d’une IRM cérébrale montrant un glioblastome temporal profond gauche avec effet  de masse. Opéré avec GLIOLAN couplé au Pentero avec option fluoroscopie.
IRM pré-opératoire
 
 
IRM pré-opératoire (suite)
 
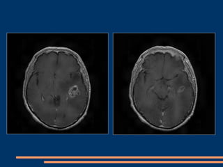
IRM post-opératoire à J 15
 
 
 
IRM post-opératoire à 3 mois
 
IRM post-opératoire  3 mois
diaporama à completer avec les autres cas cliniques….

Gliomes%20 gliolan[1]

  • 1.
    LA CHIRURGIE DES GLIOMES CEREBRAUX avec le GLIOLAN (acide 5-amino-lévulinique) au CHU de FORT de FRANCE et GIESSEN. Dr/Pr. Norbert MANZO Service de Neurochirurgie CHU de FORT- DE- FRANCE. MARTINIQUE.97200.
  • 2.
    Plan : Rappelssur la 5-ALA Résultats obtenus avec GLIOLAN Conclusion Cas clinique
  • 3.
    La 5-ALA Acide5-amino-lévulinique Nom commercial : GLIOLAN ® Médicament utilisé pour mettre en évidence le tissu tumoral pendant l’intervention. Forme galénique : poudre, à mélanger avec de l’eau avant administration. Utilisation en combinaison avec le microscope Pentero.
  • 4.
    La 5-ALA (suite)Précurseur qui intervient dans la synthèse de l’hémoglobine. Absorbé par les cellules de l’organisme puis converti en agents fluorescents, notamment Protoporphyrine IX. Or, les cellules des gliomes malins accumulent cette molécule, et la convertissent plus vite en agents fluorescents.
  • 5.
    La 5-ALA (suite)Administration au patient de 5-ALA avant l’intervention entraîne la synthèse et l’accumulation de porphyrines fluorescentes dans les tissus cancéreux : la zone tumorale émet une fluorescence contrairement au tissu sain.
  • 6.
    La 5-ALA (suite)En éclairant « en bleu » (longueur d’onde différente), la tumeur apparaît “en rose” , il suffit de changer le mode d’éclairage du microscope. Donc limites de résection plus précises, moins de résidus tumoraux. Visualisation en direct des cellules cancéreuses qui ont intégré la 5-ALA.
  • 7.
    Utilisation 5-ALA :lumière blanche et lumière bleue
  • 8.
  • 9.
  • 10.
  • 11.
    Concrètement : Moléculeadministrée per os dans les 4 à 6h avant l‘anesthésie, à la dose de 20 mg/kg Pendant l'opération : changement de lumière du microscope fait apparaître les cellules qui ont intégré la 5-ALA : visualisation plus précise de la tumeur, ses limites.
  • 12.
    La 5-ALA Contre-indications: porphyrie, grossesse, allergie au produit. Effets indésirables : anémie, hyperleucocytose, cytolyse hépatique. Molécule récente, exigeant une sécurité d’emploi : autorisation délivrée individuellement au neurochirurgien après une formation spécifique
  • 13.
    Résultats des essaiscliniques L'utilisation de la chirurgie guidée par fluorescence augmente : - le nombre de résections complètes : sur l’imagerie post-op à 72h, 65% de résections complètes avec 5-ALA, vs 38% en chirurgie conventionnelle (Allemagne: Pr STUMMER, Dr NESTLER, étude phase III) - la survie sans récidive : à 6 mois, 20% des patients ayant reçu Gliolan étaient encore en vie et sans progression de la maladie, contre 11% dans l’autre groupe (Pr STUMMER,)
  • 14.
    Concernant la survie globale , les patients ayant eu une éxérèse complète ont une médiane de survie de 17,2 mois contre 12 mois lorsqu’il y a un volume résiduel, Mais la différence entre les groupes avec ou sans GLIOLAN n’était pas significative.
  • 15.
    Résultats au CHUde FORT-DE-FRANCE 60 PATIENTS OPERES DE GLIOBLASTOME : 55 GLIOBLASTOMES OPÉRÉS avec GLIOLAN 5 GLIOBLASTOMES EN CHIRURGIE CONVENTIONNELLE (LUMIERE BLANCHE) - 40 patients de la MARTINIQUE - 10 patients de GUYANE - 7 patients de la GUADALOUPE - 3 patients de SAINT MARTIN
  • 16.
    Contrôle IRMpost-opératoire IRM post-op à 24 H, à 15 jours , à 1 mois , et tous les mois ou avant si justification clinique. Avec Gliolan : en moyenne 78% d’éxérèse par rapport à la taille initiale de la tumeur. Sans Gliolan : en moyenne 60% d’éxérèse. ( Utilisation d’un logiciel de mesure de volume des hématomes pour calculer le volume pré-op et de volume résiduel post-op.)
  • 17.
    Influence sur l’évolutionGroupe des patients opérés en MARTINIQUE. Survie Sans Récidive : - à 8 mois : environ 22% dans le groupe opéré avec GLIOLAN. - 10% dans le groupe opéré sans GLIOLAN.
  • 18.
    CAS CLINIQUES –GIESSEN+CHUFORT de FRANCE Patient de 35 ans (GIESSEN) Ralentissement psychomoteur depuis 1 mois , déficit moteur de l’hémicorps droit d’installation progressive , aphasie de Wernicke et Broca. Juin 2009 : réalisation d’une IRM cérébrale montrant un glioblastome temporal profond gauche avec effet de masse. Opéré avec GLIOLAN couplé au Pentero avec option fluoroscopie.
  • 19.
  • 20.
  • 21.
  • 22.
  • 23.
  • 24.
  • 25.
  • 26.
  • 27.
  • 28.
  • 29.
  • 30.
  • 31.
    diaporama à completeravec les autres cas cliniques….