Dr MANZO Norbert   Cysticercose Actualités
    La cysticercose est une cestodose larvaire due au développement chez l'homme de la forme larvaire du  Tænia solium   La localisation des larves au niveau du système nerveux central en fait une maladie redoutable.
Contamination -  Par ingestion d'eau ou d'aliments souillés par des œufs de  Tænia solium  ou par contact direct avec des mains souillées Par auto-infestation si l'individu héberge le  Tænia solium  adulte dont les anneaux remontent dans l'estomac et libèrent les embryophores. Larve cysticerque de  Tænia solium . (15 x 8 mm). Photo:  Parasitologie-Mycologie. CHU Nice. P. Marty
 
Cycle biologique L'homme est l'hôte intermédiaire   Il héberge les larves cysticerques   Les œufs de  Tænia solium  sont éliminés dans le milieu extérieur avec les selles. Ils sont directement infectants.   même si l’axe homme-porc reste fondamental le rôle épidémiologique joué par les «porteurs de tænia» pour disséminer la maladie (fondamentale) .
 
Après leur ingestion, ils libèrent des embryophores qui pénètrent dans une villosité intestinale et migrent par voie sanguine vers les tissus (muscles, peau, œil, système nerveux central) où ils se transforment en larves cysticerques ( Cysticercus cellulosae ) dans lesquelles s'invagine un seul scolex.  Larve cysticerque de  Tænia solium . (15 x 8 mm). Photo:  Parasitologie-Mycologie. CHU Nice. P. Marty
Clinique   La cysticercose est généralement asymptomatique dans ses localisations musculaires sauf si la localisation est cardiaque où on observe des crampes, une fatigue, une tachycardie et des syncopes.  La cysticercose sous-cutanée se traduit par de petits nodules
 
 
Les localisations oculaires se manifestent par une  exophtalmie et des troubles visuels. En l'absence de traitement, l'évolution se fait vers un décollement de la rétine, et une cataracte.
 
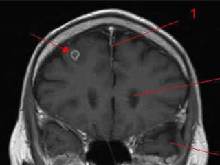
Elle est grave dans ses localisations cérébrales et se manifeste par un syndrome d'hypertension intracrânienne, une épilepsie et des céphalées. Après la mort du parasite, apparaît un processus lent de calcification.
 
Distribution géographique  : Maladie de répartition mondiale, mais liée aux conditions d’hygiène défectueuse, la cysticercose est actuellement une maladie des PED, où sa fréquence est encore largement sous-estimée. La cysticercose est actuellement rapportée en Amérique centrale et du sud   (Mexique, Guatemala, Equateur, Honduras, Bolivie, Pérou, Brésil) en Afrique (Sénégal, Bénin, Côte d'Ivoire, Togo, Ghana, Burkina-Faso, Nigéria, RD du Congo, Cameroun, Burundi, Kenya, Rwanda, Tanzanie, Ouganda, Mozambique, Zimbabwe, Afrique du sud), dans l'Océan indien (Madagascar, Ile de La Réunion), en Asie (Indonésie, Inde, Vietnam, Cambodge, Laos, Corée, Chine, Népal, Mongolie, Philippines, Myanmar). La cysticercose à ete éradiquée en Europe au début du XXéme siécle, sauf dans quelques pays de l'Europe de l'est et au Portugal.
 
Au niveau du système nerveux La cysticercose atteint essentiellement le système nerveux central .  Le tissu nerveux oppose une réaction inflammatoire à l’infection qui, associée à la dégénérescence de la larve,  marque le début des signes neurologiques,  alors que la larve vivante reste cliniquement silencieuse.
Le parasite vit habituellement  18 mois à 2 ans, mais des survies dépassent parfois 5 ans. Après la mort du parasite, se produit un processus de dégénérescence du kyste. Ensuite, apparaît un processus lent de calcification.
Quatre localisations anatomiques sont décrites :   -  parenchymateuses  : les kystes habituellement inférieurs à 1 cm de diamètre, sont localisées dans les hémisphères cérébraux, c’est l’atteinte la plus fréquente, plus de 60% des patients
 
intra ventriculaires les kystes sont trouvés surtout dans le IVème ventricule, un peu moins souvent  dans les ventricules latéraux, elles représentent 10 à 20% des patients atteints
 
sous-arachnoïdiennes les kystes peuvent atteindre 10 cm et plus, car leur développement n’est pas limité par la pression intracérébrale, - spinales ou médullaires, localisées soit dans la moelle, soit dans les espaces arachnoïdiens.
 
La cysticercose «racémeuse» est caractérisée par une prolifération de kystes lobulés en «grappes de raisin», sans scolex, habituellement située dans le système ventriculaire et les espaces sous-arachnoïdiens
 
.  Localisation au niveau du système nerveux : la neurocysticercose Manifestations épileptiques   Tableaux d’hydrocéphalie   Tableaux de méningo-encéphalite   Formes spinales pures    Formes asymptomatiques  
 
.  Localisation au niveau du système nerveux : la neurocysticercose    Formes parenchymateuses   Formes intra-ventriculaires    Formes sous-arachnoïdiennes
Diagnostic biologique   Le diagnostic biologique fait appel à l’immunologie et à l’anatomie pathologique.  techniques immunologiques  consistent à rechercher des anticorps dirigés contre  T. solium  ou des antigènes circulants de  T. solium  dans le sérum et dans le LCR.
techniques immunologiques consistent à rechercher des anticorps dirigés contre  T. solium  ou des antigènes circulants de  T. solium  dans le sérum et dans le LCR .  ELISA  L'EITB consiste à détecter les bandes de glycoproteines spécifiques de  T. solium .  La technique ELISA , bien que de sensibilité et de spécificité
L'examen anatomopathologique  est le seul examen permettant un diagnostic de certitude par l'identification du cysticerque.
 
Traitement   Les médicaments cestocides : deux sont actifs   le praziquantel (BILTRICIDE® La posologie est de 50 mg/kg/j en 2 prises, en cures de 15 jours,  l’albendazole (ZENTEL®),   La posologie est de 15 mg/kg/j en cures de 15 jours.
Les médicaments anti-inflammatoires prednisolone per os, 1 mg/kg/j pour une durée totale de 5 jours. Les traitements cestocides peuvent entraîner des poussées d’hypertension intracrânienne d’où la nécessité d’y associer une corticothérapie
Le traitement anticonvulsivant   Traitement de la neurocysticercose   Le traitement médical est efficace dans les formes parenchymateuses et celles-ci ne justifient que rarement une exérèse chirurgicale 
 
En début de traitement, on y associe  une courte corticothérapie afin de lutter contre l’œdème  et la réaction inflammatoire péri-kystique lors de la mort de la larve.
Les kystes intra ventriculaires uniques peuvent être extirpés chirurgicalement lorsqu’ils sont accessibles et cela peut éventuellement se faire en condition stéréotaxique
 
Les hydrocéphalies sont dérivées soit par shunt ventriculo-péritonéal, soit par shunt ventriculo-atrial.
 
Les kystes intra ventriculaires uniques peuvent être extirpés chirurgicalement lorsqu’ils sont accessibles et cela peut éventuellement se faire en condition stéréotaxique.
La cysticercose devrait être une maladie à déclaration obligatoire, ce qui aurait l’avantage de faciliter la mesure de l’incidence et de la prévalence de la maladie dans le monde.  
MERCI

Cysticercose + photos

  • 1.
    Dr MANZO Norbert Cysticercose Actualités
  • 2.
        Lacysticercose est une cestodose larvaire due au développement chez l'homme de la forme larvaire du Tænia solium La localisation des larves au niveau du système nerveux central en fait une maladie redoutable.
  • 3.
    Contamination - Par ingestion d'eau ou d'aliments souillés par des œufs de Tænia solium ou par contact direct avec des mains souillées Par auto-infestation si l'individu héberge le Tænia solium adulte dont les anneaux remontent dans l'estomac et libèrent les embryophores. Larve cysticerque de Tænia solium . (15 x 8 mm). Photo:  Parasitologie-Mycologie. CHU Nice. P. Marty
  • 4.
  • 5.
    Cycle biologique L'hommeest l'hôte intermédiaire Il héberge les larves cysticerques Les œufs de Tænia solium sont éliminés dans le milieu extérieur avec les selles. Ils sont directement infectants. même si l’axe homme-porc reste fondamental le rôle épidémiologique joué par les «porteurs de tænia» pour disséminer la maladie (fondamentale) .
  • 6.
  • 7.
    Après leur ingestion,ils libèrent des embryophores qui pénètrent dans une villosité intestinale et migrent par voie sanguine vers les tissus (muscles, peau, œil, système nerveux central) où ils se transforment en larves cysticerques ( Cysticercus cellulosae ) dans lesquelles s'invagine un seul scolex. Larve cysticerque de Tænia solium . (15 x 8 mm). Photo:  Parasitologie-Mycologie. CHU Nice. P. Marty
  • 8.
    Clinique La cysticercose est généralement asymptomatique dans ses localisations musculaires sauf si la localisation est cardiaque où on observe des crampes, une fatigue, une tachycardie et des syncopes. La cysticercose sous-cutanée se traduit par de petits nodules
  • 9.
  • 10.
  • 11.
    Les localisations oculairesse manifestent par une exophtalmie et des troubles visuels. En l'absence de traitement, l'évolution se fait vers un décollement de la rétine, et une cataracte.
  • 12.
  • 13.
    Elle est gravedans ses localisations cérébrales et se manifeste par un syndrome d'hypertension intracrânienne, une épilepsie et des céphalées. Après la mort du parasite, apparaît un processus lent de calcification.
  • 14.
  • 15.
    Distribution géographique : Maladie de répartition mondiale, mais liée aux conditions d’hygiène défectueuse, la cysticercose est actuellement une maladie des PED, où sa fréquence est encore largement sous-estimée. La cysticercose est actuellement rapportée en Amérique centrale et du sud (Mexique, Guatemala, Equateur, Honduras, Bolivie, Pérou, Brésil) en Afrique (Sénégal, Bénin, Côte d'Ivoire, Togo, Ghana, Burkina-Faso, Nigéria, RD du Congo, Cameroun, Burundi, Kenya, Rwanda, Tanzanie, Ouganda, Mozambique, Zimbabwe, Afrique du sud), dans l'Océan indien (Madagascar, Ile de La Réunion), en Asie (Indonésie, Inde, Vietnam, Cambodge, Laos, Corée, Chine, Népal, Mongolie, Philippines, Myanmar). La cysticercose à ete éradiquée en Europe au début du XXéme siécle, sauf dans quelques pays de l'Europe de l'est et au Portugal.
  • 16.
  • 17.
    Au niveau dusystème nerveux La cysticercose atteint essentiellement le système nerveux central . Le tissu nerveux oppose une réaction inflammatoire à l’infection qui, associée à la dégénérescence de la larve, marque le début des signes neurologiques, alors que la larve vivante reste cliniquement silencieuse.
  • 18.
    Le parasite vithabituellement 18 mois à 2 ans, mais des survies dépassent parfois 5 ans. Après la mort du parasite, se produit un processus de dégénérescence du kyste. Ensuite, apparaît un processus lent de calcification.
  • 19.
    Quatre localisations anatomiquessont décrites : - parenchymateuses  : les kystes habituellement inférieurs à 1 cm de diamètre, sont localisées dans les hémisphères cérébraux, c’est l’atteinte la plus fréquente, plus de 60% des patients
  • 20.
  • 21.
    intra ventriculaires leskystes sont trouvés surtout dans le IVème ventricule, un peu moins souvent dans les ventricules latéraux, elles représentent 10 à 20% des patients atteints
  • 22.
  • 23.
    sous-arachnoïdiennes les kystespeuvent atteindre 10 cm et plus, car leur développement n’est pas limité par la pression intracérébrale, - spinales ou médullaires, localisées soit dans la moelle, soit dans les espaces arachnoïdiens.
  • 24.
  • 25.
    La cysticercose «racémeuse»est caractérisée par une prolifération de kystes lobulés en «grappes de raisin», sans scolex, habituellement située dans le système ventriculaire et les espaces sous-arachnoïdiens
  • 26.
  • 27.
    . Localisationau niveau du système nerveux : la neurocysticercose Manifestations épileptiques   Tableaux d’hydrocéphalie   Tableaux de méningo-encéphalite   Formes spinales pures   Formes asymptomatiques  
  • 28.
  • 29.
    . Localisationau niveau du système nerveux : la neurocysticercose   Formes parenchymateuses   Formes intra-ventriculaires    Formes sous-arachnoïdiennes
  • 30.
    Diagnostic biologique Le diagnostic biologique fait appel à l’immunologie et à l’anatomie pathologique. techniques immunologiques consistent à rechercher des anticorps dirigés contre T. solium ou des antigènes circulants de T. solium dans le sérum et dans le LCR.
  • 31.
    techniques immunologiques consistentà rechercher des anticorps dirigés contre T. solium ou des antigènes circulants de T. solium dans le sérum et dans le LCR . ELISA L'EITB consiste à détecter les bandes de glycoproteines spécifiques de T. solium . La technique ELISA , bien que de sensibilité et de spécificité
  • 32.
    L'examen anatomopathologique est le seul examen permettant un diagnostic de certitude par l'identification du cysticerque.
  • 33.
  • 34.
    Traitement Les médicaments cestocides : deux sont actifs le praziquantel (BILTRICIDE® La posologie est de 50 mg/kg/j en 2 prises, en cures de 15 jours, l’albendazole (ZENTEL®), La posologie est de 15 mg/kg/j en cures de 15 jours.
  • 35.
    Les médicaments anti-inflammatoiresprednisolone per os, 1 mg/kg/j pour une durée totale de 5 jours. Les traitements cestocides peuvent entraîner des poussées d’hypertension intracrânienne d’où la nécessité d’y associer une corticothérapie
  • 36.
    Le traitement anticonvulsivant Traitement de la neurocysticercose Le traitement médical est efficace dans les formes parenchymateuses et celles-ci ne justifient que rarement une exérèse chirurgicale 
  • 37.
  • 38.
    En début detraitement, on y associe une courte corticothérapie afin de lutter contre l’œdème et la réaction inflammatoire péri-kystique lors de la mort de la larve.
  • 39.
    Les kystes intraventriculaires uniques peuvent être extirpés chirurgicalement lorsqu’ils sont accessibles et cela peut éventuellement se faire en condition stéréotaxique
  • 40.
  • 41.
    Les hydrocéphalies sontdérivées soit par shunt ventriculo-péritonéal, soit par shunt ventriculo-atrial.
  • 42.
  • 43.
    Les kystes intraventriculaires uniques peuvent être extirpés chirurgicalement lorsqu’ils sont accessibles et cela peut éventuellement se faire en condition stéréotaxique.
  • 44.
    La cysticercose devraitêtre une maladie à déclaration obligatoire, ce qui aurait l’avantage de faciliter la mesure de l’incidence et de la prévalence de la maladie dans le monde.  
  • 45.