Dépistage de l’anévrisme de l’aorte
Comment ? Pourquoi ? Chez qui ?
Laroche Jean Pierre
Médecin Vasculaire
Médecine Vasculaire, Hôpital Saint Eloi, 80 Av Augustin Fliche, 34295 MONTPELLIER Cedex 5
Conflit d’intérêts
Actelion France
Aloka /Hitachi Europe
Astra Zeneca
Atys Médical
Bayer HealthCare
BMS
Daiichi sankyo
GSK
Léo-Pharma
Pierre Fabre
Sanofi Aventis
Toni Pharm
Revue Médicale Suisse
Revue Médicale Suisse N° 256 publiée le 14/07/2010
Février 2013
(Dont NOUS !)
Où sont les femmes ?
Comment ? (1)
Comment ?
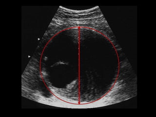
AAA, mesure du calibre
Diamètre antéro-postérieur externe (adventice-adventice) maxima
UK Small Aneurysm Trial: design, methods, progress. Eur J Vasc Endovasc Surg 1995
Orienter la coupe de
manière à avoir une
section circulaire
" AAA size is defined as the maximum external cross-sectional diameter in any
direction " .
Lederle F.A. et al. Design of the abdominal aortic Aneurysm Detection and Management
Study (ADAM Study). J Vasc Surg 1994
Moyenne
d'au moins
3 mesures
SchémaF.Becker
francois.becker@wanadoo.fr
Comment ? (2)
Dépistage systématique ?
Dépistage organisé ?
Dépistage opportuniste ?
Opportuniste (ou individuel), dépistage proposé par le professionnel
de santé lors d’un recours aux soins, à l’occasion d’une hospitalisation
ou d’une consultation médicale par exemple (HAS).
Exemple
de l’Angleterre
Les dépistages
obligatoires
Cancer Colon
Anévrisme
Cancer Sein
Frottis
Hommes
Pourquoi ?
Calibre AAA vs Risque de Rupture
Modifié FB d'après: Guidelines for the treatment of abdominal aortic aneurysm. Joint
Council of the American Association for Vascular Surgery and Society for Vascular
Surgery. J Vasc Surg 2003; 37: 1106-17
Calibre AP Ratio /
Ao N (≈ 20 mm)
Risque annuel de rupture
< 4 cm < 2 < 0.5%
4 à 4.9 cm 2 à 2,5 0.5 à 5%
5 à 5.9 cm 2,5 à 3 3 à 15%
6 à 6.9 cm 3 à 3.5 10 à 20%
7 à 7.9 cm 3.5 à 4 20 à 40%
≥ 8 cm > 4 30 à 50%
francois.becker@wanadoo.fr
Calibre AAA vs Risque de Rupture
vs Risque Opératoire
Tout AAA quelque soit son calibre peut se
compliquer par rupture ou thrombo-embolie.
Le risque de rupture augmente avec la taille, le
calibre AP, de l’AAA
• < 4 cm AP, risque faible < au risque op.
• 4 à 5.5 cm, risque plus significatif mais
bénéfice chirurgical non prouvé à 5 et 8 ans *
• > 5.5 cm, bénéfice chirurgical reconnu.
* UK Small Aneurysm Trial (N Engl J Med 2002, Lancet 1998)
ADAM Study (N Engl J Med 2002)
francois.becker@wanadoo.fr
Petite / Grosse Aorte
Attention au calibre normal de l'aorte sus-jacente
variable en fonction
 du sexe (calibre AoAbd plus petit chez la femme),
 de la race (calibre plus petit chez les asiatiques par ex),
 du terrain (calibre plus gros en cas d'artério mégalie ou chez le
sujet très âgé)
une dilatation aortique de 45 mm est
 un gros anévrysme sur une aorte de 15 mm
(ratio 3, ≈ 60 mm chez un sujet mâle "standard")
 tout juste un AAA sur une aorte de 30 mm !
francois.becker@wanadoo.fr
Mortalité des patients suivis pour AAA
Le calibre de l'aorte abdominale n'est pas le
seul paramètre à prendre en compte chez les
patients suivis pour AAA,
La sur- mortalité est essentiellement liée aux
facteurs de risque CV (surtout Tabac et HTA) et
aux pathologies induites CardioVasculaires et
autres !
Bergqvist D, Br J Surg 1999
Lindholt JS, Br J Surg 2001
Newman AB, Ann Inter Med 2001
MASS group, Lancet 2002
ADAM group N Engl J Med 2002
francois.becker@wanadoo.fr
La gestion des patients après le dépistage
Attention aux procédures inutiles
De quoi meurent les patients porteurs d’AAA ?
francois.becker@wanadoo.fr
J Mal Vasc dec.2006
De quoi meurent les patients porteurs d’AAA ?
francois.becker@wanadoo.fr
J Mal Vasc dec.2006
80%
Visite 1 (dépistage) Cohorte 4A
Facteurs de Risque CV (H vs F)
FB091008
88% de fumeur
Visite 1 (dépistage) Cohorte 4A
Antécédents CV (H vs F)
FB091008
POLYVASCULAIRE
Chez qui ?
Recommandations
European Society for
Vascular Surgery (2011)
Moll FL, Powell JT, Fraedrich G, et al. Management of abdominal aortic aneurysms
clinical practice guidelines of the European society for vascular surgery. Eur J Vasc
Endovasc Surg 2011 ; 41 (Suppl. 1) : S1-S58 + STV 2011
Le dépistage (1)
Dépistage par ECHOGRAPHIE
Dépistage chez l’homme : faut il le limiter aux fumeurs ?
Age : > 75 ans…………….85 ans ?
Dépistage chez la femme : faut il le limiter aux fumeuses de plus
de 70 ans ou 75 ans ?
Autres sous groupes : parents 1° degré
Où et quand doit on réaliser le dépistage ? : flexibilité et
adaptations aux conditions locales
Bénéfices potentiels du dépistage : tous les patients chez lesquels
un AAA a été mis en évidence, évaluation du risque CV +
traitement , stop tabac et statine
Le dépistage (2)
Effets néfastes du dépistage :
- une petite détérioration temporaire de la qualité de vie. Celle-ci est
secondaire à l’anxiété provoquée par le fait d’apprendre que le sujet est
porteur d’une anomalie potentiellement fatale ;
- le risque de mortalité associée à la procédure thérapeutique de l’AAA
dépisté. Ainsi, un programme de dépistage d’AAA ne doit être conduit
qu’après s’être assuré que la mortalité auditée de l’hôpital référent en termes
de prise en charge des AAA est faible
- un programme de dépistage peut entraîner une surcharge de travail
importante pour les équipes de chirurgie vasculaire locales. Les moyens des
hôpitaux référents pour la prise en charge endovasculaire et chirurgicale
doivent être en place avant de commencer le dépistage. Les hôpitaux
référents doivent offrir la possibilité de prise en charge endovasculaire et
chirurgicale
Le dépistage (3)
Programme de dépistage :
- Le programme de dépistage doit être bien annoncé à la population locale. Il
doit être adapté à la population locale pour obtenir une audience maximale,
l’invitation à participer au dépistage par le médecin traitant sera reçue plus
favorablement
- Le médecin traitant doit être tenu informé de la découverte d’une anomalie
(« incidental pathology ») chez le sujet qui bénéficie du dépistage .Si le
programme de dépistage utilise des praticiens peu expérimentés ou des
appareils d’échographie portables, il paraît nécessaire de réaliser un audit
pour contrôler la qualité du dépistage (eMAU)
DECUBITUS
DECUBITUS LATERAL
GAUCHE
PROJET
eMAU
Le cas de la femme
Tabagisme chez
les femmes ++++
Mais ATTENTION
Dépistage = acte ciblé simple
d’échographie
(Niveau 1) ou
ECHOSCOPIE
Réalisation par un technicien ?
L’HAS n’a pas anticipé
cette donnée sur le coût
Coût en France du dépistage opportuniste de
l’AAA des hommes entre 65 et 75 ans
7 millions d’hommes (INSEE 2013)
30% sont dépistés (estimation dépistage opportuniste), soit 2
millions de personnes dont 30% de fumeurs = 600 000
100% dépistés (dépistage obligatoire) soit 7 millions de personnes
dont 30% de fumeurs = 2 millions de personnes
Coût :
- Dépistage opportuniste : 75 € (écho-Doppler) = 45 millions € X
40% s’il on fait un examen complet
- Dépistage obligatoire : 150 millions €
Coût : 56 € (échographie) = 33 millions € ou 112 millions €
2% d’AAA = 12 000 (ou 40 000) aujourd'hui 6000 AAA opérés / an
en France (HAS) , ce qui passerait à 10 000 AAA opérés / an ou
30 000 !
Une autre solution
Tout médecin pratiquant l’échographie devrait réaliser une
échoscopie de l’aorte abdominale (acte gratuit, 1 minute) en
respectant les recommandations de la SFMV et de l’HAS (cible)
En cas de détection d’un AAA, orientation vers un spécialiste
pour la prise en charge du patients : FDRCV, arrêt tabac, traitement
médical etc.
Suivi nécessaire et indispensable des petits AAA « non
chirurgicaux », 30 à 50% de ces patients ne font l’objet d’aucune
prise en charge , en l’absence de suivi sur 3 ans de cette population,
le risque de décès X 2 Van Walraven C, J Vasc Surg 2011
VESALE c’est :
Sensibiliser les médecins
Sensibiliser le grand public
Dépister un AAA
Prise en charge des FDRCV
Faire connaître les
RECOMMANDATIONS
Les hommes et les femmes
seront dépistés
Deux messages
AAA n’égal pas chirurgie
ou endoprothèse
AAA = prise en charge
des FDRCV systématique
Dépistage de l’anévrisme de l’aorte
Comment ? Pourquoi ? Chez qui ?
Laroche Jean Pierre
Médecin Vasculaire
Médecine Vasculaire, Hôpital Saint Eloi, 80 Av Augustin Fliche, 34295 MONTPELLIER Cedex 5

Dépistage de l’anévrisme de l’aorte lille

  • 1.
    Dépistage de l’anévrismede l’aorte Comment ? Pourquoi ? Chez qui ? Laroche Jean Pierre Médecin Vasculaire Médecine Vasculaire, Hôpital Saint Eloi, 80 Av Augustin Fliche, 34295 MONTPELLIER Cedex 5
  • 2.
    Conflit d’intérêts Actelion France Aloka/Hitachi Europe Astra Zeneca Atys Médical Bayer HealthCare BMS Daiichi sankyo GSK Léo-Pharma Pierre Fabre Sanofi Aventis Toni Pharm
  • 4.
    Revue Médicale Suisse RevueMédicale Suisse N° 256 publiée le 14/07/2010
  • 5.
  • 6.
  • 7.
    Où sont lesfemmes ?
  • 8.
  • 9.
  • 11.
    AAA, mesure ducalibre Diamètre antéro-postérieur externe (adventice-adventice) maxima UK Small Aneurysm Trial: design, methods, progress. Eur J Vasc Endovasc Surg 1995 Orienter la coupe de manière à avoir une section circulaire " AAA size is defined as the maximum external cross-sectional diameter in any direction " . Lederle F.A. et al. Design of the abdominal aortic Aneurysm Detection and Management Study (ADAM Study). J Vasc Surg 1994 Moyenne d'au moins 3 mesures SchémaF.Becker francois.becker@wanadoo.fr
  • 12.
  • 13.
    Dépistage systématique ? Dépistageorganisé ? Dépistage opportuniste ? Opportuniste (ou individuel), dépistage proposé par le professionnel de santé lors d’un recours aux soins, à l’occasion d’une hospitalisation ou d’une consultation médicale par exemple (HAS).
  • 15.
  • 16.
  • 17.
  • 18.
    Calibre AAA vsRisque de Rupture Modifié FB d'après: Guidelines for the treatment of abdominal aortic aneurysm. Joint Council of the American Association for Vascular Surgery and Society for Vascular Surgery. J Vasc Surg 2003; 37: 1106-17 Calibre AP Ratio / Ao N (≈ 20 mm) Risque annuel de rupture < 4 cm < 2 < 0.5% 4 à 4.9 cm 2 à 2,5 0.5 à 5% 5 à 5.9 cm 2,5 à 3 3 à 15% 6 à 6.9 cm 3 à 3.5 10 à 20% 7 à 7.9 cm 3.5 à 4 20 à 40% ≥ 8 cm > 4 30 à 50% francois.becker@wanadoo.fr
  • 19.
    Calibre AAA vsRisque de Rupture vs Risque Opératoire Tout AAA quelque soit son calibre peut se compliquer par rupture ou thrombo-embolie. Le risque de rupture augmente avec la taille, le calibre AP, de l’AAA • < 4 cm AP, risque faible < au risque op. • 4 à 5.5 cm, risque plus significatif mais bénéfice chirurgical non prouvé à 5 et 8 ans * • > 5.5 cm, bénéfice chirurgical reconnu. * UK Small Aneurysm Trial (N Engl J Med 2002, Lancet 1998) ADAM Study (N Engl J Med 2002) francois.becker@wanadoo.fr
  • 20.
    Petite / GrosseAorte Attention au calibre normal de l'aorte sus-jacente variable en fonction  du sexe (calibre AoAbd plus petit chez la femme),  de la race (calibre plus petit chez les asiatiques par ex),  du terrain (calibre plus gros en cas d'artério mégalie ou chez le sujet très âgé) une dilatation aortique de 45 mm est  un gros anévrysme sur une aorte de 15 mm (ratio 3, ≈ 60 mm chez un sujet mâle "standard")  tout juste un AAA sur une aorte de 30 mm ! francois.becker@wanadoo.fr
  • 21.
    Mortalité des patientssuivis pour AAA Le calibre de l'aorte abdominale n'est pas le seul paramètre à prendre en compte chez les patients suivis pour AAA, La sur- mortalité est essentiellement liée aux facteurs de risque CV (surtout Tabac et HTA) et aux pathologies induites CardioVasculaires et autres ! Bergqvist D, Br J Surg 1999 Lindholt JS, Br J Surg 2001 Newman AB, Ann Inter Med 2001 MASS group, Lancet 2002 ADAM group N Engl J Med 2002 francois.becker@wanadoo.fr
  • 22.
    La gestion despatients après le dépistage Attention aux procédures inutiles
  • 23.
    De quoi meurentles patients porteurs d’AAA ? francois.becker@wanadoo.fr J Mal Vasc dec.2006
  • 24.
    De quoi meurentles patients porteurs d’AAA ? francois.becker@wanadoo.fr J Mal Vasc dec.2006 80%
  • 25.
    Visite 1 (dépistage)Cohorte 4A Facteurs de Risque CV (H vs F) FB091008 88% de fumeur
  • 26.
    Visite 1 (dépistage)Cohorte 4A Antécédents CV (H vs F) FB091008 POLYVASCULAIRE
  • 27.
  • 28.
    Recommandations European Society for VascularSurgery (2011) Moll FL, Powell JT, Fraedrich G, et al. Management of abdominal aortic aneurysms clinical practice guidelines of the European society for vascular surgery. Eur J Vasc Endovasc Surg 2011 ; 41 (Suppl. 1) : S1-S58 + STV 2011
  • 29.
    Le dépistage (1) Dépistagepar ECHOGRAPHIE Dépistage chez l’homme : faut il le limiter aux fumeurs ? Age : > 75 ans…………….85 ans ? Dépistage chez la femme : faut il le limiter aux fumeuses de plus de 70 ans ou 75 ans ? Autres sous groupes : parents 1° degré Où et quand doit on réaliser le dépistage ? : flexibilité et adaptations aux conditions locales Bénéfices potentiels du dépistage : tous les patients chez lesquels un AAA a été mis en évidence, évaluation du risque CV + traitement , stop tabac et statine
  • 30.
    Le dépistage (2) Effetsnéfastes du dépistage : - une petite détérioration temporaire de la qualité de vie. Celle-ci est secondaire à l’anxiété provoquée par le fait d’apprendre que le sujet est porteur d’une anomalie potentiellement fatale ; - le risque de mortalité associée à la procédure thérapeutique de l’AAA dépisté. Ainsi, un programme de dépistage d’AAA ne doit être conduit qu’après s’être assuré que la mortalité auditée de l’hôpital référent en termes de prise en charge des AAA est faible - un programme de dépistage peut entraîner une surcharge de travail importante pour les équipes de chirurgie vasculaire locales. Les moyens des hôpitaux référents pour la prise en charge endovasculaire et chirurgicale doivent être en place avant de commencer le dépistage. Les hôpitaux référents doivent offrir la possibilité de prise en charge endovasculaire et chirurgicale
  • 32.
    Le dépistage (3) Programmede dépistage : - Le programme de dépistage doit être bien annoncé à la population locale. Il doit être adapté à la population locale pour obtenir une audience maximale, l’invitation à participer au dépistage par le médecin traitant sera reçue plus favorablement - Le médecin traitant doit être tenu informé de la découverte d’une anomalie (« incidental pathology ») chez le sujet qui bénéficie du dépistage .Si le programme de dépistage utilise des praticiens peu expérimentés ou des appareils d’échographie portables, il paraît nécessaire de réaliser un audit pour contrôler la qualité du dépistage (eMAU)
  • 33.
  • 34.
    Le cas dela femme
  • 35.
  • 36.
    Mais ATTENTION Dépistage =acte ciblé simple d’échographie (Niveau 1) ou ECHOSCOPIE Réalisation par un technicien ? L’HAS n’a pas anticipé cette donnée sur le coût
  • 37.
    Coût en Francedu dépistage opportuniste de l’AAA des hommes entre 65 et 75 ans 7 millions d’hommes (INSEE 2013) 30% sont dépistés (estimation dépistage opportuniste), soit 2 millions de personnes dont 30% de fumeurs = 600 000 100% dépistés (dépistage obligatoire) soit 7 millions de personnes dont 30% de fumeurs = 2 millions de personnes Coût : - Dépistage opportuniste : 75 € (écho-Doppler) = 45 millions € X 40% s’il on fait un examen complet - Dépistage obligatoire : 150 millions € Coût : 56 € (échographie) = 33 millions € ou 112 millions € 2% d’AAA = 12 000 (ou 40 000) aujourd'hui 6000 AAA opérés / an en France (HAS) , ce qui passerait à 10 000 AAA opérés / an ou 30 000 !
  • 38.
    Une autre solution Toutmédecin pratiquant l’échographie devrait réaliser une échoscopie de l’aorte abdominale (acte gratuit, 1 minute) en respectant les recommandations de la SFMV et de l’HAS (cible) En cas de détection d’un AAA, orientation vers un spécialiste pour la prise en charge du patients : FDRCV, arrêt tabac, traitement médical etc. Suivi nécessaire et indispensable des petits AAA « non chirurgicaux », 30 à 50% de ces patients ne font l’objet d’aucune prise en charge , en l’absence de suivi sur 3 ans de cette population, le risque de décès X 2 Van Walraven C, J Vasc Surg 2011
  • 39.
    VESALE c’est : Sensibiliserles médecins Sensibiliser le grand public Dépister un AAA Prise en charge des FDRCV Faire connaître les RECOMMANDATIONS Les hommes et les femmes seront dépistés Deux messages AAA n’égal pas chirurgie ou endoprothèse AAA = prise en charge des FDRCV systématique
  • 40.
    Dépistage de l’anévrismede l’aorte Comment ? Pourquoi ? Chez qui ? Laroche Jean Pierre Médecin Vasculaire Médecine Vasculaire, Hôpital Saint Eloi, 80 Av Augustin Fliche, 34295 MONTPELLIER Cedex 5