Chapitre 1 : Le Monde microbien
Présentée par:
Dre. SENOUCI-REZKALLAH. K.
Introduction
• Les micro-organismes aussi appelés microbes et
protistes, forment un ensemble d’organismes vivants
microscopiques, invisibles à l’oeil nu.
• C’est leur seul point commun, car ils diffèrent et varient
par leur morphologie, leur physiologie, leur mode de
reproduction et leur écologie.
• Les protistes se composent :
des bactéries, des protozoaires, des champignons
(Mycètes) microscopique, et des algues. Les virus sont
considérés comme des micro-organismes non vivants,
acellulaires qui dépendent entièrement des cellules
hôtes infectées.
• La microbiologie (du grec "mikros" = petit, "bios" =
vie,"logia"= théorie, science) est la science qui étudie
les micro-organismes (organismes microscopiques):
bactéries (→bactériologie), virus(→virologie), parasites
(→ parasitologie), champignons (→ mycologie)...
• Leur taille est généralement inférieure à un millimètre :
ils doivent être observés au microscope (photonique
ou électronique) et cultivés dans des milieux
permettant leur croissance et leur isolement.
• La microbiologie est divisée en plusieurs branches, en
fonction du type de « microbe » étudié.
Les différentes branches de la microbiologie
Quelques repères Historiques
• Robert Hooke (1665) est le père de la théorie cellulaire
(la plus petite unité structurale d’un organisme vivant
est la cellule).
• Anthony VAN LEEUWENHOEK (1632-1723), un
marchand hollandais et grand amateur d’instruments
d'optique, découvrit et décrivit pour la première fois,
dans une série de lettres à la « Royal society of London
», entre 1674 et 1687, le monde microbien. Il appela
ces micro-organismes des animalcules. Il observa, l’eau
de pluie, sa propre matière fécale, la matière prélevée
de ses dents.
• Le concept ou théorie de la génération spontanée
existe depuis plusieurs dizaines de siècles 334 A.J. Le
philosophe Aristote défendait cette théorie. On croyait
que les organismes vivants naissaient de végétaux et
d’animaux en décomposition grâce à une mystérieuse
force vitale.
• Après la découverte des animalcules par Van
Leeuwenhoek, cette théorie se confirma, notamment
par les expériences de John Needham, en 1745, qui
démontra la croissance des micro-organismes dans des
flacons contenant des bouillions de viande ou de maïs.
Ces bouillons furent chauffés avant d’être enfermés
• dans des flacons. Puis, Lazzaro Spallanzani démontra
que les flacons de Needham n’étaient pas étanches.
Il ferma les flacons avant le chauffage et aucune
croissance ne fut observée.
• Donc, les micro-organismes proviennent de l’air. Ses
travaux furent critiqués par Needham (les bouchons
ont empêché l’entré de la force vitale !) et par
Lavoisier (La fermeture des flacons empêche l’entrée
de l’oxygène, nécessaire à la vie !).
Le concept de la génération
spontanée
• resta très ancré dans les esprits jusqu'en 1861. Le
chimiste Louis Pasteur, partisan de la biogenèse prit en
charge cette question. Il montre qu'aucun micro-
organisme ne se développe dans un ballon fermé et
stérilisé contenant de la matière organique. Bref, que la
génération spontanée n'existe pas.
• Il affirma la biogenèse (que l’apparition de vie dans une
solution non vivante provient de la contamination par
des micro-organismes présents dans l’air). Cette prouesse
lui vaudra le prix de l'académie des sciences en 1862.
Les microorganismes et les maladies
• La relation directe entre une bactérie et une maladie a été
démontrée par le médecin allemand Robert Koch (1843-
1910) en étudiant la tuberculose et son agent
Mycobacterium tuberculosis. Pour affirmer cette causalité,
il faut vérifier plusieurs critères rassemblés sous le nom de
« Postulats de Koch ».
• Robert Koch se lance dans diverses recherches (charbon,
maladie du sommeil) et finit par isoler le bacille de la
tuberculose, en 1882. Il se tourne ensuite vers l'étude du
choléra et parvient à en déterminer l'origine et la façon
dont elle se transmet à l'homme. En 1905, il reçoit le prix
Nobel de médecine pour l'ensemble de ses découvertes.
• En même temps et à la suite d’autres
scientifiques de renom :
• Tyndall 1877 : découverte des spores, leur
thermorésistante et il mit au point la
tyndallisation.
• Lister 1827-1912 : Chirurgien, il a mit au point
la pratique de la chirurgie aseptique .
• Winogradsky 1856-1953 : Travaux sur les
bactéries nitrifiantes, les bactéries fixatrices
de l’azote, sulfureuses et la décomposition
bactériennes de la cellulose dans les sols.
• Beijerinck 1851-1931 : les bactéries fixatrices
de l’azote, symbiotiques.
1.2 Place des micro-organismes dans
le monde vivant
• Depuis leur découverte par Anthony van
Leeuwenhoeck, la place des bactéries dans le
monde vivant a beaucoup évoluée. Le
botaniste suédois Carl van Linné (1735),
élabora une première classification des
organismes vivants en deux règnes Plantae et
Animalia.
Le monde vivant
• Règne → embranchement, division ou phylum
→ classe → ordre → famille → tribu → genre
→ espèce → variété → forme
• 1.2.1 Classification de Haeckel
• En 1866, E. Haeckel divise le monde vivant en
trois règnes:
le règne animal, le règne végétal et le règne des
protistes qui rassemble les algues, les
protozoaires, les champignons et les bactéries.
B- Distinction entre cellules eucaryotes et
procaryotes selon E. Chatton
• Dès les années 1930, E. Chatton avait
nettement opposé deux types de cellules au
sein du monde vivant,
* la cellule eucaryote dont, le noyau est
entouré d'une membrane et qui renferme un
certain nombre d'organites cellulaires
* et la cellule procaryote dont le noyau ne
possède pas de membrane et dont
l'organisation est rudimentaire.
En 1968, R.G.E. Murraye divise le monde
vivant en Eucaryotae" et celui des
"Procaryotae"
La division des
"Gracilicutes"
regroupant les
bactéries dont la
paroi a la
structure des
bactéries à Gram
négatif.
. La division des
"Firmicutes".
regroupant les
bactéries dont la
paroi a la
structure des
bactéries à Gram
positif.
. La division des
"Tenericutes"
rassemblant les
bactéries
dépourvues de
paroi.
La division des
"Mendosicutes
"
correspondant
aux
archaebactérie
s.
• C- Classification selon Murray
quatre divisions :
L'analyse des séquences des ARNr (16 S)a permis à C.R. Woese
de séparer tous les micro organismes vivants en trois grands
groupes appelés domaines
le domaine des "Bacteria" (ou "Eubacteria"),
le domaine des "Archaea" (ou "Archaeobacteria")
et le domaine des Eucarya.
1.3. RELATIONS DES MICRO-ORGANISMES (MO) AVEC LES
ETRES VIVANTS
• Les micro-organismes établissent des relations
étroites avec les êtres vivants. Seule une très faible
proportion de ces M.O. associés à l'homme ou
aux animaux est capable de produire chez eux des
effets pathologiques ou une maladie infectieuse.
On peut alors les classer en 2 catégories:
- M.O. pathogènes
- M.O. non pathogènes,
M.O. non pathogènes: notions de
saprophytisme et commensalisme, notion de
symbiose
Saprophytisme et commensalisme
• Le saprophytisme désigne un mode de vie
au cours duquel les micro-organismes vivent sur
des matières organiques en décomposition, dans
l'environnement de l'homme.
• Par extension, on appelle saprophytes les micro-
organismes vivant chez l'homme, sans provoquer
de troubles. Ces micro-organismes
saprophytes, adaptés à l'homme, constituent
la flore commensale (du latin "mensa" : table →
qui mange à la même table que d’autres).
Symbiose
• La symbiose est une association durable et
réciproquement profitable entre deux
organismes vivants.
• La symbiose peut associer des organismes très
différents :
• 1) Deux animaux. Par exemple, les pique-bœufs sont des
oiseaux d'Afrique qui mangent les parasites des buffles :
l’oiseau se nourrit, et le buffle est débarrassé des insectes
qui le dérangent.
2) Un végétal et un champignon. Par exemple, le lichen est
une union entre une algue microscopique et un
champignon.
3) Un animal et un végétal. Par exemple, quand elle vient
chercher du nectar, l’abeille peut emporter du pollen
qu’elle transporte jusqu’à une autre fleur. Ainsi, l’abeille se
nourrit et la fleur peut se reproduire.
4) Une bactérie et un animal (par exemple les bactéries
présentes dans le système digestif des herbivores et de
l’homme) ou une bactérie et un végétal…
• De nombreuses bactéries vivent en symbiose avec
l’homme et constituent les flores de l’organisme. On
distingue :
• La flore résidente : ensemble des micro-organismes
implantés de façon permanente. Flore résidente =
flore commensale = flore saprophyte
• La flore transitoire : ensemble des micro-organismes
"de passage", acquis au contact des personnes, des
surfaces ou objets touchés au cours des gestes
quotidiens. Elle est surtout importante au niveau des
parties découvertes, notamment les mains.
• Ces différentes situations sont en fait liées à
un équilibre. Si celui-ci est rompu, les
bactéries profitent de l’opportunité pour
envahir l’hôte et provoquer une maladie. Elles
sont alors qualifiées de bactéries
opportunistes.
M.O. pathogènes
• La pathogénicité est la capacité d’une
bactérie à produire une maladie chez
l’homme, l’animal ou les plantes.
• Les bactéries pathogènes spécifiques : elles sont
responsables de maladies spécifiques chez le sujet
sain (ex : peste, tuberculose, choléra, typhoïde…).
• Il existe cependant des individus, appelés porteurs
sains ou porteurs asymptomatiques qui sont
infectés par un micro-organisme pathogène mais
qui ne présentent pas de signes cliniques de cette
infection. Ils sont contagieux.
Exemple : porteur sain de Salmonella.
• Les bactéries pathogènes opportunistes
(occasionnelles) : elles produisent une
maladie chez l’hôte dont les défenses sont
compromises, chez le sujet fragilisé, chez les
immunodéprimés. Ce sont des bactéries
commensales ou saprophytes qui deviennent
pathogènes quand l’occasion se présente.
1.4. ROLE ECOLOGIQUE DES MICRO-
ORGANISMES
Dans l’environnement Au niveau de l’eau
• Dans les écosystèmes aquatiques, les organismes les plus nombreux sont
les microorganismes, les bactéries forment la composante majoritaire.
Leur rôle est fondamental dans l'équilibre écologique des milieux
aquatiques
• Dans le milieu marin, les bactéries servent de nourriture à de nombreux
organismes marins, elles favorisent la fixation d'algues ou de larves sur
certains substrats, elles permettent également la dégradation de certains
polluants tels que naphtalène, pesticides, cellulose, hydrocarbures, etc.
Cependant, leur effet peut être nuisible.
• Certaines bactéries ont la capacité de concentrer des polluants tels que les
métaux lourds (mercure) ; leur consommation par des mollusques filtreurs
ou des vers peut contaminer la chaîne alimentaire.
• Au niveau du sol
• La flore microbienne est très variée : bactéries
essentiellement (bactéries telluriques), virus,
champignons, algues, protozoaires. (Fertilité du sol)
• Les bactéries interviennent dans la dégradation de la
cellulose, de la lignine (constituants du bois), dans la
fixation d’azote etc. Elles sont abondantes au niveau
des racines végétales qui leur fournissent les éléments
nécessaires à leur croissance.
• Cette région de symbiose entre les racines végétales et
les bactéries est appelée rhizosphère.
• Au niveau de l’air
• La quantité de micro-organismes présents varie
de façon importante selon les situations : ils sont
plus nombreux :
• - en été qu’en hiver,
- dans les villes que dans les campagnes,
- dans les écoles, les hôpitaux, les usines que
dans les habitations familiales etc.
• Ils jouent un rôle important de supports et
vecteurs de certaines infections dites aérogènes.
• 1.4.2. Les grands cycles biologiques
• Ils s’effectuent dans la biosphère (océans, sols,
partie inférieure de l’atmosphère). Chaque
élément entrant dans la constitution des
organismes vivants suit un cycle de
transformation qui le mène des formes
minérales aux formes organiques pour revenir
de nouveau à ces formes minérales.
• Cycle de l’azote
• L’azote est la principale composante de l’air (78%) est fixée par les
plantes, puis par les animaux qui les consomment. Les déchets de
ces plantes et de ces animaux se décomposent en matières
organiques contenant de l’azote (N2).
Ces matières sont elles-mêmes décomposées par des bactéries qui
produisent alors de l’ammonium (NH4+). Il faut pour cela que l’eau
contienne de l’oxygène (aération). L’ammonium, peu toxique, peut
aussi se transformer en ammoniac qui lui est très toxique pour la
faune. Puis d’autres bactéries transforment l’ammonium
en nitrites (NO2-) qui sont toxiques pour les poissons. Ces nitrites
sont à leur tour transformés en nitrates (NO3-) qui eux sont non-
toxiques et absorbables par les plantes (c’est ce que l’on retrouve
dans les engrais…). De plus, en l’absence de plantes et d’oxygène,
les nitrates peuvent être retransformés en azote par des bactéries
dénitrifiantes qui vont consommer l’oxygène qu’ils contiennent.
La boucle est bouclée, le cycle de l’azote peut recommencer.
• La médecine:
• La capacité de certains microbes de synthétiser comme
les antibiotiques, vaccins et autres drogues
thérapeutiques, a fourni les moyens de les contrôler et
lutter contre les multiples affections.
• Les aliments:
• Les micro-organismes sont utilisé dans l'industrie
alimentaire comme la fermentation, production de vin,
de fromage et de pain, yaourt.
• Par ailleurs d'autres sont responsables de toxi-infection
alimentaire.
• Les bactéries lactiques utiles dans la fabrication de
yaourts et de fromages mais aussi dans la fabrication
d’une boisson .
• Les corynébactéries sont présentes sur la croûte des
fromages mais aussi peuvent être utilisées dans la
synthèse d’acides aminés.
• Les bactéries acétiques permettent la fermentation
acétique, on peut les retrouver dans le vin.
• Les bactéries propioniques sont nécessaires à l’affinage
des fromages à pâte pressée cuite. Elles sont
responsables de la conservation de ces aliments mais
leur donnent aussi un goût particulier.
Exemples
• Les boissons alcoolisées
• La fermentation des fromages
• Le Pain
• Les légumes fermentés
• Les poissons fermentés
• Les produits laitiers fermentés
Viandes fermentées et saucissons
• La biotechnologie:
• Les microorganismes sont utilisés pour synthétiser de
nombreux métabolites ou produits du métabolisme comme
l'acétone , acides organiques, enzymes microbiennes,
antibiotiques…….
• Ils sont utilisés dans les progrès de techniques de génie
génétique ont permet le clonage de polypeptides importants sur le
plans pharmaceutique (ADN recombinant).
• Recherche:
• Les microbes sont très utilisés comme modèle organique pour
la recherche biochimique et génétique, ils sont plus faciles à utiliser
que les cellules animales et végétales. Un grand nombre produit –
rapidité - goût réduit. Biologie moléculaire.
• Escherichia coli le cobaye
Les Protistes
• Les protistes sont définis par des propriétés communes
et spécifiques : leur taille microscopique, leur
organisation simple et unicellulaire pour la plus part.
•
• Si pluricellulaires, alors leurs cellules sont équivalentes,
sans aucune différence morphologique, physiologique
ou fonctionnelle.
• 2.1 Structure et fonction
• Une taille de loin plus réduites que celles des cellules
animales et végétales. Les cellules animales et végétales
sont incapables d’exister indépendamment de leur
organisme.
• La taille réduite des protistes confère des avantages
physiologiques et une dissémination et une distribution
dans la nature unique et impressionnante.
2.3. Reproduction
• Les protistes et en particulier les bactéries ont
des modes de reproduction simples, spécifiques
et rapides (temps de génération courts).
Escherichia coli par exemple, se reproduit par
simple division binaire en 20 minutes.
• Cela se produit bien sûr en conditions optimales
de culture en laboratoire. Ces taux de croissance
exceptionnels induisent des rendements de
croissances incomparables.
•
• 2.4 Métabolisme
• Les micro-organismes et en particulier les bactéries ont
une propriété fondamentale qui est la diversité de leur
métabolisme. Individuellement, chaque micro-
organisme est spécifiquement adapté à la
métabolisation d’un nombre plus ou moins limité de
substrats.
• Ce qui explique leur distribution en fonction des
caractéristiques nutritionnelles et physicochimiques du
milieu. Mais, pris dans leur ensemble, les micro-
organismes peuvent métaboliser toutes les substances
organiques naturelles et même synthétiques.
• 2.6 Organisation biologique des protistes
Les protistes se présentent selon deux types
différents d’organisation biologique :
Unicellulaires, Pluricellulaires
• 2.6.1 Protistes unicellulaires
C’est le cas de la plus part des protistes, bactéries,
protozoaires, levures et de nombreuses algues.
Une cellule unique qui se suffit à elle-même et qui
constitue un organisme complet et autonome, donc
doué de toutes les fonctions de la vie : nutrition,
croissance et reproduction.
Bactérie Levures Protozoaire Algue unicellulaire
• 2.6.2 Protistes pluricellulaires
Ce sont principalement des champignons
(Fungi) et des algues formés de plusieurs
cellules identiques, sans aucune différence
structurale ou physiologique.
3. Caractéristiques générales des cellules
procaryotes et eucaryotes
• On distingue encore une fois les protistes
procaryotes et les protistes eucaryotes. Sur la
base de la présence ou l’absence d’une
membrane nucléaire séparant le cytoplasme du
matériel génétique « ADN ».
• La microscopie électronique a mis en évidence
d’autres différences structurales très importantes
et fondamentales, induisant des comportements
physiologiques et de reproduction très différents.
La cellule procaryote
La cellules Eucaryote
• 2.2.4 Eléments constants et inconstants de la
structure bactérienne
• Certaines structures sont présentes chez
toutes les bactéries, ce sont les éléments «
constants » ; d’autres sont retrouvés
seulement chez certaines bactéries : ce sont
les éléments « inconstants » ou « facultatifs ».
• Elément facultatifs Des bactéries
• Capsule - Pili - Flagelle
• Mesosome - Plasmide
• Vacuole à gaz – Inclusions de réserve
• La spore
• Eléments constants des bactéries
•
• Paroi - membrane plasmique
• Periplasme
• Cytoplasme - Chromosome
Autoévaluation
• Theodor Escherich
Chapitre 2
La cellule bactérienne
Techniques d’observation de la cellule
bactérienne
• Observation de la cellule
• La mise au point du premier microscope par A. Van
Leeuwenhok marque le point de départ de la
microbiologie. Depuis, cet appareil a été largement
amélioré. Avec des grossissements pouvant aller jusqu’à
2500 x, on peut observer des structures de l’ordre de 1 μM.
• On distingue :
• L’observation entre lame et lamelle, dite à l’état frais de
bactéries en milieu liquide et sa variante, la coloration à
l’encre de Chine (pour la mise en évidence de la capsule).
Les capsules correspondent au halo clair entourant les
corps bactériens en noir.
Un Poste de travail
Technique de la préparation de l’état frais
•
• Déposer une petite goutte d’eau stérile sur la lame.
• Prélever une fraction de colonies sur gélose, de préférence aux
bords de celle-ci (ou prélever une petite goutte de bouillon). Faire
une suspension homogène dans la goutte d’eau en incorporant
progressivement l’inoculum et en remuant très délicatement (afin
de ne pas casser les flagelles).
• Recouvrir d’une lamelle en évitant d’enfermer des bulles d’air. Le
liquide ne doit pas déborder (sinon jeter la lame dans une solution
désinfectante et recommencer).
• Observer rapidement à l’objectif 40 en mettant la lumière au
maximum.
• Après observation, jeter l’état frais dans un bac contenant un
désinfectant à large spectre car les bactéries sont vivantes…
• Etat frais à l’encre de Chine
L’encre de Chine, suspension de particules de carbone,
sert de contrastant.
– Déposer sur une lame propre, soit une goutte de culture
en milieu liquide, soit une goutte d’eau distillée dans
laquelle on dissociera une parcelle de colonie.
– Déposer à côté une petite goutte d’encre de Chine.
– Recouvrir d’une lamelle (les deux gouttes se mélangent).
– Examiner la préparation à l’objectif x 40, en particulier
dans la zone où l’encre de Chine est diluée .
• La capsule apparaît comme un halo clair autour des
corps bactériens
Coloration à l’encre de chineObservation à l’état frais
• b-Observation des frottis séchés, fixés et colorés.
• *La préparation et la coloration des échantillons
• Bien que les microorganismes puissent être directement examiné au microscope
optique, ils doivent souvent être fixé et colorer pour augmenter la visibilité
• La fixation
• La fixation est le procédé par lequel les structures interne et externes des
cellules sont conservés et fixé en place. Elle inactive les enzymes qui peuvent
détruire la morphologie cellulaire et durcit les structures pour quelle ne se
modifient pas durant la coloration et l’observation. le microorganisme est
habituellement tué et fermement fixé à la lame.
• il existe deux types de fixation
– fixation à la chaleur : consiste à chauffer doucement un film ou un
frottis bactérien en le passant dans une flamme.
– fixation chimique pour protéger les structures cellulaires fines .les
fixateurs chimiques pénètrent dans la cellule et réagissent avec les
protéines et les lipides afin de les rendre inactifs insolubles et
immobiles.
– ex : l’éthanol, l’acide acétique, le chlorure mercurique, le
formaldéhyde….
Les colorants
• Les colorations de Gram et de Ziehl-Nielsen
permettent la reconnaissance des bactéries
pathogènes, d’autres font apparaitre
spécifiquement les cils, les flagelles, les spores…
• Les frottis sont observés à l’immersion avec une
goutte d’huile spéciale entre l’objectif et la
préparation, cela permet d’obtenir une image
plus nette.
• Toutes ces méthodes font partie de la
microscopie photonique (utilisation du
rayonnement lumineux).
Microscopie électronique
• 2.1. Principe de fonctionnement
• La microscopie électronique n'utilise pas les photons pour
analyser les échantillons à observer mais les électrons, ce
qui va permettre de révéler les plus fines structures
internes de la cellule, parfois jusqu'aux molécules, puisque
les grandissements possibles vont de 1000 à 500 000 fois.
Les microscopes électroniques ont un pouvoir de résolution
de 0,1nm (2nm usuellement en biologie).
• Il existe deux techniques d'observation en microscopie
électronique :
• La microscopie électronique à transmission.
• La microscopie électronique à balayage.
• 2.2. Microscopie électronique à transmission
• Principe
• Dans le microscope électronique à transmission (MET), les électrons
traversent l'échantillon et permettent de découvrir l'intérieur de la cellule.
Le faisceau d'électrons est émis par un canon à électrons, focalisé sur la
préparation à l'aide de lentilles électromagnétiques et la traverse.
L’échantillon disperse les électrons qui le traversent et le faisceau est
focalisé par les lentilles électromagnétiques pour former une image visible
agrandie de l’échantillon sur un écran fluorescent
• Plus la région de l’échantillon est épaisse, plus cette région de l’image est
sombre puisque moins d’électrons touchent la région de l’écran
fluorescent correspondante.
• Seul le microscope électronique à transmission est capable de révéler les
détails intracellulaires. Son grandissement est de 20 000 et sa limite de
résolution est de 0,1 à 1 nm.
• Cependant, le MET ne permet pas d'observer les cellules vivantes. Les
coupes ultrafines de l'échantillon, placées sous vide, doivent être au
préalable déshydratées, fixées puis imprégnés avec des métaux lourds
(cuivre, nickel ou or)
microscopie électronique
2.3. Microscope électronique à
balayage
• Le microscope électronique à balayage (MEB) a
une résolution plus faible que celle du MET. Sa
limite de résolution est de 1 à 7 nm.
• Son intérêt est de pouvoir obtenir des images de
cellules en 3D.
• Dans le microscope électronique à balayage, les
électrons ne traversent pas une coupe de
l'échantillon : ils sont réfléchis par la surface de
l'échantillon entier pour donner une vue en trois
dimensions avec une très bonne résolution.
Principe
a)Microscopie électronique de Vibrion cholerae en contact avec les villosités intestinales.
b) Staphylococcus aureus en microscopie électronique à balayage (MEB), qui permet
d’obtenir des images « en relief » 3D, de la cellule bactrienne
• Enfin, les méthodes immunocytochimiques,
permettent de localiser dans la cellule des molécules
bactériennes. On utilise des anticorps marqués par la
peroxydase, la biotine ou des molécules
fluorescentes comme la fluorescéine.
• La formation d’un complexe stable antigène-
anticorps permet de repérer la présence d’une
molécule dans la cellule.
a) b)
a)Immunocytochimie directe et indirecte.
b)Invasion d’une cellule épithéliale par Shigella flexneri
Des cellules Hela sont infectées par Shigella analysées par
immunofluorescence. Bleu: F-actin; vert: bactérie; rouge: protéine
bactérienne secrétée et impliquée dans l’invasion.
Séparation des constituants cellulaires.
• On utilise l’ultracentrifugation pour séparer les différents organites
cellulaires.
• Pour cela il faut ouvrir les différentes enveloppes membranes,
paroi. Plusieurs méthodes pour le faire :
• -Les ultrasons de fréquence comprise entre 16 kHz et 1 MHz. Ils
peuvent entraîner des modifications physiques et chimiques au
niveau de la paroi et entraine sa dégradation,
• -Les enzymes, tel que le lysozyme qui détruit la paroi bactérienne.
• -La pression osmotique, après traitement au lysozyme, les
bactéries sont placées en milieu hypotonique, gonflent et éclatent.
• -Le froid par plusieurs cycles de congélation/décongélation
successives.
Centrifugation différentielle
L’électrophorèse sur gel
d’agarose
•
• Le mélange à étudier est déposé
sur un gel placé horizontalement
dans une cuve(boite)remplie avec
une solution tampon
• La cuve est branchée par
2 électrodes (une cathode et une
anode) à un générateur de
courant.
• Après migration les molécules
séparées se présentent sous
forme de bandes
• qu’on peut visualiser avec un
colorant
Coloration des bandes d’acides nucléiques avec le
Braumure d’ethydium
SDS-PAGE:
• PolyAcrylamideGel Electrophoresis)
• Le mélange à étudier est déposé sur un
gel d’
• Acrylamide coulé entre 2 plaques de
verres et placé verticalement dans une
cuve
• Après migration les molécules séparées
se présentent sous forme de bandes
• qu’on peut colorer
• Coloration des bandes de
protéines avec le bleu de Coomassie
•
Western blot
La morphologie cellulaire
• 2.2.1 Formes des cellules bactériennes : les bactéries
sont des organismes unicellulaires de formes variées.
• - bactéries de forme arrondies ou cocci,
Staphylocoques, Streptocoques …
• - bactéries de forme allongée ou bacille,
• : E.coli, Salmonella, Bacillus.
• - bactéries de forme spiralée : spirochètes, comme
Treponema.
• - un groupe particulier de bactéries de forme
filamenteuse se rapprochant des moisissures : les
Actinomycètes.
• 2.2.2 Taille : les bactéries les plus petites ont une
taille d’environ 0,2 μm (Chlamydia) et les plus
longues certains Spirochètes peuvent atteindre
250 μm de long. En moyenne la taille se situe
entre 1 et 10 μm
• une espèce bactérienne peut apparaître sous
forme de cellules isolées séparées ou en
groupements caractéristiques variables selon les
espèces : association par paires, en amas
réguliers, en chaînette, par quatre (tétrades).
Les différentes formes et associations
bactériennes
Les diplocoques chaque cellule se divise dans un seul plan et donne
naissance à deux cellules étroitement associées . Lorsque ce mode de
division se produit régulièrement la bactérie engendre des chainettes
plus ou moins longues caractéristiques des streptocoques.
les cocci qui se divisent sur deux plans forment des groupement de
quatre cellules , tétrades
D’autres en se multipliant dans les trois direction composant des cubes
de cellules sarcina ou en amas asymetrique dite en grappe de raisin
staphylocoques
Chapitre 1Microbiologie générale.
Chapitre 1Microbiologie générale.
Chapitre 1Microbiologie générale.
Chapitre 1Microbiologie générale.
Chapitre 1Microbiologie générale.

Chapitre 1Microbiologie générale.

  • 1.
    Chapitre 1 :Le Monde microbien Présentée par: Dre. SENOUCI-REZKALLAH. K.
  • 2.
    Introduction • Les micro-organismesaussi appelés microbes et protistes, forment un ensemble d’organismes vivants microscopiques, invisibles à l’oeil nu. • C’est leur seul point commun, car ils diffèrent et varient par leur morphologie, leur physiologie, leur mode de reproduction et leur écologie. • Les protistes se composent : des bactéries, des protozoaires, des champignons (Mycètes) microscopique, et des algues. Les virus sont considérés comme des micro-organismes non vivants, acellulaires qui dépendent entièrement des cellules hôtes infectées.
  • 3.
    • La microbiologie(du grec "mikros" = petit, "bios" = vie,"logia"= théorie, science) est la science qui étudie les micro-organismes (organismes microscopiques): bactéries (→bactériologie), virus(→virologie), parasites (→ parasitologie), champignons (→ mycologie)... • Leur taille est généralement inférieure à un millimètre : ils doivent être observés au microscope (photonique ou électronique) et cultivés dans des milieux permettant leur croissance et leur isolement. • La microbiologie est divisée en plusieurs branches, en fonction du type de « microbe » étudié.
  • 7.
    Les différentes branchesde la microbiologie
  • 8.
    Quelques repères Historiques •Robert Hooke (1665) est le père de la théorie cellulaire (la plus petite unité structurale d’un organisme vivant est la cellule). • Anthony VAN LEEUWENHOEK (1632-1723), un marchand hollandais et grand amateur d’instruments d'optique, découvrit et décrivit pour la première fois, dans une série de lettres à la « Royal society of London », entre 1674 et 1687, le monde microbien. Il appela ces micro-organismes des animalcules. Il observa, l’eau de pluie, sa propre matière fécale, la matière prélevée de ses dents.
  • 9.
    • Le conceptou théorie de la génération spontanée existe depuis plusieurs dizaines de siècles 334 A.J. Le philosophe Aristote défendait cette théorie. On croyait que les organismes vivants naissaient de végétaux et d’animaux en décomposition grâce à une mystérieuse force vitale. • Après la découverte des animalcules par Van Leeuwenhoek, cette théorie se confirma, notamment par les expériences de John Needham, en 1745, qui démontra la croissance des micro-organismes dans des flacons contenant des bouillions de viande ou de maïs. Ces bouillons furent chauffés avant d’être enfermés
  • 11.
    • dans desflacons. Puis, Lazzaro Spallanzani démontra que les flacons de Needham n’étaient pas étanches. Il ferma les flacons avant le chauffage et aucune croissance ne fut observée. • Donc, les micro-organismes proviennent de l’air. Ses travaux furent critiqués par Needham (les bouchons ont empêché l’entré de la force vitale !) et par Lavoisier (La fermeture des flacons empêche l’entrée de l’oxygène, nécessaire à la vie !).
  • 12.
    Le concept dela génération spontanée • resta très ancré dans les esprits jusqu'en 1861. Le chimiste Louis Pasteur, partisan de la biogenèse prit en charge cette question. Il montre qu'aucun micro- organisme ne se développe dans un ballon fermé et stérilisé contenant de la matière organique. Bref, que la génération spontanée n'existe pas. • Il affirma la biogenèse (que l’apparition de vie dans une solution non vivante provient de la contamination par des micro-organismes présents dans l’air). Cette prouesse lui vaudra le prix de l'académie des sciences en 1862.
  • 15.
    Les microorganismes etles maladies • La relation directe entre une bactérie et une maladie a été démontrée par le médecin allemand Robert Koch (1843- 1910) en étudiant la tuberculose et son agent Mycobacterium tuberculosis. Pour affirmer cette causalité, il faut vérifier plusieurs critères rassemblés sous le nom de « Postulats de Koch ». • Robert Koch se lance dans diverses recherches (charbon, maladie du sommeil) et finit par isoler le bacille de la tuberculose, en 1882. Il se tourne ensuite vers l'étude du choléra et parvient à en déterminer l'origine et la façon dont elle se transmet à l'homme. En 1905, il reçoit le prix Nobel de médecine pour l'ensemble de ses découvertes.
  • 18.
    • En mêmetemps et à la suite d’autres scientifiques de renom : • Tyndall 1877 : découverte des spores, leur thermorésistante et il mit au point la tyndallisation. • Lister 1827-1912 : Chirurgien, il a mit au point la pratique de la chirurgie aseptique .
  • 19.
    • Winogradsky 1856-1953: Travaux sur les bactéries nitrifiantes, les bactéries fixatrices de l’azote, sulfureuses et la décomposition bactériennes de la cellulose dans les sols. • Beijerinck 1851-1931 : les bactéries fixatrices de l’azote, symbiotiques.
  • 20.
    1.2 Place desmicro-organismes dans le monde vivant • Depuis leur découverte par Anthony van Leeuwenhoeck, la place des bactéries dans le monde vivant a beaucoup évoluée. Le botaniste suédois Carl van Linné (1735), élabora une première classification des organismes vivants en deux règnes Plantae et Animalia.
  • 21.
    Le monde vivant •Règne → embranchement, division ou phylum → classe → ordre → famille → tribu → genre → espèce → variété → forme
  • 22.
    • 1.2.1 Classificationde Haeckel • En 1866, E. Haeckel divise le monde vivant en trois règnes: le règne animal, le règne végétal et le règne des protistes qui rassemble les algues, les protozoaires, les champignons et les bactéries.
  • 23.
    B- Distinction entrecellules eucaryotes et procaryotes selon E. Chatton • Dès les années 1930, E. Chatton avait nettement opposé deux types de cellules au sein du monde vivant, * la cellule eucaryote dont, le noyau est entouré d'une membrane et qui renferme un certain nombre d'organites cellulaires * et la cellule procaryote dont le noyau ne possède pas de membrane et dont l'organisation est rudimentaire.
  • 24.
    En 1968, R.G.E.Murraye divise le monde vivant en Eucaryotae" et celui des "Procaryotae" La division des "Gracilicutes" regroupant les bactéries dont la paroi a la structure des bactéries à Gram négatif. . La division des "Firmicutes". regroupant les bactéries dont la paroi a la structure des bactéries à Gram positif. . La division des "Tenericutes" rassemblant les bactéries dépourvues de paroi. La division des "Mendosicutes " correspondant aux archaebactérie s. • C- Classification selon Murray quatre divisions :
  • 25.
    L'analyse des séquencesdes ARNr (16 S)a permis à C.R. Woese de séparer tous les micro organismes vivants en trois grands groupes appelés domaines le domaine des "Bacteria" (ou "Eubacteria"), le domaine des "Archaea" (ou "Archaeobacteria") et le domaine des Eucarya.
  • 26.
    1.3. RELATIONS DESMICRO-ORGANISMES (MO) AVEC LES ETRES VIVANTS • Les micro-organismes établissent des relations étroites avec les êtres vivants. Seule une très faible proportion de ces M.O. associés à l'homme ou aux animaux est capable de produire chez eux des effets pathologiques ou une maladie infectieuse. On peut alors les classer en 2 catégories: - M.O. pathogènes - M.O. non pathogènes,
  • 27.
    M.O. non pathogènes:notions de saprophytisme et commensalisme, notion de symbiose
  • 28.
    Saprophytisme et commensalisme •Le saprophytisme désigne un mode de vie au cours duquel les micro-organismes vivent sur des matières organiques en décomposition, dans l'environnement de l'homme. • Par extension, on appelle saprophytes les micro- organismes vivant chez l'homme, sans provoquer de troubles. Ces micro-organismes saprophytes, adaptés à l'homme, constituent la flore commensale (du latin "mensa" : table → qui mange à la même table que d’autres).
  • 29.
    Symbiose • La symbioseest une association durable et réciproquement profitable entre deux organismes vivants. • La symbiose peut associer des organismes très différents :
  • 30.
    • 1) Deuxanimaux. Par exemple, les pique-bœufs sont des oiseaux d'Afrique qui mangent les parasites des buffles : l’oiseau se nourrit, et le buffle est débarrassé des insectes qui le dérangent. 2) Un végétal et un champignon. Par exemple, le lichen est une union entre une algue microscopique et un champignon. 3) Un animal et un végétal. Par exemple, quand elle vient chercher du nectar, l’abeille peut emporter du pollen qu’elle transporte jusqu’à une autre fleur. Ainsi, l’abeille se nourrit et la fleur peut se reproduire. 4) Une bactérie et un animal (par exemple les bactéries présentes dans le système digestif des herbivores et de l’homme) ou une bactérie et un végétal…
  • 31.
    • De nombreusesbactéries vivent en symbiose avec l’homme et constituent les flores de l’organisme. On distingue : • La flore résidente : ensemble des micro-organismes implantés de façon permanente. Flore résidente = flore commensale = flore saprophyte • La flore transitoire : ensemble des micro-organismes "de passage", acquis au contact des personnes, des surfaces ou objets touchés au cours des gestes quotidiens. Elle est surtout importante au niveau des parties découvertes, notamment les mains.
  • 32.
    • Ces différentessituations sont en fait liées à un équilibre. Si celui-ci est rompu, les bactéries profitent de l’opportunité pour envahir l’hôte et provoquer une maladie. Elles sont alors qualifiées de bactéries opportunistes.
  • 35.
    M.O. pathogènes • Lapathogénicité est la capacité d’une bactérie à produire une maladie chez l’homme, l’animal ou les plantes.
  • 36.
    • Les bactériespathogènes spécifiques : elles sont responsables de maladies spécifiques chez le sujet sain (ex : peste, tuberculose, choléra, typhoïde…). • Il existe cependant des individus, appelés porteurs sains ou porteurs asymptomatiques qui sont infectés par un micro-organisme pathogène mais qui ne présentent pas de signes cliniques de cette infection. Ils sont contagieux. Exemple : porteur sain de Salmonella.
  • 37.
    • Les bactériespathogènes opportunistes (occasionnelles) : elles produisent une maladie chez l’hôte dont les défenses sont compromises, chez le sujet fragilisé, chez les immunodéprimés. Ce sont des bactéries commensales ou saprophytes qui deviennent pathogènes quand l’occasion se présente.
  • 38.
    1.4. ROLE ECOLOGIQUEDES MICRO- ORGANISMES Dans l’environnement Au niveau de l’eau • Dans les écosystèmes aquatiques, les organismes les plus nombreux sont les microorganismes, les bactéries forment la composante majoritaire. Leur rôle est fondamental dans l'équilibre écologique des milieux aquatiques • Dans le milieu marin, les bactéries servent de nourriture à de nombreux organismes marins, elles favorisent la fixation d'algues ou de larves sur certains substrats, elles permettent également la dégradation de certains polluants tels que naphtalène, pesticides, cellulose, hydrocarbures, etc. Cependant, leur effet peut être nuisible. • Certaines bactéries ont la capacité de concentrer des polluants tels que les métaux lourds (mercure) ; leur consommation par des mollusques filtreurs ou des vers peut contaminer la chaîne alimentaire.
  • 39.
    • Au niveaudu sol • La flore microbienne est très variée : bactéries essentiellement (bactéries telluriques), virus, champignons, algues, protozoaires. (Fertilité du sol) • Les bactéries interviennent dans la dégradation de la cellulose, de la lignine (constituants du bois), dans la fixation d’azote etc. Elles sont abondantes au niveau des racines végétales qui leur fournissent les éléments nécessaires à leur croissance. • Cette région de symbiose entre les racines végétales et les bactéries est appelée rhizosphère.
  • 40.
    • Au niveaude l’air • La quantité de micro-organismes présents varie de façon importante selon les situations : ils sont plus nombreux : • - en été qu’en hiver, - dans les villes que dans les campagnes, - dans les écoles, les hôpitaux, les usines que dans les habitations familiales etc. • Ils jouent un rôle important de supports et vecteurs de certaines infections dites aérogènes.
  • 41.
    • 1.4.2. Lesgrands cycles biologiques • Ils s’effectuent dans la biosphère (océans, sols, partie inférieure de l’atmosphère). Chaque élément entrant dans la constitution des organismes vivants suit un cycle de transformation qui le mène des formes minérales aux formes organiques pour revenir de nouveau à ces formes minérales.
  • 43.
    • Cycle del’azote • L’azote est la principale composante de l’air (78%) est fixée par les plantes, puis par les animaux qui les consomment. Les déchets de ces plantes et de ces animaux se décomposent en matières organiques contenant de l’azote (N2). Ces matières sont elles-mêmes décomposées par des bactéries qui produisent alors de l’ammonium (NH4+). Il faut pour cela que l’eau contienne de l’oxygène (aération). L’ammonium, peu toxique, peut aussi se transformer en ammoniac qui lui est très toxique pour la faune. Puis d’autres bactéries transforment l’ammonium en nitrites (NO2-) qui sont toxiques pour les poissons. Ces nitrites sont à leur tour transformés en nitrates (NO3-) qui eux sont non- toxiques et absorbables par les plantes (c’est ce que l’on retrouve dans les engrais…). De plus, en l’absence de plantes et d’oxygène, les nitrates peuvent être retransformés en azote par des bactéries dénitrifiantes qui vont consommer l’oxygène qu’ils contiennent. La boucle est bouclée, le cycle de l’azote peut recommencer.
  • 45.
    • La médecine: •La capacité de certains microbes de synthétiser comme les antibiotiques, vaccins et autres drogues thérapeutiques, a fourni les moyens de les contrôler et lutter contre les multiples affections. • Les aliments: • Les micro-organismes sont utilisé dans l'industrie alimentaire comme la fermentation, production de vin, de fromage et de pain, yaourt. • Par ailleurs d'autres sont responsables de toxi-infection alimentaire.
  • 46.
    • Les bactérieslactiques utiles dans la fabrication de yaourts et de fromages mais aussi dans la fabrication d’une boisson . • Les corynébactéries sont présentes sur la croûte des fromages mais aussi peuvent être utilisées dans la synthèse d’acides aminés. • Les bactéries acétiques permettent la fermentation acétique, on peut les retrouver dans le vin. • Les bactéries propioniques sont nécessaires à l’affinage des fromages à pâte pressée cuite. Elles sont responsables de la conservation de ces aliments mais leur donnent aussi un goût particulier.
  • 47.
    Exemples • Les boissonsalcoolisées • La fermentation des fromages • Le Pain • Les légumes fermentés • Les poissons fermentés • Les produits laitiers fermentés Viandes fermentées et saucissons
  • 48.
    • La biotechnologie: •Les microorganismes sont utilisés pour synthétiser de nombreux métabolites ou produits du métabolisme comme l'acétone , acides organiques, enzymes microbiennes, antibiotiques……. • Ils sont utilisés dans les progrès de techniques de génie génétique ont permet le clonage de polypeptides importants sur le plans pharmaceutique (ADN recombinant). • Recherche: • Les microbes sont très utilisés comme modèle organique pour la recherche biochimique et génétique, ils sont plus faciles à utiliser que les cellules animales et végétales. Un grand nombre produit – rapidité - goût réduit. Biologie moléculaire. • Escherichia coli le cobaye
  • 49.
    Les Protistes • Lesprotistes sont définis par des propriétés communes et spécifiques : leur taille microscopique, leur organisation simple et unicellulaire pour la plus part. • • Si pluricellulaires, alors leurs cellules sont équivalentes, sans aucune différence morphologique, physiologique ou fonctionnelle.
  • 50.
    • 2.1 Structureet fonction • Une taille de loin plus réduites que celles des cellules animales et végétales. Les cellules animales et végétales sont incapables d’exister indépendamment de leur organisme. • La taille réduite des protistes confère des avantages physiologiques et une dissémination et une distribution dans la nature unique et impressionnante.
  • 51.
    2.3. Reproduction • Lesprotistes et en particulier les bactéries ont des modes de reproduction simples, spécifiques et rapides (temps de génération courts). Escherichia coli par exemple, se reproduit par simple division binaire en 20 minutes. • Cela se produit bien sûr en conditions optimales de culture en laboratoire. Ces taux de croissance exceptionnels induisent des rendements de croissances incomparables. •
  • 52.
    • 2.4 Métabolisme •Les micro-organismes et en particulier les bactéries ont une propriété fondamentale qui est la diversité de leur métabolisme. Individuellement, chaque micro- organisme est spécifiquement adapté à la métabolisation d’un nombre plus ou moins limité de substrats. • Ce qui explique leur distribution en fonction des caractéristiques nutritionnelles et physicochimiques du milieu. Mais, pris dans leur ensemble, les micro- organismes peuvent métaboliser toutes les substances organiques naturelles et même synthétiques.
  • 53.
    • 2.6 Organisationbiologique des protistes Les protistes se présentent selon deux types différents d’organisation biologique : Unicellulaires, Pluricellulaires
  • 54.
    • 2.6.1 Protistesunicellulaires C’est le cas de la plus part des protistes, bactéries, protozoaires, levures et de nombreuses algues. Une cellule unique qui se suffit à elle-même et qui constitue un organisme complet et autonome, donc doué de toutes les fonctions de la vie : nutrition, croissance et reproduction.
  • 55.
    Bactérie Levures ProtozoaireAlgue unicellulaire
  • 56.
    • 2.6.2 Protistespluricellulaires Ce sont principalement des champignons (Fungi) et des algues formés de plusieurs cellules identiques, sans aucune différence structurale ou physiologique.
  • 58.
    3. Caractéristiques généralesdes cellules procaryotes et eucaryotes • On distingue encore une fois les protistes procaryotes et les protistes eucaryotes. Sur la base de la présence ou l’absence d’une membrane nucléaire séparant le cytoplasme du matériel génétique « ADN ». • La microscopie électronique a mis en évidence d’autres différences structurales très importantes et fondamentales, induisant des comportements physiologiques et de reproduction très différents.
  • 59.
  • 61.
  • 62.
    • 2.2.4 Elémentsconstants et inconstants de la structure bactérienne • Certaines structures sont présentes chez toutes les bactéries, ce sont les éléments « constants » ; d’autres sont retrouvés seulement chez certaines bactéries : ce sont les éléments « inconstants » ou « facultatifs ».
  • 63.
    • Elément facultatifsDes bactéries • Capsule - Pili - Flagelle • Mesosome - Plasmide • Vacuole à gaz – Inclusions de réserve • La spore
  • 64.
    • Eléments constantsdes bactéries • • Paroi - membrane plasmique • Periplasme • Cytoplasme - Chromosome
  • 67.
  • 69.
  • 70.
    Techniques d’observation dela cellule bactérienne • Observation de la cellule • La mise au point du premier microscope par A. Van Leeuwenhok marque le point de départ de la microbiologie. Depuis, cet appareil a été largement amélioré. Avec des grossissements pouvant aller jusqu’à 2500 x, on peut observer des structures de l’ordre de 1 μM. • On distingue : • L’observation entre lame et lamelle, dite à l’état frais de bactéries en milieu liquide et sa variante, la coloration à l’encre de Chine (pour la mise en évidence de la capsule). Les capsules correspondent au halo clair entourant les corps bactériens en noir.
  • 71.
    Un Poste detravail
  • 72.
    Technique de lapréparation de l’état frais • • Déposer une petite goutte d’eau stérile sur la lame. • Prélever une fraction de colonies sur gélose, de préférence aux bords de celle-ci (ou prélever une petite goutte de bouillon). Faire une suspension homogène dans la goutte d’eau en incorporant progressivement l’inoculum et en remuant très délicatement (afin de ne pas casser les flagelles). • Recouvrir d’une lamelle en évitant d’enfermer des bulles d’air. Le liquide ne doit pas déborder (sinon jeter la lame dans une solution désinfectante et recommencer). • Observer rapidement à l’objectif 40 en mettant la lumière au maximum. • Après observation, jeter l’état frais dans un bac contenant un désinfectant à large spectre car les bactéries sont vivantes…
  • 73.
    • Etat fraisà l’encre de Chine L’encre de Chine, suspension de particules de carbone, sert de contrastant. – Déposer sur une lame propre, soit une goutte de culture en milieu liquide, soit une goutte d’eau distillée dans laquelle on dissociera une parcelle de colonie. – Déposer à côté une petite goutte d’encre de Chine. – Recouvrir d’une lamelle (les deux gouttes se mélangent). – Examiner la préparation à l’objectif x 40, en particulier dans la zone où l’encre de Chine est diluée . • La capsule apparaît comme un halo clair autour des corps bactériens
  • 74.
    Coloration à l’encrede chineObservation à l’état frais
  • 75.
    • b-Observation desfrottis séchés, fixés et colorés. • *La préparation et la coloration des échantillons • Bien que les microorganismes puissent être directement examiné au microscope optique, ils doivent souvent être fixé et colorer pour augmenter la visibilité • La fixation • La fixation est le procédé par lequel les structures interne et externes des cellules sont conservés et fixé en place. Elle inactive les enzymes qui peuvent détruire la morphologie cellulaire et durcit les structures pour quelle ne se modifient pas durant la coloration et l’observation. le microorganisme est habituellement tué et fermement fixé à la lame. • il existe deux types de fixation – fixation à la chaleur : consiste à chauffer doucement un film ou un frottis bactérien en le passant dans une flamme. – fixation chimique pour protéger les structures cellulaires fines .les fixateurs chimiques pénètrent dans la cellule et réagissent avec les protéines et les lipides afin de les rendre inactifs insolubles et immobiles. – ex : l’éthanol, l’acide acétique, le chlorure mercurique, le formaldéhyde….
  • 77.
  • 78.
    • Les colorationsde Gram et de Ziehl-Nielsen permettent la reconnaissance des bactéries pathogènes, d’autres font apparaitre spécifiquement les cils, les flagelles, les spores… • Les frottis sont observés à l’immersion avec une goutte d’huile spéciale entre l’objectif et la préparation, cela permet d’obtenir une image plus nette. • Toutes ces méthodes font partie de la microscopie photonique (utilisation du rayonnement lumineux).
  • 79.
    Microscopie électronique • 2.1.Principe de fonctionnement • La microscopie électronique n'utilise pas les photons pour analyser les échantillons à observer mais les électrons, ce qui va permettre de révéler les plus fines structures internes de la cellule, parfois jusqu'aux molécules, puisque les grandissements possibles vont de 1000 à 500 000 fois. Les microscopes électroniques ont un pouvoir de résolution de 0,1nm (2nm usuellement en biologie). • Il existe deux techniques d'observation en microscopie électronique : • La microscopie électronique à transmission. • La microscopie électronique à balayage.
  • 81.
    • 2.2. Microscopieélectronique à transmission • Principe • Dans le microscope électronique à transmission (MET), les électrons traversent l'échantillon et permettent de découvrir l'intérieur de la cellule. Le faisceau d'électrons est émis par un canon à électrons, focalisé sur la préparation à l'aide de lentilles électromagnétiques et la traverse. L’échantillon disperse les électrons qui le traversent et le faisceau est focalisé par les lentilles électromagnétiques pour former une image visible agrandie de l’échantillon sur un écran fluorescent • Plus la région de l’échantillon est épaisse, plus cette région de l’image est sombre puisque moins d’électrons touchent la région de l’écran fluorescent correspondante. • Seul le microscope électronique à transmission est capable de révéler les détails intracellulaires. Son grandissement est de 20 000 et sa limite de résolution est de 0,1 à 1 nm. • Cependant, le MET ne permet pas d'observer les cellules vivantes. Les coupes ultrafines de l'échantillon, placées sous vide, doivent être au préalable déshydratées, fixées puis imprégnés avec des métaux lourds (cuivre, nickel ou or)
  • 82.
  • 83.
    2.3. Microscope électroniqueà balayage • Le microscope électronique à balayage (MEB) a une résolution plus faible que celle du MET. Sa limite de résolution est de 1 à 7 nm. • Son intérêt est de pouvoir obtenir des images de cellules en 3D. • Dans le microscope électronique à balayage, les électrons ne traversent pas une coupe de l'échantillon : ils sont réfléchis par la surface de l'échantillon entier pour donner une vue en trois dimensions avec une très bonne résolution.
  • 84.
  • 85.
    a)Microscopie électronique deVibrion cholerae en contact avec les villosités intestinales. b) Staphylococcus aureus en microscopie électronique à balayage (MEB), qui permet d’obtenir des images « en relief » 3D, de la cellule bactrienne
  • 87.
    • Enfin, lesméthodes immunocytochimiques, permettent de localiser dans la cellule des molécules bactériennes. On utilise des anticorps marqués par la peroxydase, la biotine ou des molécules fluorescentes comme la fluorescéine. • La formation d’un complexe stable antigène- anticorps permet de repérer la présence d’une molécule dans la cellule.
  • 88.
    a) b) a)Immunocytochimie directeet indirecte. b)Invasion d’une cellule épithéliale par Shigella flexneri Des cellules Hela sont infectées par Shigella analysées par immunofluorescence. Bleu: F-actin; vert: bactérie; rouge: protéine bactérienne secrétée et impliquée dans l’invasion.
  • 89.
    Séparation des constituantscellulaires. • On utilise l’ultracentrifugation pour séparer les différents organites cellulaires. • Pour cela il faut ouvrir les différentes enveloppes membranes, paroi. Plusieurs méthodes pour le faire : • -Les ultrasons de fréquence comprise entre 16 kHz et 1 MHz. Ils peuvent entraîner des modifications physiques et chimiques au niveau de la paroi et entraine sa dégradation, • -Les enzymes, tel que le lysozyme qui détruit la paroi bactérienne. • -La pression osmotique, après traitement au lysozyme, les bactéries sont placées en milieu hypotonique, gonflent et éclatent. • -Le froid par plusieurs cycles de congélation/décongélation successives.
  • 90.
  • 93.
  • 94.
    • Le mélangeà étudier est déposé sur un gel placé horizontalement dans une cuve(boite)remplie avec une solution tampon • La cuve est branchée par 2 électrodes (une cathode et une anode) à un générateur de courant. • Après migration les molécules séparées se présentent sous forme de bandes • qu’on peut visualiser avec un colorant
  • 96.
    Coloration des bandesd’acides nucléiques avec le Braumure d’ethydium
  • 98.
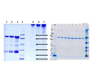
    SDS-PAGE: • PolyAcrylamideGel Electrophoresis) •Le mélange à étudier est déposé sur un gel d’ • Acrylamide coulé entre 2 plaques de verres et placé verticalement dans une cuve • Après migration les molécules séparées se présentent sous forme de bandes • qu’on peut colorer • Coloration des bandes de protéines avec le bleu de Coomassie •
  • 102.
  • 103.
    La morphologie cellulaire •2.2.1 Formes des cellules bactériennes : les bactéries sont des organismes unicellulaires de formes variées. • - bactéries de forme arrondies ou cocci, Staphylocoques, Streptocoques … • - bactéries de forme allongée ou bacille, • : E.coli, Salmonella, Bacillus. • - bactéries de forme spiralée : spirochètes, comme Treponema. • - un groupe particulier de bactéries de forme filamenteuse se rapprochant des moisissures : les Actinomycètes.
  • 104.
    • 2.2.2 Taille: les bactéries les plus petites ont une taille d’environ 0,2 μm (Chlamydia) et les plus longues certains Spirochètes peuvent atteindre 250 μm de long. En moyenne la taille se situe entre 1 et 10 μm • une espèce bactérienne peut apparaître sous forme de cellules isolées séparées ou en groupements caractéristiques variables selon les espèces : association par paires, en amas réguliers, en chaînette, par quatre (tétrades).
  • 105.
    Les différentes formeset associations bactériennes
  • 107.
    Les diplocoques chaquecellule se divise dans un seul plan et donne naissance à deux cellules étroitement associées . Lorsque ce mode de division se produit régulièrement la bactérie engendre des chainettes plus ou moins longues caractéristiques des streptocoques. les cocci qui se divisent sur deux plans forment des groupement de quatre cellules , tétrades D’autres en se multipliant dans les trois direction composant des cubes de cellules sarcina ou en amas asymetrique dite en grappe de raisin staphylocoques