DR BEN AOUN JIHÈNE
 Ensemble d’affections congénitales :
 Voies aériennes
 Parenchyme pulmonaire
 Vasculaires
 Lymphatiques
 Anomalies de développement embryologique
à différents stades
 Malformations BP dominées par 4 entités à unicité
embryologique (dystrophie parenchymateuse):
1) Malformations adénomatoïdes kystiques
pulmonaires (MAKP)
2) Kystes broncho-géniques (KB)
3) Emphysème lobaire géant (ELG)
4) Séquestration pulmonaire (SQ)
 Malformations rares: 3,4/10000
naissances
 Par ordre de fréquence
 MAKP 26%
 KB 15 à 25%
 ELG 3,5 à 15%
 SP 0,5 à 6,5%
Stade embryonnaire: 4e–6eSA
o Divisions dichotomiques du
bourgeon broncho-
pulmonaire
o Segmentation pulmonaire
Stade fœtal: 6e - 40e SA
(morphogenèse et organogenèse)
a. Stade pseudo-glandulaire: 6e - 17e SA (bronchioles
terminales)
Stade fœtal: 6e - 40e SA
(morphogenèse et organogenèse)
b. Stade canaliculaire: 16e - 26e SA
c. V.A.distales
d. V°
Stade fœtal: 6e - 40e SA
(morphogenèse et organogenèse)
c. Stade sacculaire: 26e - 36e SA .unité
fonctionnelle
.maturation
μV
Stade fœtal: 6e - 40e SA
(morphogenèse et organogenèse)
d. Alvéolaire: 36e – 40e SA
Différenciation
Maturation
Croissance
pendant les 8
premières
années de la
vie
De l’embryologie à la pathologie malformative
 Stade embryonnaire Agénésies pulmonaires
Agénésies et sténoses trachéales et laryngées
Trachéo- ou broncho-malacies
Malformations bronchiques
Lobes ectopiques
Kystes lobaires congénitaux
 Stade pseudoglandulaire Malformations adénomatoïdes kystiques
kyste bronchogénique
Séquestrations pulmonaires
Hypoplasies pulmonaires
Lymphangiectasie pulmonaire congénitale
 Stade canaliculaire Hypoplasies pulmonaires
Dysplasie acinaire
Détresse respiratoire néonatale (MMH)
Dysplasie bronchopulmonaire du prématuré
 Stades sacculaire / alvéolaire Hypoplasies pulmonaires
Dysplasie acinaire et dysplasie capillaire alvéolaire
Emphysème lobaire congénital
Détresse respiratoire néonatale (MMH)
Dysplasie bronchopulmonaire du prématuré
De l’embryologie à la pathologie malformative
 Stade embryonnaire Agénésies pulmonaires
Agénésies et sténoses trachéales et laryngées
Trachéo- ou broncho-malacies
Malformations bronchiques
Lobes ectopiques
Kystes lobaires congénitaux
 Stade pseudoglandulaire Malformations adénomatoïdes kystiques
kyste bronchogénique
Séquestrations pulmonaires
Hypoplasies pulmonaires
Lymphangiectasie pulmonaire congénitale
 Stade canaliculaire Hypoplasies pulmonaires
Dysplasie acinaire
Détresse respiratoire néonatale (MMH)
Dysplasie bronchopulmonaire du prématuré
 Stades sacculaire / alvéolaire Hypoplasies pulmonaires
Dysplasie acinaire et dysplasie capillaire alvéolaire
Emphysème lobaire congénital
Détresse respiratoire néonatale (MMH)
Dysplasie bronchopulmonaire du prématuré
De l’embryologie à la pathologie malformative
 Stade embryonnaire Agénésies pulmonaires
Agénésies et sténoses trachéales et laryngées
Trachéo- ou broncho-malacies
Malformations bronchiques
Lobes ectopiques
Kystes lobaires congénitaux
 Stade pseudoglandulaire Malformations adénomatoïdes kystiques
kyste bronchogénique
Séquestrations pulmonaires
Hypoplasies pulmonaires
Lymphangiectasie pulmonaire congénitale
 Stade canaliculaire Hypoplasies pulmonaires
Dysplasie acinaire
Détresse respiratoire néonatale (MMH)
Dysplasie bronchopulmonaire du prématuré
 Stades sacculaire / alvéolaire Hypoplasies pulmonaires
Dysplasie acinaire et dysplasie capillaire alvéolaire
Emphysème lobaire congénital
Détresse respiratoire néonatale (MMH)
Dysplasie bronchopulmonaire du prématuré
De l’embryologie à la pathologie malformative
 Stade embryonnaire Agénésies pulmonaires
Agénésies et sténoses trachéales et laryngées
Trachéo- ou broncho-malacies
Malformations bronchiques
Lobes ectopiques
Kystes lobaires congénitaux
 Stade pseudoglandulaire Malformations adénomatoïdes kystiques
kyste bronchogénique
Séquestrations pulmonaires
Hypoplasies pulmonaires
Lymphangiectasie pulmonaire congénitale
 Stade canaliculaire Hypoplasies pulmonaires
Dysplasie acinaire
Détresse respiratoire néonatale (MMH)
Dysplasie bronchopulmonaire du prématuré
 Stades sacculaire / alvéolaire Hypoplasies pulmonaires
Dysplasie acinaire et dysplasie capillaire alvéolaire
Emphysème lobaire congénital
Détresse respiratoire néonatale (MMH)
Dysplasie bronchopulmonaire du prématuré
De l’embryologie à la pathologie malformative
 Stade embryonnaire Agénésies pulmonaires
Agénésies et sténoses trachéales et laryngées
Trachéo- ou broncho-malacies
Malformations bronchiques
Lobes ectopiques
Kystes lobaires congénitaux
 Stade pseudoglandulaire Malformations adénomatoïdes kystiques
kyste bronchogénique
Séquestrations pulmonaires
Hypoplasies pulmonaires
Lymphangiectasie pulmonaire congénitale
 Stade canaliculaire Hypoplasies pulmonaires
Dysplasie acinaire
Détresse respiratoire néonatale (MMH)
Dysplasie bronchopulmonaire du prématuré
 Stades sacculaire / alvéolaire Hypoplasies pulmonaires
Dysplasie acinaire et dysplasie capillaire alvéolaire
Emphysème lobaire congénital
Détresse respiratoire néonatale (MMH)
Dysplasie bronchopulmonaire du prématuré
MAKP
MALFORMATIONS
ADÉNOMATOÏDES KYSTIQUES
DU POUMON
Introduction
 Décrit en 1949 par Ch’in et Tang.
 Défaut de développement et de maturation.
 Parenchyme hypo-vascularisé avec hyper-
prolifération des bronchioles terminales
→ « Aspect kystique »
 Hypothèse la plus connue: sténose bronchique
d’origine vasculaire.
 Études récentes: interaction inappropriée de
facteurs de croissance ( FGF7, FGF10, TGF-ß)
Classification de STOCKER
o Type 1: Macrokystique (50%)
o Type 2: Microkystique (40%)
o Type 3: Masse solide (10%)
Diagnostic anténatal
Échographie:
o Les MAKP sont facilement identifiées par
l’échographie anténatale.
o Dés la 16e SA.
o Zones hyper échogènes et/ou kystiques.
o Anomalies associées: hydramnios, anasarque,
déviation médiastinale
Diagnostic anténatal
o Classification d’Adzick:
- Forme macrokystique:kyste
>5mm, parenchyme kystique
-Forme microkystique: kyste
<5mm, masse échogène
Diagnostic anténatal
IRM foetale: MAKP gauche
Diagnostic post-natal
 La sévérité: très variable.
 Possibilité de détresse respiratoire
néonatale.
 55% des cas sont asymptomatiques.
Diagnostic post-natal
 Formes symptomatiques:
 Infections broncho-pulmonaires à répétition
 DR
 Dyspnée progressive ou simple gène
 Toux chronique
 Pneumothorax
 Hémoptysie
Examen clinique
 Asymétrie thoracique
 Hyper tympanisme
 Diminution voire abolition des MV à
l’auscultation
Imagerie: Radiographie du thorax
 Si DAN+ ou signes respiratoires
 Diagnostic positif
 Aspects ≠ type MAKP
 Image kystique inhomogène ou hydro-aérique
 Opacité pulmonaire
 Déviation du médiastin
 Nouveau-né:
 Opacité initialement simple
 Apparition secondaire de formations kystiques
 Radiographie normale ≠ diagnostic si DAN +
Imagerie: TDM
• Confirme le dg si doute
• Élimine les dg différentiels
• Précise le type, la topographie
Prise en charge et traitement
 QUAND ? QUI ?
 Précoce voire en urgence dans les formes
néonatales graves
 Dans les 1ers mois de vie si symptomatique
 Malades asymptomatiques: conduite
discutée !!!
Prise en charge et traitement
 Chirurgie foetale
 MAKP isolée (caryotype nl) avec anasarque
< 32 SA, pas de gros kyste : chirurgie materno-
foetale ouverte (survie postnatale = 50%)
< 32 SA, un ou plusieurs gros kystes : drainage
pleuro-amniotique (survie 75%)
> 32 SA : naissance programmée +/- EXIT
procedure (survie 89%)
Prise en charge et traitement
 COMMENT ?
 Chirurgical +++
 Résection pulmonaire la plus économe
 Lobectomie
 Passage en limites saines (risque de récidive)
 thoracotomie +/- vidéo-assistée
 Réanimation post opératoire adéquate
Prise en charge et traitement
 POURQUOI ?
 F.symptomatiques /Risque évolutif
 Approche conservatrice
Faible taux de complications infectieuses < 3 ans
Risques inhérents à la chirurgie thoracique
Absence de lien clairement établi entre
malformation kystique et dégénérescence
Possibilité de régression spontanée avec l’âge
Pronostic
 Après traitement
Très bon sur le plan respiratoire
 Sans traitement
 Complications infectieuses;
parasitaires
 Pneumothorax
 Hémorragie intrakystique
 Dégénérescence
KB
KYSTE BRONCHOGÉNIQUE
Introduction
 Formation kystique( arrondie/tubulaire) de
structure exclusivement bronchique.
 Unique ou multiple.
 Détachement tardif d’un bourgeon aberrant de
l’ébauche trachéo-bronchique.
 Souvent attachés à l’arbre bronchique sans
communication.
Topographie
 Médiastinale +++, sous carénaire.
 Intra-pulmonaire.
 Pleurale.
 Cervicale basse.
 Sous diaphragmatique.
Anatomo-pathologie
 Paroi de type bronchique
 Épithélium pseudo-stratifié:
 Cellules cylindriques ciliées
 Cellules caliciformes
 Muscle lisse
 Cartilage → diagnostic positif
Diagnostic anténatal
 DAN rare.
 Âge moyen: 26e SA
 Image anéchogène arrondie/oblongue.
Diagnostic postnatal
 Le mode de révélation: taille / localisation.
 Périphérique: +++ asymptomatique, de
découverte fortuite, souvent à l’âge adulte.
 Complications:
 Compressions ( ++médiastinales): stridor/
dyspnée/ cyanose/toux/wheezing/ dysphagie
Diagnostic postnatal
 Complications:
 Compressives
 Infectieuses: des territoires adjacents / du KB
« Suppuration intra-kystique » → ↗ brusque vol. KB
↓ ↓
Nécrose de la paroi S.compressifs
↓
Communication
 Hémoptysie /pneumothorax
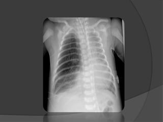
Imagerie: Radiographie du thorax
« KB
périphérique
infecté »
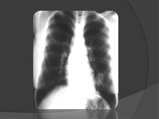
Imagerie: Radiographie du thorax
Opacité hétérogène
para-hilaire droite:
KB
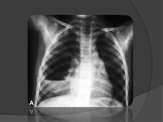
Imagerie: Radiographie du thorax +
opacification oesophagienne
Opacité para-
trachéale droite
haute
Empreinte du KB sur
l’œsophage sup
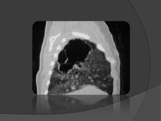
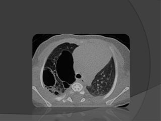
Imagerie: TDM
Imagerie: TDM thoracique
Hyperdensité
sous
carénaire
comprimant
principalemen
t la BSG
Évolution
o Complications très fréquentes
o Surinfection
o Compression
o Trachéo-malacie
o Abcès pulmonaire
o Dégénérescence
Traitement
 Chirurgical
 Exérèse complète si possible
 Exérèse +++ muqueuse
 +++ thoracoscopie; thoracotomie vidéo-
assistée
 Histologie
 Le diagnostic de certitude est
histologique
ELG
EMPHYSÈME LOBAIRE
GÉANT
Généralités
 Fréquence: 3,5 à 15% des MBP
 Sex ratio: 2 à 3G/1F
 Topographie: lobes supérieurs ++G/ lobe moyen
 Atteinte familiale possible
 Malformations associées: +++ cardiaques
Définition
 Emphysème pulmonaire obstructif post natal
sur parenchyme non détruit
 Obstruction en amont: Effet clapet bronchique
Anomalie cartilage (>50 %), bronchomalacie
Obstacle muqueux: diaphragme, bouchon ou replis
Compression extrinsèque: masse médiastinale, arc
vasculaire ou torsion pédicule
 idiopathique: 40%
Circonstances de découverte
 À la naissance: 33%
 Avant l’âge d’un mois: > 50%
 Rare au-delà de 6 mois
 Dyspnée +++, progressive / DRN !!!! Intervalle libre
 Polypnée, cyanose, toux sèche
 Asymptomatique
 DAN: si l’anomalie causale est visible
Clinique
 Cyanose +/- Signes de lutte +/- wheezing
 Surélévation d’un hémi-thorax distendu et peu
mobile
 Hypersonore
 ↓↓↓ MV et déviation des BDC
 Absence de fièvre Origine malformative !!
Imagerie
 La radiographie du thorax: Diagnostic (+)
Topographie
 Hyper clarté homogène compressive
 Trame vasculaire conservée mais grêle
 Signes de distension thoracique
 Hernie médiastinale + refoulement
controlatéral
 Pseudo-pneumothorax
Imagerie
 Le scanner thoracique: confirme le diagnostic
Le lobe atteint = hyperclair et hypovascularisé
 Plus sensible:
 Aspect caractéristique des structures vasculaires
étirées et grêles
 Localisation
 Étiologie
 Diagnostic différentiel
Exploration isotopique
 La scintigraphie de perfusion-ventilation
 Perfusion: Hypofixation
Hypovascularisation du lobe emphysémateux
Ventilation: Une lacune à l’inspiration
Un foyer radioactif isolé à l’expiration
hypoventilation + trapping
Exploration endoscopique
 La bronchoscopie : délaissée
 Risque d’hyperpression surajoutée !!!
 ? Étiologie, diagnostic différentiel
Diagnostics différentiels (1)
 Emphysème compensateur
 une atélectasie homolatérale / une hypoplasie
controlatérale
 La radiographie du thorax ne permet pas de trancher
 TDM: étude du poumon controlatéral et homolatéral
 Scintigraphie: ventilation normale+hypervascularisation
 ELG / Emphysème compensateur ≠ lobectomies
abusives
Diagnostics différentiels (2)
 Pneumothorax
 Corps étranger
 Hernie diaphragmatique
 Pneumatocèle post infectieuse
Prise en charge et traitement (1)
 QUAND ?
 EN EXTRÊME URGENCE si DRN !!!
 Différé: forme dyspnéique simple, mais
VIGILANCE risque d’aggravation !!!
 Dés la confirmation du diagnostic si la
découverte est fortuite
Prise en charge et traitement (2)
 Comment ?
 CHIRURGIE +++ / Réanimation péri-opératoire
 Territoire difficile à repérer : exérèse complète
 Voies d’abords:
 Thoracotomie +/- vidéo-assistée
 Thoracoscopie exclusive
 Thoracotomie de décompression
 Lobectomie/ bi-lobectomie/ traitement étiologique
Prise en charge et traitement (3)
 Comment ?
 Traitement conservateur: formes
spontanément résolutives (très rares)
Évolution et suivi
 Surveillance avant le traitement: risque
évolutif
 Après la chirurgie:
bon pronostic
la croissance du lobe restant ≈ 90%
SP
SÉQUESTRATION PULMONAIRE
Généralités
 PRYCE 1946.
 0,5 à 6,5% des MBP
 Tissu pulmonaire non fonctionnel.
 Pas de communication avec l’arbre trachéo-
bronchique.
 Vaisseau systémique aberrant.
 Congénitale/acquise.
 Intra/extra-lobaire.
Séquestration intra-lobaire
(SIL)
 La plus fréquente: 75%
 Sex ratio: 1/1
 Adolescent et adulte
jeune
 Clinique: infections
respiratoires
récidivantes/ accidents
hémorragiques
 Malformations associées:
rares
SIL: Physiopathologie
 5% congénitale
 Stocker et al. : obstruction bronchique
périnatale => pneumonie => recrutement
d’un supplément oxygéné par les
adhérences pleurales qui s’autonomise et
persiste après guérison
SIL: caractères anatomiques
 À l’intérieur de la plèvre viscérale
 60% G ; > 90% lobe inférieur
 Rougeâtre, structure variable : aérée,
kystique ou pseudo-tumorale
 Apport artériel: aorte ou coll.
 Retour veineux: 95% V pulmonaire, 5%
systémique
SIL: classification de Pryce
 Type I : Artère anormale + poumon normal
 Type II : Artère anormale + masse
séquestrée + poumon normal
 Type III : Artère anormale + masse
séquestrée
Séquestration extra-lobaire
(SEL)
 Sex ratio: 3G/1F
 6 premiers mois de vie
 Clinique: signes respiratoires,
difficultés alimentaires ou
insuffisance cardiaque
 Asymptomatique: 10%
 Malformations associées: 65%
 Risque de dégénérescence !!!
SEL: caractères anatomiques
 Enveloppe pleurale propre
 90% G
 75% entre le lobe inférieur et la coupole
diaphragmatique gauches
 Rouge hépatisée
 10% intra-abdominales/ 15% médiastinales
SEL: caractères anatomiques
 Apport artériel: 95% aorte ou coll./ 5% A
pulmonaire
 Retour veineux: 80% systémique/ 20% V
pulmonaire
 Connexion bronchique possible avec poumon
ou œsophage
SEL: malformations associées
 Autres MBP: 25%
 MAKP +++
 KB/ hypoplasie/ ELG
 Formes hybrides
 Hernie congénitale de la coupole
diaphragmatique: 16%
 Cardiaques/ duplications digestives/ syndrome
de Cimeterre
Diagnostic anténatal
 Dés la 19e SA par échographie
 Images hyper-échogènes circonscrites
homogènes volontiers arrondies dans la
SIL et triangulaires dans la SEL
 Doppler: vaisseau systémique
 Recherche de malformations associées
IMAGERIE:
LA RADIOGRAPHIE DU THORAX
 Opacité généralement lobaire inférieure,
+++ G, bien limitée homogène pouvant être
le siège d’un niveau hydro-aérique
 Arrondie → SIL / Triangulaire → SEL
 Artère systémique:
rarement visualisée.
image basithoracique interne tubulée,
homolatérale.
IMAGERIE:
L’ÉCHOGRAPHIE THORACIQUE
 Masse solide très échogène
 Doppler: artère systémique aberrante +
veine de drainage
IMAGERIE:
LE SCANNER THORACIQUE
 Masse kystique ou tissulaire
 Anomalies de perfusion en périphérie
 TDM+ PDC ====> EXAMEN DE CHOIX
artère systémique + étude du retour
veineux
Artère naissant du bord
latéral gauche de l’aorte
destinée au LIG
Masse kystique du LIG
avec hypovascularisation
localisée
Vaisseau de gros calibre naissant
de la face latérale gauche de
l’aorte descendante
IMAGERIE
 IRM: l’artère systémique par l’angio-IRM
mais n’étudie pas le parenchyme.
 L’artériographie:1er temps d’un
traitement endo-vasculaire.
IMAGERIE:
Malformations associées
TOGD:
duplication
oesophagienne
IMAGERIE:
Malformations associées
IRM: hernie
diaphragmatique G
TRAITEMENT
 Traitement chirurgical +++.
 Principes: Ligature-section du vaisseau
systémique /Exérèse territoire séquestré
 SEL: exérèse sélective.
 SIL: lobectomie.
 L’embolisation des vaisseaux aberrants : ↓ ↓ ↓
les risques vasculaires.
Conclusion
o MBP: affections rares.
o Signes respiratoires non spécifiques.
o Tableaux p-e dramatiques.
o Intérêt du DAN dans la planification d’une
stratégie de prise en charge post natale.
o Place de l’imagerie conventionnelle et moderne
+++
o Chirurgie incontournable
o Bon pronostic à moyen et long terme.
MERCI

bp

  • 1.
    DR BEN AOUNJIHÈNE
  • 2.
     Ensemble d’affectionscongénitales :  Voies aériennes  Parenchyme pulmonaire  Vasculaires  Lymphatiques  Anomalies de développement embryologique à différents stades
  • 3.
     Malformations BPdominées par 4 entités à unicité embryologique (dystrophie parenchymateuse): 1) Malformations adénomatoïdes kystiques pulmonaires (MAKP) 2) Kystes broncho-géniques (KB) 3) Emphysème lobaire géant (ELG) 4) Séquestration pulmonaire (SQ)
  • 4.
     Malformations rares:3,4/10000 naissances  Par ordre de fréquence  MAKP 26%  KB 15 à 25%  ELG 3,5 à 15%  SP 0,5 à 6,5%
  • 11.
    Stade embryonnaire: 4e–6eSA oDivisions dichotomiques du bourgeon broncho- pulmonaire o Segmentation pulmonaire
  • 12.
    Stade fœtal: 6e- 40e SA (morphogenèse et organogenèse) a. Stade pseudo-glandulaire: 6e - 17e SA (bronchioles terminales)
  • 13.
    Stade fœtal: 6e- 40e SA (morphogenèse et organogenèse) b. Stade canaliculaire: 16e - 26e SA c. V.A.distales d. V°
  • 14.
    Stade fœtal: 6e- 40e SA (morphogenèse et organogenèse) c. Stade sacculaire: 26e - 36e SA .unité fonctionnelle .maturation μV
  • 15.
    Stade fœtal: 6e- 40e SA (morphogenèse et organogenèse) d. Alvéolaire: 36e – 40e SA Différenciation Maturation Croissance pendant les 8 premières années de la vie
  • 17.
    De l’embryologie àla pathologie malformative  Stade embryonnaire Agénésies pulmonaires Agénésies et sténoses trachéales et laryngées Trachéo- ou broncho-malacies Malformations bronchiques Lobes ectopiques Kystes lobaires congénitaux  Stade pseudoglandulaire Malformations adénomatoïdes kystiques kyste bronchogénique Séquestrations pulmonaires Hypoplasies pulmonaires Lymphangiectasie pulmonaire congénitale  Stade canaliculaire Hypoplasies pulmonaires Dysplasie acinaire Détresse respiratoire néonatale (MMH) Dysplasie bronchopulmonaire du prématuré  Stades sacculaire / alvéolaire Hypoplasies pulmonaires Dysplasie acinaire et dysplasie capillaire alvéolaire Emphysème lobaire congénital Détresse respiratoire néonatale (MMH) Dysplasie bronchopulmonaire du prématuré
  • 18.
    De l’embryologie àla pathologie malformative  Stade embryonnaire Agénésies pulmonaires Agénésies et sténoses trachéales et laryngées Trachéo- ou broncho-malacies Malformations bronchiques Lobes ectopiques Kystes lobaires congénitaux  Stade pseudoglandulaire Malformations adénomatoïdes kystiques kyste bronchogénique Séquestrations pulmonaires Hypoplasies pulmonaires Lymphangiectasie pulmonaire congénitale  Stade canaliculaire Hypoplasies pulmonaires Dysplasie acinaire Détresse respiratoire néonatale (MMH) Dysplasie bronchopulmonaire du prématuré  Stades sacculaire / alvéolaire Hypoplasies pulmonaires Dysplasie acinaire et dysplasie capillaire alvéolaire Emphysème lobaire congénital Détresse respiratoire néonatale (MMH) Dysplasie bronchopulmonaire du prématuré
  • 19.
    De l’embryologie àla pathologie malformative  Stade embryonnaire Agénésies pulmonaires Agénésies et sténoses trachéales et laryngées Trachéo- ou broncho-malacies Malformations bronchiques Lobes ectopiques Kystes lobaires congénitaux  Stade pseudoglandulaire Malformations adénomatoïdes kystiques kyste bronchogénique Séquestrations pulmonaires Hypoplasies pulmonaires Lymphangiectasie pulmonaire congénitale  Stade canaliculaire Hypoplasies pulmonaires Dysplasie acinaire Détresse respiratoire néonatale (MMH) Dysplasie bronchopulmonaire du prématuré  Stades sacculaire / alvéolaire Hypoplasies pulmonaires Dysplasie acinaire et dysplasie capillaire alvéolaire Emphysème lobaire congénital Détresse respiratoire néonatale (MMH) Dysplasie bronchopulmonaire du prématuré
  • 20.
    De l’embryologie àla pathologie malformative  Stade embryonnaire Agénésies pulmonaires Agénésies et sténoses trachéales et laryngées Trachéo- ou broncho-malacies Malformations bronchiques Lobes ectopiques Kystes lobaires congénitaux  Stade pseudoglandulaire Malformations adénomatoïdes kystiques kyste bronchogénique Séquestrations pulmonaires Hypoplasies pulmonaires Lymphangiectasie pulmonaire congénitale  Stade canaliculaire Hypoplasies pulmonaires Dysplasie acinaire Détresse respiratoire néonatale (MMH) Dysplasie bronchopulmonaire du prématuré  Stades sacculaire / alvéolaire Hypoplasies pulmonaires Dysplasie acinaire et dysplasie capillaire alvéolaire Emphysème lobaire congénital Détresse respiratoire néonatale (MMH) Dysplasie bronchopulmonaire du prématuré
  • 21.
    De l’embryologie àla pathologie malformative  Stade embryonnaire Agénésies pulmonaires Agénésies et sténoses trachéales et laryngées Trachéo- ou broncho-malacies Malformations bronchiques Lobes ectopiques Kystes lobaires congénitaux  Stade pseudoglandulaire Malformations adénomatoïdes kystiques kyste bronchogénique Séquestrations pulmonaires Hypoplasies pulmonaires Lymphangiectasie pulmonaire congénitale  Stade canaliculaire Hypoplasies pulmonaires Dysplasie acinaire Détresse respiratoire néonatale (MMH) Dysplasie bronchopulmonaire du prématuré  Stades sacculaire / alvéolaire Hypoplasies pulmonaires Dysplasie acinaire et dysplasie capillaire alvéolaire Emphysème lobaire congénital Détresse respiratoire néonatale (MMH) Dysplasie bronchopulmonaire du prématuré
  • 22.
  • 23.
    Introduction  Décrit en1949 par Ch’in et Tang.  Défaut de développement et de maturation.  Parenchyme hypo-vascularisé avec hyper- prolifération des bronchioles terminales → « Aspect kystique »  Hypothèse la plus connue: sténose bronchique d’origine vasculaire.  Études récentes: interaction inappropriée de facteurs de croissance ( FGF7, FGF10, TGF-ß)
  • 24.
    Classification de STOCKER oType 1: Macrokystique (50%) o Type 2: Microkystique (40%) o Type 3: Masse solide (10%)
  • 26.
    Diagnostic anténatal Échographie: o LesMAKP sont facilement identifiées par l’échographie anténatale. o Dés la 16e SA. o Zones hyper échogènes et/ou kystiques. o Anomalies associées: hydramnios, anasarque, déviation médiastinale
  • 27.
    Diagnostic anténatal o Classificationd’Adzick: - Forme macrokystique:kyste >5mm, parenchyme kystique -Forme microkystique: kyste <5mm, masse échogène
  • 28.
  • 29.
    Diagnostic post-natal  Lasévérité: très variable.  Possibilité de détresse respiratoire néonatale.  55% des cas sont asymptomatiques.
  • 30.
    Diagnostic post-natal  Formessymptomatiques:  Infections broncho-pulmonaires à répétition  DR  Dyspnée progressive ou simple gène  Toux chronique  Pneumothorax  Hémoptysie
  • 31.
    Examen clinique  Asymétriethoracique  Hyper tympanisme  Diminution voire abolition des MV à l’auscultation
  • 32.
    Imagerie: Radiographie duthorax  Si DAN+ ou signes respiratoires  Diagnostic positif  Aspects ≠ type MAKP  Image kystique inhomogène ou hydro-aérique  Opacité pulmonaire  Déviation du médiastin  Nouveau-né:  Opacité initialement simple  Apparition secondaire de formations kystiques  Radiographie normale ≠ diagnostic si DAN +
  • 38.
    Imagerie: TDM • Confirmele dg si doute • Élimine les dg différentiels • Précise le type, la topographie
  • 42.
    Prise en chargeet traitement  QUAND ? QUI ?  Précoce voire en urgence dans les formes néonatales graves  Dans les 1ers mois de vie si symptomatique  Malades asymptomatiques: conduite discutée !!!
  • 43.
    Prise en chargeet traitement  Chirurgie foetale  MAKP isolée (caryotype nl) avec anasarque < 32 SA, pas de gros kyste : chirurgie materno- foetale ouverte (survie postnatale = 50%) < 32 SA, un ou plusieurs gros kystes : drainage pleuro-amniotique (survie 75%) > 32 SA : naissance programmée +/- EXIT procedure (survie 89%)
  • 45.
    Prise en chargeet traitement  COMMENT ?  Chirurgical +++  Résection pulmonaire la plus économe  Lobectomie  Passage en limites saines (risque de récidive)  thoracotomie +/- vidéo-assistée  Réanimation post opératoire adéquate
  • 46.
    Prise en chargeet traitement  POURQUOI ?  F.symptomatiques /Risque évolutif  Approche conservatrice Faible taux de complications infectieuses < 3 ans Risques inhérents à la chirurgie thoracique Absence de lien clairement établi entre malformation kystique et dégénérescence Possibilité de régression spontanée avec l’âge
  • 48.
    Pronostic  Après traitement Trèsbon sur le plan respiratoire  Sans traitement  Complications infectieuses; parasitaires  Pneumothorax  Hémorragie intrakystique  Dégénérescence
  • 49.
  • 50.
    Introduction  Formation kystique(arrondie/tubulaire) de structure exclusivement bronchique.  Unique ou multiple.  Détachement tardif d’un bourgeon aberrant de l’ébauche trachéo-bronchique.  Souvent attachés à l’arbre bronchique sans communication.
  • 51.
    Topographie  Médiastinale +++,sous carénaire.  Intra-pulmonaire.  Pleurale.  Cervicale basse.  Sous diaphragmatique.
  • 52.
    Anatomo-pathologie  Paroi detype bronchique  Épithélium pseudo-stratifié:  Cellules cylindriques ciliées  Cellules caliciformes  Muscle lisse  Cartilage → diagnostic positif
  • 53.
    Diagnostic anténatal  DANrare.  Âge moyen: 26e SA  Image anéchogène arrondie/oblongue.
  • 54.
    Diagnostic postnatal  Lemode de révélation: taille / localisation.  Périphérique: +++ asymptomatique, de découverte fortuite, souvent à l’âge adulte.  Complications:  Compressions ( ++médiastinales): stridor/ dyspnée/ cyanose/toux/wheezing/ dysphagie
  • 55.
    Diagnostic postnatal  Complications: Compressives  Infectieuses: des territoires adjacents / du KB « Suppuration intra-kystique » → ↗ brusque vol. KB ↓ ↓ Nécrose de la paroi S.compressifs ↓ Communication  Hémoptysie /pneumothorax
  • 56.
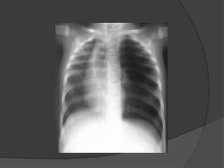
    Imagerie: Radiographie duthorax « KB périphérique infecté »
  • 57.
    Imagerie: Radiographie duthorax Opacité hétérogène para-hilaire droite: KB
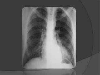
  • 58.
    Imagerie: Radiographie duthorax + opacification oesophagienne Opacité para- trachéale droite haute Empreinte du KB sur l’œsophage sup
  • 59.
  • 60.
  • 61.
    Évolution o Complications trèsfréquentes o Surinfection o Compression o Trachéo-malacie o Abcès pulmonaire o Dégénérescence
  • 62.
    Traitement  Chirurgical  Exérèsecomplète si possible  Exérèse +++ muqueuse  +++ thoracoscopie; thoracotomie vidéo- assistée  Histologie  Le diagnostic de certitude est histologique
  • 64.
  • 65.
    Généralités  Fréquence: 3,5à 15% des MBP  Sex ratio: 2 à 3G/1F  Topographie: lobes supérieurs ++G/ lobe moyen  Atteinte familiale possible  Malformations associées: +++ cardiaques
  • 66.
    Définition  Emphysème pulmonaireobstructif post natal sur parenchyme non détruit  Obstruction en amont: Effet clapet bronchique Anomalie cartilage (>50 %), bronchomalacie Obstacle muqueux: diaphragme, bouchon ou replis Compression extrinsèque: masse médiastinale, arc vasculaire ou torsion pédicule  idiopathique: 40%
  • 67.
    Circonstances de découverte À la naissance: 33%  Avant l’âge d’un mois: > 50%  Rare au-delà de 6 mois  Dyspnée +++, progressive / DRN !!!! Intervalle libre  Polypnée, cyanose, toux sèche  Asymptomatique  DAN: si l’anomalie causale est visible
  • 68.
    Clinique  Cyanose +/-Signes de lutte +/- wheezing  Surélévation d’un hémi-thorax distendu et peu mobile  Hypersonore  ↓↓↓ MV et déviation des BDC  Absence de fièvre Origine malformative !!
  • 69.
    Imagerie  La radiographiedu thorax: Diagnostic (+) Topographie  Hyper clarté homogène compressive  Trame vasculaire conservée mais grêle  Signes de distension thoracique  Hernie médiastinale + refoulement controlatéral  Pseudo-pneumothorax
  • 72.
    Imagerie  Le scannerthoracique: confirme le diagnostic Le lobe atteint = hyperclair et hypovascularisé  Plus sensible:  Aspect caractéristique des structures vasculaires étirées et grêles  Localisation  Étiologie  Diagnostic différentiel
  • 75.
    Exploration isotopique  Lascintigraphie de perfusion-ventilation  Perfusion: Hypofixation Hypovascularisation du lobe emphysémateux Ventilation: Une lacune à l’inspiration Un foyer radioactif isolé à l’expiration hypoventilation + trapping
  • 77.
    Exploration endoscopique  Labronchoscopie : délaissée  Risque d’hyperpression surajoutée !!!  ? Étiologie, diagnostic différentiel
  • 78.
    Diagnostics différentiels (1) Emphysème compensateur  une atélectasie homolatérale / une hypoplasie controlatérale  La radiographie du thorax ne permet pas de trancher  TDM: étude du poumon controlatéral et homolatéral  Scintigraphie: ventilation normale+hypervascularisation  ELG / Emphysème compensateur ≠ lobectomies abusives
  • 79.
    Diagnostics différentiels (2) Pneumothorax  Corps étranger  Hernie diaphragmatique  Pneumatocèle post infectieuse
  • 80.
    Prise en chargeet traitement (1)  QUAND ?  EN EXTRÊME URGENCE si DRN !!!  Différé: forme dyspnéique simple, mais VIGILANCE risque d’aggravation !!!  Dés la confirmation du diagnostic si la découverte est fortuite
  • 81.
    Prise en chargeet traitement (2)  Comment ?  CHIRURGIE +++ / Réanimation péri-opératoire  Territoire difficile à repérer : exérèse complète  Voies d’abords:  Thoracotomie +/- vidéo-assistée  Thoracoscopie exclusive  Thoracotomie de décompression  Lobectomie/ bi-lobectomie/ traitement étiologique
  • 82.
    Prise en chargeet traitement (3)  Comment ?  Traitement conservateur: formes spontanément résolutives (très rares)
  • 85.
    Évolution et suivi Surveillance avant le traitement: risque évolutif  Après la chirurgie: bon pronostic la croissance du lobe restant ≈ 90%
  • 86.
  • 87.
    Généralités  PRYCE 1946. 0,5 à 6,5% des MBP  Tissu pulmonaire non fonctionnel.  Pas de communication avec l’arbre trachéo- bronchique.  Vaisseau systémique aberrant.  Congénitale/acquise.  Intra/extra-lobaire.
  • 88.
    Séquestration intra-lobaire (SIL)  Laplus fréquente: 75%  Sex ratio: 1/1  Adolescent et adulte jeune  Clinique: infections respiratoires récidivantes/ accidents hémorragiques  Malformations associées: rares
  • 89.
    SIL: Physiopathologie  5%congénitale  Stocker et al. : obstruction bronchique périnatale => pneumonie => recrutement d’un supplément oxygéné par les adhérences pleurales qui s’autonomise et persiste après guérison
  • 90.
    SIL: caractères anatomiques À l’intérieur de la plèvre viscérale  60% G ; > 90% lobe inférieur  Rougeâtre, structure variable : aérée, kystique ou pseudo-tumorale  Apport artériel: aorte ou coll.  Retour veineux: 95% V pulmonaire, 5% systémique
  • 91.
    SIL: classification dePryce  Type I : Artère anormale + poumon normal  Type II : Artère anormale + masse séquestrée + poumon normal  Type III : Artère anormale + masse séquestrée
  • 92.
    Séquestration extra-lobaire (SEL)  Sexratio: 3G/1F  6 premiers mois de vie  Clinique: signes respiratoires, difficultés alimentaires ou insuffisance cardiaque  Asymptomatique: 10%  Malformations associées: 65%  Risque de dégénérescence !!!
  • 93.
    SEL: caractères anatomiques Enveloppe pleurale propre  90% G  75% entre le lobe inférieur et la coupole diaphragmatique gauches  Rouge hépatisée  10% intra-abdominales/ 15% médiastinales
  • 94.
    SEL: caractères anatomiques Apport artériel: 95% aorte ou coll./ 5% A pulmonaire  Retour veineux: 80% systémique/ 20% V pulmonaire  Connexion bronchique possible avec poumon ou œsophage
  • 95.
    SEL: malformations associées Autres MBP: 25%  MAKP +++  KB/ hypoplasie/ ELG  Formes hybrides  Hernie congénitale de la coupole diaphragmatique: 16%  Cardiaques/ duplications digestives/ syndrome de Cimeterre
  • 96.
    Diagnostic anténatal  Désla 19e SA par échographie  Images hyper-échogènes circonscrites homogènes volontiers arrondies dans la SIL et triangulaires dans la SEL  Doppler: vaisseau systémique  Recherche de malformations associées
  • 98.
    IMAGERIE: LA RADIOGRAPHIE DUTHORAX  Opacité généralement lobaire inférieure, +++ G, bien limitée homogène pouvant être le siège d’un niveau hydro-aérique  Arrondie → SIL / Triangulaire → SEL  Artère systémique: rarement visualisée. image basithoracique interne tubulée, homolatérale.
  • 101.
    IMAGERIE: L’ÉCHOGRAPHIE THORACIQUE  Massesolide très échogène  Doppler: artère systémique aberrante + veine de drainage
  • 102.
    IMAGERIE: LE SCANNER THORACIQUE Masse kystique ou tissulaire  Anomalies de perfusion en périphérie  TDM+ PDC ====> EXAMEN DE CHOIX artère systémique + étude du retour veineux
  • 103.
    Artère naissant dubord latéral gauche de l’aorte destinée au LIG Masse kystique du LIG avec hypovascularisation localisée
  • 104.
    Vaisseau de groscalibre naissant de la face latérale gauche de l’aorte descendante
  • 106.
    IMAGERIE  IRM: l’artèresystémique par l’angio-IRM mais n’étudie pas le parenchyme.  L’artériographie:1er temps d’un traitement endo-vasculaire.
  • 107.
  • 108.
  • 109.
    TRAITEMENT  Traitement chirurgical+++.  Principes: Ligature-section du vaisseau systémique /Exérèse territoire séquestré  SEL: exérèse sélective.  SIL: lobectomie.  L’embolisation des vaisseaux aberrants : ↓ ↓ ↓ les risques vasculaires.
  • 115.
    Conclusion o MBP: affectionsrares. o Signes respiratoires non spécifiques. o Tableaux p-e dramatiques. o Intérêt du DAN dans la planification d’une stratégie de prise en charge post natale. o Place de l’imagerie conventionnelle et moderne +++ o Chirurgie incontournable o Bon pronostic à moyen et long terme.
  • 116.

Notes de l'éditeur

  • #7 LE DISPOSITIF INITIAL: DISQUE EMBRYONNAIRE TRIDERMIQUE, PLAT et OVALAIRE (fin de la 3è sem.)
  • #8 LE DISPOSITIF INITIAL: DISQUE EMBRYONNAIRE TRIDERMIQUE, PLAT et OVALAIRE (fin de la 3è sem.)
  • #27 Les plus accessibles au DAN
  • #28 Les plus accessibles au DAN
  • #31 Foyer au même endroit
  • #33 Images variables selon le type de MAKP
  • #45 Exit atrésie trachéale
  • #46 Économe mais suffisante
  • #49 carcinome bronchio-alvéolaire, de rhabdomyosarcome ou de pleuro-pneumoblastome
  • #51 Évolution kystique (+++ les lobes inférieurs),
  • #55 Taille augmente avec l’âge
  • #56 Taille augmente avec l’âge
  • #57 Le KB peut apparaître uniformément liquide ou solide, ou hétérogène.
  • #59 Endoscopie ? Fistules ou de compression bronchique
  • #67 D’un ou plusieurs lobes / emphysémateux Anomalie cartilage à type d’immaturité
  • #68 Les découverte plus tardives sont exceptionnelles Comme toutes les MBP: signes non spécifiques Dyspnée d’autant plus sévère que l’âge de début est précoce
  • #69 Battement des ailes du nez, tirage sus sternal voire intercostal Asymétrie thoracique tympanique à la percussion
  • #70 Hyper clarté homogène peut occuper tout un hémi champs traduisant la distension lobaire, hernie du lobe atteint dans le médiastin
  • #73 Hyper clarté homogène peut occuper tout un hémi champs traduisant la distension lobaire
  • #74 Distension d’un lobe emphysémateux comprimant le parenchyme adjacent et le médiastin
  • #77 Hypofixation- hypoperfusion
  • #79 diagnostic différentiel le plus tenace La visualisation directe de la segmentation bronchique permet d’éliminer une hypoplasie du poumon controlatéral D’autre part, la TDM permet aussi de visualiser le parenchyme atélectasique. Quand celui-ci est pathologique, l’emphysème est très probablement secondaire
  • #80 Un pneumothorax: le moignon pulmonaire rattatiné au hile et l’absence totale de vaisceaux et de bronches permettent de rectifier facilement le diagnostic - Un emphysème obstructif par un corps étranger:
  • #88 un tissu pulmonaire non fonctionnel. Ce tissu est caractérisé par la séparation de ses connections bronchiques et vasculaires normales et par la vascularisation par une ou plusieurs artères systémiques issues directement de l’aorte ou ses collatérales.
  • #93 Asymptomatique: adulte
  • #94 dans l’angle costo-diaphragmatique.
  • #96 survenue classique au sein d’une malformation pré-existante : MAKP $ de cimeterre (V pulm droites => VCI shunt gche-drt + hypoplasie pulmonaire+ dextro-cardie+ anomalies artérielles de degrés variables+ malformations cardiaques et pulmonaires
  • #99 Une radiographie thoracique normale n’élimine pas le diagnostic. Artèresystémique: rarement visualisée
  • #108 Une radiographie thoracique normale n’élimine pas le diagnostic. Artère systémique: rarement visualisée
  • #109 Une radiographie thoracique normale n’élimine pas le diagnostic. Artère systémique: rarement visualisée
  • #113 Vue vidéothoracoscopique G -Poumon séquestré -Poumon normal