Tétralogie de Fallot
Le 20.01.2014
S. Hassam
Définition
• Cardiopathie cyanogène la plus fréquente :
– 1 naissance sur 3500
– 7-10 % des cardiopathies congénitales
• Atteinte cono-troncale
• Association de 4 anomalies :
– Dextroposition aortique : aorte « à cheval »
– Communication inter-ventriculaire haute
– Obstacle sur la voie VD-AP
– Hypertrophie VD
• Pentalogie de Fallot si CIA associée
Physiopathologie
Mécanisme
• Unique : anomalie de bascule du septum
conal qui se déplace en avant et à droite 
« monologie » de Fallot
• Génétique : cas sporadiques, syndrome de Di
George
Conséquences
• Shunt inter-ventriculaire :
– Gauche  droite puis droite  gauche
• Hypoperfusion pulmonaire
• Histoire naturelle :
– Polyglobulie
– AVC
– Abcès cérébral
– Endocardite infectieuse
 Décès avant âge adulte
Sténose pulmonaire
• Peut siéger à différents niveaux sur la voie
droite : infundibulum
(constante), anneau, valve, AP
• Dynamique car composante musculaire : rôle
du SNA
• Augmentation shunt D-G par stress
 crise hypoxique / spasme infundibulaire =
complication aigue principale de la T4F
Clinique
Nouveau-né
• Asymptomatique :
– Sténose peu serrée initialement
– Protection pulmonaire dans contexte de shunt
– Diagnostic auscultatoire
• Formes extrêmes : ducto-dépendantes
Nourrisson
• Pas de retard pondéral
• Cyanose progressive à partir de 6 mois
• Crises hypoxiques vers 1 an
Enfant
• Clinique rare car opérés avant
• Cyanose centrale, majorée à l’effort et au froid
• Hippocratisme digital
• Squatting : diminue le shunt D-G
– en majorant les résistances artérielles
périphériques
– En augmentant le débit pulmonaire par
majoration du retour veineux
• Retard staturo-pondéral
Signes physiques chez l’enfant
• Signe de Harzer
• Auscultation :
– Click éjectionnel du B1 (par dilatation aortique)
– B2 claqué : aortique, car pulm inaudible
– Souffle éjectionnel losangique, durée fonction
degré sténose (court = sténose serrée)
Crise hypoxique
• Caractéristique de la T4F
• Déclenchée par : lever, stress, bain
• Tachypnée, cyanose  syncope
• Abolition du souffle en per-critique
• Traitement : bêta-bloquant
• Sanction chirurgicale
Paraclinique
• ECG : HVD + axe droit
• RP :
– Pas de CMG
– Hypoperfusion pulmonaire
– Cœur « en sabot » :
• Pointe surélevée : HVD
• Arc moyen concave : hypoplasie tronc pulmonaire
• Bouton Ao saillant : dilatation Ao
• Arc aortique droit : 25 %
• Bio :
– Polyglobulie / cyanose
– Thrombopénie et troubles de la crase secondaires
Echocardiographie
• PSGA : 3 critères diagnostiques sur 4 :
– CIV haute, large
– Aorte à cheval, dextroposée
– HVD
– Continuité mitro-aortique
• PSPA : voie droite ++ :
– Dimensions anneau, AP tronc et ses branches
– Gradient VD-AP : degré de sténose, avec parfois 2 flux
superposés
– Ostia coronaires
Echocardiographie
• Apicale :
– Fonctions ventriculaires
– CIV surajoutées
– Convergence des 2 flux ventriculaires vers l’aorte
• Sous-costale et supra-sternale :
– Diamètres branches AP
– Arteria lusoria (= sous-clavière Dte aberrante)
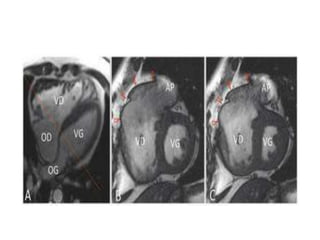
IRM
• Gold standard pour suivi  indication de
revalvulation
• Objectifs :
– Évaluation masse, fonction, volumes VG et VD
– Quantification IP, IT, Qp/Qs
– Anomalies cinétique segmentaire, recherche viabilité
myocardique (zones cicatricielles)
– Anatomie de la voie droite, AP tronc et branches
– Évaluation aorte, valve aortique, coronaires
– Recherche de shunt intra- ou extra-cardiaque
 Varient en fonction de l’âge du patient
Cathétérisme
• Risque de déclencher des crises hypoxiques
• A réserver si besoin de préciser :
– Distribution branches AP
– Anatomie coronaire
• Pressions égalisées à travers CIV
Formes cliniques
• Fallot « irrégulier » : anomalie de naissance ou
trajet des coronaires / anomalies des branches de
l’AP / CIV multiples
• Fallot « rose » : sténose infundibulaire peu serrée
• Absence de septum conal : valves pulmonaire et
aortique en canon de fusil
• Agénésie valvulaire pulmonaire :
– orifice hypoplasique
– Dilatation massive de l’AP et branches  compression
bronchique
– Peu cyanogène car obstacle modéré, mais IP +++
Diagnostic différentiel
• CIV large et dextroposition aortique en rapport avec l’HVD
• CIV de type IV : associée à une sténose pulmonaire
• Ventricule droit à double issue
• Atrésie pulmonaire à septum ouvert : forme extrême :
– Atteinte variable de l’AP et ses branches
– Ducto-dépendance
– Collatérales aorto-pulmonaires (mais pas d’hyperdébit pulmonaire car
souvent sténosées) :
• clinique variable
• Importance KT pré-op
Traitement
Urgence : crise hypoxique
• Arrêter le stimulus déclencheur
• Oxygène
• Position genupectorale
• Propranolol 0.05-0.1 mg/kg en IVL
• Valium
• Morphine : 0.2 mg/kg
 Prévention en attente chirurgie : propranolol
2-5 mg/kg/j en 3 prises p.o
Curatif : chirurgical
• Entre 3 et 11 mois de vie idéalement
• Réparation d’emblée : cure complète :
– Sous CEC
– Ventriculotomie droite infundibulaire
– Fermeture CIV / pièce de Dacron
– Résection sténose infundibulaire
– Élargissement anneau + tronc par patch
transannulaire après calibration
Chirurgie palliative
• Rares indications
• Si formes critiques :
– Soulage hypoxie
– Permet croissance Aps
• Blalock : anastomose termino-latérale entre
artère sous-clavière et AP homolatérale
– Modifié / Gore-Tex : augmente durée de vie
anastomose + préserve apport vasculaire Mbre
sup
Cathétérisme interventionnel
• Sténose critique : rare
• Dilatation branches AP sténosées
• Oblitération collatérales par coils
• Pistes thérapeutiques :
– Interventions hybrides
– Dilatation per-opératoire de la voie pulmonaire pour
minimiser IP (avec abord chirurgical trans-atrial) ?
Vida et al. Evolving strategies for preserving the pulmonary valve during early
repair of tetralogy of Fallot: Mid-term results. J Thorac Cardiovasc Surg
2014;147:687-96
Problématiques à long terme
• Morbi-mortalité tardive :
– 86 % de survie à 32 ans
– Mortalité s’accroît > 25 ans post-op
Murphy et al. Long term outcome in patients undergoing surgical repair
of tetralogy of Fallot. NEJM 1993;329:593-9
Nollert and al. Long term survival in patients with repair of tetralogy of
Fallot. JACC 1997; 30:1374-83
Lésions résiduelles (1)
• Sténose pulmonaire :
– quasi-constante.
– Idéal : gradient < 25 mmHg. Réintervention si > 50
mmHg
• Sténose branches de l’AP
– Surtout si APSO
Lésions résiduelles (2) : IP
• 60 % des patients, par patch transannulaire
• Dilatation VD : dyspnée  troubles du rythme  insuffisance
cardiaque
 Intervenir précocement avant symptômes
IRM = examen-clé : pas de régression dilatation VD si :
- volume VD > 150 mL/m² (systo > 95 mL/m²)
- FE VD < 40 %
Buechel and al. Remodelling of the right ventricle after early pulmonary valve replacement
in children with repaired tetralogy of Fallot. Eur Heart J 2005;26:2721-7
Homogreffe ou par cathétérisme interventionnel (Melody) : 15 %
patients revalvulés
Lésions résiduelles (3)
• CIV : restrictives fréquentes, sans
conséquences
• Dilatation aortique :
– Anomalies paroi (médianécrose, fibrose)
– Dissection rarement rapportée
 Cure chirurgicale le plus souvent seulement si
nécessité d’intervention sur autre lésion
Troubles du rythme
• 1ère cause de mortalité par T4F
• Conduction :
– BBD quasi-constant et sans retentissement, lié à chirurgie
– BAV tardifs
• Arythmies ventriculaires :
– fréquentes, traitement si symptômes ou formes soutenues
: médicaments, ablation
– Mort subite : risque si potentiels tardifs +, QRS > 180 ms 
DAI
• Arythmies supra-ventriculaires : cicatrices chirurgicales
Conclusion
• Diagnostic échographique aisé
• Cardiopathie réparable chirurgicalement
• Problèmes évolutifs à long terme liés au geste
:
– Amélioration voies d’abord
– Risque +++ si patient perdu de vue
Bibliographie
• Villafane et al. Hot topics in tetralogy of Fallot.
JACC 2013; 62, 23:2155–66
• B. Friedli. Tétralogie de Fallot. 11-940-E-50 (Traité
EMC)
• DIU d’échocardiographie, inter-région Nord-Est :
Tétralogie de Fallot (Pr Y. Bernard)
• www.e-cardiogram.ch
• www.orphanet.fr
• www.carpedem.fr

Tétralogie de fallot

  • 1.
    Tétralogie de Fallot Le20.01.2014 S. Hassam
  • 2.
    Définition • Cardiopathie cyanogènela plus fréquente : – 1 naissance sur 3500 – 7-10 % des cardiopathies congénitales • Atteinte cono-troncale • Association de 4 anomalies : – Dextroposition aortique : aorte « à cheval » – Communication inter-ventriculaire haute – Obstacle sur la voie VD-AP – Hypertrophie VD • Pentalogie de Fallot si CIA associée
  • 3.
  • 4.
    Mécanisme • Unique :anomalie de bascule du septum conal qui se déplace en avant et à droite  « monologie » de Fallot • Génétique : cas sporadiques, syndrome de Di George
  • 7.
    Conséquences • Shunt inter-ventriculaire: – Gauche  droite puis droite  gauche • Hypoperfusion pulmonaire • Histoire naturelle : – Polyglobulie – AVC – Abcès cérébral – Endocardite infectieuse  Décès avant âge adulte
  • 8.
    Sténose pulmonaire • Peutsiéger à différents niveaux sur la voie droite : infundibulum (constante), anneau, valve, AP • Dynamique car composante musculaire : rôle du SNA • Augmentation shunt D-G par stress  crise hypoxique / spasme infundibulaire = complication aigue principale de la T4F
  • 9.
  • 10.
    Nouveau-né • Asymptomatique : –Sténose peu serrée initialement – Protection pulmonaire dans contexte de shunt – Diagnostic auscultatoire • Formes extrêmes : ducto-dépendantes
  • 11.
    Nourrisson • Pas deretard pondéral • Cyanose progressive à partir de 6 mois • Crises hypoxiques vers 1 an
  • 12.
    Enfant • Clinique rarecar opérés avant • Cyanose centrale, majorée à l’effort et au froid • Hippocratisme digital • Squatting : diminue le shunt D-G – en majorant les résistances artérielles périphériques – En augmentant le débit pulmonaire par majoration du retour veineux • Retard staturo-pondéral
  • 13.
    Signes physiques chezl’enfant • Signe de Harzer • Auscultation : – Click éjectionnel du B1 (par dilatation aortique) – B2 claqué : aortique, car pulm inaudible – Souffle éjectionnel losangique, durée fonction degré sténose (court = sténose serrée)
  • 14.
    Crise hypoxique • Caractéristiquede la T4F • Déclenchée par : lever, stress, bain • Tachypnée, cyanose  syncope • Abolition du souffle en per-critique • Traitement : bêta-bloquant • Sanction chirurgicale
  • 15.
  • 16.
    • ECG :HVD + axe droit • RP : – Pas de CMG – Hypoperfusion pulmonaire – Cœur « en sabot » : • Pointe surélevée : HVD • Arc moyen concave : hypoplasie tronc pulmonaire • Bouton Ao saillant : dilatation Ao • Arc aortique droit : 25 % • Bio : – Polyglobulie / cyanose – Thrombopénie et troubles de la crase secondaires
  • 17.
    Echocardiographie • PSGA :3 critères diagnostiques sur 4 : – CIV haute, large – Aorte à cheval, dextroposée – HVD – Continuité mitro-aortique • PSPA : voie droite ++ : – Dimensions anneau, AP tronc et ses branches – Gradient VD-AP : degré de sténose, avec parfois 2 flux superposés – Ostia coronaires
  • 18.
    Echocardiographie • Apicale : –Fonctions ventriculaires – CIV surajoutées – Convergence des 2 flux ventriculaires vers l’aorte • Sous-costale et supra-sternale : – Diamètres branches AP – Arteria lusoria (= sous-clavière Dte aberrante)
  • 22.
    IRM • Gold standardpour suivi  indication de revalvulation • Objectifs : – Évaluation masse, fonction, volumes VG et VD – Quantification IP, IT, Qp/Qs – Anomalies cinétique segmentaire, recherche viabilité myocardique (zones cicatricielles) – Anatomie de la voie droite, AP tronc et branches – Évaluation aorte, valve aortique, coronaires – Recherche de shunt intra- ou extra-cardiaque  Varient en fonction de l’âge du patient
  • 23.
    Cathétérisme • Risque dedéclencher des crises hypoxiques • A réserver si besoin de préciser : – Distribution branches AP – Anatomie coronaire • Pressions égalisées à travers CIV
  • 24.
    Formes cliniques • Fallot« irrégulier » : anomalie de naissance ou trajet des coronaires / anomalies des branches de l’AP / CIV multiples • Fallot « rose » : sténose infundibulaire peu serrée • Absence de septum conal : valves pulmonaire et aortique en canon de fusil • Agénésie valvulaire pulmonaire : – orifice hypoplasique – Dilatation massive de l’AP et branches  compression bronchique – Peu cyanogène car obstacle modéré, mais IP +++
  • 25.
    Diagnostic différentiel • CIVlarge et dextroposition aortique en rapport avec l’HVD • CIV de type IV : associée à une sténose pulmonaire • Ventricule droit à double issue • Atrésie pulmonaire à septum ouvert : forme extrême : – Atteinte variable de l’AP et ses branches – Ducto-dépendance – Collatérales aorto-pulmonaires (mais pas d’hyperdébit pulmonaire car souvent sténosées) : • clinique variable • Importance KT pré-op
  • 26.
  • 27.
    Urgence : crisehypoxique • Arrêter le stimulus déclencheur • Oxygène • Position genupectorale • Propranolol 0.05-0.1 mg/kg en IVL • Valium • Morphine : 0.2 mg/kg  Prévention en attente chirurgie : propranolol 2-5 mg/kg/j en 3 prises p.o
  • 28.
    Curatif : chirurgical •Entre 3 et 11 mois de vie idéalement • Réparation d’emblée : cure complète : – Sous CEC – Ventriculotomie droite infundibulaire – Fermeture CIV / pièce de Dacron – Résection sténose infundibulaire – Élargissement anneau + tronc par patch transannulaire après calibration
  • 29.
    Chirurgie palliative • Raresindications • Si formes critiques : – Soulage hypoxie – Permet croissance Aps • Blalock : anastomose termino-latérale entre artère sous-clavière et AP homolatérale – Modifié / Gore-Tex : augmente durée de vie anastomose + préserve apport vasculaire Mbre sup
  • 31.
    Cathétérisme interventionnel • Sténosecritique : rare • Dilatation branches AP sténosées • Oblitération collatérales par coils • Pistes thérapeutiques : – Interventions hybrides – Dilatation per-opératoire de la voie pulmonaire pour minimiser IP (avec abord chirurgical trans-atrial) ? Vida et al. Evolving strategies for preserving the pulmonary valve during early repair of tetralogy of Fallot: Mid-term results. J Thorac Cardiovasc Surg 2014;147:687-96
  • 32.
    Problématiques à longterme • Morbi-mortalité tardive : – 86 % de survie à 32 ans – Mortalité s’accroît > 25 ans post-op Murphy et al. Long term outcome in patients undergoing surgical repair of tetralogy of Fallot. NEJM 1993;329:593-9 Nollert and al. Long term survival in patients with repair of tetralogy of Fallot. JACC 1997; 30:1374-83
  • 33.
    Lésions résiduelles (1) •Sténose pulmonaire : – quasi-constante. – Idéal : gradient < 25 mmHg. Réintervention si > 50 mmHg • Sténose branches de l’AP – Surtout si APSO
  • 35.
    Lésions résiduelles (2): IP • 60 % des patients, par patch transannulaire • Dilatation VD : dyspnée  troubles du rythme  insuffisance cardiaque  Intervenir précocement avant symptômes IRM = examen-clé : pas de régression dilatation VD si : - volume VD > 150 mL/m² (systo > 95 mL/m²) - FE VD < 40 % Buechel and al. Remodelling of the right ventricle after early pulmonary valve replacement in children with repaired tetralogy of Fallot. Eur Heart J 2005;26:2721-7 Homogreffe ou par cathétérisme interventionnel (Melody) : 15 % patients revalvulés
  • 39.
    Lésions résiduelles (3) •CIV : restrictives fréquentes, sans conséquences • Dilatation aortique : – Anomalies paroi (médianécrose, fibrose) – Dissection rarement rapportée  Cure chirurgicale le plus souvent seulement si nécessité d’intervention sur autre lésion
  • 41.
    Troubles du rythme •1ère cause de mortalité par T4F • Conduction : – BBD quasi-constant et sans retentissement, lié à chirurgie – BAV tardifs • Arythmies ventriculaires : – fréquentes, traitement si symptômes ou formes soutenues : médicaments, ablation – Mort subite : risque si potentiels tardifs +, QRS > 180 ms  DAI • Arythmies supra-ventriculaires : cicatrices chirurgicales
  • 44.
    Conclusion • Diagnostic échographiqueaisé • Cardiopathie réparable chirurgicalement • Problèmes évolutifs à long terme liés au geste : – Amélioration voies d’abord – Risque +++ si patient perdu de vue
  • 45.
    Bibliographie • Villafane etal. Hot topics in tetralogy of Fallot. JACC 2013; 62, 23:2155–66 • B. Friedli. Tétralogie de Fallot. 11-940-E-50 (Traité EMC) • DIU d’échocardiographie, inter-région Nord-Est : Tétralogie de Fallot (Pr Y. Bernard) • www.e-cardiogram.ch • www.orphanet.fr • www.carpedem.fr