Le Rétrécissement Mitral M Charifi
Définition Valvulopathie fréquente dans les pays du Maghreb, s’observe surtout chez la femme 2/3 cas. Il s’agit d’une diminution de la surface de l’orifice mitral entrainant un barrage au passage du sang de l’OG vers le VG en diastole.  Surface mitrale normale 4 -6 cm ² Sténose légère: 2,5-1,6  cm ² Sténose modérément sérré :1,5- 1,1  cm ² Sténose sérrée :<1  cm ²
Anatomie
Anatomie
Étiologies Le RM est presque toujours d’origine  streptococcique ,  post RAA  presque 99% cas Cause plus rare: RM par  calcification anneau mitral RM  congénital
Anatomie Pathologie Les lesions de l’appareil mitral se constituent progressivement en 5 – 10 ans  suivant poussée RAA: Épaississement valvulaire Hypertrophie rétraction des cordages Soudure des commissures Calcification de anneau et de la valve
Anatomie pathologie
 
Physiopathologie Le barrage mitral entraîne progressivement: Augmentation des pressions auriculaire gauche  avec hypertrophie et dilatation OG (troubles rythme supra-ventriculaire: ACFA ; formation de thombis intra auriculaire:accidents thrombo emboliques systemiques) Elevation de pression capillaire pulmonaire : dyspnée, OAP Remodelage des arterioles pulmonaires:  HTAP  précapillaire fixée Insuffisance ventriculaire droite
 
Diagnostic Manifestations cliniques : La  dyspnée d’effort  : maitre symptome ,dans les formes sévères sub OAP nocturnes ,hémoptysies Les  palpitations  :en rapport avec des troubles du rythme supra ventriculaires paroxystiques Hépatalgies d’effort : stade avancé avec IVD Accidents emboliques systemiques  : cérebral en particulier
SP: Frémissement diastolique  palpable a l’apex dans les formes sévères L’auscultation cardiaque decubitus lateral gauche a l’apex :  rythme de Durozier Eclat de B1 Claquement d’ouverture mitrale Roulement diastolique dont le renforcement pré systolique disparaît en FA Eclat de B2 au foyer pulmonaire  en cas HTAP Une IT fonctionnelle en cas dilatation VD
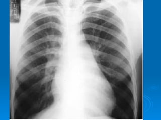
Radiographie thoracique Silhouette cardiaque Débord de  l’arc inférieur droit  ,dilatation de OG avec  aspect en   double contour Saillit de  l’arc moyen gauche  avec aspect en  double bosse  traduisant la dilatation du tronc de l’artére pulmonaire et l’auricule gauche Poumon mitral Redistribution vasculaire vers les sommets Oedème interstitiel Opacités réticulo nodulaires peri hilaire Lignes de Kerley Epenchement pleural
 
Electrocardiogramme Hypertrophie auriculaire gauche Hypertrophie ventriculaire droite Troubles rythme supra ventriculaire : Extra systoles auriculaires,flutter auriculaire, fibrillation auriculaire paroxystique ou permanente .
ECG
ECG
ECG
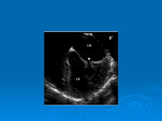
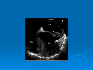
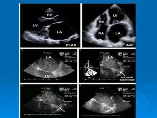
Echo-doppler Cardiaque Echographie bidimentionnelle: Épaississement de la valve Diminution d’ouverture valvulaire Aspect caractéristique en genou fléchi de la GVM Mesure de la surface mitrale Recherche de calcifications Recherche de thrombis intra auriculaire gauche Dilatation de OG Etude de l’appareil sous valvulaire
 
 
 
Calcul de la Surface mitrale
 
 
Echographie TM Diminution de l’onde E Diminution de la pente EF Mouvement paradoxal de la PVM DOPPLER Mesure du gradient diastolique OG-VG Mesure surface mitrale Mesure PAPS Critéres de sévérité: Gradient moyen supérieur a 10 mmhg Surface mitrale< 1 cm ² PHT sup 220 msec
 
Echographie TM
Doppler
 
Doppler
Évolution et Complications   Troubles du rythme supra-ventriculaire : paroxystiques ou permanents, flutter, FA Accidents emboliques systémiques  :ischemie aigue de membre, infarctus splénique,AVC. Retentissement pulmonaire: Dyspnée d’effort Oedeme aigu pulmonaire Hémoptysies Broncho-pneumopathie mitrale Epenchements pleuraux Insuffisance cardiaque droite
 
Thrombus intra OG
Thrombus intra auricule gauche ETO
Traitement medical Traitement des troubles du rythme supra ventriculaires: bétabloquants, digitaliques,IC bradicardisants . Anticoagulation si OG très dilatée ou ACFA Traitement diurétique pour les patients symptomatiques (dyspnée). Prevention secondaire RAA Prophylaxie endocardite infectieuse. Limitation des efforts
Traitement Radical Valvuloplastie mitrale  percutanée au   ballon :  indiquée en cas RM pur avec valves souples, absence de remaniement important de l’app sous valvulaire,absence de calcifications, expose a une restenose progressive. Commissurotomie mitrale chirurgicale  : libération des commissures de la valve mitrale a cœur ouvert sous circulation extracorporelle, indiquée en cas de remaniment modéré de l’app sous valvulaire Remplacement valvulaire mitral :  indiqué en cas de remaniment important ou calcification de la valve mitrale ou l’app sous valvulaire. Bioprothèse Valve mécanique
Indications Patient symptomatique: dyspnée st 3 a 4 Stenose mitrale< 1,5 cm ² Préservation tant que possible de la valve native.
Valvuloplastie mitrale Inoue balloon technique for mitral balloon valvotomy . A.  After trans-septal puncture, the deflated balloon catheter is advanced across the inter-atrial septum, then across the mitral valve and into the left ventricle.   B.  The balloon is then inflated stepwise within the mitral orifice.
Commissurotomie chirurgicale
Commissurotomie Chirurgicale
Calcifications mitrale
Remplacement valvulaire
 
MERCI  DE  VOTRE  ATTENTION
 
 
 
 

Le retrecissement mitral

  • 1.
  • 2.
    Définition Valvulopathie fréquentedans les pays du Maghreb, s’observe surtout chez la femme 2/3 cas. Il s’agit d’une diminution de la surface de l’orifice mitral entrainant un barrage au passage du sang de l’OG vers le VG en diastole. Surface mitrale normale 4 -6 cm ² Sténose légère: 2,5-1,6 cm ² Sténose modérément sérré :1,5- 1,1 cm ² Sténose sérrée :<1 cm ²
  • 3.
  • 4.
  • 5.
    Étiologies Le RMest presque toujours d’origine streptococcique , post RAA presque 99% cas Cause plus rare: RM par calcification anneau mitral RM congénital
  • 6.
    Anatomie Pathologie Leslesions de l’appareil mitral se constituent progressivement en 5 – 10 ans suivant poussée RAA: Épaississement valvulaire Hypertrophie rétraction des cordages Soudure des commissures Calcification de anneau et de la valve
  • 7.
  • 8.
  • 9.
    Physiopathologie Le barragemitral entraîne progressivement: Augmentation des pressions auriculaire gauche avec hypertrophie et dilatation OG (troubles rythme supra-ventriculaire: ACFA ; formation de thombis intra auriculaire:accidents thrombo emboliques systemiques) Elevation de pression capillaire pulmonaire : dyspnée, OAP Remodelage des arterioles pulmonaires: HTAP précapillaire fixée Insuffisance ventriculaire droite
  • 10.
  • 11.
    Diagnostic Manifestations cliniques: La dyspnée d’effort : maitre symptome ,dans les formes sévères sub OAP nocturnes ,hémoptysies Les palpitations :en rapport avec des troubles du rythme supra ventriculaires paroxystiques Hépatalgies d’effort : stade avancé avec IVD Accidents emboliques systemiques : cérebral en particulier
  • 12.
    SP: Frémissement diastolique palpable a l’apex dans les formes sévères L’auscultation cardiaque decubitus lateral gauche a l’apex : rythme de Durozier Eclat de B1 Claquement d’ouverture mitrale Roulement diastolique dont le renforcement pré systolique disparaît en FA Eclat de B2 au foyer pulmonaire en cas HTAP Une IT fonctionnelle en cas dilatation VD
  • 13.
    Radiographie thoracique Silhouettecardiaque Débord de l’arc inférieur droit ,dilatation de OG avec aspect en double contour Saillit de l’arc moyen gauche avec aspect en double bosse traduisant la dilatation du tronc de l’artére pulmonaire et l’auricule gauche Poumon mitral Redistribution vasculaire vers les sommets Oedème interstitiel Opacités réticulo nodulaires peri hilaire Lignes de Kerley Epenchement pleural
  • 14.
  • 15.
    Electrocardiogramme Hypertrophie auriculairegauche Hypertrophie ventriculaire droite Troubles rythme supra ventriculaire : Extra systoles auriculaires,flutter auriculaire, fibrillation auriculaire paroxystique ou permanente .
  • 16.
  • 17.
  • 18.
  • 19.
    Echo-doppler Cardiaque Echographiebidimentionnelle: Épaississement de la valve Diminution d’ouverture valvulaire Aspect caractéristique en genou fléchi de la GVM Mesure de la surface mitrale Recherche de calcifications Recherche de thrombis intra auriculaire gauche Dilatation de OG Etude de l’appareil sous valvulaire
  • 20.
  • 21.
  • 22.
  • 23.
    Calcul de laSurface mitrale
  • 24.
  • 25.
  • 26.
    Echographie TM Diminutionde l’onde E Diminution de la pente EF Mouvement paradoxal de la PVM DOPPLER Mesure du gradient diastolique OG-VG Mesure surface mitrale Mesure PAPS Critéres de sévérité: Gradient moyen supérieur a 10 mmhg Surface mitrale< 1 cm ² PHT sup 220 msec
  • 27.
  • 28.
  • 29.
  • 30.
  • 31.
  • 32.
    Évolution et Complications Troubles du rythme supra-ventriculaire : paroxystiques ou permanents, flutter, FA Accidents emboliques systémiques :ischemie aigue de membre, infarctus splénique,AVC. Retentissement pulmonaire: Dyspnée d’effort Oedeme aigu pulmonaire Hémoptysies Broncho-pneumopathie mitrale Epenchements pleuraux Insuffisance cardiaque droite
  • 33.
  • 34.
  • 35.
  • 36.
    Traitement medical Traitementdes troubles du rythme supra ventriculaires: bétabloquants, digitaliques,IC bradicardisants . Anticoagulation si OG très dilatée ou ACFA Traitement diurétique pour les patients symptomatiques (dyspnée). Prevention secondaire RAA Prophylaxie endocardite infectieuse. Limitation des efforts
  • 37.
    Traitement Radical Valvuloplastiemitrale percutanée au ballon : indiquée en cas RM pur avec valves souples, absence de remaniement important de l’app sous valvulaire,absence de calcifications, expose a une restenose progressive. Commissurotomie mitrale chirurgicale : libération des commissures de la valve mitrale a cœur ouvert sous circulation extracorporelle, indiquée en cas de remaniment modéré de l’app sous valvulaire Remplacement valvulaire mitral : indiqué en cas de remaniment important ou calcification de la valve mitrale ou l’app sous valvulaire. Bioprothèse Valve mécanique
  • 38.
    Indications Patient symptomatique:dyspnée st 3 a 4 Stenose mitrale< 1,5 cm ² Préservation tant que possible de la valve native.
  • 39.
    Valvuloplastie mitrale Inoueballoon technique for mitral balloon valvotomy . A. After trans-septal puncture, the deflated balloon catheter is advanced across the inter-atrial septum, then across the mitral valve and into the left ventricle. B. The balloon is then inflated stepwise within the mitral orifice.
  • 40.
  • 41.
  • 42.
  • 43.
  • 44.
  • 45.
    MERCI DE VOTRE ATTENTION
  • 46.
  • 47.
  • 48.
  • 49.