Anatomie du Thorax Marie-Odile Werquin Imagerie Médicale
Plan L’appareil respiratoire Les fosses nasales Le pharynx Le larynx La trachée Les poumons Les bronches L’appareil circulatoire Le médiastin Les hiles pulmonaires Le cœur L’oesophage La cage thoracique Les glandes mammaires
 L'appareil respiratoire se subdivise successivement en fosses nasales, pharynx, larynx, trachée, bronches, poumons, plèvres et diaphragme.  L’appareil respiratoire
 
L’appareil respiratoire  Les  fosses nasales  : Les fosses nasales sont deux cavités séparées par une cloison médiane. Elles s'ouvrent vers l’avant par les narines et vers l’arrière, dans le pharynx, par les choanes.  Au niveau des narines, la cloison médiane est cartilagineuse, c’est le cartilage de la cloison.
 
Le  Pharynx  : Carrefour aéro-digestif qui fait communiquer :  la voie aérienne avec le larynx (extrémité supérieure de la trachée).  la voie digestive avec l’oesophage. Il s’étend verticalement au-devant de la colonne cervicale, en arrière des fosses nasales (rhino-pharynx), de la cavité buccale (oropharynx) et du larynx (laryngo-pharynx).  Il est complètement tapissé par une muqueuse.  L’appareil respiratoire :
Fosses nasales Rhinopharynx Cavité buccale Oropharynx Hypo pharynx Larynx Œsophage trachée
 
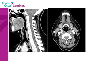
Le  Larynx  est un organe situé au niveau de la gorge.  Il est l’intermédiaire entre le pharynx et la trachée et abrite les cordes vocales . Il fait partie des voies aériennes digestives. L’appareil respiratoire :
L’appareil respiratoire  Le  Larynx  assume 3 fonctions : Une fonction respiratoire, puisqu’il fait partie intégrante des voies respiratoires. Le larynx joue un rôle dans la déglutition en fermant l’accès aux voies respiratoires sus-glottiques. Le larynx est l’organe de la production de sons. Son rôle phonatoire est très important, bien que non vital.
Le  Larynx  est formé d'un squelette cartilagineux qui sont mobiles entre eux et reliés par des muscles, ligaments... Le  cartilage thyroïde  forme la « pomme d’Adam » dans sa partie antérieure: situé en dessous de l’os hyoïde,et au dessus du cartilage cricoïde il est formé de 2 lames s'ouvrant vers l'arrière selon un angle de 90° il présente deux cornes supérieures et deux cornes inférieures, et sur les lames une crête oblique.   L’appareil respiratoire
 
 
L’ Épiglotte : cartilage en forme de feuille d’arbre, situé au-dessus et en avant de l’orifice supérieur du larynx.  Le pétiole de la feuille est rattaché. Le larynx joue un rôle de couvercle pour l'orifice supérieur de la trachée.  L’appareil respiratoire
 
 
L’appareil respiratoire  Le  cartilage cricoïde   situé sous le cartilage thyroïde : en forme d'anneau élargi vers l’arrière constitué d'un arc antérieur et d’un chaton postérieur portant les surfaces articulaires aryténoïdiennes et thyroïdiennes. Les cartilages aryténoïdes  sont pairs et situés sur le bord supérieur du cartilage cricoïde. Ces pièces cartilagineuses  sont reliées entre elles par des ligaments, articulations et membranes.
Cette charpente est maintenue à l’aide des membranes fibreuses crico-thyroïdienne, thyroïdienne et hyoépiglottique. L’attache supérieure se fait avec le pharynx via l’os hyoïde, le cartilage thyroïde et la membrane fibreuse thyroïdienne. L’appareil respiratoire
L’appareil respiratoire
PROFIL FACE DOS
 
Les cordes vocales  sont au nombre de deux: Relient le cartilage thyroïde aux aryténoïdes.  Leur mouvement d’écartement et de  rapprochement permet la phonation. L’appareil respiratoire
C 4 oes. Trachée Cordes vocales épiglotte
Les cordes vocales L’appareil respiratoire
 
 
La  Trachée :  Comprise entre l'extrémité inférieure du larynx et l'origine des bronches. La paroi antérieure est en forme de fer à cheval ouvert en arrière. Cette paroi est constituée d'anneaux cartilagineux reliés par des lames fibreuses.  La paroi postérieure est plane, fibromusculaire. Elle divise au niveau de la cinquième vertèbre thoracique en deux bronches souches gauche et droite (sa division se nomme la Carène).  L’appareil respiratoire
 
 
Les  Bronches  :  Elles sont le conduit aérien du poumon et présentent la même structure que la trachée, excepté que les anneaux cartilagineux sont de moins en moins complets. La bronche gauche est plus longue, plus horizontale et plus grêle que la bronche droite. L’appareil respiratoire
2   bronches principales  : Desservent le poumon droit et le poumon gauche.  Chacune de ces bronches se subdivise en arrivant aux poumons (au niveau du hile) en bronches lobaires puis segmentaires.  Par la suite, elles se divisent en bronches de plus en plus petites, jusqu’aux bronchioles. L’appareil respiratoire
 
La bronche lobaire supérieure droite  : 1 .Segmentaire apicale 2 .Dorsale 3 .Ventrale Bronche lobaire moyenne  : 4 .Externe  5 .Interne Bronche lobaire inférieure : 6  .Bronche de Nelson 7  .Paracardiaque 8  .Ventro-Basale 9  . Latéro-Basale 10 .Postéro-Basale
Bronche Lobaire Sup G  : -  culminale 1. apicale 2. dorsale 3 .ventrale -  lingulaire 4. supérieure 5. inférieure Bronche Lobaire Inf  : 6. bronche de Nelson 7. Paracardiaque 8. ventro-basale 9. latéro-basale 10. termino-basale
Les  bronches souches  : Elles sont médiastinales et extra pulmonaires.  Elles pénètrent chacune dans un poumon au niveau du hile pulmonaire.  Elles sont accompagnées d'une artère et de deux veines pulmonaires.  Cet ensemble s'appelle le pédicule pulmonaire.  L’appareil respiratoire
 
 
 
 
 
Les  bronchioles  : Elles n’ont pas de cartilage, sont fines comme des cheveux et se terminent par de minuscules sacs plein d’air :  les alvéoles pulmonaires. L’appareil respiratoire
Le lobule pulmonaire Il a la forme d’une pyramide à sommet orienté vers le hile. A chaque lobule correspond une bronchiole qui se ramifie dans le lobule pulmonaire pour venir au contact des alvéoles. A chaque alvéole correspond une petite ramification de l'artériole qui suit la segmentation bronchique, c’est ainsi que l’air entre et sort des alvéoles. Dans l’alvéole s’effectue  l’hématose  : échange gazeux, le sang repart vers la périphérie du lobule par des petites veinules qui cheminent pour se regrouper à la périphérie des lobules, puis jusqu’au sommet pour constituer la veine pulmonaire dans le hile qui transporte le sang enrichi en O2 vers l’atrium gauche puis ventricule gauche puis, ensuite, vers la grande circulation.
Structure du lobule pulmonaire : c’est l’unité fonctionnelle du poumon (échanges gazeux)
Les  alvéoles pulmonaires  : Elles sont au nombre d’environ 200 millions et représenteraient une surface de 100m2 si elles étaient étalées. quand on inspire ,  les alvéoles se gonflent. quand on expire, elles diminuent de calibre en se vidant.  Les  capillaires pulmonaires  : sont des petits vaisseaux qui entourent l’alvéole.  L’appareil respiratoire
La face externe de l’ alvéole  est tapissée par des vaisseaux artériels et pulmonaires qui se ramifient en de nombreux capillaires à paroi mince. C’est à travers ces parois que s’effectuent les échanges gazeux entre l’air et le sang.  L’appareil respiratoire
L’appareil respiratoire Les Poumons  : deux organes spongieux situés dans la cage thoracique et séparés par un espace médian, occupé par le coeur et les gros vaisseaux, le médiastin.
Les poumons  : sont divisés en lobes par de profondes incisions, appelées scissures, au fond desquelles s’insinue la plèvre viscérale.  deux scissures dans le  poumon droit , 3 lobes : l’oblique et l’horizontale (grande et petite scissure).  On distingue donc à ce poumon les lobes supérieur, moyen et inférieur. Le  poumon gauche  ne présente qu’une scissure, dite inter lobaire, 2 lobes : Sa face interne présente un emplacement où se loge le cœur.  L’appareil respiratoire
 
Le  poumon droit  : 3 lobes donc 10 segments. 3 segments dans le lobe supérieur. 2 segments dans le lobe moyen. 5 segments dans le lobe inférieur. Chaque segment se subdivise en unité fonctionnelle pulmonaire appelée lobule pulmonaire. Chaque lobule constitue un poumon miniature qui est appendu à une bronchiole terminale. L’appareil respiratoire
Le poumon gauche  : 2 lobes donc 10 segments : 5 dans le segment supérieur. 5 dans le segment inférieur. Chaque segment se subdivise en unité fonctionnelle pulmonaire appelée lobule pulmonaire. Chaque lobule constitue un poumon miniature qui est appendu à une bronchiole terminale.  L’appareil respiratoire
Lobe Supérieur: Segts 1,2,3 Lobe moyen : Seg 4 et 5 Lobe Inférieur: Seg 6 à 10 Lobe Supérieur : Culmen 1,2,3 Lobe supérieur: Lingula 4 et 5 Lobe Inférieur : Seg 6 à 10
Les Plèvres :  membranes destinées à faciliter le glissement des poumons sur les parois thoraciques.  Il existe une plèvre pour chaque poumon. Les deux plèvres sont indépendantes l’une de l’autre. Chaque plèvre est une membrane composée de deux feuillets:  - un feuillet viscéral : accolé au poumon et s’enfonce dans les scissures.  - un feuillet pariétal : accolé à la face profonde de la cage thoracique (plèvre thoracique) ou tapissant la face externe du médiastin (plèvre médiastinale).  L’appareil respiratoire
 
 
Le diaphragme  :  C'est un muscle en forme de parachute qui se trouve sous les poumons. permet aux poumons de se gonfler et de se dégonfler. L’appareil respiratoire
Le diaphragme agit comme un piston
Le médiastin C'est l’espace au centre du thorax. Il est situé en avant de la colonne vertébrale et peut être divisé en plusieurs quadrants.  Il est divisé, par convention, en : médiastin postérieur :  contenant notamment  l’oesophage et l’aorte descendante.  médiastin moyen :  contenant les voies aériennes supérieures : trachée et sa division (carène).  médiastin antérieur :  contenant le cœur, l’aorte ascendante, les artères pulmonaires et la veine cave supérieure.
 
Le médiastin Le médiastin   antérieur  comprend : L’aorte ascendante Le tronc pulmonaire La veine cave supérieure Les cavités cardiaques sauf l’atrium gauche La loge thymique
Le médiastin Le  médiastin moyen  comprend : La trachée La carène Les pédicules pulmonaires : Les bronches souches Les veines et les artères pulmonaires Le segment horizontal de la crosse de l’aorte Le Tronc Artériel Brachio-Céphalique L’artère carotide primitive gauche La crosse de la grande veine azygos
 
 
 
Le médiastin Le médiastin  postérieur  comprend : Le canal thoracique La grande veine azygos et les veines hémi azygos L’œsophage L’aorte descendante et ses branches
Le médiastin
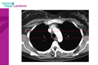
La ligne médiastinale antérieure (jonction des deux languettes pulmonaires antérieures avec 4 feuillets pleuraux en arrière du sternum et en avant du médiastin).  •  La ligne médiastinale postérieure (jonction des deux languettes pulmonaires postérieures et supérieures en arrière du médiastin). Le médiastin
Le médiastin LMA
Le médiastin LMP
Ligne médiastinale postérieure Ligne médiastinale antérieure Le médiastin
L’Œsophage  : C’est un conduit qui fait communiquer le pharynx en haut et l'estomac en bas. Il mesure environ 25 cm et a un diamètre de 2 à 3 cm. Tube Digestif
L’Œsophage  : On lui décrit quatre portions. Une partie cervicale :  à la base du cou et en arrière de la trachée. Une partie thoracique : en rapport avec l’aorte thoracique, le canal thoracique, le cœur, les nerfs pneumogastriques et les pédicules pulmonaires. Une partie diaphragmatique : L’œsophage traverse le diaphragme. Une partie abdominale (ou portion haute) : Il se jette dans l'estomac par un orifice appelé le cardia. Tube Digestif
Tube Digestif Oesophage
Tube Digestif Oesophage
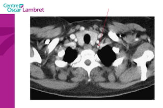
Rapports de l’œsophage avec l’aorte et la trachée
Rapports de l’œsophage avec l’aorte et la trachée
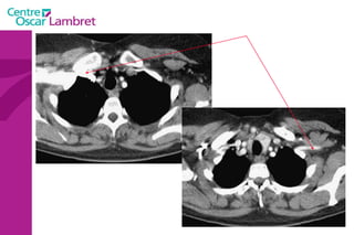
bandelette latérotrachéale droite ligne médiastinale postérieure crosse veine azygos ligne médiastinale Antérieure ligne para-oesophagienne ligne para-aortique ligne paravertébrale droite et gauche
L’appareil circulatoire L’appareil circulatoire  s’appuie sur un véritable réseau aussi étendu que précis. Sous l’impulsion du  coeur , chef d’orchestre vital, les artères et les veines assurent le transport du sang indispensable à tout notre organisme.  Les artères  apportent le sang riche en oxygène et en nutriments à l’ensemble des tissus de l’organisme.  Les veines  doivent rapporter le sang appauvri en oxygène vers le coeur puis les poumons. Des  poumons , il repasse dans le coeur qui le propulse de nouveau via les artères à tout l’organisme.
La circulation sanguine , Les différents rôles : Poumons  : fournir l’O2 et rejeter le CO2 Cœur  : pompe Foie et intestin  : 1/3 du sang passe par les capillaires de l’intestin et se charge de produits de la digestion les quantités sont régulées par le foie. Reins  : élimination des substances nocives et des déchets par voie urinaire.
Grande circulation Petite circulation
Le cœur  se situe au milieu du thorax, sur le diaphragme, la pointe tournée vers la gauche. L’appareil circulatoire
L’appareil circulatoire Le coeur  est un organe formé essentiellement d'un muscle, le myocarde, lequel est entouré d'un "sac" séreux, le péricarde et tapissé à l’intérieur par une fine membrane, l'endocarde.
 
Le coeur  comprend quatre cavités :  deux cavités droites, formées par l’oreillette (ou atrium) et le ventricule droit.  deux cavités gauches, formées par l’oreillette (ou atrium) et le ventricule gauche.  Les cavités droite et gauche sont totalement séparées par une cloison (septum).  Ces cavités sont connectées à des veines et des artères qui conduisent le sang venant ou partant du coeur.  L’appareil circulatoire
Les 2  atriums  ont un petit diverticule : les auricules Le cœur repose sur le diaphragme et est situé au niveau de la partie antérieure et inférieure du médiastin. Le coeur est bordé latéralement par les poumons qui le recouvre partiellement. Les 4 cavités du coeur sont limitées par des sillons. Le  sillon coronaire le sillon inter atrial  Le sillon inter ventriculaire ou septum L’appareil circulatoire
 
 
 
La partie droite  assure la circulation du sang riche en CO² recueilli par les veines caves (sup et inf) :  ce sang aboutit dans l’oreillette droite et est éjecté dans le ventricule droit. L’oreillette et le ventricule droits communiquent par l’orifice auriculo-ventriculaire droit, lequel est obturé par la valvule tricuspide, empêchant le retour de sang du ventricule vers l’oreillette. Le sang est ensuite éjecté dans l’artère pulmonaire, l’obturation étant assurée par la valvule sigmoïde.  L’appareil circulatoire
 
La partie gauche  assure la circulation du sang oxygéné recueilli par les veines pulmonaires. ce sang aboutit dans l’oreillette gauche et est éjecté dans le ventricule gauche.  L’oreillette et le ventricule gauches communiquent par l’orifice auriculo-ventriculaire gauche, lequel est obturé par la valvule mitrale.  Le sang est ensuite éjecté dans l’artère aorte, l’obturation étant assurée par la valvule aortique.  L’appareil circulatoire
 
Systole auriculaire  : contraction des oreillettes, le sang passe dans les ventricules. Systole ventriculaire  : contraction des ventricules, le sang est propulsé à l’extérieur du cœur, Les valvules mitrale et tricuspide sont fermées puis en fin de la systole ventriculaire, fermeture des valvules sigmoïdes. Diastole  : temps de repos avec remplissage des oreillettes. Ces trois phases constituent une  révolution cardiaque. L’appareil circulatoire
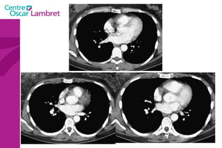
Les  artères coronaires  et leurs territoires :    - Ce sont les artères nourricières du coeur et elles parcourent celui-ci à sa surface externe.  - Les artères coronaires droite et gauche naissent  directement de la base de l'aorte et alimentent le myocarde au moyen de ramifications.    L’appareil circulatoire
L’appareil circulatoire                                                                                                                                                
 
 
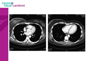
L’appareil circulatoire L’ aorte  est la plus grande artère du corps.  Elle part du ventricule gauche du coeur et apporte notamment du sang oxygéné à toutes les parties du corps via la circulation. Elle est divisée en aorte thoracique et aorte abdominale. L’aorte thoracique  comprend trois segments : l'aorte ascendante, horizontale et descendante.
L’appareil circulatoire
L’aorte ascendante  : L’aorte ascendante constitue le segment initial de l’aorte, elle fait 27 mm de diamètre et émerge du VG, dont elle est séparée par la valve aortique. Cette portion fait 6 cm de hauteur, divisé en deux régions: le sinus de Valsalva, fortement dilaté, oblique en avant.  le grand sinus aortique, dilaté, jusqu'à la portion horizontale de l’aorte.  L’appareil circulatoire
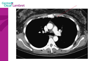
La  crosse de l’aorte  ou aorte horizontale :  L’aorte horizontale passe ensuite derrière l’artère pulmonaire et la bronche souche gauche. Trois vaisseaux naissent de cette crosse aortique: le tronc brachio-céphalique, l’artère carotide primitive gauche, et l’artère sous-clavière gauche. Ces vaisseaux irriguent la tête et les membres supérieurs. L’appareil circulatoire
L’aorte descendante  : L’aorte descend ensuite dans le médiastin, en arrière du cœur et en avant de l’oesophage dans sa partie supérieure, en arrière dans sa partie inférieure. Cette partie est relativement fixée par rapport aux deux autres segments. La jonction entre l’aorte horizontale et descendante est appelée isthme   aortique.  Elle traverse ensuite le diaphragme et devient l’aorte abdominale. L’appareil circulatoire
L’aorte initiale ou segment 0 L’aorte ascendante ou segment I  qui lui fait suite, constitue la partie initiale de la crosse aortique . Sa longueur est d'environ 6 à 7 cm. Le segment II  est représenté par la partie horizontale de la crosse aortique . Le segment III  est l’aorte thoracique descendante. Le segment IV  est la région de l’aorte qui est située sous le diaphragme  Le segment V  est la partie sous rénale de l’aorte  L'aorte                                                                     
 
L’appareil circulatoire
Les  3 troncs supra aortiques  naissent sur la portion horizontale de la crosse de l’aorte : Le tronc Artériel Brachio-céphalique. L’artère Carotide commune gauche. L’artère sus-clavière gauche. Tous ont une branche à destinée céphalique. L’appareil circulatoire
L’appareil circulatoire
 
Les Troncs Supra Aortiques s’organisent autour de la trachée à leur origine. L’appareil circulatoire
Variantes embryologiques : Les variations de naissance et de trajet des vaisseaux de la gerbe aortique sont nombreuses.  L’appareil circulatoire
Parmi les plus fréquentes, citons :  l’origine de la carotide primitive gauche commune à celle du tronc brachio-céphalique. l’artère vertébrale gauche naissant directement de l’aorte en amont de la sous-clavière gauche (4% de cas). l’artère sous-clavière droite aberrante rétro-oesophagienne, naissant après la sous-clavière gauche (0,2 à 1,7 % de cas), il s’agit d'une anomalie d'évolution du 4ème arc aortique.  L’appareil circulatoire
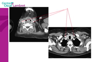
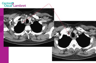
Le  Tronc artériel Brachio-céphalique  : Naît de la face supérieure du 2e segment horizontal de la crosse aortique à hauteur de T 4. Volumineux, (diamètre 12 mm - longueur 3 cm) il se dirige en haut et à droite croisant la partie droite de la trachée. Derrière l’articulation sterno-claviculaire droite il bifurque en artères sous-clavière droite et carotide primitive droite.  L’appareil circulatoire
 
L’appareil circulatoire
Les  artères Carotides Communes  : La droite vient du TABC. La gauche vient de la crosse de l’aorte. Elles n’ont aucune branche collatérale. L’appareil circulatoire
L’artère carotide primitive droite : Elle naît à 3 cm en arrière de l'articulation sterno-claviculaire à la hauteur de T1. monte dans la gouttière carotidienne le long de la trachée et du corps thyroïdien, de l'oesophage puis du larynx et du pharynx.  Elle s’évase avant sa terminaison en regard du bord supérieur du cartilage thyroïde et de C4.  L’appareil circulatoire
 
L’artère carotide primitive gauche  : naît directement de la crosse aortique et comporte un premier segment intra thoracique en arrière du manubrium sternal. Son segment cervical est identique à celui de la carotide primitive droite.  L’appareil circulatoire
 
L’appareil circulatoire
Artères sous-clavières  : l’une à droite et l’autre à gauche. La droite naît du tronc brachio-céphalique moins longue que la gauche, elle se dirige obliquement en haut et en dehors.  La sous-clavière gauche, au contraire, naît directement de l’aorte, remonte verticalement en haut. Arrivées au niveau de la première côte, ces deux artères présentent la même disposition, deviennent horizontales, passent entre les deux muscles scalènes et prennent le nom d'axillaires.
 
 
 
L’artère vertébrale  : Elle naît de la sous-clavière pré-scalénique et chemine verticalement sur 25 cm environ.  On lui décrit 4 segments. L’appareil circulatoire
 
L’artère mammaire interne  : naît de la face inférieure de la sous-clavière, un peu en dehors de la vertébrale. Elle épouse la partie antérieure du dôme pleural et descend verticalement à la face profonde du plastron costal à 1 ou 2 cm en dehors du bord latéral du sternum.  L’appareil circulatoire
 
Cartographie veineuse :  Le sang veineux du membre supérieur est collecté par  la veine sous-clavière , celui de la tête et du cou, par la jugulaire interne et des veines jugulaires accessoires. Le plan veineux est situé en avant du plan artériel.  L’appareil circulatoire
 
Veine sous-clavière : Continuation de la veine axillaire. Chemine de la clavicule à la partie postérieure de l'articulation sterno-claviculaire où elle rejoint la veine jugulaire interne pour former le confluent veineux de Pirogoff, origine du tronc veineux brachio-céphalique.  L’appareil circulatoire
Le tronc veineux brachio-céphalique droit  mesure 3 cm et descend semi verticalement.  Le tronc veineux brachio-céphalique gauche  mesure 5 à 6 cm et par un trajet horizontal rejoint à angle droit le tronc veineux brachio-céphalique droit à la partie postérieure du cartilage de la 1ère côte droite pour former la veine cave supérieure.  L’appareil circulatoire
 
La veine jugulaire interne : C’est la plus grosse veine du cou. Elle débute à la base du crâne et descend parallèlement en dehors puis en avant de la carotide interne puis de la carotide primitive.  Elle reçoit de nombreuses collatérales sous la base du crâne. L’appareil circulatoire
 
La veine cave supérieure  : Tout le sang veineux arrivant au coeur est collecté par deux gros troncs veineux : les veines caves, supérieure et inférieure.  La veine cave supérieure draine tout le sang veineux de la partie supérieure du corps, venant essentiellement du cerveau, de la tête et du cou, des membres supérieurs.  la veine cave inférieure joue le même rôle pour la partie inférieure du corps.  Les veines caves s'abouchent dans l'oreillette droite.  L’appareil circulatoire
 
 
                                                                                                                              
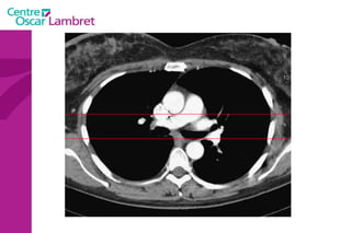
Le  Hile pulmonaire  est situé sur la face médiastinale du Poumon.  C’est la ligne de réflexion du feuillet viscéral de la plèvre sur le feuillet pariétal (= plèvre Médiastinale) Il contient les bronches et le pédicule pulmonaire : - En avant : la Veine Pulmonaire Supérieure. - En bas : la Veine Pulmonaire Inférieure. - Au milieu et en haut : l’Artère Pulmonaire qui se  divise. - En arrière : la Bronche Principale qui se divise. Les hiles pulmonaires
                                                                                                     
 
Les hiles pulmonaires L’artère pulmonaire  part du ventricule droit du cœur auquel elle est séparée par la valve   pulmonaire. Elle se dirige en haut, a un diamètre d’un peu plus de 2 cm chez l'adulte et se sépare rapidement en artères pulmonaires droite et gauche qui se dirigent vers leur poumon respectif. L’artère pulmonaire droite passe sous la crosse de l’aorte.  Arrivées au niveau des hiles pulmonaires, elles se divisent en multiples branches correspondant chacune à un lobe puis à un segment du poumon.
 
 
 
Les  veines pulmonaires  : Les veines pulmonaires transportent le sang oxygéné dans les poumons. Les veines pulmonaires sont au nombre de quatre.  Contrairement aux autres veines, les veines pulmonaires transportent du sang artériel et non du sang veineux.  Les hiles pulmonaires
 
Le système veineux azygos Les veines azygos  sont essentiellement un système de drainage veineux pariétal mais leur intérêt est surtout qu’elles forment un système anastomotique entre la veine cave supérieure  et inférieure. Elle sont formées classiquement par : une veine principale, droite, la veine azygos  une veine inférieure gauche, l’hémi-azygos
Veine Azygos  : Elle naît dans l’espace inframédiastinal postérieur (situé en avant de T10-T12 et en arrière du diaphragme), à hauteur du 11è espace intercostal par la fusion de 2 racines. Une racine latérale formée par la réunion de la veine lombaire ascendante droite  Une racine médiale qui provient de la face dorsale de la veine cave inférieure en passant entre pilier principal et pilier accessoire droit du diaphragme.     Le système veineux azygos
La veine hémi-azygos  : comme la veine azygos, elle naît dans l'espace inframédiastinal postérieur, à hauteur du 11é espace intercostal gauche par la fusion de 2 racines :  une racine latérale formée par la réunion de la veine lombaire ascendante gauche. une racine médiale qui provient d’une anastomose entre la veine rénale gauche et la veine lombaire postérieure sous-jacente formant l'arc réno-azygo-lombaire qui passe entre pilier principal et pilier accessoire gauche du diaphragme.  Le système veineux azygos
Le système veineux azygos
 
Les veines azygos sont essentiellement un système de  drainage veineux pariétal  mais leur intérêt est surtout qu'elles forment un système anastomotique entre la veine cave supérieure et inférieure qui peut être extrêmement important en cas de compression tumorale de la veine cave supérieure ou de thrombose de la veine cave inférieure. Le système veineux azygos
 
La cage thoracique 12 paires de côtes  : les 7 premières paires sont reliées (grâce à leur cartilage) directement au sternum. les 8e, 9e et 10e paires sont reliées au cartilage de la 7e paire.  Les 11e et 12e paires ne sont pas reliées au sternum et sont appelées  côtes flottantes .  Le Sternum , il est composé de trois parties : le manubrium et le corps sternal ainsi que le   processus xiphoïde.
 
 
 
Les seins  : sont situés sur la partie antérieure du thorax, les seins de la femme sont proéminents, car ils comportent du tissu adipeux (graisse). ils possèdent des glandes mammaires.  La cage thoracique
La forme générale du sein féminin est variable, le plus souvent conique arrondie. Le mamelon est la partie centrale et surélevée de l'aréole. Les canaux galactophores qui assurent l'évacuation des sécrétions lactées y débouchent par des pores séparés. Sur le plan interne, le sein est essentiellement constitué d’un tissu conjonctif adipeux et de ligaments de Cooper.  La cage thoracique
La glande mammaire  est constituée de lobes, séparés par des cloisons conjonctives : qui sont des ensembles de bourgeons glandulaires ou acini développés en période d’allaitement. drainés par des canaux galactophores pourvus vers leurs extrémités d’un sinus galactophore et débouchant séparément au niveau du mamelon. Le sein est richement vascularisé. La cage thoracique
Au niveau du système lymphatique, le sein est divisé en 4 quadrants, 2 externes, 2 internes.  Sur le plan profond, on distingue 3 muscles :  le grand pectoral sur lequel glisse la glande mammaire, le petit pectoral et le sous-clavier. Le sein est soutenu par la peau et un ligament suspenseur :  la travée fibro-glandulaire.  Au niveau inférieur, le sillon sous-mammaire est formé par un épaississement de ces travées qui tire la peau en profondeur. La cage thoracique
Cage thoracique Muscles pectoraux Lobules Mamelon Aréole Canal galactophore Tissu adipeux peau

Anatomie thorax

  • 1.
    Anatomie du ThoraxMarie-Odile Werquin Imagerie Médicale
  • 2.
    Plan L’appareil respiratoireLes fosses nasales Le pharynx Le larynx La trachée Les poumons Les bronches L’appareil circulatoire Le médiastin Les hiles pulmonaires Le cœur L’oesophage La cage thoracique Les glandes mammaires
  • 3.
     L'appareil respiratoire sesubdivise successivement en fosses nasales, pharynx, larynx, trachée, bronches, poumons, plèvres et diaphragme. L’appareil respiratoire
  • 4.
  • 5.
    L’appareil respiratoire Les fosses nasales : Les fosses nasales sont deux cavités séparées par une cloison médiane. Elles s'ouvrent vers l’avant par les narines et vers l’arrière, dans le pharynx, par les choanes. Au niveau des narines, la cloison médiane est cartilagineuse, c’est le cartilage de la cloison.
  • 6.
  • 7.
    Le Pharynx : Carrefour aéro-digestif qui fait communiquer : la voie aérienne avec le larynx (extrémité supérieure de la trachée). la voie digestive avec l’oesophage. Il s’étend verticalement au-devant de la colonne cervicale, en arrière des fosses nasales (rhino-pharynx), de la cavité buccale (oropharynx) et du larynx (laryngo-pharynx). Il est complètement tapissé par une muqueuse. L’appareil respiratoire :
  • 8.
    Fosses nasales RhinopharynxCavité buccale Oropharynx Hypo pharynx Larynx Œsophage trachée
  • 9.
  • 10.
    Le Larynx est un organe situé au niveau de la gorge. Il est l’intermédiaire entre le pharynx et la trachée et abrite les cordes vocales . Il fait partie des voies aériennes digestives. L’appareil respiratoire :
  • 11.
    L’appareil respiratoire Le Larynx assume 3 fonctions : Une fonction respiratoire, puisqu’il fait partie intégrante des voies respiratoires. Le larynx joue un rôle dans la déglutition en fermant l’accès aux voies respiratoires sus-glottiques. Le larynx est l’organe de la production de sons. Son rôle phonatoire est très important, bien que non vital.
  • 12.
    Le Larynx est formé d'un squelette cartilagineux qui sont mobiles entre eux et reliés par des muscles, ligaments... Le cartilage thyroïde forme la « pomme d’Adam » dans sa partie antérieure: situé en dessous de l’os hyoïde,et au dessus du cartilage cricoïde il est formé de 2 lames s'ouvrant vers l'arrière selon un angle de 90° il présente deux cornes supérieures et deux cornes inférieures, et sur les lames une crête oblique.   L’appareil respiratoire
  • 13.
  • 14.
  • 15.
    L’ Épiglotte :cartilage en forme de feuille d’arbre, situé au-dessus et en avant de l’orifice supérieur du larynx. Le pétiole de la feuille est rattaché. Le larynx joue un rôle de couvercle pour l'orifice supérieur de la trachée. L’appareil respiratoire
  • 16.
  • 17.
  • 18.
    L’appareil respiratoire Le cartilage cricoïde situé sous le cartilage thyroïde : en forme d'anneau élargi vers l’arrière constitué d'un arc antérieur et d’un chaton postérieur portant les surfaces articulaires aryténoïdiennes et thyroïdiennes. Les cartilages aryténoïdes sont pairs et situés sur le bord supérieur du cartilage cricoïde. Ces pièces cartilagineuses sont reliées entre elles par des ligaments, articulations et membranes.
  • 19.
    Cette charpente estmaintenue à l’aide des membranes fibreuses crico-thyroïdienne, thyroïdienne et hyoépiglottique. L’attache supérieure se fait avec le pharynx via l’os hyoïde, le cartilage thyroïde et la membrane fibreuse thyroïdienne. L’appareil respiratoire
  • 20.
  • 21.
  • 22.
  • 23.
    Les cordes vocales sont au nombre de deux: Relient le cartilage thyroïde aux aryténoïdes. Leur mouvement d’écartement et de rapprochement permet la phonation. L’appareil respiratoire
  • 24.
    C 4 oes.Trachée Cordes vocales épiglotte
  • 25.
    Les cordes vocalesL’appareil respiratoire
  • 26.
  • 27.
  • 28.
    La Trachée: Comprise entre l'extrémité inférieure du larynx et l'origine des bronches. La paroi antérieure est en forme de fer à cheval ouvert en arrière. Cette paroi est constituée d'anneaux cartilagineux reliés par des lames fibreuses. La paroi postérieure est plane, fibromusculaire. Elle divise au niveau de la cinquième vertèbre thoracique en deux bronches souches gauche et droite (sa division se nomme la Carène). L’appareil respiratoire
  • 29.
  • 30.
  • 31.
    Les Bronches : Elles sont le conduit aérien du poumon et présentent la même structure que la trachée, excepté que les anneaux cartilagineux sont de moins en moins complets. La bronche gauche est plus longue, plus horizontale et plus grêle que la bronche droite. L’appareil respiratoire
  • 32.
    2 bronches principales : Desservent le poumon droit et le poumon gauche. Chacune de ces bronches se subdivise en arrivant aux poumons (au niveau du hile) en bronches lobaires puis segmentaires. Par la suite, elles se divisent en bronches de plus en plus petites, jusqu’aux bronchioles. L’appareil respiratoire
  • 33.
  • 34.
    La bronche lobairesupérieure droite : 1 .Segmentaire apicale 2 .Dorsale 3 .Ventrale Bronche lobaire moyenne : 4 .Externe 5 .Interne Bronche lobaire inférieure : 6 .Bronche de Nelson 7 .Paracardiaque 8 .Ventro-Basale 9 . Latéro-Basale 10 .Postéro-Basale
  • 35.
    Bronche Lobaire SupG : - culminale 1. apicale 2. dorsale 3 .ventrale - lingulaire 4. supérieure 5. inférieure Bronche Lobaire Inf : 6. bronche de Nelson 7. Paracardiaque 8. ventro-basale 9. latéro-basale 10. termino-basale
  • 36.
    Les bronchessouches : Elles sont médiastinales et extra pulmonaires. Elles pénètrent chacune dans un poumon au niveau du hile pulmonaire. Elles sont accompagnées d'une artère et de deux veines pulmonaires. Cet ensemble s'appelle le pédicule pulmonaire. L’appareil respiratoire
  • 37.
  • 38.
  • 39.
  • 40.
  • 41.
  • 42.
    Les bronchioles : Elles n’ont pas de cartilage, sont fines comme des cheveux et se terminent par de minuscules sacs plein d’air : les alvéoles pulmonaires. L’appareil respiratoire
  • 43.
    Le lobule pulmonaireIl a la forme d’une pyramide à sommet orienté vers le hile. A chaque lobule correspond une bronchiole qui se ramifie dans le lobule pulmonaire pour venir au contact des alvéoles. A chaque alvéole correspond une petite ramification de l'artériole qui suit la segmentation bronchique, c’est ainsi que l’air entre et sort des alvéoles. Dans l’alvéole s’effectue l’hématose : échange gazeux, le sang repart vers la périphérie du lobule par des petites veinules qui cheminent pour se regrouper à la périphérie des lobules, puis jusqu’au sommet pour constituer la veine pulmonaire dans le hile qui transporte le sang enrichi en O2 vers l’atrium gauche puis ventricule gauche puis, ensuite, vers la grande circulation.
  • 44.
    Structure du lobulepulmonaire : c’est l’unité fonctionnelle du poumon (échanges gazeux)
  • 45.
    Les alvéolespulmonaires : Elles sont au nombre d’environ 200 millions et représenteraient une surface de 100m2 si elles étaient étalées. quand on inspire , les alvéoles se gonflent. quand on expire, elles diminuent de calibre en se vidant. Les capillaires pulmonaires : sont des petits vaisseaux qui entourent l’alvéole. L’appareil respiratoire
  • 46.
    La face externede l’ alvéole est tapissée par des vaisseaux artériels et pulmonaires qui se ramifient en de nombreux capillaires à paroi mince. C’est à travers ces parois que s’effectuent les échanges gazeux entre l’air et le sang. L’appareil respiratoire
  • 47.
    L’appareil respiratoire LesPoumons : deux organes spongieux situés dans la cage thoracique et séparés par un espace médian, occupé par le coeur et les gros vaisseaux, le médiastin.
  • 48.
    Les poumons : sont divisés en lobes par de profondes incisions, appelées scissures, au fond desquelles s’insinue la plèvre viscérale. deux scissures dans le poumon droit , 3 lobes : l’oblique et l’horizontale (grande et petite scissure). On distingue donc à ce poumon les lobes supérieur, moyen et inférieur. Le poumon gauche ne présente qu’une scissure, dite inter lobaire, 2 lobes : Sa face interne présente un emplacement où se loge le cœur. L’appareil respiratoire
  • 49.
  • 50.
    Le poumondroit : 3 lobes donc 10 segments. 3 segments dans le lobe supérieur. 2 segments dans le lobe moyen. 5 segments dans le lobe inférieur. Chaque segment se subdivise en unité fonctionnelle pulmonaire appelée lobule pulmonaire. Chaque lobule constitue un poumon miniature qui est appendu à une bronchiole terminale. L’appareil respiratoire
  • 51.
    Le poumon gauche : 2 lobes donc 10 segments : 5 dans le segment supérieur. 5 dans le segment inférieur. Chaque segment se subdivise en unité fonctionnelle pulmonaire appelée lobule pulmonaire. Chaque lobule constitue un poumon miniature qui est appendu à une bronchiole terminale. L’appareil respiratoire
  • 52.
    Lobe Supérieur: Segts1,2,3 Lobe moyen : Seg 4 et 5 Lobe Inférieur: Seg 6 à 10 Lobe Supérieur : Culmen 1,2,3 Lobe supérieur: Lingula 4 et 5 Lobe Inférieur : Seg 6 à 10
  • 53.
    Les Plèvres : membranes destinées à faciliter le glissement des poumons sur les parois thoraciques. Il existe une plèvre pour chaque poumon. Les deux plèvres sont indépendantes l’une de l’autre. Chaque plèvre est une membrane composée de deux feuillets: - un feuillet viscéral : accolé au poumon et s’enfonce dans les scissures. - un feuillet pariétal : accolé à la face profonde de la cage thoracique (plèvre thoracique) ou tapissant la face externe du médiastin (plèvre médiastinale). L’appareil respiratoire
  • 54.
  • 55.
  • 56.
    Le diaphragme : C'est un muscle en forme de parachute qui se trouve sous les poumons. permet aux poumons de se gonfler et de se dégonfler. L’appareil respiratoire
  • 57.
    Le diaphragme agitcomme un piston
  • 58.
    Le médiastin C'estl’espace au centre du thorax. Il est situé en avant de la colonne vertébrale et peut être divisé en plusieurs quadrants. Il est divisé, par convention, en : médiastin postérieur : contenant notamment l’oesophage et l’aorte descendante. médiastin moyen : contenant les voies aériennes supérieures : trachée et sa division (carène). médiastin antérieur : contenant le cœur, l’aorte ascendante, les artères pulmonaires et la veine cave supérieure.
  • 59.
  • 60.
    Le médiastin Lemédiastin antérieur comprend : L’aorte ascendante Le tronc pulmonaire La veine cave supérieure Les cavités cardiaques sauf l’atrium gauche La loge thymique
  • 61.
    Le médiastin Le médiastin moyen comprend : La trachée La carène Les pédicules pulmonaires : Les bronches souches Les veines et les artères pulmonaires Le segment horizontal de la crosse de l’aorte Le Tronc Artériel Brachio-Céphalique L’artère carotide primitive gauche La crosse de la grande veine azygos
  • 62.
  • 63.
  • 64.
  • 65.
    Le médiastin Lemédiastin postérieur comprend : Le canal thoracique La grande veine azygos et les veines hémi azygos L’œsophage L’aorte descendante et ses branches
  • 66.
  • 67.
    La ligne médiastinaleantérieure (jonction des deux languettes pulmonaires antérieures avec 4 feuillets pleuraux en arrière du sternum et en avant du médiastin). • La ligne médiastinale postérieure (jonction des deux languettes pulmonaires postérieures et supérieures en arrière du médiastin). Le médiastin
  • 68.
  • 69.
  • 70.
    Ligne médiastinale postérieureLigne médiastinale antérieure Le médiastin
  • 71.
    L’Œsophage :C’est un conduit qui fait communiquer le pharynx en haut et l'estomac en bas. Il mesure environ 25 cm et a un diamètre de 2 à 3 cm. Tube Digestif
  • 72.
    L’Œsophage :On lui décrit quatre portions. Une partie cervicale : à la base du cou et en arrière de la trachée. Une partie thoracique : en rapport avec l’aorte thoracique, le canal thoracique, le cœur, les nerfs pneumogastriques et les pédicules pulmonaires. Une partie diaphragmatique : L’œsophage traverse le diaphragme. Une partie abdominale (ou portion haute) : Il se jette dans l'estomac par un orifice appelé le cardia. Tube Digestif
  • 73.
  • 74.
  • 75.
    Rapports de l’œsophageavec l’aorte et la trachée
  • 76.
    Rapports de l’œsophageavec l’aorte et la trachée
  • 77.
    bandelette latérotrachéale droiteligne médiastinale postérieure crosse veine azygos ligne médiastinale Antérieure ligne para-oesophagienne ligne para-aortique ligne paravertébrale droite et gauche
  • 78.
    L’appareil circulatoire L’appareilcirculatoire s’appuie sur un véritable réseau aussi étendu que précis. Sous l’impulsion du coeur , chef d’orchestre vital, les artères et les veines assurent le transport du sang indispensable à tout notre organisme. Les artères apportent le sang riche en oxygène et en nutriments à l’ensemble des tissus de l’organisme. Les veines doivent rapporter le sang appauvri en oxygène vers le coeur puis les poumons. Des poumons , il repasse dans le coeur qui le propulse de nouveau via les artères à tout l’organisme.
  • 79.
    La circulation sanguine, Les différents rôles : Poumons : fournir l’O2 et rejeter le CO2 Cœur : pompe Foie et intestin : 1/3 du sang passe par les capillaires de l’intestin et se charge de produits de la digestion les quantités sont régulées par le foie. Reins : élimination des substances nocives et des déchets par voie urinaire.
  • 80.
  • 81.
    Le cœur se situe au milieu du thorax, sur le diaphragme, la pointe tournée vers la gauche. L’appareil circulatoire
  • 82.
    L’appareil circulatoire Lecoeur est un organe formé essentiellement d'un muscle, le myocarde, lequel est entouré d'un "sac" séreux, le péricarde et tapissé à l’intérieur par une fine membrane, l'endocarde.
  • 83.
  • 84.
    Le coeur comprend quatre cavités : deux cavités droites, formées par l’oreillette (ou atrium) et le ventricule droit. deux cavités gauches, formées par l’oreillette (ou atrium) et le ventricule gauche. Les cavités droite et gauche sont totalement séparées par une cloison (septum). Ces cavités sont connectées à des veines et des artères qui conduisent le sang venant ou partant du coeur. L’appareil circulatoire
  • 85.
    Les 2 atriums ont un petit diverticule : les auricules Le cœur repose sur le diaphragme et est situé au niveau de la partie antérieure et inférieure du médiastin. Le coeur est bordé latéralement par les poumons qui le recouvre partiellement. Les 4 cavités du coeur sont limitées par des sillons. Le sillon coronaire le sillon inter atrial Le sillon inter ventriculaire ou septum L’appareil circulatoire
  • 86.
  • 87.
  • 88.
  • 89.
    La partie droite assure la circulation du sang riche en CO² recueilli par les veines caves (sup et inf) : ce sang aboutit dans l’oreillette droite et est éjecté dans le ventricule droit. L’oreillette et le ventricule droits communiquent par l’orifice auriculo-ventriculaire droit, lequel est obturé par la valvule tricuspide, empêchant le retour de sang du ventricule vers l’oreillette. Le sang est ensuite éjecté dans l’artère pulmonaire, l’obturation étant assurée par la valvule sigmoïde. L’appareil circulatoire
  • 90.
  • 91.
    La partie gauche assure la circulation du sang oxygéné recueilli par les veines pulmonaires. ce sang aboutit dans l’oreillette gauche et est éjecté dans le ventricule gauche. L’oreillette et le ventricule gauches communiquent par l’orifice auriculo-ventriculaire gauche, lequel est obturé par la valvule mitrale. Le sang est ensuite éjecté dans l’artère aorte, l’obturation étant assurée par la valvule aortique. L’appareil circulatoire
  • 92.
  • 93.
    Systole auriculaire : contraction des oreillettes, le sang passe dans les ventricules. Systole ventriculaire : contraction des ventricules, le sang est propulsé à l’extérieur du cœur, Les valvules mitrale et tricuspide sont fermées puis en fin de la systole ventriculaire, fermeture des valvules sigmoïdes. Diastole : temps de repos avec remplissage des oreillettes. Ces trois phases constituent une révolution cardiaque. L’appareil circulatoire
  • 94.
    Les artèrescoronaires et leurs territoires :   - Ce sont les artères nourricières du coeur et elles parcourent celui-ci à sa surface externe. - Les artères coronaires droite et gauche naissent directement de la base de l'aorte et alimentent le myocarde au moyen de ramifications.   L’appareil circulatoire
  • 95.
    L’appareil circulatoire                                                                                                                                               
  • 96.
  • 97.
  • 98.
    L’appareil circulatoire L’aorte est la plus grande artère du corps. Elle part du ventricule gauche du coeur et apporte notamment du sang oxygéné à toutes les parties du corps via la circulation. Elle est divisée en aorte thoracique et aorte abdominale. L’aorte thoracique comprend trois segments : l'aorte ascendante, horizontale et descendante.
  • 99.
  • 100.
    L’aorte ascendante : L’aorte ascendante constitue le segment initial de l’aorte, elle fait 27 mm de diamètre et émerge du VG, dont elle est séparée par la valve aortique. Cette portion fait 6 cm de hauteur, divisé en deux régions: le sinus de Valsalva, fortement dilaté, oblique en avant. le grand sinus aortique, dilaté, jusqu'à la portion horizontale de l’aorte. L’appareil circulatoire
  • 101.
    La crossede l’aorte ou aorte horizontale : L’aorte horizontale passe ensuite derrière l’artère pulmonaire et la bronche souche gauche. Trois vaisseaux naissent de cette crosse aortique: le tronc brachio-céphalique, l’artère carotide primitive gauche, et l’artère sous-clavière gauche. Ces vaisseaux irriguent la tête et les membres supérieurs. L’appareil circulatoire
  • 102.
    L’aorte descendante : L’aorte descend ensuite dans le médiastin, en arrière du cœur et en avant de l’oesophage dans sa partie supérieure, en arrière dans sa partie inférieure. Cette partie est relativement fixée par rapport aux deux autres segments. La jonction entre l’aorte horizontale et descendante est appelée isthme aortique. Elle traverse ensuite le diaphragme et devient l’aorte abdominale. L’appareil circulatoire
  • 103.
    L’aorte initiale ousegment 0 L’aorte ascendante ou segment I qui lui fait suite, constitue la partie initiale de la crosse aortique . Sa longueur est d'environ 6 à 7 cm. Le segment II est représenté par la partie horizontale de la crosse aortique . Le segment III est l’aorte thoracique descendante. Le segment IV est la région de l’aorte qui est située sous le diaphragme Le segment V est la partie sous rénale de l’aorte L'aorte                                                                    
  • 104.
  • 105.
  • 106.
    Les 3troncs supra aortiques naissent sur la portion horizontale de la crosse de l’aorte : Le tronc Artériel Brachio-céphalique. L’artère Carotide commune gauche. L’artère sus-clavière gauche. Tous ont une branche à destinée céphalique. L’appareil circulatoire
  • 107.
  • 108.
  • 109.
    Les Troncs SupraAortiques s’organisent autour de la trachée à leur origine. L’appareil circulatoire
  • 110.
    Variantes embryologiques :Les variations de naissance et de trajet des vaisseaux de la gerbe aortique sont nombreuses. L’appareil circulatoire
  • 111.
    Parmi les plusfréquentes, citons : l’origine de la carotide primitive gauche commune à celle du tronc brachio-céphalique. l’artère vertébrale gauche naissant directement de l’aorte en amont de la sous-clavière gauche (4% de cas). l’artère sous-clavière droite aberrante rétro-oesophagienne, naissant après la sous-clavière gauche (0,2 à 1,7 % de cas), il s’agit d'une anomalie d'évolution du 4ème arc aortique. L’appareil circulatoire
  • 112.
    Le Troncartériel Brachio-céphalique : Naît de la face supérieure du 2e segment horizontal de la crosse aortique à hauteur de T 4. Volumineux, (diamètre 12 mm - longueur 3 cm) il se dirige en haut et à droite croisant la partie droite de la trachée. Derrière l’articulation sterno-claviculaire droite il bifurque en artères sous-clavière droite et carotide primitive droite. L’appareil circulatoire
  • 113.
  • 114.
  • 115.
    Les artèresCarotides Communes : La droite vient du TABC. La gauche vient de la crosse de l’aorte. Elles n’ont aucune branche collatérale. L’appareil circulatoire
  • 116.
    L’artère carotide primitivedroite : Elle naît à 3 cm en arrière de l'articulation sterno-claviculaire à la hauteur de T1. monte dans la gouttière carotidienne le long de la trachée et du corps thyroïdien, de l'oesophage puis du larynx et du pharynx. Elle s’évase avant sa terminaison en regard du bord supérieur du cartilage thyroïde et de C4. L’appareil circulatoire
  • 117.
  • 118.
    L’artère carotide primitivegauche : naît directement de la crosse aortique et comporte un premier segment intra thoracique en arrière du manubrium sternal. Son segment cervical est identique à celui de la carotide primitive droite. L’appareil circulatoire
  • 119.
  • 120.
  • 121.
    Artères sous-clavières : l’une à droite et l’autre à gauche. La droite naît du tronc brachio-céphalique moins longue que la gauche, elle se dirige obliquement en haut et en dehors. La sous-clavière gauche, au contraire, naît directement de l’aorte, remonte verticalement en haut. Arrivées au niveau de la première côte, ces deux artères présentent la même disposition, deviennent horizontales, passent entre les deux muscles scalènes et prennent le nom d'axillaires.
  • 122.
  • 123.
  • 124.
  • 125.
    L’artère vertébrale : Elle naît de la sous-clavière pré-scalénique et chemine verticalement sur 25 cm environ. On lui décrit 4 segments. L’appareil circulatoire
  • 126.
  • 127.
    L’artère mammaire interne : naît de la face inférieure de la sous-clavière, un peu en dehors de la vertébrale. Elle épouse la partie antérieure du dôme pleural et descend verticalement à la face profonde du plastron costal à 1 ou 2 cm en dehors du bord latéral du sternum. L’appareil circulatoire
  • 128.
  • 129.
    Cartographie veineuse : Le sang veineux du membre supérieur est collecté par la veine sous-clavière , celui de la tête et du cou, par la jugulaire interne et des veines jugulaires accessoires. Le plan veineux est situé en avant du plan artériel. L’appareil circulatoire
  • 130.
  • 131.
    Veine sous-clavière :Continuation de la veine axillaire. Chemine de la clavicule à la partie postérieure de l'articulation sterno-claviculaire où elle rejoint la veine jugulaire interne pour former le confluent veineux de Pirogoff, origine du tronc veineux brachio-céphalique. L’appareil circulatoire
  • 132.
    Le tronc veineuxbrachio-céphalique droit mesure 3 cm et descend semi verticalement. Le tronc veineux brachio-céphalique gauche mesure 5 à 6 cm et par un trajet horizontal rejoint à angle droit le tronc veineux brachio-céphalique droit à la partie postérieure du cartilage de la 1ère côte droite pour former la veine cave supérieure. L’appareil circulatoire
  • 133.
  • 134.
    La veine jugulaireinterne : C’est la plus grosse veine du cou. Elle débute à la base du crâne et descend parallèlement en dehors puis en avant de la carotide interne puis de la carotide primitive. Elle reçoit de nombreuses collatérales sous la base du crâne. L’appareil circulatoire
  • 135.
  • 136.
    La veine cavesupérieure : Tout le sang veineux arrivant au coeur est collecté par deux gros troncs veineux : les veines caves, supérieure et inférieure. La veine cave supérieure draine tout le sang veineux de la partie supérieure du corps, venant essentiellement du cerveau, de la tête et du cou, des membres supérieurs. la veine cave inférieure joue le même rôle pour la partie inférieure du corps. Les veines caves s'abouchent dans l'oreillette droite. L’appareil circulatoire
  • 137.
  • 138.
  • 139.
  • 140.
    Le Hilepulmonaire est situé sur la face médiastinale du Poumon. C’est la ligne de réflexion du feuillet viscéral de la plèvre sur le feuillet pariétal (= plèvre Médiastinale) Il contient les bronches et le pédicule pulmonaire : - En avant : la Veine Pulmonaire Supérieure. - En bas : la Veine Pulmonaire Inférieure. - Au milieu et en haut : l’Artère Pulmonaire qui se divise. - En arrière : la Bronche Principale qui se divise. Les hiles pulmonaires
  • 141.
  • 142.
  • 143.
    Les hiles pulmonairesL’artère pulmonaire part du ventricule droit du cœur auquel elle est séparée par la valve pulmonaire. Elle se dirige en haut, a un diamètre d’un peu plus de 2 cm chez l'adulte et se sépare rapidement en artères pulmonaires droite et gauche qui se dirigent vers leur poumon respectif. L’artère pulmonaire droite passe sous la crosse de l’aorte. Arrivées au niveau des hiles pulmonaires, elles se divisent en multiples branches correspondant chacune à un lobe puis à un segment du poumon.
  • 144.
  • 145.
  • 146.
  • 147.
    Les veinespulmonaires : Les veines pulmonaires transportent le sang oxygéné dans les poumons. Les veines pulmonaires sont au nombre de quatre. Contrairement aux autres veines, les veines pulmonaires transportent du sang artériel et non du sang veineux. Les hiles pulmonaires
  • 148.
  • 149.
    Le système veineuxazygos Les veines azygos sont essentiellement un système de drainage veineux pariétal mais leur intérêt est surtout qu’elles forment un système anastomotique entre la veine cave supérieure et inférieure. Elle sont formées classiquement par : une veine principale, droite, la veine azygos une veine inférieure gauche, l’hémi-azygos
  • 150.
    Veine Azygos : Elle naît dans l’espace inframédiastinal postérieur (situé en avant de T10-T12 et en arrière du diaphragme), à hauteur du 11è espace intercostal par la fusion de 2 racines. Une racine latérale formée par la réunion de la veine lombaire ascendante droite Une racine médiale qui provient de la face dorsale de la veine cave inférieure en passant entre pilier principal et pilier accessoire droit du diaphragme.     Le système veineux azygos
  • 151.
    La veine hémi-azygos : comme la veine azygos, elle naît dans l'espace inframédiastinal postérieur, à hauteur du 11é espace intercostal gauche par la fusion de 2 racines : une racine latérale formée par la réunion de la veine lombaire ascendante gauche. une racine médiale qui provient d’une anastomose entre la veine rénale gauche et la veine lombaire postérieure sous-jacente formant l'arc réno-azygo-lombaire qui passe entre pilier principal et pilier accessoire gauche du diaphragme. Le système veineux azygos
  • 152.
  • 153.
  • 154.
    Les veines azygossont essentiellement un système de drainage veineux pariétal mais leur intérêt est surtout qu'elles forment un système anastomotique entre la veine cave supérieure et inférieure qui peut être extrêmement important en cas de compression tumorale de la veine cave supérieure ou de thrombose de la veine cave inférieure. Le système veineux azygos
  • 155.
  • 156.
    La cage thoracique12 paires de côtes : les 7 premières paires sont reliées (grâce à leur cartilage) directement au sternum. les 8e, 9e et 10e paires sont reliées au cartilage de la 7e paire. Les 11e et 12e paires ne sont pas reliées au sternum et sont appelées côtes flottantes . Le Sternum , il est composé de trois parties : le manubrium et le corps sternal ainsi que le processus xiphoïde.
  • 157.
  • 158.
  • 159.
  • 160.
    Les seins : sont situés sur la partie antérieure du thorax, les seins de la femme sont proéminents, car ils comportent du tissu adipeux (graisse). ils possèdent des glandes mammaires. La cage thoracique
  • 161.
    La forme généraledu sein féminin est variable, le plus souvent conique arrondie. Le mamelon est la partie centrale et surélevée de l'aréole. Les canaux galactophores qui assurent l'évacuation des sécrétions lactées y débouchent par des pores séparés. Sur le plan interne, le sein est essentiellement constitué d’un tissu conjonctif adipeux et de ligaments de Cooper. La cage thoracique
  • 162.
    La glande mammaire est constituée de lobes, séparés par des cloisons conjonctives : qui sont des ensembles de bourgeons glandulaires ou acini développés en période d’allaitement. drainés par des canaux galactophores pourvus vers leurs extrémités d’un sinus galactophore et débouchant séparément au niveau du mamelon. Le sein est richement vascularisé. La cage thoracique
  • 163.
    Au niveau dusystème lymphatique, le sein est divisé en 4 quadrants, 2 externes, 2 internes. Sur le plan profond, on distingue 3 muscles : le grand pectoral sur lequel glisse la glande mammaire, le petit pectoral et le sous-clavier. Le sein est soutenu par la peau et un ligament suspenseur : la travée fibro-glandulaire. Au niveau inférieur, le sillon sous-mammaire est formé par un épaississement de ces travées qui tire la peau en profondeur. La cage thoracique
  • 164.
    Cage thoracique Musclespectoraux Lobules Mamelon Aréole Canal galactophore Tissu adipeux peau