GloméruloNéphrite Membrano-Proliférative
De l’Histologie au Complément….
Moins de 6 % des glomérulonéphrites en France
(contre 16% il y a 20 ans)
Diminution parallèle à celle de l'incidence des glomérulonéphrites aigües post-
infectieuses et du RAA
Améliorations des conditions socio-économiques et sanitaires
Introduction
GNMP idiopathiques :
4% des syndromes néphrotiques de l’enfant
7% de l’adulte
Caucasien de 7 à 30 ans
GNMP de « type I » :
Plus fréquentes chez l’adulte
Virus de l’hépatite C +++
Syndrome néphrotique impur progressif (70% des cas)
PU abondante quasi-constante
Hématurie microscopique très fréquente souvent abondante
(parfois macroscopique)
HTA, IRC modérée (inconstante).
Syndrome néphritique (25% des cas)
souvent précédé d'un épisode infectieux
IRA transitoire (prolifération extra-capillaire, de thrombi multiples,etc)
Syndrome de GNRP (5% des cas), HU macroscopiques récidivantes
Présentation clinique néphrologique
GNMP = Définition histologique +++
Primitives Secondaires
GNMP type I
GNMP type II
GNMP type III
MO + IF +ME Infections
Maladies auto-
immunes
MGUS et
hémopathies
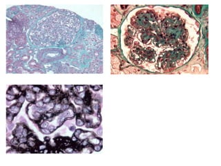
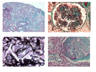
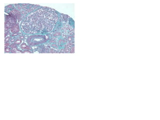
Faible grossissement:
- lésions diffuses et globales
- glomérules hypercellulaires
avec des lumières capillaires
peu visibles.
Faible grossissement:
- lésions diffuses et globales
- glomérules hypercellulaires
avec des lumières capillaires
peu visibles.
Faible grossissement:
- lésions diffuses et globales
- glomérules hypercellulaires
avec des lumières capillaires
peu visibles.
Fort grossissement: 4 lésions caractéristiques
(globales et diffuses) :
Une prolifération mésangiale (et/ou endocapillaire)
Faible grossissement:
- lésions diffuses et globales
- glomérules hypercellulaires
avec des lumières capillaires
peu visibles.
Fort grossissement: 4 lésions caractéristiques
(globales et diffuses) :
Une prolifération mésangiale (et/ou endocapillaire)
Un épaississement mésangial
Faible grossissement:
- lésions diffuses et globales
- glomérules hypercellulaires
avec des lumières capillaires
peu visibles.
Fort grossissement: 4 lésions caractéristiques
(globales et diffuses) :
Une prolifération mésangiale (et/ou endocapillaire)
Un épaississement mésangial
Des doubles contours
Faible grossissement:
- lésions diffuses et globales
- glomérules hypercellulaires
avec des lumières capillaires
peu visibles.
Fort grossissement: 4 lésions caractéristiques
(globales et diffuses) :
Une prolifération mésangiale (et/ou endocapillaire)
Un épaississement mésangial
Des doubles contours
Des dépôts endomembraneux (+/- extra-
membraneux)
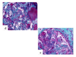
La clé du diagnostic: IF ++++
-Prédominance de dépôts granuleux sous-endothéliaux
(Dépôts inconstants mésangiaux et
-extra-membraneux (de type « humps »))
C3 + IgG
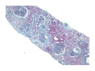
Dépôts « denses » typiques dans la MBG, mais aussi dans la capsule de
Bowman et le versant externe de la MBT, voire les petits vaisseaux.
C3 ++++
ME ++++
Même présentation que la GNMP de type I avec
dépôts extra-membraneux nombreux
(et parfois des anomalies de la MBG de type
"spikes" associées).
C3 + IgG
Facteurs histologiques de mauvais pronostic
Prolifération extra capillaire > 20 %
Fibrose évoluée (glomérulaire ou interstitielle)
Abondance des dépôts mésangiaux pour GNMP de type 2
C3
IgG+
IgG+ IgG-
C3
IgG+
IgG+ IgG-
C3
IgG+
IgG+ IgG-
C3
IgG+
IgG+ IgG-
NOUVELLE CLASSIFICATION
- 9 patients MDD
- Microdissection
glomérulaire
- Spectroscopie de
masse
- Analyse des dépôts
Dépots DDD = Dépôts GN à C3 = composants de la voie alterne du compléments
Dépots GNMP type I = Ig + composants de la voie classique
Nouvelle classification
des GNMP
GNMP (+/- mesangioproliferative +/- croissants extracap) en MO
IF
C3 + Ig C3 seul
GN médiée par complexes immuns Glomérulopathie à C3
Infections
Maladies auto-
immunes
MGUS et
hémopathies
Dépôts denses mésangiaux
et intramembraneux
Dépôts non denses
mésangiaux, intramembraneux,
endo ou extramembraneux
MDD GNC3
ME
GNMP médiée par les
complexes immuns circulants
GNMP médiée par les complexes immuns
Complexes immuns circulants ou
antigénémie chronique
Intéraction avec la voie la classique du
complément (C3 et C4 bas)
IF+: C3 et Ig
GNMP médiée par les anticorps
Stimulus antigénique
Infectieux
Maladies
auto-immunes
Ig monoclonales
et paraprotéines
Autres
Hépatopathie:
hépatite; cirrhose
Cancer
(carcinome)
Sarcoidose
Médicaments
« Idiopathic »
Viral
Hépatites B and C; VIH
Bactérien
endocardite; shunt,
abcès
Parasitaire
paludisme;
schistosomiase
Autres
mycoplasma;
mycobacteries
Lupus
Sclerodermie
Goujerot Sjögren
Cryoglobulinémie
essentielle
MGUS
Leucémie
Lymphome
Myélome
GNMP médiée par les anticorps
Stimulus antigénique
Infectieux
Maladies
auto-immunes
Ig monoclonales
et paraprotéines
Autres
Hépatopathie:
hépatite; cirrhose
Cancer
(carcinome)
Sarcoidose
Médicaments
« Idiopathic »
Viral
Hépatites B and C; VIH
Bactérien
endocardite; shunt,
abcès
Parasitaire
paludisme;
schistosomiase
Autres
mycoplasma;
mycobacteries
Lupus
Sclerodermie
Goujerot Sjögren
Cryoglobulinémie
essentielle
MGUS
Leucémie
Lymphome
Myélome
GNMP médiée
par la voie alterne du complément
ou glomérulopathie à C3
GNMP
C3 +++
Ig neg
ME
DDD
ou
maladie des dépôts denses
Glomérulonéphrite
à
dépôts de C3
Anomalies de la voie alterne
acquises ou héréditaires
(mutations ou anticorps)
Glomérulopathie à C3
I F
GNMP médiée par le complément: glomérulopathies à C3
C3
Voie alterne du complément
C3
C3b
C3a
spontané
Voie alterne du complément
C3
C3b
C3a
C3bB
B
Voie alterne du complément
C3
C3b
C3a
C3bB
B
C3bBbP
C3 convertase alt
D
Voie alterne du complément
C3
C3b
C3a
C3bB
B
C3bBbP
C3 convertase alt
(C3b)2BbP
C5 convertase
Voie alterne du complément
C3
C3b
C3a
C3bB
B
C3bBbP
C3 convertase alt
(C3b)2BbP
C5 convertase
Voie alterne du complément
C3
C3b
C3a
C3bB
B
C3bBbP
C3 convertase alt
(C3b)2BbP
C5 convertase
C5
C5b
C6,C7,C8,C9
Complexe d’attaque
membranaire
Boucle d’amplification
Voie alterne du complément
C3
C3b
C3a
C3bB
B
C3bBbP
C3 convertase alt
(C3b)2BbP
C5 convertase
Voie alterne du complément
C3
C3b
C3a
C3bB
B
C3bBbP
C3 convertase alt
(C3b)2BbP
C5 convertase
C5
C5b
C6,C7,C8,C9
Complexe d’attaque
membranaire
Voie alterne du complément
C3
C3b
C3a
C3bB
B
C3bBbP
C3 convertase alt
(C3b)2BbP
C5 convertase
C5
C5b
C6,C7,C8,C9
Complexe d’attaque
membranaire
De la voie alterne du complément à la GN C3
C3 NEPHRITIC FACTOR
C3
C3b
C3a
C3bB
B
C3bBbP
C3 convertase alt
(C3b)2BbP
C5 convertase
C5
C5b
C6,C7,C8,C9
Complexe d’attaque
membranaire
De la voie alterne du complément à la GN C3
C3 NEPHRITIC FACTOR
Facteur H
C3
C3b
C3a
C3bB
B
C3bBbP
C3 convertase alt
(C3b)2BbP
C5 convertase
C5
C5b
C6,C7,C8,C9
Complexe d’attaque
membranaire
De la voie alterne du complément à la GN C3
C3 NEPHRITIC FACTOR
Facteur H
C3 NEF
C3
C3b
C3a
C3bB
B
C3bBbP
C3 convertase alt
(C3b)2BbP
C5 convertase
C5
C5b
C6,C7,C8,C9
Complexe d’attaque
membranaire
De la voie alterne du complément à la GN C3
C3 NEPHRITIC FACTOR
Facteur H
C3 NEF
C3
C3b
C3a
C3bB
B
C3bBbP
C3 convertase alt
(C3b)2BbP
C5 convertase
C5
C5b
C6,C7,C8,C9
Complexe d’attaque
membranaire
De la voie alterne du complément à la GN C3
ANTICORPS ANTI FH
Facteur H
Anticorps
anti FH
C3
C3b
C3a
C3bB
B
C3bBbP
C3 convertase alt
(C3b)2BbP
C5 convertase
C5
C5b
C6,C7,C8,C9
Complexe d’attaque
membranaire
De la voie alterne du complément à la GN C3
Facteur H
Anticorps
anti FH
ANTICORPS ANTI FH
C3
C3b
C3a
C3bB
B
C3bBbP
C3 convertase alt
(C3b)2BbP
C5 convertase
C5
C5b
C6,C7,C8,C9
Complexe d’attaque
membranaire
De la voie alterne du complément à la GN C3
MUTATION C3 gain de fonction
C3
C3b
C3a
C3bB
B
C3bBbP
C3 convertase alt
(C3b)2BbP
C5 convertase
C5
C5b
C6,C7,C8,C9
Complexe d’attaque
membranaire
De la voie alterne du complément à la GN C3
Facteur H
MUTATION C3 gain de fonction
C3
C3b
C3a
C3bB
B
C3bBbP
C3 convertase alt
(C3b)2BbP
C5 convertase
C5
C5b
C6,C7,C8,C9
Complexe d’attaque
membranaire
De la voie alterne du complément à la GN C3
MUTATION FH perte de fonction
Facteur H
C3
C3b
C3a
C3bB
B
C3bBbP
C3 convertase alt
(C3b)2BbP
C5 convertase
C5
C5b
C6,C7,C8,C9
Complexe d’attaque
membranaire
De la voie alterne du complément à la GN C3
MUTATION FH perte de fonction
Maladie des dépôts denses
Décrit depuis 1975
Maladie des dépôts denses
Glomérulonéphrite membranoproliférative
(GNMP) de type II, à dépôts denses au sein
des
membranes basales ou
« maladie du dépôt dense »
0.22 p. 100 des GN primitives
2 à 3 personnes par million (16-24)
Syndrome néphrotique impur et progressif
(50%)
Enfant et jeune adulte
Parfois plus tardif
Hypocomplémentémie C3 +++
non spécifique et non corrélé à
l’activité de la maladie
C3 nef (80%) …
40-50% des GNMP évoluent vers IRT après 10 ans
Mauvais pronostic si SN, atteinte rénale ou HTA
persistante au moment du diagnostic
la MDD a le moins bon pronostic des
GNMP
Récidive histologique sur greffon dans 80-90%
ACQUIRED PARTIAL LIPODYSTROPHY
Lipodystrophie partielle acquise
Glomérulonéphrite à dépots de C3
Un concept plus récent
GN à C3 MDD
IF Dépots mésangiaux
Endo et extra membraneux
Dépôts denses
intra membraneux
mésangiaux
MBT
capsule Bowman
ME Pas de Dépots Denses Pas de C3
Clinique Identique à MDD MDD
Signes extra rénaux non oui
Anomalies de la voie alterne oui oui
Evolution vers l’IRCT Moins péjorative 40-50%
Récidive après
transplantation rénale
+/- 80%
134 patients: 29 DDD
56 GN C3
49 GNMP type I idiopathique (C3+Ig)
Exploration de la voie alterne du complément
Recherche anomalies acquises (anticorps ou mutations)
Age de découverte DDD < MPGN1 < GNC3
Protéinurie plus abondante DDD et MPGN 1 > GNC3
Syndrome néphrotique plus fréquent MPGN 1 > DDD > GNC3
Risque d’évolution IRCT et risque de récidive sur greffon
IDEM
Survie rénale globale:
63.5 % à 10 ans
Survie rénale adulte < DDD
GN à C3 et SHU atypique
Garçon de 16 mois
SHU atypique
Mutation du facteur H
Glomérulopathie à
dépôts de C3
5 ans après
TR 2 ans après
Garçon 11 mois
SHU atypique
Mutation facteur H
Glomérulopathie à
dépôts de C3
(extramembraneux)
3 ans après
TR 6 ans après
récidive shu atypique
en début de greffe
12/1998
F 36 ans
S néphrotique impur
C3 bas C4 normal
GNMP C3+ / Ig - + croissants
CTC + Endoxan Dialyse 04/1999
GN à C3 et SHU atypique
12/1998
F 36 ans
S néphrotique impur
C3 bas C4 normal
GNMP C3+ / Ig - + croissants
CTC + Endoxan Dialyse 04/1999
GN à C3 et SHU atypique
TR n°1 01/2004
12/1998
F 36 ans
S néphrotique impur
C3 bas C4 normal
GNMP C3+ / Ig - + croissants
CTC + Endoxan Dialyse 04/1999
GN à C3 et SHU atypique
TR n°1 01/2004
12/1998
F 36 ans
S néphrotique impur
C3 bas C4 normal
GNMP C3+ / Ig - + croissants
CTC + Endoxan Dialyse 04/1999
GN à C3 et SHU atypique
TR n°1 01/2004
Récidive de la maladie à
M1
CTC + Rituximab + EP
Switch ciclo tacro
Amélioration initiale puis
dégradation progressive
08/2007
12/1998
F 36 ans
S néphrotique impur
GNMP C3+ / Ig - + croissants
CTC + Endoxan Dialyse 04/1999
GN à C3 et SHU atypique
TR n°1 01/2004
Récidive de la maladie à
M1
CTC + Rituximab + EP
Switch ciclo tacro
Amélioration initiale puis
dégradation progressive
08/2007
TR n°2 11/2007
12/1998
F 36 ans
S néphrotique impur
GNMP C3+ / Ig - + croissants
CTC + Endoxan Dialyse 04/1999
GN à C3 et SHU atypique
TR n°1 01/2004
Récidive de la maladie à
M1
CTC + Rituximab + EP
Switch ciclo tacro
Amélioration initiale puis
dégradation progressive
08/2007
TR n°2 11/2007
06/2008 IRA + MAT
Shu atypique
Dialyse 08/2008
12/1998
F 36 ans
S néphrotique impur
GNMP C3+ / Ig - + croissants
CTC + Endoxan Dialyse 04/1999
GN à C3 et SHU atypique
TR n°1 01/2004
Récidive de la maladie à
M1
CTC + Rituximab + EP
Switch ciclo tacro
Amélioration initiale puis
dégradation progressive
08/2007
TR n°2 11/2007
06/2008 IRA + MAT
Shu atypique
Dialyse 08/2008
Anticorps anti facteur H+
GN à C3 et SHU atypique
GN à C3 SHU atypique
MO GNMP Lésions aigues: MAT
Lésions chroniques:
doubles contours+++
IF C3+++ Pas de C3
C3 plasmatique Bas ou normal Bas ou normal
Localisation du dérèglement
de la voie alterne
PHASE FLUIDE PHASE SOLIDE
(lésions endothéliales)
Anomalies de la voie alterne - Mutation
C3 convertase (C3 and FB)
regulateurs (FH, FI, MCP, et
thrombomoduline)
- Anticorps
anti-FH
C3 nef
Idem mais pas de C3 nef
GN à C3 et Transplantation Rénale
- Récidive quasi constante pour les type II ou MDD: 80 à 100 % de récidive
histologique avec impact clinique+/- important
- pour les autres types, dépend essentiellement du type de mutation retrouvée
et/ou présence d’anticorps (C3 nef / FH)
GN à C3 et Transplantation Rénale
- Récidive quasi constante pour les type II ou MDD: 80 à 100 % de récidive
histologique avec impact clinique+/- important
- pour les autres types, dépend essentiellement du type de mutation retrouvée
et/ou présence d’anticorps (C3 nef / FH)
GN à C3 et Transplantation Rénale
- Récidive quasi constante pour les type II ou MDD: 80 à 100 % de récidive
histologique avec impact clinique+/- important
- pour les autres types, dépend essentiellement du type de mutation retrouvée
et/ou présence d’anticorps (C3 nef / FH)
GN à C3 et Transplantation Rénale
- Récidive quasi constante pour les type II ou MDD: 80 à 100 % de récidive
histologique avec impact clinique+/- important
- pour les autres types, dépend essentiellement du type de mutation retrouvée
et/ou présence d’anticorps (C3 nef / FH)
UNOS: 189211 TR n°1 de 1987 à 2007
GN à C3 et Transplantation Rénale
- Récidive quasi constante pour les type II ou MDD: 80 à 100 % de récidive
histologique avec impact clinique+/- important
- pour les autres types, dépend essentiellement du type de mutation retrouvée
et/ou présence d’anticorps (C3 nef / FH)
GN à C3 et Transplantation Rénale
- Récidive quasi constante pour les type II ou MDD: 80 à 100 % de récidive
histologique avec impact clinique+/- important
- pour les autres types, dépend essentiellement du type de mutation retrouvée
et/ou présence d’anticorps (C3 nef / FH)
GN à C3 et Transplantation Rénale
- Récidive quasi constante pour les type II ou MDD: 80 à 100 % de récidive
histologique avec impact clinique+/- important
- pour les autres types, dépend essentiellement du type de mutation retrouvée
et/ou présence d’anticorps (C3 nef / FH)
Traitement
- études déjà anciennes
- menées chez des patients atteints de GNMP présumées idiopathiques (GNMP à CIC
inclues)
- absence de groupe contrôle (ou de contrôle historique)
- différences entre les groupes de traitement souvent marginales
- puissance statistique particulièrement faible
- menés avant l'ère de l'utilisation d’un traitement dit néphroprotecteur comportant
des bloqueurs du système rénine angiotensine (IEC, ARA2).
Traitement
- études déjà anciennes
- menées chez des patients atteints de GNMP présumées idiopathiques (GNMP à CIC
inclues)
- absence de groupe contrôle (ou de contrôle historique)
- différences entre les groupes de traitement souvent marginales
- puissance statistique particulièrement faible
- menés avant l'ère de l'utilisation d’un traitement dit néphroprotecteur comportant
des bloqueurs du système rénine angiotensine (IEC, ARA2).
Traitement
- études déjà anciennes
- menées chez des patients atteints de GNMP présumées idiopathiques (GNMP à CIC
inclues)
- absence de groupe contrôle (ou de contrôle historique)
- différences entre les groupes de traitement souvent marginales
- puissance statistique particulièrement faible
- menés avant l'ère de l'utilisation d’un traitement dit néphroprotecteur comportant
des bloqueurs du système rénine angiotensine (IEC, ARA2).
Traitement
- études déjà anciennes
- menées chez des patients atteints de GNMP présumées idiopathiques (GNMP à CIC
inclues)
- absence de groupe contrôle (ou de contrôle historique)
- différences entre les groupes de traitement souvent marginales
- puissance statistique particulièrement faible
- menés avant l'ère de l'utilisation d’un traitement dit néphroprotecteur comportant
des bloqueurs du système rénine angiotensine (IEC, ARA2).
Si croissants extracap.
Bolus CTC +/- endoxan
imurel
MMF
Études de faible puissance non randomisées
Traitement
- études déjà anciennes
- menées chez des patients atteints de GNMP présumées idiopathiques (GNMP à CIC
inclues)
- absence de groupe contrôle (ou de contrôle historique)
- différences entre les groupes de traitement souvent marginales
- puissance statistique particulièrement faible
- menés avant l'ère de l'utilisation d’un traitement dit néphroprotecteur comportant
des bloqueurs du système rénine angiotensine (IEC, ARA2).
Si croissants extracap.
Bolus CTC +/- endoxan
imurel
MMF
Études de faible puissance non randomisées
A INTERPRETER AVEC BEACOUP DE PRUDENCE!!!
Traitement: KDIGO 2012
Traitement de la cause
GNMP à CIC
GNMP C3 ?
Traitement: KDIGO 2012
Traitement de la cause
GNMP à CIC
GNMP C3 ?
Traitement
GN à C3 et Eculizumab (anti C5)
Toxicité du complément dans la GN C3:
1- dépôts de C3:
inhiber la C3 convertase
2- C5b9 et proliferation cellulaire
glomerulaire:
inhiber la C5 convertase
INDICATIONS DE L’ECULIZUMAB:
- peu de données, donc opinions d’experts
- anti C5 agit sur la part inflammatoire de la GNMP
donc * si proliferation endo ou extra capillaire
* taux circulant de C5b9 élevé
* dégradadtion récente de la fonction rénale
* peu ou pas de fibrose interstitielle/glomérulaire
- n’empêche pas les dépôts de C3 et donc la récidive
- trop peu de données pour eculizumab en greffe:
curatif ou préventif
Conclusion
GNMP : définition histologique préférer la classification physiopath !!!
Anomalies de la voie alterne ++++, parfois associées !
Traitement non spécifique: selon l’évolution clinique et l’histologie
- CIC: traitement de la cause et se méfier d’une anomalies de la voie alterne
associée
- GNC3: selon les anomalies de la voie alterne

gnmp.pptx

  • 1.
  • 2.
    Moins de 6% des glomérulonéphrites en France (contre 16% il y a 20 ans) Diminution parallèle à celle de l'incidence des glomérulonéphrites aigües post- infectieuses et du RAA Améliorations des conditions socio-économiques et sanitaires Introduction GNMP idiopathiques : 4% des syndromes néphrotiques de l’enfant 7% de l’adulte Caucasien de 7 à 30 ans GNMP de « type I » : Plus fréquentes chez l’adulte Virus de l’hépatite C +++
  • 3.
    Syndrome néphrotique impurprogressif (70% des cas) PU abondante quasi-constante Hématurie microscopique très fréquente souvent abondante (parfois macroscopique) HTA, IRC modérée (inconstante). Syndrome néphritique (25% des cas) souvent précédé d'un épisode infectieux IRA transitoire (prolifération extra-capillaire, de thrombi multiples,etc) Syndrome de GNRP (5% des cas), HU macroscopiques récidivantes Présentation clinique néphrologique
  • 4.
    GNMP = Définitionhistologique +++ Primitives Secondaires GNMP type I GNMP type II GNMP type III MO + IF +ME Infections Maladies auto- immunes MGUS et hémopathies
  • 5.
    Faible grossissement: - lésionsdiffuses et globales - glomérules hypercellulaires avec des lumières capillaires peu visibles.
  • 7.
    Faible grossissement: - lésionsdiffuses et globales - glomérules hypercellulaires avec des lumières capillaires peu visibles.
  • 8.
    Faible grossissement: - lésionsdiffuses et globales - glomérules hypercellulaires avec des lumières capillaires peu visibles. Fort grossissement: 4 lésions caractéristiques (globales et diffuses) : Une prolifération mésangiale (et/ou endocapillaire)
  • 10.
    Faible grossissement: - lésionsdiffuses et globales - glomérules hypercellulaires avec des lumières capillaires peu visibles. Fort grossissement: 4 lésions caractéristiques (globales et diffuses) : Une prolifération mésangiale (et/ou endocapillaire) Un épaississement mésangial
  • 12.
    Faible grossissement: - lésionsdiffuses et globales - glomérules hypercellulaires avec des lumières capillaires peu visibles. Fort grossissement: 4 lésions caractéristiques (globales et diffuses) : Une prolifération mésangiale (et/ou endocapillaire) Un épaississement mésangial Des doubles contours
  • 14.
    Faible grossissement: - lésionsdiffuses et globales - glomérules hypercellulaires avec des lumières capillaires peu visibles. Fort grossissement: 4 lésions caractéristiques (globales et diffuses) : Une prolifération mésangiale (et/ou endocapillaire) Un épaississement mésangial Des doubles contours Des dépôts endomembraneux (+/- extra- membraneux)
  • 16.
    La clé dudiagnostic: IF ++++
  • 17.
    -Prédominance de dépôtsgranuleux sous-endothéliaux (Dépôts inconstants mésangiaux et -extra-membraneux (de type « humps »)) C3 + IgG
  • 18.
    Dépôts « denses» typiques dans la MBG, mais aussi dans la capsule de Bowman et le versant externe de la MBT, voire les petits vaisseaux. C3 ++++
  • 19.
  • 20.
    Même présentation quela GNMP de type I avec dépôts extra-membraneux nombreux (et parfois des anomalies de la MBG de type "spikes" associées). C3 + IgG
  • 21.
    Facteurs histologiques demauvais pronostic Prolifération extra capillaire > 20 % Fibrose évoluée (glomérulaire ou interstitielle) Abondance des dépôts mésangiaux pour GNMP de type 2
  • 22.
  • 23.
  • 24.
  • 25.
  • 26.
    - 9 patientsMDD - Microdissection glomérulaire - Spectroscopie de masse - Analyse des dépôts Dépots DDD = Dépôts GN à C3 = composants de la voie alterne du compléments Dépots GNMP type I = Ig + composants de la voie classique
  • 27.
    Nouvelle classification des GNMP GNMP(+/- mesangioproliferative +/- croissants extracap) en MO IF C3 + Ig C3 seul GN médiée par complexes immuns Glomérulopathie à C3 Infections Maladies auto- immunes MGUS et hémopathies Dépôts denses mésangiaux et intramembraneux Dépôts non denses mésangiaux, intramembraneux, endo ou extramembraneux MDD GNC3 ME
  • 28.
    GNMP médiée parles complexes immuns circulants
  • 29.
    GNMP médiée parles complexes immuns Complexes immuns circulants ou antigénémie chronique Intéraction avec la voie la classique du complément (C3 et C4 bas) IF+: C3 et Ig
  • 30.
    GNMP médiée parles anticorps Stimulus antigénique Infectieux Maladies auto-immunes Ig monoclonales et paraprotéines Autres Hépatopathie: hépatite; cirrhose Cancer (carcinome) Sarcoidose Médicaments « Idiopathic » Viral Hépatites B and C; VIH Bactérien endocardite; shunt, abcès Parasitaire paludisme; schistosomiase Autres mycoplasma; mycobacteries Lupus Sclerodermie Goujerot Sjögren Cryoglobulinémie essentielle MGUS Leucémie Lymphome Myélome
  • 31.
    GNMP médiée parles anticorps Stimulus antigénique Infectieux Maladies auto-immunes Ig monoclonales et paraprotéines Autres Hépatopathie: hépatite; cirrhose Cancer (carcinome) Sarcoidose Médicaments « Idiopathic » Viral Hépatites B and C; VIH Bactérien endocardite; shunt, abcès Parasitaire paludisme; schistosomiase Autres mycoplasma; mycobacteries Lupus Sclerodermie Goujerot Sjögren Cryoglobulinémie essentielle MGUS Leucémie Lymphome Myélome
  • 32.
    GNMP médiée par lavoie alterne du complément ou glomérulopathie à C3
  • 33.
    GNMP C3 +++ Ig neg ME DDD ou maladiedes dépôts denses Glomérulonéphrite à dépôts de C3 Anomalies de la voie alterne acquises ou héréditaires (mutations ou anticorps) Glomérulopathie à C3 I F GNMP médiée par le complément: glomérulopathies à C3
  • 34.
    C3 Voie alterne ducomplément
  • 35.
  • 36.
  • 37.
  • 38.
    C3 C3b C3a C3bB B C3bBbP C3 convertase alt (C3b)2BbP C5convertase Voie alterne du complément
  • 39.
    C3 C3b C3a C3bB B C3bBbP C3 convertase alt (C3b)2BbP C5convertase Voie alterne du complément
  • 40.
    C3 C3b C3a C3bB B C3bBbP C3 convertase alt (C3b)2BbP C5convertase C5 C5b C6,C7,C8,C9 Complexe d’attaque membranaire Boucle d’amplification Voie alterne du complément
  • 41.
    C3 C3b C3a C3bB B C3bBbP C3 convertase alt (C3b)2BbP C5convertase Voie alterne du complément
  • 42.
    C3 C3b C3a C3bB B C3bBbP C3 convertase alt (C3b)2BbP C5convertase C5 C5b C6,C7,C8,C9 Complexe d’attaque membranaire Voie alterne du complément
  • 43.
    C3 C3b C3a C3bB B C3bBbP C3 convertase alt (C3b)2BbP C5convertase C5 C5b C6,C7,C8,C9 Complexe d’attaque membranaire De la voie alterne du complément à la GN C3 C3 NEPHRITIC FACTOR
  • 44.
    C3 C3b C3a C3bB B C3bBbP C3 convertase alt (C3b)2BbP C5convertase C5 C5b C6,C7,C8,C9 Complexe d’attaque membranaire De la voie alterne du complément à la GN C3 C3 NEPHRITIC FACTOR Facteur H
  • 45.
    C3 C3b C3a C3bB B C3bBbP C3 convertase alt (C3b)2BbP C5convertase C5 C5b C6,C7,C8,C9 Complexe d’attaque membranaire De la voie alterne du complément à la GN C3 C3 NEPHRITIC FACTOR Facteur H C3 NEF
  • 46.
    C3 C3b C3a C3bB B C3bBbP C3 convertase alt (C3b)2BbP C5convertase C5 C5b C6,C7,C8,C9 Complexe d’attaque membranaire De la voie alterne du complément à la GN C3 C3 NEPHRITIC FACTOR Facteur H C3 NEF
  • 47.
    C3 C3b C3a C3bB B C3bBbP C3 convertase alt (C3b)2BbP C5convertase C5 C5b C6,C7,C8,C9 Complexe d’attaque membranaire De la voie alterne du complément à la GN C3 ANTICORPS ANTI FH Facteur H Anticorps anti FH
  • 48.
    C3 C3b C3a C3bB B C3bBbP C3 convertase alt (C3b)2BbP C5convertase C5 C5b C6,C7,C8,C9 Complexe d’attaque membranaire De la voie alterne du complément à la GN C3 Facteur H Anticorps anti FH ANTICORPS ANTI FH
  • 49.
    C3 C3b C3a C3bB B C3bBbP C3 convertase alt (C3b)2BbP C5convertase C5 C5b C6,C7,C8,C9 Complexe d’attaque membranaire De la voie alterne du complément à la GN C3 MUTATION C3 gain de fonction
  • 50.
    C3 C3b C3a C3bB B C3bBbP C3 convertase alt (C3b)2BbP C5convertase C5 C5b C6,C7,C8,C9 Complexe d’attaque membranaire De la voie alterne du complément à la GN C3 Facteur H MUTATION C3 gain de fonction
  • 51.
    C3 C3b C3a C3bB B C3bBbP C3 convertase alt (C3b)2BbP C5convertase C5 C5b C6,C7,C8,C9 Complexe d’attaque membranaire De la voie alterne du complément à la GN C3 MUTATION FH perte de fonction Facteur H
  • 52.
    C3 C3b C3a C3bB B C3bBbP C3 convertase alt (C3b)2BbP C5convertase C5 C5b C6,C7,C8,C9 Complexe d’attaque membranaire De la voie alterne du complément à la GN C3 MUTATION FH perte de fonction
  • 55.
    Maladie des dépôtsdenses Décrit depuis 1975
  • 56.
    Maladie des dépôtsdenses Glomérulonéphrite membranoproliférative (GNMP) de type II, à dépôts denses au sein des membranes basales ou « maladie du dépôt dense » 0.22 p. 100 des GN primitives 2 à 3 personnes par million (16-24) Syndrome néphrotique impur et progressif (50%) Enfant et jeune adulte Parfois plus tardif Hypocomplémentémie C3 +++ non spécifique et non corrélé à l’activité de la maladie C3 nef (80%) … 40-50% des GNMP évoluent vers IRT après 10 ans Mauvais pronostic si SN, atteinte rénale ou HTA persistante au moment du diagnostic la MDD a le moins bon pronostic des GNMP Récidive histologique sur greffon dans 80-90%
  • 58.
  • 59.
    Glomérulonéphrite à dépotsde C3 Un concept plus récent GN à C3 MDD IF Dépots mésangiaux Endo et extra membraneux Dépôts denses intra membraneux mésangiaux MBT capsule Bowman ME Pas de Dépots Denses Pas de C3 Clinique Identique à MDD MDD Signes extra rénaux non oui Anomalies de la voie alterne oui oui Evolution vers l’IRCT Moins péjorative 40-50% Récidive après transplantation rénale +/- 80%
  • 60.
    134 patients: 29DDD 56 GN C3 49 GNMP type I idiopathique (C3+Ig) Exploration de la voie alterne du complément Recherche anomalies acquises (anticorps ou mutations)
  • 62.
    Age de découverteDDD < MPGN1 < GNC3 Protéinurie plus abondante DDD et MPGN 1 > GNC3 Syndrome néphrotique plus fréquent MPGN 1 > DDD > GNC3 Risque d’évolution IRCT et risque de récidive sur greffon IDEM
  • 64.
    Survie rénale globale: 63.5% à 10 ans Survie rénale adulte < DDD
  • 65.
    GN à C3et SHU atypique Garçon de 16 mois SHU atypique Mutation du facteur H Glomérulopathie à dépôts de C3 5 ans après TR 2 ans après Garçon 11 mois SHU atypique Mutation facteur H Glomérulopathie à dépôts de C3 (extramembraneux) 3 ans après TR 6 ans après récidive shu atypique en début de greffe
  • 66.
    12/1998 F 36 ans Snéphrotique impur C3 bas C4 normal GNMP C3+ / Ig - + croissants CTC + Endoxan Dialyse 04/1999 GN à C3 et SHU atypique
  • 67.
    12/1998 F 36 ans Snéphrotique impur C3 bas C4 normal GNMP C3+ / Ig - + croissants CTC + Endoxan Dialyse 04/1999 GN à C3 et SHU atypique TR n°1 01/2004
  • 68.
    12/1998 F 36 ans Snéphrotique impur C3 bas C4 normal GNMP C3+ / Ig - + croissants CTC + Endoxan Dialyse 04/1999 GN à C3 et SHU atypique TR n°1 01/2004
  • 69.
    12/1998 F 36 ans Snéphrotique impur C3 bas C4 normal GNMP C3+ / Ig - + croissants CTC + Endoxan Dialyse 04/1999 GN à C3 et SHU atypique TR n°1 01/2004 Récidive de la maladie à M1 CTC + Rituximab + EP Switch ciclo tacro Amélioration initiale puis dégradation progressive 08/2007
  • 70.
    12/1998 F 36 ans Snéphrotique impur GNMP C3+ / Ig - + croissants CTC + Endoxan Dialyse 04/1999 GN à C3 et SHU atypique TR n°1 01/2004 Récidive de la maladie à M1 CTC + Rituximab + EP Switch ciclo tacro Amélioration initiale puis dégradation progressive 08/2007 TR n°2 11/2007
  • 72.
    12/1998 F 36 ans Snéphrotique impur GNMP C3+ / Ig - + croissants CTC + Endoxan Dialyse 04/1999 GN à C3 et SHU atypique TR n°1 01/2004 Récidive de la maladie à M1 CTC + Rituximab + EP Switch ciclo tacro Amélioration initiale puis dégradation progressive 08/2007 TR n°2 11/2007 06/2008 IRA + MAT Shu atypique Dialyse 08/2008
  • 73.
    12/1998 F 36 ans Snéphrotique impur GNMP C3+ / Ig - + croissants CTC + Endoxan Dialyse 04/1999 GN à C3 et SHU atypique TR n°1 01/2004 Récidive de la maladie à M1 CTC + Rituximab + EP Switch ciclo tacro Amélioration initiale puis dégradation progressive 08/2007 TR n°2 11/2007 06/2008 IRA + MAT Shu atypique Dialyse 08/2008 Anticorps anti facteur H+
  • 74.
    GN à C3et SHU atypique GN à C3 SHU atypique MO GNMP Lésions aigues: MAT Lésions chroniques: doubles contours+++ IF C3+++ Pas de C3 C3 plasmatique Bas ou normal Bas ou normal Localisation du dérèglement de la voie alterne PHASE FLUIDE PHASE SOLIDE (lésions endothéliales) Anomalies de la voie alterne - Mutation C3 convertase (C3 and FB) regulateurs (FH, FI, MCP, et thrombomoduline) - Anticorps anti-FH C3 nef Idem mais pas de C3 nef
  • 75.
    GN à C3et Transplantation Rénale - Récidive quasi constante pour les type II ou MDD: 80 à 100 % de récidive histologique avec impact clinique+/- important - pour les autres types, dépend essentiellement du type de mutation retrouvée et/ou présence d’anticorps (C3 nef / FH)
  • 76.
    GN à C3et Transplantation Rénale - Récidive quasi constante pour les type II ou MDD: 80 à 100 % de récidive histologique avec impact clinique+/- important - pour les autres types, dépend essentiellement du type de mutation retrouvée et/ou présence d’anticorps (C3 nef / FH)
  • 77.
    GN à C3et Transplantation Rénale - Récidive quasi constante pour les type II ou MDD: 80 à 100 % de récidive histologique avec impact clinique+/- important - pour les autres types, dépend essentiellement du type de mutation retrouvée et/ou présence d’anticorps (C3 nef / FH)
  • 78.
    GN à C3et Transplantation Rénale - Récidive quasi constante pour les type II ou MDD: 80 à 100 % de récidive histologique avec impact clinique+/- important - pour les autres types, dépend essentiellement du type de mutation retrouvée et/ou présence d’anticorps (C3 nef / FH) UNOS: 189211 TR n°1 de 1987 à 2007
  • 79.
    GN à C3et Transplantation Rénale - Récidive quasi constante pour les type II ou MDD: 80 à 100 % de récidive histologique avec impact clinique+/- important - pour les autres types, dépend essentiellement du type de mutation retrouvée et/ou présence d’anticorps (C3 nef / FH)
  • 80.
    GN à C3et Transplantation Rénale - Récidive quasi constante pour les type II ou MDD: 80 à 100 % de récidive histologique avec impact clinique+/- important - pour les autres types, dépend essentiellement du type de mutation retrouvée et/ou présence d’anticorps (C3 nef / FH)
  • 81.
    GN à C3et Transplantation Rénale - Récidive quasi constante pour les type II ou MDD: 80 à 100 % de récidive histologique avec impact clinique+/- important - pour les autres types, dépend essentiellement du type de mutation retrouvée et/ou présence d’anticorps (C3 nef / FH)
  • 82.
    Traitement - études déjàanciennes - menées chez des patients atteints de GNMP présumées idiopathiques (GNMP à CIC inclues) - absence de groupe contrôle (ou de contrôle historique) - différences entre les groupes de traitement souvent marginales - puissance statistique particulièrement faible - menés avant l'ère de l'utilisation d’un traitement dit néphroprotecteur comportant des bloqueurs du système rénine angiotensine (IEC, ARA2).
  • 83.
    Traitement - études déjàanciennes - menées chez des patients atteints de GNMP présumées idiopathiques (GNMP à CIC inclues) - absence de groupe contrôle (ou de contrôle historique) - différences entre les groupes de traitement souvent marginales - puissance statistique particulièrement faible - menés avant l'ère de l'utilisation d’un traitement dit néphroprotecteur comportant des bloqueurs du système rénine angiotensine (IEC, ARA2).
  • 84.
    Traitement - études déjàanciennes - menées chez des patients atteints de GNMP présumées idiopathiques (GNMP à CIC inclues) - absence de groupe contrôle (ou de contrôle historique) - différences entre les groupes de traitement souvent marginales - puissance statistique particulièrement faible - menés avant l'ère de l'utilisation d’un traitement dit néphroprotecteur comportant des bloqueurs du système rénine angiotensine (IEC, ARA2).
  • 85.
    Traitement - études déjàanciennes - menées chez des patients atteints de GNMP présumées idiopathiques (GNMP à CIC inclues) - absence de groupe contrôle (ou de contrôle historique) - différences entre les groupes de traitement souvent marginales - puissance statistique particulièrement faible - menés avant l'ère de l'utilisation d’un traitement dit néphroprotecteur comportant des bloqueurs du système rénine angiotensine (IEC, ARA2). Si croissants extracap. Bolus CTC +/- endoxan imurel MMF Études de faible puissance non randomisées
  • 86.
    Traitement - études déjàanciennes - menées chez des patients atteints de GNMP présumées idiopathiques (GNMP à CIC inclues) - absence de groupe contrôle (ou de contrôle historique) - différences entre les groupes de traitement souvent marginales - puissance statistique particulièrement faible - menés avant l'ère de l'utilisation d’un traitement dit néphroprotecteur comportant des bloqueurs du système rénine angiotensine (IEC, ARA2). Si croissants extracap. Bolus CTC +/- endoxan imurel MMF Études de faible puissance non randomisées A INTERPRETER AVEC BEACOUP DE PRUDENCE!!!
  • 87.
    Traitement: KDIGO 2012 Traitementde la cause GNMP à CIC GNMP C3 ?
  • 88.
    Traitement: KDIGO 2012 Traitementde la cause GNMP à CIC GNMP C3 ?
  • 89.
  • 90.
    GN à C3et Eculizumab (anti C5) Toxicité du complément dans la GN C3: 1- dépôts de C3: inhiber la C3 convertase 2- C5b9 et proliferation cellulaire glomerulaire: inhiber la C5 convertase
  • 92.
    INDICATIONS DE L’ECULIZUMAB: -peu de données, donc opinions d’experts - anti C5 agit sur la part inflammatoire de la GNMP donc * si proliferation endo ou extra capillaire * taux circulant de C5b9 élevé * dégradadtion récente de la fonction rénale * peu ou pas de fibrose interstitielle/glomérulaire - n’empêche pas les dépôts de C3 et donc la récidive - trop peu de données pour eculizumab en greffe: curatif ou préventif
  • 93.
    Conclusion GNMP : définitionhistologique préférer la classification physiopath !!! Anomalies de la voie alterne ++++, parfois associées ! Traitement non spécifique: selon l’évolution clinique et l’histologie - CIC: traitement de la cause et se méfier d’une anomalies de la voie alterne associée - GNC3: selon les anomalies de la voie alterne

Notes de l'éditeur

  • #10 Elle est associée de façon variable à une infiltration du flocculus par des cellules circulantes (polynucléaires neutrophiles, lymphocytes T surtout cytotoxiques CD8+, et monocytes-macrophages).
  • #12 Elle est associée de façon variable à une infiltration du flocculus par des cellules circulantes (polynucléaires neutrophiles, lymphocytes T surtout cytotoxiques CD8+, et monocytes-macrophages).
  • #14 Elle est associée de façon variable à une infiltration du flocculus par des cellules circulantes (polynucléaires neutrophiles, lymphocytes T surtout cytotoxiques CD8+, et monocytes-macrophages).
  • #16 Elle est associée de façon variable à une infiltration du flocculus par des cellules circulantes (polynucléaires neutrophiles, lymphocytes T surtout cytotoxiques CD8+, et monocytes-macrophages).
  • #61 Ig???
  • #83 CTC: seulement chez l’enfant: 1 j sur 2 mais mélange GNMP 1, 3 et MDD
  • #84 CTC: seulement chez l’enfant: 1 j sur 2 mais mélange GNMP 1, 3 et MDD
  • #85 CTC: seulement chez l’enfant: 1 j sur 2 mais mélange GNMP 1, 3 et MDD
  • #86 CTC: seulement chez l’enfant: 1 j sur 2 mais mélange GNMP 1, 3 et MDD
  • #87 CTC: seulement chez l’enfant: 1 j sur 2 mais mélange GNMP 1, 3 et MDD