nouhoumltraore@yahoo.fr
1)1) Définir le lymphome de Burkitt.Définir le lymphome de Burkitt.
2)2) Décrire les signes cliniques et paracliniques du lymphome deDécrire les signes cliniques et paracliniques du lymphome de
Burkitt.Burkitt.
3)3) Donner la classification du lymphome de Burkitt selonDonner la classification du lymphome de Burkitt selon
Murphy.Murphy.
4)4) Décrire la prise en charge du Lymphome de Burkitt.Décrire la prise en charge du Lymphome de Burkitt.
5)5) Citer les éléments de surveillance du traitementCiter les éléments de surveillance du traitement
22
33
I- Généralités :
1-Définition1-Définition
2-Historique2-Historique
3-Epidémiologie3-Epidémiologie
II- Classification des LMNHdes LMNH
III- Etude clinique.
1- Etude cytogénétique moléculaire.
2- Histopathologie et immunophénotype
3- Présentations Cliniques
4- Examens complémentaires.
5- Classification de Murphy
6- Bilan général et mise en condition
IV-Diagnostic différentiel
V-Traitement
Conclusion
• Le lymphome de Burkitt est un cancer appartenant au groupe
des lymphomes malins non hodgkiniens à cellules B. Depuis
sa description en 1958 par DENIS BURKITT en Ouganda, a
suscité un intérêt scientifique.
• Le mode de révélation est ganglionnaire dans 2 /3 des cas et
extra ganglionnaire dans 1/3 des cas.
• Les localisations anatomiques initiales sont : abdominale 70 à
90%, maxillaire 10% et exceptionnellement cutanée, osseuse,
épidurale ou intra cérébrale.
44
• Le diagnostic de certitude repose sur l’analyse
cytohistologique d’une biopsie ganglionnaire ou d’une masse
tumorale superficielle ou profonde.
• Sa prise en charge nécessite une collaboration
multidisciplinaire entre oncologue, chirurgien, anatomo-
pathologiste, radiologue et biologiste.
55
1.1. DéfinitionDéfinition
• LMNH: proliférations tumorales malignes d’origine lymphoïde
différentes de la maladie de Hodgkin.
• Burkitt: tumeur maligne du système lymphatique à cellules B
matures d’aspect très caractéristique.
• Plus de la moitié des lymphomes de l’enfant.
• c’est la malignité d’enfance la plus commune en Afrique
tropicale et les facteurs de prédisposition incluent la malaria et
l’infection avec le virus Epstein Barr. [2]
66
2.2. HistoriqueHistorique
• 1957: décrit par Denis Burkitt en Afrique, à Kampala (Ouganda).
77
understandingscience.ucc.ie
2.2. HistoriqueHistorique
• 1967: Relation avec le paludisme a été établie
• 1958: Relation avec le virus Epstein-Barr (EBV) a été démontré
C’est la première pathologie maligne humaine dans laquelle.
• 1982: Relation avec le VIH
• Plus de 90% de taux de guérison obtenu avec l’ avènement du
protocole LMB en 2001 (Lymphome Malin B, protocole français
des lymphomes B)
• 2005: protocole GFA dit « Cyclo-Burkitt » en Afrique
88
2.2. HistoriqueHistorique
99
3. Epidémiologie
• 50 % des cancers de l’enfant en Afrique équatoriale.
• Forme endémique ou forme africaine: incidence élevée (5 à 10 cas /
100 000 habitants pendant les 15 premières années de la vie).
• Forme sporadique ou forme de l’Occident
• Forme liée au HIV.
• Tumeur très agressive à développement très rapide;
• Liée à l’EBV dans 98 % des cas dans la forme africaine et dans 15
à 20% des cas dans les formes occidentales.
1010
3. Epidémiologie
1111
Burkitt le 2ème
rang soit 27 ,5 des cas
Diawara L. D.
Traitement du lymphome de Burkitt selon le protocole LMB01 modifié dans l’unité
d’oncologie pédiatrique du CHU Gabriel Touré. Thèse de Médecine, Bamako 2010. N°584
• Lymphome de Burkitt (LB): 50-60%
• Lymphomes lymphoblastiques (LL): 25-35%
• Lymphome diffus à grandes cellules (LDGC): ≤ 10%
• Lymphomes anaplasique à grandes cellules (LA): ≤ 10%
1212
1. Etude cytogénétique moléculaire.
• Dans les trois formes du LB, la cellule lymphomateuse dérive du
lymphocyte B et présente toujours l'une des trois translocations
suivantes :
- t(8,14): 80 % des tumeurs
- t(8,2), t(8,22): moins fréquent
- Mettant l'oncogène c-myc (bras long chromosome 8) sous la
dépendance des gènes des chaînes lourdes (chromosome 14) ou
légères (chromosomes 2 ou 22) des IgG.
• Ces translocations conduisent à une hyper expression de
l'oncogène c-myc (stimulation inappropriée du cycle cellulaire)
1313
1. Etude cytogénétique moléculaire.
1414
Functional Consequences of Balanced Chromosomal Rearrangements.
Fröhling S, Döhner H. N Engl J Med 2008;359:722-734.
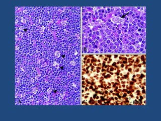
2. Histopathologie et immunophénotype
• Les cellules du LB ont un rapport nucléo cytoplasmique
élevé.
• Le noyau est rond ou ovale avec un aspect de chromatine
ouvert.
• Ce noyau contient plusieurs nucléoles (2 à 5).
• L’index mitotique est élevé.
• Le cytoplasme est basophile avec de nombreux vacuoles;
• Des macrophages contenant des débris cellulaires sont
interposés entre ces cellules monomorphes réalisant l’aspect
de « ciel étoilé ».
1515
Oncologie pédiatrique Bamako/Mali
2. Histopathologie et immunophénotype
• Les cellules du lymphome de Burkitt sont des cellules B quiLes cellules du lymphome de Burkitt sont des cellules B qui
expriment à leur surface des immunoglobulines qui sont desexpriment à leur surface des immunoglobulines qui sont des
IgM dans 90 % des cas.IgM dans 90 % des cas.
• Ils expriment aussi CD19, CD20, CD22, CD79a, CD77,Ils expriment aussi CD19, CD20, CD22, CD79a, CD77,
CD10.CD10.
1818
3. Présentations cliniques
3.1. Le LB endémique: fréquent chez l'enfant en Afrique
 Les atteintes maxillo-faciales: 3/4 des cas. Le LB africain
se présente le plus souvent par l’atteinte du maxillaire
supérieur entraînant une grosse joue avec refoulement du
globe oculaire vers le haut ou du maxillaire inférieur avec
tumeur gingivale; Un déchaussement dentaire est fréquent
L’atteinte du cavum peut entraîner une lyse de la base du crâne
avec possibilité de cécité par compression du chiasma.
1919
diastode.org
fr.wikipedia.org
3. Présentations cliniques
3.1. Le LB endémique:
 Les atteintes abdominales : associées ou isolées (30% des
cas)
• Organes cibles: ovaires, foie, estomac, intestin, reins,
surrénales, ganglions abdominaux,
• Intérêt de l’échographie abdominale.
• Clinique:
- Plusieurs masses abdominales
- Douleurs abdominales
- Troubles du transit
- Tableau pseudo appendiculaire
- Ascite et adénopathies intra abdominales
2121
gfmer.ch
3. Présentations cliniques
3.1. Le LB endémique:
 Localisations secondaires:
• Moelle osseuse:
Le LB envahit la moelle osseuse dans 20 % des cas au diagnostic.
Si envahissement > 25 % = leucémie de type Burkitt, Pronostic très
mauvais.
• Système nerveux central:(1/4 des cas)
Paralysie faciale, oculomotrice, compression médullaire, atteinte
radiculaire
2424
3. Présentations cliniques
3.2. La forme sporadique :
La présentation clinique est presque toujours abdominale et
neuroméningée, plus rarement ORL, très rarement maxillaire:
l'atteinte digestive et l'envahissement médullaire sont plus
fréquents dans la forme sporadique. L’extension est d’emblée
importante.
3.3. Le LB lié au sida:
Les localisations médullaire et neuroméningée prédominent.
L'atteinte ganglionnaire est fréquente. Il y a une atteinte
multiviscérale d’emblée.
2525
4. Examens complémentaires
• L’analyse cytologique: ascite, moelle osseuse, ganglions
superficiels, la masse abdominale (à l’aiguille fine).
• Examen immunophénotypique, et cytogénétique.
• Le bilan d’extension :
- Echographie abdominale,
- Rx du thorax F/P,
- Scanner du massif facial,
- Examen ORL,
- Hémogramme et Myélogramme,
- Bilan hépatique, ionogramme, analyse cytologique du LCR, dosage des
LDH, sérologies virales (EBV, VIH, Hépatite…).
2626
5. Classification de Murphy
• Quelle que soit la forme clinique du LB, un bilan d’extension
doit être pratiqué à la recherche des principales localisations
avec au minimum : échographie abdominale, radiographie du
thorax, myélogramme, biopsie ostéo-médullaire, examen du
LCR.
2727
5. Classification de Murphy
• Elle permet une classification du LB en quatre stades :
- stade I : atteinte d'un maxillaire ou d'une orbite, ou d'un
ganglion isolé à l’exclusion de l’abdomen ou du médiastin,
- stade II : une seule tumeur avec atteinte ganglionnaire
régionale.
Deux (ou plus) territoires ganglionnaires du même côté du
diaphragme.
Deux tumeurs avec ou sans atteinte ganglionnaire du même côté
du diaphragme ,
2828
5. Classification de Murphy
- stade II :(suite)
une seule tumeur localisée du tube digestif (généralement
iléocæcale avec éventuellement une atteinte ganglionnaire
mésentérique, enlevée quasi complètement par une résection
segmentaire chirurgicale).
2929
5. Classification de Murphy
- stade III :
Localisations tumorales de part et d’autre du diaphragme;
Toute tumeur intra thoracique;
Toute tumeur abdominale étendue, tumeur para spinale ou
épidurale
- stade IV : envahissement du LCR et/ou de la moelle à plus de
10%.
Cette classification sert de base au traitement
3030
6. Bilan général et mise en condition
Il comporte :
• Le déparasitage systématique,
• Le ttt de tout état infectieux,
• L’équilibre nutritionnel,
• Le bilan cardiorespiratoire, rénal, neurologique, métabolique
(syndrome de lyse, hypocalcémie, hyperphosphorémie,
hyperkaliémie, hyperuricémie…).
3131
• L’atteinte maxillo-facial doit être différentiée des infections de
la face
• L’atteinte abdominale: neuroblastome, néphroblastome,
tumeurs germinales, rhabdomyosarcome
3232
1. But:
• Obtenir rémission,
• Prolonger la survie,
• Evité et ou prendre en charge les complications liées au ttt.
2. Moyens et Méthodes :
- La polychimiothérapie et la prophylaxie neuroméningée ce
sont imposées comme les méthodes thérapeutiques
essentielles.
- La chimiothérapie a été effectuée selon les protocoles de
GFAOP.
- Les principaux protocoles utilisés sont : cyclo-Burkitt, le
sauvetage, LMB 01 modifié.
3333
3. Molecules utilisées:
- Le cyclophosphamide (ENDOXAN®): 250 – 500 mg/m2 IT
- La vincristine (OCOVIN®): 1,5 mg/m2
- La prednisone: 60 mg/m2 en 2 prises orales
- Le méthotrexate (METHOTREXATE®): 15 mg/m2 en perf
- L’aracytine (Cytarabine®): 50 mg/m2 en s/c
- Hydrocortisone: 15mg/m2 en IV
- Acide folinique: 15mg/m2
- Allopurinol: 10mg/Kg/j
3434
3. Les indications thérapeutiques
En pratique :
• Aux stades I et II : 3 cycles de « Cyclo-Burkitt »
- si rémission complète : arrêt du traitement et surveillance
- si mauvaise réponse : protocole de sauvetage plus agressif de
type LMB
- - au stade III : 3 cycles de « Cyclo-Burkitt »
3636
3. Les indications thérapeutiques
Schéma thérapeutique général
• Stade I: un COP puis 2 cures de COPM
• Stade II et III
- Préphase: un COP ou CPM seul en IT
- Induction: 2COPM (COPM1 au 8ième jrs de la préphase et
COPM2 au 16ième jrs après récupération hématologique).
Acide folinique 15mg/m2 /6H avec un total de 12prises à
commencer 24h après MTX -HD
- Consolidation: 2 CYM dès que possible
- Entretien pour les stades IV : cyclo, vincr et MTX- Pred
3737
4. Prévention syndrome de lyse tumorale avant et durant le
début du traitement
• Hyperdiurère PO ou IV
• Uricolytiques: Zyloric PO 10 mg/kg
• Pas ou peu de potassium
• Plus ou moins supplémentation en calcium
5. Eléments de surveillance
• Cliniques: Evaluation de la maladie (effet objectif; malade
stable, progression tumorale), diurèse.
• Biologiques: Hémogramme, ionogramme.
3838
• Les malades consultent en Afrique à un stade avancé de la maladie
(selon l'expérience du CHU de Bamako : 87,5% de stade III, 12,5%
de stade IV).
• Constamment mortel sans traitement, le LB a vu son pronostic
transformé au cours des dernières années.
• Les taux de rémission sont de 90% pour le stade I, de 75% pour le
stade II, de 70% pour les stades III et IV chez l'enfant sous
polychimiothérapie.
3939
4040
4141
Togo B., Keita M., Medefo Dai, Traore F., Sidibe T. Le lymphome de
Burkitt à localisation maxillofaciale en milieu pédiatrique au CHU Gabriel
Touré, Bamako, Mali: à propos de 24 cas. Med Trop, 2008, 68, 600-602.
Professeur Pierre Aubry. Lymphome de Burkitt et lymphomes viro-associés
Actualités 2011. Médecine tropicale
Diawara L. D.
Traitement du lymphome de Burkitt selon le protocole LMB01 modifié dans
l’unité d’oncologie pédiatrique du CHU Gabriel Touré. Thèse de Médecine,
Bamako 2010. N°584
Chantal K , Odile B et all
Cancers de l’enfant Flammarion Edition 2008
4242
Marine Devine ; Luc Berri.
Lymphome de Burkitt. IN Lymphomes malins non hodgkiniens ; Maladie de
hodgkin.
3° édition Frisson Roche, 1997 P : 258- 265.
Internet

Le lymphome de Burkitt chez l'enfant mali

  • 1.
  • 2.
    1)1) Définir lelymphome de Burkitt.Définir le lymphome de Burkitt. 2)2) Décrire les signes cliniques et paracliniques du lymphome deDécrire les signes cliniques et paracliniques du lymphome de Burkitt.Burkitt. 3)3) Donner la classification du lymphome de Burkitt selonDonner la classification du lymphome de Burkitt selon Murphy.Murphy. 4)4) Décrire la prise en charge du Lymphome de Burkitt.Décrire la prise en charge du Lymphome de Burkitt. 5)5) Citer les éléments de surveillance du traitementCiter les éléments de surveillance du traitement 22
  • 3.
    33 I- Généralités : 1-Définition1-Définition 2-Historique2-Historique 3-Epidémiologie3-Epidémiologie II-Classification des LMNHdes LMNH III- Etude clinique. 1- Etude cytogénétique moléculaire. 2- Histopathologie et immunophénotype 3- Présentations Cliniques 4- Examens complémentaires. 5- Classification de Murphy 6- Bilan général et mise en condition IV-Diagnostic différentiel V-Traitement Conclusion
  • 4.
    • Le lymphomede Burkitt est un cancer appartenant au groupe des lymphomes malins non hodgkiniens à cellules B. Depuis sa description en 1958 par DENIS BURKITT en Ouganda, a suscité un intérêt scientifique. • Le mode de révélation est ganglionnaire dans 2 /3 des cas et extra ganglionnaire dans 1/3 des cas. • Les localisations anatomiques initiales sont : abdominale 70 à 90%, maxillaire 10% et exceptionnellement cutanée, osseuse, épidurale ou intra cérébrale. 44
  • 5.
    • Le diagnosticde certitude repose sur l’analyse cytohistologique d’une biopsie ganglionnaire ou d’une masse tumorale superficielle ou profonde. • Sa prise en charge nécessite une collaboration multidisciplinaire entre oncologue, chirurgien, anatomo- pathologiste, radiologue et biologiste. 55
  • 6.
    1.1. DéfinitionDéfinition • LMNH:proliférations tumorales malignes d’origine lymphoïde différentes de la maladie de Hodgkin. • Burkitt: tumeur maligne du système lymphatique à cellules B matures d’aspect très caractéristique. • Plus de la moitié des lymphomes de l’enfant. • c’est la malignité d’enfance la plus commune en Afrique tropicale et les facteurs de prédisposition incluent la malaria et l’infection avec le virus Epstein Barr. [2] 66
  • 7.
    2.2. HistoriqueHistorique • 1957:décrit par Denis Burkitt en Afrique, à Kampala (Ouganda). 77 understandingscience.ucc.ie
  • 8.
    2.2. HistoriqueHistorique • 1967:Relation avec le paludisme a été établie • 1958: Relation avec le virus Epstein-Barr (EBV) a été démontré C’est la première pathologie maligne humaine dans laquelle. • 1982: Relation avec le VIH • Plus de 90% de taux de guérison obtenu avec l’ avènement du protocole LMB en 2001 (Lymphome Malin B, protocole français des lymphomes B) • 2005: protocole GFA dit « Cyclo-Burkitt » en Afrique 88
  • 9.
  • 10.
    3. Epidémiologie • 50% des cancers de l’enfant en Afrique équatoriale. • Forme endémique ou forme africaine: incidence élevée (5 à 10 cas / 100 000 habitants pendant les 15 premières années de la vie). • Forme sporadique ou forme de l’Occident • Forme liée au HIV. • Tumeur très agressive à développement très rapide; • Liée à l’EBV dans 98 % des cas dans la forme africaine et dans 15 à 20% des cas dans les formes occidentales. 1010
  • 11.
    3. Epidémiologie 1111 Burkitt le2ème rang soit 27 ,5 des cas Diawara L. D. Traitement du lymphome de Burkitt selon le protocole LMB01 modifié dans l’unité d’oncologie pédiatrique du CHU Gabriel Touré. Thèse de Médecine, Bamako 2010. N°584
  • 12.
    • Lymphome deBurkitt (LB): 50-60% • Lymphomes lymphoblastiques (LL): 25-35% • Lymphome diffus à grandes cellules (LDGC): ≤ 10% • Lymphomes anaplasique à grandes cellules (LA): ≤ 10% 1212
  • 13.
    1. Etude cytogénétiquemoléculaire. • Dans les trois formes du LB, la cellule lymphomateuse dérive du lymphocyte B et présente toujours l'une des trois translocations suivantes : - t(8,14): 80 % des tumeurs - t(8,2), t(8,22): moins fréquent - Mettant l'oncogène c-myc (bras long chromosome 8) sous la dépendance des gènes des chaînes lourdes (chromosome 14) ou légères (chromosomes 2 ou 22) des IgG. • Ces translocations conduisent à une hyper expression de l'oncogène c-myc (stimulation inappropriée du cycle cellulaire) 1313
  • 14.
    1. Etude cytogénétiquemoléculaire. 1414 Functional Consequences of Balanced Chromosomal Rearrangements. Fröhling S, Döhner H. N Engl J Med 2008;359:722-734.
  • 15.
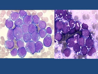
    2. Histopathologie etimmunophénotype • Les cellules du LB ont un rapport nucléo cytoplasmique élevé. • Le noyau est rond ou ovale avec un aspect de chromatine ouvert. • Ce noyau contient plusieurs nucléoles (2 à 5). • L’index mitotique est élevé. • Le cytoplasme est basophile avec de nombreux vacuoles; • Des macrophages contenant des débris cellulaires sont interposés entre ces cellules monomorphes réalisant l’aspect de « ciel étoilé ». 1515
  • 16.
  • 18.
    2. Histopathologie etimmunophénotype • Les cellules du lymphome de Burkitt sont des cellules B quiLes cellules du lymphome de Burkitt sont des cellules B qui expriment à leur surface des immunoglobulines qui sont desexpriment à leur surface des immunoglobulines qui sont des IgM dans 90 % des cas.IgM dans 90 % des cas. • Ils expriment aussi CD19, CD20, CD22, CD79a, CD77,Ils expriment aussi CD19, CD20, CD22, CD79a, CD77, CD10.CD10. 1818
  • 19.
    3. Présentations cliniques 3.1.Le LB endémique: fréquent chez l'enfant en Afrique  Les atteintes maxillo-faciales: 3/4 des cas. Le LB africain se présente le plus souvent par l’atteinte du maxillaire supérieur entraînant une grosse joue avec refoulement du globe oculaire vers le haut ou du maxillaire inférieur avec tumeur gingivale; Un déchaussement dentaire est fréquent L’atteinte du cavum peut entraîner une lyse de la base du crâne avec possibilité de cécité par compression du chiasma. 1919
  • 20.
  • 21.
    3. Présentations cliniques 3.1.Le LB endémique:  Les atteintes abdominales : associées ou isolées (30% des cas) • Organes cibles: ovaires, foie, estomac, intestin, reins, surrénales, ganglions abdominaux, • Intérêt de l’échographie abdominale. • Clinique: - Plusieurs masses abdominales - Douleurs abdominales - Troubles du transit - Tableau pseudo appendiculaire - Ascite et adénopathies intra abdominales 2121
  • 22.
  • 24.
    3. Présentations cliniques 3.1.Le LB endémique:  Localisations secondaires: • Moelle osseuse: Le LB envahit la moelle osseuse dans 20 % des cas au diagnostic. Si envahissement > 25 % = leucémie de type Burkitt, Pronostic très mauvais. • Système nerveux central:(1/4 des cas) Paralysie faciale, oculomotrice, compression médullaire, atteinte radiculaire 2424
  • 25.
    3. Présentations cliniques 3.2.La forme sporadique : La présentation clinique est presque toujours abdominale et neuroméningée, plus rarement ORL, très rarement maxillaire: l'atteinte digestive et l'envahissement médullaire sont plus fréquents dans la forme sporadique. L’extension est d’emblée importante. 3.3. Le LB lié au sida: Les localisations médullaire et neuroméningée prédominent. L'atteinte ganglionnaire est fréquente. Il y a une atteinte multiviscérale d’emblée. 2525
  • 26.
    4. Examens complémentaires •L’analyse cytologique: ascite, moelle osseuse, ganglions superficiels, la masse abdominale (à l’aiguille fine). • Examen immunophénotypique, et cytogénétique. • Le bilan d’extension : - Echographie abdominale, - Rx du thorax F/P, - Scanner du massif facial, - Examen ORL, - Hémogramme et Myélogramme, - Bilan hépatique, ionogramme, analyse cytologique du LCR, dosage des LDH, sérologies virales (EBV, VIH, Hépatite…). 2626
  • 27.
    5. Classification deMurphy • Quelle que soit la forme clinique du LB, un bilan d’extension doit être pratiqué à la recherche des principales localisations avec au minimum : échographie abdominale, radiographie du thorax, myélogramme, biopsie ostéo-médullaire, examen du LCR. 2727
  • 28.
    5. Classification deMurphy • Elle permet une classification du LB en quatre stades : - stade I : atteinte d'un maxillaire ou d'une orbite, ou d'un ganglion isolé à l’exclusion de l’abdomen ou du médiastin, - stade II : une seule tumeur avec atteinte ganglionnaire régionale. Deux (ou plus) territoires ganglionnaires du même côté du diaphragme. Deux tumeurs avec ou sans atteinte ganglionnaire du même côté du diaphragme , 2828
  • 29.
    5. Classification deMurphy - stade II :(suite) une seule tumeur localisée du tube digestif (généralement iléocæcale avec éventuellement une atteinte ganglionnaire mésentérique, enlevée quasi complètement par une résection segmentaire chirurgicale). 2929
  • 30.
    5. Classification deMurphy - stade III : Localisations tumorales de part et d’autre du diaphragme; Toute tumeur intra thoracique; Toute tumeur abdominale étendue, tumeur para spinale ou épidurale - stade IV : envahissement du LCR et/ou de la moelle à plus de 10%. Cette classification sert de base au traitement 3030
  • 31.
    6. Bilan généralet mise en condition Il comporte : • Le déparasitage systématique, • Le ttt de tout état infectieux, • L’équilibre nutritionnel, • Le bilan cardiorespiratoire, rénal, neurologique, métabolique (syndrome de lyse, hypocalcémie, hyperphosphorémie, hyperkaliémie, hyperuricémie…). 3131
  • 32.
    • L’atteinte maxillo-facialdoit être différentiée des infections de la face • L’atteinte abdominale: neuroblastome, néphroblastome, tumeurs germinales, rhabdomyosarcome 3232
  • 33.
    1. But: • Obtenirrémission, • Prolonger la survie, • Evité et ou prendre en charge les complications liées au ttt. 2. Moyens et Méthodes : - La polychimiothérapie et la prophylaxie neuroméningée ce sont imposées comme les méthodes thérapeutiques essentielles. - La chimiothérapie a été effectuée selon les protocoles de GFAOP. - Les principaux protocoles utilisés sont : cyclo-Burkitt, le sauvetage, LMB 01 modifié. 3333
  • 34.
    3. Molecules utilisées: -Le cyclophosphamide (ENDOXAN®): 250 – 500 mg/m2 IT - La vincristine (OCOVIN®): 1,5 mg/m2 - La prednisone: 60 mg/m2 en 2 prises orales - Le méthotrexate (METHOTREXATE®): 15 mg/m2 en perf - L’aracytine (Cytarabine®): 50 mg/m2 en s/c - Hydrocortisone: 15mg/m2 en IV - Acide folinique: 15mg/m2 - Allopurinol: 10mg/Kg/j 3434
  • 36.
    3. Les indicationsthérapeutiques En pratique : • Aux stades I et II : 3 cycles de « Cyclo-Burkitt » - si rémission complète : arrêt du traitement et surveillance - si mauvaise réponse : protocole de sauvetage plus agressif de type LMB - - au stade III : 3 cycles de « Cyclo-Burkitt » 3636
  • 37.
    3. Les indicationsthérapeutiques Schéma thérapeutique général • Stade I: un COP puis 2 cures de COPM • Stade II et III - Préphase: un COP ou CPM seul en IT - Induction: 2COPM (COPM1 au 8ième jrs de la préphase et COPM2 au 16ième jrs après récupération hématologique). Acide folinique 15mg/m2 /6H avec un total de 12prises à commencer 24h après MTX -HD - Consolidation: 2 CYM dès que possible - Entretien pour les stades IV : cyclo, vincr et MTX- Pred 3737
  • 38.
    4. Prévention syndromede lyse tumorale avant et durant le début du traitement • Hyperdiurère PO ou IV • Uricolytiques: Zyloric PO 10 mg/kg • Pas ou peu de potassium • Plus ou moins supplémentation en calcium 5. Eléments de surveillance • Cliniques: Evaluation de la maladie (effet objectif; malade stable, progression tumorale), diurèse. • Biologiques: Hémogramme, ionogramme. 3838
  • 39.
    • Les maladesconsultent en Afrique à un stade avancé de la maladie (selon l'expérience du CHU de Bamako : 87,5% de stade III, 12,5% de stade IV). • Constamment mortel sans traitement, le LB a vu son pronostic transformé au cours des dernières années. • Les taux de rémission sont de 90% pour le stade I, de 75% pour le stade II, de 70% pour les stades III et IV chez l'enfant sous polychimiothérapie. 3939
  • 40.
  • 41.
    4141 Togo B., KeitaM., Medefo Dai, Traore F., Sidibe T. Le lymphome de Burkitt à localisation maxillofaciale en milieu pédiatrique au CHU Gabriel Touré, Bamako, Mali: à propos de 24 cas. Med Trop, 2008, 68, 600-602. Professeur Pierre Aubry. Lymphome de Burkitt et lymphomes viro-associés Actualités 2011. Médecine tropicale Diawara L. D. Traitement du lymphome de Burkitt selon le protocole LMB01 modifié dans l’unité d’oncologie pédiatrique du CHU Gabriel Touré. Thèse de Médecine, Bamako 2010. N°584 Chantal K , Odile B et all Cancers de l’enfant Flammarion Edition 2008
  • 42.
    4242 Marine Devine ;Luc Berri. Lymphome de Burkitt. IN Lymphomes malins non hodgkiniens ; Maladie de hodgkin. 3° édition Frisson Roche, 1997 P : 258- 265. Internet