VASCULARITES ET POUMON
Présenté par: Dr. S. KERFAH
Service de Pneumo-phtisiologie/ EHUOran 07/12/2020
INTRODUCTION:
 Les vascularites sont des maladies rares, au cours
desquelles les manifestations respiratoires sont fréquentes
et variées. Elles peuvent être révélatrices ou apparaître au
cours de la maladie.
 La plupart des vascularites touchant le poumon sont
associées aux anticorps anti-cytoplasmes des
polynucléaires neutrophiles (ANCA). Elles concernent les
vaisseaux de moyenne et petite taille avec des atteintes
surtout cutanées, pulmonaires et rénales.
DÉFINITION:
 Les vascularites (ou angéites) sont définies par une
inflammation des vaisseaux sanguins dont la paroi
est infiltrée par des cellules de l'inflammation (PN
ou PE, lymphocytes, plasmocyte, histiocytes,
cellules géantes).
Vascularite
nécrosante se
définit par une
nécrose de la paroi
artérielle, souvent de
type fibrinoïde
Granulomateuse
comporte des cellules
épithélioïdes et des
cellules géantes. Le
granulome est focalisé
ou diffus, vasculaire
et/ou extravasculaire.
CLASSIFICATION:
Les vascularites sont classées selon la taille des vaisseaux
par un système de classification de référence « la
classification de Chapel Hill» (1994 révisée en 2012) en :
 Vascularites de l'aorte et des gros troncs :
 Maladie de Horton.
 Artérite de Takayasu.
 Vascularites des artères de moyen calibre :
 Périartérite noueuse.
 Maladie de Kawasaki.
 Vascularites de petits vaisseaux (1) :
 Microvascularites associées aux ANCA:
 Granulomatose de Wegener.
 Micropolyangéite.
 Angéite granulomateuse de Churg et Strauss.
 Vascularite de taille de vaisseaux variable :
 Maladie de Behçet.
 Vascularite de Cogan.
 Polychondrite chronique atrophiante.
 Vascularites de petits vaisseaux (2):
 Microvascularites liées à des dépôts de
complexes immuns (sans ANCA):
 Purpura rhumatoide.
 Vascularite cryoglobulinémique.
 Vascularite glomérulaire médiée par des Ac anti-
membrane basale (Sd de Goodpasture).
 Vascularite urticairienne hypocomplémentémique.
(de Mc Duffie).
PHYSIOPATHOLOGIE:
Une inflammation médiée par les dépôts
de complexes immuns
Exemple : la vascularite cryoglobulinémique.
Une inflammation médiée par les ANCA:
Les c-ANCA: contre la PR 3 ( GPA).
Les p-ANCA : contre la MPO ( GCS et PAM).
Une inflammation à médiation cellulaire
Exemple : la maladie de Takayasu.
Une inflammation médiée par un auto-Ac
Exemple: anticorps anti-membrane basale glomérulaire du syndrome de
Goodpasture.
Vascularites
Associées aux
ANCA
Non associées
aux ANCA
Vascularites
Associées aux
ANCA
1- Généralités :
 Décrite en 1936, est une vascularite donnant une
inflammation granulomateuse nécrosante de l’appareil
respiratoire, prédominante sur les vaisseaux de petit et
moyen calibre.
 Atteint dans > 90 % le poumon, la sphère ORL, et le rein.
 Localisation pulmonaire isolée dans 9% des cas.
 Age moyen de survenue: entre 40 et 50 ans, avec une légère
prédominance chez l’homme (sex ratio de 1,3).
 Prévalence évaluée à 3/100.000 habitants.
2- Physiopathologie:
 Rôle important des c-ANCA à action anti PR3.
 N’est pas la seule cause, pathogénie non encore
élucidée.
3- Anatomopathologie pulmonaire :
 3 critères histo-pathologiques majeurs du Dg:
granulome, vascularite, nécrose. Pas toujours
présents simultanément sur un prélèvement.
 La nécrose: micro-abcès à PNN au niveau des cloisons
alvéolaires, paroi des vaisseaux, plèvre, et bronches,
s’étendant « en carte de géographie ».
4- Diagnostic positif :
 Début progressif par l’atteinte ORL, puis apparaissent des signes
respiratoires fréquents mais peu spécifiques.
a/ Clinique:
Atteinte pulmonaire : ++
 Symptomatologie pulmonaire très fréquente (>80 % ), non
spécifique ou d’allure pseudo-pneumonique :
 Toux et dyspnée 75%, expectoration purulente par
nécrose des foyers pulmonaires.
 Râles crépitants.
 Hémoptysie 30% (lésion focale ou capillarite).
 Douleur thoracique généralement d’origine pleurale.
 Cependant, une atteinte radiologique isolée sans signes
cliniques peut se rencontrer.
Imagerie thoracique (F+P, TDM):
 Les nodules pulmonaires :
 A limites nettes, de nombres variables, parfois un véritable «
lâcher de ballons » pseudo-tumorale.
 De 5mm à >10 cm, évoluent par ↑ en taille et en nombre, et
par une excavation progressive (50% surtout si >2 cm).
 A paroi épaisse (#abcès, cancer excavé), parfois fine d’allure
bulleuse. Pas de niveau liquide en dehors des surinfections.
 Parfois entourés par un halo en VD une Hgie périnodulaire.
contexte compatible
Multiples Nodules
excavés
GPA
Les infiltrats bilatéraux :
 Infiltrats bilatéraux diffus ou localisés, peu denses, en VD,
surtout dans le syndrome hémorragique alvéolaire, labiles.
Disparaissent Sous TRT sans laisser de séquelles.
 Opacités pneumoniques localisées, denses, à limites ± nettes,
peuvent succéder aux opacités précédentes ou être présentes
d’emblée, comportent parfois un BA et/ou des foyers excavés.
 Autres images :
 Epanchement pleural;
 Atélectasies, opacité réticulo-nodulaires ;
Plus  ADP médiastinales et/ou hilaires associées à des
rares lésions parenchymateuses ;
 Calcification dans les territoires des lésions ;
 Paralysie phrénique due à la maladie.
 Diagnostic différentiel scannographique :
 Autres vascularites,
 Néoplasie pulmonaire primitive,
 Métastases,
 Infection (TBC, aspergillose, klebsielle, staph…),
 Nodule rhumatoïde.
Endoscopie bronchique et lavage broncho-alvéolaire :
 La biopsie bronchique montre des cellules géantes avec PNN
majoritaires regroupés en micro-abcès.
 Le LBA contribue au Dg de l’Hgie alvéolaire, d’infection
opportuniste, et montre fréquemment une ↑ du % des PNN et
parfois des éosinophiles.
 Atteinte ORL : ++
 Lésions fréquentes (environ 80 % des cas) :
Rhinite croûteuse, Epistaxis, Sinusite, Otite séreuse.
 Autres: surdité de perception, mastoïdite, chondrites (nasales,
auriculaires ou trachéales), masses pseudo-tumorales.
 Atteinte rénale: ++
 Fréquente, dans 38 à 100 % des cas (selon les séries).
 Glomérulonéphrite nécrosante extra-capillaire pauci-immune
avec protéinurie et hématurie, qui évolue rapidement vers
l'insuffisance rénale.
 Biopsie rénale = diagnostic de certitude.
 Signes généraux :
 Relativement fréquents: asthénie, anorexie, amaigrissement et
arthralgies. La fièvre signe le plus souvent une infection IIaire.
 Atteinte ophtalmologique :
 14 à 60 % des cas.
 Sclérite (nodulaire ou nécrosante) assez spécifique.
 Autres: conjonctivite, épisclérite, vascularite rétinienne ou
dacryocystite pouvant aller jusqu'à la cécité.
 Atteinte cutanée:
 < 50% des cas : papules, purpura pétéchial ou nécrotique,
vésicules, nodules cutanés ou sous-cutanés, et ulcérations.
 Atteinte neurologique :
 13 à 44 % des cas.
 Souvent périphérique: mono-neuropathie multiple.
 Peut toucher le SNC: vascularite cérébrale, pachyméningite,
atteinte granulomateuse du massif facial (VII,XII).
b/ Autres examens complémentaires:
 Syndrome inflammatoire constant : VS, CRP ↑.
 Anémie modérée avec hyperleucocytose.
 Hypergammaglobulinémie modérée avec surtout IgA ↑.
 ANCA : + chez 90 % des malades, type C-ANCA à action anti
PR3 dans 75 à 80 % des cas (10 à 15 % Ac anti- MPO).
Il existe des formes à ANCA négatives (5 à 10 %).
 Etude anatomopathologique des biopsies: Dg de certitude.
Biopsies pulmonaire, naso-sinusienne, rénale et cutanée.
Le titre des ANCA dépend du degré d’activité et de l’extension
de la maladie. Son ↑ ou leur réapparition chez un malade en
rémission précède souvent la rechute de la vascularite.
Critères diagnostiques :
Selon l’American College of Rheumatology 1990 (ACR1990) :
2 sur 4 critères (sensibilité de 88,2 %, spécificité de 92 %).
5- Traitement:
 Corticoïdes + d'immunosuppresseurs.
Les corticoïdes :
 1mg/kg/jour de prednisone pendant au moins 1 mois puis
↓ progressivement et poursuivie pendant 18 à 24 mois ;
un bolus, durant 1 à 3 jours, de méthylprednisolone (15
mg/kg/j) pourrait être utile pour obtenir une amélioration
plus rapide.
 Les immunosuppresseurs :
 Le cyclophosphamide est préférentiellement administré
par 6 à 9 bolus intraveineux mensuels. Une fois la
rémission obtenue, le TRT d’entretien repose sur
l’azathioprine (ou le méthotrexate).
Patiente 52 ans, toux
trainante, asthénie, apyrexie
Il y a quelques semaines,
monoplégie du bras gauche
au réveil, ayant régressé
totalement
Biopsies bronchiques: sur un
des fragments, possible
micro abcès à polynucléaires
neutrophiles au voisinage de
capillaires
Après traitement
Après traitement
6- Evolution et pronostic :
 Etait une maladie rapidement mortelle.
 Le traitement a transformé le pronostic: rémission complète
dans 90% , et des guérisons complètes sont obtenues.
 Survies très longues mais 50 % des patients font une rechute
dans les 5 ans. Le TRT devra être institué de nouveau.
Vascularites
Associées aux
ANCA
1- Généralités :
 Syndrome rare, décrit en 1951.
 C’est l’association d’un asthme grave, d’une
hyperéosinophilie sanguine et d’une vascularite nécrosante
( + inflammation granulomateuse extravasculaire).
 Pas de prédominance de sexe.
 Tous les âges peuvent être touchés avec un pic de
fréquence entre 30 et 50 ans.
 Incidence estimée à 5 /1.000.000 habitants par an.
 Classiquement décrite en 3 phases, pas toujours successives:
 Premier temps : asthme constant, avec souvent des
manifestations ORL (polypose nasale, sinusite chronique).
 Deuxième temps : hyperéosinophilie très ↑ sanguine et
tissulaire (bronches, cœur).
 Troisième temps : vascularite systémique.
2- Physiopathologie:
 Rôle important des p-ANCA à action anti MPO.
 D'autres facteurs ont été évoqués : infections mycosiques
(Aspergillus), bactériennes ou parasitaires.
 Le rôle exact de ces facteurs n'est pas connu.
3- Anatomopathologie pulmonaire :
 Vascularite nécrosante éosinophilique à cellules géantes
touche surtout les artères et artérioles pulmonaires.
 Nécrose de type fibrinoide.
4- Diagnostic positif :
a/ Clinique:
Atteinte pulmonaire : ++
 Asthme grave, rapidement cortico-dépendant, qui précède
généralement la survenue de la vascularite.
 Rhinite allergique avec polypose nasale peuvent s’associer à
l’asthme.
 Epanchement pleural éosinophilique fréquent.
Le passage de l’asthme au SCS
s’accompagne de signes
généraux, d’arthralgies ou myalgies, et de
manifestations systémiques.
Imagerie thoracique (F+P, TDM):
 40 à 60 % des cas.
 Opacités alvéolaires non systématisées, de formes variées,
parfois nodulaires, ou diffuses, prédominant à la périphérie et
dans les régions supérieures et moyennes.
 Peuvent être labiles, à limites floues.
 Ne s'excavent qu'exceptionnellement.
 Parfois associées à un épanchement pleural généralement
peu abondant, et aux ADP médiastinales.
 Le syndrome hémorragique alvéolaire est très rare.
Cortico-sensibles
Principal diagnostic différentiel: Pneumopathie chronique
idiopathique à éosinophiles.
 Clinique: idem (dyspnée, toux)
SAUF signes extra-pulmonaires (névrites+++).
 Anapath: idem (infiltrats éosinophiles)
SAUF vascularite.
 TDM: idem (infiltrats apicaux)
SAUF épanchement pleural et infiltrats non labiles.
Churg & Strauss
Carrington
Atteinte extra-pulmonaire :
b/ Autres examens complémentaires:
 Numération des PNE : l’hyperéosinophilie saguine >
1500/mm3 est un critère du Dg, s'associe habituellement
une hyperéosinophilie alvéolaire (autour de 30%).
 Syndrome inflammatoire non spécifique.
 ANCA : type périnucléaire (P-ANCA) présents chez 60 % .
 Etude anatomopathologique des biopsies: musculaire,
nerveuse, ORL, ou cutanée.
Principales manifestations clinico-
biologiques de la EGPA.
Critères diagnostiques :
Selon l’American College of Rheumatology 1990 (ACR1990) :
4 sur 6 critères (sensibilité de 85 %, spécificité de 99.7%).
5- Traitement et pronostic :
 Le traitement repose sur la corticothérapie et les
immunosuppresseurs (cyclophosphamide, azathioprine) et
est déterminé en fonction de critères pronostiques validés par
le Five Factors Score (FFS).
 Si score FFS à 0: corticothérapie orale proposée seule à la
posologie de 1 mg/kg/j de prednisone, précédée de bolus
intraveineux de méthylprednisolone (15 mg/kg/j, 1 à 3 jours
consécutifs), puis diminuée progressivement.
 Immunosuppresseurs (méthotrexate) pendant 12 à 24 mois si
score ≥ 1.
 Le traitement inhalé de l’asthme doit être poursuivi. L’asthme
réapparaît souvent lors de la diminution de posologie ou après
l’arrêt des corticoïdes oraux, conduisant à renforcer la
corticothérapie inhalée.
 Le pronostic est favorable sous traitement adéquat, mais les
rechutes sont fréquentes.
 La survie est supérieure à 90% à cinq ans, le décès survient en
cas d’atteinte multi-organique grave.
Vascularites
Associées aux
ANCA
1- Généralités :
 Vascularite nécrosante des petits vaisseaux, généralement
associée à une glomérulonéphrite nécrosante segmentaire et
focale.
 L'étiologie est inconnue.
 Touche l’adulte, principalement entre 55 et 75 ans, avec une
prédominance masculine.
 Incidence estimée à 3 à 9 cas/million/an.
2- Anatomopathologie pulmonaire
 Angéite à neutrophiles, hémorragie alvéolaire.
3- Diagnostic positif :
a/ Clinique: un syndrome pneumorénal avec glomérulonéphrite
aiguë et hémorragie alvéolaire diffuse.
Atteinte pulmonaire :
 20 à 30% des cas.
 Hémorragie alvéolaire (hémoptysie ++).
 La PAM peut être limitée au poumon.
Imagerie thoracique (F+P, TDM):
 Au TLX: opacités bilatérales, généralement symétriques, mais
parfois asymétriques (voire unilatérales). Apex et angles
costodiaphragmatiques relativement épargnés.
 Au TDM:
 Verre dépoli +++ localisation centrale
 Condensations épargnant la périph
 Micronodules centrolobulaires
(au stade plus tardif résorption de l’Hgie
dans l’interstitium).
RP normale
Importance des coupes fines +++
Atteinte extra-pulmonaire :
 Atteinte rénale ++: constante, se traduit par une hématurie,
parfois macroscopique, une protéinurie, une ↑ de la créatinine
sérique. La fonction rénale se détériore rapidement sans TRT.
La PAM est la cause la plus fréquente des syndromes
pneumo-rénaux.
 A la phase d'état, AEG et fièvre sont fréquents.
 Arthralgies, myalgies, signes cutanés, signes neurologiques,
douleurs abdominales, diarrhée, et une hémorragie digestive.
 Insuffisance cardiaque, hypertension artérielle sévère sont
rares.
b/ Autres examens complémentaires:
 Le syndrome inflammatoire et l'anémie (liée à l'hémorragie
alvéolaire, l'inflammation et l'insuffisance rénale), sont
constants.
 p-ANCA anti-MPO dans 70 %, les autres cas étant de type
cytoplasmique.
 La biopsie rénale est souvent nécessaire car les lésions
rénales sont le dénominateur commun de la PAM.
4- Traitement et pronostic :
 Le traitement est adapté à la sévérité de la maladie,
appréciée par un score pronostique (Five Factor Score,FFS)
 Si FFS = 0: corticothérapie seule (le cyclophosphamide ou
l’azathioprine peuvent être ajoutés en cas de non réponse ou
de rechute).
 Si formes avec atteinte viscérale sévère (≥ 1): corticothérapie
+ immunosupprésseurs.
Ces images radiologiques sont elles
évocatrices de quelle vascularite à ANCA ?
 Un homme de 45 ans, vous consulte pour une dyspnée. Il
tousse depuis maintenant 15 jours et les crachats sont parfois
sanguinolents. Il se plaint d’une grande fatigue depuis plus de
1 mois et parfois de fièvre à 38°C.
Question 1: Quelles pathologies pouvez-vous
évoquer à ce stade?
Devant une altération fébrile de l’EG, dyspnée et hémoptysie,
on doit évoquer:
 Une EP.
 Des pathologies infectieuses (TBC ++).
 Un cancer ou lymphome.
 Des pathologies inflammatoires dont les vascularites.
 Dans ses ATCD, vous relevez une sinusite chronique et une
rhinite qualifiée d’allergique.
Un scanner thoracique pratiqué le matin même est le suivant:
La bandelette urinaire réalisée à votre cabinet montre:
leucocyte -, hématies ++++, protéines ++, nitrite -.
Question 2: Quels Dg évoquez vous? Argumentez
Le tableau clinique et paraclinique est celui d’un Sd pnemo-
rénal: dyspnée, hémoptysie IIaire à une HIA vu la TDM ( VD
bilatéral) avec une atteinte glomérulaire rénale ( hématurie et
protéinurie à la bandelette).
Les Dg à évoquer sont:
Sd de Goodpasture.
 Vascularites des petits vaisseaux : GPA, EGPA et MPA.
Question 3: Donnez les données ciblées de
l’examen clinique qui peuvent vous permettre de
préciser le Dg positif.
ATCD d’asthme, sibilants (CS).
 Epistaxis, croutes nasales (CS et WG).
 Signes en dehors l’atteinte pulmonaire et rénale: atteinte
cutanée, musculaire, neurologique, ophtalmologique,
cardiaque et digestive ( 3 vascularites).
Question 4: Quels examens biologiques ciblés
permettront de porter un Dg positif ?
FNS: hyperéosinophilie sanguine  CS.
Ac anti membrane basale glomérulaire  Sd de
Goodpasture.
ANCA: p-ANCA  PAM, CS.
c-ANCA  WG.
Question 5: Quels autres examens biologiques
sont nécessaires? Justifiez.
 Créatinine: facteur de gravité.
 ECBU: confirme l’hématurie.
 Protéinurie par 24h: facteur de gravité.
 CRP: marqueur de suivi sous TRT du Sd inflammatoire.
 FNS avec HB et GR: quantifie la perte sanguine.
 Groupage, RAI: bilan pré-transfusionnel en cas d’anémie
profonde.
 Bilan hépatique: parfois perturbé en cours des
vascularites.
 Les ANCA sont revenus positifs. Et vous remarquez une
éruption érythémato-maculeuse sur la face antérieure des
jambes n’effaçant pas à la VP. Vous demandez rapidement
le taux des plaquettes revenant normal évoquant un
purpura vasculaire.
Question 6: Quelle est sa signification dans le
contexte de ce malade ?
 Un purpura vasculaire associé à un syndrome pneumo-
rénal oriente vers une vascularite des petits vaisseaux
( WG, CS, et MAP).
 La biopsie des lésions cutanées montre un granulome
extra-vasculaire ainsi qu’une infiltration leucocytoclasique
de la paroi des vaisseaux avec nécrose. L’hémogramme
montre un taux des éosinophiles normal.
Question 7: Quel Dg évoquez vous?
La biopsie cutanée confirme la vascularite leucocytoclasique
granulomateuse qui oriente vers 2 Dg le WG et le CS.
L’absence d’asthme et d’hyperéosinophilie oriente vers une
maladie de Wegener.
Vascularites
Associées aux
ANCA
Non associées
aux ANCA
Vascularites
Non associées
aux ANCA
Généralités:
 Décrite en 1937, par le dermatologue turc Hulusi Behçet.
 Maladie inflammatoire, chronique, systémique et récidivante,
de cause inconnue, touchant les vaisseaux de tout calibre.
 L’atteinte thoracique est rare au cours de la MB (< 10%):
anévrisme de l’AP, EP, atteinte des petits vaisseaux du
poumon et atteinte pleurale.
Epidémiologie:
 Sa prévalence suit la route de la soie, partant d’Asie orientale
(2,1-19,5/105 habitants) vers la Turquie (20-420/105) et les
pourtours de la Méditerranée (1,5-15,9/105).
 Age moyen de début entre 20 et 30 ans (l’atteinte pulmonaire
vers l’âge de 34 +/- 11,5 ans).
s
 Prédominance masculine (3H/1 F) avec une forme souvent
plus sévère.
Manifestations cliniques:
1 - Manifestations cutanéo-muqueuses:
 Aphtes Buccaux récurrent : principale manifestation de la MB
(98%) et critères de diagnostic.
 ulcères génitaux (60 à 65 % des cas) très évocateurs.
 Pseudo-folliculite (60 % des cas) et hyperréactivité cutanée
aspécifique aux agressions de l’éphithélium (à l’origine du
pathergy test)
2 - Manifestations oculaires:
 Uvéite antérieure à hypopion
 Atteinte du segment postérieur (rétine): grave +++
Cécité
3 - Manifestations articulaires: 50% , arthralgies et arthrites.
4 - Manifestations neurologiques: 10-20%, de pronostic
sévère, mortalité à 5-10%:
 Neuro-Behçet : méningoencéphalite, myélite ou Méningo-
encéphalomyélite.
Angio-Behçet : thrombophlébites cérébrales ou atteintes
des artères à destinée cérébrales (anévrismes cérébraux).
6- Manifestations pulmonaires: 10%
 EP, thrombose pariétale, et anévrysmes artériels ++ , parfois
aussi des infiltrats avec ou sans pleurésie.
 Cliniquement: dyspnée, douleurs thoraciques et surtout
hémoptysies.
 Imagerie: Hémorragies et infarctus.
Anévrysmes artériels.
Pneumonie organisée.
Syndrome de Hughes-Stovin
Critères diagnostiques:
Pas de test
biologique
spécifique Dg
clinique.
Traitement: Pas codifié:
Corticoïdes :
 Essentiels pour la réduction de l'inflammation.
 Aucun effet sur les anévrysmes et sur la prévention de la
cécité.
 0,5 mg/kg/j pdt au moins 6 semaines, puis dégression
progressive.
Immunosuppresseurs :
 Associés aux corticoïdes.
 Azathioprine (2,5 mg/kg/j), si échec : Cyclophosphamide
(bolus IV mensuels 750 à 1000 mg), anti-TNF (infliximab 5
mg/kg par perf).
Anticuagulants : héparine lors des phlébites.
Fibrinolytiques aussi utilisés.
Chirurgie : si possible, bons résultats sur les anévrysmes.
Embolisation artérielle : pour les hémoptysies.
Évolution et pronostic:
 Poussées de gravité variable.
 Mortalité évaluée à 5% des cas, surtout par atteinte
pulmonaire et neurologique.
 Complications pulmonaires fatales : hémoptysies, CPC
compliquant une oc clusion artérielle extensive.
Vascularites
Non associées
aux ANCA
Généralités:
 Maladie rare, inflammatoire, qui touche les Vx de gros calibre
(aorte et ses branches, et artères pulmonaires).
 Nommée aussi ‘’maladie des femmes sans pouls’’, pour
illustrer la disparition des pouls aux membres supérieurs,
survenant plus fréquemment chez les femmes.
 S’observe surtout avant 40 ans chez la femme jeune.
 Fréquente chez les sujets d’origine japonais.
 L’étiologie de la maladie est inconnue.
Anatomopathologie:
 Atteinte granulomateuse non nécrosante avec importante
prolifération intimale et fibrose de la média et de l’adventice.
Manifestations cliniques:
 Phase systémique initiale : fièvre, arthralgies, syndrome
inflammatoire, puis
 Signes vasculaires: sténoses, occlusions et anévrysmes
artériels.
Classification anatomique de la maladie de Takayasu
(conférence de Tokyo 1994)
 Atteinte de la crosse aortique et de ses branches (plus
classique) l'abolition du pouls, des phénomènes
ischémiques cérébraux ou des mains.
 Atteinte coronaire: parfois prédominante.
 Atteintes de l'aorte abdominale et des artères rénales 
hypertension réno-vasculaire.
 Signes oculaires notamment rétiniens s'observent chez la
moitié des patients.
 L’atteinte des artères pulmonaires: fréquente (> 40 %)
définit le type IV de la maladie.
 Asymptomatique ++, mais aussi: dyspnée d’effort, douleurs
thoraciques et Hémoptysie. L’examen clinique est négatif.
 Peut évoluer vers une HTAP et une IVD.
 L’obstruction pulm  infarctus pulmonaire (peut s’excaver)
avec infiltrat alvéolaire et d’épanchements pleuraux.
 Shunts ++ entre les artères pulmonaires et la circulation
systémique.
 Plus rarement : pneumonie interstitielle aiguë ou chronique,
hémorragie alvéolaire.
 La scintigraphie v/p et l’angiographie ⇒ excellent moyen
de dépistage (l’atteinte pulmonaire doit être recherchée
systématiquement) et de diagnostic.
Critères diagnostiques:
Traitement :
 TRT médical: basé sur la corticothérapie (dose d’attaque 0,7 à 1
mg/kg/jr d’équivalent de prednisone durant au moins 1 mois puis
dégression progressive sur 12 à 24 mois).
 Dans les formes rebelles ou devant la nécessité de  les doses des
corticoïdes, l'utilisation des immunosuppresseurs est possible.
 TRT chirurgical et interventionnel ++ : désobstructions,
prothèses vasculaires, greffes veineuses, et endarteriectomies.
Pose d’un stent
+
Corticothérapie
Pronostic:
 Le type d’atteinte anatomique ne modifie pas le pronostic.
 Les décès sont principalement d’origine cardiovasculaire.
Classification pronostique proposée par Ishikawa en 1994
Vascularites
Non associées
aux ANCA
Généralités:
 Appelé aussi maladie des Ac anti MB glomérulaire.
 Maladie auto-immune associant une Hgie pulmonaire, une
glomérulonéphrite extra-capillaire, et des Ac dirigés contre les
MB glomérulaires et alvéolaires.
 Très rare (1 cas / 1 million d’habitants /an).
 Age moyen: 21-33 ans (avec des extrêmes : 8-73 ans).
 Prédominance masculine (2H/1F).
 Pays nordiques et anglo-saxons (forte prévalence HLA DR2)
Manifestations cliniques:
Signes respiratoires: isolés ou associés:
 Hémoptysies souvent peu abondantes mais récidivantes.
 Toux et dyspnée.
 Douleurs thoraciques mois fréquentes.
 Parfois fièvre et râles crépitants en foyer.
 Imagerie:
 TLX: Infiltrats bilatéraux variables, péri-hilaires.
 TDM: VD +++ et condensations à localisation Images
centrale épargnant la périph. d’HIA
 Parfois asymétriques, rarement unilatéraux.
 Pas d'EPL ni d'ADP.
Signes extra-respiratoires:
Atteinte rénale :
 Révélatrice dans 25% des cas.
 IR aiguë et souvent grave, dialyse d'emblée parfois.
 Hématurie microscopique quasi constante.
 Protéinurie fréquente ; syndrome néphrotique exceptionnel.
Anémie : par spoliation, évolution rapide.
Autres : rares:
 Arthrites, myalgies, purpura vasculaire.
 Décollement de rétine avec fixation d'Ac anti-MB au niveau
des vaisseaux choroïdiens.
Examens complémentaires:
Biologie:
 Anémie microcytaire, hypochrome.
 Hypocomplémentémie (C3, C4).
 Hématurie microscopique constante.
 Protéinurie quasi constante constante (> 0,5 g/j).
Immunologie:
Preuve immunologique indispensable au Dg. Au moins 2 des 4
éléments suivants:
Dépôts linéaires d'Ig le long des MBG.
Dépôts linéaires d'Ig le long des MBA (biopsie trans-bronchique).
Ac anti-MB circulants (en immunofluorescence).
Ac anti-MB à partir de fragments tissulaires pulmonaires ou rénaux.
EFR: Aucune spécificité.
Fibroscopie bronchique:
 Pas de lésions endo-bronchiques, parfois saignement diffus
de provenance distale.
 LBA trouble rosé ou franchement rouge, riche en hématies.
Anatomopathologie:
Lésions pulmonaires: pas caractéristiques. Absence de
vascularite ou de lésions granulomateuses.
Lésions rénales
MO: Aspect non spécifique: GN extra-capillaire diffuse ou focale.
IFD : Dépôts d'IgG le long des MBG, quasi
pathognomoniques quand ils sont importants,
continus et linéaires.
Traitement:
 Échanges plasmatiques.
 Corticoïdes et cyclophosphamide.
Evolution et pronostic:
Sans traitement :
 Rémission spontanée exceptionnelle
 Mortelle dans la majorité des cas
Avec traitement :
 Réduction du taux de mortalité.
 Mais la survie globale n'est pas grandement améliorée (1 à 12
ans avec traitement bien conduit).
Vascularites
Non associées
aux ANCA
Généralités:
 Décrite pour la 1ère fois en 1970.
 Egalement appelée « Vascularite de Mc Duffie » ou
« Vascularite anti-C1q ».
 Maladie systémique, auto-immune, rare, d’étiologie inconnue,
touchant les vaisseaux de petit calibre caractérisée par une
urticaire récurrente.
 Age moyen Dg 35-45 ans, prédominance féminine (3F/1 H).
 VUH est isolée dans 75 %, et associée à une maladie sous-
jacente dans 25 % des cas: LED ++, Sd de Sjögren,
sclérodermie systémique, PR…
Physiopathologie:
 Médiée par les complexes immuns  HS III.
Anatomopathologie:
Peau: Vte à PNN rarement lymphocytaire+/-
nécrose fibrinoîde; infiltrat dermique interstitiel;
dépôt d’Ig et/ou C 3 dans les vx dermique.
Poumon: Aspect d’emphysème, exceptnnellmnt
vascularite.
Rein: GN prolifératives mésangiales; focales ou
diffuses; dépôt d’IgG et C3.
Manifestations cliniques:
Atteinte pulmonaire:
 26% à 65%.
 Plus fréquente chez les fumeurs.
 Symptômes principaux : dyspnée et toux ++.
 Plus rarement : douleur thoracique, expectoration,
hémoptysie, HIA et épanchement pleural.
 Pneumopathie obstructive ++ .
 TVO dans près de 50 % des cas.
 Un emphysème pulmonaire dans moins de 50 % des cas.
La consommation de tabac semble
corrélée à la sévérité des lésions.
Biologie:
 Ac anti C1q >80% des Ac anti C1q  non pathognomonique.
 Taux  de C1q ++  marqueur plus sensible pour le Dg.
 AAN positifs dans 50 %.
Ac anti C1q (+) aussi dans: LED 35%, Sd de
Sjögren, sclérodermie systémique, PR,
Cryoglobulinémie mixte…
Critères diagnostiques: Selon Schwartz et al. 1982
Traitement: mal codifié
 Corticoides +/- immunosuppresseurs si atteinte viscérale.
 Dapsone, hydroxychloroquine et colchicine si formes
cutanées isolées.
RÉFÉRENCES BIBLIOGRAPHIQUES
 Vascularites associées aux anticorps anticytoplasme des
polynucléaires neutrophiles, EMC 2017.
 Poumon et vascularites, EMC 2015.
 Vascularites pulmonaires, EMC 2011.
 Manifestations respiratoires des connectivites et vascularites,
CEP 2021.
 Imagerie des vascularites avec atteinte pulmonaire, Mathieu
Lederlin, Service d’Imagerie Thoracique, CHU Bordeaux.
 La granulomatose éosinophilique avec polyangéite (syndrome
de Churg et Strauss), EMC 2015.
 Granulomatose avec polyangéite (maladie de Wegener), EMC
2012.
 Vascularites pulmonaires: Comment s’en sortir? , Service de
Radiologie, CHU Mohammed VI, Oujda, Maroc.
 Vascularites systemiques, ECN 2015
RÉFÉRENCES BIBLIOGRAPHIQUES
 Manifestations thoraciques de la maladie
de Behçet, EMC 2012.
 Manifestations pulmonaires de la maladie de Takayasu, EMC
2007.
 La maladie de Takayasu, EMC 2016.
 Les vascularites urticariennes hypocomplémentémiques, EMC
2017.
 Atteinte pulmonaire sévère au cours de la vascularite
hypocomplémentémique urticarienne, PanAfricain Medical
Journal, 2016.
MERCI POUR VOTRE ATTENTION

Vascularites et poumon

  • 1.
    VASCULARITES ET POUMON Présentépar: Dr. S. KERFAH Service de Pneumo-phtisiologie/ EHUOran 07/12/2020
  • 2.
    INTRODUCTION:  Les vascularitessont des maladies rares, au cours desquelles les manifestations respiratoires sont fréquentes et variées. Elles peuvent être révélatrices ou apparaître au cours de la maladie.  La plupart des vascularites touchant le poumon sont associées aux anticorps anti-cytoplasmes des polynucléaires neutrophiles (ANCA). Elles concernent les vaisseaux de moyenne et petite taille avec des atteintes surtout cutanées, pulmonaires et rénales.
  • 3.
    DÉFINITION:  Les vascularites(ou angéites) sont définies par une inflammation des vaisseaux sanguins dont la paroi est infiltrée par des cellules de l'inflammation (PN ou PE, lymphocytes, plasmocyte, histiocytes, cellules géantes). Vascularite nécrosante se définit par une nécrose de la paroi artérielle, souvent de type fibrinoïde Granulomateuse comporte des cellules épithélioïdes et des cellules géantes. Le granulome est focalisé ou diffus, vasculaire et/ou extravasculaire.
  • 4.
    CLASSIFICATION: Les vascularites sontclassées selon la taille des vaisseaux par un système de classification de référence « la classification de Chapel Hill» (1994 révisée en 2012) en :  Vascularites de l'aorte et des gros troncs :  Maladie de Horton.  Artérite de Takayasu.  Vascularites des artères de moyen calibre :  Périartérite noueuse.  Maladie de Kawasaki.  Vascularites de petits vaisseaux (1) :  Microvascularites associées aux ANCA:  Granulomatose de Wegener.  Micropolyangéite.  Angéite granulomateuse de Churg et Strauss.
  • 5.
     Vascularite detaille de vaisseaux variable :  Maladie de Behçet.  Vascularite de Cogan.  Polychondrite chronique atrophiante.  Vascularites de petits vaisseaux (2):  Microvascularites liées à des dépôts de complexes immuns (sans ANCA):  Purpura rhumatoide.  Vascularite cryoglobulinémique.  Vascularite glomérulaire médiée par des Ac anti- membrane basale (Sd de Goodpasture).  Vascularite urticairienne hypocomplémentémique. (de Mc Duffie).
  • 6.
    PHYSIOPATHOLOGIE: Une inflammation médiéepar les dépôts de complexes immuns Exemple : la vascularite cryoglobulinémique. Une inflammation médiée par les ANCA: Les c-ANCA: contre la PR 3 ( GPA). Les p-ANCA : contre la MPO ( GCS et PAM). Une inflammation à médiation cellulaire Exemple : la maladie de Takayasu. Une inflammation médiée par un auto-Ac Exemple: anticorps anti-membrane basale glomérulaire du syndrome de Goodpasture.
  • 7.
  • 8.
  • 9.
    1- Généralités : Décrite en 1936, est une vascularite donnant une inflammation granulomateuse nécrosante de l’appareil respiratoire, prédominante sur les vaisseaux de petit et moyen calibre.  Atteint dans > 90 % le poumon, la sphère ORL, et le rein.  Localisation pulmonaire isolée dans 9% des cas.  Age moyen de survenue: entre 40 et 50 ans, avec une légère prédominance chez l’homme (sex ratio de 1,3).  Prévalence évaluée à 3/100.000 habitants.
  • 10.
    2- Physiopathologie:  Rôleimportant des c-ANCA à action anti PR3.  N’est pas la seule cause, pathogénie non encore élucidée. 3- Anatomopathologie pulmonaire :  3 critères histo-pathologiques majeurs du Dg: granulome, vascularite, nécrose. Pas toujours présents simultanément sur un prélèvement.  La nécrose: micro-abcès à PNN au niveau des cloisons alvéolaires, paroi des vaisseaux, plèvre, et bronches, s’étendant « en carte de géographie ».
  • 11.
    4- Diagnostic positif:  Début progressif par l’atteinte ORL, puis apparaissent des signes respiratoires fréquents mais peu spécifiques. a/ Clinique: Atteinte pulmonaire : ++  Symptomatologie pulmonaire très fréquente (>80 % ), non spécifique ou d’allure pseudo-pneumonique :  Toux et dyspnée 75%, expectoration purulente par nécrose des foyers pulmonaires.  Râles crépitants.  Hémoptysie 30% (lésion focale ou capillarite).  Douleur thoracique généralement d’origine pleurale.  Cependant, une atteinte radiologique isolée sans signes cliniques peut se rencontrer.
  • 12.
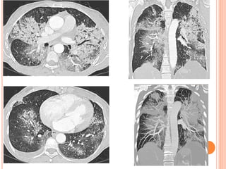
    Imagerie thoracique (F+P,TDM):  Les nodules pulmonaires :  A limites nettes, de nombres variables, parfois un véritable « lâcher de ballons » pseudo-tumorale.  De 5mm à >10 cm, évoluent par ↑ en taille et en nombre, et par une excavation progressive (50% surtout si >2 cm).  A paroi épaisse (#abcès, cancer excavé), parfois fine d’allure bulleuse. Pas de niveau liquide en dehors des surinfections.  Parfois entourés par un halo en VD une Hgie périnodulaire. contexte compatible Multiples Nodules excavés GPA
  • 15.
    Les infiltrats bilatéraux:  Infiltrats bilatéraux diffus ou localisés, peu denses, en VD, surtout dans le syndrome hémorragique alvéolaire, labiles. Disparaissent Sous TRT sans laisser de séquelles.  Opacités pneumoniques localisées, denses, à limites ± nettes, peuvent succéder aux opacités précédentes ou être présentes d’emblée, comportent parfois un BA et/ou des foyers excavés.
  • 17.
     Autres images:  Epanchement pleural;  Atélectasies, opacité réticulo-nodulaires ; Plus  ADP médiastinales et/ou hilaires associées à des rares lésions parenchymateuses ;  Calcification dans les territoires des lésions ;  Paralysie phrénique due à la maladie.  Diagnostic différentiel scannographique :  Autres vascularites,  Néoplasie pulmonaire primitive,  Métastases,  Infection (TBC, aspergillose, klebsielle, staph…),  Nodule rhumatoïde.
  • 18.
    Endoscopie bronchique etlavage broncho-alvéolaire :  La biopsie bronchique montre des cellules géantes avec PNN majoritaires regroupés en micro-abcès.  Le LBA contribue au Dg de l’Hgie alvéolaire, d’infection opportuniste, et montre fréquemment une ↑ du % des PNN et parfois des éosinophiles.  Atteinte ORL : ++  Lésions fréquentes (environ 80 % des cas) : Rhinite croûteuse, Epistaxis, Sinusite, Otite séreuse.  Autres: surdité de perception, mastoïdite, chondrites (nasales, auriculaires ou trachéales), masses pseudo-tumorales.
  • 19.
     Atteinte rénale:++  Fréquente, dans 38 à 100 % des cas (selon les séries).  Glomérulonéphrite nécrosante extra-capillaire pauci-immune avec protéinurie et hématurie, qui évolue rapidement vers l'insuffisance rénale.  Biopsie rénale = diagnostic de certitude.  Signes généraux :  Relativement fréquents: asthénie, anorexie, amaigrissement et arthralgies. La fièvre signe le plus souvent une infection IIaire.  Atteinte ophtalmologique :  14 à 60 % des cas.  Sclérite (nodulaire ou nécrosante) assez spécifique.  Autres: conjonctivite, épisclérite, vascularite rétinienne ou dacryocystite pouvant aller jusqu'à la cécité.
  • 20.
     Atteinte cutanée: < 50% des cas : papules, purpura pétéchial ou nécrotique, vésicules, nodules cutanés ou sous-cutanés, et ulcérations.  Atteinte neurologique :  13 à 44 % des cas.  Souvent périphérique: mono-neuropathie multiple.  Peut toucher le SNC: vascularite cérébrale, pachyméningite, atteinte granulomateuse du massif facial (VII,XII).
  • 21.
    b/ Autres examenscomplémentaires:  Syndrome inflammatoire constant : VS, CRP ↑.  Anémie modérée avec hyperleucocytose.  Hypergammaglobulinémie modérée avec surtout IgA ↑.  ANCA : + chez 90 % des malades, type C-ANCA à action anti PR3 dans 75 à 80 % des cas (10 à 15 % Ac anti- MPO). Il existe des formes à ANCA négatives (5 à 10 %).  Etude anatomopathologique des biopsies: Dg de certitude. Biopsies pulmonaire, naso-sinusienne, rénale et cutanée. Le titre des ANCA dépend du degré d’activité et de l’extension de la maladie. Son ↑ ou leur réapparition chez un malade en rémission précède souvent la rechute de la vascularite.
  • 22.
    Critères diagnostiques : Selonl’American College of Rheumatology 1990 (ACR1990) : 2 sur 4 critères (sensibilité de 88,2 %, spécificité de 92 %).
  • 23.
    5- Traitement:  Corticoïdes+ d'immunosuppresseurs. Les corticoïdes :  1mg/kg/jour de prednisone pendant au moins 1 mois puis ↓ progressivement et poursuivie pendant 18 à 24 mois ; un bolus, durant 1 à 3 jours, de méthylprednisolone (15 mg/kg/j) pourrait être utile pour obtenir une amélioration plus rapide.  Les immunosuppresseurs :  Le cyclophosphamide est préférentiellement administré par 6 à 9 bolus intraveineux mensuels. Une fois la rémission obtenue, le TRT d’entretien repose sur l’azathioprine (ou le méthotrexate).
  • 24.
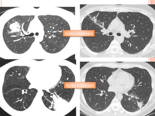
    Patiente 52 ans,toux trainante, asthénie, apyrexie Il y a quelques semaines, monoplégie du bras gauche au réveil, ayant régressé totalement Biopsies bronchiques: sur un des fragments, possible micro abcès à polynucléaires neutrophiles au voisinage de capillaires Après traitement Après traitement
  • 25.
    6- Evolution etpronostic :  Etait une maladie rapidement mortelle.  Le traitement a transformé le pronostic: rémission complète dans 90% , et des guérisons complètes sont obtenues.  Survies très longues mais 50 % des patients font une rechute dans les 5 ans. Le TRT devra être institué de nouveau.
  • 26.
  • 27.
    1- Généralités : Syndrome rare, décrit en 1951.  C’est l’association d’un asthme grave, d’une hyperéosinophilie sanguine et d’une vascularite nécrosante ( + inflammation granulomateuse extravasculaire).  Pas de prédominance de sexe.  Tous les âges peuvent être touchés avec un pic de fréquence entre 30 et 50 ans.  Incidence estimée à 5 /1.000.000 habitants par an.
  • 28.
     Classiquement décriteen 3 phases, pas toujours successives:  Premier temps : asthme constant, avec souvent des manifestations ORL (polypose nasale, sinusite chronique).  Deuxième temps : hyperéosinophilie très ↑ sanguine et tissulaire (bronches, cœur).  Troisième temps : vascularite systémique. 2- Physiopathologie:  Rôle important des p-ANCA à action anti MPO.  D'autres facteurs ont été évoqués : infections mycosiques (Aspergillus), bactériennes ou parasitaires.  Le rôle exact de ces facteurs n'est pas connu.
  • 29.
    3- Anatomopathologie pulmonaire:  Vascularite nécrosante éosinophilique à cellules géantes touche surtout les artères et artérioles pulmonaires.  Nécrose de type fibrinoide. 4- Diagnostic positif : a/ Clinique: Atteinte pulmonaire : ++  Asthme grave, rapidement cortico-dépendant, qui précède généralement la survenue de la vascularite.  Rhinite allergique avec polypose nasale peuvent s’associer à l’asthme.  Epanchement pleural éosinophilique fréquent. Le passage de l’asthme au SCS s’accompagne de signes généraux, d’arthralgies ou myalgies, et de manifestations systémiques.
  • 30.
    Imagerie thoracique (F+P,TDM):  40 à 60 % des cas.  Opacités alvéolaires non systématisées, de formes variées, parfois nodulaires, ou diffuses, prédominant à la périphérie et dans les régions supérieures et moyennes.  Peuvent être labiles, à limites floues.  Ne s'excavent qu'exceptionnellement.  Parfois associées à un épanchement pleural généralement peu abondant, et aux ADP médiastinales.  Le syndrome hémorragique alvéolaire est très rare. Cortico-sensibles
  • 33.
    Principal diagnostic différentiel:Pneumopathie chronique idiopathique à éosinophiles.  Clinique: idem (dyspnée, toux) SAUF signes extra-pulmonaires (névrites+++).  Anapath: idem (infiltrats éosinophiles) SAUF vascularite.  TDM: idem (infiltrats apicaux) SAUF épanchement pleural et infiltrats non labiles. Churg & Strauss Carrington
  • 34.
  • 35.
    b/ Autres examenscomplémentaires:  Numération des PNE : l’hyperéosinophilie saguine > 1500/mm3 est un critère du Dg, s'associe habituellement une hyperéosinophilie alvéolaire (autour de 30%).  Syndrome inflammatoire non spécifique.  ANCA : type périnucléaire (P-ANCA) présents chez 60 % .  Etude anatomopathologique des biopsies: musculaire, nerveuse, ORL, ou cutanée. Principales manifestations clinico- biologiques de la EGPA.
  • 36.
    Critères diagnostiques : Selonl’American College of Rheumatology 1990 (ACR1990) : 4 sur 6 critères (sensibilité de 85 %, spécificité de 99.7%).
  • 37.
    5- Traitement etpronostic :  Le traitement repose sur la corticothérapie et les immunosuppresseurs (cyclophosphamide, azathioprine) et est déterminé en fonction de critères pronostiques validés par le Five Factors Score (FFS).
  • 38.
     Si scoreFFS à 0: corticothérapie orale proposée seule à la posologie de 1 mg/kg/j de prednisone, précédée de bolus intraveineux de méthylprednisolone (15 mg/kg/j, 1 à 3 jours consécutifs), puis diminuée progressivement.  Immunosuppresseurs (méthotrexate) pendant 12 à 24 mois si score ≥ 1.  Le traitement inhalé de l’asthme doit être poursuivi. L’asthme réapparaît souvent lors de la diminution de posologie ou après l’arrêt des corticoïdes oraux, conduisant à renforcer la corticothérapie inhalée.  Le pronostic est favorable sous traitement adéquat, mais les rechutes sont fréquentes.  La survie est supérieure à 90% à cinq ans, le décès survient en cas d’atteinte multi-organique grave.
  • 39.
  • 40.
    1- Généralités : Vascularite nécrosante des petits vaisseaux, généralement associée à une glomérulonéphrite nécrosante segmentaire et focale.  L'étiologie est inconnue.  Touche l’adulte, principalement entre 55 et 75 ans, avec une prédominance masculine.  Incidence estimée à 3 à 9 cas/million/an. 2- Anatomopathologie pulmonaire  Angéite à neutrophiles, hémorragie alvéolaire.
  • 41.
    3- Diagnostic positif: a/ Clinique: un syndrome pneumorénal avec glomérulonéphrite aiguë et hémorragie alvéolaire diffuse. Atteinte pulmonaire :  20 à 30% des cas.  Hémorragie alvéolaire (hémoptysie ++).  La PAM peut être limitée au poumon. Imagerie thoracique (F+P, TDM):  Au TLX: opacités bilatérales, généralement symétriques, mais parfois asymétriques (voire unilatérales). Apex et angles costodiaphragmatiques relativement épargnés.
  • 43.
     Au TDM: Verre dépoli +++ localisation centrale  Condensations épargnant la périph  Micronodules centrolobulaires (au stade plus tardif résorption de l’Hgie dans l’interstitium). RP normale Importance des coupes fines +++
  • 45.
    Atteinte extra-pulmonaire : Atteinte rénale ++: constante, se traduit par une hématurie, parfois macroscopique, une protéinurie, une ↑ de la créatinine sérique. La fonction rénale se détériore rapidement sans TRT. La PAM est la cause la plus fréquente des syndromes pneumo-rénaux.  A la phase d'état, AEG et fièvre sont fréquents.  Arthralgies, myalgies, signes cutanés, signes neurologiques, douleurs abdominales, diarrhée, et une hémorragie digestive.  Insuffisance cardiaque, hypertension artérielle sévère sont rares.
  • 46.
    b/ Autres examenscomplémentaires:  Le syndrome inflammatoire et l'anémie (liée à l'hémorragie alvéolaire, l'inflammation et l'insuffisance rénale), sont constants.  p-ANCA anti-MPO dans 70 %, les autres cas étant de type cytoplasmique.  La biopsie rénale est souvent nécessaire car les lésions rénales sont le dénominateur commun de la PAM.
  • 47.
    4- Traitement etpronostic :  Le traitement est adapté à la sévérité de la maladie, appréciée par un score pronostique (Five Factor Score,FFS)  Si FFS = 0: corticothérapie seule (le cyclophosphamide ou l’azathioprine peuvent être ajoutés en cas de non réponse ou de rechute).  Si formes avec atteinte viscérale sévère (≥ 1): corticothérapie + immunosupprésseurs.
  • 49.
    Ces images radiologiquessont elles évocatrices de quelle vascularite à ANCA ?
  • 52.
     Un hommede 45 ans, vous consulte pour une dyspnée. Il tousse depuis maintenant 15 jours et les crachats sont parfois sanguinolents. Il se plaint d’une grande fatigue depuis plus de 1 mois et parfois de fièvre à 38°C. Question 1: Quelles pathologies pouvez-vous évoquer à ce stade? Devant une altération fébrile de l’EG, dyspnée et hémoptysie, on doit évoquer:  Une EP.  Des pathologies infectieuses (TBC ++).  Un cancer ou lymphome.  Des pathologies inflammatoires dont les vascularites.
  • 53.
     Dans sesATCD, vous relevez une sinusite chronique et une rhinite qualifiée d’allergique. Un scanner thoracique pratiqué le matin même est le suivant: La bandelette urinaire réalisée à votre cabinet montre: leucocyte -, hématies ++++, protéines ++, nitrite -.
  • 54.
    Question 2: QuelsDg évoquez vous? Argumentez Le tableau clinique et paraclinique est celui d’un Sd pnemo- rénal: dyspnée, hémoptysie IIaire à une HIA vu la TDM ( VD bilatéral) avec une atteinte glomérulaire rénale ( hématurie et protéinurie à la bandelette). Les Dg à évoquer sont: Sd de Goodpasture.  Vascularites des petits vaisseaux : GPA, EGPA et MPA.
  • 55.
    Question 3: Donnezles données ciblées de l’examen clinique qui peuvent vous permettre de préciser le Dg positif. ATCD d’asthme, sibilants (CS).  Epistaxis, croutes nasales (CS et WG).  Signes en dehors l’atteinte pulmonaire et rénale: atteinte cutanée, musculaire, neurologique, ophtalmologique, cardiaque et digestive ( 3 vascularites).
  • 56.
    Question 4: Quelsexamens biologiques ciblés permettront de porter un Dg positif ? FNS: hyperéosinophilie sanguine  CS. Ac anti membrane basale glomérulaire  Sd de Goodpasture. ANCA: p-ANCA  PAM, CS. c-ANCA  WG.
  • 57.
    Question 5: Quelsautres examens biologiques sont nécessaires? Justifiez.  Créatinine: facteur de gravité.  ECBU: confirme l’hématurie.  Protéinurie par 24h: facteur de gravité.  CRP: marqueur de suivi sous TRT du Sd inflammatoire.  FNS avec HB et GR: quantifie la perte sanguine.  Groupage, RAI: bilan pré-transfusionnel en cas d’anémie profonde.  Bilan hépatique: parfois perturbé en cours des vascularites.
  • 58.
     Les ANCAsont revenus positifs. Et vous remarquez une éruption érythémato-maculeuse sur la face antérieure des jambes n’effaçant pas à la VP. Vous demandez rapidement le taux des plaquettes revenant normal évoquant un purpura vasculaire. Question 6: Quelle est sa signification dans le contexte de ce malade ?  Un purpura vasculaire associé à un syndrome pneumo- rénal oriente vers une vascularite des petits vaisseaux ( WG, CS, et MAP).
  • 59.
     La biopsiedes lésions cutanées montre un granulome extra-vasculaire ainsi qu’une infiltration leucocytoclasique de la paroi des vaisseaux avec nécrose. L’hémogramme montre un taux des éosinophiles normal. Question 7: Quel Dg évoquez vous? La biopsie cutanée confirme la vascularite leucocytoclasique granulomateuse qui oriente vers 2 Dg le WG et le CS. L’absence d’asthme et d’hyperéosinophilie oriente vers une maladie de Wegener.
  • 60.
  • 61.
  • 62.
    Généralités:  Décrite en1937, par le dermatologue turc Hulusi Behçet.  Maladie inflammatoire, chronique, systémique et récidivante, de cause inconnue, touchant les vaisseaux de tout calibre.  L’atteinte thoracique est rare au cours de la MB (< 10%): anévrisme de l’AP, EP, atteinte des petits vaisseaux du poumon et atteinte pleurale.
  • 63.
    Epidémiologie:  Sa prévalencesuit la route de la soie, partant d’Asie orientale (2,1-19,5/105 habitants) vers la Turquie (20-420/105) et les pourtours de la Méditerranée (1,5-15,9/105).  Age moyen de début entre 20 et 30 ans (l’atteinte pulmonaire vers l’âge de 34 +/- 11,5 ans). s  Prédominance masculine (3H/1 F) avec une forme souvent plus sévère.
  • 64.
  • 65.
    1 - Manifestationscutanéo-muqueuses:  Aphtes Buccaux récurrent : principale manifestation de la MB (98%) et critères de diagnostic.  ulcères génitaux (60 à 65 % des cas) très évocateurs.  Pseudo-folliculite (60 % des cas) et hyperréactivité cutanée aspécifique aux agressions de l’éphithélium (à l’origine du pathergy test)
  • 68.
    2 - Manifestationsoculaires:  Uvéite antérieure à hypopion  Atteinte du segment postérieur (rétine): grave +++ Cécité
  • 69.
    3 - Manifestationsarticulaires: 50% , arthralgies et arthrites. 4 - Manifestations neurologiques: 10-20%, de pronostic sévère, mortalité à 5-10%:  Neuro-Behçet : méningoencéphalite, myélite ou Méningo- encéphalomyélite. Angio-Behçet : thrombophlébites cérébrales ou atteintes des artères à destinée cérébrales (anévrismes cérébraux).
  • 70.
    6- Manifestations pulmonaires:10%  EP, thrombose pariétale, et anévrysmes artériels ++ , parfois aussi des infiltrats avec ou sans pleurésie.  Cliniquement: dyspnée, douleurs thoraciques et surtout hémoptysies.
  • 71.
     Imagerie: Hémorragieset infarctus. Anévrysmes artériels. Pneumonie organisée.
  • 74.
  • 76.
    Critères diagnostiques: Pas detest biologique spécifique Dg clinique.
  • 77.
    Traitement: Pas codifié: Corticoïdes:  Essentiels pour la réduction de l'inflammation.  Aucun effet sur les anévrysmes et sur la prévention de la cécité.  0,5 mg/kg/j pdt au moins 6 semaines, puis dégression progressive. Immunosuppresseurs :  Associés aux corticoïdes.  Azathioprine (2,5 mg/kg/j), si échec : Cyclophosphamide (bolus IV mensuels 750 à 1000 mg), anti-TNF (infliximab 5 mg/kg par perf). Anticuagulants : héparine lors des phlébites. Fibrinolytiques aussi utilisés. Chirurgie : si possible, bons résultats sur les anévrysmes. Embolisation artérielle : pour les hémoptysies.
  • 78.
    Évolution et pronostic: Poussées de gravité variable.  Mortalité évaluée à 5% des cas, surtout par atteinte pulmonaire et neurologique.  Complications pulmonaires fatales : hémoptysies, CPC compliquant une oc clusion artérielle extensive.
  • 79.
  • 80.
    Généralités:  Maladie rare,inflammatoire, qui touche les Vx de gros calibre (aorte et ses branches, et artères pulmonaires).  Nommée aussi ‘’maladie des femmes sans pouls’’, pour illustrer la disparition des pouls aux membres supérieurs, survenant plus fréquemment chez les femmes.  S’observe surtout avant 40 ans chez la femme jeune.  Fréquente chez les sujets d’origine japonais.  L’étiologie de la maladie est inconnue.
  • 81.
    Anatomopathologie:  Atteinte granulomateusenon nécrosante avec importante prolifération intimale et fibrose de la média et de l’adventice. Manifestations cliniques:  Phase systémique initiale : fièvre, arthralgies, syndrome inflammatoire, puis  Signes vasculaires: sténoses, occlusions et anévrysmes artériels.
  • 82.
    Classification anatomique dela maladie de Takayasu (conférence de Tokyo 1994)
  • 83.
     Atteinte dela crosse aortique et de ses branches (plus classique) l'abolition du pouls, des phénomènes ischémiques cérébraux ou des mains.  Atteinte coronaire: parfois prédominante.  Atteintes de l'aorte abdominale et des artères rénales  hypertension réno-vasculaire.  Signes oculaires notamment rétiniens s'observent chez la moitié des patients.
  • 85.
     L’atteinte desartères pulmonaires: fréquente (> 40 %) définit le type IV de la maladie.  Asymptomatique ++, mais aussi: dyspnée d’effort, douleurs thoraciques et Hémoptysie. L’examen clinique est négatif.  Peut évoluer vers une HTAP et une IVD.  L’obstruction pulm  infarctus pulmonaire (peut s’excaver) avec infiltrat alvéolaire et d’épanchements pleuraux.  Shunts ++ entre les artères pulmonaires et la circulation systémique.  Plus rarement : pneumonie interstitielle aiguë ou chronique, hémorragie alvéolaire.
  • 86.
     La scintigraphiev/p et l’angiographie ⇒ excellent moyen de dépistage (l’atteinte pulmonaire doit être recherchée systématiquement) et de diagnostic.
  • 88.
  • 89.
    Traitement :  TRTmédical: basé sur la corticothérapie (dose d’attaque 0,7 à 1 mg/kg/jr d’équivalent de prednisone durant au moins 1 mois puis dégression progressive sur 12 à 24 mois).  Dans les formes rebelles ou devant la nécessité de  les doses des corticoïdes, l'utilisation des immunosuppresseurs est possible.  TRT chirurgical et interventionnel ++ : désobstructions, prothèses vasculaires, greffes veineuses, et endarteriectomies. Pose d’un stent + Corticothérapie
  • 90.
    Pronostic:  Le typed’atteinte anatomique ne modifie pas le pronostic.  Les décès sont principalement d’origine cardiovasculaire. Classification pronostique proposée par Ishikawa en 1994
  • 91.
  • 92.
    Généralités:  Appelé aussimaladie des Ac anti MB glomérulaire.  Maladie auto-immune associant une Hgie pulmonaire, une glomérulonéphrite extra-capillaire, et des Ac dirigés contre les MB glomérulaires et alvéolaires.  Très rare (1 cas / 1 million d’habitants /an).  Age moyen: 21-33 ans (avec des extrêmes : 8-73 ans).  Prédominance masculine (2H/1F).  Pays nordiques et anglo-saxons (forte prévalence HLA DR2)
  • 93.
    Manifestations cliniques: Signes respiratoires:isolés ou associés:  Hémoptysies souvent peu abondantes mais récidivantes.  Toux et dyspnée.  Douleurs thoraciques mois fréquentes.  Parfois fièvre et râles crépitants en foyer.  Imagerie:  TLX: Infiltrats bilatéraux variables, péri-hilaires.  TDM: VD +++ et condensations à localisation Images centrale épargnant la périph. d’HIA  Parfois asymétriques, rarement unilatéraux.  Pas d'EPL ni d'ADP.
  • 97.
    Signes extra-respiratoires: Atteinte rénale:  Révélatrice dans 25% des cas.  IR aiguë et souvent grave, dialyse d'emblée parfois.  Hématurie microscopique quasi constante.  Protéinurie fréquente ; syndrome néphrotique exceptionnel. Anémie : par spoliation, évolution rapide. Autres : rares:  Arthrites, myalgies, purpura vasculaire.  Décollement de rétine avec fixation d'Ac anti-MB au niveau des vaisseaux choroïdiens.
  • 98.
    Examens complémentaires: Biologie:  Anémiemicrocytaire, hypochrome.  Hypocomplémentémie (C3, C4).  Hématurie microscopique constante.  Protéinurie quasi constante constante (> 0,5 g/j). Immunologie: Preuve immunologique indispensable au Dg. Au moins 2 des 4 éléments suivants: Dépôts linéaires d'Ig le long des MBG. Dépôts linéaires d'Ig le long des MBA (biopsie trans-bronchique). Ac anti-MB circulants (en immunofluorescence). Ac anti-MB à partir de fragments tissulaires pulmonaires ou rénaux.
  • 99.
    EFR: Aucune spécificité. Fibroscopiebronchique:  Pas de lésions endo-bronchiques, parfois saignement diffus de provenance distale.  LBA trouble rosé ou franchement rouge, riche en hématies. Anatomopathologie: Lésions pulmonaires: pas caractéristiques. Absence de vascularite ou de lésions granulomateuses. Lésions rénales MO: Aspect non spécifique: GN extra-capillaire diffuse ou focale. IFD : Dépôts d'IgG le long des MBG, quasi pathognomoniques quand ils sont importants, continus et linéaires.
  • 100.
    Traitement:  Échanges plasmatiques. Corticoïdes et cyclophosphamide. Evolution et pronostic: Sans traitement :  Rémission spontanée exceptionnelle  Mortelle dans la majorité des cas Avec traitement :  Réduction du taux de mortalité.  Mais la survie globale n'est pas grandement améliorée (1 à 12 ans avec traitement bien conduit).
  • 101.
  • 102.
    Généralités:  Décrite pourla 1ère fois en 1970.  Egalement appelée « Vascularite de Mc Duffie » ou « Vascularite anti-C1q ».  Maladie systémique, auto-immune, rare, d’étiologie inconnue, touchant les vaisseaux de petit calibre caractérisée par une urticaire récurrente.  Age moyen Dg 35-45 ans, prédominance féminine (3F/1 H).  VUH est isolée dans 75 %, et associée à une maladie sous- jacente dans 25 % des cas: LED ++, Sd de Sjögren, sclérodermie systémique, PR…
  • 103.
    Physiopathologie:  Médiée parles complexes immuns  HS III.
  • 104.
    Anatomopathologie: Peau: Vte àPNN rarement lymphocytaire+/- nécrose fibrinoîde; infiltrat dermique interstitiel; dépôt d’Ig et/ou C 3 dans les vx dermique. Poumon: Aspect d’emphysème, exceptnnellmnt vascularite. Rein: GN prolifératives mésangiales; focales ou diffuses; dépôt d’IgG et C3.
  • 105.
  • 107.
    Atteinte pulmonaire:  26%à 65%.  Plus fréquente chez les fumeurs.  Symptômes principaux : dyspnée et toux ++.  Plus rarement : douleur thoracique, expectoration, hémoptysie, HIA et épanchement pleural.  Pneumopathie obstructive ++ .  TVO dans près de 50 % des cas.  Un emphysème pulmonaire dans moins de 50 % des cas. La consommation de tabac semble corrélée à la sévérité des lésions.
  • 109.
    Biologie:  Ac antiC1q >80% des Ac anti C1q  non pathognomonique.  Taux  de C1q ++  marqueur plus sensible pour le Dg.  AAN positifs dans 50 %. Ac anti C1q (+) aussi dans: LED 35%, Sd de Sjögren, sclérodermie systémique, PR, Cryoglobulinémie mixte…
  • 110.
    Critères diagnostiques: SelonSchwartz et al. 1982 Traitement: mal codifié  Corticoides +/- immunosuppresseurs si atteinte viscérale.  Dapsone, hydroxychloroquine et colchicine si formes cutanées isolées.
  • 111.
    RÉFÉRENCES BIBLIOGRAPHIQUES  Vascularitesassociées aux anticorps anticytoplasme des polynucléaires neutrophiles, EMC 2017.  Poumon et vascularites, EMC 2015.  Vascularites pulmonaires, EMC 2011.  Manifestations respiratoires des connectivites et vascularites, CEP 2021.  Imagerie des vascularites avec atteinte pulmonaire, Mathieu Lederlin, Service d’Imagerie Thoracique, CHU Bordeaux.  La granulomatose éosinophilique avec polyangéite (syndrome de Churg et Strauss), EMC 2015.  Granulomatose avec polyangéite (maladie de Wegener), EMC 2012.  Vascularites pulmonaires: Comment s’en sortir? , Service de Radiologie, CHU Mohammed VI, Oujda, Maroc.  Vascularites systemiques, ECN 2015
  • 112.
    RÉFÉRENCES BIBLIOGRAPHIQUES  Manifestationsthoraciques de la maladie de Behçet, EMC 2012.  Manifestations pulmonaires de la maladie de Takayasu, EMC 2007.  La maladie de Takayasu, EMC 2016.  Les vascularites urticariennes hypocomplémentémiques, EMC 2017.  Atteinte pulmonaire sévère au cours de la vascularite hypocomplémentémique urticarienne, PanAfricain Medical Journal, 2016.
  • 113.