Dr innocent kashongwe M.
  DES pneumologie,chnu Fann
      Dakar, janvier 2011
PLAN
I. INDRODUCTION
    1.1.Définition
    1.2. Intérêt
II. ETHIOPATHOGENIE
     2.1. Epidémiologie, morphologie, écologie
     2.2. Cycle parasitaire
     2.3. Physiopathologie


                                   Dr innocent kashongwe, DES pneumologie, janvier 2011, Dakar
III. DIAGNOSTIC POSITIF
3.1. Circonstances de découverte
3.2. Eléments du diagnostic
3.3. Evolution - pronostic

IV. DIAGNOSTIC DIFFERENTIEL

V. TRAITEMENT

VI.CONCLUSION


                                   Dr innocent kashongwe, DES pneumologie, janvier 2011, Dakar
I. INTRODUCTION

1.1.Définition
• C’est une collection liquidienne habituellement
  « eau de roche » au sein du parenchyme
  pulmonaire humain résultant de l’infestation aux
  stades larvaires du parasite Echinococcus
  granulosus infestant habituellement les animaux
  carnivores et herbivores.
• la localisation pulmonaire humaine = impasse
  parasitaire

• Echinococcose cystique, uniloculaire, hydatidose
                                    Dr innocent kashongwe, DES pneumologie, janvier 2011, Dakar
1.2.intérêt:
• Affection cosmopolite sévissant surtout dans
  les régions d’élévage des ovins,bovins où les
  troupeaux sont gardés par les chiens.

• Parasitose liée au pastoralisme avec un impact
  économique important d’où son double
  intérêt vétérinaire et médical


                                   Dr innocent kashongwe, DES pneumologie, janvier 2011, Dakar
• Homme hôte intermédiaire accidentel,
  impasse parasitaire

• Poumon, 2ème localisations E.g. après le foie
  possibilité d’une atteinte multiviscérale

• Souvent asymptomatique ,de découverte
  radiologique fortuite
                                    Dr innocent kashongwe, DES pneumologie, janvier 2011, Dakar
• Complications , mode de révélations non
  négligeable , pronostic fonctionnel /vital
  engagé

• Traitement chirurgical avant tout

• Traitement médical décevant, d’où intérêt de
  prévention

                                      Dr innocent kashongwe, DES pneumologie, janvier 2011, Dakar
• Prévention , possible par contrôle vétérinaire
  du cycle domestique du parasite à travers de
  programmes de santé animale coordonnés



• Difficulté du contrôle de l’hydatidose en raison
  de grande latence clinique


                                   Dr innocent kashongwe, DES pneumologie, janvier 2011, Dakar
II. ETHIOPATHOGENIE
2.1.Epidémiologie, morphologie, écologie

2.2. Cycle parasitaire

2.3. physiopathologie



                                Dr innocent kashongwe, DES pneumologie, janvier 2011, Dakar
Les zones les plus touchées sont :




                       Endémie forte
                       Endémie moyenne
                       Endémie faible
2.1.Épidémiologie et distribution

• Les facteurs de distribution KH sont :

- Elevage intensif d’ovins ou de bovins dans les
  pays où le bétail est gardé par les chiens

- Infestation massive des chiens par la
  consommation de cadavres d’animaux
  contaminés(viscères hydatifères)

                                    Dr innocent kashongwe, DES pneumologie, janvier 2011, Dakar
- Contact étroit entre homme et animaux
  infestés ainsi qu’une hygiène précaire des
  mains



- Habitudes culturelles: consommation directes
  de sang de bœuf ou mouton lors des
  cérémonies(kenya)

                                   Dr innocent kashongwe, DES pneumologie, janvier 2011, Dakar
morphologie
          Agent causal: echinococcus granulosus
  Sub              Phylum                               Class                                Genus – examples
kingdom
          Nematodes                                                                         Ascaris (roundworm)
Metazoa                                                                                     Trichuris (whipworm)
          Round worms; appear round
                                                                                            Ancylostoma (hookworm)
          in cross section, they have
                                                                                            Necator (hookworm)
          body cavities, a straight
                                                                                            Enterobius (pinworm or
          alimentary canal and an anus                                                      threadworm)
                                                                                            Strongyloides




          Platyhelminthes                Cestodes                                           Tapeworms
          Flat worms; dorsoventrally     Adult tapeworms are found in                       Taenia
          flattened, no body cavity      the intestine of their host                        Diphyllobothrium
          and, if present, the           They have a head (scolex) with                     Echinococcus               g. Grnlosis
          alimentary canal is blind      sucking organs, a segmented                        Hymenolopis
          ending                         body but no alimentary canal                                                  g. Équinus
                                         Each body segment is
                                         hermaphrodite
                                                                                                                       g.borealis

                                         Trematodes                                         Fasciolopsis (liver fluke)
                                         Non-segmented, usually leaf-shaped,                Schistosoma (not leaf
                                         with two suckers but no distinct head
                                                                                            shaped!)
                                         They have an alimentary canal and are
                                         usually hermaphrodite and leaf shaped
                                         Schistosomes are the exception. They
                                         are thread-like, and have separate sexes



                                                                                    Dr innocent kashongwe, DES pneumologie, janvier 2011, Dakar
• 3 espèces de l’ Echinococcus sont
  médicalement importants
  – Echinococcus granulosus
  – Echinococcus multilocularis
  – Echinococcus vogeli



                              Dr innocent kashongwe, DES pneumologie, janvier 2011, Dakar
Morphologie echinococcus granulosus


• 3 formes:
- Adulte qui vit fixé entre les villosités de
  l’intestin grêle de l’HD

- Œuf (embryophore)qui contient un embryon
  exacanthe(30 à 40 um)

- Larve ou kyste hydatique
                                      Dr innocent kashongwe, DES pneumologie, janvier 2011, Dakar
Ecologie du parasite


• longévité forme adulte:

  6 à 10 mois en milieu extérieur

  24 mois environ dans la paroi intestinale du
  chien.



                                     Dr innocent kashongwe, DES pneumologie, janvier 2011, Dakar
Ecologie du parasite

• longévité des embryophores :
  18 mois au moins sur le sol entre +25°C et – 25°C

  beaucoup moins dans l’eau par privation d’O2

  11 jours à la surface des sols secs.



                                         Dr innocent kashongwe, DES pneumologie, janvier 2011, Dakar
Ecologie du parasite


• La longévité des scolex :

- Quelques heures à quelques jours dans le
  milieu extérieur.




                                     Dr innocent kashongwe, DES pneumologie, janvier 2011, Dakar
• kyste Hydatique:
       - Se developpe à partir de l’embryon exacanthe
       - De l’extérieur vers
         l’intérieur
       1) l’adventice
       2) Membrane anhiste
       3) Membrane proligère
       ou germinative



Dr innocent kashongwe, DES pneumologie, janvier 2011, Dakar
Dr innocent kashongwe, DES pneumologie, janvier 2011, Dakar
Dr innocent kashongwe, DES pneumologie, janvier 2011, Dakar
Dr innocent kashongwe, DES pneumologie, janvier 2011, Dakar
Membrane proligère fertiliquide hydatique
Par bourgeonnement
donne des vésicules ou
capsule proligère qui
élaborent les
protoscolex

Contient le liquide
hydatique
                                 Dr innocent kashongwe, DES pneumologie, janvier 2011, Dakar
• Le liquide hydatique est constitué à la fois de :
- Produits de l’hôte dialysés à travers la cuticule
   externe
- Produits de métabolisme du parasite, grande
   valeur antigénique

• Il est normalement limpide, eau de roche


                                     Dr innocent kashongwe, DES pneumologie, janvier 2011, Dakar
II. ETHIOPATHOGENIE
2.1.Epidémiologie , morphologie, écologie

2.2. Cycle parasitaire
- Chez l’animal
- Chez l’homme

2.3. physiopathologie
                                  Dr innocent kashongwe, DES pneumologie, janvier 2011, Dakar
2.4.Cycle parasitaire




                        Dr innocent kashongwe, DES pneumologie, janvier 2011, Dakar
2.4.Cycle parasitaire




                        Dr innocent kashongwe, DES pneumologie, janvier 2011, Dakar
• Homme = un hôte intermédiaire accidentel

• s’infecte en hébergeant la forme larvaire

• La contamination humaine survient par voie
  digestive



                                   Dr innocent kashongwe, DES pneumologie, janvier 2011, Dakar
- Directement par contact avec un chien
  parasité, pelage Œufs E. granulosus +++

- Indirectement par ingestion de l’eau de
  boisson ou de crudités mal lavées souillées
  par les œufs du parasite.



                                   Dr innocent kashongwe, DES pneumologie, janvier 2011, Dakar
• Ds 50 à 70 %
des cas, dvpt ds
le foie

•Ds 30 à 40 % des
cas = le poumon.




                    Dr innocent kashongwe, DES pneumologie, janvier 2011, Dakar
• Une contamination pulmonaire est cependant
  possible par 2 autres voies :

- Echinoccocose secondaire

- Dissémination hématogène après effraction
  vasculaire


                                Dr innocent kashongwe, DES pneumologie, janvier 2011, Dakar
II. ETHIOPATHOGENIE
2.1.Epidémiologie , morphologie, écologie

2.2. Cycle parasitaire


2.3. Physiopathologie



                                  Dr innocent kashongwe, DES pneumologie, janvier 2011, Dakar
2.3.Physiopathologie du kyste hydatique

• KHP survient soit:
- 1er : contamination digestive – voie sanguine,
  shunt portocave, canal thoracique - Poumon

- 2nd à la rupture d’un KHF ds le poumon

- Ensemencement par voie endobronchique d’un
  KH fertile rompu = RARE
                                    Dr innocent kashongwe, DES pneumologie, janvier 2011, Dakar
2.3.Physiopathologie du kyste hydatique


• KHP unique ds la majorité des cas

• lobe inférieur droit parfois bilatéral




                                     Dr innocent kashongwe, DES pneumologie, janvier 2011, Dakar
2.3.Physiopathologie du kyste hydatique

• Développement KH en contact d’une bronche:
- compression, atélectasies

- Fissuration bronchique par érosion de la paroi

- Rupture ds la bronche(spontanément ou
  traumatisme) ds la plèvre, ds un grand tronc
  veineux ou ds le péricarde
                                  Dr innocent kashongwe, DES pneumologie, janvier 2011, Dakar
2.3.Physiopathologie du kyste hydatique

• Conséquence de la fissuration:
- Sur le parenchyme pulmonaire :
Remaniements inflammatoires importants,
  bronchique et alvéolaires,

 Aboutissant à des bronchéctasies et à une
 fibrose pulmonaire extensive


                                 Dr innocent kashongwe, DES pneumologie, janvier 2011, Dakar
2.3.Physiopathologie du kyste hydatique

• Conséquence de la fissuration:
- sur l’hydatide :
des désordres ventilatoire ,

 KH collabé, flétrie ,se décolle de l’adventice,
 flotte dans la cavité

Infection KH, ce qui conduit à la rupture.

                                    Dr innocent kashongwe, DES pneumologie, janvier 2011, Dakar
• Rupture, éventualité la plus fréquente

- Survenue d’une vomique ,
- Etat de choc anaphylactique par libération de
  protéines parasitaires

- Séquestration d’un fragment de membrane
  hydatique ds la cavité kystique, ds la bronche,



                                   Dr innocent kashongwe, DES pneumologie, janvier 2011, Dakar
2.3.Physiopathologie du kyste hydatique

• Séquestration source de complications
  bronchopulmonaire sévères:
- pneumonie
- emphysème
- atélectasie
- bronchectasie
- suppurations bronchopulmonaires chronique.

                                Dr innocent kashongwe, DES pneumologie, janvier 2011, Dakar
2.3.Physiopathologie du kyste hydatique

• Dissémination ,possible, de la rupture vers le
  parenchyme restant ou d’autres organe



• Rupture ds une cavité( pleurale, péricardique)
  en cas KH corticaux, très rare mais possible



                                   Dr innocent kashongwe, DES pneumologie, janvier 2011, Dakar
2.3.Physiopathologie du kyste hydatique




                            Dr innocent kashongwe, DES pneumologie, janvier 2011, Dakar
Relation avec l’hôte - Réaction de l’hôte


• E. granulosis dispose de moyens divers pour
  échapper au système immunitaire de l’hôte



• Expliquant la durée longue de l’infestation
  pouvant aller jusqu’à 30 ans chez l’homme



                                   Dr innocent kashongwe, DES pneumologie, janvier 2011, Dakar
Relation avec l’hôte - Réaction de l’hôte

  Lors de l’invasion de l’organisme par l’œuf
  infestant, avant la formation du kyste:

- Activation de la voie alterne du complément
  pouvant conduire à la lyse du parasite.

- Attraction de polynucléaires éosinophiles.


                                   Dr innocent kashongwe, DES pneumologie, janvier 2011, Dakar
Relation avec l’hôte - Réaction de l’hôte

   Lors de la formation du kyste,
• le parasite expose une paroi externe riche en
  galactose et galactosamine qui inactivent le
  complément et le système immunitaire.

• Deux systèmes principalement activés par
  produits biologiques contenant le mannose.


                                  Dr innocent kashongwe, DES pneumologie, janvier 2011, Dakar
Relation avec l’hôte - Réaction de l’hôte

• Un 2ème moyen d’échappement
= antigène B de E granulosus.

- lipoprotéine polymérique de 120 kD, plrs sous
  unités de 8 kD ,

- fonctions immunomodulatrices.


                                  Dr innocent kashongwe, DES pneumologie, janvier 2011, Dakar
Relation avec l’hôte - Réaction de l’hôte

• Propriétés immunomodulatrices :
- en inhibant le chimiotactisme des
  polynucléaires neutrophiles

- En inhibant l’activité de l’élastase

- et en déviant la réponse immunitaire vers un
  profil TH2 ou profil de tolérance.
                                     Dr innocent kashongwe, DES pneumologie, janvier 2011, Dakar
Relation avec l’hôte - Réaction de l’hôte

• Un dernier moyen purement mécanique:

- assuré par le tissu fibreux ,

- 3ème membrane entourant les membranes
  germinale et anhiste externe.



                                  Dr innocent kashongwe, DES pneumologie, janvier 2011, Dakar
Relation avec l’hôte - Réaction de l’hôte

• L’adventice va assurer ds 1er temps la nutrition
  du KH par imbibition

• 2nd rmt se transformer en coque fibreuse qui
  va compromettre sa trophicité




                                    Dr innocent kashongwe, DES pneumologie, janvier 2011, Dakar
III.DIAGNOSTIC POSITIF
                 Dr innocent kashongwe, DES pneumologie, janvier 2011, Dakar
III.DIAGNOSTIC POSITIF

3.1.Circonstance de découverte
3.1.1. Phase KHP non Rompu :
- Clinique pauvre(patient avec BEG,
  SF exceptionnel pendant la période de
  croissance du kyste, non spécifique)

- Découverte fortuite radiologique,

                                  Dr innocent kashongwe, DES pneumologie, janvier 2011, Dakar
III.DIAGNOSTIC POSITIF




                  Dr innocent kashongwe, DES pneumologie, janvier 2011, Dakar
III. DIAGNOSTIC POSITIF
Circonstances de découverte particulières:

- KHP de l’enfant

- KHP multiple

- KHP associé à d’autres localisations

                                   Dr innocent kashongwe, DES pneumologie, janvier 2011, Dakar
III.DIAGNOSTIC POSITIF
       3.1. Circonstances de découverte
   KHP de l’enfant
• svt latent ,volumineux et qlq fois multiple se
  manifestant par :

- une dyspnée d’effort ou un asthme

- une détresse respiratoire

- une bronchopneumonie fébrile
                                    Dr innocent kashongwe, DES pneumologie, janvier 2011, Dakar
 KHP de l’enfant (suite)
• un infantilisme hydatique :
- anémie
- retard de croissance
- retard pubertaire complètement régressif à
  l’ablation du /des kystes

• KHP plus fréquent KHF

                                 Dr innocent kashongwe, DES pneumologie, janvier 2011, Dakar
III. DIAGNOSTIC POSITIF
3.1.Circonstances de découverte particulière
- KHP de l’enfant


- KHP multiple

- KHP associé à d’autres localisations


                                   Dr innocent kashongwe, DES pneumologie, janvier 2011, Dakar
III.DIAGNOSTIC POSITIF
       3.1. Circonstances de découverte

     KHP multiple
• Primitif ou secondaire à la rupture d’un KHF
  dans la VCI suivi d’une dissémination au
  poumon

• AEG avec aspect de lâcher de ballons

• Autres localisations viscérales fréquentes

                                   Dr innocent kashongwe, DES pneumologie, janvier 2011, Dakar
3.1.Circonstance de découverte
3.1.2. Phase KHP Rompu :

a) Fissuration(rupture incomplète)

b) Rupture ds les bronches

c) Rupture ds la cavité(pleurales,péricadique)

d) Diffusion sanguine

                                      Dr innocent kashongwe, DES pneumologie, janvier 2011, Dakar
3.1.Circonstance de découverte
3.1.2. Phase KHP ROMPU:

a) Fissuration bronchique :

• Survient pour des traumatismes minimes

• se manifeste par une hémoptysie,+/-
  abondante, répétée et tenace.



                                 Dr innocent kashongwe, DES pneumologie, janvier 2011, Dakar
3.1.Circonstance de découverte
3.1.2. Phase KHP ROMPU

• Fissuration(suite)

• s’accompagne parfois d’une recrudescence de
  la dyspnée et de la toux , expectoration banale
  ou mucopurulente.

• EG du patient s’altère avec début de fièvre.


                                   Dr innocent kashongwe, DES pneumologie, janvier 2011, Dakar
3.1.Circonstance de découverte
3.1.2. Phase KHP ROMPU:

b) Rupture dans les bronches :
• Spontanée ou provoquée par
- un traumatisme parfois minime
- une toux précédé des douleurs thoraciques
  angoissantes

• parfois précédée par un état subfébrile et des
  hémoptysies répétées.

                                   Dr innocent kashongwe, DES pneumologie, janvier 2011, Dakar
3.1.Circonstance de découverte
  3.1.2. Phase KHP ROMPU:

• la rupture KH se caractérise par la vomique
  hydatique ou hydatidoptysie.

• Caractérisée par: liquide « eau de roche »
- Abondance variable,de modérée à impressionnante
- évoluant en un seul accès aigu ou en plusieurs jours
  successifs
- gène pour le malade.

                                      Dr innocent kashongwe, DES pneumologie, janvier 2011, Dakar
3.1.Circonstance de découverte
3.1.2. Phase KHP ROMPU:

• le patient secoué par une toux incessante
  ramenant par la bouche et les narines :
- une importante quantité de liquide translucide

- au goût salé ou poivré

- des débris parasitaires comparés à des « peaux
  de raisin sucés » ou à des fragments d’oignons.

                                  Dr innocent kashongwe, DES pneumologie, janvier 2011, Dakar
3.1.Circonstance de découverte
3.1.2. Phase KHP ROMPU:

• En cas de rupture de kyste surinfecté:

- Vomique purulente

- ou pyohémorragique.




                                   Dr innocent kashongwe, DES pneumologie, janvier 2011, Dakar
3.1.Circonstance de découverte
3.1.2. Phase KHP ROMPU:

• Choc anaphylactique ,complication majeure
  de la rupture KH

• + Risque d’asphyxie

• Prise en charge adaptée immédiate.



                                 Dr innocent kashongwe, DES pneumologie, janvier 2011, Dakar
3.1.Circonstance de découverte
3.1.2. Phase KHP ROMPU:

• RX thorax ds les suites immédiates montre:
- des opacités pulmonaires multiples diffuses
  et bilatérales en réaction à la libération des
  toxines parasitaires

- persistantes pendant quelques jours
  traduisant un syndrome de Löeffler.


                                   Dr innocent kashongwe, DES pneumologie, janvier 2011, Dakar
3.1.Circonstance de découverte
3.1.2. Phase KHP ROMPU:

c) Rupture dans la plèvre ou hydatidothorax :
• Rare , peut s’installer à bas bruit

• Tableau dramatique avec douleur, dyspnée et
  cyanose aggravées par un choc anaphylactique.

• aspect « eau de roche « parfois teinté de bile
  en cas de KHF rompu dans la plèvre.
                                  Dr innocent kashongwe, DES pneumologie, janvier 2011, Dakar
3.1.Circonstance de découverte
3.1.2. Phase KHP ROMPU:

d) Rupture dans le péricarde

• exceptionnelle

• donnant un tableau de tamponnade




                                 Dr innocent kashongwe, DES pneumologie, janvier 2011, Dakar
3.1.Circonstance de découverte
3.1.2. Phase KHP ROMPU:

e) Diffusion sanguine:
• par effraction vasculaire et migration par voie
  sanguine
• donnant des emboles à localisation
  multiviscérale :
- poumon (localisations multiples)
- Autres viscères (cerveau, rate, os, reins,
  thymus, thyroïde …)

                                   Dr innocent kashongwe, DES pneumologie, janvier 2011, Dakar
III.DIAGNOSTIC POSITIF
3.1. Circonstances de découverte (suite)

• Des signes extra respiratoires peuvent être
  rencontrés :
- des épisodes de dyspnée asthmatiforme

- une urticaire récidivante voire chronique

- des épisodes d’œdème de Quincke

                                   Dr innocent kashongwe, DES pneumologie, janvier 2011, Dakar
III.DIAGNOSTIC POSITIF
3.2.Eléments du diagnostic
3.2.1.Clinique:
 L’interrogatoire, capitale ,recherche en outre :

 • une notion de séjour en pays d’endémicité de
   l‘hydatidose


 • une notion de vie dans des régions d’élevage
   d’ovins et de bovins ou caprins gardés par les
   chiens                              Dr innocent kashongwe, DES pneumologie, janvier 2011, Dakar
III.DIAGNOSTIC POSITIF
• la profession : bergers, bouchers, vétérinaires

• l’existence ou non de chiens domestiques

  4 Eléments précise notion de contage hydatique

• les habitudes comportementales : ingestion
  d’aliments crus, hygiène des mains

                                    Dr innocent kashongwe, DES pneumologie, janvier 2011, Dakar
III.DIAGNOSTIC POSITIF

 Examen clinique
 SF peuvent être à type de:
• Douleur thoracique:
- le plus souvent basithoracique droite,
- d’installation progressive,
- à type de pesanteur, sourde et peu intense,
- sans irradiation et sans facteurs modifiants (ni
  calmants ni aggravants).

                                    Dr innocent kashongwe, DES pneumologie, janvier 2011, Dakar
III.DIAGNOSTIC POSITIF

• Toux sèche, quinteuse parfois productive
  ramenant une expectoration banale et sans
  caractères modifiants

• Dyspnée à type de polypnée superficielle,
  sans orthopnée d’aggravation progressive par
  augmentation de volume du kyste



                                 Dr innocent kashongwe, DES pneumologie, janvier 2011, Dakar
• Examen clinique dépend de la phase du KHP,
  et de son volume

- Non Rompu: BEG, examen normal+ svt

- Rompu: EGA, clinique+++



                                 Dr innocent kashongwe, DES pneumologie, janvier 2011, Dakar
III.DIAGNOSTIC POSITIF

 KHP petite taille: Examen normal
 KHPde grande taille on peut noter :


• = Sd épanchement liquidien


   A NE JAMAIS PONCTIONNER , toujours faire une
   radiographie du thorax(si doute) pr confirmer la
   localisation pleurale ou pulmonaire
                                     Dr innocent kashongwe, DES pneumologie, janvier 2011, Dakar
III.DIAGNOSTIC POSITIF

• Le reste de l’examen cherchera l’atteinte
  d’autres organes :
- foie
- rate
- cerveau …
 Examen paraclinique(biologie, imagerie,
  anapath…)


                                  Dr innocent kashongwe, DES pneumologie, janvier 2011, Dakar
III.DIAGNOSTIC POSITIF
3.2.2.Examens paracliniques
 A. Imagerie thoracique a.1. Rx Thorax standard F/P
                          a.2. TDM thoracique
                          a.3. Echographie thoracique
 B. Biologie              a.4. Scopie


 C. Anatomopathologie



                                      Dr innocent kashongwe, DES pneumologie, janvier 2011, Dakar
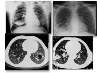
III.DIAGNOSTIC POSITIF
3.2.2.Examens paracliniques
  A. Imagerie thoracique :
  a.1. Rx Thorax standard F/P

  • Circonstance de découverte fréquente, meilleur
    moyen de dépistage

  • Variable suivant le stade KH, 6 stades
   ( I = KHP non rompu : boulet de canon,opacités multiples
    II à VI = KHP rompu : pneumokyste, nenuphar, bulles
     DDB,coquille d’œuf…)
                                         Dr innocent kashongwe, DES pneumologie, janvier 2011, Dakar
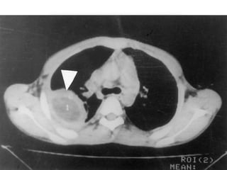
3.2.2.Examens paracliniques
                imagerie thoracique
 a.2. Tomodensitométrie thoracique
• Pas indispensable au diagnostic de kyste
  hydatique du poumon

• Utile dans le bilan lésionnel pré opératoire.

• Analyse paroi du kyste, topographie, rapports
  avec bronches et structures vasculaires.
                                    Dr innocent kashongwe, DES pneumologie, janvier 2011, Dakar
STADE EVOLUTIF DU khp
• Stade I : KH non rompu ( ds 50 à 70%) ,
  asymptomatique
Opacité homogène ronde ,ovalaire de tonalité
 hydrique
A contours nets comme tracé au compas

En boule de canon , ou parfois bilobée en
 brioche,réniforme, polycyclique variable avec
 le diamètre (hémithorax opaque avec culs de
 sac costodiaphrarmatique libre)
Opacités multiples,parfois lachée de ballon
                                      Dr innocent kashongwe, DES pneumologie, janvier 2011, Dakar
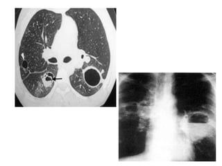
• Stade II , retrouvé ds 11,2% des cas,
  Fissuration, hémoptysie, :
Ménisque gazeux situé au pole supérieur de
  l’opacité entre la paroi externe du kyste et la
  paroi interne du périkyste.
Image de pneumokyste

Évolution: surinfection espace périkystique
• Stade III, rupture, vomique:
Cavité aérique à paroi épaissie avec une
  bronche de drainage

Rarement observé radiologiquement




                                  Dr innocent kashongwe, DES pneumologie, janvier 2011, Dakar
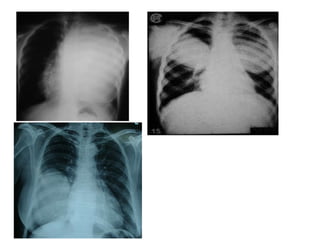
• Stade IV:
• images hydroaériques d’aspect variable
- Nénuphar +++ ( ds 10% rupture)
  Aspect de membrane flottante surnageant la surface ou immergée
  dans le liquide
- Opacités avec image de niveau hydroaérique
  rectiligne
- Image en double arc d’Ivassinevitch, réalisée par la
  superposition de deux épanchements gazeux l’un intra-kystique et
  l’autre intra-adventiciel séparés par la membrane flétrie de
  l’hydatidose

                                                Dr innocent kashongwe, DES pneumologie, janvier 2011, Dakar
• Stade IV:
• images hydroaériques d’aspect variable
- Nénuphar +++ ( ds 10% rupture)
  Aspect de membrane flottante surnageant la surface ou immergée
  dans le liquide
- Opacités avec image de niveau hydroaérique
  rectiligne
- Image en double arc d’Ivassinevitch, réalisée par la
  superposition de deux épanchements gazeux l’un intra-kystique et
  l’autre intra-adventiciel séparés par la membrane flétrie de
  l’hydatidose

                                                Dr innocent kashongwe, DES pneumologie, janvier 2011, Dakar
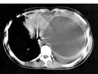
• Stade V: stade séquellaire
• Aspect radiologique variable selon le degré de
  l’évacuation du kyste:
- Image d’incarcération des membranes .

- Image de membrane pelotonnée

- Image en cocarde , en grelot

                                  Dr innocent kashongwe, DES pneumologie, janvier 2011, Dakar
Evolution du kyste chez l’hôte


• Stade VI:Calcification :
- dépôts calcaires sur adventice , signes
  radiologiques caractéristiques»image en
  coquille d’œuf »

- La calcification ne traduit pas la dégénérescence
  du kyste.
- Exceptionnelle au niveau des poumons

                                         Dr innocent kashongwe, DES pneumologie, janvier 2011, Dakar
3.2.2.Examens paracliniques
               imagerie thoracique
a.3.La scopie  désuet
• montrait un étirement de l’opacité lors des
  mvmts respiratoires réalisant le signe de
  Nemenoff

• mieux visualisé sur un écran de télévision avec
  amplificateur de brillance.


                                   Dr innocent kashongwe, DES pneumologie, janvier 2011, Dakar
3.2.2.Examens paracliniques
                imagerie thoracique
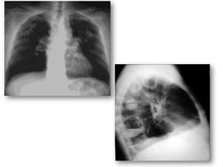
a.4. Echographie thoracique

• Elle est utile dans les kystes superficiels.



• Confirme la nature liquidienne de l’opacité Rx



                                      Dr innocent kashongwe, DES pneumologie, janvier 2011, Dakar
KH à localisation hépatique et   KHP fissuré aspect serpigineux de
pulmonaire                       la membrane proligère

                                              Dr innocent kashongwe, DES pneumologie, janvier 2011, Dakar
III. DIAGNOSTIC POSITIF
 L’existence d’un KHP doit impérativement faire
  rechercher d’autres localisations, bilan
  préthérapeutique

- KHP associé à d’autres localisations
 Hépatique
 Cardiaque
 Cérébrale
 Rénale Osseuse….

                                   Dr innocent kashongwe, DES pneumologie, janvier 2011, Dakar
III.DIAGNOSTIC POSITIF

localisations hépatiques
• Le foie 1ère localisation du KH.

• KHF doit faire rechercher d’autres localisations
  viscérales dont pulmonaire

• Vice versa pr KHP dans le cadre du bilan pré-
  thérapeutique.
                                     Dr innocent kashongwe, DES pneumologie, janvier 2011, Dakar
III.DIAGNOSTIC POSITIF

• Le KHF , découvert surtout lors de ses
  complications :
- Ictère rétentionnel par compression des voies
  biliaires

- HTP par compression du système porte

- Abcès du foie par surinfection
                                   Dr innocent kashongwe, DES pneumologie, janvier 2011, Dakar
III.DIAGNOSTIC POSITIF

- Syndrome de Budd Chiari par compression des
  veines sus hépatiques

- Angiocholite par fissuration et ouverture dans
  les voies biliaires


- Péritonite par rupture spontanée dans le
  péritoine lors d’un traumatisme
                                   Dr innocent kashongwe, DES pneumologie, janvier 2011, Dakar
III.DIAGNOSTIC POSITIF

• Cliniquement,:
• hépatomégalie indolore, de SA lisse et à bord
  inf régulier sans RHJ ni signe de Murphy ni
  douleur à l’ébranlement

• ASP :
  coupole diaphragmatique bosselé (en dos de
  dromadaire) ou pluribosselé (en dos de
  chameau)
                                  Dr innocent kashongwe, DES pneumologie, janvier 2011, Dakar
III.DIAGNOSTIC POSITIF

• Echographie : aspect et vitalité du KHF


• TDM confirme la nature kystique de l’opacité

• les examens immunologiques , hydatidose.



                                   Dr innocent kashongwe, DES pneumologie, janvier 2011, Dakar
La classification échographique des KHF codifiée
                par l’OMS (6stades).




                                  Dr innocent kashongwe, DES pneumologie, janvier 2011, Dakar
III.DIAGNOSTIC POSITIF

• FOIE :




                               Dr innocent kashongwe, DES pneumologie, janvier 2011, Dakar
III.DIAGNOSTIC POSITIF

• Autres localisations
• Cerveau : tableau d’HTIC,
 déficit moteur central
ou épilepsie




                                Dr innocent kashongwe, DES pneumologie, janvier 2011, Dakar
III.DIAGNOSTIC POSITIF

• Autres localisations
• Cœur :




                                Dr innocent kashongwe, DES pneumologie, janvier 2011, Dakar
III.DIAGNOSTIC POSITIF

• Autres localisations
• Os : douleurs osseuses,
        tuméfactions osseuses, # pathologiques
  Rx images de géodes
• Rate : KHR souvent bien toléré de découverte
  lors du bilan pré-thérapeutique
• Œil, rein, thyroïde, thymus …etc


                                 Dr innocent kashongwe, DES pneumologie, janvier 2011, Dakar
III.DIAGNOSTIC POSITIF
3.2.2.Examens paracliniques
 A. Imagerie thoracique
                     b.1. Méthodes indirectes:
                        NFS, IDR casoni,
 B. Biologie            sérologie
                     b.2. Méthodes directes


 C. Anatomopathologie

                                   Dr innocent kashongwe, DES pneumologie, janvier 2011, Dakar
III. DIAGNOSTIC POSITIF
3.2.2.Examens paracliniques
B. Biologie
b.1. Méthodes indirectes

b.1.1. Méthodes non spécifiques
  NFS: Hyperéosinophilie : intérêt limité car
  inconstant (apparaissant avant la formation du
  kyste) et non spécifique (surtout dans nos
  pays d’endémie parasitaire)

                                  Dr innocent kashongwe, DES pneumologie, janvier 2011, Dakar
3.2.2.Examens paracliniques
b. Biologie – methode indirecte

  Intradermoréaction de casoni
- Rarement utilisé de nos jours

- Explorait l’hypersensibilité immédiate de type
  anaphylactique

- Condition : utiliser des antigènes d’excellente
  qualité, purifié si possible
                                    Dr innocent kashongwe, DES pneumologie, janvier 2011, Dakar
• A effectuer après les prélèvement pour les
  sérologies, car peut fausser les résultats



• Dose à injection Intradermique de
  3microgramme ds 0,0025 à 0,05 ml de liquide
  hydatique
• Abandonné (VIH,syphilis,hépatite…

                                  Dr innocent kashongwe, DES pneumologie, janvier 2011, Dakar
• Réaction positive après
15 min

-si papule de 1à2 cm de
diamètre au point
d’injection

• Positive ds 72,5% des
cas


                            Dr innocent kashongwe, DES pneumologie, janvier 2011, Dakar
3.2.2.Examens paracliniques
b. Biologie
b.1.2. Méthodes spécifiques ou sérologiques
    Réaction de fixation du complément
- Ag = le liquide hydatique

- faible valeur diagnostique, négative en cas
  d’ablation du kyste hydatique.

- intérêt , surveillance après ablation du kyste.
                                    Dr innocent kashongwe, DES pneumologie, janvier 2011, Dakar
3.2.2.Examens paracliniques
          Méthodes spécifiques ou sérologiques
  Réaction de précipitation sur gélose ou
  d’Ouchterlony : (immunoelectrophorèse)

• double diffusion sur plaque de gélose contenant 2
  sources, celle de Ag et celle de Ac
• le complexe Ag – Ac révélé sous forme d’arcs de
  précipitation.

• l’arc n° 5 semble parfaitement spécifique pr poser à
  coup sûr le diagnostic.

                                       Dr innocent kashongwe, DES pneumologie, janvier 2011, Dakar
3.2.2.Examens paracliniques
         Méthodes spécifiques ou sérologique

  immunofluorescence :
• Utilise des coupes de congélation d’un
  fragment parasitaire.

• La fluorescence spécifique ne se manifeste
  qu’au niveau des membranes anhistes ou
  germinatives.


                                    Dr innocent kashongwe, DES pneumologie, janvier 2011, Dakar
3.2.2.Examens paracliniques
                 Immunofluorescence

• Si le sérum est immun, Ac se fixent sur Ag
  hydatique
           complexe fluorescent anti γ
  globuline.
• lecture de la précipitation au microscope à
  ultraviolet.
• La réaction + , vive fluorescence des
  fragments parasitaires

• Méthode sensible et spécifique.   Dr innocent kashongwe, DES pneumologie, janvier 2011, Dakar
3.2.2.Examens paracliniques
           Méthodes spécifiques ou sérologique
  Réaction d’Hémagglutination :
• Rapide et très utilisée
• But: titre de 1/320

  Electrosynérèse :
• Même valeur que IE mais + rapide, +sensibl ES
• Utilise un serum immun anti fraction 5
  révélant l’arc 5,précise Ig impliquée.
• Technique: ELIFA(enzymz linked immuno filtration Assay)
                                         Dr innocent kashongwe, DES pneumologie, janvier 2011, Dakar
3.2.2.Examens paracliniques
         Méthodes spécifiques ou sérologiques

   Mise en évidence des antigènes B et 5 du
  liquide kystique:
• posant des problèmes de sensibilité, de
  spécificité, de standardisation ainsi que les
  réactions croisées avec les autres Teanidées.

• Elle est réservée à la recherche


                                     Dr innocent kashongwe, DES pneumologie, janvier 2011, Dakar
3.2.2.Examens paracliniques
         Méthodes spécifiques ou sérologiques

  L’EpC1, Ag localisé dans la couche germinale
  et le protoscolex au début de son dvpmt

• Protéine de 32 kD liant le calcium.

• Antigène cloné à partir de banques de données
  de protoscolex utilisé pour le diagnostic de
  l’hydatidose.

                                    Dr innocent kashongwe, DES pneumologie, janvier 2011, Dakar
3.2.2.Examens paracliniques
           Méthodes spécifiques ou sérologiques

• EpC1 détecte Ac sériques anti echinoccoque du
  malade dans 92,2% contre 84,5% pour l’antigène B.



• Il y a cependant des faux positifs
- dans 4,5 % avec Echinoccocus multilocularis,
- 9,3% avec la cysticercose contre 14% avec
  l’antigène B.
                                      Dr innocent kashongwe, DES pneumologie, janvier 2011, Dakar
• La place de EpC1 n’est pas encore clairement
  établie dans le diagnostic de l’hydatidose.




                                 Dr innocent kashongwe, DES pneumologie, janvier 2011, Dakar
3.2.2.Examens paracliniques
b. Biologie
 b.2. Méthodes directes ou parasitologiques:

• Mise en évidence du parasite ou de ses
  constituants :
- dans la vomique,
- le liquide de lavage broncho-alvéolaire
- ou la pièce opératoire +++
• Ponction transthoracique PROSCRITE

                                  Dr innocent kashongwe, DES pneumologie, janvier 2011, Dakar
3.2.2.Examens paracliniques
b. Biologie

b.3. En pratique
Il est souhaitable d'utiliser :
- une technique quantitative (IFI, ELISA,
   hémagglutination) et

- une technique qualitative (recherche de l'arc 5
  ou de l’antigène B)

                                   Dr innocent kashongwe, DES pneumologie, janvier 2011, Dakar
III.DIAGNOSTIC POSITIF
3.2.2.Examens paracliniques
 A. Imagerie thoracique


 B. Biologie


 C. Anatomopathologie


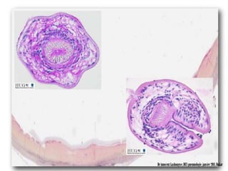
                           Dr innocent kashongwe, DES pneumologie, janvier 2011, Dakar
3.1.2.Examens paracliniques
c. anatomopathologie
• Possible en cas d’analyse d’une pièce
   opératoire

• Macroscopie: permet de voir l’hydatide
  entourée de son adventice

• Microscopie: permet de visualiser les
  éléments constitutifs de l’hydatide

                                   Dr innocent kashongwe, DES pneumologie, janvier 2011, Dakar
3.3.Evolution - Pronostic

Plusieurs modalités évolutives KHP non rompu :
1) Augmentation de volume :
- dpd de la vitalité de l’hydatide,
- de la réaction de l’hôte
- de la consistance de l’organe parasité.

   Responsable des troubles compressifs de
  l’hydatidose.
                                 Dr innocent kashongwe, DES pneumologie, janvier 2011, Dakar
2)KHP peut évoluer également en se rompant
- partielle: fissuration
- Complète: rupture ds bronches, plèvre,
  péricarde
Déjà décrit précédemment




                                Dr innocent kashongwe, DES pneumologie, janvier 2011, Dakar
Evolution du kyste chez l’hôte

3)Echinococcose secondaire :
  Développement viscéral KH à partir de capsules
  proligères et de scolex sans passer par le stade de
  ténia adulte.

4) Calcification
- La calcification ne traduit pas la dégénérescence
  du kyste.
- Exceptionnelle au niveau des poumons

                                          Dr innocent kashongwe, DES pneumologie, janvier 2011, Dakar
3.3.Evolution - Pronostic

Les facteurs de mauvais pronostic de
  l’hydatidose sont :
• la vitalité de l’hydatide

• la présence de nombreux kystes

• l’existence de localisations multiples

• AEG ou une pathologie chronique associée

                                    Dr innocent kashongwe, DES pneumologie, janvier 2011, Dakar
Dr innocent kashongwe, DES pneumologie, janvier 2011, Dakar
IV.DIAGNOSTIC DIFFERENTIEL
            Devant un KHP non Rompu

1) une séquestration pulmonaire

  – en faveur : hémoptysie, bronchorrée et opacité
    arrondie intra-parenchymateuse
  – en défaveur :
     artériographie = opacité avec une
    vascularisation systémique à partir de l’aorte ou
    d’une de ses branches et un retour veineux par
    la veine pulmonaire

                                     Dr innocent kashongwe, DES pneumologie, janvier 2011, Dakar
IV.DIAGNOSTIC DIFFERENTIEL
          Devant un KHP non Rompu

2) un tuberculome :
  – en faveur : tableau chronique de toux,
    hémoptysie parfois avec une opacité
    arrondie dense et homogène
  – en défaveur : EG relativement conservé,
    Absence de signes d’imprégnation TBCse,
    IDRT négative, bacilloscopie négative et
    étude anatomo-pathologique de la pièce
    opératoire
                                 Dr innocent kashongwe, DES pneumologie, janvier 2011, Dakar
IV.DIAGNOSTIC DIFFERENTIEL
          Devant un KHP non Rompu

3) une pleurésie enkystée, surtout par rapport
  avec un KHP périphérique
   – en faveur : toux, douleur thoracique,
     syndrome d’épanchement liquidien de GCP
     et opacité arrondie para-pariétale
   – en défaveur : angle de raccordement de
     l’opacité à la paroi aigu et masse intra-
     parenchymateuse à la TDM

                                 Dr innocent kashongwe, DES pneumologie, janvier 2011, Dakar
IV.DIAGNOSTIC DIFFERENTIEL
          Devant un KHP non Rompu

4) un cancer broncho-pulmonaire
  – en faveur : toux, douleur thoracique fixe et
    tenace, hémoptysie de petite abondance
    capricieuse et opacité parenchymateuse
    dense
  – en défaveur : conservation EG,
     Opacité liquidienne à contours réguliers.
     TDM avec reconstruction bronchique
    permet d’exclure la présence de tumeur
    bronchique
                                   Dr innocent kashongwe, DES pneumologie, janvier 2011, Dakar
IV.DIAGNOSTIC DIFFERENTIEL
          Devant un KHP non Rompu

5) un kyste bronchogénique
  – en faveur : opacité bien limité, le plus
    souvent de découverte radiographique en
    dehors d’une surinfection (image hydro-
    aérique)
  – en défaveur : opacité ovalaire dense situé
    sur un trajet bronchique


                                  Dr innocent kashongwe, DES pneumologie, janvier 2011, Dakar
IV.DIAGNOSTIC DIFFERENTIEL
          Devant un KHP non Rompu

6) un hamartome
  – en faveur : opacité circonscrite de qlqs cm
  – en défaveur :
   Absence de calcifications en pop corn
    évocatrices de l’hamartome
   Densité graisseuse.
   Anatomie pathologique confirmant la
    nature de la lésion
                                   Dr innocent kashongwe, DES pneumologie, janvier 2011, Dakar
IV.DIAGNOSTIC DIFFERENTIEL
           Devant un KHP non Rompu

Devant des images multiples
• Des métastases pulmonaires d’un cancer viscéral
– en faveur : toux, tableau chronique, image en
  lâcher de ballons

– en défaveur : conservation EG, absence de tumeur
 primitive (sein, rein, prostate…), et d’autres
 localisations métastatiques

                                  Dr innocent kashongwe, DES pneumologie, janvier 2011, Dakar
IV.DIAGNOSTIC DIFFERENTIEL
          Devant un KHP Rompu

Devant une rétention membranaire
• Greffe aspergillaire
– en faveur : toux, hémoptysie et image en
  grelot
– en défaveur : absence d’antécédents de
  tuberculose pulmonaire, d’abcès du
  poumon et sérologie aspergillaire négative


                                Dr innocent kashongwe, DES pneumologie, janvier 2011, Dakar
IV.DIAGNOSTIC DIFFERENTIEL
          Devant un KHP Rompu
Abcès du poumon

– en faveur : toux, hémoptysie, vomique et
 image hydro-aérique

– en défaveur : absence de signes infectieux,
 vomique non purulente et niveau liquide
 ondulé


                                Dr innocent kashongwe, DES pneumologie, janvier 2011, Dakar
IV.DIAGNOSTIC DIFFERENTIEL
           Devant un KHP Rompu
Bulle ou cavité surinfecté

– en faveur : toux productive, hémoptysie, et
 image hydro-aérique

– en défaveur : si cavité parois épaisse,
 absence d’ATCD de tuberculose+/-
Si bulle surinfecté diff très difficile

                                Dr innocent kashongwe, DES pneumologie, janvier 2011, Dakar
Dr innocent kashongwe, DES pneumologie, janvier 2011, Dakar
V.TRAITEMENT
5.1. TRAITEMENT CURATIF
  5.1.1. Buts
• Extirper le kyste hydatique en préservant le
  capital respiratoire

• Prévenir les complications

• Eviter les récidives


                                   Dr innocent kashongwe, DES pneumologie, janvier 2011, Dakar
V.TRAITEMENT

5.1.2.Moyens

5.1.2.1.MHD

5.1.2.2.Moyens médicamenteux

5.1.2.3. Moyens chirurgicaux

                               Dr innocent kashongwe, DES pneumologie, janvier 2011, Dakar
V.TRAITEMENT

5.1.2.Moyens
5.1.2.1.MHD
• Repos strict
• Alimentations hypercalorique et protidique
• Apport hydroélectrolytique suffisant




                                  Dr innocent kashongwe, DES pneumologie, janvier 2011, Dakar
V.TRAITEMENT

5.1.2.Moyens
5.1.2.2.Moyens médicamenteux
  Antihelmintiques

 Antibiotiques

 hémostatique

                               Dr innocent kashongwe, DES pneumologie, janvier 2011, Dakar
V.TRAITEMENT

Antihelmintiques de la famille des
benzimidazolés
 – Albendazole, traitement adjuvant à la Chir
    • Mode d’action : inhibition de la captation
      du glucose par le parasite
    • Métabolite actif: sulfoxyde d’albendazole
      qui tue les protoscolex


                                  Dr innocent kashongwe, DES pneumologie, janvier 2011, Dakar
TRAITEMENT
  Moyens médicamenteux Antihelmintiques

• Effets secondaires
- Digestifs : nausées, vomissements, diarrhée,
  douleurs abdominales, élévation des
  transaminases
- Cutanés : rash, prurit, alopécie
- Neurologiques : céphalées, convulsions
- Hématologiques : leuconeutropénie


                                  Dr innocent kashongwe, DES pneumologie, janvier 2011, Dakar
V.TRAITEMENT
  Moyens médicamenteux Antihelmintiques

• Posologie :
- 10 à 20 mg/kg en 4 cures de 30 jours séparées
  de fenêtre thérapeutique de 15 jours
- Durée du traitement : 6 mois environ mais
  non consensuelle
• Autres:
  Mébendazole,thiabendazole,oxfendazole …
• Mais décevant

                                  Dr innocent kashongwe, DES pneumologie, janvier 2011, Dakar
V. TRAITEMENT
           Moyens médicamenteux

  Antibiotiques : actif sur les germes
  pneumotropes(B-lactamine, macrolide et
  apparenté,Quinolone…)

  hémostatique :
- Dycinone cp 500 mg
- Exacyl(acide tranexamique) ampoule inj.


                                 Dr innocent kashongwe, DES pneumologie, janvier 2011, Dakar
V. TRAITEMENT

5.1.2.3.Moyens chirurgicaux
• ttt KHP = Radical
 Chirurgie conservatrice : ablation du KH

Avantages : préservation de la fonction
 respiratoire
Inconvénients :Chirurgie hémorragique
                Problème de cavité résiduelle
Risque important de fistule broncho-pleurale
                                  Dr innocent kashongwe, DES pneumologie, janvier 2011, Dakar
TRAITEMENT
            Moyens chirurgicaux

• Pneumotomie et énucléation du kyste ou
  technique de Úgon ou accouchement
  hydatique

• Kystectomie ou technique de Barrett
• Périkystectomie

• Traitement de la cavité résiduelle

                                  Dr innocent kashongwe, DES pneumologie, janvier 2011, Dakar
TRAITEMENT
    Incision prudenteMoyens chirurgicaux
                     au bistouri froid entre périkyste et
membrane hydatique puis pratique d’insufflations manuelles
   itératives réalisées par l’anesthésiste entraînant une
     • Pneumotomie et énucléation du kyste ou
               expulsion progressive du kyste
       technique de Úgon ou accouchement
ponction complète du kyste à son point culminant en évitant
       hydatique
 l’extravasation du liquide puis agrandissement de l’incision
     et extraction de la membrane par une pince et enfin
              résection de la totalité de la cavité
    • Kystectomie ou technique de Barrett
    • Périkystectomie
  ablation du kyste et du tissu pulmonaire résiduel


     • Traitement de la cavité résiduelle

                                                 Dr innocent kashongwe, DES pneumologie, janvier 2011, Dakar
V. TRAITEMENT
            5.2.3.Moyens chirurgicaux


 Chirurgie non conservatrice :
Avantages : moindre fréquence des fistules
Inconvénient :
  Amputation fx pulmonaire pr une pathologie
  bénigne pouvant récidiver
  – Exérèse pulmonaire typique (segmentectomie,
    lobectomie voire pneumectomie)
  – Exérèse pulmonaire atypique

                                    Dr innocent kashongwe, DES pneumologie, janvier 2011, Dakar
V.TRAITEMENT
5.3.Indications
5.3.1.Moyens médicamenteux
  Antihelmintiques
• sont indiqués dans l’encadrement
 de l’acte chirurgical.

• Ils sont également indiqués en cas de :
- malade inopérable,
- patient refusant la chirurgie ou de KHP avec
  HTAP.
                                   Dr innocent kashongwe, DES pneumologie, janvier 2011, Dakar
V. TRAITEMENT
            Moyens médicamenteux

 Antibiotiques indiqués en cas de surinfection.
Elle sera d’abord probabiliste puis adaptée à la
 sensibilité du germe isolé par l’ECBC.



  Le traitement hémostatique est indiqué en
  cas d’hémoptysie.


                                   Dr innocent kashongwe, DES pneumologie, janvier 2011, Dakar
V. TRAITEMENT
        5.3.Indications Chirurgie

• TTT Chr dpd du nombre, de la topographie et
  de la taille du/des KHP.

• La chirurgie du KHP , Anesthésie générale avec
  intubation sélective , protection du champ
  opératoire par ces compresses imbibées d’un
  produit scolicide(SG hypertonique).

                                    Dr innocent kashongwe, DES pneumologie, janvier 2011, Dakar
V. TRAITEMENT

        –Kyste unique non compliqué
• KHP périphérique de moins de 3 cm :
  énucléation ou résection atypique

• KHP périphérique plein de plus de 3 cm :
  kystectomie et périkystectomie

• KHP central non fistulisé : segmentectomie ou
  lobectomie

                                  Dr innocent kashongwe, DES pneumologie, janvier 2011, Dakar
V. TRAITEMENT


        –Kyste compliqué
• KHP rompu ou surinfecté : périkystectomie

• KHP fistulisé dans une bronche :
  pneumotomie, kystectomie et réparation de la
  fistule

• résection typique ou atypique

                                  Dr innocent kashongwe, DES pneumologie, janvier 2011, Dakar
–Kystes multiples
• Unilatéraux
Enucléation ou périkystectomie si les KH ne
  sont pas dans le même lobe

Lobectomie si plusieurs KH dans le même lobe

Pneumectomies exceptionnelles si le poumon
 est entièrement détruit
                                 Dr innocent kashongwe, DES pneumologie, janvier 2011, Dakar
• Bilatéraux :
Mêmes principes que pour les kystes
  unilatéraux

en 1 seul temps opératoire ou en 2 temps
 séparés de 4 semaines au moins



                                Dr innocent kashongwe, DES pneumologie, janvier 2011, Dakar
V. TRAITEMENT


• kystes hydatiques avec atteinte pleurale:
Décortication avec exérèse limitée

Pleurectomie pariétale

Pleuropneumectomie



                                  Dr innocent kashongwe, DES pneumologie, janvier 2011, Dakar
• Kystes hydatiques du poumon et du foie

Chirurgie du KHP suivi par Chirurgie du KHF
 par phrénotomie si possible

•   Embolies hydatiques pulmonaires
-   Traiter en 1er la source d’ensemencement
-   Les KHP ensuite
-   Parfois greffe bipulmonaire
                                   Dr innocent kashongwe, DES pneumologie, janvier 2011, Dakar
V. TRAITEMENT
      5.4.Surveillance
• Clinique SF,SG,SP
• Radiologique :
   – Ré-expansion pulmonaire progressive
   – Disparition progressive des cavités kystiques

• sérologique pour suivre la décroissance des
  anticorps et identifier une exèrese incomplète
  ou une réinfestation

                                   Dr innocent kashongwe, DES pneumologie, janvier 2011, Dakar
V. TRAITEMENT


Sérologie tous les 15 jours pendant 3 mois

 puis tous les 3 mois pendant 2 ans

 enfin tous le 6 à 12 mois

 Réapparition des Ac à distance Chirurgie ,
 envisager une réinfestation.
                               Dr innocent kashongwe, DES pneumologie, janvier 2011, Dakar
Cinétique des anticorps :
 - ascension des anticorps pendant les 2 à 3
  semaines
- suivie d’une décroissance progressive en 6
  mois environ
- négativation en moins de 2 ans sauf en cas
  d’hydatidose secondaire.


                               Dr innocent kashongwe, DES pneumologie, janvier 2011, Dakar
V. TRAITEMENT


     5.5.résultats
• Les résultats de la chirurgie sont bons

• mortalité inférieure à 1%

• morbidité de 3 à 10 % dominée par les
  fistules et les hémorragies
• TTT médical n’est que palliatif
                                    Dr innocent kashongwe, DES pneumologie, janvier 2011, Dakar
V. TRAITEMENT
     5.2.TRAITEMENT PREVENTIF
• Prévention

 Doit s’exercer à tous les niveaux de la chaîne
 épidémiologique




                                   Dr innocent kashongwe, DES pneumologie, janvier 2011, Dakar
Prévention
• Eviter infestation de HD( protéger les chiens)
 Contre l’ingestion de larve par:
- Sacrifice précoce des ovins avant que KH soit
  fertile
- Éviction des chiens des abattoirs et abattage
  contrôlé
- Saisie et dénaturation des viandes porteuses
  de kystes

                                   Dr innocent kashongwe, DES pneumologie, janvier 2011, Dakar
Prévention
 Contre le développement des adultes
  À partir des larves ingérés
  ESSAI DE VACCINATION EN COURS

 contre les vers adultes:
- Traitement antiparasitaire des chiens domestiques
   Taenifuges (bromhydrate d’aérocoline)
- Collection et dénaturation des fécès émises

                                    Dr innocent kashongwe, DES pneumologie, janvier 2011, Dakar
V. TRAITEMENT


• Préventif
  Doit s’exercer à tout les niveau de la chaîne
  épidémiologique




                                    Dr innocent kashongwe, DES pneumologie, janvier 2011, Dakar
Prévention
• Protéger l’HI naturel:
- Elevage sur parc à clôtures ne nécessitant pas
  de chiens de berger
- Recensement obligatoire des chiens
- Captures et sacrifice des chiens errants

ESSAIS D’IMMUNISATION = RECHERCHE

                                   Dr innocent kashongwe, DES pneumologie, janvier 2011, Dakar
V. TRAITEMENT


• Préventif
                                 Eviter la
  Doit s’exercer à tout les niveau de la chaîne
                                 contamination HA
  épidémiologique




                                   Dr innocent kashongwe, DES pneumologie, janvier 2011, Dakar
Prévention
• Eviter la contamination de l’homme
Mesures individuelles d’hygiène
- Éviter la promiscuité avec les chiens
- Lavage soigneux des mains,des fruits, et
  légumes avant toute consommation
- Test sérologiques chez les sujets à risque

Information et éducation sanitaire des
 populations exposées
                                    Dr innocent kashongwe, DES pneumologie, janvier 2011, Dakar
Kyste hydatique du poumon




             conclusion
                  Dr innocent kashongwe, DES pneumologie, janvier 2011, Dakar
VI. CONCLUSION




            Dr innocent kashongwe, DES pneumologie, janvier 2011, Dakar
VI. CONCLUSION
Asymptomatique le plus souvent, découverte
radiologique fortuite

Complications , vomique , pronostic fonctionnel
parfois vital engagé

Traitement surtout chirurgical

Accent à mettre sur la prévention, rompre la
chaîne de transmission
                                  Dr innocent kashongwe, DES pneumologie, janvier 2011, Dakar
MERCI POUR VOTRE ATTENTION
                  Dr innocent kashongwe, DES pneumologie, janvier 2011, Dakar

Le kyste hydatique du poumon

  • 1.
    Dr innocent kashongweM. DES pneumologie,chnu Fann Dakar, janvier 2011
  • 2.
    PLAN I. INDRODUCTION 1.1.Définition 1.2. Intérêt II. ETHIOPATHOGENIE 2.1. Epidémiologie, morphologie, écologie 2.2. Cycle parasitaire 2.3. Physiopathologie Dr innocent kashongwe, DES pneumologie, janvier 2011, Dakar
  • 3.
    III. DIAGNOSTIC POSITIF 3.1.Circonstances de découverte 3.2. Eléments du diagnostic 3.3. Evolution - pronostic IV. DIAGNOSTIC DIFFERENTIEL V. TRAITEMENT VI.CONCLUSION Dr innocent kashongwe, DES pneumologie, janvier 2011, Dakar
  • 4.
    I. INTRODUCTION 1.1.Définition • C’estune collection liquidienne habituellement « eau de roche » au sein du parenchyme pulmonaire humain résultant de l’infestation aux stades larvaires du parasite Echinococcus granulosus infestant habituellement les animaux carnivores et herbivores. • la localisation pulmonaire humaine = impasse parasitaire • Echinococcose cystique, uniloculaire, hydatidose Dr innocent kashongwe, DES pneumologie, janvier 2011, Dakar
  • 5.
    1.2.intérêt: • Affection cosmopolitesévissant surtout dans les régions d’élévage des ovins,bovins où les troupeaux sont gardés par les chiens. • Parasitose liée au pastoralisme avec un impact économique important d’où son double intérêt vétérinaire et médical Dr innocent kashongwe, DES pneumologie, janvier 2011, Dakar
  • 6.
    • Homme hôteintermédiaire accidentel, impasse parasitaire • Poumon, 2ème localisations E.g. après le foie possibilité d’une atteinte multiviscérale • Souvent asymptomatique ,de découverte radiologique fortuite Dr innocent kashongwe, DES pneumologie, janvier 2011, Dakar
  • 7.
    • Complications ,mode de révélations non négligeable , pronostic fonctionnel /vital engagé • Traitement chirurgical avant tout • Traitement médical décevant, d’où intérêt de prévention Dr innocent kashongwe, DES pneumologie, janvier 2011, Dakar
  • 8.
    • Prévention ,possible par contrôle vétérinaire du cycle domestique du parasite à travers de programmes de santé animale coordonnés • Difficulté du contrôle de l’hydatidose en raison de grande latence clinique Dr innocent kashongwe, DES pneumologie, janvier 2011, Dakar
  • 9.
    II. ETHIOPATHOGENIE 2.1.Epidémiologie, morphologie,écologie 2.2. Cycle parasitaire 2.3. physiopathologie Dr innocent kashongwe, DES pneumologie, janvier 2011, Dakar
  • 10.
    Les zones lesplus touchées sont : Endémie forte Endémie moyenne Endémie faible
  • 11.
    2.1.Épidémiologie et distribution •Les facteurs de distribution KH sont : - Elevage intensif d’ovins ou de bovins dans les pays où le bétail est gardé par les chiens - Infestation massive des chiens par la consommation de cadavres d’animaux contaminés(viscères hydatifères) Dr innocent kashongwe, DES pneumologie, janvier 2011, Dakar
  • 12.
    - Contact étroitentre homme et animaux infestés ainsi qu’une hygiène précaire des mains - Habitudes culturelles: consommation directes de sang de bœuf ou mouton lors des cérémonies(kenya) Dr innocent kashongwe, DES pneumologie, janvier 2011, Dakar
  • 13.
    morphologie Agent causal: echinococcus granulosus Sub Phylum Class Genus – examples kingdom Nematodes Ascaris (roundworm) Metazoa Trichuris (whipworm) Round worms; appear round Ancylostoma (hookworm) in cross section, they have Necator (hookworm) body cavities, a straight Enterobius (pinworm or alimentary canal and an anus threadworm) Strongyloides Platyhelminthes Cestodes Tapeworms Flat worms; dorsoventrally Adult tapeworms are found in Taenia flattened, no body cavity the intestine of their host Diphyllobothrium and, if present, the They have a head (scolex) with Echinococcus g. Grnlosis alimentary canal is blind sucking organs, a segmented Hymenolopis ending body but no alimentary canal g. Équinus Each body segment is hermaphrodite g.borealis Trematodes Fasciolopsis (liver fluke) Non-segmented, usually leaf-shaped, Schistosoma (not leaf with two suckers but no distinct head shaped!) They have an alimentary canal and are usually hermaphrodite and leaf shaped Schistosomes are the exception. They are thread-like, and have separate sexes Dr innocent kashongwe, DES pneumologie, janvier 2011, Dakar
  • 14.
    • 3 espècesde l’ Echinococcus sont médicalement importants – Echinococcus granulosus – Echinococcus multilocularis – Echinococcus vogeli Dr innocent kashongwe, DES pneumologie, janvier 2011, Dakar
  • 15.
    Morphologie echinococcus granulosus •3 formes: - Adulte qui vit fixé entre les villosités de l’intestin grêle de l’HD - Œuf (embryophore)qui contient un embryon exacanthe(30 à 40 um) - Larve ou kyste hydatique Dr innocent kashongwe, DES pneumologie, janvier 2011, Dakar
  • 16.
    Ecologie du parasite •longévité forme adulte: 6 à 10 mois en milieu extérieur 24 mois environ dans la paroi intestinale du chien. Dr innocent kashongwe, DES pneumologie, janvier 2011, Dakar
  • 17.
    Ecologie du parasite •longévité des embryophores : 18 mois au moins sur le sol entre +25°C et – 25°C beaucoup moins dans l’eau par privation d’O2 11 jours à la surface des sols secs. Dr innocent kashongwe, DES pneumologie, janvier 2011, Dakar
  • 18.
    Ecologie du parasite •La longévité des scolex : - Quelques heures à quelques jours dans le milieu extérieur. Dr innocent kashongwe, DES pneumologie, janvier 2011, Dakar
  • 19.
    • kyste Hydatique: - Se developpe à partir de l’embryon exacanthe - De l’extérieur vers l’intérieur 1) l’adventice 2) Membrane anhiste 3) Membrane proligère ou germinative Dr innocent kashongwe, DES pneumologie, janvier 2011, Dakar
  • 20.
    Dr innocent kashongwe,DES pneumologie, janvier 2011, Dakar
  • 21.
    Dr innocent kashongwe,DES pneumologie, janvier 2011, Dakar
  • 22.
    Dr innocent kashongwe,DES pneumologie, janvier 2011, Dakar
  • 23.
    Membrane proligère fertiliquidehydatique Par bourgeonnement donne des vésicules ou capsule proligère qui élaborent les protoscolex Contient le liquide hydatique Dr innocent kashongwe, DES pneumologie, janvier 2011, Dakar
  • 24.
    • Le liquidehydatique est constitué à la fois de : - Produits de l’hôte dialysés à travers la cuticule externe - Produits de métabolisme du parasite, grande valeur antigénique • Il est normalement limpide, eau de roche Dr innocent kashongwe, DES pneumologie, janvier 2011, Dakar
  • 25.
    II. ETHIOPATHOGENIE 2.1.Epidémiologie ,morphologie, écologie 2.2. Cycle parasitaire - Chez l’animal - Chez l’homme 2.3. physiopathologie Dr innocent kashongwe, DES pneumologie, janvier 2011, Dakar
  • 26.
    2.4.Cycle parasitaire Dr innocent kashongwe, DES pneumologie, janvier 2011, Dakar
  • 27.
    2.4.Cycle parasitaire Dr innocent kashongwe, DES pneumologie, janvier 2011, Dakar
  • 28.
    • Homme =un hôte intermédiaire accidentel • s’infecte en hébergeant la forme larvaire • La contamination humaine survient par voie digestive Dr innocent kashongwe, DES pneumologie, janvier 2011, Dakar
  • 29.
    - Directement parcontact avec un chien parasité, pelage Œufs E. granulosus +++ - Indirectement par ingestion de l’eau de boisson ou de crudités mal lavées souillées par les œufs du parasite. Dr innocent kashongwe, DES pneumologie, janvier 2011, Dakar
  • 30.
    • Ds 50à 70 % des cas, dvpt ds le foie •Ds 30 à 40 % des cas = le poumon. Dr innocent kashongwe, DES pneumologie, janvier 2011, Dakar
  • 31.
    • Une contaminationpulmonaire est cependant possible par 2 autres voies : - Echinoccocose secondaire - Dissémination hématogène après effraction vasculaire Dr innocent kashongwe, DES pneumologie, janvier 2011, Dakar
  • 32.
    II. ETHIOPATHOGENIE 2.1.Epidémiologie ,morphologie, écologie 2.2. Cycle parasitaire 2.3. Physiopathologie Dr innocent kashongwe, DES pneumologie, janvier 2011, Dakar
  • 33.
    2.3.Physiopathologie du kystehydatique • KHP survient soit: - 1er : contamination digestive – voie sanguine, shunt portocave, canal thoracique - Poumon - 2nd à la rupture d’un KHF ds le poumon - Ensemencement par voie endobronchique d’un KH fertile rompu = RARE Dr innocent kashongwe, DES pneumologie, janvier 2011, Dakar
  • 34.
    2.3.Physiopathologie du kystehydatique • KHP unique ds la majorité des cas • lobe inférieur droit parfois bilatéral Dr innocent kashongwe, DES pneumologie, janvier 2011, Dakar
  • 35.
    2.3.Physiopathologie du kystehydatique • Développement KH en contact d’une bronche: - compression, atélectasies - Fissuration bronchique par érosion de la paroi - Rupture ds la bronche(spontanément ou traumatisme) ds la plèvre, ds un grand tronc veineux ou ds le péricarde Dr innocent kashongwe, DES pneumologie, janvier 2011, Dakar
  • 36.
    2.3.Physiopathologie du kystehydatique • Conséquence de la fissuration: - Sur le parenchyme pulmonaire : Remaniements inflammatoires importants, bronchique et alvéolaires,  Aboutissant à des bronchéctasies et à une fibrose pulmonaire extensive Dr innocent kashongwe, DES pneumologie, janvier 2011, Dakar
  • 37.
    2.3.Physiopathologie du kystehydatique • Conséquence de la fissuration: - sur l’hydatide : des désordres ventilatoire ,  KH collabé, flétrie ,se décolle de l’adventice, flotte dans la cavité Infection KH, ce qui conduit à la rupture. Dr innocent kashongwe, DES pneumologie, janvier 2011, Dakar
  • 38.
    • Rupture, éventualitéla plus fréquente - Survenue d’une vomique , - Etat de choc anaphylactique par libération de protéines parasitaires - Séquestration d’un fragment de membrane hydatique ds la cavité kystique, ds la bronche, Dr innocent kashongwe, DES pneumologie, janvier 2011, Dakar
  • 39.
    2.3.Physiopathologie du kystehydatique • Séquestration source de complications bronchopulmonaire sévères: - pneumonie - emphysème - atélectasie - bronchectasie - suppurations bronchopulmonaires chronique. Dr innocent kashongwe, DES pneumologie, janvier 2011, Dakar
  • 40.
    2.3.Physiopathologie du kystehydatique • Dissémination ,possible, de la rupture vers le parenchyme restant ou d’autres organe • Rupture ds une cavité( pleurale, péricardique) en cas KH corticaux, très rare mais possible Dr innocent kashongwe, DES pneumologie, janvier 2011, Dakar
  • 41.
    2.3.Physiopathologie du kystehydatique Dr innocent kashongwe, DES pneumologie, janvier 2011, Dakar
  • 42.
    Relation avec l’hôte- Réaction de l’hôte • E. granulosis dispose de moyens divers pour échapper au système immunitaire de l’hôte • Expliquant la durée longue de l’infestation pouvant aller jusqu’à 30 ans chez l’homme Dr innocent kashongwe, DES pneumologie, janvier 2011, Dakar
  • 43.
    Relation avec l’hôte- Réaction de l’hôte Lors de l’invasion de l’organisme par l’œuf infestant, avant la formation du kyste: - Activation de la voie alterne du complément pouvant conduire à la lyse du parasite. - Attraction de polynucléaires éosinophiles. Dr innocent kashongwe, DES pneumologie, janvier 2011, Dakar
  • 45.
    Relation avec l’hôte- Réaction de l’hôte Lors de la formation du kyste, • le parasite expose une paroi externe riche en galactose et galactosamine qui inactivent le complément et le système immunitaire. • Deux systèmes principalement activés par produits biologiques contenant le mannose. Dr innocent kashongwe, DES pneumologie, janvier 2011, Dakar
  • 46.
    Relation avec l’hôte- Réaction de l’hôte • Un 2ème moyen d’échappement = antigène B de E granulosus. - lipoprotéine polymérique de 120 kD, plrs sous unités de 8 kD , - fonctions immunomodulatrices. Dr innocent kashongwe, DES pneumologie, janvier 2011, Dakar
  • 47.
    Relation avec l’hôte- Réaction de l’hôte • Propriétés immunomodulatrices : - en inhibant le chimiotactisme des polynucléaires neutrophiles - En inhibant l’activité de l’élastase - et en déviant la réponse immunitaire vers un profil TH2 ou profil de tolérance. Dr innocent kashongwe, DES pneumologie, janvier 2011, Dakar
  • 48.
    Relation avec l’hôte- Réaction de l’hôte • Un dernier moyen purement mécanique: - assuré par le tissu fibreux , - 3ème membrane entourant les membranes germinale et anhiste externe. Dr innocent kashongwe, DES pneumologie, janvier 2011, Dakar
  • 49.
    Relation avec l’hôte- Réaction de l’hôte • L’adventice va assurer ds 1er temps la nutrition du KH par imbibition • 2nd rmt se transformer en coque fibreuse qui va compromettre sa trophicité Dr innocent kashongwe, DES pneumologie, janvier 2011, Dakar
  • 50.
    III.DIAGNOSTIC POSITIF Dr innocent kashongwe, DES pneumologie, janvier 2011, Dakar
  • 51.
    III.DIAGNOSTIC POSITIF 3.1.Circonstance dedécouverte 3.1.1. Phase KHP non Rompu : - Clinique pauvre(patient avec BEG, SF exceptionnel pendant la période de croissance du kyste, non spécifique) - Découverte fortuite radiologique, Dr innocent kashongwe, DES pneumologie, janvier 2011, Dakar
  • 52.
    III.DIAGNOSTIC POSITIF Dr innocent kashongwe, DES pneumologie, janvier 2011, Dakar
  • 53.
    III. DIAGNOSTIC POSITIF Circonstancesde découverte particulières: - KHP de l’enfant - KHP multiple - KHP associé à d’autres localisations Dr innocent kashongwe, DES pneumologie, janvier 2011, Dakar
  • 54.
    III.DIAGNOSTIC POSITIF 3.1. Circonstances de découverte  KHP de l’enfant • svt latent ,volumineux et qlq fois multiple se manifestant par : - une dyspnée d’effort ou un asthme - une détresse respiratoire - une bronchopneumonie fébrile Dr innocent kashongwe, DES pneumologie, janvier 2011, Dakar
  • 55.
     KHP del’enfant (suite) • un infantilisme hydatique : - anémie - retard de croissance - retard pubertaire complètement régressif à l’ablation du /des kystes • KHP plus fréquent KHF Dr innocent kashongwe, DES pneumologie, janvier 2011, Dakar
  • 56.
    III. DIAGNOSTIC POSITIF 3.1.Circonstancesde découverte particulière - KHP de l’enfant - KHP multiple - KHP associé à d’autres localisations Dr innocent kashongwe, DES pneumologie, janvier 2011, Dakar
  • 57.
    III.DIAGNOSTIC POSITIF 3.1. Circonstances de découverte KHP multiple • Primitif ou secondaire à la rupture d’un KHF dans la VCI suivi d’une dissémination au poumon • AEG avec aspect de lâcher de ballons • Autres localisations viscérales fréquentes Dr innocent kashongwe, DES pneumologie, janvier 2011, Dakar
  • 58.
    3.1.Circonstance de découverte 3.1.2.Phase KHP Rompu : a) Fissuration(rupture incomplète) b) Rupture ds les bronches c) Rupture ds la cavité(pleurales,péricadique) d) Diffusion sanguine Dr innocent kashongwe, DES pneumologie, janvier 2011, Dakar
  • 59.
    3.1.Circonstance de découverte 3.1.2.Phase KHP ROMPU: a) Fissuration bronchique : • Survient pour des traumatismes minimes • se manifeste par une hémoptysie,+/- abondante, répétée et tenace. Dr innocent kashongwe, DES pneumologie, janvier 2011, Dakar
  • 60.
    3.1.Circonstance de découverte 3.1.2.Phase KHP ROMPU • Fissuration(suite) • s’accompagne parfois d’une recrudescence de la dyspnée et de la toux , expectoration banale ou mucopurulente. • EG du patient s’altère avec début de fièvre. Dr innocent kashongwe, DES pneumologie, janvier 2011, Dakar
  • 61.
    3.1.Circonstance de découverte 3.1.2.Phase KHP ROMPU: b) Rupture dans les bronches : • Spontanée ou provoquée par - un traumatisme parfois minime - une toux précédé des douleurs thoraciques angoissantes • parfois précédée par un état subfébrile et des hémoptysies répétées. Dr innocent kashongwe, DES pneumologie, janvier 2011, Dakar
  • 62.
    3.1.Circonstance de découverte 3.1.2. Phase KHP ROMPU: • la rupture KH se caractérise par la vomique hydatique ou hydatidoptysie. • Caractérisée par: liquide « eau de roche » - Abondance variable,de modérée à impressionnante - évoluant en un seul accès aigu ou en plusieurs jours successifs - gène pour le malade. Dr innocent kashongwe, DES pneumologie, janvier 2011, Dakar
  • 63.
    3.1.Circonstance de découverte 3.1.2.Phase KHP ROMPU: • le patient secoué par une toux incessante ramenant par la bouche et les narines : - une importante quantité de liquide translucide - au goût salé ou poivré - des débris parasitaires comparés à des « peaux de raisin sucés » ou à des fragments d’oignons. Dr innocent kashongwe, DES pneumologie, janvier 2011, Dakar
  • 64.
    3.1.Circonstance de découverte 3.1.2.Phase KHP ROMPU: • En cas de rupture de kyste surinfecté: - Vomique purulente - ou pyohémorragique. Dr innocent kashongwe, DES pneumologie, janvier 2011, Dakar
  • 65.
    3.1.Circonstance de découverte 3.1.2.Phase KHP ROMPU: • Choc anaphylactique ,complication majeure de la rupture KH • + Risque d’asphyxie • Prise en charge adaptée immédiate. Dr innocent kashongwe, DES pneumologie, janvier 2011, Dakar
  • 66.
    3.1.Circonstance de découverte 3.1.2.Phase KHP ROMPU: • RX thorax ds les suites immédiates montre: - des opacités pulmonaires multiples diffuses et bilatérales en réaction à la libération des toxines parasitaires - persistantes pendant quelques jours traduisant un syndrome de Löeffler. Dr innocent kashongwe, DES pneumologie, janvier 2011, Dakar
  • 67.
    3.1.Circonstance de découverte 3.1.2.Phase KHP ROMPU: c) Rupture dans la plèvre ou hydatidothorax : • Rare , peut s’installer à bas bruit • Tableau dramatique avec douleur, dyspnée et cyanose aggravées par un choc anaphylactique. • aspect « eau de roche « parfois teinté de bile en cas de KHF rompu dans la plèvre. Dr innocent kashongwe, DES pneumologie, janvier 2011, Dakar
  • 68.
    3.1.Circonstance de découverte 3.1.2.Phase KHP ROMPU: d) Rupture dans le péricarde • exceptionnelle • donnant un tableau de tamponnade Dr innocent kashongwe, DES pneumologie, janvier 2011, Dakar
  • 69.
    3.1.Circonstance de découverte 3.1.2.Phase KHP ROMPU: e) Diffusion sanguine: • par effraction vasculaire et migration par voie sanguine • donnant des emboles à localisation multiviscérale : - poumon (localisations multiples) - Autres viscères (cerveau, rate, os, reins, thymus, thyroïde …) Dr innocent kashongwe, DES pneumologie, janvier 2011, Dakar
  • 70.
    III.DIAGNOSTIC POSITIF 3.1. Circonstancesde découverte (suite) • Des signes extra respiratoires peuvent être rencontrés : - des épisodes de dyspnée asthmatiforme - une urticaire récidivante voire chronique - des épisodes d’œdème de Quincke Dr innocent kashongwe, DES pneumologie, janvier 2011, Dakar
  • 71.
    III.DIAGNOSTIC POSITIF 3.2.Eléments dudiagnostic 3.2.1.Clinique: L’interrogatoire, capitale ,recherche en outre : • une notion de séjour en pays d’endémicité de l‘hydatidose • une notion de vie dans des régions d’élevage d’ovins et de bovins ou caprins gardés par les chiens Dr innocent kashongwe, DES pneumologie, janvier 2011, Dakar
  • 72.
    III.DIAGNOSTIC POSITIF • laprofession : bergers, bouchers, vétérinaires • l’existence ou non de chiens domestiques 4 Eléments précise notion de contage hydatique • les habitudes comportementales : ingestion d’aliments crus, hygiène des mains Dr innocent kashongwe, DES pneumologie, janvier 2011, Dakar
  • 73.
    III.DIAGNOSTIC POSITIF  Examenclinique  SF peuvent être à type de: • Douleur thoracique: - le plus souvent basithoracique droite, - d’installation progressive, - à type de pesanteur, sourde et peu intense, - sans irradiation et sans facteurs modifiants (ni calmants ni aggravants). Dr innocent kashongwe, DES pneumologie, janvier 2011, Dakar
  • 74.
    III.DIAGNOSTIC POSITIF • Touxsèche, quinteuse parfois productive ramenant une expectoration banale et sans caractères modifiants • Dyspnée à type de polypnée superficielle, sans orthopnée d’aggravation progressive par augmentation de volume du kyste Dr innocent kashongwe, DES pneumologie, janvier 2011, Dakar
  • 75.
    • Examen cliniquedépend de la phase du KHP, et de son volume - Non Rompu: BEG, examen normal+ svt - Rompu: EGA, clinique+++ Dr innocent kashongwe, DES pneumologie, janvier 2011, Dakar
  • 76.
    III.DIAGNOSTIC POSITIF  KHPpetite taille: Examen normal  KHPde grande taille on peut noter : • = Sd épanchement liquidien A NE JAMAIS PONCTIONNER , toujours faire une radiographie du thorax(si doute) pr confirmer la localisation pleurale ou pulmonaire Dr innocent kashongwe, DES pneumologie, janvier 2011, Dakar
  • 77.
    III.DIAGNOSTIC POSITIF • Lereste de l’examen cherchera l’atteinte d’autres organes : - foie - rate - cerveau …  Examen paraclinique(biologie, imagerie, anapath…) Dr innocent kashongwe, DES pneumologie, janvier 2011, Dakar
  • 78.
    III.DIAGNOSTIC POSITIF 3.2.2.Examens paracliniques A. Imagerie thoracique a.1. Rx Thorax standard F/P a.2. TDM thoracique a.3. Echographie thoracique B. Biologie a.4. Scopie C. Anatomopathologie Dr innocent kashongwe, DES pneumologie, janvier 2011, Dakar
  • 79.
    III.DIAGNOSTIC POSITIF 3.2.2.Examens paracliniques A. Imagerie thoracique : a.1. Rx Thorax standard F/P • Circonstance de découverte fréquente, meilleur moyen de dépistage • Variable suivant le stade KH, 6 stades ( I = KHP non rompu : boulet de canon,opacités multiples II à VI = KHP rompu : pneumokyste, nenuphar, bulles DDB,coquille d’œuf…) Dr innocent kashongwe, DES pneumologie, janvier 2011, Dakar
  • 80.
    3.2.2.Examens paracliniques imagerie thoracique a.2. Tomodensitométrie thoracique • Pas indispensable au diagnostic de kyste hydatique du poumon • Utile dans le bilan lésionnel pré opératoire. • Analyse paroi du kyste, topographie, rapports avec bronches et structures vasculaires. Dr innocent kashongwe, DES pneumologie, janvier 2011, Dakar
  • 81.
    STADE EVOLUTIF DUkhp • Stade I : KH non rompu ( ds 50 à 70%) , asymptomatique Opacité homogène ronde ,ovalaire de tonalité hydrique A contours nets comme tracé au compas En boule de canon , ou parfois bilobée en brioche,réniforme, polycyclique variable avec le diamètre (hémithorax opaque avec culs de sac costodiaphrarmatique libre) Opacités multiples,parfois lachée de ballon Dr innocent kashongwe, DES pneumologie, janvier 2011, Dakar
  • 86.
    • Stade II, retrouvé ds 11,2% des cas, Fissuration, hémoptysie, : Ménisque gazeux situé au pole supérieur de l’opacité entre la paroi externe du kyste et la paroi interne du périkyste. Image de pneumokyste Évolution: surinfection espace périkystique
  • 87.
    • Stade III,rupture, vomique: Cavité aérique à paroi épaissie avec une bronche de drainage Rarement observé radiologiquement Dr innocent kashongwe, DES pneumologie, janvier 2011, Dakar
  • 88.
    • Stade IV: •images hydroaériques d’aspect variable - Nénuphar +++ ( ds 10% rupture) Aspect de membrane flottante surnageant la surface ou immergée dans le liquide - Opacités avec image de niveau hydroaérique rectiligne - Image en double arc d’Ivassinevitch, réalisée par la superposition de deux épanchements gazeux l’un intra-kystique et l’autre intra-adventiciel séparés par la membrane flétrie de l’hydatidose Dr innocent kashongwe, DES pneumologie, janvier 2011, Dakar
  • 91.
    • Stade IV: •images hydroaériques d’aspect variable - Nénuphar +++ ( ds 10% rupture) Aspect de membrane flottante surnageant la surface ou immergée dans le liquide - Opacités avec image de niveau hydroaérique rectiligne - Image en double arc d’Ivassinevitch, réalisée par la superposition de deux épanchements gazeux l’un intra-kystique et l’autre intra-adventiciel séparés par la membrane flétrie de l’hydatidose Dr innocent kashongwe, DES pneumologie, janvier 2011, Dakar
  • 92.
    • Stade V:stade séquellaire • Aspect radiologique variable selon le degré de l’évacuation du kyste: - Image d’incarcération des membranes . - Image de membrane pelotonnée - Image en cocarde , en grelot Dr innocent kashongwe, DES pneumologie, janvier 2011, Dakar
  • 94.
    Evolution du kystechez l’hôte • Stade VI:Calcification : - dépôts calcaires sur adventice , signes radiologiques caractéristiques»image en coquille d’œuf » - La calcification ne traduit pas la dégénérescence du kyste. - Exceptionnelle au niveau des poumons Dr innocent kashongwe, DES pneumologie, janvier 2011, Dakar
  • 96.
    3.2.2.Examens paracliniques imagerie thoracique a.3.La scopie  désuet • montrait un étirement de l’opacité lors des mvmts respiratoires réalisant le signe de Nemenoff • mieux visualisé sur un écran de télévision avec amplificateur de brillance. Dr innocent kashongwe, DES pneumologie, janvier 2011, Dakar
  • 97.
    3.2.2.Examens paracliniques imagerie thoracique a.4. Echographie thoracique • Elle est utile dans les kystes superficiels. • Confirme la nature liquidienne de l’opacité Rx Dr innocent kashongwe, DES pneumologie, janvier 2011, Dakar
  • 98.
    KH à localisationhépatique et KHP fissuré aspect serpigineux de pulmonaire la membrane proligère Dr innocent kashongwe, DES pneumologie, janvier 2011, Dakar
  • 99.
    III. DIAGNOSTIC POSITIF L’existence d’un KHP doit impérativement faire rechercher d’autres localisations, bilan préthérapeutique - KHP associé à d’autres localisations  Hépatique  Cardiaque  Cérébrale  Rénale Osseuse…. Dr innocent kashongwe, DES pneumologie, janvier 2011, Dakar
  • 100.
    III.DIAGNOSTIC POSITIF localisations hépatiques •Le foie 1ère localisation du KH. • KHF doit faire rechercher d’autres localisations viscérales dont pulmonaire • Vice versa pr KHP dans le cadre du bilan pré- thérapeutique. Dr innocent kashongwe, DES pneumologie, janvier 2011, Dakar
  • 101.
    III.DIAGNOSTIC POSITIF • LeKHF , découvert surtout lors de ses complications : - Ictère rétentionnel par compression des voies biliaires - HTP par compression du système porte - Abcès du foie par surinfection Dr innocent kashongwe, DES pneumologie, janvier 2011, Dakar
  • 102.
    III.DIAGNOSTIC POSITIF - Syndromede Budd Chiari par compression des veines sus hépatiques - Angiocholite par fissuration et ouverture dans les voies biliaires - Péritonite par rupture spontanée dans le péritoine lors d’un traumatisme Dr innocent kashongwe, DES pneumologie, janvier 2011, Dakar
  • 103.
    III.DIAGNOSTIC POSITIF • Cliniquement,: •hépatomégalie indolore, de SA lisse et à bord inf régulier sans RHJ ni signe de Murphy ni douleur à l’ébranlement • ASP : coupole diaphragmatique bosselé (en dos de dromadaire) ou pluribosselé (en dos de chameau) Dr innocent kashongwe, DES pneumologie, janvier 2011, Dakar
  • 104.
    III.DIAGNOSTIC POSITIF • Echographie: aspect et vitalité du KHF • TDM confirme la nature kystique de l’opacité • les examens immunologiques , hydatidose. Dr innocent kashongwe, DES pneumologie, janvier 2011, Dakar
  • 105.
    La classification échographiquedes KHF codifiée par l’OMS (6stades). Dr innocent kashongwe, DES pneumologie, janvier 2011, Dakar
  • 106.
    III.DIAGNOSTIC POSITIF • FOIE: Dr innocent kashongwe, DES pneumologie, janvier 2011, Dakar
  • 107.
    III.DIAGNOSTIC POSITIF • Autreslocalisations • Cerveau : tableau d’HTIC, déficit moteur central ou épilepsie Dr innocent kashongwe, DES pneumologie, janvier 2011, Dakar
  • 108.
    III.DIAGNOSTIC POSITIF • Autreslocalisations • Cœur : Dr innocent kashongwe, DES pneumologie, janvier 2011, Dakar
  • 109.
    III.DIAGNOSTIC POSITIF • Autreslocalisations • Os : douleurs osseuses, tuméfactions osseuses, # pathologiques Rx images de géodes • Rate : KHR souvent bien toléré de découverte lors du bilan pré-thérapeutique • Œil, rein, thyroïde, thymus …etc Dr innocent kashongwe, DES pneumologie, janvier 2011, Dakar
  • 110.
    III.DIAGNOSTIC POSITIF 3.2.2.Examens paracliniques A. Imagerie thoracique b.1. Méthodes indirectes: NFS, IDR casoni, B. Biologie sérologie b.2. Méthodes directes C. Anatomopathologie Dr innocent kashongwe, DES pneumologie, janvier 2011, Dakar
  • 111.
    III. DIAGNOSTIC POSITIF 3.2.2.Examensparacliniques B. Biologie b.1. Méthodes indirectes b.1.1. Méthodes non spécifiques NFS: Hyperéosinophilie : intérêt limité car inconstant (apparaissant avant la formation du kyste) et non spécifique (surtout dans nos pays d’endémie parasitaire) Dr innocent kashongwe, DES pneumologie, janvier 2011, Dakar
  • 112.
    3.2.2.Examens paracliniques b. Biologie– methode indirecte Intradermoréaction de casoni - Rarement utilisé de nos jours - Explorait l’hypersensibilité immédiate de type anaphylactique - Condition : utiliser des antigènes d’excellente qualité, purifié si possible Dr innocent kashongwe, DES pneumologie, janvier 2011, Dakar
  • 113.
    • A effectueraprès les prélèvement pour les sérologies, car peut fausser les résultats • Dose à injection Intradermique de 3microgramme ds 0,0025 à 0,05 ml de liquide hydatique • Abandonné (VIH,syphilis,hépatite… Dr innocent kashongwe, DES pneumologie, janvier 2011, Dakar
  • 114.
    • Réaction positiveaprès 15 min -si papule de 1à2 cm de diamètre au point d’injection • Positive ds 72,5% des cas Dr innocent kashongwe, DES pneumologie, janvier 2011, Dakar
  • 115.
    3.2.2.Examens paracliniques b. Biologie b.1.2.Méthodes spécifiques ou sérologiques Réaction de fixation du complément - Ag = le liquide hydatique - faible valeur diagnostique, négative en cas d’ablation du kyste hydatique. - intérêt , surveillance après ablation du kyste. Dr innocent kashongwe, DES pneumologie, janvier 2011, Dakar
  • 116.
    3.2.2.Examens paracliniques Méthodes spécifiques ou sérologiques Réaction de précipitation sur gélose ou d’Ouchterlony : (immunoelectrophorèse) • double diffusion sur plaque de gélose contenant 2 sources, celle de Ag et celle de Ac • le complexe Ag – Ac révélé sous forme d’arcs de précipitation. • l’arc n° 5 semble parfaitement spécifique pr poser à coup sûr le diagnostic. Dr innocent kashongwe, DES pneumologie, janvier 2011, Dakar
  • 117.
    3.2.2.Examens paracliniques Méthodes spécifiques ou sérologique immunofluorescence : • Utilise des coupes de congélation d’un fragment parasitaire. • La fluorescence spécifique ne se manifeste qu’au niveau des membranes anhistes ou germinatives. Dr innocent kashongwe, DES pneumologie, janvier 2011, Dakar
  • 118.
    3.2.2.Examens paracliniques Immunofluorescence • Si le sérum est immun, Ac se fixent sur Ag hydatique complexe fluorescent anti γ globuline. • lecture de la précipitation au microscope à ultraviolet. • La réaction + , vive fluorescence des fragments parasitaires • Méthode sensible et spécifique. Dr innocent kashongwe, DES pneumologie, janvier 2011, Dakar
  • 119.
    3.2.2.Examens paracliniques Méthodes spécifiques ou sérologique Réaction d’Hémagglutination : • Rapide et très utilisée • But: titre de 1/320 Electrosynérèse : • Même valeur que IE mais + rapide, +sensibl ES • Utilise un serum immun anti fraction 5 révélant l’arc 5,précise Ig impliquée. • Technique: ELIFA(enzymz linked immuno filtration Assay) Dr innocent kashongwe, DES pneumologie, janvier 2011, Dakar
  • 120.
    3.2.2.Examens paracliniques Méthodes spécifiques ou sérologiques Mise en évidence des antigènes B et 5 du liquide kystique: • posant des problèmes de sensibilité, de spécificité, de standardisation ainsi que les réactions croisées avec les autres Teanidées. • Elle est réservée à la recherche Dr innocent kashongwe, DES pneumologie, janvier 2011, Dakar
  • 121.
    3.2.2.Examens paracliniques Méthodes spécifiques ou sérologiques L’EpC1, Ag localisé dans la couche germinale et le protoscolex au début de son dvpmt • Protéine de 32 kD liant le calcium. • Antigène cloné à partir de banques de données de protoscolex utilisé pour le diagnostic de l’hydatidose. Dr innocent kashongwe, DES pneumologie, janvier 2011, Dakar
  • 122.
    3.2.2.Examens paracliniques Méthodes spécifiques ou sérologiques • EpC1 détecte Ac sériques anti echinoccoque du malade dans 92,2% contre 84,5% pour l’antigène B. • Il y a cependant des faux positifs - dans 4,5 % avec Echinoccocus multilocularis, - 9,3% avec la cysticercose contre 14% avec l’antigène B. Dr innocent kashongwe, DES pneumologie, janvier 2011, Dakar
  • 123.
    • La placede EpC1 n’est pas encore clairement établie dans le diagnostic de l’hydatidose. Dr innocent kashongwe, DES pneumologie, janvier 2011, Dakar
  • 124.
    3.2.2.Examens paracliniques b. Biologie b.2. Méthodes directes ou parasitologiques: • Mise en évidence du parasite ou de ses constituants : - dans la vomique, - le liquide de lavage broncho-alvéolaire - ou la pièce opératoire +++ • Ponction transthoracique PROSCRITE Dr innocent kashongwe, DES pneumologie, janvier 2011, Dakar
  • 125.
    3.2.2.Examens paracliniques b. Biologie b.3.En pratique Il est souhaitable d'utiliser : - une technique quantitative (IFI, ELISA, hémagglutination) et - une technique qualitative (recherche de l'arc 5 ou de l’antigène B) Dr innocent kashongwe, DES pneumologie, janvier 2011, Dakar
  • 126.
    III.DIAGNOSTIC POSITIF 3.2.2.Examens paracliniques A. Imagerie thoracique B. Biologie C. Anatomopathologie Dr innocent kashongwe, DES pneumologie, janvier 2011, Dakar
  • 127.
    3.1.2.Examens paracliniques c. anatomopathologie •Possible en cas d’analyse d’une pièce opératoire • Macroscopie: permet de voir l’hydatide entourée de son adventice • Microscopie: permet de visualiser les éléments constitutifs de l’hydatide Dr innocent kashongwe, DES pneumologie, janvier 2011, Dakar
  • 128.
    3.3.Evolution - Pronostic Plusieursmodalités évolutives KHP non rompu : 1) Augmentation de volume : - dpd de la vitalité de l’hydatide, - de la réaction de l’hôte - de la consistance de l’organe parasité. Responsable des troubles compressifs de l’hydatidose. Dr innocent kashongwe, DES pneumologie, janvier 2011, Dakar
  • 129.
    2)KHP peut évoluerégalement en se rompant - partielle: fissuration - Complète: rupture ds bronches, plèvre, péricarde Déjà décrit précédemment Dr innocent kashongwe, DES pneumologie, janvier 2011, Dakar
  • 130.
    Evolution du kystechez l’hôte 3)Echinococcose secondaire : Développement viscéral KH à partir de capsules proligères et de scolex sans passer par le stade de ténia adulte. 4) Calcification - La calcification ne traduit pas la dégénérescence du kyste. - Exceptionnelle au niveau des poumons Dr innocent kashongwe, DES pneumologie, janvier 2011, Dakar
  • 131.
    3.3.Evolution - Pronostic Lesfacteurs de mauvais pronostic de l’hydatidose sont : • la vitalité de l’hydatide • la présence de nombreux kystes • l’existence de localisations multiples • AEG ou une pathologie chronique associée Dr innocent kashongwe, DES pneumologie, janvier 2011, Dakar
  • 132.
    Dr innocent kashongwe,DES pneumologie, janvier 2011, Dakar
  • 133.
    IV.DIAGNOSTIC DIFFERENTIEL Devant un KHP non Rompu 1) une séquestration pulmonaire – en faveur : hémoptysie, bronchorrée et opacité arrondie intra-parenchymateuse – en défaveur : artériographie = opacité avec une vascularisation systémique à partir de l’aorte ou d’une de ses branches et un retour veineux par la veine pulmonaire Dr innocent kashongwe, DES pneumologie, janvier 2011, Dakar
  • 134.
    IV.DIAGNOSTIC DIFFERENTIEL Devant un KHP non Rompu 2) un tuberculome : – en faveur : tableau chronique de toux, hémoptysie parfois avec une opacité arrondie dense et homogène – en défaveur : EG relativement conservé, Absence de signes d’imprégnation TBCse, IDRT négative, bacilloscopie négative et étude anatomo-pathologique de la pièce opératoire Dr innocent kashongwe, DES pneumologie, janvier 2011, Dakar
  • 135.
    IV.DIAGNOSTIC DIFFERENTIEL Devant un KHP non Rompu 3) une pleurésie enkystée, surtout par rapport avec un KHP périphérique – en faveur : toux, douleur thoracique, syndrome d’épanchement liquidien de GCP et opacité arrondie para-pariétale – en défaveur : angle de raccordement de l’opacité à la paroi aigu et masse intra- parenchymateuse à la TDM Dr innocent kashongwe, DES pneumologie, janvier 2011, Dakar
  • 136.
    IV.DIAGNOSTIC DIFFERENTIEL Devant un KHP non Rompu 4) un cancer broncho-pulmonaire – en faveur : toux, douleur thoracique fixe et tenace, hémoptysie de petite abondance capricieuse et opacité parenchymateuse dense – en défaveur : conservation EG, Opacité liquidienne à contours réguliers. TDM avec reconstruction bronchique permet d’exclure la présence de tumeur bronchique Dr innocent kashongwe, DES pneumologie, janvier 2011, Dakar
  • 137.
    IV.DIAGNOSTIC DIFFERENTIEL Devant un KHP non Rompu 5) un kyste bronchogénique – en faveur : opacité bien limité, le plus souvent de découverte radiographique en dehors d’une surinfection (image hydro- aérique) – en défaveur : opacité ovalaire dense situé sur un trajet bronchique Dr innocent kashongwe, DES pneumologie, janvier 2011, Dakar
  • 138.
    IV.DIAGNOSTIC DIFFERENTIEL Devant un KHP non Rompu 6) un hamartome – en faveur : opacité circonscrite de qlqs cm – en défaveur :  Absence de calcifications en pop corn évocatrices de l’hamartome  Densité graisseuse.  Anatomie pathologique confirmant la nature de la lésion Dr innocent kashongwe, DES pneumologie, janvier 2011, Dakar
  • 139.
    IV.DIAGNOSTIC DIFFERENTIEL Devant un KHP non Rompu Devant des images multiples • Des métastases pulmonaires d’un cancer viscéral – en faveur : toux, tableau chronique, image en lâcher de ballons – en défaveur : conservation EG, absence de tumeur primitive (sein, rein, prostate…), et d’autres localisations métastatiques Dr innocent kashongwe, DES pneumologie, janvier 2011, Dakar
  • 140.
    IV.DIAGNOSTIC DIFFERENTIEL Devant un KHP Rompu Devant une rétention membranaire • Greffe aspergillaire – en faveur : toux, hémoptysie et image en grelot – en défaveur : absence d’antécédents de tuberculose pulmonaire, d’abcès du poumon et sérologie aspergillaire négative Dr innocent kashongwe, DES pneumologie, janvier 2011, Dakar
  • 141.
    IV.DIAGNOSTIC DIFFERENTIEL Devant un KHP Rompu Abcès du poumon – en faveur : toux, hémoptysie, vomique et image hydro-aérique – en défaveur : absence de signes infectieux, vomique non purulente et niveau liquide ondulé Dr innocent kashongwe, DES pneumologie, janvier 2011, Dakar
  • 142.
    IV.DIAGNOSTIC DIFFERENTIEL Devant un KHP Rompu Bulle ou cavité surinfecté – en faveur : toux productive, hémoptysie, et image hydro-aérique – en défaveur : si cavité parois épaisse, absence d’ATCD de tuberculose+/- Si bulle surinfecté diff très difficile Dr innocent kashongwe, DES pneumologie, janvier 2011, Dakar
  • 143.
    Dr innocent kashongwe,DES pneumologie, janvier 2011, Dakar
  • 144.
    V.TRAITEMENT 5.1. TRAITEMENT CURATIF 5.1.1. Buts • Extirper le kyste hydatique en préservant le capital respiratoire • Prévenir les complications • Eviter les récidives Dr innocent kashongwe, DES pneumologie, janvier 2011, Dakar
  • 145.
    V.TRAITEMENT 5.1.2.Moyens 5.1.2.1.MHD 5.1.2.2.Moyens médicamenteux 5.1.2.3. Moyenschirurgicaux Dr innocent kashongwe, DES pneumologie, janvier 2011, Dakar
  • 146.
    V.TRAITEMENT 5.1.2.Moyens 5.1.2.1.MHD • Repos strict •Alimentations hypercalorique et protidique • Apport hydroélectrolytique suffisant Dr innocent kashongwe, DES pneumologie, janvier 2011, Dakar
  • 147.
    V.TRAITEMENT 5.1.2.Moyens 5.1.2.2.Moyens médicamenteux Antihelmintiques Antibiotiques hémostatique Dr innocent kashongwe, DES pneumologie, janvier 2011, Dakar
  • 148.
    V.TRAITEMENT Antihelmintiques de lafamille des benzimidazolés – Albendazole, traitement adjuvant à la Chir • Mode d’action : inhibition de la captation du glucose par le parasite • Métabolite actif: sulfoxyde d’albendazole qui tue les protoscolex Dr innocent kashongwe, DES pneumologie, janvier 2011, Dakar
  • 149.
    TRAITEMENT Moyensmédicamenteux Antihelmintiques • Effets secondaires - Digestifs : nausées, vomissements, diarrhée, douleurs abdominales, élévation des transaminases - Cutanés : rash, prurit, alopécie - Neurologiques : céphalées, convulsions - Hématologiques : leuconeutropénie Dr innocent kashongwe, DES pneumologie, janvier 2011, Dakar
  • 150.
    V.TRAITEMENT Moyensmédicamenteux Antihelmintiques • Posologie : - 10 à 20 mg/kg en 4 cures de 30 jours séparées de fenêtre thérapeutique de 15 jours - Durée du traitement : 6 mois environ mais non consensuelle • Autres: Mébendazole,thiabendazole,oxfendazole … • Mais décevant Dr innocent kashongwe, DES pneumologie, janvier 2011, Dakar
  • 151.
    V. TRAITEMENT Moyens médicamenteux Antibiotiques : actif sur les germes pneumotropes(B-lactamine, macrolide et apparenté,Quinolone…) hémostatique : - Dycinone cp 500 mg - Exacyl(acide tranexamique) ampoule inj. Dr innocent kashongwe, DES pneumologie, janvier 2011, Dakar
  • 152.
    V. TRAITEMENT 5.1.2.3.Moyens chirurgicaux •ttt KHP = Radical  Chirurgie conservatrice : ablation du KH Avantages : préservation de la fonction respiratoire Inconvénients :Chirurgie hémorragique Problème de cavité résiduelle Risque important de fistule broncho-pleurale Dr innocent kashongwe, DES pneumologie, janvier 2011, Dakar
  • 153.
    TRAITEMENT Moyens chirurgicaux • Pneumotomie et énucléation du kyste ou technique de Úgon ou accouchement hydatique • Kystectomie ou technique de Barrett • Périkystectomie • Traitement de la cavité résiduelle Dr innocent kashongwe, DES pneumologie, janvier 2011, Dakar
  • 154.
    TRAITEMENT Incision prudenteMoyens chirurgicaux au bistouri froid entre périkyste et membrane hydatique puis pratique d’insufflations manuelles itératives réalisées par l’anesthésiste entraînant une • Pneumotomie et énucléation du kyste ou expulsion progressive du kyste technique de Úgon ou accouchement ponction complète du kyste à son point culminant en évitant hydatique l’extravasation du liquide puis agrandissement de l’incision et extraction de la membrane par une pince et enfin résection de la totalité de la cavité • Kystectomie ou technique de Barrett • Périkystectomie ablation du kyste et du tissu pulmonaire résiduel • Traitement de la cavité résiduelle Dr innocent kashongwe, DES pneumologie, janvier 2011, Dakar
  • 155.
    V. TRAITEMENT 5.2.3.Moyens chirurgicaux  Chirurgie non conservatrice : Avantages : moindre fréquence des fistules Inconvénient : Amputation fx pulmonaire pr une pathologie bénigne pouvant récidiver – Exérèse pulmonaire typique (segmentectomie, lobectomie voire pneumectomie) – Exérèse pulmonaire atypique Dr innocent kashongwe, DES pneumologie, janvier 2011, Dakar
  • 156.
    V.TRAITEMENT 5.3.Indications 5.3.1.Moyens médicamenteux Antihelmintiques • sont indiqués dans l’encadrement de l’acte chirurgical. • Ils sont également indiqués en cas de : - malade inopérable, - patient refusant la chirurgie ou de KHP avec HTAP. Dr innocent kashongwe, DES pneumologie, janvier 2011, Dakar
  • 157.
    V. TRAITEMENT Moyens médicamenteux Antibiotiques indiqués en cas de surinfection. Elle sera d’abord probabiliste puis adaptée à la sensibilité du germe isolé par l’ECBC. Le traitement hémostatique est indiqué en cas d’hémoptysie. Dr innocent kashongwe, DES pneumologie, janvier 2011, Dakar
  • 158.
    V. TRAITEMENT 5.3.Indications Chirurgie • TTT Chr dpd du nombre, de la topographie et de la taille du/des KHP. • La chirurgie du KHP , Anesthésie générale avec intubation sélective , protection du champ opératoire par ces compresses imbibées d’un produit scolicide(SG hypertonique). Dr innocent kashongwe, DES pneumologie, janvier 2011, Dakar
  • 159.
    V. TRAITEMENT –Kyste unique non compliqué • KHP périphérique de moins de 3 cm : énucléation ou résection atypique • KHP périphérique plein de plus de 3 cm : kystectomie et périkystectomie • KHP central non fistulisé : segmentectomie ou lobectomie Dr innocent kashongwe, DES pneumologie, janvier 2011, Dakar
  • 160.
    V. TRAITEMENT –Kyste compliqué • KHP rompu ou surinfecté : périkystectomie • KHP fistulisé dans une bronche : pneumotomie, kystectomie et réparation de la fistule • résection typique ou atypique Dr innocent kashongwe, DES pneumologie, janvier 2011, Dakar
  • 161.
    –Kystes multiples • Unilatéraux Enucléationou périkystectomie si les KH ne sont pas dans le même lobe Lobectomie si plusieurs KH dans le même lobe Pneumectomies exceptionnelles si le poumon est entièrement détruit Dr innocent kashongwe, DES pneumologie, janvier 2011, Dakar
  • 162.
    • Bilatéraux : Mêmesprincipes que pour les kystes unilatéraux en 1 seul temps opératoire ou en 2 temps séparés de 4 semaines au moins Dr innocent kashongwe, DES pneumologie, janvier 2011, Dakar
  • 163.
    V. TRAITEMENT • kysteshydatiques avec atteinte pleurale: Décortication avec exérèse limitée Pleurectomie pariétale Pleuropneumectomie Dr innocent kashongwe, DES pneumologie, janvier 2011, Dakar
  • 164.
    • Kystes hydatiquesdu poumon et du foie Chirurgie du KHP suivi par Chirurgie du KHF par phrénotomie si possible • Embolies hydatiques pulmonaires - Traiter en 1er la source d’ensemencement - Les KHP ensuite - Parfois greffe bipulmonaire Dr innocent kashongwe, DES pneumologie, janvier 2011, Dakar
  • 165.
    V. TRAITEMENT 5.4.Surveillance • Clinique SF,SG,SP • Radiologique : – Ré-expansion pulmonaire progressive – Disparition progressive des cavités kystiques • sérologique pour suivre la décroissance des anticorps et identifier une exèrese incomplète ou une réinfestation Dr innocent kashongwe, DES pneumologie, janvier 2011, Dakar
  • 166.
    V. TRAITEMENT Sérologie tousles 15 jours pendant 3 mois  puis tous les 3 mois pendant 2 ans  enfin tous le 6 à 12 mois  Réapparition des Ac à distance Chirurgie , envisager une réinfestation. Dr innocent kashongwe, DES pneumologie, janvier 2011, Dakar
  • 167.
    Cinétique des anticorps: - ascension des anticorps pendant les 2 à 3 semaines - suivie d’une décroissance progressive en 6 mois environ - négativation en moins de 2 ans sauf en cas d’hydatidose secondaire. Dr innocent kashongwe, DES pneumologie, janvier 2011, Dakar
  • 168.
    V. TRAITEMENT 5.5.résultats • Les résultats de la chirurgie sont bons • mortalité inférieure à 1% • morbidité de 3 à 10 % dominée par les fistules et les hémorragies • TTT médical n’est que palliatif Dr innocent kashongwe, DES pneumologie, janvier 2011, Dakar
  • 169.
    V. TRAITEMENT 5.2.TRAITEMENT PREVENTIF • Prévention Doit s’exercer à tous les niveaux de la chaîne épidémiologique Dr innocent kashongwe, DES pneumologie, janvier 2011, Dakar
  • 170.
    Prévention • Eviter infestationde HD( protéger les chiens)  Contre l’ingestion de larve par: - Sacrifice précoce des ovins avant que KH soit fertile - Éviction des chiens des abattoirs et abattage contrôlé - Saisie et dénaturation des viandes porteuses de kystes Dr innocent kashongwe, DES pneumologie, janvier 2011, Dakar
  • 171.
    Prévention  Contre ledéveloppement des adultes À partir des larves ingérés ESSAI DE VACCINATION EN COURS  contre les vers adultes: - Traitement antiparasitaire des chiens domestiques Taenifuges (bromhydrate d’aérocoline) - Collection et dénaturation des fécès émises Dr innocent kashongwe, DES pneumologie, janvier 2011, Dakar
  • 172.
    V. TRAITEMENT • Préventif Doit s’exercer à tout les niveau de la chaîne épidémiologique Dr innocent kashongwe, DES pneumologie, janvier 2011, Dakar
  • 173.
    Prévention • Protéger l’HInaturel: - Elevage sur parc à clôtures ne nécessitant pas de chiens de berger - Recensement obligatoire des chiens - Captures et sacrifice des chiens errants ESSAIS D’IMMUNISATION = RECHERCHE Dr innocent kashongwe, DES pneumologie, janvier 2011, Dakar
  • 174.
    V. TRAITEMENT • Préventif Eviter la Doit s’exercer à tout les niveau de la chaîne contamination HA épidémiologique Dr innocent kashongwe, DES pneumologie, janvier 2011, Dakar
  • 175.
    Prévention • Eviter lacontamination de l’homme Mesures individuelles d’hygiène - Éviter la promiscuité avec les chiens - Lavage soigneux des mains,des fruits, et légumes avant toute consommation - Test sérologiques chez les sujets à risque Information et éducation sanitaire des populations exposées Dr innocent kashongwe, DES pneumologie, janvier 2011, Dakar
  • 176.
    Kyste hydatique dupoumon conclusion Dr innocent kashongwe, DES pneumologie, janvier 2011, Dakar
  • 177.
    VI. CONCLUSION Dr innocent kashongwe, DES pneumologie, janvier 2011, Dakar
  • 178.
    VI. CONCLUSION Asymptomatique leplus souvent, découverte radiologique fortuite Complications , vomique , pronostic fonctionnel parfois vital engagé Traitement surtout chirurgical Accent à mettre sur la prévention, rompre la chaîne de transmission Dr innocent kashongwe, DES pneumologie, janvier 2011, Dakar
  • 179.
    MERCI POUR VOTREATTENTION Dr innocent kashongwe, DES pneumologie, janvier 2011, Dakar