Broncho-pneumopathies
aigues bactériennes
Mehdy WAYZANI
DES Pneumologie
Mardi 11 Décembre 2012
1) Maitriser la physiopathologie
2) Savoir poser le diagnostic positif et
hiérarchiser le bilan paraclinique +++
3) Connaitre les modalités de prise en
charge
• I. INTRODUCTION
• II. DIAGNOSTIC POSITIF
• III. DIAGNOSTIC DE GRAVITE
• IV. DIAGNOSTIC DIFFERENTIEL
• V. DIAGNOSTIC ETIOLOGIQUE
• VI. TRAITEMENT
• VII. CONCLUSION
I.1) DEFINITIONS
*Atteinte infectieuse, aigue,
*bactérienne, non tuberculeuse
*alvéoles,
*et/ou bronchioles terminales
*et/ou interstitium pulmonaire.
I.1) DEFINITIONS
*Pneumonie: alvéolites homogènes,
systématisées, dont un des contours
anatomiques et/ou radiologiques, est bien défini
par au moins une paroi pleurale inter lobaire.
*Broncho-pneumonie: atteinte inflammatoire,
des bronches, des bronchioles et des alvéoles,
inhomogène, mal systématisée, mal limitée.
I.1) DEFINITIONS
*Selon le siège anatomique de l’infection
*pneumonie alvéolaire dites « typiques »
atteinte préférentielle des espaces aériens distaux avec
progression de l’infection par contiguïté à travers les
pores de Kohn ou canaux de Lambert.
*pneumonies interstitielles dites « atypiques »
atteinte localisée ou diffuse du tissu interstitiel
pulmonaire.
I.1) DEFINITIONS
*Pneumonies communautaires: acquises
*en dehors de l’hôpital
*ou dans les 48 premières heures d’un séjour
hospitalier.
*ou 14j après la sortie de l’hôpital.
*Pneumonies nosocomiales: acquises après un
séjour hospitalier de plus de 48h.
Problème de santé publique
Fréquence
*Monde : 4,7 à 11,6 cas / 1000 hab / an
*France (2006) : 400 000 cas annuels dont 1
malade / 6 hospitalisé pour pneumopathie sévère.
XVe Conférence de consensus en thérapeutique anti-infectieuse en 2006
*Sénégal
*5 à 10% des IRB
Étude, Sénégal, Dr Y. Dia, 2006
Problème de santé publique
Mortalité
*Europe
*0,4 à 9 /100.000 habitants/an avant l’âge de 60 ans
*490/100.000 habitants/an après l’âge de 60 ans
*jusqu’à 2900/100.000 habitants/an après 85 ans.
XVe Conférence de consensus en thérapeutique anti-infectieuse en 2006
*Sénégal: 15,4%
Étude, Sénégal, Dr Dia, 2006
Mode de révélation de certaines pathologies
Cancer BP
CE intra-bronchique
Malformation pulmonaire
Etiologies multiples
RESULTATS
ECBE 52
Négatifs
10
Positifs
38
Pneumocoque
1 7
H. I
5
klebsiella
E.Coli - Pseudo
3
Strepto
β.Hémo
G - Mitis
1
SP
1
Associations
Kleb + Pseudo
1
kleb+Pneumo
1
HI+ Pseudo
1
chez 52 malades hospitalisés de Février
à Aout 2010
FBR Mbaye 2010
Etiologies multiples : Pneumocoque+++
Emergence à Dakar
souches à sensibilité ↘ à la pénicilline
souches résistantes
2005 comité de surveillance mondiale de
ce germe.
Gravité variable, surtout sur terrains fragiles
*aux extrêmes de la vie
*existence de tares métaboliques,
*de déficits immunitaires
Urgence médicale/ complications
Prise en charge
avant tout empirique
antibiothérapie probabiliste, précoce, à large
spectre,
en attendant ATG.
a) Rappel anatomique
b) Physiologie
Muqueuse respiratoire : organe immunologique
Moyens
mécaniques
Moyens
immunologiques
Immunité
cellulaire et
adaptative
Plusieurs
mécanismes
de lutte
contre les
infections
pulmonaires
IgA
IgA
b) PHYSIOLOGIE
*Flore arbre respiratoire supérieur très
variable et abondante :
*Streptocoques (groupables ou non, dont S.pneumoniae)
*Haemophilus
*Staphylocoque doré
*Anaérobies
*Arbre respiratoire inférieur est stérile.
c) PHYSIOPATHOLOGIE
MÉCANISMES DE L’INFECTION
Infection respiratoire quand
mécanismes de défense du tractus
respiratoire inférieur sont
dépassés.
*Conditions favorisant cette situation sont soit
inhérentes à l’hôte
*altération défenses mécaniques
→destruction de l’épithélium trachéo-bronchique
→difficulté pour évacuer germes (tabagisme,
bronchites chroniques, cancers, mucoviscidose,
grippe)
*altération défenses immunologiques
*pathologies virales,
*dépression immunitaire : VIH, cancers, personnes
âgées, greffés, diabète...
MÉCANISMES DE L’INFECTION
*Conditions favorisant cette situation
*soit inhérentes à l’hôte
*soit en rapport avec l’agent infectieux
*virulence microbienne,
*taille de l’inoculum,
*terrain sous-jacent.
3 modes de contamination
Voie bronchogène ++++
•inhalation de particules exogènes
(transmission aéroportée par des gouttelettes
d’eau ou de salive)
•aspiration d’un matériel bactérien
colonisant l’oro-pharynx
3 modes de contamination
Voie par contiguïté anatomique
•Extension d’une infection de voisinage : médiastin,
organes sous diaphragmatiques
Voie hématogène
• Septicémie, toxicomanies IV, pose de cathéters IV
A) PNEUMONIE FRANCHE LOBAIRE AIGUE
*Atteint un lobe dans sa totalité (parfois un
segment ou plusieurs lobes)
*4 stades distincts se succèdent :
GR lysées + macrophages chargés
d’hémosidérine → expectoration
teinte rouillée caractéristique
Hépatisation rouge
2e – 3e jour
Hépatisation grise
4e – 6e jour
Résolution
6e – 8e jour
Congestion
pulm(2ersj)
*Remplacement de l’air contenu dans l’alvéole par
du produit pathologique → trouble ventilation →
shunt + hypoxémie → dyspnée
→ modification histologique s/f condensation
parenchymateuse
→ symptomatologie clinique, anatomique et
radiologique.
B) LA BRONCHOPNEUMONIE
*Pneumonie en foyers ou pneumonie lobulaire.
*Lésions irrégulièrement disséminées dans un ou
plusieurs lobes et prédominent aux bases.
B) BRONCHOPNEUMONIE
•Macroscopiquement : atteinte de type nodulaire
*taille variable, rougeâtre à jaunâtre, dans poumon
congestif,
*centré par des bronches ou des bronchioles,
*nodules séparés par du parenchyme presque sain.
•Microscopie
*bronchioles et alvéoles sous jacentes remplies par un
exsudat inflammatoire variée,
*s’atténue du centre vers la périphérie.
C) PNEUMOPATHIE INTERSTITIELLE
*Infiltration inflammatoire tissulaire par
*plasmocytes et lymphocytes ++++;
*plus tard, afflux neutrophiles
*dans septums alvéolaires et péribronchiques
épaissis par l’oedeme.
*exsudat endo-alvéolaire réduit ou absent.
II. DIAGNOSTIC POSITIF
2.1. TDD
PFLA à pneumocoques de l’adulte jeune
immunocompétent
ou
’’pneumonie aux yeux d’or’’
Interrogatoire
Ex clinique
Outils diagnostiques
2.1.1. Signes cliniques : non spécifiques
a) Début
Caractéristique par sa brutalité (horaire) ou sa rapidité
d’installation marqué par
*SG importants
*Fièvre à 39-40°C
*Frissons intenses, prolongés, solennels et uniques
*Tachycardie : 110 à 120 b/mn
*Malaise général intense
a) Début
*SF
*Douleur thoracique sous mamelonnaire
*à type de point de coté
*intense en coup de poignard faisant plier
le malade,
*↗ par toux et inspiration profonde
*Toux sèche, quinteuse, douloureuse,
fréquente
*Dyspnée d’effort à type de polypnée
superficielle (à chiffrer)
*SP: pauvre dans les premières heures
* ↘ MV ± râles crépitants
*± Herpes naso-labial
*± Rougeur unilatérale d’une pommette
b) Période d’état
*Rapidement atteinte, en quelques heures voire
24-48h marquée par
*SG restent marqués
*Fièvre élevée et reste en plateau
*Tachycardie en rapport avec la fièvre
*Facies vultueux (de l’infecté)
b) Période d’état : SF
*Douleur thoracique persistante majorée par la
respiration
*Toux productive ramenant une expectoration
*abondance variable
*visqueuse, adhérente
*d’abord rouillée ou hémoptoïque (de Laennec)
*puis purulente, jaunâtre ou verdâtre.
*Tachypnée avec BAN
b) Période d’état : SP
•Syndrome de condensation pulmonaire
•Inconstamment
*Ictère cutanéo-muqueux
*Langue saburrale
*Oligo-anurie
•Examen complet +++
Radiographie
du thorax
Interrogatoire
Ex clinique
Outils diagnostiques
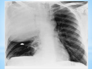
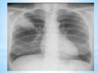
2.1.2. Signes radiologiques
a) Radiographie thorax (face +/- profil)
Doit être réalisée systématiquement
devant toute suspicion de pneumonie
(SPILF 2006)
2.1.2. Signes radiologiques
a) Radiographie thorax (face +/- profil)
*De profil: topographie exacte de l’opacité
*Nota bene
*peut être normale (les 1ères heures)
*ne peut à elle seule permettre le diagnostic
bactériologique
*au cours de l’évolution, signes radiologiques
sont en retard par rapport à la clinique.
2.1.2. Signes radiologiques
b) TDM thoracique
*parfois nécessaire
*Topographie
*Lésions sous-jacentes
*Complication: pleurésie purulente
Dans tous les cas, aucun examen ne
doit retarder la prise en charge
thérapeutique et l’antibiothérapie.
Radiographie
±scanner
Interrogatoire
Ex clinique
Biologie
2.1.3. Signes biologiques
*NFS : hyperleucocytose > 15000/ mm3 avec PN
*SIBNS : ↗ CRP, VS, fibrinémie…
*Bilan hépatique, bilan rénal, glycémie à jeun,
test d’emmel…
*GDS : hypoxémie - hypocapnie
Radiographie
scanner
Interrogatoire
Ex clinique
Biologie
Diagnostic
microbiologique
PCR bactériennes
ECBC
Antigénurie
Pneumocoque
Ponction trans-pariétal
hémocultures LBA, Brossage bronchique
Ponction trans-
trachéale
Biopsie pulmonaire
2.1.4. Examen bactériologique
Examens destinés à
isoler un germe : pas
indiqués en première
intention
2.1.4. Examen bactériologique
a) Examen Cyto-Bactériologique des
Expectorations (EBCE)
*non invasif, facile et peu coûteux
*sensibilité 15 à 100%
*spécificité 11 à 100%
Diagnostic étiologique et traitement des pneumopathies infectieuses de l’adulte aux urgences (2003)
* B. MAZET, B. ROUSSEL, O. PINCON, PM. ROY
a)ECBE
*Conditions et techniques
*Recueil assisté (kiné respiratoire) chez un
malade coopérant
*Rinçage de la bouche et la gorge
*Toux profonde / expectoration purulente
*Prélèvement dans tube stérile
*Avant toute antibiothérapie
*Transport rapide au laboratoire dans les 2h
2.1.4. Examen bactériologique
a) ECBE
*Critères d’interprétabilité = index de Murray
*PN ≥25 / champ;
*Cellules épithéliales buccales ≤ 10 par champ ;
*au microscopique au grossissement x 100
*Culture positive si
*flore mono-microbienne à l’examen direct après
coloration de Gram
*>107 UFC de pneumocoques /ml
b) Moyens invasifs
ne se justifient qu’en présence
de pneumopathies graves
hospitalisées ou nosocomiales
Fibroscopie bronchique
1) Aspiration trachéo-bronchique : même risque de
contamination que ECBC
Diagnostic étiologique et traitement des pneumopathies infectieuses de l’adulte aux urgences (2003)
B. MAZET, B. ROUSSEL, O. PINCON, PM. ROY
2) Brossage bronchique distal 3) lavage broncho-alvéolaire
Technique protégé Technique non protégé
Culture quantitative > 103 UFC/ml Culture quantitative > 105 UFC/ml
Sensibilité de 36 à 82 % Sensibilité de 47 à 58 %
Spécificité de 50 à 95 % Spécificité de 45 à 100 %
b) Moyens invasifs
*ponction transtrachéale (rarement employée)
*Ponction trans-thoracique
*Biopsie pulmonaire sous thoracoscopie ou thoracotomie
(exceptionnellement utilisée)
2.1.4. Examen bactériologique
c) Antigènes solubles pneumocoque
*par CEI dans les urines, le sang, le liquide
d’épanchement pleural ou le LCR.
*Antigène urinaire de S.pneumoniae
*diagnostic étiologique rapide,
*non négativé par antibiothérapie de 7 jours
*résultat positif persiste plusieurs semaines.
2.1.4. Examen bactériologique
d) Hémocultures
*répétées, ≥ 3
*lors des pics fébriles / hypothermies
*avant toute antibiothérapie
*mee du germe dans 20 à 30 % des pneumonies
à pneumocoques
Revue du praticien 2003
PAC non grave : peu d’investigation
Clinique – radiographie
ambulatoire
PAC gravité moyenne : ↗ investigation
Biologie - ECBC - HC
hôpital
PAC sévère :
Microbiologie +++
Réévaluation
48-72h
Réévaluation
48-72h
2.1.5. EVOLUTION – COMPLICATION – PRONOSTIC
a) Éléments de surveillance
*Clinique
*Toux, expectoration, douleur thoracique, dyspnée(FR)
*Fièvre (courbe température), diurèse
*Examen physique quotidien
*Para clinique
*Radio thorax
*NFS, VS, CRP
*ECBC
b) Modalités évolutives
*Sous antibiothérapie adaptée
*Evolution souvent rapidement favorable,
*Chute thermique avec apyrexie en 48h
*↘ SF avec crise urinaire à J8
*Normalisation examen clinique en 1 semaine et radio
en 1 mois (retard de la radio sur la clinique)
*Traitement de consolidation pour éviter les
complications (10-15jours)
b) Modalités évolutives
*En l’absence de traitement
*Evolution spontanée → décès en 48h (rare depuis
l’utilisation des ATB)
*Guérison spontanée reste possible au prix de séquelles
(DDB)
*Forme souvent à l’origine de complications
2.1.5. EVOLUTION – COMPLICATION – PRONOSTIC
c) Complications : liées
*Au terrain chez un sujet à risque
*A la non-résolution de l’infection, du fait
*d’un germe résistant,
*traitement ATB insuffisant (spectre, durée, posologie),
*anomalie respiratoire s/j révélée par la pneumopathie
Complications
Sepsis
Septicémie
Septicopyohémie
Deces
Abces du
poumon
Pleurales
d) Pronostic
Facteurs de mauvais pronostic
*une ou plusieurs pathologies sous-jacentes,
*retard au diagnostic ou au traitement,
*atteinte de plusieurs lobes,
*hémocultures positives,
*leucocytose basse (< 1000/mm3) ou très
élevée( > 25 000/mm3).
2.2. FORMES CLINIQUES
2.2.1. Formes symptomatiques
*Formes frustres
*début insidieux
*foyers de râles sous crépitants dans matité peu nette
*Radio thorax : vague opacité hilifuge
*Formes abâtardies
*Par antibiothérapie non adéquate et/ou antipyrétiques
*Formes subaiguës et prolongées
*Début ressemble à une pneumonie
*Évolution trainante (clinique que radiologique)
sur plusieurs mois faisant redouter soit une
tuberculose pulmonaire soit un cancer bronchique
*Formes suraiguës
*IRA rapidement mortelle.
*Formes à début déroutant
*A type de point de coté abdominal, pseudo
appendiculaire ou pseudo vésiculaire.
*PFLA : cf TDD
*Broncho-pneumonie
*Pneumopathie interstitielle
Bronchopneumonie Pneumonie atypique
Parfois contexte épidémique (grippe) Contexte épidémique fréquent
(mycoplasme)
début souvent brutal ou en 2 temps
après une phase de bronchite aiguë
début progressif, souvent précédée
d’une infection rhino-pharyngée
fièvre ≥ 39°C fièvre modérée (38-39°) sans frissons
toux + expectoration purulente et
abondante
toux sèche, rauque, quinteuse,
douloureuse
dyspnée marquée dyspnée modérée
ronchi et sous-crépitants
râles crépitants d’alvéolite
normale +/- râles bronchiques
céphalées, myalgies, arthralgies,
éruption cutanée
Broncho-pneumonie Pneumonie atypique
Radio thorax
Opacités alvéolaires non (ou
partiellement) systématisées,
prédominantes aux bases,
± confluentes, en nappe,
± bronchogramme aérique
et/ou opacités nodulaires
Radio thorax
Opacités interstitielles,
réticulaires et/ou micronodulaires,
hilifuges, non systématisés, mal
limités, uni ou bilatérales
SIBNS
NFS : ↗PNN
SIBNS
NFS : ↗PNN
Germe en cause
Pneumocoque
Entérobactéries
Staphylococcus aureus
Germe en cause
Mycoplasme +++
Clamydiae (pneumoniae, psitacci)
Coxiella burnetti
*
BRONCHO-PNEUMONIE
Cf diagnostic étiologique
1) AGE
Chez l’enfant
*Tableau clinique trompeur et atypique
• Même en l’absence de tout signe respiratoire, l’évoquer
*toute fièvre élevée, d’apparition brutale ou associée
*manifestations abdominales : pseudo-chirurgical
*Vomissements, DA, diarrhées +++
*Pas de défense abdominale, TR indolore,
*Radio thorax redresse le diagnostic;
*ou neurologiques : pseudo-méningée
*céphalées, vomissements, convulsions, raideur
nuque →PL
Sujet âgé > 65ans
*formes atypiques, torpides, masquées par
*confusion mentale, déshydratation
*chute de sa hauteur
*tableau d’encombrement
*poussée d’insuffisance cardiaque
*aggravation d’une maladie préexistante
*Nota bene
*fièvre, frissons et douleur thoracique souvent absents
*RX thorax évoque le diagnostic au moindre doute.
2) Immunodépression
*Infection / VIH
*infections pulmonaires à agents banals (Streptococcus sp,
S.pneumoniae, H.influenzae)
*caractère récidivant de telles pneumopathies constitue depuis la
dernière révision de la classification, un critère de sida.
*Neutropénies
*infection respiratoire = urgence absolue
*dépression des réactions inflammatoires → impossibilité de
formation de pus → présentation clinique et radiologique atypique
par sa pauvreté.
*Hémopathies lymphoïdes B (leucémies, lymphomes)
*déficit fonctionnel des LB + ↘ Ig normales se conjuguent pour
faciliter les infections.
2) Autres contextes d'immunodépression acquise
*diabète,
*cirrhose,
*insuffisance rénale chronique,
*grossesse,
*corticothérapie prolongée,
*drépanocytose homozygote
*BPCO
3) Autres terrains particuliers
*Tabagisme
•altération des défenses (transport mucociliaire,
immunité humorale et cellulaire)
•Suspecter CBP sous jacent : intérêt fibro bronchique
*Ethylisme chronique
•↘ réflexe tussigène et déglutition
•↘ transport mucociliaire
•altération lymphocytes, PN et macrophages alvéolaires
*Acquises après un séjour hospitalier > 48h.
*Suspicion clinique : 3 composantes
*SG d’infection (fièvre+++), détérioration
gazométrique
*Sécrétions bronchiques purulentes
*Nouvelles images radiologiques ou
modification/aggravation d’une image
préexistante
*Diagnostic microbiologique
*Techniques «invasives» avec cultures
quantitatives: réalisation doit précédée toute
(nouvelle) antibiothérapie
*Hémocultures
*Culture du liquide pleural
*Antigénémie-antigénurie : Pneumocoque,
Légionnelles
4th International Consensus Conférence in Critical Care, ICU-acquired Pneumonia, Chicago
May 2002
*Évaluation gravité initiale des PAC
*association des facteurs cliniques,
biologiques et de comorbidités
*primordiale car associée au pronostic
1. Y a-t-il un des signes de
gravité suivant devant
conduire à une
hospitalisation d’emblée ?
*Signes généraux
*T° < 35°C ou > 40°C
*FC > 125 b/mn
*TAS < 90mmHg ou TAD < 60mmHg
*Signes de choc, marbrures
*Signes Respiratoires
*FR > 30 c/mn, tirage, cyanose
*Suspicion de pneumonie d'inhalation
*Gazométrie: Pa02 < 60mmHg en AA, PaCO2>50mmHg
acidose (pH < 7.30), SaO2 < 90%
*Radiologiques:
*Pneumopathie extensive ou bilatérale
*atteinte multi lobaire, complications (abcès, pleurésie)
*Signes Neurologiques
*Troubles de conscience
*Confusion
*Signes biologiques
*Leucocytes > 30.000 ou < 4.000 /mm3
*Hb < 9 g/dl
*Urée > 7 mmol/l
*Créat > 160 micromol/L
*Autres
*Néoplasie associée
*Conditions socio-économiques défavorables
*Inobservance thérapeutique
*Isolement (personne âgée)
*Scores de gravité au nombre de 4
*Score de Fine (PSI) : possibilité
d’une PEC extra-hospitalière
*Règles de la British Thoracic Society (BTS)
*CURB 65
*CRB 65 (score simplifié)
*Règles de l’American Thoracic Society (ATS) :
aide à la décision d’une PEC en réanimation
Critères Points Critères Points
f. démographiques
Age (années)
Homme
Femme
Vie en institution
ATCD
Néoplasie
Maladie Hépatique
Insuf. Cardiaque congestive
Maladie Cérebro-vasculaire
Maladie Rénale
Age
Age - 10
+10
+30
+20
+10
+10
+10
Examen clinique
Tr. Conscience
FR > 30 /min
PAS < 90 mm Hg
Température > 40 ou < 35°C
FC > 125bat/min
Données paracliniques
Ph < 7.35
Urée > 11mmol/l
Na+ < 130mmol /l
Hématocrite < 30%
PaO2 < 60mmHg
Epanchement pleural
+20
+20
+20
+15
+10
+30
+20
+20
+10
+10
+10
CURB 65
65 Age ≥ 65
Blood pressure: systolic < 90 mmHg
or diastolic ≤ 60 mmHg
Respiratory rate ≥ 30/min
Urea > 7 mmol/l
Confusion
*0 ou 1 critère : traitement ambulatoire adapté
*2 critères : nécessité d’une évaluation aux
urgences probable voire hospitalisation de
courte durée pour observation
*3 critères : hospitalisation nécessaire
* >4 critères présents : admission en réanimation
CRB 65
65 Age ≥ 65
Blood pressure: systolic < 90 mmHg
or diastolic ≤ 60 mmHg
Respiratory rate ≥ 30/min
Confusion
0 critère
traitement ambulatoire adapté
1 ou 2 critère(s)
nécessité d’une évaluation aux urgences
voire une hospitalisation de courte durée
pour observation
3 ou 4 critères
hospitalisation urgente
Score ATS
Réanimation
En dehors
réanimation
*Bronchopneumopathies virales aigues
*Pneumonie tuberculeuse
*Embolie pulmonaire
4.2. Pneumonie tuberculeuse
-En faveur
•SF: toux productive; hémoptysie; douleur thoracique,
dyspnée de survenue aigue
•SG: fièvre
•SP: condensation pulmonaire
-En défaveur
•Pas de signes d’imprégnation tuberculeuse
•Bacilloscopie négative
4.3. Embolie Pulmonaire
En faveur
•SF: toux productive; hémoptysie; douleur thoracique de
survenue brutale
En défaveur
•Facteurs de risque (-)
•Signe de thrombose veineuse(-)
•Angio-scanner thoracique
1.Porte d’entrée
Hématogène +
Contigüité +
Oro-
pharyngée++
2.Terrain
Cf forme selon le terrain
3.Germes
H. Influenzae 17,5%
Streptococcus sp 16,2 %
Anaerobie 13,6 %
Pneumocoque 11,2 %
Mycoplasme 11,2 %
BGN 8,7 %
Légionella 7,5 %
Chlamydiae 6,2 %
Staphylocoque aureus 5 %
Autres 2,9 %
chez malades hospitalisés et non hospitalisés de Septembre 1999 à
Mars 2000 (69 patients)
Y.DIA 2001
RESULTATS
ECBE 52
Négatifs
10
Positifs
38
Pneumo
1 7
H. I
5
klebseilla
E.Coli - Pseudo
3
Strepto
β.Hémo
G - Mitis
1
SP
1
Associations
Kleb + Pseudo
1
kleb+Pneumo
1
HI+ Pseudo
1
chez 52 malades hospitalisés de Février
à Aout 2010
F.B.R. Mbaye 2010
Streptococcus pneumoniae
*Diplocoque Gram (+), encapsulé
*Saprophyte des VR hautes
*Germe de transmission interhumaine
*Colonise enfant dès 1ers jours de vie
*Forme de « 8 » ou « gousse d’arachide »
*Clinique: cf TDD
Autres Streptococcies
*Streptocoques du groupe A +++
*Suite aux infections virales comme la grippe,
rougeole, varicelle, rubéole
* Clinique
*pneumonie,
*épanchement pleural et empyème fréquents.
Intra-
cellulaire
Mycoplasma
pneumoniae
Chlamydia
pneumoniae ou psittaci
Terrain Enfant > 4 ans et adulte jeune
Souvent petites épidémies
contact avec humain porteur
ou oiseaux (ornithose/pigeons)
(psittacose /perroquets)
Début Incubation longue de 2 à 3 semaines
début progressif: fièvre ≥ 39°c,
malaises, arthralgies, céphalées, +/-
rhinorrhée / pharyngite
Sd grippal après incubation de
7 à 15j
Début progressif
Clinique
Manifestations respiratoires
Toux sèche parfois invalidante
Manifestations extra-respiratoires
troubles digestifs,
Cutanées (10 – 25 % des cas) :
Neurologiques
signes orl peuvent précéder la
pneumopathie de plusieurs
jours;
Auscultation pauvre
Parfois myalgies, rash cutané,
splénomégalie
Radio thorax opacités interstitielles basales
bilatérales
opacités interstitielles
Biologie discrète atteinte hépatique,
polynucléose neutrophile
Germes intracellulaires
Diagnostic
*Sérologie +++
*possible mais inutile : diagnostic rétrospectif
*séroconversion avec ↗ taux d’IgM : caractère
récent de l’infection.
*Critères thérapeutiques
*échec aux bêta-lactamines,
*↘ fièvre 2 à 3 jours après macrolides
BGN : Klebsiella pneumoniae
Terrain Sujets ≥ 40 ans,
Éthylique chronique
Tabagisme, BPCO, diabète
Début Brutal
Clinique AEG profonde,
fièvre tenace, oscillante,
Toux + expectoration abondante purulente hémoptoïque
Radio thorax opacité dense, peu homogène, systématisée avec bombement
de la scissure adjacente
± cavités, pleurésie
Biologie SIBNS + ↗ PNN
Diagnostic Hémocultures +++
Evolution Evolution vers la nécrose
Bacilles gram négatifs
Haemophilus
influenzae
Coccobacille Gram (-), bacille de Pfeiffer
fréquent dans les VA chez l’alcoolique, le fumeur, le
bronchitique chronique avec ou sans BPCO.
Clinique: pneumonie ou bronchopneumonie;
Radio thorax: aspect d’une bronchopneumonie
E.coli
P. aeruginosa
malades atteints de maladies chroniques,
hémoptysie rare,
pneumonies lobes supérieures ++++,
abcédation et pleurésie purulente fréquentes
Légionella
pneumophila
BGN, croissance intracellulaire,ubiquitaire.
Maladie à déclaration obligatoire.
Germe se développe au contact de l’eau. Les réservoirs :
douches, fontaines décoratives,
humidificateurs, circuits de climatisation,
sources thermales
Staphylocoques
Cocci Gram positif
Anaérobies
Terrains débilité, DDB, cancer
toxicomanie IV, cathétérisme
endocardite tricuspide associée,
septicémie
éthylisme chronique, tabagisme,
mauvais état bucco-dentaire,
Accidents neuro avec fausses routes
Troubles déglutition par obstacle
Tableau de pneumopathie bilatérale
extensive en foyers multiples parfois
bulleux,
± suppuration: abcès pulmonaire,
pleurésie purulente, pyopneu-
mothorax
Début habituellement insidieux
AEG marquée
fétidité de l’haleine++++
Risque d’abces du poumon avec
expectorations de pus fétide et
nauséabond
Radio thorax
Opacités alvéolaires volontiers situées
à la base droite
Abces fréquents avec NHA déclives
Pyopneumothorax associé
Évolution : redoutable malgré puissance
des anti-staph
Evolution dépend TTT
1. Curatif
1.1. Buts
*stériliser foyer infectieux
*guérir malade
*éviter complications et résistances
1. Curatif
1.2.Moyens
1.2.1.MHD
*Repos,
*Hydratation ++,
*Alimentation hypercalorique et
hyperprotitique,
*Arrêt intoxication tabagique et alcool,
*Hygiène corporelle et bucco-dentaire.
 Traitement adjuvant
*Antalgiques, antipyrétiques
*Expectorants
*Héparinothérapie prophylactique
*Oxygénothérapie
*Kinésithérapie respiratoire
1.2.2.Moyens médicamenteux
 Antibiotiques
Béta-lactamines
Pénicilline A C3G injectable
Amoxicilline
Amoxicilline – Ac clavulanique
Cefotaxime
Ceftriaxone
Macrolides
1ere génération rarement actifs
sur pneumocoque
et haemophilus
érythromycine
2e génération médiocre sur
pneumocoque
spiramicine,
azithromycine,
roxythromycine
3e génération active sur
pneumocoque
télithromycine
 Fluoroquinolones
*FQ2 : ciprofloxacine et ofloxacine, pas actives sur
pneumocoque
*FQ3 de dernière génération: lévofloxacine,
moxifloxacine actives sur pneumocoque (FQAP)
NB : ne pas utiliser avant
d’éliminer une tuberculose.
 Autres antibiotiques
*Prystinamycine, apparentée aux macrolides, active sur
intracellullaires et pneumocoques
*Aminosides: (gentamycine) gram négatifs
*Vancomycine: anti-staph ++++
*Métronidazole : anaérobies
 dans tous les cas, l’antibiothérapie sera
associée à
• un traitement symptomatique
• la correction d’une ’’tare’’
• au traitement de la porte d’entrée
• une oxygénothérapie au besoin
• kiné respiratoire pour la récupération fonctionnelle
• en cas de pleurésie purulente : ponction
évacuatrice ± lavage ou drainage pleural
PAC = urgence, dont traitement ATB souvent
probabiliste puis réajustée.
ATB précoces, actifs, à large spectre, efficace
et bien tolérée.
PEC fonction: âge, terrain, sévérité, écologie
locale bactérienne.
(conférence de consensus mars 2006)
1.3.1. Germe non identifié
*Choix probabiliste de l’ATB
*ATB de deuxième intention comble lacunes de spectre
du traitement ATB initial inefficace.
Monothérapie si absence de S. de
gravité
Bithérapie IV si S. de gravité
1.3.1. Germe non identifié
Propositions thérapeutiques
PAC bactérienne en ambulatoire
PAC à l’hôpital
PAC sévère en réanimation
Réévaluation systématique entre la 48 et 72ème heure
En cas de non défervescence, sans aggravation clinique
après un traitement initial par ß-lactamine,
il est recommandé d’effectuer une substitution :
1.3.1. Germe non identifié
PAC bactérienne en hospitalisation
Service de médecine
Service d’accueil des urgences (SAU)
Amox-ac clav
1g x 3j
PO / perf IV
1.3.1. Germe non identifié
PAC bactérienne sévère à l’hôpital (USI ou
réanimation)
1.3.2. Germe identifié
Antibiothérapie adapté à l’antibiogramme
S. pneumoniae durée du traitement : 1 à 2 semaines.
Intracellulaires durée : 15 jours.
Entérobactéries
Traitement maintenu 8 jours après l’apyrexie
sur une durée totale de 2 à 3 semaines.
L. pneumophila durée globale de 2 à 3 semaines.
Staphylocoques Durée : 3 semaines
Abces
Pleurésie purulente
Durée de 6 à 8 semaines
H. Pneumonies nosocomiales
*Urgence thérapeutique
*Bi antibiothérapie IV bactéricide, probabiliste à large
spectre efficace, sur les germes hospitaliers,
secondairement adaptée à l’ATG
*Choix de l’ATB
*B-lactamines actives sur entérobactéries (C3G,
imipénème), en association avec un aminoside ou FQ
*Si risque de SARM: + glycopeptide (vancomycine)
(5jours),
1.4. Surveillance
*Suivi tardif : contrôle radiologique est recommandé 2
mois après normalisation des signes cliniques (Accord
professionnel).
*Rx thorax : guérison, lésion sous jacente
*Fibro : si tabagisme ou lésion radiologique
persistante (cancer?)
2. Préventif
*Vaccin anti-pneumoccique : Pneumo 23
*adultes > 65 ans
*patients atteints de comorbidités
*tous les 5 ans, à distance d’une infection au
penumocoque
*Vaccination anti-grippale
*tous les ans à l’automne
*groupes à risque, sujets institutionnalisés,
patients nécessitant des soins de longue durée
pour une infection chronique.
*également recommandé aux personnels soignants.
2. Préventif
*Traitement porte d’entrée
*ORL +++
*Eradication foyers dentaires
*Correction d’une tare
*Sevrage tabagique / alcoolique
•Affections fréquentes et graves
•Diagnostic étiologique difficile
•ATB précoce et adapté
•Prévention
Bronchopneumopathies aigues bacteriennes

Bronchopneumopathies aigues bacteriennes

  • 1.
  • 2.
    1) Maitriser laphysiopathologie 2) Savoir poser le diagnostic positif et hiérarchiser le bilan paraclinique +++ 3) Connaitre les modalités de prise en charge
  • 3.
    • I. INTRODUCTION •II. DIAGNOSTIC POSITIF • III. DIAGNOSTIC DE GRAVITE • IV. DIAGNOSTIC DIFFERENTIEL • V. DIAGNOSTIC ETIOLOGIQUE • VI. TRAITEMENT • VII. CONCLUSION
  • 4.
    I.1) DEFINITIONS *Atteinte infectieuse,aigue, *bactérienne, non tuberculeuse *alvéoles, *et/ou bronchioles terminales *et/ou interstitium pulmonaire.
  • 5.
    I.1) DEFINITIONS *Pneumonie: alvéoliteshomogènes, systématisées, dont un des contours anatomiques et/ou radiologiques, est bien défini par au moins une paroi pleurale inter lobaire. *Broncho-pneumonie: atteinte inflammatoire, des bronches, des bronchioles et des alvéoles, inhomogène, mal systématisée, mal limitée.
  • 6.
    I.1) DEFINITIONS *Selon lesiège anatomique de l’infection *pneumonie alvéolaire dites « typiques » atteinte préférentielle des espaces aériens distaux avec progression de l’infection par contiguïté à travers les pores de Kohn ou canaux de Lambert. *pneumonies interstitielles dites « atypiques » atteinte localisée ou diffuse du tissu interstitiel pulmonaire.
  • 7.
    I.1) DEFINITIONS *Pneumonies communautaires:acquises *en dehors de l’hôpital *ou dans les 48 premières heures d’un séjour hospitalier. *ou 14j après la sortie de l’hôpital. *Pneumonies nosocomiales: acquises après un séjour hospitalier de plus de 48h.
  • 8.
    Problème de santépublique Fréquence *Monde : 4,7 à 11,6 cas / 1000 hab / an *France (2006) : 400 000 cas annuels dont 1 malade / 6 hospitalisé pour pneumopathie sévère. XVe Conférence de consensus en thérapeutique anti-infectieuse en 2006 *Sénégal *5 à 10% des IRB Étude, Sénégal, Dr Y. Dia, 2006
  • 9.
    Problème de santépublique Mortalité *Europe *0,4 à 9 /100.000 habitants/an avant l’âge de 60 ans *490/100.000 habitants/an après l’âge de 60 ans *jusqu’à 2900/100.000 habitants/an après 85 ans. XVe Conférence de consensus en thérapeutique anti-infectieuse en 2006 *Sénégal: 15,4% Étude, Sénégal, Dr Dia, 2006
  • 10.
    Mode de révélationde certaines pathologies Cancer BP CE intra-bronchique Malformation pulmonaire Etiologies multiples
  • 11.
    RESULTATS ECBE 52 Négatifs 10 Positifs 38 Pneumocoque 1 7 H.I 5 klebsiella E.Coli - Pseudo 3 Strepto β.Hémo G - Mitis 1 SP 1 Associations Kleb + Pseudo 1 kleb+Pneumo 1 HI+ Pseudo 1 chez 52 malades hospitalisés de Février à Aout 2010 FBR Mbaye 2010
  • 12.
    Etiologies multiples :Pneumocoque+++ Emergence à Dakar souches à sensibilité ↘ à la pénicilline souches résistantes 2005 comité de surveillance mondiale de ce germe.
  • 13.
    Gravité variable, surtoutsur terrains fragiles *aux extrêmes de la vie *existence de tares métaboliques, *de déficits immunitaires Urgence médicale/ complications Prise en charge avant tout empirique antibiothérapie probabiliste, précoce, à large spectre, en attendant ATG.
  • 14.
  • 15.
    b) Physiologie Muqueuse respiratoire: organe immunologique Moyens mécaniques Moyens immunologiques Immunité cellulaire et adaptative Plusieurs mécanismes de lutte contre les infections pulmonaires
  • 16.
  • 17.
    b) PHYSIOLOGIE *Flore arbrerespiratoire supérieur très variable et abondante : *Streptocoques (groupables ou non, dont S.pneumoniae) *Haemophilus *Staphylocoque doré *Anaérobies *Arbre respiratoire inférieur est stérile.
  • 18.
    c) PHYSIOPATHOLOGIE MÉCANISMES DEL’INFECTION Infection respiratoire quand mécanismes de défense du tractus respiratoire inférieur sont dépassés.
  • 19.
    *Conditions favorisant cettesituation sont soit inhérentes à l’hôte *altération défenses mécaniques →destruction de l’épithélium trachéo-bronchique →difficulté pour évacuer germes (tabagisme, bronchites chroniques, cancers, mucoviscidose, grippe) *altération défenses immunologiques *pathologies virales, *dépression immunitaire : VIH, cancers, personnes âgées, greffés, diabète...
  • 20.
    MÉCANISMES DE L’INFECTION *Conditionsfavorisant cette situation *soit inhérentes à l’hôte *soit en rapport avec l’agent infectieux *virulence microbienne, *taille de l’inoculum, *terrain sous-jacent.
  • 21.
    3 modes decontamination Voie bronchogène ++++ •inhalation de particules exogènes (transmission aéroportée par des gouttelettes d’eau ou de salive) •aspiration d’un matériel bactérien colonisant l’oro-pharynx
  • 22.
    3 modes decontamination Voie par contiguïté anatomique •Extension d’une infection de voisinage : médiastin, organes sous diaphragmatiques Voie hématogène • Septicémie, toxicomanies IV, pose de cathéters IV
  • 23.
    A) PNEUMONIE FRANCHELOBAIRE AIGUE *Atteint un lobe dans sa totalité (parfois un segment ou plusieurs lobes) *4 stades distincts se succèdent :
  • 24.
    GR lysées +macrophages chargés d’hémosidérine → expectoration teinte rouillée caractéristique Hépatisation rouge 2e – 3e jour Hépatisation grise 4e – 6e jour Résolution 6e – 8e jour Congestion pulm(2ersj)
  • 25.
    *Remplacement de l’aircontenu dans l’alvéole par du produit pathologique → trouble ventilation → shunt + hypoxémie → dyspnée → modification histologique s/f condensation parenchymateuse → symptomatologie clinique, anatomique et radiologique.
  • 26.
    B) LA BRONCHOPNEUMONIE *Pneumonieen foyers ou pneumonie lobulaire. *Lésions irrégulièrement disséminées dans un ou plusieurs lobes et prédominent aux bases.
  • 27.
    B) BRONCHOPNEUMONIE •Macroscopiquement :atteinte de type nodulaire *taille variable, rougeâtre à jaunâtre, dans poumon congestif, *centré par des bronches ou des bronchioles, *nodules séparés par du parenchyme presque sain. •Microscopie *bronchioles et alvéoles sous jacentes remplies par un exsudat inflammatoire variée, *s’atténue du centre vers la périphérie.
  • 28.
    C) PNEUMOPATHIE INTERSTITIELLE *Infiltrationinflammatoire tissulaire par *plasmocytes et lymphocytes ++++; *plus tard, afflux neutrophiles *dans septums alvéolaires et péribronchiques épaissis par l’oedeme. *exsudat endo-alvéolaire réduit ou absent.
  • 29.
    II. DIAGNOSTIC POSITIF 2.1.TDD PFLA à pneumocoques de l’adulte jeune immunocompétent ou ’’pneumonie aux yeux d’or’’
  • 30.
  • 31.
    2.1.1. Signes cliniques: non spécifiques a) Début Caractéristique par sa brutalité (horaire) ou sa rapidité d’installation marqué par *SG importants *Fièvre à 39-40°C *Frissons intenses, prolongés, solennels et uniques *Tachycardie : 110 à 120 b/mn *Malaise général intense
  • 32.
    a) Début *SF *Douleur thoraciquesous mamelonnaire *à type de point de coté *intense en coup de poignard faisant plier le malade, *↗ par toux et inspiration profonde *Toux sèche, quinteuse, douloureuse, fréquente *Dyspnée d’effort à type de polypnée superficielle (à chiffrer)
  • 33.
    *SP: pauvre dansles premières heures * ↘ MV ± râles crépitants *± Herpes naso-labial *± Rougeur unilatérale d’une pommette
  • 34.
    b) Période d’état *Rapidementatteinte, en quelques heures voire 24-48h marquée par *SG restent marqués *Fièvre élevée et reste en plateau *Tachycardie en rapport avec la fièvre *Facies vultueux (de l’infecté)
  • 35.
    b) Période d’état: SF *Douleur thoracique persistante majorée par la respiration *Toux productive ramenant une expectoration *abondance variable *visqueuse, adhérente *d’abord rouillée ou hémoptoïque (de Laennec) *puis purulente, jaunâtre ou verdâtre. *Tachypnée avec BAN
  • 36.
    b) Période d’état: SP •Syndrome de condensation pulmonaire •Inconstamment *Ictère cutanéo-muqueux *Langue saburrale *Oligo-anurie •Examen complet +++
  • 37.
  • 38.
    2.1.2. Signes radiologiques a)Radiographie thorax (face +/- profil) Doit être réalisée systématiquement devant toute suspicion de pneumonie (SPILF 2006)
  • 41.
    2.1.2. Signes radiologiques a)Radiographie thorax (face +/- profil) *De profil: topographie exacte de l’opacité *Nota bene *peut être normale (les 1ères heures) *ne peut à elle seule permettre le diagnostic bactériologique *au cours de l’évolution, signes radiologiques sont en retard par rapport à la clinique.
  • 42.
    2.1.2. Signes radiologiques b)TDM thoracique *parfois nécessaire *Topographie *Lésions sous-jacentes *Complication: pleurésie purulente
  • 43.
    Dans tous lescas, aucun examen ne doit retarder la prise en charge thérapeutique et l’antibiothérapie.
  • 44.
  • 45.
    2.1.3. Signes biologiques *NFS: hyperleucocytose > 15000/ mm3 avec PN *SIBNS : ↗ CRP, VS, fibrinémie… *Bilan hépatique, bilan rénal, glycémie à jeun, test d’emmel… *GDS : hypoxémie - hypocapnie
  • 46.
    Radiographie scanner Interrogatoire Ex clinique Biologie Diagnostic microbiologique PCR bactériennes ECBC Antigénurie Pneumocoque Ponctiontrans-pariétal hémocultures LBA, Brossage bronchique Ponction trans- trachéale Biopsie pulmonaire
  • 47.
    2.1.4. Examen bactériologique Examensdestinés à isoler un germe : pas indiqués en première intention
  • 48.
    2.1.4. Examen bactériologique a)Examen Cyto-Bactériologique des Expectorations (EBCE) *non invasif, facile et peu coûteux *sensibilité 15 à 100% *spécificité 11 à 100% Diagnostic étiologique et traitement des pneumopathies infectieuses de l’adulte aux urgences (2003) * B. MAZET, B. ROUSSEL, O. PINCON, PM. ROY
  • 49.
    a)ECBE *Conditions et techniques *Recueilassisté (kiné respiratoire) chez un malade coopérant *Rinçage de la bouche et la gorge *Toux profonde / expectoration purulente *Prélèvement dans tube stérile *Avant toute antibiothérapie *Transport rapide au laboratoire dans les 2h
  • 50.
    2.1.4. Examen bactériologique a)ECBE *Critères d’interprétabilité = index de Murray *PN ≥25 / champ; *Cellules épithéliales buccales ≤ 10 par champ ; *au microscopique au grossissement x 100 *Culture positive si *flore mono-microbienne à l’examen direct après coloration de Gram *>107 UFC de pneumocoques /ml
  • 51.
    b) Moyens invasifs nese justifient qu’en présence de pneumopathies graves hospitalisées ou nosocomiales
  • 52.
    Fibroscopie bronchique 1) Aspirationtrachéo-bronchique : même risque de contamination que ECBC Diagnostic étiologique et traitement des pneumopathies infectieuses de l’adulte aux urgences (2003) B. MAZET, B. ROUSSEL, O. PINCON, PM. ROY 2) Brossage bronchique distal 3) lavage broncho-alvéolaire Technique protégé Technique non protégé Culture quantitative > 103 UFC/ml Culture quantitative > 105 UFC/ml Sensibilité de 36 à 82 % Sensibilité de 47 à 58 % Spécificité de 50 à 95 % Spécificité de 45 à 100 %
  • 53.
    b) Moyens invasifs *ponctiontranstrachéale (rarement employée) *Ponction trans-thoracique *Biopsie pulmonaire sous thoracoscopie ou thoracotomie (exceptionnellement utilisée)
  • 54.
    2.1.4. Examen bactériologique c)Antigènes solubles pneumocoque *par CEI dans les urines, le sang, le liquide d’épanchement pleural ou le LCR. *Antigène urinaire de S.pneumoniae *diagnostic étiologique rapide, *non négativé par antibiothérapie de 7 jours *résultat positif persiste plusieurs semaines.
  • 55.
    2.1.4. Examen bactériologique d)Hémocultures *répétées, ≥ 3 *lors des pics fébriles / hypothermies *avant toute antibiothérapie *mee du germe dans 20 à 30 % des pneumonies à pneumocoques Revue du praticien 2003
  • 56.
    PAC non grave: peu d’investigation Clinique – radiographie ambulatoire PAC gravité moyenne : ↗ investigation Biologie - ECBC - HC hôpital PAC sévère : Microbiologie +++ Réévaluation 48-72h Réévaluation 48-72h
  • 57.
    2.1.5. EVOLUTION –COMPLICATION – PRONOSTIC a) Éléments de surveillance *Clinique *Toux, expectoration, douleur thoracique, dyspnée(FR) *Fièvre (courbe température), diurèse *Examen physique quotidien *Para clinique *Radio thorax *NFS, VS, CRP *ECBC
  • 58.
    b) Modalités évolutives *Sousantibiothérapie adaptée *Evolution souvent rapidement favorable, *Chute thermique avec apyrexie en 48h *↘ SF avec crise urinaire à J8 *Normalisation examen clinique en 1 semaine et radio en 1 mois (retard de la radio sur la clinique) *Traitement de consolidation pour éviter les complications (10-15jours)
  • 59.
    b) Modalités évolutives *Enl’absence de traitement *Evolution spontanée → décès en 48h (rare depuis l’utilisation des ATB) *Guérison spontanée reste possible au prix de séquelles (DDB) *Forme souvent à l’origine de complications
  • 60.
    2.1.5. EVOLUTION –COMPLICATION – PRONOSTIC c) Complications : liées *Au terrain chez un sujet à risque *A la non-résolution de l’infection, du fait *d’un germe résistant, *traitement ATB insuffisant (spectre, durée, posologie), *anomalie respiratoire s/j révélée par la pneumopathie
  • 61.
  • 62.
    d) Pronostic Facteurs demauvais pronostic *une ou plusieurs pathologies sous-jacentes, *retard au diagnostic ou au traitement, *atteinte de plusieurs lobes, *hémocultures positives, *leucocytose basse (< 1000/mm3) ou très élevée( > 25 000/mm3).
  • 63.
    2.2. FORMES CLINIQUES 2.2.1.Formes symptomatiques *Formes frustres *début insidieux *foyers de râles sous crépitants dans matité peu nette *Radio thorax : vague opacité hilifuge *Formes abâtardies *Par antibiothérapie non adéquate et/ou antipyrétiques
  • 64.
    *Formes subaiguës etprolongées *Début ressemble à une pneumonie *Évolution trainante (clinique que radiologique) sur plusieurs mois faisant redouter soit une tuberculose pulmonaire soit un cancer bronchique *Formes suraiguës *IRA rapidement mortelle. *Formes à début déroutant *A type de point de coté abdominal, pseudo appendiculaire ou pseudo vésiculaire.
  • 65.
    *PFLA : cfTDD *Broncho-pneumonie *Pneumopathie interstitielle
  • 66.
    Bronchopneumonie Pneumonie atypique Parfoiscontexte épidémique (grippe) Contexte épidémique fréquent (mycoplasme) début souvent brutal ou en 2 temps après une phase de bronchite aiguë début progressif, souvent précédée d’une infection rhino-pharyngée fièvre ≥ 39°C fièvre modérée (38-39°) sans frissons toux + expectoration purulente et abondante toux sèche, rauque, quinteuse, douloureuse dyspnée marquée dyspnée modérée ronchi et sous-crépitants râles crépitants d’alvéolite normale +/- râles bronchiques céphalées, myalgies, arthralgies, éruption cutanée
  • 67.
    Broncho-pneumonie Pneumonie atypique Radiothorax Opacités alvéolaires non (ou partiellement) systématisées, prédominantes aux bases, ± confluentes, en nappe, ± bronchogramme aérique et/ou opacités nodulaires Radio thorax Opacités interstitielles, réticulaires et/ou micronodulaires, hilifuges, non systématisés, mal limités, uni ou bilatérales SIBNS NFS : ↗PNN SIBNS NFS : ↗PNN Germe en cause Pneumocoque Entérobactéries Staphylococcus aureus Germe en cause Mycoplasme +++ Clamydiae (pneumoniae, psitacci) Coxiella burnetti
  • 68.
  • 70.
  • 71.
    1) AGE Chez l’enfant *Tableauclinique trompeur et atypique • Même en l’absence de tout signe respiratoire, l’évoquer *toute fièvre élevée, d’apparition brutale ou associée *manifestations abdominales : pseudo-chirurgical *Vomissements, DA, diarrhées +++ *Pas de défense abdominale, TR indolore, *Radio thorax redresse le diagnostic; *ou neurologiques : pseudo-méningée *céphalées, vomissements, convulsions, raideur nuque →PL
  • 72.
    Sujet âgé >65ans *formes atypiques, torpides, masquées par *confusion mentale, déshydratation *chute de sa hauteur *tableau d’encombrement *poussée d’insuffisance cardiaque *aggravation d’une maladie préexistante *Nota bene *fièvre, frissons et douleur thoracique souvent absents *RX thorax évoque le diagnostic au moindre doute.
  • 73.
    2) Immunodépression *Infection /VIH *infections pulmonaires à agents banals (Streptococcus sp, S.pneumoniae, H.influenzae) *caractère récidivant de telles pneumopathies constitue depuis la dernière révision de la classification, un critère de sida. *Neutropénies *infection respiratoire = urgence absolue *dépression des réactions inflammatoires → impossibilité de formation de pus → présentation clinique et radiologique atypique par sa pauvreté. *Hémopathies lymphoïdes B (leucémies, lymphomes) *déficit fonctionnel des LB + ↘ Ig normales se conjuguent pour faciliter les infections.
  • 74.
    2) Autres contextesd'immunodépression acquise *diabète, *cirrhose, *insuffisance rénale chronique, *grossesse, *corticothérapie prolongée, *drépanocytose homozygote *BPCO
  • 75.
    3) Autres terrainsparticuliers *Tabagisme •altération des défenses (transport mucociliaire, immunité humorale et cellulaire) •Suspecter CBP sous jacent : intérêt fibro bronchique *Ethylisme chronique •↘ réflexe tussigène et déglutition •↘ transport mucociliaire •altération lymphocytes, PN et macrophages alvéolaires
  • 76.
    *Acquises après unséjour hospitalier > 48h.
  • 77.
    *Suspicion clinique :3 composantes *SG d’infection (fièvre+++), détérioration gazométrique *Sécrétions bronchiques purulentes *Nouvelles images radiologiques ou modification/aggravation d’une image préexistante
  • 78.
    *Diagnostic microbiologique *Techniques «invasives»avec cultures quantitatives: réalisation doit précédée toute (nouvelle) antibiothérapie *Hémocultures *Culture du liquide pleural *Antigénémie-antigénurie : Pneumocoque, Légionnelles 4th International Consensus Conférence in Critical Care, ICU-acquired Pneumonia, Chicago May 2002
  • 79.
    *Évaluation gravité initialedes PAC *association des facteurs cliniques, biologiques et de comorbidités *primordiale car associée au pronostic
  • 80.
    1. Y a-t-ilun des signes de gravité suivant devant conduire à une hospitalisation d’emblée ?
  • 81.
    *Signes généraux *T° <35°C ou > 40°C *FC > 125 b/mn *TAS < 90mmHg ou TAD < 60mmHg *Signes de choc, marbrures *Signes Respiratoires *FR > 30 c/mn, tirage, cyanose *Suspicion de pneumonie d'inhalation *Gazométrie: Pa02 < 60mmHg en AA, PaCO2>50mmHg acidose (pH < 7.30), SaO2 < 90% *Radiologiques: *Pneumopathie extensive ou bilatérale *atteinte multi lobaire, complications (abcès, pleurésie)
  • 82.
    *Signes Neurologiques *Troubles deconscience *Confusion *Signes biologiques *Leucocytes > 30.000 ou < 4.000 /mm3 *Hb < 9 g/dl *Urée > 7 mmol/l *Créat > 160 micromol/L *Autres *Néoplasie associée *Conditions socio-économiques défavorables *Inobservance thérapeutique *Isolement (personne âgée)
  • 85.
    *Scores de gravitéau nombre de 4 *Score de Fine (PSI) : possibilité d’une PEC extra-hospitalière *Règles de la British Thoracic Society (BTS) *CURB 65 *CRB 65 (score simplifié) *Règles de l’American Thoracic Society (ATS) : aide à la décision d’une PEC en réanimation
  • 86.
    Critères Points CritèresPoints f. démographiques Age (années) Homme Femme Vie en institution ATCD Néoplasie Maladie Hépatique Insuf. Cardiaque congestive Maladie Cérebro-vasculaire Maladie Rénale Age Age - 10 +10 +30 +20 +10 +10 +10 Examen clinique Tr. Conscience FR > 30 /min PAS < 90 mm Hg Température > 40 ou < 35°C FC > 125bat/min Données paracliniques Ph < 7.35 Urée > 11mmol/l Na+ < 130mmol /l Hématocrite < 30% PaO2 < 60mmHg Epanchement pleural +20 +20 +20 +15 +10 +30 +20 +20 +10 +10 +10
  • 88.
    CURB 65 65 Age≥ 65 Blood pressure: systolic < 90 mmHg or diastolic ≤ 60 mmHg Respiratory rate ≥ 30/min Urea > 7 mmol/l Confusion
  • 89.
    *0 ou 1critère : traitement ambulatoire adapté *2 critères : nécessité d’une évaluation aux urgences probable voire hospitalisation de courte durée pour observation *3 critères : hospitalisation nécessaire * >4 critères présents : admission en réanimation
  • 90.
    CRB 65 65 Age≥ 65 Blood pressure: systolic < 90 mmHg or diastolic ≤ 60 mmHg Respiratory rate ≥ 30/min Confusion 0 critère traitement ambulatoire adapté 1 ou 2 critère(s) nécessité d’une évaluation aux urgences voire une hospitalisation de courte durée pour observation 3 ou 4 critères hospitalisation urgente
  • 91.
  • 92.
    *Bronchopneumopathies virales aigues *Pneumonietuberculeuse *Embolie pulmonaire
  • 94.
    4.2. Pneumonie tuberculeuse -Enfaveur •SF: toux productive; hémoptysie; douleur thoracique, dyspnée de survenue aigue •SG: fièvre •SP: condensation pulmonaire -En défaveur •Pas de signes d’imprégnation tuberculeuse •Bacilloscopie négative
  • 95.
    4.3. Embolie Pulmonaire Enfaveur •SF: toux productive; hémoptysie; douleur thoracique de survenue brutale En défaveur •Facteurs de risque (-) •Signe de thrombose veineuse(-) •Angio-scanner thoracique
  • 96.
  • 97.
  • 98.
    3.Germes H. Influenzae 17,5% Streptococcussp 16,2 % Anaerobie 13,6 % Pneumocoque 11,2 % Mycoplasme 11,2 % BGN 8,7 % Légionella 7,5 % Chlamydiae 6,2 % Staphylocoque aureus 5 % Autres 2,9 % chez malades hospitalisés et non hospitalisés de Septembre 1999 à Mars 2000 (69 patients) Y.DIA 2001
  • 99.
    RESULTATS ECBE 52 Négatifs 10 Positifs 38 Pneumo 1 7 H.I 5 klebseilla E.Coli - Pseudo 3 Strepto β.Hémo G - Mitis 1 SP 1 Associations Kleb + Pseudo 1 kleb+Pneumo 1 HI+ Pseudo 1 chez 52 malades hospitalisés de Février à Aout 2010 F.B.R. Mbaye 2010
  • 101.
    Streptococcus pneumoniae *Diplocoque Gram(+), encapsulé *Saprophyte des VR hautes *Germe de transmission interhumaine *Colonise enfant dès 1ers jours de vie *Forme de « 8 » ou « gousse d’arachide » *Clinique: cf TDD
  • 102.
    Autres Streptococcies *Streptocoques dugroupe A +++ *Suite aux infections virales comme la grippe, rougeole, varicelle, rubéole * Clinique *pneumonie, *épanchement pleural et empyème fréquents.
  • 103.
    Intra- cellulaire Mycoplasma pneumoniae Chlamydia pneumoniae ou psittaci TerrainEnfant > 4 ans et adulte jeune Souvent petites épidémies contact avec humain porteur ou oiseaux (ornithose/pigeons) (psittacose /perroquets) Début Incubation longue de 2 à 3 semaines début progressif: fièvre ≥ 39°c, malaises, arthralgies, céphalées, +/- rhinorrhée / pharyngite Sd grippal après incubation de 7 à 15j Début progressif Clinique Manifestations respiratoires Toux sèche parfois invalidante Manifestations extra-respiratoires troubles digestifs, Cutanées (10 – 25 % des cas) : Neurologiques signes orl peuvent précéder la pneumopathie de plusieurs jours; Auscultation pauvre Parfois myalgies, rash cutané, splénomégalie Radio thorax opacités interstitielles basales bilatérales opacités interstitielles Biologie discrète atteinte hépatique, polynucléose neutrophile
  • 104.
    Germes intracellulaires Diagnostic *Sérologie +++ *possiblemais inutile : diagnostic rétrospectif *séroconversion avec ↗ taux d’IgM : caractère récent de l’infection. *Critères thérapeutiques *échec aux bêta-lactamines, *↘ fièvre 2 à 3 jours après macrolides
  • 105.
    BGN : Klebsiellapneumoniae Terrain Sujets ≥ 40 ans, Éthylique chronique Tabagisme, BPCO, diabète Début Brutal Clinique AEG profonde, fièvre tenace, oscillante, Toux + expectoration abondante purulente hémoptoïque Radio thorax opacité dense, peu homogène, systématisée avec bombement de la scissure adjacente ± cavités, pleurésie Biologie SIBNS + ↗ PNN Diagnostic Hémocultures +++ Evolution Evolution vers la nécrose
  • 107.
    Bacilles gram négatifs Haemophilus influenzae CoccobacilleGram (-), bacille de Pfeiffer fréquent dans les VA chez l’alcoolique, le fumeur, le bronchitique chronique avec ou sans BPCO. Clinique: pneumonie ou bronchopneumonie; Radio thorax: aspect d’une bronchopneumonie E.coli P. aeruginosa malades atteints de maladies chroniques, hémoptysie rare, pneumonies lobes supérieures ++++, abcédation et pleurésie purulente fréquentes Légionella pneumophila BGN, croissance intracellulaire,ubiquitaire. Maladie à déclaration obligatoire. Germe se développe au contact de l’eau. Les réservoirs : douches, fontaines décoratives, humidificateurs, circuits de climatisation, sources thermales
  • 108.
    Staphylocoques Cocci Gram positif Anaérobies Terrainsdébilité, DDB, cancer toxicomanie IV, cathétérisme endocardite tricuspide associée, septicémie éthylisme chronique, tabagisme, mauvais état bucco-dentaire, Accidents neuro avec fausses routes Troubles déglutition par obstacle Tableau de pneumopathie bilatérale extensive en foyers multiples parfois bulleux, ± suppuration: abcès pulmonaire, pleurésie purulente, pyopneu- mothorax Début habituellement insidieux AEG marquée fétidité de l’haleine++++ Risque d’abces du poumon avec expectorations de pus fétide et nauséabond Radio thorax Opacités alvéolaires volontiers situées à la base droite Abces fréquents avec NHA déclives Pyopneumothorax associé Évolution : redoutable malgré puissance des anti-staph Evolution dépend TTT
  • 109.
    1. Curatif 1.1. Buts *stériliserfoyer infectieux *guérir malade *éviter complications et résistances
  • 110.
    1. Curatif 1.2.Moyens 1.2.1.MHD *Repos, *Hydratation ++, *Alimentationhypercalorique et hyperprotitique, *Arrêt intoxication tabagique et alcool, *Hygiène corporelle et bucco-dentaire.
  • 111.
     Traitement adjuvant *Antalgiques,antipyrétiques *Expectorants *Héparinothérapie prophylactique *Oxygénothérapie *Kinésithérapie respiratoire
  • 112.
    1.2.2.Moyens médicamenteux  Antibiotiques Béta-lactamines PénicillineA C3G injectable Amoxicilline Amoxicilline – Ac clavulanique Cefotaxime Ceftriaxone
  • 113.
    Macrolides 1ere génération rarementactifs sur pneumocoque et haemophilus érythromycine 2e génération médiocre sur pneumocoque spiramicine, azithromycine, roxythromycine 3e génération active sur pneumocoque télithromycine
  • 114.
     Fluoroquinolones *FQ2 :ciprofloxacine et ofloxacine, pas actives sur pneumocoque *FQ3 de dernière génération: lévofloxacine, moxifloxacine actives sur pneumocoque (FQAP) NB : ne pas utiliser avant d’éliminer une tuberculose.
  • 115.
     Autres antibiotiques *Prystinamycine,apparentée aux macrolides, active sur intracellullaires et pneumocoques *Aminosides: (gentamycine) gram négatifs *Vancomycine: anti-staph ++++ *Métronidazole : anaérobies
  • 116.
     dans tousles cas, l’antibiothérapie sera associée à • un traitement symptomatique • la correction d’une ’’tare’’ • au traitement de la porte d’entrée • une oxygénothérapie au besoin • kiné respiratoire pour la récupération fonctionnelle • en cas de pleurésie purulente : ponction évacuatrice ± lavage ou drainage pleural
  • 117.
    PAC = urgence,dont traitement ATB souvent probabiliste puis réajustée. ATB précoces, actifs, à large spectre, efficace et bien tolérée. PEC fonction: âge, terrain, sévérité, écologie locale bactérienne. (conférence de consensus mars 2006)
  • 118.
    1.3.1. Germe nonidentifié *Choix probabiliste de l’ATB *ATB de deuxième intention comble lacunes de spectre du traitement ATB initial inefficace. Monothérapie si absence de S. de gravité Bithérapie IV si S. de gravité
  • 119.
    1.3.1. Germe nonidentifié Propositions thérapeutiques PAC bactérienne en ambulatoire PAC à l’hôpital PAC sévère en réanimation
  • 120.
    Réévaluation systématique entrela 48 et 72ème heure En cas de non défervescence, sans aggravation clinique après un traitement initial par ß-lactamine, il est recommandé d’effectuer une substitution :
  • 121.
    1.3.1. Germe nonidentifié PAC bactérienne en hospitalisation Service de médecine Service d’accueil des urgences (SAU) Amox-ac clav 1g x 3j PO / perf IV
  • 122.
    1.3.1. Germe nonidentifié PAC bactérienne sévère à l’hôpital (USI ou réanimation)
  • 123.
    1.3.2. Germe identifié Antibiothérapieadapté à l’antibiogramme S. pneumoniae durée du traitement : 1 à 2 semaines. Intracellulaires durée : 15 jours. Entérobactéries Traitement maintenu 8 jours après l’apyrexie sur une durée totale de 2 à 3 semaines. L. pneumophila durée globale de 2 à 3 semaines. Staphylocoques Durée : 3 semaines Abces Pleurésie purulente Durée de 6 à 8 semaines
  • 124.
    H. Pneumonies nosocomiales *Urgencethérapeutique *Bi antibiothérapie IV bactéricide, probabiliste à large spectre efficace, sur les germes hospitaliers, secondairement adaptée à l’ATG *Choix de l’ATB *B-lactamines actives sur entérobactéries (C3G, imipénème), en association avec un aminoside ou FQ *Si risque de SARM: + glycopeptide (vancomycine)
  • 125.
  • 126.
    1.4. Surveillance *Suivi tardif: contrôle radiologique est recommandé 2 mois après normalisation des signes cliniques (Accord professionnel). *Rx thorax : guérison, lésion sous jacente *Fibro : si tabagisme ou lésion radiologique persistante (cancer?)
  • 127.
    2. Préventif *Vaccin anti-pneumoccique: Pneumo 23 *adultes > 65 ans *patients atteints de comorbidités *tous les 5 ans, à distance d’une infection au penumocoque *Vaccination anti-grippale *tous les ans à l’automne *groupes à risque, sujets institutionnalisés, patients nécessitant des soins de longue durée pour une infection chronique. *également recommandé aux personnels soignants.
  • 128.
    2. Préventif *Traitement ported’entrée *ORL +++ *Eradication foyers dentaires *Correction d’une tare *Sevrage tabagique / alcoolique
  • 129.
    •Affections fréquentes etgraves •Diagnostic étiologique difficile •ATB précoce et adapté •Prévention