INFECTIONS CUTANEES 
BACTERIENNES
FLORE NORMALE 
 Peau et muqueuses normales colonisées par flore : 
 couches superficielles de l’épiderme 
 annexes pilaires 
 2 types : 
 résidente permanente : nombreuses bact gram + et -, 
anaérobies… (staph epidermidis). 
 transitoire = contaminante : staph doré et strepto A 
responsables de la majorité des infections cutanées, 
germes contagieux et non immunogènes.
 Flore varie selon : 
 Qualité de la peau : plaie => contamination 
 Interaction entre germes 
 Environnement : chaleur + humidité => + 
contamination (plis, narines) 
 Hôte : Déficits immunitaires, diabète…
 Gîtes cutanés ou muqueux à staph ou 
strepto : 
 + fréquents diabétiques, hémodialysés, 
atopiques, personnel soignant hospitalier 
 Facteurs de risque d’infection cutanée ou 
générale, perso ou pour l’entourage (pb des 
staph résistants en réanimation).
 Staph doré : fosses nasales, intestin, peau et 
annexes glandulaires (aisselles, périnée), 
transmission directe par lésion ou indirecte par 
voie aérienne ou objets ou manuportée. 
 Strepto A : pharynx, transmission aérienne, 
favorisée par contact étroit.
IMPETIGO 
 Infection cutanée superficielle à strepto A ou /et 
staph doré 
 +++ Enfant 
 Contagieux, petites épidémies => éviction scolaire 
 Lésion élémentaire : bulles superficielles très 
fragiles => érosions => se couvrent de croûtes 
jaunâtres « méllicériques »; début svt périorificiel, 
extension centrifuge, regroupement en placards 
circinés; ADNP 
 Pas de fièvre
IMPETIGO 
 Formes particulières : 
 Bulleuses du nouveau-né (épidémie en maternité) : staph 
 Ecthyma : forme creusante 
 Impétiginisation : surinfection d’une dermatose préexistante 
 Complications : 
 Impétigo = porte d’entrée d’une infection générale 
 Sd d’épidermolyse staphylococcique avec décollement diffus 
et fièvre, du à une toxine produite par certains staph 
 Glomérulonéphrite post-strepto, 3 semaines après =>labstix
IMPETIGO 
 Traitement : 
 ATS, ATB local (Fucidine®, Mupiderm®) 
dans les formes très localisées 
 ATB per os dans les formes étendues : 
Macrolides, synergistine, Péni M, Ac 
fusidique. 
 Eviction scolaire qq jours, examen et ttt de la 
fratrie, si récidive recherche de gîtes; 
HYGIENE +++
FOLLICULITES 
 Infection du follicule pilosébacé. 
 Papule ou nodule péripilaire + douleur => pustule 
centrée par un poil => croutelle => guérison sans 
cicatrice. 
 Fréquent au-nv zones pileuses : 
 visage (sycosis à staph de la barbe favorisé par le rasage), 
 cuir chevelu, thorax, cuisses, paupières (orgelet) 
 TTT : 
 local , ATS, hygiène, suppression des irritations, frottement; 
mousses à raser ATS (Nobacter®), rasoirs jetables 
 dans les formes sévères: ATB per os.
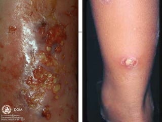
FURONCLE 
 Folliculite profonde et nécrosante à staph doré. 
 Induration chaude et douloureuse centrée sur 1 poil => 
suppuration => nécrose avec élimination du follicule 
pileux (bourbillon jaune) => cratère rouge => cicatrice 
 +++ cuisses , fesses 
 Favorisé par gîtes à staph, manque d’hygiène, obésité , 
frottements 
 F. particulières : 
 ANTHRAX = agglomération de furoncles 
 FURONCULOSE = répétition => recherche d’un gîte ou 
d’un facteur favorisant
FURONCLE 
 Traitement : 
 NE PAS MANIPULER risque de dissémination 
 Furoncle centrofacial => staphylococcie maligne de 
la face 
 Furoncle isolé : protection par pansement, ATS, ATB 
local 
 Si sévérité : ATB per os 10 jours 
 Furonculose : Hygiène rigoureuse, ttt local prolongé 
des gîtes, arrêt de travail si risque de contamination 
alimentaire, recherche de gîtes dans l’entourage.
ÉRYSIPÈLE: étiologie 
 L’érysipèle est une infection cutanée aiguë à 
streptocoque (hémolytique du groupe A, pfs G ou C) 
atteignant le derme et l’hypoderme (dermohypodermite) 
 Rare chez l’enfant, la maladie s’observe le plus souvent 
chez l’adulte après 40 ans et malgré les progrès de l’hygiène 
et le développement de l’antibiothérapie, l’incidence de l’érysipèle 
semble en augmentation constante en France 
 L’atteinte des membres inférieurs, sans doute liée au rôle 
favorisant de l’insuffisance veineuse et (ou)lymphatique, 
a supplanté celle du visage
ÉRYSIPÈLE: Formes cliniques 
 Symptomatiques : 
 localement, le placard peut prendre un aspect purpurique, 
ecchymotique ou pétéchial. 
 L’apparition secondaire de pustules ou de petites zones de 
nécrose superficielle est rare. 
 Topographiques : 
 L’érysipèle peut également siéger sur le visage (5 à 10 p.100 
des cas)où le placard inflammatoire est généralement unilatéral 
et très oedémateux, avec un bourrelet périphérique marqué. 
 Plus rarement, il est localisé au membre supérieur, sur 
l’abdomen, le thorax (mammectomie) ou la région fessière.
ÉRYSIPÈLE: Formes cliniques 
 Évolutives : 
 Les formes subaiguës, où la fièvre et l’hyperleucocytose sont 
modérées, voire absentes, ne sont pas rares, notamment au 
membre inférieur. 
 Dans ces cas, le diagnostic repose entièrement sur les 
caractères cliniques du placard inflammatoire cutané et sa 
régression sous antibiothérapie par pénicilline ou macrolides.
ÉRYSIPÈLE : Diagnostic différentiel 
 Chez le jeune enfant : hypodermite infectieuse à 
Haemophilus influenzae fréquemment localisée au visage et 
associée à une bactériémie qui permet le diagnostic. 
 Chez l’adulte : 
 Visage : eczéma aigu (oedème majeur, prurit, absence de 
fièvre), staphylococcie maligne de la face (rare). 
 Membre inférieur : classique de discuter une phlébite, 
dont le tableau est en fait différent : oedème douloureux, 
mal limité, peu ou non érythémateux avec perte du ballottement 
du mollet, fièvre modérée. 
 L’association d’une authentique thrombose veineuse 
profonde à un érysipèle de jambe est exceptionnelle.
ÉRYSIPÈLE : Problème principal 
 Le problème principal est de ne pas méconnaître une 
hypodermite (ou fasciite) nécrosante, dont le début 
peut être insidieux et trompeur, simulant un érysipèle, 
les signes locaux évocateurs pouvant n’apparaître 
qu’après plusieurs jours d’évolution. 
 L’importance des signes toxiques généraux, l’absence 
d’amélioration sous antibiothérapie, l’extension locale 
des signes de nécrose, une crépitation imposent une 
exploration chirurgicale qui assure le diagnostic et est 
essentielle au traitement.
ÉRYSIPÈLE : Évolution 
 Sous antibiothérapie la guérison d’un érysipèle est 
obtenue en une dizaine de jours après une phase de 
desquamation superficielle. 
 Non traité, l’érysipèle peut régresser spontanément en 
deux à trois semaines, mais le risque de complications 
systémiques est accru. 
 Des complications locales surviennent dans 5 à 10 p. 
100 des cas. Elles consistent en l’apparition d’abcès 
localisés, le plus souvent superficiels. La survenue 
d’abcès sous-cutanés profonds nécessitant un drainage 
chirurgical est rare.
ÉRYSIPÈLE : Évolution 
 Les complications systémiques sont très rares : 
septicémie à streptocoque glomérulonéphrite aiguë post-streptococcique, 
voire érythème noueux. 
 La récidive est la complication la plus fréquente. 
Elle survient sur un terrain d’insuffisance veineuse ou 
lymphatique chronique et est souvent associée à 
l’existence d’une porte d’entrée chronique (ulcère de 
jambe, intertrigo interdigital plantaire).
ÉRYSIPÈLE : Traitement 
 Une hospitalisation est indispensable en cas de signes 
généraux très marqués, de complications locales, d’affections 
associées ou chez le sujet âgé. 
 Antibiothérapie : 
 Pénicillines (péni G ou amoxicilline), macrolides et 
synergistines : atbs de choix, utilisables en monothérapie. 
 En H° : péni G en perf (4 à 6 millions × 3/j) jusqu’à 
l’apyrexie, relais PO pendant 10j = test diagnostique, si l’on 
obtient une apyrexie en 24 à 36 heures (amoxicilline IV) 
 En cas de CI ou d’intolérance aux pénicillines : macrolide ou 
synergistine PO pdt 12 à 15j.
ÉRYSIPÈLE : Traitement 
 Traitement adjuvant : 
 Un repos strict au lit est nécessaire jusqu’à la 
régression des signes inflammatoires locaux 
(érythème, oedème, douleur). 
 Un traitement anticoagulant par héparine calcique ou 
héparine de faible poids moléculaire à doses 
préventives ne sera associé qu’en cas de risque de 
maladie thromboembolique. 
 Les anti-inflammatoires, notamment non stéroïdiens, 
seront proscrits compte tenu de leur aptitude à 
favoriser l’évolution vers l’abcédation ou la nécrose.
ÉRYSIPÈLE : Traitement 
 Érysipèles récidivants : 
 Ils nécessitent une prévention par le traitement d’une 
porte d’entrée chronique (intertrigo à dermatophytes, 
ulcère de jambe), l’amélioration des troubles 
circulatoires (bandes à varices, drainage lymphatique 
manuel), et une hygiène cutanée soigneuse. 
 En cas d’échec de ces mesures, on prescrira une 
pénicillinothérapie au long cours (Extencilline 2,4 
millions intramusculaire toutes les 2 à 3 semaines 
pendant au moins 1 an).

Infections cutanées bactériennes medecine-cours.com

  • 1.
  • 2.
    FLORE NORMALE Peau et muqueuses normales colonisées par flore :  couches superficielles de l’épiderme  annexes pilaires  2 types :  résidente permanente : nombreuses bact gram + et -, anaérobies… (staph epidermidis).  transitoire = contaminante : staph doré et strepto A responsables de la majorité des infections cutanées, germes contagieux et non immunogènes.
  • 3.
     Flore varieselon :  Qualité de la peau : plaie => contamination  Interaction entre germes  Environnement : chaleur + humidité => + contamination (plis, narines)  Hôte : Déficits immunitaires, diabète…
  • 4.
     Gîtes cutanésou muqueux à staph ou strepto :  + fréquents diabétiques, hémodialysés, atopiques, personnel soignant hospitalier  Facteurs de risque d’infection cutanée ou générale, perso ou pour l’entourage (pb des staph résistants en réanimation).
  • 5.
     Staph doré: fosses nasales, intestin, peau et annexes glandulaires (aisselles, périnée), transmission directe par lésion ou indirecte par voie aérienne ou objets ou manuportée.  Strepto A : pharynx, transmission aérienne, favorisée par contact étroit.
  • 6.
    IMPETIGO  Infectioncutanée superficielle à strepto A ou /et staph doré  +++ Enfant  Contagieux, petites épidémies => éviction scolaire  Lésion élémentaire : bulles superficielles très fragiles => érosions => se couvrent de croûtes jaunâtres « méllicériques »; début svt périorificiel, extension centrifuge, regroupement en placards circinés; ADNP  Pas de fièvre
  • 8.
    IMPETIGO  Formesparticulières :  Bulleuses du nouveau-né (épidémie en maternité) : staph  Ecthyma : forme creusante  Impétiginisation : surinfection d’une dermatose préexistante  Complications :  Impétigo = porte d’entrée d’une infection générale  Sd d’épidermolyse staphylococcique avec décollement diffus et fièvre, du à une toxine produite par certains staph  Glomérulonéphrite post-strepto, 3 semaines après =>labstix
  • 12.
    IMPETIGO  Traitement:  ATS, ATB local (Fucidine®, Mupiderm®) dans les formes très localisées  ATB per os dans les formes étendues : Macrolides, synergistine, Péni M, Ac fusidique.  Eviction scolaire qq jours, examen et ttt de la fratrie, si récidive recherche de gîtes; HYGIENE +++
  • 13.
    FOLLICULITES  Infectiondu follicule pilosébacé.  Papule ou nodule péripilaire + douleur => pustule centrée par un poil => croutelle => guérison sans cicatrice.  Fréquent au-nv zones pileuses :  visage (sycosis à staph de la barbe favorisé par le rasage),  cuir chevelu, thorax, cuisses, paupières (orgelet)  TTT :  local , ATS, hygiène, suppression des irritations, frottement; mousses à raser ATS (Nobacter®), rasoirs jetables  dans les formes sévères: ATB per os.
  • 15.
    FURONCLE  Folliculiteprofonde et nécrosante à staph doré.  Induration chaude et douloureuse centrée sur 1 poil => suppuration => nécrose avec élimination du follicule pileux (bourbillon jaune) => cratère rouge => cicatrice  +++ cuisses , fesses  Favorisé par gîtes à staph, manque d’hygiène, obésité , frottements  F. particulières :  ANTHRAX = agglomération de furoncles  FURONCULOSE = répétition => recherche d’un gîte ou d’un facteur favorisant
  • 19.
    FURONCLE  Traitement:  NE PAS MANIPULER risque de dissémination  Furoncle centrofacial => staphylococcie maligne de la face  Furoncle isolé : protection par pansement, ATS, ATB local  Si sévérité : ATB per os 10 jours  Furonculose : Hygiène rigoureuse, ttt local prolongé des gîtes, arrêt de travail si risque de contamination alimentaire, recherche de gîtes dans l’entourage.
  • 20.
    ÉRYSIPÈLE: étiologie L’érysipèle est une infection cutanée aiguë à streptocoque (hémolytique du groupe A, pfs G ou C) atteignant le derme et l’hypoderme (dermohypodermite)  Rare chez l’enfant, la maladie s’observe le plus souvent chez l’adulte après 40 ans et malgré les progrès de l’hygiène et le développement de l’antibiothérapie, l’incidence de l’érysipèle semble en augmentation constante en France  L’atteinte des membres inférieurs, sans doute liée au rôle favorisant de l’insuffisance veineuse et (ou)lymphatique, a supplanté celle du visage
  • 21.
    ÉRYSIPÈLE: Formes cliniques  Symptomatiques :  localement, le placard peut prendre un aspect purpurique, ecchymotique ou pétéchial.  L’apparition secondaire de pustules ou de petites zones de nécrose superficielle est rare.  Topographiques :  L’érysipèle peut également siéger sur le visage (5 à 10 p.100 des cas)où le placard inflammatoire est généralement unilatéral et très oedémateux, avec un bourrelet périphérique marqué.  Plus rarement, il est localisé au membre supérieur, sur l’abdomen, le thorax (mammectomie) ou la région fessière.
  • 27.
    ÉRYSIPÈLE: Formes cliniques  Évolutives :  Les formes subaiguës, où la fièvre et l’hyperleucocytose sont modérées, voire absentes, ne sont pas rares, notamment au membre inférieur.  Dans ces cas, le diagnostic repose entièrement sur les caractères cliniques du placard inflammatoire cutané et sa régression sous antibiothérapie par pénicilline ou macrolides.
  • 28.
    ÉRYSIPÈLE : Diagnosticdifférentiel  Chez le jeune enfant : hypodermite infectieuse à Haemophilus influenzae fréquemment localisée au visage et associée à une bactériémie qui permet le diagnostic.  Chez l’adulte :  Visage : eczéma aigu (oedème majeur, prurit, absence de fièvre), staphylococcie maligne de la face (rare).  Membre inférieur : classique de discuter une phlébite, dont le tableau est en fait différent : oedème douloureux, mal limité, peu ou non érythémateux avec perte du ballottement du mollet, fièvre modérée.  L’association d’une authentique thrombose veineuse profonde à un érysipèle de jambe est exceptionnelle.
  • 29.
    ÉRYSIPÈLE : Problèmeprincipal  Le problème principal est de ne pas méconnaître une hypodermite (ou fasciite) nécrosante, dont le début peut être insidieux et trompeur, simulant un érysipèle, les signes locaux évocateurs pouvant n’apparaître qu’après plusieurs jours d’évolution.  L’importance des signes toxiques généraux, l’absence d’amélioration sous antibiothérapie, l’extension locale des signes de nécrose, une crépitation imposent une exploration chirurgicale qui assure le diagnostic et est essentielle au traitement.
  • 30.
    ÉRYSIPÈLE : Évolution  Sous antibiothérapie la guérison d’un érysipèle est obtenue en une dizaine de jours après une phase de desquamation superficielle.  Non traité, l’érysipèle peut régresser spontanément en deux à trois semaines, mais le risque de complications systémiques est accru.  Des complications locales surviennent dans 5 à 10 p. 100 des cas. Elles consistent en l’apparition d’abcès localisés, le plus souvent superficiels. La survenue d’abcès sous-cutanés profonds nécessitant un drainage chirurgical est rare.
  • 31.
    ÉRYSIPÈLE : Évolution  Les complications systémiques sont très rares : septicémie à streptocoque glomérulonéphrite aiguë post-streptococcique, voire érythème noueux.  La récidive est la complication la plus fréquente. Elle survient sur un terrain d’insuffisance veineuse ou lymphatique chronique et est souvent associée à l’existence d’une porte d’entrée chronique (ulcère de jambe, intertrigo interdigital plantaire).
  • 32.
    ÉRYSIPÈLE : Traitement  Une hospitalisation est indispensable en cas de signes généraux très marqués, de complications locales, d’affections associées ou chez le sujet âgé.  Antibiothérapie :  Pénicillines (péni G ou amoxicilline), macrolides et synergistines : atbs de choix, utilisables en monothérapie.  En H° : péni G en perf (4 à 6 millions × 3/j) jusqu’à l’apyrexie, relais PO pendant 10j = test diagnostique, si l’on obtient une apyrexie en 24 à 36 heures (amoxicilline IV)  En cas de CI ou d’intolérance aux pénicillines : macrolide ou synergistine PO pdt 12 à 15j.
  • 33.
    ÉRYSIPÈLE : Traitement  Traitement adjuvant :  Un repos strict au lit est nécessaire jusqu’à la régression des signes inflammatoires locaux (érythème, oedème, douleur).  Un traitement anticoagulant par héparine calcique ou héparine de faible poids moléculaire à doses préventives ne sera associé qu’en cas de risque de maladie thromboembolique.  Les anti-inflammatoires, notamment non stéroïdiens, seront proscrits compte tenu de leur aptitude à favoriser l’évolution vers l’abcédation ou la nécrose.
  • 34.
    ÉRYSIPÈLE : Traitement  Érysipèles récidivants :  Ils nécessitent une prévention par le traitement d’une porte d’entrée chronique (intertrigo à dermatophytes, ulcère de jambe), l’amélioration des troubles circulatoires (bandes à varices, drainage lymphatique manuel), et une hygiène cutanée soigneuse.  En cas d’échec de ces mesures, on prescrira une pénicillinothérapie au long cours (Extencilline 2,4 millions intramusculaire toutes les 2 à 3 semaines pendant au moins 1 an).