InstrumentationInstrumentation
en medecineen medecine
dentairedentaire
11-Instrumentation11-Instrumentation
chirurgicale :chirurgicale :
11-1.Plateau standard :11-1.Plateau standard :
 Precelle, miroir, sondePrecelle, miroir, sonde
exploratrice, sondeexploratrice, sonde
parodontale graduée,parodontale graduée,
spatule à bouche,spatule à bouche,
seringue à anesthésie etseringue à anesthésie et
canule d’aspiration (fil decanule d’aspiration (fil de
suture).suture).
Fig.9.3 La Sonde Parodontale tactile CPI
12-Anesthésie parodontale :12-Anesthésie parodontale :
 Anesthésie tronculaireAnesthésie tronculaire
L'anesthésie tronculaire proprement dite n'est utilisée en chirurgieL'anesthésie tronculaire proprement dite n'est utilisée en chirurgie
parodontale que pour les lésions molaires et prémolaires (anesthésieparodontale que pour les lésions molaires et prémolaires (anesthésie
tronculaire du nerf dentaire inférieur).tronculaire du nerf dentaire inférieur).
 Anesthésie localeAnesthésie locale
Son avantage est qu'elle assure une certaine vasoconstriction dans leSon avantage est qu'elle assure une certaine vasoconstriction dans le
champ opératoire et y favorise une meilleure vision par la réduction duchamp opératoire et y favorise une meilleure vision par la réduction du
saignementsaignement..
 Infiltration directe de la papilleInfiltration directe de la papille
L'injection de l'anesthésique dans la papille interdentaire, avant uneL'injection de l'anesthésique dans la papille interdentaire, avant une
gingivectomie par exemple, peut accroître l'effet anesthésique et l'ischémiegingivectomie par exemple, peut accroître l'effet anesthésique et l'ischémie
du tissu.du tissu.
 Anesthésie de surface .
 Anesthésie parapicale .
 Infiltration dans la papille interdentaire .
 Curettes:Curettes: (spécifique : un seul bord tranchant ou(spécifique : un seul bord tranchant ou
universelle : deux bords tranchants) .universelle : deux bords tranchants) .
Utilisés tant pour les détartrage sus et sous gingivauxUtilisés tant pour les détartrage sus et sous gingivaux
que pour le surfaçage radiculaire.que pour le surfaçage radiculaire.
Sa partie travaillante est constitué d’une lame enSa partie travaillante est constitué d’une lame en
forme de cuillère qui possede 02 bords tranchants.forme de cuillère qui possede 02 bords tranchants.
EElles permettent d'atteindre le fond des Poches aveclles permettent d'atteindre le fond des Poches avec
une distension minimale des tissus.une distension minimale des tissus.
La partie active-travaillanteLa partie active-travaillante
Instrumentation et techniques
Instrumentation et techniques
Curettes de Deppler .
Curettes de Gracey .
Instrumentation et techniques
-- Surfaçage radiculaire:Surfaçage radiculaire:
Consiste à appliquer une série de longues tractions avec une
pression latérale légère jusqu’à l’obtention d’une surface dure ,lisse
et propre.
Surfaçage radiculaire .
* Curetage de la paroi molle: La curette est appliquée contre la paroi
molle de la poche puis déplacée de manière continue depuis la base
de la poche vers la crête gingivale en contrôlant ce mouvement par
application du doigt sur la face externe de la gencive marginale. La
poche subie un mouvement d ’évidage ou de raclage.
* Lavage à l ’aide d ’antiseptiques.
* Compression ferme à l ’aide de compresse pendant 02-03 min pour
favoriser la formation d ’un caillot et obtenir l ’adaptation des tissus
parodontaux à la surface dentaire.
le curetage
Curetage parodontal:aspect technique.Curetage parodontal:aspect technique.
Instrumentation et techniques
Grattoire falciforme:Grattoire falciforme:
Fabriqué avec une lame courbe ou droite deFabriqué avec une lame courbe ou droite de
section triangulaire ,possédant 02 bordssection triangulaire ,possédant 02 bords
coupants .utilisé pour le débridement ou lecoupants .utilisé pour le débridement ou le
détartrage des poches profondes .détartrage des poches profondes .
Leur extrémité fine et leur rigidité rendentLeur extrémité fine et leur rigidité rendent
habituellement le travailhabituellement le travail plus efficace et plusplus efficace et plus
rapiderapide..
Grattoirs à tartre .
Grattoires en forme de houe:Grattoires en forme de houe:
Ne possede qu’un bord coupant ,la lameNe possede qu’un bord coupant ,la lame
fait un angle de 100fait un angle de 100º avec le col et son bordº avec le col et son bord
coupant est biseauté à 45º.coupant est biseauté à 45º.
La houe est principalement utilisé pourLa houe est principalement utilisé pour
éliminer le tartre adhérant fortement au fondéliminer le tartre adhérant fortement au fond
des poches très étroites et profondes, avecdes poches très étroites et profondes, avec
un mouvement de traction.un mouvement de traction.
Instrumentation et techniques
 Grattoirs en forme de Houe.
Instrumentation et techniques
Surface par surface (Grattoirs en forme de
Houe) .
Ciseaux parodontale:Ciseaux parodontale:
pour l'élimination rapide des concrétions tartriques suprapour l'élimination rapide des concrétions tartriques supra
gingivales volumineuses de la zone rétro incisivegingivales volumineuses de la zone rétro incisive
inférieure.inférieure.
- L'instrument, introduit dans l'espace interdentaire par- L'instrument, introduit dans l'espace interdentaire par
abord vestibulaire et détache le tartre.abord vestibulaire et détache le tartre.
Instrumentation et techniques
Le ciseau (mouvement de
Instrumentation et techniques
4.2.7.2.4.2.7.2. INSTRUMENTATIONS SONIQUES ::
 Les deux detartreurs soniques : (a) SoniFlex™ (KaVo)
(b)Titan SW™ (Star
Formes des inserts
utilisés avec detartreurs
soniques du SonicFlex™.
a b
Instrumentation et techniques
4.2.7.2.instruments ultrasoniques:4.2.7.2.instruments ultrasoniques:
Détartreur ultrasonique .
 Le Système Victor ™
11-2.2.Détartreurs et curettes :11-2.2.Détartreurs et curettes :
 Détartreur ultrasonique .
detartreurs soniques
.
Instrumentation et techniques
Le détartrage sous gingivale avec le détartreur .
11-2.Instruments de chirurgie :11-2.Instruments de chirurgie :
11-2.1.Bistouri :11-2.1.Bistouri : On distingue deux types On distingue deux types 
-Manuels :-Manuels :
à lame jetable : Bard Parker, lame 11,12 ou 15.à lame jetable : Bard Parker, lame 11,12 ou 15.
à lame fixe : Dorban, Kirkland, Crane Kaplan.à lame fixe : Dorban, Kirkland, Crane Kaplan.
-Electriques : pour l’electrochirurgie (plastie-Electriques : pour l’electrochirurgie (plastie
gingivale ou papillectomie).gingivale ou papillectomie).
Bistouris à gingivectomie .
Lames de bistoutis .
Bistouri électrique .
11-2.4.Instruments de manipulation des11-2.4.Instruments de manipulation des
lambeaux :lambeaux :
Décolleur, écarteur, précelle chirurgicale, pinceDécolleur, écarteur, précelle chirurgicale, pince
hémostatique, pince porte aiguille, ciseau gingival ethémostatique, pince porte aiguille, ciseau gingival et
ciseaux à suture.ciseaux à suture.
 Décolleur .
 Précelle
chirurgicale .
 Porte
aiguille .
11-2.3.Instuments11-2.3.Instuments
de la résectionde la résection
osseuse :osseuse :
Pince gouge, ciseaux àPince gouge, ciseaux à
os, fraise chirurgicaleos, fraise chirurgicale
(en acier ou(en acier ou
diamantée), lime,diamantée), lime,
turbine ou contreturbine ou contre
angle (sous irrigationangle (sous irrigation
abondanteabondante).).
 Fraises à os . Pince gouge
.

Instrumentation en medecine dentaire

  • 1.
  • 2.
    11-Instrumentation11-Instrumentation chirurgicale :chirurgicale : 11-1.Plateau standard :11-1.Plateau standard : Precelle, miroir, sondePrecelle, miroir, sonde exploratrice, sondeexploratrice, sonde parodontale graduée,parodontale graduée, spatule à bouche,spatule à bouche, seringue à anesthésie etseringue à anesthésie et canule d’aspiration (fil decanule d’aspiration (fil de suture).suture).
  • 5.
    Fig.9.3 La SondeParodontale tactile CPI
  • 8.
    12-Anesthésie parodontale :12-Anesthésie parodontale : Anesthésie tronculaireAnesthésie tronculaire L'anesthésie tronculaire proprement dite n'est utilisée en chirurgieL'anesthésie tronculaire proprement dite n'est utilisée en chirurgie parodontale que pour les lésions molaires et prémolaires (anesthésieparodontale que pour les lésions molaires et prémolaires (anesthésie tronculaire du nerf dentaire inférieur).tronculaire du nerf dentaire inférieur).  Anesthésie localeAnesthésie locale Son avantage est qu'elle assure une certaine vasoconstriction dans leSon avantage est qu'elle assure une certaine vasoconstriction dans le champ opératoire et y favorise une meilleure vision par la réduction duchamp opératoire et y favorise une meilleure vision par la réduction du saignementsaignement..  Infiltration directe de la papilleInfiltration directe de la papille L'injection de l'anesthésique dans la papille interdentaire, avant uneL'injection de l'anesthésique dans la papille interdentaire, avant une gingivectomie par exemple, peut accroître l'effet anesthésique et l'ischémiegingivectomie par exemple, peut accroître l'effet anesthésique et l'ischémie du tissu.du tissu.
  • 10.
     Anesthésie desurface .  Anesthésie parapicale .  Infiltration dans la papille interdentaire .
  • 11.
     Curettes:Curettes: (spécifique: un seul bord tranchant ou(spécifique : un seul bord tranchant ou universelle : deux bords tranchants) .universelle : deux bords tranchants) . Utilisés tant pour les détartrage sus et sous gingivauxUtilisés tant pour les détartrage sus et sous gingivaux que pour le surfaçage radiculaire.que pour le surfaçage radiculaire. Sa partie travaillante est constitué d’une lame enSa partie travaillante est constitué d’une lame en forme de cuillère qui possede 02 bords tranchants.forme de cuillère qui possede 02 bords tranchants. EElles permettent d'atteindre le fond des Poches aveclles permettent d'atteindre le fond des Poches avec une distension minimale des tissus.une distension minimale des tissus. La partie active-travaillanteLa partie active-travaillante Instrumentation et techniques
  • 12.
  • 13.
  • 14.
    Instrumentation et techniques --Surfaçage radiculaire:Surfaçage radiculaire: Consiste à appliquer une série de longues tractions avec une pression latérale légère jusqu’à l’obtention d’une surface dure ,lisse et propre. Surfaçage radiculaire .
  • 15.
    * Curetage dela paroi molle: La curette est appliquée contre la paroi molle de la poche puis déplacée de manière continue depuis la base de la poche vers la crête gingivale en contrôlant ce mouvement par application du doigt sur la face externe de la gencive marginale. La poche subie un mouvement d ’évidage ou de raclage. * Lavage à l ’aide d ’antiseptiques. * Compression ferme à l ’aide de compresse pendant 02-03 min pour favoriser la formation d ’un caillot et obtenir l ’adaptation des tissus parodontaux à la surface dentaire. le curetage Curetage parodontal:aspect technique.Curetage parodontal:aspect technique.
  • 17.
    Instrumentation et techniques Grattoirefalciforme:Grattoire falciforme: Fabriqué avec une lame courbe ou droite deFabriqué avec une lame courbe ou droite de section triangulaire ,possédant 02 bordssection triangulaire ,possédant 02 bords coupants .utilisé pour le débridement ou lecoupants .utilisé pour le débridement ou le détartrage des poches profondes .détartrage des poches profondes . Leur extrémité fine et leur rigidité rendentLeur extrémité fine et leur rigidité rendent habituellement le travailhabituellement le travail plus efficace et plusplus efficace et plus rapiderapide..
  • 18.
  • 20.
    Grattoires en formede houe:Grattoires en forme de houe: Ne possede qu’un bord coupant ,la lameNe possede qu’un bord coupant ,la lame fait un angle de 100fait un angle de 100º avec le col et son bordº avec le col et son bord coupant est biseauté à 45º.coupant est biseauté à 45º. La houe est principalement utilisé pourLa houe est principalement utilisé pour éliminer le tartre adhérant fortement au fondéliminer le tartre adhérant fortement au fond des poches très étroites et profondes, avecdes poches très étroites et profondes, avec un mouvement de traction.un mouvement de traction. Instrumentation et techniques
  • 21.
     Grattoirs enforme de Houe.
  • 22.
    Instrumentation et techniques Surfacepar surface (Grattoirs en forme de Houe) .
  • 23.
    Ciseaux parodontale:Ciseaux parodontale: pourl'élimination rapide des concrétions tartriques suprapour l'élimination rapide des concrétions tartriques supra gingivales volumineuses de la zone rétro incisivegingivales volumineuses de la zone rétro incisive inférieure.inférieure. - L'instrument, introduit dans l'espace interdentaire par- L'instrument, introduit dans l'espace interdentaire par abord vestibulaire et détache le tartre.abord vestibulaire et détache le tartre. Instrumentation et techniques Le ciseau (mouvement de
  • 25.
    Instrumentation et techniques 4.2.7.2.4.2.7.2.INSTRUMENTATIONS SONIQUES ::  Les deux detartreurs soniques : (a) SoniFlex™ (KaVo) (b)Titan SW™ (Star Formes des inserts utilisés avec detartreurs soniques du SonicFlex™. a b
  • 26.
    Instrumentation et techniques 4.2.7.2.instrumentsultrasoniques:4.2.7.2.instruments ultrasoniques: Détartreur ultrasonique .  Le Système Victor ™
  • 27.
    11-2.2.Détartreurs et curettes :11-2.2.Détartreurset curettes :  Détartreur ultrasonique . detartreurs soniques .
  • 28.
    Instrumentation et techniques Ledétartrage sous gingivale avec le détartreur .
  • 31.
    11-2.Instruments de chirurgie :11-2.Instrumentsde chirurgie : 11-2.1.Bistouri :11-2.1.Bistouri : On distingue deux types On distingue deux types  -Manuels :-Manuels : à lame jetable : Bard Parker, lame 11,12 ou 15.à lame jetable : Bard Parker, lame 11,12 ou 15. à lame fixe : Dorban, Kirkland, Crane Kaplan.à lame fixe : Dorban, Kirkland, Crane Kaplan. -Electriques : pour l’electrochirurgie (plastie-Electriques : pour l’electrochirurgie (plastie gingivale ou papillectomie).gingivale ou papillectomie).
  • 32.
    Bistouris à gingivectomie. Lames de bistoutis .
  • 36.
  • 37.
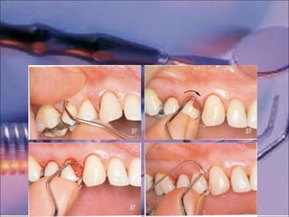
    11-2.4.Instruments de manipulationdes11-2.4.Instruments de manipulation des lambeaux :lambeaux : Décolleur, écarteur, précelle chirurgicale, pinceDécolleur, écarteur, précelle chirurgicale, pince hémostatique, pince porte aiguille, ciseau gingival ethémostatique, pince porte aiguille, ciseau gingival et ciseaux à suture.ciseaux à suture.  Décolleur .  Précelle chirurgicale .  Porte aiguille .
  • 38.
    11-2.3.Instuments11-2.3.Instuments de la résectiondela résection osseuse :osseuse : Pince gouge, ciseaux àPince gouge, ciseaux à os, fraise chirurgicaleos, fraise chirurgicale (en acier ou(en acier ou diamantée), lime,diamantée), lime, turbine ou contreturbine ou contre angle (sous irrigationangle (sous irrigation abondanteabondante).).  Fraises à os . Pince gouge .