JOURNÉE SANOFI DE LA MÉDECINE D’URGENCES
DEAUVILLE 2014
Dr. Carlos SENTIAS CANELLAS – Praticien Hospitalier / Médecin Échographiste
C’est quoi déjà le score d’Ottawa?
ž  Score Clinique
ž  Objectifs
—  Permettre de trier les traumatismes de
Cheville
—  Décider de la réalisation de clichés
radiographiques
—  Optimiser les temps de passages aux
urgences
—  En toute sécurité pour les patients (Limiter
les faux négatifs)
Le Score d’Ottawa
En l’absence d’éléments distractifs : Ivresse, troubles mnésiques, etc…
Critères de Validité - EBM
Bachmannn L, Kolb E, Koller M et al. Accuracy of Ottawa ankle rules to exclude fractures of the ankle and mid-food : systematic review.
BMJ
2003 ; 326 : 417-23
Ça veut dire quoi, au juste?
ž  Très bonne sensibilité (≃100%)
—  Meilleure dans les 48 premières heures
ž  Faible spécificité (26 à 40%)
ž  Rapport de vraisemblance Négatif
excellent
—  Test Négatif permet d’exclure une fracture
avec une très grande probabilité
—  47 faux négatifs (0,3%) sur 15581 patients
Bachmannn L, Kolb E, Koller M et al. Accuracy of Ottawa ankle rules to exclude fractures of the ankle and mid-food : systematic review.
BMJ
2003 ; 326 : 417-23
1ère cause de passage aux Urgences
ž  7% des passages aux urgences
hospitalières
ž  >6000 cas par jour
ž  >2 millions /an
ž  <35 ans
ž  25% de tous les accidents sportifs
Au début était…
Pr Kamina : Anatomie clinique – 4ème édition; Les membres. Maloine
Cheville – Face Latérale
Utiliser l’échographie pour améliorer la
spécificité
ž  L’échographie voit « mieux » que la radio la
surface de l’os et donc les solutions de
continuité
ž  L’échographie complète la radiographie en
voyant les parties molles
—  Epanchements articulaires et capsules
—  Ligaments et Retinacula
—  Muscles-Tendons-Vaisseaux-Nerfs
ž  Le tout à moindre coût et sans irradiation
2 objectifs
ž  Améliorer la spécificité du score
d’Ottawa en augmentant le nombre de
« vrais positifs »
ž  Diagnostiquer les lésions de la
syndesmose antérieure méconnues par
le score d’Ottawa « classique »
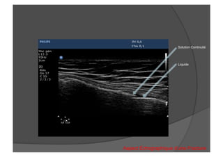
ž  Aspect : ligne hyperéchogène + atténuation postérieure
Os
Solution Continuité
Liquide
Aspect Échographique d’une Fracture
Sonographic Ottawa
Le score clinique
ž  Ottawa + <22% de fractures (1/5)
ž  Ottawa + 80% fractures = 0 (4/5)
d’où l’idée d’utiliser l’échographie
ž  Étude prospective de cohorte
ž  Âge >16 ans
ž  Inclusions : Ottawa + (110 cas)
ž  Exclusions des lésions sévères antérieures
ž  Formation de deux jours ÉCHOGRAPHIE MSQ
ž  En aveugle des résultats de la radiographie
SOFAR Study
Se = 90,9%
Spe = 90,9%
Impact estimé
↘︎ demandes de Rx
de 80%
CCAM
Cheville 1à3 incidences
19,95€
Économie potentielle
(2M×80%) × 19,95
31,9 M€
The Sonographic Ottawa Foot and Ankle Rules Study (the SOFAR Study)
Marieta D Canagasabey,1 Michael J Callaghan,2 Simon Carley3
Emerg Med J 2011;28:838-840.
Explorer la zone grisée pré-fibulaire
Elément de la syndesmose tibio-fibulaire inférieure
—  Ligament tibio-fibulaire antéro-inférieur = LTFAI , 1er lésé
—  Membrane inter-osseuse
—  Ligament tibio-fibulaire postéro-inférieur
Fibula Tibia
LTFAI
LTFA
Intérêt de rechercher une lésion du
LTFAI?
ž  Identifier une lésion de la syndesmose associée à une entorse du
LCL
ž  Insuffisance de l’imagerie Rx
Se pour le diastasis : Rx = 64.8%, CT = 82.3% (Parades-Vazquez
2011)
ž  Différence de prise en charge majeure :
⇒ Bloquer la flexion / extension
d1 > d2
ž  Source de douleur chronique et d’instabilité, si mal traitée
d1
d2
Entorse bénigne
Epaississement
comparer au côté sain !
Hypoéchogène
+/- liquide ou sang au
contact
Image G Morvan
Entorse grave :
• Interruption
• Désinsertion
• Arrachement osseux
Démasqué en dorsiflexion +
++
Passage de liquide / sang
Images JL Brasseur et G Mercy – La Pitié Salpetrière
OTTAWA - OTTAWA +
ECHOGRAPHIE
LTFAI
Rx
Diastasis,
Arrachement osseux TFI
NON OUI
Traitement « classique » Traitement entorse tibio-fibulaire
Botte 6 semaines
- +

04 ottawa échographique de la cheville

  • 1.
    JOURNÉE SANOFI DELA MÉDECINE D’URGENCES DEAUVILLE 2014 Dr. Carlos SENTIAS CANELLAS – Praticien Hospitalier / Médecin Échographiste
  • 2.
    C’est quoi déjàle score d’Ottawa? ž  Score Clinique ž  Objectifs —  Permettre de trier les traumatismes de Cheville —  Décider de la réalisation de clichés radiographiques —  Optimiser les temps de passages aux urgences —  En toute sécurité pour les patients (Limiter les faux négatifs)
  • 3.
    Le Score d’Ottawa Enl’absence d’éléments distractifs : Ivresse, troubles mnésiques, etc…
  • 4.
    Critères de Validité- EBM Bachmannn L, Kolb E, Koller M et al. Accuracy of Ottawa ankle rules to exclude fractures of the ankle and mid-food : systematic review. BMJ 2003 ; 326 : 417-23
  • 5.
    Ça veut direquoi, au juste? ž  Très bonne sensibilité (≃100%) —  Meilleure dans les 48 premières heures ž  Faible spécificité (26 à 40%) ž  Rapport de vraisemblance Négatif excellent —  Test Négatif permet d’exclure une fracture avec une très grande probabilité —  47 faux négatifs (0,3%) sur 15581 patients Bachmannn L, Kolb E, Koller M et al. Accuracy of Ottawa ankle rules to exclude fractures of the ankle and mid-food : systematic review. BMJ 2003 ; 326 : 417-23
  • 6.
    1ère cause depassage aux Urgences ž  7% des passages aux urgences hospitalières ž  >6000 cas par jour ž  >2 millions /an ž  <35 ans ž  25% de tous les accidents sportifs
  • 7.
    Au début était… PrKamina : Anatomie clinique – 4ème édition; Les membres. Maloine Cheville – Face Latérale
  • 8.
    Utiliser l’échographie pouraméliorer la spécificité ž  L’échographie voit « mieux » que la radio la surface de l’os et donc les solutions de continuité ž  L’échographie complète la radiographie en voyant les parties molles —  Epanchements articulaires et capsules —  Ligaments et Retinacula —  Muscles-Tendons-Vaisseaux-Nerfs ž  Le tout à moindre coût et sans irradiation
  • 9.
    2 objectifs ž  Améliorerla spécificité du score d’Ottawa en augmentant le nombre de « vrais positifs » ž  Diagnostiquer les lésions de la syndesmose antérieure méconnues par le score d’Ottawa « classique »
  • 10.
    ž  Aspect :ligne hyperéchogène + atténuation postérieure Os
  • 11.
  • 12.
    Sonographic Ottawa Le scoreclinique ž  Ottawa + <22% de fractures (1/5) ž  Ottawa + 80% fractures = 0 (4/5) d’où l’idée d’utiliser l’échographie ž  Étude prospective de cohorte ž  Âge >16 ans ž  Inclusions : Ottawa + (110 cas) ž  Exclusions des lésions sévères antérieures ž  Formation de deux jours ÉCHOGRAPHIE MSQ ž  En aveugle des résultats de la radiographie
  • 13.
    SOFAR Study Se =90,9% Spe = 90,9% Impact estimé ↘︎ demandes de Rx de 80% CCAM Cheville 1à3 incidences 19,95€ Économie potentielle (2M×80%) × 19,95 31,9 M€ The Sonographic Ottawa Foot and Ankle Rules Study (the SOFAR Study) Marieta D Canagasabey,1 Michael J Callaghan,2 Simon Carley3 Emerg Med J 2011;28:838-840.
  • 14.
    Explorer la zonegrisée pré-fibulaire
  • 15.
    Elément de lasyndesmose tibio-fibulaire inférieure —  Ligament tibio-fibulaire antéro-inférieur = LTFAI , 1er lésé —  Membrane inter-osseuse —  Ligament tibio-fibulaire postéro-inférieur Fibula Tibia LTFAI LTFA
  • 16.
    Intérêt de rechercherune lésion du LTFAI? ž  Identifier une lésion de la syndesmose associée à une entorse du LCL ž  Insuffisance de l’imagerie Rx Se pour le diastasis : Rx = 64.8%, CT = 82.3% (Parades-Vazquez 2011) ž  Différence de prise en charge majeure : ⇒ Bloquer la flexion / extension d1 > d2 ž  Source de douleur chronique et d’instabilité, si mal traitée d1 d2
  • 18.
    Entorse bénigne Epaississement comparer aucôté sain ! Hypoéchogène +/- liquide ou sang au contact Image G Morvan
  • 19.
    Entorse grave : • Interruption • Désinsertion • Arrachementosseux Démasqué en dorsiflexion + ++ Passage de liquide / sang Images JL Brasseur et G Mercy – La Pitié Salpetrière
  • 20.
    OTTAWA - OTTAWA+ ECHOGRAPHIE LTFAI Rx Diastasis, Arrachement osseux TFI NON OUI Traitement « classique » Traitement entorse tibio-fibulaire Botte 6 semaines - +