Centre hospitalier de l’Université de Montréal
AVC aigu : thrombolyse et
traitement endovasculaire
Entretiens Vasculaires XXXI
vendredi, 3 mai 2012
Alexandre Y. Poppe MD CM, FRCPC
Neurologue vasculaire
Hopital Notre-Dame, CHUM
alexandre.yves.poppe@umontreal.ca
Divulgations
 Investigateur principal local pour IMS-3
 Honoraires
• Conférencier: Boehringer-Ingelheim,
Sanofi-BMS
• Comité consultatif: Octapharma, Pfizer-
BMS
Plan
 La thrombolyse intraveineuse
 La therapie endovasculaire
Traitement de l’AVC aigu
 Admission dans une Unité d’AVC
• Soins infirmiers spécialisés
• Normoglycémie/normothermie/euvolémie
• Thromboprophylaxie
• Évaluation précoce par une équipe
multidisciplinaire
 Antiplaquéttaires
 Anticoagulation
Time is Brain!
Après un AVC, un patient perd
1.9 million de neurones,
14 milliards de synapses,
12 km de fibres myélinisées
PAR MINUTE
Stroke. 2006 Jan;37(1):263-6
La pénombre ischémique
Occlusion artérielle Baisse de
CBF
“Coeur” de l’infarcissement:
CBF trop bas pour maintenir
l’intégrité membranaire des
cellules (échec des pompes
ioniques)
<10ml/100g/min
Mort cellulaire en qq minutes
Pénombre ischémique:
CBF trop bas pour soutenir activite
électrique, mais intégrité
membranaire intacte
10-20ml/100g/min
Tissu pouvant être “sauvé”
Prémisse de base en AVC aigu:
une recanalisation complete et
rapide de la lesion arterielle
occlusive est essentielle!
Courtesy A. Demchuk
Neurology. 2009 September 29; 73(13): 1066–1072
Traitement standard:
Thrombolyse IV
AVC aigu: Thrombolyse 0-3 hrs
N Engl J Med.1995;333:1581-1587.
NINDS-tPA
 RCT à double insu de 624 patients avec
AVC aigu
 Placebo vs rtPA (0.9 mg/kg
IV, maximum 90 mg) ≤3 heures
NINDS-tPA: 90 jours
 12% augmentation
absolue d’issue
favorable
 NNT ≈ 8
 OR = 1.7 (95%CI
1.2-2.6)
NINDS-tPA: Hémorragie et mortalité
HIC symptomatique ≤36 heures
6.4% vs 0.6% (p<0.001)
61% des patients avec sICH morts à 90 jours
Mortalité
17% vs 21% (p=0.30)
AVC aigu: Thrombolyse 3 - 4.5 hrs
N Engl J Med 2008 Sep 25;359(13):1317-29
ECASS-3
 RCT à double insu dans 110 hôpitaux
dans 15 pays européens
 821 patients traités avec placebo vs
tPA-IV
 418 tPA, 403 placebo
ECASS-3: Résultats
 OTTT médian :
3h59min
 7.2% augmentation
absolue d’issue
favorable (52.4% vs.
45.2%)
 NNT ≈ 14
 OR 1.34 (95%CI 1.02
to 1.76)
ECASS-3: Hémorragie et mortalité
HIC symptomatique
Définition NINDS : 7.9 vs 3.5% (p=0.006)
Mortalité
7.7% vs 8.4% (p=0.68)
AVC aigu: Thrombolyse 0-6 hrs
Lancet 2012 Jun 23;379(9834):2352-63
IST-3
 RCT ouvert 156 hôpitaux dans 12 pays
européens
 3035 patients traités avec placebo vs
tPA-IV
 1515 tPA, 1520 placebo
IST-3
 OTTT médian: 4.2 heures
 Issue favorable: 37% vs 35%
(p=0.181)
 HIC à 7 jours: 3% vs 1% (p<0.0001)
 Mortalite à 6 mois: 27% vs 27%
(p=0.672)
 Étude négative mais renforce la notion
d’éfficacité
• Chez les patients >80 ans
• OTTT < 3 heures
tPA IV: Méta-analyse 2010
 NINDS, ATLANTIS, ECASS (1, 2, et 3) et
EPITHET (n=3670)
 “Outcome” favorable (mRS 0-1)
Delai de Tx (min) OR (95% CI) NNT
0-90 2.6 (1.4-4.5) 4.5
91-180 1.6 (1.1-2.4) 9
181-270 1.3 (1.1-1.7) 14.1
271-360 1.2 (0.9-1.6) 21.4
Lees KR et al. Lancet. 2010;375(9727):1695.
Courtesy A. Demchuk
L’approche intra-artérielle
tPA IV
Avantages
 Disponibilité
 Acces rapide
 Facilité d’administration
 Bénéfice clinique
documenté dans
plusieurs études et
registres
Inconvénients
 Faible taux de
recanalisation (TIMI 2-
3)1
• CI 10%
• ACM M1 25%
• M2-M3 40%
 Hémorragie
intracérébrale
 Hémorragie systémique
1 Wolpert AJNR 1993, Yamaguchi Cerebrovasc Dis 1993, Mori, Neurology 1992
Approche endovasculaire
(tPA +/- mécanique)
Avantages
 Meilleurs taux de
recanalisation:
• 40-85%
 Plus longue fenêtre de
Tx ?
 Visualisation en temps
réel de la recanalisation
Inconvénients
 Delai entre AVC et
angio
 Centres spécialisés
seulement
 Complications
(dissection, perforation
etc.)
 Embolies distales
 Anesthésie/intubation?
Thrombolyse intra-arterielle
PROACT II
 RCT de patients avec occlusion ACM traités en <6
heures
 NIHSS médian = 17
 Pro-urokinase IA + héparine IV (n=121) vs héparine
IV (n=59)
 Recanalisation (par angio): 66 vs 18% (p<0.001)
 mRS 0-2 a 90 jours: 40% vs 25% (p=0.04)
 HIC symptomatique: 10% vs 2% (p=0.06)
Furlan A et al. JAMA. 1999;282(21):2003.
Embolectomie mécanique
 3 appareils
approuvés par le
FDA
• MERCI
• Penumbra
• Solitaire
 Registres, séries
mono-centriques,
contrôles historiques
Appareils d’embolectomie
MERCI
MERCI et MultiMERCI
 Registres prospectifs
 Contre-indication au tPA-IV <3hrs ou Tx 3-8
hrs
 Recanalisation 46 -57%
• sICH 8-10%
• Mortalité 34-44%
• mRS 0-2 à 90jrs 28-36%
Smith WS et al. Stroke. 2005;36(7):1432.
Smith WS et al. Stroke. 2008 Apr;39(4):1205-12.
Appareils d’embolectomie
PENUMBRA
Penumbra pivotal stroke trial
 N=125
 Tx IA ad 8 hrs avec CI au tPA-IV ou
après «echec» de tPA-IV
• Recanalisation 81.6%
• mRS 0-2 à 90jrs 25%
• sICH 11.2%
• Mortalité 32.8%
Stroke. 2009 Aug;40(8):2761-8.
Appareils d’embolectomie
“Stentrievers”
SOLITAIRE
TREVO
Lancet. 2012 Oct 6;380(9849):1241-9.
Lancet 2012 Oct 6;380(9849):1231-40
Traitement combiné ou “bridging”
IV-IA combiné: l’evidence
Emergency Management of Stroke (EMS)1
 Meilleure recanalisation (TIMI 2-3) pour IV/IA vs IA
seul (81% versus 50%)
IMS I2
 IV-IA < 3 heures avec NIHSSS ≥ 10 (median 18)
 Pour NIHSS ≥ 20
• Devenir favorable à 3 mois:
IMS I 42%
NINDS tPA 21%
1. Stroke. 1999 Dec;30(12):2598-605.
2. Stroke. 2004;35(4):904
IV-IA combiné : l’évidence
RECANALISE
 Registre prospectif
“before and after”
 tPA IV versus tPA
IV + endovasculaire
IV
(n=107)
IV-IA
(n=53)
P value
Recanalisation 52% 87% <0.0001
Early
neurological
improvement
39% 60% 0.07
mRS 0-2 at 90
days
44% 57% 0.13
Death at 90
days
17% 17% 0.98
sICH 11% 9% 0.73
Mazighi M et al. Lancet Neurol. 2009 Sep;8(9):802-9.
Devrons-nous appeler la NRI?
Thrombolyse au CHUM
Année Nombre de cas
IV-IA
Nombre de cas
IV
Nombre de cas
IA seul
2003 0 31 3
2004 1 24 7
2005 0 31 9
2006 2 32 9
2007 3 34 7
2008 5 36 11
2009 13 48 10
2010 17 43 12
2011 26 60 9
2012 22 62 29
2013 (ad 30 avril)
Données colligées par R. Cournoyer
YD
Données colligées par Y. Deschaintre et R. Cournoyer
0%
10%
20%
30%
40%
50%
60%
70%
80%
90%
100%
1 2 3 4 5 6 7 8 9 10 11 12
CombinéIA seulIV seul
105
Années 2001 à 2012
Thrombolyse au CHUM
NEJM 7 février 2013: la douche froide
 N=656 (IV seul-222, IV-IA=434)
N Engl J Med 2013;368:893-903
IMS-3
IMS-3: post-mortem
 tPA IV meilleur qu’on croyait?
 Patients endovasculaires traités trop
tard?
 Changements ischémiques trop
étendus?
 « Devices » de thrombectomie désuets?
SYNTHESIS
N Engl J
Med 2013;368:904-913
MR RESCUE
N Engl J
Med 2013;368:914-923
Et les lignes directrices?
Thrombolyse IA
Lignes directrices canadiennes 2010
Thrombolyse IA
AHA Guidelines 2013
Thrombolyse IA
ACCP Guidelines 2012
Comment décider d’une thérapie
endovasculaire...
Clinique
 Age du patient (<80 ans?)
 Sévérité du déficit (NIHSS
>20?)
 Possibilité de Tx ultra-rapide
Imagerie
 Parenchyme préservé/petit
volume d’infarctus
 Site d’occlusion (carotide,
basilaire, tandem)
 “Clot burden/length” (>2cm)
 Mismatch significatif
 Bonne circulation collatérale
Courtesy A. Demchuk
Stroke 2011 Jan;42(1):93-7
Conclusions
 En AVC aigu, la recanalisation et le temps de
recanalisation sont fortement liés à un
devenir favorable
 La recanalisation reste modeste avec la
thrombolyse IV
 Elle est supérieure avec l’approche
endovasculaire IA
Conclusions
 Les nouveaux instruments endovasculaires
sont supérieures aux plus anciens
 La discordance à date entre les “outcomes”
angiographiques et cliniques indique que
nous devons mieux sélectionner nos patients
 Avec les résultats de IMS-3, la thérapie
endovasculaire en AVC aigu reste à être
prouvée!
Merci
Candidat IV ou IV-IA?
ID: Homme 71 ans, droitier
HMA:
 Hémiplégie gauche et
dysarthrie à 8h00
ATCD:
 Insuffisance cardiaque
(FEVG 25%)
 FAP
 Néo vessie
E/P: SVS
 Hemiparesie G
 Hemianesthesie G avec
heminegligence G
 Dysarthrie
NIHSS 15
Labos: OK
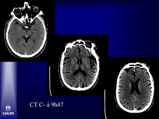
CT C- à 9h47
Bolus tPA-IV à 10h15
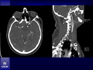
CTA-Source Images
Recanalisation TICI 3 à 11h25
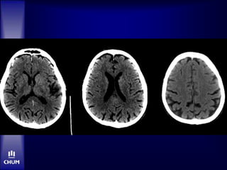
CT C- à 48 heures
Congé jour 5 avec NIHSS 1
Algorithme pour l’approche IV vs IV-IA vs IA
AVC circulation
antérieure
≤4.5 hrs
NIHSS ≥10 NIHSS <10
CT cérébral
+/- CTA gerbe-Willis
CT cérébral
+/- CTA gerbe-Willis
tPA-IV tPA-IV
Age <83 ans
ASPECTS ≥5
Occlusion proximale au CTA
NIHSS 8-9
Occlusion proximale au CTA
Age <83 ans
ASPECTS ≥5
Approche IA à considérer Approche IA à considérer
Contre-indication
au tPA-IV
Algorithme pour l’approche IV vs IV-IA vs IA
AVC circulation antérieure
4.5-6 hrs
NIHSS ≥10
CT cérébral
CTA gerbe-Willis
?CT ou IRM perfusion
ASPECTS ≥5
Occlusion proximale
Approche IA (tPA +/- mécanique)
Algorithme pour l’approche IV vs IV-IA vs IA
AVC aigu de la circulation
postérieure (signes du tronc)
CT cérébral et CTA gerbe-Willis
(ou IRM et Angio-IRM)
Occlusion basilaire
et/ou vertébrale
Basilaire et vertébrales
perméables
≤4.5 hrs
tPA-IV
≤4.5 hrs
4.5 - 24 hrs (?)
Approche IA
Approche IV-IA
Case 2 – Mr. RD
75 year-old RHD male
• Lives with wife, baseline mRS 0
PMH:
• HTN
• Never-smoker
Meds:
• Acebutalol 400 mg qd
Case 2 – Mr. RD
HPI:
 19h17: witnessed sudden onset R hemiplegia,
speech arrest and fall. 911 called.
 19h27: ambulance arrival on site
 20h04: arrival at HND
 20h13: NCCT
 20h30: stroke team assessment
• Dysarthria, expressive aphasia, R hemiplegia
• NIHSS 13
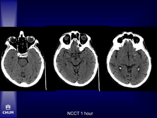
NCCT 1 hour
Case 2 – Mr. RD
NCCT
 L eye deviation, L HMCA
 ASPECTS 10
CTA not done…
 Obvious HMCA
 Disabling NIHSS
 Avoid delays to Angio (NCCT already done)
Case 2 – Mr. RD
 20h55: IV t-PA bolus, 2/3 dose
 21h05: Angio suite. No sedation.
Angio 2 hours
22h40: M1 recanalization
NCCT day 1
Case 2 – Mr. RD
 Favourable in-hospital course
 Discharged on ASA + Clopidogrel +
atorvastatin
 NIHSS 1 at discharge
 At 6 months and 1 year:
• NIHSS 0
• mRS 2 (no longer drives car)
M. N.
 Homme de 62 ans, droitier
• DLP
• Db2 de novo
 AVC ACM gauche
• Déficit fluctuant; NIHSS 16  10
• Famille indécise re. tPA
 CT…
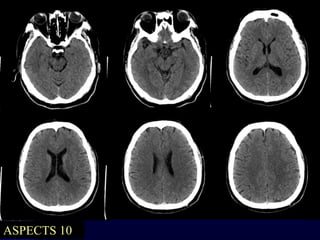
ASPECTS 10
M. N.
 tPA-IV
• OTTT: 3h15
 Hyperglycémie malgré insuline IV
 Aucune amélioration clinique
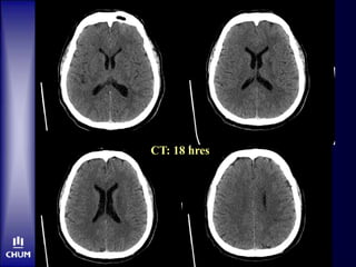
CT: 18 hres
CTA: 18 hres
CTA: 18 hres
M. N.
Jour 3
• Plus somnolent, mutique
• Parésie jambe gauche
Angio-IRM: jour 3
IRM: jour 3
M. N.
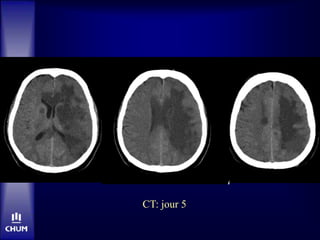
Jour 5
• Comateux
• Mydriase fixe OS
• Consult NeuroChx  aucune intervention
CT: jour 5
M. N.
Jour 6:
• Comateux, tetraplégique
• Mydriase bilatérale
• Soins de confort
• Décès le même jour
CT: jour 6
M. A.: un autre exemple...
 Homme de 50 ans, droitier
• Aucuns antecedents
 AVC ACM gauche
• NIHSS 9 (aphasie)
 CT: pas de changements precoces
 tPA-IV
CT: 18 hres
CTA: 18 hres
M. A.
 24 hres post-tPA
• Deterioration subite
• NIHSS 23
CTA: 24 hres
IA = echec
M. A.
 NIHSS ~ 20 au conge

2013session1 5

  • 1.
    Centre hospitalier del’Université de Montréal AVC aigu : thrombolyse et traitement endovasculaire Entretiens Vasculaires XXXI vendredi, 3 mai 2012 Alexandre Y. Poppe MD CM, FRCPC Neurologue vasculaire Hopital Notre-Dame, CHUM alexandre.yves.poppe@umontreal.ca
  • 2.
    Divulgations  Investigateur principallocal pour IMS-3  Honoraires • Conférencier: Boehringer-Ingelheim, Sanofi-BMS • Comité consultatif: Octapharma, Pfizer- BMS
  • 3.
    Plan  La thrombolyseintraveineuse  La therapie endovasculaire
  • 4.
    Traitement de l’AVCaigu  Admission dans une Unité d’AVC • Soins infirmiers spécialisés • Normoglycémie/normothermie/euvolémie • Thromboprophylaxie • Évaluation précoce par une équipe multidisciplinaire  Antiplaquéttaires  Anticoagulation
  • 5.
    Time is Brain! Aprèsun AVC, un patient perd 1.9 million de neurones, 14 milliards de synapses, 12 km de fibres myélinisées PAR MINUTE Stroke. 2006 Jan;37(1):263-6
  • 6.
    La pénombre ischémique Occlusionartérielle Baisse de CBF “Coeur” de l’infarcissement: CBF trop bas pour maintenir l’intégrité membranaire des cellules (échec des pompes ioniques) <10ml/100g/min Mort cellulaire en qq minutes Pénombre ischémique: CBF trop bas pour soutenir activite électrique, mais intégrité membranaire intacte 10-20ml/100g/min Tissu pouvant être “sauvé”
  • 7.
    Prémisse de baseen AVC aigu: une recanalisation complete et rapide de la lesion arterielle occlusive est essentielle!
  • 8.
  • 9.
    Neurology. 2009 September29; 73(13): 1066–1072
  • 10.
  • 11.
    AVC aigu: Thrombolyse0-3 hrs N Engl J Med.1995;333:1581-1587.
  • 12.
    NINDS-tPA  RCT àdouble insu de 624 patients avec AVC aigu  Placebo vs rtPA (0.9 mg/kg IV, maximum 90 mg) ≤3 heures
  • 13.
    NINDS-tPA: 90 jours 12% augmentation absolue d’issue favorable  NNT ≈ 8  OR = 1.7 (95%CI 1.2-2.6)
  • 14.
    NINDS-tPA: Hémorragie etmortalité HIC symptomatique ≤36 heures 6.4% vs 0.6% (p<0.001) 61% des patients avec sICH morts à 90 jours Mortalité 17% vs 21% (p=0.30)
  • 15.
    AVC aigu: Thrombolyse3 - 4.5 hrs N Engl J Med 2008 Sep 25;359(13):1317-29
  • 16.
    ECASS-3  RCT àdouble insu dans 110 hôpitaux dans 15 pays européens  821 patients traités avec placebo vs tPA-IV  418 tPA, 403 placebo
  • 17.
    ECASS-3: Résultats  OTTTmédian : 3h59min  7.2% augmentation absolue d’issue favorable (52.4% vs. 45.2%)  NNT ≈ 14  OR 1.34 (95%CI 1.02 to 1.76)
  • 18.
    ECASS-3: Hémorragie etmortalité HIC symptomatique Définition NINDS : 7.9 vs 3.5% (p=0.006) Mortalité 7.7% vs 8.4% (p=0.68)
  • 19.
    AVC aigu: Thrombolyse0-6 hrs Lancet 2012 Jun 23;379(9834):2352-63
  • 20.
    IST-3  RCT ouvert156 hôpitaux dans 12 pays européens  3035 patients traités avec placebo vs tPA-IV  1515 tPA, 1520 placebo
  • 21.
    IST-3  OTTT médian:4.2 heures  Issue favorable: 37% vs 35% (p=0.181)  HIC à 7 jours: 3% vs 1% (p<0.0001)  Mortalite à 6 mois: 27% vs 27% (p=0.672)
  • 22.
     Étude négativemais renforce la notion d’éfficacité • Chez les patients >80 ans • OTTT < 3 heures
  • 23.
    tPA IV: Méta-analyse2010  NINDS, ATLANTIS, ECASS (1, 2, et 3) et EPITHET (n=3670)  “Outcome” favorable (mRS 0-1) Delai de Tx (min) OR (95% CI) NNT 0-90 2.6 (1.4-4.5) 4.5 91-180 1.6 (1.1-2.4) 9 181-270 1.3 (1.1-1.7) 14.1 271-360 1.2 (0.9-1.6) 21.4 Lees KR et al. Lancet. 2010;375(9727):1695.
  • 25.
  • 26.
  • 27.
    tPA IV Avantages  Disponibilité Acces rapide  Facilité d’administration  Bénéfice clinique documenté dans plusieurs études et registres Inconvénients  Faible taux de recanalisation (TIMI 2- 3)1 • CI 10% • ACM M1 25% • M2-M3 40%  Hémorragie intracérébrale  Hémorragie systémique 1 Wolpert AJNR 1993, Yamaguchi Cerebrovasc Dis 1993, Mori, Neurology 1992
  • 28.
    Approche endovasculaire (tPA +/-mécanique) Avantages  Meilleurs taux de recanalisation: • 40-85%  Plus longue fenêtre de Tx ?  Visualisation en temps réel de la recanalisation Inconvénients  Delai entre AVC et angio  Centres spécialisés seulement  Complications (dissection, perforation etc.)  Embolies distales  Anesthésie/intubation?
  • 29.
    Thrombolyse intra-arterielle PROACT II RCT de patients avec occlusion ACM traités en <6 heures  NIHSS médian = 17  Pro-urokinase IA + héparine IV (n=121) vs héparine IV (n=59)  Recanalisation (par angio): 66 vs 18% (p<0.001)  mRS 0-2 a 90 jours: 40% vs 25% (p=0.04)  HIC symptomatique: 10% vs 2% (p=0.06) Furlan A et al. JAMA. 1999;282(21):2003.
  • 30.
    Embolectomie mécanique  3appareils approuvés par le FDA • MERCI • Penumbra • Solitaire  Registres, séries mono-centriques, contrôles historiques
  • 31.
  • 32.
    MERCI et MultiMERCI Registres prospectifs  Contre-indication au tPA-IV <3hrs ou Tx 3-8 hrs  Recanalisation 46 -57% • sICH 8-10% • Mortalité 34-44% • mRS 0-2 à 90jrs 28-36% Smith WS et al. Stroke. 2005;36(7):1432. Smith WS et al. Stroke. 2008 Apr;39(4):1205-12.
  • 33.
  • 34.
    Penumbra pivotal stroketrial  N=125  Tx IA ad 8 hrs avec CI au tPA-IV ou après «echec» de tPA-IV • Recanalisation 81.6% • mRS 0-2 à 90jrs 25% • sICH 11.2% • Mortalité 32.8% Stroke. 2009 Aug;40(8):2761-8.
  • 35.
  • 36.
    Lancet. 2012 Oct6;380(9849):1241-9.
  • 37.
    Lancet 2012 Oct6;380(9849):1231-40
  • 38.
    Traitement combiné ou“bridging”
  • 39.
    IV-IA combiné: l’evidence EmergencyManagement of Stroke (EMS)1  Meilleure recanalisation (TIMI 2-3) pour IV/IA vs IA seul (81% versus 50%) IMS I2  IV-IA < 3 heures avec NIHSSS ≥ 10 (median 18)  Pour NIHSS ≥ 20 • Devenir favorable à 3 mois: IMS I 42% NINDS tPA 21% 1. Stroke. 1999 Dec;30(12):2598-605. 2. Stroke. 2004;35(4):904
  • 40.
    IV-IA combiné :l’évidence RECANALISE  Registre prospectif “before and after”  tPA IV versus tPA IV + endovasculaire IV (n=107) IV-IA (n=53) P value Recanalisation 52% 87% <0.0001 Early neurological improvement 39% 60% 0.07 mRS 0-2 at 90 days 44% 57% 0.13 Death at 90 days 17% 17% 0.98 sICH 11% 9% 0.73 Mazighi M et al. Lancet Neurol. 2009 Sep;8(9):802-9.
  • 41.
  • 42.
    Thrombolyse au CHUM AnnéeNombre de cas IV-IA Nombre de cas IV Nombre de cas IA seul 2003 0 31 3 2004 1 24 7 2005 0 31 9 2006 2 32 9 2007 3 34 7 2008 5 36 11 2009 13 48 10 2010 17 43 12 2011 26 60 9 2012 22 62 29 2013 (ad 30 avril) Données colligées par R. Cournoyer
  • 43.
    YD Données colligées parY. Deschaintre et R. Cournoyer 0% 10% 20% 30% 40% 50% 60% 70% 80% 90% 100% 1 2 3 4 5 6 7 8 9 10 11 12 CombinéIA seulIV seul 105 Années 2001 à 2012 Thrombolyse au CHUM
  • 44.
    NEJM 7 février2013: la douche froide
  • 45.
     N=656 (IVseul-222, IV-IA=434) N Engl J Med 2013;368:893-903
  • 46.
  • 47.
    IMS-3: post-mortem  tPAIV meilleur qu’on croyait?  Patients endovasculaires traités trop tard?  Changements ischémiques trop étendus?  « Devices » de thrombectomie désuets?
  • 48.
    SYNTHESIS N Engl J Med2013;368:904-913 MR RESCUE N Engl J Med 2013;368:914-923
  • 49.
    Et les lignesdirectrices?
  • 50.
  • 51.
  • 52.
  • 53.
    Comment décider d’unethérapie endovasculaire... Clinique  Age du patient (<80 ans?)  Sévérité du déficit (NIHSS >20?)  Possibilité de Tx ultra-rapide Imagerie  Parenchyme préservé/petit volume d’infarctus  Site d’occlusion (carotide, basilaire, tandem)  “Clot burden/length” (>2cm)  Mismatch significatif  Bonne circulation collatérale
  • 54.
    Courtesy A. Demchuk Stroke2011 Jan;42(1):93-7
  • 55.
    Conclusions  En AVCaigu, la recanalisation et le temps de recanalisation sont fortement liés à un devenir favorable  La recanalisation reste modeste avec la thrombolyse IV  Elle est supérieure avec l’approche endovasculaire IA
  • 56.
    Conclusions  Les nouveauxinstruments endovasculaires sont supérieures aux plus anciens  La discordance à date entre les “outcomes” angiographiques et cliniques indique que nous devons mieux sélectionner nos patients  Avec les résultats de IMS-3, la thérapie endovasculaire en AVC aigu reste à être prouvée!
  • 57.
  • 58.
    Candidat IV ouIV-IA? ID: Homme 71 ans, droitier HMA:  Hémiplégie gauche et dysarthrie à 8h00 ATCD:  Insuffisance cardiaque (FEVG 25%)  FAP  Néo vessie E/P: SVS  Hemiparesie G  Hemianesthesie G avec heminegligence G  Dysarthrie NIHSS 15 Labos: OK
  • 59.
  • 61.
    Bolus tPA-IV à10h15 CTA-Source Images
  • 62.
  • 63.
    CT C- à48 heures Congé jour 5 avec NIHSS 1
  • 64.
    Algorithme pour l’approcheIV vs IV-IA vs IA AVC circulation antérieure ≤4.5 hrs NIHSS ≥10 NIHSS <10 CT cérébral +/- CTA gerbe-Willis CT cérébral +/- CTA gerbe-Willis tPA-IV tPA-IV Age <83 ans ASPECTS ≥5 Occlusion proximale au CTA NIHSS 8-9 Occlusion proximale au CTA Age <83 ans ASPECTS ≥5 Approche IA à considérer Approche IA à considérer Contre-indication au tPA-IV
  • 65.
    Algorithme pour l’approcheIV vs IV-IA vs IA AVC circulation antérieure 4.5-6 hrs NIHSS ≥10 CT cérébral CTA gerbe-Willis ?CT ou IRM perfusion ASPECTS ≥5 Occlusion proximale Approche IA (tPA +/- mécanique)
  • 66.
    Algorithme pour l’approcheIV vs IV-IA vs IA AVC aigu de la circulation postérieure (signes du tronc) CT cérébral et CTA gerbe-Willis (ou IRM et Angio-IRM) Occlusion basilaire et/ou vertébrale Basilaire et vertébrales perméables ≤4.5 hrs tPA-IV ≤4.5 hrs 4.5 - 24 hrs (?) Approche IA Approche IV-IA
  • 67.
    Case 2 –Mr. RD 75 year-old RHD male • Lives with wife, baseline mRS 0 PMH: • HTN • Never-smoker Meds: • Acebutalol 400 mg qd
  • 68.
    Case 2 –Mr. RD HPI:  19h17: witnessed sudden onset R hemiplegia, speech arrest and fall. 911 called.  19h27: ambulance arrival on site  20h04: arrival at HND  20h13: NCCT  20h30: stroke team assessment • Dysarthria, expressive aphasia, R hemiplegia • NIHSS 13
  • 69.
  • 71.
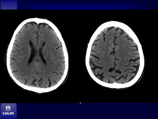
    Case 2 –Mr. RD NCCT  L eye deviation, L HMCA  ASPECTS 10 CTA not done…  Obvious HMCA  Disabling NIHSS  Avoid delays to Angio (NCCT already done)
  • 72.
    Case 2 –Mr. RD  20h55: IV t-PA bolus, 2/3 dose  21h05: Angio suite. No sedation.
  • 73.
  • 75.
  • 76.
  • 78.
    Case 2 –Mr. RD  Favourable in-hospital course  Discharged on ASA + Clopidogrel + atorvastatin  NIHSS 1 at discharge  At 6 months and 1 year: • NIHSS 0 • mRS 2 (no longer drives car)
  • 79.
    M. N.  Hommede 62 ans, droitier • DLP • Db2 de novo  AVC ACM gauche • Déficit fluctuant; NIHSS 16  10 • Famille indécise re. tPA  CT…
  • 80.
  • 81.
    M. N.  tPA-IV •OTTT: 3h15  Hyperglycémie malgré insuline IV  Aucune amélioration clinique
  • 82.
  • 83.
  • 84.
  • 85.
    M. N. Jour 3 •Plus somnolent, mutique • Parésie jambe gauche
  • 86.
  • 87.
  • 88.
    M. N. Jour 5 •Comateux • Mydriase fixe OS • Consult NeuroChx  aucune intervention
  • 89.
  • 90.
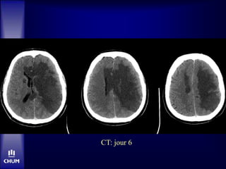
    M. N. Jour 6: •Comateux, tetraplégique • Mydriase bilatérale • Soins de confort • Décès le même jour
  • 91.
  • 92.
    M. A.: unautre exemple...  Homme de 50 ans, droitier • Aucuns antecedents  AVC ACM gauche • NIHSS 9 (aphasie)  CT: pas de changements precoces  tPA-IV
  • 93.
  • 94.
  • 95.
    M. A.  24hres post-tPA • Deterioration subite • NIHSS 23
  • 96.
  • 97.
    M. A.  NIHSS~ 20 au conge