Accident vasculaire cérébral
GHADDAB ANIS
Anesthésie réanimation
Systéme Carotidien : carotides
internes et leurs branches
terminales: art cérébrale
moyenne, antérieure,
communicante postérieure et
communicante antérieure
.
Système vertébro-basilaire
Postérieures
A vertébrale
Tronc Basilaire
A cérébrale antérieure
A communicante
antérieure
A cérébrale moyenne A communicante
postérieureA cérébrale postérieure
Polygone de WillisPolygone de Willis
Sinus longitudinal
supérieur
Sinus longitudinal
Inférieur
Sinus pétreux supérieur
et inférieur
Sinus Droit
Sinus Sphénoïdal
Sinus Caverneux
Sinus Latéral
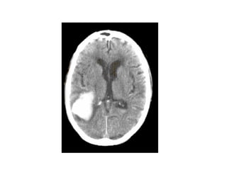
• Patient âgé de 65 ans
• ATCD : HTA sous sectral
• Coma d’installation brutale
• OY : à la douleur RV : confuse RM : retrait
1) Score de Glasgow ?
• Pupilles en position intermédiaire réactives
• Tous les réflexes du tronc cérébral présents
• Hémiplégie gauche
• Température= 37
• TA : 190/120
• FC = 90 batt/min
• CAT immédiate ?
• Examens complémentaires à faire ?
• Glycémie = 1,3 g/l
• Bilan rénal , hépatique et ionogramme sanguin normaux
• Recherche de toxiques : négative
• Faut il traiter l’hypertension artérielle ?
Hypertendu connu ou HVG :
Traiter si PAS > 180 mmHg et/ou PAD > 120 mmHg
Si pas d’ATCD de HTA:
Traiter si PAS > 160 mmHg et/ou PAD > 95 mmHg
Quand traiter HTA si AVC hémorragique ?
Nicardipine (loxen) bolus de 1 mg/5minutes
Pousse seringue électrique : 1 mg/heure
Prévention des agressions cérébrales secondaires d’origine
systémique (ACSOS) :
Hypotension
Hypoxie , Hypo et Hypercapnie
HypoNa+
Anémie
Hypo et Hyperglycémie
Hyperthermie
Normoglycémie
• 2 heures après la patiente a présenté une détérioration
de l’état de conscience avec :
OY : Nulle RM : Extension stéréotypée RV : Nulle
• Mydriase non réactive droite
• Bradycardie à 45 batt/min , TA = 170/110
sous 2 mg/heure loxen
Comment expliquer la bradycardie ?
HTIC + Réflexe de cusching
L’hypertension intracrânienne (HTIC) est une des
complications majeures des AVC .
Elle peut être liée au volume lui-même de l’hématome, à
l’oedème périlésionnel ou à une hydrocéphalie.
Comment expliquer la Mydriase ?
1 ) Engagement sous la faux du cerveau
2) Engagement transtentoriel : temporal
3) Engagement par le trou occipital central
4) Engagement des amygdales cérébelleuses
3
2
1
4
Etiologies d’une mydriase unilatérale aréactive :
1) Choc direct orbitaire
2) Paralysie du III sans engagement temporal :
• Anévrysme de la face postérieure de la carotide
• Dissection chirurgicale du III
• Hématome pédonculaire
3) Paralysie du III par engagement temporal
• Conduite à tenir ?
• Intubation trachéale + Ventilation mécanique
• Bolus Mannitol 20% : 0,5 g / kg en 20 minutes
→ 200 ml en 20 minutes
• Sédation
• Evacuation de l’hématome en urgence
• Prévention des Agressions cérébrales secondaires
d’origine systémique (ACSOS)
AVC hémorragique par surdosage AVK
• Patient âgé de 78 ans
• Coma progressif
• ATCD : HTA , dyslipidémie
• OY : à l’appel RV : confuse RM : orientéé
• Pupilles en position intermédiaire réactives
• Tous les réflexes du tronc cérébral présents
• Hémiplégie droite
• Température= 37
• TA : 170/110 FC = 90 batt/min
• Souffle carotidien
• CAT immédiate ?
• Examens complémentaires de première intention à
faire ?
• Glycémie = 1 g/l
• Bilan rénal , hépatique et ionogramme sanguin normaux
• Recherche de toxiques : négative
• Quel élément à l’interrogatoire manque et qui va
conduire votre attitude thérapeutique ?
• Faut il traiter l’hypertension artérielle ?
• Coma d’installation progressive depuis 12 heures
AVC ischémique vu < 4 H 30
• Thrombolyse intraveineuse (l’idéal < 90 minutes)
rtPA : Altéplase (ACTILYSE) : 0,9 mg/kg ,dose maximale : 90mg
10% de la dose totale en bolus suivie d’une perfusion de 60 minutes
Après 24 heures de la thrombolyse :
• Débuter HBPM dose préventive ( ex : lovenox 40 mg/jour)
• Aspirine : 160 à 325 mg/jour
• TDM cérébrale de contrôle
Signes précoces d’AVC ischémique (sylvien)
AVC ischémique vu > 4 H 30
HBPM dose préventive et aspirine immédiatement
Pour notre patient :
HBPM dose préventive : lovenox : 40mg/jour SC
Aspirine: 250 mg/jour
ANTICOAGULANT EFFICACE
THROMBOPHLEBITRE CEREBRALE ++++
Embolie d’origine cardiaque prouvée ou hautement probable
Dissection artérielle exracranienne
Sténose carotidienne serrée symptomatique pré-chirurgicale
Déficit en protéine C, S ou AT III
Contre-indications:
Hémorragie au scanner cérébral
AVC massif
HTA non contrôlée
Quand traiter HTA si AVC ischémique ?
Si fibrinolyse :
Traiter si PAS > 185 mmHg et/ou PAD > 110 mmHg
Si pas de fibrinolyse :
Traiter si PAS > 220 mmHg et/ou PAD > 120 mmHg
OU si dissection aortique , OAP , encéphalopathie
hypertensive
Quel bilan étiologique faut il faire ?
• ECG
• Echographie cardiaque
• Echographie doppler des troncs supra aortiques
Thrombophlébite cérébrale
TVC : SCANNER CEREBRAL
• Normal dans 30 % des cas
• Peut éliminer autres causes
• Signes directs : hyperdensité avant injection
(SLS, SL, sillon cortical)
delta vide après injection (SLS)
• Signes indirects : œdème cérébral, hématome
Diagnostic de certitude: Angio IRM
Traitement TVC
Héparinothérapie dose hypocoagulante :
dose curative

AVC

  • 1.
    Accident vasculaire cérébral GHADDABANIS Anesthésie réanimation
  • 3.
    Systéme Carotidien :carotides internes et leurs branches terminales: art cérébrale moyenne, antérieure, communicante postérieure et communicante antérieure . Système vertébro-basilaire Postérieures
  • 4.
    A vertébrale Tronc Basilaire Acérébrale antérieure A communicante antérieure A cérébrale moyenne A communicante postérieureA cérébrale postérieure Polygone de WillisPolygone de Willis
  • 5.
    Sinus longitudinal supérieur Sinus longitudinal Inférieur Sinuspétreux supérieur et inférieur Sinus Droit Sinus Sphénoïdal Sinus Caverneux Sinus Latéral
  • 7.
    • Patient âgéde 65 ans • ATCD : HTA sous sectral • Coma d’installation brutale • OY : à la douleur RV : confuse RM : retrait 1) Score de Glasgow ?
  • 8.
    • Pupilles enposition intermédiaire réactives • Tous les réflexes du tronc cérébral présents • Hémiplégie gauche • Température= 37 • TA : 190/120 • FC = 90 batt/min
  • 9.
    • CAT immédiate? • Examens complémentaires à faire ?
  • 12.
    • Glycémie =1,3 g/l • Bilan rénal , hépatique et ionogramme sanguin normaux • Recherche de toxiques : négative
  • 14.
    • Faut iltraiter l’hypertension artérielle ?
  • 15.
    Hypertendu connu ouHVG : Traiter si PAS > 180 mmHg et/ou PAD > 120 mmHg Si pas d’ATCD de HTA: Traiter si PAS > 160 mmHg et/ou PAD > 95 mmHg Quand traiter HTA si AVC hémorragique ?
  • 16.
    Nicardipine (loxen) bolusde 1 mg/5minutes Pousse seringue électrique : 1 mg/heure
  • 17.
    Prévention des agressionscérébrales secondaires d’origine systémique (ACSOS) : Hypotension Hypoxie , Hypo et Hypercapnie HypoNa+ Anémie Hypo et Hyperglycémie Hyperthermie
  • 18.
  • 19.
    • 2 heuresaprès la patiente a présenté une détérioration de l’état de conscience avec : OY : Nulle RM : Extension stéréotypée RV : Nulle • Mydriase non réactive droite • Bradycardie à 45 batt/min , TA = 170/110 sous 2 mg/heure loxen
  • 20.
    Comment expliquer labradycardie ?
  • 21.
    HTIC + Réflexede cusching L’hypertension intracrânienne (HTIC) est une des complications majeures des AVC . Elle peut être liée au volume lui-même de l’hématome, à l’oedème périlésionnel ou à une hydrocéphalie.
  • 22.
  • 23.
    1 ) Engagementsous la faux du cerveau 2) Engagement transtentoriel : temporal 3) Engagement par le trou occipital central 4) Engagement des amygdales cérébelleuses 3 2 1 4
  • 24.
    Etiologies d’une mydriaseunilatérale aréactive : 1) Choc direct orbitaire 2) Paralysie du III sans engagement temporal : • Anévrysme de la face postérieure de la carotide • Dissection chirurgicale du III • Hématome pédonculaire 3) Paralysie du III par engagement temporal
  • 25.
  • 26.
    • Intubation trachéale+ Ventilation mécanique • Bolus Mannitol 20% : 0,5 g / kg en 20 minutes → 200 ml en 20 minutes • Sédation • Evacuation de l’hématome en urgence • Prévention des Agressions cérébrales secondaires d’origine systémique (ACSOS)
  • 27.
    AVC hémorragique parsurdosage AVK
  • 29.
    • Patient âgéde 78 ans • Coma progressif • ATCD : HTA , dyslipidémie
  • 30.
    • OY :à l’appel RV : confuse RM : orientéé • Pupilles en position intermédiaire réactives • Tous les réflexes du tronc cérébral présents • Hémiplégie droite • Température= 37 • TA : 170/110 FC = 90 batt/min • Souffle carotidien
  • 31.
    • CAT immédiate? • Examens complémentaires de première intention à faire ?
  • 34.
    • Glycémie =1 g/l • Bilan rénal , hépatique et ionogramme sanguin normaux • Recherche de toxiques : négative
  • 36.
    • Quel élémentà l’interrogatoire manque et qui va conduire votre attitude thérapeutique ? • Faut il traiter l’hypertension artérielle ?
  • 37.
    • Coma d’installationprogressive depuis 12 heures
  • 38.
    AVC ischémique vu< 4 H 30 • Thrombolyse intraveineuse (l’idéal < 90 minutes) rtPA : Altéplase (ACTILYSE) : 0,9 mg/kg ,dose maximale : 90mg 10% de la dose totale en bolus suivie d’une perfusion de 60 minutes Après 24 heures de la thrombolyse : • Débuter HBPM dose préventive ( ex : lovenox 40 mg/jour) • Aspirine : 160 à 325 mg/jour • TDM cérébrale de contrôle
  • 40.
    Signes précoces d’AVCischémique (sylvien)
  • 41.
    AVC ischémique vu> 4 H 30 HBPM dose préventive et aspirine immédiatement
  • 42.
    Pour notre patient: HBPM dose préventive : lovenox : 40mg/jour SC Aspirine: 250 mg/jour
  • 43.
    ANTICOAGULANT EFFICACE THROMBOPHLEBITRE CEREBRALE++++ Embolie d’origine cardiaque prouvée ou hautement probable Dissection artérielle exracranienne Sténose carotidienne serrée symptomatique pré-chirurgicale Déficit en protéine C, S ou AT III Contre-indications: Hémorragie au scanner cérébral AVC massif HTA non contrôlée
  • 44.
    Quand traiter HTAsi AVC ischémique ? Si fibrinolyse : Traiter si PAS > 185 mmHg et/ou PAD > 110 mmHg Si pas de fibrinolyse : Traiter si PAS > 220 mmHg et/ou PAD > 120 mmHg OU si dissection aortique , OAP , encéphalopathie hypertensive
  • 45.
    Quel bilan étiologiquefaut il faire ?
  • 46.
    • ECG • Echographiecardiaque • Echographie doppler des troncs supra aortiques
  • 47.
  • 48.
    TVC : SCANNERCEREBRAL • Normal dans 30 % des cas • Peut éliminer autres causes • Signes directs : hyperdensité avant injection (SLS, SL, sillon cortical) delta vide après injection (SLS) • Signes indirects : œdème cérébral, hématome
  • 50.
  • 51.
    Traitement TVC Héparinothérapie dosehypocoagulante : dose curative

Notes de l'éditeur

  • #39 recombinant tissue plasminogen activator ou activateur tissulaire du plasminogène recombinant.