HTA et AVC
« Ce qu’il faut faire ou plutôt ce
qu’il ne faut plus faire »
HITACHE Hakim
Médecine Interne
hhitache@hotmail.com
Formation Intensive en Hypertensiologie
23 24 novembre 2012
Intérêt de la Question:
• 1ère cause de handicap non-traumatique
dans les pays développés
• 2èmecause de démence et cause majeure
de dépression.
• 3ème cause de mortalité après les
accidents coronariens et les cancers (10 à
20% des patients décèdent durant le
premier mois),
Pression artérielle et risque de
mortalité par AVC
Lancet 2002;360: 1903-13
MortalitéparAVC
PAS (mmHg)
80-89 ans
70-79
60-69
50-59
Temps écoulé avant la survenue d’un AVC (années)
0 1 2 3 1615141312114 105 6 7 8 9
Risquecumulatifd’AVC(%)
0
1
2
3
4
5
6
7
8
Syndrome de la
blouse blanche
p = 0,0013
Normotension
Hypertension
ambulatoire
Syndrome de la blouse blanche
et HTA masquée / AVC
Temps écoulé avant la survenue d’un AVC (années)
0 1 2 3 4 5 6 7 8 9 10 11 12 13 14 15 16
• Meta-analysis of 61 prospective,
observational studies
• 1 million adults
• 12.7 million person-years
2 mmHg
decrease in
mean SBP 10% reduction in
risk of stroke
mortality
7% reduction in
risk of ischaemic
heart disease
mortality
Lewington et al. Lancet 2002;360:1903–13
Quelques mises au
point:
L’accident vasculaire cérébral
(AVC ou stroke en anglais)
• Déficit neurologique focal de survenue
soudaine (moins de 2 minutes) en relation
avec une lésion du parenchyme cérébral par
infarctus ou par hémorragie.
• Les AVC ischémiques sont les plus
fréquents (80 à 85%).
Accident Ischémique (AIC)
Regroupe les AVC par infarctus
cérébraux et
les Accidents Ischémiques Transitoires
(AIT).
L'accident ischémique transitoire
(AIT)
Épisode bref de dysfonctionnement
neurologique dû à une ischémie focale
cérébrale ou rétinienne, dont les symptômes
cliniques durent typiquement moins d’1
heure, sans preuve d’infarctus aigu à
l’imagerie cérébrale.
Les AVC hémorragiques
Regroupent les hémorragies primitivement
intracérébrales (environ 15% des AVC) et
les hémorragies cérébro-méningées
(environ 5% des AVC). Ils résultent de la
rupture d’une malformation vasculaire ou
d’une petite artère et sont favorisés par
l’hypertension artérielle et les
traitements antithrombotiques.
A.V.C.
LÉSION CÉRÉBRALE
TROUBLES NEUROLOGIQUES
INFARCTUS 80 %
Artère occluse
HÉMATOME 15 %
Artère se rompt
INFARCTUS VEINEUX 5 %
Veine occluse
AVC ISCHÉMIQUE
A.I.C.
AVC HÉMORRAGIQUE
H.I.P.
THROMBOPHLÉBITE
T.V.C.
Embole Thrombose
Hémorragie cérébrale
HC : 10 %
Hémorragie méningée
HM : 5 %
Thrombus veineux
GFR
Proteinuria
Aldosterone release
Glomerular sclerosis
HTA
Atherosclerosis*
Vasoconstriction
Vascular hypertrophy
Endothelial dysfunction
LVH
Fibrosis
Remodeling
A V C
DECES
Hypertension
Insuf Card
IDM
Insuf Renale
Mécanismes :
?
COMMENT
DIAGNOSTIQUER UN
AVC
1.Le diagnostic d’AVC repose en règle sur la
clinique (déficit neurologique focalisé
d’apparition brutale), le diagnostic de la
nature de l’AVC repose sur l’imagerie
cérébrale.
2.L’examen neurologique confirme le
déficit, en précise la topographie et cerne le
territoire atteint.
En faveur d’un accident hémorragique:
• l’installation rapide en quelques heures de céphalées
ou de vomissements ou une perte de vigilance
• un déficit moteur et sensitif proportionnel (face et
membres supérieur et inférieur)
• une absence de systématisation des symptômes à un
territoire artériel
Très difficile de distinguer cliniquement
AVC ischémique et AVC hémorragique.
Ne pas oublier :
L’examen cardio-vasculaire et
l’examen général qui vont préciser le
contexte étiologique.
Hypertendu, diabétique tabagisme…
Que faire ?
« Justement rien  »
SURTOUT :
Ne pas entreprendre de
traitement antihypertenseur.
Ne pas utiliser d’héparine.
Ne pas utiliser d’aspirine
Ne pas faire d’injection
intramusculaire.
Mais SURTOUT :
L’IMAGERIE CÉRÉBRALE
« L’ autre urgence »
Le but :
1.Distinction entre AVC hémorragique et AVC
ischémique.
2.Vérifier la cohérence anatomo-clinique du
tableau.
L’imagerie par résonance
magnétique nucléaire (IRM)
1. Examen de référence, allant du diagnostic
au pronostic en passant par l’étiologie.
2.On distingue l’IRM morphologique (FLAIR,
Diffusion, T2*), l’IRM de perfusion, et
l’angiographie par résonance magnétique
(ARM).
DIFFUSION FLAIR Angio IRM du
polygone de Willis
En urgence reconnaît la lésion hémorragique
sous forme d’une zone spontanément
hyperdense.
La lésion ischémique est sans traduction
(en phase initiale) ou se manifeste par une
zone hypodense (après 24 h).
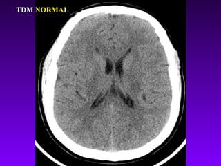
TDM cérébrale
TDM NORMAL
Hyperdensité spontanée = Hématome
AIC Sylvien
Et maintenant ?
Prise en charge
médicale spécifique:
Phase aiguë d’un AVC
ischémique
Respecter l’hypertension artérielle (pour maintenir un
débit cérébral suffisant) sauf :
• si un traitement fibrinolytique est indiqué : TA
<185/110
• si un traitement fibrinolytique n’est pas indiqué:
en cas de persistance d’une HTA > 220/120 mmHg,
en cas de complication de l’HTA menaçante à court
terme (dissection aortique, encéphalopathie
hypertensive, insuffisance cardiaque décompensée).
● Un traitement antiplaquettaire par aspirine
(160 à 300 mg/j) est recommandé dès que
possible après un AVC ischémique, sauf si un
traitement fibrinolytique est envisagé et en
tous cas avant 48 heures. Le clopidogrel peut
être utilisé en cas de contre-indication à
l’aspirine.
Traitement antithrombotique
de l’AVC ischémique
● Le rt-PA (altéplase°) par voie IV est
recommandé en cas d’AVC ischémique de
moins de 4heures 30 minutes,
Traitement thrombolytique
de l’AVC ischémique
Il faut traiter si la PA est > 185/110.
Abaisser la PA jusqu’à 140 de systolique.
Utiliser des anti-hypertenseurs en IV.
continue (le labétalol ou la nicardipine)
En cas d’hémorragie cérébrale
Une craniectomie se discute dans des cas particuliers rares
d’hémorragie cérébrale,
Pour l’ OEdème cérébral
1. Les corticostéroïdes ne doivent pas être utilisés.
2. Il faut éviter toute hyperhydratation.
3. Les agents hyperosmolaires (mannitol, glycérol)
peuvent être utilisés, leur efficacité est discutée.
4. En cas d’oedème cérébral malin, une craniectomie
de décompression peut être proposée.
Plus tard …
1. La correction des facteurs de risque vasculaire
2.Une statine
3.Un traitement anti-hypertenseur un IEC / diurétique
thiazidique, infarctus ou hémorragie
4.Un traitement antiplaquettaire (infarctus) au long
cours ; aspirine, (aspirine + persantine) ou du
clopidogrel. Ce dernier est préconisé chez les patients
polyathéromateux.
5. La chirurgie carotidienne est indiquée en cas de
sténose athéromateuse de la bifurcation carotidienne
symptomatique supérieure à 70% en réduction de
diamètre
OUF !
CONCLUSION
A vous de la trouver !

Dr Hitache HTA et AVC

  • 1.
    HTA et AVC «Ce qu’il faut faire ou plutôt ce qu’il ne faut plus faire » HITACHE Hakim Médecine Interne hhitache@hotmail.com Formation Intensive en Hypertensiologie 23 24 novembre 2012
  • 2.
    Intérêt de laQuestion:
  • 3.
    • 1ère causede handicap non-traumatique dans les pays développés • 2èmecause de démence et cause majeure de dépression. • 3ème cause de mortalité après les accidents coronariens et les cancers (10 à 20% des patients décèdent durant le premier mois),
  • 4.
    Pression artérielle etrisque de mortalité par AVC Lancet 2002;360: 1903-13 MortalitéparAVC PAS (mmHg) 80-89 ans 70-79 60-69 50-59
  • 5.
    Temps écoulé avantla survenue d’un AVC (années) 0 1 2 3 1615141312114 105 6 7 8 9 Risquecumulatifd’AVC(%) 0 1 2 3 4 5 6 7 8 Syndrome de la blouse blanche p = 0,0013 Normotension Hypertension ambulatoire Syndrome de la blouse blanche et HTA masquée / AVC Temps écoulé avant la survenue d’un AVC (années) 0 1 2 3 4 5 6 7 8 9 10 11 12 13 14 15 16
  • 6.
    • Meta-analysis of61 prospective, observational studies • 1 million adults • 12.7 million person-years 2 mmHg decrease in mean SBP 10% reduction in risk of stroke mortality 7% reduction in risk of ischaemic heart disease mortality Lewington et al. Lancet 2002;360:1903–13
  • 7.
  • 8.
    L’accident vasculaire cérébral (AVCou stroke en anglais) • Déficit neurologique focal de survenue soudaine (moins de 2 minutes) en relation avec une lésion du parenchyme cérébral par infarctus ou par hémorragie. • Les AVC ischémiques sont les plus fréquents (80 à 85%).
  • 9.
    Accident Ischémique (AIC) Regroupeles AVC par infarctus cérébraux et les Accidents Ischémiques Transitoires (AIT).
  • 10.
    L'accident ischémique transitoire (AIT) Épisodebref de dysfonctionnement neurologique dû à une ischémie focale cérébrale ou rétinienne, dont les symptômes cliniques durent typiquement moins d’1 heure, sans preuve d’infarctus aigu à l’imagerie cérébrale.
  • 11.
    Les AVC hémorragiques Regroupentles hémorragies primitivement intracérébrales (environ 15% des AVC) et les hémorragies cérébro-méningées (environ 5% des AVC). Ils résultent de la rupture d’une malformation vasculaire ou d’une petite artère et sont favorisés par l’hypertension artérielle et les traitements antithrombotiques.
  • 12.
    A.V.C. LÉSION CÉRÉBRALE TROUBLES NEUROLOGIQUES INFARCTUS80 % Artère occluse HÉMATOME 15 % Artère se rompt INFARCTUS VEINEUX 5 % Veine occluse AVC ISCHÉMIQUE A.I.C. AVC HÉMORRAGIQUE H.I.P. THROMBOPHLÉBITE T.V.C. Embole Thrombose Hémorragie cérébrale HC : 10 % Hémorragie méningée HM : 5 % Thrombus veineux
  • 13.
    GFR Proteinuria Aldosterone release Glomerular sclerosis HTA Atherosclerosis* Vasoconstriction Vascularhypertrophy Endothelial dysfunction LVH Fibrosis Remodeling A V C DECES Hypertension Insuf Card IDM Insuf Renale Mécanismes :
  • 14.
  • 15.
    1.Le diagnostic d’AVCrepose en règle sur la clinique (déficit neurologique focalisé d’apparition brutale), le diagnostic de la nature de l’AVC repose sur l’imagerie cérébrale. 2.L’examen neurologique confirme le déficit, en précise la topographie et cerne le territoire atteint.
  • 16.
    En faveur d’unaccident hémorragique: • l’installation rapide en quelques heures de céphalées ou de vomissements ou une perte de vigilance • un déficit moteur et sensitif proportionnel (face et membres supérieur et inférieur) • une absence de systématisation des symptômes à un territoire artériel Très difficile de distinguer cliniquement AVC ischémique et AVC hémorragique.
  • 17.
    Ne pas oublier: L’examen cardio-vasculaire et l’examen général qui vont préciser le contexte étiologique. Hypertendu, diabétique tabagisme…
  • 18.
  • 19.
  • 20.
    Ne pas entreprendrede traitement antihypertenseur.
  • 21.
    Ne pas utiliserd’héparine.
  • 22.
    Ne pas utiliserd’aspirine
  • 23.
    Ne pas faired’injection intramusculaire.
  • 24.
  • 25.
  • 26.
    Le but : 1.Distinctionentre AVC hémorragique et AVC ischémique. 2.Vérifier la cohérence anatomo-clinique du tableau.
  • 27.
    L’imagerie par résonance magnétiquenucléaire (IRM) 1. Examen de référence, allant du diagnostic au pronostic en passant par l’étiologie. 2.On distingue l’IRM morphologique (FLAIR, Diffusion, T2*), l’IRM de perfusion, et l’angiographie par résonance magnétique (ARM).
  • 28.
    DIFFUSION FLAIR AngioIRM du polygone de Willis
  • 29.
    En urgence reconnaîtla lésion hémorragique sous forme d’une zone spontanément hyperdense. La lésion ischémique est sans traduction (en phase initiale) ou se manifeste par une zone hypodense (après 24 h). TDM cérébrale
  • 30.
  • 31.
  • 32.
  • 38.
  • 39.
  • 40.
    Phase aiguë d’unAVC ischémique Respecter l’hypertension artérielle (pour maintenir un débit cérébral suffisant) sauf : • si un traitement fibrinolytique est indiqué : TA <185/110 • si un traitement fibrinolytique n’est pas indiqué: en cas de persistance d’une HTA > 220/120 mmHg, en cas de complication de l’HTA menaçante à court terme (dissection aortique, encéphalopathie hypertensive, insuffisance cardiaque décompensée).
  • 41.
    ● Un traitementantiplaquettaire par aspirine (160 à 300 mg/j) est recommandé dès que possible après un AVC ischémique, sauf si un traitement fibrinolytique est envisagé et en tous cas avant 48 heures. Le clopidogrel peut être utilisé en cas de contre-indication à l’aspirine. Traitement antithrombotique de l’AVC ischémique
  • 42.
    ● Le rt-PA(altéplase°) par voie IV est recommandé en cas d’AVC ischémique de moins de 4heures 30 minutes, Traitement thrombolytique de l’AVC ischémique
  • 43.
    Il faut traitersi la PA est > 185/110. Abaisser la PA jusqu’à 140 de systolique. Utiliser des anti-hypertenseurs en IV. continue (le labétalol ou la nicardipine) En cas d’hémorragie cérébrale Une craniectomie se discute dans des cas particuliers rares d’hémorragie cérébrale,
  • 44.
    Pour l’ OEdèmecérébral 1. Les corticostéroïdes ne doivent pas être utilisés. 2. Il faut éviter toute hyperhydratation. 3. Les agents hyperosmolaires (mannitol, glycérol) peuvent être utilisés, leur efficacité est discutée. 4. En cas d’oedème cérébral malin, une craniectomie de décompression peut être proposée.
  • 45.
    Plus tard … 1.La correction des facteurs de risque vasculaire 2.Une statine 3.Un traitement anti-hypertenseur un IEC / diurétique thiazidique, infarctus ou hémorragie 4.Un traitement antiplaquettaire (infarctus) au long cours ; aspirine, (aspirine + persantine) ou du clopidogrel. Ce dernier est préconisé chez les patients polyathéromateux. 5. La chirurgie carotidienne est indiquée en cas de sténose athéromateuse de la bifurcation carotidienne symptomatique supérieure à 70% en réduction de diamètre
  • 46.
  • 47.

Notes de l'éditeur

  • #6 Le risque accru d’AVC après 5 ans chez les patients atteints du syndrome de la blouse blanche peut être causé par un taux plus élevé d’évolution vers l’hypertension réelle que dans les autres groupes. Tous les patients atteints du syndrome de la blouse blanche doivent faire l’objet d’un suivi de la pression artérielle.
  • #7 Démonstration du bénéfice pour une baisse minime de 2 mm HG TAS
  • #14 Exemple au niveau cardiaque (en plus de l’athérosclérose) HVG compensatrice seulement au début surtout concentrique avec une baisse de la réserve coronaire d’ou une ice coronaire fonctionnelle …. Ice Cardiaque IDM…