Les accidents vasculaires
cérébraux
Midi-Santé
Saint Denis le 29 avril 2014
Qu’est-ce qu’un AVC
• AVC = Déficit neurologique soudain
d’origine vasculaire
– Infarctus cérébral
– Accident ischémique transitoire
– Hémorragie intracérébrale
– Hémorragie méningée
– Thrombose veineuse cérébrale
Lésion d’un vaisseau cérébral (artère >>> veine)
Lésion du cerveau
Ischémique
85%
Hémorragique
15%
Déficit neurologique focal
AVC: c’est une urgence! Pourquoi?
• Brutal
• Grave
– 2ème cause de décès
– 1ère cause de handicap acquis chez l’adulte
– 2ème cause de démence
• Possibilité d’amélioration par traitement
spécifique immédiat.
Comment reconnaitre un AVC
• Hémiplégie – paralysie unilatérale
• Hémianesthésie – perte totale ou partielle de la
sensibilité d’une partie du corps
• Difficultés du langage (aphasie ou dysarthrie)
• Troubles visuels (vision floue, double, cécité
brutale unilatérale)
• Troubles de l’équilibre
• Céphalée brutale
Accident vasculaire cérébral
type ischémique = infarctus
cérébral
• Du à une occlusion d’une branche ou
d’une artère à destination cérébrale
• Mécanisme embolique ou
hémodynamique
• Clinique en fonction du territoire
vasculaire
– Infarctus sylvien superficiel,
profond ou total
– Infarctus cérébral antérieur
– Infarctus cérébral postérieur
– Infarctus dans le territoire de la
PICA etc
AIT = urgence
• Déficit neurologique ou rétinien de survenue
brutale, d’origine ischémique, dont les
symptômes durent moins d’une heure, sans
preuve d’infarctus à l’imagerie cérébrale
• La clinique corresponde à une systématisation
vasculaire
• Cécité monoculaire transitoire = AIT
• Risque d’infarctus cérébral: 3.5% à J2 et 5% à
J7; risque annuel – 7% puis 5.6%/an à partir de
la 2ème année.
Les hématomes cérébraux
• 2 types: profonds et
lobaires
• Première cause
– hématomes profonds
– HTA
– Hématomes lobaires –
angiopathie amyloïde
• Clinique- en fonction
des structures
cérébrales lésées
• Très souvent –
troubles de la
vigilance
Quoi faire??!!!!
• Allonger le patient en PLS
• Appel SAMU 15
• Dire « accident vasculaire
cérébral » ou « paralysie brutale »
ou « attaque cérébrale »
• Donner rapidement les
coordonnées du patient, l’heure du
début et si possible les
antécédents et le traitement en
cours
• 2 USINV en Seine Saint Denis
– Hôpital Delafontaine
– Hôpital Robert Ballanger (Aulnay sous Bois)
Parcours du patient
• Appel du neurologue par le SAMU ou le
régulation des pompiers
• L’équipe des urgences est prévenue de l’arrivée
d’une « alerte thrombolyse »
• Le patient est installé dans la salle de
déchoquage des urgences des son arrivée
• Evaluation neurologique selon l’échelle NIHSS
• IRM cérébrale – disponible 24h/24 pour les
alertes thrombolyse (TDM cérébrale si contre-
indication à l’IRM ou patient instable)
Parcours du patient
• Thrombolyse intraveineuse faite au SAS
des urgences
• Que 4.5 heures
• Transfert du patient
en USINV (6 lits)
4
.
Contre-indications, rappel
• Hémorragie cérébrale
• Heure de début inconnue
• Amélioration spontanée ou
signes mineurs
• AVC trop grave, clinique
NIHSS>25 ou imagerie
• Crise épileptique inaugurale
• AVC ou TC sérieux dans les 3
mois
• Héparine dans les 48 h et TCA
élevé
• AVK ou autres anticoagulants
• Plaquettes <100 000
• PAS>185 ou PAD>110 ou
nécessité d’un anti-
hypertenseur IV
• Glycémie<0,5g/L ou >4g/L
• Chirurgie majeure ou
traumatisme majeur dans les 3
mois
• Autre pathologie risquant de
saigner
Mme S.Germaine
• 84 ans, retraitée, vit avec sa fille, autonome
• Antécédents:
– Cardiopathie valvulaire
– FA traitéee par antivitamine K (INR < 1,5 8 jours avant
l’admission  augmentation de la posologie)
• Constatation par sa fille, au réveil à 5h00
– Dysarthrie
– Hémiplégie gauche
• Alerte AVC à 6h15
• Arrivée aux urgences à 6h45
• Examen clinique:
– Somnolente
– Déviation réductible de la tête et des yeux à droite
– Hémiparésie gauche
– Anosognosie complète
– NIHSS = 14 (1/0/0/1/2/2/0-2/0-2/0/1/0/1/2)
• AC/FA
• TA = 135/84, FC = 85
• Prélèvements hémostase faits
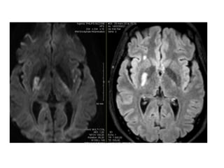
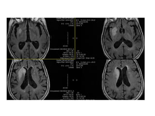
• Imagerie 7h15
Mismatch diffusion-FLAIR
• Il est 7h30… Attente de
l’hémostase
• 7h45 : INR = 1,47
• Thrombolyse intraveineuse faite aux
urgences
• Evolution clinique:
– Amélioration du déficit neurologique à la fin
de la thrombolyse
– Examen neuro 2 heures plus tard:
• Déficit moteur distal de la main gauche
• Déficit du membre inférieur gauche (chute avant 5
secondes)
• Quadranopsie inférieure gauche
• NIHSS à 2
Mr S
• 29 ans
• Aucun antécédent
• Pas d’intoxication alcoolo-tabagique
• HDM:
– 02.02.2014 – douleur thoracique, dyspnée, sueurs, paresthésies du
membre supérieur gauche
– ECG aux urgences: sus décalage ST en antéro-septal
– Troponine 2 µg/l
– Transfert au CCN:
• ECG de contrôle – onde de Pardie antérieure étendue;
• Coronarographie: occlusion proximale de l’IVA
• ETT: akinésie antéro-septo-apicale avec FEVG à 35% + présence d’un
thrombus intra ventriculaire gauche
– Instauration d’une traitement anticoagulant par PLAVIX 75 mg+
KARDEGIC 160 mg + PREVISCAN + LOVENOX 0.6 ml 2 fois/jour
• Le 21.02.2014 à 23h40 – hémiplégie droite et
aphasie constatées par l’IDE (vu normal à
22h00)
• Transféré au CHSD dans le cadre d’une alerte
thrombolyse
• Examen clinique:
– Vigilant mais mutique, troubles de la compréhension
pour les ordres simples
– Hémiplégie droite proportionnelle
– Déviation de la tête et des yeux vers la gauche
– HLH droite
– Score NIHSS 24
• 29 ans
• Infarctus sylvien gauche étendu
• De cause cardioembolique
• Présence d’un mismatch Diffusion/FLAIR
MAIS
• Anticoagulation efficace en cours:
• lovenox 0.6 mg 2 fois/jour
• Previscan (dernier INR le matin à 1.02)
• Plavix
• Kardegic
Bilan hémostase
• INR 1.62 (< 1.70 mais augmentation rapide par
rapport au dernier prélèvement il y a moins de 24 heures
et traitement administré quelques heures avant la
survenue de l’infarctus)
• TCA 1.23 (inférieur à l’objectif requis mais élevé)
• Après entretien et information de la famille
• Thrombolyse intraveineuse avec administration
de 63 mg rtPA correspondant à 70 kg (poids réel
100 kg)
• NIHSS post-thrombolyse 16: amélioration du
déficit moteur mais persistance d’une aphasie
sévère
• J2 – NIHSS à 9
• J 3 – NIHSS à 7 – reprise de la marche
• J7 – NIHSS à 3
Mme M
• 44 ans
• Antc: rétrécissement mitral secondaire à un
rhumatisme articulaire aigu
• Pas de traitement en cours
• HDM:
– consulte le 22.03.2014 à 22h aux urgences pour
douleur lombaire gauche (suspicion colique
néphrétique)
– 23h30 retrouvée avec une hémiplégie gauche.
• Appel neurologue de garde: NIHSS 14
• ECG: ACFA
• Patiente thrombolysée par voie intraveineuse à
00h10
• Transfert en neuroradiologie à 1h10; score
NIHSS 14
• Thrombéctomie mécanique
• NIHSS en fin de procédure – 3
• Instauration d’une anticoagulation efficace
• Le 25 mars 2014 – aggravation neurologique
avec apparition d’une aphasie et d’une
hémiplégie brachio-faciale droite
ETO
• Rétrécissement mitral serré
• Oreillette gauche très dilatée avec un
contraste spontané intense dans l’oreillette
et l’auricule gauche
Evolution
• Spontanément favorable avec
amélioration du déficit moteur mais
persistance d’une aphasie motrice
importante
• Transfert en MPR
Hématome intracérébral
• 10-15% des AVC
• Mortalité proche de 40%
• Principale cause – HTA (75%)
• Autres causes: MAV, angiopathie
amyloïde, cavernomes etc
• Localisation:
– Profonde le plus souvent sur HTA
– Lobaire
Mr A
• 82 ans
• Prothèse du genou gauche
• Pas de facteur de risque cardiovasculaire connu
• 29.03.2014 à 12h30 en présence de ses filles –
aphasie brutale et déviation de la bouche
• Aux urgences: aphasie globale, PF centrale
droite; NIHSS 11
• TA 183/82 mm Hg
• Loxen bolus i/v
• Objectif TA < 140/80 mm Hg
• Evolution favorable, persistance d’une
aphasie motrice sans trouble de la
compréhension
• Sorti en HAD MPR
•Etude prospective multicentrique
•140 hôpitaux dans 21 pays
•Inclusions entre octobre 2008 et aout 2012
•2839 participants
•Groupe intensif 1399 patients
•Groupe contrôle 1430 patients
•Age moyen 63.5 ans
•Hommes 62.5%
Hématomes cérébraux
• Même parcours que les infarctus
• Contrôle strict de la TA immédiatement
après l’imagerie cérébrale
• Recommandations actuelles: à la phase aiguë de
l’hémorragie cérébrale – traitement agressif de l’HTA avec
un objectif TA < 140/80 mm Hg
Hospitalisation USINV et UNV
• Collaboration étroite avec les réanimateurs du CHSD avec transfert
du patient en USC ou réanimation en cas d’aggravation
• Bilan neurovasculaire
– Monitoring FC et TA continu 24h/24
– Imagerie des TSA dans les 24 heures après l’admission
– Échographie cardiaque transthoracique +/- transœsophagienne
– Biologie: bilan lipidique, hémoglobine glyquée etc…
• Prise en charge dès le premier jour par le kinésithérapeute et
l’orthophoniste (langage et déglutition)
• Chirurgie vasculaire dans la semaine pour les sténoses serrées des
artères carotides en absence de contre-indication
• Prise en charge diététique avec possibilité de suivi en consultation
par une diététicienne après la sortie du patient
• Suivi psychologique du patient et de la famille pendant et après
l’hospitalisation

Avc midi sante avril 2014

  • 1.
  • 2.
    Qu’est-ce qu’un AVC •AVC = Déficit neurologique soudain d’origine vasculaire – Infarctus cérébral – Accident ischémique transitoire – Hémorragie intracérébrale – Hémorragie méningée – Thrombose veineuse cérébrale
  • 3.
    Lésion d’un vaisseaucérébral (artère >>> veine) Lésion du cerveau Ischémique 85% Hémorragique 15% Déficit neurologique focal
  • 4.
    AVC: c’est uneurgence! Pourquoi? • Brutal • Grave – 2ème cause de décès – 1ère cause de handicap acquis chez l’adulte – 2ème cause de démence • Possibilité d’amélioration par traitement spécifique immédiat.
  • 5.
    Comment reconnaitre unAVC • Hémiplégie – paralysie unilatérale • Hémianesthésie – perte totale ou partielle de la sensibilité d’une partie du corps • Difficultés du langage (aphasie ou dysarthrie) • Troubles visuels (vision floue, double, cécité brutale unilatérale) • Troubles de l’équilibre • Céphalée brutale
  • 6.
    Accident vasculaire cérébral typeischémique = infarctus cérébral • Du à une occlusion d’une branche ou d’une artère à destination cérébrale • Mécanisme embolique ou hémodynamique • Clinique en fonction du territoire vasculaire – Infarctus sylvien superficiel, profond ou total – Infarctus cérébral antérieur – Infarctus cérébral postérieur – Infarctus dans le territoire de la PICA etc
  • 8.
    AIT = urgence •Déficit neurologique ou rétinien de survenue brutale, d’origine ischémique, dont les symptômes durent moins d’une heure, sans preuve d’infarctus à l’imagerie cérébrale • La clinique corresponde à une systématisation vasculaire • Cécité monoculaire transitoire = AIT • Risque d’infarctus cérébral: 3.5% à J2 et 5% à J7; risque annuel – 7% puis 5.6%/an à partir de la 2ème année.
  • 9.
    Les hématomes cérébraux •2 types: profonds et lobaires • Première cause – hématomes profonds – HTA – Hématomes lobaires – angiopathie amyloïde • Clinique- en fonction des structures cérébrales lésées • Très souvent – troubles de la vigilance
  • 11.
    Quoi faire??!!!! • Allongerle patient en PLS • Appel SAMU 15 • Dire « accident vasculaire cérébral » ou « paralysie brutale » ou « attaque cérébrale » • Donner rapidement les coordonnées du patient, l’heure du début et si possible les antécédents et le traitement en cours
  • 12.
    • 2 USINVen Seine Saint Denis – Hôpital Delafontaine – Hôpital Robert Ballanger (Aulnay sous Bois)
  • 13.
    Parcours du patient •Appel du neurologue par le SAMU ou le régulation des pompiers • L’équipe des urgences est prévenue de l’arrivée d’une « alerte thrombolyse » • Le patient est installé dans la salle de déchoquage des urgences des son arrivée • Evaluation neurologique selon l’échelle NIHSS • IRM cérébrale – disponible 24h/24 pour les alertes thrombolyse (TDM cérébrale si contre- indication à l’IRM ou patient instable)
  • 14.
    Parcours du patient •Thrombolyse intraveineuse faite au SAS des urgences • Que 4.5 heures • Transfert du patient en USINV (6 lits) 4 .
  • 15.
    Contre-indications, rappel • Hémorragiecérébrale • Heure de début inconnue • Amélioration spontanée ou signes mineurs • AVC trop grave, clinique NIHSS>25 ou imagerie • Crise épileptique inaugurale • AVC ou TC sérieux dans les 3 mois • Héparine dans les 48 h et TCA élevé • AVK ou autres anticoagulants • Plaquettes <100 000 • PAS>185 ou PAD>110 ou nécessité d’un anti- hypertenseur IV • Glycémie<0,5g/L ou >4g/L • Chirurgie majeure ou traumatisme majeur dans les 3 mois • Autre pathologie risquant de saigner
  • 16.
    Mme S.Germaine • 84ans, retraitée, vit avec sa fille, autonome • Antécédents: – Cardiopathie valvulaire – FA traitéee par antivitamine K (INR < 1,5 8 jours avant l’admission  augmentation de la posologie) • Constatation par sa fille, au réveil à 5h00 – Dysarthrie – Hémiplégie gauche • Alerte AVC à 6h15 • Arrivée aux urgences à 6h45
  • 17.
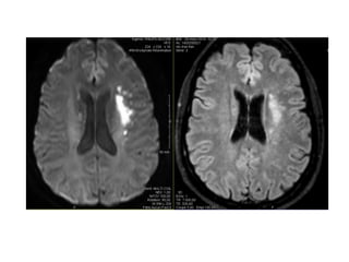
    • Examen clinique: –Somnolente – Déviation réductible de la tête et des yeux à droite – Hémiparésie gauche – Anosognosie complète – NIHSS = 14 (1/0/0/1/2/2/0-2/0-2/0/1/0/1/2) • AC/FA • TA = 135/84, FC = 85 • Prélèvements hémostase faits • Imagerie 7h15
  • 18.
  • 19.
    • Il est7h30… Attente de l’hémostase • 7h45 : INR = 1,47
  • 20.
    • Thrombolyse intraveineusefaite aux urgences • Evolution clinique: – Amélioration du déficit neurologique à la fin de la thrombolyse – Examen neuro 2 heures plus tard: • Déficit moteur distal de la main gauche • Déficit du membre inférieur gauche (chute avant 5 secondes) • Quadranopsie inférieure gauche • NIHSS à 2
  • 23.
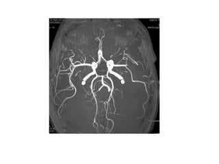
    Mr S • 29ans • Aucun antécédent • Pas d’intoxication alcoolo-tabagique • HDM: – 02.02.2014 – douleur thoracique, dyspnée, sueurs, paresthésies du membre supérieur gauche – ECG aux urgences: sus décalage ST en antéro-septal – Troponine 2 µg/l – Transfert au CCN: • ECG de contrôle – onde de Pardie antérieure étendue; • Coronarographie: occlusion proximale de l’IVA • ETT: akinésie antéro-septo-apicale avec FEVG à 35% + présence d’un thrombus intra ventriculaire gauche – Instauration d’une traitement anticoagulant par PLAVIX 75 mg+ KARDEGIC 160 mg + PREVISCAN + LOVENOX 0.6 ml 2 fois/jour
  • 24.
    • Le 21.02.2014à 23h40 – hémiplégie droite et aphasie constatées par l’IDE (vu normal à 22h00) • Transféré au CHSD dans le cadre d’une alerte thrombolyse • Examen clinique: – Vigilant mais mutique, troubles de la compréhension pour les ordres simples – Hémiplégie droite proportionnelle – Déviation de la tête et des yeux vers la gauche – HLH droite – Score NIHSS 24
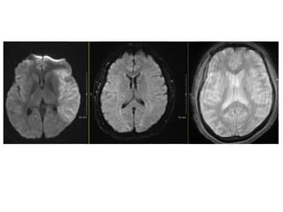
  • 26.
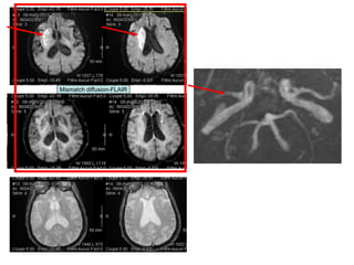
    • 29 ans •Infarctus sylvien gauche étendu • De cause cardioembolique • Présence d’un mismatch Diffusion/FLAIR MAIS
  • 27.
    • Anticoagulation efficaceen cours: • lovenox 0.6 mg 2 fois/jour • Previscan (dernier INR le matin à 1.02) • Plavix • Kardegic
  • 28.
    Bilan hémostase • INR1.62 (< 1.70 mais augmentation rapide par rapport au dernier prélèvement il y a moins de 24 heures et traitement administré quelques heures avant la survenue de l’infarctus) • TCA 1.23 (inférieur à l’objectif requis mais élevé)
  • 29.
    • Après entretienet information de la famille • Thrombolyse intraveineuse avec administration de 63 mg rtPA correspondant à 70 kg (poids réel 100 kg) • NIHSS post-thrombolyse 16: amélioration du déficit moteur mais persistance d’une aphasie sévère • J2 – NIHSS à 9 • J 3 – NIHSS à 7 – reprise de la marche • J7 – NIHSS à 3
  • 31.
    Mme M • 44ans • Antc: rétrécissement mitral secondaire à un rhumatisme articulaire aigu • Pas de traitement en cours • HDM: – consulte le 22.03.2014 à 22h aux urgences pour douleur lombaire gauche (suspicion colique néphrétique) – 23h30 retrouvée avec une hémiplégie gauche. • Appel neurologue de garde: NIHSS 14 • ECG: ACFA
  • 33.
    • Patiente thrombolyséepar voie intraveineuse à 00h10 • Transfert en neuroradiologie à 1h10; score NIHSS 14 • Thrombéctomie mécanique • NIHSS en fin de procédure – 3 • Instauration d’une anticoagulation efficace • Le 25 mars 2014 – aggravation neurologique avec apparition d’une aphasie et d’une hémiplégie brachio-faciale droite
  • 37.
    ETO • Rétrécissement mitralserré • Oreillette gauche très dilatée avec un contraste spontané intense dans l’oreillette et l’auricule gauche
  • 38.
    Evolution • Spontanément favorableavec amélioration du déficit moteur mais persistance d’une aphasie motrice importante • Transfert en MPR
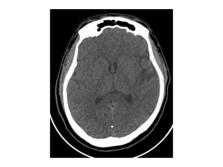
  • 39.
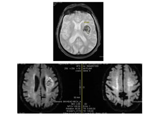
    Hématome intracérébral • 10-15%des AVC • Mortalité proche de 40% • Principale cause – HTA (75%) • Autres causes: MAV, angiopathie amyloïde, cavernomes etc • Localisation: – Profonde le plus souvent sur HTA – Lobaire
  • 40.
    Mr A • 82ans • Prothèse du genou gauche • Pas de facteur de risque cardiovasculaire connu • 29.03.2014 à 12h30 en présence de ses filles – aphasie brutale et déviation de la bouche • Aux urgences: aphasie globale, PF centrale droite; NIHSS 11 • TA 183/82 mm Hg
  • 42.
    • Loxen bolusi/v • Objectif TA < 140/80 mm Hg • Evolution favorable, persistance d’une aphasie motrice sans trouble de la compréhension • Sorti en HAD MPR
  • 45.
    •Etude prospective multicentrique •140hôpitaux dans 21 pays •Inclusions entre octobre 2008 et aout 2012 •2839 participants •Groupe intensif 1399 patients •Groupe contrôle 1430 patients •Age moyen 63.5 ans •Hommes 62.5%
  • 47.
    Hématomes cérébraux • Mêmeparcours que les infarctus • Contrôle strict de la TA immédiatement après l’imagerie cérébrale • Recommandations actuelles: à la phase aiguë de l’hémorragie cérébrale – traitement agressif de l’HTA avec un objectif TA < 140/80 mm Hg
  • 48.
    Hospitalisation USINV etUNV • Collaboration étroite avec les réanimateurs du CHSD avec transfert du patient en USC ou réanimation en cas d’aggravation • Bilan neurovasculaire – Monitoring FC et TA continu 24h/24 – Imagerie des TSA dans les 24 heures après l’admission – Échographie cardiaque transthoracique +/- transœsophagienne – Biologie: bilan lipidique, hémoglobine glyquée etc… • Prise en charge dès le premier jour par le kinésithérapeute et l’orthophoniste (langage et déglutition) • Chirurgie vasculaire dans la semaine pour les sténoses serrées des artères carotides en absence de contre-indication • Prise en charge diététique avec possibilité de suivi en consultation par une diététicienne après la sortie du patient • Suivi psychologique du patient et de la famille pendant et après l’hospitalisation