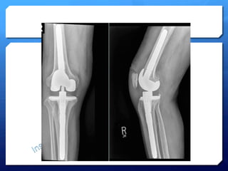
Prothèse	
  totale	
  de	
  genou	
  
Dr	
  Frédéric	
  SAILHAN,	
  MD,	
  PhD	
  
Dr	
  Luc	
  KERBOULL,	
  MD,	
  PhD	
  
Espace	
  Médical	
  Vauban	
  
Clinique	
  ARAGO	
  
ichg.fr	
  
INSTITUT	
  de	
  CHIRURGIE	
  de	
  la	
  HANCHE	
  
et	
  du	
  GENOU	
  
Gonarthrose	
  invalidante	
  
	
  
Ê  90.000	
  /	
  an	
  en	
  France	
  (86.000	
  en	
  2011)	
  
Ê  Symptômes	
  
Ê  Douleur	
  
Ê  Déformation	
  
Ê  Boiterie	
  
Ê  Oedème	
  
Gonarthrose	
  invalidante	
  
Ê  Douleur	
  	
  
Ê  Localisation	
  
Ê  GENOU	
  
Ê  INTERNE	
  le	
  plus	
  souvent	
  (varus),	
  parfois	
  EXTERNE	
  (valgus)	
  
Ê  Face	
  antérieure	
  et	
  postérieure	
  
Ê  Type	
  
Ê  Mécanique…mais	
  poussées	
  inflammatoires	
  
Ê  A	
  la	
  marche	
  
Ê  Escaliers+++	
  atteinte	
  fémoro-­‐patellaire	
  
Ê  La	
  nuit	
  =	
  changement	
  position	
  
Ê  Activité	
  loisir:	
  marche,	
  golf,	
  course,	
  promenandes…	
  musées…	
  
Ê  Intensité	
  variable	
  /	
  tolérable…	
  impotence	
  à	
  la	
  marche	
  
Ê  «	
  Limites	
  vos	
  activités?	
  »	
  
Gonarthrose	
  invalidante	
  
Ê  Déformation	
  
Ê  Classique	
  
Ê  VARUS	
  ou	
  VALGUS	
  
Ê  Femme++	
  
Ê  Boiterie	
  
Ê  Douloureuse	
  
Ê  Œdème,	
  inflammation	
  
Gonarthrose	
  invalidante	
  
Evaluer	
  le	
  retentissement	
  =	
  emporte	
  la	
  décision	
  opératoire	
  
Ê  Périmètre	
  de	
  marche	
  
Ê  200m	
  300m,	
  10-­‐15	
  min,	
  30	
  min,	
  illimité	
  
Ê  Escaliers	
  
Ê  Traitement	
  antalgique?	
  
Ê  «	
  Qu’est-­‐ce	
  que	
  vous	
  ne	
  pouvez	
  plus	
  faire	
  que	
  vous	
  faisiez	
  
avant?	
  »	
  
Ê  Courses,	
  loisirs	
  (golf,	
  tennis…),	
  musées,	
  marche,	
  sortir	
  de	
  chez	
  
soi…	
  
Gonarthrose	
  invalidante	
  
QUAND	
  DEMANDER	
  UN	
  AVIS	
  CHIRURGICAL?	
  
Ê  Gonlagie	
  chronique	
  s’aggrave	
  
Ê  Retentissement	
  fonctionnel	
  devient	
  significatif	
  
Ê  Radiographie	
  concordante	
  
QUAND	
  OPERER?	
  
Si…	
  
Ê  1/	
  Gonarthrose	
  radiologique	
  
Ê  2/	
  Retentissement	
  fonctionnel	
  réel	
  =	
  modification	
  conditions	
  de	
  vie	
  
Ê  Réduction	
  du	
  PM	
  
Ê  Retentissement	
  activités	
  quotidiennes	
  
Ê  3/	
  Tt	
  médical	
  bien	
  conduit	
  insuffisant	
  
Ê  Antalgiques,	
  AINS	
  	
  
Ê  Infiltrations	
  inefficaces	
  ou	
  «	
  épuisées	
  »:	
  a.hyaluronique	
  /	
  corticoides	
  
Ê  Deux	
  séries…	
  
Ê  4/	
  Evolution	
  sur	
  6-­‐12	
  mois	
  
Gonarthrose	
  tri-­‐compartimentale	
  
Infiltration	
  articulaires	
  /	
  Gonarthrose	
  
Ê  Intra-­‐articulaires	
  
Ê  Cabinet	
  (rhumato,	
  MPR,	
  MT,	
  ortho)	
  	
  
Ê  Sous	
  scopie	
  (radiologue)	
  
Ê  A	
  visée	
  antalgique	
  
Ê  Effet	
  lubrifiant	
  et	
  «	
  cicatrisant	
  »	
  /	
  a	
  hyaluronique	
  
Ê  Ostenil,	
  Synvisc….	
  
Ê  Série	
  de	
  3	
  infiltrations	
  
Ê  Efficacité??	
  
	
  
Ê  AI	
  :	
  Corticoides	
  
Ê  Altim	
  
Ê  Durée:	
  qq	
  jours	
  à	
  qq	
  mois	
  
GENOU	
  SEC	
  
GENOU	
  
INFLAMMATOIRE	
  
EVOLUTION	
  TECHNIQUE?	
  
Ê  Prothèse	
  de	
  Genou	
  PERSONNALISEE	
  
Ê  Guides	
  de	
  coupes	
  sur-­‐mesure	
  
Ê  OBJECTIFS	
  d’une	
  PTG	
  
Ê  Indolore	
  
Ê  Stable	
  
Ê  Mobile	
  
Ê  Axé	
  
	
  
CAHIER	
  des	
  CHARGES	
  PTG	
  
Ê  Alignement	
  optimal	
  des	
  implants	
  
Ê  Taille	
  appropriée	
  à	
  l’anatomie	
  du	
  patient	
  
Ê  Bon	
  équilibre	
  des	
  ligaments	
  latéraux	
  
Ê  Bonne	
  cinétique	
  de	
  l’articulation	
  FP	
  
Imprécisions,	
  morbidité	
  
La	
  PTG	
  PERSONNALISEE	
  	
  
	
  
	
  
Ê …à	
  partir	
  d’un	
  planning	
  pré-­‐opératoire	
  individuel	
  
Ê SCANNER	
  ou	
  IRM	
  pré-­‐op	
  
Ê Morphologie	
  propre	
  et	
  unique	
  
Ê  Axes	
  mécaniques	
  précis	
  
Ê  Morphologie	
  condyles,	
  plateau	
  tibial	
  
Ê  Taille	
  des	
  implants	
  
Ê  Positionnement	
  optimal	
  (rotation,	
  flexion,	
  
extension,	
  épaisseur	
  des	
  coupes	
  osseuses)	
  
La	
  technologie	
  
3	
  séries	
  de	
  coupes	
  IRM	
  
	
  
Basse	
  résolution	
  hanche	
  
et	
  cheville	
  :	
  centres	
  de	
  
rotation	
  
	
  
Haute	
  résolution	
  du	
  
genou	
  
Reconstruction	
  unique	
  du	
  genou	
  	
  
Interface	
  du	
  chirurgien	
  
Interface	
  du	
  chirurgien	
  
Production	
  des	
  guides	
  
Faits	
  à	
  partir	
  du	
  planning	
  approuvé	
  	
  
	
  
Technologie	
  
	
  
• 	
  Prototypage	
  rapide	
  
• 	
  Impression	
  3D	
  
• 	
  Poudre	
  vierge	
  de	
  Polyamide-­‐Duraform	
  
• 	
  Durcie	
  par	
  un	
  rayon	
  laser	
  
	
  
Per-­‐opératoire	
  
Les	
  bénéfices	
  	
  
Pour	
  le	
  Patient	
  
	
  
Ê  Parfaite	
  restauration	
  des	
  axes	
  mécaniques	
  
Ê  Parfaite	
  adaptation	
  de	
  la	
  taille	
  des	
  implants	
  
Ê  Durée	
  d‘anesthésie	
  diminuée	
  
Ê  Diminution	
  des	
  douleurs	
  et	
  du	
  saignement	
  PO	
  
Ê  Rapidité	
  de	
  récupération	
  ?	
  (à	
  démontrer)	
  
	
  
Les	
  bénéfices	
  
Pour	
  le	
  chirurgien	
  
	
  
Ê  Planification	
  préopératoire	
  
Ê  Définition	
  précise	
  de	
  la	
  taille	
  
Ê  Moins	
  d‘instruments	
  utilisés	
  
Ê  Economie	
  de	
  temps	
  
	
  
	
  
Les	
  bénéfices	
  
Pour	
  l’établissement	
  de	
  soins	
  
	
  
Ê  Economie	
  de	
  temps	
  (salle	
  et	
  traitement)	
  
Ê  Moins	
  de	
  boites	
  manipulées	
  et	
  stérilisées	
  
Ê  Moins	
  d‘ancillaires	
  en	
  dépôt	
  
	
  
Moindre	
  coût,	
  meilleure	
  ergonomie	
  
Sans…ancillaires	
  classiques	
  
Avec…les	
  guides	
  personnalisés	
  
AUTRE	
  EVOLUTION	
  MAJEURE:	
  
PROTOCOLE	
  d’ANALGESIE	
  
Ê  GROUPE	
  SUEDOIS:	
  STOP	
  au	
  bloc	
  FEMORAL	
  !!!	
  
Ê  Sidère	
  le	
  quadriceps,	
  ne	
  peuvent	
  verrouiller	
  le	
  genou	
  (chutes…),	
  ne	
  
peuvent	
  marcher	
  avant	
  J2…	
  
Ê  Cercle	
  vicieux…	
  
Ê  Association	
  INFILTRATIONS	
  ARTICULAIRES	
  +	
  Bloc	
  du	
  CANAL	
  
ADDUCTEUR	
  
Ê  Forte	
  analgésie	
  LOCO-­‐REGIONALE	
  
Ê  Morphiniques:	
  le	
  moins	
  possible,	
  supprime	
  leurs	
  complications	
  
(vomissement,	
  constipation)	
  
Ê  Boire,	
  manger,	
  se	
  lever	
  dans	
  les	
  heures	
  qui	
  suivent	
  le	
  réveil	
  le	
  jour	
  
même	
  de	
  l’intervention	
  
Ê  Mobilisation	
  précoce	
  (h2)	
  DIMINUE	
  LA	
  DOULEUR:	
  deux	
  fois	
  15	
  
min	
  /j	
  à	
  J1,	
  
Ê  Cercle	
  vertueux	
  
«	
  FAST	
  TRACK	
  »	
  ou	
  «	
  RAPID	
  RECOVERY	
  »	
  
SUITES	
  après	
  PTG	
  
IMMEDIATES	
  
Ê  Levé,	
  marche	
  et	
  rééducation	
  JO+++	
  
Ê  Redon	
  enlevé	
  à	
  J3-­‐J4	
  
Ê  Canne	
  4-­‐6	
  semaines	
  	
  
Ê  Retour	
  à	
  domicile	
  à	
  J5	
  avec	
  KINE	
  TOUS	
  LES	
  JOURS	
  ou	
  départ	
  en	
  
CENTRE	
  
Ê  Rééducation	
  +++	
  est	
  essentielle	
  	
  
Ê  Muscler	
  le	
  quadriceps,	
  verrouiller	
  le	
  genou	
  
Ê  Escaliers+++	
  
Ê  AC	
  6	
  semaines,	
  bas	
  de	
  contention	
  8	
  semaines	
  
SUITES	
  après	
  PTG	
  
ACTIVITES	
  
Ê  Conduire	
  une	
  voiture	
  à	
  8	
  semaines…	
  en	
  fait	
  en	
  fonction	
  du	
  
verrouillage	
  du	
  quadriceps	
  	
  
Ê  Voyages	
  (avion):	
  à	
  8	
  semaines	
  
Ê  Sports	
  (patients	
  jeunes):	
  	
  
Ê  LA	
  REGLE:	
  reprendre	
  les	
  activités	
  déjà	
  pratiquées	
  
Ê  golf,	
  randonnée,	
  natation	
  à	
  3	
  mois	
  	
  
Ê  tennis,	
  voile,	
  jogging,	
  ski	
  à	
  6-­‐9	
  mois	
  
Ê  Déconseillés:	
  arts	
  martiaux	
  sauf	
  si	
  grande	
  maîtrise	
  
QUELLES	
  AUTRES	
  EVOLUTIONS?	
  
Ê  Dessin	
  des	
  Prothèses	
  
Ê  Améliorer	
  la	
  flexion	
  au	
  delà	
  de	
  120°	
  (High	
  
FLEX)	
  
Ê  Course	
  rotulienne	
  améliorée,	
  moins	
  
d’instabilité	
  
Ê  Plateau	
  rotatoire,	
  meilleur	
  tolérance	
  aux	
  
activités	
  plus	
  contraignantes	
  
Ê  FAST	
  TRACK	
  
Ê  Sites	
  pilotes+++,	
  soutenus	
  par	
  autorité	
  de	
  
santé	
  (crédits)	
  
Ê  Réduire	
  les	
  DMS…accélérer	
  le	
  retour	
  à	
  
domicile	
  
	
  
RESULTAT	
  PTG	
  /	
  2	
  ans	
   2183
THE JOURNAL OF BONE & JOINT SURGER Y · JBJS.ORG
VOLUME 86-A · NUMBER 10 · OCTOBER 2004
PREDICTING THE OUTCOME OF
TOTAL KNEE ARTHROPLASTY
the strongest determinants. The patients in the United King- terms of the WOMAC function score at one year; this
Fig. 1
The adjusted mean WOMAC pain and function scores at the preoperative, one-year, and two-year assess-
ments. WOMAC = Western Ontario and McMaster University Osteoarthritis Index.
Ê  Linglard	
  et	
  al.	
  
JBJS	
  Am,	
  2004	
  
Ê  WOMAC	
  score	
  
évaluant	
  la	
  
fonction	
  et	
  la	
  
douleur	
  
Ê  Opérés	
  tard,	
  
(handicap	
  fct	
  
majeur)	
  ont	
  un	
  
moins	
  bon	
  
résultats	
  	
  
COMPLICATIONS	
  
Ê  Infection	
  
Ê  1-­‐3%	
  
Ê  Douleurs,	
  descellement	
  rapide,	
  biologie,	
  scinti…	
  	
  
Ê  Descellement	
  Aseptique:	
  	
  
Pop.	
  Gnle:	
  Patil	
  et	
  al.,	
  CORR,	
  2014	
  
Ê  98%	
  de	
  survie	
  des	
  implants	
  à	
  20	
  ans	
  (sur	
  le	
  critère	
  descellement	
  
aseptique)	
  
Ê  79%	
  de	
  survie	
  (toutes	
  causes	
  de	
  reprises	
  confondues)	
  à	
  25	
  ans	
  
Pop.	
  jeunes	
  <55	
  ans:	
  Keeney,	
  CORR,	
  2011:	
  revue	
  littérature	
  (13	
  études)	
  
Ê  90.6%	
  à	
  99%	
  de	
  survie	
  des	
  implants	
  à	
  10	
  ans	
  puis	
  85%	
  à	
  96.5%	
  de	
  
survie	
  des	
  implants	
  à	
  20	
  ans	
  
REPRISE	
  DE	
  PTG	
  
Ê  Stratégie	
  
Ê  1/Ablation	
  des	
  implants	
  sans	
  aggraver	
  dégats	
  osseux	
  (ostéolyse)	
  
Ê  2/Prélèvements	
  bactériologiques	
  
Ê  3/Reconstruction	
  osseuse	
  parfois	
  complexe	
  (condyles,	
  tibia)	
  
Ê  4/Nouveaux	
  implants	
  parois	
  spécifiques	
  
Ê  Centres	
  spécialisés	
  dans	
  la	
  chirurgie	
  prothétique	
  
Ê  Accès	
  à	
  une	
  banque	
  d’os	
  
Ê  Infection	
  =	
  Centre	
  de	
  référence	
  
Ê  Collaboration	
  =	
  chirurgien-­‐infectiologues-­‐microbiologistes	
  
REPRISE	
  DE	
  PTG	
  /	
  IMPLANTS	
  
Ê  Pertes	
  de	
  substance	
  
osseuse	
  
Ê  Faillite	
  ligamentaire	
  
Ê  IMPLANTS	
  ADPATES	
  
Ê  Contraite	
  
Ê  Charnière	
  
Ê  Tiges	
  d’extension	
  
REPRISE	
  DE	
  PTG	
  /	
  QUI	
  OPERER?	
  
Ê  Quels	
  patients?	
  
Ê  De	
  +	
  en	
  +	
  âgés…	
  allongement	
  durée	
  de	
  vie	
  et	
  survie	
  des	
  implants	
  
Ê  Une	
  reprise,	
  rarement	
  deux	
  
Ê  Durée	
  10	
  ans	
  suffisant…	
  
Ê  Facteurs:	
  
Ê  Âge	
  physiologique	
  
Ê  Suffisamment	
  «	
  actifs	
  »	
  
Ê  Facteurs	
  de	
  risques:	
  co-­‐morbidités	
  cardiaques,	
  pulmonaires	
  
Ê  Bilan	
  pré-­‐op	
  poussé,	
  fraction	
  d’éjection	
  etc…	
  
Ê  Bilan	
  anesthésique	
  
Ê  Décision	
  collégiale	
  
Ê  Milieu	
  spécialisé	
  
A	
  RETENIR…PTG	
  
Ê  FAST	
  TRACK	
  –	
  RAPID	
  RECOVERY	
  
Ê  Récupération	
  rapide	
  
Ê  Levé	
  précoce	
  	
  
Ê  INNOVATIONS	
  TECHNIQUES	
  RECENTES	
  
Ê  Dessin	
  des	
  prothèses	
  
Ê  PROTHESES	
  PERSONNALISEES	
  
Ê  SURVIE	
  DES	
  IMPLANTS	
  TRES	
  SATISFAISANTE	
  
Ê  90%	
  de	
  survie	
  des	
  implants	
  à	
  20	
  ans	
  
Ê  CHIRURGIE	
  QUI	
  MARCHE	
  
Ê  WOMAC	
  passe	
  de	
  38	
  à	
  85	
  (douleur)	
  et	
  42	
  à	
  75	
  (fonction)	
  à	
  2	
  ans	
  
 
Questions:	
  	
  
dr.sailhan@gmail.com	
  
	
  
Information	
  (praticiens	
  et	
  les	
  patients):	
  
internet:	
  ichg.fr	
  
MERCI	
  

Arthrose du genou et prothese de genou

  • 1.
    Prothèse  totale  de  genou   Dr  Frédéric  SAILHAN,  MD,  PhD   Dr  Luc  KERBOULL,  MD,  PhD   Espace  Médical  Vauban   Clinique  ARAGO   ichg.fr   INSTITUT  de  CHIRURGIE  de  la  HANCHE   et  du  GENOU  
  • 2.
    Gonarthrose  invalidante     Ê  90.000  /  an  en  France  (86.000  en  2011)   Ê  Symptômes   Ê  Douleur   Ê  Déformation   Ê  Boiterie   Ê  Oedème  
  • 3.
    Gonarthrose  invalidante   Ê Douleur     Ê  Localisation   Ê  GENOU   Ê  INTERNE  le  plus  souvent  (varus),  parfois  EXTERNE  (valgus)   Ê  Face  antérieure  et  postérieure   Ê  Type   Ê  Mécanique…mais  poussées  inflammatoires   Ê  A  la  marche   Ê  Escaliers+++  atteinte  fémoro-­‐patellaire   Ê  La  nuit  =  changement  position   Ê  Activité  loisir:  marche,  golf,  course,  promenandes…  musées…   Ê  Intensité  variable  /  tolérable…  impotence  à  la  marche   Ê  «  Limites  vos  activités?  »  
  • 4.
    Gonarthrose  invalidante   Ê Déformation   Ê  Classique   Ê  VARUS  ou  VALGUS   Ê  Femme++   Ê  Boiterie   Ê  Douloureuse   Ê  Œdème,  inflammation  
  • 5.
    Gonarthrose  invalidante   Evaluer  le  retentissement  =  emporte  la  décision  opératoire   Ê  Périmètre  de  marche   Ê  200m  300m,  10-­‐15  min,  30  min,  illimité   Ê  Escaliers   Ê  Traitement  antalgique?   Ê  «  Qu’est-­‐ce  que  vous  ne  pouvez  plus  faire  que  vous  faisiez   avant?  »   Ê  Courses,  loisirs  (golf,  tennis…),  musées,  marche,  sortir  de  chez   soi…  
  • 6.
    Gonarthrose  invalidante   QUAND  DEMANDER  UN  AVIS  CHIRURGICAL?   Ê  Gonlagie  chronique  s’aggrave   Ê  Retentissement  fonctionnel  devient  significatif   Ê  Radiographie  concordante  
  • 7.
    QUAND  OPERER?   Si…   Ê  1/  Gonarthrose  radiologique   Ê  2/  Retentissement  fonctionnel  réel  =  modification  conditions  de  vie   Ê  Réduction  du  PM   Ê  Retentissement  activités  quotidiennes   Ê  3/  Tt  médical  bien  conduit  insuffisant   Ê  Antalgiques,  AINS     Ê  Infiltrations  inefficaces  ou  «  épuisées  »:  a.hyaluronique  /  corticoides   Ê  Deux  séries…   Ê  4/  Evolution  sur  6-­‐12  mois  
  • 8.
  • 9.
    Infiltration  articulaires  /  Gonarthrose   Ê  Intra-­‐articulaires   Ê  Cabinet  (rhumato,  MPR,  MT,  ortho)     Ê  Sous  scopie  (radiologue)   Ê  A  visée  antalgique   Ê  Effet  lubrifiant  et  «  cicatrisant  »  /  a  hyaluronique   Ê  Ostenil,  Synvisc….   Ê  Série  de  3  infiltrations   Ê  Efficacité??     Ê  AI  :  Corticoides   Ê  Altim   Ê  Durée:  qq  jours  à  qq  mois   GENOU  SEC   GENOU   INFLAMMATOIRE  
  • 10.
    EVOLUTION  TECHNIQUE?   Ê Prothèse  de  Genou  PERSONNALISEE   Ê  Guides  de  coupes  sur-­‐mesure   Ê  OBJECTIFS  d’une  PTG   Ê  Indolore   Ê  Stable   Ê  Mobile   Ê  Axé    
  • 11.
    CAHIER  des  CHARGES  PTG   Ê  Alignement  optimal  des  implants   Ê  Taille  appropriée  à  l’anatomie  du  patient   Ê  Bon  équilibre  des  ligaments  latéraux   Ê  Bonne  cinétique  de  l’articulation  FP   Imprécisions,  morbidité  
  • 12.
    La  PTG  PERSONNALISEE         Ê …à  partir  d’un  planning  pré-­‐opératoire  individuel   Ê SCANNER  ou  IRM  pré-­‐op   Ê Morphologie  propre  et  unique   Ê  Axes  mécaniques  précis   Ê  Morphologie  condyles,  plateau  tibial   Ê  Taille  des  implants   Ê  Positionnement  optimal  (rotation,  flexion,   extension,  épaisseur  des  coupes  osseuses)  
  • 13.
    La  technologie   3  séries  de  coupes  IRM     Basse  résolution  hanche   et  cheville  :  centres  de   rotation     Haute  résolution  du   genou  
  • 14.
  • 15.
  • 16.
  • 17.
    Production  des  guides   Faits  à  partir  du  planning  approuvé       Technologie     •   Prototypage  rapide   •   Impression  3D   •   Poudre  vierge  de  Polyamide-­‐Duraform   •   Durcie  par  un  rayon  laser    
  • 18.
  • 21.
    Les  bénéfices     Pour  le  Patient     Ê  Parfaite  restauration  des  axes  mécaniques   Ê  Parfaite  adaptation  de  la  taille  des  implants   Ê  Durée  d‘anesthésie  diminuée   Ê  Diminution  des  douleurs  et  du  saignement  PO   Ê  Rapidité  de  récupération  ?  (à  démontrer)    
  • 22.
    Les  bénéfices   Pour  le  chirurgien     Ê  Planification  préopératoire   Ê  Définition  précise  de  la  taille   Ê  Moins  d‘instruments  utilisés   Ê  Economie  de  temps      
  • 23.
    Les  bénéfices   Pour  l’établissement  de  soins     Ê  Economie  de  temps  (salle  et  traitement)   Ê  Moins  de  boites  manipulées  et  stérilisées   Ê  Moins  d‘ancillaires  en  dépôt     Moindre  coût,  meilleure  ergonomie  
  • 24.
  • 25.
  • 26.
    AUTRE  EVOLUTION  MAJEURE:   PROTOCOLE  d’ANALGESIE   Ê  GROUPE  SUEDOIS:  STOP  au  bloc  FEMORAL  !!!   Ê  Sidère  le  quadriceps,  ne  peuvent  verrouiller  le  genou  (chutes…),  ne   peuvent  marcher  avant  J2…   Ê  Cercle  vicieux…   Ê  Association  INFILTRATIONS  ARTICULAIRES  +  Bloc  du  CANAL   ADDUCTEUR   Ê  Forte  analgésie  LOCO-­‐REGIONALE   Ê  Morphiniques:  le  moins  possible,  supprime  leurs  complications   (vomissement,  constipation)   Ê  Boire,  manger,  se  lever  dans  les  heures  qui  suivent  le  réveil  le  jour   même  de  l’intervention   Ê  Mobilisation  précoce  (h2)  DIMINUE  LA  DOULEUR:  deux  fois  15   min  /j  à  J1,   Ê  Cercle  vertueux   «  FAST  TRACK  »  ou  «  RAPID  RECOVERY  »  
  • 27.
    SUITES  après  PTG   IMMEDIATES   Ê  Levé,  marche  et  rééducation  JO+++   Ê  Redon  enlevé  à  J3-­‐J4   Ê  Canne  4-­‐6  semaines     Ê  Retour  à  domicile  à  J5  avec  KINE  TOUS  LES  JOURS  ou  départ  en   CENTRE   Ê  Rééducation  +++  est  essentielle     Ê  Muscler  le  quadriceps,  verrouiller  le  genou   Ê  Escaliers+++   Ê  AC  6  semaines,  bas  de  contention  8  semaines  
  • 28.
    SUITES  après  PTG   ACTIVITES   Ê  Conduire  une  voiture  à  8  semaines…  en  fait  en  fonction  du   verrouillage  du  quadriceps     Ê  Voyages  (avion):  à  8  semaines   Ê  Sports  (patients  jeunes):     Ê  LA  REGLE:  reprendre  les  activités  déjà  pratiquées   Ê  golf,  randonnée,  natation  à  3  mois     Ê  tennis,  voile,  jogging,  ski  à  6-­‐9  mois   Ê  Déconseillés:  arts  martiaux  sauf  si  grande  maîtrise  
  • 29.
    QUELLES  AUTRES  EVOLUTIONS?   Ê  Dessin  des  Prothèses   Ê  Améliorer  la  flexion  au  delà  de  120°  (High   FLEX)   Ê  Course  rotulienne  améliorée,  moins   d’instabilité   Ê  Plateau  rotatoire,  meilleur  tolérance  aux   activités  plus  contraignantes   Ê  FAST  TRACK   Ê  Sites  pilotes+++,  soutenus  par  autorité  de   santé  (crédits)   Ê  Réduire  les  DMS…accélérer  le  retour  à   domicile    
  • 30.
    RESULTAT  PTG  /  2  ans   2183 THE JOURNAL OF BONE & JOINT SURGER Y · JBJS.ORG VOLUME 86-A · NUMBER 10 · OCTOBER 2004 PREDICTING THE OUTCOME OF TOTAL KNEE ARTHROPLASTY the strongest determinants. The patients in the United King- terms of the WOMAC function score at one year; this Fig. 1 The adjusted mean WOMAC pain and function scores at the preoperative, one-year, and two-year assess- ments. WOMAC = Western Ontario and McMaster University Osteoarthritis Index. Ê  Linglard  et  al.   JBJS  Am,  2004   Ê  WOMAC  score   évaluant  la   fonction  et  la   douleur   Ê  Opérés  tard,   (handicap  fct   majeur)  ont  un   moins  bon   résultats    
  • 31.
    COMPLICATIONS   Ê  Infection   Ê  1-­‐3%   Ê  Douleurs,  descellement  rapide,  biologie,  scinti…     Ê  Descellement  Aseptique:     Pop.  Gnle:  Patil  et  al.,  CORR,  2014   Ê  98%  de  survie  des  implants  à  20  ans  (sur  le  critère  descellement   aseptique)   Ê  79%  de  survie  (toutes  causes  de  reprises  confondues)  à  25  ans   Pop.  jeunes  <55  ans:  Keeney,  CORR,  2011:  revue  littérature  (13  études)   Ê  90.6%  à  99%  de  survie  des  implants  à  10  ans  puis  85%  à  96.5%  de   survie  des  implants  à  20  ans  
  • 32.
    REPRISE  DE  PTG   Ê  Stratégie   Ê  1/Ablation  des  implants  sans  aggraver  dégats  osseux  (ostéolyse)   Ê  2/Prélèvements  bactériologiques   Ê  3/Reconstruction  osseuse  parfois  complexe  (condyles,  tibia)   Ê  4/Nouveaux  implants  parois  spécifiques   Ê  Centres  spécialisés  dans  la  chirurgie  prothétique   Ê  Accès  à  une  banque  d’os   Ê  Infection  =  Centre  de  référence   Ê  Collaboration  =  chirurgien-­‐infectiologues-­‐microbiologistes  
  • 33.
    REPRISE  DE  PTG  /  IMPLANTS   Ê  Pertes  de  substance   osseuse   Ê  Faillite  ligamentaire   Ê  IMPLANTS  ADPATES   Ê  Contraite   Ê  Charnière   Ê  Tiges  d’extension  
  • 35.
    REPRISE  DE  PTG  /  QUI  OPERER?   Ê  Quels  patients?   Ê  De  +  en  +  âgés…  allongement  durée  de  vie  et  survie  des  implants   Ê  Une  reprise,  rarement  deux   Ê  Durée  10  ans  suffisant…   Ê  Facteurs:   Ê  Âge  physiologique   Ê  Suffisamment  «  actifs  »   Ê  Facteurs  de  risques:  co-­‐morbidités  cardiaques,  pulmonaires   Ê  Bilan  pré-­‐op  poussé,  fraction  d’éjection  etc…   Ê  Bilan  anesthésique   Ê  Décision  collégiale   Ê  Milieu  spécialisé  
  • 36.
    A  RETENIR…PTG   Ê FAST  TRACK  –  RAPID  RECOVERY   Ê  Récupération  rapide   Ê  Levé  précoce     Ê  INNOVATIONS  TECHNIQUES  RECENTES   Ê  Dessin  des  prothèses   Ê  PROTHESES  PERSONNALISEES   Ê  SURVIE  DES  IMPLANTS  TRES  SATISFAISANTE   Ê  90%  de  survie  des  implants  à  20  ans   Ê  CHIRURGIE  QUI  MARCHE   Ê  WOMAC  passe  de  38  à  85  (douleur)  et  42  à  75  (fonction)  à  2  ans  
  • 37.
      Questions:     dr.sailhan@gmail.com     Information  (praticiens  et  les  patients):   internet:  ichg.fr   MERCI