Les Occlusions Veineuses Rétiniennes

          Qu’est-ce que c’est ?
       Comment s’en aperçoit-on ?
         Comment les traiter ?


     Dr J.-F. Girmens, Pr M. Paques
UNE MALADIE DE LA RETINE…
La rétine tapisse tout le fond d’oeil
A quoi sert la rétine?




     Elle reçoit la lumière,
     la transforme en un signal,
     transmis au cerveau
Œil ≈ appareil photo
La rétine est composée de très nombreuses cellules
(des neurones, des cellules gliales,…) : 10 couches
Rétine ≈ capteur d’appareil photo numérique
MACULA
NERF OPTIQUE
ARTERE
ARTERE
VEINE
Toute la circulation de la rétine passe par
               le nerf optique,
        à l’aller comme au retour.
Artères et veines s’entrecroisent
         fréquemment
Les OVR peuvent survenir à ces deux endroits :
• Dans le nerf optique : occlusion de la veine centrale (OVCR)
• A un croisement entre artère et veine : occlusion d’une branche
veineuse (OBVR)
QU’EST-CE QU’UNE
OCCLUSION VEINEUSE RÉTINIENNE ?
Une OVR est la conséquence d’un
 ralentissement circulatoire brutal
    dans la circulation veineuse
             rétinienne
C’est en quelque sorte un « embouteillage » de
       la circulation sanguine de la rétine
Comment s’en aperçoit-on ?
• Début rapidement progressif le plus souvent

• Baisse d’acuité visuelle
   – Parfois minime
      • léger flou de la vision le matin
      • variations de la vision dans la journée
   – Mais peut aussi être très importante

• Aucun symptôme parfois

• Un seul œil atteint
• Pas de douleur
Comment faire le diagnostic ?
Voici ce que voit l’ophtalmologiste quand il s’agit
  d’une occlusion de la veine centrale (OVCR)
D’autres aspects sont possibles
Voici ce que voit l’ophtalmologiste quand il s’agit
d’une occlusion d’une branche veineuse rétinienne (OBVR)
Conséquences sur la vision
• Les OBVR concernent un territoire plus
  restreint que les OVCR
  – donc en général la vision est meilleure
QUELLE EST LA FRÉQUENCE
DES OVR ?
20.000 nouveaux patients
         par an
20.000 nouveaux patients
         par an




                           285.000 français atteints
                                    (0,7%)
OVCR
       OBVR
QUELLE EST LA CAUSE ?
La cause exacte n’est pas connue


On ne connaît que des « facteurs de risque »
     (mais qui n’expliquent pas tout) :




  Hypertonie
                           Hypertension
   oculaire /
                             artérielle
  Glaucome
L’occlusion veineuse rétinienne
n’est PAS une phlébite de l’œil,

          ni un AVC !
Les OVR sont-elles « génétiques » ?




               ➜ Sans doute, dans de rares cas
EVOLUTION ?
Evolution imprévisible
Evolution imprévisible




Guérison
+/- séquelles
Evolution imprévisible




Guérison
+/- séquelles
Evolution imprévisible




                        Complications
Guérison
+/- séquelles
Evolution imprévisible




                        Complications
Guérison
+/- séquelles


                               Fermeture capillaire
                                  « ischémie »
La complication la plus sévère :
              la fermeture des capillaires
• Prive la rétine d’oxygène = ISCHÉMIE
• Peut entraîner le développement de petits
                          vaisseaux anormaux




“Néo-vaisseaux”
Des néo-vaisseaux peuvent aussi se former
             jusque sur l’iris

 Risque d’augmentation importante de la
          pression intra-oculaire
      « Glaucome néo-vasculaire »
Evolution imprévisible




                        Complications
Guérison
+/- séquelles


                               Fermeture capillaire
                                  « ischémie »
Evolution imprévisible




                          Complications
Guérison
+/- séquelles


                Œdème maculaire   Fermeture capillaire
Œdème de la rétine
(« œdème maculaire »)
OCT
Tomographie en Cohérence Optique
Œdème maculaire : un véritable gonflement de la rétine
QUEL TRAITEMENT ?
En phase aigüe…
En phase aigüe…



On ne sait pas « déboucher »
      la veine occluse
Chirurgie ?
Médicaments ?
•   Aspirine, Antiagrégants plaquettaires
•   Antiagrégants érythrocytaires (« Veinamitol »)
•   Collyres contre le glaucome
•   Anticoagulants

• Hémodilution ?
Par contre, on sait traiter certaines
      complications des OVR

          l’œdème maculaire
  la prolifération des néo-vaisseaux
Evolution imprévisible




                          Complications
Guérison
+/- séquelles


                Œdème maculaire   Fermeture capillaire
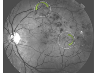
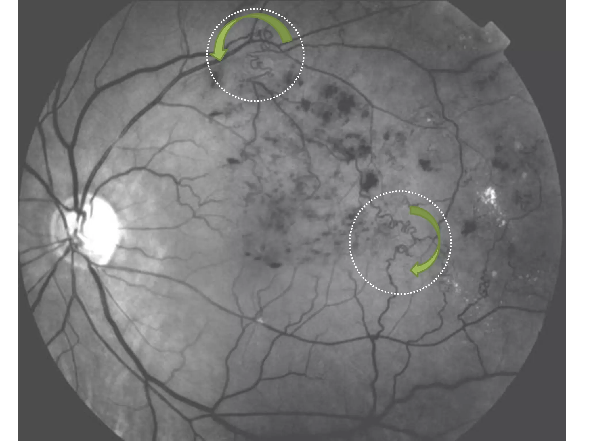
Le laser est efficace dans certaines formes d’OBVR
Avant le traitement laser   Après le traitement laser
… Mais ce type de laser ne marche pas bien dans les OVCR
J0




?    J2
Les injections intra-vitréennes

• Rapides

• Efficaces

• Même si
  – La vision ne remonte pas toujours
  – La vision peut rechuter quand le médicament n’est
    plus dans l’œil
Deux types de médicaments


Corticoïdes                        « Anti-VEGF »

• Efficace pendant 3 à 6 mois      • Efficace pendant 1 mois

• Effets secondaires               • Effets secondaires
   – Hypertonie (voire glaucome)      – Pas de glaucome
   – Cataracte                        – Pas de cataracte
                                      – Effet sur la circulation ?
                                          • Mais protection contre la
                                            prolifération de néo-
                                            vaisseaux
Comment se déroule une injection intravitréenne?
• En externe
   – Pas d’hospitalisation
• Rapide < ¼h
   – Préparation (habillage, désinfection etc)
   – Une dizaine de secondes pour l’injection elle-
     même
• Indolore
   – Anesthésie (gouttes)
Zone d’injection
Une injection en vidéo…
Une injection en vidéo…
Suites
• Sensation de corps étranger
• Taches
  – Produit
  – Bulles d’air


• Œil rouge
  – Hémorragie sous-conjonctivale


• Infection exceptionnelle (1/2000 à 1/4000)
  – ± Antibiotique avant ou après
Et si l’œdème maculaire récidive ?



IVT1            IVT2           IVT3          IVT4…




  CLD             0.1          0.1                 0.05
                                             0.1




             … on peut répéter les injections !
Médicaments utilisés


         Kenacort® 2003

                    2006 Avastin®
                     juin
Ozurdex® (AMM USA) 2009
                     juin
Ozurdex® (AMM Eu)   2010 Lucentis (AMM USA)
                     juin
                            Lucentis (AMM EU)
                    2011
Evolution imprévisible




                           Complications
Guérison
+/- séquelles


                Œdème maculaire Fermeture capillaire
anti-VEGF
« Photocoagulation pan-rétinienne »
Laser
www.asso-ovr.fr
www.ovr.asso.fr
www.asso-ovr.fr
www.ovr.asso.fr

Association OVR 20120609