BRONCHOPNEUMOPATHIE
CHRONIQUE OBSTRUCTIVE
Cours du Module Cervico-Thoracique
DCEM 2
Christophe CRACCO
Service de Pneumologie
CHU Henri MONDOR
• Vous êtes médecin dans le Pas de
Calais, le 15 janvier 2004 (beau métier,
belle région, belle saison).
• Monsieur L., âgé de 70 ans vous
consulte car il se plaint d’être essoufflé
pour des efforts de la vie courante
depuis une semaine.
• C’est un ancien mineur de charbon (employé
à l’extraction de 1967 à 1979, puis dans la
manutention jusqu’en 1985). Il fume
l’équivalent d’un paquet et demi de cigarettes
par jour, depuis l’âge de 55 ans ; entre 18 et
55 ans, il fumait un paquet par jour. Il a eu un
infarctus du myocarde 6 ans auparavant, et il
est traité pour sa coronaropathie par un
Inhibiteur de l’Enzyme de Conversion et de
l’Aspirine. Il mesure 172 cm pour un poids de
76 kg.
• Lorsque vous l’interrogez, il relate qu’il tousse et a
une expectoration grisâtre, quasi-quotidienne, depuis
plus de 3 ans. Mais, actuellement, comme souvent
l’hiver, il a une « bronchite » (il tousse et expectore
plus ; la couleur de l’expectoration étant verdâtre).
D’habitude, il est capable de monter les deux étages
par les escaliers qui le conduisent chez son ancien
collègue, ami et voisin. Il a une température de 37°6
C. La fréquence cardiaque est à 90/min au repos. La
pression artérielle est à 140/85 mmHg. L’examen
physique met en évidence des râles bronchiques
bilatéraux et quelques râles sibilants, ainsi que des
œdèmes mous, blancs et indolores des membres
inférieurs, remontant au tiers inférieur des mollets.
Chiffrez l’intoxication tabagique de Monsieur L.
59,5 paquets-année
L’interrogatoire vous permet de diagnostiquer une
complication chronique liée à l’intoxication
tabagique. Laquelle et sur quels arguments ?
bronchite chronique
toux et expectoration plus de 3 mois par an, depuis au
moins 2 années consécutives
Des Epreuves Fonctionnelles Respiratoires
(spirométrie, mesures des volumes par
pléthysmographie et gazométrie artérielle)
avaient été réalisées 2 mois auparavant, à
votre demande. Monsieur L. vous montre les
résultats :
– a.VEMS/CV 31%, soit 39% de la théorique, avant et
après bêta-2-mimétiques
– b.VEMS 0,92 l, soit 26% de la théorique, avant et
après bêta-2-mimétiques
– c.DEP 2,73 l/s, soit 33% de la théorique
– d.DEM 25-75 0,33 l/s, soit 6% de la théorique
– e.CPT 8,08 l, soit 121% de la théorique
– f. VR 5,11 l, soit 246% de la théorique
– g.PaO2 67 mmHg, PaCO2 44 mmHg, Bicarbonates 28
mmol/l, pH 7,41
Tracez la courbe débit-volume lors d’un effort
maximal correspondant à ces EFR en trait plein.
Indiquez les points correspondant au DEP, au VR, à
la CPT, et donnez la signification de ces
abréviations. Tracez sur le même schéma une
courbe débit-volume normale en trait pointillé.
DEP
CPT
VR
CPT VR
INSPIRATIO N
EXPIRATIO N
VT
CPT VR
VT
C D
CPT VR
VT
E
A
CPT VR
VT
B
Boucle Débit-Volume
A - Boucle Normale
B - Syndrome Restrictif
C - Obstruction des
Voies Aériennes
Intra-Thoraciques
D - Obstruction des
Voies Aériennes
Extra-Thoraciques
(Larynx)
E - Obstruction Trachéale
A quelle maladie ces résultats permettent-ils de
conclure ? Sur quels arguments ?
Une bronchopathie chronique obstructive (BPCO)
sévère, stade III, car
syndrome obstructif
avec un VEMS/CV diminué de plus de 30%,
un VEMS diminué de plus de 20%, de façon non
réversible,
atteignant préférentiellement les voies aériennes
distales (diminution des DEM 25-75),
et avec distension (CPT > 120% et VR à 246%)
DEFINITION
Bronchite
Chronique
Continuum?
BPCO
Emphysème
Bronchite Chronique :
Toux et expectoration plus de 3 mois par an,
au-moins 2 années consécutives
BPCO :
Trouble ventilatoire obstructif fixé
VEMS/CV < 70% de la théorique
VEMS < 80% de la théorique
Emphysème :
Destruction du parenchyme
pulmonaire, avec
élargissement des espaces
aériens périphériques
EPIDEMIOLOGIE
Bronchite
Chronique
Continuum?
BPCO
Emphysème
Bronchite Chronique :
5% de la population
1 fumeur de la cinquantaine sur 2
BPCO :
1/3 des bronchitiques chroniques
3e
cause d’arrêts de travail
1e
cause de handicap respiratoire
3e
cause de décès
PHYSIOPATHOLOGIE
Il existe une agression par des aérocontaminants, à
laquelle répond l’hôte
Au niveau cellulaire
Inflammation des voies aériennes (lymphocytes T
CD8+, PNN, macrophages), s’accentue avec la
maladie, d’abord située au niveau des voies aériennes
distales
Déséquilibre oxydants-antioxydants, du fait des
nombreux radicaux libres de la fumée de tabac
Déséquilibre protéases-antiprotéases, les premières
étant activées par la fumée de tabac
Au niveau tissulaire
1. Stagnation de sécrétions
2. Diminution des forces de
rétractions élastiques
3. Œdème de la muqueuse
4. Contraction des muscles
lisses bronchiques
5. Hyperplasie des glandes
muqueuses
6. Métaplasie de la muqueuse
épithéliale bronchique
7. Prolifération des cellules épithéliales
bronchiques sécrétoires
V T
VRI
VRE
CV
VR
CPT
CI
CRF
SPIROGRAMME ET
VOLUMES PULMONAIRES
Au niveau pulmonaire
Emphysème Lobule ou acinus pulmonaire
Emphysème centrolobulaire
(ECL) :
destruction du centre du
lobule (touche pas ou peu
l’alvéole et les capillaires :
V/Q ↓ )
Emphysème panlobulaire
(EPL) :
destruction de l’ensemble du
lobule lobule (V/Q normal)
Lorsque pur, rechercher un
déficit en α1-Antitrypsine
Quelles sont les deux principales étiologies
possibles de la maladie bronchique chronique de
Monsieur L. ?
Tabagisme
Silicose (exposition professionnelle à la silice)
Quelles mesures administratives demandez-
vous pour le patient ?
Demande de prise en charge des soins à 100%
Déclaration de la BPCO comme maladie
professionnelle liée à l’exposition à la silice (exposition
de plus de 10 ans et dont la fin remonte à plus de 5
ans, avec VEMS diminué de plus de 40%)
Quels sont les trois critères, présents dans cette
observation, faisant suspecter une surinfection
bronchique comme cause d’exacerbation de sa
pathologie bronchique chronique ?
Majoration de la dyspnée,
augmentation du volume de l’expectoration
apparition d’une purulence de celle-ci
Ce sont les trois critères d’Anthonisen
Deux sur trois, dont l’apparition d’une purulence de
l’expectoration, sont nécessaires
Quelle mesure thérapeutique est indispensable?
Arrêt du tabagisme
VEMS
ANNEES
Normal
Fumeur
Ex-Fumeur
Citez trois bactéries les plus souvent rencontrées
dans ce cadre ?
Streptococcus pneumoniae
Hemophilus influenzae
Branhamella catarrhalis
Quel agent infectieux non bactérien faut-il
également suspecter?
Quelle mesure prophylactique à l’égard de ce
dernier faudra-t-il prendre dans le futur pour
Monsieur L. ?
Myxovirus influenzae (virus de la grippe)
Vaccination antigrippale annuelle
CIRCONSTANCE DE DECOUVERTE
Toux chronique et expectoration, s’il existe une
bronchite chronique
Dyspnée, inconstante, plus tardive, d’abord d’effort, à
chiffrer (5 stades ou EVA)
Exacerbations et décompensations
SIGNES CLINIQUES
1 Distension :
Thorax en tonneau, signes de Hoover et de Campbell
2 Limitation du débit expiratoire :
Respiration à lèvres pincées, râles sibilants, expiration
active
3 Encombrement bronchique :
Ronchus
4 Hypoxémie chronique :
Cyanose, faciès erythrosique traduisant une
polyglobulie
5 Insuffisance respiratoire (chronique ou aiguë) :
Tachypnée, paradoxe abdominal, mise en jeu des
muscles inspiratoires accessoires, parole difficile
EXAMENS COMPLEMENTAIRES
Epreuves Fonctionnelles Respiratoires comprenant
une courbe débit-volume, la mesure des volumes par
pléthysmographie, une études des échanges gazeux
avec une gazométrie artérielle, un KCO et une
oxymétrie nocturne, un test de marche de 6 minutes
Tomodensitométrie thoracique, pas systématique,
mais permet de préciser l’importance et la répartition
de l’emphysème
9 mois plus tard, Monsieur L. est adressé aux urgences
de l’hôpital général par les pompiers en raison de la
survenue d’une dyspnée aiguë. Sa fréquence
respiratoire est à 30/min, la parole est difficile, il existe
une mise en jeu des muscles inspiratoires accessoires
et une respiration paradoxale. Les gaz du sang,
prélevés en air ambiant, montrent un pH à 7,33, une
PaCO2 à 52 mmHg, une PaO2 à 48 mmHg, des
bicarbonates à 28 mmol/l.
Comment appelez-vous l’épisode respiratoire
actuel de Mr L.?
Décompensation d’une BPCO (détresse respiratoire
aiguë)
Comment interprétez-vous les gaz du sang
(justifiez) ?
Acidose respiratoire (pH < 7,38 ; PaCO2 majorée à 52
mmHg, bicarbonates élevés à 28 mmol/l),
imparfaitement compensée
hypoxémie et effet shunt gazométrique (PaO2 + PaCO2
< 120 mmHg)
Citez cinq causes pouvant expliquer la détresse
respiratoire aiguë de Monsieur L. (par argument de
fréquence)?
Surinfection bronchique
Pneumopathie infectieuse
Autre infection
Embolie pulmonaire
Insuffisance cardiaque gauche
Pneumothorax
Prise de médicaments sédatifs
Quel traitement proposez-vous en urgence?
Drainage du pneumothorax
En l’absence de pneumothorax, quelle mesure
thérapeutique symptomatique proposez-vous?
Ventilation assistée avec un masque, dite Ventilation
Non-Invasive (VNI)
En réanimation
COMPLICATIONS CHRONIQUES
Insuffisance respiratoire chronique
Hypertension artérielle pulmonaire
Cœur pulmonaire chronique
Polyglobulie secondaire
PRINCIPES DU TRAITEMENT
Préventif :
Arrêt du tabagisme et des autres intoxications
Vaccinations antigrippales et antipneumococciques
Lutte contre l’obstruction et la distension :
Bêta-2-mimétiques et anticholinergiques de courte
durée d’action
Bêta-2-mimétiques et anticholinergiques de longue
durée d’action
Lutte contre l’inflammation :
corticoïdes inhalés diminueraient la fréquence des
exacerbations
Réhabilitation :
Améliore la qualité de vie et la tolérance à l’exercice
Kinésithérapie, réentrainement à l’effort, éducation,
prise en charge psycho-sociale

Bpco

  • 1.
    BRONCHOPNEUMOPATHIE CHRONIQUE OBSTRUCTIVE Cours duModule Cervico-Thoracique DCEM 2 Christophe CRACCO Service de Pneumologie CHU Henri MONDOR
  • 2.
    • Vous êtesmédecin dans le Pas de Calais, le 15 janvier 2004 (beau métier, belle région, belle saison). • Monsieur L., âgé de 70 ans vous consulte car il se plaint d’être essoufflé pour des efforts de la vie courante depuis une semaine.
  • 3.
    • C’est unancien mineur de charbon (employé à l’extraction de 1967 à 1979, puis dans la manutention jusqu’en 1985). Il fume l’équivalent d’un paquet et demi de cigarettes par jour, depuis l’âge de 55 ans ; entre 18 et 55 ans, il fumait un paquet par jour. Il a eu un infarctus du myocarde 6 ans auparavant, et il est traité pour sa coronaropathie par un Inhibiteur de l’Enzyme de Conversion et de l’Aspirine. Il mesure 172 cm pour un poids de 76 kg.
  • 4.
    • Lorsque vousl’interrogez, il relate qu’il tousse et a une expectoration grisâtre, quasi-quotidienne, depuis plus de 3 ans. Mais, actuellement, comme souvent l’hiver, il a une « bronchite » (il tousse et expectore plus ; la couleur de l’expectoration étant verdâtre). D’habitude, il est capable de monter les deux étages par les escaliers qui le conduisent chez son ancien collègue, ami et voisin. Il a une température de 37°6 C. La fréquence cardiaque est à 90/min au repos. La pression artérielle est à 140/85 mmHg. L’examen physique met en évidence des râles bronchiques bilatéraux et quelques râles sibilants, ainsi que des œdèmes mous, blancs et indolores des membres inférieurs, remontant au tiers inférieur des mollets.
  • 5.
    Chiffrez l’intoxication tabagiquede Monsieur L. 59,5 paquets-année L’interrogatoire vous permet de diagnostiquer une complication chronique liée à l’intoxication tabagique. Laquelle et sur quels arguments ? bronchite chronique toux et expectoration plus de 3 mois par an, depuis au moins 2 années consécutives
  • 6.
    Des Epreuves FonctionnellesRespiratoires (spirométrie, mesures des volumes par pléthysmographie et gazométrie artérielle) avaient été réalisées 2 mois auparavant, à votre demande. Monsieur L. vous montre les résultats : – a.VEMS/CV 31%, soit 39% de la théorique, avant et après bêta-2-mimétiques – b.VEMS 0,92 l, soit 26% de la théorique, avant et après bêta-2-mimétiques – c.DEP 2,73 l/s, soit 33% de la théorique – d.DEM 25-75 0,33 l/s, soit 6% de la théorique – e.CPT 8,08 l, soit 121% de la théorique – f. VR 5,11 l, soit 246% de la théorique – g.PaO2 67 mmHg, PaCO2 44 mmHg, Bicarbonates 28 mmol/l, pH 7,41
  • 7.
    Tracez la courbedébit-volume lors d’un effort maximal correspondant à ces EFR en trait plein. Indiquez les points correspondant au DEP, au VR, à la CPT, et donnez la signification de ces abréviations. Tracez sur le même schéma une courbe débit-volume normale en trait pointillé. DEP CPT VR
  • 8.
    CPT VR INSPIRATIO N EXPIRATION VT CPT VR VT C D CPT VR VT E A CPT VR VT B Boucle Débit-Volume A - Boucle Normale B - Syndrome Restrictif C - Obstruction des Voies Aériennes Intra-Thoraciques D - Obstruction des Voies Aériennes Extra-Thoraciques (Larynx) E - Obstruction Trachéale
  • 9.
    A quelle maladieces résultats permettent-ils de conclure ? Sur quels arguments ? Une bronchopathie chronique obstructive (BPCO) sévère, stade III, car syndrome obstructif avec un VEMS/CV diminué de plus de 30%, un VEMS diminué de plus de 20%, de façon non réversible, atteignant préférentiellement les voies aériennes distales (diminution des DEM 25-75), et avec distension (CPT > 120% et VR à 246%)
  • 10.
    DEFINITION Bronchite Chronique Continuum? BPCO Emphysème Bronchite Chronique : Touxet expectoration plus de 3 mois par an, au-moins 2 années consécutives BPCO : Trouble ventilatoire obstructif fixé VEMS/CV < 70% de la théorique VEMS < 80% de la théorique Emphysème : Destruction du parenchyme pulmonaire, avec élargissement des espaces aériens périphériques
  • 11.
    EPIDEMIOLOGIE Bronchite Chronique Continuum? BPCO Emphysème Bronchite Chronique : 5%de la population 1 fumeur de la cinquantaine sur 2 BPCO : 1/3 des bronchitiques chroniques 3e cause d’arrêts de travail 1e cause de handicap respiratoire 3e cause de décès
  • 12.
    PHYSIOPATHOLOGIE Il existe uneagression par des aérocontaminants, à laquelle répond l’hôte Au niveau cellulaire Inflammation des voies aériennes (lymphocytes T CD8+, PNN, macrophages), s’accentue avec la maladie, d’abord située au niveau des voies aériennes distales Déséquilibre oxydants-antioxydants, du fait des nombreux radicaux libres de la fumée de tabac Déséquilibre protéases-antiprotéases, les premières étant activées par la fumée de tabac
  • 13.
    Au niveau tissulaire 1.Stagnation de sécrétions 2. Diminution des forces de rétractions élastiques 3. Œdème de la muqueuse 4. Contraction des muscles lisses bronchiques 5. Hyperplasie des glandes muqueuses 6. Métaplasie de la muqueuse épithéliale bronchique 7. Prolifération des cellules épithéliales bronchiques sécrétoires
  • 14.
  • 15.
  • 16.
    Emphysème Lobule ouacinus pulmonaire Emphysème centrolobulaire (ECL) : destruction du centre du lobule (touche pas ou peu l’alvéole et les capillaires : V/Q ↓ ) Emphysème panlobulaire (EPL) : destruction de l’ensemble du lobule lobule (V/Q normal) Lorsque pur, rechercher un déficit en α1-Antitrypsine
  • 17.
    Quelles sont lesdeux principales étiologies possibles de la maladie bronchique chronique de Monsieur L. ? Tabagisme Silicose (exposition professionnelle à la silice) Quelles mesures administratives demandez- vous pour le patient ? Demande de prise en charge des soins à 100% Déclaration de la BPCO comme maladie professionnelle liée à l’exposition à la silice (exposition de plus de 10 ans et dont la fin remonte à plus de 5 ans, avec VEMS diminué de plus de 40%)
  • 18.
    Quels sont lestrois critères, présents dans cette observation, faisant suspecter une surinfection bronchique comme cause d’exacerbation de sa pathologie bronchique chronique ? Majoration de la dyspnée, augmentation du volume de l’expectoration apparition d’une purulence de celle-ci Ce sont les trois critères d’Anthonisen Deux sur trois, dont l’apparition d’une purulence de l’expectoration, sont nécessaires Quelle mesure thérapeutique est indispensable? Arrêt du tabagisme
  • 19.
  • 20.
    Citez trois bactériesles plus souvent rencontrées dans ce cadre ? Streptococcus pneumoniae Hemophilus influenzae Branhamella catarrhalis Quel agent infectieux non bactérien faut-il également suspecter? Quelle mesure prophylactique à l’égard de ce dernier faudra-t-il prendre dans le futur pour Monsieur L. ? Myxovirus influenzae (virus de la grippe) Vaccination antigrippale annuelle
  • 21.
    CIRCONSTANCE DE DECOUVERTE Touxchronique et expectoration, s’il existe une bronchite chronique Dyspnée, inconstante, plus tardive, d’abord d’effort, à chiffrer (5 stades ou EVA) Exacerbations et décompensations
  • 22.
    SIGNES CLINIQUES 1 Distension: Thorax en tonneau, signes de Hoover et de Campbell 2 Limitation du débit expiratoire : Respiration à lèvres pincées, râles sibilants, expiration active 3 Encombrement bronchique : Ronchus 4 Hypoxémie chronique : Cyanose, faciès erythrosique traduisant une polyglobulie 5 Insuffisance respiratoire (chronique ou aiguë) : Tachypnée, paradoxe abdominal, mise en jeu des muscles inspiratoires accessoires, parole difficile
  • 23.
    EXAMENS COMPLEMENTAIRES Epreuves FonctionnellesRespiratoires comprenant une courbe débit-volume, la mesure des volumes par pléthysmographie, une études des échanges gazeux avec une gazométrie artérielle, un KCO et une oxymétrie nocturne, un test de marche de 6 minutes Tomodensitométrie thoracique, pas systématique, mais permet de préciser l’importance et la répartition de l’emphysème
  • 24.
    9 mois plustard, Monsieur L. est adressé aux urgences de l’hôpital général par les pompiers en raison de la survenue d’une dyspnée aiguë. Sa fréquence respiratoire est à 30/min, la parole est difficile, il existe une mise en jeu des muscles inspiratoires accessoires et une respiration paradoxale. Les gaz du sang, prélevés en air ambiant, montrent un pH à 7,33, une PaCO2 à 52 mmHg, une PaO2 à 48 mmHg, des bicarbonates à 28 mmol/l.
  • 25.
    Comment appelez-vous l’épisoderespiratoire actuel de Mr L.? Décompensation d’une BPCO (détresse respiratoire aiguë)
  • 26.
    Comment interprétez-vous lesgaz du sang (justifiez) ? Acidose respiratoire (pH < 7,38 ; PaCO2 majorée à 52 mmHg, bicarbonates élevés à 28 mmol/l), imparfaitement compensée hypoxémie et effet shunt gazométrique (PaO2 + PaCO2 < 120 mmHg)
  • 27.
    Citez cinq causespouvant expliquer la détresse respiratoire aiguë de Monsieur L. (par argument de fréquence)? Surinfection bronchique Pneumopathie infectieuse Autre infection Embolie pulmonaire Insuffisance cardiaque gauche Pneumothorax Prise de médicaments sédatifs
  • 29.
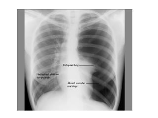
    Quel traitement proposez-vousen urgence? Drainage du pneumothorax
  • 31.
    En l’absence depneumothorax, quelle mesure thérapeutique symptomatique proposez-vous? Ventilation assistée avec un masque, dite Ventilation Non-Invasive (VNI) En réanimation
  • 32.
    COMPLICATIONS CHRONIQUES Insuffisance respiratoirechronique Hypertension artérielle pulmonaire Cœur pulmonaire chronique Polyglobulie secondaire
  • 33.
    PRINCIPES DU TRAITEMENT Préventif: Arrêt du tabagisme et des autres intoxications Vaccinations antigrippales et antipneumococciques Lutte contre l’obstruction et la distension : Bêta-2-mimétiques et anticholinergiques de courte durée d’action Bêta-2-mimétiques et anticholinergiques de longue durée d’action Lutte contre l’inflammation : corticoïdes inhalés diminueraient la fréquence des exacerbations Réhabilitation : Améliore la qualité de vie et la tolérance à l’exercice Kinésithérapie, réentrainement à l’effort, éducation, prise en charge psycho-sociale